Amalina Aminuddin
0820121000 67
Group of disorders
characterized by a progressive optic
neuropathy
resulting in a characteristic appearance
of optic disc
and a specific pattern of irreversible
visual field defects
that are associated frequently but not
invariably with raised intraocular
pressure.
A. CONGENITAL/
DEVELOPMENTAL
 Primary congenital
glaucoma
 Developmental glaucoma
B. PRIMARY ADULT
GLAUCOMA
 Primary open angle
glaucoma [POAG]
 Primary angle closure
glaucoma [PACG]
 Primary mixed mechanism
glaucoma
C. SECONDARY
GLAUCOMA
Global prevalence
 2% > 40y
 10% > 80y
 Global 8%
 India 12.8%
Glaucoma blindness
Ethnic POAG PACG
Indian 1 1
Urban
Chinese
1 2
Mongolian 1 3
European,
African,
Hispanic
5 1
Glaucoma blindness
 GLAUCOMATOUS OCULAR DAMAGE
 progressive optic neuropathy due to death of retinal
ganglion cells (RGCs)  optic disc appearance and
specific visual field defects
 RETINAL GANGLION CELL (RGC) DEATH
 blocks the transport of growth factors (neurotrophins)
from the brain to the RGCs.
  apoptosis  engulfed by neighbouring cells, without
[inflammatory response]
 loss of retinal nerve fibres. optic disc changes and
specific visual field defects
A. Primary insults
 Raised intraocular pressure [ mechanical theory]
 Pressure independent factors [ vascular insufficiency
theory]
 Failure of autoregulatory mechanism of blood flow
 Vasospasm
 Systemic hypotension
 Other factors: acute blood loss, abnormal coagulation
B. Secondary insults [ excitotoxicity theory]
 Glutamate, nitric oxide, oxygen- free radicals
 Aka chronic simple glaucoma of adult onset
 Characterised by:
 Slowly progressive raised IOP [ >21mmHg on few occasions]
 Open normal appearing anterior angle chamber
 Optic disc cupping
 Specific visual field defects
 Not known exactly
PREDISPOSING AND
RISK FACTORS
 Intraocular pressure
 Hereditary [ Myocilin C ,
Optineurin, WD repeat
domain 36]
 Age
 Race
 Myopes
 Central corneal thickness
 Diabetics
 High blood pressure
 Smoking
 Thyrotoxicosis
 Corticosteroid
responsiveness
 Failure of aqueous outflow
pump mechanism due to
trabecular meshwork
stiffening and apposition of
Schlemm’s canal wall
 Thick, sclerosed trabecular
meshwork with faulty collagen
tissue
 Narrowing of intertrabecular
spaces
 Deposition of amorphous
material in juxtacanalicular
space
 Collapse of schelmm’s canal and
absence of giant vacuoles in the
cells lining it
 Immunogenic mechanism
 Increased gammaglobulin
and plasma cell on
immunochemistry
 Positive ANA reaction in
some
 1% above 40y
 1/3 of glaucoma
Ethnic POAG PACG
European,
African,
Hispanic
5 1
Mongolian 1 3
Urban
Chinese
1 2
Indian 1 1
Symptoms
Signs
 Anterior segment signs
 Intraocular pressure changes
 Optic disc changes
 Visual field defects
 Ocular associations
 Asymptomatic
 Mild headache and eye ache
 Scotoma [ defect in visual
field]
 Increasing difficulty in
reading and close work
 Delayed dark adaptation
 Significant loss of vision ,
blindness
I. Anterior segment signs
II. Intraocular pressure changes
III. Optic disc changes
IV. Visual field defects
V. Ocular associations
 Slit lamp biomicroscopy : normal anterior segment
 Sluggish pupil reflex
 Slight hazy cornea
 Low [ <555µm] CCT
Initial:
 Diurnal variation test [ 3-4 h/24h]
 fall on evening
 5mmHg : suspicious
 >8mmHg : glaucoma
Later :
 Permanent rise
 30-45mmHg
 Best examination technique:
 stereoscopic view with contact or non-contact lens on slit lamp
biomicroscopic examination
 Recording and documentation :
 serial hand drawings, photography, photogrammetry, confocal
scanning laser topography [ CSLT], Heidelberg retinal
tomography [ HRT],coherence tomography [CT], nerve fibre
analyser [ NFA]
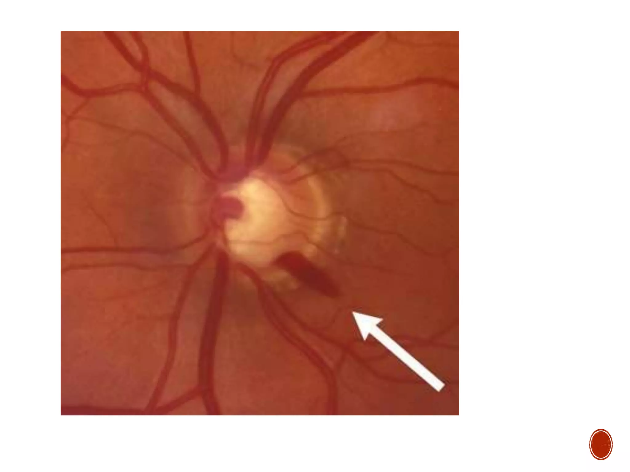
a. Early changes
 Vertically oval cup
 Cups symmetry between
eyes [>0.2]
 Large cup [ >0.6]
 Splinter hemorrhages
 Pallor areas on disc
 Retinal nerve fibre atrophy
[ red free light]
b. Advanced changes
 Marked cupping [ 0.7-0.9]
 Thinning of neuroretinal rim ( crescentic shadow)
 [ISNT rule]
 Nasal shift of retinal vessels [ Bayonetting sign]
 Retinal arterioles pulsation
 Lamellar dot sign
c. Glucomatous atrophy
 Destroyed neural tissue
 White, deeply excavated
optic nerve head
Distribution of retinal nerve
fibres
Arrangements of nerve fibres
within optic nerve head
 Initially observed in Bjerrum area
[ 10-25 degree from fixation]
1) Isopter contracture
2) Baring of blind spot
3) Small wing- shaped paracentral
scotoma
4) Seidel’s scotoma
5) Bjerrum’s scotoma /Arcuate
6) Ring/ Double arcuate scotoma
7) Roenne’s central nasal step
8) Peripheral field defects
9) Advanced glaucomatous field
defects [ tubular vision,
temporal island]
Diagnosis
 Tested twice
 In conjunction with clinical
feature
Progression
 Comparing individual
single field printouts
 Overview printout
 Progression analysis
software
 Visual field index
 High myopia
 Fuch’s endothelial dystrophy
 Retinitis pigmentosa,
 Central retinal vein occlusion
 Primary retinal detachment.
1) Tonometry. Applanation tonometry
2) Central corneal thickness [ corrected
readings in < 545 and > 600 microns]
3) Diurnal variation test [ early cases ]
4) Gonioscopy [ rule out other forms of
glaucoma]
5) Documentation of optic disc changes
1) Slit-lamp examination [rule out
causes of secondary open angle
glaucoma]
2) Perimetry to detect the visual
field defects.
3) Nerve fibre layer analyzer
(NFLA) detect glaucomatous
damage to retinal nerve fibre
before visual changes
4) Provocative tests [border-line
case]
 Water drinking test, bulbar
pressure test, prescoline test,
caffeine test
 Depend upon level of IOP,
glaucomatous cupping of
the optic disc and the
visual field changes :
 Primary open angle
glaucoma (POAG)
 IOP >21 mm of Hg +
definite glaucomatous optic
disc cupping + visual field
changes
 Ocular hypertension
 IOP >21 mm of Hg but no
optic disc or visual field
changes
 Normal or low tension
glaucoma (NTG) (LTG)
 IOP < 21 mm of Hg +
glaucomatous optic disc
cupping + /-visual field
changes
 Aim : to lower
intraocular pressure
to a level where
(further) visual loss
does not occur
 Baseline data :
 visual acuity, slit-
lamp examination of
anterior segment,
tonometry ,optic disc
evaluation, gonioscopy
and visual field
charting.
 American Academy of
Ophthalmology (AAO)
grading
Degree Description
Mild Characteristic optic-nerve
abnormalities are consistent
with glaucoma but with normal
visual field.
Moderate Visual-field abnormalities in one
hemi field and not within 5
degrees of fixation.
Severe Visual-field abnormalities in
both hemifields and within 5
degrees of fixation
A. Medical therapy
B. Laser trabeculoplasty
C. Filteration surgery
BASIC PRINCIPLES
1. Identification of target
pressure.
 <16 to 18 mmHg mild to
maderate damage.
 12-14 mmHg severe
damage.
2. Single drug therapy.
 topical antiglaucoma
drugs
3. Combination therapy
4. Monitoring of therapy
 disc changes, field changes
, tonometry
Class Used in Mechanism of
action
Prostaglandin analogues
• Latanoprost 0.005
• Travoprost 0.004
• Bimatoprost 0.003
• Unoprostone 0.15
• First choice
• Good adjunctive drug
• Incease uveo-
scleral outflow
Topical beta-blockers
• Timolol maleate ( 0.25,
0.5% )
• Betaxolol (0.25% )
• Levobunolol (0.25, 0.5%)
• Carteolol (1%)
First choice in poor
• initial therapy, not in
bronchial asthma /heart
blocks.
• Cardiopulmonary problems.
• Once a day use
• hyperlipidemias
/atherosclerotic
cardiovascular disease.
• Reduces
aqueous
secretion [beta -
receptors in the
ciliary
processes].
Class Used in Mechanism of action
Adrenergic drugs.
Epinephrine
hydrochloride (0.5, 1, 2%)
Dipivefrine hydrochloride
(0.1%)
• Combination therapy:
failure of filtration
[glaucoma surgery,
• allergy]
increasing aqueous
outflow by stimulating
beta
recepters in the aqueous
outflow system
Brimonidine (0.2%) • second drug of choice ,
combination therapy
• [allergy and
tachyphylaxis]
lowers IOP by
decreasing aqueous
production
Dorzolamide
(2%: 2-3 times/day)
• second line of drug
adjunct drug.
decreasing aqueous
secretion by altering ion
transport along ciliary
epithelium
Pilocarpine
(1, 2, 4%: 3-4 times/day).
• adjunctive therapy
• second choice (poor
patient)
• [accommodation and
miosis spasm in young ]
mechanically
increasing aqueous
outflow
 Combination of two drugs
 One decreases aqueous production (timolol /betablocker,
/brimonidine / dorzolamide)
 Another drug increase aqueous outflow (latanoprost /
brimonidine / pilocarpine)
 Oral carbonic anhydrase inhibitors
 Acetozalamide, methazolamide
 Not recommended for long-term use , may be added to control
IOP for short term
 Hyperosmotic agents
 mannitol 1-2 mg/kg initially for patient with > 30mmHg IOP
 Done using argon laser ,
diode laser or selective
laser trabeculoplasty
 uncontrolled IOP despite
maximal tolerated medical
therapy
 primary therapy in non-
compliance to medical
therapy
 Technique and role of ALT
/ DLT
 additive effect to medical
therapy.
 Lower 8-10 mmHg / 12-16
mmHg
 Treatment regime
 50 spots on anterior half of
the trabecularmeshwork
over 180°.
 Complications
 transient acute rise of IOP,
(pretreatment with
pilocarpine /acetazolamide)
 Transient inflammation
(topical steroids for 3-4
days)
 haemorrhage, uveitis,
peripheral anterior
synechiae and reduced
accommodation.
 Selective laser trabeculoplasty (SLT)
 Targets selctively pigmented trabecular meshwork (TM)
cells without causing thermal/ collateral damage to non-
pigmented cell
 No scar / damage to TM
 Can be used in patients treated with ALT
INDICATIONS
1. Uncontrolled glaucoma despite maximal medical therapy
and laser trabeculoplasty.
2. Non-compliance of medical therapy and nonavailability of
ALT.
3. Failure with medical therapy and unsuitable for ALT either
due to lack of cooperation or inability to visualize the
trabeculum.
4. Eyes with advanced disease i.e., having very high IOP,
advanced cupping and advanced field loss should be treated
with filtration surgery as primary line of management.
 Trabeculectomy ( congenital/developmental glaucoma)
 Filtration operations
 provide a new channel for aqueous outflow and control the IOP
(below 21 mm of Hg).
 A.External filteration surgery
 1. Free-filtering operations (Full thickness fistula).
 Elliot's sclero-corneal trephining, punch sclerectomy, Scheie's
thermosclerostomy and iridencleisis.
 2. Guarded filtering surgery (Partial thickness fistula e.g.,
trabeculectomy).
 3. Non-penetrating filtration surgery e.g., deep sclerectomy and
viscocanalostomy.
 B.Internal filteration surgery
 Carain in 1980
 most frequently performed
partial thickness filtering
surgery
 Indications
 1. Primary angle-closure
glaucoma with peripheral
anterior synechial involving
more than 270 degree angle.
 2. Primary open-angle
glaucoma not controlled with
medical treatment.
 3. Congenital and
developmental glaucomas
where trabeculotomy and
goniotomy fail.
 4. Secondary glaucomas where
medical therapy is not
effective.
 Mechnanisms of
filtration
 1. fistula created around
margin of scleral flap,
through which aqueous
flows from anterior
chamber into
subconjunctival space.
 2. If the tissue is
dissected posterior to the
scleral spur, a
cyclodialysis produced
leading to increased
uveoscleral outflow.
Surgical technique
 1. initial steps of anaesthesia,
draping, exposure of eyeball
and fixation with superior
rectus suture are similar to
cataract operation
 2. Conjunctival flap
 A fornix-based or limbal-based
conjunctival flap is fashioned
and the underlying sclera is
exposed. The Tenon’s capsule is
cleared away using a Tooke’s
knife,and haemostasis is
achieved with cautery.
 3. Scleral flap .
 A partial thickness limbal-based
scleral flap of 5 mm × 5 mm size
is reflected down towards the
cornea.
 4. Excision of trabecular tissue
narrow strip (4 mm × 2 mm) of
the exposed deeper sclera near
the cornea containing the canal
of Schlemm and trabecular
meshwork is excised.
 5. Peripheral iridectomy
 performed at 12 O’clock
position with de Wecker’s
scissors.
 6. Closure.
 The scleral flap is replaced
and 10-0 nylon sutures are
applied. Then the
conjunctival flap is reposited
and sutured with two
interrupted sutures (in case
of fornix-based flap) or
continuous suture (in case of
limbal-based flap)
 7. Subconjunctival
injections of dexamethasone
and gentamicin are given.
 8. patching
 Eye patched with sterile eye
pad
Complications
 Postoperative shallow
anterior chamber,
 hyphaema,
 iritis,
 Cataract due to accidental
injury to the lens,
 endophthalmitis
Antimetabolites
 for wound modulation, when
any risk factors for the failure
of trabeculectomy present :
 1. Previous failed filtration
surgery.
 2. Glaucoma-in-aphakia.
 3. Certain secondary glaucomas
e.g. inflammatory glaucoma,
post-traumatic angle recession
glaucoma, neovascular glaucoma
 4.Patients treated with topical
antiglaucoma medications >
three years.
 5. Chronic cicatrizing
conjunctival inflammation.
 Agents.
 5-fluorouracil (5-FU)
 mitomycin-C (MMC)
 Collagen implant
Sutureless trabeculectomy
 1. initial steps
 2. conjunctival flap
 Sclero-corneal valvular
tunnel (4mmX 4mm )
 Make 4mm partial
thickness scleral groove,
2.5mm away from superior
limbus. 4mm wide extends
1.5mm in corneausing a
crescent knife.
 4. entry into anterior
chamber using 3.2 angled
keratome
 5.Punching of post. Lip of
anterior chamber entry
site with Kelly’s punch
 6. peripheral iridectomy at
12 o’clock position using
Wecker’s /Vanna’s scissors
 7. closure
 Anterior chamber filled
with BSS/air to close
sclero-tunnel incision.
Non- penetrating filteration surgeries
 anterior chamber not
entered. [reduce post-
operative endophthalmitis,
overfiltration and
hypotony]
 disadvantage : less IOP
control
 1. Deep sclerectomy.
 partial thickness scleral
flap, a second deep partial
thickness scleral flap is
fashioned and excised
leaving very thin sclera,
trabeculum and
Descemet’s membrane
 superficial scleral flap is
loosly approximated and
conjunctival incision
closed.
 2. Viscocanalostomy.
 similar to deep
sclerectomy, except that
after excising the deeper
scleral flap, high viscosity
viscoelastic substance is
injected into the
Schlemm's canal with a
special cannula.
 Restore filteration through
Schlemm’s canal
 To keep normal anatomy
and conjunctival bleb
free reducing risk of
endophthalmitis and
ocular hypotomy
 1. canaloplasty ( dilatation
and circumferential
traction of canal)
 2. trabectome ab interno
microcautery that ablates
TM and inner wall of
Schlemm’s canal
 3.iStent titanium micro
device placed inside
Schelmm’s cannal
OCULAR
HYPERTENSION
 IOP >21 mm of Hg
but no optic disc/
visual field changes
 Treated as POAG in
the presence of high
risk factors
 GLAUCOMA SUSPECT
 An adult having normal open
angle on gonioscopy and any
of:
 Elevated IOP
 Suspicious disc changes [
asymmetric cup-disc >0.2,
narrowing of neuroretinal
rim, disc hemmorrhage
 Visual field consistent with
glaucomatous damage
High risk factors :
 Ocular hypertension study
[ OHTS] & European
Glaucoma Prevention
Study [ EGPS]
 IOP> 30mmHg
 CCT > 550µm
 Vertical cup :disc > 0.7
 Increased age
 Increased pattern
standard deviation (PSD)
on Humphrey visual field
test
 Disc haemmorrhages
Other risk factors :
 Family history
 Fellow eye of unilateral
POAG
 Ocular condition: myopia,
steroid responder , positive
diurnal variation
 Systemic: DM , sleep
apnea, hypertension,
hypothyroidism,
migranous headaches and
vasospasm
Treatment
 Patients with high-risk
factors
 Same as POAG
 Patients with no high risk
factors
 annual examination of
optic disc, perimetry and
record of IOP
 Treatment is not required
till glaucomatous damage
is documented.
NORMAL TENSION
GLAUCOMA
 IOP< 21 mm of Hg with typical glaucomatous disc changes
w/wo visual field defects a
 angle of anterior chamber is open on gonioscopy , no
secondary cause for glaucomatous disc changes.
 16% of all cases of POAG ,
 > 40 years is 0.2%.
Etiopathogenesis
 chronic low vascular
perfusion, which makes
the optic nerve head
susceptible to normal IOP.
 supported by following :
 Raynauld phenomenon i.e.,
peripheral vascular spasm
on cooling,
 Migraine,
 Nocturnal systemic
hypotension and
overtreated systemic
hypertension.
 Reduced blood flow velocity
in the ophthalmic artery
Clinical features
 IOP < 21mmHg
 Optic disc changes
 Significant thinning of
neuroretinal rim
 Frequent disc splinter
hemmorrhages
 Prevalent peripapillary
atrophic changes
 Visual field defects :
 Deeper, steeper, more
localised,
High pressure glaucoma
 Early stages of POAG
 Glaucoma with
intermittent rise in IOP
 Previous episode of
glaucoma
Non-glaucomatous optic
neuropathy
 Congenital optic disc
anomalies
 Acquired optic
neuropathies
 1.Medical treatment
 lower IOP by 30% [12-14 mm
of Hg]
 Betaxolol ,drug of choice
[lowering IOP , increases
optic nerve blood flow]
 Avoid other beta blockers
and adrenergic drugs
(nocturnal systemic
hypotension )
 Neuroprotective effect –
brimonidine
 Prostaglandin analogues,
e.g., latanoprost [greater
ocular hypotensive effect in
eyes with normal IOP]
 2. Trabeculectomy
 progressive field loss
 3. Systemic calcium channel
blockers (e.g., nifedipine)
 patients with peripheral
vasospasm.
 4. Monitoring of systemic
blood pressure should
bedone for 24 hours. avoid
night dose of anti-
hypertensive.
Mellss yr4 opthalmology glaucoma  primary open angle

Mellss yr4 opthalmology glaucoma primary open angle

  • 1.
  • 5.
    Group of disorders characterizedby a progressive optic neuropathy resulting in a characteristic appearance of optic disc and a specific pattern of irreversible visual field defects that are associated frequently but not invariably with raised intraocular pressure.
  • 6.
    A. CONGENITAL/ DEVELOPMENTAL  Primarycongenital glaucoma  Developmental glaucoma B. PRIMARY ADULT GLAUCOMA  Primary open angle glaucoma [POAG]  Primary angle closure glaucoma [PACG]  Primary mixed mechanism glaucoma C. SECONDARY GLAUCOMA
  • 8.
    Global prevalence  2%> 40y  10% > 80y  Global 8%  India 12.8% Glaucoma blindness Ethnic POAG PACG Indian 1 1 Urban Chinese 1 2 Mongolian 1 3 European, African, Hispanic 5 1 Glaucoma blindness
  • 9.
     GLAUCOMATOUS OCULARDAMAGE  progressive optic neuropathy due to death of retinal ganglion cells (RGCs)  optic disc appearance and specific visual field defects  RETINAL GANGLION CELL (RGC) DEATH  blocks the transport of growth factors (neurotrophins) from the brain to the RGCs.   apoptosis  engulfed by neighbouring cells, without [inflammatory response]  loss of retinal nerve fibres. optic disc changes and specific visual field defects
  • 10.
    A. Primary insults Raised intraocular pressure [ mechanical theory]  Pressure independent factors [ vascular insufficiency theory]  Failure of autoregulatory mechanism of blood flow  Vasospasm  Systemic hypotension  Other factors: acute blood loss, abnormal coagulation B. Secondary insults [ excitotoxicity theory]  Glutamate, nitric oxide, oxygen- free radicals
  • 12.
     Aka chronicsimple glaucoma of adult onset  Characterised by:  Slowly progressive raised IOP [ >21mmHg on few occasions]  Open normal appearing anterior angle chamber  Optic disc cupping  Specific visual field defects
  • 13.
     Not knownexactly PREDISPOSING AND RISK FACTORS  Intraocular pressure  Hereditary [ Myocilin C , Optineurin, WD repeat domain 36]  Age  Race  Myopes  Central corneal thickness  Diabetics  High blood pressure  Smoking  Thyrotoxicosis  Corticosteroid responsiveness
  • 14.
     Failure ofaqueous outflow pump mechanism due to trabecular meshwork stiffening and apposition of Schlemm’s canal wall  Thick, sclerosed trabecular meshwork with faulty collagen tissue  Narrowing of intertrabecular spaces  Deposition of amorphous material in juxtacanalicular space  Collapse of schelmm’s canal and absence of giant vacuoles in the cells lining it  Immunogenic mechanism  Increased gammaglobulin and plasma cell on immunochemistry  Positive ANA reaction in some
  • 15.
     1% above40y  1/3 of glaucoma Ethnic POAG PACG European, African, Hispanic 5 1 Mongolian 1 3 Urban Chinese 1 2 Indian 1 1
  • 16.
    Symptoms Signs  Anterior segmentsigns  Intraocular pressure changes  Optic disc changes  Visual field defects  Ocular associations
  • 17.
     Asymptomatic  Mildheadache and eye ache  Scotoma [ defect in visual field]  Increasing difficulty in reading and close work  Delayed dark adaptation  Significant loss of vision , blindness
  • 18.
    I. Anterior segmentsigns II. Intraocular pressure changes III. Optic disc changes IV. Visual field defects V. Ocular associations
  • 19.
     Slit lampbiomicroscopy : normal anterior segment  Sluggish pupil reflex  Slight hazy cornea  Low [ <555µm] CCT
  • 20.
    Initial:  Diurnal variationtest [ 3-4 h/24h]  fall on evening  5mmHg : suspicious  >8mmHg : glaucoma Later :  Permanent rise  30-45mmHg
  • 21.
     Best examinationtechnique:  stereoscopic view with contact or non-contact lens on slit lamp biomicroscopic examination  Recording and documentation :  serial hand drawings, photography, photogrammetry, confocal scanning laser topography [ CSLT], Heidelberg retinal tomography [ HRT],coherence tomography [CT], nerve fibre analyser [ NFA]
  • 22.
    a. Early changes Vertically oval cup  Cups symmetry between eyes [>0.2]  Large cup [ >0.6]  Splinter hemorrhages  Pallor areas on disc  Retinal nerve fibre atrophy [ red free light]
  • 24.
    b. Advanced changes Marked cupping [ 0.7-0.9]  Thinning of neuroretinal rim ( crescentic shadow)  [ISNT rule]  Nasal shift of retinal vessels [ Bayonetting sign]  Retinal arterioles pulsation  Lamellar dot sign
  • 25.
    c. Glucomatous atrophy Destroyed neural tissue  White, deeply excavated optic nerve head
  • 27.
    Distribution of retinalnerve fibres Arrangements of nerve fibres within optic nerve head
  • 29.
     Initially observedin Bjerrum area [ 10-25 degree from fixation] 1) Isopter contracture 2) Baring of blind spot 3) Small wing- shaped paracentral scotoma 4) Seidel’s scotoma 5) Bjerrum’s scotoma /Arcuate 6) Ring/ Double arcuate scotoma 7) Roenne’s central nasal step 8) Peripheral field defects 9) Advanced glaucomatous field defects [ tubular vision, temporal island]
  • 31.
    Diagnosis  Tested twice In conjunction with clinical feature Progression  Comparing individual single field printouts  Overview printout  Progression analysis software  Visual field index
  • 32.
     High myopia Fuch’s endothelial dystrophy  Retinitis pigmentosa,  Central retinal vein occlusion  Primary retinal detachment.
  • 33.
    1) Tonometry. Applanationtonometry 2) Central corneal thickness [ corrected readings in < 545 and > 600 microns] 3) Diurnal variation test [ early cases ] 4) Gonioscopy [ rule out other forms of glaucoma] 5) Documentation of optic disc changes
  • 34.
    1) Slit-lamp examination[rule out causes of secondary open angle glaucoma] 2) Perimetry to detect the visual field defects. 3) Nerve fibre layer analyzer (NFLA) detect glaucomatous damage to retinal nerve fibre before visual changes 4) Provocative tests [border-line case]  Water drinking test, bulbar pressure test, prescoline test, caffeine test
  • 35.
     Depend uponlevel of IOP, glaucomatous cupping of the optic disc and the visual field changes :  Primary open angle glaucoma (POAG)  IOP >21 mm of Hg + definite glaucomatous optic disc cupping + visual field changes  Ocular hypertension  IOP >21 mm of Hg but no optic disc or visual field changes  Normal or low tension glaucoma (NTG) (LTG)  IOP < 21 mm of Hg + glaucomatous optic disc cupping + /-visual field changes
  • 36.
     Aim :to lower intraocular pressure to a level where (further) visual loss does not occur  Baseline data :  visual acuity, slit- lamp examination of anterior segment, tonometry ,optic disc evaluation, gonioscopy and visual field charting.  American Academy of Ophthalmology (AAO) grading Degree Description Mild Characteristic optic-nerve abnormalities are consistent with glaucoma but with normal visual field. Moderate Visual-field abnormalities in one hemi field and not within 5 degrees of fixation. Severe Visual-field abnormalities in both hemifields and within 5 degrees of fixation
  • 37.
    A. Medical therapy B.Laser trabeculoplasty C. Filteration surgery
  • 38.
    BASIC PRINCIPLES 1. Identificationof target pressure.  <16 to 18 mmHg mild to maderate damage.  12-14 mmHg severe damage. 2. Single drug therapy.  topical antiglaucoma drugs 3. Combination therapy 4. Monitoring of therapy  disc changes, field changes , tonometry
  • 39.
    Class Used inMechanism of action Prostaglandin analogues • Latanoprost 0.005 • Travoprost 0.004 • Bimatoprost 0.003 • Unoprostone 0.15 • First choice • Good adjunctive drug • Incease uveo- scleral outflow Topical beta-blockers • Timolol maleate ( 0.25, 0.5% ) • Betaxolol (0.25% ) • Levobunolol (0.25, 0.5%) • Carteolol (1%) First choice in poor • initial therapy, not in bronchial asthma /heart blocks. • Cardiopulmonary problems. • Once a day use • hyperlipidemias /atherosclerotic cardiovascular disease. • Reduces aqueous secretion [beta - receptors in the ciliary processes].
  • 40.
    Class Used inMechanism of action Adrenergic drugs. Epinephrine hydrochloride (0.5, 1, 2%) Dipivefrine hydrochloride (0.1%) • Combination therapy: failure of filtration [glaucoma surgery, • allergy] increasing aqueous outflow by stimulating beta recepters in the aqueous outflow system Brimonidine (0.2%) • second drug of choice , combination therapy • [allergy and tachyphylaxis] lowers IOP by decreasing aqueous production Dorzolamide (2%: 2-3 times/day) • second line of drug adjunct drug. decreasing aqueous secretion by altering ion transport along ciliary epithelium Pilocarpine (1, 2, 4%: 3-4 times/day). • adjunctive therapy • second choice (poor patient) • [accommodation and miosis spasm in young ] mechanically increasing aqueous outflow
  • 41.
     Combination oftwo drugs  One decreases aqueous production (timolol /betablocker, /brimonidine / dorzolamide)  Another drug increase aqueous outflow (latanoprost / brimonidine / pilocarpine)
  • 42.
     Oral carbonicanhydrase inhibitors  Acetozalamide, methazolamide  Not recommended for long-term use , may be added to control IOP for short term  Hyperosmotic agents  mannitol 1-2 mg/kg initially for patient with > 30mmHg IOP
  • 43.
     Done usingargon laser , diode laser or selective laser trabeculoplasty  uncontrolled IOP despite maximal tolerated medical therapy  primary therapy in non- compliance to medical therapy  Technique and role of ALT / DLT  additive effect to medical therapy.  Lower 8-10 mmHg / 12-16 mmHg  Treatment regime  50 spots on anterior half of the trabecularmeshwork over 180°.  Complications  transient acute rise of IOP, (pretreatment with pilocarpine /acetazolamide)  Transient inflammation (topical steroids for 3-4 days)  haemorrhage, uveitis, peripheral anterior synechiae and reduced accommodation.
  • 45.
     Selective lasertrabeculoplasty (SLT)  Targets selctively pigmented trabecular meshwork (TM) cells without causing thermal/ collateral damage to non- pigmented cell  No scar / damage to TM  Can be used in patients treated with ALT
  • 46.
    INDICATIONS 1. Uncontrolled glaucomadespite maximal medical therapy and laser trabeculoplasty. 2. Non-compliance of medical therapy and nonavailability of ALT. 3. Failure with medical therapy and unsuitable for ALT either due to lack of cooperation or inability to visualize the trabeculum. 4. Eyes with advanced disease i.e., having very high IOP, advanced cupping and advanced field loss should be treated with filtration surgery as primary line of management.
  • 47.
     Trabeculectomy (congenital/developmental glaucoma)  Filtration operations  provide a new channel for aqueous outflow and control the IOP (below 21 mm of Hg).  A.External filteration surgery  1. Free-filtering operations (Full thickness fistula).  Elliot's sclero-corneal trephining, punch sclerectomy, Scheie's thermosclerostomy and iridencleisis.  2. Guarded filtering surgery (Partial thickness fistula e.g., trabeculectomy).  3. Non-penetrating filtration surgery e.g., deep sclerectomy and viscocanalostomy.  B.Internal filteration surgery
  • 48.
     Carain in1980  most frequently performed partial thickness filtering surgery  Indications  1. Primary angle-closure glaucoma with peripheral anterior synechial involving more than 270 degree angle.  2. Primary open-angle glaucoma not controlled with medical treatment.  3. Congenital and developmental glaucomas where trabeculotomy and goniotomy fail.  4. Secondary glaucomas where medical therapy is not effective.  Mechnanisms of filtration  1. fistula created around margin of scleral flap, through which aqueous flows from anterior chamber into subconjunctival space.  2. If the tissue is dissected posterior to the scleral spur, a cyclodialysis produced leading to increased uveoscleral outflow.
  • 49.
    Surgical technique  1.initial steps of anaesthesia, draping, exposure of eyeball and fixation with superior rectus suture are similar to cataract operation  2. Conjunctival flap  A fornix-based or limbal-based conjunctival flap is fashioned and the underlying sclera is exposed. The Tenon’s capsule is cleared away using a Tooke’s knife,and haemostasis is achieved with cautery.  3. Scleral flap .  A partial thickness limbal-based scleral flap of 5 mm × 5 mm size is reflected down towards the cornea.  4. Excision of trabecular tissue narrow strip (4 mm × 2 mm) of the exposed deeper sclera near the cornea containing the canal of Schlemm and trabecular meshwork is excised.  5. Peripheral iridectomy  performed at 12 O’clock position with de Wecker’s scissors.  6. Closure.  The scleral flap is replaced and 10-0 nylon sutures are applied. Then the conjunctival flap is reposited and sutured with two interrupted sutures (in case of fornix-based flap) or continuous suture (in case of limbal-based flap)  7. Subconjunctival injections of dexamethasone and gentamicin are given.  8. patching  Eye patched with sterile eye pad
  • 51.
    Complications  Postoperative shallow anteriorchamber,  hyphaema,  iritis,  Cataract due to accidental injury to the lens,  endophthalmitis Antimetabolites  for wound modulation, when any risk factors for the failure of trabeculectomy present :  1. Previous failed filtration surgery.  2. Glaucoma-in-aphakia.  3. Certain secondary glaucomas e.g. inflammatory glaucoma, post-traumatic angle recession glaucoma, neovascular glaucoma  4.Patients treated with topical antiglaucoma medications > three years.  5. Chronic cicatrizing conjunctival inflammation.  Agents.  5-fluorouracil (5-FU)  mitomycin-C (MMC)  Collagen implant
  • 52.
    Sutureless trabeculectomy  1.initial steps  2. conjunctival flap  Sclero-corneal valvular tunnel (4mmX 4mm )  Make 4mm partial thickness scleral groove, 2.5mm away from superior limbus. 4mm wide extends 1.5mm in corneausing a crescent knife.  4. entry into anterior chamber using 3.2 angled keratome  5.Punching of post. Lip of anterior chamber entry site with Kelly’s punch  6. peripheral iridectomy at 12 o’clock position using Wecker’s /Vanna’s scissors  7. closure  Anterior chamber filled with BSS/air to close sclero-tunnel incision.
  • 54.
    Non- penetrating filterationsurgeries  anterior chamber not entered. [reduce post- operative endophthalmitis, overfiltration and hypotony]  disadvantage : less IOP control  1. Deep sclerectomy.  partial thickness scleral flap, a second deep partial thickness scleral flap is fashioned and excised leaving very thin sclera, trabeculum and Descemet’s membrane  superficial scleral flap is loosly approximated and conjunctival incision closed.  2. Viscocanalostomy.  similar to deep sclerectomy, except that after excising the deeper scleral flap, high viscosity viscoelastic substance is injected into the Schlemm's canal with a special cannula.
  • 55.
     Restore filterationthrough Schlemm’s canal  To keep normal anatomy and conjunctival bleb free reducing risk of endophthalmitis and ocular hypotomy  1. canaloplasty ( dilatation and circumferential traction of canal)  2. trabectome ab interno microcautery that ablates TM and inner wall of Schlemm’s canal  3.iStent titanium micro device placed inside Schelmm’s cannal
  • 59.
    OCULAR HYPERTENSION  IOP >21mm of Hg but no optic disc/ visual field changes  Treated as POAG in the presence of high risk factors  GLAUCOMA SUSPECT  An adult having normal open angle on gonioscopy and any of:  Elevated IOP  Suspicious disc changes [ asymmetric cup-disc >0.2, narrowing of neuroretinal rim, disc hemmorrhage  Visual field consistent with glaucomatous damage
  • 60.
    High risk factors:  Ocular hypertension study [ OHTS] & European Glaucoma Prevention Study [ EGPS]  IOP> 30mmHg  CCT > 550µm  Vertical cup :disc > 0.7  Increased age  Increased pattern standard deviation (PSD) on Humphrey visual field test  Disc haemmorrhages Other risk factors :  Family history  Fellow eye of unilateral POAG  Ocular condition: myopia, steroid responder , positive diurnal variation  Systemic: DM , sleep apnea, hypertension, hypothyroidism, migranous headaches and vasospasm
  • 61.
    Treatment  Patients withhigh-risk factors  Same as POAG  Patients with no high risk factors  annual examination of optic disc, perimetry and record of IOP  Treatment is not required till glaucomatous damage is documented.
  • 62.
    NORMAL TENSION GLAUCOMA  IOP<21 mm of Hg with typical glaucomatous disc changes w/wo visual field defects a  angle of anterior chamber is open on gonioscopy , no secondary cause for glaucomatous disc changes.  16% of all cases of POAG ,  > 40 years is 0.2%.
  • 63.
    Etiopathogenesis  chronic lowvascular perfusion, which makes the optic nerve head susceptible to normal IOP.  supported by following :  Raynauld phenomenon i.e., peripheral vascular spasm on cooling,  Migraine,  Nocturnal systemic hypotension and overtreated systemic hypertension.  Reduced blood flow velocity in the ophthalmic artery Clinical features  IOP < 21mmHg  Optic disc changes  Significant thinning of neuroretinal rim  Frequent disc splinter hemmorrhages  Prevalent peripapillary atrophic changes  Visual field defects :  Deeper, steeper, more localised,
  • 64.
    High pressure glaucoma Early stages of POAG  Glaucoma with intermittent rise in IOP  Previous episode of glaucoma Non-glaucomatous optic neuropathy  Congenital optic disc anomalies  Acquired optic neuropathies
  • 65.
     1.Medical treatment lower IOP by 30% [12-14 mm of Hg]  Betaxolol ,drug of choice [lowering IOP , increases optic nerve blood flow]  Avoid other beta blockers and adrenergic drugs (nocturnal systemic hypotension )  Neuroprotective effect – brimonidine  Prostaglandin analogues, e.g., latanoprost [greater ocular hypotensive effect in eyes with normal IOP]  2. Trabeculectomy  progressive field loss  3. Systemic calcium channel blockers (e.g., nifedipine)  patients with peripheral vasospasm.  4. Monitoring of systemic blood pressure should bedone for 24 hours. avoid night dose of anti- hypertensive.

Editor's Notes

  • #2 This is a difficult topic. Be prepared.
  • #3 Explain about production, path, outflow of aqueous humor
  • #4 Trabecular and uveoscleral are the 2 outflow pathway
  • #6 Known about: Ocular hypertension Normal or low tension glaucoma
  • #7 The classification intermingled: in congenital and secondary , there can be open and close glaucoma too
  • #8 Know about Schaferr grading and that angle
  • #10 Neurotrophins stimulates regeneration of RGC Visual field defect develops after the damage extends beyond the normal physiological overlap of functional zones.
  • #11 Important to know these theories
  • #12 I will only present about primary open angle glaucoma
  • #13 No obvious cause of rise IOP
  • #14 50-70, black, thin CCT, DBP<55, 6w steroids
  • #18 Most pt present asymptomatic, the raised IOP are found out accidentally Periodic eye examination after 50y, freq change sin presbyopic glasses,
  • #20 Central corneal thickness
  • #21  morning 20%, aftrnoo 25%, biphasic 55%
  • #22 Study the normal optic disc first
  • #23 Selective loss of neural rim in inf n sup poles,
  • #25 Adv case: crescentic shadow ,Isnt rule ,, broken off at margin,, in high IOP,, in LC, slit shaped
  • #26 Pathophysiology of disc changes :Mechanical [ raised IOP forces LC back n squeeze nerve]and vascular factor [ischemic atrophy]
  • #27 Progression of optic disc changes
  • #28 Mild constriction of c n p field, exclusion of blind spot from central field due to inward curve of outer boundry of 3o,
  • #31 Grading based on Humphrey field analyzer. Difficult to understand
  • #33 asymmetrical, bilateral, slowly progressive edema of the cornea in elderly patient rare, genetic disorders that involve a breakdown and loss of cells in the retina
  • #34 8
  • #39 From the baseline evaluation data a ‘target pressure’ (below which glaucomatous damage is not likely to progress)
  • #41 Selective alpha-2-adrenergic agonist Contracts longitudinal muscle of ciliary body and opens spaces in trabecular meshwork
  • #44 ncreasing outflow facility, possibly by producing collagen shrinkage on the inner aspect of the trabecular meshwork and opening the intratrabecular spaces
  • #48 no longer performed [ full thickness fistula]
  • #52 Mitomycin-C is onlyused at the time of surgery. A sponge soaked in 0.02%(2 mg in 10 ml) solution of mitomycin-C is placed atthe site of filtration between the scleral and Tenon’s 6mm diamtr n imm thick sutured over scleral flap capsule for 2 minutes, followed by a thorough irrigation with balanced salt solution.