SCLERITIS
&
EPISCLERITIS
Anatomy
 3 LAYERS
• Episcleral tissue
• Sclera proper
• Lamina fusca
 VASCULAR LAYERS THAT COVERS SCLERA
• Conjuctival vessels
• Superficial Episcleral Vessels
• Deep Vascular Plexus
EPISCLERITIS
• Benign, idiopathic, recurrent
• 2 types :
Simple
Nodular
Simple episcleritis
NODULAR EPISCLERITIS
SCLERITIS
Anterior non-necrotizing scleritis
• DIFFUSE
5th decade, women
ocular redness followed a few days later by
aching
may spread to the face and temple
Vascular congestion and dilatation associated
with oedema
Recurrences at the same location are common
NODULAR
• Previous attack of herpes zoster ophthalmicus
• Fifth decade
• C/F - pain followed by increasing redness,
tenderness of the globe and the appearance
of a scleral nodule
• Scleral nodule may be single or multiple and
mostly 3–4 mm away from the limbus
• Multiple nodules may coalesce, become confluent
• 10% of patients with nodular scleritis develop
necrotizing
Anterior necrotizing scleritis with
inflammation
• the aggressive form of scleritis
• 60 years
• bilateral in 60%
• may result in severe visual morbidity and
sometimes loss of the eye
• Symptoms - gradual onset of pain which becomes
severe and persistent
radiates to the temple, brow or jaw
Signs
• three types of necrotizing disease
a) Vaso-occlusive - often associated with rheumatoid
arthritis
Isolated patches of scleral oedema
with overlying non-perfused episclera & conjunctiva
The patches coalesce, and if
unchecked rapidly proceed to progressive scleral
necrosis
b) Granulomatous
• often associated with Wegener
granulomatosis and polyarteritis nodosa
• starts with injection adjacent to the limbus
and then extends posteriorly
• Within 24 hours, the sclera, episclera,
conjunctiva and adjacent cornea become
irregularly raised and oedematous
c) Surgically-induced scleritis
• Within 3 weeks of the surgical procedure
• strabismus repair, trabeculectomy , scleral buckling ,
treatment of pterygium with adjunctive mitomycin
C
• necrotizing process starts at the site of surgery and
then extends outwards
• But it tends to remain localized to one segment
Investigations
• Laboratory –
RF, ANA, ANCA (cANCA, pANCA) and
antiphospholipid antibodies
• FA –
Most ptients - vascular non-perfusion
Systemic vasculitis - transudation, localized areas of
vasculitis and new vessel formation
Complications
1 Acute infiltrative stromal keratitis may be localized or
diffuse.
2 Sclerosing keratitis, characterized by chronic thinning
and opacification in which the peripheral cornea
adjacent to the site of scleritis resembles sclera
3 Peripheral ulcerative keratitis is characterized by
progressive melting and ulceration. In granulomatous
scleritis the destruction extends directly from the sclera
into the limbus and cornea. This characteristic pattern
is seen in Wegener granulomatosis, polyarteritis
nodosa and relapsing polychondritis.
4 Uveitis, if severe, usually denotes aggressive
scleritis.
5 Glaucoma is the most common cause of eventual
loss of vision. The intraocular pressure is very
difficult to control in the presence of active
scleritis.
6 Hypotony may be the result of ciliary body
detachment, inflammatory damage or ischaemia.
7 Perforation of the sclera as a result of the
inflammatory process alone is extremely rare
Scleromalacia perforans
• necrotizing scleritis without inflammation
• typically affects elderly women with longstanding
rheumatoid arthritis
• perforation of the globe is extremely rare
• Presentation - slight non-specific irritation and
keratoconjunctivitis sicca may be
suspected; pain is absent and vision unaffected.
Signs –
• Necrotic scleral plaques near the limbus
without vascular congestion
• Coalescence and enlargement of necrotic
areas.
• Very slow progression of scleral thinning
and exposure of underlying uvea
Treatment
• Effective in patients with very early disease
• Repair of scleral perforation must be attempted
otherwise phthisis bulbi ensues
• Differential diagnosis - scleral hyaline plaque
oval, dark-greyish area located close to the
insertion of the horizontal rectus muscles.
Posterior scleritis
• serious, potentially blinding condition
• Under the age of 40
• Bilateral in 35%
• Presentation may be with discomfort or pain.
severe in those with accompanying
orbital myositis
Tenderness to palpation is very
common
Signs
a Exudative retinal detachment occurs in almost
25% of cases
b Uveal effusion characterized by exudative retinal
detachment and choroidal detachment
c Choroidal folds represent an anterior
displacement of the choroid. They are usually
confined to the posterior pole and run
horizontally.
d Subretinal mass characterized by a yellowish-
brown elevation which may be mistaken for a
choroidal tumour.
e Disc oedema with an accompanying slight
reduction of vision is common. It iscaused by
spread of the granulomatous process into the
orbital tissue and the optic nerve.
f Myositis is common and gives rise to diplopia,
pain on eye movement, tenderness to touch and
redness around a muscle insertion.
g Proptosis is usually mild and frequently
associated with ptosis.
h Other features - glaucoma, periorbital oedema,
chemosis and conjunctival injection
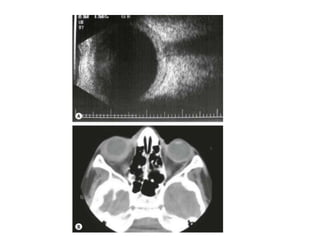
Ultrasound :
• Increased scleral thickness, scleral nodules and
separation of Tenon capsule from the sclera.
• Fluid in Tenon's space gives rise to the
characteristic ‘T’ sign in which the stem of the T is
formed by the optic nerve on its side and the cross
bar by the gap containing fluid
• Disc oedema, choroidal folds or retinal
detachment.
MR and CT may show scleral thickening and proptosis
Differential Diagnosis
1 Subretinal mass - granuloma associated with some other
pathology, amelanotic choroidal melanoma, choroidal
metastasis and choroidal hemangioma.
2 Choroidal folds, retinal striae and disc oedema - orbital
tumours, orbital inflammatory disease, thyroid eye
disease, papilloedema and hypotony.
3 Exudative retinal detachment - Vogt–Koyanagi–Harada
(VKH) syndrome and central serous retinopathy.
4 Orbital cellulitis
Treatment of immune-mediated
scleritis
• Topical steroids – may relieve symptoms and
oedema in non-necrotizing disease
• Systemic NSAIDs - should be used only in non-
necrotizing disease
• Periocular steroid injections
• Systemic steroids - when NSAIDs are
inappropriate or ineffective (necrotizing
disease)
• Cytotoxic agents - cyclophosphamide, the drug
of choice in Wegener disease, azathioprine,
mycophenolate mofetil and methotrexate
• Immune modulators such as ciclosporin and
tacrolimus
• Specific antibodies such as infliximab and
rituximab show promise
Infectious scleritis
CAUSES
• Herpes zoster – extremely resistant to treatment
and may result in a punched-out area or a
thinned scleral patch
• Tuberculous scleritis – by direct spread from a
local conjunctival or choroidal lesion, or more
commonly by haematogenous spread. Clinically
involvement may be nodular or necrotizing
• Leprosy - Diffuse scleritis is associated with severe
recurrent reactions. Nodular scleritis may occur in
lepromatous leprosy. Necrotizing disease may
occur as a result of scleral infection or as part of an
immune response.
• Syphilis - Diffuse anterior scleritis may occur in
secondary syphilis. Occasionally scleral nodules
may be seen in tertiary syphilis.
• Lyme disease. Scleritis is common but typically
occurs long after initial infection.
• Other causes include fungi , P. aeruginosa and
Nocardia
Treatment
• specific antimicrobial therapy
• Topical and systemic steroids
• surgical debridement not only facilitates the
penetration of antibiotics but also debulks the
infected scleral tissue
THANKYOU

Scleritis

  • 1.
  • 2.
    Anatomy  3 LAYERS •Episcleral tissue • Sclera proper • Lamina fusca  VASCULAR LAYERS THAT COVERS SCLERA • Conjuctival vessels • Superficial Episcleral Vessels • Deep Vascular Plexus
  • 4.
    EPISCLERITIS • Benign, idiopathic,recurrent • 2 types : Simple Nodular
  • 5.
  • 6.
  • 7.
  • 8.
    Anterior non-necrotizing scleritis •DIFFUSE 5th decade, women ocular redness followed a few days later by aching may spread to the face and temple Vascular congestion and dilatation associated with oedema Recurrences at the same location are common
  • 10.
    NODULAR • Previous attackof herpes zoster ophthalmicus • Fifth decade • C/F - pain followed by increasing redness, tenderness of the globe and the appearance of a scleral nodule • Scleral nodule may be single or multiple and mostly 3–4 mm away from the limbus
  • 11.
    • Multiple nodulesmay coalesce, become confluent • 10% of patients with nodular scleritis develop necrotizing
  • 12.
    Anterior necrotizing scleritiswith inflammation • the aggressive form of scleritis • 60 years • bilateral in 60% • may result in severe visual morbidity and sometimes loss of the eye • Symptoms - gradual onset of pain which becomes severe and persistent radiates to the temple, brow or jaw
  • 13.
    Signs • three typesof necrotizing disease a) Vaso-occlusive - often associated with rheumatoid arthritis Isolated patches of scleral oedema with overlying non-perfused episclera & conjunctiva The patches coalesce, and if unchecked rapidly proceed to progressive scleral necrosis
  • 15.
    b) Granulomatous • oftenassociated with Wegener granulomatosis and polyarteritis nodosa • starts with injection adjacent to the limbus and then extends posteriorly • Within 24 hours, the sclera, episclera, conjunctiva and adjacent cornea become irregularly raised and oedematous
  • 17.
    c) Surgically-induced scleritis •Within 3 weeks of the surgical procedure • strabismus repair, trabeculectomy , scleral buckling , treatment of pterygium with adjunctive mitomycin C • necrotizing process starts at the site of surgery and then extends outwards • But it tends to remain localized to one segment
  • 19.
    Investigations • Laboratory – RF,ANA, ANCA (cANCA, pANCA) and antiphospholipid antibodies • FA – Most ptients - vascular non-perfusion Systemic vasculitis - transudation, localized areas of vasculitis and new vessel formation
  • 20.
    Complications 1 Acute infiltrativestromal keratitis may be localized or diffuse. 2 Sclerosing keratitis, characterized by chronic thinning and opacification in which the peripheral cornea adjacent to the site of scleritis resembles sclera 3 Peripheral ulcerative keratitis is characterized by progressive melting and ulceration. In granulomatous scleritis the destruction extends directly from the sclera into the limbus and cornea. This characteristic pattern is seen in Wegener granulomatosis, polyarteritis nodosa and relapsing polychondritis.
  • 21.
    4 Uveitis, ifsevere, usually denotes aggressive scleritis. 5 Glaucoma is the most common cause of eventual loss of vision. The intraocular pressure is very difficult to control in the presence of active scleritis. 6 Hypotony may be the result of ciliary body detachment, inflammatory damage or ischaemia. 7 Perforation of the sclera as a result of the inflammatory process alone is extremely rare
  • 23.
    Scleromalacia perforans • necrotizingscleritis without inflammation • typically affects elderly women with longstanding rheumatoid arthritis • perforation of the globe is extremely rare • Presentation - slight non-specific irritation and keratoconjunctivitis sicca may be suspected; pain is absent and vision unaffected.
  • 24.
    Signs – • Necroticscleral plaques near the limbus without vascular congestion • Coalescence and enlargement of necrotic areas. • Very slow progression of scleral thinning and exposure of underlying uvea
  • 26.
    Treatment • Effective inpatients with very early disease • Repair of scleral perforation must be attempted otherwise phthisis bulbi ensues • Differential diagnosis - scleral hyaline plaque oval, dark-greyish area located close to the insertion of the horizontal rectus muscles.
  • 27.
    Posterior scleritis • serious,potentially blinding condition • Under the age of 40 • Bilateral in 35% • Presentation may be with discomfort or pain. severe in those with accompanying orbital myositis Tenderness to palpation is very common
  • 28.
    Signs a Exudative retinaldetachment occurs in almost 25% of cases b Uveal effusion characterized by exudative retinal detachment and choroidal detachment c Choroidal folds represent an anterior displacement of the choroid. They are usually confined to the posterior pole and run horizontally. d Subretinal mass characterized by a yellowish- brown elevation which may be mistaken for a choroidal tumour.
  • 29.
    e Disc oedemawith an accompanying slight reduction of vision is common. It iscaused by spread of the granulomatous process into the orbital tissue and the optic nerve. f Myositis is common and gives rise to diplopia, pain on eye movement, tenderness to touch and redness around a muscle insertion. g Proptosis is usually mild and frequently associated with ptosis. h Other features - glaucoma, periorbital oedema, chemosis and conjunctival injection
  • 31.
    Ultrasound : • Increasedscleral thickness, scleral nodules and separation of Tenon capsule from the sclera. • Fluid in Tenon's space gives rise to the characteristic ‘T’ sign in which the stem of the T is formed by the optic nerve on its side and the cross bar by the gap containing fluid • Disc oedema, choroidal folds or retinal detachment. MR and CT may show scleral thickening and proptosis
  • 33.
    Differential Diagnosis 1 Subretinalmass - granuloma associated with some other pathology, amelanotic choroidal melanoma, choroidal metastasis and choroidal hemangioma. 2 Choroidal folds, retinal striae and disc oedema - orbital tumours, orbital inflammatory disease, thyroid eye disease, papilloedema and hypotony. 3 Exudative retinal detachment - Vogt–Koyanagi–Harada (VKH) syndrome and central serous retinopathy. 4 Orbital cellulitis
  • 34.
    Treatment of immune-mediated scleritis •Topical steroids – may relieve symptoms and oedema in non-necrotizing disease • Systemic NSAIDs - should be used only in non- necrotizing disease • Periocular steroid injections • Systemic steroids - when NSAIDs are inappropriate or ineffective (necrotizing disease)
  • 35.
    • Cytotoxic agents- cyclophosphamide, the drug of choice in Wegener disease, azathioprine, mycophenolate mofetil and methotrexate • Immune modulators such as ciclosporin and tacrolimus • Specific antibodies such as infliximab and rituximab show promise
  • 36.
    Infectious scleritis CAUSES • Herpeszoster – extremely resistant to treatment and may result in a punched-out area or a thinned scleral patch • Tuberculous scleritis – by direct spread from a local conjunctival or choroidal lesion, or more commonly by haematogenous spread. Clinically involvement may be nodular or necrotizing
  • 38.
    • Leprosy -Diffuse scleritis is associated with severe recurrent reactions. Nodular scleritis may occur in lepromatous leprosy. Necrotizing disease may occur as a result of scleral infection or as part of an immune response. • Syphilis - Diffuse anterior scleritis may occur in secondary syphilis. Occasionally scleral nodules may be seen in tertiary syphilis. • Lyme disease. Scleritis is common but typically occurs long after initial infection. • Other causes include fungi , P. aeruginosa and Nocardia
  • 39.
    Treatment • specific antimicrobialtherapy • Topical and systemic steroids • surgical debridement not only facilitates the penetration of antibiotics but also debulks the infected scleral tissue
  • 40.