MODIFIED WIDMAN
FLAP
GINGIVAL CLOSED CURETTAGE
By definition a gingival curettage is the use of an
instrument (curett) against the gingival side of a
pocket in order to scrape and debride the soft
tissue wall.
Its purpose is to remove chronically inflamed tissue
elements and help maintain a state of periodontal
health.
Gingival curettage is for pocket reduction,
treatment of periodontal abscesses, presurgical
debridement and periodontal maintenance.
INDICATION
· Localized, mild to moderate periodontitis
· Shallow pocket depth
· When more extensive surgery is
contraindicated
· Treatment of isolated infrabony pockets
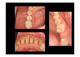
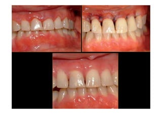
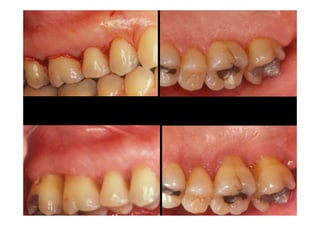
SUBGINGIVAL
CURETTAGE
BEFORE AND
FOUR WEEKS
AFTER
PROCEDURE
CONTRAINDICATION
· Advanced periodontitis with deeper infrabony pockets
(treatment requires excellent vision during the operation)
· Acute infection (ANUG)
· Acute lession (periodontitis in patients with AIDS)
· Fibrous epithelial enlargement (phenytoin hyperplasia)
· Extension of the base of the pocket apical to mucogingival
junction
Advantage
· Minimum tissue loss
· Posibility for complete removal of infected crevicular
epithelium and underlying connective tissue
· Minimal discomfort to the patient
· Minimal hemorrhage
· Healing is often uneventful
Disadvantage
· Limited access can be obtained to deep or irregular
pockets
· Limited vision compare to flaps
MODIFIED WIDMAN FLAP
Flap debridement surgery is defined:
as surgical debridement of the root
surface and the removal of granulation
tissue following the reflection of the soft
tissue flap.
The most commonly practiced technique is
based upon the 'modified Widman flap'.
The original 'Widman flap' was comprised of a
mucoperiosteal flap.
The flap was elevated to expose 2-3 mm of the alveolar
bone.
The soft tissue collar incorporating the pocket epithelium
and connective tissue was removed, the exposed root
surface scaled and the bone recontoured to re-establish
a 'physiologic' alveolar form.
The flap margins were placed at the level of the bony
crest to achieve optimal pocket reduction.
WIDMAN 1920 USA Widman I. The operative treatment of pyorrhoe alveolaris . A new
surgical method. Brit Dent J 1920; 1:293.
NEUMANN 1919 GERMANY Neumann R. Die Alveolar-Pyorrhöe und ihre Behandlung.
1920. 3rd ed. Berlin: H. Meusser
The original 'Widman flap'
The main advantages of this technique as
compared to gingivectomy were claimed to be
less discomfort, since healing was by primary
intention and re-establishment of a 'physiologic'
bony contour at sites with angular bony defects.
The term modified Widman flap
Exposure of the interproximal bone and elimination of
infrabony defects by osseous recontouring is not carried
out.
When esthetic considerations are paramount,
intracrevicular incisions starting at the free gingival margins
are used to minimize postsurgical gingival shrinkage.
Vertical releasing incisions are usually not used
KIRKLAND 1931 Kirkland O. The suppurative periodontal pus pocket; its
treatment by the modified flap operation J Amer Dent Assoc 1931; 18:1462-1470.
MODIFIED WIDMAN FLAP Ramfjord SP, Nissle RR. The modified Widman flap. J
Periodontol 1974; 45:601-607.
„Módosított Widman-lebeny”
• Ramfjord and Nissle 1974-
• modified Widman-flap” technique
• „open curettage”
• aim :
• to remove BIOFILM , calculus and plaque retentive
subgingival factors
•
• other name „access flap surgery”
No 11 No 12 No12 D No 15 No 15C
• Sebészik kürett
INTERNAL
REVERSE
BEVELED INCISION
THE MODIFIED WIDMAN FLAP
Purpose:
• to make access to the root surface
• to obtain an intimate postoperative
adaptation of healthy collagenous connective
tissue and normal epithelium to the root
surface.
No surgical pocket elimination and apical
displacement of the flap.
the aim of the modified Widman flap
surgery is
healing and reattachment of periodontal
pockets with minimum loss of periodontal
tissues during and after surgery
reduction of probing pocket depth by
shrinkage individually occurs.
The modified Widman flap
" open gingival curettage"
to obtain access to the root surface and an intimate
postoperative adaptation of healthy collagenous connective
tissue and normal epithelium to the root surface.
do not aim at surgical pocket elimination and apical
displacement of the flap.
The modified Widman flap
to obtain access to the root surface and an intimate
postoperative adaptation of healthy collagenous connective
tissue and normal epithelium to the root surface.
When esthetic considerations are paramount, intracrevicular
incisions starting at the free gingival margins are used to
minimize postsurgical gingival shrinkage.
Vertical releasing incisions are usually not used
Indications
The MWF is indicated for the treatment of all types
of periodontitis and provides excellent result with
probing depths up to ca. 6 mm.
- Advantageous use of MWF will depend upon the
pathomorphologic situation on individual teeth and
at various periodontal sites.
- Possibility of establishing an intimate postoperative
adaptation of healthy collagenous connective tissue
and normal epithelium.
- Minimal or no inflammation is present
Advantages
1. Root cleaning with direct vision
2. Protective of tissues, reparative
3. Healing by primary intention
4. Lack of pain or complications postoperatively
Procedure
The flap surgery should not be initiated until one or
two months after completion of the hygienic phase of
the periodontal therapy.
The initial gingival incision
"internal reverse bevel incision"
should be made with a knife
that can be directed parallel
to the long axis of the tooth.
Procedure
The flap surgery should not be initiated unti
two months after completion of the hygienic
the periodontal therapy.
The initial gingival incision
should be made with a knife
that can be directed parallel
to the long axis of the tooth.
VERY
CONSERVATIVE
SURGICAL
APPROACH
A second incision is made
around the neck of each
tooth from the bottom of
the pocket to the alveolar
crest.
Vertical gingival releasing incision usually is not
needed. A full thickness flap is elevated for only 1-2
mm from the alveolar crest as needed for access to
the root surfaces and the interproximal one.
The third and final incision is made with a
narrow interproximal knife. The buccal and/or
lingual flaps are deflected by a periosteal
elevator on top of the alveolar crest to dissect
free the collar of
gingival tissues, which is
been separated from the
buccal and lingual gingival
flaps and the teeth.
The separated collar of
gingival tissue is then
removed with curettes.
INTRACREVICULARIS METSZÉS
VERY
CONSERVATIVE
AND MINIMAL
INVASIVE FLAP
ELEVETION
TIGHT FLAP
ADAPTATION
Osteoplastica –
osteotomia
osteotomy
baseline
Baseline radiograph
Preoperative pocket depth
Access flap surgery
EMD application and suturing
Postoperative radiograph
The modified Widman flap
Exposure of the interproximal bone and elimination of
infrabony defects by osseous recontouring is not carried out.
When esthetic considerations are paramount, intracrevicular
incisions starting at the free gingival margins are used to
minimize postsurgical gingival shrinkage.
Vertical releasing incisions are usually not used
Indications
The MWF is indicated for the treatment of all types
of periodontitis and provides excellent result with
probing depths up to ca. 6 mm.
- Advantageous use of MWF will depend upon the
pathomorphologic situation on individual teeth and
at various periodontal sites.
- Possibility of establishing an intimate postoperative
adaptation of healthy collagenous connective tissue
and normal epithelium.
- Minimal or no inflammation is present
Advantages
1. Root cleaning with direct vision
2. Protective of tissues, reparative
3. Healing by primary intention
4. Lack of pain or complications postoperatively
MODIFIED
WIDMAN FLAP
WITH PAPILLA
PRESERVATION
TECHNIQUE
PALATAL
INTERNAL BEVEL
INCISION
BASELINE
BASELINE
MODIFED WIDMAN FLAP
MODIFIED WF
1 év POSTOP.
(MWF)
Baseline
Baseline X-ray
Periodontal charting
12
6 3 3
1 0,5 1
6 2,5 5
3 0,5 2
11
4 3 4
1 0 0
4,5 2 4
2 0 1
242322211314
6 3 5
0 0 0
5 5 5
0 0 0
5 6 5
0 0 1
6 3 4
0 0 1
5 4 4
0 0 1
3 3 4
1 0 1
PD
G
R
Pal
5 2 3
1 1 1
4 2 5
2 2 1
5 3 4
3 3 2
6 2 4
1 0 2
6 2 5
1 2 1
3 1,5 6
1 1,5 1
PD
G
R
Bucc
Surgery
Removing granulation tissue and
osteoplasty
3 months control
7 months control
232221111213
3 2 4
2 1 2
3 2 3
3 2 1
4 1 2
2 1 3
3 2 3
2 1 2
4 2 4
2 1 2
2 2 4
1 1 1
PD
GR
Pal
3 2 3
2 5 2
3 1 3
4 5 4
4 2 2
2 1 3
2 2 3
3 2 2
3 1,5 3
2,5 3 2,5
2 1 3
2 4 2,5
PD
GR
Bucc
15 months control
232221111213
3 2 2
2 1 2
2 2 3
3 1 2
3 2 2
1 1 2
3 2 3
1 1 1
4 2 3
2 1 1,5
4 1 3
1 1,5 1
PD
GR
Pal
3 2 3
1,5 1 1
3 2 4
2 4 1,5
4 1 3
3 1 2,5
3 2 3
2 2 2
4 1,5 3
2 3 2
3 1,5 3
2 4 2
PD
GR
Bucc
Chronic periodontisi
1. Quadrant
Buccal
17 16 15 14 13 12 11
PD 6 4 6 4 1 4 4 1 4 5 2 3 3 3 3 3 3 4 4 3 2
GR 2 2 1 1 2 1 1 2 1 1 2 0 1 2 0 0 0 0 0 0 0
Palatinal
17 16 15 14 13 12 11
PD 8 7 6 6 4 5 4 5 6 7 6 4 4 2 4 5 1 5 6 4 4
GR 0 0 0 0 0 0 2 2 0 1 2 0 0 0 0 0 0 0 0 0 0
2. Quadrant
Buccal
21 22 23 24 25 26 27
PD 3 2 3 2 2 5 3 1 2 3 2 3 2 6 7 5 2 5 6 5 6
GR 0 0 0 0 1 1 0 0 0 0 1 0 1 1 2 0 1 2 0 2 1
Palatinal
21 22 23 24 25 26 27
PD 5 1 5 7 7 7 4 2 5 5 2 4 4 2 5 3 3 4 3 5 5
GR 0 0 0 0 0 0 0 0 0 0 0 0 0 0 0 0 1 1 0 1 1
3. Quadrant
Buccal
31 32 33 34 35 36 37 38
PD 4 2 4 4 2 4 7 3 3 5 2 3 3 1 5 7 2 6 6 4 5
GR 1 0 1 0 0 -1 -1 0 0 0 0 0 0 0 0 0 0 0 0 0 0
Lingual
31 32 33 34 35 36 37 38
PD 3 2 2 4 2 4 5 5 5 5 5 5 7 6 6 7 5 7 7 5 6
GR 1 1 1 0 0 0 0 1 0 1 1 2 1 0 1 0 0 0 1 0 0
4. QuadrantBuccal
48 47 46 45 44 43 42 41
PD 3 3 4 5 2 2 3 2 3 4 3 4 5 3 3 4 4 4
GR 1 0 0 1 1 1 0 1 0 0 0 1 1 0 1 1 0 1
Lingual
48 47 46 45 44 43 42 41
PD 6 6 7 6 7 5 5 5 5 4 4 3 5 2 3 2 1 2
GR 0 0 0 0 0 1 1 1 0 2 0 0 1 1 2 1 2 1
Buccal
17 16 15 14
PD 4 2 3 2 2 4 2 2 4 3 2 3
G
R
3 4 4 2 2 1 2 2 2 2 2 0
Palatinal
17 16 15 14
PD 8 7 6 6 4 4 3 4 4 5 6 4
G
R
0 0 1 1 1 1 3 2 3 3 2 0
1 year control
Buccal
17 16 15 14
PD 4 3 4 4 2 3 3 2 3 3 3 3
G
R
3 4 4 2 2 1 2 2 2 2 2 0
Palatinal
17 16 15 14
PD 5 5 4 4 3 4 3 3 4 3 4 4
GR 2 2 2 2 2 1 3 3 3 4 2 0
1,5 years control
3. Periodontal status (1,5 years)
Buccal
17 16 15 14 13 12 11
PD 4 3 4 4 2 3 3 2 3 3 3 3 3 2 3 3 2 3 3 2 3
GR 3 4 4 2 2 1 2 2 2 2 2 0 1 3 1 0 0 1 1 0 1
Palatinal
PD 5 5 4 4 3 4 3 3 4 3 4 4 4 2 4 4 2 4 4 3 4
GR 2 2 2 2 2 1 3 3 3 4 2 0 0 0 1 1 0 1 2 0 1
Buccal
21 22 23 24 25 26 27
PD 3 2 3 2 2 5 3 2 3 3 3 3 4 2 4 4 3 4
GR 1 0 1 2 2 2 0 0 0 0 1 0 1 1 2 2 4 3
Palatinal
PD 4 2 4 5 5 5 2 2 5 4 2 4 4 3 4 4 4 6
GR 1 0 1 1 1 2 2 0 0 1 0 0 1 1 1 2 2 1
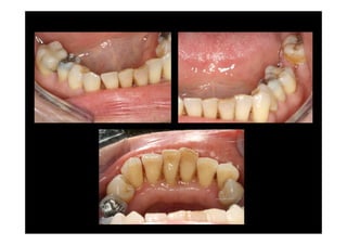
Prosthodontic rehabilitácion
SEPARION OF
INTERDENTAL
PAPILLAE
Modified papailla
preservation technique
BUCCAL DISPLACEMENT
OF INTERDENTAL
PAPIALLAE
POSTOPERATIVE
VIEW
Modified widman flap
Modified widman flap
Modified widman flap
Modified widman flap
Modified widman flap

Modified widman flap

  • 1.
  • 4.
    GINGIVAL CLOSED CURETTAGE Bydefinition a gingival curettage is the use of an instrument (curett) against the gingival side of a pocket in order to scrape and debride the soft tissue wall. Its purpose is to remove chronically inflamed tissue elements and help maintain a state of periodontal health. Gingival curettage is for pocket reduction, treatment of periodontal abscesses, presurgical debridement and periodontal maintenance.
  • 5.
    INDICATION · Localized, mildto moderate periodontitis · Shallow pocket depth · When more extensive surgery is contraindicated · Treatment of isolated infrabony pockets
  • 7.
  • 8.
    CONTRAINDICATION · Advanced periodontitiswith deeper infrabony pockets (treatment requires excellent vision during the operation) · Acute infection (ANUG) · Acute lession (periodontitis in patients with AIDS) · Fibrous epithelial enlargement (phenytoin hyperplasia) · Extension of the base of the pocket apical to mucogingival junction
  • 9.
    Advantage · Minimum tissueloss · Posibility for complete removal of infected crevicular epithelium and underlying connective tissue · Minimal discomfort to the patient · Minimal hemorrhage · Healing is often uneventful Disadvantage · Limited access can be obtained to deep or irregular pockets · Limited vision compare to flaps
  • 11.
    MODIFIED WIDMAN FLAP Flapdebridement surgery is defined: as surgical debridement of the root surface and the removal of granulation tissue following the reflection of the soft tissue flap. The most commonly practiced technique is based upon the 'modified Widman flap'.
  • 12.
    The original 'Widmanflap' was comprised of a mucoperiosteal flap. The flap was elevated to expose 2-3 mm of the alveolar bone. The soft tissue collar incorporating the pocket epithelium and connective tissue was removed, the exposed root surface scaled and the bone recontoured to re-establish a 'physiologic' alveolar form. The flap margins were placed at the level of the bony crest to achieve optimal pocket reduction. WIDMAN 1920 USA Widman I. The operative treatment of pyorrhoe alveolaris . A new surgical method. Brit Dent J 1920; 1:293. NEUMANN 1919 GERMANY Neumann R. Die Alveolar-Pyorrhöe und ihre Behandlung. 1920. 3rd ed. Berlin: H. Meusser
  • 13.
    The original 'Widmanflap' The main advantages of this technique as compared to gingivectomy were claimed to be less discomfort, since healing was by primary intention and re-establishment of a 'physiologic' bony contour at sites with angular bony defects.
  • 14.
    The term modifiedWidman flap Exposure of the interproximal bone and elimination of infrabony defects by osseous recontouring is not carried out. When esthetic considerations are paramount, intracrevicular incisions starting at the free gingival margins are used to minimize postsurgical gingival shrinkage. Vertical releasing incisions are usually not used KIRKLAND 1931 Kirkland O. The suppurative periodontal pus pocket; its treatment by the modified flap operation J Amer Dent Assoc 1931; 18:1462-1470. MODIFIED WIDMAN FLAP Ramfjord SP, Nissle RR. The modified Widman flap. J Periodontol 1974; 45:601-607.
  • 15.
    „Módosított Widman-lebeny” • Ramfjordand Nissle 1974- • modified Widman-flap” technique • „open curettage” • aim : • to remove BIOFILM , calculus and plaque retentive subgingival factors • • other name „access flap surgery”
  • 21.
    No 11 No12 No12 D No 15 No 15C
  • 24.
  • 29.
  • 31.
    THE MODIFIED WIDMANFLAP Purpose: • to make access to the root surface • to obtain an intimate postoperative adaptation of healthy collagenous connective tissue and normal epithelium to the root surface. No surgical pocket elimination and apical displacement of the flap.
  • 32.
    the aim ofthe modified Widman flap surgery is healing and reattachment of periodontal pockets with minimum loss of periodontal tissues during and after surgery reduction of probing pocket depth by shrinkage individually occurs.
  • 33.
    The modified Widmanflap " open gingival curettage" to obtain access to the root surface and an intimate postoperative adaptation of healthy collagenous connective tissue and normal epithelium to the root surface. do not aim at surgical pocket elimination and apical displacement of the flap.
  • 34.
    The modified Widmanflap to obtain access to the root surface and an intimate postoperative adaptation of healthy collagenous connective tissue and normal epithelium to the root surface. When esthetic considerations are paramount, intracrevicular incisions starting at the free gingival margins are used to minimize postsurgical gingival shrinkage. Vertical releasing incisions are usually not used
  • 35.
    Indications The MWF isindicated for the treatment of all types of periodontitis and provides excellent result with probing depths up to ca. 6 mm. - Advantageous use of MWF will depend upon the pathomorphologic situation on individual teeth and at various periodontal sites. - Possibility of establishing an intimate postoperative adaptation of healthy collagenous connective tissue and normal epithelium. - Minimal or no inflammation is present
  • 36.
    Advantages 1. Root cleaningwith direct vision 2. Protective of tissues, reparative 3. Healing by primary intention 4. Lack of pain or complications postoperatively
  • 37.
    Procedure The flap surgeryshould not be initiated until one or two months after completion of the hygienic phase of the periodontal therapy. The initial gingival incision "internal reverse bevel incision" should be made with a knife that can be directed parallel to the long axis of the tooth. Procedure The flap surgery should not be initiated unti two months after completion of the hygienic the periodontal therapy. The initial gingival incision should be made with a knife that can be directed parallel to the long axis of the tooth.
  • 38.
  • 40.
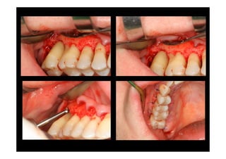
    A second incisionis made around the neck of each tooth from the bottom of the pocket to the alveolar crest. Vertical gingival releasing incision usually is not needed. A full thickness flap is elevated for only 1-2 mm from the alveolar crest as needed for access to the root surfaces and the interproximal one.
  • 41.
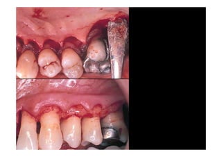
    The third andfinal incision is made with a narrow interproximal knife. The buccal and/or lingual flaps are deflected by a periosteal elevator on top of the alveolar crest to dissect free the collar of gingival tissues, which is been separated from the buccal and lingual gingival flaps and the teeth. The separated collar of gingival tissue is then removed with curettes.
  • 42.
  • 43.
  • 44.
  • 47.
  • 48.
  • 51.
  • 52.
  • 53.
  • 54.
  • 55.
  • 56.
  • 57.
    The modified Widmanflap Exposure of the interproximal bone and elimination of infrabony defects by osseous recontouring is not carried out. When esthetic considerations are paramount, intracrevicular incisions starting at the free gingival margins are used to minimize postsurgical gingival shrinkage. Vertical releasing incisions are usually not used
  • 58.
    Indications The MWF isindicated for the treatment of all types of periodontitis and provides excellent result with probing depths up to ca. 6 mm. - Advantageous use of MWF will depend upon the pathomorphologic situation on individual teeth and at various periodontal sites. - Possibility of establishing an intimate postoperative adaptation of healthy collagenous connective tissue and normal epithelium. - Minimal or no inflammation is present
  • 59.
    Advantages 1. Root cleaningwith direct vision 2. Protective of tissues, reparative 3. Healing by primary intention 4. Lack of pain or complications postoperatively
  • 60.
  • 61.
  • 62.
  • 63.
  • 64.
  • 65.
  • 66.
  • 67.
  • 68.
  • 69.
    Periodontal charting 12 6 33 1 0,5 1 6 2,5 5 3 0,5 2 11 4 3 4 1 0 0 4,5 2 4 2 0 1 242322211314 6 3 5 0 0 0 5 5 5 0 0 0 5 6 5 0 0 1 6 3 4 0 0 1 5 4 4 0 0 1 3 3 4 1 0 1 PD G R Pal 5 2 3 1 1 1 4 2 5 2 2 1 5 3 4 3 3 2 6 2 4 1 0 2 6 2 5 1 2 1 3 1,5 6 1 1,5 1 PD G R Bucc
  • 70.
  • 71.
  • 72.
  • 73.
    7 months control 232221111213 32 4 2 1 2 3 2 3 3 2 1 4 1 2 2 1 3 3 2 3 2 1 2 4 2 4 2 1 2 2 2 4 1 1 1 PD GR Pal 3 2 3 2 5 2 3 1 3 4 5 4 4 2 2 2 1 3 2 2 3 3 2 2 3 1,5 3 2,5 3 2,5 2 1 3 2 4 2,5 PD GR Bucc
  • 74.
    15 months control 232221111213 32 2 2 1 2 2 2 3 3 1 2 3 2 2 1 1 2 3 2 3 1 1 1 4 2 3 2 1 1,5 4 1 3 1 1,5 1 PD GR Pal 3 2 3 1,5 1 1 3 2 4 2 4 1,5 4 1 3 3 1 2,5 3 2 3 2 2 2 4 1,5 3 2 3 2 3 1,5 3 2 4 2 PD GR Bucc
  • 75.
  • 77.
    1. Quadrant Buccal 17 1615 14 13 12 11 PD 6 4 6 4 1 4 4 1 4 5 2 3 3 3 3 3 3 4 4 3 2 GR 2 2 1 1 2 1 1 2 1 1 2 0 1 2 0 0 0 0 0 0 0 Palatinal 17 16 15 14 13 12 11 PD 8 7 6 6 4 5 4 5 6 7 6 4 4 2 4 5 1 5 6 4 4 GR 0 0 0 0 0 0 2 2 0 1 2 0 0 0 0 0 0 0 0 0 0
  • 78.
    2. Quadrant Buccal 21 2223 24 25 26 27 PD 3 2 3 2 2 5 3 1 2 3 2 3 2 6 7 5 2 5 6 5 6 GR 0 0 0 0 1 1 0 0 0 0 1 0 1 1 2 0 1 2 0 2 1 Palatinal 21 22 23 24 25 26 27 PD 5 1 5 7 7 7 4 2 5 5 2 4 4 2 5 3 3 4 3 5 5 GR 0 0 0 0 0 0 0 0 0 0 0 0 0 0 0 0 1 1 0 1 1
  • 79.
    3. Quadrant Buccal 31 3233 34 35 36 37 38 PD 4 2 4 4 2 4 7 3 3 5 2 3 3 1 5 7 2 6 6 4 5 GR 1 0 1 0 0 -1 -1 0 0 0 0 0 0 0 0 0 0 0 0 0 0 Lingual 31 32 33 34 35 36 37 38 PD 3 2 2 4 2 4 5 5 5 5 5 5 7 6 6 7 5 7 7 5 6 GR 1 1 1 0 0 0 0 1 0 1 1 2 1 0 1 0 0 0 1 0 0
  • 80.
    4. QuadrantBuccal 48 4746 45 44 43 42 41 PD 3 3 4 5 2 2 3 2 3 4 3 4 5 3 3 4 4 4 GR 1 0 0 1 1 1 0 1 0 0 0 1 1 0 1 1 0 1 Lingual 48 47 46 45 44 43 42 41 PD 6 6 7 6 7 5 5 5 5 4 4 3 5 2 3 2 1 2 GR 0 0 0 0 0 1 1 1 0 2 0 0 1 1 2 1 2 1
  • 84.
    Buccal 17 16 1514 PD 4 2 3 2 2 4 2 2 4 3 2 3 G R 3 4 4 2 2 1 2 2 2 2 2 0 Palatinal 17 16 15 14 PD 8 7 6 6 4 4 3 4 4 5 6 4 G R 0 0 1 1 1 1 3 2 3 3 2 0
  • 88.
    1 year control Buccal 1716 15 14 PD 4 3 4 4 2 3 3 2 3 3 3 3 G R 3 4 4 2 2 1 2 2 2 2 2 0 Palatinal 17 16 15 14 PD 5 5 4 4 3 4 3 3 4 3 4 4 GR 2 2 2 2 2 1 3 3 3 4 2 0
  • 89.
  • 92.
    3. Periodontal status(1,5 years) Buccal 17 16 15 14 13 12 11 PD 4 3 4 4 2 3 3 2 3 3 3 3 3 2 3 3 2 3 3 2 3 GR 3 4 4 2 2 1 2 2 2 2 2 0 1 3 1 0 0 1 1 0 1 Palatinal PD 5 5 4 4 3 4 3 3 4 3 4 4 4 2 4 4 2 4 4 3 4 GR 2 2 2 2 2 1 3 3 3 4 2 0 0 0 1 1 0 1 2 0 1 Buccal 21 22 23 24 25 26 27 PD 3 2 3 2 2 5 3 2 3 3 3 3 4 2 4 4 3 4 GR 1 0 1 2 2 2 0 0 0 0 1 0 1 1 2 2 4 3 Palatinal PD 4 2 4 5 5 5 2 2 5 4 2 4 4 3 4 4 4 6 GR 1 0 1 1 1 2 2 0 0 1 0 0 1 1 1 2 2 1
  • 93.
  • 94.
  • 95.