UROLOGICAL TUMORS
UROLOGICAL TUMORS
⚫ Prostate cancer
⚫ Urinary bladder cancer
⚫ Kidney cancer
⚫ Testicular cancer
UROLOGICAL TUMORS
STATISTICS IN EUROPE
0
100
200
300
400
500
600
Prostate (men) Bladder (persons) Kidney (persons) Testis (men)
Age
standardised
rate
or
proportion
per
100,000
population
Incidence
Mortality
1 year Prevalence
5 yr Prevalence
10 year
Prevalence
Prostate cancer
Epidemiology
PROSTATE CANCER
⚫The most common cancer among men
⚫The second leading cause of cancer death for
men, left behind lung cancer
⚫Risk factors:
◦ Racial, ethnicity
◦ Hereditary load
◦ Nutrition, hormonal status...
Central Zone
Peripheral
Zone
Preprostati
c
Sphincter
Ureth
ra
Verumontanu
m
Ejaculatory
Duct
V
as
Seminal vesicles
Bladde
r
C
Z
VAS
S
V
P
Z
PPS
U
V
E
D
B
VAS
S
V
P
Z
PPS
U
B
S
V
P
Z
VAS
C
Z
V
E
D
E
D
C
Z
Anatomy of the prostate
80% of prostate cancer develops in the peripheral zone
urethra
blad
der
ure
thr
a
PROSTATE CANCER
PATHOPHYSIOLOGY
⚫ Adenocarcinoma
⚫ Increases with androgen
stimulation
⚫ Spread
◦ Localized (not exceeding
prostate borders)
◦ Locally distributed
(beyond the capsule)
◦ Generally distributed
PROSTATE CANCER
CLINICAL MANIFESTATIONS
⚫Localized - Mostly asymptomatic
⚫Locally distributed - Symptoms of lower
urinary tract, urinary retention,
hemospermia...
⚫ Generally distributed - Lumbar or bone pains,
anuria due to urinary tract blockage, general
cachexia and anemia.
PROSTATE CANCER
DIAGNOSIS
Digital rectal exam Transrectal ultrasonography
PROSTATE CANCER
DIAGNOSIS
Prostate-specific antigen(PSA)
• Protein produced by normal prostate cells
• During prostate pathology, it appears in the
blood
• 3 main diseases, that cause PSA increase in blood:
• Inflammatory diseases of the prostate
• Benign prostatic hyperplasia
• Prostate cancer
PSA (ng/ml) % Prostate cancer
< 0,5
0,6 – 1,0
1,1 – 2,0
2,1 – 3,0
3,1 – 4,0
PSA
7 %
10 %
17 %
24 %
27 %
PROSTATE CANCER
DIAGNOSIS
Transrectal prostate biopsy
PROSTATE CANCER
DIAGNOSIS
Computed tomography
PROSTATE CANCER
DIAGNOSIS
Skeletal scintigraphy(metastasis?)
PROSTATE CANCER
TREATMENT
⚫Active observation – In low risk-patients
⚫Radical prostatectomy (open,
laparascopic, robotic)
⚫Radiotherapy (external or brachytherapy)
⚫Hormone therapy (androgenic blockade,
surgical or medication castration) –
Generally distributed cancer
⚫Chemotherapy - Hormone-refractory
cancer
Radical prostatectomy open surgery
Laparascopic radical
prostatectomy
Robot-assisted radical prostatectomy
Brachytherapy - radioactive capsules are
implanted in the prostate tissue
URINARY BLADDER CANCER
⚫90% - Transitional cell
⚫10% - Squamous cell carcinoma...
⚫Superficial - CIS, Ta, T1
⚫Invasive - T2-T4
⚫Risk factors: Tobacco, amine paints...
Grades of urinary bladder cancer
სტადია დახასიათება
Ta
CIS
T1
Includes mucosa
Carcinoma insitu (superficial, agressive)
Invasion into the submucosal layer
T2
T2a
T2b
Invasion into the muscular layer
In the inner half
In the outer half
T3
T3a
T3b
Invasion outside the muscular layer
Microscopic
Macroscopic (extravesical mass)
T4
T4a
T4b
Invasion into the nearby organs
Prostate, vagina, uterus
Pelvic wall, anterior wall of abdomen
Non-invasive
Grades of urinary bladder cancer
Invasive
URINARY BLADDER CANCER
SYMPTOMS
⚫Dysuria
⚫Hematuria
⚫Differential diagnosis: Infectious and
inflammatory diseases, prostate
pathology, Concrements, upper urinary
tract tumors
⚫In all cases, cystoscopy is needed
Fluorescence cystoscopy facilitates the detection of tumor
growth.
Conventional and fluorescence cystoscopy
URINARY BLADDER CANCER
TREATMENT. TRANSURETHRAL
RESECTION
Mucosa
Submucosa
Muscle layer
T2 – T4
Cis
T1
Ta
Urinary bladder cancer Grade
Invasive in muscle
Non-invasive in muscle
+ Chemotherapy
TUR Cystectomy
URINARY BLADDER CANCER
TREATMENT. RADICAL CYSTECTOMY
In men: Urinary bladder,
prostate, seminal vesicles,
distal segments of the
ureters
In women: Urinary bladder,
uterine with appendages,
vagina (partially), distal
segments of the ureters
RADICAL CYSTECTOMY
URINE DERIVATION
RENAL CELL CARCINOMA
⚫ 80-90% of kidney cancers
⚫ Other tumors - 10-20%
⚫ Extensive use of ultrasound and
CT studies has increased the
incidence of asymptomatic
tumors found in the kidney.
⚫ The classic triad (pain, hematuria,
tumor mass in the lumbar region)
rarely found today.
Risk factors
Tobacco
Excess weight (especially in women)
Inherited (Von Hippel-Lindau syndrome:
Multiple tumors)
Arterial hypertension
Kidney failure, dialysis
Cadmium, lead…
Renal cell carcinoma
- >70% asymptomic
!!!
Accidentally discovered
- Advanced case:
• Pain
• Macrohematuria
• Palpable tumor
• Varicocele
• Lose weight
• Hypercalcemia
• Anemia
- 20-30% are already metastasized at diagnosis
- Most commonly metastasized: in lungs, lymph nodes, liver and
bones.
Kidney cancer diagnosis
KIDNEY CANCER DIAGNOSIS
Kidney cancer diagnosis
Kidney cancer diagnosis
RENAL CELL CARCINOMA
DIFFERENTIAL DIAGNOSIS
Renal cyst Renal angiomyolipoma
RENAL CELL CARCINOMA
COMPLICATION: THROMB INTO THE INFERIOR
VENA CAVA
RENAL CELL CARCINOMA
TREATMENT
• Radical nephrectomy (laparascopic, open surgery)
• Partial nephrectomy (laparascopic, open surgery)
RADICAL NEPHRECTOMY
PARTIAL NEPHRECTOMY
Renal cell carcinoma
Alternative methods of treatment
Cryoablation
Radiofrequency ablation
Renal cell carcinoma
Symptomatic treatment
⚫Chemotherapy is ineffective
⚫Immunotherapy (interferon, tyrosine kinase
inhibitors, m-Tor inhibitors, antibodies) – In
correctly selected, with metastasized, patients
after surgical treatment
TESTICULAR CANCER
⚫ 1-1.5% of cancers in men
⚫ 5% of urologic tumors
⚫ It is most common at the age of 30-40
⚫ When diagnosed, 1-2% are bilateral
⚫ Epidemiological risk factors:
◦ Cryptorchidism
◦ Genetic disorders (Klinefelter Syndrome)
◦ Family history
◦ Infertility in anamnesis
TESTICULAR CANCER
⚫ Classification
◦ Seminoma
◦ Non-seminoma cancer
●Choriocarcinoma
●Yolk sac tumor
●Teratoma
●Mixed type
TESTICULAR CANCER
⚫ Clinical manifestations
◦ Painless palpable formation
◦ Scrotal pain
◦ 10% are identified as acute orchitis
◦ Metastasizes to the lymph nodes, in the retroperitoneal space (place of
embryonic origin of testis!)
⚫ Oncomarkers
◦ Alpha-fetoprotein
● Increases in 50-70% of non-monomers
● Does not increase during seminoma
◦ β-chorionic gonadotropin
● Increases in 40-60% of non-seminomas
● Increases in 30% of seminomas
◦ Lactate dehydrogenase
● Less specific
● Often increased during seminomas
Palpation of the testis and funicle
Method of self-examination of testis
Testicular cancer. Ultrasonography
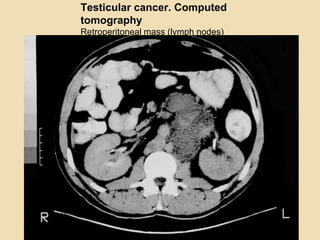
Testicular cancer. Computed
tomography
Retroperitoneal mass (lymph nodes)
TESTICULAR CANCER
TREATMENT
The primary intervention
in all types is radical
orchiectomy (high
hemicastration)
After orchiectomy (according to
grade and risk):
1. Chemotherapy
2. Nerve-saving retroperitoneal
lymphadenectomy
3. Active observation
Testicular cancer
Retroperitoneal lymphadenectomy
TESTICULAR CANCER
Lance Armstrong – An American former professional
road racing cyclist
Metastatic testicular cancer was detected at 25 years of
age. He has been in active sport for 10 years after
treatment. He is now 34 years old

7 Oncourology.pptx