INTRODUCTION TO THORACIC 
SURGERY 
Professor 
Abdulsalam Y Taha 
School of Medicine/ University of Sulaimaniyah 
Sulaimaniyah/ Region of Kurdistan/ Iraq 
https://sulaimaniu.academia.edu/AbdulsalamTaha
TOPICS 
 Development of the lung. 
 Developmental Anomalies. 
 Anatomy of the lungs and the bronchial tree. 
 Diagnostic procedures in thoracic surgery. 
 Closed tube thoracostomy. 
 Aspirated tracheobronchial foreign bodies. 
 Pulmonary hydatid cysts.
DEVELOPMENT OF THE LUNG 
The lung develops as a bud from 
the primitive foregut. 
The branching of the bronchial tree 
is completed by the 16th week of 
intrauterine life.
DEVELOPMENTAL ANOMALIES 
Unilateral lung agenesis. 
Lobar Agenesis. 
Congenital lobar 
emphysema. 
Pulmonary sequestration.
CONGENITAL LOBAR EMPHYSEMA 
This is a rare condition 
which occurs in infants, 
due to a congenital absence 
of bronchial cartilage. 
A (ball valve) mechanism occurs 
in the bronchus of the affected lobe, 
usually the upper, 
which becomes increasingly distended. 
The treatment is lobectomy.
ANATOMY
BRONCHOPULMONARY SEGMENTS
BRONCHOPULMONARY SEGMENT 
 It is the structural unit of the lung. 
 ..Conical piece of lung parenchyma with its 
base at the periphery and its tip towards the 
lung hilum. 
 Each segment has its own segmental 
bronchus and artery. 
 The inter-segmental veins run in the inter-segmental 
plane and drain adjacent 
segments.
DIAGNOSTIC PROCEDURES 
 Chest radiography. 
 Computed tomography. 
 Sputum cytology. 
 Bronchoscopy. 
 Bronchography. 
 Pulmonary function tests.
BRONCHOSCOPY 
 It is the endoscopic visualization of the 
bronchial tree. 
 Types: rigid and flexible. 
 Indications: diagnostic and therapeutic. 
 Therapeutic: removal of foreign bodies, 
removal of retained chest secretions and 
stent placement.
DIAGNOSTIC BRONCHOSCOPY 
 Unresolved cough. 
 Haemoptysis. 
 Stridor. 
 Hoarseness of voice. 
 Suspected lung tumours. 
 Infective process: Bronchiectasis, Lung abscess, 
pulmonary tuberculosis. 
 Abnormal chest radiograph. 
 Positive sputum cytology with normal chest 
radiograph.
BRONCHOSCOPIC PICTURES
PULMONARY FUNCTION TESTS 
 Spirometry: measurement of lung volumes 
like: vital capacity and forced expirotory 
volume (FEV1). 
 Arterial blood gas analysis: P O2, P CO2 and 
Ph. 
 Perfusion and ventilation lung scans. 
 Pulmonary angiography.
CLOSED TUBE THORACOSTOMY 
 The chest tube is a tube drain of the pleural 
space. 
 The pleural space is a potential space. 
 The intra-pleural pressure is negative i.e, 
sub-atmospheric; important to keep the lung 
expanded. 
 Procedure, complications, removal.
INDICATIONS 
Abnormal collection of fluid and/ or air 
in the pleural space 
(air: pneumothorax, 
serous fluid: hydrothorax, 
blood: haemothorax, 
blood and air: haemopneumothorax, 
fluid and air: hydropneumothorax, 
pus: empyaema or pyothorax, 
pus and air: pyopneumothorax, 
lymph: chylothorax).
ASPIRATED TRACHEOBRONCHIAL 
FOREIGN BODIES 
 This is a common condition especially in 
children 1 to 5 yrs old. 
 The usual cause is family negligence. 
 Children may inhale varieties of foreign bodies: 
vegetable and non-vegetable. 
 Vegetable FB like watermelon seed, sunflower 
seed and peanuts induce a severe inflammatory 
reaction beside their mechanical effects. 
 Metallic FB also occurs like safety pins. 
 Crying and laughing while eating is the usual 
mechanism.
DIAGNOSIS 
 History: the accident may have been witnessed by a 
family member or not. 
 Choking while eating or playing is common. 
 Sudden onset of dyspnea in a previously healthy 
child. 
 Cyanotic attack. Persistent cough. 
 Strider (a harsh inspiratory sound produced by an 
upper airway obstruction may indicate a FB in 
central airway like larynx or trachea. 
 Unilateral wheeze. 
 Fever occurs when there is a superadded infection.
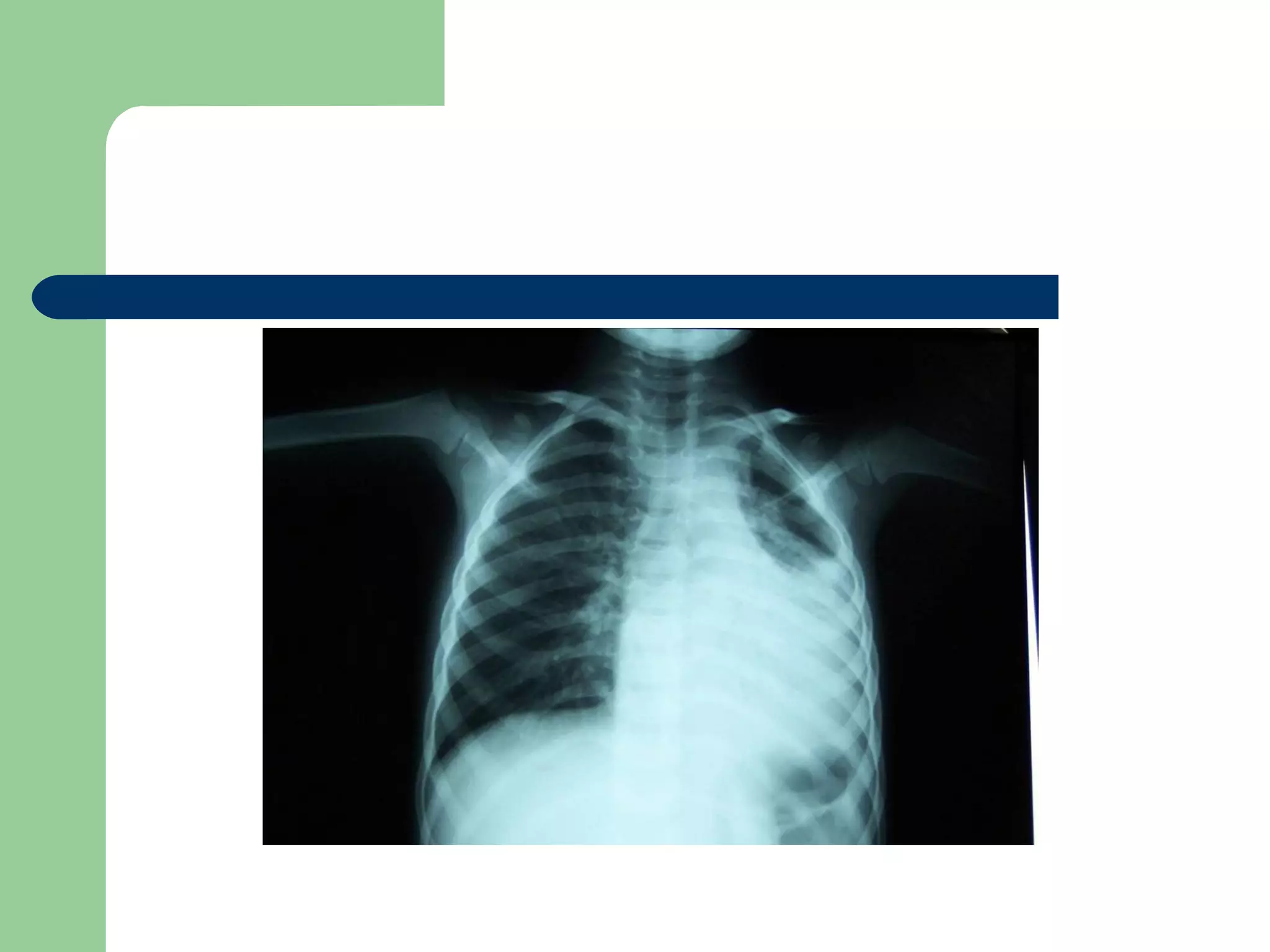
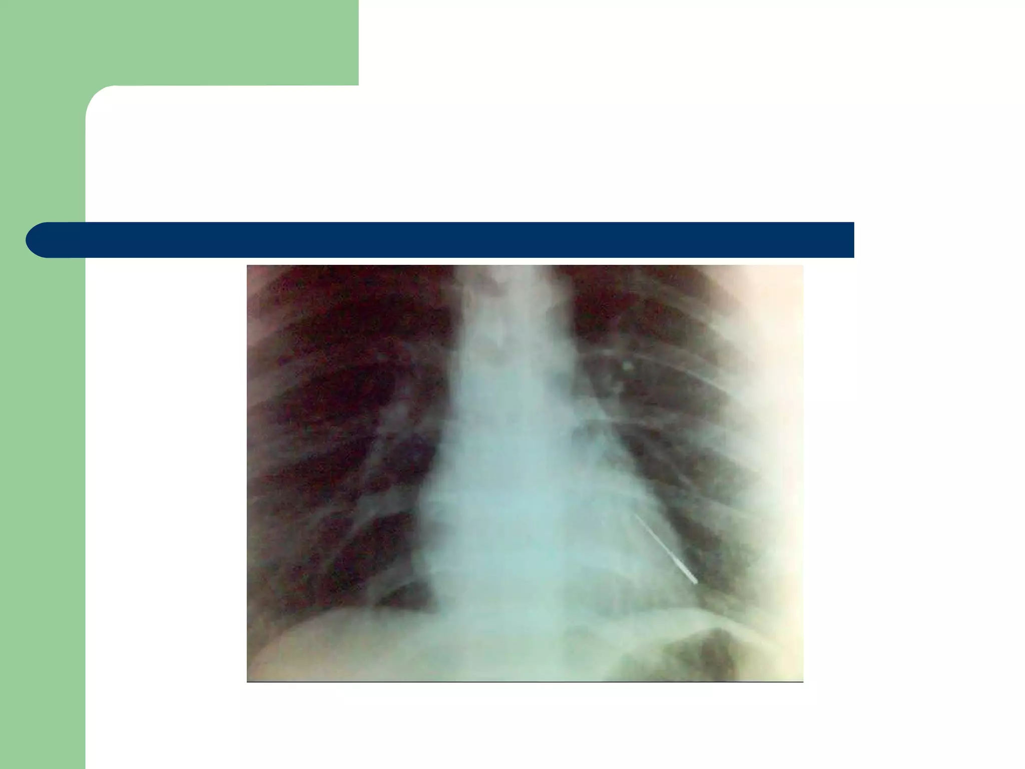
DIAGNOSIS… 
 Examination: signs of respiratory distress may be present. 
 CXR may be normal if the FB is not radio- opaque. 
or it can show a radio- opaque FB such as bone. 
Obstructive emphysema: is produced by intra-bronchial 
FB that allows air to enter in inspiration and prevents its 
exit in expiration. 
Lung collapse (complete or partial) is produced by a FB 
that blocks the bronchus completely. 
Unresolved pneumonic consolidation. 
Lung abscess or broncheictasis are caused by a long-standing 
FB.
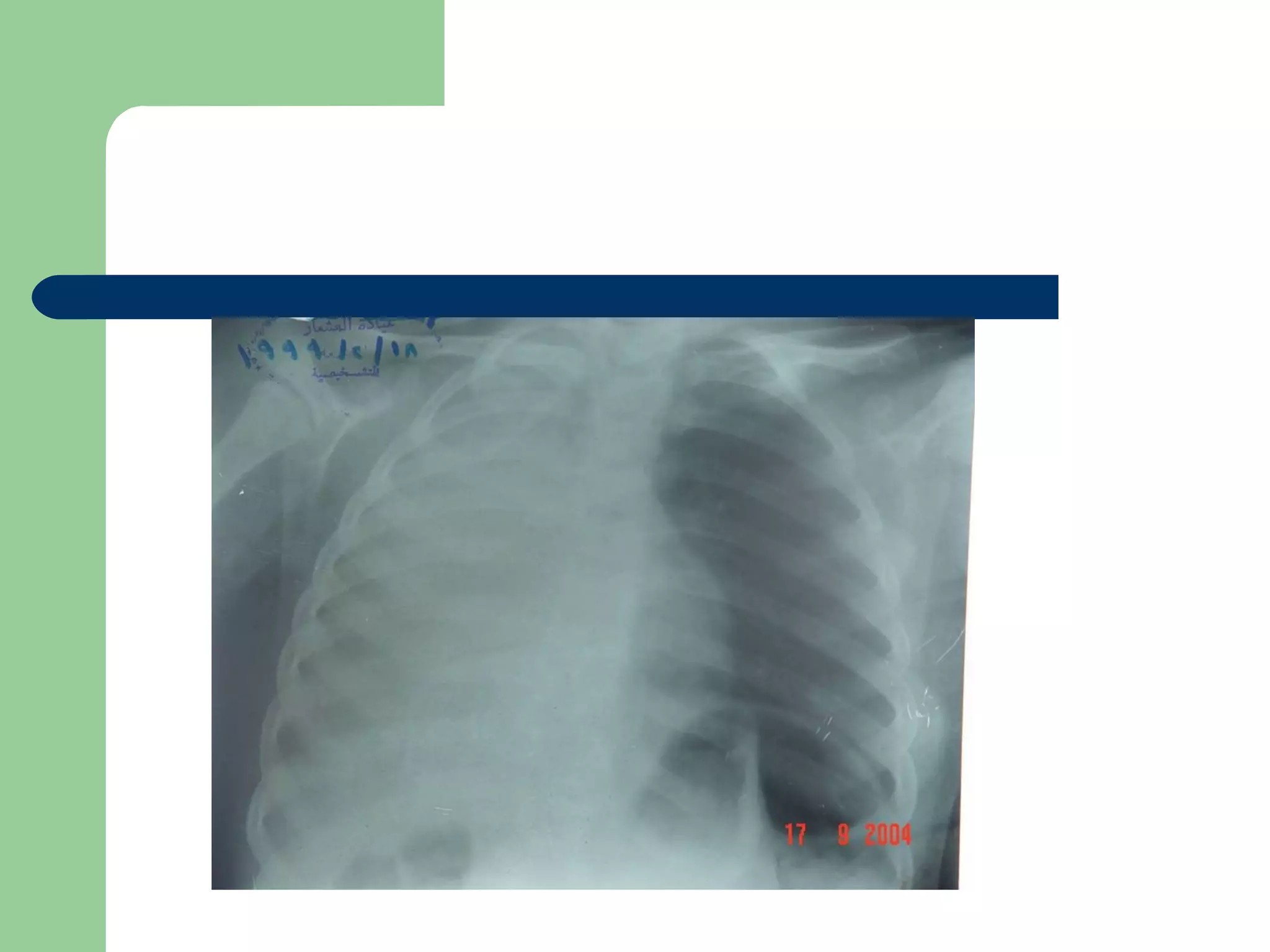
A five and a half yr old boy: non-resolved cough 
Of 40 days duration
TREATMENT 
Removal of the FB using rigid 
bronchoscopy under GA. 
 Sometimes surgery is needed 
(thoracotomy and bronchotomy) for 
impacted FB which fails to be removed 
by bronchoscopy.
THANKS 
FOR 
LISTENING

Introduction to thoracic surgery

  • 1.
    INTRODUCTION TO THORACIC SURGERY Professor Abdulsalam Y Taha School of Medicine/ University of Sulaimaniyah Sulaimaniyah/ Region of Kurdistan/ Iraq https://sulaimaniu.academia.edu/AbdulsalamTaha
  • 2.
    TOPICS  Developmentof the lung.  Developmental Anomalies.  Anatomy of the lungs and the bronchial tree.  Diagnostic procedures in thoracic surgery.  Closed tube thoracostomy.  Aspirated tracheobronchial foreign bodies.  Pulmonary hydatid cysts.
  • 3.
    DEVELOPMENT OF THELUNG The lung develops as a bud from the primitive foregut. The branching of the bronchial tree is completed by the 16th week of intrauterine life.
  • 4.
    DEVELOPMENTAL ANOMALIES Unilaterallung agenesis. Lobar Agenesis. Congenital lobar emphysema. Pulmonary sequestration.
  • 5.
    CONGENITAL LOBAR EMPHYSEMA This is a rare condition which occurs in infants, due to a congenital absence of bronchial cartilage. A (ball valve) mechanism occurs in the bronchus of the affected lobe, usually the upper, which becomes increasingly distended. The treatment is lobectomy.
  • 6.
  • 7.
  • 9.
    BRONCHOPULMONARY SEGMENT It is the structural unit of the lung.  ..Conical piece of lung parenchyma with its base at the periphery and its tip towards the lung hilum.  Each segment has its own segmental bronchus and artery.  The inter-segmental veins run in the inter-segmental plane and drain adjacent segments.
  • 10.
    DIAGNOSTIC PROCEDURES Chest radiography.  Computed tomography.  Sputum cytology.  Bronchoscopy.  Bronchography.  Pulmonary function tests.
  • 11.
    BRONCHOSCOPY  Itis the endoscopic visualization of the bronchial tree.  Types: rigid and flexible.  Indications: diagnostic and therapeutic.  Therapeutic: removal of foreign bodies, removal of retained chest secretions and stent placement.
  • 12.
    DIAGNOSTIC BRONCHOSCOPY Unresolved cough.  Haemoptysis.  Stridor.  Hoarseness of voice.  Suspected lung tumours.  Infective process: Bronchiectasis, Lung abscess, pulmonary tuberculosis.  Abnormal chest radiograph.  Positive sputum cytology with normal chest radiograph.
  • 17.
  • 18.
    PULMONARY FUNCTION TESTS  Spirometry: measurement of lung volumes like: vital capacity and forced expirotory volume (FEV1).  Arterial blood gas analysis: P O2, P CO2 and Ph.  Perfusion and ventilation lung scans.  Pulmonary angiography.
  • 19.
    CLOSED TUBE THORACOSTOMY  The chest tube is a tube drain of the pleural space.  The pleural space is a potential space.  The intra-pleural pressure is negative i.e, sub-atmospheric; important to keep the lung expanded.  Procedure, complications, removal.
  • 20.
    INDICATIONS Abnormal collectionof fluid and/ or air in the pleural space (air: pneumothorax, serous fluid: hydrothorax, blood: haemothorax, blood and air: haemopneumothorax, fluid and air: hydropneumothorax, pus: empyaema or pyothorax, pus and air: pyopneumothorax, lymph: chylothorax).
  • 23.
    ASPIRATED TRACHEOBRONCHIAL FOREIGNBODIES  This is a common condition especially in children 1 to 5 yrs old.  The usual cause is family negligence.  Children may inhale varieties of foreign bodies: vegetable and non-vegetable.  Vegetable FB like watermelon seed, sunflower seed and peanuts induce a severe inflammatory reaction beside their mechanical effects.  Metallic FB also occurs like safety pins.  Crying and laughing while eating is the usual mechanism.
  • 24.
    DIAGNOSIS  History:the accident may have been witnessed by a family member or not.  Choking while eating or playing is common.  Sudden onset of dyspnea in a previously healthy child.  Cyanotic attack. Persistent cough.  Strider (a harsh inspiratory sound produced by an upper airway obstruction may indicate a FB in central airway like larynx or trachea.  Unilateral wheeze.  Fever occurs when there is a superadded infection.
  • 25.
    DIAGNOSIS…  Examination:signs of respiratory distress may be present.  CXR may be normal if the FB is not radio- opaque. or it can show a radio- opaque FB such as bone. Obstructive emphysema: is produced by intra-bronchial FB that allows air to enter in inspiration and prevents its exit in expiration. Lung collapse (complete or partial) is produced by a FB that blocks the bronchus completely. Unresolved pneumonic consolidation. Lung abscess or broncheictasis are caused by a long-standing FB.
  • 27.
    A five anda half yr old boy: non-resolved cough Of 40 days duration
  • 36.
    TREATMENT Removal ofthe FB using rigid bronchoscopy under GA.  Sometimes surgery is needed (thoracotomy and bronchotomy) for impacted FB which fails to be removed by bronchoscopy.
  • 41.