CENTRAL VERTIGO
Central vertigo
• caused by dysfunction of central structures that process sensory input
from the inner ear.
CASE SCENARIO
A 60 yr old gentleman was brought to the casualty with complaints of
• sudden onset of dizziness with him feeling the perception of the
surroundings revolving about him of two hours duration
• nausea and vomiting at the time of onset
• had difficulty in sitting up in the bed and had to be given support to
go to the bathroom
• He is a known hypertensive and diabetic
• On examination he had :-
• Nystagmus
• Motor ataxia – Towards the right side
• Right palate, pharynx and laryngeal paresis
• loss of pain and temperature on right half of the face and left half
of the body
Wallenberg Syndrome
• Occlusion of posterior inferior cerebellar artery
• Relatively common cause of central vertigo
• Associated Symptoms:
• nausea
• Vomiting
• Nystagmus
• ataxia
• Horner syndrome
• palate, pharynx and laryngeal paresis
• loss of pain and temperature on ipsilateral face and contralateral body
8
9
• The brainstem, cerebellum, and peripheral labyrinths - all supplied by
the vertebrobasilar arterial system.
• Central and peripheral ischemic vertigo syndromes may
overlap
Brainstem/cerebellar infarct
• Abrupt onset
>24hrs vs minutes
Brainstem ischemia
• accompanied by other neurological signs and symptoms
• motor and sensory pathways are in close proximity to vestibular
pathways.
Cerebellar Ischemia
• vertigo as the most prominent or only symptom
• Acute-onset vertigo - MRI study to rule out cerebellar infarction.
• Oculomotor testing can show:
1- Pure unidirectional nystagmus
2- Direction-changing gaze evoked nystagmus
3- Impaired smooth pursuit
4- Overshooting saccades
Management
Thrombolysis
Antiplatelets
Physiotherapy
Occupational
therapy
Cerebellar Hemorrhage
• Neurosurgical emergency
• Suspected in any patient with sudden onset headache, vertigo, vomiting and
ataxia
• May have gaze preference
• Motor-sensory exam usually normal
• Gait disturbance often not recognized because patient appears too ill to
move
24
Patients who are at risk for deterioration
• Admission systolic blood pressure greater than 200 mm Hg
• Pinpoint pupils and abnormal corneal and oculocephalic reflexes
• Hemorrhage extending into the cerebellar vermis
• Hematoma diameter greater than 30 mm
• Brainstem distortion
• Intraventricular hemorrhage
• Acute hydrocephalus
• Emergency management
• Oxygen support – Endotracheal intubation if necessary
• Atropine – bradycardia 2° to Cushing’s Reflex
• Surgical management
Sub-clavian Steal Syndrome
• Rare, but treatable
• Arm exercise on side of stenotic subclavian artery usually causes symptoms of
intermittent claudication
• Blood is shunted into the ipsilateral upper limb by the vertebral artery into the
subclavian artery from the opposite vertebral artery and basilar artery.
• Hence the brainstem suffers from ischaemia
28
Multiple Sclerosis
• Subacute onset
• Duration - Minutes-wks
• 5% of patients with MS report vertigo as an initial symptom.
• Vertigo may be rotatory with a positional component
• Diplopia, facial paraesthesia and weakness may co-exist
• 0ccasionally patients show typical peripheral vestibular nystagmus
- The lesion affects the root entry zone of the vestibular nerve.
Eye signs in MS patients with vertigo :-
• Nystagmus
• Internuclear ophthalmoplegia is characteristic
• Abnormal saccades
• Impaired pursuit
• Impaired convergence
Treatment
Chronic
Disease:-
• Interferon β-1α
• Glatrimer Acetate
• Mitoxantrone
• Fingolamide
Acute attacks :-
• High dose
corticosteroids –
Methyl
prednisolone
• Plasmapharesis
Cranio Vertebral Junction Anomalies
I. Bony Anomalies
A. Major Anomalies
1. Platybasia
2. Occipitalization
3. Basilar Invagination
4. Dens Dysplasia
5. Atlanto- axial dis.
B. Minor Anomalies
1. Dysplasia of Atlas
2. Dysplasia of
occipital condyles,
clivus, etc.
II. Soft Tissue anomalies
1. Arnold-Chiari Malformation
2. Syringomyelia/ Syringobulbia
Chiari malformation
• The brainstem and cerebellum are elongated downward into the
cervical canal - pressure on both the caudal midline cerebellum and
the cervicomedullary junction.
• Spontaneous or positional downbeat nystagmus
• central nystagmus can also occur.
• Dysphagia, hoarseness, and dysarthria - stretching of the lower
cranial nerves
• obstructive hydrocephalus - occlusion of the basilar cisterns.
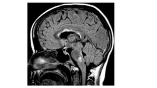
• Sagittal and coronal MRI images of Chiari type I malformation.
• descent of cerebellar tonsils (T) below the level of foramen magnum (white line) down to the level of C1 posterior arch (asterisk).
Management
Duraplasty with pericranial graft
• The duraplasty - additional room for
cerebellar tonsils at the craniocervical
junction, while achieving closure of
dura and prevention of cerebrospinal
fluid leak.
Central Nervous System Tumors
• The most common -gliomas in adults and medulloblastoma in
children.
• Ocular motor dysfunction (impaired smooth pursuit, overshooting
saccades), impaired coordination, and other central nervous system
• An early finding - central positional nystagmus.
Acoustic Neuroma
• Peripheral Vertigo With Central Manifestations
• Tumor Of The Schwann Cells Around The 8th Cn
• Vertigo With Hearing Loss And Tinnitus
• Earliest Sign Is Decreased Corneal Reflex
• Later Truncal Ataxia
41
Neurodegenerative disorder
• Onset - Spontaneous or positionally triggered
• Parkinsonism
• Progressive supranuclear palsy
• Multi-system atrophy
• spinocerebellar ataxia involving cerebellum and brainstem.
Epilepsy
• Vestibular symptoms are common with focal seizures, particularly those
originating from the temporal and parietal lobes.
• The key to differentiate vertigo with seizures from other causes of vertigo -
association of seizures with an altered level of consciousness.
• Episodic vertigo as an isolated manifestation of a focal seizure is a rarity, if
it occurs at all.
Familial ataxia syndromes
• Onset - Acute-subacute, episodic type with stress, exercise
• Duration - hours
• Vestibular symptoms and signs –
• spinocerebellar ataxia types 1, 2, 3, 6, and 7
• Friedreich's ataxia
• Refsum's disease
• episodic ataxia (EA) types 2, 3, 4, and 5
• The positional vertigo and nystagmus can be the initial symptom
• the symptoms are slowly progressive, with the cerebellar ataxia and
incoordination later overshadowing the vestibular symptoms.
• Attacks of vertigo may occur in up to half of patients with SCA6 many
of which are positionally triggered
• Persistent down-beating nystagmus often is seen in patients placed in
the head-hanging position
Management
• no known cure for spinocerebellar ataxia
• directed towards alleviating symptoms
• Physical therapy
Basilar Migraine
• heterogeneous genetic disorder characterized by headaches in addition to many other
neurological symptoms
• Benign recurrent vertigo may be considered as a migraine equivalent
• Onset - With typical migraine triggers
• Duration from hours to days
• + family history
• Normal neurological exam
• No progressive hearing loss
• Some patients - auditory symptoms similar to Meniere's disease, and
a mild hearing loss also may be evident on the audiogram
• The key factor distinguishing between migraine and Meniere's disease
is the lack of progressive unilateral hearing loss
• Positional vertigo also may occur in patients with migraine
• diagnosis of migraine-associated dizziness remains one of exclusion
References
1. Bradley: Neurology in Clinical Practice, 5th ed.
2. Adams and Victors Priniciples of Neurology , 9th ed.
3. Harrison's Principles of Internal Medicine, 18th ed.
4. Practical Neurology, 3rd Edition

Central vertigo

  • 1.
  • 2.
    Central vertigo • causedby dysfunction of central structures that process sensory input from the inner ear.
  • 3.
    CASE SCENARIO A 60yr old gentleman was brought to the casualty with complaints of • sudden onset of dizziness with him feeling the perception of the surroundings revolving about him of two hours duration • nausea and vomiting at the time of onset • had difficulty in sitting up in the bed and had to be given support to go to the bathroom • He is a known hypertensive and diabetic
  • 4.
    • On examinationhe had :- • Nystagmus • Motor ataxia – Towards the right side • Right palate, pharynx and laryngeal paresis • loss of pain and temperature on right half of the face and left half of the body
  • 8.
    Wallenberg Syndrome • Occlusionof posterior inferior cerebellar artery • Relatively common cause of central vertigo • Associated Symptoms: • nausea • Vomiting • Nystagmus • ataxia • Horner syndrome • palate, pharynx and laryngeal paresis • loss of pain and temperature on ipsilateral face and contralateral body 8
  • 9.
  • 12.
    • The brainstem,cerebellum, and peripheral labyrinths - all supplied by the vertebrobasilar arterial system. • Central and peripheral ischemic vertigo syndromes may overlap
  • 18.
    Brainstem/cerebellar infarct • Abruptonset >24hrs vs minutes Brainstem ischemia • accompanied by other neurological signs and symptoms • motor and sensory pathways are in close proximity to vestibular pathways.
  • 19.
    Cerebellar Ischemia • vertigoas the most prominent or only symptom • Acute-onset vertigo - MRI study to rule out cerebellar infarction.
  • 20.
    • Oculomotor testingcan show: 1- Pure unidirectional nystagmus 2- Direction-changing gaze evoked nystagmus 3- Impaired smooth pursuit 4- Overshooting saccades
  • 23.
  • 24.
    Cerebellar Hemorrhage • Neurosurgicalemergency • Suspected in any patient with sudden onset headache, vertigo, vomiting and ataxia • May have gaze preference • Motor-sensory exam usually normal • Gait disturbance often not recognized because patient appears too ill to move 24
  • 26.
    Patients who areat risk for deterioration • Admission systolic blood pressure greater than 200 mm Hg • Pinpoint pupils and abnormal corneal and oculocephalic reflexes • Hemorrhage extending into the cerebellar vermis • Hematoma diameter greater than 30 mm • Brainstem distortion • Intraventricular hemorrhage • Acute hydrocephalus
  • 27.
    • Emergency management •Oxygen support – Endotracheal intubation if necessary • Atropine – bradycardia 2° to Cushing’s Reflex • Surgical management
  • 28.
    Sub-clavian Steal Syndrome •Rare, but treatable • Arm exercise on side of stenotic subclavian artery usually causes symptoms of intermittent claudication • Blood is shunted into the ipsilateral upper limb by the vertebral artery into the subclavian artery from the opposite vertebral artery and basilar artery. • Hence the brainstem suffers from ischaemia 28
  • 29.
    Multiple Sclerosis • Subacuteonset • Duration - Minutes-wks • 5% of patients with MS report vertigo as an initial symptom. • Vertigo may be rotatory with a positional component • Diplopia, facial paraesthesia and weakness may co-exist • 0ccasionally patients show typical peripheral vestibular nystagmus - The lesion affects the root entry zone of the vestibular nerve.
  • 30.
    Eye signs inMS patients with vertigo :- • Nystagmus • Internuclear ophthalmoplegia is characteristic • Abnormal saccades • Impaired pursuit • Impaired convergence
  • 33.
    Treatment Chronic Disease:- • Interferon β-1α •Glatrimer Acetate • Mitoxantrone • Fingolamide Acute attacks :- • High dose corticosteroids – Methyl prednisolone • Plasmapharesis
  • 34.
    Cranio Vertebral JunctionAnomalies I. Bony Anomalies A. Major Anomalies 1. Platybasia 2. Occipitalization 3. Basilar Invagination 4. Dens Dysplasia 5. Atlanto- axial dis. B. Minor Anomalies 1. Dysplasia of Atlas 2. Dysplasia of occipital condyles, clivus, etc. II. Soft Tissue anomalies 1. Arnold-Chiari Malformation 2. Syringomyelia/ Syringobulbia
  • 35.
    Chiari malformation • Thebrainstem and cerebellum are elongated downward into the cervical canal - pressure on both the caudal midline cerebellum and the cervicomedullary junction. • Spontaneous or positional downbeat nystagmus • central nystagmus can also occur.
  • 36.
    • Dysphagia, hoarseness,and dysarthria - stretching of the lower cranial nerves • obstructive hydrocephalus - occlusion of the basilar cisterns.
  • 37.
    • Sagittal andcoronal MRI images of Chiari type I malformation. • descent of cerebellar tonsils (T) below the level of foramen magnum (white line) down to the level of C1 posterior arch (asterisk).
  • 38.
    Management Duraplasty with pericranialgraft • The duraplasty - additional room for cerebellar tonsils at the craniocervical junction, while achieving closure of dura and prevention of cerebrospinal fluid leak.
  • 40.
    Central Nervous SystemTumors • The most common -gliomas in adults and medulloblastoma in children. • Ocular motor dysfunction (impaired smooth pursuit, overshooting saccades), impaired coordination, and other central nervous system • An early finding - central positional nystagmus.
  • 41.
    Acoustic Neuroma • PeripheralVertigo With Central Manifestations • Tumor Of The Schwann Cells Around The 8th Cn • Vertigo With Hearing Loss And Tinnitus • Earliest Sign Is Decreased Corneal Reflex • Later Truncal Ataxia 41
  • 42.
    Neurodegenerative disorder • Onset- Spontaneous or positionally triggered • Parkinsonism • Progressive supranuclear palsy • Multi-system atrophy • spinocerebellar ataxia involving cerebellum and brainstem.
  • 43.
    Epilepsy • Vestibular symptomsare common with focal seizures, particularly those originating from the temporal and parietal lobes. • The key to differentiate vertigo with seizures from other causes of vertigo - association of seizures with an altered level of consciousness. • Episodic vertigo as an isolated manifestation of a focal seizure is a rarity, if it occurs at all.
  • 44.
    Familial ataxia syndromes •Onset - Acute-subacute, episodic type with stress, exercise • Duration - hours • Vestibular symptoms and signs – • spinocerebellar ataxia types 1, 2, 3, 6, and 7 • Friedreich's ataxia • Refsum's disease • episodic ataxia (EA) types 2, 3, 4, and 5
  • 45.
    • The positionalvertigo and nystagmus can be the initial symptom • the symptoms are slowly progressive, with the cerebellar ataxia and incoordination later overshadowing the vestibular symptoms. • Attacks of vertigo may occur in up to half of patients with SCA6 many of which are positionally triggered • Persistent down-beating nystagmus often is seen in patients placed in the head-hanging position
  • 47.
    Management • no knowncure for spinocerebellar ataxia • directed towards alleviating symptoms • Physical therapy
  • 48.
    Basilar Migraine • heterogeneousgenetic disorder characterized by headaches in addition to many other neurological symptoms • Benign recurrent vertigo may be considered as a migraine equivalent • Onset - With typical migraine triggers • Duration from hours to days • + family history • Normal neurological exam • No progressive hearing loss
  • 49.
    • Some patients- auditory symptoms similar to Meniere's disease, and a mild hearing loss also may be evident on the audiogram • The key factor distinguishing between migraine and Meniere's disease is the lack of progressive unilateral hearing loss • Positional vertigo also may occur in patients with migraine • diagnosis of migraine-associated dizziness remains one of exclusion
  • 50.
    References 1. Bradley: Neurologyin Clinical Practice, 5th ed. 2. Adams and Victors Priniciples of Neurology , 9th ed. 3. Harrison's Principles of Internal Medicine, 18th ed. 4. Practical Neurology, 3rd Edition

Editor's Notes

  • #3 The maintenance of the sense of balance and spatial orientation depends on input from the vestibular labyrinth, visual system, and proprioceptive nerves arising from tendons, muscles, and joints.
  • #6 Post concussive syndromes
  • #7 HERE THE PATIENT EXHIBITED A LEFT SIDED GAZE EVOKED NYSTAGMUS
  • #9 For physicians in medicine setup
  • #12 Phenytoin toxicity
  • #14 Midbrain – pons – medulla = brainstem cerebellum
  • #20 CT scans of the posterior fossa are not sensitive for excluding ischemia
  • #21 (the patient looks to the left and has left-beating nystagmus, then looks to the right and has right-beating nystagmus);
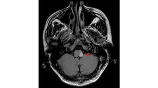
  • #22 Increased T2-weighted magnetic resonance imaging signal of medial aspect of lower left cerebellar hemisphere and left side of lower vermis. MRI allows better resolution an haence MRI is preferred over CT scan for imaging lesions in the posterior fossa.
  • #23 Focal narrowing of the lower cervical segment of the left vertebral artery
  • #24 Rtpa Salicylates – aspirin Thienopyridenes – clopidogrel and prasugrel
  • #26 MRI of a patient with an acute cerebellar hemorrhage less than 24 hours after presentation.
  • #27 St Louis et al list clinical and CT findings that may identify.[8]
  • #28 increased blood pressure, ALTERED breathing, and a reduction of the heart rate
  • #29 Stent and balloon angioplasty R/O Cervical rib Takayasu's arteritis and manage accordingly with surgery or steroids respectively
  • #31 in unilateral lesion amplitude of the nystagmus becomes more when the patient looks to the opposite side of lesion
  • #32 manifests as partial or absent movement of the adducting eye and coarse nystagmus of the abducting eye with attempted lateral gaze. right internuclear ophthalmoplegia, caused by injury of the right medial longitudinal fasciculus.
  • #33 MRI of the brain identifies white matter lesions in approximately 95% of patients with MS The key to the diagnosis - to find lesions disseminated in time and space within the nervous system.
  • #37 can result from
  • #38 MRI is the procedure of choice for identifying Chiari malformations; midline sagittal sections clearly show the level of the cerebellar tonsils.
  • #39 provides
  • #40 Resolution of syringomyelia (asterisk) after decompression of Chiari I malformation (white arrow).
  • #42 With Tumor Enlargement, It Encroaches On The Cerebellopontine Angle Causing Neurologic Signs
  • #43 Dizziness in these patients often better clarified as imbalance Positional downbeat nystagmus -
  • #44 Management is via anticonvulsants with sodium valproate being the preferred drug
  • #45 Friedrich = nerbe degenration 2ary trinucleotide expansion, muscle, heart, db
  • #49 Seconds to days- onset
  • #51 With this I would like to conclude my segment and hand over the rostrum to the next speaker