DIVERTICULAR DISEASE
Dr Doha Rasheedy Ali
Assistant Professor of Geriatrics and
Gerontology
Faculty of Medicine- Ain Shams University
Diverticulosis
• Diverticula are acquired herniations of the colonic
mucosa and submucosa through the muscularis
propria.(psuedo/ false diverticulae)
• Uninflamed and non-bleeding diverticula are
asymptomatic.
• They occur most commonly in the sigmoid colon and
can vary in size and number, although typically they
are between 5 and 10 mm in diameter.
• Diverticulosis refers to the presence of diverticula in
an individual who is asymptomatic, whereas
diverticular disease refers to the presence of
diverticula associated with symptoms, which occurs
in 20% of individuals with diverticula.
Epidemiology
• Affects 5% to 10% of the population older than
45 years, and 80% of those older than 85 years.
• Approximately 20% of patients with diverticula
have an episode of symptomatic diverticulitis.
• Diverticular hemorrhage is the second most
common cause of colonic bleeding after
vascular lesions.
• Acute diverticulitis: There is a male
predominance in patients younger than 50
years of age, with equal gender distribution
after age 60 years
Saint’s triad
• Cholelithiasis, diverticulitis, and hiatal hernia
frequently occur together.
Pathophysiology
1. Site: mainly the sigmoid colon but may involve the
entire colon but never the rectum.
• Pathogenesis
A. Colonic Motility
1. Increased intraluminal pressure by segmentation
movement, push mucosa through week point were
vasa recta penetrate muscularis propria between the
taeniae coli
2. The interstitial cells of Cajal are thought to be
responsible for the generation of slow waves
myoelectrical activity increases segmentation
movement.
B. Colonic Wall Changes
– As individuals age, the tensile strength of the collagen and
muscle fibers of the colonic wall decreases due to increased
cross-linking of abnormal collagen fibers and deposition of
elastin in all layers of the colonic wall.
– Extracellular matrix degradation and remodeling is
mediated in part by matrix metalloproteinases. Activation of
matrix metalloproteinases results in the degradation of the
extracellular matrix, including collagens, noncollagenous
glycoproteins, and proteoglycans
– Patients with diverticular disease have been shown to have
an increase in collagen synthesis, an increase in tissue
inhibitors of metalloproteinases, and a decrease in the
expression of a matrix metalloproteinase subtype that is
responsible for the degradation of collagen
C. Visceral Hypersensitivity
– there is a generalized state of visceral hypersensitivity in
symptomatic diverticular disease that is similar to that
seen in irritable bowel syndrome. is not limited to areas of
the sigmoid with diverticula
D. Inflammation
– may exhibit low-grade colonic inflammation that may
resemble inflammatory bowel disease histologically.
– nonspecific mucosal inflammation, crypt abscesses, a
mononuclear cell infiltrate in the lamina propria, and
occasional submucosal inflammation or granulomas. When
these findings are present, the term segmental colitis is
applied. Possible causes include ischemia, changes in
bacterial flora, mucosal prolapse, and the presence of
intraluminal antigens.
E. Fiber
• Higher fiber in the diet leads to increased stool
bulk and decreased colonic transit times.
Individuals from countries with high-fiber diets
tend to have larger diameter colons, compared
with those from countries with low fiber intake.
Having a larger colonic diameter may impair the
segmental contractions of the colon that lead to
higher intraluminal pressures
Visceral
hypersensitivity
Colonic wall
changes
Inflammation,
low fiber
Colonic
motility:
increased
segmentation
Slow wave
myoelectrica
l activity
Etiology  fibre diet
 stool volume
 intraluminal pressure
 colonic wall tension
muscular hypertrophy,
pulsion diverticula
 tensile strength
 elasticity
 age
Quiz
Explain:
• Diverticula are not seen in the rectum while so
common in the sigmoid colon
• the early formation of diverticula in patients with
connective tissue disorders, such as Marfan
syndrome, Ehlers-Danlos syndrome, and polycystic
kidney disease
Pathogenesis of complications
1. If the neck of a diverticulum is obstructed, it may distend and lead to bacterial
overgrowth and invasion, often with perforation, which is generally walled off by the
adjacent mesocolon or appendices epiploicae.
2. Factors that favor increased colonic pressures are altered autonomic activity (seen with
decreased exercise and neostigmine), activation of opioid receptors, and decreased
mechanical stretching of the colon due to a low-fiber diet.
3. Altered microbial composition within the gut, resulting in chronic low-grade
inflammation.
4. Nonsteroidal anti-inflammatory medications (NSAIDs) have been associated with
diverticulitis and perforation. The association of NSAIDs with diverticulitis is postulated
to be related to decreased prostaglandin synthesis and direct topical mucosal damage.
prostaglandins aid in maintaining the colonic mucosal barrier by stimulating mucin and
bicarbonate secretion and increasing mucosal blood flow, In addition, NSAIDs are weak
acids that may denude epithelial cells, resulting in increased mucosal permeability,
ulceration, and the translocation of bacteria and toxins
5. a diet low in fiber; fibers protection by increasing stool weight and water content, fiber
helps reduce colonic segmentation pressures, which may protect against perforation
6. Red meat: predispose to perforation as associated with apoptosis of colonic epithelial
cells
7. Nut, corn and popcorn consumption did not increase the risk of diverticulosis or
diverticular complications
Riskofperforation
obstruction
Increased
pressure
Low fiber
Red meat
NSAIDs
Altered flora
The clinical presentation of diverticulosis
Depends on:
1. the location of the affected diverticulum,
2. The severity of the inflammatory process
3. the presence of complications
includes
• Left lower quadrant pain (70% of patients),
• Change in bowel habits(typically diarrhea)
• Nausea and vomiting
• Constipation
• Diarrhea
• Flatulence
• Bloating
• The stool may contain trace blood, but profuse bleeding is very
uncommon
The clinical presentation of Acute
diverticulitis
• Left lower quadrant pain (70% of patients), fever,
leucocytosis= diverticulitis
• can be either complicated or uncomplicated.
• results from the micro- or macroperforation of a
diverticulum, resulting in anything from
subclinical inflammation to feculent peritonitis
• Patients may also complain of nausea and
vomiting (20–62%), constipation (50%), diarrhea
(25–35%), and urinary symptoms (10–15%).
Physical findings
1. In simple diverticulitis, localized abdominal tenderness in the
area of the affected diverticula and fever
2. Left lower quadrant tenderness is most common, as most
diverticula occur in the sigmoid colon
3. Right lower quadrant tenderness, mimicking acute appendicitis,
can occur in right sided diverticulitis
4. In complicated diverticulitis with abscess formation, a tender
palpable mass
5. Elderly patients and some patients taking corticosteroids may
have unremarkable findings, even in the presence of severe
diverticulitis.
6. Diffuse tenderness suggests free perforation and peritonitis.
Abdominal distention and hypoactive bowel sounds may be
present if an ileus has developed. In cases of free perforation,
hemodynamic instability may develop, along with a rigid
abdomen.
Complicated acute diverticulitis
1. Haemorrhage:which occurs when the arteriole associated
with the diverticulum erodes
2. Perforation:
– Generalized tenderness with rebound and guarding on
abdominal examination
– The abdomen may be distended and tympanic to percussion
– Bowel sounds can be diminished or absent
3. Fistula: Colovesical and, less frequently, colovaginal and
colocutaneous fistulas may occur
– colovaginal fistulas may present with a purulent
vaginal discharge
– Colovesicular fistulas may present as urinary tract
symptoms (eg, suprapubic, flank, or costovertebral
angle tenderness)(urosepsis)
– Coloenteric (malabsorption bacterial overgrowth)
• 3. Repeated episodes of acute diverticulitis
may lead to colonic obstruction
• 4. Jaundice or hepatic abscesses suggest
pylephlebitis.
Complications
Hemorrage
Perforation.
peritonitis
fistula
Repeated
attacks
Colonic
obstruction
Hepatic
abscess
• Dysuria, urinary frequency, and urgency
reflect bladder irritation, whereas
pneumaturia, fecaluria, or recurrent urinary
tract infection suggests a colovesical fistula.
Clinical staging of acute diverticulitis
by Hinchey's classification
• Stage I: Diverticulitis with phlegmon or localized
pericolic or mesenteric abscess
• Stage II: Diverticulitis with walled off pelvic,
intraabdominal, or retroperitoneal abscess
• Stage III: Perforated diverticulitis causing
generalized purulent peritonitis
• Stage IV: Rupture of diverticula into the
peritoneal cavity with fecal contamination
causing generalized fecal peritonitis
Hinchey's classification
• Stage I diverticulitis is characterized by small
confined pericolonic abscesses,
• stage II diseaseincludes larger confined
pericolonic collections.
• Stage III involves generalized suppurative
peritonitis (perforateddiverticulitis); because the
diverticular neck isgenerally obstructed by a
fecolith, peritoneal contaminationby feces may
not occur.
• Stage IV indicates fecal peritonitis.
Diagnosis
• history and physical examination
• laboratory tests
• Computed tomography (CT) scanning of the
abdomen
• Contrast enema, using water- soluble medium
• Plain abdominal radiograph series with supine
and upright films
laboratory tests
1. The white blood cell count may show leukocytosis
and a left shift (can be normal)
2. Blood cultures should be obtained prior to the
administration of empiric parenteral antimicrobial
therapy for severe complicated cases
3. If the amylase is elevated, it is suggestive of possible
peritonitis or a perforation.
4. A pregnancy test must be performed in any female
of childbearing age with abdominal pain
In uncomplicated diverticulosis, laboratory values,
including the hematocrit, hemoglobin, and white blood
cell count, are normal and Hemoccult testing of the
stool is negative.
Plain abdominal radiographs
• are typically normal in patients with mild diverticulitis,
• but in the setting of severe disease, there may be an
ileus pattern, or, if obstruction is present, proximal
bowel dilation. A large abscess may be associated with
an air-fluid level on upright films. If there is perforation
into the retroperitoneal space, the psoas shadow may
be obliterated due to air diffusing along the psoas
muscle. Free air under the diaphragm may be seen on
upright films in the setting of intraperitoneal
perforation, especially if there is feculent peritonitis.
Air in the bowel wall
ileus Air under diaphragm
Massive retroperitoneal and peritoneal
free-air from ascending colon rupture
Notice that the kidney and psoas muscle
outlined by the free-air below.
the contour of the iliopsoas muscle
(short arrows) and the right kidney
(long arrows) extremely well, much
better than normal. They are
outlined by air that originated from
a traumatic rupture of the
duodenum.
Ultrasound
• Ultrasound is a noninvasive method with
limited utility.
• It is highly operator dependent, and in the
setting of an ileus may be limited due to
distention of the bowel by gas. It may identify
a phlegmon, abscess, or bowel wall
thickening. It can be helpful in guiding the
drainage of intra-abdominal abscesses.
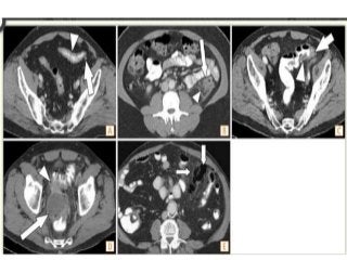
Computed tomography (CT)
• best imaging method to confirm the diagnosis
(helical CT and colonic contrast)
• Findings:
1. Pericolic fat stranding due to inflammation
2. Colonic diverticula
3. Bowel wall thickening
4. inflammatory masses
5. Phlegmon
6. Abscesses
Axial CT image demonstrates left
colonic wall thickening,
pericolonic fat stranding, fascial
thickening (arrowheads) and an
inflamed diverticulum (arrow).
Axial CT image shows an ileal
diverticulum (arrow) with
surrounding inflammation
(arrowheads). Thin arrow =
normal appendix
Axial CT image shows free
fluid (long arrow), jejunal
diverticula,thickened walls of
duodenal and jejunal loops
and mesenteric fat stranding
(both short arrows)
Investigations - CT
Air-filled diverticula
Mesenteric stranding
Ambrosetti CT criteria
• Mild diverticulitis
– Wall thickening (>5 mm)
– Pericolic fat stranding
• Severe diverticulitis
– Wall thickening (>5 mm)
– Pericolic fat stranding with
– Abscess
– Extraluminal air
– Extraluminal contrast
Contrast enema
• using water-soluble medium
• A contrast enema shows diverticula but not diverticular
inflammation. Moreover, contrast studies may cause
perforation.
• If the clinical features are highly suggestive of diverticulitis,
imaging studies are unnecessary. If the diagnosis is
uncertain or if an abscess is suspected, computed
tomography is preferred,
• If segmental spasm is present, a transient saw-tooth
pattern may be seen.
• In uncomplicated diverticulosis, there should be no
extravasation of contrast, nor should there be evidence of
fistulae, strictures, or persistent spasm, all of which suggest
diverticulitis.
• Findings on barium enema in the setting of acute
diverticulitis include;
• persistent spasm, saw-tooth pattern of the
involved segment
• , deformed diverticulum,
• sinus tract or fistula,
• extravasation of contrast,
• abscess, stricture, obstruction,
• mass effect from extraluminal compression,
• and pneumoperitoneum
• Single-contrast barium
enema study
demonstrates
diverticulitis of the
descending colon with
fistula formation in the
small bowel.
• Single-contrast barium
enema study
demonstrates sigmoid
diverticulitis with a
colovesical fistula. Note
the contrast material in
the bladder.
• Single-contrast barium
enema study
demonstrates sigmoid
diverticulitis with fistula
formation in the vagina.
Endoscopy
• Diverticulosis is frequently discovered during
colonoscopy as an incidental finding
• Flexible sigmoidoscopy is necessary only if
carcinoma or colitis is a concern
• Colonoscopy is relatively contraindicated in
patients in whom acute diverticulitis is
suspected, due to an increased risk of colonic
perforation.
• patients who have not previously had a
colonoscopy should have one to exclude an
underlying malignancy or other disorder, with
a waiting period of 6–8 weeks following
resolution of the episode of diverticulitis. If an
endoscopy is to be performed in order to
differentiate between acute diverticulitis and
cancer or colitis prior to surgery, it should only
be attempted by an experienced endoscopist,
with minimal insufflation.
Differential Diagnosis uncomplicated
diverticulosis
• nonspecific symptoms of uncomplicated
diverticulosis are also seen in irritable bowel
syndrome. The fact that both disorders are
common, and can coexist, makes
differentiation even more difficult. Irritable
bowel syndrome frequently causes diffuse
abdominal pain; thus, pain localized to the left
lower quadrant in the setting of demonstrated
diverticula supports a diagnosis of
uncomplicated diverticulosis
Differential Diagnosis diverticulitis
• Other pelvic infections, such as appendicitis
and pelvic inflammatory disease, can also
mimic diverticulosis. Other causes of lower
abdominal pain that need to be considered
are infectious colitis, inflammatory bowel
disease, ischemic colitis, colorectal cancer,
and endometriosis.
TREATMENT
uncomplicated diverticular disease
• Therapies used to treat uncomplicated
diverticular disease include:
• fiber-rich diets
• nonabsorbable antibiotics
• Mesalazine
• probiotics, and prebiotics.
• Contrary to popular teaching, there is no strong
evidence that seeds, nuts, or popcorn lead to an
increase in the frequency of complications from
diverticulosis.
Fiber
• Fiber is slowly or completely fermented by gut
microflora, resulting in the production of short
chain fatty acids and gas. This in turn results in
shortened gut transit time, which reduces
intracolonic pressure and helps with constipation.
• The recommended daily fiber intake for adults is
20–35 g/day,
• increasing dietary fiber, often with fiber
supplements, is currently the mainstay of treating
uncomplicated diverticular disease.
Nonabsorbable Antibiotics
• Rifaximin is a broad-spectrum antibiotic that acts by
binding to the -subunit of bacterial DNA-dependent
RNA polymerase. Eighty to 90% of rifaximin remains
within the gut.
• Although the exact mechanism is unknown, rifaximin
has been shown in a few studies to improve the
symptoms of uncomplicated diverticular disease.
• Symptom improvement may be due to the ability of
rifaximin to influence the metabolic activity of gut flora
that degrade dietary fiber and produce gas. The drug
may also influence the gut flora responsible for
chronic, low-grade mucosal inflammation.
Mesalazine
• an anti-inflammatory drug that acts topically
on the gut mucosa and is typically used in the
treatment of inflammatory bowel disease.
Because some of the symptoms of diverticular
disease may be related to chronic mucosal
inflammation, mesalazine may have a role in
the treatment of patients with symptoms
related to diverticular disease.
Probiotics and Prebiotics
• Probiotics contain microorganisms with beneficial properties,
and the goal in using them is to alter the gut's microflora to
reestablish the normal bacterial flora. Bifidobacteria and
Lactobacilli are used most frequently. Some preparations also
contain other bacteria and nonbacterial organisms, such as
Escherichia coli and Saccharomyces boulardii.
• Prebiotics are substances that promote the growth and
metabolic activity of beneficial bacteria, especially
Bifidobacteria and Lactobacilli. Prebiotics are frequently
indigestible complex carbohydrates. Bacteria ferment these
substances, leading to a more acidic luminal environment,
which suppresses the growth of harmful bacteria. Substances
that have been shown to promote the growth of
Bifidobacteria and Lactobacilli include psyllium fiber,
lactulose, fructose, oligosaccharides, germinated barley
extracts, and inulin
Treatment of diverticulitis
Hinchey’s stage I disease first attack
• outpatient regimen
• A clear liquid diet
• 7-10 days of oral broad spectrum antimicrobial therapy
• Patients can advance the diet slowly as tolerated after
clinical improvement occurs, which should be within 48-
72hours
• After the acute attack has resolved, a high fiber diet and
colonoscopy (to exclude cancer) are advisable.
• 5% to 10% of patients will have a second attack within 2
years. the response rate to therapy drops with each
subsequent attack, from 70% for the first episode, to 6% for
the third episode
• Single agent or multiple agent antibiotic regimens
for outpatient therapy are equally effective,
provided that they provide both anaerobic and
aerobic coverage:
• Ciprofloxacin and metronidazole
• Trimethoprim- sulfamethoxazole and metronidazole
• Moxifloxacin
• Amoxicillin/clavulanic acid
When to hospitalize
• Severe pain, inability to tolerate oral intake, persistent symptoms
despite adequate outpatient therapy:
• Hospitalization,
• nothing by mouth,
• broad-spectrum intravenous antibiotics.
• Avoid Morphine (Increases Intracolonic Pressure) Merperidine
better than morphine
• Computed tomography to exclude abscess or perforation.
• Consider computed tomography guided percutaneous drainage of
an abscess to control systemic sepsis,
3 weeks later
• Endoscopy to rule out cancer
4-6 weeks later
• Elective resection, if appropriate
Surgery:
• Emergency operation is
indicated for
1. Peritonitis
2. uncontrolled sepsis
3. perforation,
4. clinical deterioration.
• Indications for elective
surgery include:
1. fistula formation
2. Stricture
3. recurrent diverticulitis.
4. After two episodes
one should seriously
consider elective
resection
Choice of surgery
1. If surgical treatment can be deferred until acute
inflammation heals, then a single-stage primary
resection and reanastomosis, perhaps
laparoscopically, can be accomplished with minimal
morbidity and mortality.
2. For emergency indications, the first stage of a two-
stage procedure involves resection of the diseased
segment and creation of an end colostomy with
oversewing of the distal colonic or rectal stump
(Hartmann’s procedure). Colonic continuity may be
reestablished in a second operation.
Complicated Diverticulitis, Abscess
Hinchey Stages I (pericolic abscess) and II
(retroperitoneal or pelvic abscess)
• Pre-op CT-guided percutaneous drainage
• Elective resection, primary re-anastomosis
Hinchey Stage III (purulent peritonitis)
• Emergent Hartmann’s procedure, or
• Emergent resection, primary re-anastomosis
Hinchey Stage IV (feculent peritonitis)
• Emergent Hartmann’s procedure
Hartmann’s procedure
• Resection of the
sigmoid colon, bring up
proximal colon as on
ostomy. Leave rectal
stump.
• Sigmoid ends when
taenia converges, that’s
where you at rectum
• Indications operation for elective
• ≥ 2 acute attacks, successfully treated
medically
• one attack requiring hospitalization in patient
< 40 y.o.
• one complicated attack
• one attack in immunocompromised patient
• inability to rule out colonic carcinoma
• Prior to surgery, all patients should receive antibiotics. If possible, bowel
preparation is carried out, although in emergent situations it often is not feasible.
• An alternative to a two-stage procedure is an on-table lavage, in which the colon
is lavaged with 3–6 L of warm saline, with povidone–iodine being added to the
last liter of saline. This allows for resection of the diseased colon with a primary
anastomosis (a one-stage procedure). The infection rate associated with a one-
stage procedure following an on-table lavage is less than 20%, with an
anastomotic leakage rate of less than 6%.
• A three-stage procedure is the classic approach but is rarely used because of its
higher mortality rate (26% vs 7% for other procedures). In the first stage, the
diseased segment is drained and a proximal diverting stoma is created, but no
resection is carried out. During the second stage, the diseased colon is resected
and a primary anastomosis is created. Finally, in the third stage, the stoma is
closed. The first stage of the procedure can be carried out to stabilize a patient
who is unstable prior to transfer to a larger medical center, or when inflammation
prevents safe dissection of the ureters or iliac vessels.
• Patients requiring surgery for free perforation have a mortality rate of
30% compared with 1% for those undergoing elective surgery. Following
resolution of an initial episode of diverticulitis, up to 30% of patients
will go on to develop recurrent diverticulitis.
• Four to 30% of patients will have episodic cramps, without clinical signs
of diverticulitis, and 30–40% will be asymptomatic. Patients who have
recovered after having peritonitis may develop small bowel
obstructions due to adhesions. Patients with colovesical fistulas may
develop urosepsis, and those with coloenteric fistulas may develop
malabsorption due to bacterial overgrowth or due to short gut
syndrome (as a result of the bypassing of segments of small bowel).
Local irritation of the perineum or abdominal wall skin can be seen with
colovaginal and colocutaneous fistulas, respectively. These fistulas can
also be associated with fluid losses.
• For patients who have undergone a surgical resection, 1.0–10.4% will
develop recurrent diverticulitis, with 0–3.1% requiring an additional
resection. Twenty-seven to 33% will complain of persisting symptoms.
Emergency resection for perforation
• mortality rate of 30%
• Recurrence 30%
After resection
• Recurrence (1-10%)
• Recurrence need resection (0-3%)
• Persistent symptoms (33%)
Bleeding (lower GI)
• Massive
– Transfusions
– Angiography
– If + superselective embolization
– If - observe patient, RBC scanning. An RBC nuclear scan
is a group of tests using small amounts of radioactive
material to mark (tag) red blood cells (RBCs). The body is
then scanned to detect the location and flow of the tagged
RBC
• Moderate
– Observe patient
– Colonoscopy
Diverticulosis and diverticular disease

Diverticulosis and diverticular disease

  • 1.
    DIVERTICULAR DISEASE Dr DohaRasheedy Ali Assistant Professor of Geriatrics and Gerontology Faculty of Medicine- Ain Shams University
  • 2.
    Diverticulosis • Diverticula areacquired herniations of the colonic mucosa and submucosa through the muscularis propria.(psuedo/ false diverticulae) • Uninflamed and non-bleeding diverticula are asymptomatic. • They occur most commonly in the sigmoid colon and can vary in size and number, although typically they are between 5 and 10 mm in diameter. • Diverticulosis refers to the presence of diverticula in an individual who is asymptomatic, whereas diverticular disease refers to the presence of diverticula associated with symptoms, which occurs in 20% of individuals with diverticula.
  • 4.
    Epidemiology • Affects 5%to 10% of the population older than 45 years, and 80% of those older than 85 years. • Approximately 20% of patients with diverticula have an episode of symptomatic diverticulitis. • Diverticular hemorrhage is the second most common cause of colonic bleeding after vascular lesions. • Acute diverticulitis: There is a male predominance in patients younger than 50 years of age, with equal gender distribution after age 60 years
  • 5.
    Saint’s triad • Cholelithiasis,diverticulitis, and hiatal hernia frequently occur together.
  • 6.
    Pathophysiology 1. Site: mainlythe sigmoid colon but may involve the entire colon but never the rectum. • Pathogenesis A. Colonic Motility 1. Increased intraluminal pressure by segmentation movement, push mucosa through week point were vasa recta penetrate muscularis propria between the taeniae coli 2. The interstitial cells of Cajal are thought to be responsible for the generation of slow waves myoelectrical activity increases segmentation movement.
  • 7.
    B. Colonic WallChanges – As individuals age, the tensile strength of the collagen and muscle fibers of the colonic wall decreases due to increased cross-linking of abnormal collagen fibers and deposition of elastin in all layers of the colonic wall. – Extracellular matrix degradation and remodeling is mediated in part by matrix metalloproteinases. Activation of matrix metalloproteinases results in the degradation of the extracellular matrix, including collagens, noncollagenous glycoproteins, and proteoglycans – Patients with diverticular disease have been shown to have an increase in collagen synthesis, an increase in tissue inhibitors of metalloproteinases, and a decrease in the expression of a matrix metalloproteinase subtype that is responsible for the degradation of collagen
  • 8.
    C. Visceral Hypersensitivity –there is a generalized state of visceral hypersensitivity in symptomatic diverticular disease that is similar to that seen in irritable bowel syndrome. is not limited to areas of the sigmoid with diverticula D. Inflammation – may exhibit low-grade colonic inflammation that may resemble inflammatory bowel disease histologically. – nonspecific mucosal inflammation, crypt abscesses, a mononuclear cell infiltrate in the lamina propria, and occasional submucosal inflammation or granulomas. When these findings are present, the term segmental colitis is applied. Possible causes include ischemia, changes in bacterial flora, mucosal prolapse, and the presence of intraluminal antigens.
  • 9.
    E. Fiber • Higherfiber in the diet leads to increased stool bulk and decreased colonic transit times. Individuals from countries with high-fiber diets tend to have larger diameter colons, compared with those from countries with low fiber intake. Having a larger colonic diameter may impair the segmental contractions of the colon that lead to higher intraluminal pressures
  • 10.
  • 11.
    Etiology  fibrediet  stool volume  intraluminal pressure  colonic wall tension muscular hypertrophy, pulsion diverticula  tensile strength  elasticity  age
  • 12.
    Quiz Explain: • Diverticula arenot seen in the rectum while so common in the sigmoid colon • the early formation of diverticula in patients with connective tissue disorders, such as Marfan syndrome, Ehlers-Danlos syndrome, and polycystic kidney disease
  • 13.
    Pathogenesis of complications 1.If the neck of a diverticulum is obstructed, it may distend and lead to bacterial overgrowth and invasion, often with perforation, which is generally walled off by the adjacent mesocolon or appendices epiploicae. 2. Factors that favor increased colonic pressures are altered autonomic activity (seen with decreased exercise and neostigmine), activation of opioid receptors, and decreased mechanical stretching of the colon due to a low-fiber diet. 3. Altered microbial composition within the gut, resulting in chronic low-grade inflammation. 4. Nonsteroidal anti-inflammatory medications (NSAIDs) have been associated with diverticulitis and perforation. The association of NSAIDs with diverticulitis is postulated to be related to decreased prostaglandin synthesis and direct topical mucosal damage. prostaglandins aid in maintaining the colonic mucosal barrier by stimulating mucin and bicarbonate secretion and increasing mucosal blood flow, In addition, NSAIDs are weak acids that may denude epithelial cells, resulting in increased mucosal permeability, ulceration, and the translocation of bacteria and toxins 5. a diet low in fiber; fibers protection by increasing stool weight and water content, fiber helps reduce colonic segmentation pressures, which may protect against perforation 6. Red meat: predispose to perforation as associated with apoptosis of colonic epithelial cells 7. Nut, corn and popcorn consumption did not increase the risk of diverticulosis or diverticular complications
  • 14.
  • 15.
    The clinical presentationof diverticulosis Depends on: 1. the location of the affected diverticulum, 2. The severity of the inflammatory process 3. the presence of complications includes • Left lower quadrant pain (70% of patients), • Change in bowel habits(typically diarrhea) • Nausea and vomiting • Constipation • Diarrhea • Flatulence • Bloating • The stool may contain trace blood, but profuse bleeding is very uncommon
  • 16.
    The clinical presentationof Acute diverticulitis • Left lower quadrant pain (70% of patients), fever, leucocytosis= diverticulitis • can be either complicated or uncomplicated. • results from the micro- or macroperforation of a diverticulum, resulting in anything from subclinical inflammation to feculent peritonitis • Patients may also complain of nausea and vomiting (20–62%), constipation (50%), diarrhea (25–35%), and urinary symptoms (10–15%).
  • 17.
    Physical findings 1. Insimple diverticulitis, localized abdominal tenderness in the area of the affected diverticula and fever 2. Left lower quadrant tenderness is most common, as most diverticula occur in the sigmoid colon 3. Right lower quadrant tenderness, mimicking acute appendicitis, can occur in right sided diverticulitis 4. In complicated diverticulitis with abscess formation, a tender palpable mass 5. Elderly patients and some patients taking corticosteroids may have unremarkable findings, even in the presence of severe diverticulitis. 6. Diffuse tenderness suggests free perforation and peritonitis. Abdominal distention and hypoactive bowel sounds may be present if an ileus has developed. In cases of free perforation, hemodynamic instability may develop, along with a rigid abdomen.
  • 18.
    Complicated acute diverticulitis 1.Haemorrhage:which occurs when the arteriole associated with the diverticulum erodes 2. Perforation: – Generalized tenderness with rebound and guarding on abdominal examination – The abdomen may be distended and tympanic to percussion – Bowel sounds can be diminished or absent 3. Fistula: Colovesical and, less frequently, colovaginal and colocutaneous fistulas may occur – colovaginal fistulas may present with a purulent vaginal discharge – Colovesicular fistulas may present as urinary tract symptoms (eg, suprapubic, flank, or costovertebral angle tenderness)(urosepsis) – Coloenteric (malabsorption bacterial overgrowth)
  • 19.
    • 3. Repeatedepisodes of acute diverticulitis may lead to colonic obstruction • 4. Jaundice or hepatic abscesses suggest pylephlebitis.
  • 20.
  • 21.
    • Dysuria, urinaryfrequency, and urgency reflect bladder irritation, whereas pneumaturia, fecaluria, or recurrent urinary tract infection suggests a colovesical fistula.
  • 22.
    Clinical staging ofacute diverticulitis by Hinchey's classification • Stage I: Diverticulitis with phlegmon or localized pericolic or mesenteric abscess • Stage II: Diverticulitis with walled off pelvic, intraabdominal, or retroperitoneal abscess • Stage III: Perforated diverticulitis causing generalized purulent peritonitis • Stage IV: Rupture of diverticula into the peritoneal cavity with fecal contamination causing generalized fecal peritonitis
  • 24.
    Hinchey's classification • StageI diverticulitis is characterized by small confined pericolonic abscesses, • stage II diseaseincludes larger confined pericolonic collections. • Stage III involves generalized suppurative peritonitis (perforateddiverticulitis); because the diverticular neck isgenerally obstructed by a fecolith, peritoneal contaminationby feces may not occur. • Stage IV indicates fecal peritonitis.
  • 27.
    Diagnosis • history andphysical examination • laboratory tests • Computed tomography (CT) scanning of the abdomen • Contrast enema, using water- soluble medium • Plain abdominal radiograph series with supine and upright films
  • 28.
    laboratory tests 1. Thewhite blood cell count may show leukocytosis and a left shift (can be normal) 2. Blood cultures should be obtained prior to the administration of empiric parenteral antimicrobial therapy for severe complicated cases 3. If the amylase is elevated, it is suggestive of possible peritonitis or a perforation. 4. A pregnancy test must be performed in any female of childbearing age with abdominal pain In uncomplicated diverticulosis, laboratory values, including the hematocrit, hemoglobin, and white blood cell count, are normal and Hemoccult testing of the stool is negative.
  • 29.
    Plain abdominal radiographs •are typically normal in patients with mild diverticulitis, • but in the setting of severe disease, there may be an ileus pattern, or, if obstruction is present, proximal bowel dilation. A large abscess may be associated with an air-fluid level on upright films. If there is perforation into the retroperitoneal space, the psoas shadow may be obliterated due to air diffusing along the psoas muscle. Free air under the diaphragm may be seen on upright films in the setting of intraperitoneal perforation, especially if there is feculent peritonitis.
  • 30.
    Air in thebowel wall
  • 31.
    ileus Air underdiaphragm
  • 32.
    Massive retroperitoneal andperitoneal free-air from ascending colon rupture Notice that the kidney and psoas muscle outlined by the free-air below. the contour of the iliopsoas muscle (short arrows) and the right kidney (long arrows) extremely well, much better than normal. They are outlined by air that originated from a traumatic rupture of the duodenum.
  • 33.
    Ultrasound • Ultrasound isa noninvasive method with limited utility. • It is highly operator dependent, and in the setting of an ileus may be limited due to distention of the bowel by gas. It may identify a phlegmon, abscess, or bowel wall thickening. It can be helpful in guiding the drainage of intra-abdominal abscesses.
  • 34.
    Computed tomography (CT) •best imaging method to confirm the diagnosis (helical CT and colonic contrast) • Findings: 1. Pericolic fat stranding due to inflammation 2. Colonic diverticula 3. Bowel wall thickening 4. inflammatory masses 5. Phlegmon 6. Abscesses
  • 35.
    Axial CT imagedemonstrates left colonic wall thickening, pericolonic fat stranding, fascial thickening (arrowheads) and an inflamed diverticulum (arrow). Axial CT image shows an ileal diverticulum (arrow) with surrounding inflammation (arrowheads). Thin arrow = normal appendix
  • 36.
    Axial CT imageshows free fluid (long arrow), jejunal diverticula,thickened walls of duodenal and jejunal loops and mesenteric fat stranding (both short arrows)
  • 37.
    Investigations - CT Air-filleddiverticula Mesenteric stranding
  • 38.
    Ambrosetti CT criteria •Mild diverticulitis – Wall thickening (>5 mm) – Pericolic fat stranding • Severe diverticulitis – Wall thickening (>5 mm) – Pericolic fat stranding with – Abscess – Extraluminal air – Extraluminal contrast
  • 39.
    Contrast enema • usingwater-soluble medium
  • 41.
    • A contrastenema shows diverticula but not diverticular inflammation. Moreover, contrast studies may cause perforation. • If the clinical features are highly suggestive of diverticulitis, imaging studies are unnecessary. If the diagnosis is uncertain or if an abscess is suspected, computed tomography is preferred, • If segmental spasm is present, a transient saw-tooth pattern may be seen. • In uncomplicated diverticulosis, there should be no extravasation of contrast, nor should there be evidence of fistulae, strictures, or persistent spasm, all of which suggest diverticulitis.
  • 42.
    • Findings onbarium enema in the setting of acute diverticulitis include; • persistent spasm, saw-tooth pattern of the involved segment • , deformed diverticulum, • sinus tract or fistula, • extravasation of contrast, • abscess, stricture, obstruction, • mass effect from extraluminal compression, • and pneumoperitoneum
  • 45.
    • Single-contrast barium enemastudy demonstrates diverticulitis of the descending colon with fistula formation in the small bowel.
  • 46.
    • Single-contrast barium enemastudy demonstrates sigmoid diverticulitis with a colovesical fistula. Note the contrast material in the bladder.
  • 47.
    • Single-contrast barium enemastudy demonstrates sigmoid diverticulitis with fistula formation in the vagina.
  • 48.
    Endoscopy • Diverticulosis isfrequently discovered during colonoscopy as an incidental finding • Flexible sigmoidoscopy is necessary only if carcinoma or colitis is a concern • Colonoscopy is relatively contraindicated in patients in whom acute diverticulitis is suspected, due to an increased risk of colonic perforation.
  • 49.
    • patients whohave not previously had a colonoscopy should have one to exclude an underlying malignancy or other disorder, with a waiting period of 6–8 weeks following resolution of the episode of diverticulitis. If an endoscopy is to be performed in order to differentiate between acute diverticulitis and cancer or colitis prior to surgery, it should only be attempted by an experienced endoscopist, with minimal insufflation.
  • 51.
    Differential Diagnosis uncomplicated diverticulosis •nonspecific symptoms of uncomplicated diverticulosis are also seen in irritable bowel syndrome. The fact that both disorders are common, and can coexist, makes differentiation even more difficult. Irritable bowel syndrome frequently causes diffuse abdominal pain; thus, pain localized to the left lower quadrant in the setting of demonstrated diverticula supports a diagnosis of uncomplicated diverticulosis
  • 52.
    Differential Diagnosis diverticulitis •Other pelvic infections, such as appendicitis and pelvic inflammatory disease, can also mimic diverticulosis. Other causes of lower abdominal pain that need to be considered are infectious colitis, inflammatory bowel disease, ischemic colitis, colorectal cancer, and endometriosis.
  • 53.
  • 54.
    uncomplicated diverticular disease •Therapies used to treat uncomplicated diverticular disease include: • fiber-rich diets • nonabsorbable antibiotics • Mesalazine • probiotics, and prebiotics. • Contrary to popular teaching, there is no strong evidence that seeds, nuts, or popcorn lead to an increase in the frequency of complications from diverticulosis.
  • 55.
    Fiber • Fiber isslowly or completely fermented by gut microflora, resulting in the production of short chain fatty acids and gas. This in turn results in shortened gut transit time, which reduces intracolonic pressure and helps with constipation. • The recommended daily fiber intake for adults is 20–35 g/day, • increasing dietary fiber, often with fiber supplements, is currently the mainstay of treating uncomplicated diverticular disease.
  • 56.
    Nonabsorbable Antibiotics • Rifaximinis a broad-spectrum antibiotic that acts by binding to the -subunit of bacterial DNA-dependent RNA polymerase. Eighty to 90% of rifaximin remains within the gut. • Although the exact mechanism is unknown, rifaximin has been shown in a few studies to improve the symptoms of uncomplicated diverticular disease. • Symptom improvement may be due to the ability of rifaximin to influence the metabolic activity of gut flora that degrade dietary fiber and produce gas. The drug may also influence the gut flora responsible for chronic, low-grade mucosal inflammation.
  • 57.
    Mesalazine • an anti-inflammatorydrug that acts topically on the gut mucosa and is typically used in the treatment of inflammatory bowel disease. Because some of the symptoms of diverticular disease may be related to chronic mucosal inflammation, mesalazine may have a role in the treatment of patients with symptoms related to diverticular disease.
  • 58.
    Probiotics and Prebiotics •Probiotics contain microorganisms with beneficial properties, and the goal in using them is to alter the gut's microflora to reestablish the normal bacterial flora. Bifidobacteria and Lactobacilli are used most frequently. Some preparations also contain other bacteria and nonbacterial organisms, such as Escherichia coli and Saccharomyces boulardii. • Prebiotics are substances that promote the growth and metabolic activity of beneficial bacteria, especially Bifidobacteria and Lactobacilli. Prebiotics are frequently indigestible complex carbohydrates. Bacteria ferment these substances, leading to a more acidic luminal environment, which suppresses the growth of harmful bacteria. Substances that have been shown to promote the growth of Bifidobacteria and Lactobacilli include psyllium fiber, lactulose, fructose, oligosaccharides, germinated barley extracts, and inulin
  • 59.
  • 60.
    Hinchey’s stage Idisease first attack • outpatient regimen • A clear liquid diet • 7-10 days of oral broad spectrum antimicrobial therapy • Patients can advance the diet slowly as tolerated after clinical improvement occurs, which should be within 48- 72hours • After the acute attack has resolved, a high fiber diet and colonoscopy (to exclude cancer) are advisable. • 5% to 10% of patients will have a second attack within 2 years. the response rate to therapy drops with each subsequent attack, from 70% for the first episode, to 6% for the third episode
  • 61.
    • Single agentor multiple agent antibiotic regimens for outpatient therapy are equally effective, provided that they provide both anaerobic and aerobic coverage: • Ciprofloxacin and metronidazole • Trimethoprim- sulfamethoxazole and metronidazole • Moxifloxacin • Amoxicillin/clavulanic acid
  • 62.
    When to hospitalize •Severe pain, inability to tolerate oral intake, persistent symptoms despite adequate outpatient therapy: • Hospitalization, • nothing by mouth, • broad-spectrum intravenous antibiotics. • Avoid Morphine (Increases Intracolonic Pressure) Merperidine better than morphine • Computed tomography to exclude abscess or perforation. • Consider computed tomography guided percutaneous drainage of an abscess to control systemic sepsis, 3 weeks later • Endoscopy to rule out cancer 4-6 weeks later • Elective resection, if appropriate
  • 63.
    Surgery: • Emergency operationis indicated for 1. Peritonitis 2. uncontrolled sepsis 3. perforation, 4. clinical deterioration. • Indications for elective surgery include: 1. fistula formation 2. Stricture 3. recurrent diverticulitis. 4. After two episodes one should seriously consider elective resection
  • 64.
    Choice of surgery 1.If surgical treatment can be deferred until acute inflammation heals, then a single-stage primary resection and reanastomosis, perhaps laparoscopically, can be accomplished with minimal morbidity and mortality. 2. For emergency indications, the first stage of a two- stage procedure involves resection of the diseased segment and creation of an end colostomy with oversewing of the distal colonic or rectal stump (Hartmann’s procedure). Colonic continuity may be reestablished in a second operation.
  • 65.
    Complicated Diverticulitis, Abscess HincheyStages I (pericolic abscess) and II (retroperitoneal or pelvic abscess) • Pre-op CT-guided percutaneous drainage • Elective resection, primary re-anastomosis Hinchey Stage III (purulent peritonitis) • Emergent Hartmann’s procedure, or • Emergent resection, primary re-anastomosis Hinchey Stage IV (feculent peritonitis) • Emergent Hartmann’s procedure
  • 66.
    Hartmann’s procedure • Resectionof the sigmoid colon, bring up proximal colon as on ostomy. Leave rectal stump. • Sigmoid ends when taenia converges, that’s where you at rectum
  • 67.
    • Indications operationfor elective • ≥ 2 acute attacks, successfully treated medically • one attack requiring hospitalization in patient < 40 y.o. • one complicated attack • one attack in immunocompromised patient • inability to rule out colonic carcinoma
  • 68.
    • Prior tosurgery, all patients should receive antibiotics. If possible, bowel preparation is carried out, although in emergent situations it often is not feasible. • An alternative to a two-stage procedure is an on-table lavage, in which the colon is lavaged with 3–6 L of warm saline, with povidone–iodine being added to the last liter of saline. This allows for resection of the diseased colon with a primary anastomosis (a one-stage procedure). The infection rate associated with a one- stage procedure following an on-table lavage is less than 20%, with an anastomotic leakage rate of less than 6%. • A three-stage procedure is the classic approach but is rarely used because of its higher mortality rate (26% vs 7% for other procedures). In the first stage, the diseased segment is drained and a proximal diverting stoma is created, but no resection is carried out. During the second stage, the diseased colon is resected and a primary anastomosis is created. Finally, in the third stage, the stoma is closed. The first stage of the procedure can be carried out to stabilize a patient who is unstable prior to transfer to a larger medical center, or when inflammation prevents safe dissection of the ureters or iliac vessels.
  • 69.
    • Patients requiringsurgery for free perforation have a mortality rate of 30% compared with 1% for those undergoing elective surgery. Following resolution of an initial episode of diverticulitis, up to 30% of patients will go on to develop recurrent diverticulitis. • Four to 30% of patients will have episodic cramps, without clinical signs of diverticulitis, and 30–40% will be asymptomatic. Patients who have recovered after having peritonitis may develop small bowel obstructions due to adhesions. Patients with colovesical fistulas may develop urosepsis, and those with coloenteric fistulas may develop malabsorption due to bacterial overgrowth or due to short gut syndrome (as a result of the bypassing of segments of small bowel). Local irritation of the perineum or abdominal wall skin can be seen with colovaginal and colocutaneous fistulas, respectively. These fistulas can also be associated with fluid losses. • For patients who have undergone a surgical resection, 1.0–10.4% will develop recurrent diverticulitis, with 0–3.1% requiring an additional resection. Twenty-seven to 33% will complain of persisting symptoms.
  • 70.
    Emergency resection forperforation • mortality rate of 30% • Recurrence 30%
  • 71.
    After resection • Recurrence(1-10%) • Recurrence need resection (0-3%) • Persistent symptoms (33%)
  • 73.
    Bleeding (lower GI) •Massive – Transfusions – Angiography – If + superselective embolization – If - observe patient, RBC scanning. An RBC nuclear scan is a group of tests using small amounts of radioactive material to mark (tag) red blood cells (RBCs). The body is then scanned to detect the location and flow of the tagged RBC • Moderate – Observe patient – Colonoscopy

Editor's Notes

  • #5 The pain may worsen after eating and in some is relieved with the passage of stool or flatus
  • #7 Pathogenesis Colonic Motility Segmentation within the colon is thought to play an important role in the development of diverticula. Segmentation refers to the process by which a short segment of the circular muscle of the colon contracts in a nonpropulsive manner. This produces a closed segment of colon with increased intraluminal pressure, and likely serves to increase water and electrolyte absorption from the colon. These elevated intraluminal pressures may ultimately result in herniation of the mucosa and submucosa at sites of weakness (namely, where the vasa recta penetrate the muscularis propria between the taeniae coli), resulting in the formation of diverticula. Diverticula are not seen in the rectum because the taeniae coalesce at the rectum to form the circumferential longitudinal muscle layer. The law of Laplace (transmural pressure gradient equals the wall tension divided by the radius, P = T/r) may help to explain why diverticula are so common in the sigmoid colon. Compared with the remainder of the colon, the sigmoid has a smaller radius. Because the transmural pressure gradient is inversely proportional to the bowel radius, it will be highest at the level of the sigmoid, potentially favoring the formation of diverticula in this region. Additionally, myochosis (thickening of the circular muscle layer, shortening of the taeniae coli, and narrowing of the lumen) is seen in most patients with sigmoid diverticula. These changes result from increased deposition of collagen and elastin within the taeniae, and not from hypertrophy or hyperplasia of the bowel wall. In addition to increasing intraluminal pressure by narrowing the lumen, these changes may also decrease the resistance of the colon wall (see below). Alterations in myoelectrical activity may also contribute to the development of diverticulosis. The interstitial cells of Cajal are thought to be responsible for the generation of slow waves. Extracellular electrodes show that these slow waves correspond to muscle contractions within the colon. Some studies have shown increased slow-wave activity in patients with diverticulosis, which could result in increased segmental contractions. However, one study found that there were significantly reduced numbers of interstitial cells of Cajal in patients with diverticulosis, possibly leading to delayed transit. Colonic Wall Changes As individuals age, the tensile strength of the collagen and muscle fibers of the colonic wall decreases due to increased cross-linking of abnormal collagen fibers and deposition of elastin in all layers of the colonic wall. The colonic wall may be weakened by the breakdown and damage of mature collagen, as well as by the synthesis of immature collagen. This may also contribute to the creation of more distensible muscle fibers. The importance of structural changes in the colonic wall is suggested by the early formation of diverticula in patients with connective tissue disorders, such as Marfan syndrome, Ehlers-Danlos syndrome, and polycystic kidney disease. Collagen fibers vary in conformation throughout the colon. With increasing age, the collagen fibrils in the left colon become smaller and more tightly packed compared with those in the right, changes that are accentuated in diverticular disease. This may explain why colonic compliance is lower in the sigmoid colon and descending colon compared with the transverse and ascending colon, and may also explain why diverticular disease is more common in the left colon. Extracellular matrix degradation and remodeling is mediated in part by matrix metalloproteinases. Activation of matrix metalloproteinases results in the degradation of the extracellular matrix, including collagens, noncollagenous glycoproteins, and proteoglycans. Tissue inhibitors of metalloproteinases serve as local regulators by blocking the effects of matrix metalloproteinases. Patients with diverticular disease have been shown to have an increase in collagen synthesis, an increase in tissue inhibitors of metalloproteinases, and a decrease in the expression of a matrix metalloproteinase subtype that is responsible for the degradation of collagen. These changes may contribute to the changes in the structure of the colonic wall seen in patients with diverticulosis. Visceral Hypersensitivity Patients who have symptoms from uncomplicated diverticular disease resemble patients with irritable bowel syndrome. In both groups, visceral hypersensitivity has been demonstrated in response to rectosigmoid distention. Patients with asymptomatic diverticulosis, however, do not demonstrate increased pain perception with rectal distention. The visceral hypersensitivity seen in patients with symptomatic diverticular disease is not limited to areas of the sigmoid with diverticula and is not associated with altered colonic wall compliance. This suggests that there is a generalized state of visceral hypersensitivity in symptomatic diverticular disease that is similar to that seen in irritable bowel syndrome. Inflammation Patients with diverticulosis may exhibit low-grade colonic inflammation that may resemble inflammatory bowel disease histologically. Histologic findings include nonspecific mucosal inflammation, crypt abscesses, a mononuclear cell infiltrate in the lamina propria, and occasional submucosal inflammation or granulomas. When these findings are present, the term segmental colitis is applied. Possible causes include ischemia, changes in bacterial flora, mucosal prolapse, and the presence of intraluminal antigens. Segmental colitis is found in 0.25–1.5% of colonoscopies. In a study looking at 47 patients with symptomatic diverticular disease who underwent sigmoid resection, 76% showed histologic evidence of acute or chronic mucosal inflammation (13% had evidence of acute diverticulitis on endoscopy). There was no correlation, however, of the pathologic findings with the type or duration of symptoms. Fiber The role of fiber in the development of diverticulosis was first suggested by epidemiologic evidence. Diverticula rarely develop in rural Asia or Africa (prevalence of <0.2%), where diets are high in fiber. However, in areas that have developed economically and have adopted Western dietary habits, diverticula become more prevalent. In addition, populations that have moved from rural to urban environments show an increased prevalence of diverticulosis. Higher fiber in the diet leads to increased stool bulk and decreased colonic transit times. Individuals from countries with high-fiber diets tend to have larger diameter colons, compared with those from countries with low fiber intake. Having a larger colonic diameter may impair the segmental contractions of the colon that lead to higher intraluminal pressures
  • #14 48% of patients with complicated diverticular disease (fistula, extracolonic abscess, purulent peritonitis, feculent peritonitis, septicemia, portal pyemia) had used NSAIDs, compared with 20% of patients with uncomplicated diverticular disease
  • #16 Patients do not demonstrate abnormal vital signs, such as tachycardia or fever in uncomplicated diverticulosis. With palpation of the left lower quadrant, mild tenderness and voluntary guarding may be present.
  • #17 The patient's presentation is associated with the stage of disease. The pain is typically localized in patients with Hinchey stage I and II disease, as the inflammation is confined to the pericolic tissue. Although typically in the left lower quadrant, in patients with a large sigmoid loop or with right-sided diverticulitis, it may extend to the mid or right abdomen. In stage II, patients have developed pelvic, intra-abdominal, or retroperitoneal abscesses. These patients often complain of anorexia, nausea, and vomiting. This is especially common if the abscess is large. Urinary symptoms (urgency, frequency) can result if the abscess is near the bladder. An area of localized tenderness with swelling and erythema of the abdominal wall suggests an underlying abscess progressing to form a colocutaneous fistula. Patients with stage III and IV disease have symptoms of generalized peritonitis, including severe, diffuse abdominal pain. Patients may be reluctant to move. It is common for an ileus to develop, resulting in bloating, nausea, and vomiting. In stage IV disease, because free perforation has occurred, the onset of the pain is often acute and severe. It is important to remember that patients who are immunosuppressed (eg, the elderly, those with cancer, HIV infection, or who have received an organ transplant) are much more likely to have an atypical presentation. On examination, tenderness is usually present in the left lower quadrant, with a tender mass being present in 20%. Tenderness in the right lower quadrant can result from either a large sigmoid loop or from right-sided diverticulitis. A low-grade or high-grade fever is common. Diffuse tenderness suggests free perforation and peritonitis. Abdominal distention and hypoactive bowel sounds may be present if an ileus has developed. In cases of free perforation, hemodynamic instability may develop, along with a rigid abdomen.
  • #25 Stage I, small confined abscess; stage II, large confined abscess; stage III, suppurative peritonitis; stage IV, fecal peritonitis
  • #74  Embolization successobserve patient FAILS: treat surgically. Diverticulosis- asympetmatic, bleed, infected