TONSILLITISTONSILLITIS
Fahad zakwanFahad zakwan
MD5MD5
1
OverviewsOverviews
Clinical presentationsClinical presentations
DdxDdx
ComplicationsComplications
InvestigationsInvestigations
Treatment & managements.Treatment & managements.
ContentsContents
2
ANATOMYANATOMY
 The tonsils are 3 masses of tissue:
- lingual tonsil
- pharyngeal (adenoid) tonsil
- palatine or fascial tonsil
Together they form Waldeyer's ring
 are lymphoid tissue
 covered by respiratory epithelium
- pseudostratified ciliated
columnar epithelium
3
…..
produce lymphocytesproduce lymphocytes
are active in theare active in the synthesis of immunoglobulinssynthesis of immunoglobulins
a ring of lymphoid tissue in the oropharynx anda ring of lymphoid tissue in the oropharynx and
nasopharynxnasopharynx
are the first lymphoid aggregates in theare the first lymphoid aggregates in the
aerodigestive tract – thought to play a role inaerodigestive tract – thought to play a role in
immunityimmunity
4
Normal TonsilsNormal Tonsils
 Ovoid-shaped
 are located laterally in the oropharynx
 are bordered by the following tissues:
- Deep - Superior constrictor muscle
- Anterior - Palatoglossus muscle
- Posterior - Palatopharyngeus muscle
- Superior - Soft palate
- Inferior - Lingual tonsil
Anatomy…cont
6
Blood supplyBlood supply
 through the externalthrough the external
carotid artery branches:carotid artery branches:
 Superior poleSuperior pole
 Ascending pharyngeal arteryAscending pharyngeal artery
(tonsilar branches)(tonsilar branches)
 Lesser palatine arteryLesser palatine artery
 Inferior poleInferior pole
 Facial artery branchesFacial artery branches
 Dorsal lingual arteryDorsal lingual artery
 Ascending palatine arteryAscending palatine artery
7
…..
Venous outflowVenous outflow - by the plexus around the- by the plexus around the
tonsilar capsule, the lingual vein, and thetonsilar capsule, the lingual vein, and the
pharyngeal plexus.pharyngeal plexus.
Lymphatic drainageLymphatic drainage - the superior deep- the superior deep
cervical nodes, the jugulodigastric nodes.cervical nodes, the jugulodigastric nodes.
Sensory supplySensory supply - the glossopharyngeal nerve,- the glossopharyngeal nerve,
the lesser palatine nervethe lesser palatine nerve
8
Anatomic & physiologic diff btn normal Adenoid
and Tonsil
ADENOID TONSIL
1.Anatomic location posterior wall of
nasopharynx
lateral wall of oropharynx
2.Gross Triangular shape
few crypts
ovoid shape
20-30 crypts
3.microscopic Transitional antigen
processing.
No afferent fibers
Specilized antigen
processing.
No afferent fibers
4.physiology Muciliary clearance
Antigem processing
Immune survellence
Mucilliary clearance
Antigen processing
Immune survellence
9
TonsillitisTonsillitis
Tonsillitis is inflammation of the pharyngealTonsillitis is inflammation of the pharyngeal
tonsils.tonsils.
The inflammation usually extends to theThe inflammation usually extends to the
adenoid and the lingual tonsils; therefore, theadenoid and the lingual tonsils; therefore, the
term pharyngitis may also be used.term pharyngitis may also be used.
Lingual tonsillitis refers to isolated inflammationLingual tonsillitis refers to isolated inflammation
of the lymphoid tissue at the tongue base.of the lymphoid tissue at the tongue base.
10
ClassificationClassification
Infection/inflammationInfection/inflammation
Acute tonsilitisAcute tonsilitis
Recurrent tonsilitisRecurrent tonsilitis
Chronic(persistent) tonsilitisChronic(persistent) tonsilitis
TonsiliolithiasisTonsiliolithiasis
11
obstructionsobstructions
NasopharyngealNasopharyngeal
oropharyngealoropharyngeal
combinedcombined
12
Pathophysiology and Etiology
 Viral or bacterial infectionsViral or bacterial infections andand immunologic factorsimmunologic factors lead tolead to
tonsillitis and its complications. Overcrowded conditions andtonsillitis and its complications. Overcrowded conditions and
malnourishment promote tonsillitis. Most episodes of acutemalnourishment promote tonsillitis. Most episodes of acute
pharyngitis and acute tonsillitis are caused by viruses such aspharyngitis and acute tonsillitis are caused by viruses such as
the following:the following:
 Herpes simplex virusHerpes simplex virus
 Epstein-Barr virus (EBV)Epstein-Barr virus (EBV)
 CytomegalovirusCytomegalovirus
 Other herpes virusesOther herpes viruses
 AdenovirusAdenovirus
 Measles virusMeasles virus 13
 Bacteria cause 15-30% of cases of pharyngotonsillitis.
 Anaerobic bacteria play an important role in tonsillar
disease.
 Most cases of bacterial tonsillitis are caused by group A
beta-hemolytic Streptococcus pyogenes (GABHS).
 S pyogenes adheres to adhesin receptors that are located
on the tonsillar epithelium.
 Immunoglobulin coating of pathogens may be important in
the initial induction of bacterial tonsillitis.
 Mycoplasma pneumoniaeMycoplasma pneumoniae,, Corynebacterium diphtheriaeCorynebacterium diphtheriae,,
andand Chlamydia pneumoniaeChlamydia pneumoniae rarely cause acute pharyngitis.rarely cause acute pharyngitis.
 Neisseria gonorrheaNeisseria gonorrhea may cause pharyngitis in sexually activemay cause pharyngitis in sexually active
persons.persons.
 Arcanobacterium haemolyticumArcanobacterium haemolyticum is an important cause ofis an important cause of
pharyngitis in Scandinavia and the United Kingdom but ispharyngitis in Scandinavia and the United Kingdom but is
not recognized as such in the United States.not recognized as such in the United States.
 A rash similar to that of scarlet fever accompanies AA rash similar to that of scarlet fever accompanies A
haemolyticum pharyngitis.haemolyticum pharyngitis.
15
ACUTE TONSILITISACUTE TONSILITIS
This is the commonest URTI in children.This is the commonest URTI in children.
Occurs up to the age of 15Occurs up to the age of 15
Its common in all sexesIts common in all sexes
Viral: HSV, EBV,CMV, Adenovirus, Measles.Viral: HSV, EBV,CMV, Adenovirus, Measles.
Bacteral: anaerobes, group A beta hemolyticBacteral: anaerobes, group A beta hemolytic
strepto pyogens, mycoplasma, chlamydia,strepto pyogens, mycoplasma, chlamydia,
N.gonorrhea.N.gonorrhea.
17
ACUTE TONSILLITIS-TYPESACUTE TONSILLITIS-TYPES
 Acute catarrhal/superficialAcute catarrhal/superficial  here tonsillitis is a part ofhere tonsillitis is a part of
generalized pharyngitis, mostly seen in viral infectionsgeneralized pharyngitis, mostly seen in viral infections
 Acute follicularAcute follicular  infection spread into the crypts withinfection spread into the crypts with
purulent material, presenting at the opening of crypts aspurulent material, presenting at the opening of crypts as
yellow spotsyellow spots
 Acute parenchymatousAcute parenchymatous  tonsil in uniformly enlarged andtonsil in uniformly enlarged and
congestedcongested
 Acute membranousAcute membranous  follows stage of acute follicularfollows stage of acute follicular
tonsillitis where exudates coalesce to form membrane ontonsillitis where exudates coalesce to form membrane on
the surfacethe surface
Acute catarrhal/superficialAcute catarrhal/superficial
Acute follicularAcute follicular
Acute membranousAcute membranous
SIGNSSIGNS
HalitosisHalitosis
Coated tongueCoated tongue
Congestion of pillars, soft palate andCongestion of pillars, soft palate and
uvulauvula
Jugulo-digastric nodes enlarged andJugulo-digastric nodes enlarged and
tendertender
Tonsils are congested and enlargedTonsils are congested and enlarged
depending on type of acute tonsillitisdepending on type of acute tonsillitis
TREATMENTTREATMENT
Bed restBed rest
Plenty of oral fluidsPlenty of oral fluids
AnalgesicsAnalgesics
Antimicrobial therapyAntimicrobial therapy penicillinpenicillin
In case of penicillin sensitivityIn case of penicillin sensitivity
macrolides are givenmacrolides are given
COMPLICATIONSCOMPLICATIONS
 chronic tonsillitischronic tonsillitis
 peritonsillar abscessperitonsillar abscess
 parapharyngeal abscessparapharyngeal abscess
 cervical abscesscervical abscess
 acute otitis mediaacute otitis media
 rheumatic feverrheumatic fever
 acute glomerulo nephritisacute glomerulo nephritis
 sub acute bacterial endocarditissub acute bacterial endocarditis
DIFFERENTIAL DIAGNOSIS OF MEMBRANE
OVER THE TONSIL
 Membranous tonsillitis
 Diphtheria
 Vincents angina
 Infectious mononucleosis
 Agranulocytosis
 Leukaemia
 Traumatic ulcer
 Aphthous ulcer
 malignancy
CHRONIC TONSILLITISCHRONIC TONSILLITIS
AetiologyAetiology::
Complication of acute tonsillitisComplication of acute tonsillitis
Sub clinical infection of tonsilSub clinical infection of tonsil
Chronic sinusitis or dental sepsisChronic sinusitis or dental sepsis
Mostly affects children and youngMostly affects children and young
adultsadults
TYPES OF CHRONIC TONSILLITISTYPES OF CHRONIC TONSILLITIS
Chronic follicular tonsillitisChronic follicular tonsillitis
Chronic parenchymatous tonsillitisChronic parenchymatous tonsillitis : tonsils: tonsils
are very much enlarged uniformly andare very much enlarged uniformly and
may interfere with speech, deglutition andmay interfere with speech, deglutition and
respiration, long standing cases mayrespiration, long standing cases may
develop pulmonary hypertensiondevelop pulmonary hypertension
Chronic fibroid tonsillitisChronic fibroid tonsillitis
CLINICAL FEATURESCLINICAL FEATURES
recurrent attacks of sore throatrecurrent attacks of sore throat
chronic irritation in throat with coughchronic irritation in throat with cough
halitosishalitosis
dysphagiadysphagia
odynophagiaodynophagia
thick speechthick speech
SIGNSSIGNS
Tonsil may show varying degree ofTonsil may show varying degree of
enlargement depending on the typeenlargement depending on the type
Irwin-moore signIrwin-moore sign pressure on the anteriorpressure on the anterior
pillar expresses frank pus or cheesy materialpillar expresses frank pus or cheesy material 
mainly seen in fibroid typemainly seen in fibroid type
Flushing of the anterior pillar compared to restFlushing of the anterior pillar compared to rest
of the pharyngeal mucosaof the pharyngeal mucosa
Enlargement of the jugulo-digastric nodeEnlargement of the jugulo-digastric node 
soft non tendersoft non tender
TREATMENTTREATMENT
conservativeconservative
managementmanagement
tonsillectomytonsillectomy
COMPLICATIONSCOMPLICATIONS
Peritonsillar abscessPeritonsillar abscess
Parapharyngeal abscessParapharyngeal abscess
Retro pharyngeal abscessRetro pharyngeal abscess
Intra tonsillar abscessIntra tonsillar abscess
Tonsillar cystTonsillar cyst
TonsillolithTonsillolith
Focus of infection for RF, AGNFocus of infection for RF, AGN
Clinical presentationClinical presentation
1.HISTORY1.HISTORY
Individuals with acute tonsillitis present withIndividuals with acute tonsillitis present with feverfever,, sore throatsore throat,,
foul breathfoul breath,, dysphagiadysphagia,, odynophagiaodynophagia andand tender cervicaltender cervical
lymph nodes.lymph nodes.
Airway obstruction may manifest asAirway obstruction may manifest as mouth breathingmouth breathing,,
snoringsnoring,, sleep-disordered breathingsleep-disordered breathing,, nocturnal breathingnocturnal breathing
pausespauses, or, or sleep apneasleep apnea..
LethargyLethargy andand malaisemalaise are common.are common.
Symptoms usually resolve in 3-4 days but may last up to 2Symptoms usually resolve in 3-4 days but may last up to 2
weeks despite adequate therapy.weeks despite adequate therapy.
32
 Recurrent streptococcal tonsillitis is diagnosed whenRecurrent streptococcal tonsillitis is diagnosed when
an individual hasan individual has
 7 culture-proven episodes in 1 year7 culture-proven episodes in 1 year,,
 5 infections in 2 consecutive years5 infections in 2 consecutive years, or, or
 3 infections each year for 3 years consecutively3 infections each year for 3 years consecutively..
 Individuals with chronic tonsillitis may present withIndividuals with chronic tonsillitis may present with
chronic sore throatchronic sore throat,, halitosishalitosis,, tonsillitistonsillitis, and, and persistentpersistent
tender cervical nodes.tender cervical nodes.
 Children are most susceptible to infection by those inChildren are most susceptible to infection by those in
the carrier state.the carrier state. 33
Individuals withIndividuals with peritonsillarperitonsillar
abscess (PTA)abscess (PTA) present withpresent with severesevere
throat painthroat pain,, feverfever,, droolingdrooling,, foulfoul
breathbreath,, trismustrismus (difficulty opening(difficulty opening
the mouth), andthe mouth), and altered voicealtered voice
qualityquality (the hot-potato voice).(the hot-potato voice).
34
2.PHYSICAL EXAM..2.PHYSICAL EXAM..
 Should begin by determining the degree of distressShould begin by determining the degree of distress
regarding airways and swallowing.regarding airways and swallowing.
 Examination of pharynx may be facilitated by mouthExamination of pharynx may be facilitated by mouth
opening without tongue protrusion, followed byopening without tongue protrusion, followed by
gentle central depression of the tongue.gentle central depression of the tongue.
 Full assessment of oral mucosa, dentation, andFull assessment of oral mucosa, dentation, and
salivary ducts may then be performed by gentlysalivary ducts may then be performed by gently
“walking ”a tongue depressor about the lateral oral“walking ”a tongue depressor about the lateral oral
cavity.cavity.
35
36
 Flexible fiberoptic nasopharyngoscopy may be useful in
selected cases.
 Acute tonsilitis reveals fever and enlarged inflammed
tonsil that may have exudates.
 Open mouth breathing and voice changes result from
obstructive tonsilar enlargement.
 Voice change in acute tonsilitis is not as severe as that
assc with peritonsilar abscess.
37
 In PTA , pharyngeal edema and trismus cause a hot
potato voice.
 Tender cervical nodes and neck stiffness observed in
acute tonsilitis.
 Examine skine and mucosa for sign of dehydration.
 Chronic tonsilitis,express pus on squeezing the tonsil and
excess tonsilar debris(tonsiliolith)
 Hypertrophic inflammed tonsil for childrens and atrophic
tonsil in adult.
38
Tonsil in this pt were so swollen that they caused
resp distress necessitating tonsillectomy
39
Palatine tonsil which are bright red,swollen and
coated
40
.
41
Peritonsilar abscess
42
INVESTIGATIONSINVESTIGATIONS
 Tonsillitis and peritonsillar abscess (PTA) are clinical
diagnoses.
 Testing is indicated when group A beta-hemolytic
Streptococcus pyogenes (GABHS) infection is suspected.
 Throat cultures (sensitivity 90-95%) are the criterion
standard for detecting GABHS.
 For patients in whom acute tonsillitis is suspected to have
spread to deep neck structures radiologic imaging using
plain films of the lateral neck or CT scans with contrast is
warranted.
 In cases of PTA, CT scanning with contrast is indicated 43
Lab StudiesLab Studies
 Throat cultures are the criterion standard forThroat cultures are the criterion standard for
detecting group A beta-hemolytic Streptococcusdetecting group A beta-hemolytic Streptococcus
pyogenes (GABHS).pyogenes (GABHS).
 GABHS is the principal organism for which antibioticGABHS is the principal organism for which antibiotic
therapy (sensitivity 90-95%) is definitely indicated.therapy (sensitivity 90-95%) is definitely indicated.
 Relying only on clinical criteria, such as the presenceRelying only on clinical criteria, such as the presence
of exudate, erythema, fever, andof exudate, erythema, fever, and
lymphadenopathy, is not an accurate method forlymphadenopathy, is not an accurate method for
distinguishing GABHS from viral tonsillitis.distinguishing GABHS from viral tonsillitis.
44
 A rapid antigen detection test (RADT), also known asA rapid antigen detection test (RADT), also known as
the rapid streptococcal test, detects the presencethe rapid streptococcal test, detects the presence
of GABHS cell wall carbohydrate from swabbedof GABHS cell wall carbohydrate from swabbed
material and is considered less sensitive than throatmaterial and is considered less sensitive than throat
cultures;cultures;
 however, the test has a specificity of 95% or morehowever, the test has a specificity of 95% or more
and produces a result in significantly less time thanand produces a result in significantly less time than
that required for throat cultures.that required for throat cultures.
 A negative RADT requires that a throat culture beA negative RADT requires that a throat culture be
obtained before excluding GABHS infection.obtained before excluding GABHS infection. 45
ImagingImaging
Routine imaging is not useful in cases of acuteRoutine imaging is not useful in cases of acute
tonsillitis.tonsillitis.
For pts whom acute tonsillitis is suspected toFor pts whom acute tonsillitis is suspected to
have spread to deep neck structures (i.e.have spread to deep neck structures (i.e.
beyond the facial planes of thebeyond the facial planes of the
oropharynx),radiologic imaging using plainoropharynx),radiologic imaging using plain
films of lateral neck or CT scan with contrast isfilms of lateral neck or CT scan with contrast is
warranted.warranted.
46
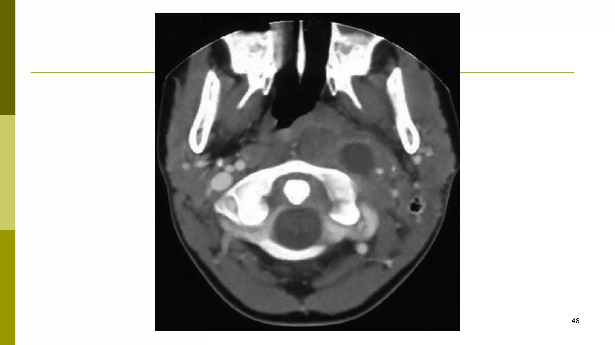
Peritonsilar abscess CT scan with contrastPeritonsilar abscess CT scan with contrast
is indicated in general for unusualis indicated in general for unusual
presentation(e.g. inferior pole abscess)presentation(e.g. inferior pole abscess)
and for pts at high risk of drainageand for pts at high risk of drainage
procedures.procedures.
CTscan may be used to guide needleCTscan may be used to guide needle
aspiration for draining PTA.aspiration for draining PTA.
47
48
HistologyHistology
- If tonsils are asymmetric- If tonsils are asymmetric
- they should be submitted- they should be submitted
separatelyseparately
- examined histologically to rule- examined histologically to rule
out cancerout cancer
49
…..
Mgt
Medical
-corticosteroids(shorten the duration of fever and
pharyngitis.
- antibiotics(oral penicillin for 10 days),im for non
compliant pt of oral therapy.
- anaelgesics
Surgical
- tonsillectomy
50
INDICATIONS FOR TONSILLECTOMYINDICATIONS FOR TONSILLECTOMY
The American Academy of Otolaryngology–The American Academy of Otolaryngology–
Head and Neck Surgery (AAO-HNS):Head and Neck Surgery (AAO-HNS):
 Enlarged tonsils that cause upper airwayEnlarged tonsils that cause upper airway
obstruction, severe dysphagia, sleep disordersobstruction, severe dysphagia, sleep disorders
 Recurrent peritonsillar abscessRecurrent peritonsillar abscess
 Unilateral tonsil hypertrophy that is presumed to beUnilateral tonsil hypertrophy that is presumed to be
neoplastic (tumour tonsillectomy)neoplastic (tumour tonsillectomy)
 Chronic or recurrent tonsillitis, Cor pulmonaleChronic or recurrent tonsillitis, Cor pulmonale
51
contraindicationscontraindications
Bleeding disordersBleeding disorders
AnemiaAnemia
Acute infectionAcute infection
Uncontrolled medical illnessUncontrolled medical illness
52
TONSILLECTOMYTONSILLECTOMY
Place the patient in the Rose position
with a shoulder roll.
Carefully, insert a Davis Boyle’s mouth
gauge, open and suspend it.
Apply an Alyss clamp to the tonsil to
allow for traction during dissection.
53
ROSE POSITION
54
…..
 Variations in dissection methods include the following
- cold steel (eg, scissors, curettes)
- monopolar cautery
- bipolar cautery
- radiofrequency ablation/coblation (can be used to shrink tonsils)
- harmonic scalpel with vibrating titanium blades
- microdebrider - for an intracapsular technique
55
…..
 Variations in haemostasis methods include the following:
- pressure with sponge for several minutes
- bismuth subgallate
- ties
- cautery
56
TONSILLECTOMY
57
ComplicationsComplications
 HaemorrhageHaemorrhage
- the most common complication- the most common complication
- intraoperative/primary (occurring within the first 24hrs)- intraoperative/primary (occurring within the first 24hrs)
- secondary (occurring between 24hrs and 10 days)- secondary (occurring between 24hrs and 10 days)
 Pain (sore throat, otalgia)Pain (sore throat, otalgia)
 Dehydration (children - do not eat because of pain)Dehydration (children - do not eat because of pain)
 Fever (not common, usually related to local infection)Fever (not common, usually related to local infection)
 Postoperative airway obstruction (uvular oedema,Postoperative airway obstruction (uvular oedema,
haematoma, aspirated material)haematoma, aspirated material)
58
…..
 Local trauma to oral tissuesLocal trauma to oral tissues
 Temporomandibular joint dislocationTemporomandibular joint dislocation
 Psychological trauma, night terrors, or depressionPsychological trauma, night terrors, or depression
 Nasopharyngeal stenosisNasopharyngeal stenosis
 DeathDeath
- uncommon- uncommon
- bleeding- bleeding
- or anaesthetic complications- or anaesthetic complications
59
Refferences….
 Head & Neck ENT surgery 4th
ed
 ABC of ENT
 Pubmed…current articles 2013
 Current diagnosis & treatment in otolaryngology..
60

5. tonsillitis

  • 1.
  • 2.
  • 3.
    ANATOMYANATOMY  The tonsilsare 3 masses of tissue: - lingual tonsil - pharyngeal (adenoid) tonsil - palatine or fascial tonsil Together they form Waldeyer's ring  are lymphoid tissue  covered by respiratory epithelium - pseudostratified ciliated columnar epithelium 3
  • 4.
    ….. produce lymphocytesproduce lymphocytes areactive in theare active in the synthesis of immunoglobulinssynthesis of immunoglobulins a ring of lymphoid tissue in the oropharynx anda ring of lymphoid tissue in the oropharynx and nasopharynxnasopharynx are the first lymphoid aggregates in theare the first lymphoid aggregates in the aerodigestive tract – thought to play a role inaerodigestive tract – thought to play a role in immunityimmunity 4
  • 5.
  • 6.
     Ovoid-shaped  arelocated laterally in the oropharynx  are bordered by the following tissues: - Deep - Superior constrictor muscle - Anterior - Palatoglossus muscle - Posterior - Palatopharyngeus muscle - Superior - Soft palate - Inferior - Lingual tonsil Anatomy…cont 6
  • 7.
    Blood supplyBlood supply through the externalthrough the external carotid artery branches:carotid artery branches:  Superior poleSuperior pole  Ascending pharyngeal arteryAscending pharyngeal artery (tonsilar branches)(tonsilar branches)  Lesser palatine arteryLesser palatine artery  Inferior poleInferior pole  Facial artery branchesFacial artery branches  Dorsal lingual arteryDorsal lingual artery  Ascending palatine arteryAscending palatine artery 7
  • 8.
    ….. Venous outflowVenous outflow- by the plexus around the- by the plexus around the tonsilar capsule, the lingual vein, and thetonsilar capsule, the lingual vein, and the pharyngeal plexus.pharyngeal plexus. Lymphatic drainageLymphatic drainage - the superior deep- the superior deep cervical nodes, the jugulodigastric nodes.cervical nodes, the jugulodigastric nodes. Sensory supplySensory supply - the glossopharyngeal nerve,- the glossopharyngeal nerve, the lesser palatine nervethe lesser palatine nerve 8
  • 9.
    Anatomic & physiologicdiff btn normal Adenoid and Tonsil ADENOID TONSIL 1.Anatomic location posterior wall of nasopharynx lateral wall of oropharynx 2.Gross Triangular shape few crypts ovoid shape 20-30 crypts 3.microscopic Transitional antigen processing. No afferent fibers Specilized antigen processing. No afferent fibers 4.physiology Muciliary clearance Antigem processing Immune survellence Mucilliary clearance Antigen processing Immune survellence 9
  • 10.
    TonsillitisTonsillitis Tonsillitis is inflammationof the pharyngealTonsillitis is inflammation of the pharyngeal tonsils.tonsils. The inflammation usually extends to theThe inflammation usually extends to the adenoid and the lingual tonsils; therefore, theadenoid and the lingual tonsils; therefore, the term pharyngitis may also be used.term pharyngitis may also be used. Lingual tonsillitis refers to isolated inflammationLingual tonsillitis refers to isolated inflammation of the lymphoid tissue at the tongue base.of the lymphoid tissue at the tongue base. 10
  • 11.
    ClassificationClassification Infection/inflammationInfection/inflammation Acute tonsilitisAcute tonsilitis RecurrenttonsilitisRecurrent tonsilitis Chronic(persistent) tonsilitisChronic(persistent) tonsilitis TonsiliolithiasisTonsiliolithiasis 11
  • 12.
  • 13.
    Pathophysiology and Etiology Viral or bacterial infectionsViral or bacterial infections andand immunologic factorsimmunologic factors lead tolead to tonsillitis and its complications. Overcrowded conditions andtonsillitis and its complications. Overcrowded conditions and malnourishment promote tonsillitis. Most episodes of acutemalnourishment promote tonsillitis. Most episodes of acute pharyngitis and acute tonsillitis are caused by viruses such aspharyngitis and acute tonsillitis are caused by viruses such as the following:the following:  Herpes simplex virusHerpes simplex virus  Epstein-Barr virus (EBV)Epstein-Barr virus (EBV)  CytomegalovirusCytomegalovirus  Other herpes virusesOther herpes viruses  AdenovirusAdenovirus  Measles virusMeasles virus 13
  • 14.
     Bacteria cause15-30% of cases of pharyngotonsillitis.  Anaerobic bacteria play an important role in tonsillar disease.  Most cases of bacterial tonsillitis are caused by group A beta-hemolytic Streptococcus pyogenes (GABHS).  S pyogenes adheres to adhesin receptors that are located on the tonsillar epithelium.  Immunoglobulin coating of pathogens may be important in the initial induction of bacterial tonsillitis.
  • 15.
     Mycoplasma pneumoniaeMycoplasmapneumoniae,, Corynebacterium diphtheriaeCorynebacterium diphtheriae,, andand Chlamydia pneumoniaeChlamydia pneumoniae rarely cause acute pharyngitis.rarely cause acute pharyngitis.  Neisseria gonorrheaNeisseria gonorrhea may cause pharyngitis in sexually activemay cause pharyngitis in sexually active persons.persons.  Arcanobacterium haemolyticumArcanobacterium haemolyticum is an important cause ofis an important cause of pharyngitis in Scandinavia and the United Kingdom but ispharyngitis in Scandinavia and the United Kingdom but is not recognized as such in the United States.not recognized as such in the United States.  A rash similar to that of scarlet fever accompanies AA rash similar to that of scarlet fever accompanies A haemolyticum pharyngitis.haemolyticum pharyngitis. 15
  • 17.
    ACUTE TONSILITISACUTE TONSILITIS Thisis the commonest URTI in children.This is the commonest URTI in children. Occurs up to the age of 15Occurs up to the age of 15 Its common in all sexesIts common in all sexes Viral: HSV, EBV,CMV, Adenovirus, Measles.Viral: HSV, EBV,CMV, Adenovirus, Measles. Bacteral: anaerobes, group A beta hemolyticBacteral: anaerobes, group A beta hemolytic strepto pyogens, mycoplasma, chlamydia,strepto pyogens, mycoplasma, chlamydia, N.gonorrhea.N.gonorrhea. 17
  • 18.
    ACUTE TONSILLITIS-TYPESACUTE TONSILLITIS-TYPES Acute catarrhal/superficialAcute catarrhal/superficial  here tonsillitis is a part ofhere tonsillitis is a part of generalized pharyngitis, mostly seen in viral infectionsgeneralized pharyngitis, mostly seen in viral infections  Acute follicularAcute follicular  infection spread into the crypts withinfection spread into the crypts with purulent material, presenting at the opening of crypts aspurulent material, presenting at the opening of crypts as yellow spotsyellow spots  Acute parenchymatousAcute parenchymatous  tonsil in uniformly enlarged andtonsil in uniformly enlarged and congestedcongested  Acute membranousAcute membranous  follows stage of acute follicularfollows stage of acute follicular tonsillitis where exudates coalesce to form membrane ontonsillitis where exudates coalesce to form membrane on the surfacethe surface
  • 19.
  • 20.
  • 21.
  • 22.
    SIGNSSIGNS HalitosisHalitosis Coated tongueCoated tongue Congestionof pillars, soft palate andCongestion of pillars, soft palate and uvulauvula Jugulo-digastric nodes enlarged andJugulo-digastric nodes enlarged and tendertender Tonsils are congested and enlargedTonsils are congested and enlarged depending on type of acute tonsillitisdepending on type of acute tonsillitis
  • 23.
    TREATMENTTREATMENT Bed restBed rest Plentyof oral fluidsPlenty of oral fluids AnalgesicsAnalgesics Antimicrobial therapyAntimicrobial therapy penicillinpenicillin In case of penicillin sensitivityIn case of penicillin sensitivity macrolides are givenmacrolides are given
  • 24.
    COMPLICATIONSCOMPLICATIONS  chronic tonsillitischronictonsillitis  peritonsillar abscessperitonsillar abscess  parapharyngeal abscessparapharyngeal abscess  cervical abscesscervical abscess  acute otitis mediaacute otitis media  rheumatic feverrheumatic fever  acute glomerulo nephritisacute glomerulo nephritis  sub acute bacterial endocarditissub acute bacterial endocarditis
  • 25.
    DIFFERENTIAL DIAGNOSIS OFMEMBRANE OVER THE TONSIL  Membranous tonsillitis  Diphtheria  Vincents angina  Infectious mononucleosis  Agranulocytosis  Leukaemia  Traumatic ulcer  Aphthous ulcer  malignancy
  • 26.
    CHRONIC TONSILLITISCHRONIC TONSILLITIS AetiologyAetiology:: Complicationof acute tonsillitisComplication of acute tonsillitis Sub clinical infection of tonsilSub clinical infection of tonsil Chronic sinusitis or dental sepsisChronic sinusitis or dental sepsis Mostly affects children and youngMostly affects children and young adultsadults
  • 27.
    TYPES OF CHRONICTONSILLITISTYPES OF CHRONIC TONSILLITIS Chronic follicular tonsillitisChronic follicular tonsillitis Chronic parenchymatous tonsillitisChronic parenchymatous tonsillitis : tonsils: tonsils are very much enlarged uniformly andare very much enlarged uniformly and may interfere with speech, deglutition andmay interfere with speech, deglutition and respiration, long standing cases mayrespiration, long standing cases may develop pulmonary hypertensiondevelop pulmonary hypertension Chronic fibroid tonsillitisChronic fibroid tonsillitis
  • 28.
    CLINICAL FEATURESCLINICAL FEATURES recurrentattacks of sore throatrecurrent attacks of sore throat chronic irritation in throat with coughchronic irritation in throat with cough halitosishalitosis dysphagiadysphagia odynophagiaodynophagia thick speechthick speech
  • 29.
    SIGNSSIGNS Tonsil may showvarying degree ofTonsil may show varying degree of enlargement depending on the typeenlargement depending on the type Irwin-moore signIrwin-moore sign pressure on the anteriorpressure on the anterior pillar expresses frank pus or cheesy materialpillar expresses frank pus or cheesy material  mainly seen in fibroid typemainly seen in fibroid type Flushing of the anterior pillar compared to restFlushing of the anterior pillar compared to rest of the pharyngeal mucosaof the pharyngeal mucosa Enlargement of the jugulo-digastric nodeEnlargement of the jugulo-digastric node  soft non tendersoft non tender
  • 30.
  • 31.
    COMPLICATIONSCOMPLICATIONS Peritonsillar abscessPeritonsillar abscess ParapharyngealabscessParapharyngeal abscess Retro pharyngeal abscessRetro pharyngeal abscess Intra tonsillar abscessIntra tonsillar abscess Tonsillar cystTonsillar cyst TonsillolithTonsillolith Focus of infection for RF, AGNFocus of infection for RF, AGN
  • 32.
    Clinical presentationClinical presentation 1.HISTORY1.HISTORY Individualswith acute tonsillitis present withIndividuals with acute tonsillitis present with feverfever,, sore throatsore throat,, foul breathfoul breath,, dysphagiadysphagia,, odynophagiaodynophagia andand tender cervicaltender cervical lymph nodes.lymph nodes. Airway obstruction may manifest asAirway obstruction may manifest as mouth breathingmouth breathing,, snoringsnoring,, sleep-disordered breathingsleep-disordered breathing,, nocturnal breathingnocturnal breathing pausespauses, or, or sleep apneasleep apnea.. LethargyLethargy andand malaisemalaise are common.are common. Symptoms usually resolve in 3-4 days but may last up to 2Symptoms usually resolve in 3-4 days but may last up to 2 weeks despite adequate therapy.weeks despite adequate therapy. 32
  • 33.
     Recurrent streptococcaltonsillitis is diagnosed whenRecurrent streptococcal tonsillitis is diagnosed when an individual hasan individual has  7 culture-proven episodes in 1 year7 culture-proven episodes in 1 year,,  5 infections in 2 consecutive years5 infections in 2 consecutive years, or, or  3 infections each year for 3 years consecutively3 infections each year for 3 years consecutively..  Individuals with chronic tonsillitis may present withIndividuals with chronic tonsillitis may present with chronic sore throatchronic sore throat,, halitosishalitosis,, tonsillitistonsillitis, and, and persistentpersistent tender cervical nodes.tender cervical nodes.  Children are most susceptible to infection by those inChildren are most susceptible to infection by those in the carrier state.the carrier state. 33
  • 34.
    Individuals withIndividuals withperitonsillarperitonsillar abscess (PTA)abscess (PTA) present withpresent with severesevere throat painthroat pain,, feverfever,, droolingdrooling,, foulfoul breathbreath,, trismustrismus (difficulty opening(difficulty opening the mouth), andthe mouth), and altered voicealtered voice qualityquality (the hot-potato voice).(the hot-potato voice). 34
  • 35.
    2.PHYSICAL EXAM..2.PHYSICAL EXAM.. Should begin by determining the degree of distressShould begin by determining the degree of distress regarding airways and swallowing.regarding airways and swallowing.  Examination of pharynx may be facilitated by mouthExamination of pharynx may be facilitated by mouth opening without tongue protrusion, followed byopening without tongue protrusion, followed by gentle central depression of the tongue.gentle central depression of the tongue.  Full assessment of oral mucosa, dentation, andFull assessment of oral mucosa, dentation, and salivary ducts may then be performed by gentlysalivary ducts may then be performed by gently “walking ”a tongue depressor about the lateral oral“walking ”a tongue depressor about the lateral oral cavity.cavity. 35
  • 36.
  • 37.
     Flexible fiberopticnasopharyngoscopy may be useful in selected cases.  Acute tonsilitis reveals fever and enlarged inflammed tonsil that may have exudates.  Open mouth breathing and voice changes result from obstructive tonsilar enlargement.  Voice change in acute tonsilitis is not as severe as that assc with peritonsilar abscess. 37
  • 38.
     In PTA, pharyngeal edema and trismus cause a hot potato voice.  Tender cervical nodes and neck stiffness observed in acute tonsilitis.  Examine skine and mucosa for sign of dehydration.  Chronic tonsilitis,express pus on squeezing the tonsil and excess tonsilar debris(tonsiliolith)  Hypertrophic inflammed tonsil for childrens and atrophic tonsil in adult. 38
  • 39.
    Tonsil in thispt were so swollen that they caused resp distress necessitating tonsillectomy 39
  • 40.
    Palatine tonsil whichare bright red,swollen and coated 40
  • 41.
  • 42.
  • 43.
    INVESTIGATIONSINVESTIGATIONS  Tonsillitis andperitonsillar abscess (PTA) are clinical diagnoses.  Testing is indicated when group A beta-hemolytic Streptococcus pyogenes (GABHS) infection is suspected.  Throat cultures (sensitivity 90-95%) are the criterion standard for detecting GABHS.  For patients in whom acute tonsillitis is suspected to have spread to deep neck structures radiologic imaging using plain films of the lateral neck or CT scans with contrast is warranted.  In cases of PTA, CT scanning with contrast is indicated 43
  • 44.
    Lab StudiesLab Studies Throat cultures are the criterion standard forThroat cultures are the criterion standard for detecting group A beta-hemolytic Streptococcusdetecting group A beta-hemolytic Streptococcus pyogenes (GABHS).pyogenes (GABHS).  GABHS is the principal organism for which antibioticGABHS is the principal organism for which antibiotic therapy (sensitivity 90-95%) is definitely indicated.therapy (sensitivity 90-95%) is definitely indicated.  Relying only on clinical criteria, such as the presenceRelying only on clinical criteria, such as the presence of exudate, erythema, fever, andof exudate, erythema, fever, and lymphadenopathy, is not an accurate method forlymphadenopathy, is not an accurate method for distinguishing GABHS from viral tonsillitis.distinguishing GABHS from viral tonsillitis. 44
  • 45.
     A rapidantigen detection test (RADT), also known asA rapid antigen detection test (RADT), also known as the rapid streptococcal test, detects the presencethe rapid streptococcal test, detects the presence of GABHS cell wall carbohydrate from swabbedof GABHS cell wall carbohydrate from swabbed material and is considered less sensitive than throatmaterial and is considered less sensitive than throat cultures;cultures;  however, the test has a specificity of 95% or morehowever, the test has a specificity of 95% or more and produces a result in significantly less time thanand produces a result in significantly less time than that required for throat cultures.that required for throat cultures.  A negative RADT requires that a throat culture beA negative RADT requires that a throat culture be obtained before excluding GABHS infection.obtained before excluding GABHS infection. 45
  • 46.
    ImagingImaging Routine imaging isnot useful in cases of acuteRoutine imaging is not useful in cases of acute tonsillitis.tonsillitis. For pts whom acute tonsillitis is suspected toFor pts whom acute tonsillitis is suspected to have spread to deep neck structures (i.e.have spread to deep neck structures (i.e. beyond the facial planes of thebeyond the facial planes of the oropharynx),radiologic imaging using plainoropharynx),radiologic imaging using plain films of lateral neck or CT scan with contrast isfilms of lateral neck or CT scan with contrast is warranted.warranted. 46
  • 47.
    Peritonsilar abscess CTscan with contrastPeritonsilar abscess CT scan with contrast is indicated in general for unusualis indicated in general for unusual presentation(e.g. inferior pole abscess)presentation(e.g. inferior pole abscess) and for pts at high risk of drainageand for pts at high risk of drainage procedures.procedures. CTscan may be used to guide needleCTscan may be used to guide needle aspiration for draining PTA.aspiration for draining PTA. 47
  • 48.
  • 49.
    HistologyHistology - If tonsilsare asymmetric- If tonsils are asymmetric - they should be submitted- they should be submitted separatelyseparately - examined histologically to rule- examined histologically to rule out cancerout cancer 49
  • 50.
    ….. Mgt Medical -corticosteroids(shorten the durationof fever and pharyngitis. - antibiotics(oral penicillin for 10 days),im for non compliant pt of oral therapy. - anaelgesics Surgical - tonsillectomy 50
  • 51.
    INDICATIONS FOR TONSILLECTOMYINDICATIONSFOR TONSILLECTOMY The American Academy of Otolaryngology–The American Academy of Otolaryngology– Head and Neck Surgery (AAO-HNS):Head and Neck Surgery (AAO-HNS):  Enlarged tonsils that cause upper airwayEnlarged tonsils that cause upper airway obstruction, severe dysphagia, sleep disordersobstruction, severe dysphagia, sleep disorders  Recurrent peritonsillar abscessRecurrent peritonsillar abscess  Unilateral tonsil hypertrophy that is presumed to beUnilateral tonsil hypertrophy that is presumed to be neoplastic (tumour tonsillectomy)neoplastic (tumour tonsillectomy)  Chronic or recurrent tonsillitis, Cor pulmonaleChronic or recurrent tonsillitis, Cor pulmonale 51
  • 52.
    contraindicationscontraindications Bleeding disordersBleeding disorders AnemiaAnemia AcuteinfectionAcute infection Uncontrolled medical illnessUncontrolled medical illness 52
  • 53.
    TONSILLECTOMYTONSILLECTOMY Place the patientin the Rose position with a shoulder roll. Carefully, insert a Davis Boyle’s mouth gauge, open and suspend it. Apply an Alyss clamp to the tonsil to allow for traction during dissection. 53
  • 54.
  • 55.
    …..  Variations indissection methods include the following - cold steel (eg, scissors, curettes) - monopolar cautery - bipolar cautery - radiofrequency ablation/coblation (can be used to shrink tonsils) - harmonic scalpel with vibrating titanium blades - microdebrider - for an intracapsular technique 55
  • 56.
    …..  Variations inhaemostasis methods include the following: - pressure with sponge for several minutes - bismuth subgallate - ties - cautery 56
  • 57.
  • 58.
    ComplicationsComplications  HaemorrhageHaemorrhage - themost common complication- the most common complication - intraoperative/primary (occurring within the first 24hrs)- intraoperative/primary (occurring within the first 24hrs) - secondary (occurring between 24hrs and 10 days)- secondary (occurring between 24hrs and 10 days)  Pain (sore throat, otalgia)Pain (sore throat, otalgia)  Dehydration (children - do not eat because of pain)Dehydration (children - do not eat because of pain)  Fever (not common, usually related to local infection)Fever (not common, usually related to local infection)  Postoperative airway obstruction (uvular oedema,Postoperative airway obstruction (uvular oedema, haematoma, aspirated material)haematoma, aspirated material) 58
  • 59.
    …..  Local traumato oral tissuesLocal trauma to oral tissues  Temporomandibular joint dislocationTemporomandibular joint dislocation  Psychological trauma, night terrors, or depressionPsychological trauma, night terrors, or depression  Nasopharyngeal stenosisNasopharyngeal stenosis  DeathDeath - uncommon- uncommon - bleeding- bleeding - or anaesthetic complications- or anaesthetic complications 59
  • 60.
    Refferences….  Head &Neck ENT surgery 4th ed  ABC of ENT  Pubmed…current articles 2013  Current diagnosis & treatment in otolaryngology.. 60