AUTOIMMUNITY
DR. P TEJASWI REDDY
MBBS, MD
ASST PROF PATHOLOGY
• DEFINITION
• HISTORY
• TOLERANCE
• FACTORS INFLUENCING AUTOIMMUNITY
• AUTOIMMUNE DISEASES – CLASSIFICATION
• SYSTEMIC LUPUS ERYTHEMATOSUS
• HASHIMOTO’S THYROIDITIS
• GRAVE’S DISEASE
• RHEUMATOID ARTHRITIS
• SJOGERN SYNDROME
• PERNICIOUS ANEMIA
• AUTOIMMUNE HEMOLYTIC ANEMIA
• TYPE 1 DIABETES MELLITUS
DEFINITION
• Autoimmunity is breakdown of the immune system’s ability to discriminate
between self and nonself.
• condition in which structural or functional damage is produced by action of
immunologically competent cells or antibodies against the normal
components of the body.
• 5-7 % of adults affected, 2/3rds involving women.
• > 40 human diseases, autoimmune in origin
• 3 requirements to call it Autoimmunity :
1. The presence of an immune reaction specific for some self antigen or self
tissue.
2. Evidence that such a reaction is not secondary to tissue damage but is of
primary pathogenic significance.
3. The absence of another well-defined cause of the disease
HISTORY
• Serge Metalnikoff (1900) reported that some animals were able to form
antibodies against their own spermatozoa.
• Paul Ehrlich (1901) rejected the concept that an organism's immune
system could attack the organism's own tissue calling it "horror
autotoxicus".
• Julius Donath and Karl Landsteiner (1904)reported autoantibodies can
cause disease by showing that autoantibodies (‘hemolysins’) caused
paroxysmal cold hemoglobinuria
• Ernst Witebsky and Noel Rose (1956) were able to induce an experimental
autoimmune thyroiditismediated by autoantibodies.
• Witebsky (1957)postulated in Witebsky postulates, modified later (1994)
for placing a disorder under Autoimmune disease.
• There are three considerations :
• Direct evidence from transfer of pathogenic antibody or pathogenic T cells.
• Indirect evidence based on development of the autoimmune disease in
experimental animals.
• Conditional evidence from clinical clues, from signs and symptoms of
patient.
TOLERANCE
• Normal immune system must differentiate between self and non-self.
• Immunologic tolerance : unresponsiveness to an antigen that is induced by
exposure of specific lymphocytes to that antigen.
• tolerance, lack of responsiveness to an individual’s own antigens underlies
our ability to live in harmony with our cells and tissues.
• Autoimmunity results from the loss of self-tolerance.
Types :
• Central Tolerance.
• Peripheral Tolerance.
• Central tolerance: Immature self-reactive lymphocytes that recognize self
antigens in generative (“central”) lymphoid organs die by apoptosis;
• Peripheral tolerance: Mature self-reactive lymphocytes that recognize self
antigens in peripheral tissues are inactivated (anergy), killed (deletion) or
suppressed.
CENTRAL TOLERANCE
Immature T cells that recognize self antigens in the central (generative) lymphoid organs,
some are killed by apoptosis - Negative selection or deletion in Thymus. escape killing and
differentiate into regulatory T cells.
In the B-cell lineage, some are killed by apoptosis.
some of the self-reactive lymphocytes switch to new antigen receptors that are not self-
reactive - Receptor editing in Bone Marrow.
Deletion of self-reactive T cells in the thymus:
how are self antigens expressed in the thymus?
• Many self antigens are processed and presented by thymic APCs in
association with self MHC.
• Any immature T cell that encounters a self antigen undergoes
deletion/negative selection and the T cells that complete their maturation
are thereby depleted of self-reactive cells
• AIRE (autoimmune regulator) is a regulator of gene transcription that
stimulates thymic expression of many self antigens which are largely
restricted to peripheral tissues .
• Mutations in AIRE gene gives rise to Autoimmune Polyendocrine
Syndrome in which T cells specific for multiple self antigens escape
deletion and attack tissues expressing the self antigens.
PERIPHERAL TOLERANCE
Self-reactive T cells that escape negative selection in the
thymus can potentially wreak havoc unless they are deleted
or effectively muzzled.
PERIPHERAL TOLERANCE
• Anergy - functional inactivation of lymphocytes induced by encounter with
antigens.
• Activation of T cells requires two signals:
• Signal 1 : recognition of peptide antigen in association with self MHC
molecules on APCs.
• Signal 2 : costimulatory signals (e.g., through B7 molecules) provided by
the APCs
• Suppression by regulatory T cells - The responses of T cells to self
antigens may be actively suppressed by regulatory T cells.
• Regulatory T cells are CD4+ cells that express high levels of CD25 (IL-2
receptor a chain)
• Generated by self antigen recognition in the thymus or peripheral tissues
• Generation requires a transcription factor called Foxp3
• Activation-induced cell death - apoptosis of mature lymphocytes as a result
of self-antigen recognition.
• Stimulation of T cells by self antigen triggers apoptosis by Engagement of
death receptor Fas engaged by its ligand coexpressed on the same or
neighboring cells - Death receptor pathway.
• Mutations in the Fas gene are responsible for an autoimmune disease –
ALPS or
• Imbalanced expression of pro-apoptotic proteins - member of Bcl family
called BIM (Bcl-2-like protein 11) Mitochondrial pathway
• The factors that lead to a failure
of self-tolerance and the development of autoimmunity include :
• 1. inheritance of susceptibility - genes that
may disrupt different tolerance pathways.
• 2. infections and tissue alterations that may
expose self-antigens and activate APCs and
lymphocytes in the tissues
Genetic Factors
• There is increased expression of Class II HLA antigens on tissues involved
in autoimmunity.
• There is increased familial incidence of some forms of the autoimmune
disorders.
• There is higher incidence of autoimmune diseases in twins (monozygotic >
dizygotic) favouring genetic basis.
• Most human autoimmune diseases are associated with multiple genes.
• Genome wide association studies are revealing genetic polymorphisms
associated with autoimmune diseases
Immunological factors
• Polyclonal activation of B cells by stimuli such as infection with
microorganisms & their products bypasses T cell tolerance.
• Generation of self-reacting B cell clones bypasses T cell tolerance.
• Decreased T suppressor and increased T helper cell activity lead to high
levels of autoantibody production by B cells contributing to autoimmunity.
• Fluctuation of anti-idiotype network control may cause failure of
mechanisms of immune tolerance.
• Sequestered ‘Self-antigens’ may act as ‘foreign-antigens’ if introduced into
the circulation later
Sequestered antigens
• Certain self anigens are present in closed systems and are not accessible
to immune apparatus.
• These are known as sequestered antigens
Ag related from hidden location
• Examples of Sequestered Antigens
• Myelin basic protein (MBP), associated with MS.
• Sperm-associated antigens in some individuals following vasectomy.
• Lens and corneal proteins of the eye following infection or trauma.
• Heart muscle antigens following myocardial infarction.
Enviromental factors
• Ultraviolet (UV) radiation causes cell death and may lead to the exposure
of nuclear antigens, which elicit pathologic immune responses in lupus.
• Smoking is a risk factor for rheumatoid arthritis, perhaps because it leads
to chemical modification of self antigens.
• Strong gender bias, with many of these diseases being more common in
women > men owing to hormones and other mechanism
Role of Infections and Tissue Injury
• Molecular mimicry : Viruses and other microbes may share crossreacting
epitopes with self antigens, such that responses may be induced by the
microbe but may attack self tissues. e.g. Rheumatic heart disease.
• Microbial infections with resultant tissue necrosis and inflammation can
cause upregulation of costimulatory molecules on APCs in the tissue
favoring breakdown of T cell anergy and subsequent T cell activation.
Autoimmune Diseases
Criteria for diagnosis of autoimmune
diseases.
LABORATORY EVIDENCE
1. Presence and documentation of relevant autoantibodies in the serum
2. Demonstration of T cell reactivity to self antigen
3. Lymphocytic infiltrate in the pathologic lesion
4. Production of cytokines by helper T cells e.g. interferon,IL4
5. Evidence to support production of pathologic lesions in the tissue by
transplacental transmission
6. Transfer of an autoimmune disease to an experimental animal by
administration of autoantibodies.
CLINICAL EVIDENCE
1. Association of other autoimmune disease.
2. Improved therapeutic response to immunosuppressive agents.
3. Family history of autoimmune disease.
Systemic lupus erythematosus
• Systemic lupus erythematosus (SLE) is a multisystem autoimmune
disease of protean manifestations and variable clinical behavior.
• Clinically, it is an unpredictable, remitting and relapsing disease of acute or
insidious onset that may involve virtually any organ in the body.
• It affects principally the skin, kidneys, serosal membranes, joints, and
heart.
• Immunologically, the disease is associated with an enormous array of
autoantibodies, classically including antinuclear antibodies (ANAs).
• The clinical presentation of SLE is so variable, with so many overlapping
features with those of other autoimmune diseases (RA, polymyositis, and
others)
PATHOGENESIS of SLE
• The fundamental defect in SLE is a failure to maintain self tolerance,
leading to the production of a large number of autoantibodies that can
damage tissues either directly or in the form of immune complex deposits.
• The pathogenesis of SLE involves a combination of genetic and
environmental factors.
• Genetic susceptibility and exposure result in failure of self-tolerance and
persistence of nuclear antigens.
• Autoantibodies serve to internalize nuclear components, which engage
TLRs and stimulate IFN production.
• IFN may stimulate B and T cell responses to the nuclear antigens
• Genetic Factors
• Familial association
• Family members have an increased risk for the development of SLE.
• Up to 20% of clinically unaffected first-degree relatives may have
autoantibodies.
• Monozygotic twins (25%) > Dizygotic twins (1-3%)
• HLA association.
• The odds ratio (relative risk) for persons with HLA-DR2 or HLA-DR3 is 2 to 3,
and if both haplotypes are present, the risk is about 5.
• Other genes.
• Genetic deficiencies of classical pathway complement proteins, especially
C1q, C2, or C4, are seen in about 10% of patients with SLE
• Environmental Factors.
• Ultraviolet (UV) radiation (sun exposure) exacerbates the lesions of SLE --
> causes apoptosis of host cells,leading to an increased burden of nuclear
fragments and inflammatory responses to the products of dead cells.
• Cigarette smoking has been shown to be associated with the development
of SLE.
• Sex hormones had been thought to exert an important influence on the
development of disease.
• Drugs such as procainamide and hydralazine can induce an SLE-like
disease, by cause demethylation of DNA.
Spectrum of Autoantibodies in SLE
LE CELL PHENOMENON
• First diagnostic laboratory test described for SLE.
• Principle :ANAs cannot penetrate the intact cells and thus cell nuclei
should be exposed to bind them with the ANAs resulting in homogeneous
mass of nuclear chromatin material.
• LE cell is a phagocytic leucocyte, commonly poly morphonuclear
neutrophil, and sometimes a monocyte, which engulfs the homogeneous
nuclear material of the injured cell.
Morphology of major lesions in SLE
Blood Vessels.
• An acute necrotizing vasculitis affecting small arteries and arterioles may be present in
any tissue.
Kidneys.
• Diffuse lupus nephritis (class IV) is the most serious form of renal lesions in SLE and is
also the most commonly encountered in renal biopsies, occurring in 35% to 60% of
patients.
Skin Lesions
• A characteristic erythematous or maculopapular eruption over the malareminences and
bridge of the nose (“butterfly pattern”) is observed in approximately half of the cases.
• Exposure to sunlight (UV light) exacerbates the erythema (so-called photosensitivity),
and a similar rash may be present elsewhere on the extremities and trunk.
Lupus nephritis
Lupus nephritis showing a glomerulus with several “wire
loop” lesions representing extensive subendothelial
Deposits of immune complexes (periodic acid Schiff stain)
Deposition of IgG antibody in a granular pattern, de
immunofluorescence
Histopathology of skin lesions in SLE
An H&E-stained section shows liquefactive
degeneration of the basal layer of the epidermis and
edema at the dermoepidermal junction
An immunofluorescence micrograph stained for
IgG reveals deposits of immunoglobulin along
the dermoepidermal junction.
Hashimoto’s Thyroiditis
• Immune destruction of thyroid cells
• An association of cytotoxic lymphocyte-associated antigen 4 (CTLA4), a T
cell regulatory gene, with autoimmune phenomenon in Hashimoto’s
disease has been reported.
• There is initial activation of CD4+ T helper cells, which then induce
infiltration of CD8+ T cytotoxic cells in the thyroid parenchyma.
• In the process, B cells are also activated to form autoantibodies, which
bring about immune destruction of thyroid parenchyma.
• The following autoantibodies against different thyroid cell antigens are
detectable in the sera of most patients with Hashimoto’s thyroiditis:
i. Thyroid microsomal autoantibodies (against the microsomes of the
follicular cells).
ii. Thyroglobulin autoantibodies.
iii. TSH receptor autoantibodies.
iv. Less constantly found are thyroid autoantibodies against follicular cell
membranes, thyroid hormones themselves and colloid component other
than thyroglobulin.
Grave’s Disease
• Genetic factors.
• A familial occurrence has been observed.
• Susceptibility to develop Graves’ disease has been found associated with
HLADR3(Hashimoto’s thyroiditis has both HLA-DR3 and HLA-DR5
association, CTLA-4 and PTPN22 (a T-cell regulatory gene).
• Autoimmune disease association
• Graves’ disease and Hashimoto’s thyroiditis are frequently present in the
same families and the two diseases may coexist in the same patient
• Production of thyroid hormones is regulated by thyroid-stimulating
hormones(TSH)
• The binding of TSH to a receptor on thyroid cells activates adenylate
cyclase and stimulates the synthesis of two thyroid hormones: thyroxine
and triiodothyronine
• •A person with Grave’s Disease makes auto-antibodies to the receptor for
TSH. The binding of these auto-antibodies to the receptor mimics the
normal action of TSH, without the regulation, leading to overstimulation of
the thyroid
• The auto-antibodies are called longacting thyroid stimulating hormones
• Autoantibodies TSH-receptor autoantigen is the main antigen against
which autoantibodies are directed. These are as under:
i) Thyroid-stimulating immunoglobulin (TSI): It binds to TSH receptor and
stimulates increased release of thyroid hormone.
ii) Thyroid growth-stimulating immunoglobulins (TGI): It stimulates
proliferation of follicular epithelium.
iii) TSH-binding inhibitor immunoglobulins (TBII): It is inhibitory to binding of
TSH to its own receptor.
• Depending upon its action as inhibitory or stimulatory to follicular
epithelium, it may result in alternate episodes of hypo- and
hyperthyroidism
The follicles are small and are lined by tall columnar
epithelium, which is piled up at places forming
papillary infoldings.
Colloid is nearly absent and appears lightly staining,
watery
and finely vacuolated.
Rheumatoid Arthritis
• Rheumatoid arthritis (RA) is a systemic, chronic inflammatory autoimmune
disease affecting many tissues but principally attacking the joints.
• It causes a nonsuppurative proliferative synovitis that frequently
progresses to destroy articular cartilage and underlying bone with resulting
disabling arthritis.
• The pathologic changes are caused mainly by cytokine-mediated
inflammation, with CD4+ T cells being the principal source of the
cytokines.
• Many patients also produce antibodies against cyclic citrullinatedpeptides
(CCPs)
Pathogenesis of Rheumatoid Arthritis
Immunologic derangements
1. Detection of circulating autoantibody called rheumatoid factor (RF) against Fc portion
of autologous IgG in about 80% cases of RA.
2. The presence of antigen-antibody complexes (IgG-RF complexes) in the circulation as
well as in the synovial fluid.
3. The presence of other autoantibodies such as antinuclear factor (ANF),antibodies to
collagen type II, and antibodies to cytoskeleton.
4. Antigenicity of proteoglycans of human articular cartilage.
5. The presence of g-globulin, particularly IgG and IgM, in the synovial fluid.
6. Association of RA with amyloidosis.
7. Activation of cell-mediated immunity as observed by presence of numerous
inflammatory cells in the synovium, chiefly CD4+ T lymphocytes and some macrophages
RA involves first the small joints of hands and feet and
then symmetrically affects the joints of wrists, elbows,
ankles and knees.
The proximal interphalangeal and metacarpophalangeal
joints are affected most severely.
Frequently cervical spine is involved,but lumbar spine is
spared.
The characteristic histologic features are villous
hypertrophy of the synoviuM and marked mononuclear
inflammatory cell infiltrate in synovial membrane with
formation of lymphoid follicles at places
Sjogren Syndrome
• Sjögren syndrome is a clinicopathologic entity characterized by dry eyes
• (keratoconjunctivitis sicca) and dry mouth (xerostomia), resulting from
immunemediated destruction of the lacrimal and salivary glands.
• Occurs as an isolated disorder (primary form), also known as the sicca
syndrome, or more often in association with another autoimmune disease
(secondary form).
Pathogenesis of Sjogern Syndrome
• Autoimmune disease caused by CD4+ T cell reactions against unknown
antigens in the ductal epithelial cells of the exocrine glands.
• Systemic B cell hyperactivity, as evidenced by the presence of ANAs and
rheumatoid factor (RF) (even in the absence of associated RA).
• Most patients with primary Sjögren syndrome have autoantibodies to the
ribonucleoprotein (RNP) antigens SS-A (Ro) and SS-B (La) - not specific.
• Genetic variables like inheritance of certain class II MHC alleles.
Histopathology in Sjogern Syndrome
Histopathologic findings include intense lymphocytic and
plasma cell infiltration with ductal epithelial hyperplasia.
PERNICIOUS ANAEMIA
• Chronic disorder of middle-aged and elderly individual of either sex in
which intrinsic factor (IF) secretion ceases owing to atrophy of the gastric
mucosa.
• The most characteristic pathologic finding in PA is gastric atrophy affecting
the acid and pepsin-secreting portion of the stomach and sparing the
antrum.
• Gastric epithelium may show cellular atypia.
• About 2-3% cases of PA develop carcinoma of the stomach.
• The incidence is high in patients with other autoimmune diseases such as
Graves’ disease, myxoedema, thyroiditis, vitiligo, diabetes and idiopathic
adrenocortical insufficiency.
• Patients have anti-parietal cell antibody (90% cases) and antiintrinsic
factor antibody (50% cases).
• Relatives of patients with PA have an increased incidence of the disease
or increased presence of autoantibodies.
• Corticosteroids have been reported to be beneficial in curing the disease
both pathologically and clinically.
• PA is more common in patients with agammaglobulinaemia supporting the
role of cellular immune system in destruction of parietal cells.
• Certain HLA types have been reported to be associated with PA.
Chronic atrophic gastritis (right)
There is marked gastric atrophy with
disappearance of gastric glands and
appearance of goblet cells (intestinal
metaplasia
Chronic atrophic gastritis with
intestinal metaplasia
Autoimmune Haemolytic Anaemia
• Autoimmune haemolytic anaemia (AIHA) characterised by formation of
autoantibodies against patient’s own red cells.
• Depending upon the reactivity of autoantibody, AIHA is further divided into
2 types:
1. ‘Warm’ antibody AIHA in which the autoantibodies are reactive at body
temperature (37°C).
2. ‘Cold’ antibody AIHA in which the autoantibodies reactbetter with patient’s
own red cells at 4°C
WARM ANTIBODY AIHA
• Warm antibodies reactive at body temperature and coating the red cells
are generally IgG class antibodies and occasionally IgA.
• Human red cells coated with IgG antibodies are bound to the surface of RE
cells, especially splenic macrophages.
• Red cells coated with IgG along with C3 on the surface further promote
this red cell-leucocyte interaction, accounting for more severe haemolysis.
• The spleen traps and destroys these red cells coated with IgG antibodies.
• Positive direct Coombs’ (antiglobulin) test for presence of warm antibodies
on the red cell, best detected at 37°C.
• A positive indirect Coombs’ (antiglobulin) test at 37°C may indicate
presence of large quantities of warm antibodies in the serum.
‘COLD’ ANTIBODY AIHA
• The antibodies are IgM type which bind to the red cells best at 4°C.
• These cold antibodies are usually directed against the I antigen on the red
cell surface.
• Agglutination of red blood cells by IgM cold agglutinins is most profound at
very low temperature.
• Haemolytic effect is mediated through fixation of C3 to the red blood cell
surface and not by agglutination alone.
• It is seen in the course of certain infections (e.g. Mycoplasma Pneumonia,
infectious mononucleosis) and in lymphomas.
• Positive direct Coombs’ test for detection of C3 on the red cell surface but
IgM responsible for C3 coating on red cells is not found.
TYPE 1 DIABETES MELLITUS
• Type 1 diabetes is an autoimmune disease in which islet destruction is
caused primarily by immune effector cells reacting against endogenous
beta cell antigens.
• The fundamental immune abnormality in type 1 diabetes is a failure of self-
tolerance in T cells.
• The principal susceptibility locus for type 1 diabetes resides in the
chromosomal region that encodes the class II MHC molecules on 6p21
(HLA-D).
• Environmental factors, especially infections caused by certain viruses
(mumps, rubella, and coxsackie B viruses, in particular) may be an
initiating trigger, perhaps because some viral antigens are antigenically
similar to beta cell antigens (molecular mimicry)
• Autoimmune attack directed against specialized insulin-producing
cells (beta cells) that are located in spherical clusters, called the islets
of Langerhans, scattered throughout the pancreas.
• Activated CTLs migrate into an islet and begin to attack the insulin
producing cells, causing insulitis.
• This is followed by cytokine (IFN-γ, TNF- α and IL-1) release and the
presence of auto-antibodies, which leads to a cell-mediated DTH
response.
• The subsequent beta-cell destruction is thought to be mediated by
cytokines released during the DTH response and by lytic enzymes
released from the activated macrophages.
THANK YOU

AUTOIMMUNITY PPT.pptx, HEPATOBILIARY SYSTEM

  • 1.
    AUTOIMMUNITY DR. P TEJASWIREDDY MBBS, MD ASST PROF PATHOLOGY
  • 2.
    • DEFINITION • HISTORY •TOLERANCE • FACTORS INFLUENCING AUTOIMMUNITY • AUTOIMMUNE DISEASES – CLASSIFICATION • SYSTEMIC LUPUS ERYTHEMATOSUS • HASHIMOTO’S THYROIDITIS • GRAVE’S DISEASE • RHEUMATOID ARTHRITIS • SJOGERN SYNDROME • PERNICIOUS ANEMIA • AUTOIMMUNE HEMOLYTIC ANEMIA • TYPE 1 DIABETES MELLITUS
  • 3.
    DEFINITION • Autoimmunity isbreakdown of the immune system’s ability to discriminate between self and nonself. • condition in which structural or functional damage is produced by action of immunologically competent cells or antibodies against the normal components of the body. • 5-7 % of adults affected, 2/3rds involving women. • > 40 human diseases, autoimmune in origin
  • 4.
    • 3 requirementsto call it Autoimmunity : 1. The presence of an immune reaction specific for some self antigen or self tissue. 2. Evidence that such a reaction is not secondary to tissue damage but is of primary pathogenic significance. 3. The absence of another well-defined cause of the disease
  • 5.
    HISTORY • Serge Metalnikoff(1900) reported that some animals were able to form antibodies against their own spermatozoa. • Paul Ehrlich (1901) rejected the concept that an organism's immune system could attack the organism's own tissue calling it "horror autotoxicus". • Julius Donath and Karl Landsteiner (1904)reported autoantibodies can cause disease by showing that autoantibodies (‘hemolysins’) caused paroxysmal cold hemoglobinuria
  • 6.
    • Ernst Witebskyand Noel Rose (1956) were able to induce an experimental autoimmune thyroiditismediated by autoantibodies. • Witebsky (1957)postulated in Witebsky postulates, modified later (1994) for placing a disorder under Autoimmune disease. • There are three considerations : • Direct evidence from transfer of pathogenic antibody or pathogenic T cells. • Indirect evidence based on development of the autoimmune disease in experimental animals. • Conditional evidence from clinical clues, from signs and symptoms of patient.
  • 7.
    TOLERANCE • Normal immunesystem must differentiate between self and non-self. • Immunologic tolerance : unresponsiveness to an antigen that is induced by exposure of specific lymphocytes to that antigen. • tolerance, lack of responsiveness to an individual’s own antigens underlies our ability to live in harmony with our cells and tissues. • Autoimmunity results from the loss of self-tolerance. Types : • Central Tolerance. • Peripheral Tolerance.
  • 8.
    • Central tolerance:Immature self-reactive lymphocytes that recognize self antigens in generative (“central”) lymphoid organs die by apoptosis; • Peripheral tolerance: Mature self-reactive lymphocytes that recognize self antigens in peripheral tissues are inactivated (anergy), killed (deletion) or suppressed.
  • 9.
    CENTRAL TOLERANCE Immature Tcells that recognize self antigens in the central (generative) lymphoid organs, some are killed by apoptosis - Negative selection or deletion in Thymus. escape killing and differentiate into regulatory T cells. In the B-cell lineage, some are killed by apoptosis. some of the self-reactive lymphocytes switch to new antigen receptors that are not self- reactive - Receptor editing in Bone Marrow.
  • 10.
    Deletion of self-reactiveT cells in the thymus: how are self antigens expressed in the thymus? • Many self antigens are processed and presented by thymic APCs in association with self MHC. • Any immature T cell that encounters a self antigen undergoes deletion/negative selection and the T cells that complete their maturation are thereby depleted of self-reactive cells • AIRE (autoimmune regulator) is a regulator of gene transcription that stimulates thymic expression of many self antigens which are largely restricted to peripheral tissues . • Mutations in AIRE gene gives rise to Autoimmune Polyendocrine Syndrome in which T cells specific for multiple self antigens escape deletion and attack tissues expressing the self antigens.
  • 12.
    PERIPHERAL TOLERANCE Self-reactive Tcells that escape negative selection in the thymus can potentially wreak havoc unless they are deleted or effectively muzzled.
  • 14.
    PERIPHERAL TOLERANCE • Anergy- functional inactivation of lymphocytes induced by encounter with antigens. • Activation of T cells requires two signals: • Signal 1 : recognition of peptide antigen in association with self MHC molecules on APCs. • Signal 2 : costimulatory signals (e.g., through B7 molecules) provided by the APCs
  • 16.
    • Suppression byregulatory T cells - The responses of T cells to self antigens may be actively suppressed by regulatory T cells. • Regulatory T cells are CD4+ cells that express high levels of CD25 (IL-2 receptor a chain) • Generated by self antigen recognition in the thymus or peripheral tissues • Generation requires a transcription factor called Foxp3
  • 18.
    • Activation-induced celldeath - apoptosis of mature lymphocytes as a result of self-antigen recognition. • Stimulation of T cells by self antigen triggers apoptosis by Engagement of death receptor Fas engaged by its ligand coexpressed on the same or neighboring cells - Death receptor pathway. • Mutations in the Fas gene are responsible for an autoimmune disease – ALPS or • Imbalanced expression of pro-apoptotic proteins - member of Bcl family called BIM (Bcl-2-like protein 11) Mitochondrial pathway
  • 19.
    • The factorsthat lead to a failure of self-tolerance and the development of autoimmunity include : • 1. inheritance of susceptibility - genes that may disrupt different tolerance pathways. • 2. infections and tissue alterations that may expose self-antigens and activate APCs and lymphocytes in the tissues
  • 21.
    Genetic Factors • Thereis increased expression of Class II HLA antigens on tissues involved in autoimmunity. • There is increased familial incidence of some forms of the autoimmune disorders. • There is higher incidence of autoimmune diseases in twins (monozygotic > dizygotic) favouring genetic basis. • Most human autoimmune diseases are associated with multiple genes. • Genome wide association studies are revealing genetic polymorphisms associated with autoimmune diseases
  • 22.
    Immunological factors • Polyclonalactivation of B cells by stimuli such as infection with microorganisms & their products bypasses T cell tolerance. • Generation of self-reacting B cell clones bypasses T cell tolerance. • Decreased T suppressor and increased T helper cell activity lead to high levels of autoantibody production by B cells contributing to autoimmunity. • Fluctuation of anti-idiotype network control may cause failure of mechanisms of immune tolerance. • Sequestered ‘Self-antigens’ may act as ‘foreign-antigens’ if introduced into the circulation later
  • 23.
    Sequestered antigens • Certainself anigens are present in closed systems and are not accessible to immune apparatus. • These are known as sequestered antigens
  • 24.
    Ag related fromhidden location
  • 25.
    • Examples ofSequestered Antigens • Myelin basic protein (MBP), associated with MS. • Sperm-associated antigens in some individuals following vasectomy. • Lens and corneal proteins of the eye following infection or trauma. • Heart muscle antigens following myocardial infarction.
  • 26.
    Enviromental factors • Ultraviolet(UV) radiation causes cell death and may lead to the exposure of nuclear antigens, which elicit pathologic immune responses in lupus. • Smoking is a risk factor for rheumatoid arthritis, perhaps because it leads to chemical modification of self antigens. • Strong gender bias, with many of these diseases being more common in women > men owing to hormones and other mechanism
  • 27.
    Role of Infectionsand Tissue Injury • Molecular mimicry : Viruses and other microbes may share crossreacting epitopes with self antigens, such that responses may be induced by the microbe but may attack self tissues. e.g. Rheumatic heart disease. • Microbial infections with resultant tissue necrosis and inflammation can cause upregulation of costimulatory molecules on APCs in the tissue favoring breakdown of T cell anergy and subsequent T cell activation.
  • 28.
  • 29.
    Criteria for diagnosisof autoimmune diseases. LABORATORY EVIDENCE 1. Presence and documentation of relevant autoantibodies in the serum 2. Demonstration of T cell reactivity to self antigen 3. Lymphocytic infiltrate in the pathologic lesion 4. Production of cytokines by helper T cells e.g. interferon,IL4 5. Evidence to support production of pathologic lesions in the tissue by transplacental transmission 6. Transfer of an autoimmune disease to an experimental animal by administration of autoantibodies.
  • 30.
    CLINICAL EVIDENCE 1. Associationof other autoimmune disease. 2. Improved therapeutic response to immunosuppressive agents. 3. Family history of autoimmune disease.
  • 31.
    Systemic lupus erythematosus •Systemic lupus erythematosus (SLE) is a multisystem autoimmune disease of protean manifestations and variable clinical behavior. • Clinically, it is an unpredictable, remitting and relapsing disease of acute or insidious onset that may involve virtually any organ in the body. • It affects principally the skin, kidneys, serosal membranes, joints, and heart. • Immunologically, the disease is associated with an enormous array of autoantibodies, classically including antinuclear antibodies (ANAs). • The clinical presentation of SLE is so variable, with so many overlapping features with those of other autoimmune diseases (RA, polymyositis, and others)
  • 32.
    PATHOGENESIS of SLE •The fundamental defect in SLE is a failure to maintain self tolerance, leading to the production of a large number of autoantibodies that can damage tissues either directly or in the form of immune complex deposits. • The pathogenesis of SLE involves a combination of genetic and environmental factors. • Genetic susceptibility and exposure result in failure of self-tolerance and persistence of nuclear antigens. • Autoantibodies serve to internalize nuclear components, which engage TLRs and stimulate IFN production. • IFN may stimulate B and T cell responses to the nuclear antigens
  • 33.
    • Genetic Factors •Familial association • Family members have an increased risk for the development of SLE. • Up to 20% of clinically unaffected first-degree relatives may have autoantibodies. • Monozygotic twins (25%) > Dizygotic twins (1-3%) • HLA association. • The odds ratio (relative risk) for persons with HLA-DR2 or HLA-DR3 is 2 to 3, and if both haplotypes are present, the risk is about 5. • Other genes. • Genetic deficiencies of classical pathway complement proteins, especially C1q, C2, or C4, are seen in about 10% of patients with SLE
  • 34.
    • Environmental Factors. •Ultraviolet (UV) radiation (sun exposure) exacerbates the lesions of SLE -- > causes apoptosis of host cells,leading to an increased burden of nuclear fragments and inflammatory responses to the products of dead cells. • Cigarette smoking has been shown to be associated with the development of SLE. • Sex hormones had been thought to exert an important influence on the development of disease. • Drugs such as procainamide and hydralazine can induce an SLE-like disease, by cause demethylation of DNA.
  • 38.
  • 39.
    LE CELL PHENOMENON •First diagnostic laboratory test described for SLE. • Principle :ANAs cannot penetrate the intact cells and thus cell nuclei should be exposed to bind them with the ANAs resulting in homogeneous mass of nuclear chromatin material. • LE cell is a phagocytic leucocyte, commonly poly morphonuclear neutrophil, and sometimes a monocyte, which engulfs the homogeneous nuclear material of the injured cell.
  • 40.
    Morphology of majorlesions in SLE Blood Vessels. • An acute necrotizing vasculitis affecting small arteries and arterioles may be present in any tissue. Kidneys. • Diffuse lupus nephritis (class IV) is the most serious form of renal lesions in SLE and is also the most commonly encountered in renal biopsies, occurring in 35% to 60% of patients. Skin Lesions • A characteristic erythematous or maculopapular eruption over the malareminences and bridge of the nose (“butterfly pattern”) is observed in approximately half of the cases. • Exposure to sunlight (UV light) exacerbates the erythema (so-called photosensitivity), and a similar rash may be present elsewhere on the extremities and trunk.
  • 42.
    Lupus nephritis Lupus nephritisshowing a glomerulus with several “wire loop” lesions representing extensive subendothelial Deposits of immune complexes (periodic acid Schiff stain) Deposition of IgG antibody in a granular pattern, de immunofluorescence
  • 43.
    Histopathology of skinlesions in SLE An H&E-stained section shows liquefactive degeneration of the basal layer of the epidermis and edema at the dermoepidermal junction An immunofluorescence micrograph stained for IgG reveals deposits of immunoglobulin along the dermoepidermal junction.
  • 44.
    Hashimoto’s Thyroiditis • Immunedestruction of thyroid cells • An association of cytotoxic lymphocyte-associated antigen 4 (CTLA4), a T cell regulatory gene, with autoimmune phenomenon in Hashimoto’s disease has been reported. • There is initial activation of CD4+ T helper cells, which then induce infiltration of CD8+ T cytotoxic cells in the thyroid parenchyma. • In the process, B cells are also activated to form autoantibodies, which bring about immune destruction of thyroid parenchyma.
  • 45.
    • The followingautoantibodies against different thyroid cell antigens are detectable in the sera of most patients with Hashimoto’s thyroiditis: i. Thyroid microsomal autoantibodies (against the microsomes of the follicular cells). ii. Thyroglobulin autoantibodies. iii. TSH receptor autoantibodies. iv. Less constantly found are thyroid autoantibodies against follicular cell membranes, thyroid hormones themselves and colloid component other than thyroglobulin.
  • 47.
    Grave’s Disease • Geneticfactors. • A familial occurrence has been observed. • Susceptibility to develop Graves’ disease has been found associated with HLADR3(Hashimoto’s thyroiditis has both HLA-DR3 and HLA-DR5 association, CTLA-4 and PTPN22 (a T-cell regulatory gene). • Autoimmune disease association • Graves’ disease and Hashimoto’s thyroiditis are frequently present in the same families and the two diseases may coexist in the same patient
  • 48.
    • Production ofthyroid hormones is regulated by thyroid-stimulating hormones(TSH) • The binding of TSH to a receptor on thyroid cells activates adenylate cyclase and stimulates the synthesis of two thyroid hormones: thyroxine and triiodothyronine • •A person with Grave’s Disease makes auto-antibodies to the receptor for TSH. The binding of these auto-antibodies to the receptor mimics the normal action of TSH, without the regulation, leading to overstimulation of the thyroid • The auto-antibodies are called longacting thyroid stimulating hormones
  • 50.
    • Autoantibodies TSH-receptorautoantigen is the main antigen against which autoantibodies are directed. These are as under: i) Thyroid-stimulating immunoglobulin (TSI): It binds to TSH receptor and stimulates increased release of thyroid hormone. ii) Thyroid growth-stimulating immunoglobulins (TGI): It stimulates proliferation of follicular epithelium. iii) TSH-binding inhibitor immunoglobulins (TBII): It is inhibitory to binding of TSH to its own receptor. • Depending upon its action as inhibitory or stimulatory to follicular epithelium, it may result in alternate episodes of hypo- and hyperthyroidism
  • 51.
    The follicles aresmall and are lined by tall columnar epithelium, which is piled up at places forming papillary infoldings. Colloid is nearly absent and appears lightly staining, watery and finely vacuolated.
  • 52.
    Rheumatoid Arthritis • Rheumatoidarthritis (RA) is a systemic, chronic inflammatory autoimmune disease affecting many tissues but principally attacking the joints. • It causes a nonsuppurative proliferative synovitis that frequently progresses to destroy articular cartilage and underlying bone with resulting disabling arthritis. • The pathologic changes are caused mainly by cytokine-mediated inflammation, with CD4+ T cells being the principal source of the cytokines. • Many patients also produce antibodies against cyclic citrullinatedpeptides (CCPs)
  • 53.
  • 54.
    Immunologic derangements 1. Detectionof circulating autoantibody called rheumatoid factor (RF) against Fc portion of autologous IgG in about 80% cases of RA. 2. The presence of antigen-antibody complexes (IgG-RF complexes) in the circulation as well as in the synovial fluid. 3. The presence of other autoantibodies such as antinuclear factor (ANF),antibodies to collagen type II, and antibodies to cytoskeleton. 4. Antigenicity of proteoglycans of human articular cartilage. 5. The presence of g-globulin, particularly IgG and IgM, in the synovial fluid. 6. Association of RA with amyloidosis. 7. Activation of cell-mediated immunity as observed by presence of numerous inflammatory cells in the synovium, chiefly CD4+ T lymphocytes and some macrophages
  • 55.
    RA involves firstthe small joints of hands and feet and then symmetrically affects the joints of wrists, elbows, ankles and knees. The proximal interphalangeal and metacarpophalangeal joints are affected most severely. Frequently cervical spine is involved,but lumbar spine is spared.
  • 56.
    The characteristic histologicfeatures are villous hypertrophy of the synoviuM and marked mononuclear inflammatory cell infiltrate in synovial membrane with formation of lymphoid follicles at places
  • 57.
    Sjogren Syndrome • Sjögrensyndrome is a clinicopathologic entity characterized by dry eyes • (keratoconjunctivitis sicca) and dry mouth (xerostomia), resulting from immunemediated destruction of the lacrimal and salivary glands. • Occurs as an isolated disorder (primary form), also known as the sicca syndrome, or more often in association with another autoimmune disease (secondary form).
  • 58.
    Pathogenesis of SjogernSyndrome • Autoimmune disease caused by CD4+ T cell reactions against unknown antigens in the ductal epithelial cells of the exocrine glands. • Systemic B cell hyperactivity, as evidenced by the presence of ANAs and rheumatoid factor (RF) (even in the absence of associated RA). • Most patients with primary Sjögren syndrome have autoantibodies to the ribonucleoprotein (RNP) antigens SS-A (Ro) and SS-B (La) - not specific. • Genetic variables like inheritance of certain class II MHC alleles.
  • 59.
    Histopathology in SjogernSyndrome Histopathologic findings include intense lymphocytic and plasma cell infiltration with ductal epithelial hyperplasia.
  • 60.
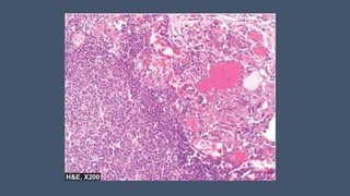
    PERNICIOUS ANAEMIA • Chronicdisorder of middle-aged and elderly individual of either sex in which intrinsic factor (IF) secretion ceases owing to atrophy of the gastric mucosa. • The most characteristic pathologic finding in PA is gastric atrophy affecting the acid and pepsin-secreting portion of the stomach and sparing the antrum. • Gastric epithelium may show cellular atypia. • About 2-3% cases of PA develop carcinoma of the stomach.
  • 61.
    • The incidenceis high in patients with other autoimmune diseases such as Graves’ disease, myxoedema, thyroiditis, vitiligo, diabetes and idiopathic adrenocortical insufficiency. • Patients have anti-parietal cell antibody (90% cases) and antiintrinsic factor antibody (50% cases). • Relatives of patients with PA have an increased incidence of the disease or increased presence of autoantibodies. • Corticosteroids have been reported to be beneficial in curing the disease both pathologically and clinically. • PA is more common in patients with agammaglobulinaemia supporting the role of cellular immune system in destruction of parietal cells. • Certain HLA types have been reported to be associated with PA.
  • 62.
    Chronic atrophic gastritis(right) There is marked gastric atrophy with disappearance of gastric glands and appearance of goblet cells (intestinal metaplasia Chronic atrophic gastritis with intestinal metaplasia
  • 63.
    Autoimmune Haemolytic Anaemia •Autoimmune haemolytic anaemia (AIHA) characterised by formation of autoantibodies against patient’s own red cells. • Depending upon the reactivity of autoantibody, AIHA is further divided into 2 types: 1. ‘Warm’ antibody AIHA in which the autoantibodies are reactive at body temperature (37°C). 2. ‘Cold’ antibody AIHA in which the autoantibodies reactbetter with patient’s own red cells at 4°C
  • 64.
    WARM ANTIBODY AIHA •Warm antibodies reactive at body temperature and coating the red cells are generally IgG class antibodies and occasionally IgA. • Human red cells coated with IgG antibodies are bound to the surface of RE cells, especially splenic macrophages. • Red cells coated with IgG along with C3 on the surface further promote this red cell-leucocyte interaction, accounting for more severe haemolysis. • The spleen traps and destroys these red cells coated with IgG antibodies. • Positive direct Coombs’ (antiglobulin) test for presence of warm antibodies on the red cell, best detected at 37°C. • A positive indirect Coombs’ (antiglobulin) test at 37°C may indicate presence of large quantities of warm antibodies in the serum.
  • 65.
    ‘COLD’ ANTIBODY AIHA •The antibodies are IgM type which bind to the red cells best at 4°C. • These cold antibodies are usually directed against the I antigen on the red cell surface. • Agglutination of red blood cells by IgM cold agglutinins is most profound at very low temperature. • Haemolytic effect is mediated through fixation of C3 to the red blood cell surface and not by agglutination alone. • It is seen in the course of certain infections (e.g. Mycoplasma Pneumonia, infectious mononucleosis) and in lymphomas. • Positive direct Coombs’ test for detection of C3 on the red cell surface but IgM responsible for C3 coating on red cells is not found.
  • 66.
    TYPE 1 DIABETESMELLITUS • Type 1 diabetes is an autoimmune disease in which islet destruction is caused primarily by immune effector cells reacting against endogenous beta cell antigens. • The fundamental immune abnormality in type 1 diabetes is a failure of self- tolerance in T cells. • The principal susceptibility locus for type 1 diabetes resides in the chromosomal region that encodes the class II MHC molecules on 6p21 (HLA-D). • Environmental factors, especially infections caused by certain viruses (mumps, rubella, and coxsackie B viruses, in particular) may be an initiating trigger, perhaps because some viral antigens are antigenically similar to beta cell antigens (molecular mimicry)
  • 67.
    • Autoimmune attackdirected against specialized insulin-producing cells (beta cells) that are located in spherical clusters, called the islets of Langerhans, scattered throughout the pancreas. • Activated CTLs migrate into an islet and begin to attack the insulin producing cells, causing insulitis. • This is followed by cytokine (IFN-γ, TNF- α and IL-1) release and the presence of auto-antibodies, which leads to a cell-mediated DTH response. • The subsequent beta-cell destruction is thought to be mediated by cytokines released during the DTH response and by lytic enzymes released from the activated macrophages.
  • 75.