Acute Mesenteric Ischemia
 Dr. Debayan Chowdhury
 22.02.2017
 Malda Medical Collegewww.surgical-tutor.org.uk
An Account of:
Interesting Fact
 On 3rd January 2017, The Mesentery has been declared as
a New Organ and has been published in The Lancet Medical
Journal(The Lancet Gastroenterology & Hepatology) by J
Calvin Coffey, a researcher at the University Hospital
Limerick, Ireland.
 Gray’s Anatomy has already been
updated with the definition.
Definition of Acute Mesenteric Ischaemia:
Acute Mesenteric Ischaemia is a catastrophic abdominal
emergency characterized by sudden critical interruption
to the intestinal blood flow which commonly leads to
bowel infarction and death.
It is uncommon but life-threatening disease
Incidence ~1 in every 1000 hospital admissions1
Mortality remains as high as 60-80%
Prognosis is poor
1. Mark et al Semin Vasc Surg 23:9-20 ,2010
Mesenteric ischaemia
Acute
Mesenteric Ischaemia
Chronic
Mesenteric Ischaemia
Arterial
occlusion
Venous
occlusion
Non-occlusive
Embolism
40-50%
Thrombosis
25-30%
Mesenteric
Venous thrombosis
(MVT)
5-10%
Non-occlusive
Mesenteric ischaemia
(NOMI)
15-20%
Acute SMA Occlusion
SMA Embolism
Aortic ostium
~15%
Around
Middle colic artery
~40%
Distal branches
~45%
SMA Thrombosis
Aortic ostium
~60-80%
Distal branches
~5%
Around
Middle colic artery
~15%
Acute Mesenteric Ischemia due to Embolism
 Embolism - commonest cause of acute mesenteric ischaemia.
 Majority of emboli arise from the heart, most commonly the left atrium
in patients of atrial fibrillation.
 SMA is most commonly affected – acute angle of origin from abdominal
aorta.
Acute Mesenteric Ischemia due to thrombosis
 Commonly involves the Aortic ostium.
 Thrombosis occurs on top of atherosclerosis.
 Prognosis - worse than embolic ischaemia
 Often previous history of
• intestinal angina
• Sitophobia – fear of eating
• significant wt loss
Acute Mesenteric Ischemia due to nonocclusive disease
 Results from systemic hypoperfusion, or low flow states – CCF, Shock,
critically ill patients following surgery
 Cause - Intense vasospasm and Sympathetic-induced vasoconstriction.
 Most Lethal - Because once arterial vasospasm is initiated, it may persist
even after correction of the initiating event.
 Prognosis is very poor
Acute Mesenteric Ischemia due to venous thrombosis
 Least common
 Typically affects superior mesenteric vein and rarely
inferior mesenteric vein
Cause Aetiology Incidence (%)
1.Embolism Cardiac • Atrial fibrillation Commonest (40-
50%)
• Mural Thrombus following
Myocardial Infarction
• Left atrial myxoma
• Prosthetic heart valves
Proximal aortic disease, e.g.
aneurysm, atheromas
Iatrogenic, e.g. arteriography
2.Thrombosis Mesenteric Atherosclerosis 25-30%
Cause Aetiology Incidence (%)
3.Non-occlusive
mesenteric
ischaemia
• Low-flow states, e.g. shock 15-20%
• Drugs, e.g. digitalis, vasopressors
4.Mesenteric vein
thrombosis
Inherited
hypercoagulable
states
• Factor V Leiden mutation Least
common (5-
10%)
• Protein C,S, antithrombin
III deficiency
Acquired
hypercoagulable
states
• Malignancy
• Oral contraceptives
• Portal Hypertension
• Intra-abdominal sepsis,
e.g. acute pancreatitis
• Postoperative states, e.g.
abdominal surgery
Presentation
 Classical description of early symptom
 Severe Abdominal pain that is out of
proportion to physical findings in 95% cases
Presentation
 Early
 Prominent symptoms
of GI emptying
( nausea, vomiting ,
diarrhea )
 Late
 Bloody diarrhea
 Abdominal distension
 Features of Peritonitis-
Fever
Shock
TachycardiaEarly diagnosis
requires high index
of suspicion
Pathophysiology
Ischemia
Mucosal barrier disruption
Release of bacteria,
toxins, vasoactive substance
SIRS
MODS
Death
Substantial protein-rich fluid
loss into the gut
Hypovolemia
15 mins
- Structural changes to intestinal villi
3 hours
- Mucosal sloughing
- Still reversible
6 hours
- Transmural necrosis
- Gangrene
- Perforation
15 mins 3 hours 6 hours
Udassin R, et al. J Surg Res 1994;56:221-5
Absolute ischaemia
What happens to bowel during absolute ischaemia?
Time is crucial !
Signs of Peritonitis
appear
Investigation (Preliminary)
Blood test:
 Most common laboratory abnormalities are:
 Haemoconcentration
 Leukocytosis (Neutrophilic)
 Metabolic acidosis
 Lactic acidosis (in more advanced case)
 Other serum markers
 Raised
 amylase
 ALP
Neither sensitive nor specific.
But Ix help exclude other DDx
Dilated
Bowel
Loops
Straight X-ray
Abdomen
(Erect Posture)
Thumb-printing Sign (Signifying Bowel wall oedema and thickening)
Pneumatosis Intestinalis (Gas in the wall of small bowel)
Gas in the Portal Vein
Doppler USG
 Able to identify severe stenosis or total or partial
occlusion and velocity of blood flowing through the
vessels
 Unable to detect
 emboli beyond the proximal
main vessel
 Non-obstructive mesenteric
ischaemia
Colour Doppler USG showing partially occluded Artery
Gas in
Mesenteric Vein
Gas in Bowel wall
(Pneumatosis
intestinalis)
CECT abdomen
Bowel Wall
Oedema
CECT showing in
Extensive Portal
Venous Gas
SMA occlusion
with embolus
SMA thrombosis
Extensive
Pneumatosis
intestinalis
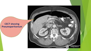
CECT showing
Pneumoperitonium
Angiography – Gold Standard
 Non-invasive
 CT-Angiography
 Magnetic Resonance
Angiography
 Invasive
 Catheter (Conventional
Method)
 Findings on Angiography:
 Filling defects
 Stenosis or blockage
SMA on
Angiography
IMA on
Angiography
Angiogram (Aortogram)
showing Stenosis of SMA
A. cut-off of the middle colic artery,
due to emboli (arrow).
B. Embolism of SMA (arrow).
CT Angiogram showing partial thrombosis of SMA
3D
CT-Angiography
Superior Mesenteric
Angiography showing the string
of “Sausages Sign” in a
patient of Non-occlusive
mesenteric ischaemia
Patient presents with severe abdominal pain consistent with ischemic bowel
Obtain history and perform physical examination.
Pain is out of proportion to physical findings is a significant clue.
Look for risk factors for acute mesenteric ischemia.
Order investigative studies:
Laboratory tests: WBC count, lactate, AST
Imaging: abdominal X-ray, Doppler USG, CT-Angiography, MRA
Peritoneal sign is present
Peritoneal sign is absent
Management
Acute mesenteric ischemia established
Treat with: Moist O2 , Fluid Resuscitation, Naso-
Gastric decompression, Broad Spectrum Antibiotics,
Bowel rest,Stop Vasopressor drugs/Digitalis, Invasive
haemodynamic monitoring, Treat Arrhythmia or Heart
failure, IV HEPARIN 5000IU
Laparotomy
+/- Revascularisation
+/- Bowel Resection
Definitive surgical exploration
1. Assessment of bowel viability
2. Determination of underlying cause
3. Mesenteric revascularization
4. Resection of necrotic bowel
5. Second look laparotomy
Midline laparotomy
Assessment of bowel viability
1. Clinical Judgment
- pink serosa
- visible peristalsis
- positive pulsations
- bleeding from cut edges
2. Doppler USG
- hand-held Doppler(Detects anti-mesenteric
blood flow)
3. Fluorescein
-Injection of IV Sodium fluorescein(1gm) and
inspection under Wood’s lamp
(Viable bowel has smooth, uniform fluorescence)
Assessment of bowel viability
Necrotic bowel
(Gangrenous)
Extensive
Infarction
Or
Frankly Necrotic
Limited
infarction
Equivocal viability
Or
Marginally-viable bowel
Revascularization
procedures
Bowel Resection
Allow 30 mins
intraoperatively to
assess bowel
viability
Determination of underlying Pathology:
Thrombosis or embolism?
Palpate the main trunk of SMA
(at the base of small bowel mesentery)
Normal pulse
Proximal jejunum and
transverse colon
are spared from ischemia
Diffuse midgut bowel
ischemia is noted
SMA Embolism
SMA thrombosis
Non-occlusive
mesenteric ischemia
Mesenteric
Venous thrombosis
Weak pulseNo pulsePulse present proximally
but not distally
Mesenteric Revascularization
Embolism
Balloon catheter
embolectomy
±
Vein patch angioplasty
Thrombosis
Thrombectomy
Bypass grafting Reimplantation of SMA
Antegrade Retrograde
Resection of Necrotic Bowel
 Frankly necrotic bowel segments
 Resection
 Marginal-viable bowel (Equivocal
viability)
 may improve over hours
 consider second-look laparotomy
44
After revascularization
(embolectomy or bypass)
Consider postrevascularization
papaverine. (arterial spasm may persist even after
embolectomy or thrombectomy)
Who should have second look
laparotomy?
 Some surgeons advocate routine second-look
laparotomy at 24-48hr
 Claimed reduced mortality rate
 Other adopt a selective approach and perform a
second laparotomy when patient deterioates
clinically.
 Can avoid unnecessary second operation if patient remains
well
Alternative to surgery…
Endovascular therapy
Acute SMA thrombosis NOMI
Percutaneous transluminal
Balloon angioplasty ± stenting
Transarterial
Thrombolysis
Transarterial infusion
of vasodilator
Limited use in acute situations
Cannot assess bowel viability
Only indicated in early cases without
bowel infarction
Management of non-occlusive
mesenteric ischemia
 Correct underlying condition.
 Optimize fluid status, improve cardiac output,
and eliminate vasopressors (alpha-blocker)
 Consider catheter-directed intra-arterial
infusion of vasodilator (papaverine 30-60mg/hr)
 Laparotomy if peritoneal signs develop
Bradbury et al The British Journal of Surgery Vol 82(11), November 1995
ACS surgery : principles and practice
Management of Mesenteric venous
thrombosis
 Anticoagulation with Heparin is mainstay of treatment
 Workup for hypercoagulability .
 Laparotomy if peritoneal signs develop.
Summary
 Acute Mesenteric Ischaemia is an abdominal emergency both if physical
signs are present or absent.
 We have very less time for investigation, so assessing clinically is
important.
 Every minute we waste is every centimeter of small bowel we loose.
 Angiography is diagnostic as well as therapeutic.
 Preoperative heparin infusion and postoperative papaverine infusion is
must.
 Still Prognosis is Poor & Mortality is High as 80%
Thank
You

ACUTE MESENTERIC ISCHAEMIA

  • 1.
    Acute Mesenteric Ischemia Dr. Debayan Chowdhury  22.02.2017  Malda Medical Collegewww.surgical-tutor.org.uk An Account of:
  • 2.
    Interesting Fact  On3rd January 2017, The Mesentery has been declared as a New Organ and has been published in The Lancet Medical Journal(The Lancet Gastroenterology & Hepatology) by J Calvin Coffey, a researcher at the University Hospital Limerick, Ireland.  Gray’s Anatomy has already been updated with the definition.
  • 3.
    Definition of AcuteMesenteric Ischaemia: Acute Mesenteric Ischaemia is a catastrophic abdominal emergency characterized by sudden critical interruption to the intestinal blood flow which commonly leads to bowel infarction and death. It is uncommon but life-threatening disease Incidence ~1 in every 1000 hospital admissions1 Mortality remains as high as 60-80% Prognosis is poor 1. Mark et al Semin Vasc Surg 23:9-20 ,2010
  • 4.
    Mesenteric ischaemia Acute Mesenteric Ischaemia Chronic MesentericIschaemia Arterial occlusion Venous occlusion Non-occlusive Embolism 40-50% Thrombosis 25-30% Mesenteric Venous thrombosis (MVT) 5-10% Non-occlusive Mesenteric ischaemia (NOMI) 15-20%
  • 5.
    Acute SMA Occlusion SMAEmbolism Aortic ostium ~15% Around Middle colic artery ~40% Distal branches ~45% SMA Thrombosis Aortic ostium ~60-80% Distal branches ~5% Around Middle colic artery ~15%
  • 6.
    Acute Mesenteric Ischemiadue to Embolism  Embolism - commonest cause of acute mesenteric ischaemia.  Majority of emboli arise from the heart, most commonly the left atrium in patients of atrial fibrillation.  SMA is most commonly affected – acute angle of origin from abdominal aorta.
  • 7.
    Acute Mesenteric Ischemiadue to thrombosis  Commonly involves the Aortic ostium.  Thrombosis occurs on top of atherosclerosis.  Prognosis - worse than embolic ischaemia  Often previous history of • intestinal angina • Sitophobia – fear of eating • significant wt loss
  • 8.
    Acute Mesenteric Ischemiadue to nonocclusive disease  Results from systemic hypoperfusion, or low flow states – CCF, Shock, critically ill patients following surgery  Cause - Intense vasospasm and Sympathetic-induced vasoconstriction.  Most Lethal - Because once arterial vasospasm is initiated, it may persist even after correction of the initiating event.  Prognosis is very poor
  • 9.
    Acute Mesenteric Ischemiadue to venous thrombosis  Least common  Typically affects superior mesenteric vein and rarely inferior mesenteric vein
  • 10.
    Cause Aetiology Incidence(%) 1.Embolism Cardiac • Atrial fibrillation Commonest (40- 50%) • Mural Thrombus following Myocardial Infarction • Left atrial myxoma • Prosthetic heart valves Proximal aortic disease, e.g. aneurysm, atheromas Iatrogenic, e.g. arteriography 2.Thrombosis Mesenteric Atherosclerosis 25-30%
  • 11.
    Cause Aetiology Incidence(%) 3.Non-occlusive mesenteric ischaemia • Low-flow states, e.g. shock 15-20% • Drugs, e.g. digitalis, vasopressors 4.Mesenteric vein thrombosis Inherited hypercoagulable states • Factor V Leiden mutation Least common (5- 10%) • Protein C,S, antithrombin III deficiency Acquired hypercoagulable states • Malignancy • Oral contraceptives • Portal Hypertension • Intra-abdominal sepsis, e.g. acute pancreatitis • Postoperative states, e.g. abdominal surgery
  • 12.
    Presentation  Classical descriptionof early symptom  Severe Abdominal pain that is out of proportion to physical findings in 95% cases
  • 13.
    Presentation  Early  Prominentsymptoms of GI emptying ( nausea, vomiting , diarrhea )  Late  Bloody diarrhea  Abdominal distension  Features of Peritonitis- Fever Shock TachycardiaEarly diagnosis requires high index of suspicion
  • 14.
    Pathophysiology Ischemia Mucosal barrier disruption Releaseof bacteria, toxins, vasoactive substance SIRS MODS Death Substantial protein-rich fluid loss into the gut Hypovolemia
  • 15.
    15 mins - Structuralchanges to intestinal villi 3 hours - Mucosal sloughing - Still reversible 6 hours - Transmural necrosis - Gangrene - Perforation 15 mins 3 hours 6 hours Udassin R, et al. J Surg Res 1994;56:221-5 Absolute ischaemia What happens to bowel during absolute ischaemia? Time is crucial ! Signs of Peritonitis appear
  • 16.
    Investigation (Preliminary) Blood test: Most common laboratory abnormalities are:  Haemoconcentration  Leukocytosis (Neutrophilic)  Metabolic acidosis  Lactic acidosis (in more advanced case)  Other serum markers  Raised  amylase  ALP Neither sensitive nor specific. But Ix help exclude other DDx
  • 17.
  • 18.
    Thumb-printing Sign (SignifyingBowel wall oedema and thickening)
  • 19.
    Pneumatosis Intestinalis (Gasin the wall of small bowel)
  • 20.
    Gas in thePortal Vein
  • 21.
    Doppler USG  Ableto identify severe stenosis or total or partial occlusion and velocity of blood flowing through the vessels  Unable to detect  emboli beyond the proximal main vessel  Non-obstructive mesenteric ischaemia Colour Doppler USG showing partially occluded Artery
  • 22.
    Gas in Mesenteric Vein Gasin Bowel wall (Pneumatosis intestinalis) CECT abdomen
  • 23.
  • 24.
    CECT showing in ExtensivePortal Venous Gas
  • 25.
  • 26.
  • 27.
  • 28.
  • 29.
    Angiography – GoldStandard  Non-invasive  CT-Angiography  Magnetic Resonance Angiography  Invasive  Catheter (Conventional Method)  Findings on Angiography:  Filling defects  Stenosis or blockage
  • 30.
  • 31.
  • 32.
  • 33.
    A. cut-off ofthe middle colic artery, due to emboli (arrow). B. Embolism of SMA (arrow).
  • 34.
    CT Angiogram showingpartial thrombosis of SMA
  • 35.
  • 36.
    Superior Mesenteric Angiography showingthe string of “Sausages Sign” in a patient of Non-occlusive mesenteric ischaemia
  • 37.
    Patient presents withsevere abdominal pain consistent with ischemic bowel Obtain history and perform physical examination. Pain is out of proportion to physical findings is a significant clue. Look for risk factors for acute mesenteric ischemia. Order investigative studies: Laboratory tests: WBC count, lactate, AST Imaging: abdominal X-ray, Doppler USG, CT-Angiography, MRA Peritoneal sign is present Peritoneal sign is absent Management Acute mesenteric ischemia established Treat with: Moist O2 , Fluid Resuscitation, Naso- Gastric decompression, Broad Spectrum Antibiotics, Bowel rest,Stop Vasopressor drugs/Digitalis, Invasive haemodynamic monitoring, Treat Arrhythmia or Heart failure, IV HEPARIN 5000IU Laparotomy +/- Revascularisation +/- Bowel Resection
  • 38.
    Definitive surgical exploration 1.Assessment of bowel viability 2. Determination of underlying cause 3. Mesenteric revascularization 4. Resection of necrotic bowel 5. Second look laparotomy Midline laparotomy
  • 39.
    Assessment of bowelviability 1. Clinical Judgment - pink serosa - visible peristalsis - positive pulsations - bleeding from cut edges 2. Doppler USG - hand-held Doppler(Detects anti-mesenteric blood flow) 3. Fluorescein -Injection of IV Sodium fluorescein(1gm) and inspection under Wood’s lamp (Viable bowel has smooth, uniform fluorescence)
  • 40.
    Assessment of bowelviability Necrotic bowel (Gangrenous) Extensive Infarction Or Frankly Necrotic Limited infarction Equivocal viability Or Marginally-viable bowel Revascularization procedures Bowel Resection Allow 30 mins intraoperatively to assess bowel viability
  • 41.
    Determination of underlyingPathology: Thrombosis or embolism? Palpate the main trunk of SMA (at the base of small bowel mesentery) Normal pulse Proximal jejunum and transverse colon are spared from ischemia Diffuse midgut bowel ischemia is noted SMA Embolism SMA thrombosis Non-occlusive mesenteric ischemia Mesenteric Venous thrombosis Weak pulseNo pulsePulse present proximally but not distally
  • 42.
    Mesenteric Revascularization Embolism Balloon catheter embolectomy ± Veinpatch angioplasty Thrombosis Thrombectomy Bypass grafting Reimplantation of SMA Antegrade Retrograde
  • 43.
    Resection of NecroticBowel  Frankly necrotic bowel segments  Resection  Marginal-viable bowel (Equivocal viability)  may improve over hours  consider second-look laparotomy
  • 44.
    44 After revascularization (embolectomy orbypass) Consider postrevascularization papaverine. (arterial spasm may persist even after embolectomy or thrombectomy)
  • 45.
    Who should havesecond look laparotomy?  Some surgeons advocate routine second-look laparotomy at 24-48hr  Claimed reduced mortality rate  Other adopt a selective approach and perform a second laparotomy when patient deterioates clinically.  Can avoid unnecessary second operation if patient remains well
  • 46.
    Alternative to surgery… Endovasculartherapy Acute SMA thrombosis NOMI Percutaneous transluminal Balloon angioplasty ± stenting Transarterial Thrombolysis Transarterial infusion of vasodilator Limited use in acute situations Cannot assess bowel viability Only indicated in early cases without bowel infarction
  • 48.
    Management of non-occlusive mesentericischemia  Correct underlying condition.  Optimize fluid status, improve cardiac output, and eliminate vasopressors (alpha-blocker)  Consider catheter-directed intra-arterial infusion of vasodilator (papaverine 30-60mg/hr)  Laparotomy if peritoneal signs develop Bradbury et al The British Journal of Surgery Vol 82(11), November 1995 ACS surgery : principles and practice
  • 49.
    Management of Mesentericvenous thrombosis  Anticoagulation with Heparin is mainstay of treatment  Workup for hypercoagulability .  Laparotomy if peritoneal signs develop.
  • 50.
    Summary  Acute MesentericIschaemia is an abdominal emergency both if physical signs are present or absent.  We have very less time for investigation, so assessing clinically is important.  Every minute we waste is every centimeter of small bowel we loose.  Angiography is diagnostic as well as therapeutic.  Preoperative heparin infusion and postoperative papaverine infusion is must.  Still Prognosis is Poor & Mortality is High as 80%
  • 52.