ENCEPHALITIS
28/12/2017
 The inflammation of the brain substance may be
caused by viruses- bacteria- fungi-drugs –post
infectious and radiation.
 This is mostly due to herpes simplex virus
followed by Japanese encephalitis.
 The liable part of the brain are the temporal
lobes.
 Clinical features:
 It affects young adults usually. The clinical suspicion
will be directed by a careful history to indentify the
sequence of:
 Fever
 Headache
 Confusion
 convulsions
 It is important to enquire about behavioral
changes that are easily observed by the family
members or friends.
 Travelling history (epidemics) is important as
well as recent vaccination co morbid conditions
like DM.
 The main features in the acute phase may be
only a toxic febrile patient who has confusion
(low GCS). Focal signs may appear i.e. cranial
neuropathy or papilloedema.
 Detailed medical examination is essential
including the general and all systems.
 Temperature charts and other vitals.
 Routine blood tests are essential.
 CBC-ESR- CRP- U&Es- RBS- viral screening-
Urine analysis plus, CXR & U/S abdomen and
pelvis.
 The plan of investigations must include:
 Brain MRI
 LP and CSF analysis
 Other diseases that that may present like this
includes:
 Vascular events : Stroke- SDH- AVM
 SOL: Tumors- Granulmoa-Abscesses
 Chronic infections: TB Meningitis
 Chronic inflammation: Sarcoidosis- SLE
 All these diseases as well as viral encephalitis
may show focal signs or cranial nerve’s palsy at
presentation.
 Viral encephalitis may end with weakness,
dystonia or cognitive disability.
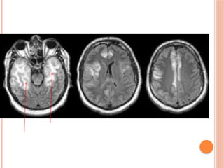
 MRI Brain is abnormal specially at day 3
onwards.
 Bilateral or unilateral temporal signals are
characteristic. Other areas may be affected in
other viruses or medical diseases.
THIS IS AN ESSENTIAL TEST
FOR THE DIAGNOSIS
 CSF analysis:
 Clear fluid
 May be under tension
 High number of lymphocytes over 5 cells-1000 mainly
lymphocytes. May be normal count or neutrophils early in
the course.
 Raised proteins 0.5-1g/dl
 Glucose may be normal / mild reduction.
 Negative Gram stain ZN stain and culture.
 PCR for HSV 95% sensitivity and specificity.
 Management:
 These patients are in great need of
vital signs assessment and
management.
 They are liable to arrhythmias, breathing
abnormalities up to respiratory failure, central
temperature issues and fluctuation of BP.
 They are usually managed in the ICU with full
support in the case of low GCS. This includes
mechanical ventilation as elective or emergency.
 The low GCS and seizures much compromise
their breathing and the hypoxia will worsen the
cerebral damage hence worsening the outcome.
 Antibiotics must be introduced for documented
infections.
BAD OUTCOME IS ASSOCIATED
WITH 2 DAYS OR MORE DELAY
IN TREATMENT
 Time is brain
 Time is memory
 Time is knowledge
 Time is concept
 Time is vision
 Time is hearing
UNTREATED HSV ENCEPHALITIS
MORTALITY IS 40-70%
SURVIVORS MAY HAVE LONG TERM
DISABILITY.
 The drug of choice is aciclovir infusion as
10mg/kg 8 hourly infused in normal saline over
40-0 minutes.
 Duration of treatment is 2-3 weeks.
 Dose must be adjusted in renal impairment.
 Antiepileptic drugs are usually needed in these
patients in the form of phenytoin infusion 100mg
8 hourly plus oral carbamazepine or lamotigene
or valproate.
 Antipyretics are essential.
 Cold sponging and low room temperature.
 Well balanced nutrition and hydration to face the
high metabolic needs.
OTHER LESS COMMON TYPES
 ADEM: Acute disseminated encephalomyelitis
is a disease of children and adolescents. It shows
similar lesions on MRI to multiple sclerosis but is
monphasic condition and lesions are larger than
MS plaques.
HIV ENCEPHALITIS
 Associated with high vial loads. Needs HAART.
HEMORRHAGIC POST INFECTIOUS ENCEPHALITIS HURT’S DISEASE:
 A very serious type of encephalitis that is post
infectious with extensive brain substance
bleeding. Mortality rate reaches 85%.
NMDA RECEPTOR ENCEPHALITIS
 A rare disease of young females. It is related to
the presence of ovarian teratoma that secrets
antibodies. Only removal of the tumor is
associated with remission of the condition.
 THE END

encephalitis, encephalitisMencephalitisencephalitis.pptx

  • 1.
  • 2.
     The inflammationof the brain substance may be caused by viruses- bacteria- fungi-drugs –post infectious and radiation.  This is mostly due to herpes simplex virus followed by Japanese encephalitis.  The liable part of the brain are the temporal lobes.
  • 4.
     Clinical features: It affects young adults usually. The clinical suspicion will be directed by a careful history to indentify the sequence of:  Fever  Headache  Confusion  convulsions
  • 5.
     It isimportant to enquire about behavioral changes that are easily observed by the family members or friends.  Travelling history (epidemics) is important as well as recent vaccination co morbid conditions like DM.
  • 6.
     The mainfeatures in the acute phase may be only a toxic febrile patient who has confusion (low GCS). Focal signs may appear i.e. cranial neuropathy or papilloedema.  Detailed medical examination is essential including the general and all systems.  Temperature charts and other vitals.
  • 7.
     Routine bloodtests are essential.  CBC-ESR- CRP- U&Es- RBS- viral screening- Urine analysis plus, CXR & U/S abdomen and pelvis.
  • 8.
     The planof investigations must include:  Brain MRI  LP and CSF analysis
  • 9.
     Other diseasesthat that may present like this includes:  Vascular events : Stroke- SDH- AVM  SOL: Tumors- Granulmoa-Abscesses  Chronic infections: TB Meningitis  Chronic inflammation: Sarcoidosis- SLE
  • 10.
     All thesediseases as well as viral encephalitis may show focal signs or cranial nerve’s palsy at presentation.  Viral encephalitis may end with weakness, dystonia or cognitive disability.
  • 11.
     MRI Brainis abnormal specially at day 3 onwards.  Bilateral or unilateral temporal signals are characteristic. Other areas may be affected in other viruses or medical diseases.
  • 14.
    THIS IS ANESSENTIAL TEST FOR THE DIAGNOSIS  CSF analysis:  Clear fluid  May be under tension  High number of lymphocytes over 5 cells-1000 mainly lymphocytes. May be normal count or neutrophils early in the course.  Raised proteins 0.5-1g/dl  Glucose may be normal / mild reduction.  Negative Gram stain ZN stain and culture.  PCR for HSV 95% sensitivity and specificity.
  • 15.
     Management:  Thesepatients are in great need of vital signs assessment and management.  They are liable to arrhythmias, breathing abnormalities up to respiratory failure, central temperature issues and fluctuation of BP.  They are usually managed in the ICU with full support in the case of low GCS. This includes mechanical ventilation as elective or emergency.
  • 16.
     The lowGCS and seizures much compromise their breathing and the hypoxia will worsen the cerebral damage hence worsening the outcome.  Antibiotics must be introduced for documented infections.
  • 17.
    BAD OUTCOME ISASSOCIATED WITH 2 DAYS OR MORE DELAY IN TREATMENT  Time is brain  Time is memory  Time is knowledge  Time is concept  Time is vision  Time is hearing
  • 18.
    UNTREATED HSV ENCEPHALITIS MORTALITYIS 40-70% SURVIVORS MAY HAVE LONG TERM DISABILITY.  The drug of choice is aciclovir infusion as 10mg/kg 8 hourly infused in normal saline over 40-0 minutes.  Duration of treatment is 2-3 weeks.  Dose must be adjusted in renal impairment.  Antiepileptic drugs are usually needed in these patients in the form of phenytoin infusion 100mg 8 hourly plus oral carbamazepine or lamotigene or valproate.
  • 19.
     Antipyretics areessential.  Cold sponging and low room temperature.  Well balanced nutrition and hydration to face the high metabolic needs.
  • 20.
    OTHER LESS COMMONTYPES  ADEM: Acute disseminated encephalomyelitis is a disease of children and adolescents. It shows similar lesions on MRI to multiple sclerosis but is monphasic condition and lesions are larger than MS plaques.
  • 21.
    HIV ENCEPHALITIS  Associatedwith high vial loads. Needs HAART.
  • 22.
    HEMORRHAGIC POST INFECTIOUSENCEPHALITIS HURT’S DISEASE:  A very serious type of encephalitis that is post infectious with extensive brain substance bleeding. Mortality rate reaches 85%.
  • 23.
    NMDA RECEPTOR ENCEPHALITIS A rare disease of young females. It is related to the presence of ovarian teratoma that secrets antibodies. Only removal of the tumor is associated with remission of the condition.
  • 24.