LOWER LIMB VENOUS DOPPLER
Presented By –
Dr Mukesh Tilgam
Resident PG-II(MD)
LNMC & JKH Bhopal
Moderated By-
Dr Rakesh Mishra
Professor
Deptt of Radiodiagnosis
LNMC & JKH Bhopal
Five top technical tips
1. Know the anatomy
2. Know as much as possible a patient history
3. Become comfortable with central vein evaluation
4. Watch for collateral veins
5. Focus on Doppler waveforms and symmetry
between the limbs
Venous Duplex Doppler
VEINS OF LOWER LIMB
Greater
Saphenous
Vein
Small
Saphenous
Vein
Femoral
Vein
Profunda
Femoris
Vein
Popliteal
Vein
Peroneal
Vein
Anterior
&
Posterior
Tibial Vein
Greatsaphenousvein
originates from the medial
side of the dorsal venous arch,
and then ascends up the
medial side of the leg, knee,
and thigh to connect with the
femoral vein just inferior to
the inguinal ligament
Small saphenousvein
originates from the lateral side
of the dorsal venousarch,
ascends up the posterior
surface of the leg, and then
penetrates deep fascia to join
the popliteal vein posterior to
the knee; proximal to the
knee, the popliteal vein
becomes the femoral vein.
Venous drainage of foot
COMMON DOPPLER TECHNIQUE / FINDINGS
DOPPLER US TECHNIQUE IN LL
A condition in which a blood clot forms in one or
more of the deep veins of the body, usually the
legs.
Can develop if one is sitting still for a long time,
such as when travelling by plane or if one has a
medical condition affecting the normal clotting of
blood.
Serious condition - becauseblood clot that formed
in the vein can travel through the blood stream
and lodge in the lungs, blocking blood flow
( Pulmonary Embolism)
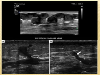
VARICOSE VEIN
VARICOSE VEINS
• Normal flow of blood in the venous syste
depends upon the presence of competent
valves, which prevent reflux.
•Venous return is supplemented with contraction of
the muscles in the lower limb, which pump the blood
toward the heart.
•When venous valves become incompetent they
tend to place extra pressure on more
distal valves, which may also become
incompetent.
•This conditionproduces dilated tortuous superficial
veins (varicose veins) in the distribution of the great
(long) and small (short) saphenous venous systems.
Some individuals have a genetic predisposition to
developing varicose veins.
m
Patients Position
Lying down
Sitting
Standing
THANK YOU

Venous Doppler Lower limb Dr Mukesh Tilgam

  • 1.
    LOWER LIMB VENOUSDOPPLER Presented By – Dr Mukesh Tilgam Resident PG-II(MD) LNMC & JKH Bhopal Moderated By- Dr Rakesh Mishra Professor Deptt of Radiodiagnosis LNMC & JKH Bhopal
  • 2.
    Five top technicaltips 1. Know the anatomy 2. Know as much as possible a patient history 3. Become comfortable with central vein evaluation 4. Watch for collateral veins 5. Focus on Doppler waveforms and symmetry between the limbs Venous Duplex Doppler
  • 4.
    VEINS OF LOWERLIMB Greater Saphenous Vein Small Saphenous Vein Femoral Vein Profunda Femoris Vein Popliteal Vein Peroneal Vein Anterior & Posterior Tibial Vein
  • 5.
    Greatsaphenousvein originates from themedial side of the dorsal venous arch, and then ascends up the medial side of the leg, knee, and thigh to connect with the femoral vein just inferior to the inguinal ligament Small saphenousvein originates from the lateral side of the dorsal venousarch, ascends up the posterior surface of the leg, and then penetrates deep fascia to join the popliteal vein posterior to the knee; proximal to the knee, the popliteal vein becomes the femoral vein.
  • 7.
  • 10.
  • 27.
  • 48.
    A condition inwhich a blood clot forms in one or more of the deep veins of the body, usually the legs. Can develop if one is sitting still for a long time, such as when travelling by plane or if one has a medical condition affecting the normal clotting of blood. Serious condition - becauseblood clot that formed in the vein can travel through the blood stream and lodge in the lungs, blocking blood flow ( Pulmonary Embolism)
  • 108.
  • 109.
    VARICOSE VEINS • Normalflow of blood in the venous syste depends upon the presence of competent valves, which prevent reflux. •Venous return is supplemented with contraction of the muscles in the lower limb, which pump the blood toward the heart. •When venous valves become incompetent they tend to place extra pressure on more distal valves, which may also become incompetent. •This conditionproduces dilated tortuous superficial veins (varicose veins) in the distribution of the great (long) and small (short) saphenous venous systems. Some individuals have a genetic predisposition to developing varicose veins. m
  • 110.
  • 115.