By professor Youssri Gaweesh
Professor of colorectal surgery
Faculty of Medicine
Alexandria University
Complications
 Technical
 Surgeon factors
 Judgment
 Technique
 Stoma type
 Post operative care
 Physiological
 Electrolyte
abnormalities
 Fluid balance
 Nutritional deficiencies
 Cholelithiasis
 Psychosocial issues
Early complications
 Stoma not working
 Ileus
 Small bowel obstruction
 Obstruction at abdominal wall
 Maturation of the wrong
stoma (sigmoid and ileum)
 Retraction
 Stomal necrosis due to vascular
compromise
 Muco-cutaneous separation
 Retraction
 Later stomal stenosis and
stricture
 Acute parastomal hernia with
signs of strangulation
 Working too much
 High output
 Leaking with peristomal
skin irritation
 Poor siting
 Non nippled ileostomy
 Muco-cutaneous
separation
 Wound infection
 Peristomal abscess and
fistula
 Necrotizing fascitis
Intermediate or late complications
 Stenosis
 Prolapse
 Parastomal herniation
 Peristomal varices in patients with portal hypertension
Overall Morbidity
 Widely varies
 21-70% (most 30-50%)
 Observer dependent
 Stoma type plays a huge role
 Likely underestimated by most studies
Vascular compromise
 In obese individuals, exteriorizing an ileostomy with an
adequate blood supply can be quite challenging.
 The thickened, foreshortened mesentery often does not
have enough length to reach the surface of the
thickened abdominal wall easily, especially when
attempting to create a loop ileostomy.
 In these instances, an end-loop configuration may
allow the bowel to more easily reach the abdominal
surface
Vascular compromise
 When assessing the vascular integrity of a congested
stoma postoperatively, transillumination with a
flashlight will demonstrate viability. A flashlight
placed in direct contact with a viable stoma will still
transilluminate bright red, even in the face of venous
congestion.
 Failure to transilluminate the surface of the stoma or
nonviable appearing mucosa beneath the surface
generally indicates that the stoma requires revision.
Vascular compromise
 If there is a question regarding viability below the
stomal surface, a well-lubricated blood collection tube
can be carefully passed into the stoma, below the
fascia if possible. When a light is shone into the tube,
viable mucosa will have a healthy, bright-red
appearance.
 Darker hues or frank infarction require revision if the
compromise extends below the skin level.
Compromise below the fascia requires relaparotomy.
 Questionable stomas can also be evaluated with a
pediatric proctoscope or flexible endoscope
Retraction
 Retraction of a stoma in the immediate postsurgical
period is usually a result of tension on the bowel or its
mesentery due to inadequate mobilization.
 Also, in patients who are malnourished, obese, or on
corticosteroid therapy, the stoma may retract due to
poor wound healing and gravity.
Retraction
 Mild distal stomal ischemia or stomal necrosis that is
managed expectantly may eventually result in
retraction with or without stenosis.
 Complete acute retraction with mucocutaneous
separation can result in subcutaneous or subfascial
contamination, peritonitis, and sepsis. In this case,
immediate laparotomy and revision is advised.
Retraction
 More commonly, retraction is seen without complete
mucocutaneous separation.
 The most significant problem in this instance is
obtaining a secure seal between the stoma appliance
and the abdominal wall, leading to fecal leakage and
significant peristomal skin irritation.
 The majority of these stomas with significant
retraction eventually require revision.
Retraction
 The approach to a retracted stoma is similar to distal
ischemia.
 If the mucosa is viable and there is no undue tension,
local revision can often be performed by detaching the
mucocutaneous junction, advancing the bowel and
excising devitalized tissue, and resecuring viable
mucosa to the skin using Brooke-type sutures.
 If this is not technically feasible, laparotomy and
complete revision is required.
PERISTOMAL SKIN IRRITATION
 In most instances, peristomal skin irritation is a direct
result of
 (1) chemical dermatitis due to exposure to the stoma
effluent due to leakage, and
 (2) desquamation of peristomal skin resulting from
frequent appliance changes. Often, appliance leakage
and local skin irritation result in the need for more
frequent appliance changes, starting a vicious cycle.
PERISTOMAL SKIN IRRITATION
 Additionally, allergic reactions due to sensitivity to
skin barriers, adhesives, and tapes are fairly common.
 Fungal irritation from Candida albicans colonization
of the peristomal skin also is commonly seen.
Antifungal powders may help alleviate this.
PERISTOMAL INFECTION, ABSCESS, AND FISTULA
FORMATION
 In the early postoperative period, parastomal
infections and abscesses are relatively uncommon,
with a reported incidence of 2 to 14.8%.
 Peristomal abscesses in the immediate postoperative
period are most commonly seen in the setting of stoma
revision or reconstruction of a stoma at the same site,
mainly due to preoperative colonization of the
peristomal skin and perioperative seeding of the
surgical site.
PERISTOMAL INFECTION, ABSCESS,
AND FISTULA FORMATION
 They may also be seen due to an infected hematoma or
an infected suture granuloma.
 In a patient with Crohn's disease, a peristomal fistula
in conjunction with an ileostomy is almost invariably
the result of recurrent Crohn's disease
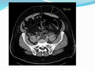
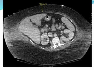
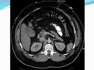
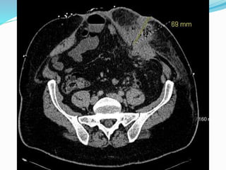
Parastomal hernia (PSH)
 Definition
 Incisional hernia related to an abdominal wall stoma
 Varies in different studies
 Palpable defect or bulge adjacent to a stoma
 Cough impulse at ostomy site
 Radiologic definition-any intra-abdominal content
protruding along an ostomy
 Sometimes confused with prolapse
PHS subtypes
 Subcutaneous-subcutaneous sac
 Interstitial-sac within the muscular or
aponeuroticlayers of the abdomen
 Perstomal-the sac is circumferential enclosing the
stoma
 Intrastomal-in ileostomies, sac between the
intestinal wall and evertedintestinal layer
NB there may be a diffuse type of hernia due to stretch
and paralysis of abdominal muscles with the stoma on
the summit of this bulge.
INCIDENCE
 Believed to be between 30-50%
 50% occur within 2 years
 Incidence with ileostomy (0.8-10%)Several studies
failed to show any difference between ileostomies and
colostomies
Parastomal hernia
 Incidence is unknown
due to underreporting
and difficult dx.
 Estimated to be between
20-80%
 More frequent with
colostomy than
ileostomy
 Cingi et al
 23 patients
 Patient examination
(PE) detected PSH in
52%
 CT detected total of
78%
Parastomal Hernia
 Early
 Presents with acute
pain, mass, obstruction
 < 30 days from stoma
 Technical failure
 Too large of an aperture
in fascia
 Late
 Inevitable?
 Presents with slow
growing mass,
abnormal contour of
tissues around stoma
 Consequence of
increasing
intraabdominal tension
 “There’s already a hole
there, Doctor.”
R. Schwartz 2008
PSH risk factors
 Patient
 Waist circumference over
100cm
 Smoking
 Age
 Malnutrition
 Technical aspects
 Rectus/oblique?
 Preop Siting
 Aperture size > 2-3 fingers
(cm?)
 Emergent?
 Disease processes
 Obesity
 Diabetes
 IBD
 COPD
 Intraabdominal
hypertension
 Postop Sepsis
 Perioperative steroid use
 Malignancy
 Ascites
TECHNICAL CONSIDERATIONS IN
STOMA FORMATION
 Extraperitoneal vs intrapertioneal(9% vs17%)
 Transrectal vs lateral to the rectus (3% vs22%)
 Size of the trephine: 2.5cm usually
 Todd and Celestine-2cm for ileostomies and 1.5cm
for colostomies with a later retraction of 0.5cm
SYMPTOMS
 Asymptomatic +++
 Parastomal discomfort with intermittent obstructive
episodes
 Stoma appliance issues with leak and skin irritation
 Obstruction/strangulation
 10-20% have symptoms severe enough to require
surgical repair
SURGICAL MANAGEMENT
 Local aponeurotic repair with or without mesh
 Relocation of the stoma
 Open repair with mesh
 Laparoscopic repair
Primary Repair
 Just sew the hole around
the stoma
 High recurrence rate
historically 50-100%
 Add mesh?
 Still doesn’t work 50-
88% recurrence
SURGICAL MANAGEMENT
 LOCAL REPAIR
 Aponeurotic repair-primary closure of the defect-
recurrence 50-76% (up to 100%)
 Onlay mesh repair-involves applying a non
resorbable mesh on top of the primary repair and
fixing it to the fascia-recurrence 9-10% (small
studies without long follow up)
 Sublay mesh repair-the mesh is placed in the
properitoneal space after plication of the sac
SURGICAL MANAGEMENT
Different possible
locations for mesh
placement in
parastomal hernia
repair
LOCAL REPAIR
SURGICAL MANAGEMENT
 RELOCATION
 Risk of recurrence at least as high as the primary
site
 Recurrence rates as high as 24-86%
 Higher if relocated on the same side
 The primary site should be treated as an
incisional hernia and repaired with mesh
placement-recurrence rate 26-48%
Re-Siting of Stoma
 Traditional boards answer for symptomatic PSH
 Has expected high recurrence rate
 Baig et al. 4/27 recurrences at 56 months
 3/16 with laparotomy
 1/11 without laparotomy
 Historically has rates up to 50-68% (essentially the
same as hernia rate for each new stoma)
Don’t do this
SURGICAL MANAGEMENT
 OPEN MESH REPAIR
 IPOM (Intraperitoneal Onlay Mesh) vs Sublay
 Keyhole technique vs Sugarbaker technique
(bowel entering lateral to the mesh)
Surgical management
 OPEN MESH REPAIR-
 IPOM ePTFE-most commonly used
 2 layers
 Inner non reactive layer for bowel contact
 Prone to infection
 Keyhole technique-risk of Button hole hernia with
shrinkage and contamination
 Sugarbaker Technique-risk of erosion of the bowel
where it passes under the mesh
 Recurrence 0-15%
Sugarbaker technique
Surgical management
 OPEN MESH REPAIR-
 SUBLAY Proposed as the most advantageous
technique for mesh repair of PSH
 Low weight polypropelene meshes are used
 Have better resistance to infection than PTFE
 Placed away from bowel
 Recurrence rates from pooled studies 7%
Surgical management
 LAPAROSCOPIC APPROACH
 Done in a way similar to open IPOM
 Keyhole technique or Sugarbaker
 technique
 Recurrence rates vary between4-44%
 Higher risk of bowel injury 22%
 Higher risk of mesh infection (4% in one study)
Surgical management
 LAPROSCOPIC APPROACH:
 TECHNICAL TIPS
 Fashion the mesh before insertion in the abdomen
with a circular defect and a slit
 If the mesh is cut in a linear fashion the slit
will enlarge with intraabdominal pressure
 A good way to reduce recurrence may be to
place 2 pieces of mesh one on top of the
other
Laparoscopic techniques
 Lap vs Open
 McLemore – 49 pt with PSH
 Laparoscopic vs Open suture repair
 No significant difference in morbidity or short term outcomes
 Pastor – 25 pts
 4/12 laparoscopic had recurrence
 7/13 open had recurrence
Laparoscopic Keyhole vs
Sugarbaker
Muysoms, et. al.
Keyhole – recurrence 72.7%
Sugarbaker – recurrence 14.2%
Mancini, et al
Retrospective review of 25 pts with Sugarbaker
technique
1 recurrence at 30 months. (4%)
5 cm
Surgical management
 BIOPROSTHETICS
 Studies reporting the use of bioprosthetics for treatment of
parastomal hernias are scant, low powered and have a short
F/U
 Most advantages are extrapolated from the use of bioprosthetics
in incisional hernias
 Most studies seem to show a low incidence of complications and
an equivalent incidence of recurrence as synthetics
 BIOPROSTHETICS Recurrence rates vary between 9-27%
depending on the studies and the type of mesh used
(human dermis vs porcine small bowel submucosa)
An ounce of
prevention is worth
450 pounds of cure
Stomal Reinforcement
Prevention of PSH
 Metaanalysis of 3
randomized trials of mesh
vs no mesh
 12.3% vs 54.7%
 No increased morbidity
 Serra-Aracil et al
 5 year data
 Mesh - 14.8% hernia rate
 No mesh – 40.7% hernia
rate
 5 prospective observational
studies
 All show reduction in
herniation rate, no change
in morbidity
 Long term data
forthcoming
 Planned end
colostomies/ileostomies
Sublay
Sublay
Intra peritoneal
Prevention
Prevention
 Janeset al. randomized 54 patients to stoma
creation with sublay mesh vs no mesh with a
mean F/U of 24 months
 1 hernia occurred in the mesh group vs13 in the
non mesh group
 There was no complications
 Retrospective studies were also in favor of prophylactic
mesh placement
Prevention
 CONCLUSION
 Placement of mesh at the primary operation is
safe
 Reduces the occurrence of parastomal hernia
 Prophylactic meshes were also placed in contaminated
cases without infection
 More randomized studies needed
Conclusions
 Very common condition
 Only a small proportion will require surgical
therapy
 The high recurrence rates underline the fact that
there is no perfect operation for this condition
 Promising results with laparoscopy and
bioprosthetics
 Prophylactic mesh placement seems to be the
way to go
The Difficult Stoma in the Operating Room.
A Difficult Situation
 65 year old man
 350 lbs
 Diabetic with CHF
 Perforated diverticulitis
 5 laparotomies
 Septic with peritonitis
Get the idea?
The Difficult Stoma
 Inflamed, thickened, foreshortened mesentery
 Prior operations
 Inflammatory changes
 Obesity
 Thick abdominal wall
 Poor tissue quality
 Distended colon
 Epiploic appendages
Obesity and Stoma Creation
 Increased depth of skin creases causes pouching
difficulties, even in properly constructed, well located
ostomies
 Difficult to identify the rectus muscles preoperatively
 Obese patients cannot see their lower abdomen
 Thicker abdominal wall adipose tissue requires
increased amount of length of mobilization
Skin
Fascia
9 cm
9cm + 2cm = 11cm of Sigmoid Colon
9cm + 6cm = 15cm of Terminal ileum
BMI
48.7
Tips for success
 Avoid a Stoma if at all
possible
 Excise all inflamed
Sigmoid colon
 Segment used for stoma
must be free of
inflammation
Difficult End Colostomy
 Take down Left lateral
peritoneal reflection
fully
 Transect medial
peritoneal attachments
to left mesocolon.
Mobilize Splenic Flexure
Divide IMA/IMV if necessary
Must have
good pulse
in marginal
artery!
Stay
proximal to
Left colic!
Windows
 Create windows through
the peritoneum of the
left mesocolon
 Useful for providing
extra length
 Careful not to
devascularize colostomy!
“Bigger Hole!”
 Expand fascial aperture or skin edges
 Remove subcutaneous tissues
“Smaller Colon!”
• Remove excess fatty tissues – epiploic appendages
• Trim mesentery – leave 1 cm of mesentery on distal
bowel to preserve marginal artery
• Decompress distended bowel
PseudoLoop
 Herbert, et al -
maturation of
antimesenteric border of
colon
 No Brooking, often ends
up skin level, or
retracted
 Emergencies only, only
when no other stoma
will reach
“Better to create an ugly stoma
in a good location than a pretty
stoma in an ugly location.”
--Peter Cataldo
Thinner wall?
 Abdominal wall modification
 Lipectomy
 Meguid (1997) described technique of excision of
subcutaneous fat to reduce abdominal wall thickness
 Leave convex contour to abdominal wall – can lead to
pouching issues
 Liposuction
 Margulies elucidated technique of peristomal suction
lipectomy for removal of excess fat during stomal revision
SubQ plane
#1 Nylons
SubQ drain
Thinner Wall?
 Flaps
 Good for Retraction and pyoderma/skin ulcerations in
Obese people.
 Functionally Better than Lipectomy because of
restoration of flat abdominal wall, but have risk of
potential flap necrosis
 Not described for initial placement of ostomy
Decrease the friction
 Stuff bowel into 1 inch Penrose drain and slide
through trephine
 Sleeve of Sterile Glove (size 5 ½)
 Alexis wound retractor
Penrose Pass
 Mavroidis (1996)
 Passage of bowel into
large penrose drain
(1 inch)
 Passage of drain through
stoma aperture eased by
bowel compression and
decreased “catchin’.”
 Difficult to pass bowel
into drain
“Glove Cuff” Technique
 Horwood, et al. 2009
Alexis Wound retractor method
 Described by Meagher, et al 2009
 Stomal aperture created in usual fashion
 Small (2.5-6cm) Alexis inserted and wound retracted
 Colon passed through wound retractor
 Inner (green) ring divided and plastic sheath cut off
 Plastic slides out, Colon left in perfect position
Alexis Wound Retractor
(Anecdotal) Benefits
 “Noticeably” Smaller size of aperture
 Less tissue damage/bruising
 F/U < 14 months, but no retractions nor parastomal
hernia
 Abdominal wall 7-8 cm
Go North
 In obese patients Supraumbilical placement of stomas
is desirable
 Improved Pouching
 Decreased skin irritation
 Thinner abdominal wall
above umbilicus
 Patients can see it
Stoma Formation
 Is life altering for
patients
 Is not a benign
procedure
 Is associated with a high
rate of early and late
technical complications
 May require Operative
imagination
Remember
Preoperative planning, operative technique,
postoperative education are of vital importance
Make every stoma as though it were going to be
permanent
Park, et al. Cook County
 Retrospective analysis of 1616 pts (20 years)
 Data compiled by EST
 553/1616 complications (448 early/105 late)
 Early complications (28%)
 Skin irritation 12%
 Pain/poor location 7%
 Partial necrosis 5%
Park, et al. Cook County
 Late complications (6%)
 Skin irritation 6%
 Prolapse 2%
 Stenosis 2%
 Parastomal hernia not mentioned
 Trauma/colorectal had lowest complication rate
 No difference in emergent vs elective
Park, et al. Cook County
 Highest complication rate loop ileostomy (74%)
 Lowest complication rate transverse end colostomy
(5.8%)
Duchesne, et al -- LSU
 Case control study
 204 patients in 3 years had ostomies created
 Records available for 164
 Complications in 41/164 (25%)
Duchesne, et al.
Duchesne, et al.
 Risk factors evaluation
 Not relevant:
 Gender
 Penetrating/blunt
trauma
 Cancer
 Diverticulitis
 Ostomy quadrant
 Emergent operation
Significant Risk factors
Enterostomal nurse affords protective effect
Saha, et al.
 One of the first series of Colostomy complications
 Reviewed experience in 200 Patients with
colostomy
 21/200 with complications (11%)

Complications of stomas

  • 1.
    By professor YoussriGaweesh Professor of colorectal surgery Faculty of Medicine Alexandria University
  • 2.
    Complications  Technical  Surgeonfactors  Judgment  Technique  Stoma type  Post operative care  Physiological  Electrolyte abnormalities  Fluid balance  Nutritional deficiencies  Cholelithiasis  Psychosocial issues
  • 3.
    Early complications  Stomanot working  Ileus  Small bowel obstruction  Obstruction at abdominal wall  Maturation of the wrong stoma (sigmoid and ileum)  Retraction  Stomal necrosis due to vascular compromise  Muco-cutaneous separation  Retraction  Later stomal stenosis and stricture  Acute parastomal hernia with signs of strangulation  Working too much  High output  Leaking with peristomal skin irritation  Poor siting  Non nippled ileostomy  Muco-cutaneous separation  Wound infection  Peristomal abscess and fistula  Necrotizing fascitis
  • 4.
    Intermediate or latecomplications  Stenosis  Prolapse  Parastomal herniation  Peristomal varices in patients with portal hypertension
  • 5.
    Overall Morbidity  Widelyvaries  21-70% (most 30-50%)  Observer dependent  Stoma type plays a huge role  Likely underestimated by most studies
  • 6.
    Vascular compromise  Inobese individuals, exteriorizing an ileostomy with an adequate blood supply can be quite challenging.  The thickened, foreshortened mesentery often does not have enough length to reach the surface of the thickened abdominal wall easily, especially when attempting to create a loop ileostomy.  In these instances, an end-loop configuration may allow the bowel to more easily reach the abdominal surface
  • 7.
    Vascular compromise  Whenassessing the vascular integrity of a congested stoma postoperatively, transillumination with a flashlight will demonstrate viability. A flashlight placed in direct contact with a viable stoma will still transilluminate bright red, even in the face of venous congestion.  Failure to transilluminate the surface of the stoma or nonviable appearing mucosa beneath the surface generally indicates that the stoma requires revision.
  • 8.
    Vascular compromise  Ifthere is a question regarding viability below the stomal surface, a well-lubricated blood collection tube can be carefully passed into the stoma, below the fascia if possible. When a light is shone into the tube, viable mucosa will have a healthy, bright-red appearance.  Darker hues or frank infarction require revision if the compromise extends below the skin level. Compromise below the fascia requires relaparotomy.  Questionable stomas can also be evaluated with a pediatric proctoscope or flexible endoscope
  • 9.
    Retraction  Retraction ofa stoma in the immediate postsurgical period is usually a result of tension on the bowel or its mesentery due to inadequate mobilization.  Also, in patients who are malnourished, obese, or on corticosteroid therapy, the stoma may retract due to poor wound healing and gravity.
  • 10.
    Retraction  Mild distalstomal ischemia or stomal necrosis that is managed expectantly may eventually result in retraction with or without stenosis.  Complete acute retraction with mucocutaneous separation can result in subcutaneous or subfascial contamination, peritonitis, and sepsis. In this case, immediate laparotomy and revision is advised.
  • 11.
    Retraction  More commonly,retraction is seen without complete mucocutaneous separation.  The most significant problem in this instance is obtaining a secure seal between the stoma appliance and the abdominal wall, leading to fecal leakage and significant peristomal skin irritation.  The majority of these stomas with significant retraction eventually require revision.
  • 12.
    Retraction  The approachto a retracted stoma is similar to distal ischemia.  If the mucosa is viable and there is no undue tension, local revision can often be performed by detaching the mucocutaneous junction, advancing the bowel and excising devitalized tissue, and resecuring viable mucosa to the skin using Brooke-type sutures.  If this is not technically feasible, laparotomy and complete revision is required.
  • 13.
    PERISTOMAL SKIN IRRITATION In most instances, peristomal skin irritation is a direct result of  (1) chemical dermatitis due to exposure to the stoma effluent due to leakage, and  (2) desquamation of peristomal skin resulting from frequent appliance changes. Often, appliance leakage and local skin irritation result in the need for more frequent appliance changes, starting a vicious cycle.
  • 14.
    PERISTOMAL SKIN IRRITATION Additionally, allergic reactions due to sensitivity to skin barriers, adhesives, and tapes are fairly common.  Fungal irritation from Candida albicans colonization of the peristomal skin also is commonly seen. Antifungal powders may help alleviate this.
  • 15.
    PERISTOMAL INFECTION, ABSCESS,AND FISTULA FORMATION  In the early postoperative period, parastomal infections and abscesses are relatively uncommon, with a reported incidence of 2 to 14.8%.  Peristomal abscesses in the immediate postoperative period are most commonly seen in the setting of stoma revision or reconstruction of a stoma at the same site, mainly due to preoperative colonization of the peristomal skin and perioperative seeding of the surgical site.
  • 16.
    PERISTOMAL INFECTION, ABSCESS, ANDFISTULA FORMATION  They may also be seen due to an infected hematoma or an infected suture granuloma.  In a patient with Crohn's disease, a peristomal fistula in conjunction with an ileostomy is almost invariably the result of recurrent Crohn's disease
  • 17.
    Parastomal hernia (PSH) Definition  Incisional hernia related to an abdominal wall stoma  Varies in different studies  Palpable defect or bulge adjacent to a stoma  Cough impulse at ostomy site  Radiologic definition-any intra-abdominal content protruding along an ostomy  Sometimes confused with prolapse
  • 18.
    PHS subtypes  Subcutaneous-subcutaneoussac  Interstitial-sac within the muscular or aponeuroticlayers of the abdomen  Perstomal-the sac is circumferential enclosing the stoma  Intrastomal-in ileostomies, sac between the intestinal wall and evertedintestinal layer NB there may be a diffuse type of hernia due to stretch and paralysis of abdominal muscles with the stoma on the summit of this bulge.
  • 21.
    INCIDENCE  Believed tobe between 30-50%  50% occur within 2 years  Incidence with ileostomy (0.8-10%)Several studies failed to show any difference between ileostomies and colostomies
  • 22.
    Parastomal hernia  Incidenceis unknown due to underreporting and difficult dx.  Estimated to be between 20-80%  More frequent with colostomy than ileostomy  Cingi et al  23 patients  Patient examination (PE) detected PSH in 52%  CT detected total of 78%
  • 23.
    Parastomal Hernia  Early Presents with acute pain, mass, obstruction  < 30 days from stoma  Technical failure  Too large of an aperture in fascia  Late  Inevitable?  Presents with slow growing mass, abnormal contour of tissues around stoma  Consequence of increasing intraabdominal tension  “There’s already a hole there, Doctor.” R. Schwartz 2008
  • 24.
    PSH risk factors Patient  Waist circumference over 100cm  Smoking  Age  Malnutrition  Technical aspects  Rectus/oblique?  Preop Siting  Aperture size > 2-3 fingers (cm?)  Emergent?  Disease processes  Obesity  Diabetes  IBD  COPD  Intraabdominal hypertension  Postop Sepsis  Perioperative steroid use  Malignancy  Ascites
  • 25.
    TECHNICAL CONSIDERATIONS IN STOMAFORMATION  Extraperitoneal vs intrapertioneal(9% vs17%)  Transrectal vs lateral to the rectus (3% vs22%)  Size of the trephine: 2.5cm usually  Todd and Celestine-2cm for ileostomies and 1.5cm for colostomies with a later retraction of 0.5cm
  • 26.
    SYMPTOMS  Asymptomatic +++ Parastomal discomfort with intermittent obstructive episodes  Stoma appliance issues with leak and skin irritation  Obstruction/strangulation  10-20% have symptoms severe enough to require surgical repair
  • 27.
    SURGICAL MANAGEMENT  Localaponeurotic repair with or without mesh  Relocation of the stoma  Open repair with mesh  Laparoscopic repair
  • 28.
    Primary Repair  Justsew the hole around the stoma  High recurrence rate historically 50-100%  Add mesh?  Still doesn’t work 50- 88% recurrence
  • 29.
    SURGICAL MANAGEMENT  LOCALREPAIR  Aponeurotic repair-primary closure of the defect- recurrence 50-76% (up to 100%)  Onlay mesh repair-involves applying a non resorbable mesh on top of the primary repair and fixing it to the fascia-recurrence 9-10% (small studies without long follow up)  Sublay mesh repair-the mesh is placed in the properitoneal space after plication of the sac
  • 30.
    SURGICAL MANAGEMENT Different possible locationsfor mesh placement in parastomal hernia repair
  • 31.
  • 32.
    SURGICAL MANAGEMENT  RELOCATION Risk of recurrence at least as high as the primary site  Recurrence rates as high as 24-86%  Higher if relocated on the same side  The primary site should be treated as an incisional hernia and repaired with mesh placement-recurrence rate 26-48%
  • 33.
    Re-Siting of Stoma Traditional boards answer for symptomatic PSH  Has expected high recurrence rate  Baig et al. 4/27 recurrences at 56 months  3/16 with laparotomy  1/11 without laparotomy  Historically has rates up to 50-68% (essentially the same as hernia rate for each new stoma)
  • 34.
  • 35.
    SURGICAL MANAGEMENT  OPENMESH REPAIR  IPOM (Intraperitoneal Onlay Mesh) vs Sublay  Keyhole technique vs Sugarbaker technique (bowel entering lateral to the mesh)
  • 36.
    Surgical management  OPENMESH REPAIR-  IPOM ePTFE-most commonly used  2 layers  Inner non reactive layer for bowel contact  Prone to infection  Keyhole technique-risk of Button hole hernia with shrinkage and contamination  Sugarbaker Technique-risk of erosion of the bowel where it passes under the mesh  Recurrence 0-15%
  • 39.
  • 40.
    Surgical management  OPENMESH REPAIR-  SUBLAY Proposed as the most advantageous technique for mesh repair of PSH  Low weight polypropelene meshes are used  Have better resistance to infection than PTFE  Placed away from bowel  Recurrence rates from pooled studies 7%
  • 41.
    Surgical management  LAPAROSCOPICAPPROACH  Done in a way similar to open IPOM  Keyhole technique or Sugarbaker  technique  Recurrence rates vary between4-44%  Higher risk of bowel injury 22%  Higher risk of mesh infection (4% in one study)
  • 42.
    Surgical management  LAPROSCOPICAPPROACH:  TECHNICAL TIPS  Fashion the mesh before insertion in the abdomen with a circular defect and a slit  If the mesh is cut in a linear fashion the slit will enlarge with intraabdominal pressure  A good way to reduce recurrence may be to place 2 pieces of mesh one on top of the other
  • 43.
    Laparoscopic techniques  Lapvs Open  McLemore – 49 pt with PSH  Laparoscopic vs Open suture repair  No significant difference in morbidity or short term outcomes  Pastor – 25 pts  4/12 laparoscopic had recurrence  7/13 open had recurrence
  • 44.
    Laparoscopic Keyhole vs Sugarbaker Muysoms,et. al. Keyhole – recurrence 72.7% Sugarbaker – recurrence 14.2% Mancini, et al Retrospective review of 25 pts with Sugarbaker technique 1 recurrence at 30 months. (4%)
  • 45.
  • 47.
    Surgical management  BIOPROSTHETICS Studies reporting the use of bioprosthetics for treatment of parastomal hernias are scant, low powered and have a short F/U  Most advantages are extrapolated from the use of bioprosthetics in incisional hernias  Most studies seem to show a low incidence of complications and an equivalent incidence of recurrence as synthetics  BIOPROSTHETICS Recurrence rates vary between 9-27% depending on the studies and the type of mesh used (human dermis vs porcine small bowel submucosa)
  • 48.
    An ounce of preventionis worth 450 pounds of cure
  • 49.
  • 50.
    Prevention of PSH Metaanalysis of 3 randomized trials of mesh vs no mesh  12.3% vs 54.7%  No increased morbidity  Serra-Aracil et al  5 year data  Mesh - 14.8% hernia rate  No mesh – 40.7% hernia rate  5 prospective observational studies  All show reduction in herniation rate, no change in morbidity  Long term data forthcoming  Planned end colostomies/ileostomies
  • 51.
  • 52.
  • 53.
  • 54.
    Prevention  Janeset al.randomized 54 patients to stoma creation with sublay mesh vs no mesh with a mean F/U of 24 months  1 hernia occurred in the mesh group vs13 in the non mesh group  There was no complications  Retrospective studies were also in favor of prophylactic mesh placement
  • 55.
    Prevention  CONCLUSION  Placementof mesh at the primary operation is safe  Reduces the occurrence of parastomal hernia  Prophylactic meshes were also placed in contaminated cases without infection  More randomized studies needed
  • 56.
    Conclusions  Very commoncondition  Only a small proportion will require surgical therapy  The high recurrence rates underline the fact that there is no perfect operation for this condition  Promising results with laparoscopy and bioprosthetics  Prophylactic mesh placement seems to be the way to go
  • 57.
    The Difficult Stomain the Operating Room.
  • 58.
    A Difficult Situation 65 year old man  350 lbs  Diabetic with CHF  Perforated diverticulitis  5 laparotomies  Septic with peritonitis Get the idea?
  • 59.
    The Difficult Stoma Inflamed, thickened, foreshortened mesentery  Prior operations  Inflammatory changes  Obesity  Thick abdominal wall  Poor tissue quality  Distended colon  Epiploic appendages
  • 60.
    Obesity and StomaCreation  Increased depth of skin creases causes pouching difficulties, even in properly constructed, well located ostomies  Difficult to identify the rectus muscles preoperatively  Obese patients cannot see their lower abdomen  Thicker abdominal wall adipose tissue requires increased amount of length of mobilization
  • 62.
    Skin Fascia 9 cm 9cm +2cm = 11cm of Sigmoid Colon 9cm + 6cm = 15cm of Terminal ileum BMI 48.7
  • 63.
    Tips for success Avoid a Stoma if at all possible  Excise all inflamed Sigmoid colon  Segment used for stoma must be free of inflammation
  • 64.
    Difficult End Colostomy Take down Left lateral peritoneal reflection fully  Transect medial peritoneal attachments to left mesocolon.
  • 65.
  • 66.
    Divide IMA/IMV ifnecessary Must have good pulse in marginal artery! Stay proximal to Left colic!
  • 67.
    Windows  Create windowsthrough the peritoneum of the left mesocolon  Useful for providing extra length  Careful not to devascularize colostomy!
  • 68.
    “Bigger Hole!”  Expandfascial aperture or skin edges  Remove subcutaneous tissues “Smaller Colon!” • Remove excess fatty tissues – epiploic appendages • Trim mesentery – leave 1 cm of mesentery on distal bowel to preserve marginal artery • Decompress distended bowel
  • 69.
    PseudoLoop  Herbert, etal - maturation of antimesenteric border of colon  No Brooking, often ends up skin level, or retracted  Emergencies only, only when no other stoma will reach
  • 70.
    “Better to createan ugly stoma in a good location than a pretty stoma in an ugly location.” --Peter Cataldo
  • 71.
    Thinner wall?  Abdominalwall modification  Lipectomy  Meguid (1997) described technique of excision of subcutaneous fat to reduce abdominal wall thickness  Leave convex contour to abdominal wall – can lead to pouching issues  Liposuction  Margulies elucidated technique of peristomal suction lipectomy for removal of excess fat during stomal revision
  • 73.
  • 74.
  • 76.
    Thinner Wall?  Flaps Good for Retraction and pyoderma/skin ulcerations in Obese people.  Functionally Better than Lipectomy because of restoration of flat abdominal wall, but have risk of potential flap necrosis  Not described for initial placement of ostomy
  • 77.
    Decrease the friction Stuff bowel into 1 inch Penrose drain and slide through trephine  Sleeve of Sterile Glove (size 5 ½)  Alexis wound retractor
  • 78.
    Penrose Pass  Mavroidis(1996)  Passage of bowel into large penrose drain (1 inch)  Passage of drain through stoma aperture eased by bowel compression and decreased “catchin’.”  Difficult to pass bowel into drain
  • 79.
    “Glove Cuff” Technique Horwood, et al. 2009
  • 80.
    Alexis Wound retractormethod  Described by Meagher, et al 2009  Stomal aperture created in usual fashion  Small (2.5-6cm) Alexis inserted and wound retracted  Colon passed through wound retractor  Inner (green) ring divided and plastic sheath cut off  Plastic slides out, Colon left in perfect position
  • 81.
  • 82.
    (Anecdotal) Benefits  “Noticeably”Smaller size of aperture  Less tissue damage/bruising  F/U < 14 months, but no retractions nor parastomal hernia  Abdominal wall 7-8 cm
  • 83.
    Go North  Inobese patients Supraumbilical placement of stomas is desirable  Improved Pouching  Decreased skin irritation  Thinner abdominal wall above umbilicus  Patients can see it
  • 89.
    Stoma Formation  Islife altering for patients  Is not a benign procedure  Is associated with a high rate of early and late technical complications  May require Operative imagination
  • 90.
    Remember Preoperative planning, operativetechnique, postoperative education are of vital importance Make every stoma as though it were going to be permanent
  • 92.
    Park, et al.Cook County  Retrospective analysis of 1616 pts (20 years)  Data compiled by EST  553/1616 complications (448 early/105 late)  Early complications (28%)  Skin irritation 12%  Pain/poor location 7%  Partial necrosis 5%
  • 94.
    Park, et al.Cook County  Late complications (6%)  Skin irritation 6%  Prolapse 2%  Stenosis 2%  Parastomal hernia not mentioned  Trauma/colorectal had lowest complication rate  No difference in emergent vs elective
  • 96.
    Park, et al.Cook County  Highest complication rate loop ileostomy (74%)  Lowest complication rate transverse end colostomy (5.8%)
  • 98.
    Duchesne, et al-- LSU  Case control study  204 patients in 3 years had ostomies created  Records available for 164  Complications in 41/164 (25%)
  • 99.
  • 100.
    Duchesne, et al. Risk factors evaluation  Not relevant:  Gender  Penetrating/blunt trauma  Cancer  Diverticulitis  Ostomy quadrant  Emergent operation
  • 101.
    Significant Risk factors Enterostomalnurse affords protective effect
  • 103.
    Saha, et al. One of the first series of Colostomy complications  Reviewed experience in 200 Patients with colostomy  21/200 with complications (11%)