Acute Encephalitis Syndrome
Dr. Shivaom Chaurasia
Resident
Internal Medicine
DEFINITION
• Encephalitis is defined as an inflammation of the brain (parenchyma)
caused either by infection, usually with a virus, or from a primary
autoimmune process.
• Acute encephalitis associated with viral infections includes 2 distinct
clinical-pathological diseases.
• ACUTE VIRAL ENCEPHALITIS
• Postinfectious encephalomyelitis
• WHO introduced the term Acute Encephalitis Syndrome (AES) - increase
number of reported cases.
• reportable and should be reported as acute encephalitic syndrome.
WHO Clinical case definition of acute encephalitis syndrome
• Person of any age, at any time of year, with
• Acute onset of fever (5-7 day) AND
• Change in mental status (including symptoms such as confusion, disorientation,
coma, or inability to talk) AND/OR
• New onset of seizures (excluding simple febrile seizures)
• Other early clinical findings
• an increase in irritability, somnolence or abnormal behavior greater.
MENINGITIS VERSUS ENCEPHALITIS
• The important distinguishing feature the presence or absence of normal brain
function .
• Meningitis –
• uncomfortable, lethargic, or distracted by headache, but their cerebral function remains
normal.
• Seizures and postictal states more with meningitis
• Encephalitis - abnormalities in brain function are a differentiating feature,
• altered mental status, motor or sensory deficits, altered behavior and personality
changes, and speech or movement disorders.
• Other neurologic manifestations include hemiparesis, flaccid paralysis, and paresthesias.
• Usually labeled meningitis or encephalitis based upon which features
predominate in the illness
• Meningoencephalitis common term that recognizes the overlap.
VIRAL VERSUS POSTINFECTIOUS ENCEPHALITIS
• Viral encephalitis can be either primary or postinfectious.
• Primary infection
• Characterized by viral invasion of the CNS.
• Neuronal involvement identified on histologic examination
• Postinfectious encephalitis (acute disseminated encephalomyelitis, or
ADEM)
• virus cannot be detected or recovered, and the neurons are spared .
• Perivascular inflammation and demyelination are prominent in this entity.
• inability to recover a virus and histologic abnormalities (immune-mediated disease)
• measles, varicella, or rubella, can produce either syndrome.
Epidemiology
• Public health concern worldwide - high morbidity and mortality
• Incidence - 5-10 per 100 000/year
• More common in children and the elderly
• Slight predominance in males
• MOST COMMON-
• IMMUNOCOMPROMISED- CMV
• SPORADIC- HSV 1
• EPIDEMIC- HHV 6
Etiology
Pathogenesis
• Respiratory/olfactory, GI, GU, skin, conjunctiva, blood
• Entry into the CNS
• Hematogenous dissemination
• Intraneural spread –
• HSV via olfactory nerves.
• Neurovirulence
• Direct cytopathic effect
• Immune-mediated injury
• Histopathologic Changes
• Perivascular infiltration of mononuclear inflammatory cells
• Reactive astrocytosis
• Formation of glial nodules
• Neuronophagia
• Immunopathology
• Cytotoxic T cells & phagocytic macrophages act as effectors
• Interferons (α, β, and γ) and their regulatory transacting proteins act to limit CNS virus
replication
• IL-1β, IL-6, and TNF-α are injurious
• Specific sites of viral predilection
• Temporal and inferior frontal lobes (HSV)
• Periventricular areas (CMV)
• Limbic system (RV)
• Cerebellum (VZV)
• Basal ganglia (JEV)
Clinical manifestation
• Severity - very mild to extreme
• Progressive constellation of symptoms evolves over a period of days
• Acute febrile illness
• Frequent meningeal involvement (headache, neck stiffness)
• Brain parenchymal involvement
• Seizures, behavioral changes, weakness, altered sensorium - coma
• Hallucination, agitation, personality change, frankly psychotic state
• Focal findings:
• aphasia, ataxia, UMN/LMN patterns of weakness, involuntary movements (e.g.
myoclonus, tremor), CN deficits
• Involvement of hypothalamic-pituitary axis:
• Temp dysregulation, DI, SIADH
• Extraneural features
• Parotitis (mumps)
• Pharyngitis & lymphadenopathy (EBV)
• Dermatomal rash (VZV)
• Herpangina (Coxsackie virus)
• Pneumonitis (LCMV)
LABORATORY DIAGNOSIS
CSF Examination:
• Performed in all patients with suspected viral encephalitis unless
contraindicated
• The characteristic CSF profile is indistinguishable from that of viral
meningitis
• lymphocytic pleocytosis, a mildly elevated protein concentration, and a normal
glucose concentration.
• Rarely a pleocytosis may be absent on the initial lumbar puncture (LP) but present
on subsequent LPs.
• Persisting CSF neutrophilia
• R/O bacterial infection, leptospirosis, amebic infection, and noninfectious processes
such as acute hemorrhagic leukoencephalitis.
IMPORTANT CLUES:
• Severely immunocompromised - may fail to mount a CSF inflammatory response.
• Cell counts >1000/μL - Arboviruses, mumps, and lymphocytic choriomeningitis
virus (LCMV)
• r/o possibility of nonviral infections or other inflammatory processes.
• Atypical lymphocytes - EBV , CMV , HSV, and enteroviruses.
• Increased numbers of plasmacytoid or Mollaret-like large mononuclear cells -
WNV encephalitis.
• Red blood cells (>500/μL) nontraumatic tap (20%)- HSV
CSF POLYMERASE CHAIN REACTION
• Primary diagnostic test - CMV, EBV, HHV-6, and enteroviruses.
• VZV CNS infection - CSF PCR and detection of virus-specific IgM or
intrathecal antibody synthesis
• Sensitivity (~96%) Specificity (~99%)
• Decreases with the duration of illness
• ~20% of cases remaining positive after ≥14 days.
• Not affected by ≤1 week of antiviral therapy
CSF Culture
• Limited ROLE.
• Insensitive
• >95% HSV encephalitis - negative CSF cultures
• Takes too long to significantly effect immediate therapy.
Serologic Studies and Antigen Detection
• HSV CSF antibody testing (HSV-1 glycoproteins and HSV glycoprotein
antigens) selected patients
• >1 week in duration and who are CSF PCR–negative for HSV.
• VZV infection
• PCR fails to detect viral DNA, and regarded complementary .
• WNV IgM antibodies diagnostic - WNV encephalitis
• Indicative of intrathecal synthesis.
• CSF WNV IgM seropositivity increases by ~10% per day during the first week
reaching 80% or higher on day 7.
• Persist in some patients for >1 year following acute infection.
MRI, CT, and EEG
• Identify or exclude alternative diagnoses and differentiation between a
focal or diffuse.
• Focal findings - raises possibility of HSV encephalitis.
• Examples of focal findings include:
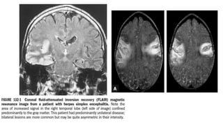
• MRI (T2; FLAIR, DWI) --- areas of increased signal intensity in the frontotemporal,
cingulate, or insular regions of the brain;
• CECT - focal areas of low absorption, mass effect; or
• EEG - periodic focal temporal lobe spikes on a background of slow or low-amplitude
(“flattened”) activity.
• PCR documented HSV encephalitis
• 80% will have abnormalities in the temporal lobe, and an additional 10% in
extratemporal regions.
• CT is less sensitive than MRI
• normal in up to 20–35% of patients.
• EEG abnormalities >75% of PCR-documented HSV encephalitis (2/3);
• typically involve the temporal lobes but are often nonspecific.
• a distinctive EEG pattern consisting of periodic, stereotyped, sharp-and-slow
complexes originating in one or both temporal lobes and repeating at regular
intervals of 2–3 s.
• between days 2 and 15 of the illness
• WNV encephalitis
• MRI Abnormalities (2/3)
• deep brain structures (thalamus, basal ganglia, and brainstem), rather than the cortex apparent
on FLAIR images.
• EEGs –
• generalized slowing more anteriorly prominent than the temporally
• predominant pattern of sharp or periodic discharges more characteristic of HSV encephalitis.
• VZV encephalitis
• show multifocal areas of hemorrhagic and ischemic infarction.
• CMV (Immunocompromised adult)
• enlarged ventricles with areas of increased T2 signal on MRI outlining the ventricles
and subependymal enhancement on T1-weighted postcontrast images.
Brain Biopsy
• Reserved for
• CSF PCR studies fail to lead to a specific diagnosis,
• focal abnormalities on MRI,
• no serologic evidence of autoimmune disease, and
• progressive clinical deterioration despite treatment with acyclovir and
supportive therapy
DIFFERENTIAL DIAGNOSIS
• Emergent issues
• ABC of resuscitation
• Consider admission to ICU
• Fluid restriction
• Suppression of Fever
• Management of raised ICP
Treatment
Management Increased intracranial pressure:
• Mannitol
• initial bolus of 0.25 g/kg, then 0.25 g/kg, q6h as per requirement, up to 48 hours.
• Hypertonic (3%) saline
• preferable to mannitol in the presence of hypotension, hypovolemia, and renal failure.
• Dose - 0.1–1 mL/kg/hr by infusion;
• Intubation Indication-
• if the GCS is less than 8, or
• if there is evidence of uncal or cerebellar herniation, or
• if the patient has irregular respirations and inability to maintain airway.
• If there are signs of impending herniation
• hyperventilated to a target PaCO2 of 30– 35 mm Hg
Treatment:
• Acyclovir
• Empirically in HSV patients with suspected viral encephalitis, especially with focal
features, while awaiting viral diagnostic studies.
• Adults dose - 10 mg/kg of acyclovir intravenously every 8 h (30 mg/kg per day
total dose) for 21 days.
• Diluted to a concentration ≤7 mg/mL and transfused slowly over 1 hr.
• Side effects-
• local inflammation and phlebitis (9%), elevations in blood urea nitrogen and
creatinine levels (5%), thrombocytopenia (6%), gastrointestinal toxicity (nausea,
vomiting, diarrhea) (7%), and neurotoxicity (lethargy or obtundation,
disorientation, confusion, agitation, hallucinations, tremors, seizures) (1%).
.
• Penetration into CSF excellent -average drug levels ~50% of serum
levels.
• Has reduced mortality from 70% to around 10%.
• Oral acyclovir, famciclovir, and valacyclovir (efficacy against HSV, VZV,
EBV) have not been evaluated in the treatment of encephalitis either as
primary therapy or as supplemental therapy
• Adjunctive intravenous glucocorticoids in treatment of HSV and VZV
infection remains unclear.
• Ganciclovir and foscarnet, either alone or in combination, are often used in the
treatment of
• CMV-related CNS infections, efficacy remains unproven.
• Cidofovir may provide
• an alternative in patients who fail to respond to ganciclovir and foscarnet
• data extremely limited.
• Prevention of Complications –
• aspiration pneumonia, stasis ulcers and decubiti, contractures, deep-venous thrombosis and its
complications, and infections of indwelling lines and catheters.
Sequelae
• Behavioural and psychiatric disturbances
• Epilepsy
• Post-encephalitic parkinsonism
• Memory difficulties
• Speech disturbances
• Permanent home care
Prognosis
• Factors of bad prognosis
• Severe neurologic impairment
• Older age
• High viral load in CSF
• Delay in initiation of therapy
Rehabilitation
• Periodic neuropsychiatric evaluation
• Speech therapy
• Physiotherapy
• Occupational rehabilitation
Conclusion
• Acute viral encephalitis is frequently devastating .
• All patients with a febrile illness and altered behaviour or
consciousness should be investigated promptly for viral encephalitis .
• Patients suspected need a lumbar puncture as soon as possible.
• Early institution of therapy improves prognosis.
References:
• Medicine_Update_2018
• API_Textbook_of_Medicine_(2_Volumes),_9th_Edition
• Harrison’s_Principles_of_Internal_Medicine,_Twentieth_Edition_(Vol.1_&_Vo
l.2
• Davidsons Principles and Practice of Medicine 23rd ed
• UpToDate
• “Management of suspected viral encephalitis in adults – Association of British
Neurologists and British Infection Association National Guidelines”
• Neurol Clin Pract. 2014 Jun; 4(3): 206–215.
doi: 10.1212/CPJ.0000000000000036
THANK YOU

Acute encephalitis syndrome final shivaom

  • 1.
    Acute Encephalitis Syndrome Dr.Shivaom Chaurasia Resident Internal Medicine
  • 2.
    DEFINITION • Encephalitis isdefined as an inflammation of the brain (parenchyma) caused either by infection, usually with a virus, or from a primary autoimmune process. • Acute encephalitis associated with viral infections includes 2 distinct clinical-pathological diseases. • ACUTE VIRAL ENCEPHALITIS • Postinfectious encephalomyelitis • WHO introduced the term Acute Encephalitis Syndrome (AES) - increase number of reported cases. • reportable and should be reported as acute encephalitic syndrome.
  • 3.
    WHO Clinical casedefinition of acute encephalitis syndrome • Person of any age, at any time of year, with • Acute onset of fever (5-7 day) AND • Change in mental status (including symptoms such as confusion, disorientation, coma, or inability to talk) AND/OR • New onset of seizures (excluding simple febrile seizures) • Other early clinical findings • an increase in irritability, somnolence or abnormal behavior greater.
  • 4.
    MENINGITIS VERSUS ENCEPHALITIS •The important distinguishing feature the presence or absence of normal brain function . • Meningitis – • uncomfortable, lethargic, or distracted by headache, but their cerebral function remains normal. • Seizures and postictal states more with meningitis • Encephalitis - abnormalities in brain function are a differentiating feature, • altered mental status, motor or sensory deficits, altered behavior and personality changes, and speech or movement disorders. • Other neurologic manifestations include hemiparesis, flaccid paralysis, and paresthesias. • Usually labeled meningitis or encephalitis based upon which features predominate in the illness • Meningoencephalitis common term that recognizes the overlap.
  • 5.
    VIRAL VERSUS POSTINFECTIOUSENCEPHALITIS • Viral encephalitis can be either primary or postinfectious. • Primary infection • Characterized by viral invasion of the CNS. • Neuronal involvement identified on histologic examination • Postinfectious encephalitis (acute disseminated encephalomyelitis, or ADEM) • virus cannot be detected or recovered, and the neurons are spared . • Perivascular inflammation and demyelination are prominent in this entity. • inability to recover a virus and histologic abnormalities (immune-mediated disease) • measles, varicella, or rubella, can produce either syndrome.
  • 7.
    Epidemiology • Public healthconcern worldwide - high morbidity and mortality • Incidence - 5-10 per 100 000/year • More common in children and the elderly • Slight predominance in males • MOST COMMON- • IMMUNOCOMPROMISED- CMV • SPORADIC- HSV 1 • EPIDEMIC- HHV 6
  • 8.
  • 9.
    Pathogenesis • Respiratory/olfactory, GI,GU, skin, conjunctiva, blood • Entry into the CNS • Hematogenous dissemination • Intraneural spread – • HSV via olfactory nerves. • Neurovirulence • Direct cytopathic effect • Immune-mediated injury
  • 10.
    • Histopathologic Changes •Perivascular infiltration of mononuclear inflammatory cells • Reactive astrocytosis • Formation of glial nodules • Neuronophagia • Immunopathology • Cytotoxic T cells & phagocytic macrophages act as effectors • Interferons (α, β, and γ) and their regulatory transacting proteins act to limit CNS virus replication • IL-1β, IL-6, and TNF-α are injurious • Specific sites of viral predilection • Temporal and inferior frontal lobes (HSV) • Periventricular areas (CMV) • Limbic system (RV) • Cerebellum (VZV) • Basal ganglia (JEV)
  • 11.
    Clinical manifestation • Severity- very mild to extreme • Progressive constellation of symptoms evolves over a period of days • Acute febrile illness • Frequent meningeal involvement (headache, neck stiffness) • Brain parenchymal involvement • Seizures, behavioral changes, weakness, altered sensorium - coma • Hallucination, agitation, personality change, frankly psychotic state
  • 12.
    • Focal findings: •aphasia, ataxia, UMN/LMN patterns of weakness, involuntary movements (e.g. myoclonus, tremor), CN deficits • Involvement of hypothalamic-pituitary axis: • Temp dysregulation, DI, SIADH • Extraneural features • Parotitis (mumps) • Pharyngitis & lymphadenopathy (EBV) • Dermatomal rash (VZV) • Herpangina (Coxsackie virus) • Pneumonitis (LCMV)
  • 13.
    LABORATORY DIAGNOSIS CSF Examination: •Performed in all patients with suspected viral encephalitis unless contraindicated • The characteristic CSF profile is indistinguishable from that of viral meningitis • lymphocytic pleocytosis, a mildly elevated protein concentration, and a normal glucose concentration. • Rarely a pleocytosis may be absent on the initial lumbar puncture (LP) but present on subsequent LPs. • Persisting CSF neutrophilia • R/O bacterial infection, leptospirosis, amebic infection, and noninfectious processes such as acute hemorrhagic leukoencephalitis.
  • 14.
    IMPORTANT CLUES: • Severelyimmunocompromised - may fail to mount a CSF inflammatory response. • Cell counts >1000/μL - Arboviruses, mumps, and lymphocytic choriomeningitis virus (LCMV) • r/o possibility of nonviral infections or other inflammatory processes. • Atypical lymphocytes - EBV , CMV , HSV, and enteroviruses. • Increased numbers of plasmacytoid or Mollaret-like large mononuclear cells - WNV encephalitis. • Red blood cells (>500/μL) nontraumatic tap (20%)- HSV
  • 15.
    CSF POLYMERASE CHAINREACTION • Primary diagnostic test - CMV, EBV, HHV-6, and enteroviruses. • VZV CNS infection - CSF PCR and detection of virus-specific IgM or intrathecal antibody synthesis • Sensitivity (~96%) Specificity (~99%) • Decreases with the duration of illness • ~20% of cases remaining positive after ≥14 days. • Not affected by ≤1 week of antiviral therapy
  • 16.
    CSF Culture • LimitedROLE. • Insensitive • >95% HSV encephalitis - negative CSF cultures • Takes too long to significantly effect immediate therapy.
  • 17.
    Serologic Studies andAntigen Detection • HSV CSF antibody testing (HSV-1 glycoproteins and HSV glycoprotein antigens) selected patients • >1 week in duration and who are CSF PCR–negative for HSV. • VZV infection • PCR fails to detect viral DNA, and regarded complementary . • WNV IgM antibodies diagnostic - WNV encephalitis • Indicative of intrathecal synthesis. • CSF WNV IgM seropositivity increases by ~10% per day during the first week reaching 80% or higher on day 7. • Persist in some patients for >1 year following acute infection.
  • 18.
    MRI, CT, andEEG • Identify or exclude alternative diagnoses and differentiation between a focal or diffuse. • Focal findings - raises possibility of HSV encephalitis. • Examples of focal findings include: • MRI (T2; FLAIR, DWI) --- areas of increased signal intensity in the frontotemporal, cingulate, or insular regions of the brain; • CECT - focal areas of low absorption, mass effect; or • EEG - periodic focal temporal lobe spikes on a background of slow or low-amplitude (“flattened”) activity.
  • 19.
    • PCR documentedHSV encephalitis • 80% will have abnormalities in the temporal lobe, and an additional 10% in extratemporal regions. • CT is less sensitive than MRI • normal in up to 20–35% of patients. • EEG abnormalities >75% of PCR-documented HSV encephalitis (2/3); • typically involve the temporal lobes but are often nonspecific. • a distinctive EEG pattern consisting of periodic, stereotyped, sharp-and-slow complexes originating in one or both temporal lobes and repeating at regular intervals of 2–3 s. • between days 2 and 15 of the illness
  • 20.
    • WNV encephalitis •MRI Abnormalities (2/3) • deep brain structures (thalamus, basal ganglia, and brainstem), rather than the cortex apparent on FLAIR images. • EEGs – • generalized slowing more anteriorly prominent than the temporally • predominant pattern of sharp or periodic discharges more characteristic of HSV encephalitis. • VZV encephalitis • show multifocal areas of hemorrhagic and ischemic infarction. • CMV (Immunocompromised adult) • enlarged ventricles with areas of increased T2 signal on MRI outlining the ventricles and subependymal enhancement on T1-weighted postcontrast images.
  • 23.
    Brain Biopsy • Reservedfor • CSF PCR studies fail to lead to a specific diagnosis, • focal abnormalities on MRI, • no serologic evidence of autoimmune disease, and • progressive clinical deterioration despite treatment with acyclovir and supportive therapy
  • 24.
  • 26.
    • Emergent issues •ABC of resuscitation • Consider admission to ICU • Fluid restriction • Suppression of Fever • Management of raised ICP Treatment
  • 27.
    Management Increased intracranialpressure: • Mannitol • initial bolus of 0.25 g/kg, then 0.25 g/kg, q6h as per requirement, up to 48 hours. • Hypertonic (3%) saline • preferable to mannitol in the presence of hypotension, hypovolemia, and renal failure. • Dose - 0.1–1 mL/kg/hr by infusion; • Intubation Indication- • if the GCS is less than 8, or • if there is evidence of uncal or cerebellar herniation, or • if the patient has irregular respirations and inability to maintain airway. • If there are signs of impending herniation • hyperventilated to a target PaCO2 of 30– 35 mm Hg
  • 30.
    Treatment: • Acyclovir • Empiricallyin HSV patients with suspected viral encephalitis, especially with focal features, while awaiting viral diagnostic studies. • Adults dose - 10 mg/kg of acyclovir intravenously every 8 h (30 mg/kg per day total dose) for 21 days. • Diluted to a concentration ≤7 mg/mL and transfused slowly over 1 hr. • Side effects- • local inflammation and phlebitis (9%), elevations in blood urea nitrogen and creatinine levels (5%), thrombocytopenia (6%), gastrointestinal toxicity (nausea, vomiting, diarrhea) (7%), and neurotoxicity (lethargy or obtundation, disorientation, confusion, agitation, hallucinations, tremors, seizures) (1%). .
  • 31.
    • Penetration intoCSF excellent -average drug levels ~50% of serum levels. • Has reduced mortality from 70% to around 10%. • Oral acyclovir, famciclovir, and valacyclovir (efficacy against HSV, VZV, EBV) have not been evaluated in the treatment of encephalitis either as primary therapy or as supplemental therapy • Adjunctive intravenous glucocorticoids in treatment of HSV and VZV infection remains unclear.
  • 32.
    • Ganciclovir andfoscarnet, either alone or in combination, are often used in the treatment of • CMV-related CNS infections, efficacy remains unproven. • Cidofovir may provide • an alternative in patients who fail to respond to ganciclovir and foscarnet • data extremely limited. • Prevention of Complications – • aspiration pneumonia, stasis ulcers and decubiti, contractures, deep-venous thrombosis and its complications, and infections of indwelling lines and catheters.
  • 34.
    Sequelae • Behavioural andpsychiatric disturbances • Epilepsy • Post-encephalitic parkinsonism • Memory difficulties • Speech disturbances • Permanent home care
  • 35.
    Prognosis • Factors ofbad prognosis • Severe neurologic impairment • Older age • High viral load in CSF • Delay in initiation of therapy
  • 36.
    Rehabilitation • Periodic neuropsychiatricevaluation • Speech therapy • Physiotherapy • Occupational rehabilitation
  • 37.
    Conclusion • Acute viralencephalitis is frequently devastating . • All patients with a febrile illness and altered behaviour or consciousness should be investigated promptly for viral encephalitis . • Patients suspected need a lumbar puncture as soon as possible. • Early institution of therapy improves prognosis.
  • 38.
    References: • Medicine_Update_2018 • API_Textbook_of_Medicine_(2_Volumes),_9th_Edition •Harrison’s_Principles_of_Internal_Medicine,_Twentieth_Edition_(Vol.1_&_Vo l.2 • Davidsons Principles and Practice of Medicine 23rd ed • UpToDate • “Management of suspected viral encephalitis in adults – Association of British Neurologists and British Infection Association National Guidelines” • Neurol Clin Pract. 2014 Jun; 4(3): 206–215. doi: 10.1212/CPJ.0000000000000036
  • 39.

Editor's Notes

  • #5 The importance of distinguishing between encephalitis and aseptic meningitis relates to the fact that the likely cause of each syndrome is different. However, the distinction between the two entities can be frequently blurred since some patients may have both a parenchymal and meningeal process with clinical features of both.
  • #6 The virus can often be cultured from brain tissue. Primary infection characterized by viral invasion of the CNS. Neuronal involvement identified on histologic examination (inclusion bodies on light microscopy or viral particles on electron microscopy.) Postinfectious encephalitis (acute disseminated encephalomyelitis, or ADEM) virus cannot be detected or recovered, and the neurons are spared . Perivascular inflammation and demyelination are prominent in this entity. inability to recover a virus and the type of histologic abnormalities observed suggest that postinfectious encephalitis is an immune-mediated disease  viral infections, such as measles, varicella, or rubella, can produce either syndrome.
  • #14 The presence of severely increased intracranial pressure (ICP). Ideally at least 20 mL should be collected with 5–10 mL stored frozen for later studies as needed.
  • #15 CSF pleocytosis (>5 cells/μL) >95% of immunocompetent patients (documented viral encephalitis). Polymorphonuclear pleocytosis occurs in ~45% of patients with WNV encephalitis and is also a common feature in CMV myeloradiculitis in immunocompromised patients. may be hemorrhagic encephalitis of the type seen with HSV; nonherpetic focal encephalitides. INCREASED CSF polymorphonuclear leukocytes - EEE virus, echovirus 9, and rarely, other enteroviruses. Decreased CSF glucose - unusual in viral encephalitis should suggest the possibility of bacterial, fungal, tuberculous, parasitic, leptospiral, syphilitic, sarcoid, or neoplastic meningitis. Rare patients with mumps, LCMV, or advanced HSV encephalitis and many patients with CMV myeloradiculitis have low CSF glucose concentrations.
  • #16 There have been reports of initially negative HSV CSF PCR tests that were obtained early (≤72 h) following symptom onset and that became positive when repeated 1–3 days later. Enteroviral (EV) CSF PCR appears to have a sensitivity and specificity of >95%. In patients with CNS infection due to VZV, CSF antibody and PCR studies should be considered complementary because patients may have evidence of intrathecal synthesis of VZV-specific antibodies and negative CSF PCRs. In the case of WNV infection, CSF PCR appears to be less sensitive than detection of WNV-specific CSF IgM, although PCR testing remains useful in immunocompromised patients who may not mount an effective anti-WNV antibody response. A negative HSV CSF PCR test with a high likelihood of HSV encephalitis based on clinical and laboratory abnormalities significantly reduces the likelihood of HSV encephalitis but does not exclude it. In one study, 98% of CSF specimens remained PCR-positive during the first week of antiviral therapy, but the numbers fell to ~50% by 8–14 days and to ~21% by >15 days after initiation of antiviral therapy. It is important to recognize that HSV CSF PCR results need to be interpreted after considering the likelihood of disease in the patient being tested, the timing of the test in relationship to onset of symptoms, and the prior use of antiviral therapy. For example, in a patient with a pretest probability of 35% of having HSV encephalitis, a negative HSV CSF PCR reduces the posttest probability to ~2%, and for a patient with a pretest probability of 60%, a negative test reduces the posttest probability to ~6%. In both situations, a positive test makes the diagnosis almost certain (98–99%). EV PCR sensitivity for EV71 may be considerably lower (~30% in some reports). Parechoviruses are also not detected by standard EV RT-PCRs. The specificity of EBV CSF PCR has not been established. Positive EBV CSF PCRs associated with positive tests for other pathogens have been reported and may reflect reactivation of EBV latent in lymphocytes that enter the CNS as a result of an unrelated infectious or inflammatory process. Unbiased rapid parallel sequencing technologies capable of identifying infectious genomes in CSF, brain, and other tissues have recently shown great promise for rapid diagnosis of obscure cases of encephalitis and other brain infections. The sensitivity and specificity of CSF PCR tests for viruses other than HSV have not been definitively characterized.
  • #18 More useful for Low seroprevalence rates - Diagnosis by documenting seroconversion between acute-phase and convalescent sera (typically obtained after 2–4 weeks) or demonstrating the presence of virus-specific IgM antibodies. Serum antibody determination less useful -high seroprevalence rates in the general population such as HSV, VZV, CMV, and EBV. High seroprevalence such as VZV and HSV, an increased IgG index or the presence of CSF IgM antibodies. Unfortunately, the delay between onset of infection and the host’s generation of a virus-specific antibody response often means that serologic data are useful mainly for the retrospective establishment of a specific diagnosis, rather than in aiding acute diagnosis or management. Optimal detection of both HSV antibodies and antigen typically occurs after the first week of illness, limiting the utility of these tests in acute diagnosis.
  • #19 Patients with suspected encephalitis almost invariably undergo neuroimaging studies and often electroencephalogram (EEG). The lesions are typically hyperintense on T2-weighted images. The addition of FLAIR and diffusion-weighted images to the standard MRI sequences enhances sensitivity. Children with HSV encephalitis may have atypical patterns of MRI lesions and often show involvement of brain regions outside the frontotemporal areas.
  • #21 VZV encephalitis show multifocal areas of hemorrhagic and ischemic infarction, reflecting the tendency of this virus to produce a CNS vasculopathy rather than a true encephalitis.
  • #26 Diagnostic Criteria for Acute Encephalitis Major Criterion (required): Altered mental status (decreased/altered level of consciousness, lethargy or personality change) ≥24hrs, no alternative cause identified Minor Criteria Documented fever ≥38° C within 72hrs before or after presentation Generalized/partial seizures not fully attributable to preexisting seizure disorder New onset focal neurologic findings CSF WBC count ≥5/mm³ Neuroimaging suggestive of encephalitis either new from prior studies or appears acute in onset Abnormality on EEG consistent with encephalitis and not attributable to another cause 2 for possible encephalitis ≥3 for probable or confirmed encephalitis
  • #28 Relieving elevated ICP is very useful to decrease secondary brain injury and the patient will respond better to anti-infective therapy.
  • #31 with the possible exception of patients with severe encephalitis due to VZV or EBV. HSV, VZV, and EBV all encode an enzyme deoxypyrimidine (thymidine) kinase that phosphorylates acyclovir to produce acyclovir-5′-monophosphate. Host cell enzymes then phosphorylate this compound to form a triphosphate derivative. It is the triphosphate that acts as an antiviral agent by inhibiting viral DNA polymerase and by causing premature termination of nascent viral DNA chains. The specificity of action depends on the fact that uninfected cells do not phosphorylate significant amounts of acyclovir to acyclovir-5′-monophosphate. A second level of specificity is provided by the fact that the acyclovir triphosphate is a more potent inhibitor of viral DNA polymerase than of the analogous host cell enzymes. Neonatal HSV CNS infection is less responsive to acyclovir therapy than HSV encephalitis in adults; it is recommended that neonates with HSV encephalitis receive 20 mg/kg of acyclovir every 8 h (60 mg/kg per day total dose) for a minimum of 21 days. Care should be taken to avoid extravasation or intramuscular or subcutaneous administration. Dose adjustment is required in patients with impaired renal glomerular filtration. Acyclovir resistance may be mediated by changes in either the viral deoxypyrimidine kinase or DNA polymerase. Complications of therapy include To date, acyclovir-resistant isolates have not been a significant clinical problem in immunocompetent individuals. However, there have been reports of clinically virulent acyclovir-resistant HSV isolates from sites outside the CNS in immunocompromised individuals, including those with AIDS. Infused slowly over 1 h- to minimize the risk of renal dysfunction.
  • #32 IV ribavirin 15-25 mg/kg/day in divided doses every 8 hrs
  • #35 Variation in the incidence and severity of sequelae in patients surviving viral encephalitis. EEE virus infection - nearly 80% of survivors - severe neurologic sequelae. EBV, California encephalitis virus and Venezuelan equine encephalitis virus - severe sequelae are unusual. The incidence and severity of sequelae were directly related to the age of the patient and the level of consciousness at the time of initiation of therapy. WNV infection - sequelae, including cognitive impairment; weakness; and hyper- or hypokinetic movement disorders, including tremor, myoclonus, and parkinsonism. For example, ~5–15% of children infected with La Crosse virus have a residual seizure disorder, and 1% have persistent hemiparesis. Detailed information about sequelae in patients with HSV encephalitis treated with acyclovir is available from the NIAID-Collaborative Antiviral Study Group (CASG) trials. Of 32 acyclovir-treated patients, 26 survived (81%). Of the 26 survivors, 12 (46%) had no or only minor sequelae, 3 (12%) were moderately impaired (gainfully employed but not functioning at their previous level), and 11 (42%) were severely impaired (requiring continuous supportive care). Patients with severe neurologic impairment (Glasgow Coma Score 6) at initiation of therapy either died or survived with severe sequelae. Young patients (<30 years) with good neurologic function at initiation of therapy did substantially better (100% survival, 62% with no or mild sequelae) compared with their older counterparts (>30 years; 64% survival, 57% no or mild sequelae). In a large longitudinal study of prognosis in 156 patients with WNV infection, the mean time to achieve recovery (defined as 95% of maximal predicted score on specific validated tests) was 112–148 days for fatigue, 121–175 days for physical function, 131–139 days for mood, and 302–455 days for mental function (the longer interval in each case representing patients with invasive CNS disease).