CT BRAIN / MR – An introduction to
Normal Anatomy, Interpretation and
Some Common Pathologies
Anupama Chandrasekharan
Associate Professor & Consultant Radiologist
Dept of Radiology and Imaging Sciences
Sri Ramachandra Medical College & Research Institute
Chennai
Indications for CT / MR ……..
 Stroke
 Trauma
 Altered sensorium
 Neurological deficit
 Seizures
 Headache
How the CT study is usually planned…
15-20 degree
angulation to
canthomeatal line
to decrease
radiation to the
lens.
Plain CT Contrast CT
Indications for a contrast CT….
 Seizures
 Infections
 Venous thrombosis
 Tumors
 Atypical stroke findings on plain CT
 Atypical hemorrhage on plain CT
 Focal edema on plain CT
Brain Window Bone Window
Descriptive Terms …….
 Hypodense / Hypointense
 Isodense / Isointense
 Hyperdense / Hyperintense
Lesions appearing Hypodense
on Plain CT
 Infarct (non
hemorrhagic)
 Edema
Lesions appearing Hyperdense
on Plain CT
 Hemorrhage
 Calcifications
Normal Intracranial Calcifications
NINDS trial
Thrombolysis
CT criteria
No hemorrhage
CT criteria
No hemorrhage
Parenchymal hypodensity
in  1/3 MCA
ECASS
Purpose of imaging in stroke
 Definite diagnosis of stroke.
 To document the presence or absence of
hemorrhage
This information is critical since
anticoagulation is a standard therapy for
ischemic stroke
 Identify ischemic penumbra
 Assess location & extent of brain damage
(e.g. impending herniation)
 To exclude stroke mimics.
Ischemic Penumbra
Stroke Frequency Based on Aetiology :
Harvard Stroke Series
Ischaemic (82%) Atherosclerotic Thrombosis – 22%
Embolism – 30 %
Lacunar – 18 %
Indeterminate
Cerebral Venous
Dissection
 Haemorrhagic (18%)
Primary Intracerebral Hematoma –
12%
AVM + Aneurysm – 4%
Others: Cavernoma, AVF, bleeding
disorders -2 %
Stroke Based on Territory
 Anterior circulation stroke
Embolus : 70%
Thrombosis : 30%
 Posterior circulation stroke
Thrombosis : 70%
Embolus : 30%
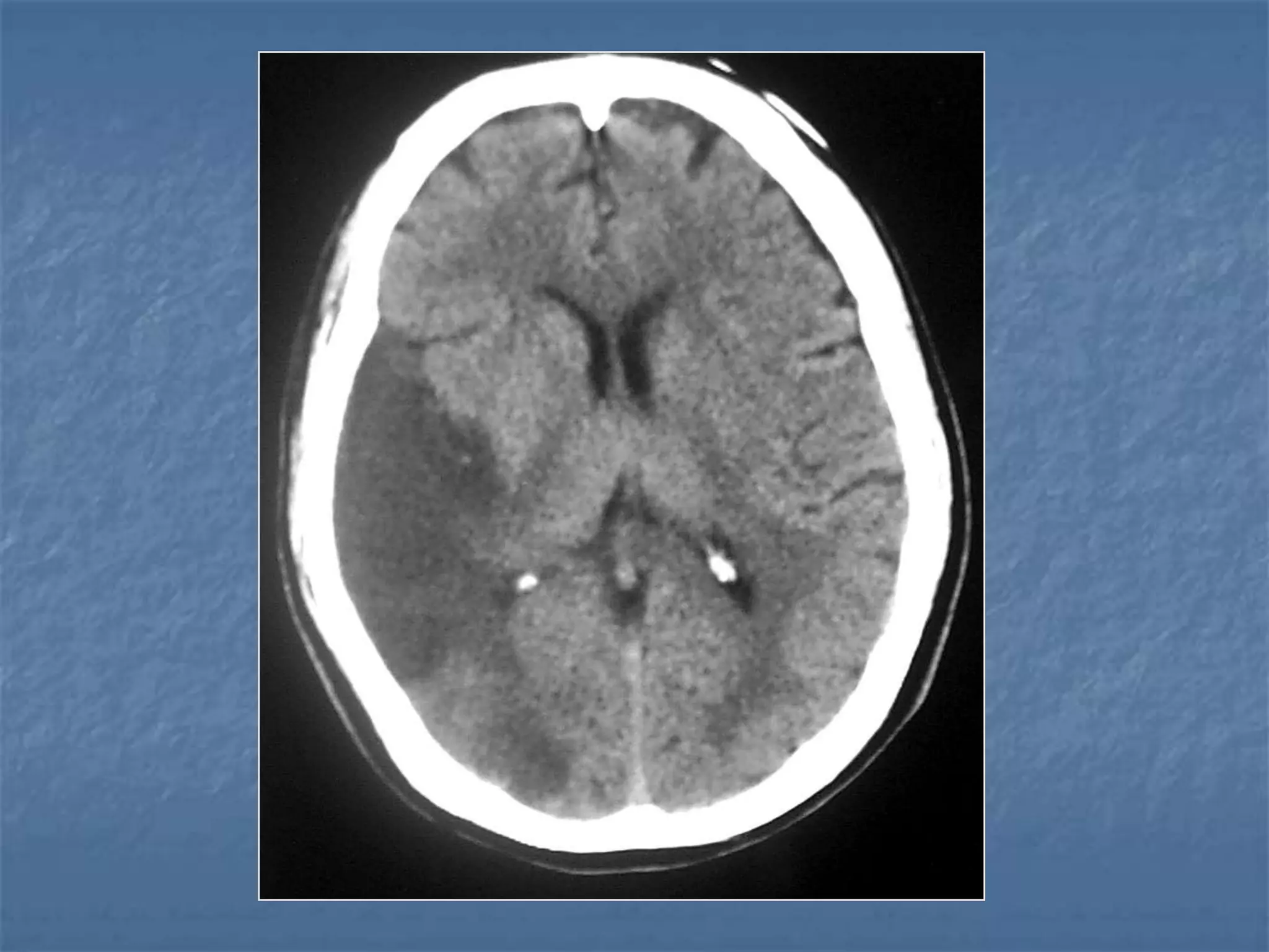
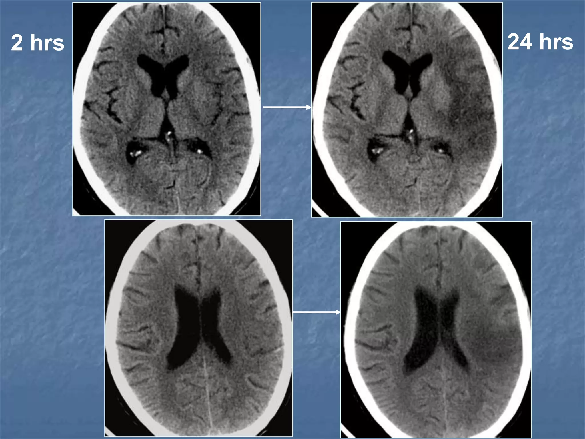
Normal in 50% of ischemic strokes < 6
hrs
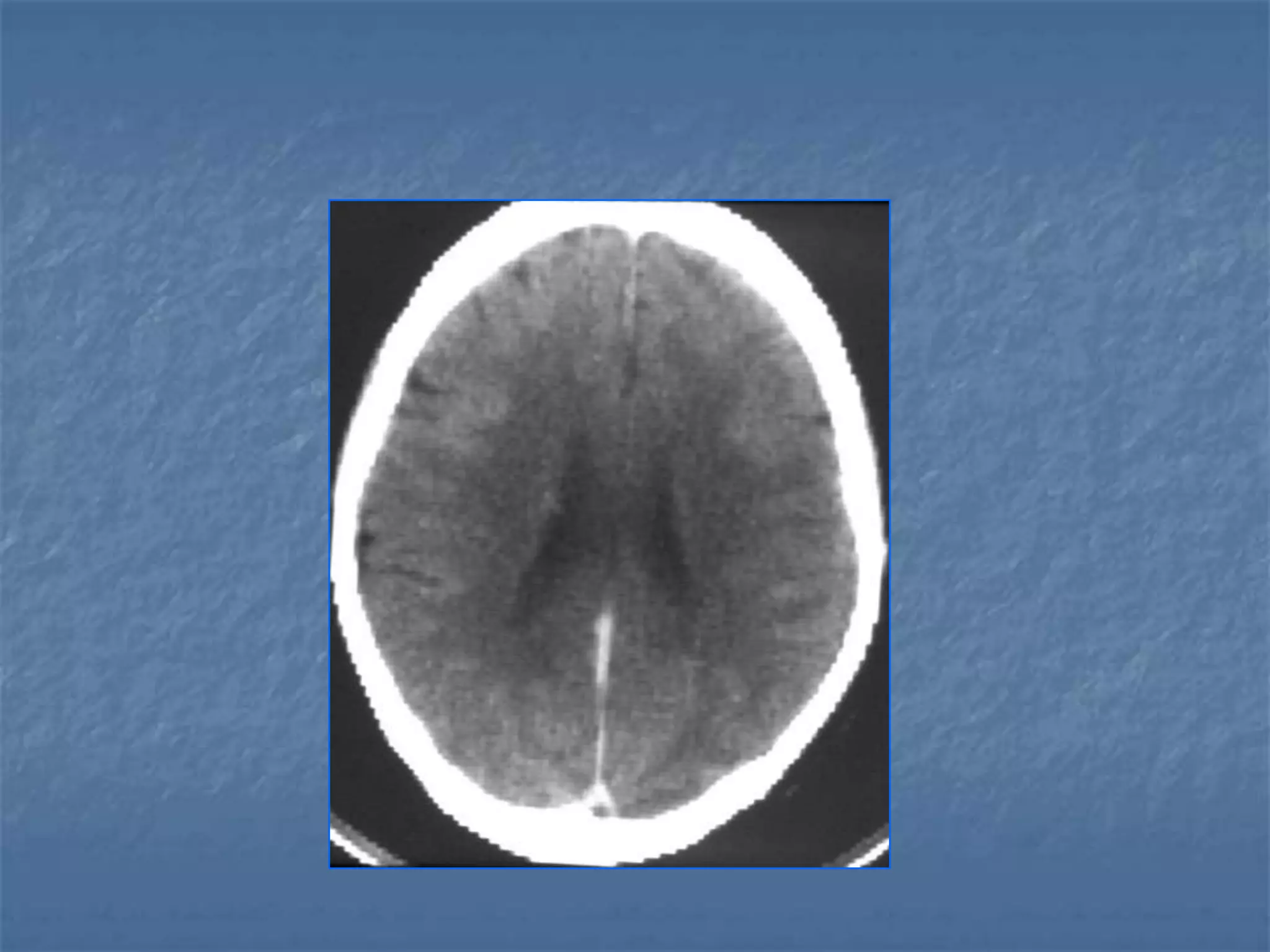
2 hrs 24 hrs
CT in Hyperacute Stroke ( 0-6 hrs )
 Not v.sensitive for infarction
 Sensitive for a/c hemorrhage & gross
lesions precluding thrombolytic therapy
20 % within 2 hrs
82 % within 6 hrs
Neuroradiology.1996
Jan;38(1):31-33
Hyperacute Stroke On CT
EARLY ISCHEMIC CHANGES
 Hyperdense vessel sign
 Attenuation of lentiform
nucleus
 Loss of insular ribbon
 Effacement of sulci
 Loss of
corticomedullary
differentiation
Significance of Early Ischemic Signs
No contraindication to thrombolysis
Patel et al JAMA 2001;286:2830–2838
Indicate more extensive ischemia
AJNR 2004;25:933-938
Hyperdense vessel sign
Obscuration of basal ganglia
Loss of grey-white matter interface
Effacement of sulci
Strong association with later hemorrhagic
transformation AJNR 1991;12:1115-1121
Subacute infarct (1-7 days )
 Hemorrhagic transformation in 5-40 % of all
ischemic stroke Neurology 2001; 57:1603-1610
Stroke 1999;30:761-764
Lacunar Infarcts
Diffusion Weighted Imaging
Radiology 2000;217:331-345
Detects Infarct As
Early As 15-30
minutes
AJNR 2003 ;24:878-885
• 46 patients with acute stroke
• CT and DWI within 6 hours
• Mean delay 24.5 min. (R 10–41 min.)
• EIC on CT - 33/46 (Sn 73%)
• DWI 42/45 - (Sn 93%)
CT vs DWI
Hyperacute hemorrhage
2.5 hr 18 hr
GRE T2* WI
MRI as sensitive as CT for acute hemorrhage
More sensitive than CT for chronic hemorrhage
(JAMA 2004;292:1823-30)
CT sensitivity for SAH
 Day of SAH – 98 %
 After Day 1 – 90 %
 After Day 5 – 80 %
 After 1 wk – 50 %
Neuroradiology 1982:23:153-156
Acute SAH - 100 %
Chronic SAH – 63 %
Chronic SAH ( CT ) – 46 %
Radiology .1995;196(3):773-777
Radiology.1997;203(1):257-262
Acute hemorrhage
 MRI – 96% sens. 99% accuracy
 CT - 89% sens. 98% accuracy
Chronic hemorrhage
•MRI – 96% sens. 99% accuracy
•CT - 40% sens. 78 accuracy
HEME study
CT Angiography
 Site of occlusion
 Length of occluded
segment
 Arteries beyond occluded
segment – collateral flow
 Detection & exclusion of
large vessel intracranial
occlusion – sens – 98.4%
and spec.-98.1%
JCAT 2001; 25(4):520-8
CT Perfusion
 If no penumbra…..increased risk of bleed with
thrombolysis
RCNA 44(2006)41-62
MTT rCBVrCBF
DWI ADC
Can MR replace CT as first imaging
modality in hyperacute stroke?
Yes
 MR immediately available
 Protocol is optimized
 Skilled personnel
Unlikely to replace CT .......
• Cost
• Limited availability
• Time
• Lack of evidence that MR has a positive influence
on
prognosis
Delta Sign
 Extradural
haematoma
 Subdural
haematoma
 Subarachnoid
haemorrhage
 Intraventricular
haemorrhage
 Cerebral contusions
 Intracerebral
haemorrhage
 Diffuse cerebral
edema
EXTRA-AXIAL LESIONS INTRA-AXIAL LESIONS
Imaging in Craniocerebral Trauma
Extradural
Hematoma
Acute Subdural
Hematoma
Diffuse Axonal Injury
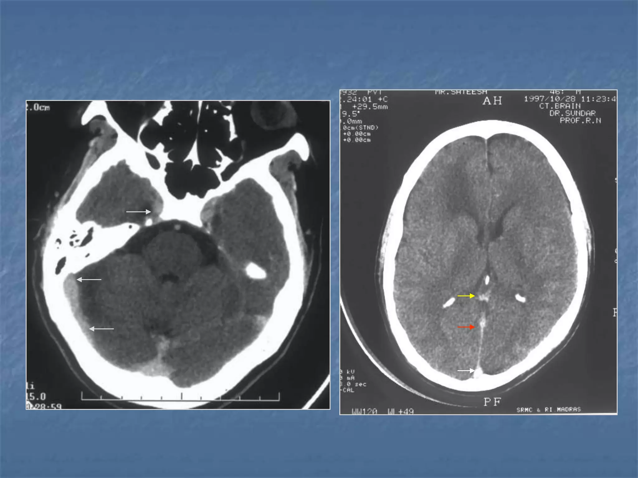
23 yr old male c/o fever and intense headache
 Ring enhancing lesions – granuloma /
abscess
 Calcifications
 Cerebritis
 Meningeal abnormalities
 Complications
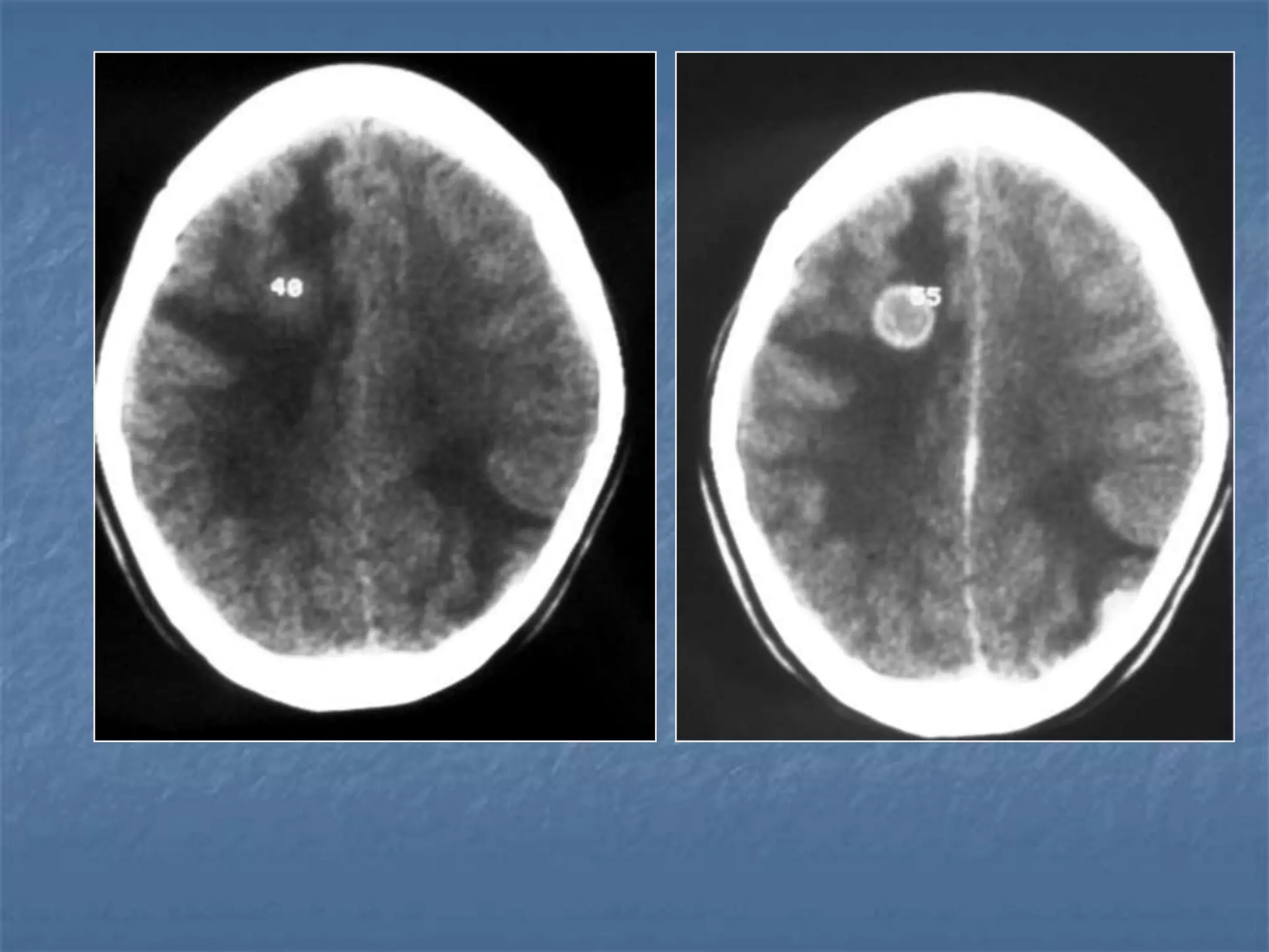
Differential Diagnosis of Ring
Enhancing Lesions
 Granulomas
 Brain abscess
 Tumors – metastasis,
glioma
 Resolving hematoma
Encephalitis
 MRI – within 48 hrs
 CT - at least 3-5 days
 Widely available
 Cost
 Quick
 Hemorrhage
 Trauma
 Hyperacute infarcts
 Posterior fossa
 Diffuse axonal injuries
 White matter diseases
 Subtle abnormalities
of neuroparenchyma
Contraindications for MRI
 Metallic implants
 Pacemakers
 Prosthetic valves
 Aneurysm clips
 Claustrophobia
Thank U
Epidural Abscess Subdural
Empyema
 Notice the rim enhancing
epdural fluid collection
(arrowheads)
).
Encephalitis
 Diffuse nonfocal brain parenchymal
inflammatory process
 Most common agents - viruses
 Immunocompetent individuals - Herpes viruses
 Immunocompromised individuals
 Human immunodeficency virus (HIV)
 Cytomegalovirus (CMV)
 Papovavirus
Tuberculous meningitis
Cerebellar AtrophyCerebral Atrophy
ARTERIOVENOUS MALFORMATION
ARTERIOVENOUS MALFORMATION
SUBACUTE SDH
ACUTE ON CHRONIC SDH
CONTUSION SAH
Complications
EARLY
 ABSCESS
 SUBDURAL/EPIDUR
AL EMPYEMA
 VENTRICULITIS
 INFARCTION
 VENOUS
THROMBOSIS
LATE
 SUBDURAL/
EPIDURAL EFFUSION
 ENCEPHALOMALACIA
 HYDROCEPHALUS
 ATROPHY
SUBDURAL EMPYEMA
EXTRA-AXIAL INTRA-AXIAL
Hypertensive Hemorrhage
 Hypertensive hemorrhage accounts for
approximately 70-90% of non-traumatic primary
intracerebral hemorrhages. It is commonly due to
vasculopathy involving deep penetrating arteries
of the brain. Hypertensive hemorrhage has a
predilection for deep structures including the
thalamus, pons, cerebellum, and basal ganglia,
particularly the putamen and external capsule.
Thus, it often appears as a high-density
hemorrhage in the region of the basal ganglia.
Blood may extend into the ventricular system.
Intraventricular extension of the hematoma is
associated with a poor prognosis.
Haemorrhagic StrokeEtiology
 Hypertension
 Vascular malformation
 Aneurysm
 Trauma
 Amyloid angiopathy
 Tumor
 Coagulopathy
 Hemorrhages can occur in the intraparenchymal,
subarachnoid, intraventricular, subdural and
extradural spaces.
 Location of hypertensive hemorrhage:
Putamen, external capsule, thalamus, pons,
cerebellum, subcortical white matter
Subarachnoid hemorrhage
 In the absence of trauma, the most common cause
of subarachnoid hemorrhage is a ruptured cerebral
aneurysm. Cerebral aneurysms tend to occur at
branch points of intracranial vessels and thus are
frequently located around the Circle of Willis.
Common aneurysm locations include the anterior
and posterior communicating arteries, the middle
cerebral artery bifurcation and the tip of the basilar
artery. Subarachnoid hemorrhage typically presents
as the "worst headache of life" for the patient.
Detection of a subarachnoid hemorrhage is crucial
because the rehemorrhage rate of ruptured
aneurysms is high and rehemorrhage is often fatal.
Subarachnoid hemorrhage
 CT is currently the imaging modality of choice because
of its high sensitivity for the detection of subarachnoid
hemorrhage. CT is most sensitive for acute
subarachnoid hemorrhage. After a period of days to
weeks CT becomes much less sensitive as blood is
resorbed from the CSF. If there is a strong clinical
indication, LP may be warranted despite a negative CT
since small bleeds can be unapparent on imaging.
On CT, a subarachnoid hemorrhage appears as high
density within sulci and cisterns. The insular regions
and basilar cisterns should be carefully scrutinized for
subtle signs of subarachnoid hemorrhage.
Subarachnoid hemorrhage may have associated
intraventricular hemorrhage and hydrocephalus.

MR Spectroscopy
Normal Infarct
Venous Sinus Thrombosis with Venous
Infarct
 Clinical symptoms – head ache, seizures
 Pathology is due to decrease in perfusion pressure as
the venous pressures elevate due to occlusion.
 Predisposing conditions are dehydration, infection,
polycythemia, sickle cell disease, hypercoagulable
states, peripartum, OCP poisoning.
Imaging findings
 Unilateral / bilateral parenchymal hypodensities
 Not limited to an arterial territory
 May be associated with hemorrhage
 Signs: Delta sign, Enhancement of walls of sinus than
their contents.
MR Spectroscopy
 Dynamic study depicting intracellular
metabolism of cerebral ischemia.
 Within the region of infarct, lactate
appears elevated whereas NAA and
total creatinine are reduced.
Radionucleotide studies in acute
stroke
 PET is an accurate method of quantifying
changes in cerebral hemodynamics.
 As cerebral blood flow (CBF) falls, cerebral
blood volume (CBV) and oxygen extraction
factor (OEF) increase.
 PET measures changes in CBF, CBV and OEF
using O15
 Plays a limited role due to limited availability .
 SPECT with Tc 99m HMPAO or ECD will show
a perfusion defect.
Radionucleotide Studies in Acute Stroke
 SPECT – Tc99m HMPAO
 PET – O15
 Adv – Early detection
 Limitation - Not widely
available
 MRI has been increasingly utilized in
early stroke since it is more sensitive
than CT in the first twelve hours
 Bright on Diffusion weighted images
(detected as early as 15 to 30 min after
vessel occlusion).
CT / MR Perfusion imaging
 Concentrates on the assessment of mean
transit time (MTT), relative cerebral blood
volume (RCBV) and derived relative cerebral
blood flow. RCBF = MTT / RCBV
 Prolonged MTT is the earliest & most consistent
sign of impaired perfusion.
 In addition to this, there is a simultaneous drop
in RCBV indicating tissue at risk for infarction.
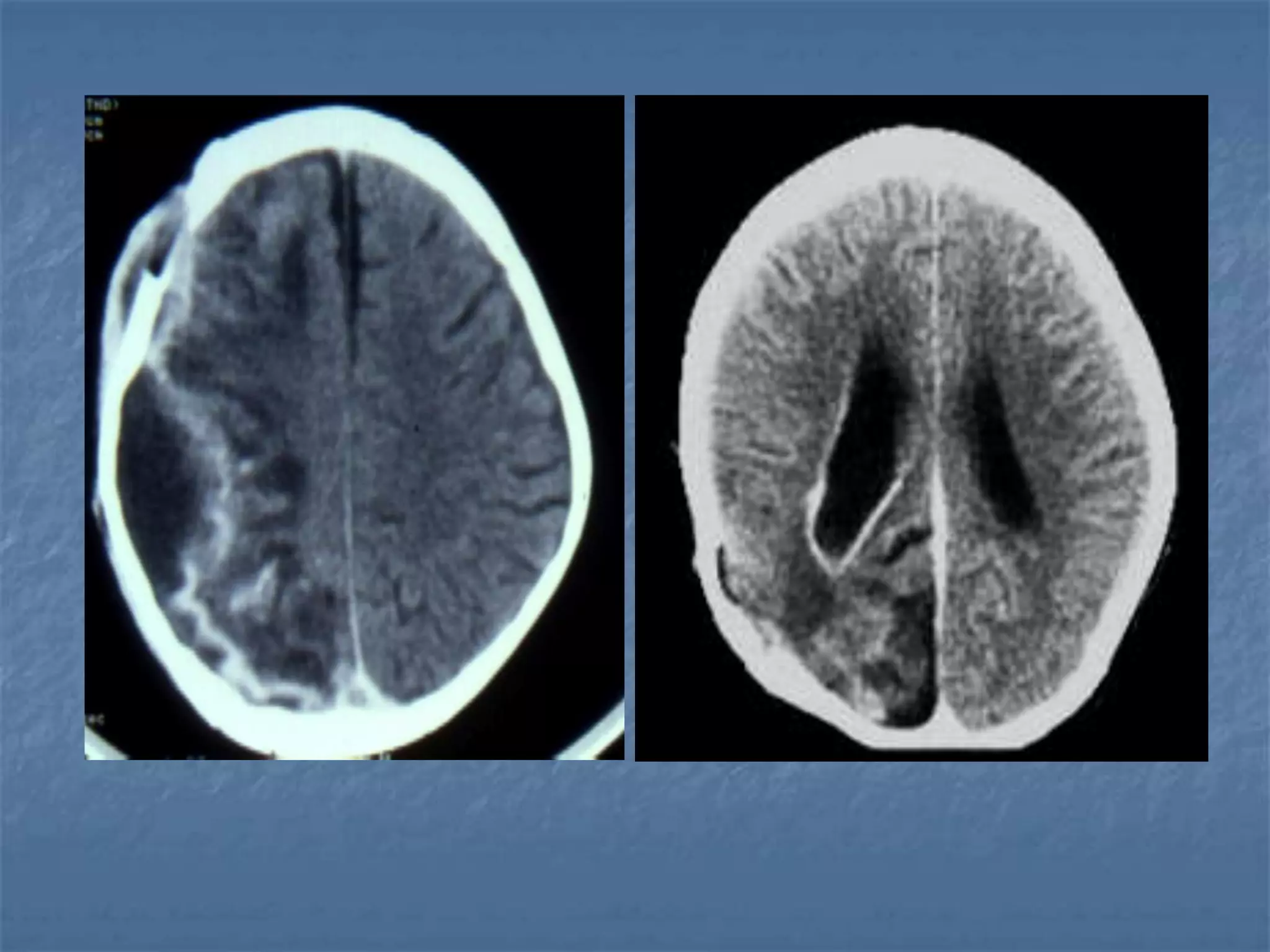
Stroke in Children Constitutes 3% of cerebral infarcts
 Most common cause is congenital heart
disease. Other causes are vasospasm &
vasculitis,
 Echo, CT, MRI & catheter angiogram
should be performed as and when
required.
 There are several advantages to performing a CT scan
instead of other imaging modalities. A CT scan:
- Is readily available
- Is rapid
- Allows easy exclusion of hemorrhage
- Allows the assessment of parenchymal damage
The disadvantages of CT include the following:
- Old versus new infarcts is not always clear
- No functional information (yet)
- Relatively limited evaluation of vertebrobasilar system
A CT is 58% sensitive for infarction within the first 24 hours
(Bryan et al, 1991). MRI is 82% sensitive. If the patient is
imaged greater than 24 hours after the event, both CT and
MR are greater than 90% sensitive.
Epidural Hematoma
 An epidural hematoma is usually associated with a skull
fracture. It often occurs when an impact fractures the
calvarium. The fractured bone lacerates a dural artery or a
venous sinus. The blood from the ruptured vessel collects
between the skull and dura. On CT, the hematoma forms a
hyperdense biconvex mass. It is usually uniformly high
density but may contain hypodense foci due to active
bleeding. Since an epidural hematoma is extradural it can
cross the dural reflections unlike a subdural hematoma.
However an epidural hematoma usually does not cross
suture lines where the dura tightly adheres to the adjacent
skull
Cerebral Contusion
 Cerebral contusions are the most common
primary intra-axial injury. They often occur
when the brain impacts an osseous ridge or a
dural fold. The foci of punctate hemorrhage
or edema are located along gyral crests. The
following are common locations:
- Temporal lobe - anterior tip, inferior
surface, sylvian region
- Frontal lobe - anterior pole, inferior surface
- Dorsolateral midbrain
- Inferior cerebellum
Cerebral Contusion On CT, cerebral contusion
appears as an ill-defined
hypodense area mixed with
foci of hemorrhage.
Adjacent subarachnoid
hemorrhage is common.
After 24-48 hours,
hemorrhagic
transformation or
coalescence of petechial
hemorrhages into a
rounded hematoma is
common.
Diffuse Axonal Injury
 Diffuse axonal injury is often referred to as "shear injury". It is the most
common cause of significant morbidity in CNS trauma. Fifty percent of all
primary intra-axial injuries are diffuse axonal injuries. Acceleration,
deceleration and rotational forces cause portions of the brain with
different densities to move relative to each other resulting in the
deformation and tearing of axons. Immediate loss of consciousness is
typical of these injuries. The CT of a patient with diffuse axonal injury may
be normal despite the patient's presentation with a profound neurological
deficit. With CT, diffuse axonal injury may appear as ill-defined areas of
high density or hemorrhage in characteristic locations. The injury occurs in
a sequential pattern of locations based on the severity of the trauma. The
following list of diffuse axonal injury locations is ordered with the most
likely location listed first followed by successively less likely locations:
- Subcortical white matter
- Posterior limb internal capsule
- Corpus callosum
- Dorsolateral midbrain
Encephalitis CT scan is often normal , especially early in
the disease.
 Ill defined hypodense lesions may be seen
e.g. temporal lobe changes are predominant
in Herpes Encephalitis.
 MRI is far more sensitive in the evaluation of
patients with encephalitis
Skull Fractures
 Skull fractures are categorized as linear or depressed,
depending on whether the fracture fragments are
depressed below the surface of the skull. Linear
fractures are more common. The bone windows must
be examined carefully. A skull fracture is most clinically
significant if the paranasal sinus or skull base is
involved. Fractures must be distinguished from sutures
that occur in anatomical locations (sagittal, coronal,
lambdoidal) and venous channels. Sutures have
undulating margins both sutures and venous channels
have sclerotic margins. Venous channels have
undulating sides. Depressed fractures are characterized
by inward displacement of fracture fragments.
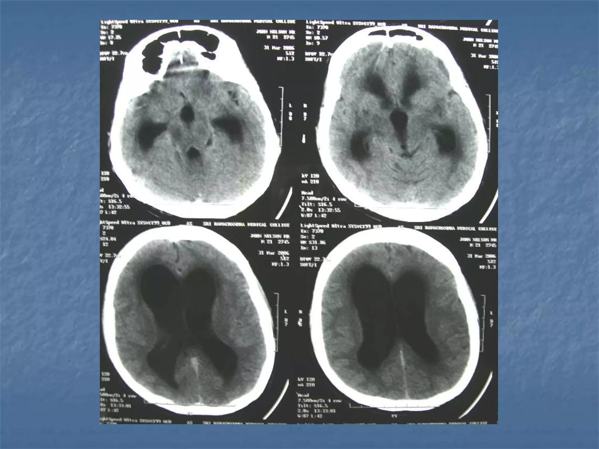
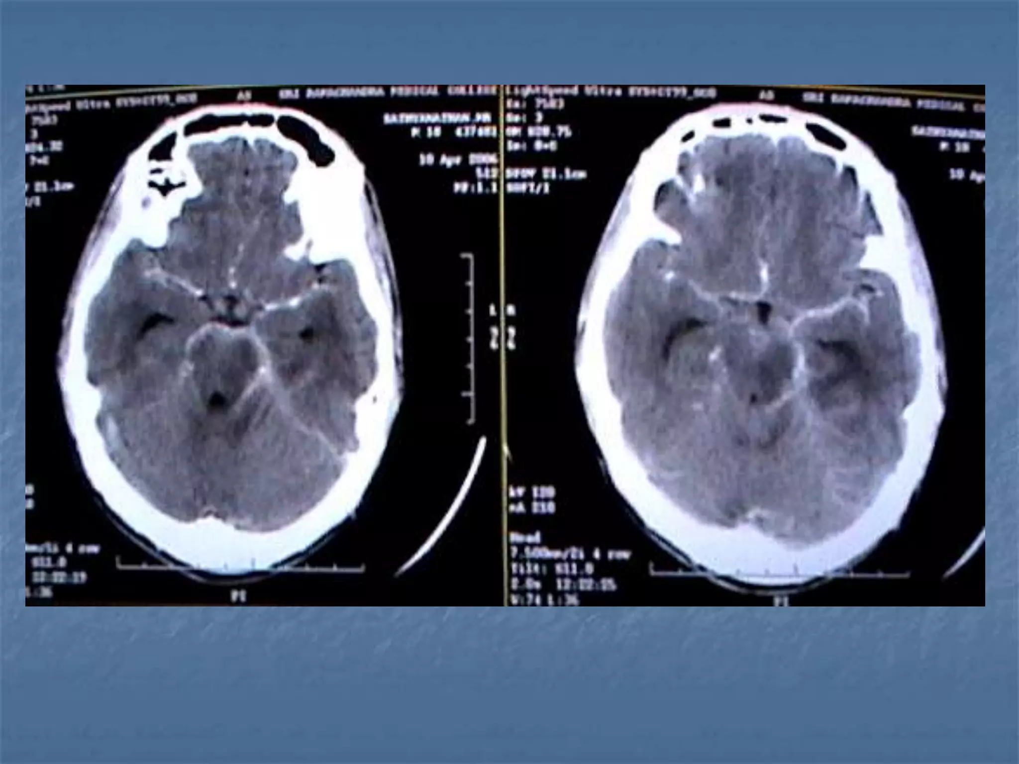
Ventriculitis / Ependymitis
 Inflammation and enlargement of the
ventricles characterizes ventriculitis.
Ependymitis shows hydrocephalus with
damage to the ependymal lining and
proliferation of subependymal glia. A CT of
patients with these conditions reveals the
presence of periventricular edema and
subependymal enhancement. Ventriculitis and
Ependymitis affect approximately 30% of the
adult patients and 90% of the pediatric
patients with meningitis.
Cerebrovascular Complications of
Meningitis
 The development of cerebrovascular problems is
the most common complication of meningitis.
Arterial infarction can occur which often affects
the basal ganglia due to the occlusion of small
perforating vessels. Hemispheric infarction can
also occur due to major vessel spasm. Venous
infarctions are also common and can include
cortical venous occlusion or the involvement of
the superior sagittal sinus.
Subdural Empyema
 Subdural empyema is usually due to
meningitis, sinusitis, trauma or prior surgery.
It is a neurosurgical emergency. Subdural
empyema leads to rapid clinical deterioration,
especially if it is due to sinusitis. On CT it
appears as an isodense or hypodense extra-
axial mass. It has a lentiform or crescentic
shape.
The margin of collection often enhances with
contrast material administration due to the
presence of granulation tissue or subjacent
cortical inflammation.
Extra-axial CNS Infection
 Extra-axial CNS infections can cause epidural
abscess or subdural empyema. Extra-axial CNS
infections account for 20-30% of CNS infections.
Fifty percent of extra-axial infections are
associated with sinusitis, usually frontal sinusitis.
The infection occurs by direct extension or septic
thrombophlebitis. Thirty percent of extra-axial
infections occur post-craniotomy. Finally, 10-15%
of extra-axial CNS infections are related to
meningitis. CT findings include a focal fluid
collection usually with an enhancing margin in a
subdural or epidural location.
Pathophysiology
Flow abnormalities - Perfusion
Cellular dysfunction – DWI / CT/ MR
Structural breakdown – CT / MRI
Ischemic Stroke
 Occurs due to obstruction of cerebral arteries or cerebral veins.
 The clinical spectrum of ischemia includes
TIA (Transient ischemic attacks)
RIND (Reversible ischemic neurological deficit)
PRIND (partially reversible ischemic neurological
deficit)
Evolved stroke
 Pathophysiology:
Normal cerebral blood flow to the brain cortex is approximately
50 to 66 ml/100gm/min. When cerebral perfusion pressure falls
below critical levels (<15ml/gm/min) ischemia results. Ischemia
produces energy depletion in the affected cells. This results in
accumulation of Ca++, Na+ and Cl-, along with osmotically
obligated water. This secondary accumulation of water results
in the imaging features of stroke such as edema and mass
effect.
Hyperdense vessel sign
 Seen in 25% of stroke patients.
 In patients presenting with clinical deficit
referable to the middle cerebral artery territory,
the hyperdense vessel sign is present 35-50% of
the time.
 This sign
Lentiform Nucleus Obscuration
 Due to cytotoxic edema in the basal
ganglia
 Indicates proximal middle cerebral
artery occlusion, which results in limited
flow to lenticulostriate arteries
 Can be seen as early as one hour post
onset of stroke.
Insular Ribbon Sign
 Loss of the gray-white interface at the lateral
margins of the insula.
 Supplied by the insular segment of the middle
cerebral artery
 Particularly susceptible to ischemia because it
is the most distal region from either anterior
or posterior collaterals
 May involve only the anterior or the posterior
insula
Diffuse Hypodensity and Sulcal
Effacement
 Most consistent sign of infarction.
 Extensive parenchymal hypodensity is associated
with poor outcome.
 If > 50% of MCA territory involvement ,there is,
on average, an 85% mortality rate. Hypodensity
in greater than one-third of the middle cerebral
artery territory is generally considered to be a
contra-indication to thrombolytic therapy.
Newer Imaging Techniques In Acute
Stroke
 MR Diffusion imaging:
 CT / MR Perfusion imaging
 Combined MR perfusion & Diffusion
imaging
 MR Spectroscopy
 Radionucleotide studies
Ventriculitis /
Ependymitis
Cerebral Blood flow for Survival
Average blood flow : 55ml/ 100gm/ mt
Ischemic threshold : 20 ml/ 100gm/ mt
Tissue death : <10 ml/ 100gm/ mt
Functional failure without cell death:
10-20ml/ 100gm/ mt.
Concept of Ischemic Penumbra
Ischemic Insult

Focal core area of infarct (irreversible)

Surrounded by viable neuronal cell on
the brink of cell death

“Ischemic Penumbra”
 
Geographic area of tissue
surrounding a profoundly
ischemic core. Identified
on DWI / per MRI
Saving this potential
salvageable area
leads to significant
chance of
improvement
Ischemic stroke
 Thrombotic stroke
 Embolic stroke
 Lacunar infarct
 Global cerebral hypoperfusion
• Ischemic Stroke (83-85%)
• Hemorrhagic Stroke (15-17%)
MRI in Hyperacute Stroke
 DWI – Infarct core
 FLAIR - SAH , Parenchymal changes
 T2* GRE – Intracranial hemorrhage
 PWI – Perfusion deficit
 MRA – Vessel occlusion
Diffusion Weighted Imaging
 Sensitivity : 88 – 100 %
 Specificity : 95 – 100 %
 Initial diffusion lesion volume
correlates well with final infarct
volume & neurologic and functional
outcome
 Multiple a/c lesions in diff.vasc
territories in pts. with 1 symptomatic
insult …. embolic
Neurology.1999 Jun 10;52(9):1784-
1792
Ann Neurol.1997 Aug;42(2):164-170
False Negative DWI
Brainstem infarct
Deep GM nucleus infarct
Neuroradiology2000;42:444–447
Stroke2000;31:1965–1972
AJNR 1999;20:1871–1875
Neurology 1999;52:1784-52
4 h 24 h
Dept. Neurosciences Univ. of Rome La Sapienza
Reversibility of Ischemic lesions on
DWI
Occlusion of MCA 1 hour - DWI lesion  or resolution
Occlusion of MCA 2 hour - Lesion size same or 
Radiology 2000;217:331-345
Successful thrombolysis may revert DWI changes
Diffusion changes in TIAs
• 29% to 67% will show restricted diffusion
• May reverse or persist
• Perfusion deficits 
Stroke vs TIA
DWI lesions of TIA are less intense
Stroke 2004;35:1095
AJNR 2004;25:1645-52
Hyperacute Hemorrhage
Wiesmann M, et al. Eur Radiol.
2001;11:849-53.
Stroke 2004;35:502-506
Nederkoorn PJ et al. Stroke 2003;34:1324-32
MR Spectroscopy in acute stroke
Stroke 2003;34:e82-876 pts within 7 hrs of stroke onset
Lactate alone – metabolic injury - Reversible
Lactate +  NAA- more severe – Irreversible
Lac/Cho ratio from acute lesions improves
the prediction of stroke outcome
Neurology 2000;55:498
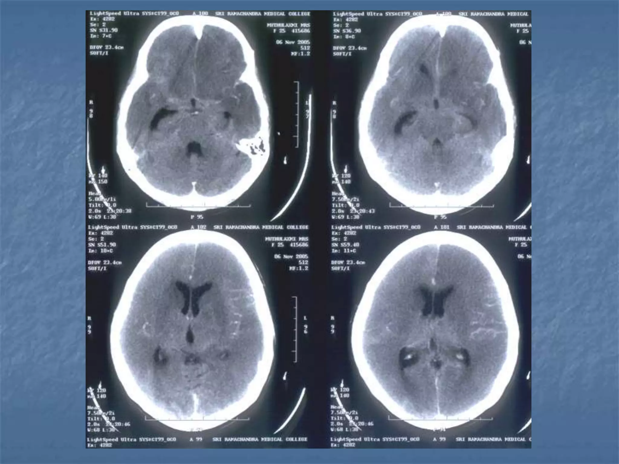
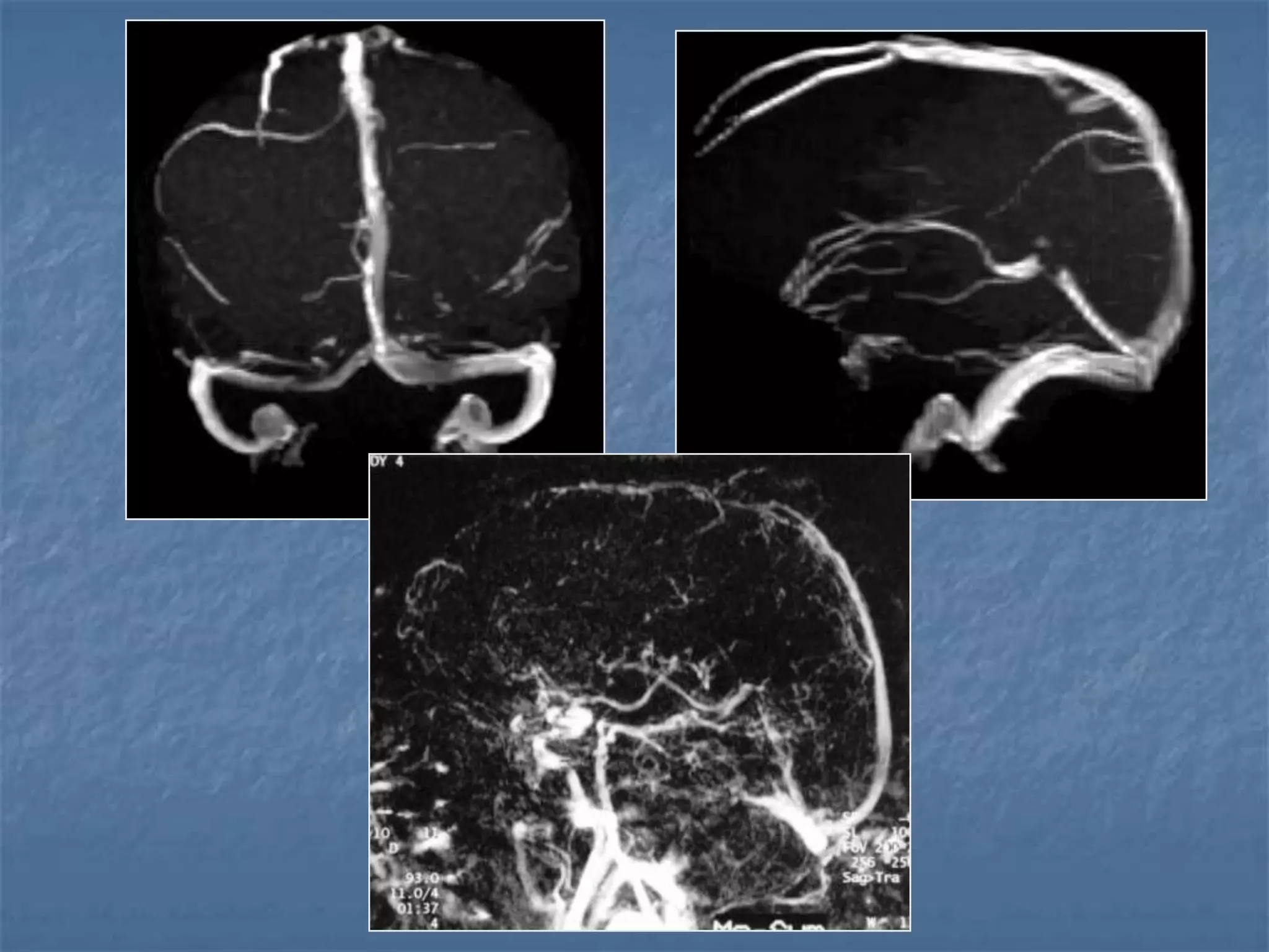
CT Venography
25 yr old lady c/o fever and altered sensorium x 1
wk. Had 1 episode of GTC seizures. Admitted
elsewhere , LP done showed proteins-55 mg % and
sugar –105 mg % ..
ABG- pH – 7.55
HCO3 – 28.3 , PCO2-32.9, PO2 –322.9,SPO2-99.8
CT – Normal
Discharged at request.
H/o fever,headache and vomitting on and off x 5
mths -
 O/E – GCS – E1V1M5
BP – 140/100 , PR – 116
Pupils – 4mm dilated , sluggish light reaction
Neck Rigidity +
Kernig’s & Brudeski’s - ve
 Hb-13.5
 TC- 12,200
 Platelets-4.2
 MP/MF – negative
 BUN, creatinine – normal
 Urine R/E – proteins +++, pus cells 5-8
 Coagulation Profile - WNL
 134/3.4/26/102
Q qq
HIV Encephalopathy
Thank You
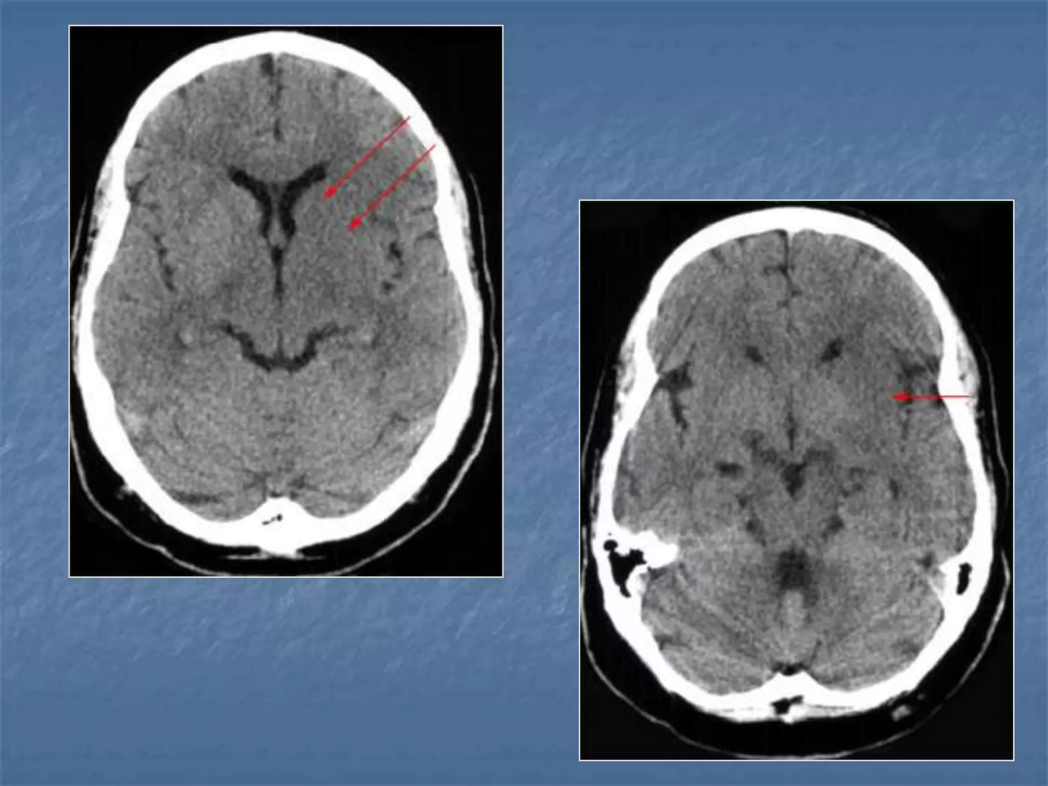
Hyperdense artery
•SPECIFICTY 100%
•SENSITIVITY 10% TO 50%
Seen as early as 90 minutes
AJNR 1996; 17:79-85
Hyperdense MCA / Vessel Sign
 Persistent large vessel occlusion
 Large clot burden
 Not a contraindication for i.v. thrombolysis
Neurology 2001:57:1603-1610
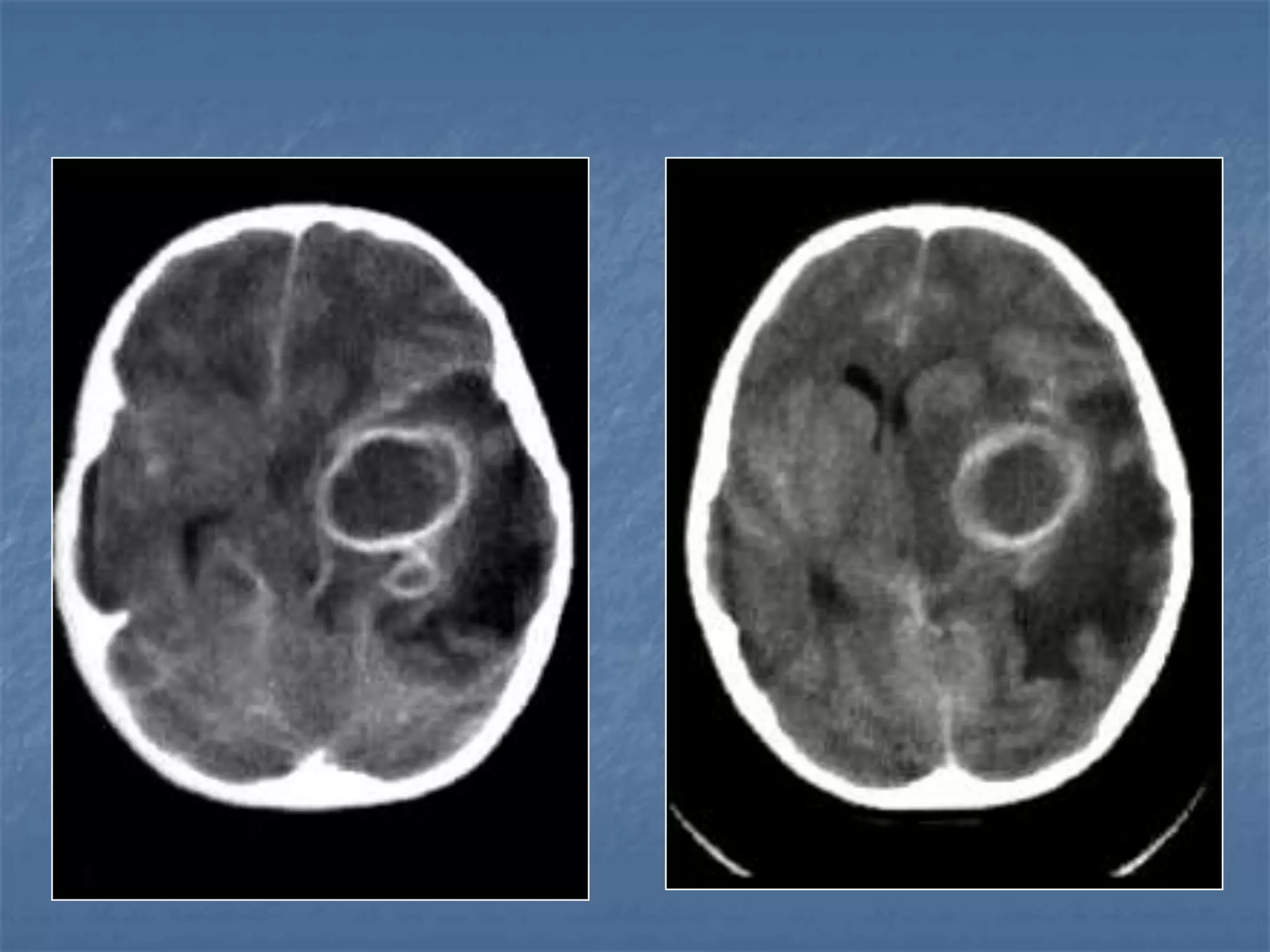
Infarct VS
Tumor
CT Findings in Stroke
Hyperacute infarct (<12 hrs)
 Normal (50 to 60%)
 Hyperdense MCA
 Obscuration of lentiform nucleus
Acute infarct (12 – 24hrs)
 Loss of grey - white matter interface (insular
ribbon sign)
 Low density basal ganglia
 Sulcal effacement.
Hyperdense vessel sign
• Indicates poor outcome and poor response to iv - TPA therapy.
CT Findings in Stroke (Contd)…
Subacute infarct (1- 7days)
 Mass effect
 Wedge shaped hypodensity involving grey &
white matter
 Hemorrhagic transformation.
 Gyral enhancement.
Chronic infarct ( 1 to 8 weeks)
 Encephalomalacic changes
 Reduced mass effect
Global Cerebral Hypoperfusion
 Consequence of global hypoperfusion.
 Common causes are hypotension, cardiac
arrest with successful resuscitation, neonatal
asphyxia and CO inhalation.
Imaging patterns
 1) Water shed infarct in the parieto-
occipital region & basal ganglia infarcts.
 2) Cortical laminar necrosis with
hemorrhagic foci in basal ganglia & cerebral
cortical gyri.
 3) In severe cases “reversal sign” is noted.
Reversal sign
Infarct With Hemorrhagic Transformation
CT VS MRI in the setting of acute
stroke
 MRI is more sensitive
 Diffusion weighted MR images has the
highest sensitivity & specificity for acute
cerebral infarction.
 CT is more sensitive to detect
hemorrhage.
 CT is more widely available in many
institutions.
 CT is less expensive
 CT is more rapid
CT Angiography
 Useful in MCA embolic stroke & predictive of
infarction volume in MCA territory
 Less useful –deep grey matter & brainstem
stroke
(Taipei)1999:62:255-260
Subacute SAH
 FLAIR + (GRE) T2*-weighted superior to
either alone
J Neurol Neurosurg
Psychiatry.200170(2):205-211
Hypertensive Hemorrhage
Subarachnoid hemorrhage
Combined MR Perfusion & Diffusion
Imaging
 In hyperacute stage, larger abnormality is
noted on the perfusion images than on
diffusion weighted images. This diffusion
perfusion mismatch is the ischemic
penumbra. This is the tissue at risk which
would benefit from thrombolysis.
Stroke Protocol
Normal Infarct Haemorrhage
Diffusion /
Perfusion
CT Perfusion Intraparenchymal SAH
HT Atypical site Angiogr
Angiogram
Mismatch Matches
Angiogr
Thrombolysis
To Summarize the Role of CT in
Stroke
 Haemorrhagic or non-haemorrhagic
 Arterial or venous
 Territory involved
 Acute,subacute or chronic
 Assess the mass effect
 Exclude Stroke mimics like subdural
hematoma, tumors
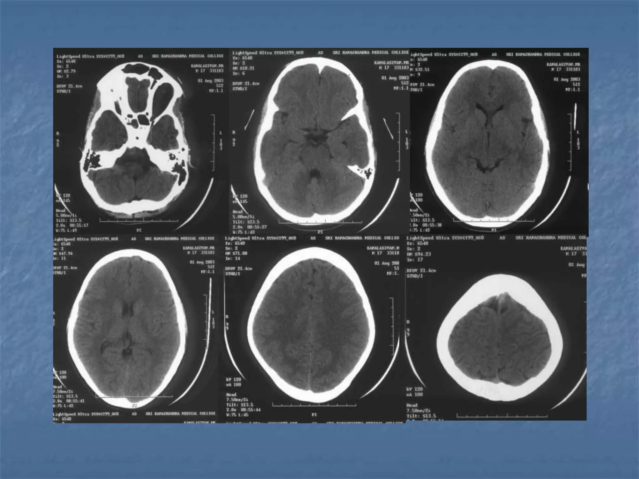
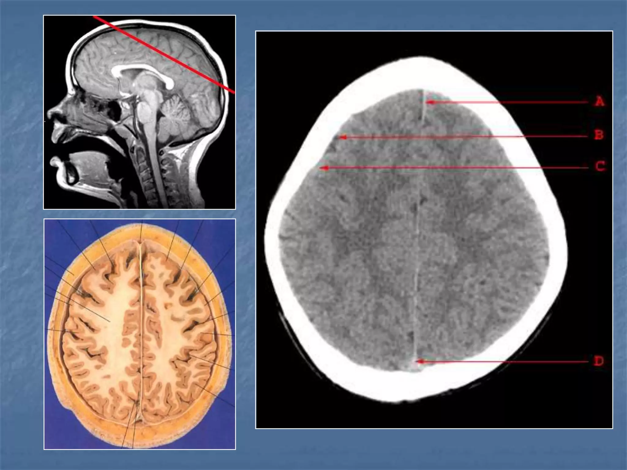
How the CT study is usually planned…
 Thinner sections
are studied
through the
posterior fossa
Hounsfield Units
AIR - - 1000
FAT - - 30 to -100
CSF - 0
GREY MATTER - 32 - 41
WHITE MATTER - 23 - 34
ACUTE BLOOD - 56 - 76
CALCIFICATION - 60 - 400
BONE - 1000

12 b. ct brain

  • 1.
    CT BRAIN /MR – An introduction to Normal Anatomy, Interpretation and Some Common Pathologies Anupama Chandrasekharan Associate Professor & Consultant Radiologist Dept of Radiology and Imaging Sciences Sri Ramachandra Medical College & Research Institute Chennai
  • 2.
    Indications for CT/ MR ……..  Stroke  Trauma  Altered sensorium  Neurological deficit  Seizures  Headache
  • 3.
    How the CTstudy is usually planned… 15-20 degree angulation to canthomeatal line to decrease radiation to the lens.
  • 4.
  • 5.
    Indications for acontrast CT….  Seizures  Infections  Venous thrombosis  Tumors  Atypical stroke findings on plain CT  Atypical hemorrhage on plain CT  Focal edema on plain CT
  • 6.
  • 18.
    Descriptive Terms ……. Hypodense / Hypointense  Isodense / Isointense  Hyperdense / Hyperintense
  • 19.
    Lesions appearing Hypodense onPlain CT  Infarct (non hemorrhagic)  Edema
  • 20.
    Lesions appearing Hyperdense onPlain CT  Hemorrhage  Calcifications
  • 21.
  • 24.
    NINDS trial Thrombolysis CT criteria Nohemorrhage CT criteria No hemorrhage Parenchymal hypodensity in  1/3 MCA ECASS
  • 25.
    Purpose of imagingin stroke  Definite diagnosis of stroke.  To document the presence or absence of hemorrhage This information is critical since anticoagulation is a standard therapy for ischemic stroke  Identify ischemic penumbra  Assess location & extent of brain damage (e.g. impending herniation)  To exclude stroke mimics.
  • 26.
  • 27.
    Stroke Frequency Basedon Aetiology : Harvard Stroke Series Ischaemic (82%) Atherosclerotic Thrombosis – 22% Embolism – 30 % Lacunar – 18 % Indeterminate Cerebral Venous Dissection  Haemorrhagic (18%) Primary Intracerebral Hematoma – 12% AVM + Aneurysm – 4% Others: Cavernoma, AVF, bleeding disorders -2 %
  • 28.
    Stroke Based onTerritory  Anterior circulation stroke Embolus : 70% Thrombosis : 30%  Posterior circulation stroke Thrombosis : 70% Embolus : 30%
  • 30.
    Normal in 50%of ischemic strokes < 6 hrs
  • 31.
  • 32.
    CT in HyperacuteStroke ( 0-6 hrs )  Not v.sensitive for infarction  Sensitive for a/c hemorrhage & gross lesions precluding thrombolytic therapy 20 % within 2 hrs 82 % within 6 hrs Neuroradiology.1996 Jan;38(1):31-33
  • 33.
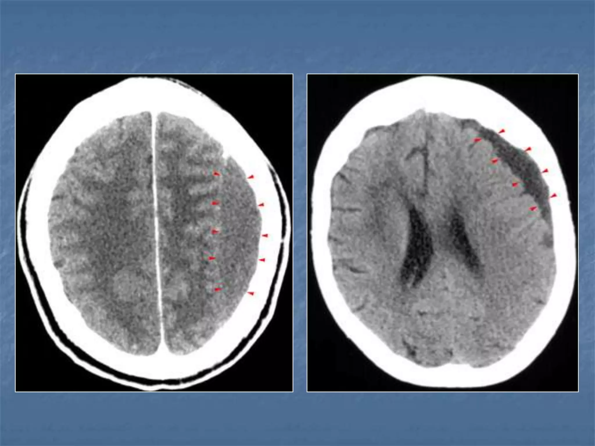
    Hyperacute Stroke OnCT EARLY ISCHEMIC CHANGES  Hyperdense vessel sign  Attenuation of lentiform nucleus  Loss of insular ribbon  Effacement of sulci  Loss of corticomedullary differentiation
  • 34.
    Significance of EarlyIschemic Signs No contraindication to thrombolysis Patel et al JAMA 2001;286:2830–2838 Indicate more extensive ischemia AJNR 2004;25:933-938 Hyperdense vessel sign Obscuration of basal ganglia Loss of grey-white matter interface Effacement of sulci Strong association with later hemorrhagic transformation AJNR 1991;12:1115-1121
  • 36.
    Subacute infarct (1-7days )  Hemorrhagic transformation in 5-40 % of all ischemic stroke Neurology 2001; 57:1603-1610 Stroke 1999;30:761-764
  • 38.
  • 39.
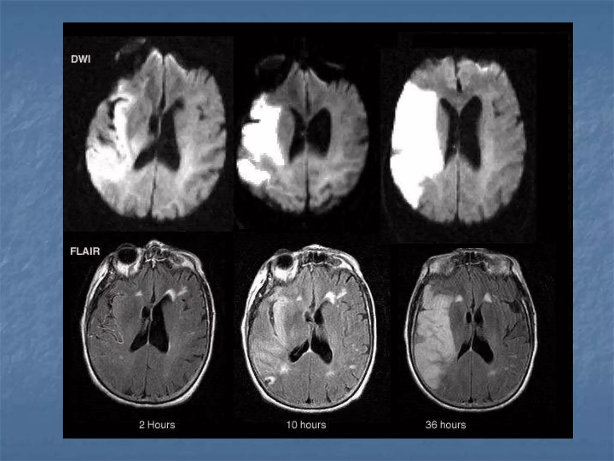
    Diffusion Weighted Imaging Radiology2000;217:331-345 Detects Infarct As Early As 15-30 minutes
  • 40.
    AJNR 2003 ;24:878-885 •46 patients with acute stroke • CT and DWI within 6 hours • Mean delay 24.5 min. (R 10–41 min.) • EIC on CT - 33/46 (Sn 73%) • DWI 42/45 - (Sn 93%) CT vs DWI
  • 41.
    Hyperacute hemorrhage 2.5 hr18 hr GRE T2* WI MRI as sensitive as CT for acute hemorrhage More sensitive than CT for chronic hemorrhage (JAMA 2004;292:1823-30)
  • 42.
    CT sensitivity forSAH  Day of SAH – 98 %  After Day 1 – 90 %  After Day 5 – 80 %  After 1 wk – 50 % Neuroradiology 1982:23:153-156
  • 43.
    Acute SAH -100 % Chronic SAH – 63 % Chronic SAH ( CT ) – 46 % Radiology .1995;196(3):773-777 Radiology.1997;203(1):257-262
  • 44.
    Acute hemorrhage  MRI– 96% sens. 99% accuracy  CT - 89% sens. 98% accuracy Chronic hemorrhage •MRI – 96% sens. 99% accuracy •CT - 40% sens. 78 accuracy HEME study
  • 45.
    CT Angiography  Siteof occlusion  Length of occluded segment  Arteries beyond occluded segment – collateral flow  Detection & exclusion of large vessel intracranial occlusion – sens – 98.4% and spec.-98.1% JCAT 2001; 25(4):520-8
  • 46.
    CT Perfusion  Ifno penumbra…..increased risk of bleed with thrombolysis RCNA 44(2006)41-62
  • 47.
  • 50.
    Can MR replaceCT as first imaging modality in hyperacute stroke? Yes  MR immediately available  Protocol is optimized  Skilled personnel
  • 51.
    Unlikely to replaceCT ....... • Cost • Limited availability • Time • Lack of evidence that MR has a positive influence on prognosis
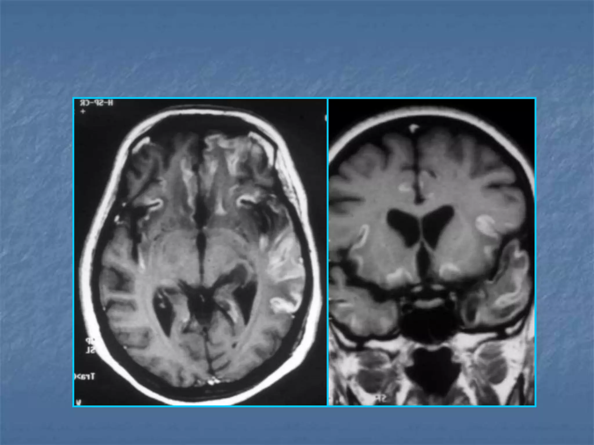
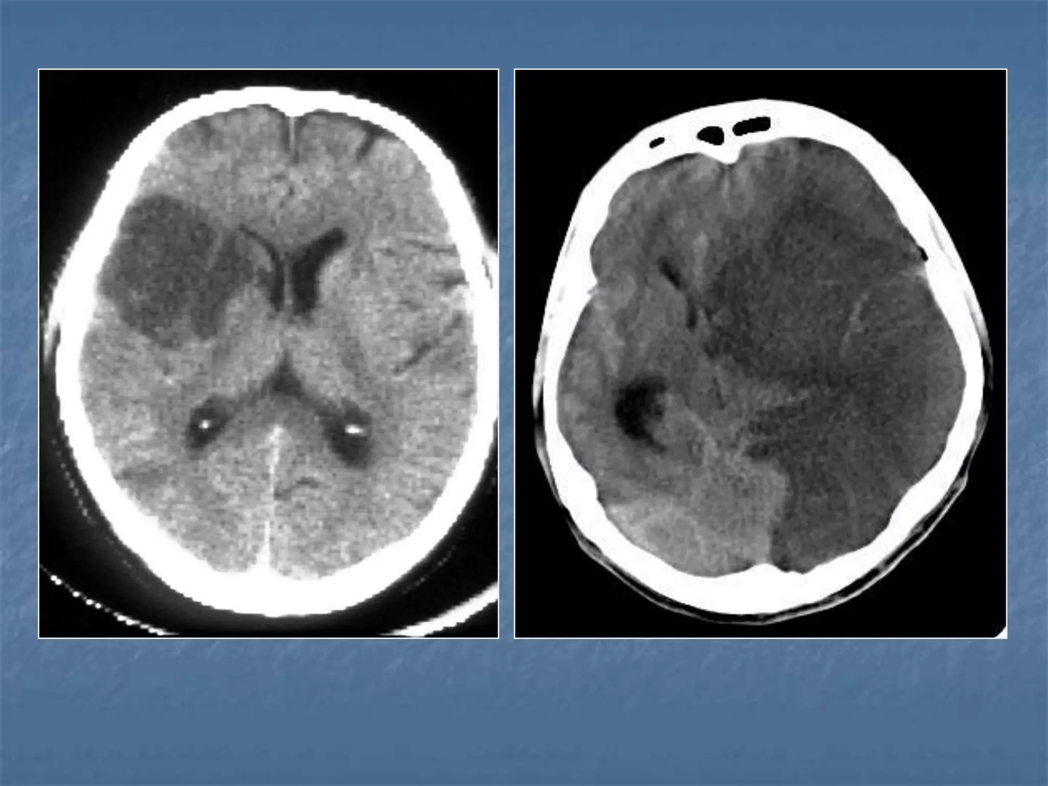
  • 52.
  • 55.
     Extradural haematoma  Subdural haematoma Subarachnoid haemorrhage  Intraventricular haemorrhage  Cerebral contusions  Intracerebral haemorrhage  Diffuse cerebral edema EXTRA-AXIAL LESIONS INTRA-AXIAL LESIONS Imaging in Craniocerebral Trauma
  • 56.
  • 62.
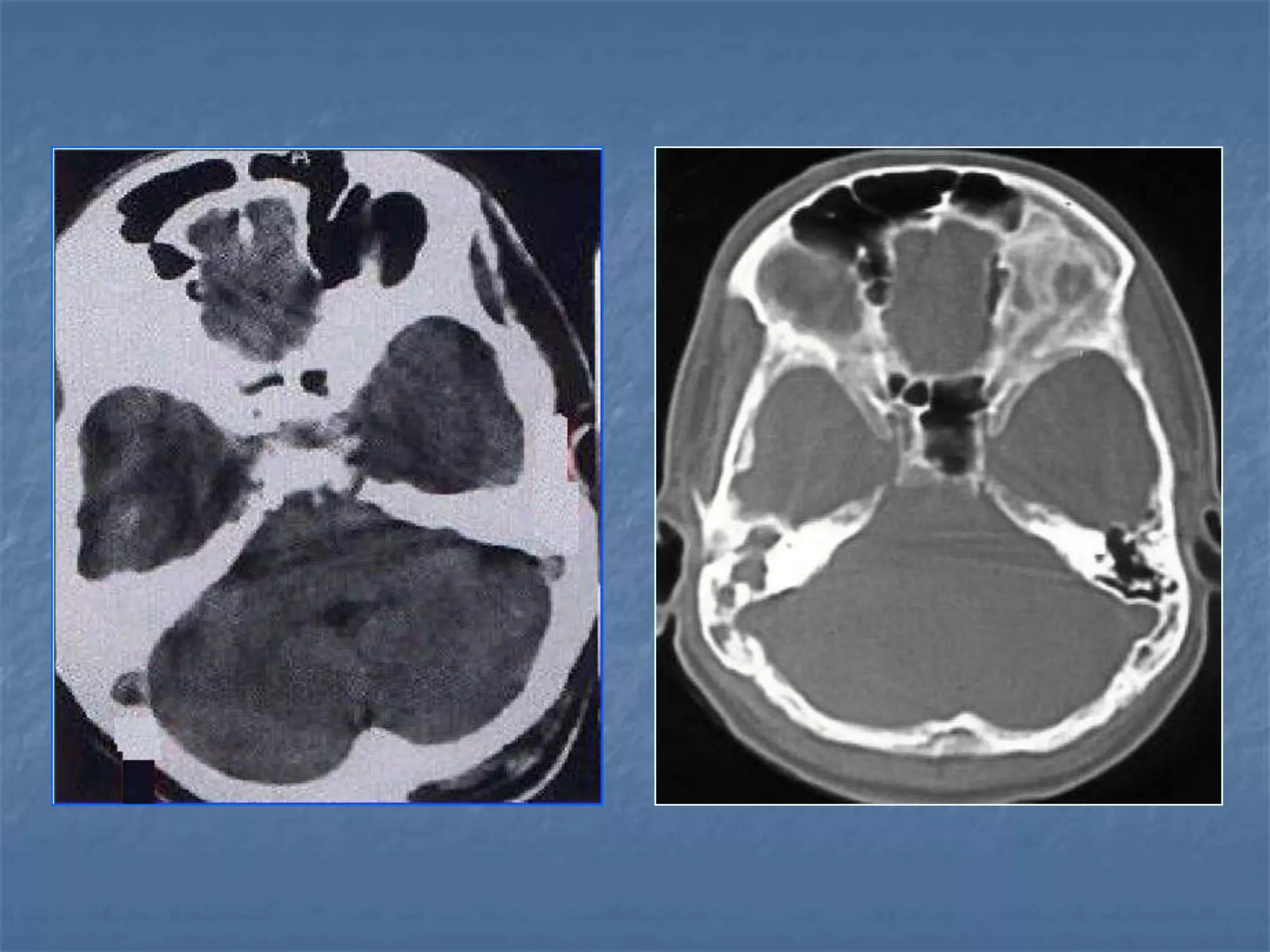
  • 64.
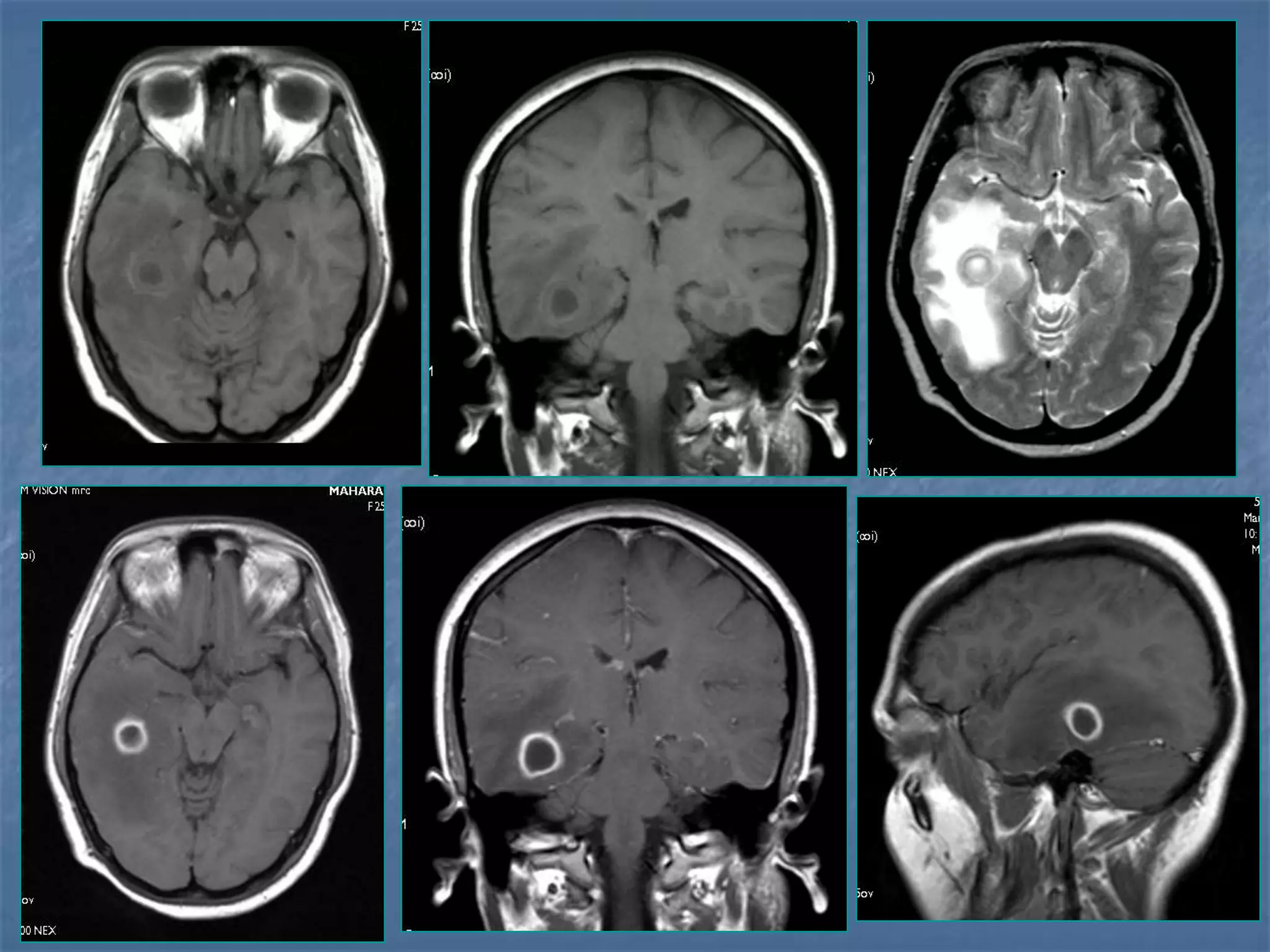
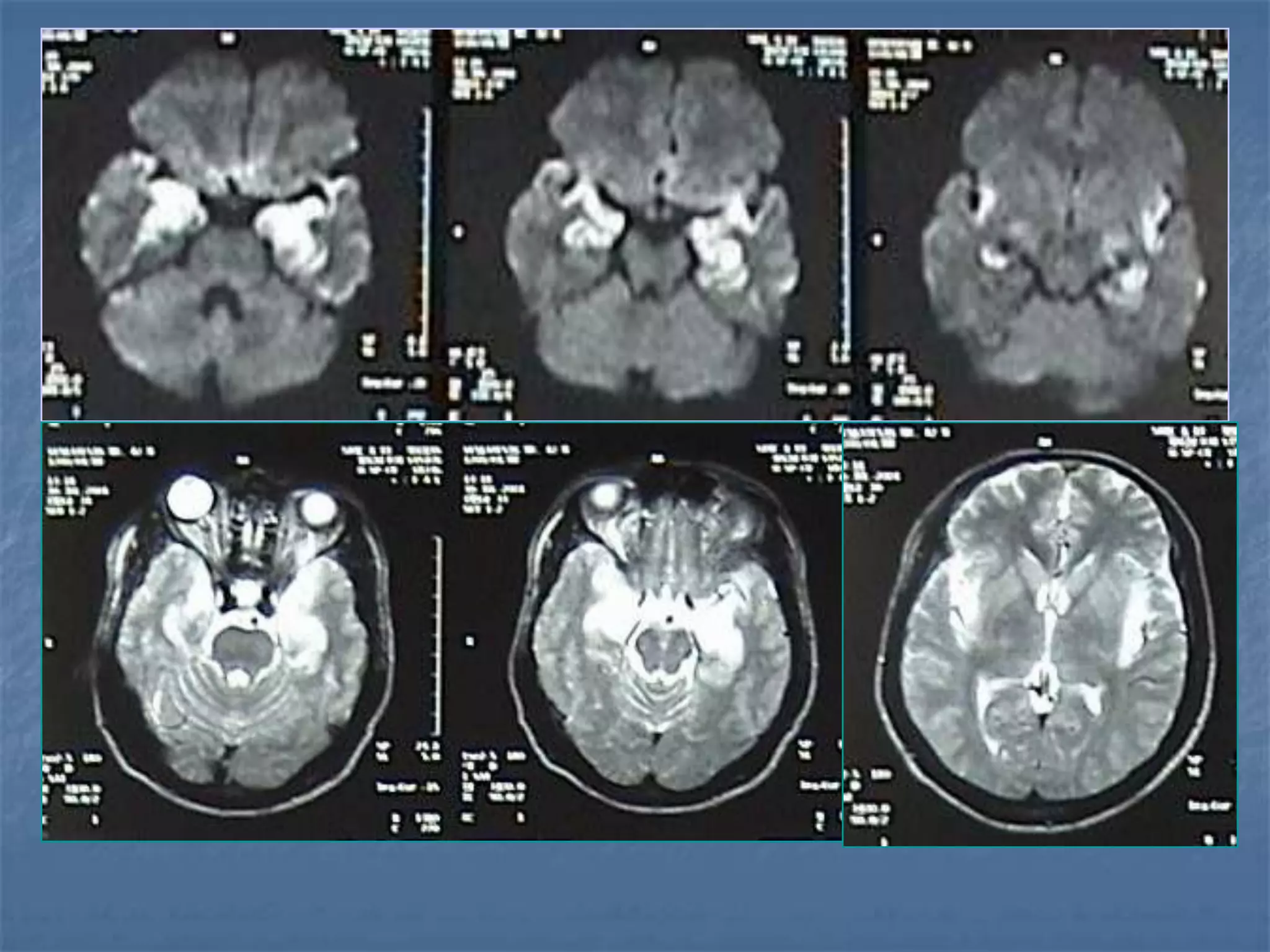
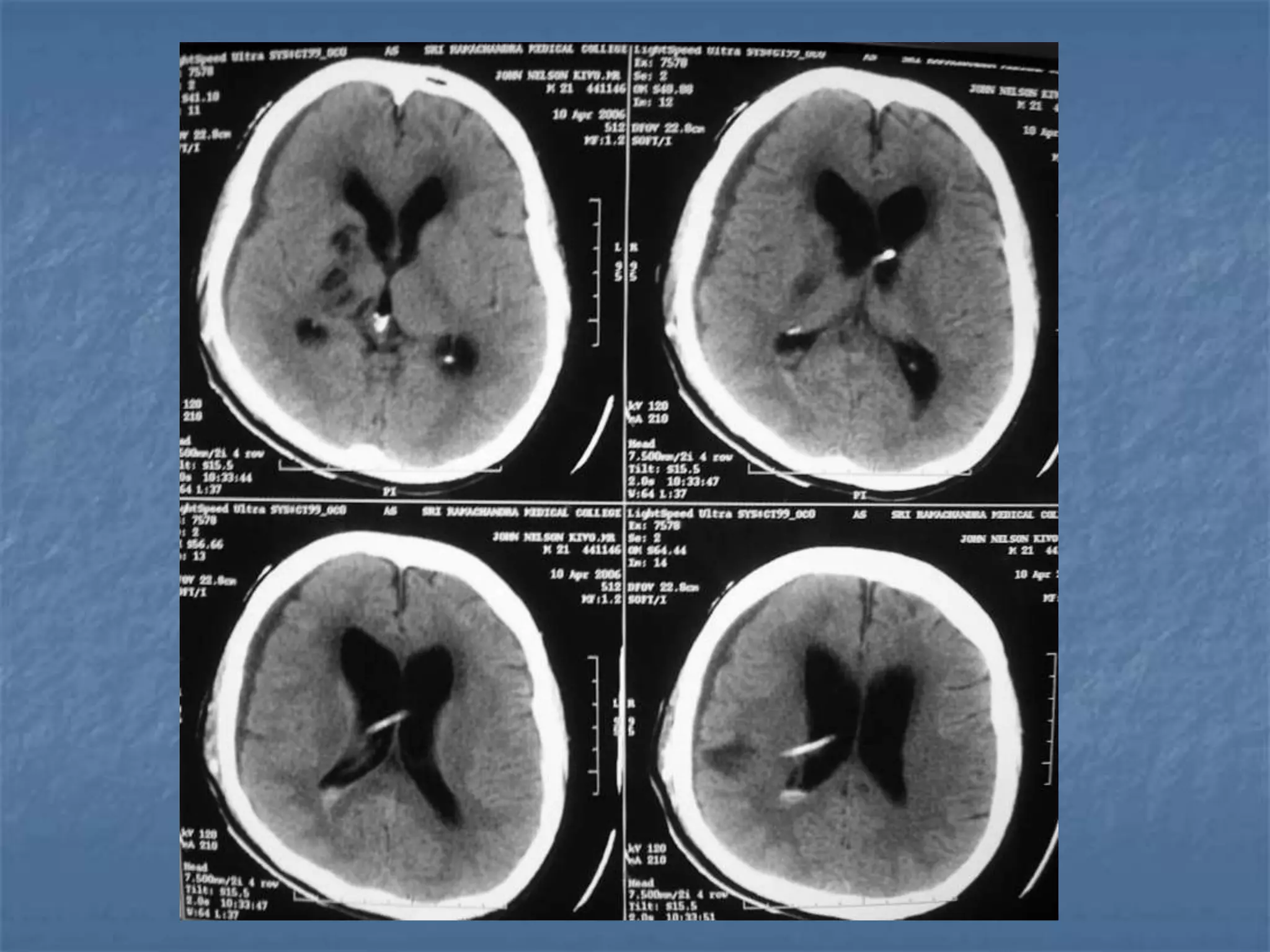
    23 yr oldmale c/o fever and intense headache
  • 65.
     Ring enhancinglesions – granuloma / abscess  Calcifications  Cerebritis  Meningeal abnormalities  Complications
  • 67.
    Differential Diagnosis ofRing Enhancing Lesions  Granulomas  Brain abscess  Tumors – metastasis, glioma  Resolving hematoma
  • 75.
    Encephalitis  MRI –within 48 hrs  CT - at least 3-5 days
  • 76.
     Widely available Cost  Quick  Hemorrhage  Trauma  Hyperacute infarcts  Posterior fossa  Diffuse axonal injuries  White matter diseases  Subtle abnormalities of neuroparenchyma
  • 77.
    Contraindications for MRI Metallic implants  Pacemakers  Prosthetic valves  Aneurysm clips  Claustrophobia
  • 78.
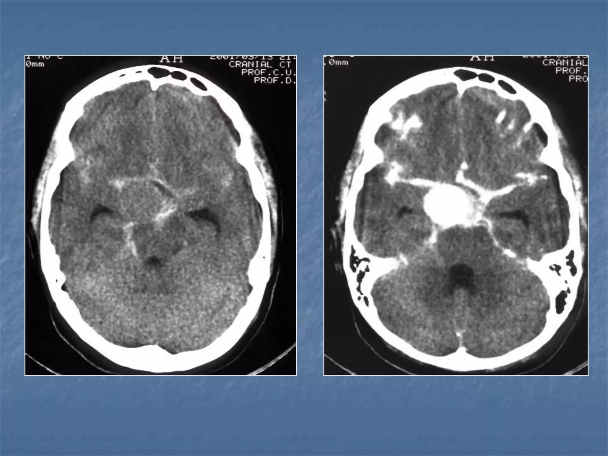
  • 81.
    Epidural Abscess Subdural Empyema Notice the rim enhancing epdural fluid collection (arrowheads) ).
  • 82.
    Encephalitis  Diffuse nonfocalbrain parenchymal inflammatory process  Most common agents - viruses  Immunocompetent individuals - Herpes viruses  Immunocompromised individuals  Human immunodeficency virus (HIV)  Cytomegalovirus (CMV)  Papovavirus
  • 83.
  • 86.
  • 87.
  • 88.
  • 90.
  • 91.
  • 92.
  • 93.
    Complications EARLY  ABSCESS  SUBDURAL/EPIDUR ALEMPYEMA  VENTRICULITIS  INFARCTION  VENOUS THROMBOSIS LATE  SUBDURAL/ EPIDURAL EFFUSION  ENCEPHALOMALACIA  HYDROCEPHALUS  ATROPHY
  • 94.
  • 95.
  • 99.
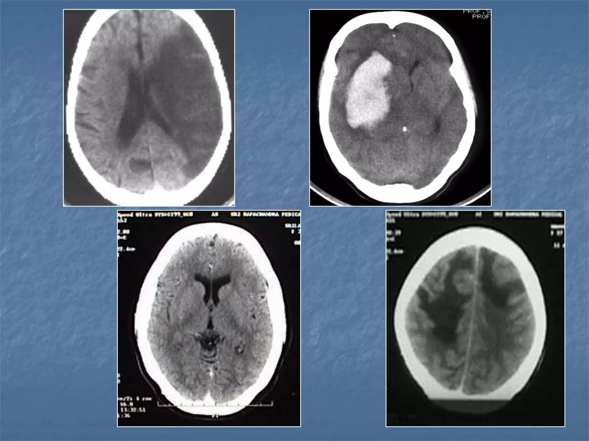
    Hypertensive Hemorrhage  Hypertensivehemorrhage accounts for approximately 70-90% of non-traumatic primary intracerebral hemorrhages. It is commonly due to vasculopathy involving deep penetrating arteries of the brain. Hypertensive hemorrhage has a predilection for deep structures including the thalamus, pons, cerebellum, and basal ganglia, particularly the putamen and external capsule. Thus, it often appears as a high-density hemorrhage in the region of the basal ganglia. Blood may extend into the ventricular system. Intraventricular extension of the hematoma is associated with a poor prognosis.
  • 100.
    Haemorrhagic StrokeEtiology  Hypertension Vascular malformation  Aneurysm  Trauma  Amyloid angiopathy  Tumor  Coagulopathy  Hemorrhages can occur in the intraparenchymal, subarachnoid, intraventricular, subdural and extradural spaces.  Location of hypertensive hemorrhage: Putamen, external capsule, thalamus, pons, cerebellum, subcortical white matter
  • 101.
    Subarachnoid hemorrhage  Inthe absence of trauma, the most common cause of subarachnoid hemorrhage is a ruptured cerebral aneurysm. Cerebral aneurysms tend to occur at branch points of intracranial vessels and thus are frequently located around the Circle of Willis. Common aneurysm locations include the anterior and posterior communicating arteries, the middle cerebral artery bifurcation and the tip of the basilar artery. Subarachnoid hemorrhage typically presents as the "worst headache of life" for the patient. Detection of a subarachnoid hemorrhage is crucial because the rehemorrhage rate of ruptured aneurysms is high and rehemorrhage is often fatal.
  • 102.
    Subarachnoid hemorrhage  CTis currently the imaging modality of choice because of its high sensitivity for the detection of subarachnoid hemorrhage. CT is most sensitive for acute subarachnoid hemorrhage. After a period of days to weeks CT becomes much less sensitive as blood is resorbed from the CSF. If there is a strong clinical indication, LP may be warranted despite a negative CT since small bleeds can be unapparent on imaging. On CT, a subarachnoid hemorrhage appears as high density within sulci and cisterns. The insular regions and basilar cisterns should be carefully scrutinized for subtle signs of subarachnoid hemorrhage. Subarachnoid hemorrhage may have associated intraventricular hemorrhage and hydrocephalus. 
  • 103.
  • 104.
    Venous Sinus Thrombosiswith Venous Infarct  Clinical symptoms – head ache, seizures  Pathology is due to decrease in perfusion pressure as the venous pressures elevate due to occlusion.  Predisposing conditions are dehydration, infection, polycythemia, sickle cell disease, hypercoagulable states, peripartum, OCP poisoning. Imaging findings  Unilateral / bilateral parenchymal hypodensities  Not limited to an arterial territory  May be associated with hemorrhage  Signs: Delta sign, Enhancement of walls of sinus than their contents.
  • 105.
    MR Spectroscopy  Dynamicstudy depicting intracellular metabolism of cerebral ischemia.  Within the region of infarct, lactate appears elevated whereas NAA and total creatinine are reduced.
  • 106.
    Radionucleotide studies inacute stroke  PET is an accurate method of quantifying changes in cerebral hemodynamics.  As cerebral blood flow (CBF) falls, cerebral blood volume (CBV) and oxygen extraction factor (OEF) increase.  PET measures changes in CBF, CBV and OEF using O15  Plays a limited role due to limited availability .  SPECT with Tc 99m HMPAO or ECD will show a perfusion defect.
  • 107.
    Radionucleotide Studies inAcute Stroke  SPECT – Tc99m HMPAO  PET – O15  Adv – Early detection  Limitation - Not widely available
  • 108.
     MRI hasbeen increasingly utilized in early stroke since it is more sensitive than CT in the first twelve hours  Bright on Diffusion weighted images (detected as early as 15 to 30 min after vessel occlusion).
  • 109.
    CT / MRPerfusion imaging  Concentrates on the assessment of mean transit time (MTT), relative cerebral blood volume (RCBV) and derived relative cerebral blood flow. RCBF = MTT / RCBV  Prolonged MTT is the earliest & most consistent sign of impaired perfusion.  In addition to this, there is a simultaneous drop in RCBV indicating tissue at risk for infarction.
  • 110.
    Stroke in ChildrenConstitutes 3% of cerebral infarcts  Most common cause is congenital heart disease. Other causes are vasospasm & vasculitis,  Echo, CT, MRI & catheter angiogram should be performed as and when required.
  • 111.
     There areseveral advantages to performing a CT scan instead of other imaging modalities. A CT scan: - Is readily available - Is rapid - Allows easy exclusion of hemorrhage - Allows the assessment of parenchymal damage The disadvantages of CT include the following: - Old versus new infarcts is not always clear - No functional information (yet) - Relatively limited evaluation of vertebrobasilar system A CT is 58% sensitive for infarction within the first 24 hours (Bryan et al, 1991). MRI is 82% sensitive. If the patient is imaged greater than 24 hours after the event, both CT and MR are greater than 90% sensitive.
  • 112.
    Epidural Hematoma  Anepidural hematoma is usually associated with a skull fracture. It often occurs when an impact fractures the calvarium. The fractured bone lacerates a dural artery or a venous sinus. The blood from the ruptured vessel collects between the skull and dura. On CT, the hematoma forms a hyperdense biconvex mass. It is usually uniformly high density but may contain hypodense foci due to active bleeding. Since an epidural hematoma is extradural it can cross the dural reflections unlike a subdural hematoma. However an epidural hematoma usually does not cross suture lines where the dura tightly adheres to the adjacent skull
  • 113.
    Cerebral Contusion  Cerebralcontusions are the most common primary intra-axial injury. They often occur when the brain impacts an osseous ridge or a dural fold. The foci of punctate hemorrhage or edema are located along gyral crests. The following are common locations: - Temporal lobe - anterior tip, inferior surface, sylvian region - Frontal lobe - anterior pole, inferior surface - Dorsolateral midbrain - Inferior cerebellum
  • 114.
    Cerebral Contusion OnCT, cerebral contusion appears as an ill-defined hypodense area mixed with foci of hemorrhage. Adjacent subarachnoid hemorrhage is common. After 24-48 hours, hemorrhagic transformation or coalescence of petechial hemorrhages into a rounded hematoma is common.
  • 115.
    Diffuse Axonal Injury Diffuse axonal injury is often referred to as "shear injury". It is the most common cause of significant morbidity in CNS trauma. Fifty percent of all primary intra-axial injuries are diffuse axonal injuries. Acceleration, deceleration and rotational forces cause portions of the brain with different densities to move relative to each other resulting in the deformation and tearing of axons. Immediate loss of consciousness is typical of these injuries. The CT of a patient with diffuse axonal injury may be normal despite the patient's presentation with a profound neurological deficit. With CT, diffuse axonal injury may appear as ill-defined areas of high density or hemorrhage in characteristic locations. The injury occurs in a sequential pattern of locations based on the severity of the trauma. The following list of diffuse axonal injury locations is ordered with the most likely location listed first followed by successively less likely locations: - Subcortical white matter - Posterior limb internal capsule - Corpus callosum - Dorsolateral midbrain
  • 116.
    Encephalitis CT scanis often normal , especially early in the disease.  Ill defined hypodense lesions may be seen e.g. temporal lobe changes are predominant in Herpes Encephalitis.  MRI is far more sensitive in the evaluation of patients with encephalitis
  • 117.
    Skull Fractures  Skullfractures are categorized as linear or depressed, depending on whether the fracture fragments are depressed below the surface of the skull. Linear fractures are more common. The bone windows must be examined carefully. A skull fracture is most clinically significant if the paranasal sinus or skull base is involved. Fractures must be distinguished from sutures that occur in anatomical locations (sagittal, coronal, lambdoidal) and venous channels. Sutures have undulating margins both sutures and venous channels have sclerotic margins. Venous channels have undulating sides. Depressed fractures are characterized by inward displacement of fracture fragments.
  • 118.
    Ventriculitis / Ependymitis Inflammation and enlargement of the ventricles characterizes ventriculitis. Ependymitis shows hydrocephalus with damage to the ependymal lining and proliferation of subependymal glia. A CT of patients with these conditions reveals the presence of periventricular edema and subependymal enhancement. Ventriculitis and Ependymitis affect approximately 30% of the adult patients and 90% of the pediatric patients with meningitis.
  • 119.
    Cerebrovascular Complications of Meningitis The development of cerebrovascular problems is the most common complication of meningitis. Arterial infarction can occur which often affects the basal ganglia due to the occlusion of small perforating vessels. Hemispheric infarction can also occur due to major vessel spasm. Venous infarctions are also common and can include cortical venous occlusion or the involvement of the superior sagittal sinus.
  • 120.
    Subdural Empyema  Subduralempyema is usually due to meningitis, sinusitis, trauma or prior surgery. It is a neurosurgical emergency. Subdural empyema leads to rapid clinical deterioration, especially if it is due to sinusitis. On CT it appears as an isodense or hypodense extra- axial mass. It has a lentiform or crescentic shape. The margin of collection often enhances with contrast material administration due to the presence of granulation tissue or subjacent cortical inflammation.
  • 121.
    Extra-axial CNS Infection Extra-axial CNS infections can cause epidural abscess or subdural empyema. Extra-axial CNS infections account for 20-30% of CNS infections. Fifty percent of extra-axial infections are associated with sinusitis, usually frontal sinusitis. The infection occurs by direct extension or septic thrombophlebitis. Thirty percent of extra-axial infections occur post-craniotomy. Finally, 10-15% of extra-axial CNS infections are related to meningitis. CT findings include a focal fluid collection usually with an enhancing margin in a subdural or epidural location.
  • 122.
    Pathophysiology Flow abnormalities -Perfusion Cellular dysfunction – DWI / CT/ MR Structural breakdown – CT / MRI
  • 123.
    Ischemic Stroke  Occursdue to obstruction of cerebral arteries or cerebral veins.  The clinical spectrum of ischemia includes TIA (Transient ischemic attacks) RIND (Reversible ischemic neurological deficit) PRIND (partially reversible ischemic neurological deficit) Evolved stroke  Pathophysiology: Normal cerebral blood flow to the brain cortex is approximately 50 to 66 ml/100gm/min. When cerebral perfusion pressure falls below critical levels (<15ml/gm/min) ischemia results. Ischemia produces energy depletion in the affected cells. This results in accumulation of Ca++, Na+ and Cl-, along with osmotically obligated water. This secondary accumulation of water results in the imaging features of stroke such as edema and mass effect.
  • 124.
    Hyperdense vessel sign Seen in 25% of stroke patients.  In patients presenting with clinical deficit referable to the middle cerebral artery territory, the hyperdense vessel sign is present 35-50% of the time.  This sign
  • 125.
    Lentiform Nucleus Obscuration Due to cytotoxic edema in the basal ganglia  Indicates proximal middle cerebral artery occlusion, which results in limited flow to lenticulostriate arteries  Can be seen as early as one hour post onset of stroke.
  • 126.
    Insular Ribbon Sign Loss of the gray-white interface at the lateral margins of the insula.  Supplied by the insular segment of the middle cerebral artery  Particularly susceptible to ischemia because it is the most distal region from either anterior or posterior collaterals  May involve only the anterior or the posterior insula
  • 127.
    Diffuse Hypodensity andSulcal Effacement  Most consistent sign of infarction.  Extensive parenchymal hypodensity is associated with poor outcome.  If > 50% of MCA territory involvement ,there is, on average, an 85% mortality rate. Hypodensity in greater than one-third of the middle cerebral artery territory is generally considered to be a contra-indication to thrombolytic therapy.
  • 128.
    Newer Imaging TechniquesIn Acute Stroke  MR Diffusion imaging:  CT / MR Perfusion imaging  Combined MR perfusion & Diffusion imaging  MR Spectroscopy  Radionucleotide studies
  • 129.
  • 130.
    Cerebral Blood flowfor Survival Average blood flow : 55ml/ 100gm/ mt Ischemic threshold : 20 ml/ 100gm/ mt Tissue death : <10 ml/ 100gm/ mt Functional failure without cell death: 10-20ml/ 100gm/ mt.
  • 131.
    Concept of IschemicPenumbra Ischemic Insult  Focal core area of infarct (irreversible)  Surrounded by viable neuronal cell on the brink of cell death  “Ischemic Penumbra”   Geographic area of tissue surrounding a profoundly ischemic core. Identified on DWI / per MRI Saving this potential salvageable area leads to significant chance of improvement
  • 132.
    Ischemic stroke  Thromboticstroke  Embolic stroke  Lacunar infarct  Global cerebral hypoperfusion
  • 133.
    • Ischemic Stroke(83-85%) • Hemorrhagic Stroke (15-17%)
  • 134.
    MRI in HyperacuteStroke  DWI – Infarct core  FLAIR - SAH , Parenchymal changes  T2* GRE – Intracranial hemorrhage  PWI – Perfusion deficit  MRA – Vessel occlusion
  • 135.
    Diffusion Weighted Imaging Sensitivity : 88 – 100 %  Specificity : 95 – 100 %  Initial diffusion lesion volume correlates well with final infarct volume & neurologic and functional outcome  Multiple a/c lesions in diff.vasc territories in pts. with 1 symptomatic insult …. embolic Neurology.1999 Jun 10;52(9):1784- 1792 Ann Neurol.1997 Aug;42(2):164-170
  • 136.
    False Negative DWI Brainsteminfarct Deep GM nucleus infarct Neuroradiology2000;42:444–447 Stroke2000;31:1965–1972 AJNR 1999;20:1871–1875 Neurology 1999;52:1784-52
  • 137.
    4 h 24h Dept. Neurosciences Univ. of Rome La Sapienza
  • 138.
    Reversibility of Ischemiclesions on DWI Occlusion of MCA 1 hour - DWI lesion  or resolution Occlusion of MCA 2 hour - Lesion size same or  Radiology 2000;217:331-345 Successful thrombolysis may revert DWI changes
  • 139.
    Diffusion changes inTIAs • 29% to 67% will show restricted diffusion • May reverse or persist • Perfusion deficits  Stroke vs TIA DWI lesions of TIA are less intense Stroke 2004;35:1095 AJNR 2004;25:1645-52
  • 141.
    Hyperacute Hemorrhage Wiesmann M,et al. Eur Radiol. 2001;11:849-53.
  • 142.
  • 147.
    Nederkoorn PJ etal. Stroke 2003;34:1324-32
  • 148.
    MR Spectroscopy inacute stroke Stroke 2003;34:e82-876 pts within 7 hrs of stroke onset Lactate alone – metabolic injury - Reversible Lactate +  NAA- more severe – Irreversible Lac/Cho ratio from acute lesions improves the prediction of stroke outcome Neurology 2000;55:498
  • 151.
  • 154.
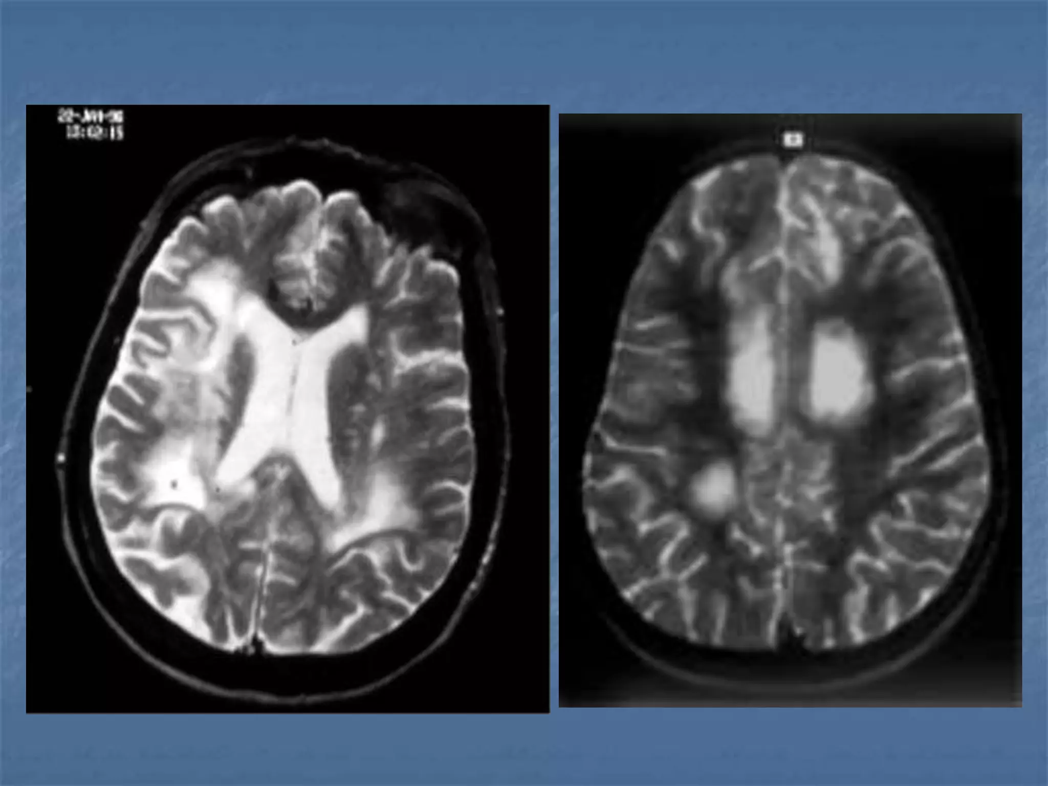
    25 yr oldlady c/o fever and altered sensorium x 1 wk. Had 1 episode of GTC seizures. Admitted elsewhere , LP done showed proteins-55 mg % and sugar –105 mg % .. ABG- pH – 7.55 HCO3 – 28.3 , PCO2-32.9, PO2 –322.9,SPO2-99.8 CT – Normal Discharged at request. H/o fever,headache and vomitting on and off x 5 mths -
  • 155.
     O/E –GCS – E1V1M5 BP – 140/100 , PR – 116 Pupils – 4mm dilated , sluggish light reaction Neck Rigidity + Kernig’s & Brudeski’s - ve  Hb-13.5  TC- 12,200  Platelets-4.2  MP/MF – negative  BUN, creatinine – normal  Urine R/E – proteins +++, pus cells 5-8  Coagulation Profile - WNL  134/3.4/26/102
  • 157.
  • 160.
  • 162.
  • 163.
    Hyperdense artery •SPECIFICTY 100% •SENSITIVITY10% TO 50% Seen as early as 90 minutes AJNR 1996; 17:79-85
  • 164.
    Hyperdense MCA /Vessel Sign  Persistent large vessel occlusion  Large clot burden  Not a contraindication for i.v. thrombolysis Neurology 2001:57:1603-1610
  • 165.
  • 167.
    CT Findings inStroke Hyperacute infarct (<12 hrs)  Normal (50 to 60%)  Hyperdense MCA  Obscuration of lentiform nucleus Acute infarct (12 – 24hrs)  Loss of grey - white matter interface (insular ribbon sign)  Low density basal ganglia  Sulcal effacement.
  • 168.
    Hyperdense vessel sign •Indicates poor outcome and poor response to iv - TPA therapy.
  • 169.
    CT Findings inStroke (Contd)… Subacute infarct (1- 7days)  Mass effect  Wedge shaped hypodensity involving grey & white matter  Hemorrhagic transformation.  Gyral enhancement. Chronic infarct ( 1 to 8 weeks)  Encephalomalacic changes  Reduced mass effect
  • 170.
    Global Cerebral Hypoperfusion Consequence of global hypoperfusion.  Common causes are hypotension, cardiac arrest with successful resuscitation, neonatal asphyxia and CO inhalation. Imaging patterns  1) Water shed infarct in the parieto- occipital region & basal ganglia infarcts.  2) Cortical laminar necrosis with hemorrhagic foci in basal ganglia & cerebral cortical gyri.  3) In severe cases “reversal sign” is noted.
  • 171.
  • 172.
  • 174.
    CT VS MRIin the setting of acute stroke  MRI is more sensitive  Diffusion weighted MR images has the highest sensitivity & specificity for acute cerebral infarction.  CT is more sensitive to detect hemorrhage.  CT is more widely available in many institutions.  CT is less expensive  CT is more rapid
  • 175.
    CT Angiography  Usefulin MCA embolic stroke & predictive of infarction volume in MCA territory  Less useful –deep grey matter & brainstem stroke (Taipei)1999:62:255-260
  • 176.
    Subacute SAH  FLAIR+ (GRE) T2*-weighted superior to either alone J Neurol Neurosurg Psychiatry.200170(2):205-211
  • 181.
  • 182.
  • 184.
    Combined MR Perfusion& Diffusion Imaging  In hyperacute stage, larger abnormality is noted on the perfusion images than on diffusion weighted images. This diffusion perfusion mismatch is the ischemic penumbra. This is the tissue at risk which would benefit from thrombolysis.
  • 185.
    Stroke Protocol Normal InfarctHaemorrhage Diffusion / Perfusion CT Perfusion Intraparenchymal SAH HT Atypical site Angiogr Angiogram Mismatch Matches Angiogr Thrombolysis
  • 186.
    To Summarize theRole of CT in Stroke  Haemorrhagic or non-haemorrhagic  Arterial or venous  Territory involved  Acute,subacute or chronic  Assess the mass effect  Exclude Stroke mimics like subdural hematoma, tumors
  • 189.
    How the CTstudy is usually planned…  Thinner sections are studied through the posterior fossa
  • 190.
    Hounsfield Units AIR -- 1000 FAT - - 30 to -100 CSF - 0 GREY MATTER - 32 - 41 WHITE MATTER - 23 - 34 ACUTE BLOOD - 56 - 76 CALCIFICATION - 60 - 400 BONE - 1000