Imaging in Pediatric Brain
Tumors
Dr. Suhas B
Resident (MD Radio-diagnosis)
Introduction
 20-30% of cancers in children
 2500-3000 new diagnoses/year
 2nd most common neoplasm
 Most occur before age 10 years
 Tumors in infants - usually congenital.
 Male/Female = 1.3/1.0
 60-70% 5 year survival
Analysis of a Potential Brain Tumor
 Age of the patient
 Localization
- Intra-axial or extra-axial
- Compartment
- Crossing of the midline
 CT and MR characteristics
- Calcification, fat and cystic
- T1, T2, DWI
- Contrast enhancement
 Effect on surrounding structures
- Mass effect, edema
 Solitary or multiple
 Psuedotumor
Differentiating with Extra-axial lesions
 CSF cleft sign
 Displaced subarachnoid vessels
 Cortical gray matter between mass and white matter
 Displace and expand subarachnoid space
 Broad dural space
 Bony reaction
Location
 Supratentorial 25-40%
 Astrocytoma, low grade 8-20%
 Astrocytoma, high grade 6-12%
 Ependymoma 2-5%
 Mixed glioma 1-5%
 Ganglioglioma 1-5%
 Oligodendroglioma 1-2%
 PNET 1-2%
 Choroid plexus tumor 1-2%
 Meningioma 1-2%
 Germ Cell Tumors 1-2%
 Other 1-3%
Location (contd.)
 Infratentorial 45-60%
 Medulloblastoma (PNET) 20-25%
 Astrocytoma, low grade 12-18%
 Ependymoma 4-8%
 Brain stem glioma, high grade 3-9%
 Brain stem glioma, low grade 3-6%
 Other 2-5%
Brain Tumors – signs and symptoms
 Increased intracranial pressure - symptoms
 Headache
 Nausea/vomiting
 Double vision
 Head tilt
 Decreased alertness
 Lethargy/irritability
 Poor feeding
 Endocrine dysfunction
 Unexplained behavior changes
- affect, motivation, energy level
Brain Tumors – Signs/Symptoms
 Increased ICP – Signs
 Papilledema, optic atrophy
 Loss of vision
 OFC (head circumference) increased
 Bulging fontanelles, spreading sutures
 “Setting sun” sign (Parinaud syndrome)
 Increased blood pressure, low pulse
- herniation?
Posterior Fossa & Brainstem Tumors - Clinical Features
 Posterior Fossa primary
 Ataxia
 Tremors
 Dysarthria
 Stiff neck
 Papilledema
 Brainstem primary
 Extremity weakness
 Cranial nerve signs
 double vision
 facial weakness
 swallowing dysfunction
Hemispheric Tumors –
Clinical Features
 Hemiparesis
 Hemianopia
 Aphasia
 Seizures
Astrocytoma
 Most common pediatric brain tumor is astrocytoma.
– With half being found in the posterior fossa
 Cerebellar astrocytoma make up 40% of pilocytic astrocytoma
 Usually occur in the latter half of the first decade
– Mean age of 7 years old
– Rarely found in children less than 1 year of age
 M:F = 2:1
 Association with NF-1 - more indolent course
 Symptoms:
– Increased ICP (headache, N/V, head size)
– Cerebellar deficits
 Signs:
– Papilladema (84%)
– Ataxia
Astrocytoma (contd.)
Most commonly involve white matter, may involve cortex
 CT:
- Hypodense or isodense
- mass lesion
- Calcification (10‐20%)
- Hemorrhage, cysts, calvarial erosion are very rare.
- No or very minimal enhancement
 MRI:
- Hypointense on T1
- Hyperintense on T2 with
- discrete margins
- Minimal enhancement
12 year old male child with headache and signs of ICT
 Differential diagnosis for astrocytoma:
 Brain abscess
 Encephalitis
 Brain Metastasis
 Toxoplasmosis
 Ependymoma
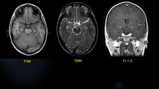
Subependymal Giant cell Astrocytoma
 benign tumours (WHO grade I)
 seen almost exclusively in young patients with tuberous sclerosis (TS)
 principally diagnosed in patients under 20 years of age
 They can be either asymptomatic or symptomatic due obstructive hydrocephalus
Subependymal Giant cell Astrocytoma (contd.)
 CT:
 typically appears as an intraventricular mass near the foramen of Monro
 they are usually larger than 1 cm
 lesions are iso- or slightly hypoattenuating to grey matter
 calcification is common and haemorrhage is possible
 accompanying hydrocephalus may be present
 often shows marked contrast enhancement (subependymal nodules also enhance)
 MRI:
 T1: heterogenous and hypo- to isointense to grey matter
 T2: heterogenous and hyperintense to grey matter; calcified components can be hypointense
 T1 C+ (Gd): can show marked enhancement
NCCT
Post-contrast
T2WI
Differential diagnosis:
 Central neurocytoma
 Choroid plexus papilloma
 Choroid plexus carcinoma
Pleomorphic xanthoastrocytoma
 type of rare, low-grade astrocytoma (WHO Grade II)
 found in young patients who typically present with temporal lobe epilepsy.
 They are rare tumours accounting for only ~ 1% of primary brain tumours
 almost invariably (98%) located supratentorially, typically located superficially (peripherally)
 involve the cortex and overlying leptomeninges.
 Approximately half are located in the temporal lobe
Pleomorphic xanthoastrocytoma (contd.)
CT:
usually present as cortical tumours with a cystic component
vivid contrast enhancement
no surrounding oedema; scalloping of the overlying bone.
A reactive dural involvement expressed by a dural tail sign can be found; Calcifications are rare.
MRI:
T1 - solid component iso to hypointense c.f. grey matter; cystic component low signal;
leptomeningeal involvement seen in over 70% of cases 2
T1 C+​ (Gd) - solid component usually enhances vividly
T2 - solid component iso to hyperintense c.f. grey matter; cystic component high signal; little
surrounding vasogenic oedema
DSA - avascular on angiography
CECT T1WI
FLAIR T2WI
T1 + C
Differential diagnosis:
Ganglioglioma
DNET
Oligodendroglioma
Desmoplastic infantile
ganglioglioma
Oligodendroglioma
 intracranial tumours that account for 5-25% of all gliomas and 5-10% of all primary intracranial
neoplasms
 rare tumors in pediatric age group accounting for 0.5 to 1%
 presentation is most frequently as a result of seizures
 tumours are typically located supratentorially (85%), involving the white matter
 most commonly found in the frontal lobes
Oligodendroglioma (contd.)
 CT:
 Tumours are of mixed density (hypodense to isodense).
 High-attenuation areas within the tumour are likely from calcification (70-90% of ODs are
calcified)
 Calcification can be located centrally, peripherally or they can be ribbon-like
 The overlying skull may show pressure erosion
 Only 50% of oligodendrogliomas show enhancement
 MRI:
 T1: typically hypointense
 T2: typically hyperintense (except calcified areas); calcium seen as areas of "blooming"
 T1 C+ (Gd): contrast enhancement is common but it is not a reliable indicator of tumour grade,
with only 50% of ODs enhancing to a variable degree, and usually heterogeneously
 DWI – no diffusion restriction
Differential diagnosis:
 Astrocytoma
 Ganglioglioma
 DNET
 Pleomorphic xanthoastrocytoma
 HSV encephalitis
NCCT
CECT
T1WI
T1 + C
T2WI
Ganglioglioma
 C/F - chronic temporal lobe epilepsy
 Age- 10-20 years ( < 30 years)
 Site- superficial hemisphere, temporal lobe
 Three patterns:
- Circumscribed cyst + mural nodule- MC
- Solid tumor, expands gyri
- Infiltrating, poorly defined mass
Ganglioglioma (contd.)
CT - Findings are of a mass which is often non specific. General features include:
 Iso or hypodense
 frequently calcified ~35%
 bony remodeling or thinning can indicate the slow growing nature of the tumour
 enhancement is seen in approximately 50% of cases (involving the solid non-calcified component)
MRI:
T1 - solid component iso to hypointense
T1 C+ (Gd) - solid component variable contrast enhancement
T2 – a) ​hyperintense solid component b)variable signal in the cystic component depending on
amount of proteinaceous material or presence of blood products
c) peritumoral FLAIR/T2 edema is distinctly uncommon
T2* (GE/SWI) - calcified areas (common) will show blooming signal loss
T1WI
DWI T2WI
T1 + C
Differential diagnosis:
 DNET
 Pleomorphic xanthoastrocytoma
 Desmoplastic infantile
ganglioglioma
Desmoplastic Infantile Ganglioglioma
 form of desmoplastic infantile tumours
 tend to have good prognosis
 vast majority occur in children less than 1 year of age
 M:F ratio of approximately 2:1
 rapidly increasing head circumference is the most common presentation
 Seizure activity is uncommon
 The frontal and parietal lobes are the most common sites.
Desmoplastic Infantile Ganglioglioma (contd.)
 CT:
 manifests as an exceptionally large cerebral hemispheric mass composed of both cystic
and solid portions.
 solid portion of these large masses is typically slightly hyperattenuating and typically
located along the cortical margin of the mass
 these masses usually enhance intensely, and may demonstrate a dural tail
 No calcification
 MRI:
 The solid portions typically have the following signal intensity:
 T1 - isointense to brain parenchyma
 T2 - isointense to brain parenchyma
 T1 C+ (Gd) - intense enhancement; dural tail may be seen
T2WI FLAIR
T1WI
T1 + C
Choroid Plexus Papilloma
 uncommon, benign neuroepithelial intraventricular tumour (WHO grade 1)
 account for approximately 1% of all brain tumours, 2-6% of all paediatric brain tumours
 Approximately 85% of all choroid plexus papillomas occur in children under the age of 5 years.
 Most common brain tumors in children under 2 years
 Fourth ventricular tumors cause obstructive hydrocephalus with headache & ataxia
 CPPs that arise in the foramen of Luschka or CP angle may cause cranial nerve palsies
 The most common location is the lateral ventricle trigone ( atrium ) – 50 %
- fourth ventricle – 40 %
- third ventricle & cerebellopontine cistern – 10 %
 The primary neoplasm sheds tumor & seeds the CSF pathways ( drop metastases )
Choroid Plexus Papilloma (contd.)
CT:
The tumours are usually well-defined lobulated masses
iso- or somewhat hyperdense compared to the adjacent brain. There is associated hydrocephalus.
They usually homogeneously enhance, demonstrating with an irregular frond-like pattern, resulting in a
cauliflower-like appearance.
Fine, speckled calcification is seen within the tumour in approximately 25% of cases
MRI:
T1 - typically isointense c.f. to adjacent brain. May be somewhat hypointense
T2 - iso to hyperintense, small flow-voids may be seen within the tumour
T1 C+ (Gd) - marked enhancement, tends to be homogenous
MRS - decreased NAA, increased Cho
Angiography: demonstrate intense vascular blush on angiography. Enlarged choroidal arteries may be seen
feeding the tumour, with shunting
T1WI T2WI
T1 + C
Differential diagnosis:
 Choroid plexus carcinoma
 Choroid plexus metastases
 Medulloblastoma
 ATRT
 Papillary anaplastic ependymoma
 Central neurocytoma
Choroid Plexus Carcinoma
 malignant neoplasm arising from the choroid plexus (WHO grade III)
 significantly poorer prognosis than choroid plexus papilloma (CPP)
 10 – 20 % of all choroid plexus neoplasms
 Almost all occur in infants & children 2 – 4 years of age
 Symptoms are due to hydrocephalus & less commonly due to parenchymal invasion
 There is an association with Li-Fraumeni syndrome
 They almost always arise in the lateral ventricles & infiltrate the adjacent brain parenchyma
Choroid Plexus Carcinoma (contd.)
 CT:
choroid plexus carcinomas are heterogeneous and typically iso to hyperdense to grey matter
Calcification may be seen in 20-25% of cases.
Contrast enhanced is usually prominent but heterogeneous with areas of necrosis and cyst
formation evident.
 MRI:
T1: iso- to hypointense
T2: iso- to hypointense with hyperintense necrotic areas
T2* GRE: blooming from calcifications/haemorrhage
T1 C+ (Gd): can show marked, heterogeneous enhancement.
The tumours may have CSF seeding
Differential diagnosis:
Choroid Plexus papilloma
Central neurocytoma
Choroid plexus meningioma
PNET
GBM
NCCT
T1WI
T1 + C T2WI
Central Neurocytoma
 WHO Grade II neuroepithelial intraventricular tumour
 typically seen in young patients (16-40 years of age), and generally have a good prognosis
 accounts for less than 1% (0.25-0.5%) of intracranial tumours
 symptoms of increased intracranial pressure, headaches being most frequent, or seizures
 associated with sudden death secondary to acute ventricular obstruction
 sudden presentation due to intraventricular haemorrhage
 Variant – ganglioneurocytoma
 Typical locations include:
- lateral ventricles around foramen of Monro (most common): 50%
- both lateral and 3rd ventricles: 15%
- bilateral: 15%
- 3rd ventricle in isolation: 5%
Central Neurocytoma (contd.)
 CT:
Central neurocytomas are usually hyperattenuating compared to white matter
Calcification seen in over half of cases, usually punctate in nature
Cystic regions are frequently present, especially in larger tumours.
Contrast enhancement is usually mild to moderate.
Accompanying ventricular dilatation often present.
 MRI:
T1 - isointense to grey matter, heterogenous
T1 + C - mild-moderate heterogeneous enhancement
T2/FLAIR - typically iso to somewhat hyperintense compared to brain
numerous cystic areas (bubbly appearance), many of which completely attenuate on FLAIR
Prominent flow voids may be seen
SWI – blooming
MRS – strong choline peak
T1WI T1 + CT2WI
DWI FLAIR
Differential diagnosis:
 Ependymoma
 Intraventricular meningioma
 Subependymal giant cell
astrocytoma
 Choroid plexus papilloma
 Choroid plexus carcinoma
 Oligodendroglioma
Pineocytoma
 relatively benign pineal parenchymal tumour (WHO grade I tumor)
 relatively good prognosis
 encountered at any age but mostly occur in young adults in the second decade of life
 clinical presentation is mainly from obstructive hydrocephalus secondary to compression of the
tectum of the midbrain
 compression of the superior colliculi can also lead to a characteristic gaze palsy, known as
Parinaud syndrome
Pineocytoma (contd.)
CT:
intermediate density, similar to adjacent brain
Pineal calcifications tend to be dispersed peripherally
MRI:
T1: isointense to brain parenchyma
T2:
solid components are isointense to brain parenchyma
areas of cystic change are common
sometimes the majority of the tumour is cystic
T1 C+ (Gd): solid components vividly enhance
FLAIR
T1 + C
T1WI
T2WI
Differential diagnosis:
 Pineal cyst
 Pineoblastoma
 Pineal papillary tumor
 Germinoma
 Teratoma
 Astrocytoma of pineal gland
Pineoblastoma
 primitive neuroectodermal tumours (PNET) located in the pineal region
 most agressive and highest grade tumour among pineal parenchymal tumours
 typically found in young children, with both sexes being equally affected
 well established association with hereditary retinoblastomas
 Patients with bilateral retinoblastoma 5-15% develop midline (suprasellar or pineal)
neuroblastic tumours, referred to as trilateral retinoblastoma.
 always associated with obstructive hydrocephalus
 highly malignant tumours prone to CSF seeding
Pineoblastoma (contd.)
 CT:
 Large poorly defined masses (>4 cm)
 Tendency to directly involve adjacent brain structures
 The solid component tends to be slightly hyperdense compared to adjacent brain.
 Classically, they are described as having peripherally disperse or "exploded" calcification
 MRI:
 T1- isointense to hypointense to adjacent brain
 T2 - isointense to adjacent brain; areas of cyst formation or necrosis may be present
 T1 C+ (Gd) - vivid heterogenous enhancement
 DWI - restricted diffusion due to dense cellular packing
T1WI
T2WI
T1 + C
Differential diagnosis:
 Pineocytoma
 Pineal papillary tumor
 Germinoma
 Astrocytoma of pineal gland
 Pineal cyst
DNET
 Dysembryoplastic neuroepithelial tumor- benign, focal, intracortical mass superimposed on
background of cortical dysplasia
 vast majority are centered in cortical grey matter, arise from secondary germinal layers
 C/F- longstanding partial complex seizures
 Age- < 20 years
 Site - temporal lobe ( amygdala/ hippocampus) 60%, frontal lobe 30%, caudate nucleus,
cerebellum and pons
DNET (contd.)
DNETs are typically predominantly cortical and well circumscribed tumours.
 CT:
 if cortical may scallop the inner table of the skull vault (44-60%), but no erosion
 the cranial fossa can be minimally enlarged at times
 calcification in ~30% (more common histologically)
 low density; no enhancement
 MRI:
 T1 - generally hypointense c.f adjacent brain
 T1 C+ (Gd) - may show enhancement in ~20-30% of cases; enhancement may be heterogeneous
or a mural nodule; focal punctate or ring enhancement- 20%
 T2 - generally high signal; high signal 'bubbly appearance‘
 FLAIR- hypo/ isointense with bright rim; no peritumoral edema
 DWI- lacks restricted diffusion
T2WI
T1WI
T1 + C
DWI
FLAIR
Differential diagnosis:
 Ganglioglioma
 Pleomorphic xanthoastrocytoma
 Pilocytic astrocytoma
 Desmoplastic infantile ganglioglioma
 Oligodendroglioma
 Choroid fissural cyst
 HSE and limbic encephalitis
 Mesial temporal sclerosis
Intracranial Germinoma
 also known as dysgerminomas or extra-gonadal seminomas
 tumours of young patients with a peak incidence of 10-12 years of age
 account for 3-5% of paediatric intracranial tumours
 most common tumour of the pineal region accounting for approximately 50% of all tumours
 male to female ratio of 5-22:1
 tend to occur in the midline, either at the pineal region (majority) or along the floor of the third
ventricle/suprasellar region
 obstructive hydrocephalus and Parinaud syndrome
 involvement on the pituitary infundibulum leads to diabetes insipidus (most common),
hypopituitarism (common) or optic chiasm compression or signs of intracranial hypertension.
Intracranial Germinoma (contd.)
 CT:
 Germinomas are soft tissue density masses
 high cellularity results in a degree to hyperdensity compared to adjacent brain
 typically seen filling and expanding the infundibular recess and supraoptic recess
 subtle abnormal pituitary stalk enhancement and thickening
 presence of calcification in the pineal region is a useful marker of an underlying tumour
 MRI:
 MRI demonstrates a soft tissue mass, typically ovoid or lobulated in contour, engulfing the calcified
pineal gland with the following signal characteristics
 T1 - isointense or slightly hyperintense to adjacent brain
 T2 - isointense or slightly hyperintense to adjacent brain; may have areas of cyst formation; may have
areas of haemorrhage (low signal); have a predilection to invade adjacent brain (oedema); central
calcification appears low signal (engulfed pineal gland)
 T1 C+ (Gd): vivid and homogeneous
T1WI
T1 + C
T2WI FLAIR
Differential diagnosis:
• Pineocytoma
• Pineoblastoma
• Papillary tumor of pineal gland
• Astrocytoma of pineal gland
• Meningioma near pineal gland
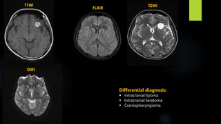
Intracranial Teratoma
 account for the largest proportion of fetal intracranial neoplasms
 divided into two broad categories:
- intra- and extra-axial
 Intra-axial teratomas present antenatally due to increasing head circumference; tend to occur
supratentorially
 Extra axial teratomas usually present in childhood or early adulthood; commonly arise in the
pineal or suprasellar regions; obstructive hydrocephalus, Parinaud syndrome
Intracranial Teratoma (contd.)
 CT:
 Intracranial teratomas are often seen as large lesions at presentation
 tumours typically demonstrating a mixture of tissue densities and signal intensity
 demonstrate at least some fat and some calcification, which is usually solid / "clump-like"
 They usually have cystic and solid components, contributing to an irregular outline.
 Solid components demonstrate variable enhancement
 MRI:
 T1 - hyperintense components due to fat and proteinaceous/lipid rich fluid; intermediate
components of soft tissue; hypointense components due to calcification and blood products
 T1 C+ (Gd) - solid soft tissue components show enhancement
 T2 - again mixed signal from differing components
T1WI
T2WI
FLAIR T1 + C
Differential diagnosis:
sPNET
ATRT
Choroid plexus carcinoma
Intracranial lipoma
Intracranial dermoid
Craniopharyngioma
Hypothalamic Hamartoma
 Rare congenital condition consisting of a mass of disorganized neuronal or glial tissue on or near
the hypothalamus.
 The size varies from less than 1 cm to more than 3 cm.
 These lesions can be pedunculated or sessile.
 Present with precocious puberty, gelastic seizures,visual problems and behavioral problems
 associated with Pallister-Hall syndrome which is a syndrome consisting of multiple
malformations, including polydactyly and imperforate anus.
 Central precocious puberty is also frequently encountered in these children
 small pedunculated growths contiguous with posterior hypothalamus, between the tuber
cinereum and mamillary bodies.
 They fill the free space between the optic chiasm and pons and usually do not distort the
hypothalamus or other parts of the base of the brain unless they are very large.
Hypothalamic Hamartoma (contd.)
CT:
nodule of soft tissue iso-attenuating to grey matter
without calcification or contrast enhancement
MRI:
T1 - isointense to cerebral cortex
T1 C+ (Gd) - no contrast enhancement
T2 - iso- to hyperintense to cerebral cortex; the higher the proportion of glial cells, the higher the T2
signal
MRS - reduced NAA/Cr, increased myoinositol, increased Cho/Cr compared to the amygdala has also
been reported
Differential diagnosis:
 Hypothalamic-chiasmatic glioma
T1WI T2WI T1 + C
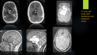
Craniopharyngioma
 Arise from squamous epithelial rests along the involuted hypophyseal- Rathke’s duct
 3% of intracranial neoplasms.
 15% of supratentorial and 50% suprasellar tumors in children
 M>F
 Bimodal age distribution- 1st- 5-15 yrs and 2nd peak- 4th-6th decade
 Types- Adamantinomatous and papillary
Craniopharyngioma (contd.)
 Radiography: Lateral skull- Amorphous sellar & suprasellar Ca++, sellar enlargement, dorsum
sellae & clinoid erosion
 NECT:
- Admantinomatous : 90% mixed (solid & cystic)
90% calcify
- Papillary : Often solid , isodense, rarely calcifies
 CECT: 90% enhance (solid + capsule)
 CTA: Displacement & encasement of circle of Willis
Craniopharyngioma (contd.)
 MRI:
 Multilobulated, multicystic suprasellar masses.
 T1WI - cystics areas may be isointense or have high or low SI as compared to brain
 T2WI - both solid and cystic components tend to be hyperintense but cystic component tend
to have higher SI. Solid part has granular appearance on pre-contrast T1WI and may show
heterogenecity as a result of small cysts and calcification.
 Post-contrast- solid part enhance heterogenously. Thin walls of cysts nearly always enhance
 Papillary type - entirely solid. Heterogenous appearance and enhancement.
 MRS - to differentiate from suprasellar astrocytoma which shows large Choline peak and
reduced but present NAA peak
17 year old
male with
headache and
impaired
vision
Intracranial Lipoma
 Lipoma are not true neoplasm, classified as choristomas ( mass of tissue that would be
histologically normal for an organ or body other than the site at which it is located)
 ETIOLOGY- results from abnormal persistense/ maldifferentiation of meninx primitiva
 GROSSLY- 2 Types
- Tubulonodular lipomas- are large bulky round/cylindrical masses.
Commonly ass.with corpus callosum dysgenesis, frontal lobe anomalies & cephaloceles
- Curvilinear lipomas- are thin posteriorly situated, curve around the splenium. Corpus callosum
is usually normal.
Intracranial Lipoma (contd.)
 Incidence- 0.1-0.5% of primary brain tumours.
 5% of corpus callosum tumors
 Neither age nor gender related
 Location- at or near midline- 80-95%. Common sites are pericallosal area, quadrigeminal,
interpeduncular, chiasmatic, sylvian cisterns, cerebellopontine angle.
 CT- very low density mass(-50 to-100 HU), curvilinear or nodular calcification. With
ass.congenital malformations.
 Show no enhancement
 MRI- Hyperintense on both T1W & fast spin-echo T2WI. Low signal foci represent calcification,
traversing arteries or nerves.
 Fat- suppression technique used to confirm diagnosis.
18 year old male with
head injury
Rathke Cleft cyst
 Etiology
- Primitive stomodeal (Rathke’s pouch) remnant
 Pathology
 Gross:
- Cyst with variable contents (serous, mucoid)
 Microscopic:
- Columnar/cuboidal epithelium; goblet cells often present, squamous cells sometimes seen
 Incidence
- <1% of nontraumatic intracranial masses; small cysts common at autopsy
Rathke Clef cyst (contd.)
Age and gender
- Any age but mostly adults 40 – 70 years; F:M = 2-3:1
Location
- 70% both infra/suprasellar; 25% to 25% intrasellar; <5% completely suprasellar
CT: 75% hypodense to brain; noncalcified; 50% rim (capsular)enhancement
MR: Most common = hyperintense to brain on T1WI, with variable signal on T2WI
Differential diagnosis:
Arachnoid cyst, noncalcified craniopharyngioma, cystic pituitary adenoma, inflamatory cyst
14 year old
female with
Diabetes Insipidus
Epidermoid
 Irregularly lobulated
 Insinuating
 Common in CP angle, 4th ventricle, supra & parasellar regions.
 Intra cerebral < 10%
 Incorporation during 4-5th week of development.
 No dermal appendages & hair follicles.
 Dermoids contain dermal appendages.
Epidermoid (contd.)
 Similar to CSF on T1 & T2
 High signal in case of white epidermoids
 Incomplete nulling on FLAIR
 DWI – Restriction
 No enhancement, Thin enhancement at the periphery
 25% may show rim enhancement
 White epidermoid – More protein and debris ---- high signal on T1 & CT.
T1 + C
T1WI
DWI T2WI FLAIR
Differential diagnosis:
 Dermoid
 Acoustic neuroma
 Craniopharyngioma
 Arachnoid cyst
Dermoid
 Incidence
- Uncommon (0.04% to 0.6% of primary brain tumors)
 Age
- 30 to 50 years; slight male predominance
 Location
- Midline
- Parasellar, frontobasal most common intra-cranial sites
- Vermis, 4th ventricle most common infra- tentorial sites
- Subarachnoid spread from ruptured cyst
Dermoid (contd.)
 CT:
 appear as well defined low attenuating (fat density) lobulated masses.
 Calcifications may be present in the wall.
 Enhancement is uncommon, and if present should at most be a thin peripheral rim.
 Very rarely they demonstrate hyperdensity thought to be due to a combination of saponification,
microcalcification and blood products.
 MRI:
 Typically follow fat density on all sequences
 No enhancement; extensive pial enhancement may be present in chemical meningitis due to
ruptured cyst
T
T1WI
FLAIR
T2WI
DWI
Differential diagnosis:
 Intracranial lipoma
 Intracranial teratoma
 Craniopharyngioma
Pilocytic Astrocytoma
 5-10% of all glioma
 75% of cerebellar Astrocytomas are of the Pilocytic type
 MC primary brain tumour in children
 Slowly growing tumour
 WHO Grade 1
 Clinically aggressive but malignant transformation is uncommon
 5 yr survival rate is 86-100%
 Associated with NF-1 (Optic pathway, 15-21%)
 Frequently causes obstructive hydrocephalus
 Pilomyxoid astrocytoma is a variant (WHO grade 2 tumor), most commonly involves
hypothalamus and optic chiasm
Pilocytic Astrocytoma (contd.)
 Cystic cerebellar mass with enhancing mural nodule
 Enlarged optic nerve/chiasma/adjacent to 3rd ventricle/brainstem (dotted I sign)
 Less than 10% - solid.
 May enhance in a homogeneous or a heterogeneous fashion
 Approximately 50% are simple cysts with a single mural nodule
 No histological evidence of tumor is present in the cyst wall. Removal of the mural nodule in
this tumor variety may be sufficient for treatment.
 About 40-45% consist of multilocular cysts In these cases, histologic evidence of tumor is
present in the cyst wall.
 Contrast enhancement is strong
 Calcification (10%)& Hemorrhage are rare
 T1: iso to hypointense solid component compared to adjacent brain
 T2: hyperintense solid component compared to adjacent brain
7 year old male with c/o nystagmus and gait abnormality
16 year old male with headache and raised ICT
 Differential diagnosis for Pilocytic Astrocytoma:
 Medulloblastoma
 ATRT
 Ependymoma
 Hemangioblastoma
 Ganglioglioma
 Pleomorphic xanthoastrocytoma
 Cerebellar abscess
Medulloblastoma
 Medulloblastoma - posterior fossa
PNET - supratentorial
Pineoblastoma - pineal region
 3% of brain tumors
 15 – 20% of childhood malignant brain tumors
 30 – 40% of childhood posterior fossa tumors
 Typically occur in the posterior fossa (75%) 25% in lateral cerebellum
 Age: 5-15y
 M:F = 2:1
 propensity to disseminate through CSF
- 1/3 with metastatic disease at diagnosis
- Can spread to lung, liver, BM, bone, LN’s – rare
Medulloblastoma (contd.)
 CT - a heart or pear shaped hyperdense midline vermian mass abutting the roof of the fourth
ventricle, with perilesional oedema, variable patchy enhancement and hydrocephalus.
 Brainstem -displaced anteriorly.
 Cystic change, haemorrhage and calcification may be seen.
 Typical features - seen in only 30 % of cases
 Atypical features are common
- Cystic changes (65%)
- Isodense attenuation on NECT (3%) and abnormal contrast enhancement
Non Contrast Post contrast
Medulloblastoma (contd.)
 MRI:
 Hypointense on T1
 Variable hypo‐ to hyperintense on T2
 Variable enhancement
 restricted diffusion on diffusion-weighted imaging
T1
T1 + C
FLAIR
Gradient Echo DWI
Differential diagnosis of posterior fossa tumour with ct hyperdensity and t2
hypointensity
 Medulloblastoma/primitive neuro ectodermal tumour/atypical teratoid-
rhabdoid tumour /Choroid plexus carcinoma
 Ewing's sarcoma
 Chondrosarcoma
 Chordoma
 Lymphoma
 Langerhans' cell histiocytosis
Metastatic Medulloblastoma
 Disseminated Medulloblastoma - 20- 50%
 2/3rd to other CNS locations
 1/3rd extra cranial primarily to bone(typically lytic)
 Disseminated CSF metastasis coats the brain like frosting on cake ,giving rise to
ZUCKERGUSS ( sugar icing)
– Entire neuraxis should be scanned.
 Metastasis along Virchow Robin spaces
Sugar coating or Zuckerguss
Ependymoma
 Third most common pediatric brain tumor
 Mean age at diagnosis is 4‐6 years
– 1/3 of which are diagnosed before age 3.
 Arise from the ependymal cells that line the ventricle of the brain and spinal cord
 May have leptomeningeal spread of brain/spine, CSF at the time of diagnosis
 NF2 patients commonly have spinal ependymomas not intracranial.
 Can be seen with Li‐Fraumeni syndrome (p53) and Turcot syndrome (APC gene)
 Presenting symptoms are – disequilibrium , nausea , vomiting & headache & signs are ataxia &
nystagmus
 Location - 60 % are infratentorial - > 90 % are in fourth ventricle , medulla & cerebellopontine
angle cisterns make the remaining; 40 % are supratentorial – extraventricular loction more
common ( 2/3rd to 3/4th ) than intraventricular sites
Ependymoma (contd.)
 Types:
 Classic
 Papillary
 Myxopapillary - Conus medullaris or filum terminale of the spinal cord
 Subependymoma – represent a transitional form between ependymoma & astrocytoma.
 Ependymoblastoma- from primitive neuroepithelial precursor cell & shows ependymal
differentiation.
 Clear Cell
 Tanycytic
 Giant Cell
 Anaplastic
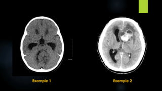
Ependymoma (contd.)
 CT:
 Most are isodense
 50 % cases show calcification
 Overt hemorrhage is uncommon
 Mild to moderate inhomogenous enhancement is
seen in 70 % of cases
Example 1 Example 2
Ependymoma (contd.)
 MRI:
 The MR differentiation of ependymomas from other gliomas is related to their location &
morphology only.
 The post fossa ependymoma is lobulated soft tissue mass that appears to form a cast or mold
of the fourth ventricle & extrudes through its outlet foramina into the adjacent subarachnoid
cisterns
 The solid components are hypo – to isointense compared to brain on T1WI & hyperintense on
proton density & T2WI
 The cystic portions are slightly hyperintense to CSF on T1WI & hyperintense to brain on T2WI
 Intratumoral heterogeneity may represent necrosis , calcification , tumor vascularity or blood
degradation products
T2WI T1WI
T1 + C
FLAIR
DWI
 Differential diagnosis for ependymoma:
 Medulloblastoma
 Choroid plexus papilloma
 Central neurocytoma
 Pilocytic astrocytoma
Brainstem Glioma
 Represent 10‐20% of all CNS tumors in children
 Peak presentation at 7‐9 years
 Classic triad of physical findings (all three seen in 1/3 of cas
es):
– Cranial nerve palsies, ataxia and Long tract signs
 Types:
 Diffuse intrinsic brainstem glioma
 - Most commonly located in the Pons
 - Account for 80% of brainstem tumors
 Focal
 Occupy less than 50% of brainstem subregion.
 Often clearly distinguishable from surrounding brainstem.
 Subtypes include dorsal exophytic, cervicomedullary and
midbrain
Brainstem Glioma (contd.)
 CT:
 Typically hypodense with little, if any, enhancement.
 MRI:
 Modality of choice
 Hypointense on T1
 Hyperintense on T2
 Enhancement is variable and depends on the type and grade
of the tumor
– Diffuse intrinsic tumors rarely enhance.
Differential diagnosis:
 Rhombencephalitis
 ADEM
 LCH
 Tuberous sclerosis
 NF 1
 PNET
 Ependymoma
T1WI
T2WI
FLAIR T1 + C
Atypical Teratoid Rhabdoid Tumor
 uncommon malignant intracranial tumors, representing only 1.3% of primary CNS tumors in the
pediatric population (WHO Grade IV tumour)
 vast majority of cases occurs in young children less than two years of age
 can occur anywhere in the central nervous system (CNS) including the spinal cord.
 infratentorial: ~50%
 - cerebellum (most common), brainstem
 supratentorial
 - cerebral hemispheres, pineal gland region, septum pellucidum and hypothalamus
ATRT (contd.)
 CT :
 often isodense to gray matter
 may demonstrate heterogeneous enhancement
 calcification is common
 may show associated obstructive hydrocephalus
 MRI:
 Can show necrosis, multiple foci of cyst formation and sometimes haemorrhage:
 T1: iso- to slightly hyperintense to grey matter (haemorrhagic areas can be more hyperintense)
 T2: generally hyperintense (haemorrhagic areas can be hypointense)
 T1 C+ (Gd): heterogeneous enhancement
 MRS
- Cho: elevated
- NAA: decreased
Differential diagnosis for ATRT:
 Supratentorial PNET
 Intracranial teratoma
 Medulloblastoma
 Choroid plexus carcinoma
 Malignant glioma
Pre-contrast Post-contrast
T1WI
T1 + CT2WI
DWI
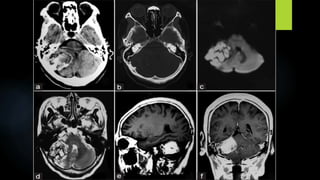
Hemangioblastoma
 Presentation- headache, disequilibrium, dizziness
 Age- 40-60 years
 VHL associated occur in younger age group
 IMAGING FINDINGS:
 Best diagnostic clue - intraaxial posterior fossa mass with cyst, enhancing mural nodule abutting
pia
 Location - cerebellar hemisphere- 80%
- vermis-15%, medulla & 4th ventricle- 5%
Hemangioblastoma (contd.)
 CT:
low density cyst + isodense nodule
intensely enhancing nodule
Cyst wall doesn’t enhance
 MRI:
T1WI- nodule isointense to brain, cyst slightly hyperintense compared to CSF
T2WI- both nodule & cyst are hyperintense
Post contrast- intensely enhancing nodule
MRS
- Raised lipid and choline
- Absent NAA and lactate
Differential Diagnosis:
 Pilocytic astrocytoma
 AVM
 Ependymoma
 Medulloblastoma
16 year old male with symptoms and
signs of raised ICT
Acoustic Schwannoma
 Can be unilateral or bilateral.
- If there are bilateral acoustic schwannomas this is diagnostic for NF2
-Unilateral Acoustic schwannoma and a first degree relative with NF2 is diagnostic of NF2
 Can be sporadic or associated with NF2.
– Sporadic variety is very rare in pediatric population
 Account for 0.8% of pediatric brain tumors
 NF2 associated schwannomas present with auditory complaints only 30% of the time.
 As opposed to the sporadic variant, NF2 associated schwannomas grow faster and have
increased invasion of the nerve
Acoustic Schwannoma (contd.)
 CT:
 show erosion and widening of the internal acoustic canal
 density of these tumours on non-contrast imaging is variable
 Contrast enhancement is present, but can be underwhelming, especially in larger lesions with
cystic components
 MRI:
 T1 - slightly hypointense cf. adjacent brain (63%); isointense cf. adjacent brain (37%); may contain
hypointense cystic areas
 T2 - heterogeneously hyperintense cf. to adjacent brain; cystic areas fluid intensity and may have
associated peritumoural arachnoid cysts 3
 T1 C+ (Gd) - contrast enhancement is vivid but heterogeneous in larger tumors
T1WI
T1 + C
FLAIR
T2WI
Differential diagnosis:
 Epidermoid
 Ependymoma
 Meningioma
Intracranial Teratoma
 account for the largest proportion of fetal intracranial neoplasms
 divided into two broad categories:
- intra- and extra-axial
 Intra-axial teratomas present antenatally due to increasing head circumference; tend to occur
supratentorially
 Extra axial teratomas usually present in childhood or early adulthood; commonly arise in the
pineal or suprasellar regions; obstructive hydrocephalus, Parinaud syndrome
Intracranial Teratoma (contd.)
 CT:
 Intracranial teratomas are often seen as large lesions at presentation
 tumours typically demonstrating a mixture of tissue densities and signal intensity
 demonstrate at least some fat and some calcification, which is usually solid / "clump-like"
 They usually have cystic and solid components, contributing to an irregular outline.
 Solid components demonstrate variable enhancement
 MRI:
 T1 - hyperintense components due to fat and proteinaceous/lipid rich fluid; intermediate
components of soft tissue; hypointense components due to calcification and blood products
 T1 C+ (Gd) - solid soft tissue components show enhancement
 T2 - again mixed signal from differing components
Imaging in pediatric brain tumors
Imaging in pediatric brain tumors

Imaging in pediatric brain tumors

  • 1.
    Imaging in PediatricBrain Tumors Dr. Suhas B Resident (MD Radio-diagnosis)
  • 2.
    Introduction  20-30% ofcancers in children  2500-3000 new diagnoses/year  2nd most common neoplasm  Most occur before age 10 years  Tumors in infants - usually congenital.  Male/Female = 1.3/1.0  60-70% 5 year survival
  • 3.
    Analysis of aPotential Brain Tumor  Age of the patient  Localization - Intra-axial or extra-axial - Compartment - Crossing of the midline  CT and MR characteristics - Calcification, fat and cystic - T1, T2, DWI - Contrast enhancement  Effect on surrounding structures - Mass effect, edema  Solitary or multiple  Psuedotumor
  • 4.
    Differentiating with Extra-axiallesions  CSF cleft sign  Displaced subarachnoid vessels  Cortical gray matter between mass and white matter  Displace and expand subarachnoid space  Broad dural space  Bony reaction
  • 5.
    Location  Supratentorial 25-40% Astrocytoma, low grade 8-20%  Astrocytoma, high grade 6-12%  Ependymoma 2-5%  Mixed glioma 1-5%  Ganglioglioma 1-5%  Oligodendroglioma 1-2%  PNET 1-2%  Choroid plexus tumor 1-2%  Meningioma 1-2%  Germ Cell Tumors 1-2%  Other 1-3%
  • 6.
    Location (contd.)  Infratentorial45-60%  Medulloblastoma (PNET) 20-25%  Astrocytoma, low grade 12-18%  Ependymoma 4-8%  Brain stem glioma, high grade 3-9%  Brain stem glioma, low grade 3-6%  Other 2-5%
  • 7.
    Brain Tumors –signs and symptoms  Increased intracranial pressure - symptoms  Headache  Nausea/vomiting  Double vision  Head tilt  Decreased alertness  Lethargy/irritability  Poor feeding  Endocrine dysfunction  Unexplained behavior changes - affect, motivation, energy level
  • 8.
    Brain Tumors –Signs/Symptoms  Increased ICP – Signs  Papilledema, optic atrophy  Loss of vision  OFC (head circumference) increased  Bulging fontanelles, spreading sutures  “Setting sun” sign (Parinaud syndrome)  Increased blood pressure, low pulse - herniation?
  • 9.
    Posterior Fossa &Brainstem Tumors - Clinical Features  Posterior Fossa primary  Ataxia  Tremors  Dysarthria  Stiff neck  Papilledema  Brainstem primary  Extremity weakness  Cranial nerve signs  double vision  facial weakness  swallowing dysfunction
  • 10.
    Hemispheric Tumors – ClinicalFeatures  Hemiparesis  Hemianopia  Aphasia  Seizures
  • 11.
    Astrocytoma  Most commonpediatric brain tumor is astrocytoma. – With half being found in the posterior fossa  Cerebellar astrocytoma make up 40% of pilocytic astrocytoma  Usually occur in the latter half of the first decade – Mean age of 7 years old – Rarely found in children less than 1 year of age  M:F = 2:1  Association with NF-1 - more indolent course  Symptoms: – Increased ICP (headache, N/V, head size) – Cerebellar deficits  Signs: – Papilladema (84%) – Ataxia
  • 12.
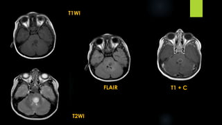
    Astrocytoma (contd.) Most commonlyinvolve white matter, may involve cortex  CT: - Hypodense or isodense - mass lesion - Calcification (10‐20%) - Hemorrhage, cysts, calvarial erosion are very rare. - No or very minimal enhancement  MRI: - Hypointense on T1 - Hyperintense on T2 with - discrete margins - Minimal enhancement
  • 13.
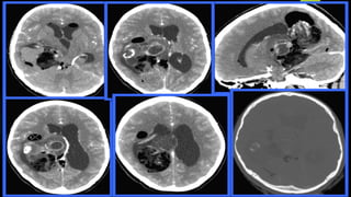
    12 year oldmale child with headache and signs of ICT
  • 14.
     Differential diagnosisfor astrocytoma:  Brain abscess  Encephalitis  Brain Metastasis  Toxoplasmosis  Ependymoma
  • 15.
    Subependymal Giant cellAstrocytoma  benign tumours (WHO grade I)  seen almost exclusively in young patients with tuberous sclerosis (TS)  principally diagnosed in patients under 20 years of age  They can be either asymptomatic or symptomatic due obstructive hydrocephalus
  • 16.
    Subependymal Giant cellAstrocytoma (contd.)  CT:  typically appears as an intraventricular mass near the foramen of Monro  they are usually larger than 1 cm  lesions are iso- or slightly hypoattenuating to grey matter  calcification is common and haemorrhage is possible  accompanying hydrocephalus may be present  often shows marked contrast enhancement (subependymal nodules also enhance)  MRI:  T1: heterogenous and hypo- to isointense to grey matter  T2: heterogenous and hyperintense to grey matter; calcified components can be hypointense  T1 C+ (Gd): can show marked enhancement
  • 17.
    NCCT Post-contrast T2WI Differential diagnosis:  Centralneurocytoma  Choroid plexus papilloma  Choroid plexus carcinoma
  • 18.
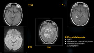
    Pleomorphic xanthoastrocytoma  typeof rare, low-grade astrocytoma (WHO Grade II)  found in young patients who typically present with temporal lobe epilepsy.  They are rare tumours accounting for only ~ 1% of primary brain tumours  almost invariably (98%) located supratentorially, typically located superficially (peripherally)  involve the cortex and overlying leptomeninges.  Approximately half are located in the temporal lobe
  • 19.
    Pleomorphic xanthoastrocytoma (contd.) CT: usuallypresent as cortical tumours with a cystic component vivid contrast enhancement no surrounding oedema; scalloping of the overlying bone. A reactive dural involvement expressed by a dural tail sign can be found; Calcifications are rare. MRI: T1 - solid component iso to hypointense c.f. grey matter; cystic component low signal; leptomeningeal involvement seen in over 70% of cases 2 T1 C+​ (Gd) - solid component usually enhances vividly T2 - solid component iso to hyperintense c.f. grey matter; cystic component high signal; little surrounding vasogenic oedema DSA - avascular on angiography
  • 20.
    CECT T1WI FLAIR T2WI T1+ C Differential diagnosis: Ganglioglioma DNET Oligodendroglioma Desmoplastic infantile ganglioglioma
  • 21.
    Oligodendroglioma  intracranial tumoursthat account for 5-25% of all gliomas and 5-10% of all primary intracranial neoplasms  rare tumors in pediatric age group accounting for 0.5 to 1%  presentation is most frequently as a result of seizures  tumours are typically located supratentorially (85%), involving the white matter  most commonly found in the frontal lobes
  • 22.
    Oligodendroglioma (contd.)  CT: Tumours are of mixed density (hypodense to isodense).  High-attenuation areas within the tumour are likely from calcification (70-90% of ODs are calcified)  Calcification can be located centrally, peripherally or they can be ribbon-like  The overlying skull may show pressure erosion  Only 50% of oligodendrogliomas show enhancement  MRI:  T1: typically hypointense  T2: typically hyperintense (except calcified areas); calcium seen as areas of "blooming"  T1 C+ (Gd): contrast enhancement is common but it is not a reliable indicator of tumour grade, with only 50% of ODs enhancing to a variable degree, and usually heterogeneously  DWI – no diffusion restriction
  • 23.
    Differential diagnosis:  Astrocytoma Ganglioglioma  DNET  Pleomorphic xanthoastrocytoma  HSV encephalitis NCCT CECT T1WI T1 + C T2WI
  • 24.
    Ganglioglioma  C/F -chronic temporal lobe epilepsy  Age- 10-20 years ( < 30 years)  Site- superficial hemisphere, temporal lobe  Three patterns: - Circumscribed cyst + mural nodule- MC - Solid tumor, expands gyri - Infiltrating, poorly defined mass
  • 25.
    Ganglioglioma (contd.) CT -Findings are of a mass which is often non specific. General features include:  Iso or hypodense  frequently calcified ~35%  bony remodeling or thinning can indicate the slow growing nature of the tumour  enhancement is seen in approximately 50% of cases (involving the solid non-calcified component) MRI: T1 - solid component iso to hypointense T1 C+ (Gd) - solid component variable contrast enhancement T2 – a) ​hyperintense solid component b)variable signal in the cystic component depending on amount of proteinaceous material or presence of blood products c) peritumoral FLAIR/T2 edema is distinctly uncommon T2* (GE/SWI) - calcified areas (common) will show blooming signal loss
  • 26.
    T1WI DWI T2WI T1 +C Differential diagnosis:  DNET  Pleomorphic xanthoastrocytoma  Desmoplastic infantile ganglioglioma
  • 27.
    Desmoplastic Infantile Ganglioglioma form of desmoplastic infantile tumours  tend to have good prognosis  vast majority occur in children less than 1 year of age  M:F ratio of approximately 2:1  rapidly increasing head circumference is the most common presentation  Seizure activity is uncommon  The frontal and parietal lobes are the most common sites.
  • 28.
    Desmoplastic Infantile Ganglioglioma(contd.)  CT:  manifests as an exceptionally large cerebral hemispheric mass composed of both cystic and solid portions.  solid portion of these large masses is typically slightly hyperattenuating and typically located along the cortical margin of the mass  these masses usually enhance intensely, and may demonstrate a dural tail  No calcification  MRI:  The solid portions typically have the following signal intensity:  T1 - isointense to brain parenchyma  T2 - isointense to brain parenchyma  T1 C+ (Gd) - intense enhancement; dural tail may be seen
  • 29.
  • 30.
    Choroid Plexus Papilloma uncommon, benign neuroepithelial intraventricular tumour (WHO grade 1)  account for approximately 1% of all brain tumours, 2-6% of all paediatric brain tumours  Approximately 85% of all choroid plexus papillomas occur in children under the age of 5 years.  Most common brain tumors in children under 2 years  Fourth ventricular tumors cause obstructive hydrocephalus with headache & ataxia  CPPs that arise in the foramen of Luschka or CP angle may cause cranial nerve palsies  The most common location is the lateral ventricle trigone ( atrium ) – 50 % - fourth ventricle – 40 % - third ventricle & cerebellopontine cistern – 10 %  The primary neoplasm sheds tumor & seeds the CSF pathways ( drop metastases )
  • 31.
    Choroid Plexus Papilloma(contd.) CT: The tumours are usually well-defined lobulated masses iso- or somewhat hyperdense compared to the adjacent brain. There is associated hydrocephalus. They usually homogeneously enhance, demonstrating with an irregular frond-like pattern, resulting in a cauliflower-like appearance. Fine, speckled calcification is seen within the tumour in approximately 25% of cases MRI: T1 - typically isointense c.f. to adjacent brain. May be somewhat hypointense T2 - iso to hyperintense, small flow-voids may be seen within the tumour T1 C+ (Gd) - marked enhancement, tends to be homogenous MRS - decreased NAA, increased Cho Angiography: demonstrate intense vascular blush on angiography. Enlarged choroidal arteries may be seen feeding the tumour, with shunting
  • 32.
    T1WI T2WI T1 +C Differential diagnosis:  Choroid plexus carcinoma  Choroid plexus metastases  Medulloblastoma  ATRT  Papillary anaplastic ependymoma  Central neurocytoma
  • 33.
    Choroid Plexus Carcinoma malignant neoplasm arising from the choroid plexus (WHO grade III)  significantly poorer prognosis than choroid plexus papilloma (CPP)  10 – 20 % of all choroid plexus neoplasms  Almost all occur in infants & children 2 – 4 years of age  Symptoms are due to hydrocephalus & less commonly due to parenchymal invasion  There is an association with Li-Fraumeni syndrome  They almost always arise in the lateral ventricles & infiltrate the adjacent brain parenchyma
  • 34.
    Choroid Plexus Carcinoma(contd.)  CT: choroid plexus carcinomas are heterogeneous and typically iso to hyperdense to grey matter Calcification may be seen in 20-25% of cases. Contrast enhanced is usually prominent but heterogeneous with areas of necrosis and cyst formation evident.  MRI: T1: iso- to hypointense T2: iso- to hypointense with hyperintense necrotic areas T2* GRE: blooming from calcifications/haemorrhage T1 C+ (Gd): can show marked, heterogeneous enhancement. The tumours may have CSF seeding Differential diagnosis: Choroid Plexus papilloma Central neurocytoma Choroid plexus meningioma PNET GBM
  • 35.
  • 36.
    Central Neurocytoma  WHOGrade II neuroepithelial intraventricular tumour  typically seen in young patients (16-40 years of age), and generally have a good prognosis  accounts for less than 1% (0.25-0.5%) of intracranial tumours  symptoms of increased intracranial pressure, headaches being most frequent, or seizures  associated with sudden death secondary to acute ventricular obstruction  sudden presentation due to intraventricular haemorrhage  Variant – ganglioneurocytoma  Typical locations include: - lateral ventricles around foramen of Monro (most common): 50% - both lateral and 3rd ventricles: 15% - bilateral: 15% - 3rd ventricle in isolation: 5%
  • 37.
    Central Neurocytoma (contd.) CT: Central neurocytomas are usually hyperattenuating compared to white matter Calcification seen in over half of cases, usually punctate in nature Cystic regions are frequently present, especially in larger tumours. Contrast enhancement is usually mild to moderate. Accompanying ventricular dilatation often present.  MRI: T1 - isointense to grey matter, heterogenous T1 + C - mild-moderate heterogeneous enhancement T2/FLAIR - typically iso to somewhat hyperintense compared to brain numerous cystic areas (bubbly appearance), many of which completely attenuate on FLAIR Prominent flow voids may be seen SWI – blooming MRS – strong choline peak
  • 38.
    T1WI T1 +CT2WI DWI FLAIR Differential diagnosis:  Ependymoma  Intraventricular meningioma  Subependymal giant cell astrocytoma  Choroid plexus papilloma  Choroid plexus carcinoma  Oligodendroglioma
  • 39.
    Pineocytoma  relatively benignpineal parenchymal tumour (WHO grade I tumor)  relatively good prognosis  encountered at any age but mostly occur in young adults in the second decade of life  clinical presentation is mainly from obstructive hydrocephalus secondary to compression of the tectum of the midbrain  compression of the superior colliculi can also lead to a characteristic gaze palsy, known as Parinaud syndrome
  • 40.
    Pineocytoma (contd.) CT: intermediate density,similar to adjacent brain Pineal calcifications tend to be dispersed peripherally MRI: T1: isointense to brain parenchyma T2: solid components are isointense to brain parenchyma areas of cystic change are common sometimes the majority of the tumour is cystic T1 C+ (Gd): solid components vividly enhance
  • 41.
    FLAIR T1 + C T1WI T2WI Differentialdiagnosis:  Pineal cyst  Pineoblastoma  Pineal papillary tumor  Germinoma  Teratoma  Astrocytoma of pineal gland
  • 42.
    Pineoblastoma  primitive neuroectodermaltumours (PNET) located in the pineal region  most agressive and highest grade tumour among pineal parenchymal tumours  typically found in young children, with both sexes being equally affected  well established association with hereditary retinoblastomas  Patients with bilateral retinoblastoma 5-15% develop midline (suprasellar or pineal) neuroblastic tumours, referred to as trilateral retinoblastoma.  always associated with obstructive hydrocephalus  highly malignant tumours prone to CSF seeding
  • 43.
    Pineoblastoma (contd.)  CT: Large poorly defined masses (>4 cm)  Tendency to directly involve adjacent brain structures  The solid component tends to be slightly hyperdense compared to adjacent brain.  Classically, they are described as having peripherally disperse or "exploded" calcification  MRI:  T1- isointense to hypointense to adjacent brain  T2 - isointense to adjacent brain; areas of cyst formation or necrosis may be present  T1 C+ (Gd) - vivid heterogenous enhancement  DWI - restricted diffusion due to dense cellular packing
  • 44.
    T1WI T2WI T1 + C Differentialdiagnosis:  Pineocytoma  Pineal papillary tumor  Germinoma  Astrocytoma of pineal gland  Pineal cyst
  • 45.
    DNET  Dysembryoplastic neuroepithelialtumor- benign, focal, intracortical mass superimposed on background of cortical dysplasia  vast majority are centered in cortical grey matter, arise from secondary germinal layers  C/F- longstanding partial complex seizures  Age- < 20 years  Site - temporal lobe ( amygdala/ hippocampus) 60%, frontal lobe 30%, caudate nucleus, cerebellum and pons
  • 46.
    DNET (contd.) DNETs aretypically predominantly cortical and well circumscribed tumours.  CT:  if cortical may scallop the inner table of the skull vault (44-60%), but no erosion  the cranial fossa can be minimally enlarged at times  calcification in ~30% (more common histologically)  low density; no enhancement  MRI:  T1 - generally hypointense c.f adjacent brain  T1 C+ (Gd) - may show enhancement in ~20-30% of cases; enhancement may be heterogeneous or a mural nodule; focal punctate or ring enhancement- 20%  T2 - generally high signal; high signal 'bubbly appearance‘  FLAIR- hypo/ isointense with bright rim; no peritumoral edema  DWI- lacks restricted diffusion
  • 47.
    T2WI T1WI T1 + C DWI FLAIR Differentialdiagnosis:  Ganglioglioma  Pleomorphic xanthoastrocytoma  Pilocytic astrocytoma  Desmoplastic infantile ganglioglioma  Oligodendroglioma  Choroid fissural cyst  HSE and limbic encephalitis  Mesial temporal sclerosis
  • 48.
    Intracranial Germinoma  alsoknown as dysgerminomas or extra-gonadal seminomas  tumours of young patients with a peak incidence of 10-12 years of age  account for 3-5% of paediatric intracranial tumours  most common tumour of the pineal region accounting for approximately 50% of all tumours  male to female ratio of 5-22:1  tend to occur in the midline, either at the pineal region (majority) or along the floor of the third ventricle/suprasellar region  obstructive hydrocephalus and Parinaud syndrome  involvement on the pituitary infundibulum leads to diabetes insipidus (most common), hypopituitarism (common) or optic chiasm compression or signs of intracranial hypertension.
  • 49.
    Intracranial Germinoma (contd.) CT:  Germinomas are soft tissue density masses  high cellularity results in a degree to hyperdensity compared to adjacent brain  typically seen filling and expanding the infundibular recess and supraoptic recess  subtle abnormal pituitary stalk enhancement and thickening  presence of calcification in the pineal region is a useful marker of an underlying tumour  MRI:  MRI demonstrates a soft tissue mass, typically ovoid or lobulated in contour, engulfing the calcified pineal gland with the following signal characteristics  T1 - isointense or slightly hyperintense to adjacent brain  T2 - isointense or slightly hyperintense to adjacent brain; may have areas of cyst formation; may have areas of haemorrhage (low signal); have a predilection to invade adjacent brain (oedema); central calcification appears low signal (engulfed pineal gland)  T1 C+ (Gd): vivid and homogeneous
  • 50.
    T1WI T1 + C T2WIFLAIR Differential diagnosis: • Pineocytoma • Pineoblastoma • Papillary tumor of pineal gland • Astrocytoma of pineal gland • Meningioma near pineal gland
  • 51.
    Intracranial Teratoma  accountfor the largest proportion of fetal intracranial neoplasms  divided into two broad categories: - intra- and extra-axial  Intra-axial teratomas present antenatally due to increasing head circumference; tend to occur supratentorially  Extra axial teratomas usually present in childhood or early adulthood; commonly arise in the pineal or suprasellar regions; obstructive hydrocephalus, Parinaud syndrome
  • 52.
    Intracranial Teratoma (contd.) CT:  Intracranial teratomas are often seen as large lesions at presentation  tumours typically demonstrating a mixture of tissue densities and signal intensity  demonstrate at least some fat and some calcification, which is usually solid / "clump-like"  They usually have cystic and solid components, contributing to an irregular outline.  Solid components demonstrate variable enhancement  MRI:  T1 - hyperintense components due to fat and proteinaceous/lipid rich fluid; intermediate components of soft tissue; hypointense components due to calcification and blood products  T1 C+ (Gd) - solid soft tissue components show enhancement  T2 - again mixed signal from differing components
  • 53.
    T1WI T2WI FLAIR T1 +C Differential diagnosis: sPNET ATRT Choroid plexus carcinoma Intracranial lipoma Intracranial dermoid Craniopharyngioma
  • 54.
    Hypothalamic Hamartoma  Rarecongenital condition consisting of a mass of disorganized neuronal or glial tissue on or near the hypothalamus.  The size varies from less than 1 cm to more than 3 cm.  These lesions can be pedunculated or sessile.  Present with precocious puberty, gelastic seizures,visual problems and behavioral problems  associated with Pallister-Hall syndrome which is a syndrome consisting of multiple malformations, including polydactyly and imperforate anus.  Central precocious puberty is also frequently encountered in these children  small pedunculated growths contiguous with posterior hypothalamus, between the tuber cinereum and mamillary bodies.  They fill the free space between the optic chiasm and pons and usually do not distort the hypothalamus or other parts of the base of the brain unless they are very large.
  • 55.
    Hypothalamic Hamartoma (contd.) CT: noduleof soft tissue iso-attenuating to grey matter without calcification or contrast enhancement MRI: T1 - isointense to cerebral cortex T1 C+ (Gd) - no contrast enhancement T2 - iso- to hyperintense to cerebral cortex; the higher the proportion of glial cells, the higher the T2 signal MRS - reduced NAA/Cr, increased myoinositol, increased Cho/Cr compared to the amygdala has also been reported Differential diagnosis:  Hypothalamic-chiasmatic glioma
  • 56.
  • 57.
    Craniopharyngioma  Arise fromsquamous epithelial rests along the involuted hypophyseal- Rathke’s duct  3% of intracranial neoplasms.  15% of supratentorial and 50% suprasellar tumors in children  M>F  Bimodal age distribution- 1st- 5-15 yrs and 2nd peak- 4th-6th decade  Types- Adamantinomatous and papillary
  • 58.
    Craniopharyngioma (contd.)  Radiography:Lateral skull- Amorphous sellar & suprasellar Ca++, sellar enlargement, dorsum sellae & clinoid erosion  NECT: - Admantinomatous : 90% mixed (solid & cystic) 90% calcify - Papillary : Often solid , isodense, rarely calcifies  CECT: 90% enhance (solid + capsule)  CTA: Displacement & encasement of circle of Willis
  • 59.
    Craniopharyngioma (contd.)  MRI: Multilobulated, multicystic suprasellar masses.  T1WI - cystics areas may be isointense or have high or low SI as compared to brain  T2WI - both solid and cystic components tend to be hyperintense but cystic component tend to have higher SI. Solid part has granular appearance on pre-contrast T1WI and may show heterogenecity as a result of small cysts and calcification.  Post-contrast- solid part enhance heterogenously. Thin walls of cysts nearly always enhance  Papillary type - entirely solid. Heterogenous appearance and enhancement.  MRS - to differentiate from suprasellar astrocytoma which shows large Choline peak and reduced but present NAA peak
  • 60.
    17 year old malewith headache and impaired vision
  • 61.
    Intracranial Lipoma  Lipomaare not true neoplasm, classified as choristomas ( mass of tissue that would be histologically normal for an organ or body other than the site at which it is located)  ETIOLOGY- results from abnormal persistense/ maldifferentiation of meninx primitiva  GROSSLY- 2 Types - Tubulonodular lipomas- are large bulky round/cylindrical masses. Commonly ass.with corpus callosum dysgenesis, frontal lobe anomalies & cephaloceles - Curvilinear lipomas- are thin posteriorly situated, curve around the splenium. Corpus callosum is usually normal.
  • 62.
    Intracranial Lipoma (contd.) Incidence- 0.1-0.5% of primary brain tumours.  5% of corpus callosum tumors  Neither age nor gender related  Location- at or near midline- 80-95%. Common sites are pericallosal area, quadrigeminal, interpeduncular, chiasmatic, sylvian cisterns, cerebellopontine angle.  CT- very low density mass(-50 to-100 HU), curvilinear or nodular calcification. With ass.congenital malformations.  Show no enhancement  MRI- Hyperintense on both T1W & fast spin-echo T2WI. Low signal foci represent calcification, traversing arteries or nerves.  Fat- suppression technique used to confirm diagnosis.
  • 63.
    18 year oldmale with head injury
  • 64.
    Rathke Cleft cyst Etiology - Primitive stomodeal (Rathke’s pouch) remnant  Pathology  Gross: - Cyst with variable contents (serous, mucoid)  Microscopic: - Columnar/cuboidal epithelium; goblet cells often present, squamous cells sometimes seen  Incidence - <1% of nontraumatic intracranial masses; small cysts common at autopsy
  • 65.
    Rathke Clef cyst(contd.) Age and gender - Any age but mostly adults 40 – 70 years; F:M = 2-3:1 Location - 70% both infra/suprasellar; 25% to 25% intrasellar; <5% completely suprasellar CT: 75% hypodense to brain; noncalcified; 50% rim (capsular)enhancement MR: Most common = hyperintense to brain on T1WI, with variable signal on T2WI Differential diagnosis: Arachnoid cyst, noncalcified craniopharyngioma, cystic pituitary adenoma, inflamatory cyst
  • 66.
    14 year old femalewith Diabetes Insipidus
  • 67.
    Epidermoid  Irregularly lobulated Insinuating  Common in CP angle, 4th ventricle, supra & parasellar regions.  Intra cerebral < 10%  Incorporation during 4-5th week of development.  No dermal appendages & hair follicles.  Dermoids contain dermal appendages.
  • 68.
    Epidermoid (contd.)  Similarto CSF on T1 & T2  High signal in case of white epidermoids  Incomplete nulling on FLAIR  DWI – Restriction  No enhancement, Thin enhancement at the periphery  25% may show rim enhancement  White epidermoid – More protein and debris ---- high signal on T1 & CT.
  • 69.
    T1 + C T1WI DWIT2WI FLAIR Differential diagnosis:  Dermoid  Acoustic neuroma  Craniopharyngioma  Arachnoid cyst
  • 70.
    Dermoid  Incidence - Uncommon(0.04% to 0.6% of primary brain tumors)  Age - 30 to 50 years; slight male predominance  Location - Midline - Parasellar, frontobasal most common intra-cranial sites - Vermis, 4th ventricle most common infra- tentorial sites - Subarachnoid spread from ruptured cyst
  • 71.
    Dermoid (contd.)  CT: appear as well defined low attenuating (fat density) lobulated masses.  Calcifications may be present in the wall.  Enhancement is uncommon, and if present should at most be a thin peripheral rim.  Very rarely they demonstrate hyperdensity thought to be due to a combination of saponification, microcalcification and blood products.  MRI:  Typically follow fat density on all sequences  No enhancement; extensive pial enhancement may be present in chemical meningitis due to ruptured cyst
  • 73.
    T T1WI FLAIR T2WI DWI Differential diagnosis:  Intracraniallipoma  Intracranial teratoma  Craniopharyngioma
  • 74.
    Pilocytic Astrocytoma  5-10%of all glioma  75% of cerebellar Astrocytomas are of the Pilocytic type  MC primary brain tumour in children  Slowly growing tumour  WHO Grade 1  Clinically aggressive but malignant transformation is uncommon  5 yr survival rate is 86-100%  Associated with NF-1 (Optic pathway, 15-21%)  Frequently causes obstructive hydrocephalus  Pilomyxoid astrocytoma is a variant (WHO grade 2 tumor), most commonly involves hypothalamus and optic chiasm
  • 75.
    Pilocytic Astrocytoma (contd.) Cystic cerebellar mass with enhancing mural nodule  Enlarged optic nerve/chiasma/adjacent to 3rd ventricle/brainstem (dotted I sign)  Less than 10% - solid.  May enhance in a homogeneous or a heterogeneous fashion  Approximately 50% are simple cysts with a single mural nodule  No histological evidence of tumor is present in the cyst wall. Removal of the mural nodule in this tumor variety may be sufficient for treatment.  About 40-45% consist of multilocular cysts In these cases, histologic evidence of tumor is present in the cyst wall.  Contrast enhancement is strong  Calcification (10%)& Hemorrhage are rare  T1: iso to hypointense solid component compared to adjacent brain  T2: hyperintense solid component compared to adjacent brain
  • 76.
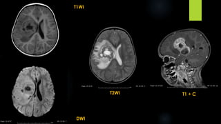
    7 year oldmale with c/o nystagmus and gait abnormality
  • 77.
    16 year oldmale with headache and raised ICT
  • 78.
     Differential diagnosisfor Pilocytic Astrocytoma:  Medulloblastoma  ATRT  Ependymoma  Hemangioblastoma  Ganglioglioma  Pleomorphic xanthoastrocytoma  Cerebellar abscess
  • 79.
    Medulloblastoma  Medulloblastoma -posterior fossa PNET - supratentorial Pineoblastoma - pineal region  3% of brain tumors  15 – 20% of childhood malignant brain tumors  30 – 40% of childhood posterior fossa tumors  Typically occur in the posterior fossa (75%) 25% in lateral cerebellum  Age: 5-15y  M:F = 2:1  propensity to disseminate through CSF - 1/3 with metastatic disease at diagnosis - Can spread to lung, liver, BM, bone, LN’s – rare
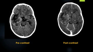
  • 80.
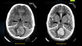
    Medulloblastoma (contd.)  CT- a heart or pear shaped hyperdense midline vermian mass abutting the roof of the fourth ventricle, with perilesional oedema, variable patchy enhancement and hydrocephalus.  Brainstem -displaced anteriorly.  Cystic change, haemorrhage and calcification may be seen.  Typical features - seen in only 30 % of cases  Atypical features are common - Cystic changes (65%) - Isodense attenuation on NECT (3%) and abnormal contrast enhancement
  • 81.
  • 82.
    Medulloblastoma (contd.)  MRI: Hypointense on T1  Variable hypo‐ to hyperintense on T2  Variable enhancement  restricted diffusion on diffusion-weighted imaging
  • 83.
  • 84.
  • 85.
    Differential diagnosis ofposterior fossa tumour with ct hyperdensity and t2 hypointensity  Medulloblastoma/primitive neuro ectodermal tumour/atypical teratoid- rhabdoid tumour /Choroid plexus carcinoma  Ewing's sarcoma  Chondrosarcoma  Chordoma  Lymphoma  Langerhans' cell histiocytosis
  • 86.
    Metastatic Medulloblastoma  DisseminatedMedulloblastoma - 20- 50%  2/3rd to other CNS locations  1/3rd extra cranial primarily to bone(typically lytic)  Disseminated CSF metastasis coats the brain like frosting on cake ,giving rise to ZUCKERGUSS ( sugar icing) – Entire neuraxis should be scanned.  Metastasis along Virchow Robin spaces
  • 87.
    Sugar coating orZuckerguss
  • 88.
    Ependymoma  Third mostcommon pediatric brain tumor  Mean age at diagnosis is 4‐6 years – 1/3 of which are diagnosed before age 3.  Arise from the ependymal cells that line the ventricle of the brain and spinal cord  May have leptomeningeal spread of brain/spine, CSF at the time of diagnosis  NF2 patients commonly have spinal ependymomas not intracranial.  Can be seen with Li‐Fraumeni syndrome (p53) and Turcot syndrome (APC gene)  Presenting symptoms are – disequilibrium , nausea , vomiting & headache & signs are ataxia & nystagmus  Location - 60 % are infratentorial - > 90 % are in fourth ventricle , medulla & cerebellopontine angle cisterns make the remaining; 40 % are supratentorial – extraventricular loction more common ( 2/3rd to 3/4th ) than intraventricular sites
  • 89.
    Ependymoma (contd.)  Types: Classic  Papillary  Myxopapillary - Conus medullaris or filum terminale of the spinal cord  Subependymoma – represent a transitional form between ependymoma & astrocytoma.  Ependymoblastoma- from primitive neuroepithelial precursor cell & shows ependymal differentiation.  Clear Cell  Tanycytic  Giant Cell  Anaplastic
  • 90.
    Ependymoma (contd.)  CT: Most are isodense  50 % cases show calcification  Overt hemorrhage is uncommon  Mild to moderate inhomogenous enhancement is seen in 70 % of cases
  • 91.
  • 92.
    Ependymoma (contd.)  MRI: The MR differentiation of ependymomas from other gliomas is related to their location & morphology only.  The post fossa ependymoma is lobulated soft tissue mass that appears to form a cast or mold of the fourth ventricle & extrudes through its outlet foramina into the adjacent subarachnoid cisterns  The solid components are hypo – to isointense compared to brain on T1WI & hyperintense on proton density & T2WI  The cystic portions are slightly hyperintense to CSF on T1WI & hyperintense to brain on T2WI  Intratumoral heterogeneity may represent necrosis , calcification , tumor vascularity or blood degradation products
  • 93.
  • 94.
  • 95.
     Differential diagnosisfor ependymoma:  Medulloblastoma  Choroid plexus papilloma  Central neurocytoma  Pilocytic astrocytoma
  • 96.
    Brainstem Glioma  Represent10‐20% of all CNS tumors in children  Peak presentation at 7‐9 years  Classic triad of physical findings (all three seen in 1/3 of cas es): – Cranial nerve palsies, ataxia and Long tract signs  Types:  Diffuse intrinsic brainstem glioma  - Most commonly located in the Pons  - Account for 80% of brainstem tumors  Focal  Occupy less than 50% of brainstem subregion.  Often clearly distinguishable from surrounding brainstem.  Subtypes include dorsal exophytic, cervicomedullary and midbrain
  • 97.
    Brainstem Glioma (contd.) CT:  Typically hypodense with little, if any, enhancement.  MRI:  Modality of choice  Hypointense on T1  Hyperintense on T2  Enhancement is variable and depends on the type and grade of the tumor – Diffuse intrinsic tumors rarely enhance. Differential diagnosis:  Rhombencephalitis  ADEM  LCH  Tuberous sclerosis  NF 1  PNET  Ependymoma
  • 98.
  • 99.
    Atypical Teratoid RhabdoidTumor  uncommon malignant intracranial tumors, representing only 1.3% of primary CNS tumors in the pediatric population (WHO Grade IV tumour)  vast majority of cases occurs in young children less than two years of age  can occur anywhere in the central nervous system (CNS) including the spinal cord.  infratentorial: ~50%  - cerebellum (most common), brainstem  supratentorial  - cerebral hemispheres, pineal gland region, septum pellucidum and hypothalamus
  • 100.
    ATRT (contd.)  CT:  often isodense to gray matter  may demonstrate heterogeneous enhancement  calcification is common  may show associated obstructive hydrocephalus  MRI:  Can show necrosis, multiple foci of cyst formation and sometimes haemorrhage:  T1: iso- to slightly hyperintense to grey matter (haemorrhagic areas can be more hyperintense)  T2: generally hyperintense (haemorrhagic areas can be hypointense)  T1 C+ (Gd): heterogeneous enhancement  MRS - Cho: elevated - NAA: decreased Differential diagnosis for ATRT:  Supratentorial PNET  Intracranial teratoma  Medulloblastoma  Choroid plexus carcinoma  Malignant glioma
  • 101.
  • 102.
  • 103.
    Hemangioblastoma  Presentation- headache,disequilibrium, dizziness  Age- 40-60 years  VHL associated occur in younger age group  IMAGING FINDINGS:  Best diagnostic clue - intraaxial posterior fossa mass with cyst, enhancing mural nodule abutting pia  Location - cerebellar hemisphere- 80% - vermis-15%, medulla & 4th ventricle- 5%
  • 104.
    Hemangioblastoma (contd.)  CT: lowdensity cyst + isodense nodule intensely enhancing nodule Cyst wall doesn’t enhance  MRI: T1WI- nodule isointense to brain, cyst slightly hyperintense compared to CSF T2WI- both nodule & cyst are hyperintense Post contrast- intensely enhancing nodule MRS - Raised lipid and choline - Absent NAA and lactate Differential Diagnosis:  Pilocytic astrocytoma  AVM  Ependymoma  Medulloblastoma
  • 105.
    16 year oldmale with symptoms and signs of raised ICT
  • 106.
    Acoustic Schwannoma  Canbe unilateral or bilateral. - If there are bilateral acoustic schwannomas this is diagnostic for NF2 -Unilateral Acoustic schwannoma and a first degree relative with NF2 is diagnostic of NF2  Can be sporadic or associated with NF2. – Sporadic variety is very rare in pediatric population  Account for 0.8% of pediatric brain tumors  NF2 associated schwannomas present with auditory complaints only 30% of the time.  As opposed to the sporadic variant, NF2 associated schwannomas grow faster and have increased invasion of the nerve
  • 107.
    Acoustic Schwannoma (contd.) CT:  show erosion and widening of the internal acoustic canal  density of these tumours on non-contrast imaging is variable  Contrast enhancement is present, but can be underwhelming, especially in larger lesions with cystic components  MRI:  T1 - slightly hypointense cf. adjacent brain (63%); isointense cf. adjacent brain (37%); may contain hypointense cystic areas  T2 - heterogeneously hyperintense cf. to adjacent brain; cystic areas fluid intensity and may have associated peritumoural arachnoid cysts 3  T1 C+ (Gd) - contrast enhancement is vivid but heterogeneous in larger tumors
  • 108.
    T1WI T1 + C FLAIR T2WI Differentialdiagnosis:  Epidermoid  Ependymoma  Meningioma
  • 109.
    Intracranial Teratoma  accountfor the largest proportion of fetal intracranial neoplasms  divided into two broad categories: - intra- and extra-axial  Intra-axial teratomas present antenatally due to increasing head circumference; tend to occur supratentorially  Extra axial teratomas usually present in childhood or early adulthood; commonly arise in the pineal or suprasellar regions; obstructive hydrocephalus, Parinaud syndrome
  • 110.
    Intracranial Teratoma (contd.) CT:  Intracranial teratomas are often seen as large lesions at presentation  tumours typically demonstrating a mixture of tissue densities and signal intensity  demonstrate at least some fat and some calcification, which is usually solid / "clump-like"  They usually have cystic and solid components, contributing to an irregular outline.  Solid components demonstrate variable enhancement  MRI:  T1 - hyperintense components due to fat and proteinaceous/lipid rich fluid; intermediate components of soft tissue; hypointense components due to calcification and blood products  T1 C+ (Gd) - solid soft tissue components show enhancement  T2 - again mixed signal from differing components

Editor's Notes

  • #12 30-35% of all brain tumors, virtually seen in any compartment Types in low grade – fibrillary, gemistocytic and protoplasmic
  • #23 DWI can be used to help differentiate ODs (generally lower grade) from astrocytomas (generally higher grade); astrocytomas have higher ADC values probably because of their higher cellularity
  • #26 Young patient with protracted h/o seizures & well defined cystic tumor containing calcification in periphery of temporal lobe with little or no mass effect strongly consider Ganglioglioma.
  • #33 Axial T1-weighted MR image shows a large, lobulated mass centered in the region of the choroid plexus glomus of the left lateral ventricle. There is also entrapment of the posterior portion of this ventricle by the mass. Axial T2-weighted MR image shows marked hypointensity within the mass. Contrast-enhanced axial T1-weighted MR image shows intense homogeneous enhancement of the mass.
  • #36 a) Axial CT image shows a lobulated, hyperattenuated, intraventricular mass within the posterior portion of the lateral ventricle. There is surrounding vasogenic edema (arrows). (b) Axial T1-weighted MR image shows the lobulated mass with heterogeneous signal intensity. (c) On an axial T2-weighted MR image, the mass is slightly hyperintense compared with the white matter. The vasogenic edema is more conspicuous than in a. Circumferential marked hypointensity (arrowheads) suggests hemosiderin deposition. d) Contrast-enhanced axial T1-weighted MR image shows intense but heterogeneous enhancement within the mass. At surgery, the ventricular wall was transgressed by the mass, and histologic analysis confirmed choroid plexus carcinoma.
  • #83 The CT finding of hyperdensity and MRI finding of T2 hypointensity, supported by the presence of restricted diffusion on diffusion-weighted imaging,(typical feature) are the most reliable observations in differentiating medulloblastoma (and atypical rhabdoid tumour which on imaging appears identical to medulloblastoma) from Ependymoma or other posterior fossa tumours.
  • #84 MRI demonstrates a mass within the left cerebellar hemisphere. Is is composed of mixed solid and cystic components and is surrounded by a mantle of tumour oedema. The solid component demonstrates restricted diffusion on DWI. Following administration of contrast, vivid enhancement of the solid component is present.