Prostate cancer
Mohamed M. Alhefny
 Prostate gland consists of:
 The peripheral zone (70% of glandular prostate and site of nearly all
cancers).
 The central zone (25% of the glandular prostate).
 The transition zone (surrounding the urethra and the site of BPH).
 The anterior fibromuscular stroma.
 The normal prostate epithelium is composed of :
 Basal epithelial cells, expressed cytokeratins 5,14 and p63.
 Columnar secretory epithelial cells, which express the androgen
receptor, PSA, cytokeratins 8, 18, prostate-specific membrane antigen
(PSMA), and prostate-specific acid phosphatase(PAP).
 Rare neuroendocrine cells, that secrete chromogranin A, neuron-
specific enolase, and synaptophysin.
Male patient 72 years old.
Presented with hematuria, frequency for 2 months duration with
progressive course.
PA/US: enlarged prostate 45 cc with irregular borders.
TRUS guided biopsies ( 6 core biopsies ):
 GS: 4+3= 7.
 Involvement of more than 90% in one core biopsy.
 Involvement of more than 50% in 4 core biopsies.
Total PSA: 40 ng/mL.
MRI Pelvis: Prostatic enlargement.
ECE
Invasion of SV.
No pelvic LNs detected.
Bone scan: Free. CT/ chest: Free.
Low: T1-2a and GS £6 and PSA <10 ng/ml.
Intermediate: T2b–T2c and/or GS 7 and/or PSA
10–20 ng/ml
High: T3a or GS 8-10 or PSA >20 (very high T3b-
T4).
NCCN risk categories added 2 risk groups:
Very low: T1c, GS</=6, PSA: <10, less than 3 core
biopsies + with </= 50% cancer in each core.
Very high: T3b,T4 (locally advanced).
Low risk:
As this patient falls in the high risk group.
Our unit committee advised for:
 Neoadjuvant ADT 2months
 Concommitant 3DCRT + ADT 2months
 Long term adjuvant ADT 2-3 years.
 Another study by Nabid et al., Presented at ASCO 2013, revealed that 18
months of ADT is not inferior than 36 m in disease specific survival & OS.
AIM: Radical.
Positioning: patients are treated supine.
Immobilization: with alpha cradle or “knee sponge” to consistently align
thighs.
 Patients are instructed to have comfortably full bladder and empty
rectum (following an enema) for simulation.
 Retrograde urethrography is used in conjunction with CT for identifying
the inferior border of the prostate. The prostate apex is assumed to be
1–1.5 cm superior to the point at which the dye narrows.
Machine: linear accelerator.
Energy: high photon energy 6-15 MV.
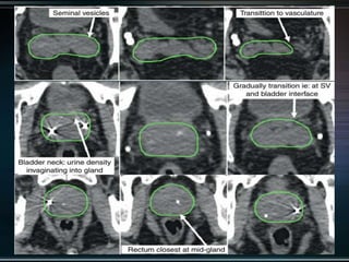
Planning & target volume definition:
 Planning is CT-based, CT scan is taken with 3–5 mm, slices from
the L3-L4 to to 1 cm below the anus/ischium to include the
prostate, seminal vesicles, pelvic LNS rectum and bladder.
 Target volume:
 It is not possible to define the GTV accurately with current
imaging techniques.
It is therefore standard practice to define a CTV that includes
the whole prostate and any possible extracapsular extension.
 Roach formulas: estimate pathologic stage based on original
PSA & GS data
 ECE = 3/2 × PSA + 10 × (GS-3).
 Seminal vesicle involvement = PSA + 10 × (GS-6).
 LN involvement = 2/3 × PSA + 10 × (GS-6).
 Indications for seminal vesicle irradiation include + biopsy, + TRUS, +
MRI, or calculated risk >15% (using the Roach formula).
 Indications for whole pelvic RT include :involved LN, seminal vesicle
involvement, a calculated risk of lymph node involvement >15% (using
the Roach formula), patients with T3 GS 6 disease, and patients with
high intermediate risk (>50% + biopsies) or high-risk disease.
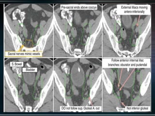
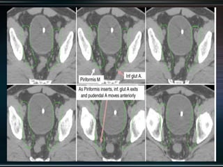
 LNs included in the CTV : common, internal and external iliac, presacral,
hypogastric and obturator lymph nodes.
The PTV is defined with a 3D margin around the CTV to include an
internal margin accounting for physiological variations & motion and a
set-up margin.
The standard margin is 10 mm grown isotropically around the CTV. To
limit the dose to the rectum, the posterior margin is reduced to 5 mm if
verification studies allow
RTOG GU Consensus on pelvic LN CTV volumes:
 Commence contouring the pelvic CTV LN volumes at the L5/ S1
interspace (the level of the distal common iliac and proximal
presacral lymph nodes).
 Place a 7-mm margin around the iliac vessels connecting the
external and internal iliac contours on each slice, carving out
bowel, bladder, and bone.
 Contour presacral lymph nodes from S1 through S3, posterior
border being the anterior sacrum, and anterior border
approximately 10 mm anterior to the anterior sacral bone
carving out bowel, bladder, and bone.
 Stop external iliac CTV lymph node contours at the top of the
femoral heads (bony landmark for the inguinal ligament).
 Stop contours of the obturator CTV lymph nodes at the top of
the symphysis pubis.
Delineation
33/93
35/93
36/93
39/93
40/93
42/93
45/93
47/93
51/93
53/93
56/93
61/93
63/93
64/93
Our unit decide to treat:
 Prostate + S.V & prophylactic Pelvic LNs in
phase1
 Prostate + S.V phase 2
 Delineation of our unit illustrated in the
following slides:
Field arrangement:
 When treating the pelvic lymph nodes, an anterior and two wedged lateral
beams are used, with a posterior beam if necessary.
 When treating the prostate, the common approach is to use a technique
with an anterior and two wedged posterior oblique beams +/- wedged
lateral beams may spare more normal rectum, and four or six coplanar
beam arrangements may reduce doses to the OAR further.
 CONVENTIONAL:
o AP/PA Fields:
superior = L5/S1
inferior = 0.5–1 cm below the area where the dye narrows on the
urethrogram.
lateral = 1.5 cm lateral to the bony pelvis.
o lateral fields:
Anterior border: anterior to the symphysis pubis.
Posterior border: splits the sacrum at S2/3.
3 Field arrangement (Ph 1)
5 fields arrangement(ph 2)
Dose:
 Single phase:
Prostate + base of the seminal vesicles (SV) (or whole SV if involved): 70-78GY.
 Two phases (in case of prophylactic irradiation to SV):
Phase 1
Prostate + whole SV : 54-56 GY.
Phase 2
Prostate only : 70-78GY.
 Three phases (in case of prophylactic irradiation to SV+LNs):
Phase 1
Prostate + whole SV + pelvic LNs ( WPI): 46 GY.
Phase 2
Prostate + base of the seminal vesicles (SV) (or whole SV): 54-56 GY.
Phase 3
Prostate only (+ SV if involved): 70-78GY.
Dose escalation:
Conventional versus hypofractionated high-dose
intensitymodulated radiotherapy for prostate cancer:
Preliminary safety results from the CHHiP randomized controlled
trial
TREATMENT ARMS:
1) 74 Gy in 37 fractions (n=153)
1) 60 Gy in 20 fractions (n=153)
3) 57 Gy in 19 fractions (n=151)
Radiotherapy with Hypofractionated high-dose radio-therapy
seems equally well tolerated as conventionally fractionated
treatment at 2 years.
Dearnaley D et al. Lancet Oncol.2012
Verification:
 Electronic portal images are taken and compared with
DRRs from the planning CT scan, using bony
landmarks, the beam edges and centre.
 The use of radio-opaque fiducial markers within the
prostate allows variations arising from prostate
movement to be identified and incorporated into the
local protocol.
 Femoral heads : V50< 50%
o Acute – 60% in 3rd week of RT
Rectal:
 Diarrhea: 25-75%.
 Rectal irritation, pain &discomfort: 10-20%.
 Tenesmus.
Urinary:
 frequency, urgency, nocturia.
 Urinary incontinence (any 0–60%, severe 2–15%).
Fatigue.
o Late:
 Chronic diarrhea , proctitis, rectal-anal stricture.
 Bleeding PR- 3.3%, bowel obst./ perforation- 0.6%
 Rectal toxicity is propotional to volume of rectal wall exposed to high
dose (any 2–100%, severe 0–20%) .
 Urinary stricture <4% (higher if prior TURP)
 Erectile dysfunction (10–85%).
 Fatal complication- 0.2%.
Prostate cancer radiotherapy
Prostate cancer radiotherapy

Prostate cancer radiotherapy

  • 1.
  • 2.
     Prostate glandconsists of:  The peripheral zone (70% of glandular prostate and site of nearly all cancers).  The central zone (25% of the glandular prostate).  The transition zone (surrounding the urethra and the site of BPH).  The anterior fibromuscular stroma.  The normal prostate epithelium is composed of :  Basal epithelial cells, expressed cytokeratins 5,14 and p63.  Columnar secretory epithelial cells, which express the androgen receptor, PSA, cytokeratins 8, 18, prostate-specific membrane antigen (PSMA), and prostate-specific acid phosphatase(PAP).  Rare neuroendocrine cells, that secrete chromogranin A, neuron- specific enolase, and synaptophysin.
  • 6.
    Male patient 72years old. Presented with hematuria, frequency for 2 months duration with progressive course. PA/US: enlarged prostate 45 cc with irregular borders. TRUS guided biopsies ( 6 core biopsies ):  GS: 4+3= 7.  Involvement of more than 90% in one core biopsy.  Involvement of more than 50% in 4 core biopsies. Total PSA: 40 ng/mL. MRI Pelvis: Prostatic enlargement. ECE Invasion of SV. No pelvic LNs detected. Bone scan: Free. CT/ chest: Free.
  • 7.
    Low: T1-2a andGS £6 and PSA <10 ng/ml. Intermediate: T2b–T2c and/or GS 7 and/or PSA 10–20 ng/ml High: T3a or GS 8-10 or PSA >20 (very high T3b- T4). NCCN risk categories added 2 risk groups: Very low: T1c, GS</=6, PSA: <10, less than 3 core biopsies + with </= 50% cancer in each core. Very high: T3b,T4 (locally advanced).
  • 8.
  • 12.
    As this patientfalls in the high risk group. Our unit committee advised for:  Neoadjuvant ADT 2months  Concommitant 3DCRT + ADT 2months  Long term adjuvant ADT 2-3 years.
  • 14.
     Another studyby Nabid et al., Presented at ASCO 2013, revealed that 18 months of ADT is not inferior than 36 m in disease specific survival & OS.
  • 15.
    AIM: Radical. Positioning: patientsare treated supine. Immobilization: with alpha cradle or “knee sponge” to consistently align thighs.  Patients are instructed to have comfortably full bladder and empty rectum (following an enema) for simulation.  Retrograde urethrography is used in conjunction with CT for identifying the inferior border of the prostate. The prostate apex is assumed to be 1–1.5 cm superior to the point at which the dye narrows. Machine: linear accelerator. Energy: high photon energy 6-15 MV.
  • 17.
    Planning & targetvolume definition:  Planning is CT-based, CT scan is taken with 3–5 mm, slices from the L3-L4 to to 1 cm below the anus/ischium to include the prostate, seminal vesicles, pelvic LNS rectum and bladder.  Target volume:  It is not possible to define the GTV accurately with current imaging techniques. It is therefore standard practice to define a CTV that includes the whole prostate and any possible extracapsular extension.  Roach formulas: estimate pathologic stage based on original PSA & GS data  ECE = 3/2 × PSA + 10 × (GS-3).  Seminal vesicle involvement = PSA + 10 × (GS-6).  LN involvement = 2/3 × PSA + 10 × (GS-6).
  • 18.
     Indications forseminal vesicle irradiation include + biopsy, + TRUS, + MRI, or calculated risk >15% (using the Roach formula).  Indications for whole pelvic RT include :involved LN, seminal vesicle involvement, a calculated risk of lymph node involvement >15% (using the Roach formula), patients with T3 GS 6 disease, and patients with high intermediate risk (>50% + biopsies) or high-risk disease.  LNs included in the CTV : common, internal and external iliac, presacral, hypogastric and obturator lymph nodes. The PTV is defined with a 3D margin around the CTV to include an internal margin accounting for physiological variations & motion and a set-up margin. The standard margin is 10 mm grown isotropically around the CTV. To limit the dose to the rectum, the posterior margin is reduced to 5 mm if verification studies allow
  • 19.
    RTOG GU Consensuson pelvic LN CTV volumes:  Commence contouring the pelvic CTV LN volumes at the L5/ S1 interspace (the level of the distal common iliac and proximal presacral lymph nodes).  Place a 7-mm margin around the iliac vessels connecting the external and internal iliac contours on each slice, carving out bowel, bladder, and bone.  Contour presacral lymph nodes from S1 through S3, posterior border being the anterior sacrum, and anterior border approximately 10 mm anterior to the anterior sacral bone carving out bowel, bladder, and bone.  Stop external iliac CTV lymph node contours at the top of the femoral heads (bony landmark for the inguinal ligament).  Stop contours of the obturator CTV lymph nodes at the top of the symphysis pubis.
  • 20.
  • 23.
  • 24.
  • 25.
  • 26.
  • 27.
  • 28.
  • 29.
  • 30.
  • 31.
  • 32.
  • 33.
  • 34.
  • 35.
  • 36.
  • 45.
    Our unit decideto treat:  Prostate + S.V & prophylactic Pelvic LNs in phase1  Prostate + S.V phase 2  Delineation of our unit illustrated in the following slides:
  • 57.
    Field arrangement:  Whentreating the pelvic lymph nodes, an anterior and two wedged lateral beams are used, with a posterior beam if necessary.  When treating the prostate, the common approach is to use a technique with an anterior and two wedged posterior oblique beams +/- wedged lateral beams may spare more normal rectum, and four or six coplanar beam arrangements may reduce doses to the OAR further.  CONVENTIONAL: o AP/PA Fields: superior = L5/S1 inferior = 0.5–1 cm below the area where the dye narrows on the urethrogram. lateral = 1.5 cm lateral to the bony pelvis. o lateral fields: Anterior border: anterior to the symphysis pubis. Posterior border: splits the sacrum at S2/3.
  • 58.
    3 Field arrangement(Ph 1) 5 fields arrangement(ph 2)
  • 61.
    Dose:  Single phase: Prostate+ base of the seminal vesicles (SV) (or whole SV if involved): 70-78GY.  Two phases (in case of prophylactic irradiation to SV): Phase 1 Prostate + whole SV : 54-56 GY. Phase 2 Prostate only : 70-78GY.  Three phases (in case of prophylactic irradiation to SV+LNs): Phase 1 Prostate + whole SV + pelvic LNs ( WPI): 46 GY. Phase 2 Prostate + base of the seminal vesicles (SV) (or whole SV): 54-56 GY. Phase 3 Prostate only (+ SV if involved): 70-78GY.
  • 62.
  • 63.
    Conventional versus hypofractionatedhigh-dose intensitymodulated radiotherapy for prostate cancer: Preliminary safety results from the CHHiP randomized controlled trial TREATMENT ARMS: 1) 74 Gy in 37 fractions (n=153) 1) 60 Gy in 20 fractions (n=153) 3) 57 Gy in 19 fractions (n=151) Radiotherapy with Hypofractionated high-dose radio-therapy seems equally well tolerated as conventionally fractionated treatment at 2 years. Dearnaley D et al. Lancet Oncol.2012
  • 64.
    Verification:  Electronic portalimages are taken and compared with DRRs from the planning CT scan, using bony landmarks, the beam edges and centre.  The use of radio-opaque fiducial markers within the prostate allows variations arising from prostate movement to be identified and incorporated into the local protocol.
  • 65.
  • 66.
    o Acute –60% in 3rd week of RT Rectal:  Diarrhea: 25-75%.  Rectal irritation, pain &discomfort: 10-20%.  Tenesmus. Urinary:  frequency, urgency, nocturia.  Urinary incontinence (any 0–60%, severe 2–15%). Fatigue. o Late:  Chronic diarrhea , proctitis, rectal-anal stricture.  Bleeding PR- 3.3%, bowel obst./ perforation- 0.6%  Rectal toxicity is propotional to volume of rectal wall exposed to high dose (any 2–100%, severe 0–20%) .  Urinary stricture <4% (higher if prior TURP)  Erectile dysfunction (10–85%).  Fatal complication- 0.2%.