Chest Sonography in Critically
Ill Patients
Gamal Rabie Agmy ,MD ,FCCP
Professor of Chest Diseases, Assiut University
c
At the bedside, chest radiography remains the reference for lung imaging in
critically ill patients. However, radiographical images are often of
limited quality
• Movements of the chest wall
• Film cassette posterior to the
thorax
• X-ray beam originating anteriorly, at
a shorter distance than
recommended and not tangential to
the diaphragmatic cupola .
Mistaken assessment
of :
c
• Pleural effusion
• Alveolar consolidation
• Alveolar-interstitial
syndrome
Bedside Chest Radiography in the Critically
ill
02 09 2012
Risk of transportation
Lung Computed Tomography in
the Critically ill
http://www.reapitie-
02 09 2012
Scanning Positions for
Chest Sonography in ICU
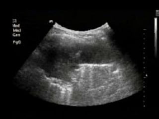
Tissue pattern representative of Alveolar
Consolidation
Presence of hyperechoic punctiform
imagesrepresentative of air bronchograms
Pleural
effusion
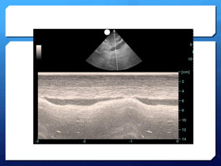
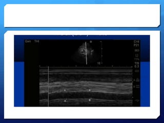
Lower lobe
the "seashore sign" (Fig.3).
Clinical applications of lung ultrasonography in the
intensive care unit
1. Diagnosis of pulmonary consolidation.
2. Diagnosis of atelectasis
3. Diagnosis of alveolar-interstitialsyndrome
4. Differentiating between pulmonary oedema and ARDS
5. Differentiating between pulmonary oedema and COPD
6. Diagnosis of pulmonary embolism
7. Diagnosis of pneumothorax
8. Diagnosis and estimation of volume and nature of pleural effusion.
9. Diagnostic and therapeutic ultrasound-guided thoracentesis.
Absent lung sliding
Exaggerated horizontal artifacts
Loss of comet-tail artifacts
Broadening of the pleural line to a band
The key sonographic signs of
Pneumothorax
the "seashore sign" (Fig.3).
Pulmonary Embolism
Schematic representation of the parenchymal, pleural and vascular
features associated with pulmonary embolism.(Angelika Reissig, Claus
Kroegel. Respiration2003;70:441-452)
Alveolar-interstitial syndrome
Multiple B-lines - « comet-tails » - interstitial edema
(B1)
7 mm apart « B lines » thickened interlobular
septa
D Lichtenstein et al AJRCCM 156 : 1640-1646 , 1997JJR 25 05http://www.reapitie-
http://www.reapitie- 02 09 2012
D Lichtenstein et al AJRCCM 156 : 1640-1646 , 199730 11 2011
Coalescent B lines - « comet-tails » - alveolar
edema
3 mm apart « B lines » ground-glass
areas
http://www.reapitie- 02 09 2012
Hemodynamic assessment of circulatory
failure using lung ultrasound: FALLS-
protocol
Is ultrasound useful in shock?
Shock
Clinical situation where there is
hypoperfusion of the cells and tissues
Background
 Patients with shock have high mortality rates and these
rates are correlated to the amount and duration of
hypotension.
 Diagnosis and initial care must be accurate and prompt
to optimise patient outcomes.
 Studies have demonstrated that initial integration of
bedside ultrasound into the evaluation of the patient with
shock results in a more accurate initial diagnosis with
earlier definitive treatment.
 Bedside USS allows direct visualisation of pathology or
abnormal physiological states.
Remember…
 Ultrasound is a tool to aid diagnosis, but it won’t tell you
everything…
 When using it we should always have a clinical question you
would like it to answer
 Contractility-
 Hyperdynamic LV- sepsis, hypovolaemia
 Hypodynamic-late sepsis, cardiogenic shock
 What’s the RV like? – collapsing? Dilated?
 Obstructive shock
 Gross valvular dysfunction
Cardiac assessment
Parasternal long axis
 Transducer at left sternal
edge between 2nd -4th
intercostal space
 Probe marker pointing to
patients R shoulder
 Probe aligned along the
long axis: from R shoulder
to cardiac apex.
 Useful view to assess
contractility
Apical 4 chamber
 Transducer at 4th-6th intercostal
space in the midclavicular to
anterior-axillary line.
 Probe directed towards patient’s
right shoulder with the marker
directed towards the left
shoulder.
 Important view to give relative
dimensions of L and R ventricle.
 Normal ventricular diameter
ratio of R ventricle to L ventricle
is <0.7.
PericardialTamponade
 Remember tamponadeis a clinical diagnosis based on
patient’s haemodynamics and clinical picture.
 Ultrasound may demonstrate early warning signs of
tamponade before the patient becomes haemodynamically
unstable.
 Haemodynamic effects
 Its PRESSURE NOT SIZE THAT COUNTS!
 Rate of formation affects pressure-volume relationship and
is therefore more important than volume of fluid.
Tamponade using ultrasound
 A moderate-large effusion.
 Right atrial collapse
 Atrial contractionnormal in atrial systole
 Collapse throughout diastole or inversion is abnormal.
 RV collapse during diastole when meant to be filling
(‘scalloping’ seen)
 Whats seen in the IVC…
 IVC
Where to put the probe…
 Probe position
 Subxiphoid
 Orientate probe in
longitudinal plane with
probe indicator to
patient’s head
 Slightly to right of
midline
Bowel gas causing problems….
The FAST view…
 Probe goes longitudinally in right mid axillary line with
marker towards head.
 Look for IVC running longitudinally adjacent to the liver
crossing the diaphragm
 Track superiorly until it enters the RA confirms it’s the IVC not
the aorta
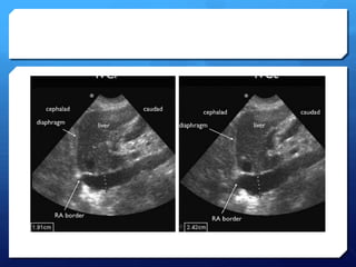
Assessing the IVC
 During inspiration, intrathoracic pressure becomes more
negative, abdominal pressure becomes more positive,
resultant increase in the pressure gradient between the
supra and infra-diaphragmatic vena cava, increases
venous return to the heart.
 Given the extrathoracic IVC is a very compliant vessel
this causes diameter of IVC to decrease with normal
inspiration.
 In patients with low intravascular volume, the inspiration
to expiration diameters change much more than those
who have normal or high intravascular volume.
Estimating theCVP
IVC Diameter (mm) % collapse Estimated CVP (cm
H2O)
<20 >50 5
<20 <50 10
>20 <50 15
>20 0 20
Right atrial pressures, representing central venous pressure, can be estimated
by viewing the respiratory change in the diameter of the IVC.
American society of Echocardiography
2010 guidelines
Subxiphoid long; shocked and dry
Subxiphoid transverse view of the IVC
and aorta
Complicating the picture
 Valvular disease
 Pulmonary hypertension
 Increased intraabdominal pressure
hiMAp
eFAST/Aorta scan
himaP
 Multiple studies have shown ultrasound to be more
sensitive than supine CXR for the detection of
pneumothorax.
 Sensitivities ranged from 86-100% with specificities from
92-100%.
 Furthermore USS can be performed more rapidly at the
bedside.
 Detection with ultrasound relies on the fact that free air is
lighter than normal aerated lung tissue, and thus will
accumulate in the nondependent areas of the thoracic
cavity. (ie anteriorly when patient is supine).
To get the lung window
 Patient should be supine.
 Use high frequency linear
array or a phased array
transducer.
 Position in the
midclavicular line, 3rd to 4th
intercostal space with
probe oriented
longitudinally.
 Position between ribs.
Pneumothorax
Abdominal and cardiac evaluation with sonography in the
hypotensive patient (ACES)
Category of
shock
Cardiac funcion IVC Treatment
Septic Hyperdynamic Narrow IVC,
collapseswith
inspiration
IVF +/-pressors
Cardiogenic Hypodynamicleft
ventricle
Dilated IVC;little
or no collapse
with inspiration
Inotropes
Hypovolaemic HyperdynamicLV Narrow IVC,
collapses
IVF/Blood
Tamponade Pericardial
effusio, diastolic
collapseRV
Dilated IVC, no
collapsewith
inspiration
Pericardiocentesi
s
PE Dilated RV Dilated IVC with
minimal/no
collapse
thrombolysis
(Chest. 2008; 133:836-837)
© 2008 American College of Chest Physicians
Ultrasound: The Pulmonologist’s New Best
Friend
Momen M. Wahidi, MD, FCCP
Ultrasonography in Critically Ill Patients

Ultrasonography in Critically Ill Patients

  • 2.
    Chest Sonography inCritically Ill Patients Gamal Rabie Agmy ,MD ,FCCP Professor of Chest Diseases, Assiut University
  • 4.
    c At the bedside,chest radiography remains the reference for lung imaging in critically ill patients. However, radiographical images are often of limited quality • Movements of the chest wall • Film cassette posterior to the thorax • X-ray beam originating anteriorly, at a shorter distance than recommended and not tangential to the diaphragmatic cupola . Mistaken assessment of : c • Pleural effusion • Alveolar consolidation • Alveolar-interstitial syndrome Bedside Chest Radiography in the Critically ill 02 09 2012
  • 5.
    Risk of transportation LungComputed Tomography in the Critically ill http://www.reapitie- 02 09 2012
  • 7.
  • 18.
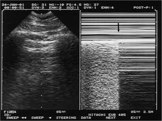
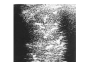
    Tissue pattern representativeof Alveolar Consolidation Presence of hyperechoic punctiform imagesrepresentative of air bronchograms Pleural effusion Lower lobe
  • 21.
  • 23.
    Clinical applications oflung ultrasonography in the intensive care unit 1. Diagnosis of pulmonary consolidation. 2. Diagnosis of atelectasis 3. Diagnosis of alveolar-interstitialsyndrome 4. Differentiating between pulmonary oedema and ARDS 5. Differentiating between pulmonary oedema and COPD 6. Diagnosis of pulmonary embolism 7. Diagnosis of pneumothorax 8. Diagnosis and estimation of volume and nature of pleural effusion. 9. Diagnostic and therapeutic ultrasound-guided thoracentesis.
  • 33.
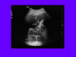
    Absent lung sliding Exaggeratedhorizontal artifacts Loss of comet-tail artifacts Broadening of the pleural line to a band The key sonographic signs of Pneumothorax
  • 37.
  • 46.
  • 47.
    Schematic representation ofthe parenchymal, pleural and vascular features associated with pulmonary embolism.(Angelika Reissig, Claus Kroegel. Respiration2003;70:441-452)
  • 49.
  • 54.
    Multiple B-lines -« comet-tails » - interstitial edema (B1) 7 mm apart « B lines » thickened interlobular septa D Lichtenstein et al AJRCCM 156 : 1640-1646 , 1997JJR 25 05http://www.reapitie- http://www.reapitie- 02 09 2012
  • 55.
    D Lichtenstein etal AJRCCM 156 : 1640-1646 , 199730 11 2011 Coalescent B lines - « comet-tails » - alveolar edema 3 mm apart « B lines » ground-glass areas http://www.reapitie- 02 09 2012
  • 65.
    Hemodynamic assessment ofcirculatory failure using lung ultrasound: FALLS- protocol
  • 66.
  • 67.
    Shock Clinical situation wherethere is hypoperfusion of the cells and tissues
  • 68.
    Background  Patients withshock have high mortality rates and these rates are correlated to the amount and duration of hypotension.  Diagnosis and initial care must be accurate and prompt to optimise patient outcomes.  Studies have demonstrated that initial integration of bedside ultrasound into the evaluation of the patient with shock results in a more accurate initial diagnosis with earlier definitive treatment.  Bedside USS allows direct visualisation of pathology or abnormal physiological states.
  • 69.
    Remember…  Ultrasound isa tool to aid diagnosis, but it won’t tell you everything…  When using it we should always have a clinical question you would like it to answer
  • 70.
     Contractility-  HyperdynamicLV- sepsis, hypovolaemia  Hypodynamic-late sepsis, cardiogenic shock  What’s the RV like? – collapsing? Dilated?  Obstructive shock  Gross valvular dysfunction
  • 71.
  • 72.
    Parasternal long axis Transducer at left sternal edge between 2nd -4th intercostal space  Probe marker pointing to patients R shoulder  Probe aligned along the long axis: from R shoulder to cardiac apex.  Useful view to assess contractility
  • 73.
    Apical 4 chamber Transducer at 4th-6th intercostal space in the midclavicular to anterior-axillary line.  Probe directed towards patient’s right shoulder with the marker directed towards the left shoulder.  Important view to give relative dimensions of L and R ventricle.  Normal ventricular diameter ratio of R ventricle to L ventricle is <0.7.
  • 75.
    PericardialTamponade  Remember tamponadeisa clinical diagnosis based on patient’s haemodynamics and clinical picture.  Ultrasound may demonstrate early warning signs of tamponade before the patient becomes haemodynamically unstable.  Haemodynamic effects  Its PRESSURE NOT SIZE THAT COUNTS!  Rate of formation affects pressure-volume relationship and is therefore more important than volume of fluid.
  • 76.
    Tamponade using ultrasound A moderate-large effusion.  Right atrial collapse  Atrial contractionnormal in atrial systole  Collapse throughout diastole or inversion is abnormal.  RV collapse during diastole when meant to be filling (‘scalloping’ seen)  Whats seen in the IVC…
  • 77.
  • 78.
    Where to putthe probe…  Probe position  Subxiphoid  Orientate probe in longitudinal plane with probe indicator to patient’s head  Slightly to right of midline
  • 79.
    Bowel gas causingproblems….
  • 80.
    The FAST view… Probe goes longitudinally in right mid axillary line with marker towards head.  Look for IVC running longitudinally adjacent to the liver crossing the diaphragm  Track superiorly until it enters the RA confirms it’s the IVC not the aorta
  • 81.
    Assessing the IVC During inspiration, intrathoracic pressure becomes more negative, abdominal pressure becomes more positive, resultant increase in the pressure gradient between the supra and infra-diaphragmatic vena cava, increases venous return to the heart.  Given the extrathoracic IVC is a very compliant vessel this causes diameter of IVC to decrease with normal inspiration.  In patients with low intravascular volume, the inspiration to expiration diameters change much more than those who have normal or high intravascular volume.
  • 82.
    Estimating theCVP IVC Diameter(mm) % collapse Estimated CVP (cm H2O) <20 >50 5 <20 <50 10 >20 <50 15 >20 0 20 Right atrial pressures, representing central venous pressure, can be estimated by viewing the respiratory change in the diameter of the IVC.
  • 83.
    American society ofEchocardiography 2010 guidelines
  • 85.
  • 88.
    Subxiphoid transverse viewof the IVC and aorta
  • 89.
    Complicating the picture Valvular disease  Pulmonary hypertension  Increased intraabdominal pressure
  • 90.
  • 91.
    himaP  Multiple studieshave shown ultrasound to be more sensitive than supine CXR for the detection of pneumothorax.  Sensitivities ranged from 86-100% with specificities from 92-100%.  Furthermore USS can be performed more rapidly at the bedside.  Detection with ultrasound relies on the fact that free air is lighter than normal aerated lung tissue, and thus will accumulate in the nondependent areas of the thoracic cavity. (ie anteriorly when patient is supine).
  • 92.
    To get thelung window  Patient should be supine.  Use high frequency linear array or a phased array transducer.  Position in the midclavicular line, 3rd to 4th intercostal space with probe oriented longitudinally.  Position between ribs.
  • 93.
  • 94.
    Abdominal and cardiacevaluation with sonography in the hypotensive patient (ACES) Category of shock Cardiac funcion IVC Treatment Septic Hyperdynamic Narrow IVC, collapseswith inspiration IVF +/-pressors Cardiogenic Hypodynamicleft ventricle Dilated IVC;little or no collapse with inspiration Inotropes Hypovolaemic HyperdynamicLV Narrow IVC, collapses IVF/Blood Tamponade Pericardial effusio, diastolic collapseRV Dilated IVC, no collapsewith inspiration Pericardiocentesi s PE Dilated RV Dilated IVC with minimal/no collapse thrombolysis
  • 99.
    (Chest. 2008; 133:836-837) ©2008 American College of Chest Physicians Ultrasound: The Pulmonologist’s New Best Friend Momen M. Wahidi, MD, FCCP