SBRT Contouring Guidelines
Dr Rushi Panchal,MD
Consultant Radiation Oncologist,
M S Patel Cancer Centre,
Karamsad- Anand, Gujarat
Email id: rusp2582@gmail.com
Mob No.: 09727757165
Safe delivery is of utmost importance due to high
fractional dose and small number of fractions
Unlike intracranial radiosurgery, where the PTV is immobile within the skull and therefore
relatively easy to fix in relation to the radiation source, at extra-cranial sites there are the
problems of internal organ motion and external patient movement
serial tissues, the volume-dose
constraints are given in terms of the
critical maximum tissue volume that
should receive a dose equal or
greater than the indicated threshold
dose for the given number of fractions
used. For parallel tissue, constraints
are based on a critical minimum
volume of tissue that should receive a
dose equal to or less than the
indicated threshold dose for the given
number of fractions used.
SBRT
• Primary cancer
• Oligometastatic disease” is defined as a state in which metastases
are limited in number and site and characterized by unusual cancer
biology and behaviour(stable tumour state somewhere between
purely localised and widely metastatic) In this setting local ablative
therapy could have a potential curative role.
• in an analysis of over 5000 patients with lung metastases, survival
after complete surgical resection was 36% at 5 years and 22% at 15
years, Pastorino UB et al. J Thorac Cardiovasc Surg
1997;113:37–49.
SBRT LUNG
Indication
• Patients with T1, T2 (≤ 5 cm), T3 (≤ 5 cm), N0, M0 non-
small cell lung cancer(squamous cell carcinoma, adenocarcinoma, large
cell carcinoma, large cell neuroendocrine, and non-small cell carcinoma not otherwise
specified) patients with T3 tumors must have chest wall
primary tumors only.
• Oligometastasis of lung from primary elsewhere.
the 2-year OS was 60.3% for patients with
1–3 metastases compared with 21.9% for
patients with4–5 metastases
Contraindication
• Bronchioloalveolar cell carcinoma
Simulation & Contouring
Aspects
However, due to respiratory
motion, standard free-breathing
computed tomography both distorts
and generally underestimates the
tumour volume therefore, GTV on
a single free-breathing computed
tomography scan is both an
inaccurate representation of the
tumour dimensions and of the
mean tumour position relative to
other organs
Simulation & Contouring
Aspects
• Supine
• CT Scan: IV Contrast
Non 4 D CT:The PTV will include the GTV plus an
additional 0.5 cm margin in the axial plane and 1.0 cm
margin in the longitudinal plane (craniocaudal).
4D CT-simulation: An internal target volume (ITV)
around the GTV, accounting for tumor motion may be
defined from the 4D CT dataset. The PTV will include the
ITV plus an additional 0.5 cm margin uniformly applied to
the ITV.
• Slice thickness : ≤ 3.0 mm
• OAR Contouring as follows:
Simulation & Contouring
Aspects
OAR Contouring
Dose prescription & Plan evaluation
Dose prescription & Plan evaluation
Dose prescription & Plan evaluation
• As per TG 101 for 1/3/5# protocol
• 4 fraction protocol as follows:
Constraints
Premedication
• Although not mandatory, it is recommended that patients
receive corticosteroid premedication (e.g.,
Dexamethasone, 4 mg, p.o. in a single dose, or
equivalent) 15-60 minutes before each SBRT treatment
for the intended purpose of modulating immediate
pulmonary inflammatory effects.
• Analgesic premedication to avoid general discomfort
during long treatment durations also is recommended
when appropriate
SPINE
SBRT
Indication
• Patients with localized spine metastasis from the C1 to
L5 levels (a solitary spine metastasis; 2 separate spine
levels; or up to 3 separate sites); each of the separate
sites must have a maximal involvement of 2 contiguous
vertebral bodies. (e.g. C5, T5-6, and T12)?
• ≥5 NRPS(Numerical Rating Pain Scale) of at least one of
the planned sites for spine radiosurgery
• Zubrod Performance Status : 0-2
• Patients with epidural compression are eligible provided
that there is a ≥ 3 mm gap between the spinal cord and
the edge of the epidural lesion.
• A paraspinal mass (≤ 5 cm in greatest dimension),
contiguous with the spine metastasis
There can be multiple small metastatic lesions
shown in other vertebral bodies as shown in
diagram (4) above. The metastatic lesion of
each spine should be less than 20% of the
vertebral body as opposed to the diffuse
vertebral involvement. These small lesions are
often seen in the MRI even when bone scan or
PET was negative. Most of these lesions are not
clinically required to be treated and are
therefore not included in the target volume. Only
the painful spine (pain score≥ 5) is to be
treated .
Contraindication
• myeloma or lymphoma
• Non-ambulatory patients
• spinal instability due a compression fracture
• > 50% loss of vertebral body height
• Frank spinal cord compression or displacement or
epidural compression within 3 mm of the spinal cord
• Rapid neurologic decline
• Bony retropulsion causing neurologic abnormality
• Prior radiation to Index Spine
• Patients for whom an MRI of the spine is medically
contraindicated
Points to remember
• Patients can have other visceral metastasis, and radioresistant
tumors (including soft tissue sarcomas, melanomas, and renal cell
carcinomas) are eligible
• MRI (contrast is not required but strongly recommended) of the
involved spine to determine the extent of the spine involvement; an
MRI is required as it is superior to a CT scan in delineating the
spinal cord as well as identifying an epidural or paraspinal soft
tissue component.MRI can be used as the required MRI for
treatment planning.
• Patients with mild to moderate neurological signs are eligible. These
neurological signs include radiculopathy, dermatomal sensory
change, and muscle strength of involved extremity 4/5 (lower
extremity for ambulation or upper extremity for raising arms and/or
arm function).
• Imaging study(bone scan, PET, CT scan, or MRI)
Simulation & Contouring
Aspects
• Supine
• Immobilized with vacuum bag, alpha cradle, or
stereotactic frames, for cervical spine or cervicothoracic
junctional areas, a rigid head and neck immobilization
• CT-MRI Fusion T1 PC, T2
For soft tissue tumor & Cord
• <3mm slice thickness
Target Volume delineation
Target Volume delineation
In any circumstance, when there is an epidural or paraspinal soft tissue tumor component, the visible
epidural or paraspinal tumors are included in the target volume
Target Volume delineation
Target Volume delineation
Anterior VB with no epidural extension
Left pedicle, posterolateral VB, and neural
foramen. Involvement of the ventral and left lateral
epidural space, mild spinal canal compromise, and
abutment of the spinal cord
Collapse deformity, ventral epidural disease,
moderate spinal canal compromise, mild spinal
cord displacement, extension to the bilateral
neural
foramina, and paraspinal extension
Pedicle and posterior elements, mild ventral and
right lateral epidural disease narrowing of the right
neural foramina
Centered in the spinous process and extending to
the bilateral lamina, bilateral posterior paraspinal
musculature, and bilateral dorsal epidural space
extension with mild spinal canal compromise
Target Volume delineation
Expansile mass in right-sided VB and right posterior
elements with mild right ventral, lateral, and dorsal
epidural disease Involvement of the right neural
foramina
Posterior VB lesion extending into the left neural
foramen with mild spinal canal compromise and left
ventral and lateral epidural extension
Lesion in posterior VB
Diffuse marrow replacement including left pedicle and
articular facets, ventral epidural extension, left lateral
recess extension, and left neural foramen
involvement
Lesion with mild superior and inferior endplate
infractions resulting in mild loss of VB height. Mild
anterior paraspinal extension. Patient underwent
T5 kyphoplasty
OAR Contouring
Dose Prescription & Plan
evaluation
• 16-18Gy/1# or 24Gy/3#
• >/=90% coverage of the target volume by the prescribed
dose( up to 80% is minor deviation)
• 80-90% isodose line is used as prescription line
• Dose inhomogeneity can exist within the target volume
• Outside of the target : >/= to 105% Dose to less than or
equal to 2.0 cc (3cc is major violation)
• >/= to 105% dose to a region within 1.0 cm(1.5 cm is
major violation) from the edge of the target volume
• excludes all doses of greater than or equal to
110%(115% is major violation) of the prescription dose
outside of the target volume.
Any spinal cord dose exceeding these constraints is not acceptable and is a major deviation.
Radiosurgery is not recommended for any cases that do not meet the spinal cord constraints. Each
CT slice within the Radiosurgery plan should be checked to screen any unacceptably high radiation
dose to the spinal cord at any particular slice. In this situation, stopping the Radiosurgery or to
perform re-planning. Other Critical organs should be analyzed for radiation dose distribution if any of
them are transected by any radiation field. Exceeding these limits by more than 2.5% constitutes a
minor violation. Exceeding these limits by more than 5% constitutes a major deviation
Constraints
maximum dose limits
to a point or volume
within several critical
organs
Premedication
• Not must but can be added
• Analgesic
• Anxiolytic
• Steroid
SBRT LIVER
Indication for HCC SBRT
• Unsuitable for resection or transplant or radiofrequency
ablation (RFA)
• Unsuitable for TACE or refractory to TACE
• Barcelona Clinic Liver Cancer Stage (BCLC)
Intermediate (B) or Advanced (C)
• Often used in 1-3 lesions, could be considered for larger
lesions or more extensive disease if there is sufficient
uninvolved liver and liver radiation tolerance can be
respected.
• Child Pugh A/ Early Child Pugh B.
Contraindication for HCC SBRT
• Any one hepatocellular carcinoma > 15 cm
• Total maximal sum of hepatocellular carcinoma > 20 cm
• More than 5 discrete intrahepatic parenchymal foci of HCC
• Direct tumor extension into the stomach, duodenum, small bowel or
large bowel
• Measureable common or main branch biliary duct involvement with
HCC
• Extrahepatic metastases or malignant nodes (that enhance with
typical features of HCC) > 2.0 cm, in sum of maximal diameters
(e.g. presence of one 2.4 cm metastatic lymph node or two 1.2 cm
lung lesions). Note that benign non-enhancing periportal
lymphadenopathy is not unusual in the presence of hepatitis and is
permitted, even if the sum of enlarged nodes is > 2.0 cm
• Hepatic insufficiency resulting in clinical jaundice, encephalopathy
and/or variceal bleed.
Age is not considered in selection criteria, as even elderly and fragile patients
can safely undergo SBRT. This non-invasive and well-tolerated therapy is a
good option for patients unsuitable for surgery.
The intrinsic radio-sensitivity of tumours is not an issue ,as SBRT can be used
regardless of histopathology thanks to the use of ablative doses, with similar
local control rates in radioresistant and radiosensitive primary tumour.
Prerequisite
• For all patients, the following criteria calculated from baseline CT or
MR scans should be met:
•  Liver volume minus intrahepatic GTV > 700 cc.
•  Intrahepatic tumor GTV/liver volume ratio <80%.
•  Minimal distance from GTV to stomach, duodenum, small or large
bowel > 1 cm.
Simulation & Contouring
Aspects HCC
• Supine
• Custom immobilization is recommended (e.g. With vacuum
immobilization, patient positioning boards, knee cushions, and/or
breath hold immobilization with active breathing control).
Simulation & Contouring
Aspects HCC
• The primary tumor(s) and any tumor vascular thrombi must be treated
• The Gross Tumor Volume (GTV) is defined as all parenchymal and vascular
HCC visualized on contrast enhanced CT and/or MRI, most often best seen on
arterial phase (as hyperintensity) and/or venous or delayed phase (as hypointensity
relative to liver). Vascular HCC thrombi (GTVv) most often are best seen on venous
phase imaging as hypointensity relative to the contrast in the vessel, Vascular HCC
may be combined with parenchymal HCC (labeled as GTVp or GTVpv) if they are to
be treated to the same dose.
• Treatment of non-tumor extrahepatic vascular thrombi, RFA cavities and prior TACE
sites is not recommended. no prophylactic nodal irradiation is allowed.
• It is expected that there will be no expansion from GTV to CTV for the majority
of cases. However, CTV expansions to include regions at high risk for microscopic
disease, including non-tumor vascular (v) thrombi (CTVv), prior TACE (t) sites (CTVt),
or adjacent RFA (r) (or other ablation) sites (CTVr) are permitted.
• PTV will provide a margin around each CTV to compensate for set-up and
internal organ motion
• minimum PTV margin of 4 mm around each CTV is required in all directions (for
example if active breathing control is used with excellent reproducibility). The
maximum permitted PTV margin is 20 mm, expected to be used uncommonly. PTV
margins ≤ 10 mm are a goal.
Target Volume delineation for
HCC
OAR Contouring for HCC
• At minimum, these structures are required to be contoured at the
level of the PTV and over any region received > 10 Gy.
• An upper abdominal/liver atlas, posted at the ITC website, may be
used as a guide for contouring.
• all portions of the duodenum are recommended to be contoured
Dose Prescription & Plan
evaluation for HCC
• 27.5 Gy - 50 Gy in 5 fractions. The prescription dose may be 50 Gy,
45 Gy, 40 Gy, 35 Gy, 30 Gy or 27.5 Gy in 5 fractions, based on
normal tissue constraints.
• The dose to multiple PTVs may be different.
• The goal is to use the highest allowable prescription dose to the
primary target, while respecting normal tissue constraints. The
minimal planned prescription dose to PTVs is 27.5 Gy.
• The prescription isodose should encompass 95% of PTV. The dose
to multiple PTVs within the same patient may vary, with each
specific covering isodose planned to encompass 95% of each PTV.
The highest allowable doses to the target volumes that
maintain normal tissue constraints should be used. A goal is
that 100% of the CTV is encompassed by the prescription dose.
Dose Prescription & Plan
evaluation for HCC
• Dose prescription: Is based on the volume of normal tissues
irradiated (correlated with mean liver dose), as well as proximity of
stomach, duodenum, small and large bowel (GI luminal structures)
to the target volumes, as normal tissue constraints must be
maintained.
• In the absence of adjacent GI luminal structures that may limit dose,
the PTV dose prescription should be as high as possible based on
mean liver dose (MLD, defined as the mean dose to the liver minus
all GTVs)
• Vascular tumor thrombosis (e.g., portal vein thrombosis) dose
should be the same as the HCC prescription dose. However, lower
doses are acceptable if required to maintain normal tissue limits,
Dose Prescription & Plan
evaluation for HCC
• Maximum dose within PTV = 150%. If multiple PTVs exist, 150% of
the maximal PTV prescription dose is permitted for all PTVs
• Maximum dose outside PTV = 120% of the maximal PTV
prescription.
• Efforts should be made to keep the 30Gy isodose as conformal as
possible.
• Different isodoses may cover different PTVs. If multiple PTVs, the
MLD should be evaluated with the prescription dose corresponding
to the highest dose level that any PTV is treated.
• Reducing the maximal dose to all luminal gastrointestinal
normal tissues should be a planning priority to reduce the risk
of gastrointestinal toxicity.
Dose Prescription & Plan
evaluation for HCC
3 × 15–25 Gy for patients with tumors <3 cm in size and adequate liver
reserve (CP-A5)
5 × 10–12 Gy for patients with tumors between 3 and 5 cm or inadequate liver
reserve (CP-A 6)
10 × 5–5.5 Gy for patients with tumors >5 cm in size or CP-B scores
Constraints for HCC
Constraints for HCC
SBRT Liver metastasis
SBRT Liver metastasis
SBRT PROSTATE
Indication
• Gleason scores 2-6; Clinical stage T1-2a; PSA < 10
ng/mL (PSA should not be obtained within 10 days after
prostate biopsy)
Contraindication
• Evidence of distant metastases
• Regional lymph node involvement
• Previous radical surgery (prostatectomy), cryosurgery, or
HIFU for prostate cancer
• Previous pelvic irradiation, prostate Brachytherapy
Simulation & Contouring
Aspects
• Supine with Elekta Body fix / Vacuum Cushion + knee
Rest.
• Planning CT Scan with Axial cuts of 2.5 mm or less will
be acquired throughout the pelvis and prostate from the
top of the iliac crests Superior to the perineum inferior
with full bladder and empty rectum.
• MRI images is not must.
• Oral, IV, urethral, and bladder contrast are allowed but
not required.
Target Volume delineation
• GTV = Prostate Only
• CTV = GTV
• PTV = CTV + 5mm margin except
posterior( +/- anterior ) 3 mm
OAR Contouring
Dose Prescription & Plan
evaluation
• 36.25 Gy/5# 7.25Gy/#. The 5 treatments will be scheduled to be
delivered twice a week over approximately 15-17 days. A minimum
of 72 hours and a maximum of 96 hours should separate each
treatment. No more than 2 fractions will be delivered per week. The
total duration of treatment will be no shorter than 15 days and no
longer than 17 days.
• prescription dose should cover a minimum of 95% of the PTV.
• The minimum dose within the PTV to a point that is 0.03 cc in size
must be ≥95% of the prescribed dose.
• The maximum dose within the PTV is 7% above the prescribed dose
for a point that is 0.03 cc in size.
Constraints
THANK
YOU

SBRT Contouring Guidelines

  • 1.
    SBRT Contouring Guidelines DrRushi Panchal,MD Consultant Radiation Oncologist, M S Patel Cancer Centre, Karamsad- Anand, Gujarat Email id: rusp2582@gmail.com Mob No.: 09727757165
  • 2.
    Safe delivery isof utmost importance due to high fractional dose and small number of fractions
  • 3.
    Unlike intracranial radiosurgery,where the PTV is immobile within the skull and therefore relatively easy to fix in relation to the radiation source, at extra-cranial sites there are the problems of internal organ motion and external patient movement
  • 5.
    serial tissues, thevolume-dose constraints are given in terms of the critical maximum tissue volume that should receive a dose equal or greater than the indicated threshold dose for the given number of fractions used. For parallel tissue, constraints are based on a critical minimum volume of tissue that should receive a dose equal to or less than the indicated threshold dose for the given number of fractions used.
  • 8.
    SBRT • Primary cancer •Oligometastatic disease” is defined as a state in which metastases are limited in number and site and characterized by unusual cancer biology and behaviour(stable tumour state somewhere between purely localised and widely metastatic) In this setting local ablative therapy could have a potential curative role. • in an analysis of over 5000 patients with lung metastases, survival after complete surgical resection was 36% at 5 years and 22% at 15 years, Pastorino UB et al. J Thorac Cardiovasc Surg 1997;113:37–49.
  • 9.
  • 10.
    Indication • Patients withT1, T2 (≤ 5 cm), T3 (≤ 5 cm), N0, M0 non- small cell lung cancer(squamous cell carcinoma, adenocarcinoma, large cell carcinoma, large cell neuroendocrine, and non-small cell carcinoma not otherwise specified) patients with T3 tumors must have chest wall primary tumors only. • Oligometastasis of lung from primary elsewhere. the 2-year OS was 60.3% for patients with 1–3 metastases compared with 21.9% for patients with4–5 metastases
  • 11.
  • 12.
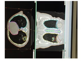
    Simulation & Contouring Aspects However,due to respiratory motion, standard free-breathing computed tomography both distorts and generally underestimates the tumour volume therefore, GTV on a single free-breathing computed tomography scan is both an inaccurate representation of the tumour dimensions and of the mean tumour position relative to other organs
  • 14.
  • 18.
    • Supine • CTScan: IV Contrast Non 4 D CT:The PTV will include the GTV plus an additional 0.5 cm margin in the axial plane and 1.0 cm margin in the longitudinal plane (craniocaudal). 4D CT-simulation: An internal target volume (ITV) around the GTV, accounting for tumor motion may be defined from the 4D CT dataset. The PTV will include the ITV plus an additional 0.5 cm margin uniformly applied to the ITV. • Slice thickness : ≤ 3.0 mm • OAR Contouring as follows: Simulation & Contouring Aspects
  • 19.
  • 22.
    Dose prescription &Plan evaluation
  • 23.
    Dose prescription &Plan evaluation
  • 24.
    Dose prescription &Plan evaluation
  • 25.
    • As perTG 101 for 1/3/5# protocol • 4 fraction protocol as follows: Constraints
  • 26.
    Premedication • Although notmandatory, it is recommended that patients receive corticosteroid premedication (e.g., Dexamethasone, 4 mg, p.o. in a single dose, or equivalent) 15-60 minutes before each SBRT treatment for the intended purpose of modulating immediate pulmonary inflammatory effects. • Analgesic premedication to avoid general discomfort during long treatment durations also is recommended when appropriate
  • 27.
  • 28.
    Indication • Patients withlocalized spine metastasis from the C1 to L5 levels (a solitary spine metastasis; 2 separate spine levels; or up to 3 separate sites); each of the separate sites must have a maximal involvement of 2 contiguous vertebral bodies. (e.g. C5, T5-6, and T12)? • ≥5 NRPS(Numerical Rating Pain Scale) of at least one of the planned sites for spine radiosurgery • Zubrod Performance Status : 0-2 • Patients with epidural compression are eligible provided that there is a ≥ 3 mm gap between the spinal cord and the edge of the epidural lesion. • A paraspinal mass (≤ 5 cm in greatest dimension), contiguous with the spine metastasis
  • 29.
    There can bemultiple small metastatic lesions shown in other vertebral bodies as shown in diagram (4) above. The metastatic lesion of each spine should be less than 20% of the vertebral body as opposed to the diffuse vertebral involvement. These small lesions are often seen in the MRI even when bone scan or PET was negative. Most of these lesions are not clinically required to be treated and are therefore not included in the target volume. Only the painful spine (pain score≥ 5) is to be treated .
  • 30.
    Contraindication • myeloma orlymphoma • Non-ambulatory patients • spinal instability due a compression fracture • > 50% loss of vertebral body height • Frank spinal cord compression or displacement or epidural compression within 3 mm of the spinal cord • Rapid neurologic decline • Bony retropulsion causing neurologic abnormality • Prior radiation to Index Spine • Patients for whom an MRI of the spine is medically contraindicated
  • 32.
    Points to remember •Patients can have other visceral metastasis, and radioresistant tumors (including soft tissue sarcomas, melanomas, and renal cell carcinomas) are eligible • MRI (contrast is not required but strongly recommended) of the involved spine to determine the extent of the spine involvement; an MRI is required as it is superior to a CT scan in delineating the spinal cord as well as identifying an epidural or paraspinal soft tissue component.MRI can be used as the required MRI for treatment planning. • Patients with mild to moderate neurological signs are eligible. These neurological signs include radiculopathy, dermatomal sensory change, and muscle strength of involved extremity 4/5 (lower extremity for ambulation or upper extremity for raising arms and/or arm function). • Imaging study(bone scan, PET, CT scan, or MRI)
  • 33.
    Simulation & Contouring Aspects •Supine • Immobilized with vacuum bag, alpha cradle, or stereotactic frames, for cervical spine or cervicothoracic junctional areas, a rigid head and neck immobilization • CT-MRI Fusion T1 PC, T2 For soft tissue tumor & Cord • <3mm slice thickness
  • 34.
  • 35.
    Target Volume delineation Inany circumstance, when there is an epidural or paraspinal soft tissue tumor component, the visible epidural or paraspinal tumors are included in the target volume
  • 36.
  • 37.
    Target Volume delineation AnteriorVB with no epidural extension Left pedicle, posterolateral VB, and neural foramen. Involvement of the ventral and left lateral epidural space, mild spinal canal compromise, and abutment of the spinal cord Collapse deformity, ventral epidural disease, moderate spinal canal compromise, mild spinal cord displacement, extension to the bilateral neural foramina, and paraspinal extension Pedicle and posterior elements, mild ventral and right lateral epidural disease narrowing of the right neural foramina Centered in the spinous process and extending to the bilateral lamina, bilateral posterior paraspinal musculature, and bilateral dorsal epidural space extension with mild spinal canal compromise
  • 38.
    Target Volume delineation Expansilemass in right-sided VB and right posterior elements with mild right ventral, lateral, and dorsal epidural disease Involvement of the right neural foramina Posterior VB lesion extending into the left neural foramen with mild spinal canal compromise and left ventral and lateral epidural extension Lesion in posterior VB Diffuse marrow replacement including left pedicle and articular facets, ventral epidural extension, left lateral recess extension, and left neural foramen involvement Lesion with mild superior and inferior endplate infractions resulting in mild loss of VB height. Mild anterior paraspinal extension. Patient underwent T5 kyphoplasty
  • 39.
  • 40.
    Dose Prescription &Plan evaluation • 16-18Gy/1# or 24Gy/3# • >/=90% coverage of the target volume by the prescribed dose( up to 80% is minor deviation) • 80-90% isodose line is used as prescription line • Dose inhomogeneity can exist within the target volume • Outside of the target : >/= to 105% Dose to less than or equal to 2.0 cc (3cc is major violation) • >/= to 105% dose to a region within 1.0 cm(1.5 cm is major violation) from the edge of the target volume • excludes all doses of greater than or equal to 110%(115% is major violation) of the prescription dose outside of the target volume.
  • 41.
    Any spinal corddose exceeding these constraints is not acceptable and is a major deviation. Radiosurgery is not recommended for any cases that do not meet the spinal cord constraints. Each CT slice within the Radiosurgery plan should be checked to screen any unacceptably high radiation dose to the spinal cord at any particular slice. In this situation, stopping the Radiosurgery or to perform re-planning. Other Critical organs should be analyzed for radiation dose distribution if any of them are transected by any radiation field. Exceeding these limits by more than 2.5% constitutes a minor violation. Exceeding these limits by more than 5% constitutes a major deviation
  • 42.
    Constraints maximum dose limits toa point or volume within several critical organs
  • 43.
    Premedication • Not mustbut can be added • Analgesic • Anxiolytic • Steroid
  • 44.
  • 45.
    Indication for HCCSBRT • Unsuitable for resection or transplant or radiofrequency ablation (RFA) • Unsuitable for TACE or refractory to TACE • Barcelona Clinic Liver Cancer Stage (BCLC) Intermediate (B) or Advanced (C) • Often used in 1-3 lesions, could be considered for larger lesions or more extensive disease if there is sufficient uninvolved liver and liver radiation tolerance can be respected. • Child Pugh A/ Early Child Pugh B.
  • 47.
    Contraindication for HCCSBRT • Any one hepatocellular carcinoma > 15 cm • Total maximal sum of hepatocellular carcinoma > 20 cm • More than 5 discrete intrahepatic parenchymal foci of HCC • Direct tumor extension into the stomach, duodenum, small bowel or large bowel • Measureable common or main branch biliary duct involvement with HCC • Extrahepatic metastases or malignant nodes (that enhance with typical features of HCC) > 2.0 cm, in sum of maximal diameters (e.g. presence of one 2.4 cm metastatic lymph node or two 1.2 cm lung lesions). Note that benign non-enhancing periportal lymphadenopathy is not unusual in the presence of hepatitis and is permitted, even if the sum of enlarged nodes is > 2.0 cm • Hepatic insufficiency resulting in clinical jaundice, encephalopathy and/or variceal bleed.
  • 48.
    Age is notconsidered in selection criteria, as even elderly and fragile patients can safely undergo SBRT. This non-invasive and well-tolerated therapy is a good option for patients unsuitable for surgery. The intrinsic radio-sensitivity of tumours is not an issue ,as SBRT can be used regardless of histopathology thanks to the use of ablative doses, with similar local control rates in radioresistant and radiosensitive primary tumour.
  • 49.
    Prerequisite • For allpatients, the following criteria calculated from baseline CT or MR scans should be met: •  Liver volume minus intrahepatic GTV > 700 cc. •  Intrahepatic tumor GTV/liver volume ratio <80%. •  Minimal distance from GTV to stomach, duodenum, small or large bowel > 1 cm.
  • 50.
    Simulation & Contouring AspectsHCC • Supine • Custom immobilization is recommended (e.g. With vacuum immobilization, patient positioning boards, knee cushions, and/or breath hold immobilization with active breathing control).
  • 51.
  • 53.
    • The primarytumor(s) and any tumor vascular thrombi must be treated • The Gross Tumor Volume (GTV) is defined as all parenchymal and vascular HCC visualized on contrast enhanced CT and/or MRI, most often best seen on arterial phase (as hyperintensity) and/or venous or delayed phase (as hypointensity relative to liver). Vascular HCC thrombi (GTVv) most often are best seen on venous phase imaging as hypointensity relative to the contrast in the vessel, Vascular HCC may be combined with parenchymal HCC (labeled as GTVp or GTVpv) if they are to be treated to the same dose. • Treatment of non-tumor extrahepatic vascular thrombi, RFA cavities and prior TACE sites is not recommended. no prophylactic nodal irradiation is allowed. • It is expected that there will be no expansion from GTV to CTV for the majority of cases. However, CTV expansions to include regions at high risk for microscopic disease, including non-tumor vascular (v) thrombi (CTVv), prior TACE (t) sites (CTVt), or adjacent RFA (r) (or other ablation) sites (CTVr) are permitted. • PTV will provide a margin around each CTV to compensate for set-up and internal organ motion • minimum PTV margin of 4 mm around each CTV is required in all directions (for example if active breathing control is used with excellent reproducibility). The maximum permitted PTV margin is 20 mm, expected to be used uncommonly. PTV margins ≤ 10 mm are a goal. Target Volume delineation for HCC
  • 54.
    OAR Contouring forHCC • At minimum, these structures are required to be contoured at the level of the PTV and over any region received > 10 Gy. • An upper abdominal/liver atlas, posted at the ITC website, may be used as a guide for contouring. • all portions of the duodenum are recommended to be contoured
  • 56.
    Dose Prescription &Plan evaluation for HCC • 27.5 Gy - 50 Gy in 5 fractions. The prescription dose may be 50 Gy, 45 Gy, 40 Gy, 35 Gy, 30 Gy or 27.5 Gy in 5 fractions, based on normal tissue constraints. • The dose to multiple PTVs may be different. • The goal is to use the highest allowable prescription dose to the primary target, while respecting normal tissue constraints. The minimal planned prescription dose to PTVs is 27.5 Gy. • The prescription isodose should encompass 95% of PTV. The dose to multiple PTVs within the same patient may vary, with each specific covering isodose planned to encompass 95% of each PTV. The highest allowable doses to the target volumes that maintain normal tissue constraints should be used. A goal is that 100% of the CTV is encompassed by the prescription dose.
  • 57.
    Dose Prescription &Plan evaluation for HCC • Dose prescription: Is based on the volume of normal tissues irradiated (correlated with mean liver dose), as well as proximity of stomach, duodenum, small and large bowel (GI luminal structures) to the target volumes, as normal tissue constraints must be maintained. • In the absence of adjacent GI luminal structures that may limit dose, the PTV dose prescription should be as high as possible based on mean liver dose (MLD, defined as the mean dose to the liver minus all GTVs) • Vascular tumor thrombosis (e.g., portal vein thrombosis) dose should be the same as the HCC prescription dose. However, lower doses are acceptable if required to maintain normal tissue limits,
  • 58.
    Dose Prescription &Plan evaluation for HCC • Maximum dose within PTV = 150%. If multiple PTVs exist, 150% of the maximal PTV prescription dose is permitted for all PTVs • Maximum dose outside PTV = 120% of the maximal PTV prescription. • Efforts should be made to keep the 30Gy isodose as conformal as possible. • Different isodoses may cover different PTVs. If multiple PTVs, the MLD should be evaluated with the prescription dose corresponding to the highest dose level that any PTV is treated. • Reducing the maximal dose to all luminal gastrointestinal normal tissues should be a planning priority to reduce the risk of gastrointestinal toxicity.
  • 59.
    Dose Prescription &Plan evaluation for HCC 3 × 15–25 Gy for patients with tumors <3 cm in size and adequate liver reserve (CP-A5) 5 × 10–12 Gy for patients with tumors between 3 and 5 cm or inadequate liver reserve (CP-A 6) 10 × 5–5.5 Gy for patients with tumors >5 cm in size or CP-B scores
  • 60.
  • 61.
  • 62.
  • 63.
  • 64.
  • 65.
    Indication • Gleason scores2-6; Clinical stage T1-2a; PSA < 10 ng/mL (PSA should not be obtained within 10 days after prostate biopsy)
  • 66.
    Contraindication • Evidence ofdistant metastases • Regional lymph node involvement • Previous radical surgery (prostatectomy), cryosurgery, or HIFU for prostate cancer • Previous pelvic irradiation, prostate Brachytherapy
  • 67.
    Simulation & Contouring Aspects •Supine with Elekta Body fix / Vacuum Cushion + knee Rest. • Planning CT Scan with Axial cuts of 2.5 mm or less will be acquired throughout the pelvis and prostate from the top of the iliac crests Superior to the perineum inferior with full bladder and empty rectum. • MRI images is not must. • Oral, IV, urethral, and bladder contrast are allowed but not required.
  • 68.
    Target Volume delineation •GTV = Prostate Only • CTV = GTV • PTV = CTV + 5mm margin except posterior( +/- anterior ) 3 mm
  • 69.
  • 70.
    Dose Prescription &Plan evaluation • 36.25 Gy/5# 7.25Gy/#. The 5 treatments will be scheduled to be delivered twice a week over approximately 15-17 days. A minimum of 72 hours and a maximum of 96 hours should separate each treatment. No more than 2 fractions will be delivered per week. The total duration of treatment will be no shorter than 15 days and no longer than 17 days. • prescription dose should cover a minimum of 95% of the PTV. • The minimum dose within the PTV to a point that is 0.03 cc in size must be ≥95% of the prescribed dose. • The maximum dose within the PTV is 7% above the prescribed dose for a point that is 0.03 cc in size.
  • 71.
  • 72.