ABDOMINAL TRAUMA
(EMERGENCY DEPARTMENT
APPROACHES & MANAGEMENT)
NUR FARRA NAJWA
082015100035
LEARNING OBJECTIVES
1. Identify abdominal trauma in emergency
2. Learn the approaches to abdominal trauma in emergency
department
3. Trauma management, investigation, differential
1. Primary survey
2. Secondary survey
4. Identify shock in abdominal trauma (haemorrhagic shock)
5. Indication of massive transfusion protocol
6. How to proceed with management proper for abdominal
trauma and shock
EMERGENCY DEPARTMENT
APPROACHES
INTRODUCTION
• The primary goal in the evaluation of
abdominal trauma
– To promptly recognize conditions that require
immediate surgical exploration.
– To avoid critical error of delay operative
intervention when it is needed.
ABDOMINAL TRAUMA
Abdominal
Trauma
Solid organ
injuries
Hollow visceral
injuries
Retroperitoneal
injuries
Diaphragmatic
injuries
SOLID ORGAN INJURIES
PRESENTATION
Patients with solid
organ injury
occasionally
present with :
Minimal symptoms
and nonspecific
findings on physical
examination :
• Young patients,
• distracting
injuries,
• head injury,
• intoxication.
Serial physical
examinations on an
awake, alert, and reliable
patient are important for
identifying intra-
abdominal injuries.
SUSPECTED ORGAN
SPLEEN • Most frequently injured organ in
blunt abdominal trauma
• Commonly associated with other
intra-abdominal injuries.
KEHR SIGN • Referred left shoulder pain, is a
classic finding in splenic rupture.
LOWER LEFT RIB FRACTURES • Heighten clinical suspicion for
splenic injury.
LIVER • Commonly injured in blunt and
penetrating injuries
PHYSICAL EXAM
Grey-Turner sign: Bluish
discoloration of lower flanks,
lower back; associated with
retroperitoneal bleeding of
pancreas, kidney, or pelvic
fracture.
Cullen sign: Bluish
discoloration around
umbilicus, indicates
peritoneal bleeding, often
pancreatic hemorrhage.
Kehr sign: shoulder pain
while supine; caused by
diaphragmatic irritation
(splenic injury, free air, intra-
abdominal bleeding)
Balance sign: Dull percussion
in LUQ. Sign of splenic injury;
blood accumulating in
subcapsular or extracapsular
spleen.
Labial and scrotal sign :
pooling of blood in scrotal
and labia
London sign / seat belt sign
MECHANISM OF INJURY
CRUSHING • Direct application of blunt force to
abdomen
SHEARING • Sudden deceleration applying
shearing force on attached organ
BURSTING • Raised intraluminal pressure due to
compression in hollow organ allow
rupture
PENETRATION • Disruption of bony areas by blunt
trauma may generate bony spicules
that can cause secondary penetrating
injury
FINDINGS
1. An increase in pulse pressure • Clue to loss of ≤15% of total
blood volume.
2. As heart and respiratory rate
increase
• Continues blood loss
3. Hypotension • 30% decrease in circulating
volume occurs
HOLLOW VISCERAL INJURIES
INTRODUCTION
HOLLOW VISCERAL INJURIES
Blood loss
from a
concomitant
mesenteric
injury
Perforation of
the stomach,
small bowel,
or colon
SYMPTOMS
• Blood loss
• Peritoneal
contamination
SUSPECTED ORGAN AND MECHANISM
• Small bowel and colon injuries • Most frequently the result of
penetrating trauma.
• Bucket-handle tear of the
mesentery
• a blow-out injury of the
antimesenteric border.
• Commonly by deceleration
injury
FINDINGS
GASTROINTESTINAL
CONTAMINATION
Produce peritoneal signs over time.
HEAD INJURY, DISTRACTING
INJURIES, OR INTOXICATION
Not exhibit peritoneal signs
initially.
INFLAMMATION (TAKE 6 TO 8
HOURS TO DEVELOP)
Suppurative peritonitis (small
bowel and colonic injuries)
RETROPERITONEAL INJURIES
INTRODUCTION
Diagnosis of
retroperitoneal
injuries
Challenging.
Signs and
symptoms
Subtle or
absent at
initial
presentation.
Injuries range
in severity
From an
intramural
hematoma to
an extensive
crush or
laceration.
FINDINGS & PRESENTATION
CLINICAL PRESENTATION TIMINGS
• Abdominal pain, fever, nausea, and
vomiting
• Take hours to become clinically
apparent.
PANCREATIC INJURIES • Subtle signs and symptoms,
making the diagnosis elusive
DUODENAL INJURY • Clinical signs of are often slow to
develop
DUODENAL RUPTURES • Usually contained within the
retroperitoneum
SUSPECTED ORGAN AND MECHANISM
DUODENAL INJURIES • With high-speed vertical or
horizontal decelerating trauma
PANCREATIC INJURY • Rapid deceleration injury or a
severe crush injury.
PANCREATIC INJURIES • Unrestrained drivers who hit the
steering column or bicyclists who
fall against a handlebar
DIAPHRAGMATIC INJURIES
PRESENTATION
• Insidious.
• Occasionally obvious
– When bowel sounds can be auscultated in the
thoracic cavity.
FINDINGS
HERNIATION OF ABDOMINAL CONTENTS INTO THE THORACIC CAVITY
Chest radiograph. • Nasogastric tube coiled in the
thorax
• Blurring of the diaphragm or an
effusion
ABDOMINAL TRAUMA PEARLS AND
PITFALL
PEARLS AND PITFALLS
• Present with deceptively unimpressive physical
exams
• Details of mechanism of injury should be elicited
in order to appropriately manage said patients
• Gunshot penetrating trauma has a much higher
morbidity and mortality compared to stab wound
• Bedside sonography is increasingly useful for
diagnosis of hemoperitoneum in blunt abdominal
trauma
– The presence of free fluid in morrison’s pouch is
pathognomonic for hemo-peritoneum.
Details of the Abdominal Trauma
Mechanism are Crucial.
• Motor vehicle accidents (MVAS)
– Speed of collision
– Position of colliding car to each other,
– Position of patient in the car,
– Seatbelt use,
– Extent of car damage (intrusion, wind shield damage, difficulty of extrication,
air bag deployment)
• With respect to falls,
– Height of fall is very important.
• With respect to gun shot wounds,
– Kind of gun,
– Distance from the shooter,
– Number of shots heard are all relevant.
• For stab wounds,
– Kind of weapon used.
TRAUMA MANAGEMENT
INITIAL ACTIONS
• Present in multiple ways.
– brought by emergency medical transport (typically
boarded and collared)
– brought by private vehicle (plan of action is to
apply a c spine collar and proceed in accordance
with atls guidelines)
• Occult cervical spine injury is unlikely in
patients with penetrating trauma.
PRIMARY SURVEY
• Managed in accordance with advanced
trauma life support (ATLS) algorithms
• Is the patient speaking in full sentences?
A (Airway with c-spine
protection):
• Is the breathing labored?
• Bilateral symmetric breath sounds and chest rise?
• O2 – Nasal cannula, Face Mask
B (Breathing and
Ventilation):
• Pulses present and symmetric?
• Skin appearance (cold clammy, warm well perfused)
• IV – 2 large bore (minimum 18 Gauge) Antecubital IV
• Monitor: Place patient on monitor.
C (Circulation with
hemorrhage control):
• GCS scale? Moving all extremities?D (Disability):
• Completely expose the patient. Rectal
tone? Gross blood per rectum?
E (Exposure/Environmental
Control):
Cont.
• If primary survey is intact,
– adjuncts to the primary survey and resuscitation
begins.
• The adjuncts include any of the following as
necessary:
– EKG, ABG, Chest Xray, Pelvis Xray, Urinary
Catheter, EFAST Exam, and/or DPL.
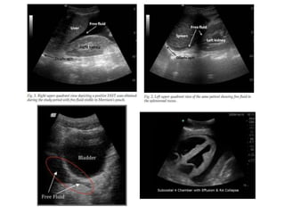
– Bedside sonography should be used to perform an
FAST exam (figure 1).
In the setting of hypotension, free fluid on the FAST exam
suggests hemoperitoneum, necessitating emergent
surgical intervention (see figure 2)
SECONDARY SURVEY
• Complete history and
physical examination.
• After the primary survey
and vital functions are
returning to normal.
• Start by taking an
“AMPLE” history.
THE ABDOMEN • Examined by inspection, palpation,
percussion and auscultation
ABDOMINAL EXAM • Detail exit and entry wounds,
• Number of wounds,
• Any evisceration,
• Ecchymosis and deformities.
THE PERINEUM, RECTUM AND
GENITALIA
• All be examined at this point.
A RECTAL EXAM • Alert the provider for a high riding
prostate, lack of rectal tone, or
heme-positive stools.
DIAGNOSIS AND DIFFERENTIAL
(INVESTIGATIONS)
PLAIN RADIOGRAPHS
• A chest radiograph
– Helpful in evaluating for herniated abdominal
contents in the thoracic cavity
– For evidence of free air under the diaphragm.
• An anteroposterior pelvis radiograph is
important for
– Identifying pelvic fractures
• Which can produce significant blood loss
• Be associated with intra-abdominal injury.
ULTRASONOGRAPHY
• The focused assessment with sonography for
trauma (FAST) examination
– A widely accepted primary diagnostic study.
– Many clinically significant injuries will be associated
with free intraperitoneal fluid.
– Rapid identification of free intraperitoneal fluid in the
hypotensive patient with blunt abdominal trauma.
Since the FAST examination can reliably detect small amounts of free
intraperitoneal fluid and can estimate the rate of hemorrhage through
serial examinations, it has essentially replaced diagnostic peritoneal
lavage (DPL) for blunt abdominal trauma in the majority of North
American Trauma Centers
Focused Assessment with Sonography for
Trauma (FAST) Scan
• Increasingly used in the ED resuscitation
room to
– Assess the chest and abdomen of acutely injured
patients, especially those with shock.
• Can be performed by a trained ed doctor,
surgeon, or radiologist.
ADVANTAGES DISADVANTAGES
Can be done in ED. Operator dependent.
Quick: takes 2 − 3min. Does not define injured organ, only
presence of blood or fluid in abdomen or
pericardium.
Non-invasive.
Repeatable if concerns persist or the
patient’s condition changes.
Ideally performed with a portable or
hand-held USS scanner.
Looks at four areas for the presence of
free fluid only:
• Hepatorenal recess (Morrison’s
pouch).
• Splenorenal recess.
• Pelvis (Pouch of Douglas).
• Pericardium.
The scan is usually done in that order,
as the hepatorenal recess is the first to
fill with fluid in the supine position, and
is most easily identified.
If the indication for FAST scanning is to
identify cardiac tamponade, the first
view should be the pericardial view.
Free fluid appears as a black echo-free area:
• Between the liver and the right kidney.
• Between the spleen and the left kidney.
• Behind the bladder in the pelvis.
• Around the heart in the pericardium.
A POSITIVE FAST SCAN
• Is one which identifies any free fluid in the abdomen or in the pericardium.
• Visible free fluid in the abdomen implies a minimum volume of ≈ 500ml.
• The finding of blood in the pericardium after trauma is an indication for
emergency thoracotomy, ideally in the operating theatre; however,
thoracotomy should be performed in the ED if the patient arrests.
FAST scanning requires training prior to use on trauma patients; there is a
significant false-negative rate in inexperienced hands.
Computed Tomography Abdomino-pelvic
CT With IV Contrast
• Noninvasive gold standard study for the
diagnosis of abdominal injury
• The major advantage
– The precise location and grade of injury can be
identified.
• CT can quantify and differentiate the amount
and type of free fluid in the abdomen.
• It is the ideal study to evaluate for
retroperitoneal injuries
CT CONTRAST
• The type that is given via intravenous (through
a vein) injection
• The type that is given orally
• The type that is given rectally
IV ORAL RECTAL
• Contrast is injected into a
vein using a small needle.
• Used to highlight blood
vessels and to enhance
the tissue structure of
various organs such as
the liver and kidneys.
• Blood vessels and organs
filled with the contrast to
"enhance" and show up
as white areas on the x-
ray or ct images.
• Used to enhance CT
images of the abdomen
and pelvis.
1. Barium sulfate, is the
most common oral
contrast agent used in ct.
2. The second type of
contrast agent is called
gastrografin.
• Travels into the stomach
and then into
gastrointestinal tract, ct x-
ray beam is attenuated
(weakened) as it passes
through the organs
containing the contrast.
• Used to enhance CT
images of the large
intestines and other
organs in the pelvis.
• For rectal CT contrast
(barium and gastrografin)
are the same as the type
used for oral ct contrast,
but with different
concentrations.
• Outlining the large
intestines (colon)
DIAGNOSTIC PERITONEAL LAVAGE
• The wide availability of CT and ED ultrasound has relegated
DPL to a second-line screening test for evaluating
abdominal trauma
• For blunt trauma, indications for DPL include
– Patients who are too hemodynamically unstable to leave the ED
for CT and
– Unexplained hypotension in patients with an equivocal physical
examination
• DPL is considered positive if
– More than 10 ml of gross blood is aspirated immediately,
– The red blood cell count is higher than 100,000 cells/mm3,
– The white blood cell count is higher than 500 cells/mm3,
– Bile is present,
– Or if vegetable matter is present.
CONT.
• The only absolute contraindication to DPL is
when
– Surgical management is clearly indicated, in which
case the DPL would delay patient transport to the
operating room.
• Relative contraindications include
– Patients with advanced hepatic dysfunction,
– Severe coagulopathies,
– Previous abdominal surgeries, or a gravid uterus.
Anyone with identifiable injuries on
US, CT scan, or DPL
• Should be admitted or transferred to hospital, a
trauma center for further inpatient monitoring
and care.
• Patients with no injuries on diagnostic evaluation
and continued abdominal pain
– admitted for observation and serial abdominal exams.
• Patients with no injuries who have a benign
physical exam
– can safely discharged to home with good instructions
on what to return for
SHOCK
HAEMORRHAGIC SHOCK
INTRODUCTION
• Most common and important cause of
DEATH of surgical patients.
• Death may occur rapidly due to a profound
state of shock, or be delayed due to the
consequences of organ ischaemia and
reperfusion injury.
SHOCK
A systemic state
Of low tissue perfusion
Which is inadequate for normal cellular
respiration.
With insufficient delivery of oxygen and glucose,
Cells switch from aerobic to anaerobic
metabolism.
If perfusion is not restored in a timely fashion,
cell death ensues.
CLASSIFICATION OF SHOCK
• Based on the initiating mechanism
■ Hypovolaemic shock
■ Cardiogenic shock
■ Obstructive shock
■ Distributive shock
■ Endocrine shock
HYPOVOLAEMIC SHOCK
• Reduced circulating volume.
BLOOD LOSS: • Trauma,
• Gastrointestinal (gi) bleed
(haematemesis, melaena),
• Ruptured abdominal aortic
aneurysm,
• Ruptured ectopic pregnancy.
FLUID LOSS/REDISTRIBUTION
(‘THIRD SPACING’) :
• Burns, GI losses (vomiting,
diarrhoea), pancreatitis, sepsis
HAEMORRHAGE
1. Revealed, concealed
2. Primary, reactionary and secondary
3. Surgical and non surgical
CLASSIFICATION
SEVERITY OF SHOCK
COVERT COMPENSATED
HYPOVOLAEMIA
OVERT COMPENSATED
HYPOVOLAEMIA
DECOMPENSATED
HYPOVOLAEMIA
• Blood volume is reduced
by 10-15%
• There will not be
significant change in
1. Heart rate,
2. Cardiac output
3. Splanchnic blood
compensates for the
same.
• Patient has
1. Cold periphery,
2. Tachycardia,
3. A wide arterial
pressure,
4. Tachypnoea,
5. Confusion,
6. Hyponatraemia,
7. Metabolic acidosis,
8. But systolic pressure is
well-maintained
• All features of
hypovolaemia are
present
• Hypotension,
• Tachycardia,
• Sweating,
• Tachypnoea,
• Oliguria,
• Drowsiness,
• Eventually features of
SIRS is seen
• Often if not treated on
time leads to MODS, i.E.
Irreversible shock.
MONITORING FOR PATIENTS IN SHOCK
Minimum
■ ECG
■ Pulse oximetry
■ Blood pressure
■ Urine output
Additional modalities
■ Central venous pressure
■ Invasive blood pressure
■ Cardiac output
■ Base deficit and serum lactate
EFFECTS OF HAEMORRHAGE
• Acute renal shut down
• Liver cell dysfunction
• Cardiac depression
• Hypoxic effect
• Metabolic acidosis
• GIT mucosal ischaemia
• Sepsis
• Interstitial oedema, AV shunting in lung- ARDS
• Hypovolaemic shock- MODS
MANAGEMENT
1. Identify hemorrhage
2. Immediate resuscitation maneuvers
3. Identify site of hemorrhage
4. Hemorrhage control
5. Damage control resuscitation (Damage control
surgery)
■ Arrest hemorrhage
■ Control sepsis
■ Protect from further injury
LOCAL HAEMOSTATIC AGENTS
• Gelatin sponge (Gel foam)
• Oxidised cellulose (Surgicel)
• Collagen sponge (Helistat)
• Microfibrillar collagen (Avitene)
• Topical thrombin
• Bone wax (derived from bees wax + almond oil)
• Gelatin matrices (Floseal)
• Topical EACA, topical cryoprecipitate
Standard Treatment Of General
Fibrinolysis: TXA
• Intravenous dosage
• Adults
• 1 g IV over 10 to 30 minutes beginning within
8 hours of injury followed by 1 g IV over 8
hours.
HAEMORRHAGE CONTROL
• Hemorrhage control must be achieved rapidly so as
to prevent the patient entering the triad of
– Coagulopathy–acidosis– hypothermia and
physiological exhaustion.
• Attention should be paid to
– Correction of coagulopathy with blood
component therapy to aid surgical haemorrhage
control.
Coagulopathy
Acidosis Hypothermia
‘DAMAGE CONTROL SURGERY’
• Concept of tailoring the operation to match the
patient’s physiology and staged procedures to
prevent physiological exhaustion
• Once haemorrhage is controlled,
1. Patients should be aggressively resuscitated,
2. Coagulopathy corrected.
3. Attention to fluid responsiveness
4. The end points of resuscitation to ensure that
patients are fully resuscitated and to reduce the
incidence and severity of organ failure.
MASSIVE BLOOD TRANSFUSION
INTRODUCTION
Massive transfusion
• Loss of 50 % of circulating blood volume
within 3hr
• Resuscitation requires an interdisciplinary
team and clear organization.
IN THE EVENT OF MASSIVE BLOOD LOSS
1. Protect the airway and give high flow O2 .
2. Get help — two nurses and a senior doctor.
3. Insert two large bore cannulae and start IV warm saline 1000mL stat.
4. Take FBC, U&E, LFTs, coagulation, and cross-match. Label the blood tubes and ensure they are sent
directly to the laboratory. Do not leave them unlabelled or lying around in the resusitation room.
5. Telephone the haematology laboratory to warn of potential massive transfusion. Request ABO
group-specific red cells if the patient is peri-arrest. This will take only 10min in the laboratory.
Otherwise, request full cross-match and give number of units required.
6. Accurate patient ID is essential, even if the patient is unknown.
7. Call appropriate senior surgeon — to stop bleeding as soon as possible.
8. Start blood transfusion if the patient remains tachycardic and/or hypotensive despite crystalloid
resuscitation.
9. Repeat all bloods, including FBC, clotting, U&Es, calcium, and magnesium levels, every hour.
10. Start platelet transfusion if platelet count falls below 75 × 10^9 /L.
11. Anticipate the requirement for FFP and consider giving early during the resuscitation. FFP will
replace clotting factors and fibrinogen. Aim to maintain fibrinogen > 1.0g/L and the INR and APTT
<1.5 normal. Cryoprecipitate may also be used.
12. Recombinant Factor VIIa might be used as a ‘last ditch attempt’ to control bleeding in young
patients where surgical control of bleeding is not possible, and the above has already been
corrected. If the drug is available it is usually ordered by a haematologist.
MASSIVE TRANSFUSION
COMPLICATIONS
HYPOTHERMIA ELECTROLYTE DISTURBANCES
• Blood products are normally stored
at 2–6 ° C.
• Rapid infusion can cause significant
hypothermia.
• Use blood warmers routinely for
rapid transfusions
(eg > 50mL/kg/hr or 15mL/kg/hr in
children).
• With massive transfusion, the citrate
anticoagulant may cause significant
toxicity
• Citrate may also bind Mg2+, causing
arrhythmias.
• Monitor ECG and measure ionized
plasma Ca2+ levels during massive
transfusion.
• Routinely monitor the ECG and check
plasma K + levels.
EMERGENCY DEPARTMENT CARE
AND DISPOSITION
TREATMENT
• Antibiotics should be started in the ED
• Tetanus should be updated.
• Blood should be transfused as needed, keeping in mind principles of permissive hypotension.
Permissive hypotension means avoiding aggressive crystalloid resuscitation of trauma
patients, in favor of blood product resuscitation to a specific defined mean arterial pressure
(MAP) of 65.
1. Although simple grade i and ii spleen and liver lacerations can often be managed with
conservative management and blood transfusions, complicated lacerations grade iv and
above often require surgical intervention.
2. Intestinal and colonic injuries typically require surgical intervention (exploratory
laparotomies).
3. Pelvic fractures with concurrent pelvic vessel injury warrant a stat interventional radiology
consult for emergent arterial embolization.
4. Traumatic aortic injuries, warrant judicious blood pressure control, and emergent surgical
intervention.
5. Traumatic arrest due to penetrating thoracoabdominal injuries can be managed with an ED
thoracotomy followed by emergent operative intervention.
6. Massive transfusion protocols should be activated. There is no place for ED thoracotomy
for blunt thoraco-abdominal injuries
4. Order laboratory work for abdominal trauma patients based on the mechanism of
injury (blunt vs penetrating); labs may include type and crossmatching, complete
blood count, electrolytes, lactate level, directed toxicologic studies, coagulation
studies, hepatic enzymes, and lipase.
3. Administer IV crystalloid fluid to hypotensive abdominal trauma patients. Transfuse
with O-negative or type-specific packed red blood cells as indicated.
2. Administer oxygen as needed, attach cardiac monitoring, and secure two large-
bore IV lines.
1. Initiate standard protocols for evaluation and stabilization of trauma patients.
7. For the hemodynamically stable, blunt trauma patient with a positive FAST
examination, further evaluation with CT may be warranted before admission to the
surgical service.
6. For an equivocal stab wound to the abdomen, obtain surgical consultation for local
wound exploration. If the local wound exploration demonstrates no violation of the
anterior fascia, the patient can be discharged home.
5. Indications for exploratory laparotomy. When a patient presents to the ED with an
obvious high-velocity gunshot wound to the abdomen, do not delay transport of the
patient to the operating room by performing a FAST examination unless there is a
suspicion for cardiac injury. If organ evisceration is present, cover the wound with a
moist, sterile dressing before surgery.
SUMMARY
 Identify abdominal trauma in emergency
 Learn the approaches to abdominal trauma in emergency
department
 Trauma management, investigation, differential
 Primary survey
 Secondary survey
 Identify shock in abdominal trauma (haemorrhagic shock)
 Indication of massive transfusion protocol
 How to proceed with management proper for abdominal
trauma and shock
REFERENCES
• Bailey and love
• Oxford emergency handbook
• Tintinallis emergency
• https://www.saem.org/cdem/education/online-
education/m4-curriculum/group-m4-
trauma/abdominal-trama
• http://bulletin.facs.org/2018/06/atls-10th-edition-
offers-new-insights-into-managing-trauma-patients/
• https://anesth.unboundmedicine.com/anesthesia/view
/Pocket-ICU-
Management/534159/all/ATLS_Algorithms#2
Abdominal trauma

Abdominal trauma

  • 1.
    ABDOMINAL TRAUMA (EMERGENCY DEPARTMENT APPROACHES& MANAGEMENT) NUR FARRA NAJWA 082015100035
  • 2.
    LEARNING OBJECTIVES 1. Identifyabdominal trauma in emergency 2. Learn the approaches to abdominal trauma in emergency department 3. Trauma management, investigation, differential 1. Primary survey 2. Secondary survey 4. Identify shock in abdominal trauma (haemorrhagic shock) 5. Indication of massive transfusion protocol 6. How to proceed with management proper for abdominal trauma and shock
  • 3.
  • 4.
    INTRODUCTION • The primarygoal in the evaluation of abdominal trauma – To promptly recognize conditions that require immediate surgical exploration. – To avoid critical error of delay operative intervention when it is needed.
  • 5.
    ABDOMINAL TRAUMA Abdominal Trauma Solid organ injuries Hollowvisceral injuries Retroperitoneal injuries Diaphragmatic injuries
  • 6.
  • 7.
    PRESENTATION Patients with solid organinjury occasionally present with : Minimal symptoms and nonspecific findings on physical examination : • Young patients, • distracting injuries, • head injury, • intoxication. Serial physical examinations on an awake, alert, and reliable patient are important for identifying intra- abdominal injuries.
  • 8.
    SUSPECTED ORGAN SPLEEN •Most frequently injured organ in blunt abdominal trauma • Commonly associated with other intra-abdominal injuries. KEHR SIGN • Referred left shoulder pain, is a classic finding in splenic rupture. LOWER LEFT RIB FRACTURES • Heighten clinical suspicion for splenic injury. LIVER • Commonly injured in blunt and penetrating injuries
  • 9.
    PHYSICAL EXAM Grey-Turner sign:Bluish discoloration of lower flanks, lower back; associated with retroperitoneal bleeding of pancreas, kidney, or pelvic fracture. Cullen sign: Bluish discoloration around umbilicus, indicates peritoneal bleeding, often pancreatic hemorrhage. Kehr sign: shoulder pain while supine; caused by diaphragmatic irritation (splenic injury, free air, intra- abdominal bleeding) Balance sign: Dull percussion in LUQ. Sign of splenic injury; blood accumulating in subcapsular or extracapsular spleen. Labial and scrotal sign : pooling of blood in scrotal and labia London sign / seat belt sign
  • 11.
    MECHANISM OF INJURY CRUSHING• Direct application of blunt force to abdomen SHEARING • Sudden deceleration applying shearing force on attached organ BURSTING • Raised intraluminal pressure due to compression in hollow organ allow rupture PENETRATION • Disruption of bony areas by blunt trauma may generate bony spicules that can cause secondary penetrating injury
  • 12.
    FINDINGS 1. An increasein pulse pressure • Clue to loss of ≤15% of total blood volume. 2. As heart and respiratory rate increase • Continues blood loss 3. Hypotension • 30% decrease in circulating volume occurs
  • 13.
  • 14.
    INTRODUCTION HOLLOW VISCERAL INJURIES Bloodloss from a concomitant mesenteric injury Perforation of the stomach, small bowel, or colon SYMPTOMS • Blood loss • Peritoneal contamination
  • 15.
    SUSPECTED ORGAN ANDMECHANISM • Small bowel and colon injuries • Most frequently the result of penetrating trauma. • Bucket-handle tear of the mesentery • a blow-out injury of the antimesenteric border. • Commonly by deceleration injury
  • 16.
    FINDINGS GASTROINTESTINAL CONTAMINATION Produce peritoneal signsover time. HEAD INJURY, DISTRACTING INJURIES, OR INTOXICATION Not exhibit peritoneal signs initially. INFLAMMATION (TAKE 6 TO 8 HOURS TO DEVELOP) Suppurative peritonitis (small bowel and colonic injuries)
  • 17.
  • 19.
    INTRODUCTION Diagnosis of retroperitoneal injuries Challenging. Signs and symptoms Subtleor absent at initial presentation. Injuries range in severity From an intramural hematoma to an extensive crush or laceration.
  • 20.
    FINDINGS & PRESENTATION CLINICALPRESENTATION TIMINGS • Abdominal pain, fever, nausea, and vomiting • Take hours to become clinically apparent. PANCREATIC INJURIES • Subtle signs and symptoms, making the diagnosis elusive DUODENAL INJURY • Clinical signs of are often slow to develop DUODENAL RUPTURES • Usually contained within the retroperitoneum
  • 21.
    SUSPECTED ORGAN ANDMECHANISM DUODENAL INJURIES • With high-speed vertical or horizontal decelerating trauma PANCREATIC INJURY • Rapid deceleration injury or a severe crush injury. PANCREATIC INJURIES • Unrestrained drivers who hit the steering column or bicyclists who fall against a handlebar
  • 23.
  • 24.
    PRESENTATION • Insidious. • Occasionallyobvious – When bowel sounds can be auscultated in the thoracic cavity.
  • 25.
    FINDINGS HERNIATION OF ABDOMINALCONTENTS INTO THE THORACIC CAVITY Chest radiograph. • Nasogastric tube coiled in the thorax • Blurring of the diaphragm or an effusion
  • 26.
  • 27.
    PEARLS AND PITFALLS •Present with deceptively unimpressive physical exams • Details of mechanism of injury should be elicited in order to appropriately manage said patients • Gunshot penetrating trauma has a much higher morbidity and mortality compared to stab wound • Bedside sonography is increasingly useful for diagnosis of hemoperitoneum in blunt abdominal trauma – The presence of free fluid in morrison’s pouch is pathognomonic for hemo-peritoneum.
  • 28.
    Details of theAbdominal Trauma Mechanism are Crucial. • Motor vehicle accidents (MVAS) – Speed of collision – Position of colliding car to each other, – Position of patient in the car, – Seatbelt use, – Extent of car damage (intrusion, wind shield damage, difficulty of extrication, air bag deployment) • With respect to falls, – Height of fall is very important. • With respect to gun shot wounds, – Kind of gun, – Distance from the shooter, – Number of shots heard are all relevant. • For stab wounds, – Kind of weapon used.
  • 29.
  • 30.
    INITIAL ACTIONS • Presentin multiple ways. – brought by emergency medical transport (typically boarded and collared) – brought by private vehicle (plan of action is to apply a c spine collar and proceed in accordance with atls guidelines) • Occult cervical spine injury is unlikely in patients with penetrating trauma.
  • 31.
    PRIMARY SURVEY • Managedin accordance with advanced trauma life support (ATLS) algorithms
  • 32.
    • Is thepatient speaking in full sentences? A (Airway with c-spine protection): • Is the breathing labored? • Bilateral symmetric breath sounds and chest rise? • O2 – Nasal cannula, Face Mask B (Breathing and Ventilation): • Pulses present and symmetric? • Skin appearance (cold clammy, warm well perfused) • IV – 2 large bore (minimum 18 Gauge) Antecubital IV • Monitor: Place patient on monitor. C (Circulation with hemorrhage control): • GCS scale? Moving all extremities?D (Disability): • Completely expose the patient. Rectal tone? Gross blood per rectum? E (Exposure/Environmental Control):
  • 33.
    Cont. • If primarysurvey is intact, – adjuncts to the primary survey and resuscitation begins. • The adjuncts include any of the following as necessary: – EKG, ABG, Chest Xray, Pelvis Xray, Urinary Catheter, EFAST Exam, and/or DPL. – Bedside sonography should be used to perform an FAST exam (figure 1).
  • 35.
    In the settingof hypotension, free fluid on the FAST exam suggests hemoperitoneum, necessitating emergent surgical intervention (see figure 2)
  • 36.
    SECONDARY SURVEY • Completehistory and physical examination. • After the primary survey and vital functions are returning to normal. • Start by taking an “AMPLE” history.
  • 37.
    THE ABDOMEN •Examined by inspection, palpation, percussion and auscultation ABDOMINAL EXAM • Detail exit and entry wounds, • Number of wounds, • Any evisceration, • Ecchymosis and deformities. THE PERINEUM, RECTUM AND GENITALIA • All be examined at this point. A RECTAL EXAM • Alert the provider for a high riding prostate, lack of rectal tone, or heme-positive stools.
  • 39.
  • 40.
    PLAIN RADIOGRAPHS • Achest radiograph – Helpful in evaluating for herniated abdominal contents in the thoracic cavity – For evidence of free air under the diaphragm. • An anteroposterior pelvis radiograph is important for – Identifying pelvic fractures • Which can produce significant blood loss • Be associated with intra-abdominal injury.
  • 41.
    ULTRASONOGRAPHY • The focusedassessment with sonography for trauma (FAST) examination – A widely accepted primary diagnostic study. – Many clinically significant injuries will be associated with free intraperitoneal fluid. – Rapid identification of free intraperitoneal fluid in the hypotensive patient with blunt abdominal trauma. Since the FAST examination can reliably detect small amounts of free intraperitoneal fluid and can estimate the rate of hemorrhage through serial examinations, it has essentially replaced diagnostic peritoneal lavage (DPL) for blunt abdominal trauma in the majority of North American Trauma Centers
  • 42.
    Focused Assessment withSonography for Trauma (FAST) Scan • Increasingly used in the ED resuscitation room to – Assess the chest and abdomen of acutely injured patients, especially those with shock. • Can be performed by a trained ed doctor, surgeon, or radiologist.
  • 43.
    ADVANTAGES DISADVANTAGES Can bedone in ED. Operator dependent. Quick: takes 2 − 3min. Does not define injured organ, only presence of blood or fluid in abdomen or pericardium. Non-invasive. Repeatable if concerns persist or the patient’s condition changes.
  • 44.
    Ideally performed witha portable or hand-held USS scanner. Looks at four areas for the presence of free fluid only: • Hepatorenal recess (Morrison’s pouch). • Splenorenal recess. • Pelvis (Pouch of Douglas). • Pericardium. The scan is usually done in that order, as the hepatorenal recess is the first to fill with fluid in the supine position, and is most easily identified. If the indication for FAST scanning is to identify cardiac tamponade, the first view should be the pericardial view.
  • 45.
    Free fluid appearsas a black echo-free area: • Between the liver and the right kidney. • Between the spleen and the left kidney. • Behind the bladder in the pelvis. • Around the heart in the pericardium. A POSITIVE FAST SCAN • Is one which identifies any free fluid in the abdomen or in the pericardium. • Visible free fluid in the abdomen implies a minimum volume of ≈ 500ml. • The finding of blood in the pericardium after trauma is an indication for emergency thoracotomy, ideally in the operating theatre; however, thoracotomy should be performed in the ED if the patient arrests. FAST scanning requires training prior to use on trauma patients; there is a significant false-negative rate in inexperienced hands.
  • 47.
    Computed Tomography Abdomino-pelvic CTWith IV Contrast • Noninvasive gold standard study for the diagnosis of abdominal injury • The major advantage – The precise location and grade of injury can be identified. • CT can quantify and differentiate the amount and type of free fluid in the abdomen. • It is the ideal study to evaluate for retroperitoneal injuries
  • 48.
    CT CONTRAST • Thetype that is given via intravenous (through a vein) injection • The type that is given orally • The type that is given rectally
  • 49.
    IV ORAL RECTAL •Contrast is injected into a vein using a small needle. • Used to highlight blood vessels and to enhance the tissue structure of various organs such as the liver and kidneys. • Blood vessels and organs filled with the contrast to "enhance" and show up as white areas on the x- ray or ct images. • Used to enhance CT images of the abdomen and pelvis. 1. Barium sulfate, is the most common oral contrast agent used in ct. 2. The second type of contrast agent is called gastrografin. • Travels into the stomach and then into gastrointestinal tract, ct x- ray beam is attenuated (weakened) as it passes through the organs containing the contrast. • Used to enhance CT images of the large intestines and other organs in the pelvis. • For rectal CT contrast (barium and gastrografin) are the same as the type used for oral ct contrast, but with different concentrations. • Outlining the large intestines (colon)
  • 50.
    DIAGNOSTIC PERITONEAL LAVAGE •The wide availability of CT and ED ultrasound has relegated DPL to a second-line screening test for evaluating abdominal trauma • For blunt trauma, indications for DPL include – Patients who are too hemodynamically unstable to leave the ED for CT and – Unexplained hypotension in patients with an equivocal physical examination • DPL is considered positive if – More than 10 ml of gross blood is aspirated immediately, – The red blood cell count is higher than 100,000 cells/mm3, – The white blood cell count is higher than 500 cells/mm3, – Bile is present, – Or if vegetable matter is present.
  • 51.
    CONT. • The onlyabsolute contraindication to DPL is when – Surgical management is clearly indicated, in which case the DPL would delay patient transport to the operating room. • Relative contraindications include – Patients with advanced hepatic dysfunction, – Severe coagulopathies, – Previous abdominal surgeries, or a gravid uterus.
  • 53.
    Anyone with identifiableinjuries on US, CT scan, or DPL • Should be admitted or transferred to hospital, a trauma center for further inpatient monitoring and care. • Patients with no injuries on diagnostic evaluation and continued abdominal pain – admitted for observation and serial abdominal exams. • Patients with no injuries who have a benign physical exam – can safely discharged to home with good instructions on what to return for
  • 54.
  • 55.
    INTRODUCTION • Most commonand important cause of DEATH of surgical patients. • Death may occur rapidly due to a profound state of shock, or be delayed due to the consequences of organ ischaemia and reperfusion injury.
  • 57.
    SHOCK A systemic state Oflow tissue perfusion Which is inadequate for normal cellular respiration. With insufficient delivery of oxygen and glucose, Cells switch from aerobic to anaerobic metabolism. If perfusion is not restored in a timely fashion, cell death ensues.
  • 58.
    CLASSIFICATION OF SHOCK •Based on the initiating mechanism ■ Hypovolaemic shock ■ Cardiogenic shock ■ Obstructive shock ■ Distributive shock ■ Endocrine shock
  • 59.
    HYPOVOLAEMIC SHOCK • Reducedcirculating volume. BLOOD LOSS: • Trauma, • Gastrointestinal (gi) bleed (haematemesis, melaena), • Ruptured abdominal aortic aneurysm, • Ruptured ectopic pregnancy. FLUID LOSS/REDISTRIBUTION (‘THIRD SPACING’) : • Burns, GI losses (vomiting, diarrhoea), pancreatitis, sepsis
  • 60.
    HAEMORRHAGE 1. Revealed, concealed 2.Primary, reactionary and secondary 3. Surgical and non surgical
  • 61.
  • 63.
    SEVERITY OF SHOCK COVERTCOMPENSATED HYPOVOLAEMIA OVERT COMPENSATED HYPOVOLAEMIA DECOMPENSATED HYPOVOLAEMIA • Blood volume is reduced by 10-15% • There will not be significant change in 1. Heart rate, 2. Cardiac output 3. Splanchnic blood compensates for the same. • Patient has 1. Cold periphery, 2. Tachycardia, 3. A wide arterial pressure, 4. Tachypnoea, 5. Confusion, 6. Hyponatraemia, 7. Metabolic acidosis, 8. But systolic pressure is well-maintained • All features of hypovolaemia are present • Hypotension, • Tachycardia, • Sweating, • Tachypnoea, • Oliguria, • Drowsiness, • Eventually features of SIRS is seen • Often if not treated on time leads to MODS, i.E. Irreversible shock.
  • 64.
    MONITORING FOR PATIENTSIN SHOCK Minimum ■ ECG ■ Pulse oximetry ■ Blood pressure ■ Urine output Additional modalities ■ Central venous pressure ■ Invasive blood pressure ■ Cardiac output ■ Base deficit and serum lactate
  • 65.
    EFFECTS OF HAEMORRHAGE •Acute renal shut down • Liver cell dysfunction • Cardiac depression • Hypoxic effect • Metabolic acidosis • GIT mucosal ischaemia • Sepsis • Interstitial oedema, AV shunting in lung- ARDS • Hypovolaemic shock- MODS
  • 66.
    MANAGEMENT 1. Identify hemorrhage 2.Immediate resuscitation maneuvers 3. Identify site of hemorrhage 4. Hemorrhage control 5. Damage control resuscitation (Damage control surgery) ■ Arrest hemorrhage ■ Control sepsis ■ Protect from further injury
  • 67.
    LOCAL HAEMOSTATIC AGENTS •Gelatin sponge (Gel foam) • Oxidised cellulose (Surgicel) • Collagen sponge (Helistat) • Microfibrillar collagen (Avitene) • Topical thrombin • Bone wax (derived from bees wax + almond oil) • Gelatin matrices (Floseal) • Topical EACA, topical cryoprecipitate
  • 68.
    Standard Treatment OfGeneral Fibrinolysis: TXA • Intravenous dosage • Adults • 1 g IV over 10 to 30 minutes beginning within 8 hours of injury followed by 1 g IV over 8 hours.
  • 69.
    HAEMORRHAGE CONTROL • Hemorrhagecontrol must be achieved rapidly so as to prevent the patient entering the triad of – Coagulopathy–acidosis– hypothermia and physiological exhaustion. • Attention should be paid to – Correction of coagulopathy with blood component therapy to aid surgical haemorrhage control. Coagulopathy Acidosis Hypothermia
  • 70.
    ‘DAMAGE CONTROL SURGERY’ •Concept of tailoring the operation to match the patient’s physiology and staged procedures to prevent physiological exhaustion • Once haemorrhage is controlled, 1. Patients should be aggressively resuscitated, 2. Coagulopathy corrected. 3. Attention to fluid responsiveness 4. The end points of resuscitation to ensure that patients are fully resuscitated and to reduce the incidence and severity of organ failure.
  • 71.
  • 72.
    INTRODUCTION Massive transfusion • Lossof 50 % of circulating blood volume within 3hr • Resuscitation requires an interdisciplinary team and clear organization.
  • 74.
    IN THE EVENTOF MASSIVE BLOOD LOSS 1. Protect the airway and give high flow O2 . 2. Get help — two nurses and a senior doctor. 3. Insert two large bore cannulae and start IV warm saline 1000mL stat. 4. Take FBC, U&E, LFTs, coagulation, and cross-match. Label the blood tubes and ensure they are sent directly to the laboratory. Do not leave them unlabelled or lying around in the resusitation room. 5. Telephone the haematology laboratory to warn of potential massive transfusion. Request ABO group-specific red cells if the patient is peri-arrest. This will take only 10min in the laboratory. Otherwise, request full cross-match and give number of units required. 6. Accurate patient ID is essential, even if the patient is unknown. 7. Call appropriate senior surgeon — to stop bleeding as soon as possible. 8. Start blood transfusion if the patient remains tachycardic and/or hypotensive despite crystalloid resuscitation. 9. Repeat all bloods, including FBC, clotting, U&Es, calcium, and magnesium levels, every hour. 10. Start platelet transfusion if platelet count falls below 75 × 10^9 /L. 11. Anticipate the requirement for FFP and consider giving early during the resuscitation. FFP will replace clotting factors and fibrinogen. Aim to maintain fibrinogen > 1.0g/L and the INR and APTT <1.5 normal. Cryoprecipitate may also be used. 12. Recombinant Factor VIIa might be used as a ‘last ditch attempt’ to control bleeding in young patients where surgical control of bleeding is not possible, and the above has already been corrected. If the drug is available it is usually ordered by a haematologist.
  • 75.
    MASSIVE TRANSFUSION COMPLICATIONS HYPOTHERMIA ELECTROLYTEDISTURBANCES • Blood products are normally stored at 2–6 ° C. • Rapid infusion can cause significant hypothermia. • Use blood warmers routinely for rapid transfusions (eg > 50mL/kg/hr or 15mL/kg/hr in children). • With massive transfusion, the citrate anticoagulant may cause significant toxicity • Citrate may also bind Mg2+, causing arrhythmias. • Monitor ECG and measure ionized plasma Ca2+ levels during massive transfusion. • Routinely monitor the ECG and check plasma K + levels.
  • 76.
  • 77.
    TREATMENT • Antibiotics shouldbe started in the ED • Tetanus should be updated. • Blood should be transfused as needed, keeping in mind principles of permissive hypotension. Permissive hypotension means avoiding aggressive crystalloid resuscitation of trauma patients, in favor of blood product resuscitation to a specific defined mean arterial pressure (MAP) of 65. 1. Although simple grade i and ii spleen and liver lacerations can often be managed with conservative management and blood transfusions, complicated lacerations grade iv and above often require surgical intervention. 2. Intestinal and colonic injuries typically require surgical intervention (exploratory laparotomies). 3. Pelvic fractures with concurrent pelvic vessel injury warrant a stat interventional radiology consult for emergent arterial embolization. 4. Traumatic aortic injuries, warrant judicious blood pressure control, and emergent surgical intervention. 5. Traumatic arrest due to penetrating thoracoabdominal injuries can be managed with an ED thoracotomy followed by emergent operative intervention. 6. Massive transfusion protocols should be activated. There is no place for ED thoracotomy for blunt thoraco-abdominal injuries
  • 78.
    4. Order laboratorywork for abdominal trauma patients based on the mechanism of injury (blunt vs penetrating); labs may include type and crossmatching, complete blood count, electrolytes, lactate level, directed toxicologic studies, coagulation studies, hepatic enzymes, and lipase. 3. Administer IV crystalloid fluid to hypotensive abdominal trauma patients. Transfuse with O-negative or type-specific packed red blood cells as indicated. 2. Administer oxygen as needed, attach cardiac monitoring, and secure two large- bore IV lines. 1. Initiate standard protocols for evaluation and stabilization of trauma patients.
  • 79.
    7. For thehemodynamically stable, blunt trauma patient with a positive FAST examination, further evaluation with CT may be warranted before admission to the surgical service. 6. For an equivocal stab wound to the abdomen, obtain surgical consultation for local wound exploration. If the local wound exploration demonstrates no violation of the anterior fascia, the patient can be discharged home. 5. Indications for exploratory laparotomy. When a patient presents to the ED with an obvious high-velocity gunshot wound to the abdomen, do not delay transport of the patient to the operating room by performing a FAST examination unless there is a suspicion for cardiac injury. If organ evisceration is present, cover the wound with a moist, sterile dressing before surgery.
  • 80.
    SUMMARY  Identify abdominaltrauma in emergency  Learn the approaches to abdominal trauma in emergency department  Trauma management, investigation, differential  Primary survey  Secondary survey  Identify shock in abdominal trauma (haemorrhagic shock)  Indication of massive transfusion protocol  How to proceed with management proper for abdominal trauma and shock
  • 81.
    REFERENCES • Bailey andlove • Oxford emergency handbook • Tintinallis emergency • https://www.saem.org/cdem/education/online- education/m4-curriculum/group-m4- trauma/abdominal-trama • http://bulletin.facs.org/2018/06/atls-10th-edition- offers-new-insights-into-managing-trauma-patients/ • https://anesth.unboundmedicine.com/anesthesia/view /Pocket-ICU- Management/534159/all/ATLS_Algorithms#2