Management of patients with
musculoskeletal trauma and problems
Dr. Sameer Agarwal
Orthopaedics
Khoula Hospital
Topics
• Fracture
• Joint dislocation
• Contusion, sprains and strain
• Osteomyelitis
• Low back pain
• Amputation
OBJECTIVES
• Causes, clinical manifestation, diagnostic tests,
management and care.
• Care modalities
• Patient education program.
• Rehabilitation
ORTHOPAEDICS
• 1840, French orthopédique,
from orthopédie,
• French physician Nicholas
Andry (1658-1742), from
• Greek orthos "straight,
correct"
• paideia "rearing of children,"
from pais (genitive paidos)
"child" (see pedo- ).
206 bones in the human body
Basic Bone structure
Joints
Basic anatomy
Sprains
• Stretching, partial or
complete tearing of
ligaments
• Typically occur when
joint overextended
• Ankles, knees, wrists,
fingers
• Swelling, pain,
bruising
• Inability to use joint
Strains
• Tearing of muscle or
tendon
• Occurs due to
overstretching
• Causes pain, swelling
and sometimes inability
to use muscle
• Can be prevented by
avoiding overexertion,
good body mechanics,
sports safety
Care for Musculoskeletal Injuries
• Proper care vs identifying the type of injury
• Assume any injury to an extremity includes a
bone fracture.
• The general care for injuries to muscle, bone
and joints includes following R.I.C.E.
R.I.C.E.
• Rest: do not move or straighten the injured
area.
• Ice: apply ice to the injured area for periods of
20 minutes.
• Compression: with a firmly wrapped bandage
• Elevation: do not elevate the injured part if it
causes more pain.
Many fancy terms
Splinting
• A method of immobilizing an injured
extremity
• ONLY : to move or transport a patient to
higher center
• Splinting does not cause more pain.
Types of Splints
• Soft splints
• folded blankets, towels, pillows and a sling.
• Rigid splints
• include boards, metal strips and folded magazines or
newspapers.
• Use a triangular bandage to secure the rigid or soft
splinting material in place
• Anatomic splints
• an uninjured body part to immobilize an injured area.
• You can use tape to secure an uninjured finger to the
injured
Head, Neck and Back Injuries
• These injuries may cause an unintentional
death or life-long neurologic damage.
• If you suspect that a person has a head, neck
or back injury, tell him/her to respond verbally
to any questions you ask and to avoid nodding
or shaking his/her head.
• Goal is to minimize movement
Care for Head/Neck/Back
• Minimize movement of the head, neck, and
back
– by placing your hands on both sides of the
person’s head.
– Maintain an open airway.
– Let the person remain in the position in which you
found him/her until advanced medical personnel
arrive and take over.
• Monitor the ABC’s
Fracture
• A disruption or break in the continuity of the
structure of bone
• Traumatic injuries account for the majority of
fractures
Description
• Described and classified according to:
–Type
–Anatomic location
–Communication or non communication with
external environment
Description of fractures
Compression fx
• Specific to the vertebral
body collapses, anterior
aspect is reduced in
height.
• From trauma or
demineralization of bone
(old age).
Burst fx
• C1 ring is broken,
fragments move
outward.
• Football injuries, heavy
object dropped on head.
C - 1 (atlas)
Pediatric fractures
• 1. Greenstick (torus) -
incomplete fx, bones
more flexible, bends &
fractures only outer
edge.
• 2. Epiphyseal -
fractures located at
the site of an
epiphysis.
Classification by Fracture Location
Description
• Described and classified according to:
–Appearance, position, and alignment of the
fragments
–Classic names
–Stable or unstable
Description
• Closed (also called simple)
• Open (also called compound)
Classification by Communication with
External Environment
Description
• Stable fractures
–Occur when a part of the periosteum is
intact across the fracture
OR
–External or internal fixation has rendered
the fragments stationary
Description
• Unstable fractures
-Grossly displaced
-Poor fixation
Clinical Manifestations
–Immediate localized pain
–Loss of Function
– Inability to bear weight or use affected part
–Guarding
–May or may not see obvious bone
deformity
Fracture Healing
Collaborative Care
• Overall goals of treatment:
–Anatomic realignment of bone fragments
(reduction)
–Immobilization to maintain alignment
(fixation)
–Restoration of normal function
• 3 ‘R’ s
Collaborative Care - Fracture Reduction
• Closed reduction
–Nonsurgical, manual realignment
• Open reduction
–Correction of bone alignment through a
surgical incision
Fracture Reduction (Closed)
• Traction (with simultaneous counter-traction)
–Application of pulling force to attain
realignment
• Skin traction (short-term: 48-72 hrs.)
• Skeletal traction (longer periods)
• Manipulation under anesthesia
• To control pain and overcome muscle spasm
Collaborative Care
Fracture Immobilization
• Traction
Application of a pulling force to an injured
part of the body while counter traction pulls
in the opposite direction
• Purpose of traction:
–Prevent or reduce muscle spasm
–Reduction
–Immobilization
–Treat a pathologic condition
Collaborative Care
Fracture Immobilization
• Casts
–Circumferential
immobilization device
–Common following
closed reduction
Collaborative Care
Fracture Immobilization
• External fixation
• device composed of pins that are inserted into
the bone and attached to external rods
Open fractures external fixation
Collaborative Care
Fracture Immobilization
• Internal fixation
Pins, plates, intramedullary rods, and screws
Surgically inserted at the time of realignment
Nursing Management
Nursing Assessment for Fractures
• AMPLE history
Nursing Management
Nursing Assessment
• Neurovascular assessment
–Color and temperature
• cyanotic and cool/cold: arterial insufficiency
• Blue and warm: venous insufficiency
–Capillary refill (< 2 sec)
–Peripheral pulses (↓ indicates vascular
insufficiency)
Nursing Management
Nursing Diagnoses
• Risk for peripheral neurovascular dysfunction
• Acute pain
• Risk for infection
• Assessment of fall risk
• Decubitus ulcer policy
• Prolonged immobilization
• DVT prophylaxis
Nursing Management
Nursing Diagnoses
• Ineffective therapeutic regimen management
–Analgesia
–Antibiotic prophylaxis(treatment)
–Thromboprophylaxis
–Medication for co-mobidities
–Non prescription medication
Nursing Management
Nursing Implementation
• General post-op care
– Assess dressings/casts for bleeding/drainage
– Prevent complications of immobility
• Measures to prevent constipation
• Frequent position changes/ ambulate as permitted
• ROM exercises of unaffected joints
• Deep breathing
• Isometric exercises
Nursing Management-Traction
Nursing Implementation
Ensure:
• No frayed ropes, loose
knots
• Ropes in pulley grooves
• Pulley clamps fastened
securely
• Weights must hang freely
• Appropriate body
alignment
– Inspect skin
• Around slings
• Around pins
Nursing Management
Nursing Implementation: Cast care
• Casts can cause neurovascular complications if
– Too tight
– Edematous
• Frequent neurovascular checks
• Ice and elevation during early phase
Complications of Fractures-Infection
• Open fractures and soft tissue injuries have 
incidence
• Osteomyelitis can become chronic
–Open fractures require aggressive surgical
debridement
–Post-op IV antibiotics till wound closure
(prophylactic)
Complications of Fractures
Compartment Syndrome
• elevated intra-compartmental pressure
• within a confined compartment
• capillary perfusion to be reduced below a level
necessary for tissue viability
Complications of Fractures
Compartment Syndrome
• Two basic etiologies create compartment
syndrome:
–Decreased compartment size (dressings,
splints, casts)
–Increased compartment content (bleeding,
edema)
Complications of Fractures
Compartment Syndrome
• Clinical Manifestations Six Ps
1. Pain (unrelieved by narcotics)
3. Pressure (Tense tight compartment)
4. Pallor (loss of normal color, coolness)
5. Paresthesia (unrelieved by narcotics)
6. Paralysis
7. Pulselessness (decreased/absent pulses)
Complications of Fractures
Compartment Syndrome
• Clinical Manifestations
–Six Ps:
• Patient may present with one or all of the
six Ps
• Compare extremities
DO NOT WAIT FOR ALL SIX Ps TO
APPEAR
Complications of Fractures
Compartment Syndrome
• Clinical Manifestations Late
–Absence of peripheral pulse = ominous late
sign
–Myoglobinuria
• Dark reddish-brown urine
Complications of Fractures
Compartment Syndrome
• Collaborative Care
–Prompt, accurate diagnosis is critical
–Early recognition is the key
–Do not apply ice or elevate above heart
level
Complications of Fractures
Compartment Syndrome
• Collaborative Care
–Remove/loosen the bandage and bivalve
the cast
–Reduce traction weight
–Maintain vitals (avoid hypotension)
–O2 inhalation
–Inform the team promptly
–Surgical decompression (fasciotomy)
Complications of Fractures
Venous Thrombosis
• Veins of the lower extremities and pelvis are
highly susceptible to thrombus formation
after fracture, especially
• hip fracture
• Pelvis fractures
• Spine fractures
• Polytrauma
Complications of Fractures
Venous Thrombosis
• Precipitating factors:
–Venous stasis caused by incorrectly applied
casts or traction
–Local pressure on a vein
–Immobility
• Prevent with anticoagulant medications
Complications of Fractures
Fat Embolism Syndrome (FES)
• Characterized by the presence of fat globules
in tissues and organs after a traumatic skeletal
injury
Complications of Fractures
Fat Embolism Syndrome (FES)
• Fractures that most often cause FES:
–Long bones
–Ribs
–Tibia
–Pelvis
Complications of Fractures
Fat Embolism Syndrome (FES)
• Tissues most often affected:
–Lungs
–Brain
–Heart
–Kidneys
–Skin
Complications of Fractures
Fat Embolism Syndrome (FES)
• Clinical Manifestations
–Usually occur 24-48 hours after injury
–Interstitial pneumonitis
• Produce symptoms of ARDS
Complications of Fractures
Fat Embolism Syndrome (FES)
• Clinical Manifestations
–Symptoms of ARDS:
• Chest pain
• Tachypnea
• Cyanosis
•  PaO2
Complications of Fractures
Fat Embolism Syndrome (FES)
• Clinical Manifestations
–Symptoms of ARDS:
• Dyspnea
• Apprehension
• Tachycardia
Complications of Fractures
Fat Embolism Syndrome (FES)
• Clinical Manifestations
–Rapid and acute course
–Feeling of impending disaster
–Patient may become comatose in a short
time
Complications of Fractures
Fat Embolism Syndrome (FES)
• Collaborative Care
–Treatment directed at prevention
–Careful immobilization of a long bone
fracture
• Most important preventative factor
Complications of Fractures
Fat Embolism Syndrome (FES)
• Collaborative Care (treatment)
–Symptom management
–Fluid resuscitation
–Oxygen
–Reposition as little as possible
Fracture of the Hip
• Fracture of proximal third of femur
• Common in the elderly
• More frequent in women than men.
• Up to 35% of clients will die within the first
year
Fracture of the Hip
• Intracapsular fractures:
– Occur within hip joint capsule
• Extrascapular fractures
– Intertrochanteric: between greater and lesser
trochanter
– Subtrochanteric: below lesser trochanter
Clinical Manifestations
• External rotation of affected leg
• Muscle spasm
• Shortening of the affected extremity
• Severe pain and tenderness in region of
fracture
Collaborative Care
• Surgical repair is preferred
– Allows for early mobilization and decreases the
risk of major complications.
• traction may be utilized preoperatively to
decrease painful muscle spasms.
Nursing Diagnosis
• Risk for peripheral neurovascular dysfunction
• Acute pain
• Risk for impaired skin integrity
• Impaired physical mobility
Post-Operative Care
• General post-op care (V/S, DB & C, etc.)
• Neurovascular checks
• Prevent external rotation (sandbags, pillows)
Preventing Dislocation of Femur Head
Prosthesis
• Do Not
– Flex hip greater than 90 degrees.
– Place hip in adduction
– Allow hip to internally rotate
– Cross legs
Preventing Dislocation of Femur Head
Prosthesis
• Do
– Use elevated toilet seat
– Use chair in shower/tub
– Use pillow between legs when on “good” side or
supine (for 8 weeks post-op)
– Keep hip in neutral position when sitting, walking
and lying.
– Notify surgeon if severe pain, deformity, or loss of
function
Dislocation
• Definition:
• complete and persistent displacement of joint
• Pathology
• Part of the supporting joint capsule and some of
its ligaments disrupted.
Deformity of a limb
• Clinical indication of dislocation
Types of dislocation
• Congenital
– Developmental Dysplasia of Hips
– Congenital dislocation of knee
– Arthrogryposis multiplex
• Acquired
1. Traumatic
2. Pathological e.g. TB hip, Septic Arthritis
3. Paralytic e.g. Poliomyelitis, cerebral palsy, etc
4. Inflammatory disorders, rheumatoid arthritis,etc
Dislocation
• No joint is immune from dislocation
• Most commonly occur in the following joints.
• Shoulder
• Hip
• Elbow
• Metacarpophalengeal joint
• Facet joint dislocation in cervical spine.
• Acromiclavicular joint dislocation.
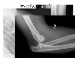
Investigations- Xrays
Complication
1. Acute: Injury to peripheral nerve and vessels
2. Chronic: Unreduced dislocation
Recurrent dislocation
Traumatic osteoarthritis
Joint stiffness
Avascular necrosis
Myositis ossificans
Caution !
• Excessive force should not be used in close
reduction.
• Forceful manipulation may lead to fracture.
• Interposition of soft tissue, bony fragment or
buttonhole in capsule may make close
reduction impossible.
Remember
• It is an orthopedic emergency.
• Reduction should be quick and prompt.
• Reduction should always be under G/A or
sedation.
Fracture Dislocation
Lot of swelling Swelling is less
Some restriction of
movements
Movements grossly restricted
Osteomyelitis
• Infection of the
– Bone
– Bone marrow
– Surrounding soft tissue
• Caused by a variety of microorganisms
• Most common infecting microorganism –
staph. aureus
Clinical Manifestations
Acute Osteomyelitis
• Initial infection
–Infection of <1 month in duration
–Both systemic and local
Clinical Manifestations
Acute Osteomyelitis
• Systemic
- Fever
– Unwell
• Local
– Constant bone pain that worsens with activity
– Swelling, tenderness, warmth at infection site
– Restricted movement of affected part
– Later signs: drainage from sinus tracts
Diagnostic Studies
• Bone or soft tissue biopsy
– Definitive way to determine causative
microorganism
• Patient’s blood and/or wound culture
– Frequently positive for presence of microorganism
• Lab Studies
– WBC
– Erythrocyte sedimentation rate (ESR)
Radiologic Studies
• Radiologic signs
 Usually do not appear until 10 days to weeks after
start of clinical symptoms
• Radionuclide bone scans
 Helpful in diagnosis and usually positive in areas
of infection
• Magnetic resonance imaging (MRI)
• Computed tomography (CT)
 Help identify extent of infection, including soft
tissue involvement
Collaborative Care
Acute Osteomyelitis
• Vigorous and prolonged intravenous (IV)
antibiotic therapy
– Treatment of choice for acute osteomyelitis
– As long bone ischemia has not occurred
– Cultures or bone biopsy should be done if possible
• Delaying antibiotic treatment may require
surgical debridement and decompression
Collaborative Care
Chronic Osteomyelitis
• Adults with chronic osteomyelitis --6 to 8
weeks of IV antibiotics
• Oral antibiotics may be given after acute IV
therapy to ensure resolution of infection
• Monitoring patient’s response
Nursing Implementation
• Ambulatory and home care
– Importance of continuing antibiotics after
symptoms have subsided should be stressed
– Periodic nursing visits provide support and
decrease anxiety
– Frequent dressing changes for open wounds
Septic arthritis
• Acute inflammation of joint
• Caused by microorganism
• May mimic acute OM
• May result from acute OM
• More common in extremes of age
Acute OM vs Septic arthritis
Osteomyelitis Septic arthritis
• Subacute onset of limp /
non-weight bearing / refusal
to use limb
• Localised pain and pain on
movement
• Tenderness
• Soft tissue redness / swelling
may not be present & may
appear late
• +/- Fever
• Acute onset of limp / non-
weight bearing / refusal to
use limb
• Pain on movement and at
rest
• Limited range / loss of
movement
• Soft tissue redness / swelling
often present
• Fever
Back Pain
• 2nd most common cause for opd visit
• 60-80% of population will have lower back
pain at some time in their lives
• Each year, 15-20% will have back pain
• Most common cause of disability for persons <
45 years
• 1% of US population is disabled
• Costs to society: $20-50 billion/year
Causes of Low Back Pain
• Lumbar “strain” or “sprain”
– 70%
• Degenerative changes – 10%
• Herniated disk – 4%
• Osteoporosis compression
fractures – 4%
• Spinal stenosis – 3%
• Spondylolisthesis – 2%
• Spondylolysis, diskogenic low
back pain or other instability
– 2%
• Traumatic fracture - <1%
• Congenital disease - <1%
• Cancer – 0.7%
• Inflammatory arthritis – 0.3%
• Infections – 0.01%
Pathophysiology
• Elastic rod constructed of rigid units (vertebrae) and
flexible units (intervertebral disks)
• Flexibility with protection
• Truncal muscles help stabilize the spine
Clinical manifestations
• Acute < 3 months
• Chronic > 3 months without improvement
• Radiculopathy
• Neurological deficits
• Paraspinal muscle spasm
Red Flags
• History of cancer
• Unexplained weight
loss
• Intravenous drug use
• Prolonged use of
corticosteroids
• Older age
• Major Trauma
• Osteoporosis
• Fever
• Back pain at rest or at
night
• Bowel or bladder
dysfunction
Medications
• Anti-inflammatory medications (NSAID’s):
– Beneficial; no differences; watch side-effects
• Narcotic Pain Relievers:
– No more effective than NSAID’s
– Many side effects
• Muscle Relaxants (ie. Flexeril®):
– Can decrease pain and improve mobility
– 70% with drowsiness/dizziness
Exercise & Bed Rest
• Advice to stay active:
– ‘There is no evidence that advice to stay active is
harmful for either acute low back pain or
sciatica.’
• One or two days of bed rest if necessary
• Light activity, avoiding heavy lifting, bending
or twisting (ie. walking)
• No data on any particular exercises
Other Modalities
• Back Brace/Corset/Lumbar Support:
• Traction:
• Injections: Inconclusive evidence
• TENS:
• Hot/Cold:
• Ultrasound:
Role of X-rays (Radiology)
• Usually unnecessary and not helpful
• Plain X-ray:
– Age>50 years
– No improvement after 6 weeks
– Other worrisome findings
• MRI:
– After 6 weeks if have sciatica
Injections
• Epidural injections:
– Insufficient and conflicting evidence
• Facet joint injections:
-conflicting evidence
• Local/Trigger point injections:
– Possibly some benefit
Surgery
• Discectomy improves pain in short term.
• Microdiscectomy similar to standard
discectomy.
• Automated percutaneous discectomy and
laser discectomy both less effective.
Prevention
• Exercise:
– Aerobic, back/leg strengthening
• Back braces and education about proper
lifting techniques are partially effective
• ? weight loss and smoking cessation
• Improved self esteem
AMPUTATION
Amputation
“Surgical removal of limb
or part of the limb
through a bone or
multiple bones”
Disarticulation
“Surgical removal of
hole limb or part of the
limb through a joint”
Epidemiology
• Age- common in 50-75 yrs of age
traumatic- common in young age
• Sex- aprox. 75% male
25% female
• Limb- aprox. 85% - lower limb
15% -- upper limb
• Etiology: Traumatic
Diabetic, ischaemic
DDD
• Dead:
• Dangerous:
• Damn nuisance:
Open
Guillotine
modified guillotine
Closed amputation
revised
planned
Level of Amputation
Complications
Infection
Hematoma
Necrosis
Contractures
Neuroma
Phantom
• Prompt, uncomplicated wound healing
• Control of edema
• Control of Postoperative pain
• Prevention of joint contractures
• Rapid rehabilitation
Care of the Stump
– keep the stump clean, dry, and free from infection at
all times.
– If fitted with a prosthesis, you should remove it before
going to sleep.
– Inspect and wash the stump with mild soap and warm
water every night, then dry thoroughly and apply
talcum powder.
– do not use the prosthesis until the skin has healed.
– The stump sock should be changed daily, and the
inside of the socket may be cleaned with mild soap.
Rehabilitations
1. Residual Limb
Shrinkage and Shaping
2. Limb Desensitization
3. Maintain joint range of
motion
4. Strengthen residual
limb
5. Maximize Self reliance
6. Patient education:
Future goals and
prosthetic options
IT IS A REPLACEMENT Or
SUBSTITUTION OF A
MISSING OR A DISEASED
PART
Take Home message
Strain and spains
• Proper care more important than anatomic
diagnosis
• RICE
– Rest
– Ice
– Compression
– Elevation
• Analgesia
Take home message - Fractures
• Fracture management
– Reduction
– Retention
– Rehabilitation
• AMPLE history
– Allergies
– Medication
– Past medical history
– Last meal
– Events around injury
• Awareness of 5 P
– Pain
– Pulseless
– Pallor
– Paresthesia
– Paralysis
• Avoid Complications
– Compartment syndrome
– Fat embolism
– DVT
– Infection
Take Home message-Backpain
• Most common orthopaedic complaint
• Aware of RED flag symptoms
• Acute vs chronic backpain
• Majority are better in 6 weeks-3months
• Lifestyle modifications are effective
• Injections and surgery has definite role
• Prolonged bed rest and use of braces are
counterproductive
Take Home message-Amputation
• DDD
– Dead, Deadly, Damn nuisance
• Avoid immediate and late postoperative
complications
• Facilitate early and rapid rehabilitation
• Teach and supervise the care of stump
Any thing else?
Orthopedics for nurses

Orthopedics for nurses

  • 1.
    Management of patientswith musculoskeletal trauma and problems Dr. Sameer Agarwal Orthopaedics Khoula Hospital
  • 2.
    Topics • Fracture • Jointdislocation • Contusion, sprains and strain • Osteomyelitis • Low back pain • Amputation
  • 3.
    OBJECTIVES • Causes, clinicalmanifestation, diagnostic tests, management and care. • Care modalities • Patient education program. • Rehabilitation
  • 4.
    ORTHOPAEDICS • 1840, Frenchorthopédique, from orthopédie, • French physician Nicholas Andry (1658-1742), from • Greek orthos "straight, correct" • paideia "rearing of children," from pais (genitive paidos) "child" (see pedo- ).
  • 5.
    206 bones inthe human body
  • 6.
  • 7.
  • 8.
  • 9.
    Sprains • Stretching, partialor complete tearing of ligaments • Typically occur when joint overextended • Ankles, knees, wrists, fingers • Swelling, pain, bruising • Inability to use joint
  • 10.
    Strains • Tearing ofmuscle or tendon • Occurs due to overstretching • Causes pain, swelling and sometimes inability to use muscle • Can be prevented by avoiding overexertion, good body mechanics, sports safety
  • 11.
    Care for MusculoskeletalInjuries • Proper care vs identifying the type of injury • Assume any injury to an extremity includes a bone fracture. • The general care for injuries to muscle, bone and joints includes following R.I.C.E.
  • 12.
    R.I.C.E. • Rest: donot move or straighten the injured area. • Ice: apply ice to the injured area for periods of 20 minutes. • Compression: with a firmly wrapped bandage • Elevation: do not elevate the injured part if it causes more pain.
  • 13.
  • 14.
    Splinting • A methodof immobilizing an injured extremity • ONLY : to move or transport a patient to higher center • Splinting does not cause more pain.
  • 15.
    Types of Splints •Soft splints • folded blankets, towels, pillows and a sling. • Rigid splints • include boards, metal strips and folded magazines or newspapers. • Use a triangular bandage to secure the rigid or soft splinting material in place • Anatomic splints • an uninjured body part to immobilize an injured area. • You can use tape to secure an uninjured finger to the injured
  • 16.
    Head, Neck andBack Injuries • These injuries may cause an unintentional death or life-long neurologic damage. • If you suspect that a person has a head, neck or back injury, tell him/her to respond verbally to any questions you ask and to avoid nodding or shaking his/her head. • Goal is to minimize movement
  • 17.
    Care for Head/Neck/Back •Minimize movement of the head, neck, and back – by placing your hands on both sides of the person’s head. – Maintain an open airway. – Let the person remain in the position in which you found him/her until advanced medical personnel arrive and take over. • Monitor the ABC’s
  • 18.
    Fracture • A disruptionor break in the continuity of the structure of bone • Traumatic injuries account for the majority of fractures
  • 19.
    Description • Described andclassified according to: –Type –Anatomic location –Communication or non communication with external environment
  • 20.
  • 21.
    Compression fx • Specificto the vertebral body collapses, anterior aspect is reduced in height. • From trauma or demineralization of bone (old age).
  • 22.
    Burst fx • C1ring is broken, fragments move outward. • Football injuries, heavy object dropped on head. C - 1 (atlas)
  • 23.
    Pediatric fractures • 1.Greenstick (torus) - incomplete fx, bones more flexible, bends & fractures only outer edge. • 2. Epiphyseal - fractures located at the site of an epiphysis.
  • 24.
  • 25.
    Description • Described andclassified according to: –Appearance, position, and alignment of the fragments –Classic names –Stable or unstable
  • 26.
    Description • Closed (alsocalled simple) • Open (also called compound)
  • 27.
    Classification by Communicationwith External Environment
  • 28.
    Description • Stable fractures –Occurwhen a part of the periosteum is intact across the fracture OR –External or internal fixation has rendered the fragments stationary
  • 29.
  • 30.
    Clinical Manifestations –Immediate localizedpain –Loss of Function – Inability to bear weight or use affected part –Guarding –May or may not see obvious bone deformity
  • 31.
  • 32.
    Collaborative Care • Overallgoals of treatment: –Anatomic realignment of bone fragments (reduction) –Immobilization to maintain alignment (fixation) –Restoration of normal function • 3 ‘R’ s
  • 33.
    Collaborative Care -Fracture Reduction • Closed reduction –Nonsurgical, manual realignment • Open reduction –Correction of bone alignment through a surgical incision
  • 34.
    Fracture Reduction (Closed) •Traction (with simultaneous counter-traction) –Application of pulling force to attain realignment • Skin traction (short-term: 48-72 hrs.) • Skeletal traction (longer periods) • Manipulation under anesthesia • To control pain and overcome muscle spasm
  • 35.
    Collaborative Care Fracture Immobilization •Traction Application of a pulling force to an injured part of the body while counter traction pulls in the opposite direction • Purpose of traction: –Prevent or reduce muscle spasm –Reduction –Immobilization –Treat a pathologic condition
  • 36.
    Collaborative Care Fracture Immobilization •Casts –Circumferential immobilization device –Common following closed reduction
  • 37.
    Collaborative Care Fracture Immobilization •External fixation • device composed of pins that are inserted into the bone and attached to external rods
  • 38.
  • 39.
    Collaborative Care Fracture Immobilization •Internal fixation Pins, plates, intramedullary rods, and screws Surgically inserted at the time of realignment
  • 40.
    Nursing Management Nursing Assessmentfor Fractures • AMPLE history
  • 41.
    Nursing Management Nursing Assessment •Neurovascular assessment –Color and temperature • cyanotic and cool/cold: arterial insufficiency • Blue and warm: venous insufficiency –Capillary refill (< 2 sec) –Peripheral pulses (↓ indicates vascular insufficiency)
  • 43.
    Nursing Management Nursing Diagnoses •Risk for peripheral neurovascular dysfunction • Acute pain • Risk for infection • Assessment of fall risk • Decubitus ulcer policy • Prolonged immobilization • DVT prophylaxis
  • 44.
    Nursing Management Nursing Diagnoses •Ineffective therapeutic regimen management –Analgesia –Antibiotic prophylaxis(treatment) –Thromboprophylaxis –Medication for co-mobidities –Non prescription medication
  • 45.
    Nursing Management Nursing Implementation •General post-op care – Assess dressings/casts for bleeding/drainage – Prevent complications of immobility • Measures to prevent constipation • Frequent position changes/ ambulate as permitted • ROM exercises of unaffected joints • Deep breathing • Isometric exercises
  • 46.
    Nursing Management-Traction Nursing Implementation Ensure: •No frayed ropes, loose knots • Ropes in pulley grooves • Pulley clamps fastened securely • Weights must hang freely • Appropriate body alignment – Inspect skin • Around slings • Around pins
  • 47.
    Nursing Management Nursing Implementation:Cast care • Casts can cause neurovascular complications if – Too tight – Edematous • Frequent neurovascular checks • Ice and elevation during early phase
  • 48.
    Complications of Fractures-Infection •Open fractures and soft tissue injuries have  incidence • Osteomyelitis can become chronic –Open fractures require aggressive surgical debridement –Post-op IV antibiotics till wound closure (prophylactic)
  • 49.
    Complications of Fractures CompartmentSyndrome • elevated intra-compartmental pressure • within a confined compartment • capillary perfusion to be reduced below a level necessary for tissue viability
  • 50.
    Complications of Fractures CompartmentSyndrome • Two basic etiologies create compartment syndrome: –Decreased compartment size (dressings, splints, casts) –Increased compartment content (bleeding, edema)
  • 51.
    Complications of Fractures CompartmentSyndrome • Clinical Manifestations Six Ps 1. Pain (unrelieved by narcotics) 3. Pressure (Tense tight compartment) 4. Pallor (loss of normal color, coolness) 5. Paresthesia (unrelieved by narcotics) 6. Paralysis 7. Pulselessness (decreased/absent pulses)
  • 52.
    Complications of Fractures CompartmentSyndrome • Clinical Manifestations –Six Ps: • Patient may present with one or all of the six Ps • Compare extremities DO NOT WAIT FOR ALL SIX Ps TO APPEAR
  • 53.
    Complications of Fractures CompartmentSyndrome • Clinical Manifestations Late –Absence of peripheral pulse = ominous late sign –Myoglobinuria • Dark reddish-brown urine
  • 54.
    Complications of Fractures CompartmentSyndrome • Collaborative Care –Prompt, accurate diagnosis is critical –Early recognition is the key –Do not apply ice or elevate above heart level
  • 55.
    Complications of Fractures CompartmentSyndrome • Collaborative Care –Remove/loosen the bandage and bivalve the cast –Reduce traction weight –Maintain vitals (avoid hypotension) –O2 inhalation –Inform the team promptly –Surgical decompression (fasciotomy)
  • 56.
    Complications of Fractures VenousThrombosis • Veins of the lower extremities and pelvis are highly susceptible to thrombus formation after fracture, especially • hip fracture • Pelvis fractures • Spine fractures • Polytrauma
  • 57.
    Complications of Fractures VenousThrombosis • Precipitating factors: –Venous stasis caused by incorrectly applied casts or traction –Local pressure on a vein –Immobility • Prevent with anticoagulant medications
  • 58.
    Complications of Fractures FatEmbolism Syndrome (FES) • Characterized by the presence of fat globules in tissues and organs after a traumatic skeletal injury
  • 59.
    Complications of Fractures FatEmbolism Syndrome (FES) • Fractures that most often cause FES: –Long bones –Ribs –Tibia –Pelvis
  • 60.
    Complications of Fractures FatEmbolism Syndrome (FES) • Tissues most often affected: –Lungs –Brain –Heart –Kidneys –Skin
  • 61.
    Complications of Fractures FatEmbolism Syndrome (FES) • Clinical Manifestations –Usually occur 24-48 hours after injury –Interstitial pneumonitis • Produce symptoms of ARDS
  • 62.
    Complications of Fractures FatEmbolism Syndrome (FES) • Clinical Manifestations –Symptoms of ARDS: • Chest pain • Tachypnea • Cyanosis •  PaO2
  • 63.
    Complications of Fractures FatEmbolism Syndrome (FES) • Clinical Manifestations –Symptoms of ARDS: • Dyspnea • Apprehension • Tachycardia
  • 64.
    Complications of Fractures FatEmbolism Syndrome (FES) • Clinical Manifestations –Rapid and acute course –Feeling of impending disaster –Patient may become comatose in a short time
  • 65.
    Complications of Fractures FatEmbolism Syndrome (FES) • Collaborative Care –Treatment directed at prevention –Careful immobilization of a long bone fracture • Most important preventative factor
  • 66.
    Complications of Fractures FatEmbolism Syndrome (FES) • Collaborative Care (treatment) –Symptom management –Fluid resuscitation –Oxygen –Reposition as little as possible
  • 67.
    Fracture of theHip • Fracture of proximal third of femur • Common in the elderly • More frequent in women than men. • Up to 35% of clients will die within the first year
  • 68.
    Fracture of theHip • Intracapsular fractures: – Occur within hip joint capsule • Extrascapular fractures – Intertrochanteric: between greater and lesser trochanter – Subtrochanteric: below lesser trochanter
  • 69.
    Clinical Manifestations • Externalrotation of affected leg • Muscle spasm • Shortening of the affected extremity • Severe pain and tenderness in region of fracture
  • 70.
    Collaborative Care • Surgicalrepair is preferred – Allows for early mobilization and decreases the risk of major complications. • traction may be utilized preoperatively to decrease painful muscle spasms.
  • 71.
    Nursing Diagnosis • Riskfor peripheral neurovascular dysfunction • Acute pain • Risk for impaired skin integrity • Impaired physical mobility
  • 72.
    Post-Operative Care • Generalpost-op care (V/S, DB & C, etc.) • Neurovascular checks • Prevent external rotation (sandbags, pillows)
  • 73.
    Preventing Dislocation ofFemur Head Prosthesis • Do Not – Flex hip greater than 90 degrees. – Place hip in adduction – Allow hip to internally rotate – Cross legs
  • 74.
    Preventing Dislocation ofFemur Head Prosthesis • Do – Use elevated toilet seat – Use chair in shower/tub – Use pillow between legs when on “good” side or supine (for 8 weeks post-op) – Keep hip in neutral position when sitting, walking and lying. – Notify surgeon if severe pain, deformity, or loss of function
  • 75.
    Dislocation • Definition: • completeand persistent displacement of joint • Pathology • Part of the supporting joint capsule and some of its ligaments disrupted.
  • 76.
    Deformity of alimb • Clinical indication of dislocation
  • 77.
    Types of dislocation •Congenital – Developmental Dysplasia of Hips – Congenital dislocation of knee – Arthrogryposis multiplex • Acquired 1. Traumatic 2. Pathological e.g. TB hip, Septic Arthritis 3. Paralytic e.g. Poliomyelitis, cerebral palsy, etc 4. Inflammatory disorders, rheumatoid arthritis,etc
  • 78.
    Dislocation • No jointis immune from dislocation • Most commonly occur in the following joints. • Shoulder • Hip • Elbow • Metacarpophalengeal joint • Facet joint dislocation in cervical spine. • Acromiclavicular joint dislocation.
  • 79.
  • 80.
    Complication 1. Acute: Injuryto peripheral nerve and vessels 2. Chronic: Unreduced dislocation Recurrent dislocation Traumatic osteoarthritis Joint stiffness Avascular necrosis Myositis ossificans
  • 81.
    Caution ! • Excessiveforce should not be used in close reduction. • Forceful manipulation may lead to fracture. • Interposition of soft tissue, bony fragment or buttonhole in capsule may make close reduction impossible.
  • 82.
    Remember • It isan orthopedic emergency. • Reduction should be quick and prompt. • Reduction should always be under G/A or sedation. Fracture Dislocation Lot of swelling Swelling is less Some restriction of movements Movements grossly restricted
  • 83.
    Osteomyelitis • Infection ofthe – Bone – Bone marrow – Surrounding soft tissue • Caused by a variety of microorganisms • Most common infecting microorganism – staph. aureus
  • 84.
    Clinical Manifestations Acute Osteomyelitis •Initial infection –Infection of <1 month in duration –Both systemic and local
  • 85.
    Clinical Manifestations Acute Osteomyelitis •Systemic - Fever – Unwell • Local – Constant bone pain that worsens with activity – Swelling, tenderness, warmth at infection site – Restricted movement of affected part – Later signs: drainage from sinus tracts
  • 86.
    Diagnostic Studies • Boneor soft tissue biopsy – Definitive way to determine causative microorganism • Patient’s blood and/or wound culture – Frequently positive for presence of microorganism • Lab Studies – WBC – Erythrocyte sedimentation rate (ESR)
  • 87.
    Radiologic Studies • Radiologicsigns  Usually do not appear until 10 days to weeks after start of clinical symptoms • Radionuclide bone scans  Helpful in diagnosis and usually positive in areas of infection • Magnetic resonance imaging (MRI) • Computed tomography (CT)  Help identify extent of infection, including soft tissue involvement
  • 88.
    Collaborative Care Acute Osteomyelitis •Vigorous and prolonged intravenous (IV) antibiotic therapy – Treatment of choice for acute osteomyelitis – As long bone ischemia has not occurred – Cultures or bone biopsy should be done if possible • Delaying antibiotic treatment may require surgical debridement and decompression
  • 89.
    Collaborative Care Chronic Osteomyelitis •Adults with chronic osteomyelitis --6 to 8 weeks of IV antibiotics • Oral antibiotics may be given after acute IV therapy to ensure resolution of infection • Monitoring patient’s response
  • 90.
    Nursing Implementation • Ambulatoryand home care – Importance of continuing antibiotics after symptoms have subsided should be stressed – Periodic nursing visits provide support and decrease anxiety – Frequent dressing changes for open wounds
  • 91.
    Septic arthritis • Acuteinflammation of joint • Caused by microorganism • May mimic acute OM • May result from acute OM • More common in extremes of age
  • 92.
    Acute OM vsSeptic arthritis Osteomyelitis Septic arthritis • Subacute onset of limp / non-weight bearing / refusal to use limb • Localised pain and pain on movement • Tenderness • Soft tissue redness / swelling may not be present & may appear late • +/- Fever • Acute onset of limp / non- weight bearing / refusal to use limb • Pain on movement and at rest • Limited range / loss of movement • Soft tissue redness / swelling often present • Fever
  • 93.
    Back Pain • 2ndmost common cause for opd visit • 60-80% of population will have lower back pain at some time in their lives • Each year, 15-20% will have back pain • Most common cause of disability for persons < 45 years • 1% of US population is disabled • Costs to society: $20-50 billion/year
  • 94.
    Causes of LowBack Pain • Lumbar “strain” or “sprain” – 70% • Degenerative changes – 10% • Herniated disk – 4% • Osteoporosis compression fractures – 4% • Spinal stenosis – 3% • Spondylolisthesis – 2% • Spondylolysis, diskogenic low back pain or other instability – 2% • Traumatic fracture - <1% • Congenital disease - <1% • Cancer – 0.7% • Inflammatory arthritis – 0.3% • Infections – 0.01%
  • 95.
    Pathophysiology • Elastic rodconstructed of rigid units (vertebrae) and flexible units (intervertebral disks) • Flexibility with protection • Truncal muscles help stabilize the spine
  • 96.
    Clinical manifestations • Acute< 3 months • Chronic > 3 months without improvement • Radiculopathy • Neurological deficits • Paraspinal muscle spasm
  • 97.
    Red Flags • Historyof cancer • Unexplained weight loss • Intravenous drug use • Prolonged use of corticosteroids • Older age • Major Trauma • Osteoporosis • Fever • Back pain at rest or at night • Bowel or bladder dysfunction
  • 98.
    Medications • Anti-inflammatory medications(NSAID’s): – Beneficial; no differences; watch side-effects • Narcotic Pain Relievers: – No more effective than NSAID’s – Many side effects • Muscle Relaxants (ie. Flexeril®): – Can decrease pain and improve mobility – 70% with drowsiness/dizziness
  • 99.
    Exercise & BedRest • Advice to stay active: – ‘There is no evidence that advice to stay active is harmful for either acute low back pain or sciatica.’ • One or two days of bed rest if necessary • Light activity, avoiding heavy lifting, bending or twisting (ie. walking) • No data on any particular exercises
  • 100.
    Other Modalities • BackBrace/Corset/Lumbar Support: • Traction: • Injections: Inconclusive evidence • TENS: • Hot/Cold: • Ultrasound:
  • 101.
    Role of X-rays(Radiology) • Usually unnecessary and not helpful • Plain X-ray: – Age>50 years – No improvement after 6 weeks – Other worrisome findings • MRI: – After 6 weeks if have sciatica
  • 102.
    Injections • Epidural injections: –Insufficient and conflicting evidence • Facet joint injections: -conflicting evidence • Local/Trigger point injections: – Possibly some benefit
  • 103.
    Surgery • Discectomy improvespain in short term. • Microdiscectomy similar to standard discectomy. • Automated percutaneous discectomy and laser discectomy both less effective.
  • 104.
    Prevention • Exercise: – Aerobic,back/leg strengthening • Back braces and education about proper lifting techniques are partially effective • ? weight loss and smoking cessation • Improved self esteem
  • 105.
  • 106.
    Amputation “Surgical removal oflimb or part of the limb through a bone or multiple bones” Disarticulation “Surgical removal of hole limb or part of the limb through a joint”
  • 108.
    Epidemiology • Age- commonin 50-75 yrs of age traumatic- common in young age • Sex- aprox. 75% male 25% female • Limb- aprox. 85% - lower limb 15% -- upper limb • Etiology: Traumatic Diabetic, ischaemic
  • 109.
  • 110.
  • 111.
  • 112.
  • 113.
    • Prompt, uncomplicatedwound healing • Control of edema • Control of Postoperative pain • Prevention of joint contractures • Rapid rehabilitation
  • 114.
    Care of theStump – keep the stump clean, dry, and free from infection at all times. – If fitted with a prosthesis, you should remove it before going to sleep. – Inspect and wash the stump with mild soap and warm water every night, then dry thoroughly and apply talcum powder. – do not use the prosthesis until the skin has healed. – The stump sock should be changed daily, and the inside of the socket may be cleaned with mild soap.
  • 115.
    Rehabilitations 1. Residual Limb Shrinkageand Shaping 2. Limb Desensitization 3. Maintain joint range of motion 4. Strengthen residual limb 5. Maximize Self reliance 6. Patient education: Future goals and prosthetic options
  • 116.
    IT IS AREPLACEMENT Or SUBSTITUTION OF A MISSING OR A DISEASED PART
  • 117.
    Take Home message Strainand spains • Proper care more important than anatomic diagnosis • RICE – Rest – Ice – Compression – Elevation • Analgesia
  • 118.
    Take home message- Fractures • Fracture management – Reduction – Retention – Rehabilitation • AMPLE history – Allergies – Medication – Past medical history – Last meal – Events around injury • Awareness of 5 P – Pain – Pulseless – Pallor – Paresthesia – Paralysis • Avoid Complications – Compartment syndrome – Fat embolism – DVT – Infection
  • 119.
    Take Home message-Backpain •Most common orthopaedic complaint • Aware of RED flag symptoms • Acute vs chronic backpain • Majority are better in 6 weeks-3months • Lifestyle modifications are effective • Injections and surgery has definite role • Prolonged bed rest and use of braces are counterproductive
  • 120.
    Take Home message-Amputation •DDD – Dead, Deadly, Damn nuisance • Avoid immediate and late postoperative complications • Facilitate early and rapid rehabilitation • Teach and supervise the care of stump
  • 121.