DR.A.AKSHAY REDDY
Understanding MRI in
neonate
History
• Magnetic resonance imaging inventor.
• The first MR image was published in 1973.
• The first studies performed on humans were
published in 1977
• In 2003, The 2003 Nobel Prize in Physiology or Medicine was awarded
to Paul C Lauterbur and Peter Mansfield
• Made new MR imaging techniques
• Faster and more efficient
FATHER OF MRI
What is MRI ??
Produces very clear, detailed pictures of the organs and
structures in the body
It is a form of medical imaging that uses no Ionizing
radiation.
MRI makes use of the property of Nuclear magnetic
resonance (NMR) to image nuclei of atoms inside the body.
MAIN COMPONENTS OF MRI
Scanner
Computers
Recording hardware
SCANNER
• An MRI scanner is a large tube that contains powerful
magnets.
• Main components of scanner
– Static magnetic field coils
– Gradient coils
– RF (radiofrequency) coils
Principle ??
• Four basic steps are involved in getting an MR image-
1. Placing the patient in the magnet
2. Sending radiofrequency (RF) pulse by coil
3. Receiving signals from the patient again by coil
4. Signals are sent to computers for complex processing to get image.
• Now let us understand these steps at molecular level.
• Present MR imaging is based on proton imaging. Proton is a positively
charged particle in the nucleus of every atom.
• Since hydrogen ion (H+) has only one particle i.e. proton, it is equivalent to
a proton.
How does this proton help in MR imaging?
• Protons are positively charged and have rotatory movement called
spin.
• Any charge, which moves, generates current.
• Every current has a small magnetic field around it.
• So every spinning proton has a small magnetic field around it.
• Without any influence of external magnetic field protons in the
patient’s body move randomly in any direction.
• When external magnetic field is
applied, i.e. patient is placed in the
magnet, these randomly moving
protons align and spin in the direction
of external magnetic field.
• Some of them align parallel and some
anti-parallel to the external magnetic
field.
• When protons align, not only they
rotate around themselves (called spin)
but also their axis of rotation moves
such that it forms a ‘cone’.
• This movement of axis of rotation of
proton is called as precession.
Spin is rotation of protons around
its own axis while precession is
rotation of the axis itself under the
influence of external magnetic field
such that it forms a ‘cone’
• The number of precessions of proton per second is precession
frequency in Hertz.
• Precession frequency is directly proportional to strength of external
magnetic field.
• Stronger the external magnetic field, higher is precession frequency.
• Precession frequency of hydrogen proton for 1 Tesla is 42 MHz and
for 1.5 Tesla it is 64 MHz.
MAGNETIZATION
Longitudinal
magnetization
1. External magnetic field is directed along Z-axis.
Conventionally, Z-axis is the long axis of the patient
as well as bore of the magnet.
2. Protons align parallel and anti-parallel to external
magnetic field i.e. along positive and negative sides
of Z-axis.
3. Forces of protons on negative and positive side
cancel each other.
4. However, there are always more protons spinning
on the positive side or parallel to Z-axis than
negative side.
5. So, after cancelling each other few protons remain
on positive side, which are not cancelled.
6. Forces of these protons add up together to form a
magnetic vector along Z-axis.
7. This is longitudinal magnetization
“ Longitudinal magnetization along
external magnetic field cannot be measured
directly. For measurement it has to be
transverse “
Transverse
Magnetization
1. At this stage radiofrequency pulse is sent.
2. Precessing protons pick up some energy from
radiofrequency pulse.
3. Some of these protons go to higher energy level and
start precessing anti-parallel.
4. This results in reduction in the magnitude of
longitudinal magnetization.
5. Forces of protons now add up to form a new magnetic
vector in transverse (X-Y) plane.
6. This is called as transverse Magnetization.
7. In short, RF pulse causes longitudinal magnetization to
reduce and establishes a new transverse
magnetization.
8. For exchange of energy to occur between protons and
RF pulse, precession frequency of protons should be
same as RF pulse frequency.
9. When RF pulse and protons have same frequency
protons can pick up some energy from RF pulse.
This phenomenon is called as “resonance”— the
R of MRI.
MR Signal 1. When RFp is switched off TM vector
goes on reducing in its magnitude
and LM goes on increasing.
2. The resultant NMV formed by
addition of these two (LM and TM
vectors) gradually moves from
transverse X-Y plane into vertical Z-
axis.
3. During this movement it produces
current in receiver coil.
4. This current received by the coil is
MR signal
Image formation
• Signal is transformed into image by complex mathematical process—
Fourior Transformation by computers.
Summary
1. Longitudinal magnetization is formed long Z-axis.
2. RF pulse is sent :
• Precessing protons pick up energy from RF pulse to go to higher energy
level and precess in phase. This results in reduction in longitudinal
magnetization and formation of transverse magnetization in X-Y plane.
3. MR signal
• Transverse magnetization vector precess and generates current. When RF
pulse is switched off, this current produces signal in the coil.
4. Image formation
• Signal is transformed into image by complex mathematical process—
Fourior Transformation by computers.
T1
• T1 is the time taken by LM to recover after RF pulse is switched off, to
original value. This is not exact time, but it is a ‘constant’.
• When RF pulse is switched off, protons start losing their energy. This
energy is given to surrounding tissues.
• T1 depends upon tissue composition, structure and surroundings.
• water has long T1
• fat has short T1
T2
• T2 is time taken by TM to disappear.
• T2 depends on inhomogeneity of external magnetic field
and inhomogeneity of local magnetic field within tissues.
• As water molecules move very fast, their magnetic fields
fluctuate fast.
• Because of lack of much inhomogeneity, protons stay in
step for a long time resulting into, long T2 for water
• If liquid is impure and has larger molecules, they move at
slower rate.
• This maintains inhomogeneity of magnetic field.
• As a result protons go out of phase very fast.
• Hence impure liquids, larger molecules have short T2, e.g.
Fat has shorter T2.
TR and TE
• TR (Time to Repeat) is the time interval between start of one RF pulse
and start of next RF pulse.
• TE (Time to Echo) is the time interval between start of RF pulse and
reception of the echo (signal).
• Short TR and short TE gives T1-weighted images.
• Long TR and long TE gives T2-weighted images.
Role Of MRI in Newborn
1. Confirm a normally developed brain
2. Assess severity and pattern of any injury
3. Predict outcome from pattern of injury and clinical details
4. Assess/ monitor the effect of any intervention
5. Even with all diagnostic criteria
– The spectrum of injury may be wide
– The evolution of lesions variable
Sagital plane
Normal MR appearance of neonatal brain
• The most characteristic finding in the normal neonatal brain is the
almost complete lack of myelination.
• MR imaging is exquisitely sensitive to the myelination of white matter.
•
Unmyelinated white
matter is hyperintense
on T2-weighted images
and hypointense on
T1-weighted images.
• There is a predictable course of myelination based on the gestational
age of the newborn.
Myelination
• First myelination
– seen as early as 16th week of gestation,
• It does not reach maturity until 2 years or so.
• It correlates very closely to developmental milestones.
• The progression is predictable few simple general rules; myelination
progresses from:
1. central to peripheral
2. caudal to rostral
3. dorsal to ventral
4. sensory then motor
Myelination milestones
• term birth: brainstem, cerebellum, posterior limb of the internal
capsule, optic tract, perirolandic region
• 2 months: anterior limb of the internal capsule
• 3 months: splenium of the corpus callosum
• 6 months: genu of the corpus callosum
Myelinated Structures at Birth
• Dorsal brainstem
• Ventrolateral thalamus
• Lentiform nuclei
• Central corticospinal tracts
• Posterior limb of the internal capsule
• Middle cerebellar peduncle
• Optic nerve, chiasma and tract
Progression Of Myelination
• The first change is increase in T1 signal, and later decrease in T2.
• 2-3 months: anterior limb of IC becomes T1 bright
• 3 months: cerebellar WM tracts becomes T1 bright
• 3-6 months: splenium of corpus callosum becomes T2 dark
• 6 months: genu of corpus callosum becomes T1 bright
• 8 months: subcortical white matter becomes T1 bright
• 8 months: genu of corpus callosum becomes T2 dark
• 11 months: anterior limb of internal capsule becomes T2 dark
• 1 year 2 months: occipital white matter becomes T2 dark
• 1 year 4 months: frontal white matter becomes T2 dark
• 1 1/2 years: majority of white matter becomes T2 dark (except
terminal myelination zones adjacent to frontal horns and periatrial
regions)
• 2 years: almost all of white matter becomes T2 dark
HOW TO READ
THE IMAGING PLANES
- Axial plane:
Transverse
images represent
"slices" of the
body
- Sagittal plane:
Images taken
perpendicular to the axial
plane which separate the
left and right sides (lateral
view)
- Coronal plane:
Images taken
perpendicular to the
sagittal plane which
separate the front from
the back. (frontal view)
How do you describe abnormalities on MR?
• Hyperintense (more intense): If an abnormality is bright (white) on
MR, we describe it as hyperintense.
• Isointense (the same intensity): If an abnormality is the same
intensity to a reference structure, we describe it as isointense.
• Hypointense (less intense): If an abnormality is dark on MR .
Types of MR Images
• T1 image :
Useful for: Evaluating anatomic detail
• CSF: Dark
• White Matter: White
• Gray Matter: Gray
• Vessels: Dark
T1 image with contrast :
Useful for: Evaluating for BBB breakdown
• in the setting of tumor, infection, etc.
• CSF: Dark
• White Matter: White
• Gray Matter: Gray
• Vessels: Bright
Axial T2 image :
Useful for: Looking at areas of edema & pathology
CSF: Bright
White Matter: Gray
Gray Matter: Lighter than white matter
Vessels: Dark
Coronal Flair image : (Fluid Attenuated Inversion
Recovery )
Useful for: Evaluating areas of edema with CSF
subtraction. Edema stands out because is CSF dark.
• • Used in brain imaging to suppress CSF so as to
bring out periventricular hyperintense lesions,
such as PVL.
• • Most pathology is BRIGHT.
CSF: Dark
White Matter: Gray
Gray Matter: Lighter than white matter
Vessels: Dark
Axial DWI image :
Useful for: stroke imaging, abscess,
• cellular tumors
• CSF: Dark
• White Matter: Gray
• Gray Matter: Lighter than white matter
• Fuzzier image than FLAIR
T2* (T2-star, or SWI)
• Form of T2-weighted image which is susceptible to iron
or calcium
• Blood, bone, calcium appear dark
• Area of blood often appears much larger than
reality(“blooming”)
• Useful for: Identification of early hemorrhage
• Look for: DARK only
• Recognition:
• Like T2 except
• Cranium, scalp are dark or absent
• Dark areas near frontal and temporal bones
• Hemorrhage is darker than brain
Apparent Diffusion Coefficient
• Calculated by acquiring two or more images with a different gradient
duration and amplitude .
• To differentiate T2 shine through effects or artifacts from real ischemic
lesions.
• Useful for estimating the lesion age and distinguishing acute from subacute
DWI lesions.
• Acute ischemic lesions can be divided into :-
1- Hyperacute lesions (low ADC and dwipositive)
2- Subacute lesions (normalized ADC).
3- Chronic lesions can be differentiated from acute lesions by normalization
of ADC and DWI
• Nonischemic causes for decreased ADC
Abscess
Lymphoma and other tumors
Multiple sclerosis
Seizures
Metabolic (Canavans )
Evaluation of acute stroke on DWI
• The DWI and ADC maps show changes in ischemic brain within
minutes to few hours
• The signal intensity of acute stroke on DW images increase during the
first week after symptom onset and decrease thereafter, but signal
remains hyper intense for a long period (up to 72 days in the study by
Lausberg et al)
• The ADC values decline rapidly after the onset of ischemia and
subsequently increase from dark to bright 7-10 days later .
• This property may be used to differentiate the lesion older than 10
days from more acute ones .
• Chronic infarcts are characterized by elevated diffusion and appear
hypo, iso or hyper intense on DW images and hyperintense on ADC
maps.
INJURIES OF PREMATURITY
White Matter Injury of Prematurity
• Neonatal white matter injury is a common complication of
prematurity and is often an end-result of perinatal hypoxic-ischemic
events in this population.
• The pattern of white matter injury is traditionally described as small,
non-hemorrhagic, gliotic lesions appearing symmetrically in
periventricular areas - particularly in the trigone and adjacent to the
foramen of Monro.
• This distribution of inju ry has earned the classic title of
periventricular leukomalacia (PVL)
• Conventional MR imaging exhibits superior sensitivity for non-cavitary
PVL, especially in the acute setting (2-5 days).
• Lesions appear as small punctate hyperintense areas on T1-weighted
images, 20, 21 which are likely to be a product of reactive gliosis. 24
• Cavitations are also visible as areas of hy p ointensity on T1- weighte
d im ages an d hyperintensity on T2-weighted images.
• MR imaging is capable of detecting structural changes of chronic PVL
including white matter atrophy, callosal thinning and ex vacuo
ventricular dilation. 11
• Diffusion- weighted imaging (DWI) is yet another p ro mising techniq
ue for early d etection of PVL.
• Fin dings include hyperintensity on DWI and diminished apparent
diffusion coefficients in the periventricular white matter in the first
few days after injury.
• DWI findings are most advantageous in the acute setting as these are
observed before any abnormality appears on ultrasound or
conventional MR images.
• Decreased apparent diffusion coefficients are usually limited to the
acute phase as parenchymal changes normalize within the first five
days of injury.
Germinal Matrix and Intraventricular Hemorrhage
• Intraventricular hemorrhage (IVH) comprises a spectrum of pathological
processes that result from blood filling in and around the ventricles.
• Cranial ultrasonogra ph y an d conventional MR im aging have been t w o
wid ely studie d im aging modalities for early detection of GMH.
• MR imaging exhibits a superior capacity to differentiate blood from other
lesions after the hyperacute phase..
• Acute hemorrhagic foci on T1- weighted images appear as small areas of
normal to increased signal and can be confirmed on T2 w eighte d seq
uences as ovoid areas of distinct hy p ointensity.
• MR also offers the a d vantage of identifying subependymal bleeds in the
subacute and ch ro nic ph ases with su bstantial sensitivity for hem
orrhage.
• In summary, conventional MR is currently the preferred imaging
modality for the diagnosis and evaluation of acute or subacute GMH
and its IVH sequelae.
• Cranial ultrasonograph y rem ains useful for the hy peracute setting,
for repeated follow-up imaging or w hen MR facilities are unavailable.
Periventricular Hemorrhagic Infarction
• Intraventricular hemorrhage can ca use m ass effect, resulting in obstr
uction of veno us o u tflo w fro m periventricular parenchymal tissue and
culminating in hem orrhagic infarction 35 secon d ary to veno us
hypertension.
• While PVHI is detectable on cranial sonography, MR imaging is more
sensitive than ultrasound in the detection and quantification of PVHI.
• Conventional MR offers the advantage of differentiating hemorrhagic and
necrotic components of PVHI .
• T2-weighted sequences display hemorrhage as regions of low signal,
contrasted against the neighboring venous infarct which appears
hyperintense.
• The superior tissue differentiation of MR imaging allows for more precise
estimates of infarct size and location.
Axial T2 weighted image (Fig. 1a)
demonstrates hypointense right frontral
PVHI (arrow) with surrounding white
matter injury which is hyperintense.
Sagittal T2-weighted image demonstrates
the IVH in the occipital horn (arrow) of the
lateral ventricle as well as PVHI.
Hypoxic ischemic injury
• Inadequate brain oxygenation is the major recognized cause of
perinatal morbidity and mortality 29 and may result fro m either hy p
oxic, ischemic or co m bine d processes.
• Significant parenchymal injury may occur with prolonged oxygen
deprivation – a condition known as hypoxic-ischemic encephalopathy
(HIE).
• HIE in preterm infants exhibits predominantly white matter injury (ie.
PVL).
• In contrast, the pattern observed in term infants involves necrosis of
select gray and white matter structures.
This term infant developed hypoxic-ischemic injury which predominantly affected the watershed cortex
and subcortical white matter of bilateral hemispheres.
1. Axial T2 weighted (figure 2a, arrows),
2. Axial FLAIR (fig. 2b, arrows) and
3. Coronal T1- weighted images (fig. 2c, arrows)
demonstrate the watershed hypoxic-ischemic injury pattern.
MR in HIE- Pattern and Site
Mild to moderate injury
• Prolonged partial insult.
• e.g. cord around the neck
• Time for redistribution of cerebral blood flow.
• Ensures perfusion to metabolically active areas of grey matter (BGT,
brainstem, cerebellum)
• Injury to watershed (inter-vascular) area of cerebrum.
• Injury is different in PT and Term.
Mild to Mod Injury
Preterm Term
• Periventricular white matter
1. PVL
I. Initially hyperintense on T1 and T2
II. With restricted diffusion on DWI
II. After 4-6weeks: Cysts
III. End stage:
Ventriculomegaly, loss of periventricular white matter
with increased signal on T2 and thinning
of corpus callosum.
2. IVH due to reperfusion
injury
• Parasagittal cortical and subcortical
injury.
• Watershed area between ACA, MCA,
PCA.
T1 Hypointense
T2 Hyperintense lesion
With restricted diffusion on DWI.
Severe Injury
• Acute insult such as, cord prolapse or uterine rupture or abruptio
placentae
• No time for redistribution
• Injury in metabolically active areas of brain
Preterm Term
Grey matter especially Thalami and
Brainstem
Brainstem
Lateral Thalami
Globus Pallidus
Putamen
Hippocamus
Perirolandic (Sensorymotor) cortex
Injury due to hypotension
• Parenchymal injury resulting from severe hypotension has a
predilection for the basal ganglia as well as the lateral thalamus,
hippocampus, and corticospinal tracts.
• The vascular boundary zones are usually spared.
• Basal ganglia injury is more common.
• The areas of hypointensity on T1 become hyperintense approximately
two to three days after injury. Finally, lesions on T2 eventually assume
a hypointense appearance at six to ten days after injury. 70 These
changes are typical whether occu rring in the thala mus, perirolan dic
cortex, hippocampal formation, or the dorsal mesencephalic
This newborn presented with severe hypoxic-ischemic encephalopathy resulting in a basal ganglia
pattern of injury. Axial FLAIR image (Fig. 3a, arrows) and axial diffusion weighted image (Fig. 3b,
arrows) show hyperintense lesions within bilateral basal g anglia
• Imaging features of HIE will vary depending on gestational age and
severity of oxygen deprivation.
• Term neonates with mild to moderate hypoperfusion will develop
parasagittal injury.
• Cranial ultrasonography an d computed tomography (CT) cannot
detect parasagittal or watershed injury in the acute phase.
• Conventional MR imaging with the addition of DWI has increased
sensitivity for acute parasagittal lesions which are hypointense on T1-
weighted images, hyperintense on T2-weighted images and
hyperintense on DWI.
• DWI can give false negative results if performed within the first several
hours of hypoxic-ischemic injury.
• A missed HIE diagnosis could yield devastating outcomes for the patient
involved.
• After the first 24 hours, the lesions appear hyperintense.
• As the HIE lesions evolve from the acute to the chronic phases, the initial
decreased diffusion in the acute phase progresses to increased diffusion in
the chronic phase.
• This observed DWI phenomenon is likely attributed to fluid shifts between
intracellular and extracellular compartments that occur over the course of
cell injury.
CEREBRAL INFARCTION
• Cerebral infarction of the neonate is most often idiopathic, but
coagulopathy is the most common known etiology in this population.
• Cranial ultrasonography and CT are poorly sensitive for acute
ischemia.
• Conventional MR imaging however has been named as the overall
tool of choice for evaluating focal infarction.
• On T1 weighted an d T2- weighted images, infarcts become readily
visible after two or three days as areas demonstrating loss of gray-
white matter differentiation.
• DWI is the most effective tool for the detection of acute infarcts. 64
DWI can also better identify infarct boundaries and can pinpoint
irreversible lesions.
• MR arteriography and MR venography can be used in conjunction
with MR imaging of the brain to diagnose ca uses of arterial an d
veno us infarction.
MR arteriography may show occlusion of intracranial vessels as a ca
use of the infarct.
MR venogra ph y m ay demonstrate venous sinus thrombosis as the
cause of venous infarction.
This term newborn presented with a seizure and was found to have an acute left frontal lobe infarct. T2-weighted
image (Fig. 4 a, arrow) demonstrates subtle loss of gray-white matter differentiation within the left frontal lobe.
Axial diffusion weighted ima ge (Fig. 4b) shows striking hyperintensity (arrow) within the left frontal lobe confirming
decreased diffusion in an acute infarction.
INFECTIONS
• Bacterial Meningitis
• Infants are highly susceptible to bacterial meningitis, w hich is the m ost co
mm on neonatal C NS bacterial infection.
• The pathophysiology of bacterial meningitis is complex.
• The process begins with irritation of the meninges and the ventricles. Marked
cerebral edema occurs early in the infection.
• Inflammation spreads along cerebral vessels in ducing a vasculitis, w hich in t
u rn gives rise to hem orrhagic infarction.
• Perivascular infla mm ation exten d s to neighboring parynchemal tissue and
cerebritis results.
• Ischemia or cerebral hy p o perfusion m ay occu r fro m severe vasospasm in
inflamed vessels.
• The diagnosis of uncomplicated bacterial meningitis is established with
clinical evaluation, laboratory data, and lumbar puncture.
• Neuroimaging is used to evaluate the secondary complications of the disease.
• Conventional MR is the study of choice for detecting the wide array of
sequelae that can result.
• MR is particularly adept at demonstrating small lacunar infarcts in the
brainstem, basal ganglia, an d w hite m atter.
• Meningitis can be detected on post-gadolinium T1- weighted images as
abnormal leptomeningeal or cranial nerve enhancement.
• Enceph alitis is diagnose d as p arenchy m al areas of increased signal on T2-
weighted images with occasional enhancement on post-contrast T1-
weighted images.
• Infarction related to vasculitis is readily diagnosed using DWI.
MRS
• At birth, term baby has higer myoinositol(ml), creatine plus
phosphocreatine (Cr). and choline(Cho) and low N acetyl
aspartate(NAA) than an adult.
• Then progressive decrease in lactate and increase in NAA occurs
normally.
• In HIE there are high lactate and glutamine/glutamate levels on MRS
• Early abnormal Lac/NAA ratio poor outcome at 2 year of age.
• Low NAA/Cho and elevated Lac/NAA in 1st month of life is marker of
poor outcome in case of HIE.
• Best site is GP/Thalami.
TIMING OF THE MRI
• The ideal time to image depends on the information required.
• Conventional scans performed within the 1st 24 hrs may appear normal
even when there has been severe perinatal injury to the brain.
• Early imaging will help to differentiate antenatal from perinatal lesions.
• Perinatally acquired abnormalities ‘mature’ and become easier to identify
by the end of the 1st week.
• For information on the exact pattern of injury a scan between1and 2weeks
of age is usually ideal.
• After 2weeks there may be signs of cystic breakdown and atrophy, which
may make the initial pattern of injury more difficult to detect.
Thank you
T1W/T2W IMAGES
Useful for: Evaluating
anatomic detail
CSF: Dark
White Matter: White
Gray Matter: Gray
Vessels: Dark
Useful
Useful for: Looking at areas of
edema & pathology
CSF: Bright
White Matter: Gray
Gray Matter: Lighter than white
matter
Vessels: Dark
Bright on T1
Fat, subacute hemorrhage, melanin, protein rich fluid.
• Slowly flowing blood
• Paramagnetic substances(gadolinium,copper,manganese)
Dark on T1
• Edema, tumor, infection, inflammation,hemorrhage(hyperacute, chronic)
• Low proton density, calcification
• Flow void
Bright on T2
• Edema, tumor, Infection, inflammation, subdural collection
• Met hemoglobin in late sub acute hemorrhage
Dark on T2
• Low proton density,calcification,fibrous tissue
• Paramagnetic
substances(deoxyhemoglobin,methemoglobin(intracellular),ferritin,hemosi
derin,melanin.
• Protein rich fluid
• Flow void
Which scan best defines the abnormality
T1 W Images :
• Subacute Hemorrhage
• Fat-containing structures
• Anatomical Details
T2 W Images :
• Edema
• Demyelination
• Infarction
• Chronic Hemorrhage
FLAIR Images :
• Edema,
• Demyelination
• Infarction esp. in Periventricular location
Infarct
Acute :
T1W – Isointense hypo intense
T2W - Hyper intense
Sub acute:
T1W - Low signal,increased signal in peripheral
region..hemorrhage(metHb)
T2W - High signal
Chronic:
T1W - low signal
T2W - High siignal
T1 and T2 Images
• To create a T1-weighted image magnetization is allowed to recover before
measuring the MR signal.
• This image weighting is useful for assessing the cerebral cortex, identifying
fatty tissue.
• To create a T2-weighted image magnetization is allowed to decay before
measuring the MR signal.
• This image weighting is useful for detecting edema and inflammation,
revealing white matter lesions.
• T1 weighted imaging is better at demonstrating myelination in the 1st 6-8
months after birth and T2 weighting is better between 6 and 18 months.
CT BRAIN MRI T1 MRI T2
GREY
Parenchyma
Tumor
Edema
Edema
Tumor
Inflammation
Adult GM
Neonate WM
Adult: WM
Neonate: GM, PLIC
and Thalamus
BLACK
CSF
Air
Fat
CSF
Air
Bone(skull)
Calcification
Flow void
Air
Dense Bone
Calcification
WHITE
Bone
Blood
Calcification
Tumor
Fat
Blood
Adult: WM
Neonate: GM,PLIC
and Thalamus
CSF
Blood
Edema
Tumor
Most brain lesions
Adult: GM
Neonate: WM
Diffusion Images
• Diffusion MRI measures the diffusion of water molecules in biological tissues.
• The extent of tissue cellularity and the presence of intact cell membrane help
determine the impedance of water molecule diffusion.
• For example, a molecule inside the axon of a neuron has a low probability of
crossing the myelin membrane.
• Therefore the molecule moves principally along the axis of the neural fiber.
• If it is known that molecules in a particular voxel diffuse principally in one
direction, the assumption can be made that the majority of the fibers in this area
are parallel to that direction.
• “Diffusion demonstrates greater restriction than one would expect for this
tissue”- This is how it should be reported.
1. DWI (Diffusion Weighted Imaging)
2. ADC (Apparent Diffusion Coefficient)
3. DTI (Diffusion Tensor Imaging)
DWI
• Following an infarct , DWI is highly sensitive to the changes occurring in the
lesion.
• Increases in restriction (barriers) to water diffusion, as a result of cytotoxic
edema (cellular swelling), is responsible for the increase in signal on a DWI
scan.
• The DWI enhancement appears within 5–10 minutes of the onset of stroke
symptoms (CT which often does not detect changes of acute infarct for up to
4–6 hours) and remains for up to 2 weeks.
• Coupled with imaging of cerebral perfusion, "perfusion/diffusion mismatch”
may indicate regions capable of salvage by reperfusion therapy.
DWI
• Areas of restricted diffusion are bright on DWI and dark on ADC.
• Restricted diffusion occurs in cytotoxic edema:
– Ischemia (possibly within minutes)
– Seizures
DWI detects infarction within 24hrs.
Rapidly increases and peak at 3-5 days.
Then gradually fades away called as “pseudonormalization”
ADC
• The extent of tissue cellularity and the presence of intact cell
membrane help determine the impedance of water molecule diffusion.
• The impedance of water molecules diffusion can be quantitatively
assessed using the apparent diffusion coefficient (ADC) value.
• An ADC of a tissue is expressed in units of mm2/s.
– white matter: 670 - 800
– cortical grey matter: 800 - 1000
– deep grey matter: 700 - 850
– CSF: 3000 - 3400
FLAIR
• Fluid Attenuated Inversion Recovery (FLAIR) is an inversion-recovery
pulse sequence used to nullify the signal from fluids.
• High weighted T1 images.
• Used to asses the myelination in newborns and infants.
• Used in brain imaging to suppress CSF so as to bring out periventricular
hyperintense lesions, such as PVL.
• Most pathology is BRIGHT.
Hemorrhage on MRI
• Changes with the age of the blood.
• In general, five stages of haematoma
evolution:
• HYPERACUTE
– intracellular oxyhaemoglobin
– isointense on both T1 and T2
 ACUTE (1 to 2 days)
– intracellular deoxyhaemoglobin
– T2 signal intensity drops (T2 shortening)
– T1 remains intermediate-to-long
 EARLY SUBACUTE (2 to 7 days)
– intracellular methaemoglobin
– T1 signal gradually increases to become
hyperintense
 LATE SUBACUTE (7 to 14-28 days)
– extracellular methaemoglobin: over the
next few weeks, as cells break down,
extracellular methaemoglobin leads to an
increase in T2 signal also
• chronic (>14-28 days)
– periphery
• intracellular haemosiderin
• low on both T1 and T2
– center
• extracellular hemichromes
• isointense on T1, hyperintense on T2
• Patient Preparation
• Sedate baby, rarely complete anesthesia.
• MR compatible monitoring
• Metal check
• Ear protection of patient and accompanying relative
• Swaddle babies (decreases effects of motion)
• Staff and equipment for neonatal resuscitation.
How to read a MRI
• • We should know what structures are seen in which sections of brain
so that we can identify the abnormality.
• • Showing you sections of adult brain and structures seen in them.
• • For neonatologists dealing with asphyxial injuries we should focus
on sections involving basal ganglia and thalami as they are primarily
involved in HIE.
• • You can only interpret MRI if you what structure to see in which
disorders and which sections to see it in.
• • One can read MRI from top i.e. parietal region to base of skull or in
reverse direction but maintain a flow and don`t jump sections.
Case 1
• Case: Mother complained decreased fetal movements for 48 hours.
• Unreactive NST
• Emergency LSCS performed.
• Born at 37+3 weeks GA .
• Required resuscitation and encephalopathic baby
• Had seizures within 6 hours of life.
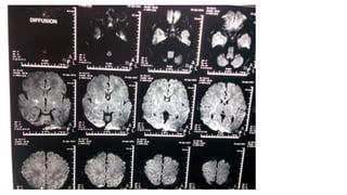
• Imaged day 2
MRI Brain on DOL 2
• Diffusion imaging excellent for early detection of WM injury.
• Note abnormal high signal throughout the white matter on DWI and
corresponding low signal in the ADC map.
•Decreased fetal movements associated with WM injury.
Case 2
• • Primigravida mother,registered in other hospital.
• • Mother referred for MSAF.
• • 40weeks baby 2.9kg
• • Baby required resuscitation and was
• encephalopathic and needed ventilatory
• assistance.
• • Put on therapeutic hypothermia.
• • Scan done on DOL 5
• Description of MRI
• T1 and T2 images showed increased and decreased signal intensities
in the lentiform nuclei and the ventero-lateral part of thalamus but
PLIC signals are intact.
• DWI shows diffusion restriction in same areas.
• As the baby received therapeutic hypothermia the mild basal ganglia
affection without involving PLIC is seen.
CASE 3
• 2nd gravida mother referred for MSAF
• Baby non-vigorous required resuscitation as bag and mask for 2 mins.
• Cord pH 6.9 with BE -18
• Convulsions within 2 hours of life and required 3 anticonvulsants to
control seizures.
• MRI done on DOL 6.
Understanding mri in neonate
Understanding mri in neonate
Understanding mri in neonate
Understanding mri in neonate

Understanding mri in neonate

  • 1.
  • 2.
    History • Magnetic resonanceimaging inventor. • The first MR image was published in 1973. • The first studies performed on humans were published in 1977 • In 2003, The 2003 Nobel Prize in Physiology or Medicine was awarded to Paul C Lauterbur and Peter Mansfield • Made new MR imaging techniques • Faster and more efficient FATHER OF MRI
  • 3.
    What is MRI?? Produces very clear, detailed pictures of the organs and structures in the body It is a form of medical imaging that uses no Ionizing radiation. MRI makes use of the property of Nuclear magnetic resonance (NMR) to image nuclei of atoms inside the body.
  • 4.
    MAIN COMPONENTS OFMRI Scanner Computers Recording hardware SCANNER • An MRI scanner is a large tube that contains powerful magnets. • Main components of scanner – Static magnetic field coils – Gradient coils – RF (radiofrequency) coils
  • 5.
    Principle ?? • Fourbasic steps are involved in getting an MR image- 1. Placing the patient in the magnet 2. Sending radiofrequency (RF) pulse by coil 3. Receiving signals from the patient again by coil 4. Signals are sent to computers for complex processing to get image. • Now let us understand these steps at molecular level. • Present MR imaging is based on proton imaging. Proton is a positively charged particle in the nucleus of every atom. • Since hydrogen ion (H+) has only one particle i.e. proton, it is equivalent to a proton.
  • 6.
    How does thisproton help in MR imaging? • Protons are positively charged and have rotatory movement called spin. • Any charge, which moves, generates current. • Every current has a small magnetic field around it. • So every spinning proton has a small magnetic field around it. • Without any influence of external magnetic field protons in the patient’s body move randomly in any direction.
  • 7.
    • When externalmagnetic field is applied, i.e. patient is placed in the magnet, these randomly moving protons align and spin in the direction of external magnetic field. • Some of them align parallel and some anti-parallel to the external magnetic field. • When protons align, not only they rotate around themselves (called spin) but also their axis of rotation moves such that it forms a ‘cone’. • This movement of axis of rotation of proton is called as precession. Spin is rotation of protons around its own axis while precession is rotation of the axis itself under the influence of external magnetic field such that it forms a ‘cone’
  • 8.
    • The numberof precessions of proton per second is precession frequency in Hertz. • Precession frequency is directly proportional to strength of external magnetic field. • Stronger the external magnetic field, higher is precession frequency. • Precession frequency of hydrogen proton for 1 Tesla is 42 MHz and for 1.5 Tesla it is 64 MHz.
  • 9.
  • 10.
    Longitudinal magnetization 1. External magneticfield is directed along Z-axis. Conventionally, Z-axis is the long axis of the patient as well as bore of the magnet. 2. Protons align parallel and anti-parallel to external magnetic field i.e. along positive and negative sides of Z-axis. 3. Forces of protons on negative and positive side cancel each other. 4. However, there are always more protons spinning on the positive side or parallel to Z-axis than negative side. 5. So, after cancelling each other few protons remain on positive side, which are not cancelled. 6. Forces of these protons add up together to form a magnetic vector along Z-axis. 7. This is longitudinal magnetization “ Longitudinal magnetization along external magnetic field cannot be measured directly. For measurement it has to be transverse “
  • 11.
    Transverse Magnetization 1. At thisstage radiofrequency pulse is sent. 2. Precessing protons pick up some energy from radiofrequency pulse. 3. Some of these protons go to higher energy level and start precessing anti-parallel. 4. This results in reduction in the magnitude of longitudinal magnetization. 5. Forces of protons now add up to form a new magnetic vector in transverse (X-Y) plane. 6. This is called as transverse Magnetization. 7. In short, RF pulse causes longitudinal magnetization to reduce and establishes a new transverse magnetization. 8. For exchange of energy to occur between protons and RF pulse, precession frequency of protons should be same as RF pulse frequency. 9. When RF pulse and protons have same frequency protons can pick up some energy from RF pulse. This phenomenon is called as “resonance”— the R of MRI.
  • 12.
    MR Signal 1.When RFp is switched off TM vector goes on reducing in its magnitude and LM goes on increasing. 2. The resultant NMV formed by addition of these two (LM and TM vectors) gradually moves from transverse X-Y plane into vertical Z- axis. 3. During this movement it produces current in receiver coil. 4. This current received by the coil is MR signal
  • 13.
    Image formation • Signalis transformed into image by complex mathematical process— Fourior Transformation by computers.
  • 14.
    Summary 1. Longitudinal magnetizationis formed long Z-axis. 2. RF pulse is sent : • Precessing protons pick up energy from RF pulse to go to higher energy level and precess in phase. This results in reduction in longitudinal magnetization and formation of transverse magnetization in X-Y plane. 3. MR signal • Transverse magnetization vector precess and generates current. When RF pulse is switched off, this current produces signal in the coil. 4. Image formation • Signal is transformed into image by complex mathematical process— Fourior Transformation by computers.
  • 15.
    T1 • T1 isthe time taken by LM to recover after RF pulse is switched off, to original value. This is not exact time, but it is a ‘constant’. • When RF pulse is switched off, protons start losing their energy. This energy is given to surrounding tissues. • T1 depends upon tissue composition, structure and surroundings. • water has long T1 • fat has short T1
  • 16.
    T2 • T2 istime taken by TM to disappear. • T2 depends on inhomogeneity of external magnetic field and inhomogeneity of local magnetic field within tissues. • As water molecules move very fast, their magnetic fields fluctuate fast. • Because of lack of much inhomogeneity, protons stay in step for a long time resulting into, long T2 for water • If liquid is impure and has larger molecules, they move at slower rate. • This maintains inhomogeneity of magnetic field. • As a result protons go out of phase very fast. • Hence impure liquids, larger molecules have short T2, e.g. Fat has shorter T2.
  • 17.
    TR and TE •TR (Time to Repeat) is the time interval between start of one RF pulse and start of next RF pulse. • TE (Time to Echo) is the time interval between start of RF pulse and reception of the echo (signal). • Short TR and short TE gives T1-weighted images. • Long TR and long TE gives T2-weighted images.
  • 18.
    Role Of MRIin Newborn 1. Confirm a normally developed brain 2. Assess severity and pattern of any injury 3. Predict outcome from pattern of injury and clinical details 4. Assess/ monitor the effect of any intervention 5. Even with all diagnostic criteria – The spectrum of injury may be wide – The evolution of lesions variable
  • 19.
  • 21.
    Normal MR appearanceof neonatal brain • The most characteristic finding in the normal neonatal brain is the almost complete lack of myelination. • MR imaging is exquisitely sensitive to the myelination of white matter. • Unmyelinated white matter is hyperintense on T2-weighted images and hypointense on T1-weighted images.
  • 22.
    • There isa predictable course of myelination based on the gestational age of the newborn.
  • 23.
    Myelination • First myelination –seen as early as 16th week of gestation, • It does not reach maturity until 2 years or so. • It correlates very closely to developmental milestones. • The progression is predictable few simple general rules; myelination progresses from: 1. central to peripheral 2. caudal to rostral 3. dorsal to ventral 4. sensory then motor
  • 24.
    Myelination milestones • termbirth: brainstem, cerebellum, posterior limb of the internal capsule, optic tract, perirolandic region • 2 months: anterior limb of the internal capsule • 3 months: splenium of the corpus callosum • 6 months: genu of the corpus callosum
  • 25.
    Myelinated Structures atBirth • Dorsal brainstem • Ventrolateral thalamus • Lentiform nuclei • Central corticospinal tracts • Posterior limb of the internal capsule • Middle cerebellar peduncle • Optic nerve, chiasma and tract
  • 26.
    Progression Of Myelination •The first change is increase in T1 signal, and later decrease in T2. • 2-3 months: anterior limb of IC becomes T1 bright • 3 months: cerebellar WM tracts becomes T1 bright • 3-6 months: splenium of corpus callosum becomes T2 dark • 6 months: genu of corpus callosum becomes T1 bright • 8 months: subcortical white matter becomes T1 bright • 8 months: genu of corpus callosum becomes T2 dark
  • 27.
    • 11 months:anterior limb of internal capsule becomes T2 dark • 1 year 2 months: occipital white matter becomes T2 dark • 1 year 4 months: frontal white matter becomes T2 dark • 1 1/2 years: majority of white matter becomes T2 dark (except terminal myelination zones adjacent to frontal horns and periatrial regions) • 2 years: almost all of white matter becomes T2 dark
  • 28.
  • 29.
    THE IMAGING PLANES -Axial plane: Transverse images represent "slices" of the body - Sagittal plane: Images taken perpendicular to the axial plane which separate the left and right sides (lateral view) - Coronal plane: Images taken perpendicular to the sagittal plane which separate the front from the back. (frontal view)
  • 30.
    How do youdescribe abnormalities on MR? • Hyperintense (more intense): If an abnormality is bright (white) on MR, we describe it as hyperintense. • Isointense (the same intensity): If an abnormality is the same intensity to a reference structure, we describe it as isointense. • Hypointense (less intense): If an abnormality is dark on MR .
  • 31.
    Types of MRImages • T1 image : Useful for: Evaluating anatomic detail • CSF: Dark • White Matter: White • Gray Matter: Gray • Vessels: Dark T1 image with contrast : Useful for: Evaluating for BBB breakdown • in the setting of tumor, infection, etc. • CSF: Dark • White Matter: White • Gray Matter: Gray • Vessels: Bright
  • 32.
    Axial T2 image: Useful for: Looking at areas of edema & pathology CSF: Bright White Matter: Gray Gray Matter: Lighter than white matter Vessels: Dark Coronal Flair image : (Fluid Attenuated Inversion Recovery ) Useful for: Evaluating areas of edema with CSF subtraction. Edema stands out because is CSF dark. • • Used in brain imaging to suppress CSF so as to bring out periventricular hyperintense lesions, such as PVL. • • Most pathology is BRIGHT. CSF: Dark White Matter: Gray Gray Matter: Lighter than white matter Vessels: Dark
  • 33.
    Axial DWI image: Useful for: stroke imaging, abscess, • cellular tumors • CSF: Dark • White Matter: Gray • Gray Matter: Lighter than white matter • Fuzzier image than FLAIR
  • 34.
    T2* (T2-star, orSWI) • Form of T2-weighted image which is susceptible to iron or calcium • Blood, bone, calcium appear dark • Area of blood often appears much larger than reality(“blooming”) • Useful for: Identification of early hemorrhage • Look for: DARK only • Recognition: • Like T2 except • Cranium, scalp are dark or absent • Dark areas near frontal and temporal bones • Hemorrhage is darker than brain
  • 35.
    Apparent Diffusion Coefficient •Calculated by acquiring two or more images with a different gradient duration and amplitude . • To differentiate T2 shine through effects or artifacts from real ischemic lesions. • Useful for estimating the lesion age and distinguishing acute from subacute DWI lesions. • Acute ischemic lesions can be divided into :- 1- Hyperacute lesions (low ADC and dwipositive) 2- Subacute lesions (normalized ADC). 3- Chronic lesions can be differentiated from acute lesions by normalization of ADC and DWI
  • 36.
    • Nonischemic causesfor decreased ADC Abscess Lymphoma and other tumors Multiple sclerosis Seizures Metabolic (Canavans )
  • 37.
    Evaluation of acutestroke on DWI • The DWI and ADC maps show changes in ischemic brain within minutes to few hours • The signal intensity of acute stroke on DW images increase during the first week after symptom onset and decrease thereafter, but signal remains hyper intense for a long period (up to 72 days in the study by Lausberg et al) • The ADC values decline rapidly after the onset of ischemia and subsequently increase from dark to bright 7-10 days later .
  • 38.
    • This propertymay be used to differentiate the lesion older than 10 days from more acute ones . • Chronic infarcts are characterized by elevated diffusion and appear hypo, iso or hyper intense on DW images and hyperintense on ADC maps.
  • 39.
  • 40.
    White Matter Injuryof Prematurity • Neonatal white matter injury is a common complication of prematurity and is often an end-result of perinatal hypoxic-ischemic events in this population. • The pattern of white matter injury is traditionally described as small, non-hemorrhagic, gliotic lesions appearing symmetrically in periventricular areas - particularly in the trigone and adjacent to the foramen of Monro. • This distribution of inju ry has earned the classic title of periventricular leukomalacia (PVL)
  • 41.
    • Conventional MRimaging exhibits superior sensitivity for non-cavitary PVL, especially in the acute setting (2-5 days). • Lesions appear as small punctate hyperintense areas on T1-weighted images, 20, 21 which are likely to be a product of reactive gliosis. 24 • Cavitations are also visible as areas of hy p ointensity on T1- weighte d im ages an d hyperintensity on T2-weighted images. • MR imaging is capable of detecting structural changes of chronic PVL including white matter atrophy, callosal thinning and ex vacuo ventricular dilation. 11
  • 42.
    • Diffusion- weightedimaging (DWI) is yet another p ro mising techniq ue for early d etection of PVL. • Fin dings include hyperintensity on DWI and diminished apparent diffusion coefficients in the periventricular white matter in the first few days after injury. • DWI findings are most advantageous in the acute setting as these are observed before any abnormality appears on ultrasound or conventional MR images. • Decreased apparent diffusion coefficients are usually limited to the acute phase as parenchymal changes normalize within the first five days of injury.
  • 43.
    Germinal Matrix andIntraventricular Hemorrhage • Intraventricular hemorrhage (IVH) comprises a spectrum of pathological processes that result from blood filling in and around the ventricles. • Cranial ultrasonogra ph y an d conventional MR im aging have been t w o wid ely studie d im aging modalities for early detection of GMH. • MR imaging exhibits a superior capacity to differentiate blood from other lesions after the hyperacute phase.. • Acute hemorrhagic foci on T1- weighted images appear as small areas of normal to increased signal and can be confirmed on T2 w eighte d seq uences as ovoid areas of distinct hy p ointensity. • MR also offers the a d vantage of identifying subependymal bleeds in the subacute and ch ro nic ph ases with su bstantial sensitivity for hem orrhage.
  • 44.
    • In summary,conventional MR is currently the preferred imaging modality for the diagnosis and evaluation of acute or subacute GMH and its IVH sequelae. • Cranial ultrasonograph y rem ains useful for the hy peracute setting, for repeated follow-up imaging or w hen MR facilities are unavailable.
  • 45.
    Periventricular Hemorrhagic Infarction •Intraventricular hemorrhage can ca use m ass effect, resulting in obstr uction of veno us o u tflo w fro m periventricular parenchymal tissue and culminating in hem orrhagic infarction 35 secon d ary to veno us hypertension. • While PVHI is detectable on cranial sonography, MR imaging is more sensitive than ultrasound in the detection and quantification of PVHI. • Conventional MR offers the advantage of differentiating hemorrhagic and necrotic components of PVHI . • T2-weighted sequences display hemorrhage as regions of low signal, contrasted against the neighboring venous infarct which appears hyperintense. • The superior tissue differentiation of MR imaging allows for more precise estimates of infarct size and location.
  • 46.
    Axial T2 weightedimage (Fig. 1a) demonstrates hypointense right frontral PVHI (arrow) with surrounding white matter injury which is hyperintense. Sagittal T2-weighted image demonstrates the IVH in the occipital horn (arrow) of the lateral ventricle as well as PVHI.
  • 47.
    Hypoxic ischemic injury •Inadequate brain oxygenation is the major recognized cause of perinatal morbidity and mortality 29 and may result fro m either hy p oxic, ischemic or co m bine d processes. • Significant parenchymal injury may occur with prolonged oxygen deprivation – a condition known as hypoxic-ischemic encephalopathy (HIE). • HIE in preterm infants exhibits predominantly white matter injury (ie. PVL). • In contrast, the pattern observed in term infants involves necrosis of select gray and white matter structures.
  • 48.
    This term infantdeveloped hypoxic-ischemic injury which predominantly affected the watershed cortex and subcortical white matter of bilateral hemispheres. 1. Axial T2 weighted (figure 2a, arrows), 2. Axial FLAIR (fig. 2b, arrows) and 3. Coronal T1- weighted images (fig. 2c, arrows) demonstrate the watershed hypoxic-ischemic injury pattern.
  • 49.
    MR in HIE-Pattern and Site Mild to moderate injury • Prolonged partial insult. • e.g. cord around the neck • Time for redistribution of cerebral blood flow. • Ensures perfusion to metabolically active areas of grey matter (BGT, brainstem, cerebellum) • Injury to watershed (inter-vascular) area of cerebrum. • Injury is different in PT and Term.
  • 50.
    Mild to ModInjury Preterm Term • Periventricular white matter 1. PVL I. Initially hyperintense on T1 and T2 II. With restricted diffusion on DWI II. After 4-6weeks: Cysts III. End stage: Ventriculomegaly, loss of periventricular white matter with increased signal on T2 and thinning of corpus callosum. 2. IVH due to reperfusion injury • Parasagittal cortical and subcortical injury. • Watershed area between ACA, MCA, PCA. T1 Hypointense T2 Hyperintense lesion With restricted diffusion on DWI.
  • 51.
    Severe Injury • Acuteinsult such as, cord prolapse or uterine rupture or abruptio placentae • No time for redistribution • Injury in metabolically active areas of brain Preterm Term Grey matter especially Thalami and Brainstem Brainstem Lateral Thalami Globus Pallidus Putamen Hippocamus Perirolandic (Sensorymotor) cortex
  • 52.
    Injury due tohypotension • Parenchymal injury resulting from severe hypotension has a predilection for the basal ganglia as well as the lateral thalamus, hippocampus, and corticospinal tracts. • The vascular boundary zones are usually spared. • Basal ganglia injury is more common. • The areas of hypointensity on T1 become hyperintense approximately two to three days after injury. Finally, lesions on T2 eventually assume a hypointense appearance at six to ten days after injury. 70 These changes are typical whether occu rring in the thala mus, perirolan dic cortex, hippocampal formation, or the dorsal mesencephalic
  • 53.
    This newborn presentedwith severe hypoxic-ischemic encephalopathy resulting in a basal ganglia pattern of injury. Axial FLAIR image (Fig. 3a, arrows) and axial diffusion weighted image (Fig. 3b, arrows) show hyperintense lesions within bilateral basal g anglia
  • 54.
    • Imaging featuresof HIE will vary depending on gestational age and severity of oxygen deprivation. • Term neonates with mild to moderate hypoperfusion will develop parasagittal injury. • Cranial ultrasonography an d computed tomography (CT) cannot detect parasagittal or watershed injury in the acute phase. • Conventional MR imaging with the addition of DWI has increased sensitivity for acute parasagittal lesions which are hypointense on T1- weighted images, hyperintense on T2-weighted images and hyperintense on DWI.
  • 55.
    • DWI cangive false negative results if performed within the first several hours of hypoxic-ischemic injury. • A missed HIE diagnosis could yield devastating outcomes for the patient involved. • After the first 24 hours, the lesions appear hyperintense. • As the HIE lesions evolve from the acute to the chronic phases, the initial decreased diffusion in the acute phase progresses to increased diffusion in the chronic phase. • This observed DWI phenomenon is likely attributed to fluid shifts between intracellular and extracellular compartments that occur over the course of cell injury.
  • 56.
    CEREBRAL INFARCTION • Cerebralinfarction of the neonate is most often idiopathic, but coagulopathy is the most common known etiology in this population. • Cranial ultrasonography and CT are poorly sensitive for acute ischemia. • Conventional MR imaging however has been named as the overall tool of choice for evaluating focal infarction. • On T1 weighted an d T2- weighted images, infarcts become readily visible after two or three days as areas demonstrating loss of gray- white matter differentiation.
  • 57.
    • DWI isthe most effective tool for the detection of acute infarcts. 64 DWI can also better identify infarct boundaries and can pinpoint irreversible lesions. • MR arteriography and MR venography can be used in conjunction with MR imaging of the brain to diagnose ca uses of arterial an d veno us infarction. MR arteriography may show occlusion of intracranial vessels as a ca use of the infarct. MR venogra ph y m ay demonstrate venous sinus thrombosis as the cause of venous infarction.
  • 58.
    This term newbornpresented with a seizure and was found to have an acute left frontal lobe infarct. T2-weighted image (Fig. 4 a, arrow) demonstrates subtle loss of gray-white matter differentiation within the left frontal lobe. Axial diffusion weighted ima ge (Fig. 4b) shows striking hyperintensity (arrow) within the left frontal lobe confirming decreased diffusion in an acute infarction.
  • 60.
    INFECTIONS • Bacterial Meningitis •Infants are highly susceptible to bacterial meningitis, w hich is the m ost co mm on neonatal C NS bacterial infection. • The pathophysiology of bacterial meningitis is complex. • The process begins with irritation of the meninges and the ventricles. Marked cerebral edema occurs early in the infection. • Inflammation spreads along cerebral vessels in ducing a vasculitis, w hich in t u rn gives rise to hem orrhagic infarction. • Perivascular infla mm ation exten d s to neighboring parynchemal tissue and cerebritis results. • Ischemia or cerebral hy p o perfusion m ay occu r fro m severe vasospasm in inflamed vessels.
  • 61.
    • The diagnosisof uncomplicated bacterial meningitis is established with clinical evaluation, laboratory data, and lumbar puncture. • Neuroimaging is used to evaluate the secondary complications of the disease. • Conventional MR is the study of choice for detecting the wide array of sequelae that can result. • MR is particularly adept at demonstrating small lacunar infarcts in the brainstem, basal ganglia, an d w hite m atter. • Meningitis can be detected on post-gadolinium T1- weighted images as abnormal leptomeningeal or cranial nerve enhancement. • Enceph alitis is diagnose d as p arenchy m al areas of increased signal on T2- weighted images with occasional enhancement on post-contrast T1- weighted images. • Infarction related to vasculitis is readily diagnosed using DWI.
  • 62.
    MRS • At birth,term baby has higer myoinositol(ml), creatine plus phosphocreatine (Cr). and choline(Cho) and low N acetyl aspartate(NAA) than an adult. • Then progressive decrease in lactate and increase in NAA occurs normally. • In HIE there are high lactate and glutamine/glutamate levels on MRS • Early abnormal Lac/NAA ratio poor outcome at 2 year of age. • Low NAA/Cho and elevated Lac/NAA in 1st month of life is marker of poor outcome in case of HIE. • Best site is GP/Thalami.
  • 63.
    TIMING OF THEMRI • The ideal time to image depends on the information required. • Conventional scans performed within the 1st 24 hrs may appear normal even when there has been severe perinatal injury to the brain. • Early imaging will help to differentiate antenatal from perinatal lesions. • Perinatally acquired abnormalities ‘mature’ and become easier to identify by the end of the 1st week. • For information on the exact pattern of injury a scan between1and 2weeks of age is usually ideal. • After 2weeks there may be signs of cystic breakdown and atrophy, which may make the initial pattern of injury more difficult to detect.
  • 64.
  • 65.
    T1W/T2W IMAGES Useful for:Evaluating anatomic detail CSF: Dark White Matter: White Gray Matter: Gray Vessels: Dark Useful Useful for: Looking at areas of edema & pathology CSF: Bright White Matter: Gray Gray Matter: Lighter than white matter Vessels: Dark
  • 66.
    Bright on T1 Fat,subacute hemorrhage, melanin, protein rich fluid. • Slowly flowing blood • Paramagnetic substances(gadolinium,copper,manganese) Dark on T1 • Edema, tumor, infection, inflammation,hemorrhage(hyperacute, chronic) • Low proton density, calcification • Flow void
  • 67.
    Bright on T2 •Edema, tumor, Infection, inflammation, subdural collection • Met hemoglobin in late sub acute hemorrhage Dark on T2 • Low proton density,calcification,fibrous tissue • Paramagnetic substances(deoxyhemoglobin,methemoglobin(intracellular),ferritin,hemosi derin,melanin. • Protein rich fluid • Flow void
  • 68.
    Which scan bestdefines the abnormality T1 W Images : • Subacute Hemorrhage • Fat-containing structures • Anatomical Details T2 W Images : • Edema • Demyelination • Infarction • Chronic Hemorrhage FLAIR Images : • Edema, • Demyelination • Infarction esp. in Periventricular location
  • 69.
    Infarct Acute : T1W –Isointense hypo intense T2W - Hyper intense Sub acute: T1W - Low signal,increased signal in peripheral region..hemorrhage(metHb) T2W - High signal Chronic: T1W - low signal T2W - High siignal
  • 71.
    T1 and T2Images • To create a T1-weighted image magnetization is allowed to recover before measuring the MR signal. • This image weighting is useful for assessing the cerebral cortex, identifying fatty tissue. • To create a T2-weighted image magnetization is allowed to decay before measuring the MR signal. • This image weighting is useful for detecting edema and inflammation, revealing white matter lesions. • T1 weighted imaging is better at demonstrating myelination in the 1st 6-8 months after birth and T2 weighting is better between 6 and 18 months.
  • 72.
    CT BRAIN MRIT1 MRI T2 GREY Parenchyma Tumor Edema Edema Tumor Inflammation Adult GM Neonate WM Adult: WM Neonate: GM, PLIC and Thalamus BLACK CSF Air Fat CSF Air Bone(skull) Calcification Flow void Air Dense Bone Calcification WHITE Bone Blood Calcification Tumor Fat Blood Adult: WM Neonate: GM,PLIC and Thalamus CSF Blood Edema Tumor Most brain lesions Adult: GM Neonate: WM
  • 73.
    Diffusion Images • DiffusionMRI measures the diffusion of water molecules in biological tissues. • The extent of tissue cellularity and the presence of intact cell membrane help determine the impedance of water molecule diffusion. • For example, a molecule inside the axon of a neuron has a low probability of crossing the myelin membrane. • Therefore the molecule moves principally along the axis of the neural fiber. • If it is known that molecules in a particular voxel diffuse principally in one direction, the assumption can be made that the majority of the fibers in this area are parallel to that direction. • “Diffusion demonstrates greater restriction than one would expect for this tissue”- This is how it should be reported. 1. DWI (Diffusion Weighted Imaging) 2. ADC (Apparent Diffusion Coefficient) 3. DTI (Diffusion Tensor Imaging)
  • 74.
    DWI • Following aninfarct , DWI is highly sensitive to the changes occurring in the lesion. • Increases in restriction (barriers) to water diffusion, as a result of cytotoxic edema (cellular swelling), is responsible for the increase in signal on a DWI scan. • The DWI enhancement appears within 5–10 minutes of the onset of stroke symptoms (CT which often does not detect changes of acute infarct for up to 4–6 hours) and remains for up to 2 weeks. • Coupled with imaging of cerebral perfusion, "perfusion/diffusion mismatch” may indicate regions capable of salvage by reperfusion therapy.
  • 75.
    DWI • Areas ofrestricted diffusion are bright on DWI and dark on ADC. • Restricted diffusion occurs in cytotoxic edema: – Ischemia (possibly within minutes) – Seizures DWI detects infarction within 24hrs. Rapidly increases and peak at 3-5 days. Then gradually fades away called as “pseudonormalization”
  • 76.
    ADC • The extentof tissue cellularity and the presence of intact cell membrane help determine the impedance of water molecule diffusion. • The impedance of water molecules diffusion can be quantitatively assessed using the apparent diffusion coefficient (ADC) value. • An ADC of a tissue is expressed in units of mm2/s. – white matter: 670 - 800 – cortical grey matter: 800 - 1000 – deep grey matter: 700 - 850 – CSF: 3000 - 3400
  • 77.
    FLAIR • Fluid AttenuatedInversion Recovery (FLAIR) is an inversion-recovery pulse sequence used to nullify the signal from fluids. • High weighted T1 images. • Used to asses the myelination in newborns and infants. • Used in brain imaging to suppress CSF so as to bring out periventricular hyperintense lesions, such as PVL. • Most pathology is BRIGHT.
  • 78.
    Hemorrhage on MRI •Changes with the age of the blood. • In general, five stages of haematoma evolution: • HYPERACUTE – intracellular oxyhaemoglobin – isointense on both T1 and T2  ACUTE (1 to 2 days) – intracellular deoxyhaemoglobin – T2 signal intensity drops (T2 shortening) – T1 remains intermediate-to-long  EARLY SUBACUTE (2 to 7 days) – intracellular methaemoglobin – T1 signal gradually increases to become hyperintense  LATE SUBACUTE (7 to 14-28 days) – extracellular methaemoglobin: over the next few weeks, as cells break down, extracellular methaemoglobin leads to an increase in T2 signal also • chronic (>14-28 days) – periphery • intracellular haemosiderin • low on both T1 and T2 – center • extracellular hemichromes • isointense on T1, hyperintense on T2
  • 80.
    • Patient Preparation •Sedate baby, rarely complete anesthesia. • MR compatible monitoring • Metal check • Ear protection of patient and accompanying relative • Swaddle babies (decreases effects of motion) • Staff and equipment for neonatal resuscitation.
  • 81.
    How to reada MRI • • We should know what structures are seen in which sections of brain so that we can identify the abnormality. • • Showing you sections of adult brain and structures seen in them. • • For neonatologists dealing with asphyxial injuries we should focus on sections involving basal ganglia and thalami as they are primarily involved in HIE. • • You can only interpret MRI if you what structure to see in which disorders and which sections to see it in. • • One can read MRI from top i.e. parietal region to base of skull or in reverse direction but maintain a flow and don`t jump sections.
  • 83.
    Case 1 • Case:Mother complained decreased fetal movements for 48 hours. • Unreactive NST • Emergency LSCS performed. • Born at 37+3 weeks GA . • Required resuscitation and encephalopathic baby • Had seizures within 6 hours of life. • Imaged day 2
  • 84.
    MRI Brain onDOL 2 • Diffusion imaging excellent for early detection of WM injury. • Note abnormal high signal throughout the white matter on DWI and corresponding low signal in the ADC map. •Decreased fetal movements associated with WM injury.
  • 85.
    Case 2 • •Primigravida mother,registered in other hospital. • • Mother referred for MSAF. • • 40weeks baby 2.9kg • • Baby required resuscitation and was • encephalopathic and needed ventilatory • assistance. • • Put on therapeutic hypothermia. • • Scan done on DOL 5
  • 86.
    • Description ofMRI • T1 and T2 images showed increased and decreased signal intensities in the lentiform nuclei and the ventero-lateral part of thalamus but PLIC signals are intact. • DWI shows diffusion restriction in same areas. • As the baby received therapeutic hypothermia the mild basal ganglia affection without involving PLIC is seen.
  • 90.
    CASE 3 • 2ndgravida mother referred for MSAF • Baby non-vigorous required resuscitation as bag and mask for 2 mins. • Cord pH 6.9 with BE -18 • Convulsions within 2 hours of life and required 3 anticonvulsants to control seizures. • MRI done on DOL 6.