AORTIC DISASTERS Ahmed Alhubaishi R3
OBJECTIVES: 1. Discuss risk factors for aortic aneurysm and aortic dissection  2. Discuss the clinical presentation of aortic aneurysm and aortic dissection  3. Discuss appropriate diagnostic imaging and treatment  4. Discuss can’t miss atypical presentations of dissection and aneurysm
WHY IS AORTIC DISSECTION AN IMPORTANT TOPIC FOR EMERGENCY PHYSICIANS TO KNOWABOUT? Thoracic aortic dissection can be extremely difficult to diagnose. Mortality rates are estimated at 50% by 48 hours if undiagnosed. Mortality rates increase by 1-2%/hour if undiagnosed. Prompt detection and therapy impact on survival rates. Knowledge of common/atypical presentations and current acute aortic disease literature will decrease the chance of a missed or delayed diagnosis
OUTLINES AORTIC DISSECTION Perspective Principles of disease Clinical features Diagnostic strategies Differential diagnosis Management Disposition pitfalls
DEFINITIONS AND ANATOMY AND CLASSIFICATION SYSTEMS aorta is composed of three layers Aortic dissection occurs when ........ Classification Stanford  DeBakey acute Vs chronic [ chronic if> 2 wks]
Stanford - classification based on involvement of ascending aorta   Type A- ascending aorta (prox. to L subclavian) Type B- descending aorta (distal to L subclavian)   Debakey Type I- involves ascending aorta and the arch Type II- confined to ascending aorta Type III- confined to descending aorta distal to left subclavian   IIIA- above diaphragm IIIB- below diaphragm   Type A = Type I and II These require surgical repair Type B = Type III These may be treated medically
 
 
 
Stanford type B or DeBakey type III dissection distal to the subclavian artery
2/3 Younger than type B Treated surgically mortality is 70% by 1 week, 80% at 2 weeks 1/3 Older patients  generalized atherosclerosis hypertensive smokers  Chronic lung disease Managed medically 50% two week mortality Type A Type B
WHERE DO DISSECTION COMMONLY OCCUR? The most common site is the first few centimeters of the ascending aorta, with 90% found within 10 centimeters of the aortic valve. The second most common site is just distal to the left subclavian artery
AORTIC DISSECTION RISK FACTORS Hypertension Male sex Age Pregnancy Family history Connective tissue diseaes Cocaine Turner’s syndrome Bicuspid aortic valve Iatrogenic Coarctaion Trauma Ecstasy Weight lifting Traditional Less common
KLOMPAS M. DOES THIS PATIENT HAVE AN ACUTE THORACIC AORTIC DISSECTION? J AM MED ASSOC 2002
CLINICAL FEATURES  The key to making the diagnosis of this lethal aortic disease may depend on how familiar you are with well-described atypical and subtle presentations? Although  textbook presentations may occasionally occur, they tend to be the exception rather than the rule. Atypical really is typical.
Wide range of presentaions depending on area affected and aortic branch involved Usaual presentaion is with sudden severe central tearing chest pain May present as : acute MI, acute AR, cardiac tamponade, CV collapse, limb ischemia,syncope, stroke or spinal cord syndrome Cardinal signs” pulse deficits, asymmetric BP , evolving AR murmur
Characteristics of Aortic Dissection from the International Registry of Acute Aortic Dissection [4] LEFT VENTRICULAR HYPERTROPHY  (%) ISCHEMIA  (%) NORMAL ECG  (%) WIDENED MEDIASTINUM ON CXR  (%) NORMAL CXR  (%) PULSE DEFICIT  (%) AORTIC INSUFFICiENCY MURMUR  (%) SYNCOPE  (%) CHEST PAIN  (%)   26 15 31 62 12 15 32 9 73 All  ( n = 464) 25 17 31 63 11 19 44 13 79 Type A  ( n = 289) 32 13 32 56 16 9 12 4 63 Type B  ( n = 175)
INTERNATIONAL REGISTRY OF AORTIC DISSECTION (IRAD)-STUDY BY HAGAN, ET AL.  involved 464 patients with confirmed TAD. Mean age: 63 years, 65.3 % males, 62% type A dissections The findings: pulse deficit 15 % aortic murmur 31.6 % normal chest x-ray 12 % absence of mediastinal  widening 34 % syncope 12 % painless 2.2%
CONCLUSIONS FROM THIS STUDY: (1) Classic findings of aortic dissection are often absent (2) Don’t rely on textbook presentations
KLOMPAS M. DOES THIS PATIENT HAVE AN ACUTE THORACIC AORTIC DISSECTION? J AM MED ASSOC 2002
PRESENTATIONS REPRESENT COMMON, RECURRING THEMES AMONG MISSED AORTIC DISSECTION CASES (1) TAD and Stroke consider TAD in the following scenarios: Chest pain and any neurologic symptoms (CVA, dysphagia, etc.) Chest pain and limb paresthesia (2) Painless TAD and Syncope Add TAD to your differential diagnosis of unexplained syncope
CONT. 3) TAD and Paralysis Consider TAD in the following scenarios: Chest pain and limb (particularly lower extremity) weakness or paresthesia Chest pain and spinal cord syndromes Unexplained lower extremity weakness (4) TAD and Myocardial Infarction
(5) Isolated Abdominal Pain Consider TAD in the following scenarios : Unexplained abdominal pain in the presence of hypertension Combination of chest and abdominal pain Abdominal pain and cocaine use Unexplained abdominal pain and an “ill-appearing” patient (6) TAD and “the other complaint’’ Consider TAD under the following circumstance: Chest pain combined with “the other complaint” (especially neurologic symptoms)
(7) Cough, Hoarseness, and SVC Syndrome (8)Young patients with TAD (9) pt with  Congestive Heart Failure Consider TAD in patients with new onset CHF
Januzzi, JL et al. Acute Aortic Dissection Presenting With Congestive Heart Failure: Results From the International Registry of Acute Aortic Dissection.  J Am Coll Cardiol, 2005 Patients who present with CHF symptoms secondary to acute aortic dissection are much more likely to have  none or mild pain  compared to patients with  aortic dissection without CHF symptoms
THINGS TO BE DOCUMENTED: Consider documenting the following in all chest pain patients: Risk factor profile for TAD (HTN, cocaine, family history, etc) Blood pressure in both arms (equal) Pulses (symmetric) Absence of aortic murmur Absence of marfanoid body habitus
LIMITATIONS OF THE PHYSICAL EXAMINATION Bilateral  BP  measurement 19% of the population may have arm differences greater than 20 mm Hg Von Kodolitsch et al. did show that a BP differential > 20 mm Hg was an independent predictor of TAD 50% of patients who present with TAD are hypertensive Aortic murmur:  1/3 of patients with TAD Pulse deficit:  15% of cases of TAD Pitfall:  Over-reliance on a “classic” presentation for diagnosis of AD
DIAGNOSTIC STRATEGIES Gold standards
     --  Sensitivities and Specificities of Imaging Modalities for Diagnosing Aortic Dissection ( From Shiga T, Wajima Z, Apfel CC, et al: Diagnostic accuracy of transesophageal echocardiography, helical computed tomography, and magnetic resonance imaging for suspected thoracic aortic dissection:  Systematic review and meta-analysis. Arch Intern Med 166:1350–1356, 2006 .) MRI HELICAL CT TEE TEST 98 100 98 Sensitivity  (%) 98 98 95 Specificity  (%)
Sens Spec Advantages Disadvantages TTE 80% 95% Too many false negatives TEE 98% 90-100% Rapid (10-30 minutes) Bedside test Inexpensive ID’s site of tear in 75% No contraindiciations No radiation/contrast Gives info about aortic regurgitation Tough to see ascending aorta CT scan 95% 90-100% Rapid (20-40 minutes) Low FP and FN rates Dynamic scanning detects different filling rates Expensive Uses contrast Outside ED (no monitor) No info re: regurg MRI 98% 98% Non-invasive No radiation/contrast Gives excellent detail of dissection, including branches Slow (up to 75 minutes) No monitoring Contraindications Expensive Aorto-graphy 88% 95% Intimal tear seen in 56% Identifies AI, coronary and carotid extension Not as sensitive as MRI or TEE Needs contrast Invasive Slow (1-2 hours) Thrombosed lumen may be obscured
WHEN TO USE THE ABOVE MODALITIES?   Hemodynamically unstable- TEE Surgeon requires definitive anatomical delineation- CT, MRI, Aortography R/O dissection for MI- TEE would be adequate Hemodynamically stable- CT, MRI,
Computed tomography scan demonstrating the true lumen and false lumen
 
 
 
 
 
ECG PITFALLS   ECG commonly shows LVH, reflecting long-standing hypertension ST-T changes or heart blocks can occur Note that 10-40% with dissection may have ECG changes suggestive of MI Unclear if due to dissection or possible coronary dissection ST changes imply a much worse prognosis
 
12 lead ECG of a young patient with confirmed proximal TAD. The ECG shows inverted T-waves and ST-depression in the inferior leads. During operative repair, the right coronary ostia was found to be occluded.
CXR PITFALLS   abnormal in 80-90% of cases Mediastinal widening- in 75% “ Calcium sign Aortic double density Disparity in caliber between ascending and descending aorta Localized bulge on the aorta Obliteration of the aortic knob NG tube, trachea or ETT displaced to the right Pleural effusions- common and usually on the left
HAGAN P, NIENABER CA, ISSELBACHER EM, ET AL. THE INTERNATIONAL REGISTRY OF ACUTE AORTIC DISSECTION (IRAD): NEW INSIGHTS INTO AN OLD DISEASE.  J AM MED ASSOC 2000 Pitfall :  Use of the chest X-ray to exclude the diagnosis of AD
 
 
Myocin heavy-chain concentrations D-dimer levels soluble elastin fragments  newer tools that may be helpful to the diagnosis of aortic dissection and await prospective clinical trails to evaluate their usefulness
D dimer  Not ready for prime time as a rule-out strategy Sodeck, et al. D-dimer in ruling out acute aortic dissection: a systematic review and prospective cohort study.  European Heart Journal 2007
DDX acute MI pulmonary embolus Pericarditis CCF … .. etc
MANAGEMENT  ABC’s above all else Ultimately, a transfer to a hospital with a CVT surgical service should be done once patient is stable enough. Resuscitate with fluids or blood as needed if hypotensive
BLOOD PRESSURE CONTROL IS THE KEY TO MANAGEMENT Maintain systolic blood pressure between 100- 120 mmHg and reduce force of cardiac contraction Nitroprusside 50-100mg in 500cc D5W at rate 0.5-3 ug/kg/min (titrate to BP) **** Increases heart rate, so if given alone it may worsen the dissection B-Blockers Propanolol- used inconjunction with Nipride 1 mg IV every 5 minutes (max 0.15 mg/kg) Later given as 2-6mg every 4-6 hours   Esmolol- also given with Nipride 500 mg/kg over 1 min, then infusion of 50 to 150 mg/kg per minute. Labetalol- used as a single agent (α-effects attenuates heart rate) Bolus of 5-20 mg, then infusion of 1-2 mg/min
DISPOSITION Surgery for type A not type B hospital mortality in type B dissections treated without surgery is 15-20%, which is comparable to or better than the operative mortality rate. OR mortality rate is decreasing for type B though OR mortality rate for type A is about 7% (and decreasing)
HOW CAN WE DECREASE  CHANCES OF MISSING THE DIAGNOSIS OF TAD? In reality:  no way that every case of A.D can be diagnosed in ED Know the subtle and atypical presentations well. Think beyond classic textbook descriptions and  think of TAD more often Perform a detailed risk factor profile for TAD on every chest pain patient
CONT. Decrease your own threshold to obtain CT scans in chest pain patients Approach every chest pain patient as if they could have a TAD and convince yourself the patient doesn’t have it. •  Realize that young patients without connective tissue disease can have TAD
ABDOMINAL AORTIC ANEURYSM ■  A  true aneurysm  involves all three layers of vessel wall. ■  A  false aneurysm or pseudoaneurysm  communicates with the vessel lumen, but is contained only by adventitia or surrounding soft tissues.
Types of aortic aneurysms
(AAAs) is  true aneurysms  involve the  infrarenal aorta. aortic diameter >3 cm = AAA. An AAA of any size can rupture, but those >5 cm are more likely to rupture. size is the most important factor in determining rupture risk  The most common location of rupture    retroperitoneum Rupture is associated with an 80–90% overall mortality
PRIMARY RISK FACTORS FOR AAA Increasing age > 65 Family history ,? Genetic (  1 st  degree relatives have 10-20 times the risk) Atherosclerotic risk factors ie htn ,dm, smoking,cad,male Other predisposing factors include infection, trauma, connective tissue disease, and arteritis.
Table 84-1     --  Prevalence of Abdominal Aortic Aneurysms (AAAs) in Selected Risk Groups INCIDENCE  (%) GROUP 2–4 Autopsy subjects aged 50 years or old 5,6] 5–10 Men aged 65 years or older [4,7] 10–15 Patients with coronary artery disease [8]   or occlusive peripheral vascular disease [9,10] 20–30 Brothers of patients with AAAs [11,12]
SYMPTOMS ■  Most aneurysms are asymptomatic when discovered (60-80%)and become symptomatic when  expanding or ruptured. ■  Acute pain in abdomen, back, or flank [ 75% ] ■  Nausea and vomiting ■  Syncope or near syncope urologic symptoms 10%
EXAM ■  Vital signs may be surprisingly normal. ■  Hypotension and shock if rupture with significant blood loss ■  Abdominal tenderness, distension, or pulsatile abdominal mass [75% above umbilicus] ■  Evidence for retroperitoneal hematoma ■  Periumbilical ecchymosis ( Cullen’s sign) ■  Flank ecchymosis ( Grey-Turner’s sign) ■  Massive GI bleed if rupture into GI tract (aortoenteric fistula) ■  High-output heart failure if rupture into vena cava (aortocaval fistula)
Triad of abdominal pain, hypotension, pulsatile abdominal mass = AAA until proven otherwise, although triad is rare. Kiell CS and C.B. Ernst, Advances in management of abdominal aortic aneurysm, Adv Surg  26 (1993) ,
Exam – limited sensitivity Improves as AAA enlarges Worsens with obesity Unknown value in rupture Do not use to exclude AAA Lederle FA, Simel DL. The rational clinical examination. Does this patient have abdominal aortic aneurysm? JAMA. 1999 Jan 6
DIAGNOSIS The diagnosis should be suspected in any patient >50 years old presenting with abdominal pain, flank pain, or hypotension. Delay in diagnosis of these conditions is common AAA rupture (30% misdiagnosed initially)
ABDOMINAL X RAY Abnormalities seen in 2/3 to ¾ of cases But AXR rarely ordered for AAA Retrospectively apparent in 90% Most common signs are wall calcifications and a paravertebral soft tissue mass, both seen in 65% Other signs include loss of psoas or renal outlines, renal displacement, and occasionally a properitoneal flank stripe AXR cannot be used to rule out an AAA
Anteroposterior  ( A )  and lateral  ( B )  views of large abdominal aortic aneurysms with calcification of the aortic wall
Ultrasound  100% sensitive when aorta is visualized Modality of choice in the unstable patient May not be able to identify rupture, site of leak, or retroperitoneal hematoma
Cross-sectional ultrasound of a 6-cm abdominal aortic aneurysm. Note mural thrombus and eccentrically shaped patent lumen .
 
Widely cited as sensitive for AAA (98%)  But not for rupture  Combination: US confirmation of  aneurysm abdominal pain   unstable hemodynamics 95%  sensitive in determining need for emergency surgery for AAA Costantino TG, Bruno EC, Handly N, Dean AJ. Accuracy of emergency medicine ultrasound in the evaluation of abdominal aortic aneurysm. J Emerg Med. 2005
CT  - Highly sensitive - Requires stable patient for transport -Better than ultrasound at detecting rupture and retroperitoneal blood MRI or aortography are rarely indicated in the ED. Sharma U, Ghai S, Paul SB, Gulati MS, Bahl VK, Rajani M, Mukhopadhyay S. Helical CT evaluation of aortic aneurysms and dissection: a pictorial essay. ClinImaging. 2003
Computed tomography scan of ruptured abdominal aortic aneurysm, with calcification of the aortic wall and intraluminal thrombus. The patent lumen enhances with the administration of contrast material, but the periaortic hematoma   ( arrow )   does not .
 
COMMON MISDIAGNOSES IN PATIENTS WITH RUPTURED ABDOMINAL AORTIC ANEURYSMS    Renal colic  “ Acute abdomen ”    Pancreatitis    Intestinal ischemia    Diverticulitis    Cholecystitis    Appendicitis    Perforated viscus    Bowel obstruction    Musculoskeletal back pain    Acute myocardial infarction “ Acute abdomen ”  Renal colic       Musculoskeletal back pain    Acute myocardial infarction   
*** Anemia in conjunction with chronic back pain- think AAA ‘ Mimic’ Reasons why Pancreatitis Pain pattern is similar Bowel obstruction If duodenum is stretched over AAA Diverticulitis Vague LLQ pain occasionally seen in AAA Obstructive jaundice Rare- if CBD is compressed Renal colic AAA compresses ureter Hematuria occurs infrequently (more when AV fistula present) Testicular pain Hemorrhage to scrotum Extension to Iliac vessels with compression of inguinal canal Inguinal hernia Extension to iliac vessels Hip pain Extension to iliac vessels Sciatica/Femoral nerve pain Compression of femoral nerve in retroperitoneum Ischemic bowel Vague abdominal pain, dull Pyelonephritis Back/flank pain Chronic abd. Pain NYD 10% live >6 weeks after onset of symptoms
TREATMENT Ruptured aneurysms require immediate surgical intervention with operative or endovascular repair. 50% operative mortality Fluid and blood resuscitation:  To SBP 90–100 mmHg. Thoracotomy with cross clamping of aorta: If severe hemodynamic compromise or cardiac arrest
CONT. Asymptomatic aneurysms can be scheduled for repair based on aneurysm size and patient comorbidities. Endovascular repair with stent graft is increasingly used.
surgically repaired ruptured AAA, mortality 46% Once in ED, early diagnosis decreases mortality from 75 to  35% Wainess RM, Dimick JB, Cowan JA Jr, Henke PK, Stanley JC, Upchurch GR Jr. Epidemiology of surgically treated abdominal aortic aneurysms in the United States, 1988 to 2000. Vascular. 2004 Jul-Aug
COMPLICATIONS Rupture Atheroembolism:  Microemboli from atherosclerotic aneurysms Lodge in  distal small vessels “ Blue toe syndrome” is classic presentation. Can also occur from nonaneurysmal atherosclerotic plaques Graft complications ■  Graft infection ■  Secondary aortoenteric fistula ■  Endoleak: Leak outside of graft lumen, but within existing aneurysm  sac (continued risk for AAA rupture!)
Thank you

Aortic disasters ahmed

  • 1.
  • 2.
    OBJECTIVES: 1. Discussrisk factors for aortic aneurysm and aortic dissection 2. Discuss the clinical presentation of aortic aneurysm and aortic dissection 3. Discuss appropriate diagnostic imaging and treatment 4. Discuss can’t miss atypical presentations of dissection and aneurysm
  • 3.
    WHY IS AORTICDISSECTION AN IMPORTANT TOPIC FOR EMERGENCY PHYSICIANS TO KNOWABOUT? Thoracic aortic dissection can be extremely difficult to diagnose. Mortality rates are estimated at 50% by 48 hours if undiagnosed. Mortality rates increase by 1-2%/hour if undiagnosed. Prompt detection and therapy impact on survival rates. Knowledge of common/atypical presentations and current acute aortic disease literature will decrease the chance of a missed or delayed diagnosis
  • 4.
    OUTLINES AORTIC DISSECTIONPerspective Principles of disease Clinical features Diagnostic strategies Differential diagnosis Management Disposition pitfalls
  • 5.
    DEFINITIONS AND ANATOMYAND CLASSIFICATION SYSTEMS aorta is composed of three layers Aortic dissection occurs when ........ Classification Stanford DeBakey acute Vs chronic [ chronic if> 2 wks]
  • 6.
    Stanford - classificationbased on involvement of ascending aorta Type A- ascending aorta (prox. to L subclavian) Type B- descending aorta (distal to L subclavian)   Debakey Type I- involves ascending aorta and the arch Type II- confined to ascending aorta Type III- confined to descending aorta distal to left subclavian IIIA- above diaphragm IIIB- below diaphragm   Type A = Type I and II These require surgical repair Type B = Type III These may be treated medically
  • 7.
  • 8.
  • 9.
  • 10.
    Stanford type Bor DeBakey type III dissection distal to the subclavian artery
  • 11.
    2/3 Younger thantype B Treated surgically mortality is 70% by 1 week, 80% at 2 weeks 1/3 Older patients generalized atherosclerosis hypertensive smokers Chronic lung disease Managed medically 50% two week mortality Type A Type B
  • 12.
    WHERE DO DISSECTIONCOMMONLY OCCUR? The most common site is the first few centimeters of the ascending aorta, with 90% found within 10 centimeters of the aortic valve. The second most common site is just distal to the left subclavian artery
  • 13.
    AORTIC DISSECTION RISKFACTORS Hypertension Male sex Age Pregnancy Family history Connective tissue diseaes Cocaine Turner’s syndrome Bicuspid aortic valve Iatrogenic Coarctaion Trauma Ecstasy Weight lifting Traditional Less common
  • 14.
    KLOMPAS M. DOESTHIS PATIENT HAVE AN ACUTE THORACIC AORTIC DISSECTION? J AM MED ASSOC 2002
  • 15.
    CLINICAL FEATURES The key to making the diagnosis of this lethal aortic disease may depend on how familiar you are with well-described atypical and subtle presentations? Although textbook presentations may occasionally occur, they tend to be the exception rather than the rule. Atypical really is typical.
  • 16.
    Wide range ofpresentaions depending on area affected and aortic branch involved Usaual presentaion is with sudden severe central tearing chest pain May present as : acute MI, acute AR, cardiac tamponade, CV collapse, limb ischemia,syncope, stroke or spinal cord syndrome Cardinal signs” pulse deficits, asymmetric BP , evolving AR murmur
  • 17.
    Characteristics of AorticDissection from the International Registry of Acute Aortic Dissection [4] LEFT VENTRICULAR HYPERTROPHY (%) ISCHEMIA (%) NORMAL ECG (%) WIDENED MEDIASTINUM ON CXR (%) NORMAL CXR (%) PULSE DEFICIT (%) AORTIC INSUFFICiENCY MURMUR (%) SYNCOPE (%) CHEST PAIN (%)   26 15 31 62 12 15 32 9 73 All ( n = 464) 25 17 31 63 11 19 44 13 79 Type A ( n = 289) 32 13 32 56 16 9 12 4 63 Type B ( n = 175)
  • 18.
    INTERNATIONAL REGISTRY OFAORTIC DISSECTION (IRAD)-STUDY BY HAGAN, ET AL. involved 464 patients with confirmed TAD. Mean age: 63 years, 65.3 % males, 62% type A dissections The findings: pulse deficit 15 % aortic murmur 31.6 % normal chest x-ray 12 % absence of mediastinal widening 34 % syncope 12 % painless 2.2%
  • 19.
    CONCLUSIONS FROM THISSTUDY: (1) Classic findings of aortic dissection are often absent (2) Don’t rely on textbook presentations
  • 20.
    KLOMPAS M. DOESTHIS PATIENT HAVE AN ACUTE THORACIC AORTIC DISSECTION? J AM MED ASSOC 2002
  • 21.
    PRESENTATIONS REPRESENT COMMON,RECURRING THEMES AMONG MISSED AORTIC DISSECTION CASES (1) TAD and Stroke consider TAD in the following scenarios: Chest pain and any neurologic symptoms (CVA, dysphagia, etc.) Chest pain and limb paresthesia (2) Painless TAD and Syncope Add TAD to your differential diagnosis of unexplained syncope
  • 22.
    CONT. 3) TADand Paralysis Consider TAD in the following scenarios: Chest pain and limb (particularly lower extremity) weakness or paresthesia Chest pain and spinal cord syndromes Unexplained lower extremity weakness (4) TAD and Myocardial Infarction
  • 23.
    (5) Isolated AbdominalPain Consider TAD in the following scenarios : Unexplained abdominal pain in the presence of hypertension Combination of chest and abdominal pain Abdominal pain and cocaine use Unexplained abdominal pain and an “ill-appearing” patient (6) TAD and “the other complaint’’ Consider TAD under the following circumstance: Chest pain combined with “the other complaint” (especially neurologic symptoms)
  • 24.
    (7) Cough, Hoarseness,and SVC Syndrome (8)Young patients with TAD (9) pt with Congestive Heart Failure Consider TAD in patients with new onset CHF
  • 25.
    Januzzi, JL etal. Acute Aortic Dissection Presenting With Congestive Heart Failure: Results From the International Registry of Acute Aortic Dissection. J Am Coll Cardiol, 2005 Patients who present with CHF symptoms secondary to acute aortic dissection are much more likely to have none or mild pain compared to patients with aortic dissection without CHF symptoms
  • 26.
    THINGS TO BEDOCUMENTED: Consider documenting the following in all chest pain patients: Risk factor profile for TAD (HTN, cocaine, family history, etc) Blood pressure in both arms (equal) Pulses (symmetric) Absence of aortic murmur Absence of marfanoid body habitus
  • 27.
    LIMITATIONS OF THEPHYSICAL EXAMINATION Bilateral BP measurement 19% of the population may have arm differences greater than 20 mm Hg Von Kodolitsch et al. did show that a BP differential > 20 mm Hg was an independent predictor of TAD 50% of patients who present with TAD are hypertensive Aortic murmur: 1/3 of patients with TAD Pulse deficit: 15% of cases of TAD Pitfall: Over-reliance on a “classic” presentation for diagnosis of AD
  • 28.
  • 29.
       --  Sensitivities and Specificities of Imaging Modalities for Diagnosing Aortic Dissection ( From Shiga T, Wajima Z, Apfel CC, et al: Diagnostic accuracy of transesophageal echocardiography, helical computed tomography, and magnetic resonance imaging for suspected thoracic aortic dissection: Systematic review and meta-analysis. Arch Intern Med 166:1350–1356, 2006 .) MRI HELICAL CT TEE TEST 98 100 98 Sensitivity (%) 98 98 95 Specificity (%)
  • 30.
    Sens Spec AdvantagesDisadvantages TTE 80% 95% Too many false negatives TEE 98% 90-100% Rapid (10-30 minutes) Bedside test Inexpensive ID’s site of tear in 75% No contraindiciations No radiation/contrast Gives info about aortic regurgitation Tough to see ascending aorta CT scan 95% 90-100% Rapid (20-40 minutes) Low FP and FN rates Dynamic scanning detects different filling rates Expensive Uses contrast Outside ED (no monitor) No info re: regurg MRI 98% 98% Non-invasive No radiation/contrast Gives excellent detail of dissection, including branches Slow (up to 75 minutes) No monitoring Contraindications Expensive Aorto-graphy 88% 95% Intimal tear seen in 56% Identifies AI, coronary and carotid extension Not as sensitive as MRI or TEE Needs contrast Invasive Slow (1-2 hours) Thrombosed lumen may be obscured
  • 31.
    WHEN TO USETHE ABOVE MODALITIES?   Hemodynamically unstable- TEE Surgeon requires definitive anatomical delineation- CT, MRI, Aortography R/O dissection for MI- TEE would be adequate Hemodynamically stable- CT, MRI,
  • 32.
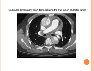
    Computed tomography scandemonstrating the true lumen and false lumen
  • 33.
  • 34.
  • 35.
  • 36.
  • 37.
  • 38.
    ECG PITFALLS  ECG commonly shows LVH, reflecting long-standing hypertension ST-T changes or heart blocks can occur Note that 10-40% with dissection may have ECG changes suggestive of MI Unclear if due to dissection or possible coronary dissection ST changes imply a much worse prognosis
  • 39.
  • 40.
    12 lead ECGof a young patient with confirmed proximal TAD. The ECG shows inverted T-waves and ST-depression in the inferior leads. During operative repair, the right coronary ostia was found to be occluded.
  • 41.
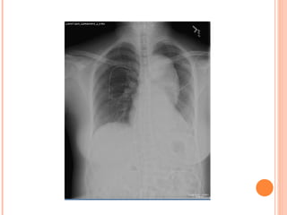
    CXR PITFALLS  abnormal in 80-90% of cases Mediastinal widening- in 75% “ Calcium sign Aortic double density Disparity in caliber between ascending and descending aorta Localized bulge on the aorta Obliteration of the aortic knob NG tube, trachea or ETT displaced to the right Pleural effusions- common and usually on the left
  • 42.
    HAGAN P, NIENABERCA, ISSELBACHER EM, ET AL. THE INTERNATIONAL REGISTRY OF ACUTE AORTIC DISSECTION (IRAD): NEW INSIGHTS INTO AN OLD DISEASE. J AM MED ASSOC 2000 Pitfall : Use of the chest X-ray to exclude the diagnosis of AD
  • 43.
  • 44.
  • 45.
    Myocin heavy-chain concentrationsD-dimer levels soluble elastin fragments newer tools that may be helpful to the diagnosis of aortic dissection and await prospective clinical trails to evaluate their usefulness
  • 46.
    D dimer Not ready for prime time as a rule-out strategy Sodeck, et al. D-dimer in ruling out acute aortic dissection: a systematic review and prospective cohort study. European Heart Journal 2007
  • 47.
    DDX acute MIpulmonary embolus Pericarditis CCF … .. etc
  • 48.
    MANAGEMENT ABC’sabove all else Ultimately, a transfer to a hospital with a CVT surgical service should be done once patient is stable enough. Resuscitate with fluids or blood as needed if hypotensive
  • 49.
    BLOOD PRESSURE CONTROLIS THE KEY TO MANAGEMENT Maintain systolic blood pressure between 100- 120 mmHg and reduce force of cardiac contraction Nitroprusside 50-100mg in 500cc D5W at rate 0.5-3 ug/kg/min (titrate to BP) **** Increases heart rate, so if given alone it may worsen the dissection B-Blockers Propanolol- used inconjunction with Nipride 1 mg IV every 5 minutes (max 0.15 mg/kg) Later given as 2-6mg every 4-6 hours   Esmolol- also given with Nipride 500 mg/kg over 1 min, then infusion of 50 to 150 mg/kg per minute. Labetalol- used as a single agent (α-effects attenuates heart rate) Bolus of 5-20 mg, then infusion of 1-2 mg/min
  • 50.
    DISPOSITION Surgery fortype A not type B hospital mortality in type B dissections treated without surgery is 15-20%, which is comparable to or better than the operative mortality rate. OR mortality rate is decreasing for type B though OR mortality rate for type A is about 7% (and decreasing)
  • 51.
    HOW CAN WEDECREASE CHANCES OF MISSING THE DIAGNOSIS OF TAD? In reality: no way that every case of A.D can be diagnosed in ED Know the subtle and atypical presentations well. Think beyond classic textbook descriptions and think of TAD more often Perform a detailed risk factor profile for TAD on every chest pain patient
  • 52.
    CONT. Decrease yourown threshold to obtain CT scans in chest pain patients Approach every chest pain patient as if they could have a TAD and convince yourself the patient doesn’t have it. • Realize that young patients without connective tissue disease can have TAD
  • 53.
    ABDOMINAL AORTIC ANEURYSM■ A true aneurysm involves all three layers of vessel wall. ■ A false aneurysm or pseudoaneurysm communicates with the vessel lumen, but is contained only by adventitia or surrounding soft tissues.
  • 54.
    Types of aorticaneurysms
  • 55.
    (AAAs) is true aneurysms involve the infrarenal aorta. aortic diameter >3 cm = AAA. An AAA of any size can rupture, but those >5 cm are more likely to rupture. size is the most important factor in determining rupture risk The most common location of rupture  retroperitoneum Rupture is associated with an 80–90% overall mortality
  • 56.
    PRIMARY RISK FACTORSFOR AAA Increasing age > 65 Family history ,? Genetic ( 1 st degree relatives have 10-20 times the risk) Atherosclerotic risk factors ie htn ,dm, smoking,cad,male Other predisposing factors include infection, trauma, connective tissue disease, and arteritis.
  • 57.
    Table 84-1    --  Prevalence of Abdominal Aortic Aneurysms (AAAs) in Selected Risk Groups INCIDENCE (%) GROUP 2–4 Autopsy subjects aged 50 years or old 5,6] 5–10 Men aged 65 years or older [4,7] 10–15 Patients with coronary artery disease [8] or occlusive peripheral vascular disease [9,10] 20–30 Brothers of patients with AAAs [11,12]
  • 58.
    SYMPTOMS ■ Most aneurysms are asymptomatic when discovered (60-80%)and become symptomatic when expanding or ruptured. ■ Acute pain in abdomen, back, or flank [ 75% ] ■ Nausea and vomiting ■ Syncope or near syncope urologic symptoms 10%
  • 59.
    EXAM ■ Vital signs may be surprisingly normal. ■ Hypotension and shock if rupture with significant blood loss ■ Abdominal tenderness, distension, or pulsatile abdominal mass [75% above umbilicus] ■ Evidence for retroperitoneal hematoma ■ Periumbilical ecchymosis ( Cullen’s sign) ■ Flank ecchymosis ( Grey-Turner’s sign) ■ Massive GI bleed if rupture into GI tract (aortoenteric fistula) ■ High-output heart failure if rupture into vena cava (aortocaval fistula)
  • 60.
    Triad of abdominalpain, hypotension, pulsatile abdominal mass = AAA until proven otherwise, although triad is rare. Kiell CS and C.B. Ernst, Advances in management of abdominal aortic aneurysm, Adv Surg 26 (1993) ,
  • 61.
    Exam – limitedsensitivity Improves as AAA enlarges Worsens with obesity Unknown value in rupture Do not use to exclude AAA Lederle FA, Simel DL. The rational clinical examination. Does this patient have abdominal aortic aneurysm? JAMA. 1999 Jan 6
  • 62.
    DIAGNOSIS The diagnosisshould be suspected in any patient >50 years old presenting with abdominal pain, flank pain, or hypotension. Delay in diagnosis of these conditions is common AAA rupture (30% misdiagnosed initially)
  • 63.
    ABDOMINAL X RAYAbnormalities seen in 2/3 to ¾ of cases But AXR rarely ordered for AAA Retrospectively apparent in 90% Most common signs are wall calcifications and a paravertebral soft tissue mass, both seen in 65% Other signs include loss of psoas or renal outlines, renal displacement, and occasionally a properitoneal flank stripe AXR cannot be used to rule out an AAA
  • 64.
    Anteroposterior (A ) and lateral ( B ) views of large abdominal aortic aneurysms with calcification of the aortic wall
  • 65.
    Ultrasound 100%sensitive when aorta is visualized Modality of choice in the unstable patient May not be able to identify rupture, site of leak, or retroperitoneal hematoma
  • 66.
    Cross-sectional ultrasound ofa 6-cm abdominal aortic aneurysm. Note mural thrombus and eccentrically shaped patent lumen .
  • 67.
  • 68.
    Widely cited assensitive for AAA (98%) But not for rupture Combination: US confirmation of aneurysm abdominal pain unstable hemodynamics 95% sensitive in determining need for emergency surgery for AAA Costantino TG, Bruno EC, Handly N, Dean AJ. Accuracy of emergency medicine ultrasound in the evaluation of abdominal aortic aneurysm. J Emerg Med. 2005
  • 69.
    CT -Highly sensitive - Requires stable patient for transport -Better than ultrasound at detecting rupture and retroperitoneal blood MRI or aortography are rarely indicated in the ED. Sharma U, Ghai S, Paul SB, Gulati MS, Bahl VK, Rajani M, Mukhopadhyay S. Helical CT evaluation of aortic aneurysms and dissection: a pictorial essay. ClinImaging. 2003
  • 70.
    Computed tomography scanof ruptured abdominal aortic aneurysm, with calcification of the aortic wall and intraluminal thrombus. The patent lumen enhances with the administration of contrast material, but the periaortic hematoma ( arrow ) does not .
  • 71.
  • 72.
    COMMON MISDIAGNOSES INPATIENTS WITH RUPTURED ABDOMINAL AORTIC ANEURYSMS    Renal colic  “ Acute abdomen ”    Pancreatitis    Intestinal ischemia    Diverticulitis    Cholecystitis    Appendicitis    Perforated viscus    Bowel obstruction    Musculoskeletal back pain    Acute myocardial infarction “ Acute abdomen ” Renal colic       Musculoskeletal back pain    Acute myocardial infarction   
  • 73.
    *** Anemia inconjunction with chronic back pain- think AAA ‘ Mimic’ Reasons why Pancreatitis Pain pattern is similar Bowel obstruction If duodenum is stretched over AAA Diverticulitis Vague LLQ pain occasionally seen in AAA Obstructive jaundice Rare- if CBD is compressed Renal colic AAA compresses ureter Hematuria occurs infrequently (more when AV fistula present) Testicular pain Hemorrhage to scrotum Extension to Iliac vessels with compression of inguinal canal Inguinal hernia Extension to iliac vessels Hip pain Extension to iliac vessels Sciatica/Femoral nerve pain Compression of femoral nerve in retroperitoneum Ischemic bowel Vague abdominal pain, dull Pyelonephritis Back/flank pain Chronic abd. Pain NYD 10% live >6 weeks after onset of symptoms
  • 74.
    TREATMENT Ruptured aneurysmsrequire immediate surgical intervention with operative or endovascular repair. 50% operative mortality Fluid and blood resuscitation: To SBP 90–100 mmHg. Thoracotomy with cross clamping of aorta: If severe hemodynamic compromise or cardiac arrest
  • 75.
    CONT. Asymptomatic aneurysmscan be scheduled for repair based on aneurysm size and patient comorbidities. Endovascular repair with stent graft is increasingly used.
  • 76.
    surgically repaired rupturedAAA, mortality 46% Once in ED, early diagnosis decreases mortality from 75 to 35% Wainess RM, Dimick JB, Cowan JA Jr, Henke PK, Stanley JC, Upchurch GR Jr. Epidemiology of surgically treated abdominal aortic aneurysms in the United States, 1988 to 2000. Vascular. 2004 Jul-Aug
  • 77.
    COMPLICATIONS Rupture Atheroembolism: Microemboli from atherosclerotic aneurysms Lodge in distal small vessels “ Blue toe syndrome” is classic presentation. Can also occur from nonaneurysmal atherosclerotic plaques Graft complications ■ Graft infection ■ Secondary aortoenteric fistula ■ Endoleak: Leak outside of graft lumen, but within existing aneurysm sac (continued risk for AAA rupture!)
  • 78.

Editor's Notes

  • #6 The aorta is composed of three layers, the intima (inner most layer), media, and adventitia. Aortic dissection occurs when a tear forms between the layers of the aortic wall. Blood can then dissect and travel down the length of the aorta.
  • #14 • Hypertension (only ~ 50% are hypertensive on presentation)-most common risk factor • Male sex • Age (tends to occur in older patients, but don’t forget that young patients can develop TAD as well.) • Pregnancy (also a risk factor for coronary artery dissection) • Family history (not connective-tissue disease related) • Connective tissue disease (Marfans and Ehler-Danlos) ------------------------------------------------------------------------ Less Common Risk Factors: • Cocaine (Type B more common) • Turner’s syndrome • Bicuspid aortic valve • Iatrogenic (cardiac catheterization) • Coarctation of the aorta • Trauma • Ecstasy (NMDA) use and weight lifters-associated TAD
  • #42   CXR will be abnormal in 80-90% of cases Mediastinal widening- in 75% Hard to tell from tortuosity in chronic hypertension “ Calcium sign”- uncommon but highly specific intimal calcification >5 mm separated from outermost part of aorta Aortic double density Disparity in caliber between ascending and descending aorta Localized bulge on the aorta Obliteration of the aortic knob NG tube, trachea or ETT displaced to the right Pleural effusions- common and usually on the left Large effusions should cause suspicion of a leak or rupture