D R R A J E S H K F
ECHOCARDIOGRAPHY IN
MITRAL STENOSIS
CAUSES AND ANATOMIC PRESENTATION
Rheumatic
 Commissural fusion
 Leaflet thickening
 Chordal shortening and fusion
 Superimposed calcification
Degenerative MS
 Annular calcification
 Rarely leaflet thickening and calcification at base
Congenital MS
 Subvalvular apparatus abnormalities
Inflammatory-SLE
Infiltrative
Carcinoid heart disease
Drug induced valve disease
 Leaflet thickening and restriction
 Rarely commissural fusion
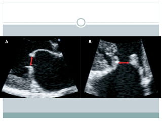
2D ECHO
 Commissural fusion
PSAX echo scanning of valve
Important in distinguishing
degenerative from rheumatic
valve
Complete fusion indicate
severe MS
Narrow diastolic opening of
valve leaflets
 Restricted mobility -
PLAX
 Early diastolic doming
motion of the AML-
restriction of tip motion
 Leaflet thickening -PLAX
 Chordal thickening,
shortening and fusion –
PLAX and A4C
 Superimposed
calcification
 Dilated LA
 LA and LA appendage
thrombus
 Paradoxical septal
motion
 Dilated RV and RA
Wilkins score -Mitral valve score <8 are
excellent candidates for BMV
Limitations of wilkin score
 Assessment of commissural involvement is not
included
 Limited in ability to differentiate nodular fibrosis
from calcification.
 Doesn’t account for uneven distribution of
pathologic abnormalities.
 Frequent underestimation of subvalvular disease.
 Doesn’t use results from TEE or 3D echo
Cormier’s method
3D ECHO
 TEE and TTE
 Higher accuracy than 2D echo
 Detailed information of commissural fusion and
subvalvular involvement
 MVA measurement in calcified and irregular valve
 MVA measurement after BMV
 Restenosis after commissurotomy
commissural refusion
valve rigidity with persistent commissural opening
From LA From LV
RT3DE score of MS severity
 Total RT3DE score ranging from 0 to 31 points
 Total score of mild MV involvement was defined as
<8 points
 Moderate MV involvement 8–13
 Severe MV involvement >14
M MODE ECHO
 Decreased E-F Slope
 >80 mm/s MVA=4-6cm²
<15mm/s⇒ MVA <1.3cm²
 Thickened Mitral Leaflets
 Anterior Motion or
Immobility of Posterior
Mitral Leaflet-tethering at
tips
 Diastolic Posterior Motion
of Ventricular Septum
(severity of stenosis)
TEE
 For diagnosis and
quantification little yield
 Spontaneous echo contrast
 LA and LA appendage
thrombus
 Use of transgastric plane
90 -1200 for evaluation of
chordal structures
 Assessment of commissural
calcification and fusion to
predict procedural outcome
after BMV
Commissure score
NON CALCIFIED
FUSION
ANTEROLATERAL
COMMISSURE
POSTEROMEDIAL
COMMISSURE
ABSENT 0 0
PARTIAL 1 1
EXTENSIVE 2 2
TOTAL SCORE O TO 4
 Scores for anterolateral and posteromedial
commissures were combined such that each valve
had an overall commissure score ranging from 0–4
 A high score indicated extensively fused,
non‐calcified commissures that were therefore more
likely to split
 A low score indicated either minimal fusion or the
presence of resistant commissural calcification
ASSESSMENT OF MS SEVERITY
2D OR 3D ECHO
 MVA BY PLANIMETRY
DOPPLER
 PRESSURE GRADIENTS
 MVA BY PHT
 CONTINUITY EQATION
 PISA
 MITRAL VALVE RESISTANCE
 PASP
MVA BY PLANIMETRY
2D Echo
 Best correlation with anatomical area
 Scanning method to avoid overestimation
 measured at leaflet tips in a plane perpendicular to
mitral orifice
 Elliptical in shape
 Direct measure of mitral orifice including opened
commissures in PSAX
 Excessive gain setting may underestimate valve area
 Zoom mode is better for delineation
 Harmonic imaging can improve planimetry
measurement
 Optimal time is mid diastole obtained by cine loop
mode on a frozen image
 Multiple measurements in AF or incomplete
commissural fusion
 difficult in calcified valve,chest deformity and
previous commissurotomy
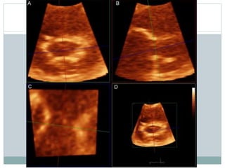
Real time 3D echocardiography
 identify true smallest orifice independent of its
orientation
 most accurate ultrasound technique for measuring
MVA, with a superior pre- and postprocedural
agreement with the Gorlin’s derived MVA
 Less experience dependent and more reproducible
Mitral leaflet separation (MLS) index
 Distance between the tips of the mitral leaflets in
parasternal long-axis and four-chamber views
 it can be used as a semiquantitative method for the
assessment of MS severity
 A value of 1.2 cm or more provided a good specificity
and PPV for the diagnosis of non severe MS
 less than 0.8 cm -severe MS.
 It is not accurate in patients with heavy mitral
valvular calcification and post BMV
PRESSURE GRADIENT
 Apical window
 CWD /PWD at or after tip of mitral valve
 Maximal and mean gradient
 Bernoulli equation( P =4V2)
 Derived from transmitral velocity flow curve
 Heart rate to be mentioned
 CD to identify eccentric mitral jet
 Maximal gradient influenced by LA compliance and
LV diastolic function
 In AF average of 5 cycles with least variation of R-R
interval and as close possible to normal HR
 MVG dependent on HR,COP and associated MR
 Tachycardia, increased COP and associated MR
overestimates gradient
 Maximal gradient is markedly affected
PRESSURE HALF TIME
 T1/2 is time interval in msecs between max mitral
gradient in early diastole and time point where
gradient is half max gradient
 Or it is the time when velocity falls to 1/1.414 peak
 PHT related to decceleration time
 PHT =.29x DT
 MVA=220/PHT
 The empirically determined constant of 220 is
proportional to the product of net compliance of left
atrium and LV, and the square root of maximum
transmitral gradient in a model that does not take
into account active relaxation of LV
 Obtained by tracing deceleration slope of E wave on
Doppler spectral display
 Concave not feasible
 If slope is bimodal deceleration slope in mid diastole
rather than early diastole is traced
AF avoid short cycles and average different
cardiac cycles
 Less dependent on COP or coexistent MR
 Useful when mean transmitral gradient is misleading
 MR -transmitral gradient overesimated
 Low COP –mean transmitral gradient -
underestimated
MS MS+MR MR
Factors that may affect PHT by influencing LA
pressure decline
More rapid LA pressure decline shorten PHT
LA draining to second chamber –ASD
 LA pressure drop rapidly
 PHT shortened
Stiff LA –low LA compliance
 LA pressure drop rapidly
 PHT shortened
Factors affect PHT by influencing LV pressure
rise
More rapid LV pressure rise shorten PHT
If LV fills from a second source PHT –AR
 LV pressure rise more rapidly
 PHT will be shortened
If LV is stiff-low ventricular compliance
 LV pressure may rise more rapidly
 PHT will be shortened
 All factors affect PHT (ASD, AR, low LA or LV
compliance )
 shorten PHT
 Leads to overestimation of MVA
 Therefore PHT never under estimate MVA
 Therefore if PHT >220 MS is severe
 If PHT is < 220 consider other methods to assess
severity
 Prosthetic MVA
 Not been validated
 Affected mainly by DD
 More accurate method is continuity equation
Not reliable
After BMV
 Normally LA and LV compliance counteract each
other
 when gradient and compliance are subject to
important and abrupt changes alter relation between
PHT and MVA
 Upto 48 hrs post BMV
CONTINUITY EQATION
LVOT AREA
 MVA X VTI mitral= LVOT area X VTI aortic
 MVA = LVOT area X VTI aortic
VTI mitral
 MVA= p D2 X VTI aortic
4 VTI mitral
 D is diameter of LVOT in CM and VTI in CM
 SV can be estimated from PA
 Method not useful in AF,AR or MR
 Useful in degenerative calcific MS
PISA
 Based on hemispherical
shape of convergence of
diastolic mitral flow on
atrial side of mitral valve
and flow acceleration
blood towards mitral
valve
MVA x MV = PISA x AV
MVA = PISA x AV
MV
PISA = 2pr2 x a
180
MVA = 2pr2 x AV x a
MV 180
 Zoom on the flow convergence
 Upshift the baseline velocity and use an aliasing
velocity of 20–30 cm/s
 Measure the radius of the flow convergence region
and the transmitral velocity at the same time in early
diastole
 Measure the α angle formed by the mitral leaflets
 Use of a fixed angle value of 100° can provide an
accurate MVA estimation in patients with MS.
 Can be used in presence of significant MR, AR,
differing heart rhythms
 Not affected by LA,LV compliance
 Multiple measurements required
 M mode improves accuracy
Colour M-mode PISA
 Instantaneous measurement of MVA throughout
diastole
 Under guidance of magnified 2D colour imaging,
colour M-mode tracings were recorded by placing
the M-mode cursor line through the centre of the
flow convergence.
 Diastole was divided into four phases of equal
duration: early, mid, mid-late, and late diastole.
 Peak radius of flow convergence was measured
during each phase to calculate mitral flow rate
 Each radius was measured from the red–blue
aliasing level to the tip of the leaflet at the orifice
 Colour M-mode analysis was then paired with
continuous wave Doppler
 Three to five measurements of each variable (on
matched cycle for colour M-mode and Doppler
methods) were averaged, depending on the patient's
rhythm.
 MVA was then calculated separately for each phase
of diastole
MITRAL VALVE RESISTANCE
 MVR=Mean mitral gradient/ transmitral diastolic
flow rate
 Transmitral diastolic flow rate= SV/DFP
 It correlate well with pulmonary artery pressure
PASP
 CWD
 Estimation of the systolic gradient between RV and
RA
 Multiple acoustic windows to optimize intercept
angle
 Estimation of RAP according to IVC diameter
STRESS ECHOCARDIOGRAPHY
 Useful to unmask symptoms in patients with
MVA<1.5cm2 and no or doubtful complaints
 Discrepancy between resting doppler and clinical
findings
 Semi-supine echocardiography exercise (30 to 60
secs of leg lifts) is now preferred to post exercise
echocardiography
 Allows monitoring gradient and pulmonary pressure
in each step of increasing workload
 Mean mitral gradient and PASP to be assessed
during exercise
 Mean gradient >15 mmhg with exercise is considered
severe MS
 A PASP > 60 mmHg on exercise has been proposed
as an indication for BMV
 Dobutamine stress echo mean gradient >18 mmhg
with exercise is considered severe MS
Associated lesions
 Quantitation of LAE
 Associated MR and its mechanism
 Severity AS (underestimated)
 AR- t1/2 method to assess MS is not valid
 TR ,tricuspid annulus
 Secondary pulmonary HTN-TR
GRADING OF SEVERITY OF MS
MILD MODERATE SEVERE
SPECIFIC
VALVE AREA(cm2) >1.5 1-1.5 <1
NONSPECIFIC
MEAN GRADIENT
(mmHg)
<5 5-10 >10
PASP (mmHg) <30 30-50 >50
THANK U
1 Pressure half time in MS affected by all except
 A ASD
 B MR
 C AR
 D HOCM
2 In case of a pure MS transmitral mean gradient is
14 mmhg and mitral area by planimetry is 1.1cm2 it is
graded as
 A severe
 B moderate
 C mild
 D indeterminate
3 Commissural fusion is not a feature of MS in
 A RHD
 B Calcific MS
 C SLE
 D Carcinoid disease
4 Not included in Wilkins score is
 A commissural fusion
 B restricted mobility
 C leafllet thickening
 D subvalvular fusion
5 harmonic imaging useful in
 A 2D MVA
 B PHT
 C PISA
 D M mode
6 mitral leaflet separation index less than ----cms
indicate severe MS
 A 0.4
 B 0.6
 C 0.8
 D 0.2
7 continuity equation useful in MVA calculation in
 A AF
 B AR
 C MR
 D Calcific MS
8 Mean gradient greater than ---- mmhg with exercise
echocardiography is considered severe MS
 A 10
 B 12
 C 15
 D 18
9 In a case of severe AR with MS mitralPHT obtained
is 280 severity of MS is
 A mild
 B moderate
 C severe
 D none of the above
10 Method to assess severity of MS in diastolic
dysfunction is
 A PHT
 B PISA
 C continuity equation
 D mitral valve resistance
1 Pressure half time in MS affected by all except
 A ASD
 B MR
 C AR
 D HOCM
2 In case of a pure MS transmitral mean gradient is
14 mmhg and mitral area by planimetry is 1.1cm2 it is
graded as
 A severe
 B moderate
 C mild
 D indeterminate
3 Commissural fusion is not a feature of MS in
 A RHD
 B Calcific MS
 C SLE
 D Carcinoid disease
4 Not included in Wilkins score is
 A commissural fusion
 B restricted mobility
 C leafllet thickening
 D subvalvular fusion
5 harmonic imaging useful in
 A 2D MVA
 B PHT
 C PISA
 D M mode
6 mitral leaflet separation index less than ----cms
indicate severe MS
 A 0.4
 B 0.6
 C 0.8
 D 0.2
7 continuity equation useful in MVA calculation in
 A AF
 B AR
 C MR
 D Calcific MS
8 Mean gradient greater than ---- mmhg with exercise
echocardiography is considered severe MS
 A 10
 B 12
 C 15
 D 18
9 In a case of severe AR with MS mitralPHT obtained
is 280 severity of MS is
 A mild
 B moderate
 C severe
 D none of the above
10 Method to assess severity of MS in diastolic
dysfunction is
 A PHT
 B PISA
 C continuity equation
 D mitral valve resistance
3D echo planimetry
 Mitral valve area
measurement using
anyplane
echocardiography.
 allows on-line assessment of the mitral valve area.
 Images are displayed as two simultaneous
intersecting orthogonal long-axis scans (B-mode
scans) and two perpendicular short-axis scans (C-
mode scans)
 These C-mode scans allow the display of short-axis
views of the mitral valve from an apical transducer
position
9 Usual mitral valve angle in PISA method to assess
severity of MS is ----degree
 A 80
 B 100
 C 150
 D 180

Echocardiography in mitral_stenosis

  • 1.
    D R RA J E S H K F ECHOCARDIOGRAPHY IN MITRAL STENOSIS
  • 2.
    CAUSES AND ANATOMICPRESENTATION Rheumatic  Commissural fusion  Leaflet thickening  Chordal shortening and fusion  Superimposed calcification Degenerative MS  Annular calcification  Rarely leaflet thickening and calcification at base
  • 3.
    Congenital MS  Subvalvularapparatus abnormalities Inflammatory-SLE Infiltrative Carcinoid heart disease Drug induced valve disease  Leaflet thickening and restriction  Rarely commissural fusion
  • 4.
    2D ECHO  Commissuralfusion PSAX echo scanning of valve Important in distinguishing degenerative from rheumatic valve Complete fusion indicate severe MS Narrow diastolic opening of valve leaflets
  • 5.
     Restricted mobility- PLAX  Early diastolic doming motion of the AML- restriction of tip motion
  • 6.
  • 7.
     Chordal thickening, shorteningand fusion – PLAX and A4C
  • 8.
  • 9.
     Dilated LA LA and LA appendage thrombus  Paradoxical septal motion  Dilated RV and RA
  • 11.
    Wilkins score -Mitralvalve score <8 are excellent candidates for BMV
  • 12.
    Limitations of wilkinscore  Assessment of commissural involvement is not included  Limited in ability to differentiate nodular fibrosis from calcification.  Doesn’t account for uneven distribution of pathologic abnormalities.  Frequent underestimation of subvalvular disease.  Doesn’t use results from TEE or 3D echo
  • 13.
  • 14.
    3D ECHO  TEEand TTE  Higher accuracy than 2D echo  Detailed information of commissural fusion and subvalvular involvement  MVA measurement in calcified and irregular valve  MVA measurement after BMV  Restenosis after commissurotomy commissural refusion valve rigidity with persistent commissural opening
  • 15.
  • 16.
    RT3DE score ofMS severity
  • 17.
     Total RT3DEscore ranging from 0 to 31 points  Total score of mild MV involvement was defined as <8 points  Moderate MV involvement 8–13  Severe MV involvement >14
  • 18.
    M MODE ECHO Decreased E-F Slope  >80 mm/s MVA=4-6cm² <15mm/s⇒ MVA <1.3cm²  Thickened Mitral Leaflets  Anterior Motion or Immobility of Posterior Mitral Leaflet-tethering at tips  Diastolic Posterior Motion of Ventricular Septum (severity of stenosis)
  • 20.
    TEE  For diagnosisand quantification little yield  Spontaneous echo contrast  LA and LA appendage thrombus  Use of transgastric plane 90 -1200 for evaluation of chordal structures  Assessment of commissural calcification and fusion to predict procedural outcome after BMV
  • 22.
  • 23.
     Scores foranterolateral and posteromedial commissures were combined such that each valve had an overall commissure score ranging from 0–4  A high score indicated extensively fused, non‐calcified commissures that were therefore more likely to split  A low score indicated either minimal fusion or the presence of resistant commissural calcification
  • 25.
    ASSESSMENT OF MSSEVERITY 2D OR 3D ECHO  MVA BY PLANIMETRY DOPPLER  PRESSURE GRADIENTS  MVA BY PHT  CONTINUITY EQATION  PISA  MITRAL VALVE RESISTANCE  PASP
  • 26.
    MVA BY PLANIMETRY 2DEcho  Best correlation with anatomical area  Scanning method to avoid overestimation  measured at leaflet tips in a plane perpendicular to mitral orifice  Elliptical in shape  Direct measure of mitral orifice including opened commissures in PSAX
  • 28.
     Excessive gainsetting may underestimate valve area  Zoom mode is better for delineation  Harmonic imaging can improve planimetry measurement  Optimal time is mid diastole obtained by cine loop mode on a frozen image  Multiple measurements in AF or incomplete commissural fusion  difficult in calcified valve,chest deformity and previous commissurotomy
  • 29.
    Real time 3Dechocardiography  identify true smallest orifice independent of its orientation  most accurate ultrasound technique for measuring MVA, with a superior pre- and postprocedural agreement with the Gorlin’s derived MVA  Less experience dependent and more reproducible
  • 31.
    Mitral leaflet separation(MLS) index  Distance between the tips of the mitral leaflets in parasternal long-axis and four-chamber views  it can be used as a semiquantitative method for the assessment of MS severity  A value of 1.2 cm or more provided a good specificity and PPV for the diagnosis of non severe MS  less than 0.8 cm -severe MS.  It is not accurate in patients with heavy mitral valvular calcification and post BMV
  • 33.
    PRESSURE GRADIENT  Apicalwindow  CWD /PWD at or after tip of mitral valve  Maximal and mean gradient  Bernoulli equation( P =4V2)  Derived from transmitral velocity flow curve  Heart rate to be mentioned  CD to identify eccentric mitral jet
  • 35.
     Maximal gradientinfluenced by LA compliance and LV diastolic function  In AF average of 5 cycles with least variation of R-R interval and as close possible to normal HR  MVG dependent on HR,COP and associated MR  Tachycardia, increased COP and associated MR overestimates gradient  Maximal gradient is markedly affected
  • 36.
    PRESSURE HALF TIME T1/2 is time interval in msecs between max mitral gradient in early diastole and time point where gradient is half max gradient  Or it is the time when velocity falls to 1/1.414 peak  PHT related to decceleration time  PHT =.29x DT  MVA=220/PHT
  • 37.
     The empiricallydetermined constant of 220 is proportional to the product of net compliance of left atrium and LV, and the square root of maximum transmitral gradient in a model that does not take into account active relaxation of LV
  • 39.
     Obtained bytracing deceleration slope of E wave on Doppler spectral display  Concave not feasible  If slope is bimodal deceleration slope in mid diastole rather than early diastole is traced
  • 41.
    AF avoid shortcycles and average different cardiac cycles
  • 42.
     Less dependenton COP or coexistent MR  Useful when mean transmitral gradient is misleading  MR -transmitral gradient overesimated  Low COP –mean transmitral gradient - underestimated
  • 43.
  • 44.
    Factors that mayaffect PHT by influencing LA pressure decline More rapid LA pressure decline shorten PHT LA draining to second chamber –ASD  LA pressure drop rapidly  PHT shortened Stiff LA –low LA compliance  LA pressure drop rapidly  PHT shortened
  • 45.
    Factors affect PHTby influencing LV pressure rise More rapid LV pressure rise shorten PHT If LV fills from a second source PHT –AR  LV pressure rise more rapidly  PHT will be shortened If LV is stiff-low ventricular compliance  LV pressure may rise more rapidly  PHT will be shortened
  • 46.
     All factorsaffect PHT (ASD, AR, low LA or LV compliance )  shorten PHT  Leads to overestimation of MVA  Therefore PHT never under estimate MVA  Therefore if PHT >220 MS is severe  If PHT is < 220 consider other methods to assess severity
  • 47.
     Prosthetic MVA Not been validated  Affected mainly by DD  More accurate method is continuity equation
  • 48.
    Not reliable After BMV Normally LA and LV compliance counteract each other  when gradient and compliance are subject to important and abrupt changes alter relation between PHT and MVA  Upto 48 hrs post BMV
  • 49.
  • 50.
     MVA XVTI mitral= LVOT area X VTI aortic  MVA = LVOT area X VTI aortic VTI mitral  MVA= p D2 X VTI aortic 4 VTI mitral  D is diameter of LVOT in CM and VTI in CM  SV can be estimated from PA  Method not useful in AF,AR or MR  Useful in degenerative calcific MS
  • 51.
    PISA  Based onhemispherical shape of convergence of diastolic mitral flow on atrial side of mitral valve and flow acceleration blood towards mitral valve
  • 52.
    MVA x MV= PISA x AV MVA = PISA x AV MV PISA = 2pr2 x a 180 MVA = 2pr2 x AV x a MV 180
  • 53.
     Zoom onthe flow convergence  Upshift the baseline velocity and use an aliasing velocity of 20–30 cm/s  Measure the radius of the flow convergence region and the transmitral velocity at the same time in early diastole  Measure the α angle formed by the mitral leaflets  Use of a fixed angle value of 100° can provide an accurate MVA estimation in patients with MS.
  • 55.
     Can beused in presence of significant MR, AR, differing heart rhythms  Not affected by LA,LV compliance  Multiple measurements required  M mode improves accuracy
  • 56.
    Colour M-mode PISA Instantaneous measurement of MVA throughout diastole  Under guidance of magnified 2D colour imaging, colour M-mode tracings were recorded by placing the M-mode cursor line through the centre of the flow convergence.  Diastole was divided into four phases of equal duration: early, mid, mid-late, and late diastole.  Peak radius of flow convergence was measured during each phase to calculate mitral flow rate
  • 58.
     Each radiuswas measured from the red–blue aliasing level to the tip of the leaflet at the orifice  Colour M-mode analysis was then paired with continuous wave Doppler  Three to five measurements of each variable (on matched cycle for colour M-mode and Doppler methods) were averaged, depending on the patient's rhythm.  MVA was then calculated separately for each phase of diastole
  • 59.
    MITRAL VALVE RESISTANCE MVR=Mean mitral gradient/ transmitral diastolic flow rate  Transmitral diastolic flow rate= SV/DFP  It correlate well with pulmonary artery pressure
  • 60.
    PASP  CWD  Estimationof the systolic gradient between RV and RA  Multiple acoustic windows to optimize intercept angle  Estimation of RAP according to IVC diameter
  • 61.
    STRESS ECHOCARDIOGRAPHY  Usefulto unmask symptoms in patients with MVA<1.5cm2 and no or doubtful complaints  Discrepancy between resting doppler and clinical findings  Semi-supine echocardiography exercise (30 to 60 secs of leg lifts) is now preferred to post exercise echocardiography  Allows monitoring gradient and pulmonary pressure in each step of increasing workload
  • 62.
     Mean mitralgradient and PASP to be assessed during exercise  Mean gradient >15 mmhg with exercise is considered severe MS  A PASP > 60 mmHg on exercise has been proposed as an indication for BMV  Dobutamine stress echo mean gradient >18 mmhg with exercise is considered severe MS
  • 63.
    Associated lesions  Quantitationof LAE  Associated MR and its mechanism  Severity AS (underestimated)  AR- t1/2 method to assess MS is not valid  TR ,tricuspid annulus  Secondary pulmonary HTN-TR
  • 64.
    GRADING OF SEVERITYOF MS MILD MODERATE SEVERE SPECIFIC VALVE AREA(cm2) >1.5 1-1.5 <1 NONSPECIFIC MEAN GRADIENT (mmHg) <5 5-10 >10 PASP (mmHg) <30 30-50 >50
  • 67.
  • 68.
    1 Pressure halftime in MS affected by all except  A ASD  B MR  C AR  D HOCM
  • 69.
    2 In caseof a pure MS transmitral mean gradient is 14 mmhg and mitral area by planimetry is 1.1cm2 it is graded as  A severe  B moderate  C mild  D indeterminate
  • 70.
    3 Commissural fusionis not a feature of MS in  A RHD  B Calcific MS  C SLE  D Carcinoid disease
  • 71.
    4 Not includedin Wilkins score is  A commissural fusion  B restricted mobility  C leafllet thickening  D subvalvular fusion
  • 72.
    5 harmonic imaginguseful in  A 2D MVA  B PHT  C PISA  D M mode
  • 73.
    6 mitral leafletseparation index less than ----cms indicate severe MS  A 0.4  B 0.6  C 0.8  D 0.2
  • 74.
    7 continuity equationuseful in MVA calculation in  A AF  B AR  C MR  D Calcific MS
  • 75.
    8 Mean gradientgreater than ---- mmhg with exercise echocardiography is considered severe MS  A 10  B 12  C 15  D 18
  • 76.
    9 In acase of severe AR with MS mitralPHT obtained is 280 severity of MS is  A mild  B moderate  C severe  D none of the above
  • 77.
    10 Method toassess severity of MS in diastolic dysfunction is  A PHT  B PISA  C continuity equation  D mitral valve resistance
  • 78.
    1 Pressure halftime in MS affected by all except  A ASD  B MR  C AR  D HOCM
  • 79.
    2 In caseof a pure MS transmitral mean gradient is 14 mmhg and mitral area by planimetry is 1.1cm2 it is graded as  A severe  B moderate  C mild  D indeterminate
  • 80.
    3 Commissural fusionis not a feature of MS in  A RHD  B Calcific MS  C SLE  D Carcinoid disease
  • 81.
    4 Not includedin Wilkins score is  A commissural fusion  B restricted mobility  C leafllet thickening  D subvalvular fusion
  • 82.
    5 harmonic imaginguseful in  A 2D MVA  B PHT  C PISA  D M mode
  • 83.
    6 mitral leafletseparation index less than ----cms indicate severe MS  A 0.4  B 0.6  C 0.8  D 0.2
  • 84.
    7 continuity equationuseful in MVA calculation in  A AF  B AR  C MR  D Calcific MS
  • 85.
    8 Mean gradientgreater than ---- mmhg with exercise echocardiography is considered severe MS  A 10  B 12  C 15  D 18
  • 86.
    9 In acase of severe AR with MS mitralPHT obtained is 280 severity of MS is  A mild  B moderate  C severe  D none of the above
  • 87.
    10 Method toassess severity of MS in diastolic dysfunction is  A PHT  B PISA  C continuity equation  D mitral valve resistance
  • 89.
    3D echo planimetry Mitral valve area measurement using anyplane echocardiography.
  • 90.
     allows on-lineassessment of the mitral valve area.  Images are displayed as two simultaneous intersecting orthogonal long-axis scans (B-mode scans) and two perpendicular short-axis scans (C- mode scans)  These C-mode scans allow the display of short-axis views of the mitral valve from an apical transducer position
  • 92.
    9 Usual mitralvalve angle in PISA method to assess severity of MS is ----degree  A 80  B 100  C 150  D 180