CEREBRAL AVM
DR SHAMEEJ MUHAMED KV
SENIOR RESIDENT
DEPARTMENT OF NEUROSURGERY
GMC ,CALICUT
Vascular Malformations in Brain
OVERVIEW
• Cerebrovascular malformations (CVMs) are a
heterogenous group of disorders that represent
morphogenetic errors affecting arteries, capillaries,
veins or various combinations of vessels.
Using accurate terminology
• 2 major groups:
• A. Vascular malformations
Includes AVM & Fistula
• B. Hemangiomas
These are benign vascular neoplasms, not malformations
Proliferating, mesenchymal, nonmeningothelial tumors
Can be capillary or cavernous
Classification of Cerebrovascular
malformations
• A. Histopathologic classification
• B. Functional classification
Histopathologic classification
• The four types originally described by McCormick in 1966
• I. Arteriovenous malformation
• II. Venous angioma
• III. Capillary telangiectasia
• IV. Cavernous malformation.
• Possible additional categories:
• 1. direct fistula AKA arteriovenous fistula (AV- fistula, not AVM). Examples
include:
• a) vein of Galen malformation (aneurysm)
• b) dural AVM
• c) carotid-cavernous fistula
• 2. mixed or unclassified angiomas:
B. Functional classification
• A functional, highly practical system, and divides all CVMs in 2
categories
• CVMs that display shunting
AVM
AV Fistula
• CVMs without AV shunting
• Everything else
• i.e. venous, capillary, cavernous malformations.
PIAL ARTERIOVENOUS MALFORMATIONS
Pial AVM
• Also called Cerebral AVM/ Classic AVM
• Definition
It is a vascular malformation with direct artery to vein (AV)
shunting, no intervening capillary bed
• 3 components
Enlarged feeding arteries, 1 or more
Nidus of tightly packed, enlarged tangled vascular channels
Dilated draining veins, 1 or more
**No normal brain parenchyma in between
Typically, they are triangular with the base toward the meninges and
the apex toward the ventricular system
FEATURES
• Bcoz of fistulous connection
There is an abrupt transition between the arteries & the dilated veins. Thus, there is
direct transmission of arterial pressure to venous structures, and this leads to increased
blood flow, dilation of vessels, and tortuosity.
The veins develop a thickened wall that appears arterialized because of the proliferation
of fibroblasts.
Residua of previous hemorrhages, such as dystrophic calcification and blood breakdown
products, may surround the AVM, along with histologic evidence of hemosiderin-laden
macrophages.
Marked surrounding gliosis may be present as a result of hypoperfusion related to the
high-flow, low-resistance AVM shunt “stealing” blood away from surrounding tissue.
DEMOGRAPHICS
• Age
Peak presentation: 20-40 years
• Gender
M=F
• Epidemiology
frequency of AVM detection to be 1.4% to 4.3%.
• Location
Supratentorial – 85%
Posterior fossa – 15%
• Number
Solitary
Multiple AVMs usually syndromic
(Hereditary hemorrhagic telangiectasia,Wyburn-Mason syndrome).
• Size
Varies from microscopic to giant
Most symptomatic AVMs are 3-6 cm.
PATHOLOGY
• Etiology
Origin of AVMs remain uncertain
However, thought to occur congenitally, due to dysregulated
angiogenesis.
• Genetic
Sporadic AVMs have up/down-regulated genes
Homeobox genes, such as HOXD3 & HOXB3
Pleomorphisms on p21 locus of chromosome 9
• Syndromic
Hereditary hemorrhagic telangiectasia
Wyburn-Mason syndrome
CLINICAL PRESENTATION
• Hemorrhage (most common)
Parenchymal/subarachnoid/intraventricular
• Headache
• Seizure
• Focal neurological deficit
• Ischaemic events due to vascular steal from normal brain
• Incidental finding
HEMORRHAGE
• Peak age for hemorrhage is between 15–20 yrs.
• Risk for haemorrhage has been estimated at 2% to 4% per years
• IPH is the most common, followed by IVH &SAH .
• SAH is more common when an AVM is located cortically
• Risk factors for presentation with hemorrhage
Exclusive deep venous drainage,
Deep location,
Posterior fossa location,
A/w an aneurysm,
Venous ectasia
• Prior hemorrhage is the most consistent risk factor for future
hemorrhage
• In patients with prior history of hemorrhage, the risk for recurrent
hemorrhage is up to 44%.
• Risk for subsequent hemorrhage is highest in the first year, and even
in the first month, after initial hemorrhage.
• More common in small AVM due to high pressure in feeding arteries
CUMULATIVE RISK
expected years of remaining life
• Risk of bleeding [ atleast once] =1-(annual risk of not bleeding)
• annual risk of not bleeding is = 1 – the annual risk of bleeding.
• OR Risk of bleeding = 105 – age (in years)
SEIZURE
• 15% to 35% of patients with AVMs have a seizure as the first
symptom.
• seizures are most commonly focal (simple or partial complex)
• Risk Factors
Younger patients
Supratentorial Lesion
Cortical involvement (especially temporal)
Nidus was larger than 3 cm
HEADACHE
• The headache is typically located hemicranially (ipsilateral or
contralateral to the lesion) or in the occipital region
• The pathologic etiology of the headache is hypothesized to relate to
longstanding meningeal artery involvement & recruitment of blood
supply by the AVM.
• Occipital AVM location may be a risk factor for headache.
EVALUATION
• IMAGING
• CT
Normal, if AVM is very small
Iso/hyperdense serpentine vessels
Calcification in 25-30%
AVM bleed = IPH/IVH/SAH
Post-embolization – embolics appear hyperdense within nidus
• CECT
Strong enhancement of arterial feeders, nidus and drainingveins, giving
appearance of “bag of worms”
• CTA
Depicts enlarged arteries, draining veins
MRI
• MR findings
• T1WI
Tightly packed mass, “honeycomb” of flow voids Signal varies with flow rate, presence/age of
hemorrhage
• T2WI
Tangle of serpiginous, ‘honeycomb’ of flow voids . Little/no brain inside nidus. Some gliotic
high signal may be present
• FLAIR
Flow voids with surrounding high signal (gliosis)
• T2*GRE
Blooming if haemorrhage
• Post Contrast T1
Strong enhancement of nidus, draining veins
• Rapid flow may not enhance arteries, and seen as flow voids
• MRA
Helpful for gross depiction of flow Does note depict detailed angioarchitecture
TIW T2W
FLAIR POST CONTRAST
ANGIOGRAPHIC FINDINGS
• Angiographic findings
• Digital Substraction Angiography (DSA) best delineates internal
angioarchitecture
• Gold standard
• Depicts 3 components of AVM
• Associated abnormalities
Flow-related aneurysm on feeding artery= 10-15%
Intranidal aneurysm
Vascular steal may cause ischemia in adjacent brain
STAGING/GRADING
SPETZLER-MARTIN SCALE
• Small (<3cm) =1
• Medium (3-6 cm)= 2
• Large (>6 cm) = 3
SIZE
• Non-eloquent area = 0
• Eloquent area = 1LOCATION
• Superficial only = 0
• Deep = 1
VENOUS
DRAINAGE
• Grade = total points 1-5
• Grade 6 –inoperable or not
amenable to any treatment
modality
• Good surgical outcome with
respect to SM grading [heros et
al]
When to Treat a Cerebral AVM
• AVM has bled
• Epilepsy refractory to the medical treatment
• Presents with intranidal aneurysms, stenosis of the afferent vessels,
or significant venous stasis.
• Small and deep seated AVMs
TREATMENT OPTIONS
STERIOTACTIC RADIO SURGERY
• Obliteration rate is 80 – 85 % for small AVM
• RADIATION NECROSIS – 1%
• Haemorrhage after radiation- 10%
EMBOLISATION
• Onyx – used now
• Timing : 3-30 days before surgery, 30 days before SRS
• RISK – death 1%, bleed – 3%, rebleed 7%, mild deficit- 9%
Guidelines
• AVMs are “dynamic” lesions.
• IE ,a cerebral AVM diagnosed but not treated can show in a high
percentage of the cases, under a periodic follow-up, changes in its
anatomy, size, and symptomatology.
• Hence, the conservative (do nothing) treatment should not be considered
in low-grade malformations or in high-grade AVMs that have shown
important clinical aggressiveness, such as repeated bleeding and epilepsy
that is difficult to control
• When a treatment for an AVM is proposed—which should be a curative
one—it should have a lower morbidity and mortality than those accorded
by the natural history of that particular malformation.
GRADE 1 AVM’S
• Grade I AVMs should always, in principle, be treated.
• Direct surgery without prior endovascular treatment is treatment of
choice
• GRADE I AVM
• 1. Surgery
• 2. Radiosurgery
• 3. Endovascular therapy
• 4. Do nothing
GRADE II AVM’S
• GRADE II AVM
• 1. Surgery
• 2. Endovascular therapy + surgery
• 3. Endovascular therapy
• 4. Radiosurgery
• 5. Surgery + radiosurgery
• Grade I and II AVMs have with surgery (alone or combined) a cure
rate close to 100%.
GRADE III AVM’S
• Grade III AVMs must always be treated.
• Endovascular therapy is essential in these cases (in either one or two sessions) and is
aimed at progressively occluding the afferent vessels (through which inversion of the
flow is achieved).
• Endovascular therapy with Onyx offers excellent results in this group of AVMs as a
treatment prior to surgery.
• After the surgery,, the complete elimination of the nidus must be verified by angiogram .
If small remnants remain, the treatment can be complemented with radiosurgery.
• Direct surgery can be performed in these AVMs, but a grade III malformation that was
embolized beforehand clearly bleeds less, the surgery time diminishes significantly,
and the possibility of sequelae lowers dramatically
• GRADE III AVM
• 1. Endovascular therapy + surgery
• 2. Surgery
• 3. Endovascular therapy + surgery + radiosurgery
• 4. Endovascular therapy + radiosurgery
• 5. Radiosurgery
Grade IV AVM’S
• Grade IV AVMs that have not bled and do not have angiographic
signs suggestive of complications (e.g., intranidal aneurysms) should
be controlled with clinical and radiologic evaluation
• If indicated, the treatment should always be a combination of
techniques, starting with endovascular therapy.
• 1. Do nothing
• 2. Endovascular therapy + surgery
• 3. Endovascular therapy + surgery + radiosurgery
• 4. Endovascular therapy + radiosurgery
• 5. Endovascular therapy
GRADE V AVM’S
• In principle, grade V AVMs are not treated.
• Risks are high;cure is possible, but at the cost of sequelae.
• If they are aggressive lesions, presenting recurrent bleeding those
treatments will always be palliative and will be dominated by
endovascular surgery and the possibility of being completed with
radiosurgery.
• Direct surgery should not be an option in malformations of this grade
BASIC TENETS OF AVM SURGERY
• 1. wide exposure
• 2. occlude feeding (terminal) arteries before draining veins
• 3. excision of whole nidus is necessary to protect against rebleeding
(occluding feeding arteries is not adequate)
• 4. identify and spare en passage vessels and adjacent (uninvolved) arteries
• 5. dissect directly on nidus of AVM, work in sulci and fissures whenever
possible
• 6. in lesions that are high-flow on angiography, consider preoperative
embolization
• 7. lesions with supplies from multiple vascular territories may require
staging
• 8. clip accessible aneurysms on feeding arteries
COMPLICATIONS
• 1.Normal perfusion pressure breakthrough:. due to loss of
autoregulation, Risk may be reduced by pre-op medication
• 2. occlusive hyperemia:
• 3. rebleeding
• 4. seizures
FOLLOW UP
• When satisfactory complete angiographic obliteration of an AVM has
been accomplished, recommended follow-up is with catheter
angiogram (not CTA or MRA) at 1 & 5 years post treatment
AVM & ANEURYSM
• 7% of patients with AVMs have aneurysms
• 75% of these are located on major feeding artery
• Remaining also may form within the nidus or on draining veins
CLASSIFICATION
• Classified into 4 categories:
- proximal flow-related aneurysms
- distal flow-related aneurysms
- intranidal aneurysms
- Unrelated aneurysms
Categories of flow related aneurysms
associated with AVMs
BLEEDING RISK
• Higher risk of bleeding:
• Larger aneurysm
• Older patients
• Infratentorial
• Circle of Willis aneurysm
• Lower risk of bleeding:
•Venous ectasia
GUIDELINES
• If the IA is considered the source of hemorrhage, then the aneurysm should be treated
as early as safely possible following the same treatment criteria for isolated saccular
arterial aneurysms
• it would be wise to postpone management of the bAVM until after the period of
vasospasm has elapsed, For very straightforward bAVM ie If the aneurysm is located in
proximity to the AVM and the AVM itself can be resected surgically, can proceed in single
sitting
• In cases in which the bleeding source is an associated aneurysm and AVM treatment is
not indicated, endovascular or surgical closure of the aneurysm alone should be pursued.
• If the source of hemorrhage is from the AVM / intranidal aneurysm, then Rx may not be
urgent because the risk of early rerupture is relatively low unless impaired venous
outflow of the nidus is present.
• The lesion can be managed conservatively initially, and an angiogram can be obtained
after 4–6 weeks. Then, if the balance between the risks of any intended procedure and
the risk of the natural history of the lesion are favorable, the management of the AVM
and the intranidal aneurysm can proceed as an elective case
UNRUPTURED AVM &ANEURYSM
• The treatment goal of associated IAs in patients with unruptured
AVMs follows concepts similar to those applied to the treatment of
unruptured incidental aneurysms in general
• Distal flow-related aneurysms have been shown to regress after
definitive AVM treatment; thus, conservative management of small
distal flow-related aneurysms may be considered after definitive AVM
treatment
REFERENCES
SWEET & SCHMIDEK OPERATIVE NEUROSURGICAL TECHNIQUESW
YOUMANS & WINN 7 TH EDITION
ANEURYSMS ASSOCIATED WITH BRAIN ARTERIOVENOUS
MALFORMATIONS(x s.k. rammos, x b. gardenghi, x c. bortolotti, x h.j.
cloft, and x g. lanzino ajnr )
GREENBERG HANDBOOK OF NEUROSURGERY
THANK U

CEREBRAL ARTERIO VENOUS MALFORMATIONS

  • 1.
    CEREBRAL AVM DR SHAMEEJMUHAMED KV SENIOR RESIDENT DEPARTMENT OF NEUROSURGERY GMC ,CALICUT
  • 2.
    Vascular Malformations inBrain OVERVIEW • Cerebrovascular malformations (CVMs) are a heterogenous group of disorders that represent morphogenetic errors affecting arteries, capillaries, veins or various combinations of vessels.
  • 3.
    Using accurate terminology •2 major groups: • A. Vascular malformations Includes AVM & Fistula • B. Hemangiomas These are benign vascular neoplasms, not malformations Proliferating, mesenchymal, nonmeningothelial tumors Can be capillary or cavernous
  • 4.
    Classification of Cerebrovascular malformations •A. Histopathologic classification • B. Functional classification
  • 5.
    Histopathologic classification • Thefour types originally described by McCormick in 1966 • I. Arteriovenous malformation • II. Venous angioma • III. Capillary telangiectasia • IV. Cavernous malformation. • Possible additional categories: • 1. direct fistula AKA arteriovenous fistula (AV- fistula, not AVM). Examples include: • a) vein of Galen malformation (aneurysm) • b) dural AVM • c) carotid-cavernous fistula • 2. mixed or unclassified angiomas:
  • 6.
    B. Functional classification •A functional, highly practical system, and divides all CVMs in 2 categories • CVMs that display shunting AVM AV Fistula • CVMs without AV shunting • Everything else • i.e. venous, capillary, cavernous malformations.
  • 8.
  • 9.
    Pial AVM • Alsocalled Cerebral AVM/ Classic AVM • Definition It is a vascular malformation with direct artery to vein (AV) shunting, no intervening capillary bed • 3 components Enlarged feeding arteries, 1 or more Nidus of tightly packed, enlarged tangled vascular channels Dilated draining veins, 1 or more **No normal brain parenchyma in between Typically, they are triangular with the base toward the meninges and the apex toward the ventricular system
  • 11.
    FEATURES • Bcoz offistulous connection There is an abrupt transition between the arteries & the dilated veins. Thus, there is direct transmission of arterial pressure to venous structures, and this leads to increased blood flow, dilation of vessels, and tortuosity. The veins develop a thickened wall that appears arterialized because of the proliferation of fibroblasts. Residua of previous hemorrhages, such as dystrophic calcification and blood breakdown products, may surround the AVM, along with histologic evidence of hemosiderin-laden macrophages. Marked surrounding gliosis may be present as a result of hypoperfusion related to the high-flow, low-resistance AVM shunt “stealing” blood away from surrounding tissue.
  • 12.
    DEMOGRAPHICS • Age Peak presentation:20-40 years • Gender M=F • Epidemiology frequency of AVM detection to be 1.4% to 4.3%.
  • 13.
    • Location Supratentorial –85% Posterior fossa – 15% • Number Solitary Multiple AVMs usually syndromic (Hereditary hemorrhagic telangiectasia,Wyburn-Mason syndrome). • Size Varies from microscopic to giant Most symptomatic AVMs are 3-6 cm.
  • 14.
    PATHOLOGY • Etiology Origin ofAVMs remain uncertain However, thought to occur congenitally, due to dysregulated angiogenesis. • Genetic Sporadic AVMs have up/down-regulated genes Homeobox genes, such as HOXD3 & HOXB3 Pleomorphisms on p21 locus of chromosome 9 • Syndromic Hereditary hemorrhagic telangiectasia Wyburn-Mason syndrome
  • 15.
    CLINICAL PRESENTATION • Hemorrhage(most common) Parenchymal/subarachnoid/intraventricular • Headache • Seizure • Focal neurological deficit • Ischaemic events due to vascular steal from normal brain • Incidental finding
  • 16.
    HEMORRHAGE • Peak agefor hemorrhage is between 15–20 yrs. • Risk for haemorrhage has been estimated at 2% to 4% per years • IPH is the most common, followed by IVH &SAH . • SAH is more common when an AVM is located cortically • Risk factors for presentation with hemorrhage Exclusive deep venous drainage, Deep location, Posterior fossa location, A/w an aneurysm, Venous ectasia
  • 17.
    • Prior hemorrhageis the most consistent risk factor for future hemorrhage • In patients with prior history of hemorrhage, the risk for recurrent hemorrhage is up to 44%. • Risk for subsequent hemorrhage is highest in the first year, and even in the first month, after initial hemorrhage. • More common in small AVM due to high pressure in feeding arteries
  • 18.
    CUMULATIVE RISK expected yearsof remaining life • Risk of bleeding [ atleast once] =1-(annual risk of not bleeding) • annual risk of not bleeding is = 1 – the annual risk of bleeding. • OR Risk of bleeding = 105 – age (in years)
  • 19.
    SEIZURE • 15% to35% of patients with AVMs have a seizure as the first symptom. • seizures are most commonly focal (simple or partial complex) • Risk Factors Younger patients Supratentorial Lesion Cortical involvement (especially temporal) Nidus was larger than 3 cm
  • 20.
    HEADACHE • The headacheis typically located hemicranially (ipsilateral or contralateral to the lesion) or in the occipital region • The pathologic etiology of the headache is hypothesized to relate to longstanding meningeal artery involvement & recruitment of blood supply by the AVM. • Occipital AVM location may be a risk factor for headache.
  • 21.
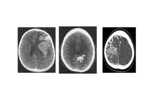
    EVALUATION • IMAGING • CT Normal,if AVM is very small Iso/hyperdense serpentine vessels Calcification in 25-30% AVM bleed = IPH/IVH/SAH Post-embolization – embolics appear hyperdense within nidus • CECT Strong enhancement of arterial feeders, nidus and drainingveins, giving appearance of “bag of worms” • CTA Depicts enlarged arteries, draining veins
  • 23.
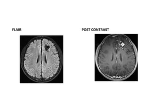
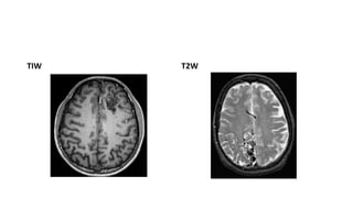
    MRI • MR findings •T1WI Tightly packed mass, “honeycomb” of flow voids Signal varies with flow rate, presence/age of hemorrhage • T2WI Tangle of serpiginous, ‘honeycomb’ of flow voids . Little/no brain inside nidus. Some gliotic high signal may be present • FLAIR Flow voids with surrounding high signal (gliosis) • T2*GRE Blooming if haemorrhage • Post Contrast T1 Strong enhancement of nidus, draining veins • Rapid flow may not enhance arteries, and seen as flow voids • MRA Helpful for gross depiction of flow Does note depict detailed angioarchitecture
  • 24.
  • 25.
  • 26.
    ANGIOGRAPHIC FINDINGS • Angiographicfindings • Digital Substraction Angiography (DSA) best delineates internal angioarchitecture • Gold standard • Depicts 3 components of AVM • Associated abnormalities Flow-related aneurysm on feeding artery= 10-15% Intranidal aneurysm Vascular steal may cause ischemia in adjacent brain
  • 27.
    STAGING/GRADING SPETZLER-MARTIN SCALE • Small(<3cm) =1 • Medium (3-6 cm)= 2 • Large (>6 cm) = 3 SIZE • Non-eloquent area = 0 • Eloquent area = 1LOCATION • Superficial only = 0 • Deep = 1 VENOUS DRAINAGE
  • 28.
    • Grade =total points 1-5 • Grade 6 –inoperable or not amenable to any treatment modality • Good surgical outcome with respect to SM grading [heros et al]
  • 29.
    When to Treata Cerebral AVM • AVM has bled • Epilepsy refractory to the medical treatment • Presents with intranidal aneurysms, stenosis of the afferent vessels, or significant venous stasis. • Small and deep seated AVMs
  • 30.
  • 31.
    STERIOTACTIC RADIO SURGERY •Obliteration rate is 80 – 85 % for small AVM • RADIATION NECROSIS – 1% • Haemorrhage after radiation- 10%
  • 32.
    EMBOLISATION • Onyx –used now • Timing : 3-30 days before surgery, 30 days before SRS • RISK – death 1%, bleed – 3%, rebleed 7%, mild deficit- 9%
  • 33.
    Guidelines • AVMs are“dynamic” lesions. • IE ,a cerebral AVM diagnosed but not treated can show in a high percentage of the cases, under a periodic follow-up, changes in its anatomy, size, and symptomatology. • Hence, the conservative (do nothing) treatment should not be considered in low-grade malformations or in high-grade AVMs that have shown important clinical aggressiveness, such as repeated bleeding and epilepsy that is difficult to control • When a treatment for an AVM is proposed—which should be a curative one—it should have a lower morbidity and mortality than those accorded by the natural history of that particular malformation.
  • 34.
    GRADE 1 AVM’S •Grade I AVMs should always, in principle, be treated. • Direct surgery without prior endovascular treatment is treatment of choice • GRADE I AVM • 1. Surgery • 2. Radiosurgery • 3. Endovascular therapy • 4. Do nothing
  • 35.
    GRADE II AVM’S •GRADE II AVM • 1. Surgery • 2. Endovascular therapy + surgery • 3. Endovascular therapy • 4. Radiosurgery • 5. Surgery + radiosurgery • Grade I and II AVMs have with surgery (alone or combined) a cure rate close to 100%.
  • 36.
    GRADE III AVM’S •Grade III AVMs must always be treated. • Endovascular therapy is essential in these cases (in either one or two sessions) and is aimed at progressively occluding the afferent vessels (through which inversion of the flow is achieved). • Endovascular therapy with Onyx offers excellent results in this group of AVMs as a treatment prior to surgery. • After the surgery,, the complete elimination of the nidus must be verified by angiogram . If small remnants remain, the treatment can be complemented with radiosurgery. • Direct surgery can be performed in these AVMs, but a grade III malformation that was embolized beforehand clearly bleeds less, the surgery time diminishes significantly, and the possibility of sequelae lowers dramatically
  • 37.
    • GRADE IIIAVM • 1. Endovascular therapy + surgery • 2. Surgery • 3. Endovascular therapy + surgery + radiosurgery • 4. Endovascular therapy + radiosurgery • 5. Radiosurgery
  • 38.
    Grade IV AVM’S •Grade IV AVMs that have not bled and do not have angiographic signs suggestive of complications (e.g., intranidal aneurysms) should be controlled with clinical and radiologic evaluation • If indicated, the treatment should always be a combination of techniques, starting with endovascular therapy. • 1. Do nothing • 2. Endovascular therapy + surgery • 3. Endovascular therapy + surgery + radiosurgery • 4. Endovascular therapy + radiosurgery • 5. Endovascular therapy
  • 39.
    GRADE V AVM’S •In principle, grade V AVMs are not treated. • Risks are high;cure is possible, but at the cost of sequelae. • If they are aggressive lesions, presenting recurrent bleeding those treatments will always be palliative and will be dominated by endovascular surgery and the possibility of being completed with radiosurgery. • Direct surgery should not be an option in malformations of this grade
  • 40.
    BASIC TENETS OFAVM SURGERY • 1. wide exposure • 2. occlude feeding (terminal) arteries before draining veins • 3. excision of whole nidus is necessary to protect against rebleeding (occluding feeding arteries is not adequate) • 4. identify and spare en passage vessels and adjacent (uninvolved) arteries • 5. dissect directly on nidus of AVM, work in sulci and fissures whenever possible • 6. in lesions that are high-flow on angiography, consider preoperative embolization • 7. lesions with supplies from multiple vascular territories may require staging • 8. clip accessible aneurysms on feeding arteries
  • 41.
    COMPLICATIONS • 1.Normal perfusionpressure breakthrough:. due to loss of autoregulation, Risk may be reduced by pre-op medication • 2. occlusive hyperemia: • 3. rebleeding • 4. seizures
  • 42.
    FOLLOW UP • Whensatisfactory complete angiographic obliteration of an AVM has been accomplished, recommended follow-up is with catheter angiogram (not CTA or MRA) at 1 & 5 years post treatment
  • 43.
    AVM & ANEURYSM •7% of patients with AVMs have aneurysms • 75% of these are located on major feeding artery • Remaining also may form within the nidus or on draining veins
  • 44.
    CLASSIFICATION • Classified into4 categories: - proximal flow-related aneurysms - distal flow-related aneurysms - intranidal aneurysms - Unrelated aneurysms
  • 45.
    Categories of flowrelated aneurysms associated with AVMs
  • 46.
    BLEEDING RISK • Higherrisk of bleeding: • Larger aneurysm • Older patients • Infratentorial • Circle of Willis aneurysm • Lower risk of bleeding: •Venous ectasia
  • 47.
    GUIDELINES • If theIA is considered the source of hemorrhage, then the aneurysm should be treated as early as safely possible following the same treatment criteria for isolated saccular arterial aneurysms • it would be wise to postpone management of the bAVM until after the period of vasospasm has elapsed, For very straightforward bAVM ie If the aneurysm is located in proximity to the AVM and the AVM itself can be resected surgically, can proceed in single sitting
  • 48.
    • In casesin which the bleeding source is an associated aneurysm and AVM treatment is not indicated, endovascular or surgical closure of the aneurysm alone should be pursued. • If the source of hemorrhage is from the AVM / intranidal aneurysm, then Rx may not be urgent because the risk of early rerupture is relatively low unless impaired venous outflow of the nidus is present. • The lesion can be managed conservatively initially, and an angiogram can be obtained after 4–6 weeks. Then, if the balance between the risks of any intended procedure and the risk of the natural history of the lesion are favorable, the management of the AVM and the intranidal aneurysm can proceed as an elective case
  • 49.
    UNRUPTURED AVM &ANEURYSM •The treatment goal of associated IAs in patients with unruptured AVMs follows concepts similar to those applied to the treatment of unruptured incidental aneurysms in general • Distal flow-related aneurysms have been shown to regress after definitive AVM treatment; thus, conservative management of small distal flow-related aneurysms may be considered after definitive AVM treatment
  • 50.
    REFERENCES SWEET & SCHMIDEKOPERATIVE NEUROSURGICAL TECHNIQUESW YOUMANS & WINN 7 TH EDITION ANEURYSMS ASSOCIATED WITH BRAIN ARTERIOVENOUS MALFORMATIONS(x s.k. rammos, x b. gardenghi, x c. bortolotti, x h.j. cloft, and x g. lanzino ajnr ) GREENBERG HANDBOOK OF NEUROSURGERY
  • 51.

Editor's Notes

  • #6 AV FISTULA -Single or multiple dilated arterioles that connect directly to a vein without a nidus. These are high-flow, high-pressure. Low incidence of hemorrhage. Usually amenable to interventional neuroradiological procedures.
  • #11 AVMs appear grossly as a “tangle” of vessels, often with a fairly well-circumscribed center (nidus), and draining “red veins” (veins containing oxygenated blood
  • #13 Slight male preponderance.
  • #18 larger AVMs presented as seizure more often sim ply because their size made them more likely to involve the cortex. However, small AVMs are now thought to have much higher pressure in the feeding arteries Conclusion : small AVMs are more lethal than larger
  • #20 Seizures may be the result of a mass effect, with cortical irritation or flow characteristics leading to steal, ischemia, and neuronal damage, or may be due to associated hemorrhage and gliosis
  • #23 Showing avm with parenchymal bleed 3. Cect showing baf of wroms appearance
  • #25 T1 SHOWS HONEY COMB PATTERN OF FLOW VOIDS T2-weighed magnetic resonance image of the brain demonstrates numerous flow voids suggestive of an underlying arteriovenous malformation in the right occipital lobe.
  • #26 FLAUR ;-Flow voids with surrounding high signal (gliosis) POST CONTRAST SHOWING Strong enhancement of nidus, draining veins
  • #27 Enlarged feeding arteries, 1 or more Nidus of tightly packed, enlarged tangled vascular channels Dilated draining veins, 1 or more
  • #28 sensorimotor cortex, visual cortex, thalamus, hypothalamus,internal capsule, brainstem, cerebellar peduncles, deep nuclei)
  • #30 When an AVM has bled, it must be treated If AVMs are small and deep seated, they also must be treated, since it is accepted that they have a greater chance of developing complications
  • #35 If this malformation has not bled,deep seated , young patient the second option is radiosurgery There is a period (perhaps up to 2 years) during which the malformation can bleed until its disappearance endovascular therapy should be in third place bcoz Even though they should not represent any difficulty for the endovascular surgeon, the angiographic disappearance of the lesions does not ensure they have been cured. Small, nonvisible pedicles may exist that may mak the nidus reappear
  • #36 Endovascular therapy (endovascular neurosurgery) may be of help for the surgeon as treatment prior to surgery. However, it is not advisable as the sole therapeutic option
  • #39  which Requires multiple session atleat two
  • #41 5 dissect the avm circumferentially around gliotic plain
  • #42 characterized by post-op swelling or hemorrhage– preop medication with propanalol in the immediate post-op period probably due to obstruction of venous outflow from adjacent normal brain, in a delayed presentation may be due to delayed thrombosis of draining vein or dural sinus 3. rebleeding from a retained nidus of AVM
  • #44 probably from increased flow.
  • #45 proximal to the feeding pedicle of the AVM nidus (proximal flowrelated aneurysm .Arterialpseudoaneurysms are thought to be the result of the rupture of thin-walled small perforating arteries that supply the AVM and result from the unclotted portion of the hematoma stil lin communication with the vessel lumen and are very close to the ependymal surface