HEPATIC &
PANCREATIC
TUMORS
Dr. Abdul Qadeer
MBBS; FCPS; FICS
Assistant Professor in Surgery
King Faisal University College of Medicine
OBJECTIVES
1. Clinical anatomy of liver
2. Physiology of liver
3. Different types of benign hepatic tumors
4. Management of different types of benign
hepatic tumors
5. Types of malignant hepatic tumors
6. Epidemiology of malignant hepatic tumors
7. Management of different malignant hepatic
tumors
OBJECTIVES (CONTD…)
9. Clinical anatomy of pancreas
10. Physiology of pancreas
11. Different types of pancreatic tumors
12. Management of different types of pancreatic
tumors
1. CLINICAL ANATOMY OF LIVER
 Largest organ in the body
 Situated in the RHC
 Weight = 1.5 kg in a 70 kg man
 Covered by a capsule & visceral peritoneum
except ‘bare area’ on its posterior surface
 Two lobes, right & left; right lobe = 3/4th, left
lobe = smaller
HTTP://WWW.BING.COM/IMAGES/SEARCH?Q=LIVER&VIEW=DETAILV2&ID=1BA9D5EC40003C1AF136FEB6D
5E1E9D04936BE1F&SELECTEDINDEX=6&CCID=LW1C%2FQBH&SIMID=608002713506418269&THID=JN.8%
2FMSQLIAO3WCNWUAOCJLAG&MODE=OVERLAY&FIRST=1
LIGAMENTS & PERITONEAL REFLECTIONS
 Left & right triangular ligaments
 Falciform ligament (remnant of umbilical
vein)
 Lesser omentum between stomach & liver,
contains the hilar structures
 Porta hepatis = hilum of the liver
 Hepatic artery, portal vein & bile duct are
present within the free edge of the lesser
omentum
HTTP://WWW.BING.COM/IMAGES/SEARCH?Q=LIVER&VIEW=DETAILV2&ID=90E6A0C9CA2A5FD68DD13F024
B76BEB294661C4A&SELECTEDINDEX=11&CCID=LDAZD%2FJL&SIMID=608005522410635859&THID=JN.3H
X5EBHLZPOPASIZ%2BZ9NLW&MODE=OVERLAY&FIRST=1
BLOOD SUPPLY OF LIVER
 Portal vein = 80%
 Hepatic artery = 20%
 Venous drainage = hepatic veins into IVC
 Liver regenerates fully after partial resection
HTTP://WWW.BING.COM/IMAGES/SEARCH?Q=LIVER+BLOOD+SUPPLY&GO=SUBMIT&QS=DS&FORM=QBIDMH
SEGMENTAL ANATOMY OF LIVER
 Eight segments (described by Couinaud)
 Each segment is a functional unit with a
branch of hepatic artery, portal vein & bile
duct
HTTP://WWW.BING.COM/IMAGES/SEARCH?Q=LIVER+SEGMENTS&VIEW=DETAILV2&&&ID=763F22D00E8C3A
34F4842B60B35F19A26A60295D&SELECTEDINDEX=25&CCID=2JWPX8SP&SIMID=608002305485769828
&THID=JN.BU4OPUDUE17FIBMTMKQU4Q
2. FUNCTIONS OF LIVER
 Maintains core body temperature
 pH balance & correction of lactic acidosis
 Synthesis of clotting factors
 Glucose metabolism, glycolysis &
gluconeogenesis
 Urea formation from protein catabolism
 Bilirubin formation from Hb degradation
 Drug & hormone metabolism & excretion
 Removal of gut endotoxins & foreign
antigens
3. DIFFERENT BENIGN HEPATIC TUMORS
 Hemangioma
 Hepatic adenoma
 Focal nodular hyperplasia (FNH)
LIVER HEMANGIOMAS
 Having abnormal plexus of veins
 Often multiple, may be giant
 Usually found incidentally (incidentaloma)
 Usually diagnosed by US
 CT scan shows characteristic slow contrast
enhancement due to small vessel uptake
 Percutaneous biopsy should be avoided
 Rarely need surgery
HTTP://WWW.BING.COM/IMAGES/SEARCH?Q=LIVER+HEMANGIOMA&GO=SUBMIT&QS=DS&FORM=QBIR
HEPATIC ADENOMA
 Mostly occur in women of child-bearing age
 Associated with sex hormones (OC pills)
 CT or MRI shows a well-circumscribed
vascular solid tumor
 Difficult to differentiate from HCC
 Biopsy may be necessary
 May bleed and have malignant potential
 Resection is the treatment of choice
HTTP://WWW.BING.COM/IMAGES/SEARCH?Q=LIVER+ADENOMA&GO=SUBMIT&QS=DS&FORM=QBIRMH
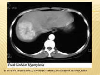
FOCAL NODULAR HYPERPLASIA (FNH)
 It is a focal overgrowth of functioning liver tissue
supported by fibrous stroma
 Usually middle-aged women
 US helps to diagnose but may not be able to
discriminate
 Contrast CT/MRI may show central scarring &
well-vascularized lesion
 FNH contains both hepatocytes & Kupffer cells
 A sulphur colloid liver scan may be useful, since
Kupffer cells take up the colloid
 Does not have malignant potential
 If diagnosis is confirm, no treatment is required
HTTP://WWW.BING.COM/IMAGES/SEARCH?Q=LIVER+FNH&GO=SUBMIT&QS=DS&FORM=QBIRMH
4. MANAGEMENT OF BENIGN HEPATIC TUMORS
 Liver hemangiomas = Rarely require surgery
 Hepatic adenoma = Resection is the
treatment of choice
 FNH = No treatment is required
5. MALIGNANT HEPATIC TUMORS
1. Primary tumors:
 Hepatocellular carcinoma
 Cholangiocarcinoma
2. Secondary tumors (Metastasis)
HEPATOCELLULAR CARCINOMA (HCC)
 Primary liver cancer
 Associated with chronic liver disease (CLD),
due to HBV & HCV
 Many patients with CLD are now screened
for HCC by serial USS of liver or serum α-FP
 Surgical treatment options include:
1. Resection of the tumor
2. Liver transplant
HTTP://WWW.BING.COM/IMAGES/SEARCH?Q=LIVER+FNH&GO=SUBMIT&QS=DS&FORM=QBIRMH
 Choice of surgical option from the above two
depends upon:
a. Stage of the underlying liver disease
b. Site & size of the tumor
c. Availability of organ transplantation
d. Management of the immunosuppressed
patient
STAGING & CLINICAL ASSESSMENT OF HCC
 General assessment of patient for fitness of
surgery
 Severity of underlying liver disease (by CTP
classification or MELD score)
 Size, number and site of the tumor
Points 1 point
each
2 points
each
3 points
each
Bilirubin
(µmol/L)
<34 34-50 >50
Albumin (g/L) >35 22-35 <25
Ascites None Easily
controlled
Poorly
controlled
Encephalopath
y
None Grade I-II Grade III-IV
INR <1.7 1.7-2.2 >2.2
CHILD-TURCOTTE-PUGH (CTP)
CLASSIFICATION OF HEPATOCELLULAR
FUNCTION IN CIRRHOSIS
CTP A = 5-6 Points; CTP B = 7-9 Points; CTP C = 10-15
Points
MODEL FOR END-STAGE LIVER DISEASE (MELD)
SCORE
 It is a scoring system for assessing the severity
of chronic liver disease
 It was initially developed to predict death within
three months of surgery in patients who had
undergone a transjugular intrahepatic
portosystemic shunt (TIPS) procedure and was
subsequently found to be useful in determining
prognosis and prioritizing for receipt of a liver
transplant
 This score is now used by the United Network
for Organ Sharing (UNOS) and
Eurotransplant for prioritizing allocation of liver
transplants instead of the older CTP score
MODEL FOR END-STAGE LIVER DISEASE (MELD)
SCORE
 MELD = 3.78×ln[serum bilirubin (mg/dL)] +
11.2×ln[INR] + 9.57×ln[serum creatinine
(mg/dL)] + 6.43×aetiology(0: cholestatic or
alcoholic, 1- otherwise)
 In interpreting the MELD Score in hospitalized
patients, the 3 month mortality is:
1. 40 or more — 71.3% mortality
2. 30–39 — 52.6% mortality
3. 20–29 — 19.6% mortality
4. 10–19 — 6.0% mortality
5. <9 — 1.9% mortality
 USS
 CXR/CT
 Bone scan
 Contrast CT/MRI
 WHVP (Wedged hepatic venous pressure);
suggests portal hypertension, poor outcome
after liver resection in cirrhotic patients
 Indocyanine green (ICG) clearance test: for
hepatic flow & function
 Patients with CTP class A and high ICG
clearance are suitable for major liver
resection
CHOLANGIOCARCINOMA
 Bile duct cancers typically present with
painless obstructive jaundice
 PSC (Primary Sclerosing Cholangitis) is the
cause
 Slow growing tumors
 Klastskin tumors: arise at the confluence of
right & left hepatic ducts, eventually invading
the liver parenchyma
INVESTIGATIONS FOR CHOLANGIOCARCINOMA
 LFTs: Obstructive jaundice
 Tumor marker: CA 19-9 may be elevated
 USS
 MDR-CT: Multidetector row computed
tomography
 MRI/MRCP
 ERCP
 PTC
 PET
6. EPIDEMIOLOGY OF MALIGNANT HEPATIC
TUMORS
 Sixth most common cancer worldwide
 5.7% incidence over all cancers
 Developing countries = 82%, third most
common cancer in men after lung & stomach
 HBV & HCV infections account 75% cases of
primary liver cancers
http://www.ncbi.nlm.nih.gov/pmc/articles/PMC3036307/
7. MANAGEMENT OF MALIGNANT HEPATIC
TUMORS
 For HCC:
 Surgical resection with 1 to 2-cm safety
margin
 Liver transplantation
 Non-surgical therapy for advanced disease:
a. Transarterial embolization (TAE)
b. Transarterial chemoembolization (TACE)
c. Percutaneous ethanol ablation (PEA)
d. Radiofrequency ablation (RFA)
8. CLINICAL ANATOMY OF PANCREAS
 Exocrine & endocrine pancreas
 Head, body, tail, uncinate process
 Main pancreatic duct (Wirsung)
 Accessory pancreatic duct (Santorini)
 Islets of Langerhans
a) B-cells (65-80%) : Insulin
b) A-cells (15-20%) : Glucagon
c) D-cells (3-10) : Somatostatin
d) PP-cells (1%) : Pancreatic polypeptide
9. PHYSIOLOGY OF PANCREAS
 In response to meal, secretin from duodenal
mucosa: stimulates pancreas to secrete
digestive enzymes in an alkaline (pH 8.4)
bicarbonate-rich fluid
 Cholecystokinin-panceozymin (CCK-PZ)
 Vagal stimulation: secretomotor
10. DIFFERENT TYPES OF PANCREATIC TUMORS
 Chronic pancreatitis may be the main cause
 Carcinoma of pancreas: 85% are ductal
adenocarcinomas
 Serous and mucinous cystadenomas
including intraductal papillary mucinous
neoplasms (IPMNs)
 Lymphangiomas, dermoid cysts
NEURO-ENDOCRINE TUMORS OF PANCREAS
These include:
 Insulinoma,
 Gastrinoma,
 VIPoma,
 Glucagonoma,
 Somatostatinoma,
 Carcinoid,
 ACTHoma (causing Cushing’s syndrome),
 GRFoma (causing acromegaly)
11. MANAGEMENT OF DIFFERENT TYPES OF
PANCREATIC TUMORS
 1/3rd of pancreatic tumors arise in its head
 Ampullary carcinoma
 Causing characteristic painless obstructive
jaundice
 Pruritus, dark urine, pale stools, steatorrhea
 If no jaundice, symptoms are vague e.g.
discomfort, anorexia, weight loss
INVESTIGATIONS
 CBC, UCE, FBS, RBS, LFTs
 USS
 Contrast CT/MRI
 ERCP
 ±Transduodenal or Transgastric FNA or
Trucut biopsy performed under EUS
guidance
 Percutaneous transperitoneal biopsy should
be avoided
PREOPERATIVE PREPARATION
 In a patient with obstructive jaundice:
a. Well hydration to prevent hepatorenal shut
down
b. Vitamin K injections
c. Prophylactic antibiotics
TREATMENT
 Curative surgery if possible ± chemotherapy
of 5-FU, radiotherapy is not effective
1. Pylorus-preserving panceatoduodenectomy
(PPPD)
2. Whipple procedure
3. Total pancreatectomy if the disease is
multifocal
4. Distal pancreatectomy with splenectomy +
local lymphadenectomy: tumors of body/tail
PPPD
CONTRAINDICATIONS TO SURGICAL RESECTION
 Presence of:
1. Hepatic or peritoneal metastases
2. Lymph node metastases distant from the
pancreatic head
3. Encasement of the SMA, hepatic or coeliac
artery
Palliation of pancreatic cancer
A.Relieve jaundice & treat biliary sepsis
 Surgical biliary bypass
 Stent placed at ERCP or PTC
B.Improve gastric emptying
 Surgical gastroenterostomy
 Duodenal stent
C.Pain relief
 Stepwise escalation of analgesia
 Coeliac plexus block
 Transthoracic splanchnicectomy
D.Symptom relief & quality of life
 Encourage normal activities
 Enzyme replacement for steatorrhea
 Treat diabetes
E.Consider chemotherapy
 References: Bailey & Love’s Short Practice
of Surgery; 26th Edition; Chapters 52, 65, 68
Hepatic & pancreatic tumors

Hepatic & pancreatic tumors

  • 1.
    HEPATIC & PANCREATIC TUMORS Dr. AbdulQadeer MBBS; FCPS; FICS Assistant Professor in Surgery King Faisal University College of Medicine
  • 2.
    OBJECTIVES 1. Clinical anatomyof liver 2. Physiology of liver 3. Different types of benign hepatic tumors 4. Management of different types of benign hepatic tumors 5. Types of malignant hepatic tumors 6. Epidemiology of malignant hepatic tumors 7. Management of different malignant hepatic tumors
  • 3.
    OBJECTIVES (CONTD…) 9. Clinicalanatomy of pancreas 10. Physiology of pancreas 11. Different types of pancreatic tumors 12. Management of different types of pancreatic tumors
  • 4.
    1. CLINICAL ANATOMYOF LIVER  Largest organ in the body  Situated in the RHC  Weight = 1.5 kg in a 70 kg man  Covered by a capsule & visceral peritoneum except ‘bare area’ on its posterior surface  Two lobes, right & left; right lobe = 3/4th, left lobe = smaller
  • 5.
  • 6.
    LIGAMENTS & PERITONEALREFLECTIONS  Left & right triangular ligaments  Falciform ligament (remnant of umbilical vein)  Lesser omentum between stomach & liver, contains the hilar structures  Porta hepatis = hilum of the liver  Hepatic artery, portal vein & bile duct are present within the free edge of the lesser omentum
  • 7.
  • 8.
    BLOOD SUPPLY OFLIVER  Portal vein = 80%  Hepatic artery = 20%  Venous drainage = hepatic veins into IVC  Liver regenerates fully after partial resection
  • 9.
  • 10.
    SEGMENTAL ANATOMY OFLIVER  Eight segments (described by Couinaud)  Each segment is a functional unit with a branch of hepatic artery, portal vein & bile duct
  • 11.
  • 12.
    2. FUNCTIONS OFLIVER  Maintains core body temperature  pH balance & correction of lactic acidosis  Synthesis of clotting factors  Glucose metabolism, glycolysis & gluconeogenesis  Urea formation from protein catabolism  Bilirubin formation from Hb degradation  Drug & hormone metabolism & excretion  Removal of gut endotoxins & foreign antigens
  • 13.
    3. DIFFERENT BENIGNHEPATIC TUMORS  Hemangioma  Hepatic adenoma  Focal nodular hyperplasia (FNH)
  • 14.
    LIVER HEMANGIOMAS  Havingabnormal plexus of veins  Often multiple, may be giant  Usually found incidentally (incidentaloma)  Usually diagnosed by US  CT scan shows characteristic slow contrast enhancement due to small vessel uptake  Percutaneous biopsy should be avoided  Rarely need surgery
  • 15.
  • 16.
    HEPATIC ADENOMA  Mostlyoccur in women of child-bearing age  Associated with sex hormones (OC pills)  CT or MRI shows a well-circumscribed vascular solid tumor  Difficult to differentiate from HCC  Biopsy may be necessary  May bleed and have malignant potential  Resection is the treatment of choice
  • 17.
  • 18.
    FOCAL NODULAR HYPERPLASIA(FNH)  It is a focal overgrowth of functioning liver tissue supported by fibrous stroma  Usually middle-aged women  US helps to diagnose but may not be able to discriminate  Contrast CT/MRI may show central scarring & well-vascularized lesion  FNH contains both hepatocytes & Kupffer cells  A sulphur colloid liver scan may be useful, since Kupffer cells take up the colloid  Does not have malignant potential  If diagnosis is confirm, no treatment is required
  • 19.
  • 20.
    4. MANAGEMENT OFBENIGN HEPATIC TUMORS  Liver hemangiomas = Rarely require surgery  Hepatic adenoma = Resection is the treatment of choice  FNH = No treatment is required
  • 21.
    5. MALIGNANT HEPATICTUMORS 1. Primary tumors:  Hepatocellular carcinoma  Cholangiocarcinoma 2. Secondary tumors (Metastasis)
  • 22.
    HEPATOCELLULAR CARCINOMA (HCC) Primary liver cancer  Associated with chronic liver disease (CLD), due to HBV & HCV  Many patients with CLD are now screened for HCC by serial USS of liver or serum α-FP  Surgical treatment options include: 1. Resection of the tumor 2. Liver transplant
  • 23.
  • 24.
     Choice ofsurgical option from the above two depends upon: a. Stage of the underlying liver disease b. Site & size of the tumor c. Availability of organ transplantation d. Management of the immunosuppressed patient
  • 25.
    STAGING & CLINICALASSESSMENT OF HCC  General assessment of patient for fitness of surgery  Severity of underlying liver disease (by CTP classification or MELD score)  Size, number and site of the tumor
  • 26.
    Points 1 point each 2points each 3 points each Bilirubin (µmol/L) <34 34-50 >50 Albumin (g/L) >35 22-35 <25 Ascites None Easily controlled Poorly controlled Encephalopath y None Grade I-II Grade III-IV INR <1.7 1.7-2.2 >2.2 CHILD-TURCOTTE-PUGH (CTP) CLASSIFICATION OF HEPATOCELLULAR FUNCTION IN CIRRHOSIS CTP A = 5-6 Points; CTP B = 7-9 Points; CTP C = 10-15 Points
  • 27.
    MODEL FOR END-STAGELIVER DISEASE (MELD) SCORE  It is a scoring system for assessing the severity of chronic liver disease  It was initially developed to predict death within three months of surgery in patients who had undergone a transjugular intrahepatic portosystemic shunt (TIPS) procedure and was subsequently found to be useful in determining prognosis and prioritizing for receipt of a liver transplant  This score is now used by the United Network for Organ Sharing (UNOS) and Eurotransplant for prioritizing allocation of liver transplants instead of the older CTP score
  • 28.
    MODEL FOR END-STAGELIVER DISEASE (MELD) SCORE  MELD = 3.78×ln[serum bilirubin (mg/dL)] + 11.2×ln[INR] + 9.57×ln[serum creatinine (mg/dL)] + 6.43×aetiology(0: cholestatic or alcoholic, 1- otherwise)  In interpreting the MELD Score in hospitalized patients, the 3 month mortality is: 1. 40 or more — 71.3% mortality 2. 30–39 — 52.6% mortality 3. 20–29 — 19.6% mortality 4. 10–19 — 6.0% mortality 5. <9 — 1.9% mortality
  • 29.
     USS  CXR/CT Bone scan  Contrast CT/MRI  WHVP (Wedged hepatic venous pressure); suggests portal hypertension, poor outcome after liver resection in cirrhotic patients  Indocyanine green (ICG) clearance test: for hepatic flow & function  Patients with CTP class A and high ICG clearance are suitable for major liver resection
  • 30.
    CHOLANGIOCARCINOMA  Bile ductcancers typically present with painless obstructive jaundice  PSC (Primary Sclerosing Cholangitis) is the cause  Slow growing tumors  Klastskin tumors: arise at the confluence of right & left hepatic ducts, eventually invading the liver parenchyma
  • 31.
    INVESTIGATIONS FOR CHOLANGIOCARCINOMA LFTs: Obstructive jaundice  Tumor marker: CA 19-9 may be elevated  USS  MDR-CT: Multidetector row computed tomography  MRI/MRCP  ERCP  PTC  PET
  • 32.
    6. EPIDEMIOLOGY OFMALIGNANT HEPATIC TUMORS  Sixth most common cancer worldwide  5.7% incidence over all cancers  Developing countries = 82%, third most common cancer in men after lung & stomach  HBV & HCV infections account 75% cases of primary liver cancers http://www.ncbi.nlm.nih.gov/pmc/articles/PMC3036307/
  • 33.
    7. MANAGEMENT OFMALIGNANT HEPATIC TUMORS  For HCC:  Surgical resection with 1 to 2-cm safety margin  Liver transplantation  Non-surgical therapy for advanced disease: a. Transarterial embolization (TAE) b. Transarterial chemoembolization (TACE) c. Percutaneous ethanol ablation (PEA) d. Radiofrequency ablation (RFA)
  • 34.
    8. CLINICAL ANATOMYOF PANCREAS  Exocrine & endocrine pancreas  Head, body, tail, uncinate process  Main pancreatic duct (Wirsung)  Accessory pancreatic duct (Santorini)  Islets of Langerhans a) B-cells (65-80%) : Insulin b) A-cells (15-20%) : Glucagon c) D-cells (3-10) : Somatostatin d) PP-cells (1%) : Pancreatic polypeptide
  • 35.
    9. PHYSIOLOGY OFPANCREAS  In response to meal, secretin from duodenal mucosa: stimulates pancreas to secrete digestive enzymes in an alkaline (pH 8.4) bicarbonate-rich fluid  Cholecystokinin-panceozymin (CCK-PZ)  Vagal stimulation: secretomotor
  • 36.
    10. DIFFERENT TYPESOF PANCREATIC TUMORS  Chronic pancreatitis may be the main cause  Carcinoma of pancreas: 85% are ductal adenocarcinomas  Serous and mucinous cystadenomas including intraductal papillary mucinous neoplasms (IPMNs)  Lymphangiomas, dermoid cysts
  • 37.
    NEURO-ENDOCRINE TUMORS OFPANCREAS These include:  Insulinoma,  Gastrinoma,  VIPoma,  Glucagonoma,  Somatostatinoma,  Carcinoid,  ACTHoma (causing Cushing’s syndrome),  GRFoma (causing acromegaly)
  • 38.
    11. MANAGEMENT OFDIFFERENT TYPES OF PANCREATIC TUMORS  1/3rd of pancreatic tumors arise in its head  Ampullary carcinoma  Causing characteristic painless obstructive jaundice  Pruritus, dark urine, pale stools, steatorrhea  If no jaundice, symptoms are vague e.g. discomfort, anorexia, weight loss
  • 39.
    INVESTIGATIONS  CBC, UCE,FBS, RBS, LFTs  USS  Contrast CT/MRI  ERCP  ±Transduodenal or Transgastric FNA or Trucut biopsy performed under EUS guidance  Percutaneous transperitoneal biopsy should be avoided
  • 40.
    PREOPERATIVE PREPARATION  Ina patient with obstructive jaundice: a. Well hydration to prevent hepatorenal shut down b. Vitamin K injections c. Prophylactic antibiotics
  • 41.
    TREATMENT  Curative surgeryif possible ± chemotherapy of 5-FU, radiotherapy is not effective 1. Pylorus-preserving panceatoduodenectomy (PPPD) 2. Whipple procedure 3. Total pancreatectomy if the disease is multifocal 4. Distal pancreatectomy with splenectomy + local lymphadenectomy: tumors of body/tail
  • 42.
  • 43.
    CONTRAINDICATIONS TO SURGICALRESECTION  Presence of: 1. Hepatic or peritoneal metastases 2. Lymph node metastases distant from the pancreatic head 3. Encasement of the SMA, hepatic or coeliac artery
  • 44.
    Palliation of pancreaticcancer A.Relieve jaundice & treat biliary sepsis  Surgical biliary bypass  Stent placed at ERCP or PTC B.Improve gastric emptying  Surgical gastroenterostomy  Duodenal stent C.Pain relief  Stepwise escalation of analgesia  Coeliac plexus block  Transthoracic splanchnicectomy D.Symptom relief & quality of life  Encourage normal activities  Enzyme replacement for steatorrhea  Treat diabetes E.Consider chemotherapy
  • 45.
     References: Bailey& Love’s Short Practice of Surgery; 26th Edition; Chapters 52, 65, 68