BONES, JOINTS AND
SOFT TISSUE TUMORS
QURATULAIN MUGHAL
BATCH IV
DOCTOR OF PHYSICAL
THERAPY
ISRA UNIVERSITY
1
CONTENTS
BONES
• CONGENITAL DISORDERS
OF BONE AND CARTILAGE
• ACQUIRED DISEASES OF
BONE
• FRACTURES
• OSTEONECROSIS
• OSTEOMYELITIS
• BONE TUMORS
2
CONGENITAL DISORDERS
• also known as a congenital disease,
deformity, birth defect, or anomaly.
• It is a condition existing at or before birth
regardless of cause.
3
DYSOSTOSES:
• It is a localized problem resulting from
mesenchymal cells migration and formation of
condensation.
• May affect individual or group of bones.
• Can result from mutations in specific homeobox
genes(a DNA sequence, around 180 base pairs
long, found within genes).
4
EXAMPLES
1. APLASIA: congenital absence of digit or rib
2. FORMATION OF EXTRA BONE:
supernumerary digit or ribs
3. ABNORMAL FUSION OF BONE:
premature closure
5
6
DYSPLASIA
• Mutations that interfere with bone and cartilage
formation, growth or/and maintenance of
normal matrix
• Osteodysplasia
• Chondrodysplasia
7
CONGENITAL
DISORDERS
OF BONE
AND
CARTILAGE
• OSTEOGENESIS
IMPERFECTA
• ACHONDROPLASIA
AND
THANATOPHORIC
DWARFISM
• OSTEOPETROSIS
8
OSTEOGENESIS IMPERFECTA
• OI is also known as “brittle bone disease”
• Is actually a group of genetic disorders caused by
defective synthesis of type I collagen.
• Because type I collagen is a major component of
extracellular matrix in other parts of the body,
there are also numerous extraskeletal
manifestations(affecting skin, joints, teeth, eye
etc).
• The fundamental abnormality in all forms of OI
is too little bone, resulting in extreme fragility.
• Hearing loss and small misshapen teeth are
results of this.
9
10
ACHONDROPLASIA DWARFISM
• "without cartilage formation."
• Is the most common form of dwarfism.
• Achondroplasia is caused by a mutation in
fibroblast growth factor receptor 3 (FGFR3).
• In normal development FGFR3 has a negative
regulatory effect on bone growth. In
achondroplasia, the mutated form of the
receptor is constitutively active and this leads to
severely shortened bones.
11
12
THANATOPHORIC DWARFISM
• Thanatophoric means “ death-loving”
• is a severe skeletal disorder characterized by
extremely short limbs and folds of extra (redundant)
skin on the arms and legs.
• Other features of this condition include a narrow
chest, short ribs, underdeveloped lungs, and an
enlarged head with a large forehead and prominent,
wide-spaced eyes.
• Infants with thanatophoric dysplasia are usually
stillborn or die shortly after birth from respiratory
failure; however, a few affected individuals have
survived into childhood with extensive medical help.
13
OSTEOPETROSIS
• literally "stone bone", also known as marble
bone disease.
• Is a group of rare genetic disorders characterized
by defective osteoclast-mediated bone
resorption.
14
ACQUIRED DISEASES OF BONE
• acquired disorder is a medical condition
which develops post-fetally.
• is a non-heritable change in a function or
structure
• caused after birth by disease, injury, accident,
deliberate modification, repeated use, disuse, or
misuse, or other environmental influences.
15
ACQUIRED
DISEASES OF
BONE
• OSTEOPOROSIS
• PAGET DISEASE
• RICKETS &
OSTEOMALACIA
• HYPERPARATHYR
OIDSM
16
OSTEOPOROSIS
• Is an acquired condition characterized by
reduced bone mass, leading to bone fragility and
susceptibility to fracture.
17
PAGET DISEASE
• Also called as osteitis deformans.
• This is unique skeletal disease is characterized by
repetitive episodes of frenzied, regional osteoclastic
activity and bone resorption (osteolytic stage) , and
finally by an apparent exhaustion of cellular activity
(osteoclerotic stage).
• The net effect of this process is an gain in bone
mass; however, the newly formed bone is disordered
and weak, so the bone become enlarged and
misshapen.
• The Paget disease usually presents in mid to late
adulthood.
18
RICKETS & OSTEOMALACIA
• Both are manifestation of vitamin D deficiency
or its abnormal metabolism.
• Rickets refers to the disorders in the children,
in interferes with the deposition of bone in the
growth plates.
• Osteomalacia is the adult counterpart, in
which bone formed during the remodeling is
unmineralized, result in predisposition to
fractures.
19
HYPERPARATHYROIDSM
20
FRACTURES
• Any discontinuity in bone normal alignment.
21
OSTEONECROSIS
• also known as Avascular necrosis, Aseptic
necrosis and ischemic necrosis.
• A disease caused by reduced blood flow to bones
in the joints.
22
OSTEOMYELITIS
• inflammation of bone or bone marrow, usually
due to infection.
• subclassified on the basis of the causative
organism (pyogenic bacteria or mycobacteria).
23
PYOGENIC OSTEOMYELITIS
• Acute osteomyelitis is an inflammation of bone
caused by an infecting organism.
• Staphylococcus aureus is the most common
bacterium involved in the infection.
24
TUBERCULOUS OSTEOMYELITIS
• Tuberculous osteomyelitis of the bone is
secondary hematogenous spread from a primary
source in the lung or GI tract.
• It most commonly occurs in the vertebrae (body)
and long bones.
• Tuberculous osteomyelitis involves mainly the
thoracic and lumbar vertebrae (known as Pott
disease) followed by knee and hip.
25
BONE
TUMORS
• BONE-FORMING
TUMORS
• CARTILAGE-FORMING
TUMORS
• FIBROUS AND
FIBROOSSEOUS TUMORS
• MISCELLANEOUS BONE
TUMORS
26
27
BONE-FORMING
TUMORS
OR
OSTEOGENIC
• Osteoma
• Osteoid osteoma
• Osteoblastoma
• Osteosarcoma
1) OSTEOMA
• Seen in middle aged adults.
• Usually solitary.
• Multiple lesions are a features of Gardner
syndrome.
• SITE : Arise on or inside skull, neck & facial
bones.
• Hard
• Exophytic masses on a bone surface.
28
• Clinical course:
• Slow growing tumor
* obstruction of sinus
* produce cosmetic problems or deformites.
29
30
2)OSTEOID OSTEOMA &
3)OSTEOBLASTOMA
• Histologically identical benign tumors
• differ in size, sites & symptoms.
31
OSTEOID OSTEOMA
• Size: <2cm diameter
• Age: teens & twenties
• Site: appendicular skeleton
• Severely PAINFUL LESIONS, nocturnal,
dramatically relieved by aspirin (prostaglandin
E2 production by proliferating osteoblasts).
• Actual tumour called NIDUS.
• Surrounded by a broad zone of (sclerosis) reactive
bone formation on X-ray
32
33
OSTEOBLASTOMA
• Size: >2cm diameter
• Age: in adults
• Site: involves spine
• Painless or if painful it is dull, achy & not
responsive to salicylates
• Surrounded by a broad zone of (sclerosis)
reactive bone formation on X-ray
34
35
4) OSTEOSARCOMA
• Malignant mesenchymal tumor in which
cancerous cells produce bone matrix
called OSTEOID.
• Most common primary malignant tumor of
bones (20%)
• 75% in <20 yr
• Remaining occur in old pt. with underlying
conditions:
e.g. Paget disease, bone infarct,
previous irradiations
• Male to female ratio is 1.6:1
36
Sites
• Metaphyseal region of long bones.
• 60% occur about knee.
• 15% Hip
• 10% Shoulder
• 8% Jaw
37
SECONDARY OS
• develops following pre-existing bone
disease eg
• Paget disease,
• multiple osteochondromas,
• ch. osteomyelitis,
• infarct & fractures,
• previous irradiation.
38
RADIOGRAPHIC APPEARANCE
• Large
• Destructive
• mixed lytic
• & blastic mass
• Codman triangle.
• Sunburst appearance.
39
40
CLINICAL COURSE
• Painful enlarging masses
• Pathological fracture
• Mets to lungs, bones , brain
• Chemotherapy & limb salvage therapy
41
CARTILAGE-
FORMING TUMORS
OR
CHONDROGENIC
• Osteochondroma
• Chondroma
• Chondrosarcoma
42
OSTEOCHONDROMA
• Benign cartilage-capped outgrowth attached to
underlying bone by stalk
• Usually single
• Multiple in hereditary exostosis
• Solitary: in late adolescence & early adulthood
• Multiple : in childhood
• Male : Female ratio is 3:1
• Site : arises from metaphysis of long bones esp.
about knee.
43
• Size : 1-20cm
• Asymptomatic slow growing tumors
• Can be painful when impinge on nerve or stalk is
fractured
• Epiphyseal growth disturbances in multiple
exostosis
44
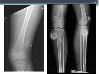
45
Osteochondroma.
Hard, smooth, nodular swelling of the distal
femur, skin and soft tissues are easily movable
and the knee joint is freely mobile.
46
CHONDROMA
• Benign tumour composed of benign hyaline
cartilage.
• ENCHONDROMA: within medullary cavity
• SUBPERIOSTEAL OR JUXTACORTICAL
CHONDROMA: Present on surface of bone
(humerus 50%)
• SOFT TISSUE CHONDROMAS.
47
ENCHONDROMA
• The most common intraosseous cartilage tumor.
• Age: 20-50 yr
• Solitary lesions
• Site : metaphyseal region of short tubular
bones of hands & feet
• OLLIER DISEASE: multiple enchondromas.
• 25% of pat with Ollier Disease dev
Chondrosarcoma
• MAFFUCCI SYNDROME: enchondromas
with soft tissue hemangiomas
• Risk of malignant trs is more in Maffucci synd.
48
MORPHOLOGY
• Size: less than 3 cm
• Gross: nodular grey blue translucent mass
• Microscopically:-
- Well circumscribed lesions.
- Hyaline matrix.
- Benign chondrocytes within lacunae.
- Ossification & calcification are frequent.
49
50
CLINICAL FEATURES
• Symptomatic,
• Painful mass,
• Pathologic fracture,
• X-RAYS: O-ring sign (well demarcated
radiolucent lesions ).
• MAFFUCCI SYNDROME: risk of developing
other malignancies
51
MULTIPLE CHONDROMAS IN OLLIER
DISEASE
52
53
CHONDROSARCOMA
• Comprises a group of trs with the common feature
being the production of neoplastic cartilage.
• 3rd most common malignant bone tumor (myeloma
& OS).
• Age 40 yr or older (adults with mature skeletons).
M: F ratio is 2:1.
• Arise in central portions of skeleton including
pelvis, shoulder, and ribs/proximal parts of
tubular bones of the limbs.
• Painful, progressive enlarging masses.
• Rarely involves the distal extremities in contrast to
enchondromas.
54
SUBTYPES OF CS
• ACCORDING TO SITE:
Intramedullary (Central)
Juxtacortical ( Surface)
Extraskeletal Soft Tissue Chondrosarcoma
(Mesencymal type).
• ACCORDING TO HISTOLOGY:
Conventional (or myxoid/hyaline CS)
Clear cell CS
Dedifferentiated CS
Mesenchymal CS
. PRIMARY (DE-NOVO)
.SECONDARY (EXOSTOSIS or OLLIERS
DISEASE).
55
FIBROUS &
FIBRO-
OSSEOUS
TUMORS
•Fibrous cortical
defect (FCD)
•Non-ossifying
fibroma (NOF)
•Fibrous
dysplasia
56
FIBROUS CORTICAL DEFECT (FCD) AND
NON-OSSIFYING FIBROMA (NOF)
• FCD are probably developmental abnormalities
rather than true neoplasms.
• Mainly 0.5 in diameter.
• Eccentrically arise in metaphysis of distal femur
and proximal tibia.
• 5-6cm develop into non-ossifying fibromas.
57
FIBROUS DYSPLASIA
• Is a benign tumor
• All component of normal bone is present, but
they fail to differentiate into mature structures.
• Fibrous dysplasia clinical pattern:
1.monostatic: involvement of single bone
2.polyststic: involvement of many bones
3.mcCune-albright syndrome: polyostotic disease
with skin pigmentation and endocrine
abnormalities specially occur in puberty.
58
MISCELLANE
OUS BONE
TUMORS
• Giant cell
tumor
• Ewing
sarcoma
59
Giant cell tumor
• GCT) is a rare, aggressive non-cancerous
(benign) tumor.
• It generally occurs in adults between the ages of
20 and 40 years.
• Giant cell tumor of bone is very rarely seen in
children or in adults older than 65 years of age.
60
61
Ewing Sarcoma
• Ewing sarcoma a highly malignant neoplasm
predominantly affecting children and
adolescents, with decisive male predominance, is
representative of the so-called round cell
tumors.
• Its precise histogenesis is unknown, but it is
generally thought that Ewing sarcoma originates
from bone marrow cells.
• Ewing sarcoma is a neurally derived small round
cell malignancy very similar to the so-called
primitive neuroectodermal tumor (PNET).
62
• all tumors of the Ewing family are characterized
by recurrent chromosomal translocations
63
JOINTS
•ARTHRITIS
•JOINT TUMORS
AND TUMOR-
LIKE LESIONS
64
65
66
67
PSORIATIC ARTHRITIS
68
69
70
JOINT TUMORS AND TUMOR-LIKE
LESIONS
• GANGLION & SYNOVIAL CYSTS:
• Are reactive tumor-like lesions
• A ganglion is a small cyst (less than 1.5cm)
• location: near a joint capsule or tendon sheath
• Common site: wrist
• Consist of fluid-filled spaces that lack a true cell
lining.
• Herniation of synovium through a joint casule or
massive enlargement of a bura can produce a
synovial cyst. EXAMPLE: baker cyst that occurs
in popliteal fossa.
71
TENOSYNOVIAL GIANT CELL TUMOR
• TGCT is a catchall term for several closely
related benign neoplasms of synovium.
• It is the most common soft tissue tumor in the
hand.
72
SOFT
TISSUE
• TUMORS OF ADIPOSE
TISSUE
• FIBROUS TUMORS AND
TUMOR-LIKE LESIONS
• FIBROHISTIOCYTIC
TUMORS
• SKELETAL MUSCLE TUMORS
• SMOOTH MUSCLE TUMORS
• SYNOVIAL SARCOMA
73
SOFT TISSUE
• Any nonepithelial tissue other than bone,
cartilage, CNS, hematopoietic, and lymphoid
tissues.
74
TUMORS OF ADIPOSE TISSUE
• LIPOMA: are benign tumors of fat
• Most common in aduts
• LIPOSARCOMA: are malignant neoplasms
with adipocytes differentiation.
75
FIBROUS TUMORS AND TUMOR-LIKE
LESIONS
• REACTIVE PROLIFERATION:
A. NODULAR FACIITIS:
• self-limited fibroblastic proliferation.
• Typically occurs in adults
• Volar aspect of forearm, chest, or back.
B. MYOSITIS OSSIFICANS:
• develops in proximal m/s of extremities.
• Common in athletic adolescents and young
adults after trauma.
76
77
C. FIBROMATOSES:
• Group of fibroblastic proliferation
• Benign tumor
• overgrowths of dermal and subcutaneous
connective tissue
• Divided into the two types:
• Superficial and deep
D. FIBROSARCOMA
• Are malignant neoplasms composed of
fibroblast
• Occurs in deep tissues: thigh, knee &
retroperitoneal area.
78
FIBROHISTIOCYTIC TUMORS
• Fibrohistiocytic tumors are composed of a
mixture of fibroblasts and phagocytic, lipid-
laden cells resembling activated tissue
macrophages(also called as histiocytes by
morphologist).
• BENIGN FIBROUS HISTIOCYTOMA:
Also called as “dermatofibroma”
Common benign lesions in adult
Mobile nodules in dermis or subcutaneous tissue
79
SKELETAL MUSCLE TUMORS
RHABDOMYOSARCOMA:
• Occur in childhood and adolescence.
• COMMON SITES: head, neck & genitourinary
tract
• Chromosomal translocation are found.
80
SMOOTH MUSCLE TUMORS
LEIOMYOMA:
• Benign SMT
• Can arise anywhere in the body
• Most common site: uterus & skin
81
SYNOVIAL SARCOMA
• Arise from recapitulate synovium
• They usually develop in deep soft tissues around
large joints of extremities.
• Due to gene translocation.
82
REFERENCES
• PATHOLOGY OF Robbins and Cotran
83
84

Bones,joints and soft tissue tumors

  • 1.
    BONES, JOINTS AND SOFTTISSUE TUMORS QURATULAIN MUGHAL BATCH IV DOCTOR OF PHYSICAL THERAPY ISRA UNIVERSITY 1
  • 2.
    CONTENTS BONES • CONGENITAL DISORDERS OFBONE AND CARTILAGE • ACQUIRED DISEASES OF BONE • FRACTURES • OSTEONECROSIS • OSTEOMYELITIS • BONE TUMORS 2
  • 3.
    CONGENITAL DISORDERS • alsoknown as a congenital disease, deformity, birth defect, or anomaly. • It is a condition existing at or before birth regardless of cause. 3
  • 4.
    DYSOSTOSES: • It isa localized problem resulting from mesenchymal cells migration and formation of condensation. • May affect individual or group of bones. • Can result from mutations in specific homeobox genes(a DNA sequence, around 180 base pairs long, found within genes). 4
  • 5.
    EXAMPLES 1. APLASIA: congenitalabsence of digit or rib 2. FORMATION OF EXTRA BONE: supernumerary digit or ribs 3. ABNORMAL FUSION OF BONE: premature closure 5
  • 6.
  • 7.
    DYSPLASIA • Mutations thatinterfere with bone and cartilage formation, growth or/and maintenance of normal matrix • Osteodysplasia • Chondrodysplasia 7
  • 8.
    CONGENITAL DISORDERS OF BONE AND CARTILAGE • OSTEOGENESIS IMPERFECTA •ACHONDROPLASIA AND THANATOPHORIC DWARFISM • OSTEOPETROSIS 8
  • 9.
    OSTEOGENESIS IMPERFECTA • OIis also known as “brittle bone disease” • Is actually a group of genetic disorders caused by defective synthesis of type I collagen. • Because type I collagen is a major component of extracellular matrix in other parts of the body, there are also numerous extraskeletal manifestations(affecting skin, joints, teeth, eye etc). • The fundamental abnormality in all forms of OI is too little bone, resulting in extreme fragility. • Hearing loss and small misshapen teeth are results of this. 9
  • 10.
  • 11.
    ACHONDROPLASIA DWARFISM • "withoutcartilage formation." • Is the most common form of dwarfism. • Achondroplasia is caused by a mutation in fibroblast growth factor receptor 3 (FGFR3). • In normal development FGFR3 has a negative regulatory effect on bone growth. In achondroplasia, the mutated form of the receptor is constitutively active and this leads to severely shortened bones. 11
  • 12.
  • 13.
    THANATOPHORIC DWARFISM • Thanatophoricmeans “ death-loving” • is a severe skeletal disorder characterized by extremely short limbs and folds of extra (redundant) skin on the arms and legs. • Other features of this condition include a narrow chest, short ribs, underdeveloped lungs, and an enlarged head with a large forehead and prominent, wide-spaced eyes. • Infants with thanatophoric dysplasia are usually stillborn or die shortly after birth from respiratory failure; however, a few affected individuals have survived into childhood with extensive medical help. 13
  • 14.
    OSTEOPETROSIS • literally "stonebone", also known as marble bone disease. • Is a group of rare genetic disorders characterized by defective osteoclast-mediated bone resorption. 14
  • 15.
    ACQUIRED DISEASES OFBONE • acquired disorder is a medical condition which develops post-fetally. • is a non-heritable change in a function or structure • caused after birth by disease, injury, accident, deliberate modification, repeated use, disuse, or misuse, or other environmental influences. 15
  • 16.
    ACQUIRED DISEASES OF BONE • OSTEOPOROSIS •PAGET DISEASE • RICKETS & OSTEOMALACIA • HYPERPARATHYR OIDSM 16
  • 17.
    OSTEOPOROSIS • Is anacquired condition characterized by reduced bone mass, leading to bone fragility and susceptibility to fracture. 17
  • 18.
    PAGET DISEASE • Alsocalled as osteitis deformans. • This is unique skeletal disease is characterized by repetitive episodes of frenzied, regional osteoclastic activity and bone resorption (osteolytic stage) , and finally by an apparent exhaustion of cellular activity (osteoclerotic stage). • The net effect of this process is an gain in bone mass; however, the newly formed bone is disordered and weak, so the bone become enlarged and misshapen. • The Paget disease usually presents in mid to late adulthood. 18
  • 19.
    RICKETS & OSTEOMALACIA •Both are manifestation of vitamin D deficiency or its abnormal metabolism. • Rickets refers to the disorders in the children, in interferes with the deposition of bone in the growth plates. • Osteomalacia is the adult counterpart, in which bone formed during the remodeling is unmineralized, result in predisposition to fractures. 19
  • 20.
  • 21.
    FRACTURES • Any discontinuityin bone normal alignment. 21
  • 22.
    OSTEONECROSIS • also knownas Avascular necrosis, Aseptic necrosis and ischemic necrosis. • A disease caused by reduced blood flow to bones in the joints. 22
  • 23.
    OSTEOMYELITIS • inflammation ofbone or bone marrow, usually due to infection. • subclassified on the basis of the causative organism (pyogenic bacteria or mycobacteria). 23
  • 24.
    PYOGENIC OSTEOMYELITIS • Acuteosteomyelitis is an inflammation of bone caused by an infecting organism. • Staphylococcus aureus is the most common bacterium involved in the infection. 24
  • 25.
    TUBERCULOUS OSTEOMYELITIS • Tuberculousosteomyelitis of the bone is secondary hematogenous spread from a primary source in the lung or GI tract. • It most commonly occurs in the vertebrae (body) and long bones. • Tuberculous osteomyelitis involves mainly the thoracic and lumbar vertebrae (known as Pott disease) followed by knee and hip. 25
  • 26.
    BONE TUMORS • BONE-FORMING TUMORS • CARTILAGE-FORMING TUMORS •FIBROUS AND FIBROOSSEOUS TUMORS • MISCELLANEOUS BONE TUMORS 26
  • 27.
    27 BONE-FORMING TUMORS OR OSTEOGENIC • Osteoma • Osteoidosteoma • Osteoblastoma • Osteosarcoma
  • 28.
    1) OSTEOMA • Seenin middle aged adults. • Usually solitary. • Multiple lesions are a features of Gardner syndrome. • SITE : Arise on or inside skull, neck & facial bones. • Hard • Exophytic masses on a bone surface. 28
  • 29.
    • Clinical course: •Slow growing tumor * obstruction of sinus * produce cosmetic problems or deformites. 29
  • 30.
  • 31.
    2)OSTEOID OSTEOMA & 3)OSTEOBLASTOMA •Histologically identical benign tumors • differ in size, sites & symptoms. 31
  • 32.
    OSTEOID OSTEOMA • Size:<2cm diameter • Age: teens & twenties • Site: appendicular skeleton • Severely PAINFUL LESIONS, nocturnal, dramatically relieved by aspirin (prostaglandin E2 production by proliferating osteoblasts). • Actual tumour called NIDUS. • Surrounded by a broad zone of (sclerosis) reactive bone formation on X-ray 32
  • 33.
  • 34.
    OSTEOBLASTOMA • Size: >2cmdiameter • Age: in adults • Site: involves spine • Painless or if painful it is dull, achy & not responsive to salicylates • Surrounded by a broad zone of (sclerosis) reactive bone formation on X-ray 34
  • 35.
  • 36.
    4) OSTEOSARCOMA • Malignantmesenchymal tumor in which cancerous cells produce bone matrix called OSTEOID. • Most common primary malignant tumor of bones (20%) • 75% in <20 yr • Remaining occur in old pt. with underlying conditions: e.g. Paget disease, bone infarct, previous irradiations • Male to female ratio is 1.6:1 36
  • 37.
    Sites • Metaphyseal regionof long bones. • 60% occur about knee. • 15% Hip • 10% Shoulder • 8% Jaw 37
  • 38.
    SECONDARY OS • developsfollowing pre-existing bone disease eg • Paget disease, • multiple osteochondromas, • ch. osteomyelitis, • infarct & fractures, • previous irradiation. 38
  • 39.
    RADIOGRAPHIC APPEARANCE • Large •Destructive • mixed lytic • & blastic mass • Codman triangle. • Sunburst appearance. 39
  • 40.
  • 41.
    CLINICAL COURSE • Painfulenlarging masses • Pathological fracture • Mets to lungs, bones , brain • Chemotherapy & limb salvage therapy 41
  • 42.
  • 43.
    OSTEOCHONDROMA • Benign cartilage-cappedoutgrowth attached to underlying bone by stalk • Usually single • Multiple in hereditary exostosis • Solitary: in late adolescence & early adulthood • Multiple : in childhood • Male : Female ratio is 3:1 • Site : arises from metaphysis of long bones esp. about knee. 43
  • 44.
    • Size :1-20cm • Asymptomatic slow growing tumors • Can be painful when impinge on nerve or stalk is fractured • Epiphyseal growth disturbances in multiple exostosis 44
  • 45.
  • 46.
    Osteochondroma. Hard, smooth, nodularswelling of the distal femur, skin and soft tissues are easily movable and the knee joint is freely mobile. 46
  • 47.
    CHONDROMA • Benign tumourcomposed of benign hyaline cartilage. • ENCHONDROMA: within medullary cavity • SUBPERIOSTEAL OR JUXTACORTICAL CHONDROMA: Present on surface of bone (humerus 50%) • SOFT TISSUE CHONDROMAS. 47
  • 48.
    ENCHONDROMA • The mostcommon intraosseous cartilage tumor. • Age: 20-50 yr • Solitary lesions • Site : metaphyseal region of short tubular bones of hands & feet • OLLIER DISEASE: multiple enchondromas. • 25% of pat with Ollier Disease dev Chondrosarcoma • MAFFUCCI SYNDROME: enchondromas with soft tissue hemangiomas • Risk of malignant trs is more in Maffucci synd. 48
  • 49.
    MORPHOLOGY • Size: lessthan 3 cm • Gross: nodular grey blue translucent mass • Microscopically:- - Well circumscribed lesions. - Hyaline matrix. - Benign chondrocytes within lacunae. - Ossification & calcification are frequent. 49
  • 50.
  • 51.
    CLINICAL FEATURES • Symptomatic, •Painful mass, • Pathologic fracture, • X-RAYS: O-ring sign (well demarcated radiolucent lesions ). • MAFFUCCI SYNDROME: risk of developing other malignancies 51
  • 52.
    MULTIPLE CHONDROMAS INOLLIER DISEASE 52
  • 53.
  • 54.
    CHONDROSARCOMA • Comprises agroup of trs with the common feature being the production of neoplastic cartilage. • 3rd most common malignant bone tumor (myeloma & OS). • Age 40 yr or older (adults with mature skeletons). M: F ratio is 2:1. • Arise in central portions of skeleton including pelvis, shoulder, and ribs/proximal parts of tubular bones of the limbs. • Painful, progressive enlarging masses. • Rarely involves the distal extremities in contrast to enchondromas. 54
  • 55.
    SUBTYPES OF CS •ACCORDING TO SITE: Intramedullary (Central) Juxtacortical ( Surface) Extraskeletal Soft Tissue Chondrosarcoma (Mesencymal type). • ACCORDING TO HISTOLOGY: Conventional (or myxoid/hyaline CS) Clear cell CS Dedifferentiated CS Mesenchymal CS . PRIMARY (DE-NOVO) .SECONDARY (EXOSTOSIS or OLLIERS DISEASE). 55
  • 56.
    FIBROUS & FIBRO- OSSEOUS TUMORS •Fibrous cortical defect(FCD) •Non-ossifying fibroma (NOF) •Fibrous dysplasia 56
  • 57.
    FIBROUS CORTICAL DEFECT(FCD) AND NON-OSSIFYING FIBROMA (NOF) • FCD are probably developmental abnormalities rather than true neoplasms. • Mainly 0.5 in diameter. • Eccentrically arise in metaphysis of distal femur and proximal tibia. • 5-6cm develop into non-ossifying fibromas. 57
  • 58.
    FIBROUS DYSPLASIA • Isa benign tumor • All component of normal bone is present, but they fail to differentiate into mature structures. • Fibrous dysplasia clinical pattern: 1.monostatic: involvement of single bone 2.polyststic: involvement of many bones 3.mcCune-albright syndrome: polyostotic disease with skin pigmentation and endocrine abnormalities specially occur in puberty. 58
  • 59.
    MISCELLANE OUS BONE TUMORS • Giantcell tumor • Ewing sarcoma 59
  • 60.
    Giant cell tumor •GCT) is a rare, aggressive non-cancerous (benign) tumor. • It generally occurs in adults between the ages of 20 and 40 years. • Giant cell tumor of bone is very rarely seen in children or in adults older than 65 years of age. 60
  • 61.
  • 62.
    Ewing Sarcoma • Ewingsarcoma a highly malignant neoplasm predominantly affecting children and adolescents, with decisive male predominance, is representative of the so-called round cell tumors. • Its precise histogenesis is unknown, but it is generally thought that Ewing sarcoma originates from bone marrow cells. • Ewing sarcoma is a neurally derived small round cell malignancy very similar to the so-called primitive neuroectodermal tumor (PNET). 62
  • 63.
    • all tumorsof the Ewing family are characterized by recurrent chromosomal translocations 63
  • 64.
  • 65.
  • 66.
  • 67.
  • 68.
  • 69.
  • 70.
  • 71.
    JOINT TUMORS ANDTUMOR-LIKE LESIONS • GANGLION & SYNOVIAL CYSTS: • Are reactive tumor-like lesions • A ganglion is a small cyst (less than 1.5cm) • location: near a joint capsule or tendon sheath • Common site: wrist • Consist of fluid-filled spaces that lack a true cell lining. • Herniation of synovium through a joint casule or massive enlargement of a bura can produce a synovial cyst. EXAMPLE: baker cyst that occurs in popliteal fossa. 71
  • 72.
    TENOSYNOVIAL GIANT CELLTUMOR • TGCT is a catchall term for several closely related benign neoplasms of synovium. • It is the most common soft tissue tumor in the hand. 72
  • 73.
    SOFT TISSUE • TUMORS OFADIPOSE TISSUE • FIBROUS TUMORS AND TUMOR-LIKE LESIONS • FIBROHISTIOCYTIC TUMORS • SKELETAL MUSCLE TUMORS • SMOOTH MUSCLE TUMORS • SYNOVIAL SARCOMA 73
  • 74.
    SOFT TISSUE • Anynonepithelial tissue other than bone, cartilage, CNS, hematopoietic, and lymphoid tissues. 74
  • 75.
    TUMORS OF ADIPOSETISSUE • LIPOMA: are benign tumors of fat • Most common in aduts • LIPOSARCOMA: are malignant neoplasms with adipocytes differentiation. 75
  • 76.
    FIBROUS TUMORS ANDTUMOR-LIKE LESIONS • REACTIVE PROLIFERATION: A. NODULAR FACIITIS: • self-limited fibroblastic proliferation. • Typically occurs in adults • Volar aspect of forearm, chest, or back. B. MYOSITIS OSSIFICANS: • develops in proximal m/s of extremities. • Common in athletic adolescents and young adults after trauma. 76
  • 77.
  • 78.
    C. FIBROMATOSES: • Groupof fibroblastic proliferation • Benign tumor • overgrowths of dermal and subcutaneous connective tissue • Divided into the two types: • Superficial and deep D. FIBROSARCOMA • Are malignant neoplasms composed of fibroblast • Occurs in deep tissues: thigh, knee & retroperitoneal area. 78
  • 79.
    FIBROHISTIOCYTIC TUMORS • Fibrohistiocytictumors are composed of a mixture of fibroblasts and phagocytic, lipid- laden cells resembling activated tissue macrophages(also called as histiocytes by morphologist). • BENIGN FIBROUS HISTIOCYTOMA: Also called as “dermatofibroma” Common benign lesions in adult Mobile nodules in dermis or subcutaneous tissue 79
  • 80.
    SKELETAL MUSCLE TUMORS RHABDOMYOSARCOMA: •Occur in childhood and adolescence. • COMMON SITES: head, neck & genitourinary tract • Chromosomal translocation are found. 80
  • 81.
    SMOOTH MUSCLE TUMORS LEIOMYOMA: •Benign SMT • Can arise anywhere in the body • Most common site: uterus & skin 81
  • 82.
    SYNOVIAL SARCOMA • Arisefrom recapitulate synovium • They usually develop in deep soft tissues around large joints of extremities. • Due to gene translocation. 82
  • 83.
    REFERENCES • PATHOLOGY OFRobbins and Cotran 83
  • 84.