OPTICAL COHERENCE
TOMOGRAPHY
PART 1
PHYSICS
• WAVELENGTH – The distance over which the
wave’s shape repeats
PHYSICS
• FREQUENCY – It is the number of occurrences of a repeating event
per unit time.
• Wavelength is inversely proportional to frequency
INTERFERENCE
In physics , interference is a phenomenon in which two waves
superimpose to form a resultant wave of greater or lower amplitude
• In physics two waves are coherent if they have a constant phase
difference and same frequency and are non coherent if there is a
constant changing phase difference
COHERENCE
TOMOGRAPHY
• Tomogram – It’s a two-dimensional image representing a slice or
cross-sectional image
• Combining these tomograms we get a three- dimensional structure
of the object which is being analyzed
• OCT is a non contact, non invasive, micro resolution cross-sectional
study of retina which correlates very well with the retinal histology.
• Principle: Interferometry
- measures echo delay(time) and intensity of reflected light from
target structure.
• Wavelength used :
posterior segment - 840nm
anterior segment -1310 nm
Theprocessissimilar to that of ultrasonography,except that invisible light is
usedinstead of soundwaves.
Analog to
ultrasound
MICHELSONS INTERFEROMETRY
• semitransparent mirror
• two equidistant mirrors
• summed up by a detector.
• light wave in same phase;
• if one of the mirrors is moved -phase difference.
• This phase difference then produces an interference pattern at the
level of the detector.
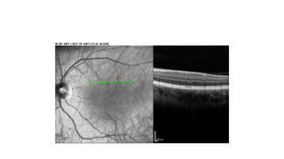
OCT MACHINE
• A low-coherence infrared (830 nm) light coupled to a fiber optic
system.
• Reflected by structures in different retinal tissue layers.
• The distance between the beam splitter and reference mirror is
continuously varied.
• Interference pattern
• Integrates data points over 2 mm depth
HOW DOES IT WORK?
OCT process these signals electronically (based on the different index of
light refraction of each tissue)
Then displays it on the computer giving precise information on tissue distance
or thickness
Once the 1st Axial scan has been made, then the optical beam moves
transversally, making successive rapid axial scans which represents a cross-
sectional image of the ocular tissue
When all A-scans are combined into one image, the image thus formed has
a
vertical (axial) resolution of 10 microns
transverse resolution of 20 microns
• Colour coding
– White & Red : highly reflective structures
– Black & blue : low reflective structures
– Green : intermediate reflective structures.
HOW TO INTERPRET AN OCT IMAGE ?
BASIS for interpretation
• The light beam of the OCT can be transmitted,
absorbed or scattered.
• The physical basis of OCT imaging depends on the
contrast in optical reflectivity between different tissue
microstructures
14
• The proportion of incident light which is directly back
scattered by a tissue structure defines the reflectivity of
that structure .
• Optical scattering (back reflection) occurs with
heterogenous or homogenous tissues with different
refractive index such as nuclei, cytoplasm, cell membrane,
nerve fibres, blood vessels etc
15
• On this basis, cross-sectional images of reflectivity in
tissues are obtained that can differentiate internal tissue
structure.
• When a light is STRONGLY absorbed or scattered from
tissues such as hemorrhage then it loses all of its
intensity and we observe ‘shadowing ‘of the
corresponding deeper structures.
16
Qualitative analysis : includes
• Description by location
• Description of form and structure
• Identification of anomalous structures
• Observation of reflective qualities of retina
17
Quantitative analysis : includes
• Measurements of retina : Retinal thickness and volume ,
RNFL thickness
• This is possible because oct software is able to
“identify”2 key layers of retina-NFL and RPE.
18
ADVANTAGES
• Rapid
• easy (very short learning curve)
• non-contact
• noninvasive
• sensitive (7-10 microns resolution)
• highly reproducible and repeatable.
• qualitative and quantitative analysis
• allows storage of data in memory and comparison of scans
LIMITATIONS
• corneal edema,
• significant lens opacity,
• vitreous opacity and hemorrhage.
• exploration is limited to the posterior pole
• Timedomain-OCT
SpectralDomainOCT
SPECTERAL
DOMAIN OCT
TIME DOMAIN OCT BENEFIT OF
SPECTERAL
DOMAIN
LIGHT SOURCE 840 nm
Broader Bandwidth
820 nm Provides higher
resolution
DETECTOR Spectrometer Single detector No moving parts –
faster acquisition less
motion artifacts
AXIAL RESOLUTION 6-7 microns 10 microns Better visualization of
retinal layers and
pathology
TRANSVERSE
RESOLUTION
10 microns 20 microns
SCAN DEPTH 2mm 2mm Slightly better
penetration of light
SCAN SPEED About 28,000 A-
scans per second
400 A-scans
per second
Better registration , 3-
D scanning and analysis
Resolutionof anOCT
• Resolution – Is the capability of the
sensor to observe or measure the
smallest object clearly with distinct
boundaries.
• Image resolution is an important
parameter that determines the size of
the smallest feature that can be
visualized
• Axial resolution is governed by
-Wavelength and
-Bandwidth of the light source
-Long wavelength - visualisation of
choroid, laminar pores, etc
 Transverse resolution -
Based on spacing of A-
scans i.e. spot size
Since there is a trade-off
between spot size and
depth of focus , most
commercial OCT systems
use a 20 micron
transverse resolution in
order to have a sufficient
depth of focus.
Time domain OCT
-OCT 1(1996)
- OCT2 (2000)
-Stratus OCT (2002)
Fourier domain OCT
-Cirrus HD OCT (Zeiss)
-Spectralis(Heidelberg)
-RTVue -100 (Optovue )
-3D OCT 2000(Topcon)
Normal Anatomy
ILM, RNFL, OPL,IPL Hyper Reflective
GCL, INL,ONL Hypo Reflective
Retinal Vessels Circular hyper reflective
Commonly used protocols for macular analysis:
Macular Cube Radial line scan Raster Scan
OCT for Posterior segment imaging
Thecolor codes used depict varying
thickness
Blue : 150-210 microns,
green : 210-270
Yellow : 270-320
Orange : 320-350
red : 350- 470
white : > 470 microns
OCT OF VASCULAR DISORDERS
RETINAL VEIN OCCLUSION
A fundus photo of the patient’s left eye
demonstrates a BRVO. Numerous
intraretinal hemorrhages, cotton wool
spots, and dilated, tortuous vessels along
the inferior arcade are noted.
An OCT horizontally oriented through the
patient’s macula at presentation,
demonstrating macular
edema with cystic fluid in multiple levels of
the retina
Fundus photo shows a hemi
retinal vein occlusion (HRVO)
with numerous intraretinal
hemorrhages in the inferior
half of the retina.
A horizontally oriented macular OCT at
presentation, with cystic fl uid in the outer retinal
layers and subretinal fluid.
OCT at 1 month after initial presentation,
demonstrating resolution of cystic intraretinal
fluid with development of exudates within
deeper retinal layers and persistent subretinal
fluid
An OCT 1 year after presentation after the patient
was treated with intravitreal Avastin,
demonstrating resolution of subretinal fluid as
well as temporal macular retinal nerve fiber layer
thinning and disruption of the inner segment-
outer segment junction (IS-OS junction) temporal
to the fovea
BRVO/CRVO : Summary of OCT characteristics
• Cystoid macular edema
• Serous retinal detachment
• IS-OS disruption
• External limiting membrane disruption
• Chronically, sectoral nerve fi ber layer thinning
BRANCH RETINAL ARTERIAL OCCLUSION
Fundus photo shows inferior
retinal whitening and yellow
plaque in the vessel at the
disk consistent with BRAO.
There is also incidentally a
choroidal nevus
OCT through the fovea shows increased reflectivity and
thickness in the inner retinal layers, particularly of the
involved nasal aspect of the macula, with more preserved
retinal architecture of the temporal aspect of the macula
Fundus photo shows retinal
whitening with classic cherry red
spot and sparing of the retina in
the distribution of the
cilioretinal artery
Horizontally oriented OCT through the macula
at presentation shows hyperreflectivity and
edema of the outer retina and retinal
thickening at the fovea and temporal aspect of
the macula sparing the nasal retina supplied by
the cilioretinal artery
Oct characteristics of arterial occlusion
• Acute
– Inner retinal edema and hyperreflectivity
– Outer retina hyporeflectivity
– Prominent middle limiting membrane
• Chronic
– Retinal atrophy with loss of inner retinal layers
Ophthalmic artery occlusion
Fundus photo demonstrates a pale optic nerve, arterial and venous attenuation, and dusky
retinal appearance. A horizontally oriented OCT through the unaffected right eye.
By comparison, the OCT from the affected left eye demonstrates diffuse retinal edema,
hyperreflectivity of the all retinal layers, and decreased retinal nerve fiber layer thickness. OCT
also demonstrates lack of photoreceptors in the inner and outer segment line
Ophthalmic artery occlusion: Summary of OCT
characteristics
• Acutely show retinal edema
• Thinning of retinal nerve fi ber layer
• Loss of IS-OS junction
• Later develop atrophy and thinning of all retinal
layers
Retinal arterial macroaneurysm
Fundus photo, demonstrating
subretinal hemorrhage along the
inferior arcade and a retinal arterial
macroaneurysm (RAM)
A horizontally oriented OCT through the patient’s
macula, demonstrating intraretinal hard
exudates, retinal edema, and subretinal fluid,
accounting for the patient’s decreased vision.
An OCT through the macroaneurysm itself,
demonstrating elevation and
hyperreflectivity of the overlying retina and
shadowing of the deeper retinal layers
A horizontally oriented macular OCT 3 months
later, showing resolution of subretinal fluid and
more numerous hard exudates
Retinal arterial macroaneurysm: Summary of OCT features
• RAM appears as dome-shaped elevation of the retina with shadowing
• May be accompanied with subretinal fluid
• After resolution of subretinal fluid, hard exudates develop
Horizontally oriented OCT through the macula of the right and left eyes shows cystic
intraretinal fluid involving the fovea of both eyes, with thinning and disruption of the IS-OS
junction, consistent with idiopathic macular telangiectasia type 2A
Macular telangiectasia: Summary of OCT characteristics
• Cystic intraretinal fluid
• Thinning and disruption of the IS-OS junction
• Foveal atrophy
Valsalva retinopathy
Fundus photograph of the affected eye
demonstrates layering subhyaloid
hemorrhage with sub-ILM haemorrhage
overlying the fovea.
OCT of the involved eye shows bullous sub-ILM
hemorrhage
Valsalva retinopathy: Summary of OCT characteristics
• Occurs after Valsalva maneuver: coughing or sneezing, bearing down,
heavy lifting, playing musical instrument
• OCT demonstrates subhyaloid or subinternal limiting membrane
hemorrhage
a b
Central Serous Chorioretinopathy
A horizontally oriented macular OCT of the left eye demonstrates subfoveal
fluid, ragged appearing photoreceptor layer in the detached aspect of the
retina, and a small focus of sub-RPE fluid
CSCR: Summary of OCT characteristics
• Subretinal fluid, pigment epithelial detachment
• Elongation of outer segments of photoreceptors
• Thickened choroid on enhanced depth imaging
• Chronically, retinal atrophy, thinning of OPL,
and disruption of IS-OS junction
Polypoidal Choroidal Vasculopathy
Fundus photo of the right eye
shows sub- RPE and subretinal
macular hemorrhage with
exudation and pigment epithelial
detachment
OCT shows dome-like elevation of the retinal
pigment epithelium with a nodular sub-RPE
appearance and hyperreflectivity
Polypoidal choroidal vasculopathy: Summary of OCT
characteristics
• Choroidal vascular abnormality
• Dome-like elevation RPE and the neurosensory retina
• Nodular appearance of choroid with characteristic hyperreflectivity
OPTICAL COHERENCE
TOMOGRAPHY
PART 2
DIABETIC MACULAR EDEMA
• The Early Treatment in Diabetic Retinopathy Study (ETDRS)
established recommendations for the treatment of DME by defining
clinically significant macular edema (CSME) as one or more of the
following:
1. Retinal thickening within 500 μ of the macular center
2. Hard exudates within 500 μ of the macular center with adjacent
retinal thickening
3. Retinal thickening one optic disc area or larger in size within one disc
diameter of the macular center
Three basic patterns:
• sponge-like retinal thickening
• cystoid macular edema,
• serous retinal detachment
An extended classification of five patterns (Kim et al. 2006 ):
1. Diffuse retinal thickening
2. Cystoid macular edema
3. Serous retinal detachment
4. Posterior hyaloidal traction
5. Posterior hyaloidal traction with tractional retinal detachment
Diffuse retinal thickening. SD-OCT showing
sponge-like swelling, low reflective, expanded
and irregular areas of the retina, and small
amount of subfoveal fluid
Cystoid macular edema. SD-OCT showing
hypo-reflective fluid-filled cystic cavities within
the outer retinal layers, separated by hyper-
reflective septae of neuroretinal tissue
Serous retinal detachment. SD-
OCT showing fluid accumulation
between the detached retinal
pigment epithelium and
neurosensory retina
Posterior hyaloidal traction. SD-
OCT showing attached posterior
hyaloid inducing some tractional
effect possibly exacerbating the
underlying edema. The
hyperreflective foci with posterior
shadowing represent small
exudates
Posterior hyaloidal traction
(more severe form)
Soliman et al. investigated the morphological patterns of DME and
identified what they believed to be progressive stages.
• Stage 1: consists of leakage on FA without any changes visible via OCT.
• Stage 2: consists of thickening of the outer nuclear layer (ONL) and/or Henle’s
layer.
• Stage 3: includes the morphological changes of stage 2 plus cystic changes of the
ONL and/or Henle’s layer.
• Stage 4: is similar to stage 3 but also includes cystic changes of the inner nuclear
layer (INL).
• Stage 5: has the appearance of stage 4 plus serous retinal detachment
Cystoid macular edema
• Persistent macular edema leads to the formation of cystoid spaces
consisting of septate pockets of fluid, primarily in the Henle’s layer
and the outer plexiform layer, but can sometimes also be found in the
inner plexiform layer.
• Perifoveal cysts tend to localize mainly to the outer retinal layers
• It results from long-standing cytoplasmic swelling of the Muller cells,
leading to their necrosis
Cystoid macular edema. SD-OCT
showing large perifoveal cysts in the
outer retinal layers. Small cysts are
seen in the inner rental layers
Cystoid macular edema. SD-OCT
showing small cysts that have
coalesced to form one large cyst
Severe cystoid macular edema.
SD-OCT showing cystic cavities
that have expanded to involve the
full thickness of the retina.
Concomitant disruption of the outer
segments can be seen
• Intraretinal and vitreous hemorrhages are hyper-reflective and may
produce posterior shadowing
• Hard exudates appear on OCT as small foci of hyperreflectivity
accompanied by posterior shadowing
• Well- demarcated foci represent small proteinaceous or lipid deposits
Found in all layers of retina ,when they become confluent, can be
appreciated as hard exudates
Hard exudates. SD-OCT showing pinpoint hyper-reflective foci .
• Percentage disruption of the Ellipzoid zone ( EZ )was recognized as an
important predictor of visual acuity among DME patients
• disruption of the ELM occur prior to disruption of the photoreceptor
EZ
• RPE cell barrier junctions and ELM share common proteins like
occludin. Decrease in the content of occludin at the level of ELM
along with swelling of Muller cells is responsible for cyst formation in
DME.
• The shortening of the photoreceptor EZ was documented to be a
secondary consequence of the fragmented ELM
SD-OCT showing intact inner segment
ellipsoid zone ( red arrow )
SD-OCT showing ( a ) focal and ( b ) global disruption of inner
segment ellipsoid zone with corresponding retinal thickness
segmentation maps
AGE RELATED MACULAR DEGENRATION
• Drusen are one of the earliest signs of age-related macular degeneration (AMD).
• They can be classified based on their fundus appearance as distinct or indistinct,
hard or soft, and small (<63 μm), medium (≥63 <125μm), or large (≥125 μm)
depending on their greatest linear dimension.
• These drusen characteristics, combined with the presence of any pigmentary
abnormalities, are important risk factors for disease progression and staging of
disease severity
• SD-OCT images can show structural changes predictive of disease
progression to late AMD, such as
• The intra- or subretinal fluid indicative of neovascular AMD,
• Hyper-reflective foci overlying drusen,
• subsidence of the outer retina, and
• heterogenous internal reflectivity of drusenoid lesions indicative of
nascent GA (nGA)
• choroidal thickness measurements below drusen of <135 μm, which
is indicative of evolving GA
Baseline visit shows a large drusenoid retinal pigment epithelial
detachment (PED) with signs predictive for pending atrophy such
as hyper-reflective foci ( arrow ) and hyper-transmissions within
the PED ( arrowhead ), presumably due to RPE breakdown.
After 1 year the large drusenoid PED has partially collapsed with
an adjacent area of outer retinal subsidence ( arrow ), a sign for
nascent geographic atrophy (nGA).
Two years after baseline the PED has completely collapsed,
leaving drusen-associated atrophy with the characteristic hyper-
transmission into the choroid ( area between arrows ) resulting
from loss of the RPE,photoreceptor, and choriocapillaris
• Drusen volume was found to be a more sensitive indicator of drusen
growth compared with area measurements
• Because area measurements tended to plateau, while drusen volume
continued to increase over time.
• Based on these findings, SD-OCT imaging is currently the most
reliable strategy for following drusen morphology and progression
over time
• It has replaced color fundus imaging for clinical trials.
The typical SD-OCT characteristics of geographic atrophy include
• Loss of the outernuclear layer (ONL)
• Loss of the outer hyperreflective bands (external limiting membrane
[ELM], ellipsoid zone, interdigitation zone, inner part of the RPE-
Bruch’s membrane [BM] complex resulting in direct apposition of the
outer plexiform layer (OPL) and BM
• A choroidal signal enhancement that is explained by increased
penetration of the light through the area of RPE atrophy
Serial SD-OCT imaging shows atrophy enlargement
over time as progressive loss of the inner part of
the RPE-BM complex, the ellipsoid zone or inner
segment outer segment photoreceptor layer (IPRL),
and the ELM, respectively, and thinning of
hyporeflective band representing the ONL at the
border of atrophy.
Moving into the atrophic lesion, the ONL
progressively thins, and the hyperreflective band
above ( OPL ) approaches the remaining
part of band 4 (assumed Bruch’s membrane)
• Atrophic areas typically enlarge over time. During this process, not all
outer retinal layers are lost at the same time.
• Loss of the ellipsoid zone may spatially precede the loss of the
remainder OCT bands.
• It is followed by attenuations in the RPE, first becoming more
transparent to light reflecting from the choroid (“choroidal signal
enhancement”) and subsequently showing visible RPE alterations
• Typically, atrophic patches initially occur in the parafoveal retina. Over
time, several atrophic patches may coalesce, and new atrophic areas
may occur.
• This can result in a horseshoe- and later ringlike confi guration of
atrophy surrounding the fovea.
• Thus, the fovea itself may remain uninvolved in the atrophic process
until late in the course of the disease, a phenomenon referred to as
“foveal sparing
• In 2010, CNV classification was adapted using FA and OCT
characteristics:
CNV lesions were divided into type 1 (corresponding to occult CNV), type 2
(corresponding to classic CNV), and type 3 intraretinal neovascularization
(retinal angiomatous proliferation, RAP)
Polypoidal choroidal vasculopathy (PCV) was added as a fourth entity,
categorized as a subtypeof type 1 CNV.
 The simultaneous presence of characteristics of types1, 2, or 3 is referred to
as mixed forms of CNV
Pigment epithelial detachment
Serous PED: SD-OCT showing dome-shaped PED
swelling
( * ) with serous content.
Fibrovascular PED:SD-OCT showing hyperreflective
content ( x ) and irregular contour.
RPE tear: SD-OCT showing RPE discontinuity ( black
arrow ) adjacent to PED after anti-VEGF treatment
• RPE tears may result during the course of the disease and after anti-VEGF
treatment.
• Eyes with fibrovascular PEDs, where the CNV is attached to the RPE, are
especially prone to RPE tears.
• SD-OCT showed that RPE tears usually occur after the first anti-VEGF treatment,
as contraction of the CNV induces tension on bare RPE areas, leading to adjacent
tears if the RPE is not stabilized by CNV or attached to Bruch’s membrane
• Post-tear OCT images reveal a discontinuous RPE layer
• The subretinal compartment is located between the neurosensory retina and the
RPE.
• Subretinal fluid can be easily detected on OCT as a hyporeflective space under
the neurosensory retina
• The optical density ratio of SRF in SD-OCT may help in distinguishing CNV from
other entities associated with CNV and fluid exudation such as central serous
chorioretinopathy
• Optical density was significantly higher in subretinal fluid associated with CNV
Subretinal Fluid
SD-OCT showing subretinal fluid ( x ) in neovascular age-
related macular degeneration.
SD-OCT shows serous pigment epithelial detachment
(PED, * ) with triangular-shaped subretinal fluid (SRF, ° )
on the left side and cystic changes (IRC) on the right side
( black arrow )
Sub retinal hyperreflective material
• SRHM appears as a subretinal hyperreflective area on OCT images
• Baseline SRHM was found to lead to an increased likelihood of scar
formation as well as a continuing loss of visual function
Subretinal hyperreflective material (SHRM). SS-OCT showing subretinal
hyperreflective material ( black arrow ) after multiple anti-VEGF injections
Intra retinal features
• Intraretinal cystoid fluid (IRC) appears as round hyporeflective spaces
of various size, predominantly in the inner and outer nuclear layers.
• IRC usually indicates exudative activity of the underlying CNV.
• Cystoid fluid resolving during the loading interval (first 3 months of
anti- VEGF treatment) is referred to as exudative ;
• Cystoid fluid persistent after the first 3 months is considered
degenerative cystoid fluid
SD-OCT showing exudative IRC ( black arrow ) with
underlying
pigment epithelial detachment before treatment.
SD-OCT showing resolved IRC one month after
antiangiogenetic
treatment.
SS-OCT showing subretinal hyperreflective material
(SHRM) with overlying degenerative IRC ( black arrow )
and outer retinal tubulation (ORT, white arrow )
Outer retinal tubulations
• ORTs are branching tubular structures found in the outer nuclear layer; however, ORT are
not pathognomonic for nAMD
• ORT is also visible in other retinal conditions such as retinitis pigmentosa and in
association with angiod streaks
• ORTs largely consist of cones in various phases of degeneration lacking outer segments
and inner segments, morphologically altered mitochondria,and external limiting
membrane delineating the luminal wall
• In SD-OCT,ORT has a tubelike appearance with hyporeflective centers and hyperreflective
border
• ORTs are commonly present outside the foveal central 1-mm area,
but progress centrally in the course of the disease
Outer retinal tubulation (ORT). SD-OCT showing hyperreflective borders ( white arrow )
as well as SRHM and overlying neurosensory atrophy after multiple anti-VEGF treatments
CENTRAL SEROUS CHORIORETINOPATHY
Acute central serous chorioretinopathy. SD-OCT
showing high height of subretinal fluid relative to the
basal diameter of the fluid
SD-OCT showing fibrin in the subretinal fluid with
focal dipping ( arrow ) of the posterior retina in acute
central serous chorioretinopathy
Fibrin in central serous chorioretinopathy.
SD-OCT scan showing subretinal fluid with
hyper-reflective material due to fibrin in acute
central serous chorioretinopathy
Chronic CSR
• IS/OS line discontinuity,
• Longer length of IS/OS disruption,
• Thinning of the outer nuclear layer, disruption in external limiting
membrane integrity,
• Presence of hyper-reflective dots(fibrin)
• RPE hypertrophy
• Subretinal deposits are composed of fragments of photoreceptor OS that
accumulate when they were unable to be phagocytosed by RPE due to presence
of neurosensory detachment, especially when the detachment is prolonged for
over 4 months
• ONL thickness, ELM continuity, IS-OS junction – indicator of visual prognosis
• ONL reflects photoreceptor volume and was found to be a more sensitive
indicator of visual outcome
SD-OCT showing shallow subretinal fluid with
subretinal hyper-reflective dots and granulated and
partially thinned retina
SD-OCT showing disruption of ellipsoid zone after
complete resolution of subretinal fluid in chronic CSC
SD-OCT of an eye with chronic CSC showing
subretinal fluid with semicircular-shaped PED with
dimpled surface
Normal retina.
An asymmetric foveal contour may occur very
early in the disease.
Hyperreflectivity within the inner retinal layers
due to capillary leakage may also be an early
finding.
MACULAR TELANGIECTASIA
Hyporeflective cavities within the inner foveal layers
may
remain without marked functional loss.
There is some discontinuity of the highly reflective
line above the retinal pigment epithelium and
thinning of the outer nuclear layer mainly centrally
and temporal to the foveal center
Collapse of such outer retinal cavities.
Atrophic outer retina with hyperreflective pigment plaques.
The inner retinal layers appear to detach from the inner
limiting membrane.
A lamellar macular hole may develop after
disruption of the inner limiting membrane
.
Localized complete atrophy of the outer retina with
reactive
pigment epithelial proliferation
MACULAR HOLE
Vitreomacular traction on the foveal center resulting in
the formation of an inner foveal cyst. The outer retina is
intact.
The inner foveal cyst is larger , but the outer retina is also
intact.
Voluminous tractional cystoid spaces in the inner part of
the fovea. There is a defect in the ellipsoid line ( black
arrow ) which seems in continuity with the posterior
hyaloid (PH) and the septa separating cystoid spaces (
large arrow )
Evolution of a vitreomacular traction toward
a full-thickness macular hole.
Vitreomacular traction with focal elevation of the foveal
floor and microcystic space ( black arrow ), elevation of
the central photoreceptors ( large arrow ) and vertical
hyperreflective line ( arrow head ).
Four months later, worsening of the vitreomacular
traction with elevation of the foveal floor ( black
arrow ) which forms the roof of a large foveal cyst.
Breakdown of the photoreceptor layer ( large arrow ). This
case can be considered as an “occult” macular hole.
Three months later, the vitreous has detached, but a
fullthickness macular hole is present
Epiretinal membrane associated with macular holes.
The epiretinal membrane is not visible on the
fundus image ( left ) but is present on the OCT scan on
the right ( arrow ).
The epiretinal membrane induces some stellar superficial
folds
Spontaneous closure of a small macular hole
with vitreomacular traction.
Small macular hole (diameter of 133 μm) with
vitreomacular traction on a small operculum.
Three months later, increase in the vitreous traction on the
operculum. At the same time, a diaphragm closes the hole
in its middle ( arrow ).
After 5 months, the posterior hyaloid has detached from
the
macula with the operculum ( black arrow ), and the
healing
process has closed the hole, leaving only a small
interruption
in the ellipsoid zone ( large arrow ).
Two years later, remodeling of the fovea: there is no more
OCT part 3
VITREOMACULAR ADHESIONS
• A specific stage of vitreous separation wherein partial detachment of
the vitreous in the perifoveal area has occurred without retinal
abnormalities
• The eyes with VMA may be subclassified by the size of the adhesion
• as FOCAL ≤ 1500 μm
• BROAD > 1500 μm.
• VMA can also be classified as
• CONCURRENT -if the OCT findings are associated with other macular
abnormalities such as age related macular degeneration or diabetic macular
edema,
• ISOLATED if no ocular disease is present
Focal VMA ( arrows ) with normal foveal
contour.
Broad VMA ( arrows ) with normal foveal
contour.
Focal VMA with concurrent cystoid macular edema (CME), drusen in a patient
with CME post-cataract extraction and a history of agerelated macular
degeneration
VITREO-MACULAR TRACTION
• The criteria to define VMT include:
1. Evidence of perifoveal vitreous cortex detachment from the retinal surface
2. Macular attachment of the vitreous cortex within a 3-mm radius of the fovea
3. Association of attachment with distortion of the foveal surface, intraretinal
structural changes, elevation of the fovea above the RPE, or a combination
thereof, but no full thickness interruption of all retinal layers
• VMT can also be subclassified as FOCAL (≤1500 μm) or BROAD (>1500 μm) and
ISOLATED or CONCURRENT similar to VMA
Focal VMT ( arrow ) with minimal distortion of
the
foveal architecture
Steep angle of VMT ( arrow ) with distortion
of the foveal architecture and an intraretinal
cyst
Concurrent VMT with temporally directed
tractional forces in an eye with cystoid
macular edema
Broad area of VMT with significant distortion of
the retinal architecture with cystic intraretinal fluid
and anteriorly directed tractional forces
EPIRETINAL MEMBRANE
• The residual vitreous may proliferate to form an epiretinal membrane (ERM)
during or after vitreous separation.
• The vitreous remnants form a scaffold for glial cells and laminocytes to attach and
proliferate leading to contracture and stress on the underlying foveal architecture
Trace ERM with slight distortion of the
foveal architecture
ERM with nonreflective pockets between the
ERM and the internal limiting membrane (
arrows ) in the parafoveal macula
ERM with loss of foveal contour and
intraretinal cysts ( arrow)
Stages of macular hole
• Stage 0 macular hole (IVTS: vitreomacular adhesion – VMA)
OCT finding of oblique foveal vitreoretinal traction before the appearance of clinical
changes.
• Stage 1a: ‘Impending’ macular hole (IVTS: vitreomacular traction – VMT) -
flattening of the foveal depression with an underlying yellow spot.
Pathologically, the inner retinal layers detach from the underlying photoreceptor
layer, often with the formation of a cyst-like schisis cavity
• Stage 1b: Occult macular hole (IVTS: vitreomacular traction – VMT) is seen as a
yellow ring .
With loss of structural support, the photoreceptor layer commonly undergoes
centrifugal displacement
• Stage 2: Small full-thickness hole (IVTS: small or medium FTMH with VMT)
consists of a full-thickness hole less than 400 μm in diameter
stage 1b – vitreomacular traction
– shows attachment of the posterior hyaloid to the fovea,
separation of a small portion of the sensory retina from the
RPE in the foveolar region and intraretinal cystic changes
stage 2 – small FTMH with vitreomacular traction
(VMT) – shows attachment of the vitreous to the lid of the hole
and cystic change
• Stage 3: Full-size macular hole (IVTS: medium or large FTMH with VMT). A full-
thickness hole greater than 400 μm in diameter, there is persistent parafoveal
attachment of the vitreous cortex.
• Stage 4: Full-size macular hole with complete PVD (IVTS: small, medium or large
FTMH without VMT).
stage 3 – medium or large FTMH
with VMT – with intraretinal cystic spaces
stage 4 – large FTMH with no VMT – shows a full-
thickness macular hole with intraretinal cystic spaces and
an overlying operculum (sometimes termed a pseudo-
operculum)
MACULAR HOLE- METHODS OF MEASURING
MACULAR HOLE DIAMETRE
• Calipre
• Measured at the narrowest hole point in the mid-retina, using the OCT caliper
function, as a line parallel to the retinal pigment epithelium (RPE)
• It corresponds to a line drawn between the terminations of the detached
photoreceptor outer segments
• 250 μm or less-50 % - medical vitreolysis
• More than 250 -surgically
MACULAR HOLE CLOSURE AFTER SURGERY
• Hyporeflective defects of the outer fovea in the early postoperative
period - named as outer foveal defects, outer foveal cysts, foveal
detachment, or foveal bridge
• Two groups :
1- disruption of ellipsoid zone
2- foveal detachment-elevation of photoreceptor layer
Healing process
• in large MHs - glial cell proliferation above the RPE with closure from the outer
retina first
• Small MHs - an early closure from the inner retina first
• Subretinal fluid and outer retina changes seem to be a common finding after
ocriplasmin injection and are more often seen in case of successful ocriplasmin
treatment
• The ablation of the ILM results in the dissociation of the optic nerve
fiber layer (DONFL) visible on blue reflectance photographs
• The observation of DONFL after MH surgery means that the ILM has
been peeled off
The arcuate striae of the DONFL ( arrows ). Deep dimples in the
retinal nerve fiber layer ( arrows ) corresponding to the DONFL
After macular hole surgery
Preoperative OCT B-scan shows a full-thickness MH without
vitreomacular traction. The MH diameter was of 231 μm
One month after surgery: persistent foveal detachment associated
with disruption of the ellipsoid zone (EZ)
Three months after surgery: persistent foveal disruption of the EZ.
Six months after surgery: recovery of the photoreceptor layer
integrity
After medical vitreolysis
Initial OCT B-scan shows a full-thickness macular hole (MH) with
vitreomacular traction (VMT). The MH diameter was of 381 μm
One month after the injection: persistent FD with a base diameter
measured at 2205 μm, MH base diameter measured at 515 μm
Three months after the injection: persistent FD with a base
diameter measured at 1813 μm, MH base diameter measured at
536 μm,
One month after secondary surgery: MH closure and parafoveolar
FD with a base diameter measured at 670 μm
ROD CONE DYSTROPHY-RETINITIS
PIGMENTOSA
• Characterised by retinal degeneration and progressive loss of rod photoreceptors,
which may be accompanied by variable degree of cone photoreceptor loss.
Spectral domain OCT of the patient above that showed
( 1 ) cystoid macula oedema,
( 2 ) disruption in the EZ zone and loss of ELM which corresponds to impaired visual
acuity, hyper-reflective foci (HFs) in the ONL
( 3 ) HFs in the inner nuclear layer
Overall OCT imaging shows
• disruption in the EZ,
• loss of the ELM
• thinning of the inner retinal layers correlate to visual impairment in patients with
RP.
• Choroidal thinning was also observed in both the subfoveal and peripheral retina;
however there was no correlation to visual acuity
CONE DYSTROPHY
Characteristic clinical signs include
• The presence of a bull’s eye appearance with a dark central area at the fovea
with surrounding pale zone .
• Macular retinal atrophy and pigment deposits.
• In the later stages, if there is rod involvement, vessel attenuation and bony
spicule pigmentation in the periphery may develop.
• Severe diffuse chorioretinal atrophy,
• Temporal disc pallor
• Optic atrophy
Spectral domain OCT which showed complete loss of the EZ and ELM in the macular
regions
Optical coherence tomography findings
• Loss of the interdigitation zone (IZ)
• EZ loss
• ELM loss
• Thinning of the RPE layer
Stargardt Disease and Fundus Flavimaculatus
A fundus photo and AF image of a Stargardt disease -Pisciform flecks can be
seen on the posterior pole with macula atrophy. The area of macula atrophy
appears hypo-AF whereas flecks showed varying degree of autofluorescence
Spectral domain OCT which showed
( 1 ) demarcation of the parafoveal region where the EZ and ELM bands are poorly differentiated
( 2 ) irregularity in the neurosensory retina with loss of the EZ and ELM bands affecting the centre of the
fovea.
Hyper-reflectivity of the RPE is noted throughout the macula.
( 3 ) hyper-reflective spots on the ONL corresponding to the flecks
Best’s Vitelliform Macular Dystrophy
Five stages:
(1) previtelliform stage (normal macula or subtle RPE changes),
(2) vitelliform stage (well- defined “egg yolk” lesion),
(3) pseudohypopyon stage (the yellow material settles inferiorly),
(4) vitelliruptive stage (a scrambled egg lesion with partial resorption of the
material)
(5) atrophic stage (macular atrophy)
Previtelliform stage:
• A thickened middle highly reflective layer (HRL) between the RPE/ Bruch’s
complex and the EZ .
• The corresponding ONL starts to thin out at the fovea so the overall retinal
thickness is maintained.
Vitelliform stage
( 1 ) a dome-shaped accumulation of hyper-reflective material between the RPE layer and the
photoreceptor layer.
( 2 ) The ONL is thinned over the contour of the elevation,
( 3 ) the middle highly reflective layer (HRL) was seen to be elevated at the margins of the dome with
thickening
and fragmentation above the dome elevation but intact and thickened along the rest of the retina.
Pseudohypopyon stage
( 1 ) a localised neurosensory retinal detachment
( 2 ) clumps of hyper-reflective subretinal material seen at the base of this detachment.
( 3 ) The ONL was thinned with focal regions of heterogenous reflectivity
( 4 ) a pigment epithelial detachment
Vitelliruptive stage
( 1 ) irregular middle HRL with interspersed with focal
areas of EZ disruption
( 2) thinning of the ONL above the lesion.
Two types of hyper-reflective mounds at the level of the
RPE/Bruch’s complex were observed.
( 3 ) The first type of mound was associated with
shadowing of underlying choroidal structures.
( 4 ) a hyper-reflective spot of partially resorbed vitelliform
material.
( 5 ) The second type of RPE mound that was associated
with the overlying collapse of the outer retinal layers,
hyper-reflectivity of the underlying choroid
( 6 ) disruption of the EZ and middle HRL over the
area of the lesion
Atrophic stage
• Overall thinning of neurosensory layers
• Loss of photoreceptors
• Complete loss of EZ and middle HRL
• Thinning of overlying ONL
X-Linked retinoschisis
• characteristic macular involvement with splitting of the nerve fibre layer which
sometimes may appear as a spoke-like pattern
FAF- Hyoauto fluroscence
Spectral domain OCT image showing foveal macula
schisis affecting the
( 1 ) inner nuclear layer (INL)
( 2 ) outer nuclear layer, with characteristic cystoids
spaces
Vogt-Koyanagi- Harada (VKH) Syndrome
SD-OCT shows serous detachment of the retina ( white star ) and loculated
intra-retinal fluid divided by subretinal strands ( white arrows )
SD OCT Dalen-Fuchs nodule, a dome-shaped elevation that is associated
with disruption of overlying retinal pigment epithelial layer
Solar burn
• A tiny punched- out disruption of the pigment epithelial layer on OCT is pathognomonic of solar
burn.
• Other OCT changes
- transient increase in foveal reflectivity
- disruption of the inner and outer segments of the photoreceptor layers with or
without underlying RPE defects.
OCT
Part 4
DRIL (DISORGANISATION OF RETINAL INNER
LAYERS)
• DRIL is observed on OCT as the difficulty to identify limits between
the ganglion cell-inner plexiform layer complex, inner nuclear layer,
and OPL
• Assessed independently of intraretinal cysts, epiretinal membrane,
subretinal fluid, or any other OCT-evident pathology.
• DRIL in the 1,000-μm foveal area was associated with worse VA
• It represents an interrupted transmission pathway between the
photoreceptors and ganglion cells - due to the disruptions of synaptic
connections of amacrine, bipolar, and horizontal cells
• Neuroglial degeneration as sequelae of inflammation, ischemia, or
both may occur in macular edema and manifest as DRIL
• Reversibility potential of DRIL declines with increase duration
Optical coherence tomography shows uveitic CME with intraretinal cysts,
epiretinal membrane, and disorganization of retinal inner layers (white arrow)
There is cystoid macular edema on optical
coherence tomography without significant
disorganization of retinal inner layers (DRIL)
Following treatment , the macular edema resolves
and there is no residual DRIL. The visual acuity
improved from 6/18 to 6/6
Diabetic macular edema (DME) and visual acuity of 6/18
Following treatment of DME with anti-VEGF injections,
there is extensive DRIL, limiting the visual recovery to
6/12 despite resolution of the DME and an intact
external limiting membrane and ellipsoid zone
OUTER RETINAL TUBULATIONS
• ORT is a degenerative process of outer retinal reorganization located primarily in
eyes where the macula is disrupted and RPE is absent.
• ORTs are ovoid or circular hyporeflective lesions surrounded by a hyperreflective
ring
• Located in the ONL
• In advance retinal disease -AMD, choroidal nevus, pseudoxanthoma elasticum ,
multifocal choroiditis with uveitis and CNMV, choroideremia ,and enhanced S-
cone syndrome
• Cones in various phase of degeneration
• The hyperreflective border-EML
• Mitochondria migrating from the inner segments to the cell bodies of
degenerating cone photoreceptor
• Different shapes of ORTs: open, closed, and branching
• ORT s/o poor visual outcome
• Should be differentiated from intraretinal or subretinal fluid cysts located at the
outer retinal layers.
• Intraretinal fluid cysts in cystoid macular edema (CME) have the arrangement as a
petaloid manner, while ORTs are randomly arranged at the macula.
• Pseudocysts are usually distinguished from ORTs because they are located in the
inner nuclear layer.
• Retinal tubulations are always located at the level of the ONL
• The recognition of ORT may avoid unnecessary treatment because it is more
refractory to anti-VEGF treatment compared to the cysts
Outer retinal tubulation (ORT). SD-OCT showing hyperreflective borders ( white arrow )
as well as SRHM and overlying neurosensory atrophy after multiple anti-VEGF treatments
DOME SHAPED MACULA
• Gaucher in 2008
• An inward protrusion of the macula as visualized by OCT
• Different patterns : a horizontal or vertical oval-shaped dome and a round dome
• Myopia with staphyloma
• Hypermetropia, emmetropia, serous retinal detachment ,PED ,CNVM
• B/L -50-80 %
Hypothesis proposed
• An adaptive mechanism to minimize defocus in highly myopic eyes
• Vitreomacular traction ,
• Ocular hypotony
• Resistance of the sclera to the staphylomatous deformation
• Localized choroidal thickening ,different degrees of scleral thinning in the foveal
region – circulatory problem in choroid with resultant increase in choroidal
pressure
• It may be due to RPE dysfunction or as a consequence of not uniform scleral
thickness that can affect choroidal fluid
• Can sometimes resolve spontaneously
• Subretinal fluid may become chronic, may not resolve
FOCAL CHOROIDAL EXCAVATION
• Jampol et al 2006
• Focal concavity at the RPE choriocapillaris line in the choroid in an OCT
scan, with a good visual acuity, and normal appearance of the overlying
retina.
• It affects Bruch’s membrane- RPE-choriocapillaris line complex line and
photoreceptors
• RPE, Bruch’s membrane, EZ line, ELM, and ONL- Involved in excavation
• CSCR, AMD, ERM, CNVM, PCV, VKH, punctate inner choroidopathy, focal
retinochoroiditis, foveo schisis, MEWDS, multifocal choroiditis, and
combined hamartoma of the retina and RPE
• Conforming FCE- lesions without separation between the two layers
and the photoreceptors adapt to the contour of the RPE layer.
• Nonconforming FCE- photoreceptors appeared to be detached from
the RPE showing a hyporeflective space
• Three morphological patterns :
• bowl shaped,
• cone shaped,
• mixed shaped
OCT-conforming type OCT-non conforming type
• Generally stable
• Sometimes may develop in CNVM
• PATHOGENESIS
• Congenital malformation
• Due to the failure of chorioretinal development in the embryonic stage, micro
staphyloma, congenital focal choroidal dysplasia, focal choroidal atrophy
caused by congenital or acquired choroiditis
MACULAR HOLE INDICES
Hole form factor = c+d/a
Macular hole index = height/base
HHF > 0.9 – better prognosis
MHI > 0.5 – better prognosis
• Diameter hole index (DHI) = minimum inner hole diameter/maximum base
diameter
• Tractional hole index = maximal height/minimum inner hole diameter
• Macular hole angle = Angle formed by the intersection of nasal temporal arm line
and maximum basal diameter
Type 1 (a, b) closure - relative restoration of the outer retina
Type 2 (c, d) closure - persistence of a central neurosensory retinal defect
Imai et al categorised the successfully repaired macular hole into three patterns
with OCT;
• U-type (normal foveal contour)
• V-type (steep foveal contour)
• W-type (foveal defect of neurosensory retina).
Postoperative visual acuity was well correlated with these patterns (U > V > W).
Type 1 closure may correspond to a U or V pattern, and type 2 closure to a W
pattern.
ELM integrity
ELM integrity good –ELM intact
upto hole edges in both edges
ELM integrity partial-ill defined or
discontinuos
MYOPIC MACULAR PATHOLOGIES
• Macular holes with or without retinal detachment,
• Myopic foveoschisis,
• Choroidal neovascularization (CNV),
• Chorioretinal atrophy.
• The foveal thickness is similar to that in emmetropic eyes
• However, the choroid and the sclera are extremely thin
• Avg subfoveal choroidal thickness:
emmetropic eye-287 microns
myopic eye-100 microns
MYOPIC FOVEOSCHISIS
• characterized by retinoschisis and subsequent retinal detachment
specific to highly myopic eyes.
• 10 in 32 eyes with high myopia
• Due to traction-posterior hyaloid, ERM, rigid ILM, vascular traction
• 50 % of patients have a retinal detachment and/or macular hole
formation within 2–3 years of follow-up without treatment
The typical appearance of an ILM detachment
( arrows ). The ILM is separated from the
retinal layers, and a column-like structure is
seen with bridging thin glial tissue
An impending retinal detachment in myopic foveoschisis.
The fovea is highly stressed by the vitreous traction, and
the photoreceptors at the fovea are detached
MYOPIC CHOROIDAL NEOVASCULARISATION
• Upregulation of VEGF (disturbed circulation-local ischaemia)
• Lacquer cracks
• Choroidal thinning
• mCNV is normally small and grayish at the macula or adjacent to the crescent of
the optic nerve head.
• This lesion is often pigmented, the so called Foster-Fuchs spot
• Occult CNM and PED are rarely present
A typical case of mCNV. A fundus photograph shows a whitish
subretinal lesion with a poorly defined border at the fovea ( arrow ).
A SD-OCT image clearly shows CNV under the retina ( arrow ), and
subretinal fluid, which is a sign of activity
SUBMACULAR HAEMORHAGE WITH OR WITHOUT CHOROIDAL
NEOVASCULARISATION
• Younger patients
• Based on axial length elongation, and the hemorrhage results from a break in
Bruch’s membrane or RPE
• The hemorrhage is not accompanied by SRF
• OCT shows a uniform intensity under the retina, while mCNV shows varying
degrees of intensity inside
A typical fundus photograph and OCT image of a myopic subretinal hemorrhage
without CNV. The hemorrhage appears as a uniform lesion under the retina. In
addition, the SRF and fibrin formation is minimal, which is important to rule out
OTHER ASSOCIATED CONDITIONS
• MACULAR HOLE WITH OR WITHOUT RETINAL DETACHMENT
• DOME SHAPED MACULOPATHY
HYPERREFLECTIVE RETINAL SPOTS
• Dots are small in size (20–40 μm in diameter), punctiform hyperreflective
elements (equal or higher reflectivity than the RPE band),
• Distributed throughout all retinal layers.
• HRS are mainly located at the border of the ONL and within the OPL
• Indicates aggregates of microglial cells- retinal inflammatory activity
• Lipofuscin granules or lipoprotein deposits due to breakdown of blood retinal
barrier
• May be formed from the macrophages that phacocytosed the degenerated
photoreceptors
• DME, CNVM, RVO, CSCR, PFT
• DME with a high number of HRS functional results (better retinal sensitivity)
• In DME, if large number of HRS are present-treat with steroids rather than anti
VEGF
LAMELLAR HOLE ASSOCIATED EPIRETINAL MEMBRANE
PROLIFERATION(LHEP)
• Pang et al
• Thick homogenous material of medium reflectivity on the epiretinal surface at
the margins of lamellar defects.
• Arise from muller cells proliferation
• Do not exert traction
• LHEP specimen revealed – retinal glial cells that reacted positively with antiglial
fibrillary acidic protein and anti-glutamine synthetase, a muller cell specific
antibody
• Lamellar macular holes with LHEP are more likely to have larger tissue defects,
disruption of the ellipsoid zone, and poorer mean visual acuity than lamellar
macular holes with tractional ERMs.
• But the visual outcome after surgery is similar to visual outcome after ERM
removal
RETICULAR PSEUDODRUSCEN
• Arnold et al
• located in the subretinal space.
• yellow interlacing network 125–250 μm wide appearing first in the superior
outer macula and then extending circumferentially and beyond
• B/L -50-84 %
• strongly associated with late AMD, especially geographic atrophy, type 2
and 3 choroidal neovascularization
• Thinning of choroid
• RPD are histologically characterized by the accumulation of material
in the subretinal space extending up to the outer segment and even
in the outer nuclear layers.
3 different stages:
1) diffuse accumulation of granular hyperreflective material between
RPE and EZ,
2) mounds of material bowing and distorting EZ profile
3) conical amassing with focal interruption of EZ.
1,2-diffuse accumulation of granular hyperreflective material between RPE and EZ
3-conical accumulations with focal interruption of EZ
4- mounds of material bowing and distorting EZ profile
ECTOPIC INNER FOVEAL LAYERS IN ERM
OCT images of epiretinal membranes
according to the staging system by Govetto et
al.
. Stage 1: negligible morphological or
anatomical disruption, retinal layers, and foveal
pit are identified;
Stage 2: characteristic stretching of the outer
nuclear layer, absence of foveal depression,
retinal layers are identified;
Stage 3: continuous ectopic inner foveal
layers crossing the central foveal area,
absence of foveal depression, retinal
layers are identified;
Stage 4: significant retinal thickening,
remarkable anatomical disruption of the
macula, continuous ectopic inner foveal
layers crossing the entire foveal area,
retinal layers are significantly distorted,
and foveal pit is absent
• Continuous EIFL was defined on OCT as the presence of a continuous
hypo- or hyper-reflective band, extending from the inner nuclear
layer and inner plexiform layer across the foveal region
• discontinuous ellipsoid band in the foveal region
• The presence and thickness of EIFL and central foveal thickness are
key indicators of visual acuity loss in eyes with ERM
• Cotton ball sign and microcystoid retinal change were previously
thought to be important prognostic signs
• cotton ball sign was defined as a round or diffuse hyper-reflective
area between the ellipsoid zone and the cone outer segment tip line
at the central fovea
• microcystoid retinal changes were described as the presence of
multiple, small hypo-reflective roundish-elliptical cystoid spaces in
retinal layers.
SUBRETINAL HYPERREFLECTIVE
MATERIAL(SHRM)
• SHRM is a morphological feature seen on OCT as hyperreflective
material located in subretinal space
• SHRM (both greater height and width)- worse outcome
• After anti-VEGF initiated ,within first 4 weeks SHRM decree rapidly
,thereafter slowly
• SHRM is composed of fluid ,fibrin blood ,scar ,CNV
• Initiation of anti VEGF decrease endothelium permeability-decrease
vascular leakage, decrease fluid component
• Persistent SRHM-poor visual acuity
• Thick SRHM – toxic effect to photoreceptors, decrease normal
photoreceptor function
• Persistent SRHM- scar risk factor
PERIFOVEAL EXUDATIVE VASCULAR
ANAMOLOUS COMPLEX
• macular disorder defined by the presence of a unilateral, isolated,
perifoveal aneurysm, in otherwise healthy patients
• 45-65 years of age
• May be coincident with myopic degeneration or AMD
perifoveal isolated aneurysm, similar to a large microaneurysm, associated with small retinal
hemorrhages, intraretinal exudation, and, in some cases, hard exudates
OCT - round hyperreflective lesions corresponding to the perifoveal vascular alteration .
3 lesions (white arrows) with no detectable flow in the superficial capillary plexus
(first pic), but with detectable flow in the deep capillary plexus (second pic) and avascular
slab (third pic)
• Vision decline –due to CME
• typically located at the level of the deep retinal capillary plexus,but can
also occur in superficial and avascular zone
• Etiology-idiopathic
• may be the result of a focal and progressive endothelial cell injury in
patients without other retinal vascular diseases
• Unresponsive to anti VEGF
PARACENTRAL ACUTE MIDDLE MACULOPATHY
• Sarraf et al 2013
• SD OCT finding
• It is characterized by hyperreflective band-like, multiple or isolated
focal or diffuse lesions visible at the level of the inner nuclear layer
(INL) in patients presenting with acute onset of negative scotoma.
• It is descriptively termed PAMM due to parafoveal position of the
causative grey lesions with near-infrared reflectance imaging,
• the SD-OCT localization of involvement to the middle layer (INL) of
the retina.
ETIOLOGY
• Unknown ,may be vascular
• Vasopressor exposure- caffeine ,OCPS
• Diabetic retinopathy ,hypertensive retinopathy ,CRVO ,sickle cell
retinopathy
Microvascular ischaemia-Localized retinal capillary ischemia at the level
of intermediate plexus.
• 50s-60s
• Sometimes young
• Symptoms- negative scotoma
• Indirect ophthalmoscopy- appears normal
• Infrared imaging - subtle whitish parafoveal lesions deeper within the
retina, smoother in contour and greyer than cotton wool spots.
• Emboli may be present at the base of a focal PAMM lesion or along
retinal arterial branches and may be visible on high-magnification
fundoscopy.
• OCT -the acute lesions appear as placoid, hyperreflective bands at
the level of the INL, sparing the outer retina
• showing corresponding hypoautofluorescence on fundus
autofluorescence
• hyporeflective and well-demarcated on near infra-red reflectance.
• Later thinning and atrophy of the affected INL ensues - permanent
visual deficit
MANAGEMENT
• systemic or cardiovascular risk factors, such as arterial hypertension,
dyslipidemia or diabetes, is advisable.
• Diffuse lesions can harbour an occult central retinal artery occlusion
and, in such instances, is mandatory to rule out underlying carotid
disease (carotid ultrasound imaging) or giant cell arteritis (ESR, CRP)
ACUTE MACULAR NEURORETINOAPTHY
• presence of intraretinal, reddish-brown, wedge-shaped lesions, the apices
of which tend to point toward the fovea.
• Acute onset of paracentral scotomas corresponding to the clinically
evident lesions
• As it is parafoveal, generally vision not affected
• White female in 30s
• B/L in 45% cases
ETIOLOGY
• Microvascular abnormality in deep capillary plexus
• Fever (Flu, enteritis, upper respiratory tract infection, pharyngitis, bronchitis, )
• Oral contraceptive pills
• Hypotension/shock due to several causes (post-partum, post-surgery, trauma etc)
• Pro-thrombin associated antiphospholipid antibodies
• Pre-eclampsia
• Sinus infection
SYMPTOMS
• Scotoma/'shadows'/'spot’
• Mild decreased visual acuity ~ 6/18
• Floaters
• Metamorphopsia
• Photopsia
• Fundus- lesions become visible from 3 days to 2 months after
symptom onset.
• Classic retinal lesions involve one or more reddish brown petalloid
lesions that surround the fovea. This corresponds to amsler grid
findings of scotoma.
• Faint intra retinal hemorrhages can be seen.
SD-OCT-
• Hyper reflective plaque between the outer plexiform and outer nuclear
layers.
• Disruption of ellipsoid zone/interdigitation zone
• In late stage, thinning of the outer nuclear layer may be seen
OCT-A reveals reduced flow signals in deep retinal capillary plexus, suggesting focal
ischemia photoreceptor axons in the outer plexiform layer.
A
TYPES OF AMN
Type 1 Type 2
Paracentral Acute Middle Maculopathy (PAMM)
Typical Acute Macular Neuroretinopathy/Acute
Macular Outer Retinopathy (AMOR)[4]
inner retinal involvement outer retinal involvement
hyperreflectivity superficial to the outer plexiform
layer (OPL-INL) on SDOCT
hyperreflectivity deep to the outer plexiform layer on
SDOCT
inner nuclear layer (INL) involved- may lead to
thinning of INL
outer nuclear layer (OPL-ONL) involved- may lead to
thinning of ONL
PACHYCHOROID
• Using EDI-OCT or SS-OCT, the choroid–scleral interface (CSI) can be
delineated
• Subfoveal choroidal thickness in normal subjects has been reported
to be between 191–350 μm
• May be influenced by age,sex ,diurnal variation,regional variation
• Healthy eye may have pachychoroid or uncomplicated choroid
• pachyvessels can also be distinguished from normal choroidal vessels as
they do not taper toward the posterior pole, but retain their large caliber
and terminate abruptly. This feature is best appreciated using en face OCT
or ICGA
• abnormally dilated Haller’s layer vessel
• Attenuated inner sattlers vessels
• In severe cases, the Haller’s layer vessel may occupy the full extent of the
choroidal thickness.
• Chronic - reduction in inner choroidal volume resulting from atrophy
of the latter, it is possible for an eye to have normal or even
subnormal choroidal thickness but still exhibit the pachychoroid
disease phenotype .
• Therefore, in addition to evaluating choroidal thickness, detailed
examination of the morphology of the choroid
• On ICGA- In addition to choroidal venous dilatation, choroidal filling
defects, delayed arterial filling in the early phase, and focal or
punctate hyperfluorescence have been observed in eyes-s/o choroidal
ischaemia
• Hyperfluroscence- corresponding to hyperpermeability
Diffuse thickening and increased subfoveal choroidal thickness , or focal thickening ( hollow
arrowheads). In some eyes, an irregular elevation of the retinal pigment epithelium (RPE)
can be seen to overlie these choroidal abnormalities (white arrowheads).
Pachyvessels can be identified as
a choroidal vessel with enlarged
caliber ( *) which can occupy
almost the entire thickness of the
choroid.
h-attenuation of flow signal (dash white outline) within the choriocapillaris
I-attenuation of vessels within the inner choroid
J-dilated outer choroidal vessels
Pachyvessels can also be seen as dilated submacular vessels which do not taper toward the posterior pole on
ICGA as in(d) or on en face OCT as in (e). These pachyvessels may be distributed in a diffuse as in (d) or patchy
manner (e). Pachyvessels usually exhibit choroidal vascular hyperpermeability with indocyanine green
angiography (ICGA)

Optical coherence tomography)(OCT)

  • 1.
  • 2.
    PHYSICS • WAVELENGTH –The distance over which the wave’s shape repeats
  • 3.
    PHYSICS • FREQUENCY –It is the number of occurrences of a repeating event per unit time. • Wavelength is inversely proportional to frequency
  • 4.
    INTERFERENCE In physics ,interference is a phenomenon in which two waves superimpose to form a resultant wave of greater or lower amplitude
  • 5.
    • In physicstwo waves are coherent if they have a constant phase difference and same frequency and are non coherent if there is a constant changing phase difference COHERENCE
  • 6.
    TOMOGRAPHY • Tomogram –It’s a two-dimensional image representing a slice or cross-sectional image • Combining these tomograms we get a three- dimensional structure of the object which is being analyzed
  • 7.
    • OCT isa non contact, non invasive, micro resolution cross-sectional study of retina which correlates very well with the retinal histology. • Principle: Interferometry - measures echo delay(time) and intensity of reflected light from target structure. • Wavelength used : posterior segment - 840nm anterior segment -1310 nm
  • 8.
    Theprocessissimilar to thatof ultrasonography,except that invisible light is usedinstead of soundwaves. Analog to ultrasound
  • 9.
    MICHELSONS INTERFEROMETRY • semitransparentmirror • two equidistant mirrors • summed up by a detector. • light wave in same phase; • if one of the mirrors is moved -phase difference. • This phase difference then produces an interference pattern at the level of the detector.
  • 11.
    OCT MACHINE • Alow-coherence infrared (830 nm) light coupled to a fiber optic system. • Reflected by structures in different retinal tissue layers. • The distance between the beam splitter and reference mirror is continuously varied. • Interference pattern • Integrates data points over 2 mm depth
  • 12.
    HOW DOES ITWORK? OCT process these signals electronically (based on the different index of light refraction of each tissue) Then displays it on the computer giving precise information on tissue distance or thickness Once the 1st Axial scan has been made, then the optical beam moves transversally, making successive rapid axial scans which represents a cross- sectional image of the ocular tissue When all A-scans are combined into one image, the image thus formed has a vertical (axial) resolution of 10 microns transverse resolution of 20 microns
  • 13.
    • Colour coding –White & Red : highly reflective structures – Black & blue : low reflective structures – Green : intermediate reflective structures.
  • 14.
    HOW TO INTERPRETAN OCT IMAGE ? BASIS for interpretation • The light beam of the OCT can be transmitted, absorbed or scattered. • The physical basis of OCT imaging depends on the contrast in optical reflectivity between different tissue microstructures 14
  • 15.
    • The proportionof incident light which is directly back scattered by a tissue structure defines the reflectivity of that structure . • Optical scattering (back reflection) occurs with heterogenous or homogenous tissues with different refractive index such as nuclei, cytoplasm, cell membrane, nerve fibres, blood vessels etc 15
  • 16.
    • On thisbasis, cross-sectional images of reflectivity in tissues are obtained that can differentiate internal tissue structure. • When a light is STRONGLY absorbed or scattered from tissues such as hemorrhage then it loses all of its intensity and we observe ‘shadowing ‘of the corresponding deeper structures. 16
  • 17.
    Qualitative analysis :includes • Description by location • Description of form and structure • Identification of anomalous structures • Observation of reflective qualities of retina 17
  • 18.
    Quantitative analysis :includes • Measurements of retina : Retinal thickness and volume , RNFL thickness • This is possible because oct software is able to “identify”2 key layers of retina-NFL and RPE. 18
  • 19.
    ADVANTAGES • Rapid • easy(very short learning curve) • non-contact • noninvasive • sensitive (7-10 microns resolution) • highly reproducible and repeatable. • qualitative and quantitative analysis • allows storage of data in memory and comparison of scans
  • 20.
    LIMITATIONS • corneal edema, •significant lens opacity, • vitreous opacity and hemorrhage. • exploration is limited to the posterior pole
  • 22.
  • 24.
  • 26.
    SPECTERAL DOMAIN OCT TIME DOMAINOCT BENEFIT OF SPECTERAL DOMAIN LIGHT SOURCE 840 nm Broader Bandwidth 820 nm Provides higher resolution DETECTOR Spectrometer Single detector No moving parts – faster acquisition less motion artifacts AXIAL RESOLUTION 6-7 microns 10 microns Better visualization of retinal layers and pathology TRANSVERSE RESOLUTION 10 microns 20 microns SCAN DEPTH 2mm 2mm Slightly better penetration of light SCAN SPEED About 28,000 A- scans per second 400 A-scans per second Better registration , 3- D scanning and analysis
  • 28.
    Resolutionof anOCT • Resolution– Is the capability of the sensor to observe or measure the smallest object clearly with distinct boundaries. • Image resolution is an important parameter that determines the size of the smallest feature that can be visualized • Axial resolution is governed by -Wavelength and -Bandwidth of the light source -Long wavelength - visualisation of choroid, laminar pores, etc
  • 29.
     Transverse resolution- Based on spacing of A- scans i.e. spot size Since there is a trade-off between spot size and depth of focus , most commercial OCT systems use a 20 micron transverse resolution in order to have a sufficient depth of focus.
  • 31.
    Time domain OCT -OCT1(1996) - OCT2 (2000) -Stratus OCT (2002) Fourier domain OCT -Cirrus HD OCT (Zeiss) -Spectralis(Heidelberg) -RTVue -100 (Optovue ) -3D OCT 2000(Topcon)
  • 32.
    Normal Anatomy ILM, RNFL,OPL,IPL Hyper Reflective GCL, INL,ONL Hypo Reflective Retinal Vessels Circular hyper reflective
  • 33.
    Commonly used protocolsfor macular analysis: Macular Cube Radial line scan Raster Scan
  • 34.
    OCT for Posteriorsegment imaging Thecolor codes used depict varying thickness Blue : 150-210 microns, green : 210-270 Yellow : 270-320 Orange : 320-350 red : 350- 470 white : > 470 microns
  • 35.
    OCT OF VASCULARDISORDERS
  • 36.
    RETINAL VEIN OCCLUSION Afundus photo of the patient’s left eye demonstrates a BRVO. Numerous intraretinal hemorrhages, cotton wool spots, and dilated, tortuous vessels along the inferior arcade are noted. An OCT horizontally oriented through the patient’s macula at presentation, demonstrating macular edema with cystic fluid in multiple levels of the retina
  • 37.
    Fundus photo showsa hemi retinal vein occlusion (HRVO) with numerous intraretinal hemorrhages in the inferior half of the retina. A horizontally oriented macular OCT at presentation, with cystic fl uid in the outer retinal layers and subretinal fluid.
  • 38.
    OCT at 1month after initial presentation, demonstrating resolution of cystic intraretinal fluid with development of exudates within deeper retinal layers and persistent subretinal fluid An OCT 1 year after presentation after the patient was treated with intravitreal Avastin, demonstrating resolution of subretinal fluid as well as temporal macular retinal nerve fiber layer thinning and disruption of the inner segment- outer segment junction (IS-OS junction) temporal to the fovea
  • 39.
    BRVO/CRVO : Summaryof OCT characteristics • Cystoid macular edema • Serous retinal detachment • IS-OS disruption • External limiting membrane disruption • Chronically, sectoral nerve fi ber layer thinning
  • 40.
    BRANCH RETINAL ARTERIALOCCLUSION Fundus photo shows inferior retinal whitening and yellow plaque in the vessel at the disk consistent with BRAO. There is also incidentally a choroidal nevus OCT through the fovea shows increased reflectivity and thickness in the inner retinal layers, particularly of the involved nasal aspect of the macula, with more preserved retinal architecture of the temporal aspect of the macula
  • 41.
    Fundus photo showsretinal whitening with classic cherry red spot and sparing of the retina in the distribution of the cilioretinal artery Horizontally oriented OCT through the macula at presentation shows hyperreflectivity and edema of the outer retina and retinal thickening at the fovea and temporal aspect of the macula sparing the nasal retina supplied by the cilioretinal artery
  • 42.
    Oct characteristics ofarterial occlusion • Acute – Inner retinal edema and hyperreflectivity – Outer retina hyporeflectivity – Prominent middle limiting membrane • Chronic – Retinal atrophy with loss of inner retinal layers
  • 43.
    Ophthalmic artery occlusion Fundusphoto demonstrates a pale optic nerve, arterial and venous attenuation, and dusky retinal appearance. A horizontally oriented OCT through the unaffected right eye. By comparison, the OCT from the affected left eye demonstrates diffuse retinal edema, hyperreflectivity of the all retinal layers, and decreased retinal nerve fiber layer thickness. OCT also demonstrates lack of photoreceptors in the inner and outer segment line
  • 44.
    Ophthalmic artery occlusion:Summary of OCT characteristics • Acutely show retinal edema • Thinning of retinal nerve fi ber layer • Loss of IS-OS junction • Later develop atrophy and thinning of all retinal layers
  • 45.
    Retinal arterial macroaneurysm Fundusphoto, demonstrating subretinal hemorrhage along the inferior arcade and a retinal arterial macroaneurysm (RAM) A horizontally oriented OCT through the patient’s macula, demonstrating intraretinal hard exudates, retinal edema, and subretinal fluid, accounting for the patient’s decreased vision.
  • 46.
    An OCT throughthe macroaneurysm itself, demonstrating elevation and hyperreflectivity of the overlying retina and shadowing of the deeper retinal layers A horizontally oriented macular OCT 3 months later, showing resolution of subretinal fluid and more numerous hard exudates
  • 47.
    Retinal arterial macroaneurysm:Summary of OCT features • RAM appears as dome-shaped elevation of the retina with shadowing • May be accompanied with subretinal fluid • After resolution of subretinal fluid, hard exudates develop
  • 48.
    Horizontally oriented OCTthrough the macula of the right and left eyes shows cystic intraretinal fluid involving the fovea of both eyes, with thinning and disruption of the IS-OS junction, consistent with idiopathic macular telangiectasia type 2A
  • 49.
    Macular telangiectasia: Summaryof OCT characteristics • Cystic intraretinal fluid • Thinning and disruption of the IS-OS junction • Foveal atrophy
  • 50.
    Valsalva retinopathy Fundus photographof the affected eye demonstrates layering subhyaloid hemorrhage with sub-ILM haemorrhage overlying the fovea. OCT of the involved eye shows bullous sub-ILM hemorrhage
  • 51.
    Valsalva retinopathy: Summaryof OCT characteristics • Occurs after Valsalva maneuver: coughing or sneezing, bearing down, heavy lifting, playing musical instrument • OCT demonstrates subhyaloid or subinternal limiting membrane hemorrhage a b
  • 52.
    Central Serous Chorioretinopathy Ahorizontally oriented macular OCT of the left eye demonstrates subfoveal fluid, ragged appearing photoreceptor layer in the detached aspect of the retina, and a small focus of sub-RPE fluid
  • 53.
    CSCR: Summary ofOCT characteristics • Subretinal fluid, pigment epithelial detachment • Elongation of outer segments of photoreceptors • Thickened choroid on enhanced depth imaging • Chronically, retinal atrophy, thinning of OPL, and disruption of IS-OS junction
  • 54.
    Polypoidal Choroidal Vasculopathy Fundusphoto of the right eye shows sub- RPE and subretinal macular hemorrhage with exudation and pigment epithelial detachment OCT shows dome-like elevation of the retinal pigment epithelium with a nodular sub-RPE appearance and hyperreflectivity
  • 55.
    Polypoidal choroidal vasculopathy:Summary of OCT characteristics • Choroidal vascular abnormality • Dome-like elevation RPE and the neurosensory retina • Nodular appearance of choroid with characteristic hyperreflectivity
  • 56.
  • 57.
    DIABETIC MACULAR EDEMA •The Early Treatment in Diabetic Retinopathy Study (ETDRS) established recommendations for the treatment of DME by defining clinically significant macular edema (CSME) as one or more of the following: 1. Retinal thickening within 500 μ of the macular center 2. Hard exudates within 500 μ of the macular center with adjacent retinal thickening 3. Retinal thickening one optic disc area or larger in size within one disc diameter of the macular center
  • 58.
    Three basic patterns: •sponge-like retinal thickening • cystoid macular edema, • serous retinal detachment
  • 59.
    An extended classificationof five patterns (Kim et al. 2006 ): 1. Diffuse retinal thickening 2. Cystoid macular edema 3. Serous retinal detachment 4. Posterior hyaloidal traction 5. Posterior hyaloidal traction with tractional retinal detachment
  • 60.
    Diffuse retinal thickening.SD-OCT showing sponge-like swelling, low reflective, expanded and irregular areas of the retina, and small amount of subfoveal fluid Cystoid macular edema. SD-OCT showing hypo-reflective fluid-filled cystic cavities within the outer retinal layers, separated by hyper- reflective septae of neuroretinal tissue
  • 61.
    Serous retinal detachment.SD- OCT showing fluid accumulation between the detached retinal pigment epithelium and neurosensory retina Posterior hyaloidal traction. SD- OCT showing attached posterior hyaloid inducing some tractional effect possibly exacerbating the underlying edema. The hyperreflective foci with posterior shadowing represent small exudates Posterior hyaloidal traction (more severe form)
  • 62.
    Soliman et al.investigated the morphological patterns of DME and identified what they believed to be progressive stages. • Stage 1: consists of leakage on FA without any changes visible via OCT. • Stage 2: consists of thickening of the outer nuclear layer (ONL) and/or Henle’s layer. • Stage 3: includes the morphological changes of stage 2 plus cystic changes of the ONL and/or Henle’s layer. • Stage 4: is similar to stage 3 but also includes cystic changes of the inner nuclear layer (INL). • Stage 5: has the appearance of stage 4 plus serous retinal detachment
  • 63.
    Cystoid macular edema •Persistent macular edema leads to the formation of cystoid spaces consisting of septate pockets of fluid, primarily in the Henle’s layer and the outer plexiform layer, but can sometimes also be found in the inner plexiform layer. • Perifoveal cysts tend to localize mainly to the outer retinal layers • It results from long-standing cytoplasmic swelling of the Muller cells, leading to their necrosis
  • 64.
    Cystoid macular edema.SD-OCT showing large perifoveal cysts in the outer retinal layers. Small cysts are seen in the inner rental layers Cystoid macular edema. SD-OCT showing small cysts that have coalesced to form one large cyst Severe cystoid macular edema. SD-OCT showing cystic cavities that have expanded to involve the full thickness of the retina. Concomitant disruption of the outer segments can be seen
  • 65.
    • Intraretinal andvitreous hemorrhages are hyper-reflective and may produce posterior shadowing • Hard exudates appear on OCT as small foci of hyperreflectivity accompanied by posterior shadowing • Well- demarcated foci represent small proteinaceous or lipid deposits Found in all layers of retina ,when they become confluent, can be appreciated as hard exudates
  • 66.
    Hard exudates. SD-OCTshowing pinpoint hyper-reflective foci .
  • 67.
    • Percentage disruptionof the Ellipzoid zone ( EZ )was recognized as an important predictor of visual acuity among DME patients • disruption of the ELM occur prior to disruption of the photoreceptor EZ • RPE cell barrier junctions and ELM share common proteins like occludin. Decrease in the content of occludin at the level of ELM along with swelling of Muller cells is responsible for cyst formation in DME. • The shortening of the photoreceptor EZ was documented to be a secondary consequence of the fragmented ELM
  • 68.
    SD-OCT showing intactinner segment ellipsoid zone ( red arrow ) SD-OCT showing ( a ) focal and ( b ) global disruption of inner segment ellipsoid zone with corresponding retinal thickness segmentation maps
  • 69.
    AGE RELATED MACULARDEGENRATION • Drusen are one of the earliest signs of age-related macular degeneration (AMD). • They can be classified based on their fundus appearance as distinct or indistinct, hard or soft, and small (<63 μm), medium (≥63 <125μm), or large (≥125 μm) depending on their greatest linear dimension. • These drusen characteristics, combined with the presence of any pigmentary abnormalities, are important risk factors for disease progression and staging of disease severity
  • 70.
    • SD-OCT imagescan show structural changes predictive of disease progression to late AMD, such as • The intra- or subretinal fluid indicative of neovascular AMD, • Hyper-reflective foci overlying drusen, • subsidence of the outer retina, and • heterogenous internal reflectivity of drusenoid lesions indicative of nascent GA (nGA) • choroidal thickness measurements below drusen of <135 μm, which is indicative of evolving GA
  • 71.
    Baseline visit showsa large drusenoid retinal pigment epithelial detachment (PED) with signs predictive for pending atrophy such as hyper-reflective foci ( arrow ) and hyper-transmissions within the PED ( arrowhead ), presumably due to RPE breakdown. After 1 year the large drusenoid PED has partially collapsed with an adjacent area of outer retinal subsidence ( arrow ), a sign for nascent geographic atrophy (nGA). Two years after baseline the PED has completely collapsed, leaving drusen-associated atrophy with the characteristic hyper- transmission into the choroid ( area between arrows ) resulting from loss of the RPE,photoreceptor, and choriocapillaris
  • 72.
    • Drusen volumewas found to be a more sensitive indicator of drusen growth compared with area measurements • Because area measurements tended to plateau, while drusen volume continued to increase over time. • Based on these findings, SD-OCT imaging is currently the most reliable strategy for following drusen morphology and progression over time • It has replaced color fundus imaging for clinical trials.
  • 73.
    The typical SD-OCTcharacteristics of geographic atrophy include • Loss of the outernuclear layer (ONL) • Loss of the outer hyperreflective bands (external limiting membrane [ELM], ellipsoid zone, interdigitation zone, inner part of the RPE- Bruch’s membrane [BM] complex resulting in direct apposition of the outer plexiform layer (OPL) and BM • A choroidal signal enhancement that is explained by increased penetration of the light through the area of RPE atrophy
  • 74.
    Serial SD-OCT imagingshows atrophy enlargement over time as progressive loss of the inner part of the RPE-BM complex, the ellipsoid zone or inner segment outer segment photoreceptor layer (IPRL), and the ELM, respectively, and thinning of hyporeflective band representing the ONL at the border of atrophy. Moving into the atrophic lesion, the ONL progressively thins, and the hyperreflective band above ( OPL ) approaches the remaining part of band 4 (assumed Bruch’s membrane)
  • 75.
    • Atrophic areastypically enlarge over time. During this process, not all outer retinal layers are lost at the same time. • Loss of the ellipsoid zone may spatially precede the loss of the remainder OCT bands. • It is followed by attenuations in the RPE, first becoming more transparent to light reflecting from the choroid (“choroidal signal enhancement”) and subsequently showing visible RPE alterations
  • 76.
    • Typically, atrophicpatches initially occur in the parafoveal retina. Over time, several atrophic patches may coalesce, and new atrophic areas may occur. • This can result in a horseshoe- and later ringlike confi guration of atrophy surrounding the fovea. • Thus, the fovea itself may remain uninvolved in the atrophic process until late in the course of the disease, a phenomenon referred to as “foveal sparing
  • 77.
    • In 2010,CNV classification was adapted using FA and OCT characteristics: CNV lesions were divided into type 1 (corresponding to occult CNV), type 2 (corresponding to classic CNV), and type 3 intraretinal neovascularization (retinal angiomatous proliferation, RAP) Polypoidal choroidal vasculopathy (PCV) was added as a fourth entity, categorized as a subtypeof type 1 CNV.  The simultaneous presence of characteristics of types1, 2, or 3 is referred to as mixed forms of CNV
  • 79.
    Pigment epithelial detachment SerousPED: SD-OCT showing dome-shaped PED swelling ( * ) with serous content. Fibrovascular PED:SD-OCT showing hyperreflective content ( x ) and irregular contour. RPE tear: SD-OCT showing RPE discontinuity ( black arrow ) adjacent to PED after anti-VEGF treatment
  • 80.
    • RPE tearsmay result during the course of the disease and after anti-VEGF treatment. • Eyes with fibrovascular PEDs, where the CNV is attached to the RPE, are especially prone to RPE tears. • SD-OCT showed that RPE tears usually occur after the first anti-VEGF treatment, as contraction of the CNV induces tension on bare RPE areas, leading to adjacent tears if the RPE is not stabilized by CNV or attached to Bruch’s membrane • Post-tear OCT images reveal a discontinuous RPE layer
  • 81.
    • The subretinalcompartment is located between the neurosensory retina and the RPE. • Subretinal fluid can be easily detected on OCT as a hyporeflective space under the neurosensory retina • The optical density ratio of SRF in SD-OCT may help in distinguishing CNV from other entities associated with CNV and fluid exudation such as central serous chorioretinopathy • Optical density was significantly higher in subretinal fluid associated with CNV
  • 82.
    Subretinal Fluid SD-OCT showingsubretinal fluid ( x ) in neovascular age- related macular degeneration. SD-OCT shows serous pigment epithelial detachment (PED, * ) with triangular-shaped subretinal fluid (SRF, ° ) on the left side and cystic changes (IRC) on the right side ( black arrow )
  • 83.
    Sub retinal hyperreflectivematerial • SRHM appears as a subretinal hyperreflective area on OCT images • Baseline SRHM was found to lead to an increased likelihood of scar formation as well as a continuing loss of visual function Subretinal hyperreflective material (SHRM). SS-OCT showing subretinal hyperreflective material ( black arrow ) after multiple anti-VEGF injections
  • 84.
    Intra retinal features •Intraretinal cystoid fluid (IRC) appears as round hyporeflective spaces of various size, predominantly in the inner and outer nuclear layers. • IRC usually indicates exudative activity of the underlying CNV. • Cystoid fluid resolving during the loading interval (first 3 months of anti- VEGF treatment) is referred to as exudative ; • Cystoid fluid persistent after the first 3 months is considered degenerative cystoid fluid
  • 85.
    SD-OCT showing exudativeIRC ( black arrow ) with underlying pigment epithelial detachment before treatment. SD-OCT showing resolved IRC one month after antiangiogenetic treatment. SS-OCT showing subretinal hyperreflective material (SHRM) with overlying degenerative IRC ( black arrow ) and outer retinal tubulation (ORT, white arrow )
  • 86.
    Outer retinal tubulations •ORTs are branching tubular structures found in the outer nuclear layer; however, ORT are not pathognomonic for nAMD • ORT is also visible in other retinal conditions such as retinitis pigmentosa and in association with angiod streaks • ORTs largely consist of cones in various phases of degeneration lacking outer segments and inner segments, morphologically altered mitochondria,and external limiting membrane delineating the luminal wall • In SD-OCT,ORT has a tubelike appearance with hyporeflective centers and hyperreflective border
  • 87.
    • ORTs arecommonly present outside the foveal central 1-mm area, but progress centrally in the course of the disease Outer retinal tubulation (ORT). SD-OCT showing hyperreflective borders ( white arrow ) as well as SRHM and overlying neurosensory atrophy after multiple anti-VEGF treatments
  • 88.
    CENTRAL SEROUS CHORIORETINOPATHY Acutecentral serous chorioretinopathy. SD-OCT showing high height of subretinal fluid relative to the basal diameter of the fluid SD-OCT showing fibrin in the subretinal fluid with focal dipping ( arrow ) of the posterior retina in acute central serous chorioretinopathy
  • 89.
    Fibrin in centralserous chorioretinopathy. SD-OCT scan showing subretinal fluid with hyper-reflective material due to fibrin in acute central serous chorioretinopathy
  • 90.
    Chronic CSR • IS/OSline discontinuity, • Longer length of IS/OS disruption, • Thinning of the outer nuclear layer, disruption in external limiting membrane integrity, • Presence of hyper-reflective dots(fibrin) • RPE hypertrophy
  • 91.
    • Subretinal depositsare composed of fragments of photoreceptor OS that accumulate when they were unable to be phagocytosed by RPE due to presence of neurosensory detachment, especially when the detachment is prolonged for over 4 months • ONL thickness, ELM continuity, IS-OS junction – indicator of visual prognosis • ONL reflects photoreceptor volume and was found to be a more sensitive indicator of visual outcome
  • 92.
    SD-OCT showing shallowsubretinal fluid with subretinal hyper-reflective dots and granulated and partially thinned retina SD-OCT showing disruption of ellipsoid zone after complete resolution of subretinal fluid in chronic CSC
  • 93.
    SD-OCT of aneye with chronic CSC showing subretinal fluid with semicircular-shaped PED with dimpled surface
  • 94.
    Normal retina. An asymmetricfoveal contour may occur very early in the disease. Hyperreflectivity within the inner retinal layers due to capillary leakage may also be an early finding. MACULAR TELANGIECTASIA
  • 95.
    Hyporeflective cavities withinthe inner foveal layers may remain without marked functional loss. There is some discontinuity of the highly reflective line above the retinal pigment epithelium and thinning of the outer nuclear layer mainly centrally and temporal to the foveal center
  • 96.
    Collapse of suchouter retinal cavities. Atrophic outer retina with hyperreflective pigment plaques. The inner retinal layers appear to detach from the inner limiting membrane.
  • 97.
    A lamellar macularhole may develop after disruption of the inner limiting membrane . Localized complete atrophy of the outer retina with reactive pigment epithelial proliferation
  • 98.
    MACULAR HOLE Vitreomacular tractionon the foveal center resulting in the formation of an inner foveal cyst. The outer retina is intact. The inner foveal cyst is larger , but the outer retina is also intact. Voluminous tractional cystoid spaces in the inner part of the fovea. There is a defect in the ellipsoid line ( black arrow ) which seems in continuity with the posterior hyaloid (PH) and the septa separating cystoid spaces ( large arrow )
  • 99.
    Evolution of avitreomacular traction toward a full-thickness macular hole. Vitreomacular traction with focal elevation of the foveal floor and microcystic space ( black arrow ), elevation of the central photoreceptors ( large arrow ) and vertical hyperreflective line ( arrow head ). Four months later, worsening of the vitreomacular traction with elevation of the foveal floor ( black arrow ) which forms the roof of a large foveal cyst. Breakdown of the photoreceptor layer ( large arrow ). This case can be considered as an “occult” macular hole. Three months later, the vitreous has detached, but a fullthickness macular hole is present
  • 100.
    Epiretinal membrane associatedwith macular holes. The epiretinal membrane is not visible on the fundus image ( left ) but is present on the OCT scan on the right ( arrow ). The epiretinal membrane induces some stellar superficial folds
  • 101.
    Spontaneous closure ofa small macular hole with vitreomacular traction. Small macular hole (diameter of 133 μm) with vitreomacular traction on a small operculum. Three months later, increase in the vitreous traction on the operculum. At the same time, a diaphragm closes the hole in its middle ( arrow ). After 5 months, the posterior hyaloid has detached from the macula with the operculum ( black arrow ), and the healing process has closed the hole, leaving only a small interruption in the ellipsoid zone ( large arrow ). Two years later, remodeling of the fovea: there is no more
  • 102.
  • 103.
    VITREOMACULAR ADHESIONS • Aspecific stage of vitreous separation wherein partial detachment of the vitreous in the perifoveal area has occurred without retinal abnormalities • The eyes with VMA may be subclassified by the size of the adhesion • as FOCAL ≤ 1500 μm • BROAD > 1500 μm. • VMA can also be classified as • CONCURRENT -if the OCT findings are associated with other macular abnormalities such as age related macular degeneration or diabetic macular edema, • ISOLATED if no ocular disease is present
  • 104.
    Focal VMA (arrows ) with normal foveal contour. Broad VMA ( arrows ) with normal foveal contour.
  • 105.
    Focal VMA withconcurrent cystoid macular edema (CME), drusen in a patient with CME post-cataract extraction and a history of agerelated macular degeneration
  • 106.
    VITREO-MACULAR TRACTION • Thecriteria to define VMT include: 1. Evidence of perifoveal vitreous cortex detachment from the retinal surface 2. Macular attachment of the vitreous cortex within a 3-mm radius of the fovea 3. Association of attachment with distortion of the foveal surface, intraretinal structural changes, elevation of the fovea above the RPE, or a combination thereof, but no full thickness interruption of all retinal layers • VMT can also be subclassified as FOCAL (≤1500 μm) or BROAD (>1500 μm) and ISOLATED or CONCURRENT similar to VMA
  • 107.
    Focal VMT (arrow ) with minimal distortion of the foveal architecture Steep angle of VMT ( arrow ) with distortion of the foveal architecture and an intraretinal cyst
  • 108.
    Concurrent VMT withtemporally directed tractional forces in an eye with cystoid macular edema Broad area of VMT with significant distortion of the retinal architecture with cystic intraretinal fluid and anteriorly directed tractional forces
  • 109.
    EPIRETINAL MEMBRANE • Theresidual vitreous may proliferate to form an epiretinal membrane (ERM) during or after vitreous separation. • The vitreous remnants form a scaffold for glial cells and laminocytes to attach and proliferate leading to contracture and stress on the underlying foveal architecture
  • 110.
    Trace ERM withslight distortion of the foveal architecture ERM with nonreflective pockets between the ERM and the internal limiting membrane ( arrows ) in the parafoveal macula
  • 111.
    ERM with lossof foveal contour and intraretinal cysts ( arrow)
  • 112.
    Stages of macularhole • Stage 0 macular hole (IVTS: vitreomacular adhesion – VMA) OCT finding of oblique foveal vitreoretinal traction before the appearance of clinical changes. • Stage 1a: ‘Impending’ macular hole (IVTS: vitreomacular traction – VMT) - flattening of the foveal depression with an underlying yellow spot. Pathologically, the inner retinal layers detach from the underlying photoreceptor layer, often with the formation of a cyst-like schisis cavity
  • 113.
    • Stage 1b:Occult macular hole (IVTS: vitreomacular traction – VMT) is seen as a yellow ring . With loss of structural support, the photoreceptor layer commonly undergoes centrifugal displacement • Stage 2: Small full-thickness hole (IVTS: small or medium FTMH with VMT) consists of a full-thickness hole less than 400 μm in diameter
  • 114.
    stage 1b –vitreomacular traction – shows attachment of the posterior hyaloid to the fovea, separation of a small portion of the sensory retina from the RPE in the foveolar region and intraretinal cystic changes stage 2 – small FTMH with vitreomacular traction (VMT) – shows attachment of the vitreous to the lid of the hole and cystic change
  • 115.
    • Stage 3:Full-size macular hole (IVTS: medium or large FTMH with VMT). A full- thickness hole greater than 400 μm in diameter, there is persistent parafoveal attachment of the vitreous cortex. • Stage 4: Full-size macular hole with complete PVD (IVTS: small, medium or large FTMH without VMT).
  • 116.
    stage 3 –medium or large FTMH with VMT – with intraretinal cystic spaces stage 4 – large FTMH with no VMT – shows a full- thickness macular hole with intraretinal cystic spaces and an overlying operculum (sometimes termed a pseudo- operculum)
  • 117.
    MACULAR HOLE- METHODSOF MEASURING MACULAR HOLE DIAMETRE • Calipre • Measured at the narrowest hole point in the mid-retina, using the OCT caliper function, as a line parallel to the retinal pigment epithelium (RPE) • It corresponds to a line drawn between the terminations of the detached photoreceptor outer segments • 250 μm or less-50 % - medical vitreolysis • More than 250 -surgically
  • 118.
    MACULAR HOLE CLOSUREAFTER SURGERY • Hyporeflective defects of the outer fovea in the early postoperative period - named as outer foveal defects, outer foveal cysts, foveal detachment, or foveal bridge • Two groups : 1- disruption of ellipsoid zone 2- foveal detachment-elevation of photoreceptor layer
  • 119.
    Healing process • inlarge MHs - glial cell proliferation above the RPE with closure from the outer retina first • Small MHs - an early closure from the inner retina first • Subretinal fluid and outer retina changes seem to be a common finding after ocriplasmin injection and are more often seen in case of successful ocriplasmin treatment
  • 120.
    • The ablationof the ILM results in the dissociation of the optic nerve fiber layer (DONFL) visible on blue reflectance photographs • The observation of DONFL after MH surgery means that the ILM has been peeled off The arcuate striae of the DONFL ( arrows ). Deep dimples in the retinal nerve fiber layer ( arrows ) corresponding to the DONFL
  • 121.
    After macular holesurgery Preoperative OCT B-scan shows a full-thickness MH without vitreomacular traction. The MH diameter was of 231 μm One month after surgery: persistent foveal detachment associated with disruption of the ellipsoid zone (EZ) Three months after surgery: persistent foveal disruption of the EZ. Six months after surgery: recovery of the photoreceptor layer integrity
  • 122.
    After medical vitreolysis InitialOCT B-scan shows a full-thickness macular hole (MH) with vitreomacular traction (VMT). The MH diameter was of 381 μm One month after the injection: persistent FD with a base diameter measured at 2205 μm, MH base diameter measured at 515 μm Three months after the injection: persistent FD with a base diameter measured at 1813 μm, MH base diameter measured at 536 μm, One month after secondary surgery: MH closure and parafoveolar FD with a base diameter measured at 670 μm
  • 123.
    ROD CONE DYSTROPHY-RETINITIS PIGMENTOSA •Characterised by retinal degeneration and progressive loss of rod photoreceptors, which may be accompanied by variable degree of cone photoreceptor loss.
  • 124.
    Spectral domain OCTof the patient above that showed ( 1 ) cystoid macula oedema, ( 2 ) disruption in the EZ zone and loss of ELM which corresponds to impaired visual acuity, hyper-reflective foci (HFs) in the ONL ( 3 ) HFs in the inner nuclear layer
  • 125.
    Overall OCT imagingshows • disruption in the EZ, • loss of the ELM • thinning of the inner retinal layers correlate to visual impairment in patients with RP. • Choroidal thinning was also observed in both the subfoveal and peripheral retina; however there was no correlation to visual acuity
  • 126.
    CONE DYSTROPHY Characteristic clinicalsigns include • The presence of a bull’s eye appearance with a dark central area at the fovea with surrounding pale zone . • Macular retinal atrophy and pigment deposits. • In the later stages, if there is rod involvement, vessel attenuation and bony spicule pigmentation in the periphery may develop. • Severe diffuse chorioretinal atrophy, • Temporal disc pallor • Optic atrophy
  • 127.
    Spectral domain OCTwhich showed complete loss of the EZ and ELM in the macular regions
  • 128.
    Optical coherence tomographyfindings • Loss of the interdigitation zone (IZ) • EZ loss • ELM loss • Thinning of the RPE layer
  • 129.
    Stargardt Disease andFundus Flavimaculatus A fundus photo and AF image of a Stargardt disease -Pisciform flecks can be seen on the posterior pole with macula atrophy. The area of macula atrophy appears hypo-AF whereas flecks showed varying degree of autofluorescence
  • 130.
    Spectral domain OCTwhich showed ( 1 ) demarcation of the parafoveal region where the EZ and ELM bands are poorly differentiated ( 2 ) irregularity in the neurosensory retina with loss of the EZ and ELM bands affecting the centre of the fovea. Hyper-reflectivity of the RPE is noted throughout the macula. ( 3 ) hyper-reflective spots on the ONL corresponding to the flecks
  • 131.
    Best’s Vitelliform MacularDystrophy Five stages: (1) previtelliform stage (normal macula or subtle RPE changes), (2) vitelliform stage (well- defined “egg yolk” lesion), (3) pseudohypopyon stage (the yellow material settles inferiorly), (4) vitelliruptive stage (a scrambled egg lesion with partial resorption of the material) (5) atrophic stage (macular atrophy)
  • 132.
    Previtelliform stage: • Athickened middle highly reflective layer (HRL) between the RPE/ Bruch’s complex and the EZ . • The corresponding ONL starts to thin out at the fovea so the overall retinal thickness is maintained.
  • 133.
    Vitelliform stage ( 1) a dome-shaped accumulation of hyper-reflective material between the RPE layer and the photoreceptor layer. ( 2 ) The ONL is thinned over the contour of the elevation, ( 3 ) the middle highly reflective layer (HRL) was seen to be elevated at the margins of the dome with thickening and fragmentation above the dome elevation but intact and thickened along the rest of the retina.
  • 134.
    Pseudohypopyon stage ( 1) a localised neurosensory retinal detachment ( 2 ) clumps of hyper-reflective subretinal material seen at the base of this detachment. ( 3 ) The ONL was thinned with focal regions of heterogenous reflectivity ( 4 ) a pigment epithelial detachment
  • 135.
    Vitelliruptive stage ( 1) irregular middle HRL with interspersed with focal areas of EZ disruption ( 2) thinning of the ONL above the lesion. Two types of hyper-reflective mounds at the level of the RPE/Bruch’s complex were observed. ( 3 ) The first type of mound was associated with shadowing of underlying choroidal structures. ( 4 ) a hyper-reflective spot of partially resorbed vitelliform material. ( 5 ) The second type of RPE mound that was associated with the overlying collapse of the outer retinal layers, hyper-reflectivity of the underlying choroid ( 6 ) disruption of the EZ and middle HRL over the area of the lesion
  • 136.
    Atrophic stage • Overallthinning of neurosensory layers • Loss of photoreceptors • Complete loss of EZ and middle HRL • Thinning of overlying ONL
  • 137.
    X-Linked retinoschisis • characteristicmacular involvement with splitting of the nerve fibre layer which sometimes may appear as a spoke-like pattern FAF- Hyoauto fluroscence Spectral domain OCT image showing foveal macula schisis affecting the ( 1 ) inner nuclear layer (INL) ( 2 ) outer nuclear layer, with characteristic cystoids spaces
  • 138.
    Vogt-Koyanagi- Harada (VKH)Syndrome SD-OCT shows serous detachment of the retina ( white star ) and loculated intra-retinal fluid divided by subretinal strands ( white arrows )
  • 139.
    SD OCT Dalen-Fuchsnodule, a dome-shaped elevation that is associated with disruption of overlying retinal pigment epithelial layer
  • 140.
    Solar burn • Atiny punched- out disruption of the pigment epithelial layer on OCT is pathognomonic of solar burn. • Other OCT changes - transient increase in foveal reflectivity - disruption of the inner and outer segments of the photoreceptor layers with or without underlying RPE defects.
  • 141.
  • 142.
    DRIL (DISORGANISATION OFRETINAL INNER LAYERS) • DRIL is observed on OCT as the difficulty to identify limits between the ganglion cell-inner plexiform layer complex, inner nuclear layer, and OPL • Assessed independently of intraretinal cysts, epiretinal membrane, subretinal fluid, or any other OCT-evident pathology. • DRIL in the 1,000-μm foveal area was associated with worse VA
  • 143.
    • It representsan interrupted transmission pathway between the photoreceptors and ganglion cells - due to the disruptions of synaptic connections of amacrine, bipolar, and horizontal cells • Neuroglial degeneration as sequelae of inflammation, ischemia, or both may occur in macular edema and manifest as DRIL • Reversibility potential of DRIL declines with increase duration
  • 144.
    Optical coherence tomographyshows uveitic CME with intraretinal cysts, epiretinal membrane, and disorganization of retinal inner layers (white arrow)
  • 145.
    There is cystoidmacular edema on optical coherence tomography without significant disorganization of retinal inner layers (DRIL) Following treatment , the macular edema resolves and there is no residual DRIL. The visual acuity improved from 6/18 to 6/6
  • 146.
    Diabetic macular edema(DME) and visual acuity of 6/18 Following treatment of DME with anti-VEGF injections, there is extensive DRIL, limiting the visual recovery to 6/12 despite resolution of the DME and an intact external limiting membrane and ellipsoid zone
  • 147.
    OUTER RETINAL TUBULATIONS •ORT is a degenerative process of outer retinal reorganization located primarily in eyes where the macula is disrupted and RPE is absent. • ORTs are ovoid or circular hyporeflective lesions surrounded by a hyperreflective ring • Located in the ONL • In advance retinal disease -AMD, choroidal nevus, pseudoxanthoma elasticum , multifocal choroiditis with uveitis and CNMV, choroideremia ,and enhanced S- cone syndrome
  • 148.
    • Cones invarious phase of degeneration • The hyperreflective border-EML • Mitochondria migrating from the inner segments to the cell bodies of degenerating cone photoreceptor • Different shapes of ORTs: open, closed, and branching • ORT s/o poor visual outcome
  • 149.
    • Should bedifferentiated from intraretinal or subretinal fluid cysts located at the outer retinal layers. • Intraretinal fluid cysts in cystoid macular edema (CME) have the arrangement as a petaloid manner, while ORTs are randomly arranged at the macula. • Pseudocysts are usually distinguished from ORTs because they are located in the inner nuclear layer. • Retinal tubulations are always located at the level of the ONL
  • 150.
    • The recognitionof ORT may avoid unnecessary treatment because it is more refractory to anti-VEGF treatment compared to the cysts Outer retinal tubulation (ORT). SD-OCT showing hyperreflective borders ( white arrow ) as well as SRHM and overlying neurosensory atrophy after multiple anti-VEGF treatments
  • 151.
    DOME SHAPED MACULA •Gaucher in 2008 • An inward protrusion of the macula as visualized by OCT • Different patterns : a horizontal or vertical oval-shaped dome and a round dome • Myopia with staphyloma • Hypermetropia, emmetropia, serous retinal detachment ,PED ,CNVM • B/L -50-80 %
  • 152.
    Hypothesis proposed • Anadaptive mechanism to minimize defocus in highly myopic eyes • Vitreomacular traction , • Ocular hypotony • Resistance of the sclera to the staphylomatous deformation • Localized choroidal thickening ,different degrees of scleral thinning in the foveal region – circulatory problem in choroid with resultant increase in choroidal pressure • It may be due to RPE dysfunction or as a consequence of not uniform scleral thickness that can affect choroidal fluid
  • 153.
    • Can sometimesresolve spontaneously • Subretinal fluid may become chronic, may not resolve
  • 154.
    FOCAL CHOROIDAL EXCAVATION •Jampol et al 2006 • Focal concavity at the RPE choriocapillaris line in the choroid in an OCT scan, with a good visual acuity, and normal appearance of the overlying retina. • It affects Bruch’s membrane- RPE-choriocapillaris line complex line and photoreceptors • RPE, Bruch’s membrane, EZ line, ELM, and ONL- Involved in excavation • CSCR, AMD, ERM, CNVM, PCV, VKH, punctate inner choroidopathy, focal retinochoroiditis, foveo schisis, MEWDS, multifocal choroiditis, and combined hamartoma of the retina and RPE
  • 156.
    • Conforming FCE-lesions without separation between the two layers and the photoreceptors adapt to the contour of the RPE layer. • Nonconforming FCE- photoreceptors appeared to be detached from the RPE showing a hyporeflective space • Three morphological patterns : • bowl shaped, • cone shaped, • mixed shaped
  • 157.
  • 158.
    • Generally stable •Sometimes may develop in CNVM • PATHOGENESIS • Congenital malformation • Due to the failure of chorioretinal development in the embryonic stage, micro staphyloma, congenital focal choroidal dysplasia, focal choroidal atrophy caused by congenital or acquired choroiditis
  • 159.
    MACULAR HOLE INDICES Holeform factor = c+d/a Macular hole index = height/base HHF > 0.9 – better prognosis MHI > 0.5 – better prognosis
  • 160.
    • Diameter holeindex (DHI) = minimum inner hole diameter/maximum base diameter • Tractional hole index = maximal height/minimum inner hole diameter • Macular hole angle = Angle formed by the intersection of nasal temporal arm line and maximum basal diameter
  • 161.
    Type 1 (a,b) closure - relative restoration of the outer retina Type 2 (c, d) closure - persistence of a central neurosensory retinal defect
  • 162.
    Imai et alcategorised the successfully repaired macular hole into three patterns with OCT; • U-type (normal foveal contour) • V-type (steep foveal contour) • W-type (foveal defect of neurosensory retina). Postoperative visual acuity was well correlated with these patterns (U > V > W). Type 1 closure may correspond to a U or V pattern, and type 2 closure to a W pattern.
  • 163.
    ELM integrity ELM integritygood –ELM intact upto hole edges in both edges ELM integrity partial-ill defined or discontinuos
  • 166.
    MYOPIC MACULAR PATHOLOGIES •Macular holes with or without retinal detachment, • Myopic foveoschisis, • Choroidal neovascularization (CNV), • Chorioretinal atrophy.
  • 167.
    • The fovealthickness is similar to that in emmetropic eyes • However, the choroid and the sclera are extremely thin • Avg subfoveal choroidal thickness: emmetropic eye-287 microns myopic eye-100 microns
  • 168.
    MYOPIC FOVEOSCHISIS • characterizedby retinoschisis and subsequent retinal detachment specific to highly myopic eyes. • 10 in 32 eyes with high myopia • Due to traction-posterior hyaloid, ERM, rigid ILM, vascular traction • 50 % of patients have a retinal detachment and/or macular hole formation within 2–3 years of follow-up without treatment
  • 169.
    The typical appearanceof an ILM detachment ( arrows ). The ILM is separated from the retinal layers, and a column-like structure is seen with bridging thin glial tissue An impending retinal detachment in myopic foveoschisis. The fovea is highly stressed by the vitreous traction, and the photoreceptors at the fovea are detached
  • 170.
    MYOPIC CHOROIDAL NEOVASCULARISATION •Upregulation of VEGF (disturbed circulation-local ischaemia) • Lacquer cracks • Choroidal thinning • mCNV is normally small and grayish at the macula or adjacent to the crescent of the optic nerve head. • This lesion is often pigmented, the so called Foster-Fuchs spot
  • 171.
    • Occult CNMand PED are rarely present A typical case of mCNV. A fundus photograph shows a whitish subretinal lesion with a poorly defined border at the fovea ( arrow ). A SD-OCT image clearly shows CNV under the retina ( arrow ), and subretinal fluid, which is a sign of activity
  • 172.
    SUBMACULAR HAEMORHAGE WITHOR WITHOUT CHOROIDAL NEOVASCULARISATION • Younger patients • Based on axial length elongation, and the hemorrhage results from a break in Bruch’s membrane or RPE • The hemorrhage is not accompanied by SRF • OCT shows a uniform intensity under the retina, while mCNV shows varying degrees of intensity inside
  • 173.
    A typical fundusphotograph and OCT image of a myopic subretinal hemorrhage without CNV. The hemorrhage appears as a uniform lesion under the retina. In addition, the SRF and fibrin formation is minimal, which is important to rule out
  • 174.
    OTHER ASSOCIATED CONDITIONS •MACULAR HOLE WITH OR WITHOUT RETINAL DETACHMENT • DOME SHAPED MACULOPATHY
  • 175.
    HYPERREFLECTIVE RETINAL SPOTS •Dots are small in size (20–40 μm in diameter), punctiform hyperreflective elements (equal or higher reflectivity than the RPE band), • Distributed throughout all retinal layers. • HRS are mainly located at the border of the ONL and within the OPL • Indicates aggregates of microglial cells- retinal inflammatory activity • Lipofuscin granules or lipoprotein deposits due to breakdown of blood retinal barrier • May be formed from the macrophages that phacocytosed the degenerated photoreceptors
  • 176.
    • DME, CNVM,RVO, CSCR, PFT • DME with a high number of HRS functional results (better retinal sensitivity) • In DME, if large number of HRS are present-treat with steroids rather than anti VEGF
  • 177.
    LAMELLAR HOLE ASSOCIATEDEPIRETINAL MEMBRANE PROLIFERATION(LHEP) • Pang et al • Thick homogenous material of medium reflectivity on the epiretinal surface at the margins of lamellar defects. • Arise from muller cells proliferation • Do not exert traction
  • 179.
    • LHEP specimenrevealed – retinal glial cells that reacted positively with antiglial fibrillary acidic protein and anti-glutamine synthetase, a muller cell specific antibody • Lamellar macular holes with LHEP are more likely to have larger tissue defects, disruption of the ellipsoid zone, and poorer mean visual acuity than lamellar macular holes with tractional ERMs. • But the visual outcome after surgery is similar to visual outcome after ERM removal
  • 180.
    RETICULAR PSEUDODRUSCEN • Arnoldet al • located in the subretinal space. • yellow interlacing network 125–250 μm wide appearing first in the superior outer macula and then extending circumferentially and beyond • B/L -50-84 % • strongly associated with late AMD, especially geographic atrophy, type 2 and 3 choroidal neovascularization
  • 181.
    • Thinning ofchoroid • RPD are histologically characterized by the accumulation of material in the subretinal space extending up to the outer segment and even in the outer nuclear layers.
  • 182.
    3 different stages: 1)diffuse accumulation of granular hyperreflective material between RPE and EZ, 2) mounds of material bowing and distorting EZ profile 3) conical amassing with focal interruption of EZ.
  • 183.
    1,2-diffuse accumulation ofgranular hyperreflective material between RPE and EZ 3-conical accumulations with focal interruption of EZ 4- mounds of material bowing and distorting EZ profile
  • 184.
    ECTOPIC INNER FOVEALLAYERS IN ERM OCT images of epiretinal membranes according to the staging system by Govetto et al. . Stage 1: negligible morphological or anatomical disruption, retinal layers, and foveal pit are identified; Stage 2: characteristic stretching of the outer nuclear layer, absence of foveal depression, retinal layers are identified;
  • 185.
    Stage 3: continuousectopic inner foveal layers crossing the central foveal area, absence of foveal depression, retinal layers are identified; Stage 4: significant retinal thickening, remarkable anatomical disruption of the macula, continuous ectopic inner foveal layers crossing the entire foveal area, retinal layers are significantly distorted, and foveal pit is absent
  • 186.
    • Continuous EIFLwas defined on OCT as the presence of a continuous hypo- or hyper-reflective band, extending from the inner nuclear layer and inner plexiform layer across the foveal region • discontinuous ellipsoid band in the foveal region • The presence and thickness of EIFL and central foveal thickness are key indicators of visual acuity loss in eyes with ERM
  • 187.
    • Cotton ballsign and microcystoid retinal change were previously thought to be important prognostic signs • cotton ball sign was defined as a round or diffuse hyper-reflective area between the ellipsoid zone and the cone outer segment tip line at the central fovea • microcystoid retinal changes were described as the presence of multiple, small hypo-reflective roundish-elliptical cystoid spaces in retinal layers.
  • 188.
    SUBRETINAL HYPERREFLECTIVE MATERIAL(SHRM) • SHRMis a morphological feature seen on OCT as hyperreflective material located in subretinal space
  • 189.
    • SHRM (bothgreater height and width)- worse outcome • After anti-VEGF initiated ,within first 4 weeks SHRM decree rapidly ,thereafter slowly • SHRM is composed of fluid ,fibrin blood ,scar ,CNV • Initiation of anti VEGF decrease endothelium permeability-decrease vascular leakage, decrease fluid component
  • 190.
    • Persistent SRHM-poorvisual acuity • Thick SRHM – toxic effect to photoreceptors, decrease normal photoreceptor function • Persistent SRHM- scar risk factor
  • 191.
    PERIFOVEAL EXUDATIVE VASCULAR ANAMOLOUSCOMPLEX • macular disorder defined by the presence of a unilateral, isolated, perifoveal aneurysm, in otherwise healthy patients • 45-65 years of age • May be coincident with myopic degeneration or AMD
  • 192.
    perifoveal isolated aneurysm,similar to a large microaneurysm, associated with small retinal hemorrhages, intraretinal exudation, and, in some cases, hard exudates OCT - round hyperreflective lesions corresponding to the perifoveal vascular alteration .
  • 193.
    3 lesions (whitearrows) with no detectable flow in the superficial capillary plexus (first pic), but with detectable flow in the deep capillary plexus (second pic) and avascular slab (third pic)
  • 194.
    • Vision decline–due to CME • typically located at the level of the deep retinal capillary plexus,but can also occur in superficial and avascular zone • Etiology-idiopathic • may be the result of a focal and progressive endothelial cell injury in patients without other retinal vascular diseases • Unresponsive to anti VEGF
  • 195.
    PARACENTRAL ACUTE MIDDLEMACULOPATHY • Sarraf et al 2013 • SD OCT finding • It is characterized by hyperreflective band-like, multiple or isolated focal or diffuse lesions visible at the level of the inner nuclear layer (INL) in patients presenting with acute onset of negative scotoma.
  • 196.
    • It isdescriptively termed PAMM due to parafoveal position of the causative grey lesions with near-infrared reflectance imaging, • the SD-OCT localization of involvement to the middle layer (INL) of the retina.
  • 197.
    ETIOLOGY • Unknown ,maybe vascular • Vasopressor exposure- caffeine ,OCPS • Diabetic retinopathy ,hypertensive retinopathy ,CRVO ,sickle cell retinopathy Microvascular ischaemia-Localized retinal capillary ischemia at the level of intermediate plexus.
  • 198.
    • 50s-60s • Sometimesyoung • Symptoms- negative scotoma • Indirect ophthalmoscopy- appears normal • Infrared imaging - subtle whitish parafoveal lesions deeper within the retina, smoother in contour and greyer than cotton wool spots. • Emboli may be present at the base of a focal PAMM lesion or along retinal arterial branches and may be visible on high-magnification fundoscopy.
  • 199.
    • OCT -theacute lesions appear as placoid, hyperreflective bands at the level of the INL, sparing the outer retina • showing corresponding hypoautofluorescence on fundus autofluorescence • hyporeflective and well-demarcated on near infra-red reflectance. • Later thinning and atrophy of the affected INL ensues - permanent visual deficit
  • 201.
    MANAGEMENT • systemic orcardiovascular risk factors, such as arterial hypertension, dyslipidemia or diabetes, is advisable. • Diffuse lesions can harbour an occult central retinal artery occlusion and, in such instances, is mandatory to rule out underlying carotid disease (carotid ultrasound imaging) or giant cell arteritis (ESR, CRP)
  • 202.
    ACUTE MACULAR NEURORETINOAPTHY •presence of intraretinal, reddish-brown, wedge-shaped lesions, the apices of which tend to point toward the fovea. • Acute onset of paracentral scotomas corresponding to the clinically evident lesions • As it is parafoveal, generally vision not affected • White female in 30s • B/L in 45% cases
  • 203.
    ETIOLOGY • Microvascular abnormalityin deep capillary plexus • Fever (Flu, enteritis, upper respiratory tract infection, pharyngitis, bronchitis, ) • Oral contraceptive pills • Hypotension/shock due to several causes (post-partum, post-surgery, trauma etc) • Pro-thrombin associated antiphospholipid antibodies • Pre-eclampsia • Sinus infection
  • 204.
    SYMPTOMS • Scotoma/'shadows'/'spot’ • Milddecreased visual acuity ~ 6/18 • Floaters • Metamorphopsia • Photopsia
  • 205.
    • Fundus- lesionsbecome visible from 3 days to 2 months after symptom onset. • Classic retinal lesions involve one or more reddish brown petalloid lesions that surround the fovea. This corresponds to amsler grid findings of scotoma. • Faint intra retinal hemorrhages can be seen.
  • 207.
    SD-OCT- • Hyper reflectiveplaque between the outer plexiform and outer nuclear layers. • Disruption of ellipsoid zone/interdigitation zone • In late stage, thinning of the outer nuclear layer may be seen OCT-A reveals reduced flow signals in deep retinal capillary plexus, suggesting focal ischemia photoreceptor axons in the outer plexiform layer. A
  • 209.
    TYPES OF AMN Type1 Type 2 Paracentral Acute Middle Maculopathy (PAMM) Typical Acute Macular Neuroretinopathy/Acute Macular Outer Retinopathy (AMOR)[4] inner retinal involvement outer retinal involvement hyperreflectivity superficial to the outer plexiform layer (OPL-INL) on SDOCT hyperreflectivity deep to the outer plexiform layer on SDOCT inner nuclear layer (INL) involved- may lead to thinning of INL outer nuclear layer (OPL-ONL) involved- may lead to thinning of ONL
  • 210.
    PACHYCHOROID • Using EDI-OCTor SS-OCT, the choroid–scleral interface (CSI) can be delineated • Subfoveal choroidal thickness in normal subjects has been reported to be between 191–350 μm • May be influenced by age,sex ,diurnal variation,regional variation • Healthy eye may have pachychoroid or uncomplicated choroid
  • 211.
    • pachyvessels canalso be distinguished from normal choroidal vessels as they do not taper toward the posterior pole, but retain their large caliber and terminate abruptly. This feature is best appreciated using en face OCT or ICGA • abnormally dilated Haller’s layer vessel • Attenuated inner sattlers vessels • In severe cases, the Haller’s layer vessel may occupy the full extent of the choroidal thickness.
  • 212.
    • Chronic -reduction in inner choroidal volume resulting from atrophy of the latter, it is possible for an eye to have normal or even subnormal choroidal thickness but still exhibit the pachychoroid disease phenotype . • Therefore, in addition to evaluating choroidal thickness, detailed examination of the morphology of the choroid
  • 213.
    • On ICGA-In addition to choroidal venous dilatation, choroidal filling defects, delayed arterial filling in the early phase, and focal or punctate hyperfluorescence have been observed in eyes-s/o choroidal ischaemia • Hyperfluroscence- corresponding to hyperpermeability
  • 214.
    Diffuse thickening andincreased subfoveal choroidal thickness , or focal thickening ( hollow arrowheads). In some eyes, an irregular elevation of the retinal pigment epithelium (RPE) can be seen to overlie these choroidal abnormalities (white arrowheads). Pachyvessels can be identified as a choroidal vessel with enlarged caliber ( *) which can occupy almost the entire thickness of the choroid.
  • 215.
    h-attenuation of flowsignal (dash white outline) within the choriocapillaris I-attenuation of vessels within the inner choroid J-dilated outer choroidal vessels
  • 216.
    Pachyvessels can alsobe seen as dilated submacular vessels which do not taper toward the posterior pole on ICGA as in(d) or on en face OCT as in (e). These pachyvessels may be distributed in a diffuse as in (d) or patchy manner (e). Pachyvessels usually exhibit choroidal vascular hyperpermeability with indocyanine green angiography (ICGA)