Topics: Fibrous Dysplasia, Cemento-Osseus Dysplasia
Submitted By: Pooja Chaturvedi
Bone Physiology
Bone is a connective tissue
composed of ground substance,
cells and fibers.
Classification
A). Based on Morphology:
Long
bones
e.g. upper
and lower
limbs;
Have
marrow
cavity filled
with yellow
marrow
Short
bones
e.g. carpels
and tarsals;
Have
marrow but
lack marrow
cavity
Flat
bones
e.g. skull
and facial
bones;
Spongy
bone is
present
between
upper &
lower
layer of
compact
bone
Irregular
bones
e.g. sphenoid
and ethmoid;
Spongy bone
covered with a
thin layer of
compact bone
and has
marrow
without any
marrow cavity
Sesamoid
bones
e.g. patella;
Develop in areas
of pressure or
tension
Morphologic classification :
a. Long bones
b. Short bones
c. Irregular bones
d. Flat bones
B). Based on Development:
Endochondral
Replacement of hyaline
cartilage with bony
tissue.
e.g. bones of trunk and
extremities
Intramembranous
Replacement of sheet
like connective tissue
with bony tissue
e.g. cranial & facial flat
bones of skull, mandible
and clavicle
C). Based on Microscopic Structure:
Mature Bone Immature Bone
-first formed bone
-rarely seen after
birth
-seen in alveolar
bone & during
healing of fractures.
Compact/Lam
ellar/Cortical
Bone
-well formed
concentric
lamellae around
haversian canal
Cancellous/Spongy/Trab
ecular Bone:
-irregular bony spikules
called ‘Trabeculae’ around
marrow spaces.
Compact bone v/s Spongy bone
Composition
• Mineral Content
• Hydroxyapatite crystals with
carbonate content & low Ca/P
ratio.
• Bone crystals as ‘leaf like’
structures aligned parallel to
collagen fibres.
• Narrow gaps between crystals
is associated with water and
organic macromolecules.
• Organic Content
• Mainly type I collagen
• Also type V
• Alveolar bone = type I + type
III + type V + type XII
collagen
• Sharpeys fibres contain type
III with type I collagen
• Type III & type XII are
produced by fibroblasts during
production of periodontal
ligament.
• Type I, V and XII are
expressed by osteoclasts.
Non Collagenous Proteins
1). Osteocalcin:
-Has amino acid – gamma carboxy glutamic acid
-Demonstrated in alveolar bone
-Carboxy terminal is chemo-attractant to osteoclasts precursors.
2). Osteopontin:
-Present in alveolar bone
-Heavily glycosylated & phosphorylated
-Aspartate is predominant
-Inhibits hydroxyapatite crystal growth
3). Bone Sialoprotein:
-Glutamic acid is predominant
-Initiation of mineral crystal formation
4).Osteonectin:
-Calcium binding glycoprotein
Bone Histology
• Periosteum
• Endosteum
• Circumferential lamellae
• Concentric lamellae
• Haversian canal
• Haversian canal + Concentric Lamellae = OSTEON
• Reversal Line: sharply delineated by cement lines which is highly
basophilic(due to rich content of glycoproteins & proteoglycans) and marks
the limit of bone erosion prior to osteon formation.
• Resting Line
• Volksmann canal connects the osteons and the periosteum.
• Lacunae containing osteocytes at the junction of lamellae
• Canaliculi radiating from lacunae; helps in exchange of nutrients and
wastes between lacunae (osteocytes).
• Interstitial lamellae: present between osteons; remnants of osteon, left
behind during remodelling.
Fibrocollagenous layer
(outer)
Inner layer with bone cells with rich
vascular supply
Histopathology of bone
Fibrous Dysplasia
Skeletal developmental anomaly of
the bone forming mesenchyme
that manifests as a defect in
osteoblastic differentiation &
maturation.
• Non heridetary disorder of unknown cause.
• Can occur in any part of the skeleton but the
bones of skull, thigh, ribs, upper arms and pelvis
are most commonly involved.
• It is not a form of cancer.
• Most lesions are monostotic, asymptomatic &
identified incidentally & can be treated with
clinical observation.
Etiology
• Post zygotic mutation in GNAS 1 gene(20q.13.2)
• GNAS 1(Guanine Nucleotide Binding Protein- alpha
stimulating activity polypeptide)gene encodes a G-
protein that stimulates the production of cAMP.
• Continuous activation of G-protein leading to over
production cAMP in the affected tissues.
• Hyperfunctioning of the affected endocrine organs.
• Leading to
i. Precocious puberty
ii. Hyperthyroidism
iii. GH & cortisol overproduction
iv. Increased proliferation of melanocytes resulting in
large Cafe-au-lait spots with irregular margins.
v. cAMP affects the differentiation of osteoblasts leading
to fibrous dysplasia
Pathophysiology
• Medullary bone is replaced by fibrous tissue which
appears radiolucent on radiographs-”Ground Glass
Appearance ”.
• Trabeculae of woven bone contains fluid filled cysts that
are embedded largely in collagenous fibrous matrix.
• Bony trabeculae are abnormally thin & irregular & often
described as “Chinese Characters”
.
• Fibrous Dyspalsia is characterised by “Shepherd’s
Crook” deformity which refers to coxa varus angulation
of proximal femur.
• Cause of transformation is not completely known,
however levels of transcription factor C-fos are raised
which leads to gene over expression & tumor formation.
Types
• Monostotic: Involvement of a single bone.
• Polyostotic: Many bones are involved.
Most severe form is McCune Albright
Syndrome
Clinical Features
• Four disease patterns are recognised:
i. Monostotic
ii. Polyostotic
iii. Craniofacial form
iv. Cherubism
Age : 3-15 years
2/3 of patients with polyostotic disease are asymptomatic before
they are aged 10 years.
Monostotic patients as old as 20-30 years are asymptomatic.
Males and females are equally affected.
Clinical findings of increasing pain & an enlarging soft tissue
mass suggest malignant change.
Monostotic Fibrous Dysplasia
70-80% of the lesions.
Most frequently occurs in the ribs(28%),
femur(23%) and humerous in decreasing order of
frequency.
The clinical term ‘Leontiasis Ossea’ has often been
applied to cases of fibrous dysplasia which affect the
maxilla or facial bones & give the patient a leonine
appearance.
Clinical Features
• Age: children & young adults.
• Sex: equally affects males &
females
• Painless swelling or bulging of
jaws.
(usually involves labial/buccal
plate; when it involves
mandible, sometimes it causes a
protruberant excrescence of
inferior border)
• Malalignment, tipping of teeth
due to progressive expansile
nature of lesion & tenderness
may develop.
• Malocclusion
• Mucosa over the lesion is
invariably intact.
(Fibrous Dysplasia of maxilla is
a serious form of disease since it
has marked predilection for
occurrence in children & is
impossible to eradicate without
radical, mutilating surgery).
• lesions extend locally to involve
maxillary sinus, zygomatic
process & floor of orbit & base of
skull.
• Bulging of canine fossa
• Extreme prominence of
zygomatic process
• Marked facial deformity
Radiographic Features
• Has 3 basic patterns:
i. Small, unilocular/large, multilocular with well
circumscribed border containing a network of fine
bony trabeculae.
ii. Increased trabeculations render the lesion more
opaque-Mottled Appearance
iii. Many delicate trabeculations-Ground Glass or peau
d’ orange appearance; it is not well circumscribed
and blends into adjacent normal bone.
• In all types, cortical plate is thinned because of
expansile nature of growth.
Monostotic Fibrous Dysplasia showing
ground glass appearance
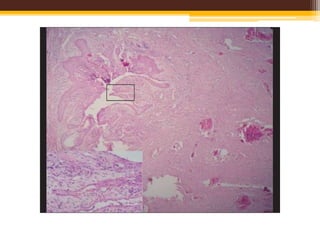
Histopatholgy
• Lesion is fibrous composed of proliferating
fibroblasts in compact stroma of interlacing
collagen fibres.
• Irregular bony trabeculae are scattered
throughout the lesion without any definite
pattern- ‘Chinese Character’ shaped.
• Trabeculae are of coarse, woven bone.
Treatment
• Surgical removal of lesion.
• Lesions with type III radiographic findings
should be block resected.
• Malignant transformation into osteosarcoma.
Mc Cune Albright Syndrome
or
Polyostotic Fibrous Dysplasia
Defined as association of polyostotic
fibrous dysplasia, precocious puberty,
café-au-lait spots & other
endocrinopathies due to hyperactivity
various endocrine glands.
Etiology
• Post zygotic activation mutation of GS alpha
gene in affected tissues.
• GS alpha subunit is a component of G-protein
complex, which couples hormone receptors to
Adenylyl Cyclase (intracellular second
messenger) in a submembrane site.
Clinical Features
• Precocious puberty associated with the condition is gonadotrophin-
independent.
• Acromegaly
• Gonadotrophin-McCune Albright Syndrome
• Hyperprolactinemia
• Some severely affected patients may present with associated
hepatic, cardiac and GI dysfunction.
• Cutaneous pigmentation is the most common extraskeletal
manifestation & is ipsilateral to side of bony lesions.
• Café-au-lait spots are related to amount of melanin in basal cells
of epidermis.
• Pigmentation may occur at birth & may precede the development of
skeletal & endocrine abnormalities.
Café-au-lait spots
Laboratory Findings
• Serum alkaline phosphatase level is elevated.
• Premature secretion of pituitary follicle
stimulating hormone.
• Moderately elevated basal metabolic rate.
Histopathology
• Areas of fibrous metaplasia within flat and tubular
bones.
• Progressively expanding fibrous lesion of bone
forming mesenchyme.
• Concentric expansion in an outward direction within
the medullary bone.
• Well-defined, non-encapsulated.
• Lesions are rich in spindle shaped fibroblasts with a
swirled appearance within the marrow space.
Treatment
• Mild cases: surgical radiation
• Severe cases: X-ray radiation
• Prognosis depends on the degree of skeletal
involvement.
• Malignant transformation into osteosarcoma
can also occur.
Cemento-Osseous Dysplasia
or
Osseus Dysplasia
Most common fibro-osseous lesion
which occurs in tooth bearing
areas of the jaws.
Pathogenesis
• Periodontal origin; or
• Defect in extraligamentary bone remodelling
that maybe triggered by local factors or possibly
by hormonal imbalance.
Types
• Based on clinical and radiographic features, it is
divided into three groups:
i. Focal cemento-osseus dysplasia
ii. Periapical cemento-osseus dysplasia
iii. Florid cemento-osseus dysplasia
Focal Cemento-Osseus Dysplasia
• Exhibits a single site of involvement.
• Most commonly in black females with a
predilection for 3-6 decade.
• Posterior mandible is the commonest site.
• Usually asymptomatic with a positive vitality
test of the affected teeth.
• Most of the lesions are smaller than 1.5cm in
diameter.
Radiographic Features
• Lesions vary from being completely radiolucent to
densely radiopaque with a thin peripheral
radiolucent rim.
• Most common is a mixed radiolucent and
radiopaque pattern.
• Well defined lesion with a slightly irregular border.
• Occurs in both dentulous and edentulous areas.
Focal cemento-osseus dysplasia
Periapical Cemento-Osseus Lesions
• Also called as ‘Cementoma’,
‘Fibrocementoma’, ‘Periapical Fibro
Osteoma’.
• Teeth associated with lesion is invariably vital.
• Involves periapical region of anterior mandible.
• Generally occurs between 30-50 yrs of age.
Radiographic Features
• Early lesions appear as circumscribed areas of
radiolucency involving periapical areas of tooth.
• Mature lesions create a mixed radiolucent and a
radiopaque appearance.
• Periodontal ligament is intact.
• There is no fusion to the teeth.
Periapical cemento-osseus dysplasia
Florid Cemento-Osseus Lesions
• Most clinically extensive form of cemento-osseus dysplasia,
thus the term – ‘Florid’.
• Common in black females with marked predilection for
middle aged to older adults.
• Multifocal involvement, not limited to anterior areas.
• May involve all the 4 quadrants.
• Asymptomatic.
• Dull pain and an alveolar sinus tract maybe present.
• Some degree of expansion maybe seen.
• Bilateral and symmetric involvement.
Radiographic Features
• Initially, lesion is predominantly radiolucent,
with time, becomes mixed and then
predominantly radiopaque with a thin
peripheral rim.
• Maybe totally radiopaque and blend with
adjacent normal appearing bone.
• Both, edentulous and dentulous areas are
affected.
Florid cemento-osseus dysplasia
Histopathology
• All 3 variants present a similar histopathologic picture.
• Tissue consist of fragments of cellular mesenchyme
composed of spindle shaped fibroblasts and collagen fibres
with numerous blood vessels.
• Free hemorrhage is typically noted interspersed
throughout the lesion.
• Within the fibrous connective tissue background is a
mixture of woven bone, lamellar bone & cementum like
particles.
• As the lesions mature and become more sclerotic, the ratio
of fibrous connective tissue to mineralised material
decreases.
• With maturation, the bony trabeculae become thick,
curvilinear structures that have been said to resemble the
shape of ‘ginger roots’.
Treatment
• For asymptomatic patients: regular recall
examinations with prophylaxis and
reinforcement of good home hygiene care.
• For symptomatic patients:
• Antibiotics
• Sequestration of sclerotic cement like masses
and is followed by healing.
• Saucerisation of dead bone.

Bone pathology

  • 1.
    Topics: Fibrous Dysplasia,Cemento-Osseus Dysplasia Submitted By: Pooja Chaturvedi
  • 2.
    Bone Physiology Bone isa connective tissue composed of ground substance, cells and fibers.
  • 3.
    Classification A). Based onMorphology: Long bones e.g. upper and lower limbs; Have marrow cavity filled with yellow marrow Short bones e.g. carpels and tarsals; Have marrow but lack marrow cavity Flat bones e.g. skull and facial bones; Spongy bone is present between upper & lower layer of compact bone Irregular bones e.g. sphenoid and ethmoid; Spongy bone covered with a thin layer of compact bone and has marrow without any marrow cavity Sesamoid bones e.g. patella; Develop in areas of pressure or tension
  • 4.
    Morphologic classification : a.Long bones b. Short bones c. Irregular bones d. Flat bones
  • 5.
    B). Based onDevelopment: Endochondral Replacement of hyaline cartilage with bony tissue. e.g. bones of trunk and extremities Intramembranous Replacement of sheet like connective tissue with bony tissue e.g. cranial & facial flat bones of skull, mandible and clavicle
  • 7.
    C). Based onMicroscopic Structure: Mature Bone Immature Bone -first formed bone -rarely seen after birth -seen in alveolar bone & during healing of fractures. Compact/Lam ellar/Cortical Bone -well formed concentric lamellae around haversian canal Cancellous/Spongy/Trab ecular Bone: -irregular bony spikules called ‘Trabeculae’ around marrow spaces.
  • 8.
    Compact bone v/sSpongy bone
  • 10.
    Composition • Mineral Content •Hydroxyapatite crystals with carbonate content & low Ca/P ratio. • Bone crystals as ‘leaf like’ structures aligned parallel to collagen fibres. • Narrow gaps between crystals is associated with water and organic macromolecules. • Organic Content • Mainly type I collagen • Also type V • Alveolar bone = type I + type III + type V + type XII collagen • Sharpeys fibres contain type III with type I collagen • Type III & type XII are produced by fibroblasts during production of periodontal ligament. • Type I, V and XII are expressed by osteoclasts.
  • 11.
    Non Collagenous Proteins 1).Osteocalcin: -Has amino acid – gamma carboxy glutamic acid -Demonstrated in alveolar bone -Carboxy terminal is chemo-attractant to osteoclasts precursors. 2). Osteopontin: -Present in alveolar bone -Heavily glycosylated & phosphorylated -Aspartate is predominant -Inhibits hydroxyapatite crystal growth 3). Bone Sialoprotein: -Glutamic acid is predominant -Initiation of mineral crystal formation 4).Osteonectin: -Calcium binding glycoprotein
  • 12.
    Bone Histology • Periosteum •Endosteum • Circumferential lamellae • Concentric lamellae • Haversian canal • Haversian canal + Concentric Lamellae = OSTEON • Reversal Line: sharply delineated by cement lines which is highly basophilic(due to rich content of glycoproteins & proteoglycans) and marks the limit of bone erosion prior to osteon formation. • Resting Line • Volksmann canal connects the osteons and the periosteum. • Lacunae containing osteocytes at the junction of lamellae • Canaliculi radiating from lacunae; helps in exchange of nutrients and wastes between lacunae (osteocytes). • Interstitial lamellae: present between osteons; remnants of osteon, left behind during remodelling. Fibrocollagenous layer (outer) Inner layer with bone cells with rich vascular supply
  • 13.
  • 14.
    Fibrous Dysplasia Skeletal developmentalanomaly of the bone forming mesenchyme that manifests as a defect in osteoblastic differentiation & maturation.
  • 15.
    • Non heridetarydisorder of unknown cause. • Can occur in any part of the skeleton but the bones of skull, thigh, ribs, upper arms and pelvis are most commonly involved. • It is not a form of cancer. • Most lesions are monostotic, asymptomatic & identified incidentally & can be treated with clinical observation.
  • 16.
    Etiology • Post zygoticmutation in GNAS 1 gene(20q.13.2) • GNAS 1(Guanine Nucleotide Binding Protein- alpha stimulating activity polypeptide)gene encodes a G- protein that stimulates the production of cAMP. • Continuous activation of G-protein leading to over production cAMP in the affected tissues. • Hyperfunctioning of the affected endocrine organs. • Leading to i. Precocious puberty ii. Hyperthyroidism iii. GH & cortisol overproduction iv. Increased proliferation of melanocytes resulting in large Cafe-au-lait spots with irregular margins. v. cAMP affects the differentiation of osteoblasts leading to fibrous dysplasia
  • 17.
    Pathophysiology • Medullary boneis replaced by fibrous tissue which appears radiolucent on radiographs-”Ground Glass Appearance ”. • Trabeculae of woven bone contains fluid filled cysts that are embedded largely in collagenous fibrous matrix. • Bony trabeculae are abnormally thin & irregular & often described as “Chinese Characters” . • Fibrous Dyspalsia is characterised by “Shepherd’s Crook” deformity which refers to coxa varus angulation of proximal femur. • Cause of transformation is not completely known, however levels of transcription factor C-fos are raised which leads to gene over expression & tumor formation.
  • 18.
    Types • Monostotic: Involvementof a single bone. • Polyostotic: Many bones are involved. Most severe form is McCune Albright Syndrome
  • 19.
    Clinical Features • Fourdisease patterns are recognised: i. Monostotic ii. Polyostotic iii. Craniofacial form iv. Cherubism Age : 3-15 years 2/3 of patients with polyostotic disease are asymptomatic before they are aged 10 years. Monostotic patients as old as 20-30 years are asymptomatic. Males and females are equally affected. Clinical findings of increasing pain & an enlarging soft tissue mass suggest malignant change.
  • 20.
    Monostotic Fibrous Dysplasia 70-80%of the lesions. Most frequently occurs in the ribs(28%), femur(23%) and humerous in decreasing order of frequency. The clinical term ‘Leontiasis Ossea’ has often been applied to cases of fibrous dysplasia which affect the maxilla or facial bones & give the patient a leonine appearance.
  • 21.
    Clinical Features • Age:children & young adults. • Sex: equally affects males & females • Painless swelling or bulging of jaws. (usually involves labial/buccal plate; when it involves mandible, sometimes it causes a protruberant excrescence of inferior border) • Malalignment, tipping of teeth due to progressive expansile nature of lesion & tenderness may develop. • Malocclusion • Mucosa over the lesion is invariably intact. (Fibrous Dysplasia of maxilla is a serious form of disease since it has marked predilection for occurrence in children & is impossible to eradicate without radical, mutilating surgery). • lesions extend locally to involve maxillary sinus, zygomatic process & floor of orbit & base of skull. • Bulging of canine fossa • Extreme prominence of zygomatic process • Marked facial deformity
  • 22.
    Radiographic Features • Has3 basic patterns: i. Small, unilocular/large, multilocular with well circumscribed border containing a network of fine bony trabeculae. ii. Increased trabeculations render the lesion more opaque-Mottled Appearance iii. Many delicate trabeculations-Ground Glass or peau d’ orange appearance; it is not well circumscribed and blends into adjacent normal bone. • In all types, cortical plate is thinned because of expansile nature of growth.
  • 23.
    Monostotic Fibrous Dysplasiashowing ground glass appearance
  • 24.
    Histopatholgy • Lesion isfibrous composed of proliferating fibroblasts in compact stroma of interlacing collagen fibres. • Irregular bony trabeculae are scattered throughout the lesion without any definite pattern- ‘Chinese Character’ shaped. • Trabeculae are of coarse, woven bone.
  • 26.
    Treatment • Surgical removalof lesion. • Lesions with type III radiographic findings should be block resected. • Malignant transformation into osteosarcoma.
  • 27.
    Mc Cune AlbrightSyndrome or Polyostotic Fibrous Dysplasia Defined as association of polyostotic fibrous dysplasia, precocious puberty, café-au-lait spots & other endocrinopathies due to hyperactivity various endocrine glands.
  • 28.
    Etiology • Post zygoticactivation mutation of GS alpha gene in affected tissues. • GS alpha subunit is a component of G-protein complex, which couples hormone receptors to Adenylyl Cyclase (intracellular second messenger) in a submembrane site.
  • 29.
    Clinical Features • Precociouspuberty associated with the condition is gonadotrophin- independent. • Acromegaly • Gonadotrophin-McCune Albright Syndrome • Hyperprolactinemia • Some severely affected patients may present with associated hepatic, cardiac and GI dysfunction. • Cutaneous pigmentation is the most common extraskeletal manifestation & is ipsilateral to side of bony lesions. • Café-au-lait spots are related to amount of melanin in basal cells of epidermis. • Pigmentation may occur at birth & may precede the development of skeletal & endocrine abnormalities.
  • 30.
  • 31.
    Laboratory Findings • Serumalkaline phosphatase level is elevated. • Premature secretion of pituitary follicle stimulating hormone. • Moderately elevated basal metabolic rate.
  • 32.
    Histopathology • Areas offibrous metaplasia within flat and tubular bones. • Progressively expanding fibrous lesion of bone forming mesenchyme. • Concentric expansion in an outward direction within the medullary bone. • Well-defined, non-encapsulated. • Lesions are rich in spindle shaped fibroblasts with a swirled appearance within the marrow space.
  • 33.
    Treatment • Mild cases:surgical radiation • Severe cases: X-ray radiation • Prognosis depends on the degree of skeletal involvement. • Malignant transformation into osteosarcoma can also occur.
  • 34.
    Cemento-Osseous Dysplasia or Osseus Dysplasia Mostcommon fibro-osseous lesion which occurs in tooth bearing areas of the jaws.
  • 35.
    Pathogenesis • Periodontal origin;or • Defect in extraligamentary bone remodelling that maybe triggered by local factors or possibly by hormonal imbalance.
  • 36.
    Types • Based onclinical and radiographic features, it is divided into three groups: i. Focal cemento-osseus dysplasia ii. Periapical cemento-osseus dysplasia iii. Florid cemento-osseus dysplasia
  • 37.
    Focal Cemento-Osseus Dysplasia •Exhibits a single site of involvement. • Most commonly in black females with a predilection for 3-6 decade. • Posterior mandible is the commonest site. • Usually asymptomatic with a positive vitality test of the affected teeth. • Most of the lesions are smaller than 1.5cm in diameter.
  • 38.
    Radiographic Features • Lesionsvary from being completely radiolucent to densely radiopaque with a thin peripheral radiolucent rim. • Most common is a mixed radiolucent and radiopaque pattern. • Well defined lesion with a slightly irregular border. • Occurs in both dentulous and edentulous areas.
  • 39.
  • 40.
    Periapical Cemento-Osseus Lesions •Also called as ‘Cementoma’, ‘Fibrocementoma’, ‘Periapical Fibro Osteoma’. • Teeth associated with lesion is invariably vital. • Involves periapical region of anterior mandible. • Generally occurs between 30-50 yrs of age.
  • 41.
    Radiographic Features • Earlylesions appear as circumscribed areas of radiolucency involving periapical areas of tooth. • Mature lesions create a mixed radiolucent and a radiopaque appearance. • Periodontal ligament is intact. • There is no fusion to the teeth.
  • 42.
  • 43.
    Florid Cemento-Osseus Lesions •Most clinically extensive form of cemento-osseus dysplasia, thus the term – ‘Florid’. • Common in black females with marked predilection for middle aged to older adults. • Multifocal involvement, not limited to anterior areas. • May involve all the 4 quadrants. • Asymptomatic. • Dull pain and an alveolar sinus tract maybe present. • Some degree of expansion maybe seen. • Bilateral and symmetric involvement.
  • 44.
    Radiographic Features • Initially,lesion is predominantly radiolucent, with time, becomes mixed and then predominantly radiopaque with a thin peripheral rim. • Maybe totally radiopaque and blend with adjacent normal appearing bone. • Both, edentulous and dentulous areas are affected.
  • 45.
  • 46.
    Histopathology • All 3variants present a similar histopathologic picture. • Tissue consist of fragments of cellular mesenchyme composed of spindle shaped fibroblasts and collagen fibres with numerous blood vessels. • Free hemorrhage is typically noted interspersed throughout the lesion. • Within the fibrous connective tissue background is a mixture of woven bone, lamellar bone & cementum like particles. • As the lesions mature and become more sclerotic, the ratio of fibrous connective tissue to mineralised material decreases. • With maturation, the bony trabeculae become thick, curvilinear structures that have been said to resemble the shape of ‘ginger roots’.
  • 48.
    Treatment • For asymptomaticpatients: regular recall examinations with prophylaxis and reinforcement of good home hygiene care. • For symptomatic patients: • Antibiotics • Sequestration of sclerotic cement like masses and is followed by healing. • Saucerisation of dead bone.