Embed presentation

























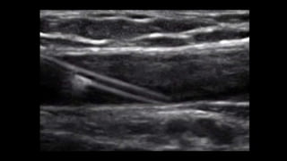
The document provides essential tips for vascular access using ultrasound, emphasizing the need for longer IV catheters to increase success rates. It suggests scanning for the largest and most superficial veins while being cautious of the free wall. Additionally, it highlights the importance of proper patient and machine positioning for optimal ergonomics and comfort during the procedure.























