1
DEPARTMENT OF ORAL MEDICINE AND RADIOLOGY
Guided by- Presented by-
Dr. Vikram Khare Alankrita Sisodia
Dr. Anshuman Jamdade Final year
Dr. Hemant Shakya 2012-13
Dr. Satyapal yadav
Dr. Neeraj Soni
2
 Definition
 Classification
 Etiology
 Clinical Features
 Radiographic features
 Management
 References
3
“An incomplete or defective formation of
the organic enamel matrix of teeth.”
4
5
1. Hereditary type enamel hypoplasia-
This is an ectodermal disturbance that occurs
during the embryonic development of the
enamel. The mesodermal components are
normal. Both the deciduous and permanent
teeth are involved and only the enamel is
affected.
 The three types of hereditary type of
enamel hypoplasia are the:
• Hypoplastic type, where there is a
defective formation of organic matrix.
• Hypocalcification type, in which there is
a defective mineralization of the
matrix.
• Hypomaturation type, where there is a
defective maturation of the matrix
6
2. Environmental type enamel hypoplasia-
This is caused by the environmental factors that
causes damage to the enamel cells. Either
deciduous or permanent teeth are involved and
sometimes a single tooth is involved. Here,
both the enamel and the dentin are involved in
varying degrees. Hypoplasia results only if the
injury occurs during the time the teeth are
developing or more specifically during the
formative stage of enamel development. Once
the enamel has calcified,no such defect can be
produced.
The environmental factors which produce enamel
hypoplasia can include:
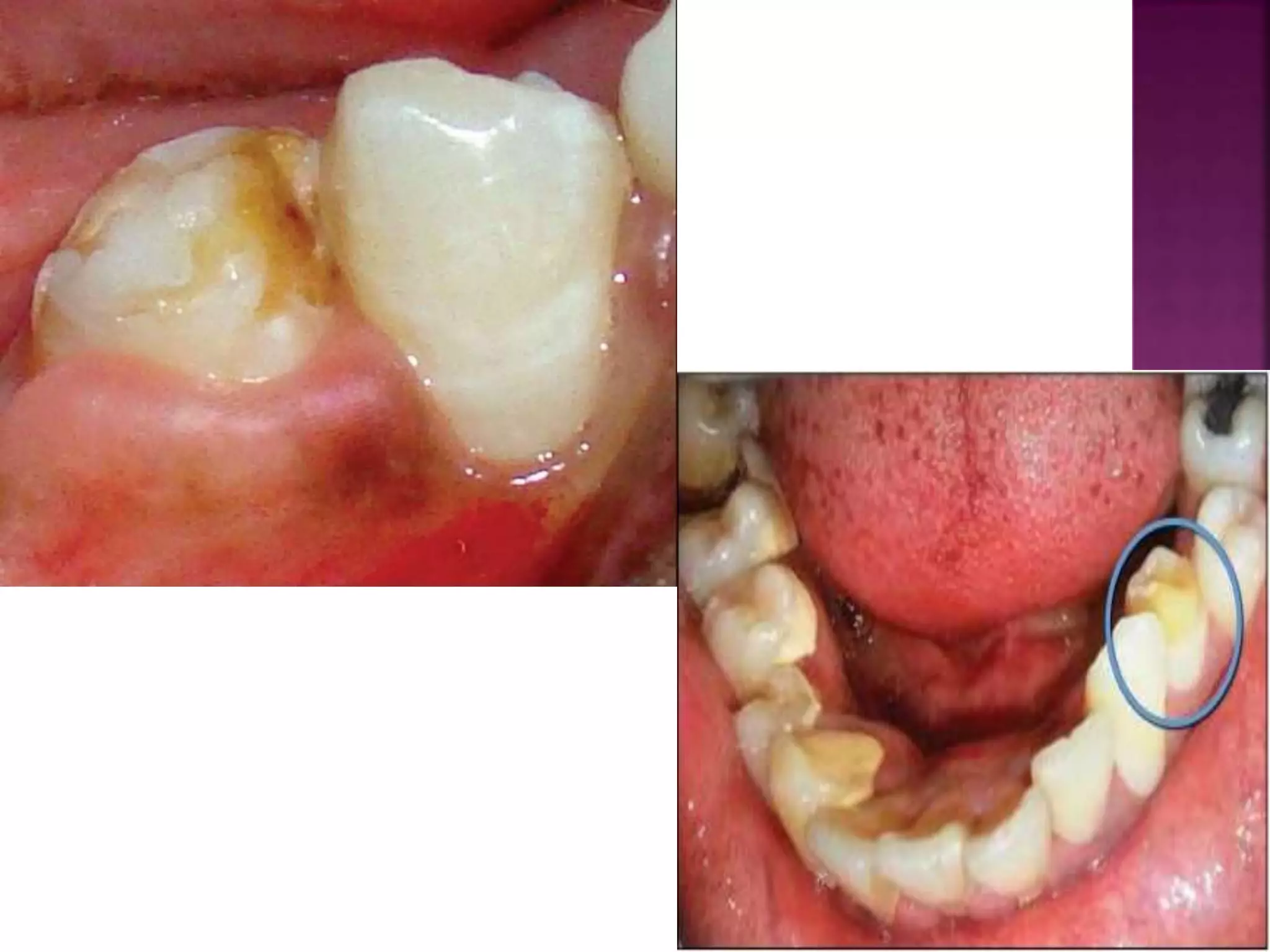
7
8
Mild
• Few small
grooves, pits or
fissures on enamel
surface.
Moderate
• Enamel may
exhibit rows of
deep pits arranged
horizontally
across tooth
surface.
Severe
• A considerable
portion of enamel
is absent due to
prolonged
disturbance in the
function of
ameloblasts.
9
10
MODERATE
SEVERE
1. HYPOPLASIA DUE TO NUTRITIONAL
DEFICIENCY–
 Causes- It occurs due to deficiency of vit
A,C,D,Calcium & Phosphorus.
 Age- 2/3rd of this occurs during infancy
or early childhood.
 Site- Teeth formed within first year of
birth are frequently affected.
11
 Pathogenesis- Vit D deficiency causes
rickketsial phenomenon due to lack of
proper calcification of enamel matrix.
 Appearance- Horizontal pitting in rows on
the teeth undergoing matrix formation at
the time of dietary deficiency or during
fever.
 Colour- Pitting picks up stains, hence
discolouration occurs.
12
2. HYPOPLASIA DUE TO
EXANTHEMATOUS DISEASES-
 Causes- Includes measles, chicken pox and
scarlet fever.
 Pathogenesis- Ameloblasts may be affected
under increased body temperature .
13
3. SYPHILITIC HYPOPLASIA
 Site- Involves maxillary and mandibular
permanent incisors and first molar.
Affected incisors are called as -
“Hutchinson’s incisors”
and molars are called as-
“Mulberry molars”(Moon’s molar,
Fournier’s molar)
14
 Hutchinson’s Incisors- Upper central incisors
are screwdriver shaped. Mesial and distal
surfaces of crown are tapering and converging
towards incisal edges rather than towards
cervix of tooth. Incisal edge is also notched,
the cause being absence of central tubercle or
calcification centre.
 Mulberry molars- Crown of first molar in
congenital syphilis is affected. Enamel of
occlusal third appears to be arranged in an
agglomerate mass or globule, rather than in
well formed cusp and crown is narrower on
occlusal surface than at cervical margin.
15
16
HUTCHINSON’S INCISORS
17
MULBERRY MOLARS
4. HYPOPLASIA DUE TO
HYPOCALCEMIA-
 Tetany induced by decreased level of calcium
in blood : 6-8mg/100ml
 As calcium is required for normal tooth
formation, there is defective enamel
formation.
 Enamel hypoplasia is usually of pitting variety.
18
5. HYPOPLASIA DUE TO BIRTH INJURY-
 Prenatal- Marked enamel hypoplasia affects
enamel of maxillary primary incisors. It’s due
to gastrointestinal tract or metabolic
disturbances in the fetal life, during 2nd and
3rd trimester .
 Neonatal- A wide band or line of hypoplastic
enamel affects the primary teeth of children
associated with premature birth or low birth
weight. Traumatic birth may affect
amelogenesis.
19
6. TURNER’S HYPOPLASIA-
 Turner’s Tooth- Localized type of hypoplasia, it
is caused by local infection or trauma and is
called as “Turner’s Hypoplasia” and the tooth
is called as Turner’s tooth.
 Pathogenesis-
A. Local infection- If deciduous teeth become
carious during the period when the crown of
succeeding permanent tooth is formed, then
bacterial infection involving periapical tissues
may occur and this may disturb the
ameloblastic layer of permanent tooth bud,
resulting in hypoplastic crown.
20
B. Trauma- When deciduous teeth have been
driven into alveolus and have disturbed the
permanent bud while the permanent tooth
bud is still being formed then resulting
injury leads to yellowish or brownish stains
of enamel usually on labial surface or as
true hypoplastic pitting effect.
 Site- Most commonly affected teeth are
permanent premolars as deciduous molars are
most frequently affected carious tooth in
primary dentition. lesion.
21
 Appearance- Hypoplasia may be ranging
from mild brownish discolouration of
enamel to severe pitting and irregularity of
crown. Cementum may also be stained
yellowish-brown.
22
23
24
7. HYPOPLASIA DUE TO DENTAL
FLUOROSIS-
Drinking water containing excess of 1 PPM
(parts per million) of fluoride can affect the
ameloblasts during the tooth formation
stage and can cause formation of mottled
enamel.
Pathogenesis-
A. Formative stage- Disturbance of
ameloblasts during the formative stage of
tooth development and higher levels of
fluoride interfere with the calcification
process of matrix.
.
25
B. Matrix formation stage- There is
diminished matrix production, change in
matrix composition.
C. Maturation stage- There is
retention of amelogenin proteins in the
enamel struture leading to formation of
hypomineralized enamel..
26
27
Depending on the level of fluoride in water
supply there is a wide range of severity in the
appearance of mottled teeth varying from-
1. Questionable changes characterized by
occasional white flecking or spotting of
enamel.
2. Mild changes manifested by white opaque
areas involving more of the surface area.
3. Moderate and severe change show pitting and
brownish staining of the enamel surface and a
corroded appearance of teeth and also a
tendency for wear and fracture(Mottled
enamel).
28
1. Mild form- If there is slight depression or pit in
the mesial or distal borders of the crown, it is
apparent on a radiograph.
If there is depression on the lingual or labial
surface it may present as a slightly increased
darkness or goes unnoticed.
2. Moderate form- More extensive lesion appears
as a series of rounded dark shadows crossing the
tooth in straight lines.
3. Severe form- Very gross deformity produces a
crown that is markedly shriveled at its incisal and
occlusal surfaces, such teeth may be presented as
small spikes of dental tissue arising from a short
stunted base. 29
30
31
8. TETRACYCLINE HYPOPLASIA-
 Pathogenesis- It may be incorporated in
calcified enamel matrix by formation of a
tetracyline calcium orthophosphate
complex.
 Colour of teeth- Yellow to brown and
varying degrees of hypocalcification exits.
 Prevention- Tetracyline should not be
administered in pregnancy and to the
children below 8 years of age.
32
33
Treatment of enamel hypoplasia is always
individualized and depends on the location and
severity of then condition.
The location of enamel hypoplasia also
affects treatment options :
> Anterior teeth -
 For sensitive teeth with no wear, SuperSeal
(Phoenix Dental Inc.) or another desensitizing
agent (such as potassium nitrate) as needed
can be used.
 If there are esthetic concerns, composite or
porcelain veneers may be bonded to the
affected tooth.
34
> Posterior teeth –
1. For sensitive teeth with minimal wear,
SuperSeal (Phoenix Dental Inc.) or another
desensitizing agent (such as potassium nitrate)
as needed can be used.
2. For mildly hypoplastic molars, place pit and
fissure sealant on the occlusal surface. - at 6
month re-evaluation, if sealant is lost, go to
step 3
3. Remove demineralized enamel and restore
with composite. - at 6 month re-evaluation, if
composite is lost, either replace using good
isolation techniques or go to step 4
4. Perform minimal reduction of tooth and
cement a stainless steel crown - evaluate
clinically and radiographically as indicated
35
 For permanent molars, stainless steel crowns
are intended for temporary use only. These
teeth should be restored with a permanent
cast crown in the late teen years or early
adulthood.
 Extremely malformed teeth should be
extracted and implants can be placed.
 In deciduous dentition cases where the first
primary molars are unrestorable or marginally
restorable, extraction prior to the eruption of
the premolars is a reasonable alternative.
36
Other Treatment Options -
 Tooth whitening treatment can be done .
Bleaching with 30% H202- It is enhanced by
grinding or microabrasion of the surface layer.
Can be done only in initial cases of hypoplasia.
 Microabrasion ,where pumice is used to
abrade the discoloured area and reduce its
appearance and make the teeth appear more
even.
37
Desensitizing paste – Used to decrease
sensitivity of teeth due to exposure of
dentin.
 Calcium sucrose phosphate gel- It
involves cleaning of the affected teeth
with pumice and glycerin and rinsing with
water and applying 37% phosphoric acid for
1.5-2 minutes. This treatment is repeated ,
followed by application of 2% sodium
fluoride for 4 minutes. Finally a thick layer
of calcium sucrose gel is placed on the
affected teeth . The patient is instructed
not to eat anything or rinse for 30 minutes.
It improves the colour of the teeth.
38
39
 Shafer’s textbook of oral pathology
 Burkitt’s textbook of oral medicine
 Pictures from the Internet
40
Thank you
41

Enamel hypoplasia ppt

  • 1.
    1 DEPARTMENT OF ORALMEDICINE AND RADIOLOGY Guided by- Presented by- Dr. Vikram Khare Alankrita Sisodia Dr. Anshuman Jamdade Final year Dr. Hemant Shakya 2012-13 Dr. Satyapal yadav Dr. Neeraj Soni
  • 2.
  • 3.
     Definition  Classification Etiology  Clinical Features  Radiographic features  Management  References 3
  • 4.
    “An incomplete ordefective formation of the organic enamel matrix of teeth.” 4
  • 5.
    5 1. Hereditary typeenamel hypoplasia- This is an ectodermal disturbance that occurs during the embryonic development of the enamel. The mesodermal components are normal. Both the deciduous and permanent teeth are involved and only the enamel is affected.
  • 6.
     The threetypes of hereditary type of enamel hypoplasia are the: • Hypoplastic type, where there is a defective formation of organic matrix. • Hypocalcification type, in which there is a defective mineralization of the matrix. • Hypomaturation type, where there is a defective maturation of the matrix 6
  • 7.
    2. Environmental typeenamel hypoplasia- This is caused by the environmental factors that causes damage to the enamel cells. Either deciduous or permanent teeth are involved and sometimes a single tooth is involved. Here, both the enamel and the dentin are involved in varying degrees. Hypoplasia results only if the injury occurs during the time the teeth are developing or more specifically during the formative stage of enamel development. Once the enamel has calcified,no such defect can be produced. The environmental factors which produce enamel hypoplasia can include: 7
  • 8.
  • 9.
    Mild • Few small grooves,pits or fissures on enamel surface. Moderate • Enamel may exhibit rows of deep pits arranged horizontally across tooth surface. Severe • A considerable portion of enamel is absent due to prolonged disturbance in the function of ameloblasts. 9
  • 10.
  • 11.
    1. HYPOPLASIA DUETO NUTRITIONAL DEFICIENCY–  Causes- It occurs due to deficiency of vit A,C,D,Calcium & Phosphorus.  Age- 2/3rd of this occurs during infancy or early childhood.  Site- Teeth formed within first year of birth are frequently affected. 11
  • 12.
     Pathogenesis- VitD deficiency causes rickketsial phenomenon due to lack of proper calcification of enamel matrix.  Appearance- Horizontal pitting in rows on the teeth undergoing matrix formation at the time of dietary deficiency or during fever.  Colour- Pitting picks up stains, hence discolouration occurs. 12
  • 13.
    2. HYPOPLASIA DUETO EXANTHEMATOUS DISEASES-  Causes- Includes measles, chicken pox and scarlet fever.  Pathogenesis- Ameloblasts may be affected under increased body temperature . 13
  • 14.
    3. SYPHILITIC HYPOPLASIA Site- Involves maxillary and mandibular permanent incisors and first molar. Affected incisors are called as - “Hutchinson’s incisors” and molars are called as- “Mulberry molars”(Moon’s molar, Fournier’s molar) 14
  • 15.
     Hutchinson’s Incisors-Upper central incisors are screwdriver shaped. Mesial and distal surfaces of crown are tapering and converging towards incisal edges rather than towards cervix of tooth. Incisal edge is also notched, the cause being absence of central tubercle or calcification centre.  Mulberry molars- Crown of first molar in congenital syphilis is affected. Enamel of occlusal third appears to be arranged in an agglomerate mass or globule, rather than in well formed cusp and crown is narrower on occlusal surface than at cervical margin. 15
  • 16.
  • 17.
  • 18.
    4. HYPOPLASIA DUETO HYPOCALCEMIA-  Tetany induced by decreased level of calcium in blood : 6-8mg/100ml  As calcium is required for normal tooth formation, there is defective enamel formation.  Enamel hypoplasia is usually of pitting variety. 18
  • 19.
    5. HYPOPLASIA DUETO BIRTH INJURY-  Prenatal- Marked enamel hypoplasia affects enamel of maxillary primary incisors. It’s due to gastrointestinal tract or metabolic disturbances in the fetal life, during 2nd and 3rd trimester .  Neonatal- A wide band or line of hypoplastic enamel affects the primary teeth of children associated with premature birth or low birth weight. Traumatic birth may affect amelogenesis. 19
  • 20.
    6. TURNER’S HYPOPLASIA- Turner’s Tooth- Localized type of hypoplasia, it is caused by local infection or trauma and is called as “Turner’s Hypoplasia” and the tooth is called as Turner’s tooth.  Pathogenesis- A. Local infection- If deciduous teeth become carious during the period when the crown of succeeding permanent tooth is formed, then bacterial infection involving periapical tissues may occur and this may disturb the ameloblastic layer of permanent tooth bud, resulting in hypoplastic crown. 20
  • 21.
    B. Trauma- Whendeciduous teeth have been driven into alveolus and have disturbed the permanent bud while the permanent tooth bud is still being formed then resulting injury leads to yellowish or brownish stains of enamel usually on labial surface or as true hypoplastic pitting effect.  Site- Most commonly affected teeth are permanent premolars as deciduous molars are most frequently affected carious tooth in primary dentition. lesion. 21
  • 22.
     Appearance- Hypoplasiamay be ranging from mild brownish discolouration of enamel to severe pitting and irregularity of crown. Cementum may also be stained yellowish-brown. 22
  • 23.
  • 24.
  • 25.
    7. HYPOPLASIA DUETO DENTAL FLUOROSIS- Drinking water containing excess of 1 PPM (parts per million) of fluoride can affect the ameloblasts during the tooth formation stage and can cause formation of mottled enamel. Pathogenesis- A. Formative stage- Disturbance of ameloblasts during the formative stage of tooth development and higher levels of fluoride interfere with the calcification process of matrix. . 25
  • 26.
    B. Matrix formationstage- There is diminished matrix production, change in matrix composition. C. Maturation stage- There is retention of amelogenin proteins in the enamel struture leading to formation of hypomineralized enamel.. 26
  • 27.
  • 28.
    Depending on thelevel of fluoride in water supply there is a wide range of severity in the appearance of mottled teeth varying from- 1. Questionable changes characterized by occasional white flecking or spotting of enamel. 2. Mild changes manifested by white opaque areas involving more of the surface area. 3. Moderate and severe change show pitting and brownish staining of the enamel surface and a corroded appearance of teeth and also a tendency for wear and fracture(Mottled enamel). 28
  • 29.
    1. Mild form-If there is slight depression or pit in the mesial or distal borders of the crown, it is apparent on a radiograph. If there is depression on the lingual or labial surface it may present as a slightly increased darkness or goes unnoticed. 2. Moderate form- More extensive lesion appears as a series of rounded dark shadows crossing the tooth in straight lines. 3. Severe form- Very gross deformity produces a crown that is markedly shriveled at its incisal and occlusal surfaces, such teeth may be presented as small spikes of dental tissue arising from a short stunted base. 29
  • 30.
  • 31.
  • 32.
    8. TETRACYCLINE HYPOPLASIA- Pathogenesis- It may be incorporated in calcified enamel matrix by formation of a tetracyline calcium orthophosphate complex.  Colour of teeth- Yellow to brown and varying degrees of hypocalcification exits.  Prevention- Tetracyline should not be administered in pregnancy and to the children below 8 years of age. 32
  • 33.
  • 34.
    Treatment of enamelhypoplasia is always individualized and depends on the location and severity of then condition. The location of enamel hypoplasia also affects treatment options : > Anterior teeth -  For sensitive teeth with no wear, SuperSeal (Phoenix Dental Inc.) or another desensitizing agent (such as potassium nitrate) as needed can be used.  If there are esthetic concerns, composite or porcelain veneers may be bonded to the affected tooth. 34
  • 35.
    > Posterior teeth– 1. For sensitive teeth with minimal wear, SuperSeal (Phoenix Dental Inc.) or another desensitizing agent (such as potassium nitrate) as needed can be used. 2. For mildly hypoplastic molars, place pit and fissure sealant on the occlusal surface. - at 6 month re-evaluation, if sealant is lost, go to step 3 3. Remove demineralized enamel and restore with composite. - at 6 month re-evaluation, if composite is lost, either replace using good isolation techniques or go to step 4 4. Perform minimal reduction of tooth and cement a stainless steel crown - evaluate clinically and radiographically as indicated 35
  • 36.
     For permanentmolars, stainless steel crowns are intended for temporary use only. These teeth should be restored with a permanent cast crown in the late teen years or early adulthood.  Extremely malformed teeth should be extracted and implants can be placed.  In deciduous dentition cases where the first primary molars are unrestorable or marginally restorable, extraction prior to the eruption of the premolars is a reasonable alternative. 36
  • 37.
    Other Treatment Options-  Tooth whitening treatment can be done . Bleaching with 30% H202- It is enhanced by grinding or microabrasion of the surface layer. Can be done only in initial cases of hypoplasia.  Microabrasion ,where pumice is used to abrade the discoloured area and reduce its appearance and make the teeth appear more even. 37 Desensitizing paste – Used to decrease sensitivity of teeth due to exposure of dentin.
  • 38.
     Calcium sucrosephosphate gel- It involves cleaning of the affected teeth with pumice and glycerin and rinsing with water and applying 37% phosphoric acid for 1.5-2 minutes. This treatment is repeated , followed by application of 2% sodium fluoride for 4 minutes. Finally a thick layer of calcium sucrose gel is placed on the affected teeth . The patient is instructed not to eat anything or rinse for 30 minutes. It improves the colour of the teeth. 38
  • 39.
  • 40.
     Shafer’s textbookof oral pathology  Burkitt’s textbook of oral medicine  Pictures from the Internet 40
  • 41.