Embed presentation




















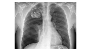
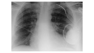
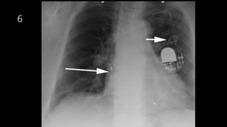
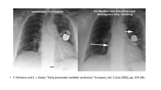
A 61-year-old man presented with worsening right thoracic pain and dyspnea three days after being discharged from cardiology following pacemaker implantation for sick sinus syndrome. A 60-year-old woman with an implanted pacemaker presented with dizziness and fainting. A 77-year-old woman who had a pacemaker implanted for symptomatic sinus bradycardia presented one week later with continuous chest pain. An elderly patient presented 6 months after pacemaker implantation with a recurrence of exertional shortness of breath.


















