Respiratory System
Dr. Sami
-
 The respiratory system is the network of Tissues and Organs that help
breathe.
 Parts:
 Nose.
 Mouth.
 Throat (pharynx)
 Voice box (larynx)
 Windpipe (trachea)
 Airways (bronchi)
 Lungs.
Acute Pneumonia
Dr. Sami
Definition:
 Pneumonia is an inflammatory condition of the lung primarily affecting the
small air sacs known as alveoli. Symptoms typically include some combination
of productive or dry cough, chest pain, fever, and difficulty breathing
How does Pneumonia develop?
 Most of the time, the body filters organisms.
 This keeps the lungs from becoming infected.
 But organisms sometimes enter the lungs and cause infections.
 This is more likely to occur when:
 immune system is weak.
 organism is very strong.
 body fails to filter the organisms.
 Factors that predispose to Pneumonia
 Cigarette smoking
 Upper respiratory tract infections
 Alcohol
 Corticosteroid therapy
 Old age
 Recent influenza infection
 Pre-existing lung disease
Etiology:
 Bacteria:
 Streptococcus pneumonia (50% Cases)
 Haemophilus influenzae (20% Cases)
 Chlamydophila pneumoniae (3% Cases)
 Mycoplasma pneumoniae (3% Cases)
 Viruses:
 In adults, viruses account for about one third of pneumonia cases, and in
children for about 15% of them.
 Commonly implicated agents include rhinoviruses, coronaviruses, influenza
virus, respiratory syncytial virus (RSV), adenovirus, and parainfluenza.
 After organ transplantation or in otherwise immunocompromised persons,
there are high rates of cytomegalovirus pneumonia.
 Fungus:
 Fungal pneumonia is uncommon, but occurs more commonly in individuals
with weakened immune systems due to AIDS, immunosuppressive drugs, or
other medical problems.
 It is most often caused by Histoplasma capsulatum, Blastomyces,
Cryptococcus neoformans, Pneumocystis jiroveci (pneumocystis pneumonia,
or PCP), and Coccidioides immitis
 Parasites:
 A variety of parasites can affect the lungs, including Toxoplasma gondii,
Strongyloides stercoralis, Ascaris lumbricoides, and Plasmodium malariae.
 These organisms typically enter the body through direct contact with the
skin, ingestion, or via an insect vector.
 Noninfectious:
 Idiopathic interstitial pneumonia or noninfectious pneumonia is a class of
diffuse lung diseases. They include diffuse alveolar damage, organizing
pneumonia, nonspecific interstitial pneumonia, lymphocytic interstitial
pneumonia,, respiratory bronchiolitis interstitial lung disease, and usual
interstitial pneumonia. Lipoid pneumonia is another rare cause due to lipids
entering the lung.These lipids can either be inhaled or spread to the lungs
from elsewhere in the body
Risk factors
 Pneumonia can affect anyone. But the two age groups at highest risk are:
1. Children who are 2 years old or younger
2. People who are age 65 or older
 Other risk factors include:
 Being hospitalized. You're at greater risk of pneumonia if you're in a hospital
intensive care unit, especially if you're on a machine that helps you breathe
(a ventilator).
 Chronic disease. You're more likely to get pneumonia if you have asthma,
chronic obstructive pulmonary disease (COPD) or heart disease.
 Smoking. Smoking damages your body's natural defenses against the bacteria
and viruses that cause pneumonia.
 Weakened or suppressed immune system. People who have HIV/AIDS, who've
had an organ transplant, or who receive chemotherapy or long-term steroids
are at risk.
Pathophysiology:
 Stage 1 (congestion)
 occurs within 24 hours of infection. Many bacteria are present in the lungs but
few white blood cells are available to fight the infection. After the
pneumococcus organism reaches the alveoli, there is an outpouring of fluids
into alveoli.
 The organism multiplies in the serous fluid and infection spreads
 During the congestion phase, the lungs become very heavy and congested due
to infectious fluid that has accumulated in the air sacs.
 During this stage, pts may experience early pneumonia symptoms such as:
 Coughing
 A feeling of heaviness in the chest
 Loss of appetite
 Fatigue
 Rapid breathing
 Stage 2 (red hepatization) occurs after 48 to 72 hours and lasts for about 2
to 4 days.
 The massive dialation of the capillaries and alveoli that are filled with this
organism, neutrophils, RBC, and fibrin.
 The lung appears red and granular, similar to that of liver which is why the
process is called hepatization.
 Increasingly productive cough
 Shortness of breath
 Muscle aches
 Headache
 Extreme fatigue
 Fever
 Chills
 Sweating
 Blue lips or fingernails due to low levels of oxygen in the blood
 Stage 3 (grey hepatization) occurs on day 4 to 6 and continues for 4 to 8
days.
 Blow Flow decreases
 Red blood cells will disintegrate during this stage, giving the lungs a grayish
color. Leukocytes and fibrin consolidate to the effected parts and symptoms
will likely persist.
 Stage 4 (resolution) is the final recovery stage and occurs during days 8 to
10.
 Fluids and breakdown products from cell destruction are reabsorbed.
Macrophages (large white blood cells) are present and help to clear white
blood cells (neutrophils) and leftover debris.
 Pts may cough up this debris. The airways and air sacs (alveoli) return to
normal lung function. Any remaining lung swelling may lead to chronic lung
disease (such as airway narrowing or pleural adhesions).
Clinical Manifestation:
 The signs and symptoms of pneumonia may include:
 Cough, which may produce greenish, yellow or even bloody mucus
 Fever, sweating and shaking chills
 Shortness of breath
 Rapid, shallow breathing
 Sharp or stabbing chest pain that gets worse when you breathe deeply or cough
 Loss of appetite, low energy, and fatigue
 Nausea and vomiting, especially in small children
 Confusion, especially in older people
Classifications:
 ANATOMICAL CLASSIFICATION
 Clinical Classifications:
ANATOMICAL CLASSIFICATION
 Bronchopneumonia affects the lungs in patches around bronchi (affects the
bronchi in the lungs)
 Lobar pneumonia is an infection that only involves a single lobe, or section,
of a lung.
 Interstitial pneumonia involves the areas in between the alveoli
Clinical Classifications:
1. Community-acquired,
2. Hospital-acquired,
3. Aspiration pneumonia.
Community Acquired
 Community-acquired pneumonia is defined as pneumonia that is acquired
outside the hospital.
 The most commonly identified pathogens are Streptococcus pneumoniae,
Haemophilus influenzae, atypical bacteria
Hospital-acquired
 Hospital-acquired pneumonia is an infection of the lungs that occurs during a
hospital stay. This type of pneumonia can be very severe. Sometimes, it can
be fatal.
Aspiration pneumonia.
 Aspiration pneumonia occurs when food or liquid is breathed into the airways
or lungs, instead of being swallowed.
Complications:
 Bacteria in the bloodstream (bacteremia). Bacteria that enter the bloodstream from your
lungs can spread the infection to other organs, potentially causing organ failure.
 Difficulty breathing. If your pneumonia is severe or you have chronic underlying lung
diseases, you may have trouble breathing in enough oxygen. You may need to be hospitalized
and use aventilator while your lung heals.
 Fluid accumulation around the lungs (pleural effusion). Pneumonia may cause fluid to build
up in the thin space between layers of tissue that line the lungs and chest cavity (pleura). If
the fluid becomes infected, you may need to have it drained through a chest tube or removed
with surgery.
 Lung abscess. An abscess occurs if pus forms in a cavity in the lung. An abscess is usually
treated with antibiotics. Sometimes, surgery or drainage with a long needle or tube placed
into the abscess is needed to remove the pus.
 Pleurisy.
 Septic arthritis.
 Endocarditis.
Diagnosis:
 Medical history.
 Physical exam
 Your doctor will listen to your lungs with a stethoscope. If you have
pneumonia, your lungs may make crackling, bubbling, and rumbling sounds
when you inhale.
Lab Tests
 Sputum Tests.
 Gram Staining (A Gram stain is a test that checks for bacteria at the site of a
suspected infection such as the throat, lungs, genitals, or in skin wounds.
Gram stains may also be used to check for bacteria in certain body fluids,
such as blood or urine.
 AFB (acid-fast bacillus) a type of bacteria that causes tuberculosis and certain
other infections.
 Giemsa or methenamine silver stain
 KOH (potassium hydroxide) mount (Presence of Fungus)
 Culture
 Complete Blood Count.
 Blood Culture.
 Arterial Blood Gasses.
 Pleural fluid culture
 Pulse Oximetry.
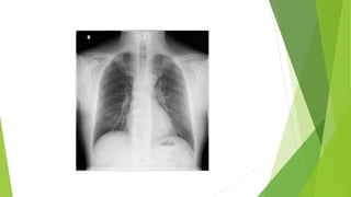
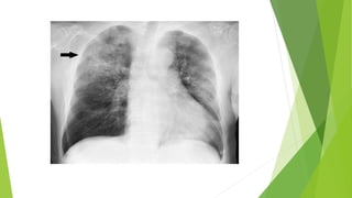
 Chest x-ray.
 CT Scan.
 Bronchoscopy
 Thoracoscopy
 Percutaneous aspiration/biopsy
 Open lung biopsy
Treatment:
CURB 65
 C onfusion – Altered mental status
 U remia – Blood urea nitrogen (BUN) level greater than 20 mg/dL
 R espiratory rate –30 breaths or more per minute
 B lood pressure – Systolic pressure less than 90 mm Hg or diastolic pressure
less than 60 mm Hg
 Age older than 65 years
 Score of 0-1 – Outpatient treatment
 Score of 2 – Admission to hospital(No ICU)
 Score of 3 or higher – Admission to intensive care unit (ICU)
Outpatient Treatment:
 Outpatients Treatment(empirical)
 Previously healthy and no antibiotics in past 3 months
 A macrolide (clarithromycin or azithromycin or Doxycycline )
 Comorbidities or antibiotics in past 3 months:
 Respiratory fluoroquinolone [moxifloxacin ,levofloxacin ] or β- lactam ( high-
dose amoxicillin or amoxicillin/clavulanate)
Inpatients, non-ICU
 •A respiratory fluoroquinolone [moxifloxacin ,levofloxacin ]
 β -lactam [cefotaxime ,ceftriaxone ,ampicillin] plus a macrolide [oral
clarithromycin or azithromycin)
Inpatients, ICU
 •β -lactam plus Azithromycin or a fluoroquinolone
Pseudomonas
 •An antipneumococcal, antipseudomonal β-lactam [piperacillin/tazobactam,
cefepime , imipenem , meropenem plus flouroquinolons
 Above β-lactams plus an aminoglycoside and azithromycin
 Above β-lactams plus an aminoglycoside plus an antipneumococcal
fluoroquinolone
 Methicillin-resistant Staphylococcus aureus If MRSA , add linezolid or
vancomycin
Symptomatic Treatment:
 Control your fever with aspirin, nonsteroidal anti-inflammatory drugs (NSAIDs,
such as ibuprofen or naproxen), or acetaminophen. DO NOT give aspirin to
children.
 Drink plenty of fluids to help loosen secretions and bring up phlegm.
 Do not take cough medicines without first talking to your doctor. Coughing is one
way your body works to get rid of an infection. If your cough is preventing you
from getting the rest you need, ask your doctor about steps you can take to get
relief.
 Drink warm beverages, take steamy baths and use a humidifier to help open your
airways and ease your breathing. Contact your doctor right away if your breathing
gets worse instead of better over time.
 Stay away from smoke to let your lungs heal. This includes smoking, secondhand
smoke and wood smoke. Talk to your doctor if you are a smoker and are having
trouble staying smokefree while you recover. This would be a good time to think
about quitting for good.
 Get lots of rest. You may need to stay in bed for a while. Get as much help as you
can with meal preparation and household chores until you are feeling stronger. It
is important not to overdo daily activities until you are fully recovered.

Pneumonia

  • 1.
  • 2.
    -  The respiratorysystem is the network of Tissues and Organs that help breathe.  Parts:  Nose.  Mouth.  Throat (pharynx)  Voice box (larynx)  Windpipe (trachea)  Airways (bronchi)  Lungs.
  • 4.
  • 5.
    Definition:  Pneumonia isan inflammatory condition of the lung primarily affecting the small air sacs known as alveoli. Symptoms typically include some combination of productive or dry cough, chest pain, fever, and difficulty breathing
  • 7.
    How does Pneumoniadevelop?  Most of the time, the body filters organisms.  This keeps the lungs from becoming infected.  But organisms sometimes enter the lungs and cause infections.  This is more likely to occur when:  immune system is weak.  organism is very strong.  body fails to filter the organisms.
  • 8.
     Factors thatpredispose to Pneumonia  Cigarette smoking  Upper respiratory tract infections  Alcohol  Corticosteroid therapy  Old age  Recent influenza infection  Pre-existing lung disease
  • 9.
    Etiology:  Bacteria:  Streptococcuspneumonia (50% Cases)  Haemophilus influenzae (20% Cases)  Chlamydophila pneumoniae (3% Cases)  Mycoplasma pneumoniae (3% Cases)
  • 10.
     Viruses:  Inadults, viruses account for about one third of pneumonia cases, and in children for about 15% of them.  Commonly implicated agents include rhinoviruses, coronaviruses, influenza virus, respiratory syncytial virus (RSV), adenovirus, and parainfluenza.  After organ transplantation or in otherwise immunocompromised persons, there are high rates of cytomegalovirus pneumonia.
  • 11.
     Fungus:  Fungalpneumonia is uncommon, but occurs more commonly in individuals with weakened immune systems due to AIDS, immunosuppressive drugs, or other medical problems.  It is most often caused by Histoplasma capsulatum, Blastomyces, Cryptococcus neoformans, Pneumocystis jiroveci (pneumocystis pneumonia, or PCP), and Coccidioides immitis
  • 12.
     Parasites:  Avariety of parasites can affect the lungs, including Toxoplasma gondii, Strongyloides stercoralis, Ascaris lumbricoides, and Plasmodium malariae.  These organisms typically enter the body through direct contact with the skin, ingestion, or via an insect vector.
  • 13.
     Noninfectious:  Idiopathicinterstitial pneumonia or noninfectious pneumonia is a class of diffuse lung diseases. They include diffuse alveolar damage, organizing pneumonia, nonspecific interstitial pneumonia, lymphocytic interstitial pneumonia,, respiratory bronchiolitis interstitial lung disease, and usual interstitial pneumonia. Lipoid pneumonia is another rare cause due to lipids entering the lung.These lipids can either be inhaled or spread to the lungs from elsewhere in the body
  • 14.
    Risk factors  Pneumoniacan affect anyone. But the two age groups at highest risk are: 1. Children who are 2 years old or younger 2. People who are age 65 or older  Other risk factors include:  Being hospitalized. You're at greater risk of pneumonia if you're in a hospital intensive care unit, especially if you're on a machine that helps you breathe (a ventilator).  Chronic disease. You're more likely to get pneumonia if you have asthma, chronic obstructive pulmonary disease (COPD) or heart disease.  Smoking. Smoking damages your body's natural defenses against the bacteria and viruses that cause pneumonia.  Weakened or suppressed immune system. People who have HIV/AIDS, who've had an organ transplant, or who receive chemotherapy or long-term steroids are at risk.
  • 15.
    Pathophysiology:  Stage 1(congestion)  occurs within 24 hours of infection. Many bacteria are present in the lungs but few white blood cells are available to fight the infection. After the pneumococcus organism reaches the alveoli, there is an outpouring of fluids into alveoli.  The organism multiplies in the serous fluid and infection spreads  During the congestion phase, the lungs become very heavy and congested due to infectious fluid that has accumulated in the air sacs.  During this stage, pts may experience early pneumonia symptoms such as:  Coughing  A feeling of heaviness in the chest  Loss of appetite  Fatigue  Rapid breathing
  • 17.
     Stage 2(red hepatization) occurs after 48 to 72 hours and lasts for about 2 to 4 days.  The massive dialation of the capillaries and alveoli that are filled with this organism, neutrophils, RBC, and fibrin.  The lung appears red and granular, similar to that of liver which is why the process is called hepatization.  Increasingly productive cough  Shortness of breath  Muscle aches  Headache  Extreme fatigue  Fever  Chills  Sweating  Blue lips or fingernails due to low levels of oxygen in the blood
  • 19.
     Stage 3(grey hepatization) occurs on day 4 to 6 and continues for 4 to 8 days.  Blow Flow decreases  Red blood cells will disintegrate during this stage, giving the lungs a grayish color. Leukocytes and fibrin consolidate to the effected parts and symptoms will likely persist.
  • 21.
     Stage 4(resolution) is the final recovery stage and occurs during days 8 to 10.  Fluids and breakdown products from cell destruction are reabsorbed. Macrophages (large white blood cells) are present and help to clear white blood cells (neutrophils) and leftover debris.  Pts may cough up this debris. The airways and air sacs (alveoli) return to normal lung function. Any remaining lung swelling may lead to chronic lung disease (such as airway narrowing or pleural adhesions).
  • 23.
    Clinical Manifestation:  Thesigns and symptoms of pneumonia may include:  Cough, which may produce greenish, yellow or even bloody mucus  Fever, sweating and shaking chills  Shortness of breath  Rapid, shallow breathing  Sharp or stabbing chest pain that gets worse when you breathe deeply or cough  Loss of appetite, low energy, and fatigue  Nausea and vomiting, especially in small children  Confusion, especially in older people
  • 24.
  • 25.
  • 26.
     Bronchopneumonia affectsthe lungs in patches around bronchi (affects the bronchi in the lungs)
  • 27.
     Lobar pneumoniais an infection that only involves a single lobe, or section, of a lung.
  • 28.
     Interstitial pneumoniainvolves the areas in between the alveoli
  • 29.
    Clinical Classifications: 1. Community-acquired, 2.Hospital-acquired, 3. Aspiration pneumonia.
  • 30.
    Community Acquired  Community-acquiredpneumonia is defined as pneumonia that is acquired outside the hospital.  The most commonly identified pathogens are Streptococcus pneumoniae, Haemophilus influenzae, atypical bacteria
  • 31.
    Hospital-acquired  Hospital-acquired pneumoniais an infection of the lungs that occurs during a hospital stay. This type of pneumonia can be very severe. Sometimes, it can be fatal.
  • 32.
    Aspiration pneumonia.  Aspirationpneumonia occurs when food or liquid is breathed into the airways or lungs, instead of being swallowed.
  • 34.
    Complications:  Bacteria inthe bloodstream (bacteremia). Bacteria that enter the bloodstream from your lungs can spread the infection to other organs, potentially causing organ failure.  Difficulty breathing. If your pneumonia is severe or you have chronic underlying lung diseases, you may have trouble breathing in enough oxygen. You may need to be hospitalized and use aventilator while your lung heals.  Fluid accumulation around the lungs (pleural effusion). Pneumonia may cause fluid to build up in the thin space between layers of tissue that line the lungs and chest cavity (pleura). If the fluid becomes infected, you may need to have it drained through a chest tube or removed with surgery.  Lung abscess. An abscess occurs if pus forms in a cavity in the lung. An abscess is usually treated with antibiotics. Sometimes, surgery or drainage with a long needle or tube placed into the abscess is needed to remove the pus.  Pleurisy.  Septic arthritis.  Endocarditis.
  • 35.
    Diagnosis:  Medical history. Physical exam  Your doctor will listen to your lungs with a stethoscope. If you have pneumonia, your lungs may make crackling, bubbling, and rumbling sounds when you inhale.
  • 36.
    Lab Tests  SputumTests.  Gram Staining (A Gram stain is a test that checks for bacteria at the site of a suspected infection such as the throat, lungs, genitals, or in skin wounds. Gram stains may also be used to check for bacteria in certain body fluids, such as blood or urine.  AFB (acid-fast bacillus) a type of bacteria that causes tuberculosis and certain other infections.  Giemsa or methenamine silver stain  KOH (potassium hydroxide) mount (Presence of Fungus)  Culture
  • 37.
     Complete BloodCount.  Blood Culture.  Arterial Blood Gasses.  Pleural fluid culture
  • 38.
     Pulse Oximetry. Chest x-ray.  CT Scan.  Bronchoscopy  Thoracoscopy  Percutaneous aspiration/biopsy  Open lung biopsy
  • 39.
  • 40.
    CURB 65  Confusion – Altered mental status  U remia – Blood urea nitrogen (BUN) level greater than 20 mg/dL  R espiratory rate –30 breaths or more per minute  B lood pressure – Systolic pressure less than 90 mm Hg or diastolic pressure less than 60 mm Hg  Age older than 65 years  Score of 0-1 – Outpatient treatment  Score of 2 – Admission to hospital(No ICU)  Score of 3 or higher – Admission to intensive care unit (ICU)
  • 41.
    Outpatient Treatment:  OutpatientsTreatment(empirical)  Previously healthy and no antibiotics in past 3 months  A macrolide (clarithromycin or azithromycin or Doxycycline )  Comorbidities or antibiotics in past 3 months:  Respiratory fluoroquinolone [moxifloxacin ,levofloxacin ] or β- lactam ( high- dose amoxicillin or amoxicillin/clavulanate)
  • 42.
    Inpatients, non-ICU  •Arespiratory fluoroquinolone [moxifloxacin ,levofloxacin ]  β -lactam [cefotaxime ,ceftriaxone ,ampicillin] plus a macrolide [oral clarithromycin or azithromycin)
  • 43.
    Inpatients, ICU  •β-lactam plus Azithromycin or a fluoroquinolone
  • 44.
    Pseudomonas  •An antipneumococcal,antipseudomonal β-lactam [piperacillin/tazobactam, cefepime , imipenem , meropenem plus flouroquinolons  Above β-lactams plus an aminoglycoside and azithromycin  Above β-lactams plus an aminoglycoside plus an antipneumococcal fluoroquinolone
  • 45.
     Methicillin-resistant Staphylococcusaureus If MRSA , add linezolid or vancomycin
  • 46.
    Symptomatic Treatment:  Controlyour fever with aspirin, nonsteroidal anti-inflammatory drugs (NSAIDs, such as ibuprofen or naproxen), or acetaminophen. DO NOT give aspirin to children.  Drink plenty of fluids to help loosen secretions and bring up phlegm.  Do not take cough medicines without first talking to your doctor. Coughing is one way your body works to get rid of an infection. If your cough is preventing you from getting the rest you need, ask your doctor about steps you can take to get relief.  Drink warm beverages, take steamy baths and use a humidifier to help open your airways and ease your breathing. Contact your doctor right away if your breathing gets worse instead of better over time.  Stay away from smoke to let your lungs heal. This includes smoking, secondhand smoke and wood smoke. Talk to your doctor if you are a smoker and are having trouble staying smokefree while you recover. This would be a good time to think about quitting for good.  Get lots of rest. You may need to stay in bed for a while. Get as much help as you can with meal preparation and household chores until you are feeling stronger. It is important not to overdo daily activities until you are fully recovered.