Кафедра терапии ИПО
Тема: «Болезни миокарда»
лекция №11
для врачей курсантов, обучающихся
по специальности 040122
«Терапия»
Кандидат медицинских наук, доцент
кафедры терапии ИПО Кусаев Виктор
Владимирович.
Красноярск 2014 г.
План лекции
 1. Актуальность темы
 2. Этиология и патогенез миокардита
 3. Современные принципы лечения миокардита
 4. Этиология и патогенез миокардиопатий
 5. Современные принципы лечения миокардиопатий
 6. Выводы
Миокардиты представляют собой
поражение сердечной мышцы
преимущественно воспалительного
характера, обусловленное
непосредственным или опосредованным
через иммунные механизмы воздействием
инфекции, паразитарной или протозойной
инвазии, химических или физических
факторов, а также возникающих при
аллергических и аутоиммунных
заболеваниях
Распространённость
Данные о частоте распространения инфекционно-
аллергического миокардита весьма недостаточны.
Существующая информация основывается на
результатах патоморфологических и некоторых
клинических исследований. По данным
патологоанатомов воспалительное поражение миокарда
выявляется, в среднем, в 4-10% случаев вскрытий.
Клинически, прежде всего электрокардиографически,
миокардит диагностируется у 1-15% лиц, страдающих
вирусной инфекцией. По данным ВОЗ (1992-1996 гг.),
стабильное поражение сердечной мышцы при
заражении вирусами Коксаки А развивается в 2,9%
случаев, при гриппе А - в 1,4% случаев, при гриппе В -
в 1,2%, при парагриппе - в 1,7% и при аденовирусных
инфекциях - в 1,0% случаев
МКБ
i.40 Острый миокардит
i.40.0 Инфекционный миокардит,
септический миокардит
i 40.1. Изолированный миокардит
i 40.8. Другие виды острого миокардита
i 40.9. Острый миокардит, неуточнённый
i 41. Миокардит при заболеваниях
классифицируемых в других рубриках
i 41.1. Миокардит при вирусных
заболеваниях, классифицируемых в
других рубриках, грипозный миокардит
(острый)
i 41.2. Миокардит при других
инфекционных и паразитарных
заболеваниях, классифицируемых в
других рубриках
i 41.8. Миокардит при других болезнях,
классифицируемых в других рубриках
Миокардит – воспаление миокарда. Чаще
всего связано с инфекцией и вызывается
вирусами, риккетсиями, микробами, грибами и
др. микробами
Классификация миокардитов
AAC, 2008
Миокардиты подразделяются
следующим образом:
По нозологической принадлежности:
• первичные (изолированные)
• вторичные (симптоматические) - как
проявление системного (или общего)
заболевания
По этиологии
Инфекционные:
• вирусные: вирусы Коксаки А и В, ЕСНО-вирусы, гриппа А и
В, цитомегаловирус, вирусы полиомиелита, Эпштейна -
Барр, иммунодефицита человека
• бактериальные, риккетсиозные, спирохетозные: бета-
гемолитические стрептококки, Corynobacterium diphtheriae ,
Mycoplasma pneumoniae , Coxiella burnetii (лихорадка Q),
Rickettsia rickettsii (пятнистая лихорадка скалистых гор),
Borrcllia burgdorferi (болезнь Лайма)
• протозойные: Tripanosoma cruzj (болезнь Чагаса),
Toxoplasma gondii
• метазойные (трихинеллез, эхинококкоз)
• грибковые (кандидоз, криптококкоз, аспергиллез)
По этиологии
Неинфекционные:
• аллергические (антибиотики,
сульфаниламиды, метилдопа,
противотуберкулезные препараты,
вакцины и сыворотки)
• токсические (кокаин, доксорубицин,
антидепрессанты, при действии избытка
катехоламинов - при феохромоцитоме и
др.)
По патогенезу
• инфекционные
• токсические
• аллергические (иммунные)
• смешанного характера
По локализации
• паренхиматозные
• интерстициальные
По течению
• острые
• подострые
• хронические
По исходам
• выздоровление
• миокардитический кардиосклероз
(сердечная недостаточность, нарушения
ритма сердца)
• дилатационная кардиомиопатия
Морфологическая классификация,
разработанная для диагностики миокардитов
по эндомиокардиальным биоптатам
(Далласская классификация, 1984)
 При первичной ЭМБ выявляется: а) миокардит с
фиброзом или без него; б) пограничный миокардит (в
этом случае возможна повторная биопсия); в)
отсутствие миокардита
 При последующей биопсии можно обнаружить: а)
продолжающийся миокардит с фиброзом или без
него; б) разрешающийся миокардит с фиброзом или
без него; в) разрешившийся миокардит с фиброзом
или без него
Миокардиты по характеру течения делятся на
тяжёлые, средней тяжести, лёгкие (Н.Р. Палеев,
Ю.И. Голиков, 2008 г.)
 Лёгкое течение: все случаи миокардита с
нормальными размерами сердца без
признаков застойной ХСН.
 Средней степени тяжести: случаи
миокардита с преходящими увеличениями
размеров сердца, но без явных признаков
застойной ХСН.
 Тяжёлое течение: случаи миокардита с
кардиомегалией, признаками застойной
ХСН, симптомами миоперикардита
Клиническая классификация миокардитов
 Острый миокардит (характеризуется острым началом,
выраженными клиническими проявлениями, лихорадкой,
изменениями лабораторных показателей,
свидетельствующими о наличии воспалительного
процесса); обычно миокардиту предшествуют инфекции
ВДП или заболевания ЖКТ
 Подострый миокардит (характерны постепенное начало,
затяжное течение, менее яркая клиническая картина,
умеренное отклонение лабораторных показателей)
 Хронический миокардит (длительное течение с
чередованием обострений и ремиссий)
(Е.И. Чазов, Ю.И. Беленков, 2004)
Примеры формулировки диагноза миокардита
(по Полякову В.П. и др., 2007)
 Коксаки – вирусный миокардит, подострый, средней степени
тяжести. Экстрасистолия, ХСН III функц. класса
 Постангинный стрептококковый миокардит, острый, тяжелое
течение. Пароксизмальная мерцательная аритмия. ХСН II
функц. класса
 Эсновирусный рецидивирующий миокардит (2 – я атака), средней
тяжести (ХСН I I функц. класса)
 Лекарственная болезнь, тяжелая форма: миокардит,
некоронарногенные некрозы миокарда, ХСН III функц. класса.
Холестатический гепатит. Непереносимость антибиотиков
тетрациклинового ряда
 Неспецифический инфекционный миокардит, острый, средней
степени тяжести, ХСН II функц. класса
Рекомендации по диагностике и клиническому
исcледованию пациентов при миокардите
Критерии диагностики вирусного
миокардита
 Наличие предшествующей ангины или
респираторного заболевания;
 Изменения ЭКГ
 Положительные ферментные тесты
(тропонин, КФК, МБ КФК);
 Признаки сухого или выпотного
перикардита.
Клиника миокардитов
 Боли в сердце (70 – 100% случаев). До
20% случаев боли в сердце напоминают
стенокардию
 Слабость, быстрая утомляемость
 Одышка (50,7%)
 Перебои в работе сердца (39,1%)
 Потливость (15,3%)
 Головные боли, головокружение (10,3%)
 Артралгии (3,8%)
 Периферические отёки (3,2%)
Исследования при миокардите
Физикальное исследование
Варьируют от умеренно выраженной
тахикардии до симптомов
декомпенсированной право- и
левожелудочковой недостаточности
(набухание шейных вен, отеки, ослабление I
тона, ритм галопа, систолический шум на
верхушке, застойные явления в легких)
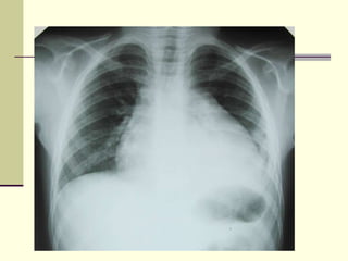
Рентгенография
Рентгенография грудной клетки
иногда выявляет расширение границ
сердца и/или признаки застоя в легких
ЭКГ
Обычно отмечаются преходящие неспецифические
изменения сегмента ST и зубца T. Нередко у больных
острым миокардитом регистрируются патологические зубцы
Q и уменьшение амплитуды зубцов R в правых грудных
отведениях (V1-V4). Поскольку в острой фазе миокардита
активность сердечных изоферментов обычно повышена, это
в совокупности с указанными изменениями ЭКГ может
повлечь ошибочный диагноз инфаркта миокарда. Часто
встречаются желудочковая и наджелудочковая
экстрасистолия, реже - нарушения атриовентрикулярной
проводимости. Эпизоды мерцательной аритмии, а также
блокады ножек пучка Гиса (чаще левой),
свидетельствующие об обширности поражения миокарда,
указывают на неблагоприятный прогноз
Изотопное исследование сердца
С 67Ga, 99mTc_пирофосфатом и
моноклональными антителами к
актомиозину, меченными 111In,
магнитнорезонансная томография,
позитронноэмиссионная томография
позволяют визуализировать зоны
повреждения и некроза миокарда
Эндомиокардиальная биопсия
В настоящее время считается, что
диагноз "миокардит" может быть
подтвержден только данными
эндомиокардиальной биопсии, которая,
однако, дает много
ложноотрицательных и сомнительных
результатов. При оценке результатов
биопсии, как правило, используются
Далласские диагностические критерии
Посев крови
С помощью посевов крови и других
биологических жидкостей можно
подтвердить вирусную этиологию
миокардита, на которую также указывает
четырехкратное повышение титра антител
к вирусам в период выздоровления по
сравнению с острым периодом. В
детекции и идентификации
инфекционного агента особое место
принадлежит наиболее современному
молекулярно-биологическому методу
полимеразной цепной реакции
СХЕМА КЛИНИЧЕСКОЙ ДИАГНОСТИКИ МИОКАРДИТОВ,
ПРЕДЛОЖЕННАЯ NYHA ( 2005 г.)
Критерии диагностики:
 Связь с перенесенной инфекцией, доказанная клиническими и
лабораторными данными: выделение возбудителя, результаты
реакции нейтрализации, реакции связывания комплемента,
реакции гемагглютинации, увеличение СОЭ, появление С-
реактивного белка.
 Признаки поражения миокарда:
 Большие признаки:
 -патологические изменения ЭКГ (нарушения реполяризациии,
ритма и проводимости), повышение концентрации в крови КФК,
КФК МБ, тропонина.
 - патологические рентгенологические, ЭхоКГ-признаки
застойная сердечная недостаточность, кардиогенный шок.
 Малые признаки:
 - тахикардия (иногда брадикардия)
 - ослабление первого тона
 -ритм галопа
Схема клинической диагностики
миокардитов, предложенная NYHA
( 2005 г.)
 Диагноз миокардита правомочен при
сочетании предшествующей инфекции с
одним большим или двумя малыми
признаками.
Заболевания, с которыми наиболее часто
приходится проводить дифференциальный
диагноз у больных с подозрением на
миокардит:
• ИБС (включая ИМ)
• Дилятационная кардиомиопатия
• Экссудативный перикардит
• Клапанные пороки сердца
• Слипчатый перикардит
• Системные заболевания
• Пролапс митрального клапана
• Паник – синдром
• Климактерическая кардиомиопатия
Лечение миокардита направлено на
снижение повреждающего действия
антимиокардиальных антител,
уменьшение продукции биологически
активных веществ, восстановление и
поддержание гемодинамики,
улучшение метаболизма миокарда
Лечение миокардита
Общие принципы лечения:
При остром, клинически выраженном миокардите показана
госпитализация
Меры общего воздействия
Постельный режим (физическая нагрузка
противопоказана до возвращения ЭКГ
к исходной), ингаляции кислорода при
признаках СН и приём НПВП, как
неселективных, так и селективных.
Неселективные НПВП:
Ацетилсалициловая кислота внутрь по 500
мг 6-8 р/сут, 4-6 нед или
Диклофенак внутрь 25-50 мг по 2-3 р/сут, 4-
6 нед или
Ибупрофен внутрь 400 мг по 4 р/сут, 4-6
нед или
Индометацин внутрь по 25-50 мг 4 р/сут, 4-
6 нед
При признаках заболевания ЖКТ
целесообразно применять селективные
НПВП в сочетании с блокаторами
гистаминовых (Н2
- рецепторов):
Лорноксикам по 8 мг 2 р/сут в первые сутки
возможно применение по 16 мг 2 р/сут,
4-6 нед или
Мелоксикам внутрь по 7,5 мг 2 р/сут, 4-6
нед или
Целекоксиб внутрь 100-200 мг 1 р/сут, 4-6
нед или
Лорноксикам в/м 8 мг 2 р/сут, 4-6 нед или
Нимесил внутрь 100 мг 2 р/сут 4-6 нед или
Аэртал внутрь 100 мг 2 р/сут 4-6 нед или
Каждый из селективных и неселективных
НПВП целесообразно принимать вместе
с блокаторами Н2- рецепторов:
Ранитидин внутрь 150 мг 1 р/сут (на ночь),
курящим 300 мг 1 р/сут (на ночь) в
период приёма НПВП или
Фамотидин внутрь 20 мг 1 р/сут (на ночь) в
период приёма НПВП
Лечение миокардита (этиотропное)
При постельном режиме в рамках профилактики тромбоэмболий и в
отсутствии признаков перикардита, СЭ и др. противопоказаний
назначают антикоагулянты прямого действия
Гепарин натрий п/к по 1,0 мг (5000) ЕД 2 р/сут (живот) в течение всего
периода постельного режима под контролем тромбоцитов или
Надропарин кальций п/к 0,3 мг (2850 МЕ) 1 р/сут (в живот) или
Ревипарин натрий п/к 0,25 мг (1750 анти – ХА МЕ) 1 р/сут (в живот) или
Эноксапарин натрий п/к 0,2 -0,4 мл (20-40 мг) 1 р/сут (в живот).
Mycoplasma pneumoniae
Лечение антибиотиками класса макролидов:
Азитромицин внутрь по 250 мг 2 р/сут в первый день, затем 250 мг 1 р/сут с
2- го - 5 –й день или
Кларитромицин внутрь по 250 мг 2 р/сут (6-14 сут) или
Эритромицин в/в капельно по 0,5 – 1,0 г 4 р/сут, 5-14 дней
Borrelia burgdorferi (лаймская болезнь)
В случае развития нарушений ритма сердца курс антибиотикотерапии
составляет 20-30 сут:
Азитромицин внутрь по 500 мг 2 р/сут в первый день, затем 500 мг 1 р/сут со
2 – го по 5 –й день или
Бензилпенициллин в/в капельно по 3 -3,5 млн МЕ 8 р/сут или
Лечение миокардита (этиотропное) -
продолжение
Доксициклин внутрь по 100 мг 2 р/сут или
Цефотаксим в/в капельно по 2 г 1 р/сут или
Цефтриаксон в/в капельно по 2 г 1 р/сут
В связи с частыми нарушениями проводимости такие больные нуждаются в
постоянном мониторинге ЭКГ; при возникновении АВБ высокой степени
– временная ЭКС.
Staphylococcus aureus, Enterococci spp.
До определения чувствительности к антибиотикам – ванкомицин в/в
капельно по 1 г 2 р/сут, 7-10 сут. В дальнейшем возможна коррекция
антибактериальной терапии.
Corinebakteria diphtheria
Как можно более раннее введение противодифтерийной сыворотки (т.к.
инактивация дифтерийного токсина возможна только до момента
фиксации в тканях):
Сыворотка противодифтерийная очищенная в/в капельно 20000 -120000 МЕ
в течение 1 ч однократно.
Одновременно назначают антибиотики, к которым чувствителен
возбудитель:
Бензилпенициллин в/в капельно по 2-3 млн ЕД 8 р/сут, 14 сут или
Эритромицин в/в капельно по 500 мг 2 р/сут, 14 суток.
В такой терапии нуждается незначительное
количество пациентов, как правило,
страдающих молниеносным миокардитом. У
таких пациентов сочетается низкое
артериальное давление, высокое среднее
давление в легочной артерии, высокое
давление заклинивания легочной артерии и
высокое давление наполнения ЛЖ. В
таких ситуациях комбинации
положительных инотропных препаратов и
периферических вазодилятаторов считается
обоснованной и не отличается от таковой у
больных с декомпенсацией кровообращения.
Эксперты считают, что применение
дигоксина у людей возможно только в
минимальных дозах -мониторинг ритма
обязателен.
Мнение отдельных экспертов, основанное
на экспериментальных работах, в которых
было убедительно доказано что ИАПФ
достоверно замедляют ремоделирование
сердца при миокардитах,- позволяет
рекомендовать применять ИАПФ у
пациентов с острым миокардитом для
контроля над процессом ремоделирования,
с осторожностью под контролем АД
В-блокаторы, разрешенные для лечения
ХСН, могут применяться у больных острым
миокардитом с осторожностью
В доступных информационных ресурсах не
удалось найти исследования, оценивающее
эффективность спиронолактонов, АРА,
диуретиков у больных острым миокаритом
В современных обзорах, посвященных
тактике ведения больных миокардитом,
НПВС, не упоминаются как средства для
лечения вирусных миокардитов, поэтому их
рекомендуют не применять для лечения
вирусных миокардитов
Этот раздел терапии миокардитов
представлен достаточным количеством
исследований. Одним из важнейших
исследований этого раздела является
исследование Myocarditis Treatment Trial. В
это исследование было включено 111
больных с установленным гистологическим
диагнозом миокардит. Терапия
преднизолоном не привела к снижению
смертности
В последних исследованиях так же не было
получено доказательств эффективности
преднизолоном при вирусных миокардитах.
Сегодня принято считать, что
иммуносупрессивная терапия эффективна при
лечении миокардитов, развившихся при
аутоиммунных заболеваниях, коллагенозах, у
больных гигантоклеточным миокардитом и у
больных с хронически протекающими вирус-
негативными воспалительными
кардиомиопатиями.
Контролируемое клиническое исследование
Modalation for Acute Cardiomyopathy Trial
не выявило различий между пациентами
получившими и не получившими
иммуноглобулины внутривенно. Т.о
рутинное применение иммуноглобулина не
рекомендуется
Существуют малые по численности
и продолжительности исследования в
которых было показано, что применение
интерферона а по З.ООО.ОООЕД в/м
хЗр/неделю у лиц с доказательным вирусным
миокардитом приводит через 2 года к
увеличению ФВ и большей продолжительности
выполнения нагрузки по сравнению с этими же
показателями в группе базовой терапии.
Под влиянием интерферона возможно
исчезновение вирусного генома из миокарда
Таким образом, подводя черту можно
отметить, что лечение миокардитов мало
изучено, но даже на этом уровне знаний не
существует согласованного мнения
экспертов по терапии миокардитов. Такое
положение дел затрудняет повседневную
практику врача и требует коррекции
Прогноз при миокардитах
• В большинстве случаев миокардита происходит
самопроизвольное излечение
• Нередко после выздоровления у пациентов
сохраняются нарушения ритма сердца, как правило,
гемодинамически незначимые и не представляющие
опасности для жизни (например, редкая ЭС)
• Сравнительно редко больные могут умереть в остром
периоде миокардита от нарушений сердечного ритма и
проводимости, СН. Это возможно при миокардите,
вызванном вирусом Коксаки В (особенно у грудных
детей), Corinebacteria diphtheriae (поражение сердца
служит самой частой причиной смерти при дифтерии)
и при болезни Чагаса
• У некоторых больных возможно развитие
хронического миокардита с формированием ДКМП и
СН (особенно при вирусных миокардитах). Чем
тяжелее выражены клинические проявления
миокардита, тем выше риск развития ДКМП
Актуальность
 Кардиомиопатии – гетерогенная группа
заболеваний миокарда, ассоциирующаяся с
механической и/или электрофизиологической
дисфункцией, которые обычно (но не
обязательно) проявляются неадекватной
гипертрофией или дилатацией желудочков и
обусловлены разнообразными причинами,
часто генетическими. КМП поражают либо
только сердце или являются частью
системного заболевания, часто ведут к
сердечно – сосудистой смерти или
прогрессирующей СН.
Современное определение и
классификация
кардиомиопатий
(АНА, 2006)
• гетерогенная группа заболеваний миокарда,
ассоциирующаяся с механической и/или
электрофизиологической дисфункцией, которые
обычно (но не обязательно) проявляются
неадекватной гипертрофией или дилатацией
желудочков и обусловлены разнообразными
причинами, часто генетическими. КМП поражают
либо только сердце или являются частью
системного заболевания, часто ведут к сердечно-
сосудистой смерти или прогрессирующей СН
Кардиомиопатии -
Гипертрофическая
миокардиопатия
Гипертрофическая миокардиопатия – это
частое генетическое расстройство (1:500),
проявляющееся левожелудочковой гипертрофией
при отсутствии системных причин ее
возникновения. Наблюдается во всех расах и
поражает в равной степени мужчин и женщин.
Guidelines on Hypertrophic Cardiomyopathy, 2005 (European Society
Cardiology Committee for Practice Guidelines)
Клиника ГК
 Аритмический
синдром – наиболее
частый синдром у
больных с ГК. У 50%
больных – внезапная
кардиальная смерть,
связанная с
нарушениями
сердечного ритма, У
больных ГК высокий
риск появления ФП
 Большие размеры ЛП
на фоне нормальных
размеров ЛЖ и
гипертрофии стенки ЛЖ
 Митральная
недостаточность
(относительная). Чаще
имеет место при
обструктивной ГК
Диагностика ГК
 Клиника
 Данные ЭхоКГ (в основном)
Лечение ГК
 В основном – симптоматическое
 БАБ – наиболее распространённые препараты при
лечении ГК. За счёт отрицательного инотропного и
хронотропного действия БАБ противодействуют
повышенной чувствительности миокарда к
катехоламинам, снижают потребности миокарда к
кислороду, снижают градиент давления при
обструктивной форме ГК, удлиняют время
диастолического наполнения ЛЖ, что способствует
улучшению наполнения ЛЖ. Преимущество за
применением селективных БАБ.
Лечение ГК
(продолжение)
 Седативная терапия
показана у больных ГК с
асимптоматичным течением
(I группа), и у части больных
II группы с не резко
выраженными жалобами. У
этих же пациентов показано
ограничение физической
нагрузки
 Оправдано применение
антогонистов ионов
кальция (верапамил,
нифедипин). Верапамил
особенно эффективен при
аритмиях. Лучше применять
его кратковременно.
Хороший терапевтический
эффект был получен при
совместном назначении
нифедипина и
метопролола(или
селективных БАБ без ВСА).
Сочетание БАБ с
нифедипином особенно
хорошо при обструктивных
формах ГК
 Кордарон – хороший
эффект при аритмическом
синдроме. Рекомендуется
применение небольших доз (
до300 мг)
Течение ГК
 У большинства больных относительно
стабильное
 Смерть при ГК – чаще внезапная. В этом
случае оправдано профилактическое
назначение небольших доз кордарона (до
300мг)
Прогноз при ГК
 Нарушения сердечного ритма, кардиалгии,
изменения на ЭКГ, синкопальные состояния в
возрасте до 20 лет – неблагоприятные
прогностические признаки
Лечебные мероприятия для
профилактики внезапной кардиальной
смерти у больных с гипертрофической
кардиомиопатией
У больных с симптомами заболевания,
связанными с наличием обструкции
выносящего тракта левого желудочка (ЛЖ),
препаратом первого выбора являются (3-
адреноблокаторы (ББ) в дозе, снижающей
градиент давления между аортой и
желудочком сердца. У тех же больных, у
которых преобладает диастолическая
дисфункция ЛЖ, рекомендуются пульс-
урежающие антагонисты кальция (особенно
верапамил) в переносимых максимальных
дозах.
Лечебные мероприятия для профилактики
внезапной кардиальной смерти у больных
с гипертрофической кардиомиопатией
(продолжение)
У больных с обмороками, провоцируемыми
физической нагрузкой, показана миотомия-
миэктомия. У больных с опасными для жизни
нарушениями ритма (желудочковая
тахикардия, фибрилляция желудочков)
наибольшею успеха можно достичь при
имплантации кардиовертера-
дефибриллятора; менее доказанной
является польза терапии амиодароном.
Дилятационная миокардиопатия
 Дилятационная миокардиопатия – это
хроническое заболевание мышцы сердца,
характеризующееся дилятацией левого
желудочка с нарушением его
систолической функции и быстрым
развитием застойной сердечной
недостаточности.
 Заболеваемость 20 : 100000 (1:5000).
Клиника ДК
 Хроническая СН –
основное
клиническое
проявление ДК
 Один из ранних
симптомов ДК – ФП,
первоначально в виде
пароксизмов, а затем
переходит в
хроническую ФП. При
этом часто
фиксируются
тромбоэмболии
 Варианты течения ДК:
√ быстропрогрессирующий
√ медленнопрогрессирующий
Стадии (периоды) развития ДК
 I период – период
бессимптомного течения
заболевания
 II период –
прогрессирующее поражение
миокарда. Клинические
признаки: ХСН II – III ФК
 III период – развёрнутые
клинические проявления. В
этом периоде часто
летальные исходы на фоне
СН, тромбоэмболии
 IV период – стабилизации
состояния, как правило, на
фоне адекватной
поддерживающей терапии.
Клиника: синдром малого
выброса, кардиомегалия
 V период – терминальный.
Фактически период
соответствует стадии
сердечной кахексии
Дифференциальный диагноз
 1 с неспецифическим миокардитом
 2 с ИБС
 3 с ГБ
 4 ревматические пороки сердца
 5 хронический выпотной перикардит
Лечение ДК
 1 метаболлические
средства. Эффективность не
доказана
 2 базисные мероприятия:
уменьшение потребления соли
в диете, ограничение
двигательной активности,
удаление накопившейся
асцетической жидкости (при
ХСН III – IV ФК)
 3 - ИАПФ – препараты первой
линии
 4 БАБ – препараты первой
линии
 5 СГ – хотя СГ и не являются
препаратами первой линии,
они, тем не менее,
важнейшие препараты
лечения ХСН при ДК
 6 диуретики
 7 препараты с
положительным
инотропным эффектом
 8 периферические
вазодилятаторы
 9 противоаритмические
препараты
 10 кардиовертеры –
дефибрилляторы
 11 пересадка сердца
Кардиомиопатии
ГКМП
Семейная/
Генетическая
ESC 2008
ДКМП Аритмоген-
ная ПЖ КМП
Неклассифи-
цированная
Несемейная/
Негенетическая
Рестр.
КМП
Неидентиф.
генный
дефект
Подтип
заболевания
Идиопати-
ческая
Подтип
заболевания
ESC 2008
Семейная/
Генетическая
ГКМП ДКМП
Несемейная/
Негенетическая
- Ожирение - Эндокринные
Эксперты Американской Ассоциации
Сердца отнесли к КМП ионные
каналопатии и нарушения проводимости,
объясняя этот факт тем обстоятельством,
что данные генетические аномалии
приводят к изменениям биофизических
свойств и белковой структуры
ГЕНЕТИКА СЕМЕЙНОЙ
ДКМП
 Мутации генов
 тропонина Т, десмина, бета-
саркогликана, тяжелых цепей бета-
миозина, тропомиозина, актина,
ламина А/С, дистрофина,
тафазина, винкулина.
Дилятационная кардиомиопатия:
наследование
 Чаще: носит аутосомно-
доминантный характер (5
локусов)
-Начало ДКМП на 3-м десятилетии
жизни (сердечная недостаточность,
аритмии)
 Реже: аутосомно-рециссивное,
сцепленное с полом,
связанное с
митохондриальной ДНК
Дилятационная
кардиомиопатия
 Показано значение вирусной
инфекции при ДКМП и
миокардитах
Энтеровирусы (Коксаки, Эхо)
при ДКМП
Аденовирусы - острый миокардит
у детей
Calaberese F. 2001
Лечение ДКМП:
иммуноглобулин
 Рандомизированное исследование
 40 больных ХСН (преимущественно
ДКМП)
 Иммуноглобулин в/в, 1 раз в неделю в
течение 6 месяцев
 Клиническое улучшение,  ФВ,
противовоспалительный эффект (
в плазме ИЛ 10, антагонистов рецепторов ИЛ-
1, рецепторов ФНО)
Выводы
 1.Миокадиты чаще всего являются следствием
вирусной инфекции
 2. При формалировке клинического диагноза
миокардита, необходимо указать этиологию,
характер течения заболевания, тяжесть
состояния больного. В конце основного
диагноза необходимо перечислить все
осложнения
 3. В исследование больного с подозрением на
миокардит, обязательно включается
физикальное обследование, учитываются
результаты лабораторных и инструментальных
методов диагностики
Выводы
 4. Клиника миокардитов многообразна,
симптомы заболевания малоспецифичны
 5. «Золотым стандартом» диагностики
миокардитов в настоящее время
является прижизненная
эндомиокардиальная биопсия
 6. В круг дифференциального диагноза
при миокардите входит большое число
заболеваний. Чаще всего
рассматриваемую патологию
необходимо дифференцировать с ИБС
Выводы
 7. В лечении миокардитов помимо
этиотропных препаратов, важная
роль отводится ИАПФ и бета –
адреноблокаторам
 8. При лечении вирусных
миокардитов не рекомендуется
использовать НПВП
 9. Кадимиопатии являются
гетерогенной группой заболеваний
миокарда
Выводы
 10. Наиболее распространённыим
рановидностями кардиомиопатий являются:
дилятационная, гипертрофическая и
рестриктивная
 11. В клинике дилятационной кардимиопатии
ведущим синндромом является СН с низкой ФВ
ЛЖ. В клинике гипертрофической
кардиомиопатии преобладает аритмический
синдром. В клинике рестриктивной
кардиомиопатии ведущая роль принадлежит
лихорадачному синдрому и гиперэозинофилии
Выводы
 12. В лечении гипертрофической
кардиомиопатии важную роль
отводят бета – адреноблокаторам и
антиаритмическим препаратам III
группы (амиодарон)
 13. В консервативном лечении
дилатационной кардиомиопатии
основная роль отводится ИАПФ,
бета - адреноблокаторам
Литература
 1.Внутренние болезни : учебник : в 2 т. ред. Н. А. Мухин [и др.]
М.: ГЭОТАР-Медиа, 2012
 2. Основы медицинской диагностики внутренних болезней : учеб.
пособиеБогатырев В. Г. М. : ЭКСМО, 2008
 3. Внутренние болезни (клинические разборы) : учебник : в 2 т.
ред. Н. А. Мухин М. : Литтерра, 2010
 4. Кардиология. Гематология : пер. с англ. ред. Н. А. Бун [и др.];
ред.-пер. В. И. Маколкин [и др.] М. : Рид Элсивер, 2009
 5. Аритмии сердца. Основы электрофизиологии, диагностика,
лечение, современные рекомендации Киякбаев Г. К. М. :
ГЭОТАР-Медиа, 2009
 6. Внутренние болезни с основами доказательной медицины и
клинической фармакологией : рук. для врачей Моисеев В. С.,
Кобалава Ж. Д., Моисеев С. В. М. : ГЭОТАР-Медиа, 2008
 7. Неотложная помощь в терапии и кардиологии : учеб. пособие ред.
Ю. И. Гринштейн М. : ГЭОТАР-Медиа, 2008
 8. Руководство по кардиологии : учеб. пособие : в 3 т. ред. Г. И.
Сторожаков [и др.] М. : ГЭОТАР-Медиа, 2008
 9. Планы ведения больных [Электронное издание]. – СD. М. :
ГЭОТАР-Медиа, 2009
 10. Терапия [Электронный ресурс] : сб. ситуационных задач с
эталонами ответов для ординаторов, обучающихся по спец. 040122 –
Терапия Режим доступа: http://krasgmu.ru/src/lib/2086_1324865602.pdf
Гринштейн Ю. И., Грищенко Е. Г., Николаева Н. Н. [и др.].
Красноярск : тип. КрасГМУ, 2011
 11. Терапия : сб. тестовых заданий с эталонами ответов для итогового
контроля у клинич. ординаторов, обучающихся по спец. 040122 –
терапия Гринштейн Ю. И., Грищенко Е. Г., Николаева Н. Н. [и др.].
Красноярск : тип. КрасГМУ, 2011
11. болезни миокарда

11. болезни миокарда

  • 1.
    Кафедра терапии ИПО Тема:«Болезни миокарда» лекция №11 для врачей курсантов, обучающихся по специальности 040122 «Терапия» Кандидат медицинских наук, доцент кафедры терапии ИПО Кусаев Виктор Владимирович. Красноярск 2014 г.
  • 2.
    План лекции  1.Актуальность темы  2. Этиология и патогенез миокардита  3. Современные принципы лечения миокардита  4. Этиология и патогенез миокардиопатий  5. Современные принципы лечения миокардиопатий  6. Выводы
  • 3.
    Миокардиты представляют собой поражениесердечной мышцы преимущественно воспалительного характера, обусловленное непосредственным или опосредованным через иммунные механизмы воздействием инфекции, паразитарной или протозойной инвазии, химических или физических факторов, а также возникающих при аллергических и аутоиммунных заболеваниях
  • 4.
    Распространённость Данные о частотераспространения инфекционно- аллергического миокардита весьма недостаточны. Существующая информация основывается на результатах патоморфологических и некоторых клинических исследований. По данным патологоанатомов воспалительное поражение миокарда выявляется, в среднем, в 4-10% случаев вскрытий. Клинически, прежде всего электрокардиографически, миокардит диагностируется у 1-15% лиц, страдающих вирусной инфекцией. По данным ВОЗ (1992-1996 гг.), стабильное поражение сердечной мышцы при заражении вирусами Коксаки А развивается в 2,9% случаев, при гриппе А - в 1,4% случаев, при гриппе В - в 1,2%, при парагриппе - в 1,7% и при аденовирусных инфекциях - в 1,0% случаев
  • 5.
    МКБ i.40 Острый миокардит i.40.0Инфекционный миокардит, септический миокардит i 40.1. Изолированный миокардит i 40.8. Другие виды острого миокардита i 40.9. Острый миокардит, неуточнённый i 41. Миокардит при заболеваниях классифицируемых в других рубриках i 41.1. Миокардит при вирусных заболеваниях, классифицируемых в других рубриках, грипозный миокардит (острый) i 41.2. Миокардит при других инфекционных и паразитарных заболеваниях, классифицируемых в других рубриках i 41.8. Миокардит при других болезнях, классифицируемых в других рубриках
  • 6.
    Миокардит – воспалениемиокарда. Чаще всего связано с инфекцией и вызывается вирусами, риккетсиями, микробами, грибами и др. микробами
  • 8.
    Классификация миокардитов AAC, 2008 Миокардитыподразделяются следующим образом: По нозологической принадлежности: • первичные (изолированные) • вторичные (симптоматические) - как проявление системного (или общего) заболевания
  • 9.
    По этиологии Инфекционные: • вирусные:вирусы Коксаки А и В, ЕСНО-вирусы, гриппа А и В, цитомегаловирус, вирусы полиомиелита, Эпштейна - Барр, иммунодефицита человека • бактериальные, риккетсиозные, спирохетозные: бета- гемолитические стрептококки, Corynobacterium diphtheriae , Mycoplasma pneumoniae , Coxiella burnetii (лихорадка Q), Rickettsia rickettsii (пятнистая лихорадка скалистых гор), Borrcllia burgdorferi (болезнь Лайма) • протозойные: Tripanosoma cruzj (болезнь Чагаса), Toxoplasma gondii • метазойные (трихинеллез, эхинококкоз) • грибковые (кандидоз, криптококкоз, аспергиллез)
  • 10.
    По этиологии Неинфекционные: • аллергические(антибиотики, сульфаниламиды, метилдопа, противотуберкулезные препараты, вакцины и сыворотки) • токсические (кокаин, доксорубицин, антидепрессанты, при действии избытка катехоламинов - при феохромоцитоме и др.)
  • 11.
    По патогенезу • инфекционные •токсические • аллергические (иммунные) • смешанного характера
  • 12.
  • 13.
    По течению • острые •подострые • хронические
  • 14.
    По исходам • выздоровление •миокардитический кардиосклероз (сердечная недостаточность, нарушения ритма сердца) • дилатационная кардиомиопатия
  • 15.
    Морфологическая классификация, разработанная длядиагностики миокардитов по эндомиокардиальным биоптатам (Далласская классификация, 1984)  При первичной ЭМБ выявляется: а) миокардит с фиброзом или без него; б) пограничный миокардит (в этом случае возможна повторная биопсия); в) отсутствие миокардита  При последующей биопсии можно обнаружить: а) продолжающийся миокардит с фиброзом или без него; б) разрешающийся миокардит с фиброзом или без него; в) разрешившийся миокардит с фиброзом или без него
  • 17.
    Миокардиты по характерутечения делятся на тяжёлые, средней тяжести, лёгкие (Н.Р. Палеев, Ю.И. Голиков, 2008 г.)  Лёгкое течение: все случаи миокардита с нормальными размерами сердца без признаков застойной ХСН.  Средней степени тяжести: случаи миокардита с преходящими увеличениями размеров сердца, но без явных признаков застойной ХСН.  Тяжёлое течение: случаи миокардита с кардиомегалией, признаками застойной ХСН, симптомами миоперикардита
  • 18.
    Клиническая классификация миокардитов Острый миокардит (характеризуется острым началом, выраженными клиническими проявлениями, лихорадкой, изменениями лабораторных показателей, свидетельствующими о наличии воспалительного процесса); обычно миокардиту предшествуют инфекции ВДП или заболевания ЖКТ  Подострый миокардит (характерны постепенное начало, затяжное течение, менее яркая клиническая картина, умеренное отклонение лабораторных показателей)  Хронический миокардит (длительное течение с чередованием обострений и ремиссий) (Е.И. Чазов, Ю.И. Беленков, 2004)
  • 19.
    Примеры формулировки диагнозамиокардита (по Полякову В.П. и др., 2007)  Коксаки – вирусный миокардит, подострый, средней степени тяжести. Экстрасистолия, ХСН III функц. класса  Постангинный стрептококковый миокардит, острый, тяжелое течение. Пароксизмальная мерцательная аритмия. ХСН II функц. класса  Эсновирусный рецидивирующий миокардит (2 – я атака), средней тяжести (ХСН I I функц. класса)  Лекарственная болезнь, тяжелая форма: миокардит, некоронарногенные некрозы миокарда, ХСН III функц. класса. Холестатический гепатит. Непереносимость антибиотиков тетрациклинового ряда  Неспецифический инфекционный миокардит, острый, средней степени тяжести, ХСН II функц. класса
  • 20.
    Рекомендации по диагностикеи клиническому исcледованию пациентов при миокардите
  • 21.
    Критерии диагностики вирусного миокардита Наличие предшествующей ангины или респираторного заболевания;  Изменения ЭКГ  Положительные ферментные тесты (тропонин, КФК, МБ КФК);  Признаки сухого или выпотного перикардита.
  • 24.
    Клиника миокардитов  Болив сердце (70 – 100% случаев). До 20% случаев боли в сердце напоминают стенокардию  Слабость, быстрая утомляемость  Одышка (50,7%)  Перебои в работе сердца (39,1%)  Потливость (15,3%)  Головные боли, головокружение (10,3%)  Артралгии (3,8%)  Периферические отёки (3,2%)
  • 25.
    Исследования при миокардите Физикальноеисследование Варьируют от умеренно выраженной тахикардии до симптомов декомпенсированной право- и левожелудочковой недостаточности (набухание шейных вен, отеки, ослабление I тона, ритм галопа, систолический шум на верхушке, застойные явления в легких)
  • 26.
    Рентгенография Рентгенография грудной клетки иногдавыявляет расширение границ сердца и/или признаки застоя в легких
  • 27.
    ЭКГ Обычно отмечаются преходящиенеспецифические изменения сегмента ST и зубца T. Нередко у больных острым миокардитом регистрируются патологические зубцы Q и уменьшение амплитуды зубцов R в правых грудных отведениях (V1-V4). Поскольку в острой фазе миокардита активность сердечных изоферментов обычно повышена, это в совокупности с указанными изменениями ЭКГ может повлечь ошибочный диагноз инфаркта миокарда. Часто встречаются желудочковая и наджелудочковая экстрасистолия, реже - нарушения атриовентрикулярной проводимости. Эпизоды мерцательной аритмии, а также блокады ножек пучка Гиса (чаще левой), свидетельствующие об обширности поражения миокарда, указывают на неблагоприятный прогноз
  • 28.
    Изотопное исследование сердца С67Ga, 99mTc_пирофосфатом и моноклональными антителами к актомиозину, меченными 111In, магнитнорезонансная томография, позитронноэмиссионная томография позволяют визуализировать зоны повреждения и некроза миокарда
  • 29.
    Эндомиокардиальная биопсия В настоящеевремя считается, что диагноз "миокардит" может быть подтвержден только данными эндомиокардиальной биопсии, которая, однако, дает много ложноотрицательных и сомнительных результатов. При оценке результатов биопсии, как правило, используются Далласские диагностические критерии
  • 30.
    Посев крови С помощьюпосевов крови и других биологических жидкостей можно подтвердить вирусную этиологию миокардита, на которую также указывает четырехкратное повышение титра антител к вирусам в период выздоровления по сравнению с острым периодом. В детекции и идентификации инфекционного агента особое место принадлежит наиболее современному молекулярно-биологическому методу полимеразной цепной реакции
  • 34.
    СХЕМА КЛИНИЧЕСКОЙ ДИАГНОСТИКИМИОКАРДИТОВ, ПРЕДЛОЖЕННАЯ NYHA ( 2005 г.) Критерии диагностики:  Связь с перенесенной инфекцией, доказанная клиническими и лабораторными данными: выделение возбудителя, результаты реакции нейтрализации, реакции связывания комплемента, реакции гемагглютинации, увеличение СОЭ, появление С- реактивного белка.  Признаки поражения миокарда:  Большие признаки:  -патологические изменения ЭКГ (нарушения реполяризациии, ритма и проводимости), повышение концентрации в крови КФК, КФК МБ, тропонина.  - патологические рентгенологические, ЭхоКГ-признаки застойная сердечная недостаточность, кардиогенный шок.  Малые признаки:  - тахикардия (иногда брадикардия)  - ослабление первого тона  -ритм галопа
  • 35.
    Схема клинической диагностики миокардитов,предложенная NYHA ( 2005 г.)  Диагноз миокардита правомочен при сочетании предшествующей инфекции с одним большим или двумя малыми признаками.
  • 36.
    Заболевания, с которыминаиболее часто приходится проводить дифференциальный диагноз у больных с подозрением на миокардит: • ИБС (включая ИМ) • Дилятационная кардиомиопатия • Экссудативный перикардит • Клапанные пороки сердца • Слипчатый перикардит • Системные заболевания • Пролапс митрального клапана • Паник – синдром • Климактерическая кардиомиопатия
  • 37.
    Лечение миокардита направленона снижение повреждающего действия антимиокардиальных антител, уменьшение продукции биологически активных веществ, восстановление и поддержание гемодинамики, улучшение метаболизма миокарда
  • 38.
    Лечение миокардита Общие принципылечения: При остром, клинически выраженном миокардите показана госпитализация Меры общего воздействия Постельный режим (физическая нагрузка противопоказана до возвращения ЭКГ к исходной), ингаляции кислорода при признаках СН и приём НПВП, как неселективных, так и селективных. Неселективные НПВП: Ацетилсалициловая кислота внутрь по 500 мг 6-8 р/сут, 4-6 нед или Диклофенак внутрь 25-50 мг по 2-3 р/сут, 4- 6 нед или Ибупрофен внутрь 400 мг по 4 р/сут, 4-6 нед или Индометацин внутрь по 25-50 мг 4 р/сут, 4- 6 нед При признаках заболевания ЖКТ целесообразно применять селективные НПВП в сочетании с блокаторами гистаминовых (Н2 - рецепторов): Лорноксикам по 8 мг 2 р/сут в первые сутки возможно применение по 16 мг 2 р/сут, 4-6 нед или Мелоксикам внутрь по 7,5 мг 2 р/сут, 4-6 нед или Целекоксиб внутрь 100-200 мг 1 р/сут, 4-6 нед или Лорноксикам в/м 8 мг 2 р/сут, 4-6 нед или Нимесил внутрь 100 мг 2 р/сут 4-6 нед или Аэртал внутрь 100 мг 2 р/сут 4-6 нед или Каждый из селективных и неселективных НПВП целесообразно принимать вместе с блокаторами Н2- рецепторов: Ранитидин внутрь 150 мг 1 р/сут (на ночь), курящим 300 мг 1 р/сут (на ночь) в период приёма НПВП или Фамотидин внутрь 20 мг 1 р/сут (на ночь) в период приёма НПВП
  • 39.
    Лечение миокардита (этиотропное) Припостельном режиме в рамках профилактики тромбоэмболий и в отсутствии признаков перикардита, СЭ и др. противопоказаний назначают антикоагулянты прямого действия Гепарин натрий п/к по 1,0 мг (5000) ЕД 2 р/сут (живот) в течение всего периода постельного режима под контролем тромбоцитов или Надропарин кальций п/к 0,3 мг (2850 МЕ) 1 р/сут (в живот) или Ревипарин натрий п/к 0,25 мг (1750 анти – ХА МЕ) 1 р/сут (в живот) или Эноксапарин натрий п/к 0,2 -0,4 мл (20-40 мг) 1 р/сут (в живот). Mycoplasma pneumoniae Лечение антибиотиками класса макролидов: Азитромицин внутрь по 250 мг 2 р/сут в первый день, затем 250 мг 1 р/сут с 2- го - 5 –й день или Кларитромицин внутрь по 250 мг 2 р/сут (6-14 сут) или Эритромицин в/в капельно по 0,5 – 1,0 г 4 р/сут, 5-14 дней Borrelia burgdorferi (лаймская болезнь) В случае развития нарушений ритма сердца курс антибиотикотерапии составляет 20-30 сут: Азитромицин внутрь по 500 мг 2 р/сут в первый день, затем 500 мг 1 р/сут со 2 – го по 5 –й день или Бензилпенициллин в/в капельно по 3 -3,5 млн МЕ 8 р/сут или
  • 40.
    Лечение миокардита (этиотропное)- продолжение Доксициклин внутрь по 100 мг 2 р/сут или Цефотаксим в/в капельно по 2 г 1 р/сут или Цефтриаксон в/в капельно по 2 г 1 р/сут В связи с частыми нарушениями проводимости такие больные нуждаются в постоянном мониторинге ЭКГ; при возникновении АВБ высокой степени – временная ЭКС. Staphylococcus aureus, Enterococci spp. До определения чувствительности к антибиотикам – ванкомицин в/в капельно по 1 г 2 р/сут, 7-10 сут. В дальнейшем возможна коррекция антибактериальной терапии. Corinebakteria diphtheria Как можно более раннее введение противодифтерийной сыворотки (т.к. инактивация дифтерийного токсина возможна только до момента фиксации в тканях): Сыворотка противодифтерийная очищенная в/в капельно 20000 -120000 МЕ в течение 1 ч однократно. Одновременно назначают антибиотики, к которым чувствителен возбудитель: Бензилпенициллин в/в капельно по 2-3 млн ЕД 8 р/сут, 14 сут или Эритромицин в/в капельно по 500 мг 2 р/сут, 14 суток.
  • 41.
    В такой терапиинуждается незначительное количество пациентов, как правило, страдающих молниеносным миокардитом. У таких пациентов сочетается низкое артериальное давление, высокое среднее давление в легочной артерии, высокое давление заклинивания легочной артерии и высокое давление наполнения ЛЖ. В таких ситуациях комбинации положительных инотропных препаратов и периферических вазодилятаторов считается обоснованной и не отличается от таковой у больных с декомпенсацией кровообращения.
  • 42.
    Эксперты считают, чтоприменение дигоксина у людей возможно только в минимальных дозах -мониторинг ритма обязателен.
  • 43.
    Мнение отдельных экспертов,основанное на экспериментальных работах, в которых было убедительно доказано что ИАПФ достоверно замедляют ремоделирование сердца при миокардитах,- позволяет рекомендовать применять ИАПФ у пациентов с острым миокардитом для контроля над процессом ремоделирования, с осторожностью под контролем АД
  • 44.
    В-блокаторы, разрешенные длялечения ХСН, могут применяться у больных острым миокардитом с осторожностью
  • 45.
    В доступных информационныхресурсах не удалось найти исследования, оценивающее эффективность спиронолактонов, АРА, диуретиков у больных острым миокаритом
  • 46.
    В современных обзорах,посвященных тактике ведения больных миокардитом, НПВС, не упоминаются как средства для лечения вирусных миокардитов, поэтому их рекомендуют не применять для лечения вирусных миокардитов
  • 47.
    Этот раздел терапиимиокардитов представлен достаточным количеством исследований. Одним из важнейших исследований этого раздела является исследование Myocarditis Treatment Trial. В это исследование было включено 111 больных с установленным гистологическим диагнозом миокардит. Терапия преднизолоном не привела к снижению смертности
  • 48.
    В последних исследованияхтак же не было получено доказательств эффективности преднизолоном при вирусных миокардитах. Сегодня принято считать, что иммуносупрессивная терапия эффективна при лечении миокардитов, развившихся при аутоиммунных заболеваниях, коллагенозах, у больных гигантоклеточным миокардитом и у больных с хронически протекающими вирус- негативными воспалительными кардиомиопатиями.
  • 49.
    Контролируемое клиническое исследование Modalationfor Acute Cardiomyopathy Trial не выявило различий между пациентами получившими и не получившими иммуноглобулины внутривенно. Т.о рутинное применение иммуноглобулина не рекомендуется
  • 50.
    Существуют малые почисленности и продолжительности исследования в которых было показано, что применение интерферона а по З.ООО.ОООЕД в/м хЗр/неделю у лиц с доказательным вирусным миокардитом приводит через 2 года к увеличению ФВ и большей продолжительности выполнения нагрузки по сравнению с этими же показателями в группе базовой терапии. Под влиянием интерферона возможно исчезновение вирусного генома из миокарда
  • 51.
    Таким образом, подводячерту можно отметить, что лечение миокардитов мало изучено, но даже на этом уровне знаний не существует согласованного мнения экспертов по терапии миокардитов. Такое положение дел затрудняет повседневную практику врача и требует коррекции
  • 52.
    Прогноз при миокардитах •В большинстве случаев миокардита происходит самопроизвольное излечение • Нередко после выздоровления у пациентов сохраняются нарушения ритма сердца, как правило, гемодинамически незначимые и не представляющие опасности для жизни (например, редкая ЭС) • Сравнительно редко больные могут умереть в остром периоде миокардита от нарушений сердечного ритма и проводимости, СН. Это возможно при миокардите, вызванном вирусом Коксаки В (особенно у грудных детей), Corinebacteria diphtheriae (поражение сердца служит самой частой причиной смерти при дифтерии) и при болезни Чагаса • У некоторых больных возможно развитие хронического миокардита с формированием ДКМП и СН (особенно при вирусных миокардитах). Чем тяжелее выражены клинические проявления миокардита, тем выше риск развития ДКМП
  • 53.
    Актуальность  Кардиомиопатии –гетерогенная группа заболеваний миокарда, ассоциирующаяся с механической и/или электрофизиологической дисфункцией, которые обычно (но не обязательно) проявляются неадекватной гипертрофией или дилатацией желудочков и обусловлены разнообразными причинами, часто генетическими. КМП поражают либо только сердце или являются частью системного заболевания, часто ведут к сердечно – сосудистой смерти или прогрессирующей СН.
  • 54.
    Современное определение и классификация кардиомиопатий (АНА,2006) • гетерогенная группа заболеваний миокарда, ассоциирующаяся с механической и/или электрофизиологической дисфункцией, которые обычно (но не обязательно) проявляются неадекватной гипертрофией или дилатацией желудочков и обусловлены разнообразными причинами, часто генетическими. КМП поражают либо только сердце или являются частью системного заболевания, часто ведут к сердечно- сосудистой смерти или прогрессирующей СН Кардиомиопатии -
  • 55.
    Гипертрофическая миокардиопатия Гипертрофическая миокардиопатия –это частое генетическое расстройство (1:500), проявляющееся левожелудочковой гипертрофией при отсутствии системных причин ее возникновения. Наблюдается во всех расах и поражает в равной степени мужчин и женщин. Guidelines on Hypertrophic Cardiomyopathy, 2005 (European Society Cardiology Committee for Practice Guidelines)
  • 57.
    Клиника ГК  Аритмический синдром– наиболее частый синдром у больных с ГК. У 50% больных – внезапная кардиальная смерть, связанная с нарушениями сердечного ритма, У больных ГК высокий риск появления ФП  Большие размеры ЛП на фоне нормальных размеров ЛЖ и гипертрофии стенки ЛЖ  Митральная недостаточность (относительная). Чаще имеет место при обструктивной ГК
  • 58.
    Диагностика ГК  Клиника Данные ЭхоКГ (в основном)
  • 59.
    Лечение ГК  Восновном – симптоматическое  БАБ – наиболее распространённые препараты при лечении ГК. За счёт отрицательного инотропного и хронотропного действия БАБ противодействуют повышенной чувствительности миокарда к катехоламинам, снижают потребности миокарда к кислороду, снижают градиент давления при обструктивной форме ГК, удлиняют время диастолического наполнения ЛЖ, что способствует улучшению наполнения ЛЖ. Преимущество за применением селективных БАБ.
  • 60.
    Лечение ГК (продолжение)  Седативнаятерапия показана у больных ГК с асимптоматичным течением (I группа), и у части больных II группы с не резко выраженными жалобами. У этих же пациентов показано ограничение физической нагрузки  Оправдано применение антогонистов ионов кальция (верапамил, нифедипин). Верапамил особенно эффективен при аритмиях. Лучше применять его кратковременно. Хороший терапевтический эффект был получен при совместном назначении нифедипина и метопролола(или селективных БАБ без ВСА). Сочетание БАБ с нифедипином особенно хорошо при обструктивных формах ГК  Кордарон – хороший эффект при аритмическом синдроме. Рекомендуется применение небольших доз ( до300 мг)
  • 61.
    Течение ГК  Убольшинства больных относительно стабильное  Смерть при ГК – чаще внезапная. В этом случае оправдано профилактическое назначение небольших доз кордарона (до 300мг)
  • 62.
    Прогноз при ГК Нарушения сердечного ритма, кардиалгии, изменения на ЭКГ, синкопальные состояния в возрасте до 20 лет – неблагоприятные прогностические признаки
  • 63.
    Лечебные мероприятия для профилактикивнезапной кардиальной смерти у больных с гипертрофической кардиомиопатией У больных с симптомами заболевания, связанными с наличием обструкции выносящего тракта левого желудочка (ЛЖ), препаратом первого выбора являются (3- адреноблокаторы (ББ) в дозе, снижающей градиент давления между аортой и желудочком сердца. У тех же больных, у которых преобладает диастолическая дисфункция ЛЖ, рекомендуются пульс- урежающие антагонисты кальция (особенно верапамил) в переносимых максимальных дозах.
  • 64.
    Лечебные мероприятия дляпрофилактики внезапной кардиальной смерти у больных с гипертрофической кардиомиопатией (продолжение) У больных с обмороками, провоцируемыми физической нагрузкой, показана миотомия- миэктомия. У больных с опасными для жизни нарушениями ритма (желудочковая тахикардия, фибрилляция желудочков) наибольшею успеха можно достичь при имплантации кардиовертера- дефибриллятора; менее доказанной является польза терапии амиодароном.
  • 65.
    Дилятационная миокардиопатия  Дилятационнаямиокардиопатия – это хроническое заболевание мышцы сердца, характеризующееся дилятацией левого желудочка с нарушением его систолической функции и быстрым развитием застойной сердечной недостаточности.  Заболеваемость 20 : 100000 (1:5000).
  • 66.
    Клиника ДК  ХроническаяСН – основное клиническое проявление ДК  Один из ранних симптомов ДК – ФП, первоначально в виде пароксизмов, а затем переходит в хроническую ФП. При этом часто фиксируются тромбоэмболии  Варианты течения ДК: √ быстропрогрессирующий √ медленнопрогрессирующий
  • 69.
    Стадии (периоды) развитияДК  I период – период бессимптомного течения заболевания  II период – прогрессирующее поражение миокарда. Клинические признаки: ХСН II – III ФК  III период – развёрнутые клинические проявления. В этом периоде часто летальные исходы на фоне СН, тромбоэмболии  IV период – стабилизации состояния, как правило, на фоне адекватной поддерживающей терапии. Клиника: синдром малого выброса, кардиомегалия  V период – терминальный. Фактически период соответствует стадии сердечной кахексии
  • 70.
    Дифференциальный диагноз  1с неспецифическим миокардитом  2 с ИБС  3 с ГБ  4 ревматические пороки сердца  5 хронический выпотной перикардит
  • 71.
    Лечение ДК  1метаболлические средства. Эффективность не доказана  2 базисные мероприятия: уменьшение потребления соли в диете, ограничение двигательной активности, удаление накопившейся асцетической жидкости (при ХСН III – IV ФК)  3 - ИАПФ – препараты первой линии  4 БАБ – препараты первой линии  5 СГ – хотя СГ и не являются препаратами первой линии, они, тем не менее, важнейшие препараты лечения ХСН при ДК  6 диуретики  7 препараты с положительным инотропным эффектом  8 периферические вазодилятаторы  9 противоаритмические препараты  10 кардиовертеры – дефибрилляторы  11 пересадка сердца
  • 72.
    Кардиомиопатии ГКМП Семейная/ Генетическая ESC 2008 ДКМП Аритмоген- наяПЖ КМП Неклассифи- цированная Несемейная/ Негенетическая Рестр. КМП Неидентиф. генный дефект Подтип заболевания Идиопати- ческая Подтип заболевания
  • 73.
  • 74.
    Эксперты Американской Ассоциации Сердцаотнесли к КМП ионные каналопатии и нарушения проводимости, объясняя этот факт тем обстоятельством, что данные генетические аномалии приводят к изменениям биофизических свойств и белковой структуры
  • 75.
    ГЕНЕТИКА СЕМЕЙНОЙ ДКМП  Мутациигенов  тропонина Т, десмина, бета- саркогликана, тяжелых цепей бета- миозина, тропомиозина, актина, ламина А/С, дистрофина, тафазина, винкулина.
  • 77.
    Дилятационная кардиомиопатия: наследование  Чаще:носит аутосомно- доминантный характер (5 локусов) -Начало ДКМП на 3-м десятилетии жизни (сердечная недостаточность, аритмии)  Реже: аутосомно-рециссивное, сцепленное с полом, связанное с митохондриальной ДНК
  • 78.
    Дилятационная кардиомиопатия  Показано значениевирусной инфекции при ДКМП и миокардитах Энтеровирусы (Коксаки, Эхо) при ДКМП Аденовирусы - острый миокардит у детей Calaberese F. 2001
  • 79.
    Лечение ДКМП: иммуноглобулин  Рандомизированноеисследование  40 больных ХСН (преимущественно ДКМП)  Иммуноглобулин в/в, 1 раз в неделю в течение 6 месяцев  Клиническое улучшение,  ФВ, противовоспалительный эффект ( в плазме ИЛ 10, антагонистов рецепторов ИЛ- 1, рецепторов ФНО)
  • 80.
    Выводы  1.Миокадиты чащевсего являются следствием вирусной инфекции  2. При формалировке клинического диагноза миокардита, необходимо указать этиологию, характер течения заболевания, тяжесть состояния больного. В конце основного диагноза необходимо перечислить все осложнения  3. В исследование больного с подозрением на миокардит, обязательно включается физикальное обследование, учитываются результаты лабораторных и инструментальных методов диагностики
  • 81.
    Выводы  4. Клиникамиокардитов многообразна, симптомы заболевания малоспецифичны  5. «Золотым стандартом» диагностики миокардитов в настоящее время является прижизненная эндомиокардиальная биопсия  6. В круг дифференциального диагноза при миокардите входит большое число заболеваний. Чаще всего рассматриваемую патологию необходимо дифференцировать с ИБС
  • 82.
    Выводы  7. Влечении миокардитов помимо этиотропных препаратов, важная роль отводится ИАПФ и бета – адреноблокаторам  8. При лечении вирусных миокардитов не рекомендуется использовать НПВП  9. Кадимиопатии являются гетерогенной группой заболеваний миокарда
  • 83.
    Выводы  10. Наиболеераспространённыим рановидностями кардиомиопатий являются: дилятационная, гипертрофическая и рестриктивная  11. В клинике дилятационной кардимиопатии ведущим синндромом является СН с низкой ФВ ЛЖ. В клинике гипертрофической кардиомиопатии преобладает аритмический синдром. В клинике рестриктивной кардиомиопатии ведущая роль принадлежит лихорадачному синдрому и гиперэозинофилии
  • 84.
    Выводы  12. Влечении гипертрофической кардиомиопатии важную роль отводят бета – адреноблокаторам и антиаритмическим препаратам III группы (амиодарон)  13. В консервативном лечении дилатационной кардиомиопатии основная роль отводится ИАПФ, бета - адреноблокаторам
  • 85.
    Литература  1.Внутренние болезни: учебник : в 2 т. ред. Н. А. Мухин [и др.] М.: ГЭОТАР-Медиа, 2012  2. Основы медицинской диагностики внутренних болезней : учеб. пособиеБогатырев В. Г. М. : ЭКСМО, 2008  3. Внутренние болезни (клинические разборы) : учебник : в 2 т. ред. Н. А. Мухин М. : Литтерра, 2010  4. Кардиология. Гематология : пер. с англ. ред. Н. А. Бун [и др.]; ред.-пер. В. И. Маколкин [и др.] М. : Рид Элсивер, 2009  5. Аритмии сердца. Основы электрофизиологии, диагностика, лечение, современные рекомендации Киякбаев Г. К. М. : ГЭОТАР-Медиа, 2009  6. Внутренние болезни с основами доказательной медицины и клинической фармакологией : рук. для врачей Моисеев В. С., Кобалава Ж. Д., Моисеев С. В. М. : ГЭОТАР-Медиа, 2008
  • 86.
     7. Неотложнаяпомощь в терапии и кардиологии : учеб. пособие ред. Ю. И. Гринштейн М. : ГЭОТАР-Медиа, 2008  8. Руководство по кардиологии : учеб. пособие : в 3 т. ред. Г. И. Сторожаков [и др.] М. : ГЭОТАР-Медиа, 2008  9. Планы ведения больных [Электронное издание]. – СD. М. : ГЭОТАР-Медиа, 2009  10. Терапия [Электронный ресурс] : сб. ситуационных задач с эталонами ответов для ординаторов, обучающихся по спец. 040122 – Терапия Режим доступа: http://krasgmu.ru/src/lib/2086_1324865602.pdf Гринштейн Ю. И., Грищенко Е. Г., Николаева Н. Н. [и др.]. Красноярск : тип. КрасГМУ, 2011  11. Терапия : сб. тестовых заданий с эталонами ответов для итогового контроля у клинич. ординаторов, обучающихся по спец. 040122 – терапия Гринштейн Ю. И., Грищенко Е. Г., Николаева Н. Н. [и др.]. Красноярск : тип. КрасГМУ, 2011