Abdominal trauma.
Dr. A. Barai MBBS, MRCS, MSc
Registrar in Emergency Medicine,
and
Honorary Clinical Lecturer, University of Otago
Topics
• Blunt abdominal trauma
• Penetrating abdominal trauma
• Pelvic trauma
• FAST scan
• ATLS guidelines
Anatomy
Abdominal assessment depends on:
– Mechanism of injury
– Force involved
– Location of injury and
– Haemodynamic status
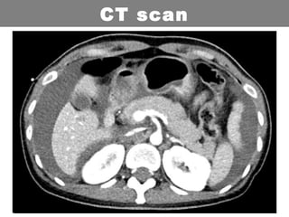
• 36 years old Female
• Ophthalmologist from Hong Kong
• Head on collision > 100km/hr
• Polytrauma
• Air lifted from Clinton to Dunedin Hospital
• Not much is known about background
Trauma Call: 001
• A: Patent
• B: RR 17/min, Sats 100% on 5L/min O2
• C: Pulse 110/min, BP 112/70mmHg
– Abdomen distended
– Tense, tender
• D: GCS 15/15
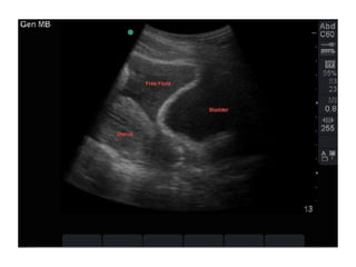
• FAST scan:
– Free fluids in the hepatorenal interface
– Free fluid in the splenorenal interface
CT scan
CT scan
Management:
• Initial resuscitation
• Theatre: Omentum ruptured
• ICU
• Recovery
• 65 years old Female
• Alert: Possible pelvic fractures
• Initially hypotensive. Stable in ED.
• FAST scan Negative
• Xray and CT: Nil
• Poly trauma: Open fractured ankles
Trauma Call: 002
Xray pelvis
• 7 years old Girl
• Front seat passenger
• FAST scan: Free fluids in the pelvis
• Haemodynamically stable
• Admitted under paediatrics
• CT abdomen next day: No intra-abdominal injuries
Trauma Call: 005
• Traumatic injury is the third overall leading cause of
death and the number one cause of death in persons
aged 1-44 years.
• Penetrating abdominal trauma affects approximately
35% of those patients admitted to urban trauma
centers and 1-12% of those admitted to suburban or
rural centers.
• National Center for Injury Prevention and Control
Abdominal trauma
• In 1990, approximately 5 million people died
worldwide as a result of injury.
• Globally, injury accounts for 10% of all deaths.
• Estimates indicate that by 2020, 8.4 million people
will die yearly from injury.
1. Primary survey
2. Resuscitation
3. Secondary survey
4. Diagnostic evaluation
5. Definitive care
Assessment: ATLS®
Airway maintenance with cervical spine protection
Breathing and ventilation
Circulation and haemorrhage control
Disability and neurological status
Exposure and environmental status
Primary survey
• Inspection
– abrasions
– bruising
– seat belt
– lap belt: 30% chance of mesenteric or intestinal injury
– retroperitoneal haemorrhage: ecchymosis of the periumbilical area
(Cullen’s sign) and the flanks (Grey-Turner’s sign)
– genital and perineum
• Palpation
– fullness: haemorrhage
– crepitation of lower rib cage: hepatic or splenic injury
– peritonism: ruptured viscus with leakage
– rectal or vaginal examination
Secondary survey
• Trauma series (e.g. CXR, pelvis XR, c-spine XR)
• Trauma blood panel (e.g. FBC, UEC, LFTs, lipase,
coags, group and hold, BHCG)
• Imaging (bedside FAST scan, +/- CT abdomen if
haemodynamically stable and imaging warranted)
• Insert gastric tube and IDC
Investigations
• FAST is a rapid, non invasive, accurate and
inexpensive means of diagnosing hemoperitoneum
that can be repeated frequently.
• With specific equipment and in experienced hands,
ultrasound has a sensitivity, specificity and accuracy
in detecting intra-abdominal fluid comparable to
DPL.
• A negative FAST exam does not rule out intra-
abdominal injury.
FAST scan
Identifying haemoperitoneum in blunt abdominal
trauma:
• Sensitivity 76 - 90%
• Specificity 95 - 100%
• How much fluid can FAST detect?
• 250 cc total
• 100 cc in Morison’s pouch
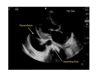
Scans are obtained at 4 interfaces:
•Pericardial sac
•Hepatorenal interface
•Splenorenal interface
•Pelvis interface
Hepatorenal interface
Pericardial interface
Splenorenal interface
• Early diagnosis
• Noninvasive
• Performed rapidly
• Repeatable
• 86 – 97% sensitive
• Transport : No
• Can evaluate for pericardial and pleural fluid
• No radiation exposure
• No contrast required
Advantages
• Operator dependent
• Bowel gas and subcutaneous air distortion
• Misses diaphragm, bowel and pancreatic injuries
• Inability to distinguish intraperitoneal haemorrhage
from ascites.
Disadvantages
For haemodynamically stable patients
• Definitive imaging with multidetector CT Abdo/pelvis
is performed in haemodynamically stable when an
emergency laparotomy is not indicated and one of
the following is present:
• Trauma patients with abdominal tenderness
• Trauma patients with altered sensorium
• Distracting injuries or injuries to adjacent structures
CT scan
Pros
• Identifies specific anatomical structures injured, allows grading of severity
and helps guide management
• Concurrent imaging of other body compartments is frequently indicated
• Images retroperitoneal structures
• Provides imaging of the thoracolumbar vertebrae and other skeletal
structures
• A blush of IV contrast is a strong predictor of failure of non-interventional
management
Cons
• Patient usually has to leave the ED
• Patient transfers are time consuming
• Requires IV contrast and risk adverse reactions
• Radiation exposure
• Less sensitive with pancreatic, diaphragmatic and hollow viscus injuries
• Poor access to patient during the scan should he or she deteriorate
• Requires additional skilled staff (CT radiographers and radiologists)
Diagnostic peritoneal lavage (DPL)
• DPL is now rarely performed due to the advent of the
FAST scan. It’s main role is when FAST and CT are
unavailable or in mass casualty situations.
• Procedure:
– minilaparotomy with placement of lavage
catheter (chest drain or foley) into peritoneal
cavity directed towards pelvis
– blood -> positive
– if negative: 1L of warm saline in -> effluent sent
for RBC, WCC, food, bile, bacteria
DPL
DPL
• Highly sensitive for intraperitoneal hemorrhage
(>97%)
• Rapid
• Performed at the bedside
Advantages
• Invasive
• Doesn’t specify anatomical structures injured
• False positives may result from trauma during the
procedure (up to 25% negative laparotomy rate)
• Rarely performed, practitioner’s have become
deskilled
• Residual fluid following DPL makes subsequent FAST
scans unreliable
• Modified technique required if pregnant, pelvic
fracture or midline scarring
Disadvantages
Blunt trauma
A force to the abdomen that doesn't leave an
open wound.
• Crushing injury: solid organ more vulnerable.
• Deceleration injuries: differential movements of
fixed and non-fixed structures (e.g. liver and spleen
laceration at sites of supporting ligaments).
• External compression (seat belt syndrome), whether
from direct blows or from external compression
against a fixed object (e.g., lap belt, spinal column),it
causes sudden rise in intra abdominal pressure and
culminate in hollow viscous organ injury.
Mechanism of injury
MVA (50 - 75% of cases)
Common causes
Blows to abdomen (15%)
Common causes
Falls (6 - 9%)
Common causes
• Use a coordinated team-based systematic approach
aimed at identifying, prioritising and treating
immediate and delayed life-threats
• Abdominal and pelvic injuries may cause life-
threatening hemorrhage
• Initial examination of the abdomen is best
performed in the ‘C’ phase of the primary survey,
with the mindset of ‘Find the bleeding, stop the
bleeding’
• 2 x 16G cannula
• activation of massive transfusion protocol if needed
Assessment
Seat belt sign
Handlebar sign
Cullen’s sign
Grey Turner’s sign
Management
https://www.starship.org.nz/for-health-professionals/starship-clinical-guidelines/t/trauma/
Paediatric patient
• Any wound between the nipple line (T4) and the
groin creases anteriorly, and from T4 to the curves of
the iliac crests posteriorly is potentially a penetrating
abdominal injury
• If the wound was caused by a projectile, then a
penetrating abdominal injury could result from an
entry wound in almost any part of the body
Penetrating injury
• Anterior abdomen
— Between the anterior axillary lines; bound by the costal margin superiorly
and the groin crease distally.
• Thoracoabdominal area
• — The area superiorly delimited by the fourth intercostal space (anterior),
sixth intercostal space (lateral), and eighth intercostal space (posterior), and
inferiorly delimited by the costal margin (definitions vary — a pragmatic
approach is to use the nipple line as the upper boundary… in non-obese
men at least!). Injuries in the region increase the likelihood of chest,
mediastinal, and diaphragmatic injuries.
• Flanks
— From the inferior costal margin superiorly to the iliac crests; bound
anteriorly by the anterior axillary line and posteriorly by the posterior axillary
line.
• Back
— Between the posterior axillary lines extending from the costal margin to
the iliac crests.
Regions
Regions of abdomen
• Gunshot wound: Commonly bowel perforation. 80%
are significant injuries.
• Stab wound: Commonly liver injury. 20% are
significant injuries.
• Deliberate self harm: Can be challenging.
Penetrating injury
Stab injury
Stab injury
Stab injury
Gun shot injury
• Does the wound penetrate the peritoneum?
• Is there intraperitoneal organ injury?
Assessment
• Local wound exploration — involvement of abdominal fascia
is considered a positive result.
• CXR —free air under diaphragm, but absence of free does not
rule it out
• Ultrasound —peritoneal penetration is confirmed by free
fluid in the abdomen or evidence of abdominal fascia
violation, but absence of these findings does not rule it out
• DPL — A positive result is >100,000 RBCs/hpf for anterior
abdominal wounds, and 10,000 RBCs/hpf for
thoracoabdominal wounds that are at higher risk of
diaphragmatic injury. Some suggest using the lower threshold
for anterior wounds as well, but this leads to a higher
negative laparotomy rate.
Peritoneum penetrated
• The wound can be cleaned and closed in the ED
• If there are no other concerns the patient may be
discharged
• If local wound exploration is in adequate and
abdominal fascia injury cannot be excluded, or there
is evidence of peritoneal penetration, then further
investigation is needed to assess for intraperitoneal
injury
Peritoneum not penetrated
• Abdominal gunshot wounds are more likely to
penetrate the peritoneum (80%), and those that do
are more likely to cause intraperitoneal injury (90%)
• Bullets and similar missiles are higher velocity and
may result in unpredictable wound tracts
Gunshot injury
X-ray
CT scan
CT abdomen (97% sensitive for peritoneal violation) is
usually performed to look for evidence of peritoneal
penetration and intraperitoneal injury:
• free air
• free fluid
• bowel wall thickening
• wound tracts adjacent to a hollow viscussolid organ
injury
• Peritonism
• Free air
• Evisceration
• Penetrating abdominal trauma + hypotension
• Gunshot wound traversing peritoneum or retroperitoneum
• GI bleeding following penetrating trauma
• Penetrating object is still in situ (risk of precipitous
haemorrhage on removal)
• Blunt abdominal trauma + hypotension with positive FAST
scan, positive diagnostic peritoneal lavage (DPL) or peritonism
Laparotomy
• Main role in abdominal trauma is stop bleeding
without the physiological stress of surgery
• Sources of bleeding are typically spleen, liver, pelvis,
retroperitoneal or gastrointestinal haemorrhage
• techniques include embolisation and balloon
occlusion
• in some centers may be performed in conjunction
with operative intervention
Interventional radiology
Management
• L > R
• Can be blunt trauma or penetrating injury
• FAST scan or CT scan not suitable for diagnosis
• Diagnosis: Laparotomy/ laparoscopy.
Diaphragmatic injury
Before After
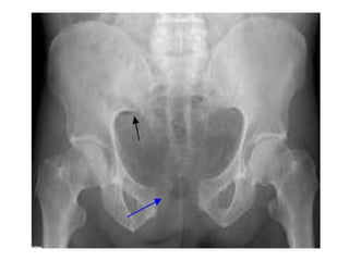
• Pelvis stability test: Only once. Every time tested 1
unit of blood might be lost.
• Open book fracture
• Pelvic binder
• CT if stable
• Theatre
Pelvic trauma
• Pelvic fractures is the major cause of mortality and
morbidity in pts with blunt abdominal trauma.
• MVA and pedestrian account for the majority of
these injuries with mortality b/w 10 and 25%
• Massive haemorrhage and Coagulopathy accounts
for 40-60% of mortality in this group of patients.
Classification of pelvic fractures by Trunkey
• Type I injuries represent crush fracture of the pelvis
and involve three or more elements of the pelvic
ring.
• Type II injuries are unstable injuries and involve at
least two breaks in the pelvic ring
• Type III are stable fractures involving single element
in the pelvic ring, or fracture of pubic rami.
Classification
Classification
• Unrecognized abdominal injuries continues to be a
preventable cause of death after truncal trauma.
• Early recognition of intra-abdominal and pelvic
injuries can save lives
• Mechanism, severity and management may vary
• Bedside FAST scan
• Unstable patient => Theatre
• Stable patient => CT/ serial USS
Summary
• Nickson, C. (2015). Abdominal Trauma, blunt and penetrating. Life in the fast lane. URL:
http://lifeinthefastlane.com/ccc/abdominal-trauma/
• Fildes, J. et al. (2008). Advanced Trauma Life Support Student Course Manual (8th edition),
American College of Surgeons. P 111-125.
• Varshney, VK. (2015). Abdominal trauma management. Slideshare. (online).
http://www.slideshare.net/varunkumarvarshney1/abdominal-trauma-management
• Ajith Kumar, J. 2015. FAST scan. Emedonline. (online). url:
http://emmedonline.com/trauma/fast
• U. surgery. (2009). Focused abdominal sonography for trauma. Slideshare (online).
http://www.slideshare.net/u.surgery/focused-abdominal-sonography-for-trauma
References
Thank you!
www.drbarai.weebly.com

Abdominal trauma

  • 1.
    Abdominal trauma. Dr. A.Barai MBBS, MRCS, MSc Registrar in Emergency Medicine, and Honorary Clinical Lecturer, University of Otago
  • 2.
    Topics • Blunt abdominaltrauma • Penetrating abdominal trauma • Pelvic trauma • FAST scan • ATLS guidelines
  • 3.
  • 4.
    Abdominal assessment dependson: – Mechanism of injury – Force involved – Location of injury and – Haemodynamic status
  • 7.
    • 36 yearsold Female • Ophthalmologist from Hong Kong • Head on collision > 100km/hr • Polytrauma • Air lifted from Clinton to Dunedin Hospital • Not much is known about background Trauma Call: 001
  • 8.
    • A: Patent •B: RR 17/min, Sats 100% on 5L/min O2 • C: Pulse 110/min, BP 112/70mmHg – Abdomen distended – Tense, tender • D: GCS 15/15
  • 9.
    • FAST scan: –Free fluids in the hepatorenal interface – Free fluid in the splenorenal interface
  • 10.
  • 11.
  • 12.
    Management: • Initial resuscitation •Theatre: Omentum ruptured • ICU • Recovery
  • 13.
    • 65 yearsold Female • Alert: Possible pelvic fractures • Initially hypotensive. Stable in ED. • FAST scan Negative • Xray and CT: Nil • Poly trauma: Open fractured ankles Trauma Call: 002
  • 14.
  • 15.
    • 7 yearsold Girl • Front seat passenger • FAST scan: Free fluids in the pelvis • Haemodynamically stable • Admitted under paediatrics • CT abdomen next day: No intra-abdominal injuries Trauma Call: 005
  • 16.
    • Traumatic injuryis the third overall leading cause of death and the number one cause of death in persons aged 1-44 years. • Penetrating abdominal trauma affects approximately 35% of those patients admitted to urban trauma centers and 1-12% of those admitted to suburban or rural centers. • National Center for Injury Prevention and Control Abdominal trauma
  • 17.
    • In 1990,approximately 5 million people died worldwide as a result of injury. • Globally, injury accounts for 10% of all deaths. • Estimates indicate that by 2020, 8.4 million people will die yearly from injury.
  • 18.
    1. Primary survey 2.Resuscitation 3. Secondary survey 4. Diagnostic evaluation 5. Definitive care Assessment: ATLS®
  • 19.
    Airway maintenance withcervical spine protection Breathing and ventilation Circulation and haemorrhage control Disability and neurological status Exposure and environmental status Primary survey
  • 20.
    • Inspection – abrasions –bruising – seat belt – lap belt: 30% chance of mesenteric or intestinal injury – retroperitoneal haemorrhage: ecchymosis of the periumbilical area (Cullen’s sign) and the flanks (Grey-Turner’s sign) – genital and perineum • Palpation – fullness: haemorrhage – crepitation of lower rib cage: hepatic or splenic injury – peritonism: ruptured viscus with leakage – rectal or vaginal examination Secondary survey
  • 21.
    • Trauma series(e.g. CXR, pelvis XR, c-spine XR) • Trauma blood panel (e.g. FBC, UEC, LFTs, lipase, coags, group and hold, BHCG) • Imaging (bedside FAST scan, +/- CT abdomen if haemodynamically stable and imaging warranted) • Insert gastric tube and IDC Investigations
  • 22.
    • FAST isa rapid, non invasive, accurate and inexpensive means of diagnosing hemoperitoneum that can be repeated frequently. • With specific equipment and in experienced hands, ultrasound has a sensitivity, specificity and accuracy in detecting intra-abdominal fluid comparable to DPL. • A negative FAST exam does not rule out intra- abdominal injury. FAST scan
  • 23.
    Identifying haemoperitoneum inblunt abdominal trauma: • Sensitivity 76 - 90% • Specificity 95 - 100% • How much fluid can FAST detect? • 250 cc total • 100 cc in Morison’s pouch
  • 24.
    Scans are obtainedat 4 interfaces: •Pericardial sac •Hepatorenal interface •Splenorenal interface •Pelvis interface
  • 26.
  • 27.
  • 30.
  • 34.
    • Early diagnosis •Noninvasive • Performed rapidly • Repeatable • 86 – 97% sensitive • Transport : No • Can evaluate for pericardial and pleural fluid • No radiation exposure • No contrast required Advantages
  • 35.
    • Operator dependent •Bowel gas and subcutaneous air distortion • Misses diaphragm, bowel and pancreatic injuries • Inability to distinguish intraperitoneal haemorrhage from ascites. Disadvantages
  • 36.
    For haemodynamically stablepatients • Definitive imaging with multidetector CT Abdo/pelvis is performed in haemodynamically stable when an emergency laparotomy is not indicated and one of the following is present: • Trauma patients with abdominal tenderness • Trauma patients with altered sensorium • Distracting injuries or injuries to adjacent structures CT scan
  • 37.
    Pros • Identifies specificanatomical structures injured, allows grading of severity and helps guide management • Concurrent imaging of other body compartments is frequently indicated • Images retroperitoneal structures • Provides imaging of the thoracolumbar vertebrae and other skeletal structures • A blush of IV contrast is a strong predictor of failure of non-interventional management Cons • Patient usually has to leave the ED • Patient transfers are time consuming • Requires IV contrast and risk adverse reactions • Radiation exposure • Less sensitive with pancreatic, diaphragmatic and hollow viscus injuries • Poor access to patient during the scan should he or she deteriorate • Requires additional skilled staff (CT radiographers and radiologists)
  • 38.
    Diagnostic peritoneal lavage(DPL) • DPL is now rarely performed due to the advent of the FAST scan. It’s main role is when FAST and CT are unavailable or in mass casualty situations. • Procedure: – minilaparotomy with placement of lavage catheter (chest drain or foley) into peritoneal cavity directed towards pelvis – blood -> positive – if negative: 1L of warm saline in -> effluent sent for RBC, WCC, food, bile, bacteria DPL
  • 39.
  • 40.
    • Highly sensitivefor intraperitoneal hemorrhage (>97%) • Rapid • Performed at the bedside Advantages
  • 41.
    • Invasive • Doesn’tspecify anatomical structures injured • False positives may result from trauma during the procedure (up to 25% negative laparotomy rate) • Rarely performed, practitioner’s have become deskilled • Residual fluid following DPL makes subsequent FAST scans unreliable • Modified technique required if pregnant, pelvic fracture or midline scarring Disadvantages
  • 43.
    Blunt trauma A forceto the abdomen that doesn't leave an open wound.
  • 44.
    • Crushing injury:solid organ more vulnerable. • Deceleration injuries: differential movements of fixed and non-fixed structures (e.g. liver and spleen laceration at sites of supporting ligaments). • External compression (seat belt syndrome), whether from direct blows or from external compression against a fixed object (e.g., lap belt, spinal column),it causes sudden rise in intra abdominal pressure and culminate in hollow viscous organ injury. Mechanism of injury
  • 45.
    MVA (50 -75% of cases) Common causes
  • 46.
    Blows to abdomen(15%) Common causes
  • 47.
    Falls (6 -9%) Common causes
  • 48.
    • Use acoordinated team-based systematic approach aimed at identifying, prioritising and treating immediate and delayed life-threats • Abdominal and pelvic injuries may cause life- threatening hemorrhage • Initial examination of the abdomen is best performed in the ‘C’ phase of the primary survey, with the mindset of ‘Find the bleeding, stop the bleeding’ • 2 x 16G cannula • activation of massive transfusion protocol if needed Assessment
  • 49.
  • 51.
  • 52.
  • 53.
  • 54.
  • 55.
  • 56.
    • Any woundbetween the nipple line (T4) and the groin creases anteriorly, and from T4 to the curves of the iliac crests posteriorly is potentially a penetrating abdominal injury • If the wound was caused by a projectile, then a penetrating abdominal injury could result from an entry wound in almost any part of the body Penetrating injury
  • 57.
    • Anterior abdomen —Between the anterior axillary lines; bound by the costal margin superiorly and the groin crease distally. • Thoracoabdominal area • — The area superiorly delimited by the fourth intercostal space (anterior), sixth intercostal space (lateral), and eighth intercostal space (posterior), and inferiorly delimited by the costal margin (definitions vary — a pragmatic approach is to use the nipple line as the upper boundary… in non-obese men at least!). Injuries in the region increase the likelihood of chest, mediastinal, and diaphragmatic injuries. • Flanks — From the inferior costal margin superiorly to the iliac crests; bound anteriorly by the anterior axillary line and posteriorly by the posterior axillary line. • Back — Between the posterior axillary lines extending from the costal margin to the iliac crests. Regions
  • 58.
  • 59.
    • Gunshot wound:Commonly bowel perforation. 80% are significant injuries. • Stab wound: Commonly liver injury. 20% are significant injuries. • Deliberate self harm: Can be challenging. Penetrating injury
  • 60.
  • 61.
  • 62.
  • 63.
  • 64.
    • Does thewound penetrate the peritoneum? • Is there intraperitoneal organ injury? Assessment
  • 65.
    • Local woundexploration — involvement of abdominal fascia is considered a positive result. • CXR —free air under diaphragm, but absence of free does not rule it out • Ultrasound —peritoneal penetration is confirmed by free fluid in the abdomen or evidence of abdominal fascia violation, but absence of these findings does not rule it out • DPL — A positive result is >100,000 RBCs/hpf for anterior abdominal wounds, and 10,000 RBCs/hpf for thoracoabdominal wounds that are at higher risk of diaphragmatic injury. Some suggest using the lower threshold for anterior wounds as well, but this leads to a higher negative laparotomy rate. Peritoneum penetrated
  • 66.
    • The woundcan be cleaned and closed in the ED • If there are no other concerns the patient may be discharged • If local wound exploration is in adequate and abdominal fascia injury cannot be excluded, or there is evidence of peritoneal penetration, then further investigation is needed to assess for intraperitoneal injury Peritoneum not penetrated
  • 67.
    • Abdominal gunshotwounds are more likely to penetrate the peritoneum (80%), and those that do are more likely to cause intraperitoneal injury (90%) • Bullets and similar missiles are higher velocity and may result in unpredictable wound tracts Gunshot injury
  • 68.
  • 69.
  • 70.
    CT abdomen (97%sensitive for peritoneal violation) is usually performed to look for evidence of peritoneal penetration and intraperitoneal injury: • free air • free fluid • bowel wall thickening • wound tracts adjacent to a hollow viscussolid organ injury
  • 71.
    • Peritonism • Freeair • Evisceration • Penetrating abdominal trauma + hypotension • Gunshot wound traversing peritoneum or retroperitoneum • GI bleeding following penetrating trauma • Penetrating object is still in situ (risk of precipitous haemorrhage on removal) • Blunt abdominal trauma + hypotension with positive FAST scan, positive diagnostic peritoneal lavage (DPL) or peritonism Laparotomy
  • 72.
    • Main rolein abdominal trauma is stop bleeding without the physiological stress of surgery • Sources of bleeding are typically spleen, liver, pelvis, retroperitoneal or gastrointestinal haemorrhage • techniques include embolisation and balloon occlusion • in some centers may be performed in conjunction with operative intervention Interventional radiology
  • 73.
  • 75.
    • L >R • Can be blunt trauma or penetrating injury • FAST scan or CT scan not suitable for diagnosis • Diagnosis: Laparotomy/ laparoscopy. Diaphragmatic injury
  • 78.
  • 79.
    • Pelvis stabilitytest: Only once. Every time tested 1 unit of blood might be lost. • Open book fracture • Pelvic binder • CT if stable • Theatre Pelvic trauma
  • 80.
    • Pelvic fracturesis the major cause of mortality and morbidity in pts with blunt abdominal trauma. • MVA and pedestrian account for the majority of these injuries with mortality b/w 10 and 25% • Massive haemorrhage and Coagulopathy accounts for 40-60% of mortality in this group of patients.
  • 81.
    Classification of pelvicfractures by Trunkey • Type I injuries represent crush fracture of the pelvis and involve three or more elements of the pelvic ring. • Type II injuries are unstable injuries and involve at least two breaks in the pelvic ring • Type III are stable fractures involving single element in the pelvic ring, or fracture of pubic rami. Classification
  • 82.
  • 84.
    • Unrecognized abdominalinjuries continues to be a preventable cause of death after truncal trauma. • Early recognition of intra-abdominal and pelvic injuries can save lives • Mechanism, severity and management may vary • Bedside FAST scan • Unstable patient => Theatre • Stable patient => CT/ serial USS Summary
  • 85.
    • Nickson, C.(2015). Abdominal Trauma, blunt and penetrating. Life in the fast lane. URL: http://lifeinthefastlane.com/ccc/abdominal-trauma/ • Fildes, J. et al. (2008). Advanced Trauma Life Support Student Course Manual (8th edition), American College of Surgeons. P 111-125. • Varshney, VK. (2015). Abdominal trauma management. Slideshare. (online). http://www.slideshare.net/varunkumarvarshney1/abdominal-trauma-management • Ajith Kumar, J. 2015. FAST scan. Emedonline. (online). url: http://emmedonline.com/trauma/fast • U. surgery. (2009). Focused abdominal sonography for trauma. Slideshare (online). http://www.slideshare.net/u.surgery/focused-abdominal-sonography-for-trauma References
  • 86.