OB / Gyn  –  Urology combined conference 主講者 :  湯夢彬  指導者 :  沈國壽 李之微  96-09-26
General data Name:  張  x x Gender: Female Age: 31 years old Occupation: Radiological technician Date of admission: June 27. 2007 Date of discharge: July 05. 2007
OB / Gyn history G1P0A0 Last menstrual period: Oct.08.2006 Expected date of delivery: July.15.2007 Endometriosis s/p laparoscopy on Jul.09.2000
Present illness First pregnancy on Oct. 2006. Prenatal examination in OB/Gyn OPD. Mother and baby were normal. Lower abdomen pain and vaginal bleeding at 4:30 AM on Jun. 27 2007 (GA 37 weeks 3 days)
Present illness She was admitted to OB/Gyn ward at 7 AM on Jun. 27 2007 due to cervical os 3cm and uterus contraction by fetal monitor. No fever, no vomiting, no abdomen rebounding pain.
Past and personal history No hypertension No diabetes mellitus Deny other systemic diseases No food & drug allergy history No smoking No alcohol drinking No medication dependant / abuse Operation history: laparoscopy on July 2000
Physical examination Conscious: Alert, GCS: E4M6V5 BP: 120/80 mmHg  PR: 88/min RR: 20/min  BT: 36.6 C BW / BL: 64.5 kg / 166 cm HEENT: grossly normal Chest: symmetric expansion, clear breathing sound Heart: regular heart beat, no murmur Abdomen: Ovoid compatible with Gestation AGE Irregular uterine contraction Extremity: move freely, no deformity, no edema Fetal monitor : FHB variable, baseline 140 bpm. NST : reaction.
Lab data WBC: 14400  Hb: 12.8 Plt: 333000  Neut%: 84.4 Lymp%: 12.6  Mono%: 2.8 Glucose: 47  BUN: 6.0 Cr: 0.6  Na: 137 K: 4.2  Cl: 100
Impression and plan Pregnancy at 37 weeks 3 days, in labor 1.Arrange childbirth in delivery room. 2.Monitor fetal heart beat and labor progression. 3.Prepare for vaginal delivery.
Hospital course Day 1  14:00 Cervix dilate to 4 cm, but the fetal monitor show acute fetal distress. Arrange emergent cesarean section after patient and family agree. Epidural pain control (for 3 days)
 
 
Operation finding: Meconium stain +++. The umbilical cord wound one circle around neck and right shoulder of baby. Day 1  14:38 Procreate female baby smoothly. Wt: 3100g, Ht: 49 cm. Blood loss 400 cc.
Day 2 Patient require to remove Foley catheter, because she can void urine by herself and can walk around. Lab. show: Blood WBC 17740, Hb 10.4 Urine protein 3+, RBC 60-99, WBC 10-20, OB 3+, red color.
Day 3 Urine show red color, but no dysuria. Day 4 Urine routine:  protein 2+, RBC numerous  WBC 5-10, OB 3+, red color
Day 5 & Day 6 Patient complain left flank pain.  Still hematuria. Consult Urologist Check KUB, chest X-ray. Check Sonogram, IVP and PV
 
IVP and PV (Day 6) 5 min  15 min
1. Tear of L't renal pelvis or L't upper ureter with  extravasating  of contrast media out to L't retroperitoneal space. 2. L't hydronephrosis and hydroureter. 3. Intact of R't kidneys and its renal calyces, pelvis and R't ureter without dilatation or filling defect found. 4. Well distension of urinary bladder without filling defect found and minimal residual urine.
 
 
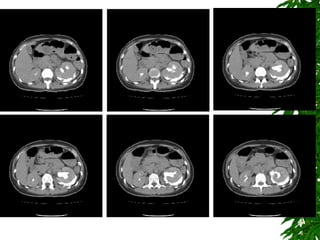
CT scan of abdomen (Day 6) 1. Tear of posterio-inferior wall of extra-renal portion of L't renal pelvis, with extravasating contrast media in L't peri-renal space. 2. L't hydronephrosis and L‘t hydroureter. 3. Post-partum enlarged uterus noted. Arrange L't Percutaneus nephrostomy (PCN) under the fluoroscopic guidance (after IVP study)
 
L't Percutaneus nephrostomy (PCN) (Day 6) 1. Tear of infeior wall of the extra-renal portio of L't renal pelvis, with contrast media extravasating out to L't peri-renal extraperitoneal space. 2. L't hydronephrosis and L't hydroureter. 3. L't PCN done successfully, with a 8 Fr pig-tail drainage catheter placed in the L't renal pelvis with good drainage function. Arrange cystoscopy tomorrow (Day 7) due to clear urine drained from PCN tube.
 
Finding of Cystoscopy 1.Protruding mucosa and few necrotic change over posterior wall of the bladder. 2.Can’t detect the ureteral orifices, bilateral. 3.Found stitches over left lateral posterior wall. 4.No blood clots retention. (clear urine)
Cystoscopic biopsy ~  Chronic cystitis (inflammatory cell infiltration, interstitial edema, granulation tissue in lamina propria)
Discharge on Day 9 Keep Foley catheter 2 weeks Keep PCN tube 4 ~ 6 weeks
Final diagnosis (Day 9) 1. Pregnancy at 37 weeks 3 days, in labor with acute fetal distress S/P Cesarean section. 2. Tear of posterio-inferior wall of extra-renal portion of L't renal pelvis. (spontaneous ?) 3. Iatrogenic bladder injury.
尿道排泄造影術   (96-07-13) 1. Normal bladder with grade I L't vesicoureteral reflux. 2. The L't ureter within normal without obvious stricture. Remove Foley catheter
 
 
Antegrade pyelography (96-08-06) <PCN tube training for 4 days at home> L't antegrade pyelogram performed via PCN tube s/p L't PCN with normal appearance of L't renal calyces, pelvis and L't ureter, without extravasating of contrast media, no stricture of L't ureter or L't lower ureteral UVJ with free passage of contrast media into urinary bladder without stasis. Removal of L't PCN tube.
 
Discussion
Demerit of operation ? Bladder stitches ~ IVP, CT scan, Cystoscopy Hydronephrosis, renal pelvic rupture ~ tumor, stone,  infection ,  stricture  ? Prenatal examination ~ no urinary signs/symptoms
Hemodynamic changes in normal pregnancy   10 to 15 beat/min increase in heart rate
Hemodynamic and renal changes during normal pregnancy   Systemic hemodynamics Increase in cardiac output Fall in vascular resistance and blood pressure Blood volume expansion Renal function and electrolyte balance Increase in glomerular filtration rate Chronic respiratory alkalosis ~ progesterone Hyponatremia due to resetting of osmostat ~ 270 mosm/kg Increased ADH metabolism and polyuria in selected women
Dilation of the upper urinary system is common during pregnancy. ~ physiologic ~ hormonal & mechanical factors Colicky pain ~ stretch renal capsule ~ knee-chest position
 
“ acute hydronephrosis of pregnancy” ~ abrupt increase in intraurethral and intrapelvic pressure ~ usually position of the uterus ~ more common on the right than left side (9:1) due to dextrorotation of the uterus by the sigmoid colon <Complication of pregnancy 5th edition cherry & merkatz’s>
“ Dystocia”  associated with cephalopelvic disproportion, or breech presentation as in our case, could increase the  extrinsic pressure  on the lower ureter at the pelvic brim, leading to increased intrapelvic pressure and peripelvic extravasation of urine. <South Med J. 1980 Jun;73(6)>
 
A  less  common result of upper urinary tract dilation is acute renal rupture! A review of the literature determined that  17  cases of rupture of the collecting system and/or renal parenchyma during pregnancy have been reported. <Mayo Clin Proc. 1991 Feb;66(2)> As expected, 14 of 17 occurred on  right side … One maternal death has been reported.
Spontaneous rupture of the urinary tract during pregnancy is  rare ; a review of the literature revealed only  25  cases, most commonly occurring in  diseased kidneys . Ruptures of the collecting system: 12.  Ruptures of the renal parenchyma: 13. 21 were diagnosed during pregnancy in the second and third trimester. 4  within the first 24 h postpartum.  <Br J Urol. 1995 Nov;76(5)>
To our review, rupture of the renal pelvis during pregnancy has been reported in  16  cases. Renal benign tumor, hamartoma: 4 Structural or infectious disease: 5 No underlying condition: 7 Right kidney  (14/16, 87.5%) <Am J Perinatol. 2002 May;19(4)>
Evaluation & treatment Patient is stable ~ Conservation management ~ Ureteral stenting +/- nephrostomy ~ Percutaneous tube placement into the urinoma Unsuccessful / patient presents shock ~ Exploration with open repair ~ Nephrectomy
The End Thanks your attention

Gyn Uro

  • 1.
    OB / Gyn – Urology combined conference 主講者 : 湯夢彬 指導者 : 沈國壽 李之微 96-09-26
  • 2.
    General data Name: 張 x x Gender: Female Age: 31 years old Occupation: Radiological technician Date of admission: June 27. 2007 Date of discharge: July 05. 2007
  • 3.
    OB / Gynhistory G1P0A0 Last menstrual period: Oct.08.2006 Expected date of delivery: July.15.2007 Endometriosis s/p laparoscopy on Jul.09.2000
  • 4.
    Present illness Firstpregnancy on Oct. 2006. Prenatal examination in OB/Gyn OPD. Mother and baby were normal. Lower abdomen pain and vaginal bleeding at 4:30 AM on Jun. 27 2007 (GA 37 weeks 3 days)
  • 5.
    Present illness Shewas admitted to OB/Gyn ward at 7 AM on Jun. 27 2007 due to cervical os 3cm and uterus contraction by fetal monitor. No fever, no vomiting, no abdomen rebounding pain.
  • 6.
    Past and personalhistory No hypertension No diabetes mellitus Deny other systemic diseases No food & drug allergy history No smoking No alcohol drinking No medication dependant / abuse Operation history: laparoscopy on July 2000
  • 7.
    Physical examination Conscious:Alert, GCS: E4M6V5 BP: 120/80 mmHg PR: 88/min RR: 20/min BT: 36.6 C BW / BL: 64.5 kg / 166 cm HEENT: grossly normal Chest: symmetric expansion, clear breathing sound Heart: regular heart beat, no murmur Abdomen: Ovoid compatible with Gestation AGE Irregular uterine contraction Extremity: move freely, no deformity, no edema Fetal monitor : FHB variable, baseline 140 bpm. NST : reaction.
  • 8.
    Lab data WBC:14400 Hb: 12.8 Plt: 333000 Neut%: 84.4 Lymp%: 12.6 Mono%: 2.8 Glucose: 47 BUN: 6.0 Cr: 0.6 Na: 137 K: 4.2 Cl: 100
  • 9.
    Impression and planPregnancy at 37 weeks 3 days, in labor 1.Arrange childbirth in delivery room. 2.Monitor fetal heart beat and labor progression. 3.Prepare for vaginal delivery.
  • 10.
    Hospital course Day1 14:00 Cervix dilate to 4 cm, but the fetal monitor show acute fetal distress. Arrange emergent cesarean section after patient and family agree. Epidural pain control (for 3 days)
  • 11.
  • 12.
  • 13.
    Operation finding: Meconiumstain +++. The umbilical cord wound one circle around neck and right shoulder of baby. Day 1 14:38 Procreate female baby smoothly. Wt: 3100g, Ht: 49 cm. Blood loss 400 cc.
  • 14.
    Day 2 Patientrequire to remove Foley catheter, because she can void urine by herself and can walk around. Lab. show: Blood WBC 17740, Hb 10.4 Urine protein 3+, RBC 60-99, WBC 10-20, OB 3+, red color.
  • 15.
    Day 3 Urineshow red color, but no dysuria. Day 4 Urine routine: protein 2+, RBC numerous WBC 5-10, OB 3+, red color
  • 16.
    Day 5 &Day 6 Patient complain left flank pain. Still hematuria. Consult Urologist Check KUB, chest X-ray. Check Sonogram, IVP and PV
  • 17.
  • 18.
    IVP and PV(Day 6) 5 min 15 min
  • 19.
    1. Tear ofL't renal pelvis or L't upper ureter with extravasating of contrast media out to L't retroperitoneal space. 2. L't hydronephrosis and hydroureter. 3. Intact of R't kidneys and its renal calyces, pelvis and R't ureter without dilatation or filling defect found. 4. Well distension of urinary bladder without filling defect found and minimal residual urine.
  • 20.
  • 21.
  • 22.
    CT scan ofabdomen (Day 6) 1. Tear of posterio-inferior wall of extra-renal portion of L't renal pelvis, with extravasating contrast media in L't peri-renal space. 2. L't hydronephrosis and L‘t hydroureter. 3. Post-partum enlarged uterus noted. Arrange L't Percutaneus nephrostomy (PCN) under the fluoroscopic guidance (after IVP study)
  • 23.
  • 24.
    L't Percutaneus nephrostomy(PCN) (Day 6) 1. Tear of infeior wall of the extra-renal portio of L't renal pelvis, with contrast media extravasating out to L't peri-renal extraperitoneal space. 2. L't hydronephrosis and L't hydroureter. 3. L't PCN done successfully, with a 8 Fr pig-tail drainage catheter placed in the L't renal pelvis with good drainage function. Arrange cystoscopy tomorrow (Day 7) due to clear urine drained from PCN tube.
  • 25.
  • 26.
    Finding of Cystoscopy1.Protruding mucosa and few necrotic change over posterior wall of the bladder. 2.Can’t detect the ureteral orifices, bilateral. 3.Found stitches over left lateral posterior wall. 4.No blood clots retention. (clear urine)
  • 27.
    Cystoscopic biopsy ~ Chronic cystitis (inflammatory cell infiltration, interstitial edema, granulation tissue in lamina propria)
  • 28.
    Discharge on Day9 Keep Foley catheter 2 weeks Keep PCN tube 4 ~ 6 weeks
  • 29.
    Final diagnosis (Day9) 1. Pregnancy at 37 weeks 3 days, in labor with acute fetal distress S/P Cesarean section. 2. Tear of posterio-inferior wall of extra-renal portion of L't renal pelvis. (spontaneous ?) 3. Iatrogenic bladder injury.
  • 30.
    尿道排泄造影術 (96-07-13) 1. Normal bladder with grade I L't vesicoureteral reflux. 2. The L't ureter within normal without obvious stricture. Remove Foley catheter
  • 31.
  • 32.
  • 33.
    Antegrade pyelography (96-08-06)<PCN tube training for 4 days at home> L't antegrade pyelogram performed via PCN tube s/p L't PCN with normal appearance of L't renal calyces, pelvis and L't ureter, without extravasating of contrast media, no stricture of L't ureter or L't lower ureteral UVJ with free passage of contrast media into urinary bladder without stasis. Removal of L't PCN tube.
  • 34.
  • 35.
  • 36.
    Demerit of operation? Bladder stitches ~ IVP, CT scan, Cystoscopy Hydronephrosis, renal pelvic rupture ~ tumor, stone, infection , stricture ? Prenatal examination ~ no urinary signs/symptoms
  • 37.
    Hemodynamic changes innormal pregnancy 10 to 15 beat/min increase in heart rate
  • 38.
    Hemodynamic and renalchanges during normal pregnancy Systemic hemodynamics Increase in cardiac output Fall in vascular resistance and blood pressure Blood volume expansion Renal function and electrolyte balance Increase in glomerular filtration rate Chronic respiratory alkalosis ~ progesterone Hyponatremia due to resetting of osmostat ~ 270 mosm/kg Increased ADH metabolism and polyuria in selected women
  • 39.
    Dilation of theupper urinary system is common during pregnancy. ~ physiologic ~ hormonal & mechanical factors Colicky pain ~ stretch renal capsule ~ knee-chest position
  • 40.
  • 41.
    “ acute hydronephrosisof pregnancy” ~ abrupt increase in intraurethral and intrapelvic pressure ~ usually position of the uterus ~ more common on the right than left side (9:1) due to dextrorotation of the uterus by the sigmoid colon <Complication of pregnancy 5th edition cherry & merkatz’s>
  • 42.
    “ Dystocia” associated with cephalopelvic disproportion, or breech presentation as in our case, could increase the extrinsic pressure on the lower ureter at the pelvic brim, leading to increased intrapelvic pressure and peripelvic extravasation of urine. <South Med J. 1980 Jun;73(6)>
  • 43.
  • 44.
    A less common result of upper urinary tract dilation is acute renal rupture! A review of the literature determined that 17 cases of rupture of the collecting system and/or renal parenchyma during pregnancy have been reported. <Mayo Clin Proc. 1991 Feb;66(2)> As expected, 14 of 17 occurred on right side … One maternal death has been reported.
  • 45.
    Spontaneous rupture ofthe urinary tract during pregnancy is rare ; a review of the literature revealed only 25 cases, most commonly occurring in diseased kidneys . Ruptures of the collecting system: 12. Ruptures of the renal parenchyma: 13. 21 were diagnosed during pregnancy in the second and third trimester. 4 within the first 24 h postpartum. <Br J Urol. 1995 Nov;76(5)>
  • 46.
    To our review,rupture of the renal pelvis during pregnancy has been reported in 16 cases. Renal benign tumor, hamartoma: 4 Structural or infectious disease: 5 No underlying condition: 7 Right kidney (14/16, 87.5%) <Am J Perinatol. 2002 May;19(4)>
  • 47.
    Evaluation & treatmentPatient is stable ~ Conservation management ~ Ureteral stenting +/- nephrostomy ~ Percutaneous tube placement into the urinoma Unsuccessful / patient presents shock ~ Exploration with open repair ~ Nephrectomy
  • 48.
    The End Thanksyour attention