CARCINOMA PANCREAS
PRESENTED by---Dr.JYOTINDRA SINGH
MBBS,MS (Gen Surgery) ,M.Ch( Cardiac Surgery)
SEMINAR PLAN
 INTRODUCTION
 ANATOMY
 SURGICAL ANATOMY
 PANCREATIC TUMOURS
 MODE OF PRESENTATION
 PRE OPERATIVE WORK UP
 VARIOUS SURGERIES/ SURGICAL VIDEOS
 RECENT UPDATES
 VARIOUS STUDIES/TRIALS
 TAKE HOME MESSAGE
INTRODUCTION
Carcinoma of the exocrine pancreas accounts for
over 90 % of pancreatic tumors and remains an
unreduced oncologic challenge.
By definition,periampullary cancers arise within
2 cm of the major papilla in the duodenum.
Pancreatic adenocarcinoma accounts for 80% tumours
Most common GI malignancy after Ca colon
Least 5 years survival rate of 3 %.
Incidence rate is virtually identical to the
mortality rate
INTRODUCTION
Pancreatic cancer is a biologically aggressive tumor
from the onset .
Clinically queisent for a long time and hence present in
advanced state.
Only 20% of pancreatic cancers are operable for cure
Only 10% - 15% of pancreatic cancers are alive 12
months after the diagnosis
Average life of metastatic pancreatic cancer is 6 months
ANATOMY AND RELATION OF PANCREAS
Pancreas is a long retroperitoneal organ 15 to 20 cm in
length.
Weighs about 80 gms ,lies against L1 & L2 Vertebra.
It is arbitarily divided into HEAD,NECK BODY & TAIL
Head lies within the concavity of duodenum against second
lumbar vertebra and body overlies the first lumbar vertebra
Cuddles L Kidney
Tickles Spleen
Cradles Aorta
Opposes IVC
Dallies with
R Renal
Pedicle
Hugs the duodenum
Wraps the SMV
Hides behind peritoneum
Durman
BLOOD SUPPLY
PANCREATIC BRANCHES OF SPLENIC
ARTERY
SUPERIOR PANCREATICODUODENAL
ARTERY
INFERIOR PANCREATICODUODENAL
ARTERY
VENOUS DRAINAGE IS INTO SPLENIC
VEIN ,SUPERIOR MESENTERIC & PORTAL
VEIN
VENOUS DRAINAGE
PANCREATIC DUCT
Main duct of Pancreas ( DUCT OF WIRSUNG )-
begins in tail of pancreas and runs on the posterior surface
of the body and head of pancreas.
HERRING BONE PATTERN
DIAMETER OF PANCREATIC DUCT
TAIL - 1 to 2 mm BODY - 2 to 3 mm
HEAD - 3 to 4 mm
Upto 5-6 mm of dilatation in a 70 yr old person is considered
normal.
Joins the bile duct in the wall of second part of duodenum to
form hepatopancreatic ampulla ( of Vater )
DUCT OF SANTORINI- begins in lower part of the head and
opens in to duodenum at minor duodenal papilla ( 6-8 cm from
Duct of Wirsung
Duct of
Wirsung
Duct of Wirsung &Duct of Santorini
Incidence
INCIDENCE
Annual incidence 10 new cases per 100000 population
Lowest incidence – India and Middle East
Incidence increases steadily with age – with 80 % over 6th
decade of life
Male: Female ratio – 2:1
Pre and post menopausal women ratio is 2: 1
ETIOLOGY & RISK FACTORS
HEREDITY - CANCER FAMILY SYNDROMES
CIGARETTE SMOKING
DIET – high intake of animal fat or meat.
OCCUPATIONAL
EXPOSURE TO RADIATIONS
GASTRIC SURGERIES
DIABETES MELLITUS/PERNICIOUS ANAEMIA/ CHRONIC
PANCREATITIS
Etiology – hereditary factors
 Most of the pancreatic cancers are sporadic
 7.8% of pancreatic cancer patients give a positive
family history
 Hereditary syndromes
 HNPCC
 PZ syndrome
 Ataxia Telangiectasia
 Hereditary Pancreatitis
 Familial Atypical Mole Melanoma syndrome
 FAP
Etiology – Diabetes – Is it a cause or effect
 Several studies have shown an increased
incidence of pancreatic cancer in diabetics
 Diabetes is considered as an early symptom of
pancreatic cancer rather than being a cause
 The diabetes of Pancreatic cancer is due to islet
cell dysfunction (Islet Amyloid polypeptide)
and not due to the destruction of the gland
Etiology – Chronic
Pancreatitis- Is it premalignant
 The incidence of pancreatic cancer in
various entities of chronic Pancreatitis are
as follows
 Hereditary Pancreatitis 25%
 Tropical Pancreatitis 10%
 Alcoholic Pancreatitis 5%
Oncogenes in pancreatic cancer
 K ras
 P 53
 P 16
 DPC 4
The tumours of the pancreas can be -
A. Non-Endocrineneoplasms
B. Endocrineneoplasms
TUMOURS OF THE PANCREAS
ENDOCRINE NEOPLASMS:
These are less common than non-endocrine
tumours and generally benign and sometimes
multiple. They includes:
 Insulinoma
 Glucogonomas
 Others:
- Gastrinomas
- Somatostatatinomas
- Vipomas (Vasoactive Intestinal
Polypeptide)
common
PATHOLOGICAL ( WHO ) CLASSIFICATION
PRIMARY ( 93% )
METASTATIC ( 7 % )
A ) DUCT CELL ORIGIN – 90%
1. DUCT CELL ADENOCARCINOMA – 75 %
2. MUCINOUS CARCINOMA
3. CYSTADENOCARCINOMA
B ) ACINAR CELL ORIGIN – 1%
1. ACINAR CELL CARCINOMA
2. CYSTADENOCARCINOMA ( Acinar cell )
PATHOLOGICAL ( WHO ) CLASSIFICATION
Uncertain Histogenesis ( 9% )
1. PANCREATOBLASTOMA
2. PAPILLARY AND CYSTIC NEOPLASM
3. MIXED TUMOURS
CONNECTIVE TISSUE ORIGIN ( 1 % )
1. MALIGNANT FIBROUS HISTOCYTOMA
2. OSTEOGENIC SARCOMA
3. LEIOMYOSARCOMA
4. HEMANGIO PERICYTOMA
Carcinoma - Pancreas
 A, A cross-section through the head of the pancreas and
adjacent common bile duct showing both an ill-defined
mass in the pancreatic substance (arrowheads) and the
green discoloration of the duct resulting from total
obstruction of bile flow.
 B, Poorly formed glands are present in densely fibrotic
stroma within the pancreatic substance; there are some
inflammatory cells
HISTOPATH
Case
Case -1
CLINICAL MANIFESTATIONS
It is unfortunate that malignant pancreatic cancers are
asymptomatic until local or systemic complication develop.
1. Obstruction to bile duct – Jaundice and pruritus
2. Obstruction to duodenum /stomach- Gastric outlet obstruction
3. Ulceration- Gastro intestinal haemorrhage
4. Infiltration of peripancreatic nerve roots produce pain
The onset of symptoms are insidious and progressive
Abdominal pain is usually post prandial and in epigastrium
Pain in upper back denotes retroperitoneal extension
Pancreatic Tumors in the Head
Tumors in the head may compress biliary ducts or pancreatic
ducts
SYMPTOMS AND SIGNS
CARCINOMA HEAD OF PANCREAS
1. WEIGHT LOSS – AVERAGING ABOUT 40%
2. OBSTRUCTIVE JAUNDICE-
3. DEEP SEATED ABDOMINAL PAIN
4. NON TENDER PALPABLE GALL BLADDER
5. CHOLANGITIS OCCURS IN 10 % OF PATIENTS
PANCREATIC TUMOURS IN TAIL
CARCI NOMA OF BODY AND TAIL
WEIGHT LOSS
DEEP SEATED PAIN
JAUNDICE- < 10 % OF PATIENT
SUDDEN ONSET OF DIABETES MELLITUS-25% OF
PATIENT
MIGRATORY THROMBOPHLEBITIS- OCCURS IN ABOUT
10% PATIENT
SYMPTOMS AND SIGNS
CARCINOMA OF AMPULLA OF VATER
1. Pain occurs less frequently – usually its colicky
2. Jaundice is often intermittent
3. Chills and fever – due to associated cholangitis
Periampullary carcinoma
 Any tumor within 2
cm from the duodenal
papilla is defined as
periampullary cancer.
Ca terminal PD
Distal CBD
Ampullary tumor
Duodenal tumor
Periampullary carcinoma
 The individual components of peri
ampullary tumors differ in their
prognosis
 Duodenal carcinoma
 Ampullary carcinoma
 CBD growth
 Pancreatic ca
Site
 Pancreatic head-2/3rd
 Remaining part 1/3rd
Clinical presentation
 Mid epigastric pain radiating to back
 Weight loss
 Fatigue
 Anorexia
 Symptoms are vague and hence the delayed
presentation
Clinical presentation
 Painless progressive jaundice 50-60%
 Pruritus
 Staetorrhea
 Malabsorption
 New onset of Diabetes in older patients
Clinical presentation
 Jaundice is a late presentation in uncinate
process growth
 Severe back pain indicate irresectablity and an
omnious sign
Physical findings
 Physical findings are rare in pancreatic cancers
and their presence usually indicate advanced
stage
 Resectablity is better when patient presents
with the classical painless progressive jaundice
Physical findings
 Palpable GB (Courvoisier’s law)
 Hepatomegaly
 Icterus
 Scratch marks
 Ascites
 Mass
 Virchow’s node
 Pelvic deposit
 Trousseau’s sign
Courvoisier Law
Assessment
 Confirm the diagnosis
 Stage the disease
 Assess the operability
 General assessment for surgery
Have A Great Day…
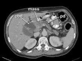
Investigation
 CBC
 LFT
 RFT
 Coagulation profile
 CXR
 ECG
 Echo
USG
 Cheap
 Level of obstruction
 Cause of obstruction
 Liver metastasis
 Ascites
USG
 Operator dependent
 Miss small metastasis
 Cannot assess operability
CT
 “Pancreatic protocol CT” is the gold
standard of investigation to stage the
disease and assess the operability
 Triple phase CT
 Closer cuts
 Water used as an intraluminal contrast
 Helical or multislice
CT
 Focal or diffuse mass lesion which is hypo
dense (low attenuation) and hypo vascular
(poor contrast enhancement)
 Dilated MPD and CBD
Pancreas
“Operability is assessed in the office of the
surgeon and not in the Operating room”
CT
 Advantages
 Available easily
 Surgeons are familiar with CT
 Excellent in giving details of operability
 Disadvantages
 May miss liver mets less than 1 cm
 Miss peritoneal mets
 Radiation
MRI
 Advantages
 No radiation
 Avoids contrast
 Single investigation that gives all the
information needed
 Disadvantages
 Cost & availability
 Surgeons are unfamiliar
MRI
 As it stand today CT is as good as MRI
 Probably in the future, MRI is likely to be used
more frequently and may replace CT
Role of Biopsy
Not mandatory
Role of Biopsy
 Tissue diagnosis is indicated in cases which
are found inoperable by imaging
 Biopsy is indicated when Neoadjuvant
chemotherapy is planned
Why not a biopsy
 May upstage the disease
 Complications of biopsy
 Has a very low negative predictive value
What biopsy
 Ideally it should be
done under EUS
guidance
 Targeted
 No tumor seeding
 No complications
like fistula
ERCP
Double duct sign
Not routinely done in
pancreatic
Cancer
Preop biliary drainage
Atypical lower CBD
obstruction
PET
 It is useful in differentiating pancreatic cancer
from chronic Pancreatitis
 Extra pancreatic disease
EUS
 Ideal method to evaluate
lower CBD obstruction
 Guided FNAC
 Vascular invasion
 EUS+FNAC= sensitivity of
90% and specificity of 95%
Angiography
No longer used
Barium studies – only historical
 Pad sign – widening of C loop
 Reverse 3 sign or Frostberg sign
Tumor markers
 CA 19-9
 CEA
 CA 125
 CA 50
 SPAN-1
 DUPAN-2
Staging
 TX primary tumor cannot be assessed
 T0 no evidence of primary tumor
 T1 confined to pancreas
T1a less than 2 cm
T1b more than 2 cm
 T 2 tumor extend to involve the bile
duct, duodenum and peripancreatic
tissue
 T3 involvement of stomach, spleen, colon,
vessels
Staging
 NX nodes cannot
be assessed
 N0 no evidence
of nodes
 N1 regional
nodes present
 MX cannot be
assessed
 M0 no metastasis
 M1 distant
metastasis
Stage grouping
 Stage I
 T1 N0 M0
 T2 N0 M0
 Stage II
 T3 N0 M0
 Stage III
 Any T N1 M0
 Stage IV
 Any T Any N M1
Prognosis
 Tumor size
 Node positivity
 Type of resection (R0 or R1)
Operability
 Ca head 20%
 Ca body&tail 3%
 Ampullary 80%
Preop preparation
 Vitamin K
 Hydration
 Correction of electrolytes
 Preop nutrition
PANCREATIC SURGERIES
 WHIPPLES OPERATION – OPEN / LAPROSCOPIC/ ROBOTIC
 PYLORUS PRESERVING PANCREATICODUODENECTOMY
 DUODENUM PRESERVING RESECTION OF HEAD OF
PANCREAS
 SUBTOTAL PANCREATECTOMY/TOTAL
PANCREATECTOMY
 ENUCLEATION
 LAPROSCOPIC STAGING
 LAPROSCOPIC PALLIATIVE BYPASS
 PAIN –PALLIATIVE SURGERIES
 PANCREATIC TRANSPLANTATION
 ROBOTIC SURGERIES
Pancreaticoduodenectomy
Pancreaticoduodenectomy offers the
surgeon the only chance to cure a
patient with carcinoma of the head
of the pancreas and periampullary
region
“Pancreaticoduodenecomy is the
Cadillac of operations”
but
“It is not a Cadillac that he ( surgeon)
is driving but a formula 1 Ferrari”
Attitude of the surgeon towards
pancreatic cancer
 Nihilistic
 Activist
 Realist
Sir Allen O Whipple
Pancreaticoduodenectomy
 Walter Kausch was the first to successfully
perform pancreaticoduodenectomy in Berlin
1912
 Allen Whipple popularized the operation in US
in 1935
 Now this operation is called Kausch-Whipple
procedure
Pancreaticoduodenectomy
 This operation suffered a very bad reputation
due to the operative mortality of over 25% and
morbidity of over 50%
 Some authorities have even suggested that, this
operation be abandoned
Pancreaticoduodenectomy –
consecutive series without mortality
J Howard-41
cases
1968
J Cameron
145 cases
1993
Aranha
152 cases
2003
Michael Trede- 118 cases 1990
OPERATIVE STEPS
Incision- transverse subcostal / midline
Exploration/mobilization- kocherization
Cholecystectomy/dissection of hepatoduodenal ligament
Mobilization of pancreatic neck
Partial gastrectomy
Division of pancreas
Dissection of retropancreatic vessels
Division of jejunum
Reconstruction
Whipple – 6 well defined operative steps
1. Cattle Brasch maneuver
2. Extended Kocherization
3. Portal Dissection, division
of Bile duct
4. Division of Stomach
5. Division of Jejunum
6. Pancreatic Neck
transection
Reconstruction after Classical Whipple’s operation
Hepaticojejunostomy
Gastrojejunostomy
Pancreaticojejunostomy
PANCREATICODUODENECYTOMY- PYLORUS
PRESERVATIION
Incision- transverse subcostal / midline
Exploration/mobilization- kocherization
Cholecystectomy/division of the bile duct
Exposure of superior mesenteric vein
Division of duodenum
Division of gastroduodenal artery
Division of pancreatic neck
Dissection of uncinate process
Resected specimen-gallbladder,distal bile duct,2nd 3rd &4th part
of duodenum,proximal jejunum and head ,neck & uncinate
portion of pancreas
Reconstruction
Pylorus preserving Pancreaticoduodenectomy
Reconstruction after PPPD
Duodenum- preserving resection of the head of pancreas
Incision- transverse subcostal / midline
Exploration/mobilization- kocherization
Exposure of the pancreas
Dissection of the neck of pancreas
Resection along the CBD
Pancreatic remnant
Reconstruction
Bile duct anastomosis
Stenosis of the pancreatic duct
TOTAL PANCREATECTOMY
This involves the en bloc resection of
The whole of pancreas
The spleen
Distal half of stomach
Duodenum
Proximal 10 cm of jejunum
Gall bladder
Cystic and common bile duct
TOTAL PANCREATECTOMY
Incision- Transverse muscle-cuting incision
Exploration/mobilization- kocherization
Mobilization of duodenum/head of pancreas
Exposure of body and tail of pancreas
Dissection of the vessels- hepatic artery is traced
Mobilization of spleen and pancreas
Limited gastrectomy/pylorus preserving resection
Reconstruction – choledochojejunostomy/bowel anastomosis
Total Pancreatectomy Reconstruction
REGIONAL PANCREATECTOMY
TYPE O – TOTAL PANCREATECTOMY
TYPE I -- RESECTION OF PORTAL VEIN SEGMENT
TYPE II a – Type I plus resection of proximal SMA
TYPE II b– Type I plus resection of celiac axis/hepatic artery
TYPE II c-- Type I plus resection of celiac axis & SMA
PANCREATIC ENDOCRINE DISEASE
Principles- whether tumour functioning or non-functioning
tumour benign or malignant
sporadic occurrence or part of MEN-I
Operative steps
IOUS- localization of islet cell tumours
delineation of proximity of tumour to pancreatic duct
demonstration of multiple tumours as part of MEN-I
ENUCLEATION- CUSA
DISTAL PANCRETECTOMY
PANCREATIC CANCER- LAPROSCOPIC STAGING
7.5 Mhz linear array transducer
Port-infraumbilical and right flank
Search for serosal deposit
Lesions on liver sampled/GB visualised
Transducer placed on porta hepatis
Look for dilataion of pancreatic duct
Position of tumour relative to pancreatic duct/portal vein
Lymphnodes more than 10 mm -significant
PANCREATIC TRANSPLANTATION
Suitable donors between 20 and 50 yrs
Pancreatic blood flow to be maintained- warm ischemia
Gland should be perfused with a cold preservation fluid-
hypertonic citrate solution
Pancreas removed avoiding damage to the gland– injection of
collagenase enzyme into the pancreatic duct under pressure.
Pancreas transported to processing centre-within four hours-
cold ischemia
RECENT UPDATES/CHANGING
APPROACH
 Preop biliary drainage
 Preop imaging, CT vs. MR vs. EUS
 Role of biopsy
 Diagnostic laparoscopy
 PJ vs. PG
 Classical Whipple vs. PPPD
 Vascular resections
 Extended lymphadenectomy
 Drainage
Controversies
 Role of octreotide
 Order of reconstruction
 Adjuvant therapy
 Palliative resections
 Palliative bypass
Preop biliary drainage
 For
 Reduce the mortality and morbidity of surgery
 Improves the liver function
 Reduces the bleeding
 Improves the nutrition
 Buys time
Preop biliary drainage
 Against
 Does not reduce the mortality and morbidity
 More infectious complications
 It takes 6 weeks for the improvement of hepatic
microsomal functions
 Makes the duct small and fibrotic – adds to
technical difficulty
Preop biliary drainage -
consensus
 Indicated
 Cholangitis
 Impending renal failure
 Surgery is likely to be delayed
 Bilirubin of more than 20 mg%
 Nutritionally very poor
 Neoadjuvant chemotherapy is planned
Preop biliary drainage -
consensus
Routine preop biliary
drainage is not
recommended and there is
no evidence to support it
Diagnostic laparoscopy
 30% of patients found operable by imaging are
found to have small liver mets or peritoneal
mets, on diagnostic laparoscopy
 Warshaw et al
Diagnostic laparoscopy
With the advent of high quality
CT, Helical and Multislice,
occult peritoneal and liver
metastasis are documented in
only 10% in some series
PJ vs. PG
 Merits of PG
 Stomach is in proximity to pancreatic stump
 Better vascularity
 Acid in stomach inactivates enzymes
 Absence of enterokinase
 Even if leak occurs the enzymes are not activated
and hence fatal bleeding do not occur
PJ vs. PG
 Two randomized controlled trials fail to
demonstrate superiority of one method over
the other
 Dilated duct, texture of pancreas and surgeon’s
experience are more important than the viscera
used for drainage
Classical Vs PPPD
 PPPD is oncologically as radical as classical
whipple except for tumors encroaching on the
D1 and pylorus
 RCTs have failed to show any significant
benefit of PPPD over classical whipple
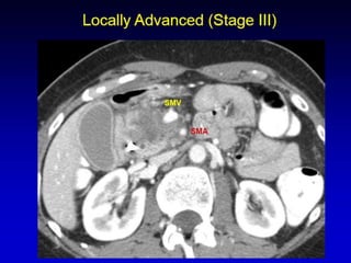
Vascular
involvement
 Resection of SMV is
accepted provide it
enables to perform R0
resections
 Involvement of SMA is
a contraindication for
resection
Extended
lymphadenectomy
 Studies have shown
that extended
lymphadenectomies
can be done with
acceptable morbidity
 Extended
lymphadenectomy do
not improve the
survival
Octreotide
 There have been totally six RCT across the
Atlantic, three from Europe ( Buchler et al, Beger
et al , Pedrazolli et al) and three from US ( Yeo et
al, Sarr et al and Lowy et al)
 The European trials favor use of octreotide and the
American trials do not favor
 Recently published meta analysis of these trials
have shown a benefit f octreotide in reducing the
complications
Adjuvant therapy
 Chemotherapy
 Radiotherapy
 Chemo radiotherapy
Adjuvant therapy
 The ESPAC trial has shown that the only
factor that positively affect the long term
survival is administration of adjuvant
chemotherapy
 Ideally all patients undergoing surgery for
cancer pancreas should be given adjuvant
chemotherapy
Palliation
 Jaundice (pruritus)
 Duodenal obstruction
 Pain
 Bleeding
Palliative resections – Is it
acceptable
 Palliative resections and palliative bypass has
the same survival
 Hence palliative resections are not accepted
Palliative resections
 The series from John Hopkins has shown
survival benefits in R1 and few cases of R2
Whipple
Palliative resections
 The consensus is that one should not willfully
perform a palliative resection, and the aim of
the surgeon should always be a R0 resection
Palliative bypass
 Operative palliation is not the standard of care
for a patient with inoperable Ca pancreas with
obstructive jaundice
 Endoscopic palliation is the treatment of
choice
Palliative bypass
 A selected group of patients with good
performance status
 Patients who are found to be inoperable on
the table
 Endoscopy facilities not available or not
possible for technical reasons
Palliative bypass
 Options of by-pass
 Choledochojejunostomy ( Loop or Roux en Y)
 Cholecystojejunostomy
 Hepaticojejunostomy
Palliative bypass-prophylactic GJ
 The current recommendation is to perform a
prophylactic GJ along with the biliary bypass
even if there is no gastric outlet obstruction
Laparoscopy in palliation
 Depending on the expertise of the surgeon,
procedures can be done with laparoscopy
Palliation of pain
 Neurolysis ( 20 ml of absolute alcohol injected
on either side of the celiac axis to destroy the
celiac ganglia)
 At laparotomy
 CT guided
 EUS guided
 Thoracoscopic splanchnectomy
ROBOTIC SURGERIES
TAKE HOME MESSAGE
Survival rate of patients after the establishment of diagnosis is
very dismal.
Surgical resection if possible ,is the only curative treatment but
it can play a role only in very small percentage of cases
Post surgery five year survival rate is least in pancreatic
malignancy.tive
Newer approaches are less radical and more effective
Concept of regional pancreatectomy has increased poet op
survival period
Survival can be further increased by- early detection
- avidance of surgery in presence of metastasis
- operative technique with avoidance of local spillage
- avoiding preoperative blood transfusion.
REFERENCES
 BAILEY & LOVE’S- SHORT PRACTISE OF
SURGERY
 SABISTON TEXTBOOK OF SURGERY
 MASTERY OF SURGERY by Fischer
 OXFORD TEXTBOOKOF SURGERY
 MAINGOTS ABDOMINAL OPERATION
 MAYO CLINIC GI SURGERY
 CANCER PRINCIPLES- De Vita
 SURGERY BY CORSON
 RECENT ADVANCES- WOLTERS KLUWER
 RECENT ADVANCES- RSG
Questions?

Pancreatic carcinoma

Pancreatic carcinoma

  • 2.
    CARCINOMA PANCREAS PRESENTED by---Dr.JYOTINDRASINGH MBBS,MS (Gen Surgery) ,M.Ch( Cardiac Surgery)
  • 3.
    SEMINAR PLAN  INTRODUCTION ANATOMY  SURGICAL ANATOMY  PANCREATIC TUMOURS  MODE OF PRESENTATION  PRE OPERATIVE WORK UP  VARIOUS SURGERIES/ SURGICAL VIDEOS  RECENT UPDATES  VARIOUS STUDIES/TRIALS  TAKE HOME MESSAGE
  • 4.
    INTRODUCTION Carcinoma of theexocrine pancreas accounts for over 90 % of pancreatic tumors and remains an unreduced oncologic challenge. By definition,periampullary cancers arise within 2 cm of the major papilla in the duodenum. Pancreatic adenocarcinoma accounts for 80% tumours Most common GI malignancy after Ca colon Least 5 years survival rate of 3 %. Incidence rate is virtually identical to the mortality rate
  • 5.
    INTRODUCTION Pancreatic cancer isa biologically aggressive tumor from the onset . Clinically queisent for a long time and hence present in advanced state. Only 20% of pancreatic cancers are operable for cure Only 10% - 15% of pancreatic cancers are alive 12 months after the diagnosis Average life of metastatic pancreatic cancer is 6 months
  • 6.
    ANATOMY AND RELATIONOF PANCREAS Pancreas is a long retroperitoneal organ 15 to 20 cm in length. Weighs about 80 gms ,lies against L1 & L2 Vertebra. It is arbitarily divided into HEAD,NECK BODY & TAIL Head lies within the concavity of duodenum against second lumbar vertebra and body overlies the first lumbar vertebra
  • 7.
    Cuddles L Kidney TicklesSpleen Cradles Aorta Opposes IVC Dallies with R Renal Pedicle Hugs the duodenum Wraps the SMV Hides behind peritoneum Durman
  • 8.
    BLOOD SUPPLY PANCREATIC BRANCHESOF SPLENIC ARTERY SUPERIOR PANCREATICODUODENAL ARTERY INFERIOR PANCREATICODUODENAL ARTERY VENOUS DRAINAGE IS INTO SPLENIC VEIN ,SUPERIOR MESENTERIC & PORTAL VEIN
  • 13.
  • 14.
    PANCREATIC DUCT Main ductof Pancreas ( DUCT OF WIRSUNG )- begins in tail of pancreas and runs on the posterior surface of the body and head of pancreas. HERRING BONE PATTERN DIAMETER OF PANCREATIC DUCT TAIL - 1 to 2 mm BODY - 2 to 3 mm HEAD - 3 to 4 mm Upto 5-6 mm of dilatation in a 70 yr old person is considered normal. Joins the bile duct in the wall of second part of duodenum to form hepatopancreatic ampulla ( of Vater ) DUCT OF SANTORINI- begins in lower part of the head and opens in to duodenum at minor duodenal papilla ( 6-8 cm from
  • 15.
  • 16.
    Duct of Wirsung&Duct of Santorini
  • 18.
  • 19.
    INCIDENCE Annual incidence 10new cases per 100000 population Lowest incidence – India and Middle East Incidence increases steadily with age – with 80 % over 6th decade of life Male: Female ratio – 2:1 Pre and post menopausal women ratio is 2: 1
  • 21.
    ETIOLOGY & RISKFACTORS HEREDITY - CANCER FAMILY SYNDROMES CIGARETTE SMOKING DIET – high intake of animal fat or meat. OCCUPATIONAL EXPOSURE TO RADIATIONS GASTRIC SURGERIES DIABETES MELLITUS/PERNICIOUS ANAEMIA/ CHRONIC PANCREATITIS
  • 22.
    Etiology – hereditaryfactors  Most of the pancreatic cancers are sporadic  7.8% of pancreatic cancer patients give a positive family history  Hereditary syndromes  HNPCC  PZ syndrome  Ataxia Telangiectasia  Hereditary Pancreatitis  Familial Atypical Mole Melanoma syndrome  FAP
  • 23.
    Etiology – Diabetes– Is it a cause or effect  Several studies have shown an increased incidence of pancreatic cancer in diabetics  Diabetes is considered as an early symptom of pancreatic cancer rather than being a cause  The diabetes of Pancreatic cancer is due to islet cell dysfunction (Islet Amyloid polypeptide) and not due to the destruction of the gland
  • 24.
    Etiology – Chronic Pancreatitis-Is it premalignant  The incidence of pancreatic cancer in various entities of chronic Pancreatitis are as follows  Hereditary Pancreatitis 25%  Tropical Pancreatitis 10%  Alcoholic Pancreatitis 5%
  • 26.
    Oncogenes in pancreaticcancer  K ras  P 53  P 16  DPC 4
  • 27.
    The tumours ofthe pancreas can be - A. Non-Endocrineneoplasms B. Endocrineneoplasms TUMOURS OF THE PANCREAS
  • 28.
    ENDOCRINE NEOPLASMS: These areless common than non-endocrine tumours and generally benign and sometimes multiple. They includes:  Insulinoma  Glucogonomas  Others: - Gastrinomas - Somatostatatinomas - Vipomas (Vasoactive Intestinal Polypeptide) common
  • 29.
    PATHOLOGICAL ( WHO) CLASSIFICATION PRIMARY ( 93% ) METASTATIC ( 7 % ) A ) DUCT CELL ORIGIN – 90% 1. DUCT CELL ADENOCARCINOMA – 75 % 2. MUCINOUS CARCINOMA 3. CYSTADENOCARCINOMA B ) ACINAR CELL ORIGIN – 1% 1. ACINAR CELL CARCINOMA 2. CYSTADENOCARCINOMA ( Acinar cell )
  • 30.
    PATHOLOGICAL ( WHO) CLASSIFICATION Uncertain Histogenesis ( 9% ) 1. PANCREATOBLASTOMA 2. PAPILLARY AND CYSTIC NEOPLASM 3. MIXED TUMOURS CONNECTIVE TISSUE ORIGIN ( 1 % ) 1. MALIGNANT FIBROUS HISTOCYTOMA 2. OSTEOGENIC SARCOMA 3. LEIOMYOSARCOMA 4. HEMANGIO PERICYTOMA
  • 31.
    Carcinoma - Pancreas A, A cross-section through the head of the pancreas and adjacent common bile duct showing both an ill-defined mass in the pancreatic substance (arrowheads) and the green discoloration of the duct resulting from total obstruction of bile flow.  B, Poorly formed glands are present in densely fibrotic stroma within the pancreatic substance; there are some inflammatory cells
  • 32.
  • 33.
  • 34.
  • 35.
    CLINICAL MANIFESTATIONS It isunfortunate that malignant pancreatic cancers are asymptomatic until local or systemic complication develop. 1. Obstruction to bile duct – Jaundice and pruritus 2. Obstruction to duodenum /stomach- Gastric outlet obstruction 3. Ulceration- Gastro intestinal haemorrhage 4. Infiltration of peripancreatic nerve roots produce pain The onset of symptoms are insidious and progressive Abdominal pain is usually post prandial and in epigastrium Pain in upper back denotes retroperitoneal extension
  • 36.
    Pancreatic Tumors inthe Head Tumors in the head may compress biliary ducts or pancreatic ducts
  • 37.
    SYMPTOMS AND SIGNS CARCINOMAHEAD OF PANCREAS 1. WEIGHT LOSS – AVERAGING ABOUT 40% 2. OBSTRUCTIVE JAUNDICE- 3. DEEP SEATED ABDOMINAL PAIN 4. NON TENDER PALPABLE GALL BLADDER 5. CHOLANGITIS OCCURS IN 10 % OF PATIENTS
  • 38.
  • 39.
    CARCI NOMA OFBODY AND TAIL WEIGHT LOSS DEEP SEATED PAIN JAUNDICE- < 10 % OF PATIENT SUDDEN ONSET OF DIABETES MELLITUS-25% OF PATIENT MIGRATORY THROMBOPHLEBITIS- OCCURS IN ABOUT 10% PATIENT
  • 40.
    SYMPTOMS AND SIGNS CARCINOMAOF AMPULLA OF VATER 1. Pain occurs less frequently – usually its colicky 2. Jaundice is often intermittent 3. Chills and fever – due to associated cholangitis
  • 42.
    Periampullary carcinoma  Anytumor within 2 cm from the duodenal papilla is defined as periampullary cancer. Ca terminal PD Distal CBD Ampullary tumor Duodenal tumor
  • 43.
    Periampullary carcinoma  Theindividual components of peri ampullary tumors differ in their prognosis  Duodenal carcinoma  Ampullary carcinoma  CBD growth  Pancreatic ca
  • 44.
  • 45.
    Clinical presentation  Midepigastric pain radiating to back  Weight loss  Fatigue  Anorexia  Symptoms are vague and hence the delayed presentation
  • 46.
    Clinical presentation  Painlessprogressive jaundice 50-60%  Pruritus  Staetorrhea  Malabsorption  New onset of Diabetes in older patients
  • 47.
    Clinical presentation  Jaundiceis a late presentation in uncinate process growth  Severe back pain indicate irresectablity and an omnious sign
  • 48.
    Physical findings  Physicalfindings are rare in pancreatic cancers and their presence usually indicate advanced stage  Resectablity is better when patient presents with the classical painless progressive jaundice
  • 49.
    Physical findings  PalpableGB (Courvoisier’s law)  Hepatomegaly  Icterus  Scratch marks  Ascites  Mass  Virchow’s node  Pelvic deposit  Trousseau’s sign
  • 50.
  • 51.
    Assessment  Confirm thediagnosis  Stage the disease  Assess the operability  General assessment for surgery
  • 52.
  • 53.
    Investigation  CBC  LFT RFT  Coagulation profile  CXR  ECG  Echo
  • 54.
    USG  Cheap  Levelof obstruction  Cause of obstruction  Liver metastasis  Ascites
  • 55.
    USG  Operator dependent Miss small metastasis  Cannot assess operability
  • 56.
    CT  “Pancreatic protocolCT” is the gold standard of investigation to stage the disease and assess the operability  Triple phase CT  Closer cuts  Water used as an intraluminal contrast  Helical or multislice
  • 57.
    CT  Focal ordiffuse mass lesion which is hypo dense (low attenuation) and hypo vascular (poor contrast enhancement)  Dilated MPD and CBD
  • 58.
  • 62.
    “Operability is assessedin the office of the surgeon and not in the Operating room”
  • 63.
    CT  Advantages  Availableeasily  Surgeons are familiar with CT  Excellent in giving details of operability  Disadvantages  May miss liver mets less than 1 cm  Miss peritoneal mets  Radiation
  • 64.
    MRI  Advantages  Noradiation  Avoids contrast  Single investigation that gives all the information needed  Disadvantages  Cost & availability  Surgeons are unfamiliar
  • 65.
    MRI  As itstand today CT is as good as MRI  Probably in the future, MRI is likely to be used more frequently and may replace CT
  • 66.
  • 67.
    Role of Biopsy Tissue diagnosis is indicated in cases which are found inoperable by imaging  Biopsy is indicated when Neoadjuvant chemotherapy is planned
  • 68.
    Why not abiopsy  May upstage the disease  Complications of biopsy  Has a very low negative predictive value
  • 69.
    What biopsy  Ideallyit should be done under EUS guidance  Targeted  No tumor seeding  No complications like fistula
  • 70.
    ERCP Double duct sign Notroutinely done in pancreatic Cancer Preop biliary drainage Atypical lower CBD obstruction
  • 71.
    PET  It isuseful in differentiating pancreatic cancer from chronic Pancreatitis  Extra pancreatic disease
  • 72.
    EUS  Ideal methodto evaluate lower CBD obstruction  Guided FNAC  Vascular invasion  EUS+FNAC= sensitivity of 90% and specificity of 95%
  • 73.
  • 74.
    Barium studies –only historical  Pad sign – widening of C loop  Reverse 3 sign or Frostberg sign
  • 75.
    Tumor markers  CA19-9  CEA  CA 125  CA 50  SPAN-1  DUPAN-2
  • 76.
    Staging  TX primarytumor cannot be assessed  T0 no evidence of primary tumor  T1 confined to pancreas T1a less than 2 cm T1b more than 2 cm  T 2 tumor extend to involve the bile duct, duodenum and peripancreatic tissue  T3 involvement of stomach, spleen, colon, vessels
  • 77.
    Staging  NX nodescannot be assessed  N0 no evidence of nodes  N1 regional nodes present  MX cannot be assessed  M0 no metastasis  M1 distant metastasis
  • 78.
    Stage grouping  StageI  T1 N0 M0  T2 N0 M0  Stage II  T3 N0 M0  Stage III  Any T N1 M0  Stage IV  Any T Any N M1
  • 79.
    Prognosis  Tumor size Node positivity  Type of resection (R0 or R1)
  • 80.
    Operability  Ca head20%  Ca body&tail 3%  Ampullary 80%
  • 93.
    Preop preparation  VitaminK  Hydration  Correction of electrolytes  Preop nutrition
  • 94.
    PANCREATIC SURGERIES  WHIPPLESOPERATION – OPEN / LAPROSCOPIC/ ROBOTIC  PYLORUS PRESERVING PANCREATICODUODENECTOMY  DUODENUM PRESERVING RESECTION OF HEAD OF PANCREAS  SUBTOTAL PANCREATECTOMY/TOTAL PANCREATECTOMY  ENUCLEATION  LAPROSCOPIC STAGING  LAPROSCOPIC PALLIATIVE BYPASS  PAIN –PALLIATIVE SURGERIES  PANCREATIC TRANSPLANTATION  ROBOTIC SURGERIES
  • 95.
    Pancreaticoduodenectomy Pancreaticoduodenectomy offers the surgeonthe only chance to cure a patient with carcinoma of the head of the pancreas and periampullary region
  • 96.
    “Pancreaticoduodenecomy is the Cadillacof operations” but “It is not a Cadillac that he ( surgeon) is driving but a formula 1 Ferrari”
  • 97.
    Attitude of thesurgeon towards pancreatic cancer  Nihilistic  Activist  Realist
  • 98.
    Sir Allen OWhipple
  • 99.
    Pancreaticoduodenectomy  Walter Kauschwas the first to successfully perform pancreaticoduodenectomy in Berlin 1912  Allen Whipple popularized the operation in US in 1935  Now this operation is called Kausch-Whipple procedure
  • 100.
    Pancreaticoduodenectomy  This operationsuffered a very bad reputation due to the operative mortality of over 25% and morbidity of over 50%  Some authorities have even suggested that, this operation be abandoned
  • 101.
    Pancreaticoduodenectomy – consecutive serieswithout mortality J Howard-41 cases 1968 J Cameron 145 cases 1993 Aranha 152 cases 2003 Michael Trede- 118 cases 1990
  • 102.
    OPERATIVE STEPS Incision- transversesubcostal / midline Exploration/mobilization- kocherization Cholecystectomy/dissection of hepatoduodenal ligament Mobilization of pancreatic neck Partial gastrectomy Division of pancreas Dissection of retropancreatic vessels Division of jejunum Reconstruction
  • 103.
    Whipple – 6well defined operative steps 1. Cattle Brasch maneuver 2. Extended Kocherization 3. Portal Dissection, division of Bile duct 4. Division of Stomach 5. Division of Jejunum 6. Pancreatic Neck transection
  • 104.
    Reconstruction after ClassicalWhipple’s operation Hepaticojejunostomy Gastrojejunostomy Pancreaticojejunostomy
  • 105.
    PANCREATICODUODENECYTOMY- PYLORUS PRESERVATIION Incision- transversesubcostal / midline Exploration/mobilization- kocherization Cholecystectomy/division of the bile duct Exposure of superior mesenteric vein Division of duodenum Division of gastroduodenal artery Division of pancreatic neck Dissection of uncinate process Resected specimen-gallbladder,distal bile duct,2nd 3rd &4th part of duodenum,proximal jejunum and head ,neck & uncinate portion of pancreas Reconstruction
  • 106.
  • 107.
  • 108.
    Duodenum- preserving resectionof the head of pancreas Incision- transverse subcostal / midline Exploration/mobilization- kocherization Exposure of the pancreas Dissection of the neck of pancreas Resection along the CBD Pancreatic remnant Reconstruction Bile duct anastomosis Stenosis of the pancreatic duct
  • 109.
    TOTAL PANCREATECTOMY This involvesthe en bloc resection of The whole of pancreas The spleen Distal half of stomach Duodenum Proximal 10 cm of jejunum Gall bladder Cystic and common bile duct
  • 110.
    TOTAL PANCREATECTOMY Incision- Transversemuscle-cuting incision Exploration/mobilization- kocherization Mobilization of duodenum/head of pancreas Exposure of body and tail of pancreas Dissection of the vessels- hepatic artery is traced Mobilization of spleen and pancreas Limited gastrectomy/pylorus preserving resection Reconstruction – choledochojejunostomy/bowel anastomosis
  • 111.
  • 112.
    REGIONAL PANCREATECTOMY TYPE O– TOTAL PANCREATECTOMY TYPE I -- RESECTION OF PORTAL VEIN SEGMENT TYPE II a – Type I plus resection of proximal SMA TYPE II b– Type I plus resection of celiac axis/hepatic artery TYPE II c-- Type I plus resection of celiac axis & SMA
  • 113.
    PANCREATIC ENDOCRINE DISEASE Principles-whether tumour functioning or non-functioning tumour benign or malignant sporadic occurrence or part of MEN-I Operative steps IOUS- localization of islet cell tumours delineation of proximity of tumour to pancreatic duct demonstration of multiple tumours as part of MEN-I ENUCLEATION- CUSA DISTAL PANCRETECTOMY
  • 114.
    PANCREATIC CANCER- LAPROSCOPICSTAGING 7.5 Mhz linear array transducer Port-infraumbilical and right flank Search for serosal deposit Lesions on liver sampled/GB visualised Transducer placed on porta hepatis Look for dilataion of pancreatic duct Position of tumour relative to pancreatic duct/portal vein Lymphnodes more than 10 mm -significant
  • 115.
    PANCREATIC TRANSPLANTATION Suitable donorsbetween 20 and 50 yrs Pancreatic blood flow to be maintained- warm ischemia Gland should be perfused with a cold preservation fluid- hypertonic citrate solution Pancreas removed avoiding damage to the gland– injection of collagenase enzyme into the pancreatic duct under pressure. Pancreas transported to processing centre-within four hours- cold ischemia
  • 116.
    RECENT UPDATES/CHANGING APPROACH  Preopbiliary drainage  Preop imaging, CT vs. MR vs. EUS  Role of biopsy  Diagnostic laparoscopy  PJ vs. PG  Classical Whipple vs. PPPD  Vascular resections  Extended lymphadenectomy  Drainage
  • 117.
    Controversies  Role ofoctreotide  Order of reconstruction  Adjuvant therapy  Palliative resections  Palliative bypass
  • 118.
    Preop biliary drainage For  Reduce the mortality and morbidity of surgery  Improves the liver function  Reduces the bleeding  Improves the nutrition  Buys time
  • 119.
    Preop biliary drainage Against  Does not reduce the mortality and morbidity  More infectious complications  It takes 6 weeks for the improvement of hepatic microsomal functions  Makes the duct small and fibrotic – adds to technical difficulty
  • 120.
    Preop biliary drainage- consensus  Indicated  Cholangitis  Impending renal failure  Surgery is likely to be delayed  Bilirubin of more than 20 mg%  Nutritionally very poor  Neoadjuvant chemotherapy is planned
  • 121.
    Preop biliary drainage- consensus Routine preop biliary drainage is not recommended and there is no evidence to support it
  • 122.
    Diagnostic laparoscopy  30%of patients found operable by imaging are found to have small liver mets or peritoneal mets, on diagnostic laparoscopy  Warshaw et al
  • 123.
    Diagnostic laparoscopy With theadvent of high quality CT, Helical and Multislice, occult peritoneal and liver metastasis are documented in only 10% in some series
  • 124.
    PJ vs. PG Merits of PG  Stomach is in proximity to pancreatic stump  Better vascularity  Acid in stomach inactivates enzymes  Absence of enterokinase  Even if leak occurs the enzymes are not activated and hence fatal bleeding do not occur
  • 125.
    PJ vs. PG Two randomized controlled trials fail to demonstrate superiority of one method over the other  Dilated duct, texture of pancreas and surgeon’s experience are more important than the viscera used for drainage
  • 126.
    Classical Vs PPPD PPPD is oncologically as radical as classical whipple except for tumors encroaching on the D1 and pylorus  RCTs have failed to show any significant benefit of PPPD over classical whipple
  • 127.
    Vascular involvement  Resection ofSMV is accepted provide it enables to perform R0 resections  Involvement of SMA is a contraindication for resection
  • 128.
    Extended lymphadenectomy  Studies haveshown that extended lymphadenectomies can be done with acceptable morbidity  Extended lymphadenectomy do not improve the survival
  • 129.
    Octreotide  There havebeen totally six RCT across the Atlantic, three from Europe ( Buchler et al, Beger et al , Pedrazolli et al) and three from US ( Yeo et al, Sarr et al and Lowy et al)  The European trials favor use of octreotide and the American trials do not favor  Recently published meta analysis of these trials have shown a benefit f octreotide in reducing the complications
  • 130.
    Adjuvant therapy  Chemotherapy Radiotherapy  Chemo radiotherapy
  • 131.
    Adjuvant therapy  TheESPAC trial has shown that the only factor that positively affect the long term survival is administration of adjuvant chemotherapy  Ideally all patients undergoing surgery for cancer pancreas should be given adjuvant chemotherapy
  • 132.
    Palliation  Jaundice (pruritus) Duodenal obstruction  Pain  Bleeding
  • 133.
    Palliative resections –Is it acceptable  Palliative resections and palliative bypass has the same survival  Hence palliative resections are not accepted
  • 134.
    Palliative resections  Theseries from John Hopkins has shown survival benefits in R1 and few cases of R2 Whipple
  • 135.
    Palliative resections  Theconsensus is that one should not willfully perform a palliative resection, and the aim of the surgeon should always be a R0 resection
  • 136.
    Palliative bypass  Operativepalliation is not the standard of care for a patient with inoperable Ca pancreas with obstructive jaundice  Endoscopic palliation is the treatment of choice
  • 137.
    Palliative bypass  Aselected group of patients with good performance status  Patients who are found to be inoperable on the table  Endoscopy facilities not available or not possible for technical reasons
  • 138.
    Palliative bypass  Optionsof by-pass  Choledochojejunostomy ( Loop or Roux en Y)  Cholecystojejunostomy  Hepaticojejunostomy
  • 139.
    Palliative bypass-prophylactic GJ The current recommendation is to perform a prophylactic GJ along with the biliary bypass even if there is no gastric outlet obstruction
  • 140.
    Laparoscopy in palliation Depending on the expertise of the surgeon, procedures can be done with laparoscopy
  • 141.
    Palliation of pain Neurolysis ( 20 ml of absolute alcohol injected on either side of the celiac axis to destroy the celiac ganglia)  At laparotomy  CT guided  EUS guided  Thoracoscopic splanchnectomy
  • 142.
  • 143.
    TAKE HOME MESSAGE Survivalrate of patients after the establishment of diagnosis is very dismal. Surgical resection if possible ,is the only curative treatment but it can play a role only in very small percentage of cases Post surgery five year survival rate is least in pancreatic malignancy.tive Newer approaches are less radical and more effective Concept of regional pancreatectomy has increased poet op survival period Survival can be further increased by- early detection - avidance of surgery in presence of metastasis - operative technique with avoidance of local spillage - avoiding preoperative blood transfusion.
  • 144.
    REFERENCES  BAILEY &LOVE’S- SHORT PRACTISE OF SURGERY  SABISTON TEXTBOOK OF SURGERY  MASTERY OF SURGERY by Fischer  OXFORD TEXTBOOKOF SURGERY  MAINGOTS ABDOMINAL OPERATION  MAYO CLINIC GI SURGERY  CANCER PRINCIPLES- De Vita  SURGERY BY CORSON  RECENT ADVANCES- WOLTERS KLUWER  RECENT ADVANCES- RSG
  • 145.