‫الرحيم‬ ‫الرحمن‬ ‫هللا‬ ‫بسم‬
BY
1. Abdullah Hasan Alhojaili
2. Alhassan Ali Alghamdi
3. Abdulaziz Mosa Hawsawi
Mesenteric ischemia
CHRONIC MESENTERIC
ISCHEMIA
Alhassan Ali Alghamdi
Anatomy
celiac trunk supplies the foregut
Anatomy
SMA & IMA supply midgut and hindgut respectively
Anatomy
Definition
Mesenteric ischemia is defined as a condition in
which the supply of oxygen or blood is too small to
satisfy the needs of the intestines. Ischemia can
affect the small intestine, the colon or both. It can
be acute and chronic.
Mesenteric ischemic syndromes
 Chronic
– Atherosclerotic
– Non-atherosclerotic
 Acute
– Occlusive
• Embolic
• Thrombotic (most common)
– Non-Occlusive
– Mesenteric Venous Thrombosis
Chronic mesenteric ischemia
• Relatively Uncommon
• Usually 2-3 vessel disease
• Asymptomatic Mesenteric Stenosis 6-24%
Chronic mesenteric ischemia
• Usually Women
• Younger
• Smokers
• 2/3 with Other Vascular Disease
– Half with abdominal bruit
• Classic Symptoms
– Post-prandial Pain
– Weight Loss
– sitophobia??
– GI ulceration
Diagnosis
Clinical: “high index of
suspicion”
R/o other causes for atypical
abdominal pain
Diagnosis
• PT , aPPT, INR
• CBC  anemia
• Blood Chemistry 
electrolyte abnormalities .
• Urinalysis - to rule out stones
or infection
• (LFTs) – hypoalbuminemia.
• Angiography
• CT & CTA
• MRI & MRA
• US & Duplex us
Lab studies Imaging studies
Electrocardiography (ECG) to rule out cardiac disease
angiography
Chronic mesenteric
ischemia Lateral
abdominal aortogram
shows occlusion of
the celiac and IMA
Severe stenosis .
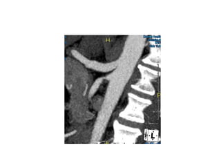
CTA
A CT angiogram
showing occlusion of
the coeliac axis and
tight stenosis of the
superior mesenteric
artery
Managment
 The main therapy is surgical which is :
open or endovascular revascularization .
 medical management is warranted only when the risks
of revascularization outweigh the benefits. Nitrate
therapy may provide short-term relief but is not curative.
Anticoagulation therapy with warfarin is indicated.
Superior mesenteric artery
syndrome (SMAS)
 Superior mesenteric artery syndrome is a rare condition first described by
Rokitansky in1861. The condition results from a reduced angle between the
artery at its origin from the abdominal aorta and the transverse third part of
the duodenum causing duodenal obstruction. Diagnosis of the syndrome
depends on high index of suspicion, augmented by the radiological features
of the syndrome. Treatment can either be conservative or operative,
depending on the severity of the condition.
Case report
 A 19-year-old female presented to the out-patient department of
King Fahad Medical City with a two-year history of recurrent
abdominal pain associated with feeling of fullness and vomiting after
meals together with progressive loss of weight (>40kg) in 2 years.
On examination, she was emaciated with a body weight of 22kg.
Her vital signs were within the normal limits. The abdominal
examination revealed a slightly distended abdomen with positive
succession splash. Laboratory investigations were normal. Barium
follow-through showed a grossly distended stomach reaching down
to the pelvis
SMAS
Treatment
Conservative to
relieve obstruction
(decompression)
Options for surgery
include a
duodenojejunostomy
or gastrojejunostomy
Medical Surgical
ACUTE MESENTERIC
ISCHEMIA
Abdullah Hasan Al-hojaili
Definition
 Acute mesenteric ischemia (AMI) is a
syndrome caused by inadequate blood flow
through the mesenteric vessels, resulting in
ischemia and eventual gangrene of the bowel
wall. Although relatively rare, it is a potentially
life-threatening condition.
Risk Factors & Epidemiology
▪ Atherosclerosis.
▪ Arrhythmias.
▪ Hypovolemia.
▪ CHF.
▪ recent MI.
▪ valvular disease.
▪ advanced age.
▪ intra-abdominal malignancy.
▪ IBD .
▪ AMI is commonly
considered a
disease of the older
population(>60), but
may affect young !!
▪ African American
people and men
might be at higher
risk ??
Etiology of AMI
– Occlusive
• Embolic (AMAE)
• Thrombotic
(AMAT)
– Non-Occlusive
– Mesenteric Venous
Thrombosis
AMAE has better
prognosis and
outcome than AMAT ,
why ??
Cont.
occlusive
Thrombotic
1-
atherosclerosis
2- Aortic
dissection
3- Aortic
aneurysm
Embolic
1- cardiac
2- ruptured
atheromatous
plaque
Cont.
Non occlusive
hypotension
Digitalis !!
Vasopressors
Cocaine
Acute mesenteric ischemia
 Relatively Uncommon
 Difficult Diagnosis
 High Complication Rate
 High Mortality Rate 70%
Presentation
 “Half” with prior
symptoms of CMI
 Abdominal Pain :
sudden , sever , diffuse ,
non localized , constant.
► AMAT vs AMAE ??
This pain is
disproportionate to
physical examination
findings & not responding
to opioid .
 Nausea and vomiting
are found in 75%.
 Anorexia and diarrhea
progressing to
obstipation.
 Abdominal distention
and gastrointestinal (GI)
bleeding.
In NOMI Symptoms
typically develop over
several days.
Examination
 normal abdominal
examination in the
face of severe
abdominal pain.
 No signs of
peritonitis.
 abdominal
tenderness
,guarding , rigidity .
 These signs develop
when bowel become
necrotic or
perforated.
 Sign of septicemia
may be predicted .
Early late
Diagnosis
 PT
 aPPT
 INR
 CBC  hi WBCs
 Blood Chemistry  acidosis ,
hi LDH .
N.B.
These laboratory findings are
nonspecific and generally
unreliable.
 AXR
 Angiography
 CT & CTA
 MRI & MRA
 US & Duplex us
N.B.
Positive findings on plain abdominal
radiography are usually late and
nonspecific .
Lab studies Imaging studies
AXR
Pneumatosis
intestinalis (black
stripes of air)
in advanced acute
mesenteric ischemia
(AMI) with
gangrenous bowel.
AXR
Thumbprinting of
bowel, characteristic
of mesenteric artery
ischemia.
angiogram
Aortogram showing
narrowing of
superior mesenteric
artery.
CT & CTA
• CTA sagittal view
showing an SMA
thrombus (white
arrow)
• pneumatosis
intestinalis (black
arrow).
• (B) CTA coronal
view showing
pneumatosis
CT
CT scan (with
contrast) of
nonocclusive
mesenteric ischemia
with resulting bowel
wall edema (arrows).
Management
 Papaverine : is
phosphodiesterase inhibitor,
which acts to relax vascular
smooth muscle.
 Thrombolytics : The infusion
must be started within 8 hours of
symptom onset.
 Antibiotics & pain killer
 Laparotomy
 Revascularization
-embolectomy
-thrombectomy
 Determine viability
 Second-look
Medical Surgical
Determine viability
 Inspection: color,
pulses, peristalsis
 Hand-held doppler
Second look Laparotomy
A second-look
laparotomy is the most
reliable method of
determining bowel
viability.
Usually within 24 hours
gross specimen showing hemorrhagic dead bowel after
resection from patient with acute mesenteric ischemia.
Conclusion
• High index of suspicion
• Rapid preoperative evaluation
• Revascularization with open surgical
techniques
• Resection of non-viable bowel
• Liberal use of second-look
Conclusion
• Timely revascularization of symptomatic
patients with C.M.I. Will hopefully reduce
the incidence and subsequent high
morbidity/mortality of A.M.I.
MESENTERIC VENOUS
THROMBOSIS
Abdul-Aziz Mosa Hawsawi
Portal system
There are three veins that
carry blood from the
intestines:
1. the superior mesenteric
vein
2. the inferior mesenteric
vein
3. the splenic vein
Definition
 Mesenteric venous thrombosis occurs when
a blood clot forms in one or more of the major
veins that drain blood from your intestines.
This condition is rare, but it can lead to life-
threatening complications without prompt
treatment.
Etiology of MVT
• 20% Idiopathic
• Hypercoagulable States
• Low-flow (CHF, Cirrhosis with PH, Budd-
Chiari)
• Intra-abdominal inflammatory or
suppurative processes and malignancies
• Smoking, prior DVT or thrombosis
Diagnosis
• Plain Films
• CT
• Mesenteric Venography
CT
Coronal and axial
views of a computed
tomographic scan of
the abdomen
showing enlargement
of the superior
mesenteric vein. An
intraluminal clot is
seen (arrows),
showing extensive
thrombosis of the
superior mesenteric
vein.
Treatment
• Systemic Anticoagulation
• Exploration with resection of non-viable bowel for
peritonitis.
Median arcuate ligament syndrome
 Celiac Artery
Compression Syndrome
 Etiology - Compression
of CA by the median
arcuate ligament.
 Female 20-40 years old
 Symptom - post-
prandial epigastric
abdominal pain
 Treatment - release the
median arcuate
ligament
Angio/CTA
Angioplasty
Mesenteric ischemia

Mesenteric ischemia

  • 1.
  • 2.
    BY 1. Abdullah HasanAlhojaili 2. Alhassan Ali Alghamdi 3. Abdulaziz Mosa Hawsawi Mesenteric ischemia
  • 3.
  • 4.
  • 5.
    Anatomy SMA & IMAsupply midgut and hindgut respectively
  • 6.
  • 7.
    Definition Mesenteric ischemia isdefined as a condition in which the supply of oxygen or blood is too small to satisfy the needs of the intestines. Ischemia can affect the small intestine, the colon or both. It can be acute and chronic.
  • 8.
    Mesenteric ischemic syndromes Chronic – Atherosclerotic – Non-atherosclerotic  Acute – Occlusive • Embolic • Thrombotic (most common) – Non-Occlusive – Mesenteric Venous Thrombosis
  • 9.
    Chronic mesenteric ischemia •Relatively Uncommon • Usually 2-3 vessel disease • Asymptomatic Mesenteric Stenosis 6-24%
  • 10.
    Chronic mesenteric ischemia •Usually Women • Younger • Smokers • 2/3 with Other Vascular Disease – Half with abdominal bruit • Classic Symptoms – Post-prandial Pain – Weight Loss – sitophobia?? – GI ulceration
  • 11.
    Diagnosis Clinical: “high indexof suspicion” R/o other causes for atypical abdominal pain
  • 12.
    Diagnosis • PT ,aPPT, INR • CBC  anemia • Blood Chemistry  electrolyte abnormalities . • Urinalysis - to rule out stones or infection • (LFTs) – hypoalbuminemia. • Angiography • CT & CTA • MRI & MRA • US & Duplex us Lab studies Imaging studies Electrocardiography (ECG) to rule out cardiac disease
  • 13.
    angiography Chronic mesenteric ischemia Lateral abdominalaortogram shows occlusion of the celiac and IMA Severe stenosis .
  • 14.
    CTA A CT angiogram showingocclusion of the coeliac axis and tight stenosis of the superior mesenteric artery
  • 15.
    Managment  The maintherapy is surgical which is : open or endovascular revascularization .  medical management is warranted only when the risks of revascularization outweigh the benefits. Nitrate therapy may provide short-term relief but is not curative. Anticoagulation therapy with warfarin is indicated.
  • 16.
    Superior mesenteric artery syndrome(SMAS)  Superior mesenteric artery syndrome is a rare condition first described by Rokitansky in1861. The condition results from a reduced angle between the artery at its origin from the abdominal aorta and the transverse third part of the duodenum causing duodenal obstruction. Diagnosis of the syndrome depends on high index of suspicion, augmented by the radiological features of the syndrome. Treatment can either be conservative or operative, depending on the severity of the condition.
  • 17.
    Case report  A19-year-old female presented to the out-patient department of King Fahad Medical City with a two-year history of recurrent abdominal pain associated with feeling of fullness and vomiting after meals together with progressive loss of weight (>40kg) in 2 years. On examination, she was emaciated with a body weight of 22kg. Her vital signs were within the normal limits. The abdominal examination revealed a slightly distended abdomen with positive succession splash. Laboratory investigations were normal. Barium follow-through showed a grossly distended stomach reaching down to the pelvis
  • 18.
  • 19.
    Treatment Conservative to relieve obstruction (decompression) Optionsfor surgery include a duodenojejunostomy or gastrojejunostomy Medical Surgical
  • 20.
  • 21.
    Definition  Acute mesentericischemia (AMI) is a syndrome caused by inadequate blood flow through the mesenteric vessels, resulting in ischemia and eventual gangrene of the bowel wall. Although relatively rare, it is a potentially life-threatening condition.
  • 22.
    Risk Factors &Epidemiology ▪ Atherosclerosis. ▪ Arrhythmias. ▪ Hypovolemia. ▪ CHF. ▪ recent MI. ▪ valvular disease. ▪ advanced age. ▪ intra-abdominal malignancy. ▪ IBD . ▪ AMI is commonly considered a disease of the older population(>60), but may affect young !! ▪ African American people and men might be at higher risk ??
  • 23.
    Etiology of AMI –Occlusive • Embolic (AMAE) • Thrombotic (AMAT) – Non-Occlusive – Mesenteric Venous Thrombosis AMAE has better prognosis and outcome than AMAT , why ??
  • 24.
  • 25.
  • 26.
    Acute mesenteric ischemia Relatively Uncommon  Difficult Diagnosis  High Complication Rate  High Mortality Rate 70%
  • 27.
    Presentation  “Half” withprior symptoms of CMI  Abdominal Pain : sudden , sever , diffuse , non localized , constant. ► AMAT vs AMAE ?? This pain is disproportionate to physical examination findings & not responding to opioid .  Nausea and vomiting are found in 75%.  Anorexia and diarrhea progressing to obstipation.  Abdominal distention and gastrointestinal (GI) bleeding. In NOMI Symptoms typically develop over several days.
  • 28.
    Examination  normal abdominal examinationin the face of severe abdominal pain.  No signs of peritonitis.  abdominal tenderness ,guarding , rigidity .  These signs develop when bowel become necrotic or perforated.  Sign of septicemia may be predicted . Early late
  • 29.
    Diagnosis  PT  aPPT INR  CBC  hi WBCs  Blood Chemistry  acidosis , hi LDH . N.B. These laboratory findings are nonspecific and generally unreliable.  AXR  Angiography  CT & CTA  MRI & MRA  US & Duplex us N.B. Positive findings on plain abdominal radiography are usually late and nonspecific . Lab studies Imaging studies
  • 30.
    AXR Pneumatosis intestinalis (black stripes ofair) in advanced acute mesenteric ischemia (AMI) with gangrenous bowel.
  • 31.
  • 32.
  • 33.
    CT & CTA •CTA sagittal view showing an SMA thrombus (white arrow) • pneumatosis intestinalis (black arrow). • (B) CTA coronal view showing pneumatosis
  • 34.
    CT CT scan (with contrast)of nonocclusive mesenteric ischemia with resulting bowel wall edema (arrows).
  • 35.
    Management  Papaverine :is phosphodiesterase inhibitor, which acts to relax vascular smooth muscle.  Thrombolytics : The infusion must be started within 8 hours of symptom onset.  Antibiotics & pain killer  Laparotomy  Revascularization -embolectomy -thrombectomy  Determine viability  Second-look Medical Surgical
  • 36.
    Determine viability  Inspection:color, pulses, peristalsis  Hand-held doppler
  • 37.
    Second look Laparotomy Asecond-look laparotomy is the most reliable method of determining bowel viability. Usually within 24 hours gross specimen showing hemorrhagic dead bowel after resection from patient with acute mesenteric ischemia.
  • 38.
    Conclusion • High indexof suspicion • Rapid preoperative evaluation • Revascularization with open surgical techniques • Resection of non-viable bowel • Liberal use of second-look
  • 39.
    Conclusion • Timely revascularizationof symptomatic patients with C.M.I. Will hopefully reduce the incidence and subsequent high morbidity/mortality of A.M.I.
  • 40.
  • 41.
    Portal system There arethree veins that carry blood from the intestines: 1. the superior mesenteric vein 2. the inferior mesenteric vein 3. the splenic vein
  • 42.
    Definition  Mesenteric venousthrombosis occurs when a blood clot forms in one or more of the major veins that drain blood from your intestines. This condition is rare, but it can lead to life- threatening complications without prompt treatment.
  • 43.
    Etiology of MVT •20% Idiopathic • Hypercoagulable States • Low-flow (CHF, Cirrhosis with PH, Budd- Chiari) • Intra-abdominal inflammatory or suppurative processes and malignancies • Smoking, prior DVT or thrombosis
  • 44.
    Diagnosis • Plain Films •CT • Mesenteric Venography
  • 45.
    CT Coronal and axial viewsof a computed tomographic scan of the abdomen showing enlargement of the superior mesenteric vein. An intraluminal clot is seen (arrows), showing extensive thrombosis of the superior mesenteric vein.
  • 46.
    Treatment • Systemic Anticoagulation •Exploration with resection of non-viable bowel for peritonitis.
  • 47.
    Median arcuate ligamentsyndrome  Celiac Artery Compression Syndrome  Etiology - Compression of CA by the median arcuate ligament.  Female 20-40 years old  Symptom - post- prandial epigastric abdominal pain  Treatment - release the median arcuate ligament
  • 48.
  • 49.