OSR
Dr.YASH KUMAR ACHANTANI
 The RAs originate from the lateral sides of the aorta, typically at the level of the
superior border of the second lumbar vertebra, directed slightly anteriorly, usually 1-2
cm below the superior mesenteric artery origin.
 The right RA originates from the anterolateral aspect of the aorta and immediately
turns posteriorly to course beneath the inferior vena cava (IVC).
 The proximal right RA is not only deep in the abdomen but it also lies perpendicular
to the Doppler beam in the usual transverse scan plane.
 The left RA tends to originate from the posterolateral surface of the aorta and
courses posteriorly the surface of the aorta and over the psoas muscle.
Arterial anatomy
 Upon reaching the renal hilum, the main renal arteries divide into anterior and
posterior segmental arteries.
 These further divide to feed the multiple segments of the kidney.
 The segmental arteries, in turn, give rise to the interlobar arteries which course
alongside the renal pyramids toward the periphery of the kidney.
 The interlobar arteries branch into arcuate arteries at the corticomedullary
junction.
 The arcuate arteries travel across the top of the renal pyramids and give rise to
the interlobular arteries
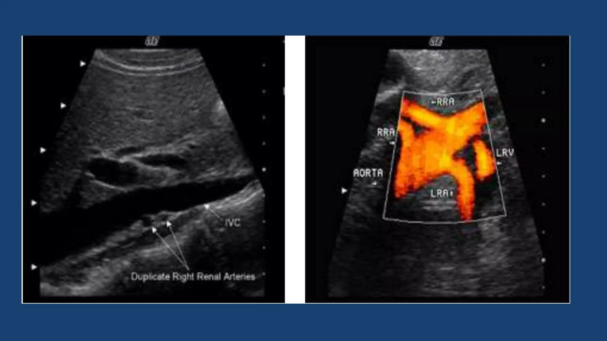
 Variant anatomy is common in the renal vascular system. Approximately 30% of
individuals have more than a single renal artery on each side. Supernumery
arteries may occur unilaterally or bilaterally.
 Most accessory renal arteries arise from the abdominal aorta, but they may also
originate from the common iliac, superior or inferior mesenteric, adrenal, and
right hepatic arteries.
Supernumary right renal arteries.
 The right renal vein is located anterior to the right renal artery.
 The left renal vein lies between the superior mesenteric artery and the
aorta (as opposed to the splenic vein, which lies anterior to the superior
mesenteric artery).
 The left renal vein may normally be quite large in a supine individual.
The left renal vein may following a retroaortic course passing
posterior to the aorta instead between the aorta and SMA.
Anomalous left renal vein
Circum Aortic Left RenalVein
Alternatively, the renal vein may be circumaortic, dividing before reaching
the aorta with one branch coursing anteriorly and another posteriorly
Normal Kidney
Renal capsule : outer echogenic line
Renal parenchyma: outer cortex and inner medulla
Renal sinus: central, highly echogenic (fat , vessels, fibrous tissue)
Kidney parenchyma compared to liver parenchyma
RENAL DOPPLER INDICATIONS
1. Hypertension, particularly when there is a moderate to high suspicion of
renovascular hypertension, Uncontrolled hypertension despite optimal therapy ,
Hypertension with progressive decline in renal function , Progressive decline in renal
function associated with ACE inhibition therapy or Abrupt onset of hypertension
2. Follow-up of patients with known renovascular disease who have undergone:
Renal artery stents placement, Renal artery intervention Or known unilateral
stenosis concerning for stenosis in contralateral kidney.
3. Suspected vascular abnormality
Aneurysm
Pseudoaneurysm
Arteriovenous malformation
Arteriovenous fistula
4. Renal insufficiency in patients at risk for renovascular disease
5. Evaluation of renal artery blood flow in patients with
Known aortic dissection
Trauma
Other abnormalities that may compromise blood flow to the kidneys
6. Evaluation of discrepant renal size
7. Concern for thrombus at aortic or renal artery orifice in infants who have or have
had an aortic catheter, e.g., umbilical artery catheter
8. Abdominal or flank bruit
ULTRASOUND OFTHE RENAL ARTERIES
 The procedure begins with the patient in the supine position and the head of the
bed elevated about 30 degrees.
 A low-frequency scanhead (2.5-5.0 MHz) is used to depict the abdominal aorta and
renal arteries (RAs).
ANTERIOR APPROACH
The renal arteries are clearly imaged in B Mode from an anterior,
subcostal approach however as it is perpendicular to the ultrasound
beam it is not suitable for Doppler assessment.
Supernumerary (duplicate) arteries can be seen looking posterior to
the IVC in B Mode and Color in a sagittal plane.
In most cases the anterior approach is used to evaluate the main RAs.
APPROACH
Anterior Approach
OBLIQUE APPROACH
By moving the probe to the left of midline and angling toward the
patient's right, an acceptable Doppler angle of 60 degrees is
achieved.To avoid aliasing set the colour scale high enough so it is
minimized. If the scale is too low then it is difficult to determine
which vessel is the vein and which vessel is the artery.
Anterior Approach Oblique Approach
Transverse B-mode view of the abdominal
aorta and right renal artery from an
anterior approach.
The ultrasound probe is oriented at midline
and the Doppler cursor placed in the proximal
right renal artery.
The angle of incidence of the Doppler beam to
the flow is unacceptable at approximately 89
degrees.
By moving the probe to the left of
midline and angling toward the
patient’s right, an acceptable
Doppler angle of 60 degrees is
achieved
Flank/ Coronal Approach
Roll the patient into a decubitus position to avoid bowel gas and
improve visibility of the renal artery, especially the mid to distal
portion.
The flank approach may be used to image both the
intrarenal vasculature and the main RAs.
Color-Doppler US image of the right kidney with the renal vessels.Good visualization of the entire
renal vascular tree.
Flank approach showing the abdominal aorta and origin of both renal arteries.
 Color flow imaging is an integral component of renal artery ultrasound
examination.
 Color flow imaging is used to locate the renal arteries and detect flow
disturbances that indicate stenosis.
 However, when used alone, this modality may give a false impression of renal
artery stenosis, because atherosclerotic plaques can cause flow disturbances in
vessels that are not significantly stenotic.
 Pulsed Doppler spectral analysis must be used in conjunction with color flow
imaging, as it provides quantitative information through the measurement of
blood flow velocity in areas of stenosis
 The spectral Doppler examination is performed with a small sample volume so as to
obtain flow information from only the vessel of interest.
 Pulsed Doppler sampling is performed with angles of 60 degrees or less.
 We never use angles of greater than 60 degrees, because this artifactually increases
the peak systolic velocity measurement.
Axial section of the midepigastric region showing the origin of both RAs.
Color image of the ostium (arrows) in both RAs arising from the aorta using the ‘‘banana peel’’ technique.
The Doppler
beam angle is optimized and close to zero.The right RA is depicted in red, the left RA in blue. Abdominal
aorta (AA), left RA (LRA), right RA (RRA), inferior vena cava (IVC).
The Basic waveforms
The three basic waveforms are
Triphasic: triphasic waveform
forward flow in systole
reverse flow in late systole / early diastole
forward flow in late diastole
Biphasic: biphasic waveform
forward flow in systole
reverse flow in diastole
Monophasic: monophasic waveform - single phase with slow acceleration/deceleration
high velocity
low velocity
Triphasic flow is considered normal, and monophasic flow is considered abnormal. Most
authors consider biphasic flow abnormal, although some authors classify it as a normal
waveform
Parameters to be measured in pulsed Doppler
 Peak SystolicVelocity (PSV)
 Resistivity Index (RI)
 Renal Aortic Ratio (RAR)
 Acceleration time (AT)
 Acceleration index (AI)
Normal values
 Peak SystolicVelocity (PSV)- < 150 cm/sec
 Resistivity Index (RI)- < 0.7
 Renal Aortic Ratio (RAR)- <3
 Acceleration time (AT)- <0.07 sec
 Acceleration index (AI)- > 3.5 m/sec2
The Doppler sample volume is placed
within the proximal right renal artery.
In this view, an acceptable Doppler
angle of 60 degrees or less is easily
obtained.
Flank approach showing the abdominal aorta and origin of both renal
arteries.
The Doppler reading of the abdominal
aorta is taken near the level of the
renal arteries.
This value is applied to the RAR .
Spectral Doppler US image of the right RA in a normal subject. Note the small spike occurring at the end of
the systolic rise.This feature is seen only in a normal main RA.
A low resistance waveform with sharp systolic upstroke is expected in the
normal main renal artery (A).
The early systolic peak (ESP) (arrow) is seen as a small notch in systole in the
normal intrarenal arterial waveform(segmental and arcuate artries ). The systolic
upstroke is rapid with an acceleration time of 0.07 seconds or less.
Normal Doppler waveforms obtained from the main renal artery and segmental
renal artery
Bilateral Renal Doppler
Clinical information
Findings
Kidney length for age
Mean +/- Standard deviation: cm +/- cm
Right kidney
Size: -------cm
Morphology: Location, contour,length.
Focal parenchymal thinning: Mild/Moderate/ Severe
Hydronephrosis: Mild/Moderate/ Severe
Main renal artery peak systolic velocity:
Ostium: cm/s
Proximal: cm/s
Mid: cm/s
Distal: cm/s
Resistance index:
Main renal vein: Patency and waveform (normal or abnormal)
Left kidney
Size: -------cm
Morphology: Location, contour,length.
Focal parenchymal thinning: Mild/Moderate/ Severe
Hydronephrosis: Mild/Moderate/ Severe
Main renal artery peak systolic velocity:
Ostium: --- cm/s
Proximal: --- cm/s
Mid: ---cm/s
Distal:--- cm/s
Resistance index:
Main renal vein : Patency and waveform (normal or abnormal)
Ureters
Urinary bladder
Abdominal aorta and IVC
Impression
THANKYOU

Basics of Renal Doppler

  • 1.
  • 5.
     The RAsoriginate from the lateral sides of the aorta, typically at the level of the superior border of the second lumbar vertebra, directed slightly anteriorly, usually 1-2 cm below the superior mesenteric artery origin.  The right RA originates from the anterolateral aspect of the aorta and immediately turns posteriorly to course beneath the inferior vena cava (IVC).  The proximal right RA is not only deep in the abdomen but it also lies perpendicular to the Doppler beam in the usual transverse scan plane.  The left RA tends to originate from the posterolateral surface of the aorta and courses posteriorly the surface of the aorta and over the psoas muscle. Arterial anatomy
  • 6.
     Upon reachingthe renal hilum, the main renal arteries divide into anterior and posterior segmental arteries.  These further divide to feed the multiple segments of the kidney.  The segmental arteries, in turn, give rise to the interlobar arteries which course alongside the renal pyramids toward the periphery of the kidney.  The interlobar arteries branch into arcuate arteries at the corticomedullary junction.  The arcuate arteries travel across the top of the renal pyramids and give rise to the interlobular arteries
  • 9.
     Variant anatomyis common in the renal vascular system. Approximately 30% of individuals have more than a single renal artery on each side. Supernumery arteries may occur unilaterally or bilaterally.  Most accessory renal arteries arise from the abdominal aorta, but they may also originate from the common iliac, superior or inferior mesenteric, adrenal, and right hepatic arteries. Supernumary right renal arteries.
  • 12.
     The rightrenal vein is located anterior to the right renal artery.  The left renal vein lies between the superior mesenteric artery and the aorta (as opposed to the splenic vein, which lies anterior to the superior mesenteric artery).  The left renal vein may normally be quite large in a supine individual.
  • 15.
    The left renalvein may following a retroaortic course passing posterior to the aorta instead between the aorta and SMA. Anomalous left renal vein
  • 16.
    Circum Aortic LeftRenalVein Alternatively, the renal vein may be circumaortic, dividing before reaching the aorta with one branch coursing anteriorly and another posteriorly
  • 18.
    Normal Kidney Renal capsule: outer echogenic line Renal parenchyma: outer cortex and inner medulla Renal sinus: central, highly echogenic (fat , vessels, fibrous tissue)
  • 22.
    Kidney parenchyma comparedto liver parenchyma
  • 28.
    RENAL DOPPLER INDICATIONS 1.Hypertension, particularly when there is a moderate to high suspicion of renovascular hypertension, Uncontrolled hypertension despite optimal therapy , Hypertension with progressive decline in renal function , Progressive decline in renal function associated with ACE inhibition therapy or Abrupt onset of hypertension 2. Follow-up of patients with known renovascular disease who have undergone: Renal artery stents placement, Renal artery intervention Or known unilateral stenosis concerning for stenosis in contralateral kidney.
  • 29.
    3. Suspected vascularabnormality Aneurysm Pseudoaneurysm Arteriovenous malformation Arteriovenous fistula 4. Renal insufficiency in patients at risk for renovascular disease 5. Evaluation of renal artery blood flow in patients with Known aortic dissection Trauma Other abnormalities that may compromise blood flow to the kidneys
  • 30.
    6. Evaluation ofdiscrepant renal size 7. Concern for thrombus at aortic or renal artery orifice in infants who have or have had an aortic catheter, e.g., umbilical artery catheter 8. Abdominal or flank bruit
  • 32.
  • 33.
     The procedurebegins with the patient in the supine position and the head of the bed elevated about 30 degrees.  A low-frequency scanhead (2.5-5.0 MHz) is used to depict the abdominal aorta and renal arteries (RAs).
  • 34.
    ANTERIOR APPROACH The renalarteries are clearly imaged in B Mode from an anterior, subcostal approach however as it is perpendicular to the ultrasound beam it is not suitable for Doppler assessment. Supernumerary (duplicate) arteries can be seen looking posterior to the IVC in B Mode and Color in a sagittal plane. In most cases the anterior approach is used to evaluate the main RAs. APPROACH
  • 35.
  • 36.
    OBLIQUE APPROACH By movingthe probe to the left of midline and angling toward the patient's right, an acceptable Doppler angle of 60 degrees is achieved.To avoid aliasing set the colour scale high enough so it is minimized. If the scale is too low then it is difficult to determine which vessel is the vein and which vessel is the artery.
  • 37.
    Anterior Approach ObliqueApproach Transverse B-mode view of the abdominal aorta and right renal artery from an anterior approach. The ultrasound probe is oriented at midline and the Doppler cursor placed in the proximal right renal artery. The angle of incidence of the Doppler beam to the flow is unacceptable at approximately 89 degrees. By moving the probe to the left of midline and angling toward the patient’s right, an acceptable Doppler angle of 60 degrees is achieved
  • 38.
    Flank/ Coronal Approach Rollthe patient into a decubitus position to avoid bowel gas and improve visibility of the renal artery, especially the mid to distal portion.
  • 39.
    The flank approachmay be used to image both the intrarenal vasculature and the main RAs.
  • 40.
    Color-Doppler US imageof the right kidney with the renal vessels.Good visualization of the entire renal vascular tree.
  • 41.
    Flank approach showingthe abdominal aorta and origin of both renal arteries.
  • 46.
     Color flowimaging is an integral component of renal artery ultrasound examination.  Color flow imaging is used to locate the renal arteries and detect flow disturbances that indicate stenosis.  However, when used alone, this modality may give a false impression of renal artery stenosis, because atherosclerotic plaques can cause flow disturbances in vessels that are not significantly stenotic.  Pulsed Doppler spectral analysis must be used in conjunction with color flow imaging, as it provides quantitative information through the measurement of blood flow velocity in areas of stenosis
  • 47.
     The spectralDoppler examination is performed with a small sample volume so as to obtain flow information from only the vessel of interest.  Pulsed Doppler sampling is performed with angles of 60 degrees or less.  We never use angles of greater than 60 degrees, because this artifactually increases the peak systolic velocity measurement.
  • 48.
    Axial section ofthe midepigastric region showing the origin of both RAs.
  • 49.
    Color image ofthe ostium (arrows) in both RAs arising from the aorta using the ‘‘banana peel’’ technique. The Doppler beam angle is optimized and close to zero.The right RA is depicted in red, the left RA in blue. Abdominal aorta (AA), left RA (LRA), right RA (RRA), inferior vena cava (IVC).
  • 50.
    The Basic waveforms Thethree basic waveforms are Triphasic: triphasic waveform forward flow in systole reverse flow in late systole / early diastole forward flow in late diastole Biphasic: biphasic waveform forward flow in systole reverse flow in diastole Monophasic: monophasic waveform - single phase with slow acceleration/deceleration high velocity low velocity Triphasic flow is considered normal, and monophasic flow is considered abnormal. Most authors consider biphasic flow abnormal, although some authors classify it as a normal waveform
  • 52.
    Parameters to bemeasured in pulsed Doppler  Peak SystolicVelocity (PSV)  Resistivity Index (RI)  Renal Aortic Ratio (RAR)  Acceleration time (AT)  Acceleration index (AI)
  • 58.
    Normal values  PeakSystolicVelocity (PSV)- < 150 cm/sec  Resistivity Index (RI)- < 0.7  Renal Aortic Ratio (RAR)- <3  Acceleration time (AT)- <0.07 sec  Acceleration index (AI)- > 3.5 m/sec2
  • 59.
    The Doppler samplevolume is placed within the proximal right renal artery. In this view, an acceptable Doppler angle of 60 degrees or less is easily obtained. Flank approach showing the abdominal aorta and origin of both renal arteries. The Doppler reading of the abdominal aorta is taken near the level of the renal arteries. This value is applied to the RAR .
  • 60.
    Spectral Doppler USimage of the right RA in a normal subject. Note the small spike occurring at the end of the systolic rise.This feature is seen only in a normal main RA.
  • 62.
    A low resistancewaveform with sharp systolic upstroke is expected in the normal main renal artery (A). The early systolic peak (ESP) (arrow) is seen as a small notch in systole in the normal intrarenal arterial waveform(segmental and arcuate artries ). The systolic upstroke is rapid with an acceleration time of 0.07 seconds or less. Normal Doppler waveforms obtained from the main renal artery and segmental renal artery
  • 63.
    Bilateral Renal Doppler Clinicalinformation Findings Kidney length for age Mean +/- Standard deviation: cm +/- cm Right kidney Size: -------cm Morphology: Location, contour,length. Focal parenchymal thinning: Mild/Moderate/ Severe Hydronephrosis: Mild/Moderate/ Severe Main renal artery peak systolic velocity: Ostium: cm/s Proximal: cm/s Mid: cm/s Distal: cm/s Resistance index: Main renal vein: Patency and waveform (normal or abnormal)
  • 64.
    Left kidney Size: -------cm Morphology:Location, contour,length. Focal parenchymal thinning: Mild/Moderate/ Severe Hydronephrosis: Mild/Moderate/ Severe Main renal artery peak systolic velocity: Ostium: --- cm/s Proximal: --- cm/s Mid: ---cm/s Distal:--- cm/s Resistance index: Main renal vein : Patency and waveform (normal or abnormal) Ureters Urinary bladder Abdominal aorta and IVC Impression
  • 65.