TREATMENT OF EXTREMITY
TRAUMA AND
COMPARTMENT SYNDROME
IN ER
DR. PRATIK AGARWAL
CASE SCENARIO
 25YRS/MALE
 A/H/O RTA DUE TO DASH BY 4
WHEELER WHEN HE WAS
DRIVING 2 WHEELER 2 HRS
BACK.
 C/O PAIN IN LEFT LEG, RIIGHT
SHOULDER AND BLEEDING
FROM RIGHT FOOT SICNE
THEN.
 NO H/O ANY OTHER INJURY
 NO H/O LOC, VOMITING,
CONVUSION, ENT BLEED,
EVENT OF AMNESIA.
 NO H/O ANY MEDICAL
COMORBIDITIES
TYPES OF INJURIES TO EXTREMETIES
ENCOUNTERED IN EMERGENCY ROOM-
FRACTURES
DISLOCATIONS
OPEN WOUNDS
AMPUTATIONS
SPRAINS AND STRAINS
IMPALED OBJECTS
CRUSH INJURY AND CRUSH SYNDROME
COMPARTMENT SYNDROME
ASSESSMENT AND MANAGEMENT
• HISTORY-
MECHANISM OF INJURY- VERY IMPORTANT, CAN GIVE IDEA ABOUT TYPE OF
INJURY AND SEVERITY OF INJURY.
FALL ON OUT STRETCHED HAND CAN LEAD TO
CLAVICULAR FRACTURE
SUPRACONDYLAR FRACTURE
RADIUS AND ULNA SHAFT FRACTURE
DISTAL END RADIUS AND ULNA FRACTURE
SCAPHOID FRACTURE
WRIST SPRAIN
POSTERIOR SHOULDER DISLOCATION
FALL FROM HEIGHT
CALCANEUM FRACTURE
ANKLE SPRAIN
FEMUR FRACTURE, PELVIS FRACTURE
VERTEBRAE FRACTURE
ABDOMINAL OR THORACIC ORGAN INJURY,
RIB FRACTURE
OTHER MODE OF INJURY
DASH BOARD INJURY
• POSTERIOR
DISLOCATION OF HIP
• NECK OF FEMUR
FRACTURE
• IT FEMUR FRACTURE
CAN LEAD TO OPEN WOUNDS, FRACTURES,
AMPUTATIONS
INJURY BY SHARP OBJECT INJURY BY BLUNT OBJECT
• ASSESSMENT-
I. IDENTIFY IMMEDIATE LIFE THREAT (AIRWAY, BREATHING & CIRCULATION)
II. LOOK FOR ANY OBVIOUS FRACTURE (CREPITATION IS DEFINITIVE SIGN OF
FRACTURE)
III. ANY EXTERNAL BLEEDING
IV. ANY EXTERNAL WOUND- ABRASION, BRUISE, PENETRATION, LACERATION,
AVULSION
V. ANY OBVIOUS SWELLING
VI. TENDERNESS
VII. DEFORMITY
VIII. RANGE OF MOVEMENT OF ALL JOINTS
IX. MOTOR AND SENSORY FUNCTION
X. DISTAL PULSES
MANAGEMENT-
• 1ST THING WE WILL MANAGE IS AIRWAY, BREATHING AND
CIRCULATION (ABC).
• IF WE SUSPECT ANY HEMORRHAGE AND IF PATIENT IS
HEMODYNAMICALLY UNSTABLE WE WILL MANAGE FIRST CIRCULATION,
THEN AIRWAY AND FINALLY BREATHING (CAB).
• THEN OUR AIM WILL BE TO IMMOBILIZE INJURED PART BY USING
SPLINT, PADDING, ETC. THIS WILL DECREASE PAIN, DISABILITY AND
SERIOUS COMPLICATION.
• PAIN CONTROL WITH ANALGESIC.
• FINALLY WE MANAGE THE UNDERLYING INJURY
TYPES OF INJURIES TO EXTREMETIES
ENCOUNTERED IN EMERGENCY ROOM-
FRACTURES
DISLOCATIONS
OPEN WOUNDS
AMPUTATIONS
SPRAINS AND STRAINS
IMPALED OBJECTS
CRUSH INJURY AND CRUSH SYNDROME
COMPARTMENT SYNDROME
FRACTURES
TYPES OF FRACTURE
1) OPEN FRACTURE- FRACTURE IN
WHICH PIECE OF BROKEN BONE
PROTRUDING THROUGH OVERLYING
SKIN.
2) CLOSED FRACTURE- FRACTURE IN
WHICH THERE IS NO BREAK IN
CONTINUITY OF OVERLYING SKIN.
ASSESSMENT-
• SWELLING
• TENDERNESS
• SURROUNDING NEUROVASCULAR INJURIES MAY BE PRESENT- SO CKECK
FOR DISTAL PULSES, MOTOR AND SENSORY FUNCTION.
• RANGE OF MOVEMENT
• BONY DEFORMITY
• BONY CREPTS
NOTE-
 LIFE THREATENING HEMORRHAGE- SEEN IN FEMUR FRACTURE AND PELVIS FRACTURE
 FRACTURE MAY OR MAY NOT BE ASSOCIATED WITH JOINT DISLOCATION
 CONTAMINATION- IMP COMPLICATION NOT TO IGNORED IN CASE OF OPEN FRACTURE
MANAGEMENT-
• IN CASE OF CLOSED FRACTURE-
ABC/CAB
IMMOBILIZE
ANALGESIC
XRAY-
WE MUST DO SPECIFIC VIEW FOR DIFFERENT PART.
XRAY MUST COVER ONE JOINT ABOVE AND ONE JOINT BELOW THE FRACTURE
SEGMENT
TEMPORARY STABALISATION BY GIVING SPLINT, SLAB OR BINDERS.
THEN SHIFT THE PATIENT TO WARD FOR DEFINITIVE MANAGEMENT.
MANAGEMENT CONT.. -
• IN CASE OF OPEN FRACTURE-
• THROUGH IRRIGATION TO BE DONE USING ANTI SEPTIC SOLUTION AND NORMAL
SALINE.
• IMMOBILIZE INJURED PART AND DRESSING OF OPEN WOUND.
• XRAY
• TEMPORARY STABALIZATION USING SPLINT, SLAB OR BINDER.
THEN SHIFT THE PATIENT TO WARD FOR DEFINITIVE MANAGEMENT.
CLAVICLE FRACTURE
• MECH OF INJURY- FALL ON
OUTSTRETCHED HAND
• XRAY- XRAY OF SHOULDER AP
• MIDSHAFT CLAVICLE FRACTURE-
FIGURE OF 8 BANDAGE/CLAVICULAR
BRACE WITH ARM POUCH SLING.
• LATERAL SHAFT CLAVICLE
FRACTURE- SHOULDER IMMOBILISER.
HUMERUS FRACTURE-
XRAY OF SHOULDER AP/
AXIAL/ SCAPULAR Y VIEW
XRAY OF HUMERUS AP/LAT
EARLY IMMOBILISATION- SHOULDER
IMMOBILISER, ARM SLING POUCH, U SLAB.
FRACTURE AROUND ELBOW-
XRAY OR ELBOW AP/LAT
IMMOBILIZATION-
ABOVE ELBOW SLAB,
ARM POUCH SLING
ABOVE ELBOW SLAB-
EXTEND FROM MIDDLE OF UPPER ARM TO DISTAL PALMAR CREASE
ELBOW AT 90*
FOREARM IN MID PRONE
WRIST USUALY IN NEUTRAL POSITION
RADIUS AND ULNA FRACTURE-
XRAY OF FOREARM AP/LAT
IMMOBILIZATION-
ABOVE ELBOW SLAB,
ARM POUCH SLING
ABOVE ELBOW SLAB-
EXTEND FROM MIDDLE OF UPPER ARM TO DISTAL PALMAR CREASE
ELBOW AT 90*
FOREARM IN MID PRONE
WRIST USUALY IN NEUTRAL POSITION
FRACTURE AROUND WRIST-
XRAY OF WRIST AP/LAT
FRACTURE AROUND
WRIST JOINT
DISTAL END RADIUS
AND ULNA
FRACTURE
ABOVE ELBOW SLAB
FROM MIDDLE OF
UPPER ARM TO
DISTAL PALMAR
CREASE
ISOLATED DISTAL
END RADIUS
FRACTURE
BELOW ELBOW SLAB
FROM 5CM DISTAL
TO OLECRANON
PROCESS TO DISTAL
PALMAR CREASE
CARPAL BONE
FRACTURE
BELOW ELBOW SLAB
COCK UP SLAB
SCAPHOID
FRACTURE
THUMB SPICA SPLINT
OR SLAB
BELOW ELBOW SLAB
COVERING THUMB
ALSO
FRACTURE IN HAND-
XRAY OF HAND AP/OBLIQUE
FRACTURE AROUND HIP JOINT-
XRAY OF PBH AP
NOTE-
• HEMODYNAMIC STATUS
OF THE PATEINT MUST BE
CHECKED CAREFULLY
• HEMORRHARGE IS VERY
SERIOUS COMPLICATION
SEEN IN PELVIC
FRACTURE.
• TO STOP BLEEDING
PELVIC BINDER IS USED.
XRAY PBH AP
XRAY FEMUR AP/LAT
THOMAS SPLINT
FEMUR SHAFT FRACTURE-
NOTE-
• MID SHAFT FEMUR FRACTURE CAN LEAD TO
FAT EMBOLISM.
• TO PREVENT FAT EMBOLISM IV FLUID TO BE
GIVEN ALONG WITH OXYGEN.
• XRAY OF FEMUR AP/LAT.
• IMMOBILIZATION- THOMAS SPLINT
FRACTURE AROUND KNEE JOINT-
XRAY OF KNEE AP/ LAT
XRAY OF KNEE AP/ LAT/ SKYLINE VIEW
ABOVE KNEE SLAB
EXTEND FROM MIDDLE OF THE THIGH TO BASE OF TOES
KNEE IN 5-20* FLEXION
ANKLE IN NEUTRAL POSITION
SHAFT TIBIA AND FIBULA FRACTURE
• XRAY OF LEG AP/ LAT
• IMMOBILIZATION- ABOVE
KNEE SLAB
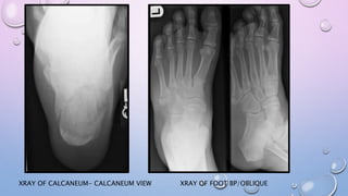
FRACTURE AROUND ANKLE OR FOOT-
XRAY OF ANKLE AP/ LAT/ MORTISE VIEW
XRAY OF FOOT BP/OBLIQUEXRAY OF CALCANEUM- CALCANEUM VIEW
BELOW KNEE SLAB
 EXTEND FROM TIBIAL TUBEROSITY
TO THE BASE OF THE TOE
 ANKLE IN NEUTRAL POSITION
HOW TO PREPARE SLAB
THINGS TO REMEMBER WHILE APPLYING SLAB
• FOR UPPER LIMB 12-14 LAYERS OF POP IS ENOUGH.
• FOR LOWER LIMB 16-20 LAYERS OF POP IS ENOUGH.
• AFTER APPLYING POP ALWAYS CHECK FOR DISTAL MOVEMENT TO
PREVENT MOST COMMON COMPLICATION, COMPARTMENT
SYNDROME.
• ALWAYS GIVE SLING FOR UPPER LIMB AND PILLOW FOR LOWER LIMB
TO PREVENT INCREASE OF SWELLING OF DISTAL PART WHICH WILL
AGAIN LEAD TO COMPARTMENT SYNDROME.
HOW TO APPLY THOMAS SPLINT
IMPORTANT THINGS TO RECOLLECT
• EXTREMITY TRAUMA HAVE MORE DRAMATIC APPEARANCE AND MAY BE DISABLING,
BUT DO NOT BE DISTRACTED BY THOSE INJURIES, ABC SHOULD BE MANAGED FIRST IF
ANY THREAT PRESENT THEN EXTREMITY TRAUMA.
• EVERYWHERE WE DO X-RAY AP & LAT VIEW EXCEPT-
 HAND- AP/ OBLIQUE
 FOOT- AP/ OBLIQUE
 SHOULDER- AP/ AXIAL/ SCAPULAR Y VIEW
 PATELLA- AP/ LAT/ SKYLINE VIEW
• X-RAY MUST BE DONE FOR ONE JOINT ABOVE AND BELOW THE FRACTURE SEGMENT.
• IMMOBILIZATION MUST BE DONE FOR ONE JOINT ABOVE AND BELOW THE FRACTURE
FRAGMENT.
• ALWAYS CHECK FOR DISTAL PULSE, MOTOR FUNCTION AND SENSORY SENSATION
BEFORE AFTER APPLYING SPLINT.
• ANY OPEN FRACTURE MUST NOT BE SUTURED IN EMERGENCY ROOM.
THANK YOU

Extremity trauma part 1

  • 1.
    TREATMENT OF EXTREMITY TRAUMAAND COMPARTMENT SYNDROME IN ER DR. PRATIK AGARWAL
  • 2.
    CASE SCENARIO  25YRS/MALE A/H/O RTA DUE TO DASH BY 4 WHEELER WHEN HE WAS DRIVING 2 WHEELER 2 HRS BACK.  C/O PAIN IN LEFT LEG, RIIGHT SHOULDER AND BLEEDING FROM RIGHT FOOT SICNE THEN.  NO H/O ANY OTHER INJURY  NO H/O LOC, VOMITING, CONVUSION, ENT BLEED, EVENT OF AMNESIA.  NO H/O ANY MEDICAL COMORBIDITIES
  • 3.
    TYPES OF INJURIESTO EXTREMETIES ENCOUNTERED IN EMERGENCY ROOM- FRACTURES DISLOCATIONS OPEN WOUNDS AMPUTATIONS SPRAINS AND STRAINS IMPALED OBJECTS CRUSH INJURY AND CRUSH SYNDROME COMPARTMENT SYNDROME
  • 4.
    ASSESSMENT AND MANAGEMENT •HISTORY- MECHANISM OF INJURY- VERY IMPORTANT, CAN GIVE IDEA ABOUT TYPE OF INJURY AND SEVERITY OF INJURY. FALL ON OUT STRETCHED HAND CAN LEAD TO CLAVICULAR FRACTURE SUPRACONDYLAR FRACTURE RADIUS AND ULNA SHAFT FRACTURE DISTAL END RADIUS AND ULNA FRACTURE SCAPHOID FRACTURE WRIST SPRAIN POSTERIOR SHOULDER DISLOCATION
  • 5.
    FALL FROM HEIGHT CALCANEUMFRACTURE ANKLE SPRAIN FEMUR FRACTURE, PELVIS FRACTURE VERTEBRAE FRACTURE ABDOMINAL OR THORACIC ORGAN INJURY, RIB FRACTURE
  • 6.
    OTHER MODE OFINJURY DASH BOARD INJURY • POSTERIOR DISLOCATION OF HIP • NECK OF FEMUR FRACTURE • IT FEMUR FRACTURE
  • 7.
    CAN LEAD TOOPEN WOUNDS, FRACTURES, AMPUTATIONS INJURY BY SHARP OBJECT INJURY BY BLUNT OBJECT
  • 8.
    • ASSESSMENT- I. IDENTIFYIMMEDIATE LIFE THREAT (AIRWAY, BREATHING & CIRCULATION) II. LOOK FOR ANY OBVIOUS FRACTURE (CREPITATION IS DEFINITIVE SIGN OF FRACTURE) III. ANY EXTERNAL BLEEDING IV. ANY EXTERNAL WOUND- ABRASION, BRUISE, PENETRATION, LACERATION, AVULSION V. ANY OBVIOUS SWELLING VI. TENDERNESS VII. DEFORMITY VIII. RANGE OF MOVEMENT OF ALL JOINTS IX. MOTOR AND SENSORY FUNCTION X. DISTAL PULSES
  • 9.
    MANAGEMENT- • 1ST THINGWE WILL MANAGE IS AIRWAY, BREATHING AND CIRCULATION (ABC). • IF WE SUSPECT ANY HEMORRHAGE AND IF PATIENT IS HEMODYNAMICALLY UNSTABLE WE WILL MANAGE FIRST CIRCULATION, THEN AIRWAY AND FINALLY BREATHING (CAB). • THEN OUR AIM WILL BE TO IMMOBILIZE INJURED PART BY USING SPLINT, PADDING, ETC. THIS WILL DECREASE PAIN, DISABILITY AND SERIOUS COMPLICATION. • PAIN CONTROL WITH ANALGESIC. • FINALLY WE MANAGE THE UNDERLYING INJURY
  • 10.
    TYPES OF INJURIESTO EXTREMETIES ENCOUNTERED IN EMERGENCY ROOM- FRACTURES DISLOCATIONS OPEN WOUNDS AMPUTATIONS SPRAINS AND STRAINS IMPALED OBJECTS CRUSH INJURY AND CRUSH SYNDROME COMPARTMENT SYNDROME
  • 11.
  • 12.
    TYPES OF FRACTURE 1)OPEN FRACTURE- FRACTURE IN WHICH PIECE OF BROKEN BONE PROTRUDING THROUGH OVERLYING SKIN. 2) CLOSED FRACTURE- FRACTURE IN WHICH THERE IS NO BREAK IN CONTINUITY OF OVERLYING SKIN.
  • 13.
    ASSESSMENT- • SWELLING • TENDERNESS •SURROUNDING NEUROVASCULAR INJURIES MAY BE PRESENT- SO CKECK FOR DISTAL PULSES, MOTOR AND SENSORY FUNCTION. • RANGE OF MOVEMENT • BONY DEFORMITY • BONY CREPTS NOTE-  LIFE THREATENING HEMORRHAGE- SEEN IN FEMUR FRACTURE AND PELVIS FRACTURE  FRACTURE MAY OR MAY NOT BE ASSOCIATED WITH JOINT DISLOCATION  CONTAMINATION- IMP COMPLICATION NOT TO IGNORED IN CASE OF OPEN FRACTURE
  • 14.
    MANAGEMENT- • IN CASEOF CLOSED FRACTURE- ABC/CAB IMMOBILIZE ANALGESIC XRAY- WE MUST DO SPECIFIC VIEW FOR DIFFERENT PART. XRAY MUST COVER ONE JOINT ABOVE AND ONE JOINT BELOW THE FRACTURE SEGMENT TEMPORARY STABALISATION BY GIVING SPLINT, SLAB OR BINDERS. THEN SHIFT THE PATIENT TO WARD FOR DEFINITIVE MANAGEMENT.
  • 15.
    MANAGEMENT CONT.. - •IN CASE OF OPEN FRACTURE- • THROUGH IRRIGATION TO BE DONE USING ANTI SEPTIC SOLUTION AND NORMAL SALINE. • IMMOBILIZE INJURED PART AND DRESSING OF OPEN WOUND. • XRAY • TEMPORARY STABALIZATION USING SPLINT, SLAB OR BINDER. THEN SHIFT THE PATIENT TO WARD FOR DEFINITIVE MANAGEMENT.
  • 16.
    CLAVICLE FRACTURE • MECHOF INJURY- FALL ON OUTSTRETCHED HAND • XRAY- XRAY OF SHOULDER AP • MIDSHAFT CLAVICLE FRACTURE- FIGURE OF 8 BANDAGE/CLAVICULAR BRACE WITH ARM POUCH SLING. • LATERAL SHAFT CLAVICLE FRACTURE- SHOULDER IMMOBILISER.
  • 18.
    HUMERUS FRACTURE- XRAY OFSHOULDER AP/ AXIAL/ SCAPULAR Y VIEW XRAY OF HUMERUS AP/LAT
  • 19.
  • 20.
  • 21.
    IMMOBILIZATION- ABOVE ELBOW SLAB, ARMPOUCH SLING ABOVE ELBOW SLAB- EXTEND FROM MIDDLE OF UPPER ARM TO DISTAL PALMAR CREASE ELBOW AT 90* FOREARM IN MID PRONE WRIST USUALY IN NEUTRAL POSITION
  • 22.
    RADIUS AND ULNAFRACTURE- XRAY OF FOREARM AP/LAT
  • 23.
    IMMOBILIZATION- ABOVE ELBOW SLAB, ARMPOUCH SLING ABOVE ELBOW SLAB- EXTEND FROM MIDDLE OF UPPER ARM TO DISTAL PALMAR CREASE ELBOW AT 90* FOREARM IN MID PRONE WRIST USUALY IN NEUTRAL POSITION
  • 24.
  • 25.
    FRACTURE AROUND WRIST JOINT DISTALEND RADIUS AND ULNA FRACTURE ABOVE ELBOW SLAB FROM MIDDLE OF UPPER ARM TO DISTAL PALMAR CREASE ISOLATED DISTAL END RADIUS FRACTURE BELOW ELBOW SLAB FROM 5CM DISTAL TO OLECRANON PROCESS TO DISTAL PALMAR CREASE CARPAL BONE FRACTURE BELOW ELBOW SLAB COCK UP SLAB SCAPHOID FRACTURE THUMB SPICA SPLINT OR SLAB BELOW ELBOW SLAB COVERING THUMB ALSO
  • 27.
    FRACTURE IN HAND- XRAYOF HAND AP/OBLIQUE
  • 30.
    FRACTURE AROUND HIPJOINT- XRAY OF PBH AP NOTE- • HEMODYNAMIC STATUS OF THE PATEINT MUST BE CHECKED CAREFULLY • HEMORRHARGE IS VERY SERIOUS COMPLICATION SEEN IN PELVIC FRACTURE. • TO STOP BLEEDING PELVIC BINDER IS USED.
  • 32.
    XRAY PBH AP XRAYFEMUR AP/LAT
  • 33.
  • 34.
    FEMUR SHAFT FRACTURE- NOTE- •MID SHAFT FEMUR FRACTURE CAN LEAD TO FAT EMBOLISM. • TO PREVENT FAT EMBOLISM IV FLUID TO BE GIVEN ALONG WITH OXYGEN. • XRAY OF FEMUR AP/LAT. • IMMOBILIZATION- THOMAS SPLINT
  • 35.
    FRACTURE AROUND KNEEJOINT- XRAY OF KNEE AP/ LAT
  • 36.
    XRAY OF KNEEAP/ LAT/ SKYLINE VIEW
  • 37.
    ABOVE KNEE SLAB EXTENDFROM MIDDLE OF THE THIGH TO BASE OF TOES KNEE IN 5-20* FLEXION ANKLE IN NEUTRAL POSITION
  • 38.
    SHAFT TIBIA ANDFIBULA FRACTURE • XRAY OF LEG AP/ LAT • IMMOBILIZATION- ABOVE KNEE SLAB
  • 39.
    FRACTURE AROUND ANKLEOR FOOT- XRAY OF ANKLE AP/ LAT/ MORTISE VIEW
  • 40.
    XRAY OF FOOTBP/OBLIQUEXRAY OF CALCANEUM- CALCANEUM VIEW
  • 41.
    BELOW KNEE SLAB EXTEND FROM TIBIAL TUBEROSITY TO THE BASE OF THE TOE  ANKLE IN NEUTRAL POSITION
  • 42.
  • 49.
    THINGS TO REMEMBERWHILE APPLYING SLAB • FOR UPPER LIMB 12-14 LAYERS OF POP IS ENOUGH. • FOR LOWER LIMB 16-20 LAYERS OF POP IS ENOUGH. • AFTER APPLYING POP ALWAYS CHECK FOR DISTAL MOVEMENT TO PREVENT MOST COMMON COMPLICATION, COMPARTMENT SYNDROME. • ALWAYS GIVE SLING FOR UPPER LIMB AND PILLOW FOR LOWER LIMB TO PREVENT INCREASE OF SWELLING OF DISTAL PART WHICH WILL AGAIN LEAD TO COMPARTMENT SYNDROME.
  • 50.
    HOW TO APPLYTHOMAS SPLINT
  • 51.
    IMPORTANT THINGS TORECOLLECT • EXTREMITY TRAUMA HAVE MORE DRAMATIC APPEARANCE AND MAY BE DISABLING, BUT DO NOT BE DISTRACTED BY THOSE INJURIES, ABC SHOULD BE MANAGED FIRST IF ANY THREAT PRESENT THEN EXTREMITY TRAUMA. • EVERYWHERE WE DO X-RAY AP & LAT VIEW EXCEPT-  HAND- AP/ OBLIQUE  FOOT- AP/ OBLIQUE  SHOULDER- AP/ AXIAL/ SCAPULAR Y VIEW  PATELLA- AP/ LAT/ SKYLINE VIEW • X-RAY MUST BE DONE FOR ONE JOINT ABOVE AND BELOW THE FRACTURE SEGMENT. • IMMOBILIZATION MUST BE DONE FOR ONE JOINT ABOVE AND BELOW THE FRACTURE FRAGMENT. • ALWAYS CHECK FOR DISTAL PULSE, MOTOR FUNCTION AND SENSORY SENSATION BEFORE AFTER APPLYING SPLINT. • ANY OPEN FRACTURE MUST NOT BE SUTURED IN EMERGENCY ROOM.
  • 52.