Peripheral Smear
Farasat Umar
Blood film is examined for
• DLC
• General assessment of cell counts
• RBCs morphology
• WBCs morphology
• Platlet morphology
• Study of other defects like rouleaux
formation, agglutination, red cells
inclusions etc
Preparation
• Place a small drop of blood on central line
1 cm from one end
• Place a spreader at 45o
angle in front of
blood
• Push the spreader forward by the rapid
,smooth and straight movement
• Allow the film to dry in air
Staining
• Most commonly used stains are
• Giemsa
• Jenner’s Stain
• Wright’s stain
• Leishman’s stain
Giemsa Staining
• Fix air dried blood film with methanol for 5-10 minutes
• Transfer the film to a jar containing Giemsa stain(1:10
dilution) for 10-15 minutes
• Wash with buffered water
• Allow to stand in a jar containing buffered water for 3-5
minutes
• Dry it in a vertical position
Examination:
• First examined under low power(*10) objective to get an
idea of quality of film
• Then select a suitable area and examine with(*40)
objective
Types of cells
• RBCs
• WBCs
• Platlets
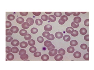
Normal Peripheral Smear
RBC Morphology
• Normal:
• Circular discs-6-4Um
• Equal to size of nucleus of small lymph
• Bright red at periphery
• Central1/3rd is pale
Abnormalities of Distribution
• Rouleaux formation
– Infections
– Multiple Myeloma
• Agglutination
• incompatible blood transfusion
Rouleaux Formation
Agglutination Reaction
Abnormalities of Colour
• Hypochromia- IDA and Thalasemia
• Hyperchromia-
• Spherocytes
• Macrocytes
• Target Cells: Central hemoglobin area surrounded by a
pale ring and then hemoglobin in peripheral area
• Dimorphism :Two populaions of RBCs in the same
blood film-one normal and other abnormal
• Seen in –sideroblastic anemia
• After blood transfusion
• Patients receiving hematonics
Hypochromic RBC
Hyperchromic RBCs
Target cellsTarget cells
Anisocytosis
Size of RBCs varies in same film
• Microcytosis
• Iron deficiency anemia
• Thalasemia
• Sideroblastic Anemia
• Macrocytosis
• Megaloblastic Anemia
• Liver disease
• Aplastic Anemia
• Alchol Excess
• Tretament with Hydroxyurea
• Hyperglycemia
• Obstructive airway disease
Macrocytic RBCs:
Poikilocytosis
shape of RBCs varies/abnormal Shaped
RBCs
seen in
• IDA,
• Megaloblastic anemia,
• Myelodysolasticsyndrome,
• thalasemia,
• myelofibrosis etc.
Abnormalities of Shape
1.Spherocytes
Spherical RBCs
Seen in :
• Hereditary Spherocytosis
• Immune Hemolytic anemias
• ABO hemolytic disease of newborn
• Bacterial toxins e.g Cl.Perferingens
• In Banked blood
Spherocytes:
Abnormalities of Shape
2.Elliptocytes and ovalocytes
• 10% seen in normal blood fil(tail end)
Seen in :
• Iron deficiency anemia(pencil Cells)
• Megaloblastic Anemia
• Myelofibrosis(tear drop cells)
Elliptocytes:
Abnormalities of Shape
3.Stomatocytes:
• Mouth like slit in RBCs
• Few in normal blood film
• Increase in alcoholism
• Liver disease
• Hereditary membrane defects
Abnormalities of Shape
4.Schistocytes:
• Fragmented RBCs of various shapes and
sizes e.g helmet cells
Seen in:
• IDA
• Megaloblastic anemia
• Thalasemia
• DIC
• Microangiopathy
Schistocytes:
Numerous fragmented RBC's.Numerous fragmented RBC's.
“Helmet" cells. “Schistocytes"“Helmet" cells. “Schistocytes"
Abnormalities of Shape
5.Echinocytes and burr cells:
• RBCs with evenly distributes blunt
spicules. Burr cells are echinocytes with
reversible spicules
Seen in
• after prolonged standing of blood at room
temp
• when film is made on an oily slide
Echinocytes (Burr Cells)
Abnormalities of Shape
6.Acantocytes
• RBCS with fewer thorn like projection of
varying sizes and variable in number
• more blunted than Echinocytes.
Seen in
• Disorders of liquid metabolism
• chronic liver disease ] Acquired.
• Spur cell anemia
Acanthocytes (Spur Cells)
Abnormalities of Shape
7.Sickle cells
• Thin, elongated, deeply staining RBCS
with elongated ends.
• Seen in sickle cell disease.
Sickle Cell Anemia:
Inclusions in RBCS
1.Hb crystals : Hb c and Hbs form crystals inside
the RBCS
2.Howell – Jolly bodies: small rounded , reddish to
blue fragments of nucleus ,<1 um in diameter .
May be single or multiple
• splenectomy
• splenic atrophy
• alcoholism
• sickle cell anemia and megaloblastic anemia
Howell-Jolly Body
Inclusions in RBCS
3. Basophilic stippling or punctuate
basophilia :
• Fine to coarse , deep blue to purple , small
and multiple inclusions of varying sizes.
• Represent aggregated ribosomes.
• 1. Thalasemia 2. megaloblastic anemia
3.liver disease 4. lead poisoning
5.Infections.
Basophilic Stippling
Inclusions in RBCs
4.Pappenheimer bodies;
• small , dark staining , irregular granules of
hemosiderin , near the periphery.
• Seen in
• 1. Sideroblastic anemia 2.thalasmia and
3. dyserythropoietic anemia.
Inclusions in RBCs
5.Cabot Rings:
• Thin, reddish blue,ring like structure.it may
be twisted to form structure of 8
• Seen in: Severe anemia, megaloblastic
anemia, lead poisoning, dyserythropoeitic
anemia
• Parasites e.g malaraial parasite
Cabot ring
WBC Morphology
1. Neutrophils
• 13 um in diameter
• segmented nucleus (3-5 lobes)
• Hypersegmented nucleus -megaloblastic anemia
• Only 8% stab form ( unsegmented nucleus) in normal
blood.
• Normaly azurophilic, small, evenly distributed
granules.
• Hypergranular cells-Toxic granulations- bacterial
infections
• Hypogranuler cells - in myelodysplastic syndrome.
Neutrophil
Hypersegmented Neutrophils
Toxic Granulation
WBC Morphology
2.Eosinophils
• Bilobed , golden/orange granules in
allergic conditions and parasitic infection
Eosinophil
WBC Morphology
3.Basophils
• Bilobed nucleus , Dark blue granules
obscure nucleus. < 1 % in normal blood
↑ in CML.
Basophils
WBC Morphology
4.Monocytes
• largest of WBC . Bluish grey cytoplasm
with ground glass appearance in
chronic infections + some leukemias
Monocytes
WBC Morphology
5.Lymphocytes
• 90%small lymphocytes,
• 10% large lymphocytes
Small Lymphocyte
Morphology of Platelets
• Small(1-3µm)
• Discoid shape
• No nucleus
• Increase count (thrombocythemia) ---in
acute inflammation or stress
• Decreased platelets (thrombocytopenia)---
in viral infections
Peripheral smear

Peripheral smear