ENCEPHELITIS
Prepared by: Dr. Mustafe
Hussein
Internal Medicine Residency
Mustafe.Hussein@kiu.ac.ug
Objectives
• Definition
• Introduction
• Epidemiology
• Etiology
• Pathophysiology
• Clinical features
• Diagnosis
• Treatment
• References
Definition
Encephalitis is the Generalized inflammation
of the brain parenchyma
 The term encephalitis indicates that the
predominant clinical syndrome arises from
infection and inflammation in the parenchyma
of the brain rather than in the leptomeninges.
Introduction
Viral infections of the central nervous system result in
the clinical syndromes of aseptic meningitis or
encephalitis.
The true incidence of these infections is difficult to
determine because many cases are unreported, the
diagnosis may not be considered, or a specific viral
etiology is never confirmed.
However, these disorders occur with sufficient
frequency that clinicians should be familiar with the
clinical manifestations, diagnostic techniques, and
Epidemiology
The reported incidence for acute encephalitis
varies worldwide but is generally between 3.5
and 7.4 cases per 100,000 patient years.
Incidence of 7.4 per 100,000 person-years in
Minnesota, USA in people of all ages.
whereas a lower rate of 1.5 per 100,000
population was reported in England.
Incidence tends to be higher in the paediatric
population compared to adults (Granerod & Crowcroft,
VIRAL PATHOGENS
The most commonly identified viruses causing sporadic
cases of acute encephalitis in immunocompetent adults is
herpes simplex virus type 1
Eastern Equine Encephalitis and western equine
encephalitis virus
WNV
St. Louis encephalitis virus north America
Japanese encephalitis virus in Asia and the western Pacific
California encephalitis virus serogroup
La Crosse virus
The mechanisms involved in viral transport from the
circulation to the brain are not clearly understood.
However, it is clear that transendothelial passage of the
virus occurs in vessels of the choroid plexus, meninges,
or cerebrum by one or more of the following
mechanisms
Bridging the endothelium within migrating leukocytes
Breaking through damaged endothelium
Pathogenesis
• HSV is a DNA virus :
– nuclear invasion
– DNA replication
– DNA expression & protein production
• Host cell lysis
• Virus spread & mutiple cell type infection (panencephalitis)
• MHC expression and immune system recruitment
• Massive inflammatory response
• Oedema and Necrosis
• Detersion
Clinical manifestation
the patient with encephalitis commonly has an altered
level of consciousness (confusion, behavioral
abnormalities)
Hallucinations, agitation, personality change,
behavioral disorders, and, at time a frankly psychotic
state.
Focal or generalized seizures occur in many patients
The most commonly encountered focal
findings are aphasia, ataxia, upper or lower
motor neuron patterns of weakness, involuntary
movements (e.g. myoclonic jerks, tremor) , and
cranial nerve deficits (e.g. ocular palsies, facial
weakness) .
Involvement of the hypothalamicpituitary axis
may result in temperature dysregulation,
diabetes insipidus, or the development of the
syndrome of inappropriate secretion of
Parotitis strongly suggests the diagnosis of mumps
encephalitis in an unvaccinated patient with mental status
changes.
Flaccid paralysis that evolves into an encephalitis strongly
suggests the possibility of West Nile virus infection . In fact,
it has been misdiagnosed as Guillain-Barré syndrome.
 A maculopapular rash is also seen in approximately half of
patients with this infection and is not expected in other viral
encephalitides.
Tremors of the eyelids, tongue, lips, and extremities
may suggest the possibility of St. Louis encephalitis or
West Nile encephalitis.
Findings of hydrophobia, aerophobia, pharyngeal
spasms, and hyperactivity suggest encephalitic rabies.
Grouped vesicles in a dermatomal pattern may suggest
varicella zoster virus (VZV), which can occasionally cause
encephalitis.
Diagnosis
Imaging
oCT scanning is useful to rule out space-
occupying lesions.
oMRI is sensitive for detecting demyelination,
which may be seen in other clinical states
presenting with mental status changes (eg,
progressive multifocal leukoencephalopathy).
Electroencephalograph
Electroencephalography is often abnormal in
acute encephalitis. Focality in the temporal lobe
region is suggestive of HSV encephalitis, as
noted above
CSF Examination: characteristic CSF profile is
indistinguishable from that of viral meningitis and
typically consists of a lymphocytic pleocytosis, a mildly
elevated protein concentration, and a normal glucose
concentration.
A CSF pleocytosis (>5 cells/μL) occurs in >95% of
immunocompetent patients with documented viral
encephalitis.
In rare cases a pleocytosis may be absent on the
LP but present on subsequent LPs.
CSF PCR: The most important viral etiology to rule out in a
patient with encephalitis is HSV, Diagnosis is most readily
made by detecting HSV DNA by PCR on CSF
Enteroviruses are more commonly associated with viral
meningitis, but infrequently they may cause encephalitis as
well.
PCR testing on the CSF sample is the diagnostic test of
choice.
The pathogen can also be cultured from the stool and
Serology.
the presence of IgM antibodies in a single serum provides
presumptive evidence of St. Louis encephalitis
West Nile a single specimen looking for IgM antibodies in
the serum or CSF is sufficient for diagnosis.
A single serum specimen can also be used to diagnose
mumps.
Serology may also be helpful in obtaining evidence for
primary Epstein-Barr virus infection, a rare cause of
meningoencephalitis.
Brain biopsy — As a last resort, brain biopsy
can be considered in the patient if the etiology
of encephalitis is still unknown.
Herpes simplex virus: culture of suspicious
and a Tzanck smear should be obtained.
TREATMENT
EMPIRIC THERAPY
oThere are no specific therapies for most central nervous
system (CNS) viral infections.
oEmpiric treatment for herpes simplex virus (HSV) -1
infection with acyclovir (10 mg/kg intravenously every
eight hours).
oEarly therapy is vital because it is associated with a
significant decrease in mortality and morbidity.
Acyclovir should also be considered if varicella zoster
virus encephalitis is likely.
INCREASED INTRACRANIAL PRESSURE
Cerebral edema
Elevate head of the bed
Frusemide iv 20mg
Mannitol 0.25 to 1 g/kg bolus every 4–6 hours
Dexamethasone iv 10 mg q6h helps in
managing edema surrounding SOL
Hyperventilation
Seizures and status epilepticus
First line,
 initial dosing Lorazepam 0.1 mg/kg IV up to 4 mg per dose.
Midazolam 0.25 mg/kg IM up to 10 mg maximum. Diazepam
0.15 mg/kg IV up to 10 mg per dose
Second line,
initial dosing Fosphenytoin 20 mg PE/kg IV. Levetiracetam
1,000–3,000 mg IV. Valproate sodium, 20–40 mg/kg IV
Third line,
loading dose Propofol 1–2 mg/kg. Phenobarbital 20 mg/kg IV.
Pentobarbital 5–15 mg/kg IV
PROGNOSIS
Most studies of viral encephalitis are focused on short-
term outcomes.
The most frequent sequelae included difficulties in
concentration, behavioral and speech disorders, and
memory loss.
One-quarter of those who were previously employed
had not returned to work.
PARANEOPLASTIC ENCEPHALITIS
Paraneoplastic encephalitis may manifest as
limbic or brainstem encephalitis.
In the majority of cases, symptoms have an
acute to subacute onset.
cerebrospinal fluid (CSF) often shows
abnormalities such as pleocytosis, increased
protein concentration, oligoclonal bands.
elevated immunoglobulin G (IgG) index,
suggesting an inflammatory process.
AUTOIMMUNE ENCEPHALITIS
The autoimmune encephalitis syndromes have
a wide clinical spectrum that ranges from
typical limbic encephalitis to syndromes.
Neuropsychiatric symptoms such as deficits of
memory, cognition, psychosis, seizures,
abnormal movements, or coma.
This group of disorders is associated with
antibodies to neuronal cell surface/synaptic
proteins
The target antigens usually play critical roles in
synaptic transmission and plasticity.
While patients are often severely affected
these disorders are highly responsive to
immunomodulatory therapies.
 As early initiation of treatment (immunotherapy
and tumor-directed therapy, if present) has been
shown to improve outcomes, speed recovery.
BRAIN ABSCESS
INTRODUCTION
Brain abscess is a focal collection within
the brain parenchyma, which can arise as
a complication of a variety of infections,
trauma, or surgery.
Epidemiology
1500-2500 cases per year in the US
8% of ICSOL in developing countries
Male Female ration = 2-3 : 1
Median age – 30 – 40 yrs
• 2° to otitic focus - <20 / > 40 yrs
• 2° to PNS infection – 30-40 yrs
25% in children – otitic focus / CHD
0.2% of cranial operations
Immunosuppression
Etiology
The most frequent causes of brain abscess
are Streptococcus and Staphylococcus spp
Viridans streptococci and Staphylococcus
aureus are the most common
The pathogens involved differ depending upon
the site of the primary infection, the age of the
patient and the immune status of the host.
•Source of infection
Paranasal sinuses – Streptococcus spp
(especially S.
milleri), Haemophilus spp, Bacteroides spp, Fusob
cterium spp
Odontogenic sources
Streptococcus spp, Bacteroides spp,
Prevotella spp, Fusobacterium spp, Haemophilus sp
Otogenic sources-
Enterobacteriaceae, Streptococcus ,
Urinary tract – Pseudomonas
aeruginosa, Enterobacter spp
Penetrating head trauma – Staphylococcus aureus,
Enterobacter spp, Clostridium spp
Neurosurgical procedures – Staphylococcus spp,
Streptococcus spp, Pseudomonas
aeruginosa, Enterobacter spp
Endocarditis – Viridans streptococci, S. aureus
Congenital cardiac malformations (especially right-to-
PATHOGENESIS
Direct spread — The direct spread of organisms from a
contiguous site usually causes a single brain abscess.
Primary infections that can directly spread to the
cortex include:
Subacute and chronic otitis media and mastoiditis
(spread to the inferior temporal lobe and cerebellum)
Frontal or ethmoid sinuses (spread to the frontal
Dental infection (usually spreads to the frontal lobes)
Bullet wounds to the brain can result in
necrotic tissue and leave metal fragments that
can serve as a nidus for infection.
Other foreign bodies that have been
associated with brain abscesses include a pencil
tip lodged in the eye and a lawn dart.
Brain abscess can also complicate
neurosurgical procedures.
Hematogenous spread
Brain abscesses associated with bacteremia
usually result in multiple abscesses that are
most commonly located in the distribution of
the middle cerebral artery
Abscesses usually form at the grey-white
matter junction where micro infarction
damages the blood-brain barrier.
Pathology
The early lesion (first one to two weeks) is
poorly demarcated and is associated with
localized edema. There is evidence of acute
inflammation but no tissue necrosis. This early
stage is commonly called cerebritis.
After two to three weeks, necrosis and
liquefaction occur, and the lesion becomes
surrounded by a fibrotic capsule.
CLINICAL MANIFESTATIONS
The manifestations of brain abscess initially
tend to be nonspecific
the classic triad of headache, fever, and focal
neurologic deficit is present
This always result in a delay in establishing the
diagnosis.
Symptoms
Headache is the most common symptom of a
brain abscess.
The pain is usually localized to the side of the
abscess, and its onset can be gradual or
sudden.
The pain tends to be severe and not relieved
by analgesics.
Neck stiffness occurs in 15 percent of patients with
brain abscess.
changes in mental status (lethargy progressing to coma)
are indicative of severe cerebral edema and are a poor
prognostic sign.
Vomiting generally develops in association with
increased intracranial pressure.
Physical examination
Focal neurologic deficits are observed in up
50 percent of patients and generally occur
to weeks after the onset of headache
Seizures develop in 25 percent of cases and
can be the first manifestation of brain abscess
Third and sixth cranial nerve deficits indicate
raised intracranial pressure.
DIAGNOSIS
In the setting of focal symptoms (eg, unilateral
headache) or signs (eg, unilateral cranial nerve
deficits, hemiparesis) or the finding of
papilledema, a lumbar puncture (LP) is
contraindicated.
Computed tomographic (CT) scan with
contrast or magnetic resonance imaging (MRI)
should be performed prior to LP in this
Computed tomographic scan
Early cerebritis appears as an irregular area of low
density that does not enhance following contrast
injection.
As cerebritis evolves, the lesion enlarges with thick
diffuse ring enhancement following contrast injection.
The ring of contrast enhancement represents
breakdown of the blood-brain barrier and the
Magnetic resonance imaging
Is more sensitive for early cerebritis
Is more sensitive for detecting satellite lesions
More accurately estimates the extent of
necrosis, ring enhancement, and cerebral
edema
Better visualizes the brainstem
Is capable of differentiating ring-enhancing
lesions due to brain abscess from neoplastic
lesions
Lumbar puncture
Rarely, the CSF formula resembles bacterial
meningitis, which indicates rupture of the
abscess into the ventricle
When this occurs, the PMN count can be
higher than 150,000/microL with
hypoglycorrhachia and an elevated protein.
Culture
The specimen obtained from stereotactic CT-
guided aspiration or surgery should be sent
Gram stain, aerobic, anaerobic, mycobacterial,
and fungal culture.
In addition, special stains including an acid-
stain for mycobacteria, modified acid-fast stain
for Nocardia, and fungal stains should be
performed to aid in the identification of the
•Histopathology
Definitive diagnosis of brain abscess
and, frequently, the identification of
the etiologic agent are made by
pathologic examination of brain
tissue obtained by open or
stereotactic brain biopsy.
Laboratory investigations
TC – Normal / mild ↑ (↑ if meningitis / acute
systemic infection)
 ESR - ↑ in >90%
 CRP - ↑. Useful marker to differentiate
between brain abscess and slowly progressive
ICSOLs
Blood culture - +ve in IE / mycotic aneurysms
CSF analysis – Non-specific.
Mild pleocytosis. CSF potein – mild ↑
Glu – Normal
LP – dangerous
PCR analysis of 16S rDNA – to identify to
species level
111In-labelled leukocytes
THERAPY
Successful management of a brain abscess
usually requires a combination of antibiotics
and surgical drainage for both diagnostic and
therapeutic purposes
Empiric therapy
For patients with a brain abscess arising from
an oral, otogenic, or sinus source
Metronidazole (7.5 mg/kg [usually 500 mg]
every six to eight hours) PLUS either
ceftriaxone (2 g IV every 12 hours) or
cefotaxime (2 g IV every four to six hours).
For patients with a brain abscess from
hematogenous spread
Vancomycin (15 to 20 mg/kg per dose IV
every 8 to 12 hours, not to exceed 2 g per
dose) for empiric coverage of MRSA.
If susceptibility testing reveals methicillin-
sensitive S. aureus, vancomycin should be
replaced with nafcillin (2 g IV every four
hours) or oxacillin (2 g IV every four hours).
For brain abscess in postoperative neurosurgical
patients, we recommend treatment with:
 Vancomycin(15 to 20 mg/kg per dose IV every 8 to 12 hours, not
to exceed 2 g per dose) PLUS ceftazidime(2 g IV every eight
hours), cefepime(2 g IV every eight hours), or meropenem(2 g IV
every eight hours).
For brain abscess following penetrating trauma, we
recommend treatment with:
Vancomycin(15 to 20 mg/kg per dose IV every 8 to 12 hours, not to
exceed 2 g per dose) PLUS ceftriaxone(2 g IV every 12
hours) or cefotaxime(2 g IV every four to six hours).
For brain abscesses with an unknown source,
we recommend treatment with:
Vancomycin (15 to 20 mg/kg per dose IV every 8 to 12 hours,
not to exceed 2 g per dose) PLUS Metronidazole (7.5 mg/kg
[usually 500 mg] IV every six to eight hours) PLUS Ceftriaxone
(2 g IV every 12 hours) or cefotaxime (2 g IV every four to six
hours). Cefepime (2 g IV every eight hours) should be used
instead of ceftriaxone or cefotaxime if Pseudomonas is
possible.
Duration of therapy
The duration of antibiotics for brain abscess is
prolonged, usually four to eight weeks.
This recommendation derives from retrospective
reports and reviews since no clinical trials have been
performed.
United Kingdom guidelines recommend four to six
weeks if the abscess has been drained or excised and
Surgery
The neurosurgeon needs to be contacted at the time
of initial diagnosis of a brain abscess.
Needle aspiration and surgical excision have both
used to treat brain abscess and are also required for
diagnosis, prior to the initiation of antibiotic therapy if
possible.
An exception may be when a brain abscess occurs in
the setting of bacteremia, in which case antibiotic
therapy is based upon the results of blood culture.
Aspiration
Needle aspiration is generally preferable to
surgical excision since the neurologic sequelae
are reduced.
Needle aspiration is preferred for speech
and regions of the sensory or motor cortex
in comatose patients
A Burr hole is placed and then needle
Surgical excision
Surgical excision is a more radical approach that
generally results in greater neurologic deficits and now
is infrequently performed.
However, excision may be the initial treatment of choice
in the following circumstances:
 Traumatic brain abscesses (to remove bone chips
foreign material)
Encapsulated fungal brain abscesses
Multiloculated abscesses
In addition, the following are indications for
excision after initial aspiration and drainage:
No clinical improvement within one week
Depressed sensorium
Signs of increased intracranial pressure
Progressive increase in the diameter of the
HELMINTHIC BRAIN INFECTION
ETIOLOGY
Neurocysticercosis is caused by the larval
form of Taenia solium (cysticerci).
is the most frequent helminthic infection of
the central nervous system.
Humans are the definitive hosts for this
parasite, and swine are the intermediate hosts.
Epidemiology
Approximately 2.5 million people worldwide
carry adult T. solium (Burneo and Garcı´a, 2001).
Conservative figures mention 50 000 deaths
every year due to NCC and no less than 20
million people infected with cysticerci of T.
solium.
Globally, NCC is considered to be the most
common parasitic disease of the nervous
system (Burneo and Garcı´a, 2001).
PATHOGENESIS
The adult tapeworm develops in human hosts
after they ingest live cysticerci in undercooked
pork.
Cysticercosis may develop in both humans
and swine that ingest food contaminated with
the feces of human carriers of adult cestodes.
Adult tapeworms shed proglottids that each
Neurocysticercosis with giant cysts has
generally been defined by the presence of a
cyst more than 50 mm in diameter.
Clinical manifestations that suggest an
expansile mass and intracranial hypertension.
Perilesional cerebral edema is also reported.
CLINICAL FEATURES
The most common manifestation of
neurocysticercosis is new-onset partial seizures.
Cysticerci may develop in the brain parenchyma focal
neurologic deficits.
When present in the subarachnoid or ventricular
spaces, cysticerci can produce increased ICP by
interference with CSF flow.
Spinal cysticerci can mimic the presentation of
intraspinal tumors.
When the cysticerci first lodge in the brain,
they frequently cause little in the way of an
inflammatory response.
As the cysticercal cyst degenerates, it elicits an
inflammatory response that may present
clinically as a seizure.
Eventually the cyst dies, a process that may
take several years and is typically associated
with resolution of the inflammatory response
and, often, abatement of seizures.
DIAGNOSIS
The lesions of neurocysticercosis are readily visualized by
MRI or CT scans.
Lesions with viable parasites appear as cystic lesions.
Lesions may appear as contrastenhancing lesions
surrounded by edema.
A very early sign of cyst death is hypointensity of the
vesicular fluid on T2-weighted images when compared
with CSF.
Parenchymal brain calcifications are the most common
MRI of parenchymal neurocysticercosis. ( a ) Viable cysts showing the scolex. ( b ) Colloidal cyst
appearing as a ring-enhancing lesion with perilesional edema
The presence of antibodies
against T. solium in serum was
determined by Western blot
analysis in all patients.
TREATMENT
Intravenous dexamethasone every 8 hour
albendazole at a dose of 15 mg per kilogram of body
weight per day, administered in three divided doses, for
four weeks.
Praziquantel 100 mg per kilogram per day, in two divided
doses administered two hours apart,
Hydrocephalus developed were admitted to the hospital
and treated with a ventriculoperitoneal shunt before the
initiation of cesticidal treatment.
Neurosurgery may be required only when there is an
Reference
• UpToDate
• Tunkel, A. R., Glaser, C. A., Bloch, K. C., Sejvar, J. J., Marra, C. M., Roos,
K. L., … Whitley, R. J. (2008). The Management of Encephalitis :
Clinical Practice Guidelines by the Infectious Diseases Society of
America. 07740. https://doi.org/10.1086/589747
• Disclosures, C. (2019b). Viral encephalitis in adults.
• Venkatesan, A., & Geocadin, R. G. (2014). Diagnosis and management
of acute encephalitis: A practical approach.
https://doi.org/10.1212/CPJ.0000000000000036
• Especialidades, H. De. (2001). M E D I C A L T R E AT M E N T F O R N E U R
O CYST I C E R C O S I S C H A R AC T E R I Z E D BY G I A N T S U BA R AC
H N O I D CYST S MEDICAL TREATMENT FOR NEUROCYSTICERCOSIS
CHARACTERIZED BY GIANT SUBARACHNOID CYSTS. 345(12), 879–885.
• Granerod, J., & Crowcroft, N. S. (2007). The epidemiology of acute encephalitis.
Neuropsychological Rehabilitation, 17(4–5), 406–428.
https://doi.org/10.1080/09602010600989620

Encephelitis and brain abcess

  • 1.
    ENCEPHELITIS Prepared by: Dr.Mustafe Hussein Internal Medicine Residency Mustafe.Hussein@kiu.ac.ug
  • 2.
    Objectives • Definition • Introduction •Epidemiology • Etiology • Pathophysiology • Clinical features • Diagnosis • Treatment • References
  • 3.
    Definition Encephalitis is theGeneralized inflammation of the brain parenchyma  The term encephalitis indicates that the predominant clinical syndrome arises from infection and inflammation in the parenchyma of the brain rather than in the leptomeninges.
  • 4.
    Introduction Viral infections ofthe central nervous system result in the clinical syndromes of aseptic meningitis or encephalitis. The true incidence of these infections is difficult to determine because many cases are unreported, the diagnosis may not be considered, or a specific viral etiology is never confirmed. However, these disorders occur with sufficient frequency that clinicians should be familiar with the clinical manifestations, diagnostic techniques, and
  • 5.
    Epidemiology The reported incidencefor acute encephalitis varies worldwide but is generally between 3.5 and 7.4 cases per 100,000 patient years. Incidence of 7.4 per 100,000 person-years in Minnesota, USA in people of all ages. whereas a lower rate of 1.5 per 100,000 population was reported in England. Incidence tends to be higher in the paediatric population compared to adults (Granerod & Crowcroft,
  • 6.
    VIRAL PATHOGENS The mostcommonly identified viruses causing sporadic cases of acute encephalitis in immunocompetent adults is herpes simplex virus type 1 Eastern Equine Encephalitis and western equine encephalitis virus WNV St. Louis encephalitis virus north America Japanese encephalitis virus in Asia and the western Pacific California encephalitis virus serogroup La Crosse virus
  • 8.
    The mechanisms involvedin viral transport from the circulation to the brain are not clearly understood. However, it is clear that transendothelial passage of the virus occurs in vessels of the choroid plexus, meninges, or cerebrum by one or more of the following mechanisms Bridging the endothelium within migrating leukocytes Breaking through damaged endothelium
  • 9.
    Pathogenesis • HSV isa DNA virus : – nuclear invasion – DNA replication – DNA expression & protein production • Host cell lysis • Virus spread & mutiple cell type infection (panencephalitis) • MHC expression and immune system recruitment • Massive inflammatory response • Oedema and Necrosis • Detersion
  • 11.
    Clinical manifestation the patientwith encephalitis commonly has an altered level of consciousness (confusion, behavioral abnormalities) Hallucinations, agitation, personality change, behavioral disorders, and, at time a frankly psychotic state. Focal or generalized seizures occur in many patients
  • 12.
    The most commonlyencountered focal findings are aphasia, ataxia, upper or lower motor neuron patterns of weakness, involuntary movements (e.g. myoclonic jerks, tremor) , and cranial nerve deficits (e.g. ocular palsies, facial weakness) . Involvement of the hypothalamicpituitary axis may result in temperature dysregulation, diabetes insipidus, or the development of the syndrome of inappropriate secretion of
  • 13.
    Parotitis strongly suggeststhe diagnosis of mumps encephalitis in an unvaccinated patient with mental status changes. Flaccid paralysis that evolves into an encephalitis strongly suggests the possibility of West Nile virus infection . In fact, it has been misdiagnosed as Guillain-Barré syndrome.  A maculopapular rash is also seen in approximately half of patients with this infection and is not expected in other viral encephalitides.
  • 14.
    Tremors of theeyelids, tongue, lips, and extremities may suggest the possibility of St. Louis encephalitis or West Nile encephalitis. Findings of hydrophobia, aerophobia, pharyngeal spasms, and hyperactivity suggest encephalitic rabies. Grouped vesicles in a dermatomal pattern may suggest varicella zoster virus (VZV), which can occasionally cause encephalitis.
  • 15.
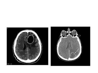
    Diagnosis Imaging oCT scanning isuseful to rule out space- occupying lesions. oMRI is sensitive for detecting demyelination, which may be seen in other clinical states presenting with mental status changes (eg, progressive multifocal leukoencephalopathy).
  • 16.
    Electroencephalograph Electroencephalography is oftenabnormal in acute encephalitis. Focality in the temporal lobe region is suggestive of HSV encephalitis, as noted above
  • 17.
    CSF Examination: characteristicCSF profile is indistinguishable from that of viral meningitis and typically consists of a lymphocytic pleocytosis, a mildly elevated protein concentration, and a normal glucose concentration. A CSF pleocytosis (>5 cells/μL) occurs in >95% of immunocompetent patients with documented viral encephalitis. In rare cases a pleocytosis may be absent on the LP but present on subsequent LPs.
  • 18.
    CSF PCR: Themost important viral etiology to rule out in a patient with encephalitis is HSV, Diagnosis is most readily made by detecting HSV DNA by PCR on CSF Enteroviruses are more commonly associated with viral meningitis, but infrequently they may cause encephalitis as well. PCR testing on the CSF sample is the diagnostic test of choice. The pathogen can also be cultured from the stool and
  • 19.
    Serology. the presence ofIgM antibodies in a single serum provides presumptive evidence of St. Louis encephalitis West Nile a single specimen looking for IgM antibodies in the serum or CSF is sufficient for diagnosis. A single serum specimen can also be used to diagnose mumps. Serology may also be helpful in obtaining evidence for primary Epstein-Barr virus infection, a rare cause of meningoencephalitis.
  • 20.
    Brain biopsy —As a last resort, brain biopsy can be considered in the patient if the etiology of encephalitis is still unknown. Herpes simplex virus: culture of suspicious and a Tzanck smear should be obtained.
  • 21.
  • 22.
    EMPIRIC THERAPY oThere areno specific therapies for most central nervous system (CNS) viral infections. oEmpiric treatment for herpes simplex virus (HSV) -1 infection with acyclovir (10 mg/kg intravenously every eight hours). oEarly therapy is vital because it is associated with a significant decrease in mortality and morbidity. Acyclovir should also be considered if varicella zoster virus encephalitis is likely.
  • 23.
    INCREASED INTRACRANIAL PRESSURE Cerebraledema Elevate head of the bed Frusemide iv 20mg Mannitol 0.25 to 1 g/kg bolus every 4–6 hours Dexamethasone iv 10 mg q6h helps in managing edema surrounding SOL Hyperventilation
  • 24.
    Seizures and statusepilepticus First line,  initial dosing Lorazepam 0.1 mg/kg IV up to 4 mg per dose. Midazolam 0.25 mg/kg IM up to 10 mg maximum. Diazepam 0.15 mg/kg IV up to 10 mg per dose Second line, initial dosing Fosphenytoin 20 mg PE/kg IV. Levetiracetam 1,000–3,000 mg IV. Valproate sodium, 20–40 mg/kg IV Third line, loading dose Propofol 1–2 mg/kg. Phenobarbital 20 mg/kg IV. Pentobarbital 5–15 mg/kg IV
  • 25.
    PROGNOSIS Most studies ofviral encephalitis are focused on short- term outcomes. The most frequent sequelae included difficulties in concentration, behavioral and speech disorders, and memory loss. One-quarter of those who were previously employed had not returned to work.
  • 26.
    PARANEOPLASTIC ENCEPHALITIS Paraneoplastic encephalitismay manifest as limbic or brainstem encephalitis. In the majority of cases, symptoms have an acute to subacute onset. cerebrospinal fluid (CSF) often shows abnormalities such as pleocytosis, increased protein concentration, oligoclonal bands. elevated immunoglobulin G (IgG) index, suggesting an inflammatory process.
  • 27.
    AUTOIMMUNE ENCEPHALITIS The autoimmuneencephalitis syndromes have a wide clinical spectrum that ranges from typical limbic encephalitis to syndromes. Neuropsychiatric symptoms such as deficits of memory, cognition, psychosis, seizures, abnormal movements, or coma. This group of disorders is associated with antibodies to neuronal cell surface/synaptic proteins
  • 29.
    The target antigensusually play critical roles in synaptic transmission and plasticity. While patients are often severely affected these disorders are highly responsive to immunomodulatory therapies.  As early initiation of treatment (immunotherapy and tumor-directed therapy, if present) has been shown to improve outcomes, speed recovery.
  • 30.
  • 31.
    INTRODUCTION Brain abscess isa focal collection within the brain parenchyma, which can arise as a complication of a variety of infections, trauma, or surgery.
  • 32.
    Epidemiology 1500-2500 cases peryear in the US 8% of ICSOL in developing countries Male Female ration = 2-3 : 1 Median age – 30 – 40 yrs • 2° to otitic focus - <20 / > 40 yrs • 2° to PNS infection – 30-40 yrs 25% in children – otitic focus / CHD 0.2% of cranial operations Immunosuppression
  • 33.
    Etiology The most frequentcauses of brain abscess are Streptococcus and Staphylococcus spp Viridans streptococci and Staphylococcus aureus are the most common The pathogens involved differ depending upon the site of the primary infection, the age of the patient and the immune status of the host.
  • 35.
    •Source of infection Paranasalsinuses – Streptococcus spp (especially S. milleri), Haemophilus spp, Bacteroides spp, Fusob cterium spp Odontogenic sources Streptococcus spp, Bacteroides spp, Prevotella spp, Fusobacterium spp, Haemophilus sp Otogenic sources- Enterobacteriaceae, Streptococcus ,
  • 36.
    Urinary tract –Pseudomonas aeruginosa, Enterobacter spp Penetrating head trauma – Staphylococcus aureus, Enterobacter spp, Clostridium spp Neurosurgical procedures – Staphylococcus spp, Streptococcus spp, Pseudomonas aeruginosa, Enterobacter spp Endocarditis – Viridans streptococci, S. aureus Congenital cardiac malformations (especially right-to-
  • 37.
    PATHOGENESIS Direct spread —The direct spread of organisms from a contiguous site usually causes a single brain abscess. Primary infections that can directly spread to the cortex include: Subacute and chronic otitis media and mastoiditis (spread to the inferior temporal lobe and cerebellum) Frontal or ethmoid sinuses (spread to the frontal Dental infection (usually spreads to the frontal lobes)
  • 38.
    Bullet wounds tothe brain can result in necrotic tissue and leave metal fragments that can serve as a nidus for infection. Other foreign bodies that have been associated with brain abscesses include a pencil tip lodged in the eye and a lawn dart. Brain abscess can also complicate neurosurgical procedures.
  • 39.
    Hematogenous spread Brain abscessesassociated with bacteremia usually result in multiple abscesses that are most commonly located in the distribution of the middle cerebral artery Abscesses usually form at the grey-white matter junction where micro infarction damages the blood-brain barrier.
  • 40.
    Pathology The early lesion(first one to two weeks) is poorly demarcated and is associated with localized edema. There is evidence of acute inflammation but no tissue necrosis. This early stage is commonly called cerebritis. After two to three weeks, necrosis and liquefaction occur, and the lesion becomes surrounded by a fibrotic capsule.
  • 43.
    CLINICAL MANIFESTATIONS The manifestationsof brain abscess initially tend to be nonspecific the classic triad of headache, fever, and focal neurologic deficit is present This always result in a delay in establishing the diagnosis.
  • 44.
    Symptoms Headache is themost common symptom of a brain abscess. The pain is usually localized to the side of the abscess, and its onset can be gradual or sudden. The pain tends to be severe and not relieved by analgesics.
  • 45.
    Neck stiffness occursin 15 percent of patients with brain abscess. changes in mental status (lethargy progressing to coma) are indicative of severe cerebral edema and are a poor prognostic sign. Vomiting generally develops in association with increased intracranial pressure.
  • 46.
    Physical examination Focal neurologicdeficits are observed in up 50 percent of patients and generally occur to weeks after the onset of headache Seizures develop in 25 percent of cases and can be the first manifestation of brain abscess Third and sixth cranial nerve deficits indicate raised intracranial pressure.
  • 47.
    DIAGNOSIS In the settingof focal symptoms (eg, unilateral headache) or signs (eg, unilateral cranial nerve deficits, hemiparesis) or the finding of papilledema, a lumbar puncture (LP) is contraindicated. Computed tomographic (CT) scan with contrast or magnetic resonance imaging (MRI) should be performed prior to LP in this
  • 48.
    Computed tomographic scan Earlycerebritis appears as an irregular area of low density that does not enhance following contrast injection. As cerebritis evolves, the lesion enlarges with thick diffuse ring enhancement following contrast injection. The ring of contrast enhancement represents breakdown of the blood-brain barrier and the
  • 50.
    Magnetic resonance imaging Ismore sensitive for early cerebritis Is more sensitive for detecting satellite lesions More accurately estimates the extent of necrosis, ring enhancement, and cerebral edema Better visualizes the brainstem Is capable of differentiating ring-enhancing lesions due to brain abscess from neoplastic lesions
  • 52.
    Lumbar puncture Rarely, theCSF formula resembles bacterial meningitis, which indicates rupture of the abscess into the ventricle When this occurs, the PMN count can be higher than 150,000/microL with hypoglycorrhachia and an elevated protein.
  • 53.
    Culture The specimen obtainedfrom stereotactic CT- guided aspiration or surgery should be sent Gram stain, aerobic, anaerobic, mycobacterial, and fungal culture. In addition, special stains including an acid- stain for mycobacteria, modified acid-fast stain for Nocardia, and fungal stains should be performed to aid in the identification of the
  • 54.
    •Histopathology Definitive diagnosis ofbrain abscess and, frequently, the identification of the etiologic agent are made by pathologic examination of brain tissue obtained by open or stereotactic brain biopsy.
  • 55.
    Laboratory investigations TC –Normal / mild ↑ (↑ if meningitis / acute systemic infection)  ESR - ↑ in >90%  CRP - ↑. Useful marker to differentiate between brain abscess and slowly progressive ICSOLs Blood culture - +ve in IE / mycotic aneurysms CSF analysis – Non-specific. Mild pleocytosis. CSF potein – mild ↑ Glu – Normal LP – dangerous PCR analysis of 16S rDNA – to identify to species level 111In-labelled leukocytes
  • 56.
    THERAPY Successful management ofa brain abscess usually requires a combination of antibiotics and surgical drainage for both diagnostic and therapeutic purposes
  • 58.
    Empiric therapy For patientswith a brain abscess arising from an oral, otogenic, or sinus source Metronidazole (7.5 mg/kg [usually 500 mg] every six to eight hours) PLUS either ceftriaxone (2 g IV every 12 hours) or cefotaxime (2 g IV every four to six hours).
  • 59.
    For patients witha brain abscess from hematogenous spread Vancomycin (15 to 20 mg/kg per dose IV every 8 to 12 hours, not to exceed 2 g per dose) for empiric coverage of MRSA. If susceptibility testing reveals methicillin- sensitive S. aureus, vancomycin should be replaced with nafcillin (2 g IV every four hours) or oxacillin (2 g IV every four hours).
  • 60.
    For brain abscessin postoperative neurosurgical patients, we recommend treatment with:  Vancomycin(15 to 20 mg/kg per dose IV every 8 to 12 hours, not to exceed 2 g per dose) PLUS ceftazidime(2 g IV every eight hours), cefepime(2 g IV every eight hours), or meropenem(2 g IV every eight hours). For brain abscess following penetrating trauma, we recommend treatment with: Vancomycin(15 to 20 mg/kg per dose IV every 8 to 12 hours, not to exceed 2 g per dose) PLUS ceftriaxone(2 g IV every 12 hours) or cefotaxime(2 g IV every four to six hours).
  • 61.
    For brain abscesseswith an unknown source, we recommend treatment with: Vancomycin (15 to 20 mg/kg per dose IV every 8 to 12 hours, not to exceed 2 g per dose) PLUS Metronidazole (7.5 mg/kg [usually 500 mg] IV every six to eight hours) PLUS Ceftriaxone (2 g IV every 12 hours) or cefotaxime (2 g IV every four to six hours). Cefepime (2 g IV every eight hours) should be used instead of ceftriaxone or cefotaxime if Pseudomonas is possible.
  • 62.
    Duration of therapy Theduration of antibiotics for brain abscess is prolonged, usually four to eight weeks. This recommendation derives from retrospective reports and reviews since no clinical trials have been performed. United Kingdom guidelines recommend four to six weeks if the abscess has been drained or excised and
  • 63.
    Surgery The neurosurgeon needsto be contacted at the time of initial diagnosis of a brain abscess. Needle aspiration and surgical excision have both used to treat brain abscess and are also required for diagnosis, prior to the initiation of antibiotic therapy if possible. An exception may be when a brain abscess occurs in the setting of bacteremia, in which case antibiotic therapy is based upon the results of blood culture.
  • 64.
    Aspiration Needle aspiration isgenerally preferable to surgical excision since the neurologic sequelae are reduced. Needle aspiration is preferred for speech and regions of the sensory or motor cortex in comatose patients A Burr hole is placed and then needle
  • 65.
    Surgical excision Surgical excisionis a more radical approach that generally results in greater neurologic deficits and now is infrequently performed. However, excision may be the initial treatment of choice in the following circumstances:  Traumatic brain abscesses (to remove bone chips foreign material) Encapsulated fungal brain abscesses Multiloculated abscesses
  • 66.
    In addition, thefollowing are indications for excision after initial aspiration and drainage: No clinical improvement within one week Depressed sensorium Signs of increased intracranial pressure Progressive increase in the diameter of the
  • 67.
  • 68.
    ETIOLOGY Neurocysticercosis is causedby the larval form of Taenia solium (cysticerci). is the most frequent helminthic infection of the central nervous system. Humans are the definitive hosts for this parasite, and swine are the intermediate hosts.
  • 69.
    Epidemiology Approximately 2.5 millionpeople worldwide carry adult T. solium (Burneo and Garcı´a, 2001). Conservative figures mention 50 000 deaths every year due to NCC and no less than 20 million people infected with cysticerci of T. solium. Globally, NCC is considered to be the most common parasitic disease of the nervous system (Burneo and Garcı´a, 2001).
  • 72.
    PATHOGENESIS The adult tapewormdevelops in human hosts after they ingest live cysticerci in undercooked pork. Cysticercosis may develop in both humans and swine that ingest food contaminated with the feces of human carriers of adult cestodes. Adult tapeworms shed proglottids that each
  • 73.
    Neurocysticercosis with giantcysts has generally been defined by the presence of a cyst more than 50 mm in diameter. Clinical manifestations that suggest an expansile mass and intracranial hypertension. Perilesional cerebral edema is also reported.
  • 74.
    CLINICAL FEATURES The mostcommon manifestation of neurocysticercosis is new-onset partial seizures. Cysticerci may develop in the brain parenchyma focal neurologic deficits. When present in the subarachnoid or ventricular spaces, cysticerci can produce increased ICP by interference with CSF flow. Spinal cysticerci can mimic the presentation of intraspinal tumors.
  • 75.
    When the cysticercifirst lodge in the brain, they frequently cause little in the way of an inflammatory response. As the cysticercal cyst degenerates, it elicits an inflammatory response that may present clinically as a seizure. Eventually the cyst dies, a process that may take several years and is typically associated with resolution of the inflammatory response and, often, abatement of seizures.
  • 76.
    DIAGNOSIS The lesions ofneurocysticercosis are readily visualized by MRI or CT scans. Lesions with viable parasites appear as cystic lesions. Lesions may appear as contrastenhancing lesions surrounded by edema. A very early sign of cyst death is hypointensity of the vesicular fluid on T2-weighted images when compared with CSF. Parenchymal brain calcifications are the most common
  • 77.
    MRI of parenchymalneurocysticercosis. ( a ) Viable cysts showing the scolex. ( b ) Colloidal cyst appearing as a ring-enhancing lesion with perilesional edema
  • 79.
    The presence ofantibodies against T. solium in serum was determined by Western blot analysis in all patients.
  • 80.
    TREATMENT Intravenous dexamethasone every8 hour albendazole at a dose of 15 mg per kilogram of body weight per day, administered in three divided doses, for four weeks. Praziquantel 100 mg per kilogram per day, in two divided doses administered two hours apart, Hydrocephalus developed were admitted to the hospital and treated with a ventriculoperitoneal shunt before the initiation of cesticidal treatment. Neurosurgery may be required only when there is an
  • 81.
    Reference • UpToDate • Tunkel,A. R., Glaser, C. A., Bloch, K. C., Sejvar, J. J., Marra, C. M., Roos, K. L., … Whitley, R. J. (2008). The Management of Encephalitis : Clinical Practice Guidelines by the Infectious Diseases Society of America. 07740. https://doi.org/10.1086/589747 • Disclosures, C. (2019b). Viral encephalitis in adults. • Venkatesan, A., & Geocadin, R. G. (2014). Diagnosis and management of acute encephalitis: A practical approach. https://doi.org/10.1212/CPJ.0000000000000036 • Especialidades, H. De. (2001). M E D I C A L T R E AT M E N T F O R N E U R O CYST I C E R C O S I S C H A R AC T E R I Z E D BY G I A N T S U BA R AC H N O I D CYST S MEDICAL TREATMENT FOR NEUROCYSTICERCOSIS CHARACTERIZED BY GIANT SUBARACHNOID CYSTS. 345(12), 879–885. • Granerod, J., & Crowcroft, N. S. (2007). The epidemiology of acute encephalitis. Neuropsychological Rehabilitation, 17(4–5), 406–428. https://doi.org/10.1080/09602010600989620

Editor's Notes

  • #7 VIRAL VERSUS POSTINFECTIOUS ENCEPHALITIS
  • #15 Atypical presentations of rabies include seizures, cranial nerve palsies, and myoclonus. however, the absence of rash does not eliminate VZV from consideration.
  • #23 should always be initiated as soon as possible if the patient has encephalitis without apparent explanation.
  • #46 This complaint is most commonly associated with occipital lobe abscess or an abscess that has leaked into a lateral ventricle
  • #47 Grand mal seizures are particularly common in frontal abscesses., fever is not a reliable indicator