HYDRONEPHROSISHYDRONEPHROSIS
DURING PREGNANCYDURING PREGNANCY
Dr. LALITHADr. LALITHA
UROLOGIST AND UROGYNECOLOGISTUROLOGIST AND UROGYNECOLOGIST
YASHODA HOSPITALYASHODA HOSPITAL
โ€ข INCIDENCE 95%
โ€ข CAUSE OF ANXIETY
โ€ข PATIENTS
โ€ข OBSTETRICIANS
F.A.Q.sF.A.Q.s
โ€ข CLINICAL PRESENTATION?
โ€ข INTERVENTION?
โ€ข WHEN?
โ€ข WHAT?
โ€ข PROGNOSIS? - MATERNAL/FETAL
ETIOPATHOGENESISETIOPATHOGENESIS
โ€ข
โ€ข PHYSIOLOGICAL
โ€ข PATHOLOGICAL
PHYSIOLOGICALPHYSIOLOGICAL
HYDRONEPHROSISHYDRONEPHROSIS
โ€ข HORMONAL
โ€ข MECHANICAL
โ€ข RARE IN 1ST
TRIMESTER
โ€ข DILATATION OF UPPER URETER
โ€ข PELVIC KIDNEY
โ€ข QUADRIPEDS
PHYSIOLOGICALPHYSIOLOGICAL
HYDRONEPHROSISHYDRONEPHROSIS
โ€ข RIGHT > LEFT
โ€ข DEXTROROTATION
โ€ข RIGHT OVARIAN VESSELS
โ€ข LEFT โ€“ PROTECTION BY SIGMOID COLON
PATHOLOGICALPATHOLOGICAL
HYDRONEPHROSISHYDRONEPHROSIS
โ€ข CALCULI
โ€ข PUJ OBSTRUCTION
โ€ข OBSTRUCTED MEGA URETER
โ€ข VU-REFLUX
โ€ข NEUROGENIC BLADDER - RARE
CLINICAL PRESENTATIONCLINICAL PRESENTATION
โ€ข ASYMPTOMATIC
โ€ข PAIN โ€“ DULL / COLICKY
โ€ข VOMITING
โ€ข FEVER WITH CHILLS
โ€ข HEMATURIA
โ€ข OLIGURIA / ANURIA
DIAGNOSISDIAGNOSIS
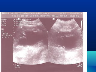
โ€ข ULTRASONOGRAPHY
โ€ข HYDRONEPHROSIS
โ€ข HYDROURETER โ€“ UPPER / LOWER
โ€ข CALCULI โ€“ RENAL / PUJ / URETER
โ€ข PARENCHYMAL THICKNESS
โ€ข URETERIC JET
โ€ข RENAL RESISTIVE INDEX
DIAGNOSISDIAGNOSIS
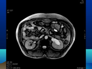
โ€ข IVP โ€“ OBSOLETE
โ€ข MR UROGRAPHY
โ€ข TO DIFFERENTIATE PHYSIOLOGICAL FROM CALCULUS
โ€ข HYDRONEPHROSIS
โ€ข DOUBLE KINK SIGN โ€“ SPINDLE SHAPED PELVIC URETER
MANAGEMENTMANAGEMENT
โ€ข CONSERVATIVE
โ€ข SCREENING FOR BACTERIURIA
โ€ข RISK OF PYELONEPHRITIS IN 28-30%
โ€ข ANTIBIOTICS / ANALGESICS
โ€ข PERIODIC URINE CULTURES
โ€ข SERIAL CREATININE / USG MONITORING
โ€ข SUPPRESSANT ANTIBIOTIC THERAPY
INDICATIONS FOR SURGICALINDICATIONS FOR SURGICAL
INTERVENTIONINTERVENTION
โ€ข SYMPTOMATIC PATIENTS NOT RESPONDING TO
DRUGS.
โ€ข RECURRENT PYELONEPHRITIS
โ€ข OLIGURIA / ANURIA
โ€ข INCREASED S.CREAT [>0.8]
โ€ข PROGRESSIVE HYDRONEPHROSIS
TYPE OF INTERVENTIONTYPE OF INTERVENTION
โ€ข CYSTOSCOPY & DJ STENTING
โ€ข URETEROSCOPIC STONE REMOVAL
โ€ข URETEROSCOPIC PUSH BACK & DJ STENTING
โ€ข USG GUIDED PCN
โ€ข ESWL CONTRAINDICATED
OUR EXPERIENCEOUR EXPERIENCE
โ€ข 96 CASES IN LAST 5 YEARS
โ€ข 18 REQUIRED SURGICAL
INTERVENTION
โ€ข 6 โ€“ PHYSIOLOGICAL
โ€ข 9 โ€“ CALCULUS 6 โ€“ LOWER URETER
3 - UPPER URETER / PUJ
3 โ€“ PUJ OBSTRUCTION - BILAT.
FOLLOW UPFOLLOW UP
โ€ข DJ STENT REMOVAL DEPENDS ON INDICATION
โ€ข 3 WEEKS FOR URSL
โ€ข 6 WEEKS PP FOR PHYSIOLOGICAL
โ€ข FU MANDATORY IN INTERVAL PERIOD
โ€ข SCREENING USG / IVP
AIMAIM
โ€ข BYPASS OBSTRUCTION
โ€ข RELEIVE STASIS
โ€ข IMPROVE MATERNAL & FETAL PROGNOSIS

Hydro nephrosis during pregnancy