IMAGE OF THE WEEK PROF.DR.NOORUL AMEEN UNIT DR.M.JAGADEESAN I YR PG
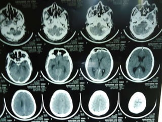
41 yr old saravanan was admitted with  c/o vomiting 1 episode,altered sensorium and difficulty in walking since morning.no h/o of trauma  Not a k/c DM ,SHT. Not a smoker/alcoholic o/e irritable nystagmus+,pooling of saliva+,9 th  and 10 th  N palsy,b/l plantar withdrawal BP-120/80mm Hg
 
 
 
 
Causes of intracranial hemorrhage Trauma SHT Coagulopathy Drugs AVM Tumors aneurysm
Investigations  Echo normal Coagulation profile normal Homocysteine level slight increase
 
 
 
 
 
 
The Spetzler-Martin grading system helps predict the likelihood of satisfactory outcome if an attempt at surgical resection is made. The Spetzler-Martin grade is determined by adding the 3 individual scores from the table. High-grade AVMs are more difficult to resect, and, therefore, neurologic deficits from the surgery itself are more likely.
Size of AVM*   Eloquence of adjacent brain†   Pattern of venous drainage‡   Small (< 3 cm) 1 Noneloquent 0 Superficial only  0  Medium (3-6 cm)  2 Eloquent  1 Deep component  1 Large (>6 cm) 3
* Measure the largest diameter of the nidus of the lesion on angiography. † Eloquent areas include sensorimotor, language, visual, thalamus, hypothalamus, internal capsule, brain stem, cerebellar peduncles, and deep cerebellar nuclei.  ‡ The lesion is considered superficial only if all drainage is via the cortical drainage system.
A V malformation Lesions of the cerebral vasculature develop such that blood flows directly from the arterial system to the venous system without passing through a capillary system. The arteriovenous (AV) shunt is the definitive characteristic of these lesions.
  AVMs are considered congenital lesions and are characterized by a failure of the embryonic vascular plexus to fully differentiate and develop a mature capillary bed in the affected area  Molecular biologic factors are thought to be important to AVM development. These may include vascular endothelial growth factor (VEGF) and basic fibroblast growth factor (bFGF). Tissues adjacent to the AVM may be persistently mildly hypoxic because the malformation may steal blood from adjacent healthy tissue, further promoting angiogenesis.
Cerebral angiography provides definitive diagnosis. It documents a functional AV shunt; however, because it is an invasive test, it is not performed as the first imaging study. Cerebral angiography also allows grading of the AVM via the following Spetzler and Martin criteria.
 
 
 
 
 
 
 
 
 
 

Imaging: AV Malformation

  • 1.
    IMAGE OF THEWEEK PROF.DR.NOORUL AMEEN UNIT DR.M.JAGADEESAN I YR PG
  • 2.
    41 yr oldsaravanan was admitted with c/o vomiting 1 episode,altered sensorium and difficulty in walking since morning.no h/o of trauma Not a k/c DM ,SHT. Not a smoker/alcoholic o/e irritable nystagmus+,pooling of saliva+,9 th and 10 th N palsy,b/l plantar withdrawal BP-120/80mm Hg
  • 3.
  • 4.
  • 5.
  • 6.
  • 7.
    Causes of intracranialhemorrhage Trauma SHT Coagulopathy Drugs AVM Tumors aneurysm
  • 8.
    Investigations Echonormal Coagulation profile normal Homocysteine level slight increase
  • 9.
  • 10.
  • 11.
  • 12.
  • 13.
  • 14.
  • 15.
    The Spetzler-Martin gradingsystem helps predict the likelihood of satisfactory outcome if an attempt at surgical resection is made. The Spetzler-Martin grade is determined by adding the 3 individual scores from the table. High-grade AVMs are more difficult to resect, and, therefore, neurologic deficits from the surgery itself are more likely.
  • 16.
    Size of AVM* Eloquence of adjacent brain† Pattern of venous drainage‡ Small (< 3 cm) 1 Noneloquent 0 Superficial only 0 Medium (3-6 cm) 2 Eloquent 1 Deep component 1 Large (>6 cm) 3
  • 17.
    * Measure thelargest diameter of the nidus of the lesion on angiography. † Eloquent areas include sensorimotor, language, visual, thalamus, hypothalamus, internal capsule, brain stem, cerebellar peduncles, and deep cerebellar nuclei.  ‡ The lesion is considered superficial only if all drainage is via the cortical drainage system.
  • 18.
    A V malformationLesions of the cerebral vasculature develop such that blood flows directly from the arterial system to the venous system without passing through a capillary system. The arteriovenous (AV) shunt is the definitive characteristic of these lesions.
  • 19.
      AVMs areconsidered congenital lesions and are characterized by a failure of the embryonic vascular plexus to fully differentiate and develop a mature capillary bed in the affected area  Molecular biologic factors are thought to be important to AVM development. These may include vascular endothelial growth factor (VEGF) and basic fibroblast growth factor (bFGF). Tissues adjacent to the AVM may be persistently mildly hypoxic because the malformation may steal blood from adjacent healthy tissue, further promoting angiogenesis.
  • 20.
    Cerebral angiography providesdefinitive diagnosis. It documents a functional AV shunt; however, because it is an invasive test, it is not performed as the first imaging study. Cerebral angiography also allows grading of the AVM via the following Spetzler and Martin criteria.
  • 21.
  • 22.
  • 23.
  • 24.
  • 25.
  • 26.
  • 27.
  • 28.
  • 29.
  • 30.