Musculoskeletal
Arthritis
Mohamed Zaitoun
Assistant Lecturer-Diagnostic Radiology
Department , Zagazig University Hospitals
Egypt
FINR (Fellowship of Interventional
Neuroradiology)-Switzerland
zaitoun82@gmail.com
Knowing as much as
possible about your enemy
precedes successful battle
and learning about the
disease process precedes
successful management
Mohamed Zaitoun
Radiology Assistant Lecturer
Zagazig University-Egypt
zaitoun82@gmail.com
Arthritis
1-General
2-Degenerative Arthritis
3-Inflammatory Arthritis
4-Metabolic Arthritis
5-Infectious Arthritis
1-General :
a) Alignment :
-Sublaxation
-Dislocation
b) Bone :
-Osteoporosis
-Erosions
-Bone production
c) Cartilage :
-Narrowing of joint space
-calcifications
d) Distribution :
-Monoarticular or polyarticular
-Proximal / distal
-Symmetry
e) Soft Tissue :
-Swelling , diffuse or focal
-Calcification
2-Degenerative Arthritis : (Osteoarthritis)
a) Incidence
b) Types
c) Radiographic Features
d) Erosive Osteoarthritis
e) Degenerative Disk Disease
f) Spondylosis Deformans
g) Diffuse Idiopathic Skeletal Hyperostosis
a) Incidence :
-The most common of the arthritides
-80 % of population > 50 years have
radiologic evidence of OA
-Typically occurs in weight-bearing joints
and the hands in a specific distribution
b) Types :
1-Primary OA :
-No underlying local etiologic factors
-Abnormally high mechanical forces on normal
joint
-Age related
2-Secondary OA :
-Underlying etiologic factors : CPPD < trauma ,
inflammatory arthritis , hemochromatosis ,
acromegaly , congenital hip dysplasia ,
osteonecrosis , loose bodies
-Normal forces on abnormal joint
c) Radiographic Features : 5 hallmarks
1-Narrowing of joint space , usually
asymmetrical
2-Subchondral sclerosis
3-Subchondral cysts (Geode) , well-defined
lytic lesion (one of the common differential
diagnoses of a lytic epiphyseal lesions)
4-Osteophytes (bone spur)
5-Lack of osteoporosis
**N.B. :
-Although joint space narrowing is present in all arthritides ,
OA can be diagnosed with confidence when subchondral
sclerosis , osteophytosis and subchondral cystic
changes are present and inflammatory erosions are
absent , when extensive subchondral cystic changes are
present , calcium pyrophosphate dihydrate crystal
deposition disease (CPPD) should be considered as well
-In shoulder OA , the Grashey view (obtained posteriorly in
40 degree obliqued external rotation) shows the
glenohumeral joint in profile and best demonstrates
cartilage space narrowing
*N.B. :
-Differential Diagnosis of epiphyseal lesions:
1-Chondroblastoma : rare epiphyseal tumor found
in young adults
2-Giant Cell Tumor (GCT) : occurs in older
childhood and adolescents in whom the
epiphyseal growth plates are close
3-Geode / intraosseous ganglion
4-Osteomyelitis
5-Chondrosarcoma
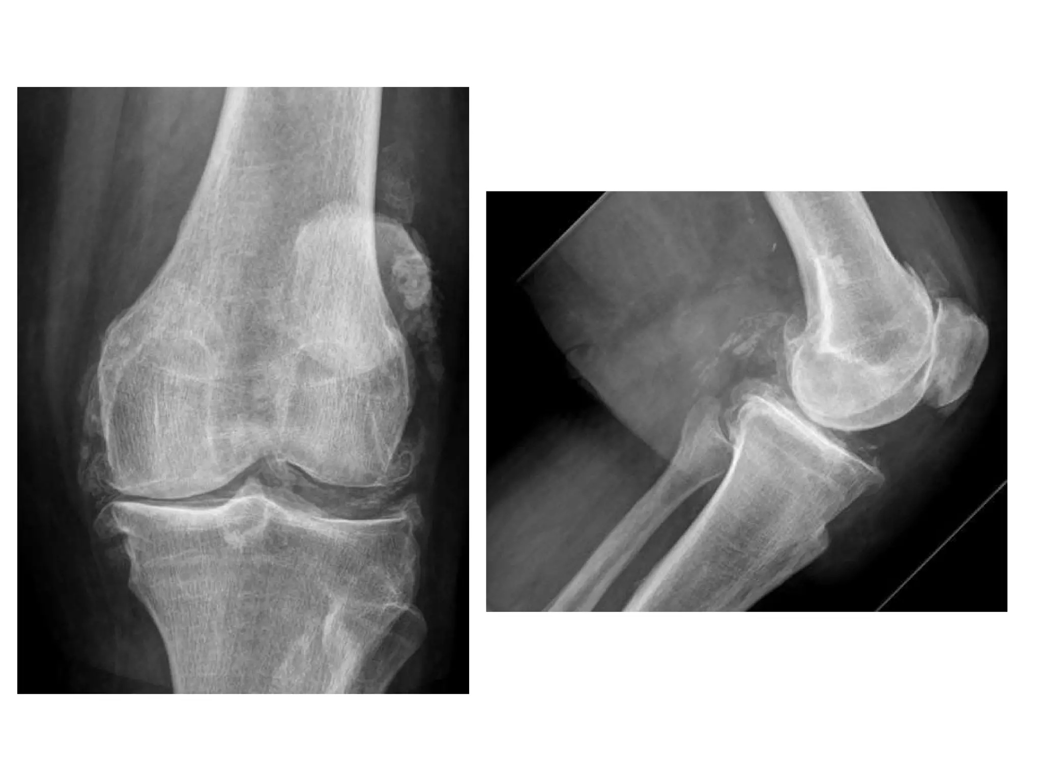
In the knees , primary OA predominately involves the medial tibiofemoral and
patellofemoral compartments , the asymmetric medial joint space loss (white
arrow) causes a varus deformity on standing radiographs , a large
osteophyte classically forms on the medial tibial articular margin (red
arrow) , subchondral sclerosis and cyst formation may also be found
Significant OA of the patellofemoral compartment , there are prominent
osteophytes (white arrows) and joint space narrowing (red arrow) , large
ossified intra-articular loose bodies are also incidentally present (blue arrow)
geode
In the hips , primary OA predominately involves narrowing of the superior aspect of the
joint , subchondral sclerosis (white arrow) , the femoral head may become flattened
(blue arrow) , Osteoarthritic pseudocysts in the acetabulum are termed Egger cysts
(red arrow)
Subchondral cyst (Geode)
OA RT Hip
Osteoarthritis of the glenohumeral joint , joint space narrowing ,
sclerosis and formation of intra-articular bodies (arrow) are seen
Severe tricompartmental osteoarthritis , joint space obliteration in the medial femoral
tibial , lateral femoral tibial and patellofemoral compartments ; varus angulation and
lateral subluxation of the tibia and osteophyte formation
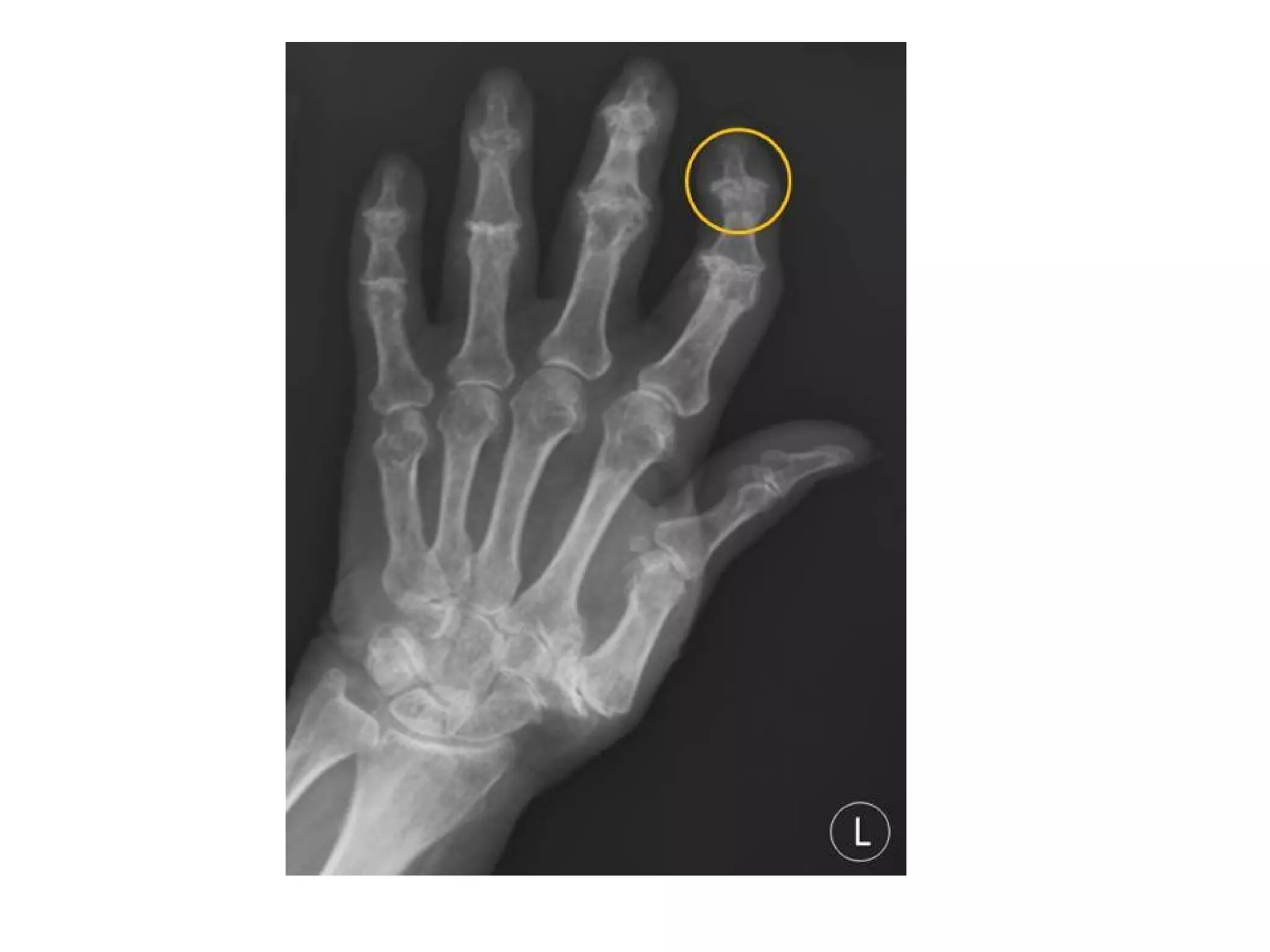
OA of the fingers involves the DIP and PIP joints , the classic findings are joint space
narrowing (white arrow) , osteophyte formation (yellow arrow) , subchondral sclerosis
(red arrow) and subchondral cyst formation (blue arrow)
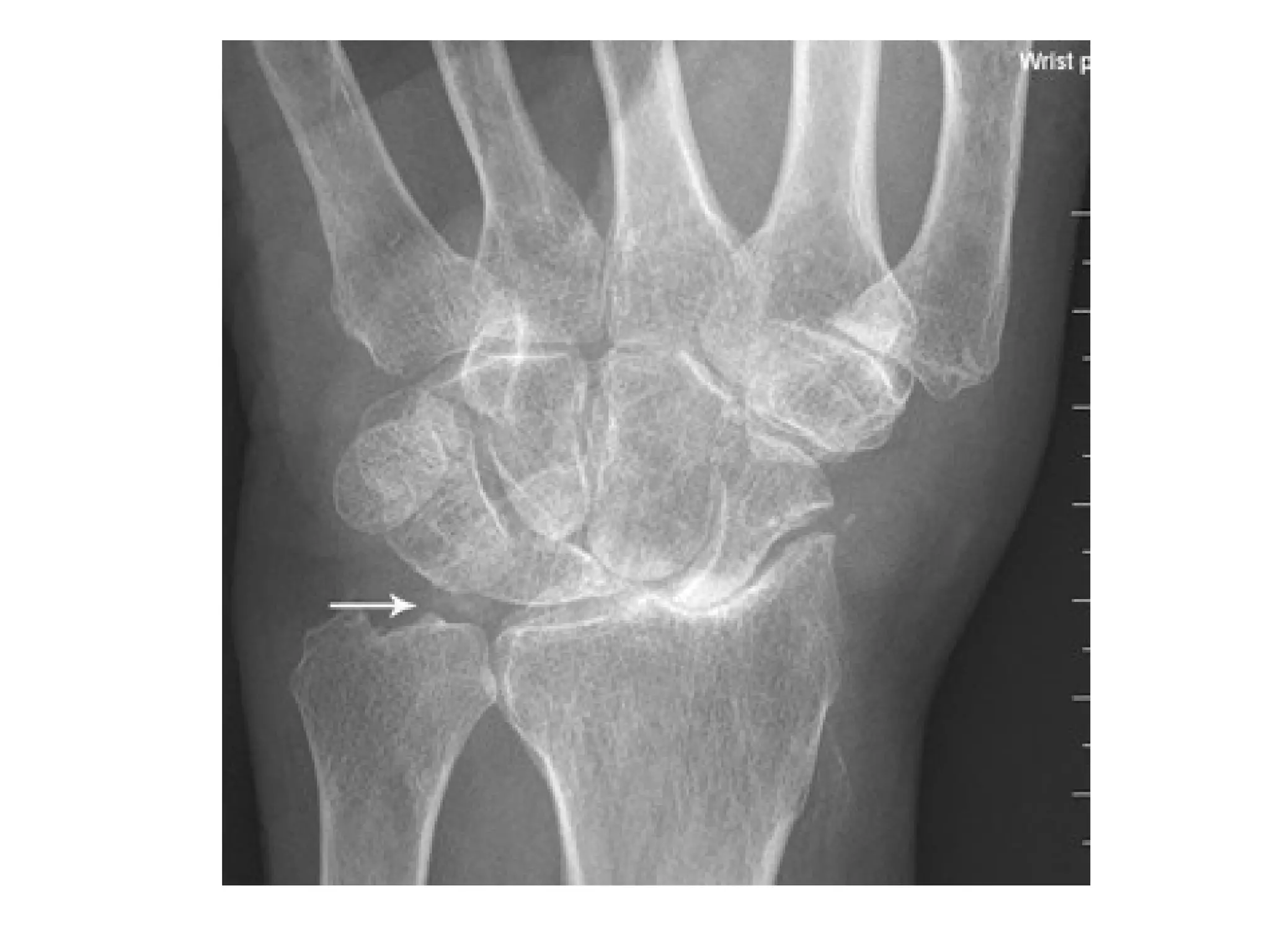
OA of the wrist with involvement of the first carpometacarpal joint
shows joint space narrowing (white arrow) and subchondral
sclerosis (red arrow)
OA of the ankle (A) , lateral view demonstrates anterior osteophyte formation (arrow) and
tibiotalar joint space narrowing , (B) , an anteroposterior radiograph of the ankle
delineates joint space narrowing , sclerosis , fragmentation and osteophytosisv
Osteoarthritis of the first metatarsophalangeal joint , hallux rigidus , (A) , frontal
and (B) ,oblique radiographs reveal considerable joint space narrowing , sclerosis
and osteophytosis about the first metatarsophalangeal articulation
Valgus angulation of both the right and left knees with severe bilateral lateral
compartment osteoarthritis
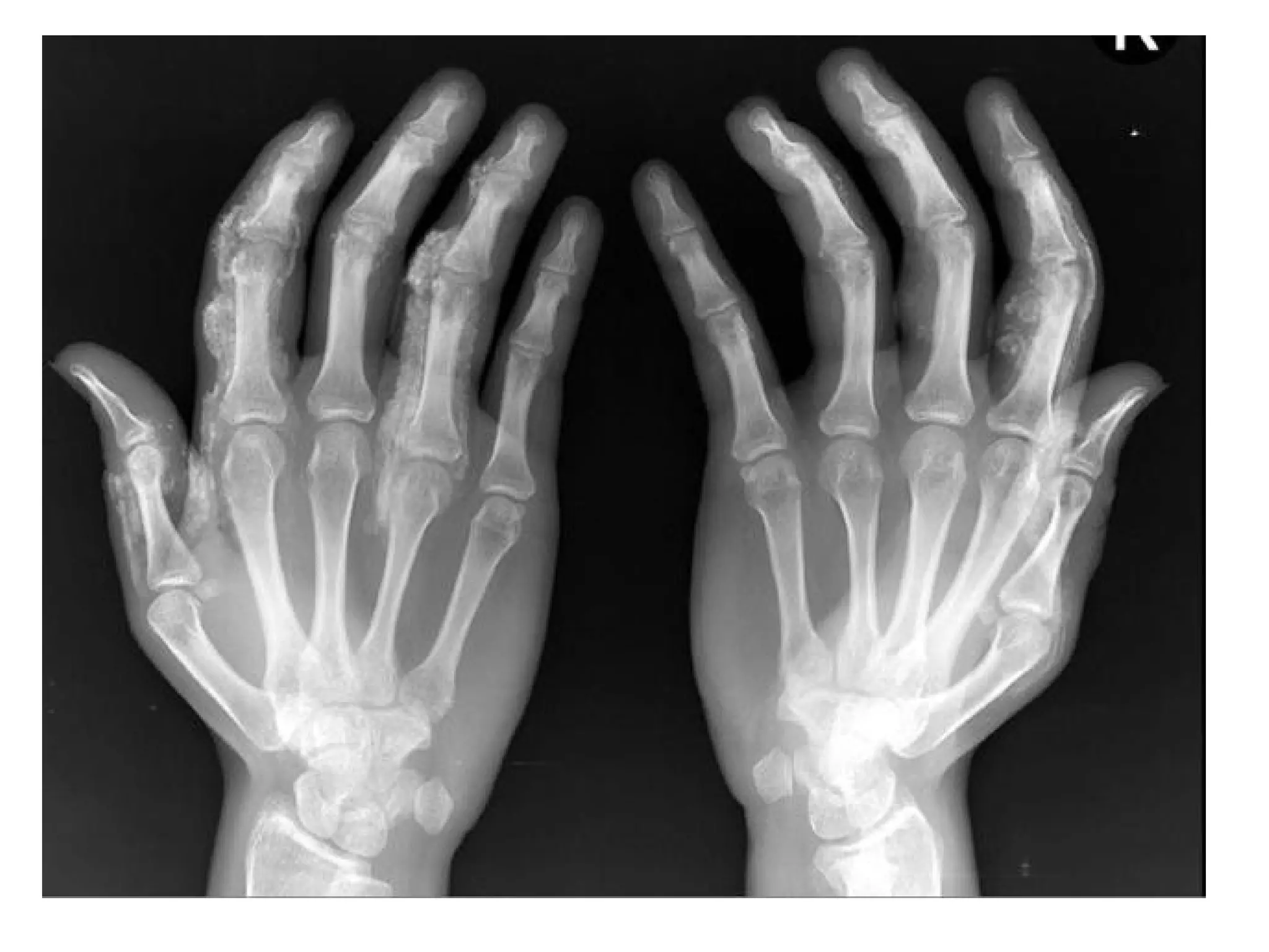
-N.B. : OA of the hands :
-Similar to OA of other joints , the radiographic hallmarks of
OA in the hand include cartilage space narrowing ,
subchondral sclerosis & osteophytosis , erosions are
absent
-In order of decreasing involvement , typical sites of OA in
the hand include the DIP , the base of the thumb at the
first CMC and the PIP
-The most common site of OA in the hands is the 2nd
DIP
-Large osteophytes cause characteristic soft tissue swelling
surrounding the finger joints :
1-Heberden's nodes in DIP
2-Bouchard's nodes in PIP
OA , hand Cartilage loss with narrowing of interphalangeal joints B:
Bouchard nodes (osteophytes proximal interphalangeal joints) H:
Heberden nodes (osteophytes distal interphalangeal joints)
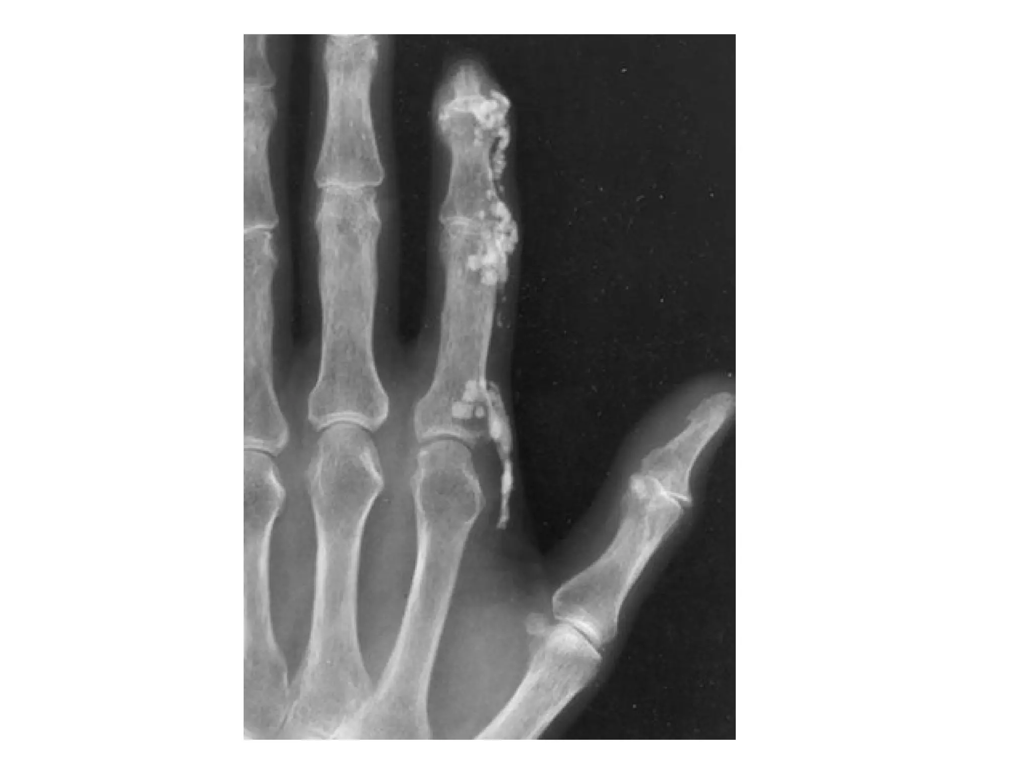
d) Erosive Osteoarthritis :
1-Incidence
2-Radiographic Features
1-Incidence :
-Form of osteoarthritis where there is an
additional erosive / inflammatory
component
-More in elderly females typically presenting
in the postmenopausal patient , patients
are rheumatoid factor negative
-Erosive osteoarthritis has a predilection for
the hands
2-Radiographic Features :
-Typically bilateral , poly-articular and relatively symmetrical
involvement
-Erosive changes of :
a) Distal interphalangeal (DIP) joints
b) Proximal interphalangeal (PIP) joints
c) First carpometacarpal (CMC) joint (typical involvement of
first CMC may help distinguish erosive OA from
rheumatoid arthritis (RA) , psoriatic arthritis and adult
Still's disease)
-Diffuse cartilage space loss
-Sea-Gull wing appearance (the combination of cartilage
space loss , subchondral central erosions & osteophyte
formation)
Gull wing appearance
Gull wing appearance of the DIP (arrows)
Gull wing deformities in erosive arthritis , cartilage loss and bone remodeling at the
middle and ring finger proximal interphalangeal joints produce a gull wing appearance
Arthritis which affects mainly the DIP and PIP joints (white arrows) and
carpal-metacarpal joint of thumb (yellow arrow) , there are small
osteophytes and erosions (white circle)
Central erosion of the proximal part of joint (yellow arrow) and bone overgrowth
peripherally (white arrows) resembling a seagull's wings
Severe osteophytosis
Interphalangeal joints (IPJs) of (A) osteoarthritis : focal narrowing , marginal osteophyte ,
sclerosis , osteochondral bodies , (B) erosive OA : subchondral erosion , (C) psoriasis
: proliferative marginal erosion , retained or increased bone density and (D)
rheumatoid arthritis : non-proliferative marginal erosion , osteopoenia
e) Degenerative Disk Disease :
1-Plain Radiography
2-MRI
1-Plain Radiography :
-Disk space narrowing
-Vacuum phenomenon in disk space (gas in the
intervertebral disc) , pathognomonic for
degenerative disease
-Endplate osteophytes and sclerosis
**N.B. :
-It is important not to confuse vacuum
phenomenon (gas in intervertebral disc) with
Kummel disease which is gas in a vertebral body
compression fracture representing
osteonecrosis
Vacuum phenomenon Kummel’s disease
Narrowed disc space with vacuum phenomenon
Vacuum phenomena
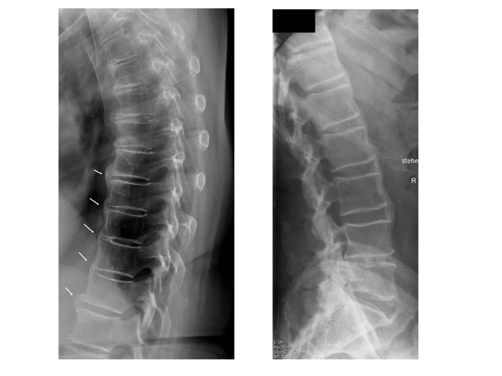
Severely decreased height of several disc spaces (white arrow) and anterior osteophytes
(bone spur , open arrow) ,sclerosis (3 arrowheads) of posterior facet joints
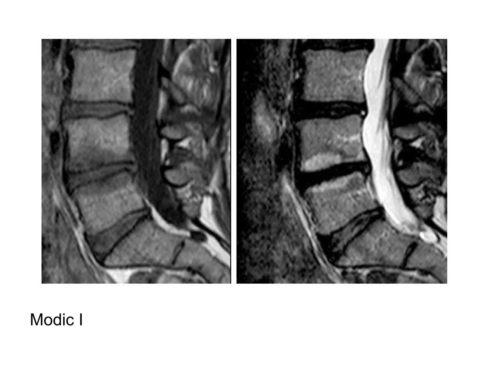
2-MRI :
-Disk signal abnormalities (loss of T2 bright signal)
indicate degeneration
-Decreased disk height
-Endplate changes :
a) Modic I : dark T1 / bright T2 (vascular tissue
ingrowth)
b) Modic II : bright T1 / bright T2 (fatty change)
c) Modic III : dark T1 / dark T2 (sclerosis)
-Disk contour abnormalities : See Spine
a) Bulges
b) Protrusions or extrusions
Loss of bright T2 signal
Modic , T1 & T2
Modic I
Modic II
Modic III
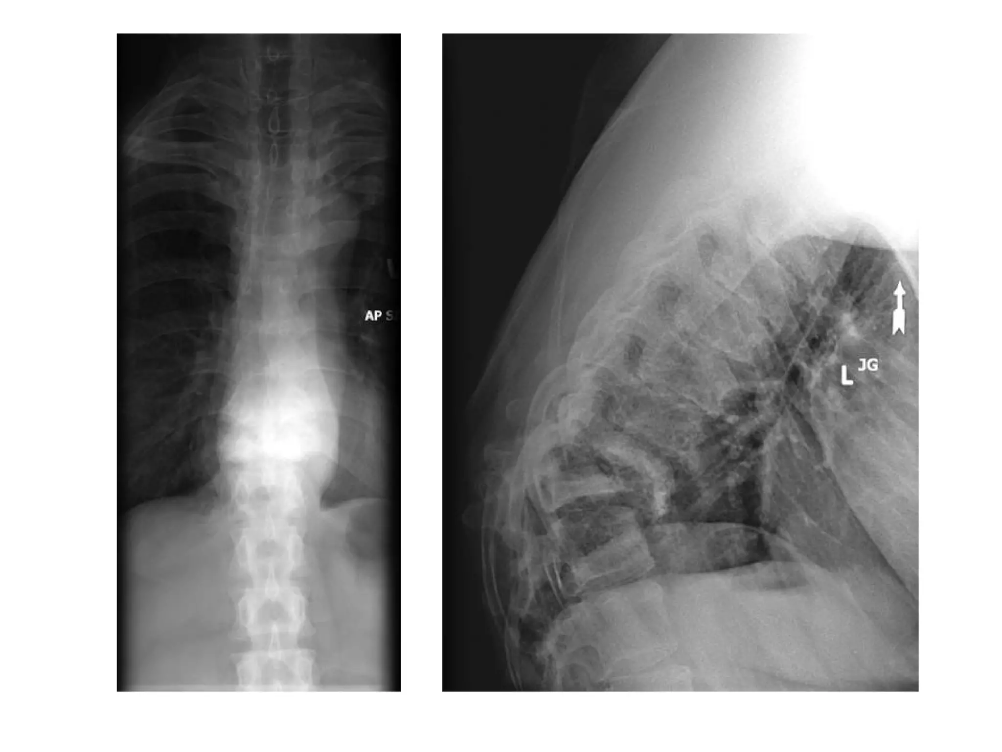
f) Spondylosis Deformans :
-Degenerative changes of the annulus
fibrosis result in anterior and anterolateral
disk herniations
-Traction osteophytes may form secondarily
and project several millimeters from the
endplate
-Disk spaces are usually well preserved
Spondylosis deformans , lateral radiograph of the lumbar spine reveals osteophyte
formation (arrows) , these initially extend in a horizontal direction and then in a
vertical one , severe apophyseal joint osteoarthritis is also present
g) Diffuse Idiopathic Skeletal
Hyperostosis : (DISH)
a) Incidence
b) Radiographic Features
a) Incidence :
-Known as Forestier disease
-DISH most commonly affects the elderly
(especially 6th to 7th decades)
-Most common site is thoracic spine (T7-11)
-Severe productive bone formation in the
soft tissues around the spine resulting in
bulky flowing osteophytes
b) Radiographic Features :
-Flowing osteophytes of at least four contiguous vertebral
bodies (anteriorly, anterolaterally, predominantly right
sided)
-Preserved disk height
-Calcification of ligaments and tendons
-No sacroilitis or facet joint ankylosis
-If seen in a child, consider JRA
-Myelopathy can occur due to associated ossification of the
posterior longitudinal ligament or vertebral complications
(fracture or sublaxation)
Anteroposterior (A) and lateral (B) radiographs of thoracic spine show
characteristic flowing ossifications at anterolateral aspect of multiple
contiguous levels on right side
51-year-old man with diffuse idiopathic skeletal hyperostosis ,
Anteroposterior (A) and lateral (B) radiographs of thoracic spine
show interdigitating areas of protruding disk material in flowing
ossifications at multiple levels (arrows)
There is flowing ossification (black arrows) that spans more than four contiguous
vertebral bodies while the disc height is maintained and the flowing ossification is
separated from the anterior aspect of the vertebral body (blue arrows)
Presence of ossification bridging of the anterolateral aspect of contiguous vertebral
bodies (blue arrows) and preservation of the disc height in affected areas , absence
of apophyseal joint ankylosis and sacroiliac joint fusion , ossification within in the
anterior side of the disk (orange arrows) , in the interspinous ligament (green arrows)
and at the proximal aspect of the ribs (yellow arrows)
80-year-old man with diffuse idiopathic skeletal hyperostosis (DISH) ,
Coronal (A) and sagittal (B) reformatted CT images of thoracic
spine show transverse fracture through inferior aspect of T8
vertebral body (arrows) extending (B) into mid portion of subjacent
T8-T9 disk space (arrowhead, B)
52-year-old man with diffuse idiopathic skeletal hyperostosis , Sagittal
reformatted CT image (A) and sagittal T1 (B) and T2 fat-suppressed (C) of
thoracic spine show transverse fracture of T7 vertebra that involves central
aspect of vertebral body and posterior elements (arrow) , Fracture line is
hypointense on T1 (B) and hyperintense on T2 fat-suppressed (C)
59-year-old man with ankylosing spondylitis , Sagittal CT reformatted image (A)
and sagittal T1 (B) and T2 fat-suppressed (C) of thoracic spine show
transdiskal fracture at T8-T9 level that extends into subjacent superior
endplate (arrow) , On MR images , note bone marrow edema about inferior
endplate of T8 and superior endplate of T9
80-year-old man with diffuse idiopathic skeletal hyperostosis (DISH) ,
Axial CT image shows apophyseal joints were not fused , which
distinguishes DISH from ankylosing spondylitis (arrows)
Absence of apophyseal joint ankylosis and costovertebral joint fusion with
diffuse idiopathic skeletal hyperostosis which is present with ankylosing
spondylitis , axial CT image of thoracic spine in 66-year-old man with diffuse
idiopathic skeletal hyperostosis shows normal apophyseal joints with no
evidence of fusion (long arrow) and mild osteoarthritic changes of
costovertebral joints that are not fused (short arrow)
3-Inflammatory Arthritis :
-Three Types of Inflammatory Arthritis :
(i) Autoimmune Arthritis
(ii) Seronegative Spondyloarthropathies
(iii) Erosive OA
(i) Autoimmune Arthritis :
1-RA
2-Scleroderma
3-Systemic lupus erythematosus (SLE)
4-Dermatomyositis
1-Rheumatoid Arthritis (RA) :
a) Incidence
b) Diagnosis
c) Radiographic Features
d) Juvenile Rheumatoid Arthritis
a) Incidence :
-More in females
-Onset is generally in adulthood, peaking in
the 4th and 5th decades
-RA first affects the small joints in the hands
and wrists
-The pediatric condition, juvenile rheumatoid
arthritis (see later)
b) Diagnosis :
-Four out of seven of the following are present :
1-Morning stiffness lasting at least 1 hour before maximal
improvement
2-Soft tissue swelling of 3 or more joints observed by a
physician
3-Swelling of the proximal interphalangeal ,
metacarpophalangeal or wrist joints
4-Symmetric swelling
5-Rheumatoid nodules
6-Presence of rheumatoid factor
7-Radiographic erosions and / or periarticular osteopenia in
hand and/or wrist joints
c) Radiographic Features :
(i) Skeletal Manifestations :
*Early :
1-Periarticular soft tissue swelling (edema ,
synovial congestion)
2-Periarticular osteopenia in symmetrical
distribution (hallmark), reflecting synovitis
& hyperemia
3-Preferred sites of early involvement :
Hands : 2nd and 3rd MCP joints
Feet : 4th and 5th MTP joints
-N.B. As a rule, the DIP joints are spared
Early changes are soft tissue swelling (white arrow) , joint space
narrowing (blue arrow) and erosions of the proximal interphalangeal
(PIP) joints (red arrows)
Joint space narrowing , bone erosion (arrow heads) and
periarticular soft tissue swelling (arrow)
*Late :
1-Marginal erosions (pannus formation &
granulation tissue)
2-Erosions of the ulnar styloid and
triquetrum are characteristic
3-Subchondral cyst formation results from
synovial fluid
Marginal erosions
Advanced changes of rheumatoid arthritis with soft tissue swelling (yellow
arrows) , narrowing of the radiocarpal joint space (blue arrow) , erosions
(red arrows) and destruction of the ulnar styloid (green arrow) , the
intercarpal joints are destroyed as re all of the carpal-metacarpal joints of
both hands , note the symmetric appearance of the disease
4-Subluxation causing :
a) Ulnar deviation of the MCP joints
b) Boutonierre deformity :
-Hyperextension of DIP and flexion of PIP
c) Swan neck deformity :
-Hyperextension of PIP and flexion of DIP
d) Hitchhiker’s thumb deformity :
-Flexion of the MCP and extension of distal interphalangeal
joint of the thumb
5-Telescope fingers : shortening of phalanges due to
dislocations
Ulnar deviation of the fingers at the metacarpophalangeal joints (white arrows)
Boutonierre deformity (yellow arrows) with Hitchhiker’s
thumb deformity (red arrow)
Boutonierre deformity
Swan neck deformity
Swan neck deformity
Hitchhiker’s thumb deformity
Telescope fingers
-N.B. : RA in specific locations
1-RA in shoulder :
-Erosion of the distal clavicle
-Marginal erosions of the humeral head , tends to
occur in the lateral aspect of the humeral heads
-Rotator cuff tear >> classic high riding humerus
2-RA in hip :
-Concentric loss of joint space (cf osteoarthritis
where there is tendency for superior loss of joint
space)
-Acetabular protrusio , which is defined as > 3 mm
medial deviation of the femoral head beyond the
ilioischial line in males and > 6 mm in females
Erosion of distal clavicle
Erosions
3-RA in spine : See Spine
1-Erosion of the Dens , the cervical spine is
involved in up to 70 % of patients
2-Atlantoaxial Subluxation
3-Basilar Invagination (Vertical Subluxation)
4-Erosion and fusion of apophyseal joints
5-Erosion of spinous processes
6-Destruction of intervertebral disks
7-Osteoporosis and osteoporotic fractures
**N.B. : A characteristic finding of RA is
atlantoaxial (C1-C2) sublaxation
4-RA in knee :
-Joint effusion
-Typically involves the lateral or non-weight
bearing portion of the joint
-Loss of joint space involving all three
compartments (medial & lateral tibiofemoral and
patellofemoral) , in contrast , OA tends to first
affect the medial tibiofemoral articulation
-Lack of subchondral sclerosis and osteophytes
(cf OA) , if osteophytes & symmetrical cartilage
space narrowing are present then secondary OA
should be considered
Uniform joint space loss (yellow arrows) , unlike the medial compartment preference of osteoarthritis
(OA) , erosions may occur but they are not as prominent as in the hands , there are no
osteophytes , Baker's cysts (arrowhead) are frequently found behind the knees of patients with
RA
(a) RA , (b) Right OA
RA with 2ry OA , frontal PA weight-bearing view of the knees shows
cartilage space narrowing of medial & lateral tibiofemoral
articulations bilaterally , the lateral tibiofemoral cartilage spaces are
more markedly narrowed (yellow arrows) , prominent osteophytes
laterally (red arrows) signify 2ry OA
5-RA in the Feet :
-The feet are commonly involved in RA
-Typically the MTP joints in the forefoot and the
talocalcaneonavicular joint in the midfoot are
involved
-Up to 20 % of patients have the MTP joint as the
first site of involvement
6-RA in the Elbow :
-RA involves the elbow in approximately 1/3 of
patients
(ii) Extraskeletal Manifestations :
1-Pulmonary :
-Pleural effusion
-Interstitial fibrosis
-Pulmonary nodules
-Caplan's syndrome : pneumoconiosis ,
rheumatoid lung nodules , RA
2-Cardiac :
-Pericarditis and pericardial effusion , 30%
-Myocarditis
3-Abdominal :
-Secondary renal disease :
Glomerulonephritis , amyloid , drug toxicity
-Arteritis : infarction , claudication
4-Felty's syndrome :
-RA
-Splenomegaly
-Neutropenia
-Thrombocytopenia
d) Juvenile Rheumatoid Arthritis :
1-Incidence
2-Radiographic Features
1-Incidence :
-RA with onset at < 16 years
-70% of JRA is seronegative
-Still's disease = JRA + lymphadenopathy +
splenomegaly
2-Radiographic Features :
-Soft tissue swelling
-Osteopenia
-Loss of joint space
-Erosions
-Growth retardation secondary to premature closure of growth plates ,
short metacarpals
-Overgrowth of epiphyses (increased perfusion)
-Joint subluxation
-Spinal involvement is very common (70%) and typically precedes
peripheral arthritis :
*Diffuse ankylosis of posterior articular joints (diagnostic)
*C2 subluxation (due to destruction of posterior ligament)
*Odontoid fracture
Extensive bilateral erosive changes in the carpal and metacarpal bones (arrows) and erosions with
associated periosteal reaction and soft-tissue swelling at the proximal phalanges of the left third
finger, right fourth finger and right little finger (arrowheads) , there is marked joint space loss in
both wrists and at several metacarpophalangeal and interphalangeal joints
Periarticular osteopenia (arrows) and soft-tissue swelling which is most
marked at the proximal interphalangeal and metacarpophalangeal
joints of the index finger (arrowheads)
PA radiographs of the left (a) and right (b) wrists show asymmetric advanced maturation and
overgrowth of the carpal bones and distal radial epiphysis on the right side ; the left side is
unaffected , note that the trapezoid ossification center is present on the right side (arrow) but has
not yet appeared on the left side
Diffuse osteopenia with a well-defined erosion at the base of the hamate bone
(arrow)
Widespread osteopenia , carpal crowding (due to cartilage loss) and several
erosions affecting the carpal bones and metacarpal heads in particular in a
child with advanced juvenile idiopathic arthritis (JIA)
Uniform joint space narrowing with small erosions of the femoral head
Erosions of the radial head and capitellum (arrowheads) , uniform radiocapitellar joint
space narrowing and displacement of the anterior and posterior fat pads (arrows)
owing to proliferative synovitis
Plain radiograph of the knee shows osteopenia with enlargement of the distal femoral
epiphysis , epiphyseal overgrowth is thought to result from chronic hyperemia
Ankylosis of the posterior elements of the cervical spine (*) , the small narrow vertebral bodies and
disk space narrowing seen at the levels affected by ankylosis are characteristic findings in JRA ,
as is antegonial notching of the mandible (upward curving of the inferior surface of the mandible
anterior to the angular process) (arrowhead)
Ankylosis in the cervical spine at several levels due to long-standing
juvenile idiopathic arthritis (JIA)
2-Scleroderma :
a) Incidence
b) Radiographic Features
a) Incidence :
-Also known as systemic sclerosis
-A multi-system autoimmune connective
tissue disorder
As such , it affects many separate organ
systems : MSK , Pulmonary , Cardiac ,
GIT , Hepatobiliary and renal
b) Radiographic Features :
-Imaging findings demonstrate bone and soft tissue
changes
-The hands (finger tips) are the most common site of
involvement
1-Bone changes :
-Acro-osteolysis (resorption of the distal portion of the distal
phalanges) is characteristic , especially if there is
accompanying calcification
-Periarticular osteoporosis
-Joint space narrowing
-Erosions
2-Soft tissue Changes :
-Subcutaneous and periarticular calcification
-Atrophy especially at tips of fingers
-Flexion contractures
Multiple punctate calcifications (circles) in the soft tissues of both hands
Acroosteolysis , skin atrophy over fingertips and calcinosis cutis
PA radiograph shows flexion of the fingers , loss of the tufts of the
index finger and middle finger distal phalanges and calcification
including finger tip calcification
Flexion contractures
3-Systemic lupus erythematosus : (SLE)
a) Incidence
b) Radiographic Features
a) Incidence :
-Nonerosive arthritis (in 90% of SLE)
resulting from ligamentous laxity and joint
deformity
-Distribution is similar to that seen in RA
b) Radiographic Features :
-Prominent subluxations of MCP
-Usually bilateral and symmetrical
-No erosions
-Radiographically similar to Jaccoud's
arthropathy
-Soft tissue swelling may be the only
indicator
Jaccoud’s arthropathy of hands , A 55 years old patient diagnosed with SLE for 17 years ago shows
findings of arthropathy such as metacarpal ulnar deviation , swan neck deformity (fine white
arrow) , boutonniere deformity (black arrow) and Z deformity of thumb (thick white arrow)
A , PA view of the hands and wrists shows hyperextension of the thumb interphalangeal
joints , there are small calcifications at the radial aspect of the right wrist , B , PA view
of the hands and wrists shows multiple finger deformities , no erosions are present
Periarticular osteoporosis with marked alignment abnormalities at the 2nd-5th MCP joints , there is
significant ulnar deviation with hyperextension of the 2nd-5th PIP joints bilaterally , degenerative
changes are seen at the DIP joints with marked flexion deformities as well , the carpal joints are
well-maintained and there is no significant erosive change noted
4-Dermatomyositis :
-Widespread soft tissue calcification is the
hallmark
Dermatomyositis , extensive soft tissue calcification is present
(ii) Seronegative Spondyloarthropathies :
1-Ankylosing Spondylitis
2-Reiter's Syndrome (Reactive Arthritis)
3-Psoriasis
4-Enteropathic Arthropathies
**N.B. : Sacroiliitis is a hallmark of the
spondyloarthritis , symmetric sacroilitis is
caused by IBD & AS , while asymmetric
sacroilitis is caused by psoriatic arthritis and
reactive arthropathy , an important cause of
unilateral sacroilitis is septic arthritis , especially
in an immunocompromised patient or with IV
drug abuse , septic arthritis usually presents with
erosive changes in a patient with fever & SI joint
pain
1-Ankylosing Spondylitis :
a) Incidence
b) Radiographic Features
a) Incidence :
-Seronegative spondyloarthropathy results
in fusion (ankylosis) of the spine
and sacroiliac (SI) joints
-More in adult males
-Can be associated with pulmonary fibrosis
(upper lobe predominant) , aortitis and
cardiac conduction defects
b) Radiographic Features :
1-Plain Radiography
2-MRI
1-Plain Radiography :
a) Sacroiliac Joints
b) Spine
a) Sacroiliac Joints :
-Sacroiliitis is usually the first manifestation
and is symmetrical and bilateral
-Erosions with widening : early
-Sclerosis : intermediate
-Ankylosis : late
Erosions Sclerosis Ankylosis
Bilateral sacroiliac joint erosions and iliac side subchondral
sclerosis
Bilateral sacroiliitis , axial CT scan shows erosions and iliac
side subchondral sclerosis of both sacroiliac joints
Bilateral chronic sacroiliitis , shows complete fusion of both
sacroiliac joints
Fusion of both SI joints
Joint space narrowing and bony sclerosis around the
sacroiliac joints (arrows)
-Grading of Sacroilitis :
*Grade 0 : Normal
*Grade I : some blurring of the joint margins
suspicious
*Grade II : minimal sclerosis with some erosion
*Grade III : definite sclerosis on both sides of joint
with severe erosions with widening of joint space
with or without ankylosis
*Grade IV : complete ankylosis
(a) Grade I : reduced demarcation of joint space , (b) Grade II : small localized
areas with erosions and subchondral sclerosis without alteration of joint
width , (c) Grade III : Sclerosis & erosions with partial ankylosis of the joint
space , (d) Grade IV : total ankylosis of joint space
Grade 0 : Normal
Grade I
Grade II : small erosions (black arrow) and slightly
condensed bone (sclerosis) (white arrow)
Grade III
Grade IV
b) Spine :
1-Shiny corner sign
2-Vertebral body squaring
3-Marginal syndesmophyte formation
4-Bamboo sign
5-Dagger Sign
6-Trolley-track sign
7-Anderson lesion
8-Enthesopathy
1-Shiny corner sign :
-Represents small erosions at the superior and
inferior endplates (corners on lateral radiograph)
of the vertebral bodies with surrounding reactive
sclerosis , Romanus lesions are erosions wjile
shiny corners are sclerosis of prior Romanus
lesions at the corner of the body
2-Vertebral body squaring :
-Refers to loss of normal concavity of the anterior
border
3-Marginal syndesmophyte formation :
-Thin vertical dense spicules bridging the vertebral
bodies
Romanus lesion (yellow arrow) , Shiny corner sign (red arrow)
Shiny corner sign
Anterior corner erosions at the T12 and L1 vertebral bodies , the typical shiny
corner sign (or Romanus lesion) is present (arrows)
Vertebral body squaring
Vertebral body squaring , lateral radiograph shows squaring of L3 and
L4 vertebral bodies , L3-L4 anterior syndesmophyte and lumbar
facet joint fusion
A-C , Marginal Syndesmophyte , observe the vertical orientation and thin nature of the
ossification (arrows) typical of ankylosing spondylitis
D-F , Osteophytes , note that claw (arrows) and traction (arrowheads) spurs are more
horizontally oriented thicker and more distinctive in degenerative joint disease
Disk calcification , lateral radiograph shows L2-L3 and L3-L4 disk calcifications
as well as L2-L4 anterior syndesmophytes
4-Bamboo sign :
-Seen on AP
-Late fusion and ligamentous ossification
5-Dagger Sign :
-Single central radiodense line on frontal
radiographs related to ossification of
supraspinous and interspinous ligaments
6-Trolley-track sign :
-Seen on AP view
-Central line of ossification (supraspinous and
interspinous ligaments) with two lateral lines of
ossification (apophyseal joints)
7-Anderson lesion :
-Insufficiency fracture of the ankylosed spine
8-Enthesopathy :
-Common
Bamboo sign
Bamboo Spine , note that complete interbody ankylosis by marginal
syndesmophytes produces this distinctive undulating spinal contour
Dagger Sign
Dagger Sign
Bamboo sign Dagger sign
Bamboo spine , frontal radiograph shows complete fusion of the
vertebral bodies , extensive facet joint ankylosis and posterior
ligamentous ossification produce the trolley track appearance
Trolley-track sign
Andersson lesion
Vertebral fusion , lateral radiograph shows solid ankylosis of all cervical
facet joints from C2 downwards , extensive anterior and posterior
syndesmophytes are noted
2-MRI :
a) Sacroiliac Joints
b) Spine
a) Sacroiliac Joints :
-Because the sacroiliac joints are predominantly
made of fibrous connective tissues
(fibrocartilage) and contain very little synovial
fluid, these articulations may be considered
entheses
-These features may explain why sacroiliac joints
are spared during rheumatoid arthritis and also
explain their characteristic involvement during
spondyloarthropathies
1-The earliest signs of sacroiliitis :
-Subchondral bone edema is associated with
increased signal in fat-saturatedT2 or STIR and
with T1+C fat-saturated
-Inflammatory enhancement of the fibrous
connective tissue of the joint may also be
present
2-Later in the course of the disease :
Inflammation usually decreases and subchondral
edema is progressively replaced by fatty
postinflammatory bone marrow which appears
hyperintense on T1
Coronal STIR (A) and T1+C fat-saturated (B) images of sacroiliac joints
show hyperintensity of subchondral bone marrow (arrows)
Coronal T1+C fat-saturated of sacroiliac joints shows enhancement of
connective fibrous tissues (arrows) , Hyperintensity of right iliac
subchondral bone marrow (arrowhead) is also seen
3-The final stage of sacroiliac
involvement shows :
Subchondral sclerosis followed by fusion of
the joint with ankylosis , MRI may show
sclerotic changes , hypointense on T1 and
T2 and fusion of the articulation
Axial (A) T1+C fat-saturated (B) T1 of sacroiliac joints show
subchondral hypointensity indicative of sclerotic changes (arrows)
Coronal CT scan of sacroiliac joints shows multiple subchondral
erosions (arrows) and sclerosis (arrowheads)
Axial CT scan shows condensations of subchondral bone
marrow of joints (arrows) predominant on left side
Axial CT scan (A) and volume reformation , frontal view (B) of sacroiliac
joints show complete ankylosis with homogeneous osseous bridge
passing through articulations (arrowheads)
b) Spine :
1-The earliest inflammatory changes :
-Inflammatory appearance of the ligaments and of their
insertions (enthesitis)
-The enthesis is defined as the site of insertion of a
tendon , ligament , joint capsule or fascia to bone
-Four different entities can be distinguished :
1-Spondylitis (Romanus spondylitis)
2-Spondylodiskitis (Andersson aseptic spondylodiskitis)
3-Arthritis of the zygapophyseal joints
4-True ligamentous inflammatory involvement
1- Romanus Spondylitis :
-Consists of inflammatory changes involving the
edges of the vertebral endplates
-Involvement of the anterior edges is secondary to
enthesitis of the anterior longitudinal ligament
whereas involvement of the posterior edges is
secondary to enthesitis of the posterior
longitudinal ligament
-Hyperintense edematous corners on T2 and T1+C
fat-suppressed , low signal in T1
Romanus anterior and posterior spondylitis of thoracic spine , T1+C fat-
suppressed shows hyperintense changes at anterior and posterior
edges of vertebral endplates (arrows)
Sagittal STIR shows florid hyperintense Romanus lesions
(arrows)
Sagittal T1 (a) and STIR (b) of the thoracic spine show florid Romanus lesions
(anterior spondylitis) at T6-7 , T8-9 and T10-11 (arrowheads) , the lesions
are seen at the anterior vertebral edges as a circumscribed increase in
signal intensity on the STIR and a decrease in signal intensity on the T1
2- Andersson Aseptic Spondylodiskitis :
-Consists of inflammatory changes involving
the disk and adjacent vertebral endplates
which appear hyperintense on T2 and
T1+C fat-suppressed , hypointense on T1
(A) T1 , (B) T2 , (C) STIR , (D) T1+C show abnormal signal intensity
along the end plates of L3 and L4 vertebra with desiccation of
intervening disc , signal intensity is hypointense on T1 and
hyperintense on T2 and fat saturation , after administration of
intravenous Gadolinium , these showed enhancement
(A) Sagittal T1 reveals erosive defects of the inferior endplate (arrow) of L4 and
superior endplate of L5 , as well as signal loss in the surrounding bone
marrow , (B) STIR shows increased signal intensity (arrowheads) adjacent
to the intervertebral disk (florid Andersson lesion)
3-Arthritis of the Zygapophyseal Joints :
-May occur with bone marrow edema ,
effusion and erosions and may undergo
ankylosis at the end stage
-The costovertebral and costotransverse
joints may also be involved
Sagittal STIR shows hyperintensity of vertebral endplates adjacent to
intervertebral disk , corresponding to Andersson aseptic
spondylodiskitis (arrows) , hyperintensity of bone marrow around
zygapophyseal joints corresponds to arthritis (arrowheads)
T1+C fat-suppressed shows pronounced enhancement of the vertebral
arch , articular processes and adjacent soft tissue (arrows) , findings
suggestive of arthritis of apophyseal joints , marginal spondylitis is
seen (arrowheads)
T1+C fat-suppressed shows enhancement near the costovertebral joint
(arrow) , a finding indicative of synovitis with concomitant osteitis of
the adjacent rib and vertebral portions (arrowheads)
T2 fat-suppressed shows arthritis of the costovertebral joint with
concomitant osteitis of the adjacent rib and vertebral portions
(arrows)
T2 fat-suppressed shows inflammation lesions in both
costotransversal joints with concomitant osteitis of the
adjacent rib and transversal processes (arrows)
4-True Ligamentous Inflammatory Involvement:
-Although ligamentous lesions are most commonly
confined to the bone insertions , they can also
involve other parts of the ligament ,
corresponding to true ligamentous inflammation
-T1+C fat-saturated is more sensitive than T2 or
STIR in the detection of this type of involvement
-All the vertebral ligaments may be affected , most
often the interspinal and the supraspinal
ligaments
(A) Interspinous ligament (D arrow) , (B) Supraspinous
ligament (A arrow)
T1+C fat-suppressed shows vertebral inflammatory changes (arrows)
and shows discrete enhancement of interspinal and supraspinal
ligaments (arrowheads)
T1+C fat-suppressed shows strong enhancement of
interspinal and supraspinal ligaments (arrows)
(a) Sagittal T1 shows thickening of the supraspinal ligament from C7
through T3 (arrows) , (b) Sagittal cT1+C fat-suppressed shows
pronounced enhancement in the area of the interspinal and
supraspinal ligaments (arrows)
2-Later in the course of the disease :
-Inflammation may decrease and
inflammatory zones may be replaced by
fatty postinflammatory bone marrow
-MRI may show fatty infiltration at either
edge of the vertebral endplates
representing postinflammatory changes
after Romanus spondylitis or Andersson
spondylodiskitis
Postinflammatory fatty vertebral changes after Romanus spondylitis ,
Sagittal T1 shows circumscribed hyperintensity of anterior edges of
vertebral endplates corresponding to fatty infiltration of bone marrow
long after florid inflammatory Romanus spondylitis (arrows)
3-The last stage of spinal involvement consists of :
-Sclerotic changes , bone formations and ankylosis
-Syndesmophytes , consisting of bone outgrowth forming
an osseous bridge between two adjacent vertebrae
(these bone formations are different from osteophytes
because their initial directions are not horizontal but
vertical)
-Syndesmophytes (end stage of Romanus spondylitis) are
responsible for the development of peripheral spinal
ankylosis
-Ankylosis may also be central , secondary to bone
formations passing through the disk (end stage of
Andersson spondylodiskitis) , ankylosis of the
zygapophyseal joints may also be observed
-Insufficiency vertebral fractures may occur in
spondyloarthropathies and are known as Andersson
fractures
Syndesmophytes , Sagittal (A) and coronal (B) CT scans of thoracic
and lumbar spine show syndesmophytes corresponding to osseous
bridge between two adjacent vertebrae (arrows)
2-Reiter's Syndrome (Reactive
Arthropathy) :
a) Incidence
b) Radiographic Features
a) Incidence :
-Seronegative spondyloarthropathy with lower
extremity “Feet” erosive joint disease (known as
reactive arthritis)
-More in males (age , 15-35 years)
-Follows an infection at a different site commonly
enteric or urogenital
-Classic triad occurs in minority of patients :
1-Urethritis or cervicitis
2-Conjunctivitis
3-Arthritis
b) Radiographic Features :
Distal lower extremity involvement (MTP >>
calcaneus > ankle > knee) is more common
than upper extremity involvement
-It can have a very similar appearance to psoriatic
arthritis with the classic features of ill-
defined erosions , enthesopathy and bone
proliferation
-The posterior superior aspect of the calcaneus is
a frequent site of erosion
-However , the distribution is slightly different ,
where hand involvement is the most common
site in patient's with psoriatic arthritis , hand
involvement with Reactive Arthritis is very
uncommon
-Both Psoriasis and Reactive Arthritis can cause a
sacroiliitis (which is usually asymmetrical)
-Bulky asymmetrical thoracolumbar osteophytes
with skip segments , spine involvement is similar
to psoriatic arthritis (in AS , no skip lesions)
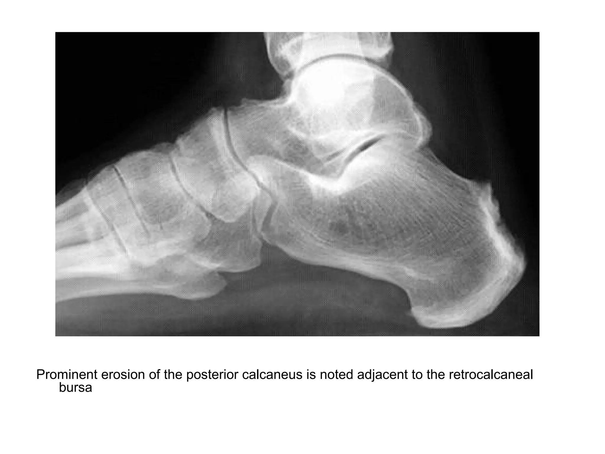
Erosion of the 3rd and 5th metatarsal heads
Erosions in all the left metatarsophalangeal (MTP) joints with subluxation and valgus deformity of
most of the toes , smaller erosions in the four and fifth MTP joints of the right foot are also shown
Calcaneal spur and enthesopathy
Lateral view of the hindfoot shows ill-defined plantar calcaneal enthesophytes (arrowhead) , periosteal
new bone formation along the posterior aspect of the distal tibia (arrow) , retrocalcaneal bursitis
and thickening of the Achilles tendon (star) and erosions at the subjacent calcaneus
Prominent erosion of the posterior calcaneus is noted adjacent to the retrocalcaneal
bursa
Periosteal reaction at the plantar fascia insertion (black arrow) and
early erosion at the Achilles tendon insertion (white arrow) on the
calcaneus
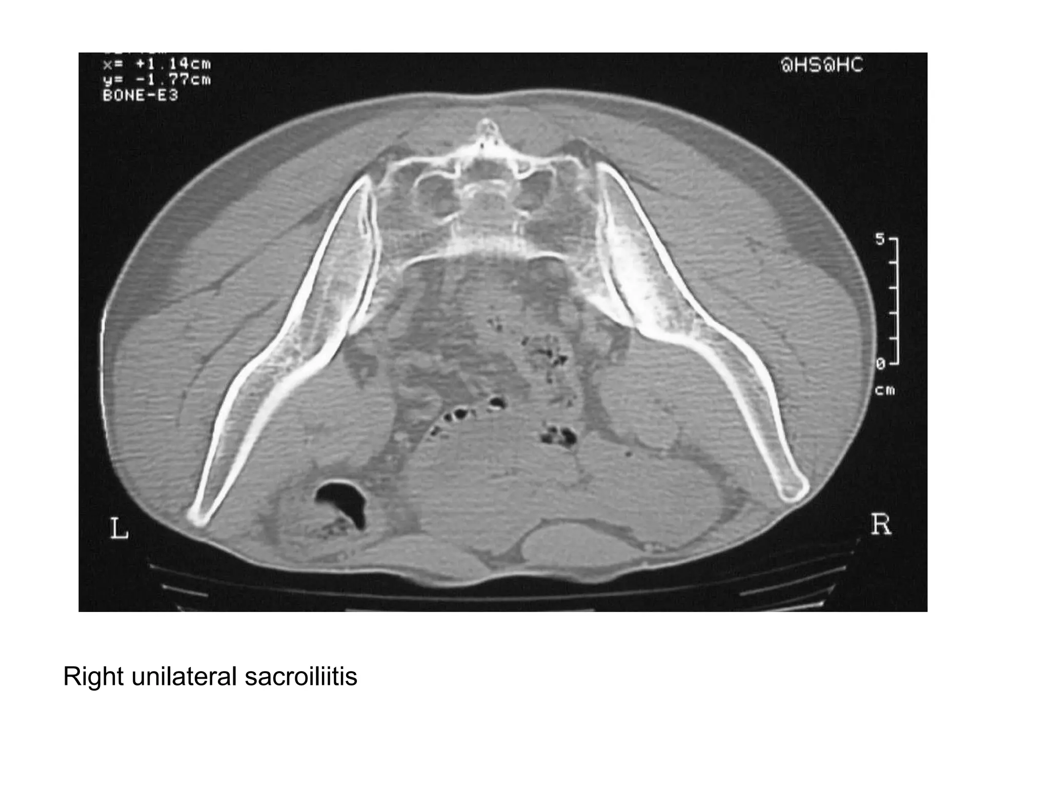
Bilateral asymmetrical sacroiliitis
Right unilateral sacroiliitis
3-Psoriasis :
a) Incidence
b) Radiographic Features
a) Incidence :
-Seronegative spondyloarthropathy
(inflammatory upper extremity
polyarthritis) associated with psoriasis
(10%-20% of patients with psoriasis will
develop arthritis)
-In 90%, the skin changes precede the
arthritis
b) Radiographic Features :
-Combination of productive and erosive changes
(distinguishable feature from RA) in a
predominantly distal distribution (i.e.
interphalangeal more than MCP joints)
-The disease most commonly involves the hands ,
followed by feet, it can also affect sacroiliac
joints and spine
-Bone production :
*Mouse ears : bone production adjacent to
erosions
*Ivory phalanx : sclerosis of distal phalanx
-Erosions are aggressive :
*Pencil in cup deformity, most commonly
affecting the DIPs
*Resorption of terminal tufts
-Ankylosis (10%) : most common in hands
and feet
-sausage digit : soft tissue swelling of entire
digit
-Joint space loss is usually severe
-Sacroiliitis is usually bilateral and
asymmetrical
-A and B : Mouse Ears ,
note the combination of
erosions and fluffy
periostitis produces the
mouse ears appearance
in psoriasis
-C and D : Gull Wings ,
observe that the
biconcave articular
contour produces the gull
wings appearance of
erosive osteoarthritis
Mouse ears
Ivory phalanx sign
Erosive changes are present at the three joints of the second digit (arrows) ,
this pattern of arthritis is virtually diagnostic of psoriasis
Psoriatic arthritis , classic radiographic findings around the distal
interphalangeal joints include soft tissue swelling , erosions with
accompanying bone proliferation and lack of osteoporosis
Pencil in cup appearance
Cup and pencil deformities of both thumbs and erosion of DIP joint of left
middle finger
Pencil in cup deformity (arrows) , resorption of the tuft of the distal
phalanx (acroosteolysis) can be observed (arrowhead) , ankylosis of
the distal joint is a strong sign of psoriatic arthritis (crossed arrow)
Subchondral erosions of the fourth left distal interphalangeal joint and right third and
fourth proximal interphalangeal joints with periosteal reaction
Sausage digit
Sausage digit
Joint ankylosis
Ankylosis
Sacroiliitis in association with psoriasis
4-Enteropathic Arthropathies :
-Patients with IBD or infection may develop
arthritis indistinguishable from Reiter's disease
-IBD-associated sacroilitis is typically symmetrical
-Underlying disease :
a) Ulcerative colitis (10% have arthritis)
b) Crohn's disease
c) Whipple's disease
d) Salmonella , Shigella & Yersinia enteritis
infection
Crohn’s sacroilitis , (a) CT bone window shows symmetric sclerosis (yellow
arrows) & erosions of the iliac aspect of the sacroiliac joints bilaterally , (b)
CT soft tissue shows bowel wall thickening , mural stratification and
hyperenhancement (red arrow) consistent with Crohn enteritis
(iii) Erosive OA :
-See before
4-Metabolic Arthritis :
-Metabolic deposition diseases result in
accumulation of crystals or other substances in
cartilage and soft tissues
-Types :
a) Crystal deposition diseases :
1-Sodium urate : gout
2-CPPD
3-Basic Calcium Phosphate (BCP) deposition
Disease
b) Other Deposition Diseases :
1-Hemochromatosis
2-Wilson's Disease
3-Alkaptonuria
4-Amyloidosis
5-Multicentric Reticulohistiocytosis
6-Hemophilia
c) Endocrine :
-Acromegaly
a) Crystal Deposition Diseases :
1-Sodium Urate : Gout
2-CPPD
3-Basic Calcium Phosphate (e.g. calcium
hydroxyapatite)
1-Sodium Urate : Gout
a) Incidence
b) Radiographic Features
a) Incidence :
-Crystal arthropathy due to deposition of
urate crystals in and around the joints
-Typically occurs in those above 40 years
-There is a strong male predilection of 20:1
b) Radiographic Features :
-Lower extremity > upper extremity , small joints >
large joints
-First toe (MTP) is most common site (podagra)
-Joints :
*Joint effusion (earliest sign)
*Preservation of joint space until late stages of
disease
*The typical appearance is the presence of well-
defined punched-out erosions with sclerotic
margins in a marginal and juxta-articular
distribution with overhanging edges
*Chondrocalcinosis , 5 %
Classic location at first MTP and small erosion with "overhanging" edge
, notice that the joint space and bone density are preserved
-Surrounding soft tissue :
*Tophi : pathognomonic , calcify in 50 %
*Olecranon and prepatellar bursitis
*Periarticular soft tissue swelling due to
crystal deposition in tophi around the joints
is common
Tibiotalar gout with ankle effusion , lateral ankle radiograph shows ankle joint effusion
(arrow)
Classic marginal erosions (red arrow) , overhanging cortex (blue arrow) ,
preservation of bone density and maintenance of the joint space are
apparent , in addition to hallux valgus which is commonly associated
Multiple erosion locations including first MTP, base of third and fourth
metacarpals, and possibly the head of the fifth metacarpal and
second proximal phalanx
Juxta-articular erosive changes around the first MTP joint with
overhanging edges and associated with a moderate soft tissue
swelling
AP view of the 1st
MTP joint and interphalangeal joint demonstrating juxta-articular erosion
with overhanging edge (long arrows) , note the relative preservation of joint space
(arrowhead) and subchondral bone density (white square) involving the 1st MTP and
interphalangeal joint , *Soft tissue tophus
A gouty erosion (arrow) is noted along the medial margin of
the first metatarsal head
Extensive bone destruction is seen at the great toe MTP joint with
overhanging edges (arrowhead) and soft tissue swelling , smaller
erosions are present involving the first tarsometatarsal and second
metatarsophalangeal joints (arrows)
Dense soft tissue mass medial to head of first metatarsal and associated
osseous erosions
The great toe demonstrates extensive juxta-articular erosions
with soft tissue swelling
Sclerosis and joint-space narrowing are seen in the first
metatarsophalangeal joint as well as in the fourth interphalangeal
joint
Moderate degenerative changes affect the ankle joints on both sides , degenerative
change is also noted at the talonavicular joints of both feet , nodular calcification is
evident closely applied to the bases of the fourth and fifth metatarsals on the right
with associated erosions
Olecranon bursitis
Gout-Olecranon Bursitis , there is soft tissue swelling in the olecranon
bursa (white arrow) , a finding suggestive of gout , there are also
erosions (blue arrows) around the elbow joint
Olecranon bursitis
Prepatellar bursitis
Prepatellar bursal gout , lateral knee radiograph shows dense focal
prepatellar soft tissue swelling with peripheral soft tissue
calcifications
Tophaceous gouty arthritis , extensive bony erosions are noted
throughout the carpal bones , urate depositions may be present in
the periarticular areas
Large tophaceous deposits (white arrows) surrounding several of the
joints of the right hand , there are juxta-articular , punched-out lytic
erosions (white and yellow circles) and a lack of osteoporosis
characteristic of gout , the erosions are shown in close-up view
(blue arrows)
2-Calcium Pyrophosphate Dihydrate
Deposition : (CPPD)
a) Incidence
b) Radiographic Features
a) Incidence :
-Common, especially in the elderly
-Characterised by the deposition of calcium
pyrophosphate in soft tissues and
cartilage
b) Radiographic Features :
-Two main features :
1-Chondrocalcinosis
2-Arthropathy resembling OA
-Chondrocalcinosis can occur in many locations , notable
sites include :
1-knee : medial meniscus and patellofemoral joint
2-Triangular fibrocartilage complex of wrist (TFCC) ,
advanced disease may lead to scapholunate advanced
collapse (SLAC) which is proximal migration of the
capitate between the dissociated scaphoid & lunate , and
may be also seen in RA or trauma
3-Peri-odontoid tissue around the dens : crowned dens
syndrome (partially calcified mass seen behind the
odontoid process compressing the cervical cord)
4-Intervertebral discs
*N.B. :
Differential Diagnosis of Chondrocalcinosis : HOGWASH
1-CPPD , the most common cause
2-Hypercalcemia (HPT)
3-Hypomagnesemia
4-Hypothyroidism
5-Ochronosis
6-Oxalosis
7-Gout
8-Wilson disease
9-Acromegaly
10-Osteoarthritis
11-HADD (Hydroxyapatite deposition disease)
12-Hemochromatosis
13-Trauma (focal chondroclacinosis in a traumatized joint)
-Features of degenerative joint disease in joints
that are not normally affected by it (i.e. non-
weight bearing joints) :
1-Shoulder joint
2-Elbow joint
3-Radiocarpal joint
4-Patellofemoral joint
5-2nd
& 3rd
MCP
-Large subchondral cysts may be present
Radiodense lines paralleling the articular surface and calcification in the
menisci of the knee identify the presence of chondrocalcinosis
Chondrocalcinosis within the meniscal cartilage of the knee
Linear calcification is present within the lateral meniscus
Chondrocalcinosis of the knee
Chondrocalcinosis of the TFCC (arrow) , a common site of
chondrocalcinosis
Calcification within the substance of the triangular fibrocartilage (TFCC)
and evidence of laxity or disruption of the scapholunate ligament
with widening of the scapholunate interval
Scapholunate advanced collapse (SLAC) wrist secondary to CPPD , PA view of the wrist
shows widening of the scapholunate distance (arrowhead) with proximal migration of
the capitate and calcification of hyaline cartilage , triangular fibrocartilage (arrow) and
interosseous lunotriquetral ligament , Subchondral cysts also are seen in the carpal
bones and at the base of the fifth metacarpal
(SLAC) , there is chondrocalcinosis in the triangular fibrocartilage of the
ulna (white arrow) , there is narrowing of the radio-carpal joint and
proximal migration of the capitate into the widened space between
the scaphoid and the lunate (yellow arrow)
CPPD of hand and wrist , on the left , shows hook-like projections arising from radial aspect of
metacarpal heads , on the right , shows SLAC-scapholunate advanced collapse with
characteristic indentation in distal radius by scaphoid bone , there is also chondrocalcinosis of the
triangular fibrocartilage of the distal ulna
Cervical spine Narrowing of all disc spaces especially at the C2-C3 level with a marginal
erosion anteriorly and irregular lining of the end-plates , calcifications of the anterior
longitudinal ligament and spondylophyte formation anteriorly
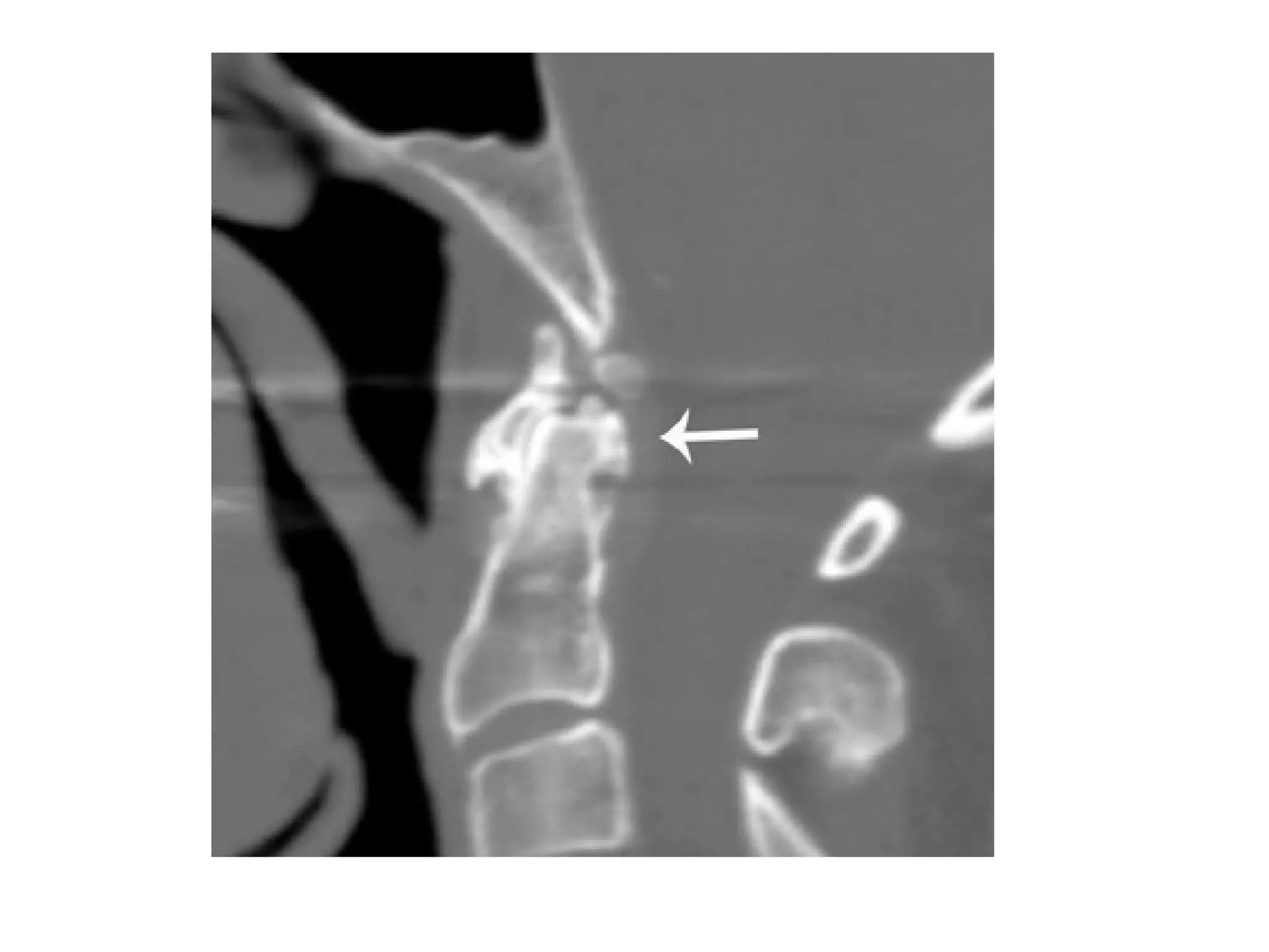
CT cervical spine lateral view Partially calcified pseudomass behind the dens , extensive narrowing
and erosive changes of the end-plates at the C2-C3 level , large erosion anteriorly in the C3 body
, intervertebral disc calcifications at the C6-C7 and C7-Th1 levels , calcifications in the posterior
and anterior longitudinal ligaments and annulus fibrosus , calcifications at the interspinous
ligament C7 , spondylophyte formation anteriorly
Crown-shaped calcium deposits surrounding the odontoid process
Lateral radiograph of lumbar spine with calcification of
vertebral disks
Amorphous calcifications (arrowhead) at the site of insertion of the
supraspinatus tendon on the greater tuberosity
Cartilaginous and capsular calcifications (arrows) are seen within the
second through fourth metatarsophalangeal joints , a nondisplaced
fracture of the fourth metatarsal neck is noted
3-Basic Calcium Phosphate (BCP)
deposition Disease :
a) Incidence
b) Radiographic Features
a) Incidence :
-Known as Calcium Hydroxyapatite (HA) crystal
deposition disease (HADD)
-BCP deposition is predominantly periarticular as
opposed to intraarticular CPPD
-The crystal deposition causes periarticular
inflammation without structural joint
abnormalities
-A Milwaukee shoulder refers to a destructive
shoulder arthropathy due to deposition
of hydroxyapatite crystals
b) Radiographic Features :
-Appears as homogeneous and round to ovoid
calcification in the soft tissue with well defined or
ill defined margins
-Most characteristic lesions are seen in the
shoulder with the supraspinatus and biceps
tendon involvement adjacent to the greater
tuberosity and above the glenoid rim
respectively where these tendon attach
-Less frequently seen in flexor carpi ulnaris tendon
near pisiform bone & in hand : MCP ,
interphalangeal joints
Well circumscribed amorphous calcifications not containing trabeculae
adjacent to and paralleling the greater tubercle of the humerus
(white arrow)
b) Other Deposition Diseases :
1-Hemochromatosis
2-Wilson's Disease
3-Alkaptonuria
4-Amyloidosis
5-Multicentric Reticulohistiocytosis
6-Hemophilia
1-Hemochromatosis :
a) Incidence
b) Radiographic Features
a) Incidence :
-Develops in 50% of patients with
hemochromatosis
-Secondary to iron deposition and / or
concomitant CPPD deposition
-Arthropathy changes are similar to those
seen in CPPD
b) Radiographic Features :
-Same distribution and productive changes
as in CPPD
-Distinctive features :
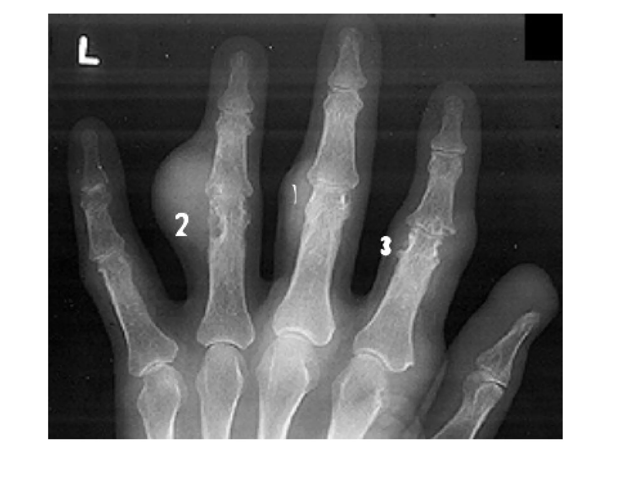
1-Beaklike osteophytes on MCP heads
2-Generalized osteoporosis
Degenerative changes at the 2nd and 3rd MCPs bilaterally (red arrows)
with beak shaped osteophytes (yellow arrows) noted on the radial
aspects of the metacarpal heads
There is metacarpophalangeal joint space narrowing and there are overhanging
osteophytes of the metacarpal heads of the right index and long fingers , no fracture
or dislocation
Overhanging (hooked) osteophytes of the metacarpal heads of the right index
Hook-like osteophyte (arrowhead) at the third metacarpal head with
cartilage loss at metacarpophalangeal joints (stars) and
chondrocalcinosis of triangular fibrocartilage (arrow)
2-Wilson's Disease :
a) Incidence
b) Radiographic Features
a) Incidence :
-Defect in the biliary excretion of copper
results in accumulation of copper in basal
ganglia , liver , joints and other tissues
-Autosomal recessive
b) Radiographic Features :
-Same distribution as CPPD
-Distinctive features :
1-Subchondral fragmentation
2-Generalized osteoporosis
3-Alkaptonuria : (Ochronosis)
a) Incidence
b) Radiographic Features
a) Incidence :
-Absence of homogentisic acid oxidase
(HGA) results in tissue accumulation of
homogentisic acid
-Homogentisic acid deposits in hyaline
cartilage and fibrocartilage cause a brown-
black pigmentation
-Autosomal recessive
b) Radiographic Features :
1-Vertebral :
-Multi level intervertebral disc calcification :
tends to be widespread
-Syndesmophytic formation
-Multi level disc space narrowing
2-Joints :
-Symmetrical or asymmetrical joint space loss :
early osteoarthrosis
-Subchondral sclerosis
-Chondrocalcinosis
Diffuse intervertebral disc calcification at multiple levels
with vaccum phenomenon
Intervertebral disc calcifications at multiple levels with degenerative
changes
Degenerative changes at articular surfaces with joint space narrowing and
calcifications in soft tissues anterolateral to knee joint
Shoulder joints showing degenerative changes
Irregularity at superolateral acetabulum on both sides indicating early
degenerative changes
4-Amyloidosis :
a) Incidence
b) Radiographic Features
a) Incidence :
-Is the extracellular deposition of the fibrous
protein amyloid within the skeletal system
-10% of patients with amyloid have bone or
joint involvement
-Amyloid may cause a nodular synovitis with
erosions , similar to that seen in RA
b) Radiographic Features :
-Features of amyloid arthropathy are those of an
erosive and destructive osteoarthropathy ,
involving most commonly the hips , shoulders
and carpal bones , distribution is frequently
bilateral
-Bulky soft tissue nodules (i.e. shoulder-pad sign)
-Subchondral cystic lesions , usually with well-
defined sclerotic margins
-Well-marginated erosions
-Preserved joint space
Shoulder-pad sign
Well-defined cystic lesion (arrow) with sclerotic rim in area
of left femoral neck
52 year old woman on hemodialysis for 26 years for lupus nephritis
with biopsy-proven dialysis-related amyloidosis , conventional
radiograph shows discrete erosion in lateral aspect of acetabulum
(arrowhead)
Well-defined cystic lesion (arrowhead) with sclerotic rim
(arrows) in superior-posterior left humeral head
Radiolucent lesions of various sizes involving carpal bones (arrows) ,
most have sclerotic margins and some have a lobulated outline , in
carpi , lunate and scaphoid are most often affected
Multiple erosions in superior and inferior articular process
of facet joints (arrows) caused by amyloid deposits
Narrowing of intervertebral spaces from C2 through C7
(arrowheads)
5-Multicentric Reticulohistiocytosis :
a) Incidence
b) Radiographic Features
a) Incidence :
-Systemic disease of unknown origin
-Similar radiographic features as gout and
RA
-There is a recognized associated with
various malignancies (upto 25% of cases)
such as :ovarian cancer & breast cancer
b) Radiographic Features :
-Nodular soft tissue swelling
-Sharply demarcated marginal erosions
-Mostly distal phalangeal joints
-Bilateral and symmetrical
-Absence of periarticular osteopenia (unlike
RA)
Lack of osteoporosis , the marked destruction of not only the carpals but of all
the interphalangeal joints, the non-calcified soft tissue masses (white
arrows) and the symmetrical distribution in both hands
Symmetrical well defined marginal erosions of the wrist , intercarpal , carpometacarpal ,
metacarpophalangeal and interphalangeal joints more marked at the DIP joints in
both hands , minimal osteoporosis noted
6-Hemophilia :
a) Incidence
b) Classification
c) Radiographic Features
a) Incidence :
-Hemophilia is exclusively in males
-X linked inherited disorder of either factor VIII
(hemophilia A) or IX (hemophilia B , Christmas
disease) deficiency causing recurrent bleeding
-Arthropathy is secondary to repeated
spontaneous hemarthroses which occur in 90%
of hemophiliacs
-70% are monoarticular (knee > elbow > ankle >
hip > shoulder)
b) Classification :
-Arnold-Hilgartner classification is a plain radiograph
grading system for hemophilic arthropathy of the knee :
*Stage 0 : normal joint
*Stage I : no skeletal abnormalities , soft-tissue swelling is
present
*Stage II : osteoporosis and overgrowth of the epiphysis ,
no cysts , no narrowing of the cartilage space
*Stage III : early subchondral bone cysts , squaring of the
patella , widened notch of the distal femur or humerus &
partial narrowing of the cartilage space
*Stage IV : fibrous joint contractures , loss of the joint
cartilage space , extensive enlargement of the epiphyses
with substantial disorganization of the joint
(A) Grade I , soft-tissue swelling , (B) Grade II , normal cartilage interval, early joint
surface erosions, widened epiphyses, and juxta articular osteopenia , (C) Grade III ,
the medial compartment has surface irregularity , subchondral cysts , reactive
sclerosis and partially narrowed cartilage interval , (D) Grade IV , complete loss of
cartilage interval , extensive surface erosions, a large synovial cyst , tibiofemoral
subluxation and lateral subluxation of the patella
Grade II , osteopenia , epiphyseal enlargement and
increased density of soft parts
Grade II , slight osteopenia and some early overgrowth of
the condyles but the joint space is well maintained
Stage II , enlargement of the epiphyses of the right femur (especially medial condyle) (red
arrowhead) and tibia due to chronic hyperemia , secondary trabeculae are resorbed
leaving linear striations in the bone (orange arrowhead) , soft tissues on the right side
appear enlarged and dense due to hemosiderin deposition (green arrowhead)
Grade III , subchondral cysts , however not reducing joint
space at the femorotibial interline
Grade III , early narrowing of the joint space from loss of cartilage and
spur formation on the margins of the condyles , the patella
demonstrates early squaring from hyperemia and overgrowth
Grade III Grade IV
Grade IV , loss of the joint space, cyst formation within the condyles and the
articular surface of the patella
c) Radiographic Features :
1-Acute episode
2-Secondary degenerative disease
3-Knee
4-Elbow
5-Ankle
1-Acute episode :
-Joint effusion seen in setting of
hemarthroses
-Periarticular osteoporosis : from
hyperaemia
2-Secondary degenerative disease :
-Epiphyseal enlargement , from
hyperaemia , similar to juvenile RA and
paralysis
-Secondary OA with subchondral cysts
Periarticular osteoporosis and epiphyseal enlargement are seen at left
knee radiograph with widened intercondylar notch , there is also
evidence of joint effusion in favour of hemarthrosis , grade II
Epiphyseal enlargement
Subchondral cyst
Severe cartilage space loss and secondary osteoarthritis with marginal
osteophytes , there is widening of the intercondylar notch of the
femur
A , Early arthritis of the knee, showing soft tissue swelling , widening of the femoral
condyles and tibial plateau , irregularity of the distal femoral epiphysis and a few
subchondral bone cysts , B , More advanced arthritis involving the elbow showing
almost complete loss of joint space and extensive subchondral cyst formation , the
widening of the proximal radius is characteristic of hemophilic arthropathy
Irregularity of the articular surfaces , subchondral sclerosis , widening
and erosion of intercondylar notch , enlargement of distal femoral
epiphysis , flattening of distal femoral condyles, Hemophiliac
pseudotumor (huge soft tissue mass resultant from hemorrhage)
Irregularity of the articular surfaces and subchondral sclerosis ,
hemophiliac pseudotumor (hemorrhage had such an extent that a
huge soft tissue mass resulted)
3-Knee :
-Widened intercondylar notch
-Squared patella
-Similar radiographic appearance as JRA
4-Elbow :
-Enlarged radial head
-Widened trochlear notch
5-Ankle :
-Talar tilt : relative undergrowth of the lateral side
of the tibial epiphysis leads to a pronated foot
Widening of the interconylar notch , accentuation of the
trabeculae and enlargement of the medial epicondyle
Widened intercondylar notch
Early squaring of the patella from hyperemia and overgrowth
c) Endocrine :
-Acromegaly :
(See endocrine bone diseases)
-In contrast to all other arthropathies , joint spaces
are widened in early disease due to cartilage
hypertrophy , later in the disease , secondary
OA occurs with cartilage space narrowing
-In the hand , beak like osteophytes of the
metacarpal heads and spade like enlargement
of the terminal tufts are characteristic
5-Infectious Arthritis : (Septic)
a) Incidence
b) Etiology
c) Radiographic Features
d) Neuropathic Arthritis
a) Incidence :
-More common in adults
-usually from local trauma , surgery or
accident
-Destruction of articular cartilage and cortex
b) Etiology :
-Usually staph aureus
-Strept in infants
-Hemophilus in preschoolers
-Gonococcal arthritis in sexually active
young patients (80% women)
-Gram negative in D.M. & Alcoholics
-T.B. spread via blood stream from the lung
c) Radiographic Features :
-Joint effusion
-Juxta-articular osteoporosis
-Destruction of subchondral bone on both
sides of the joint with subsequent joint
space narrowing
(A) During the progression of
infectious arthritis of the hip ,
this image was obtained early
in the disease and shows only
concentric joint-space loss
(B) During the progression of
infectious arthritis of the hip ,
subchondral erosions and
sclerosis of the femoral head
are present
(C) During the progression of
infectious arthritis of the hip , 8
months after the initial
examination , osteonecrosis
and complete collapse of the
femoral head are present
d) Neuropathic Joints : (Charcot Joint)
1-Incidence
2-Etiology
3-Types
4-Radiographic Features
5-Differential Diagnosis
1-Incidence :
-Refers to a progressive degenerative / destructive
joint disorder in patients with abnormal pain
sensation
2-Etiology :
a) Diabetes neuropathy : usually foot
b) Tertiary syphilis (tabes dorsalis) : usually knee
and spine
c) Syringomyelia : usually shoulder
3-Types :
a) Hypertrophic type , 20% :
-Marked fragmentation of articular bone
-Much reactive bone
b) Atrophic type , 40% :
-Bone resorption of articular portion
c) Combined type , 40%
4-Radiographic Features : 6D
1-Dense bones (subchondral sclerosis)
2-Degeneration
3-Destruction of articular cartilage
4-Deformity (pencil-point deformity of metatarsal
heads)
5-Debris (loose bodies)
6-Dislocation (Lisfranc Fracture / Dislocation)
**N.B. : Atrophic variant is more commonly in
shoulder , appears as humeral head resorption
with a sharp , surgical-like margin
Anteroposterior (a) and lateral (b) plain radiographs of the foot in a 57-
year-old diabetic patient with longstanding neuropathic arthropathy
show disorganization and fragments (white arrows) along Lisfranc
and Chopart joints
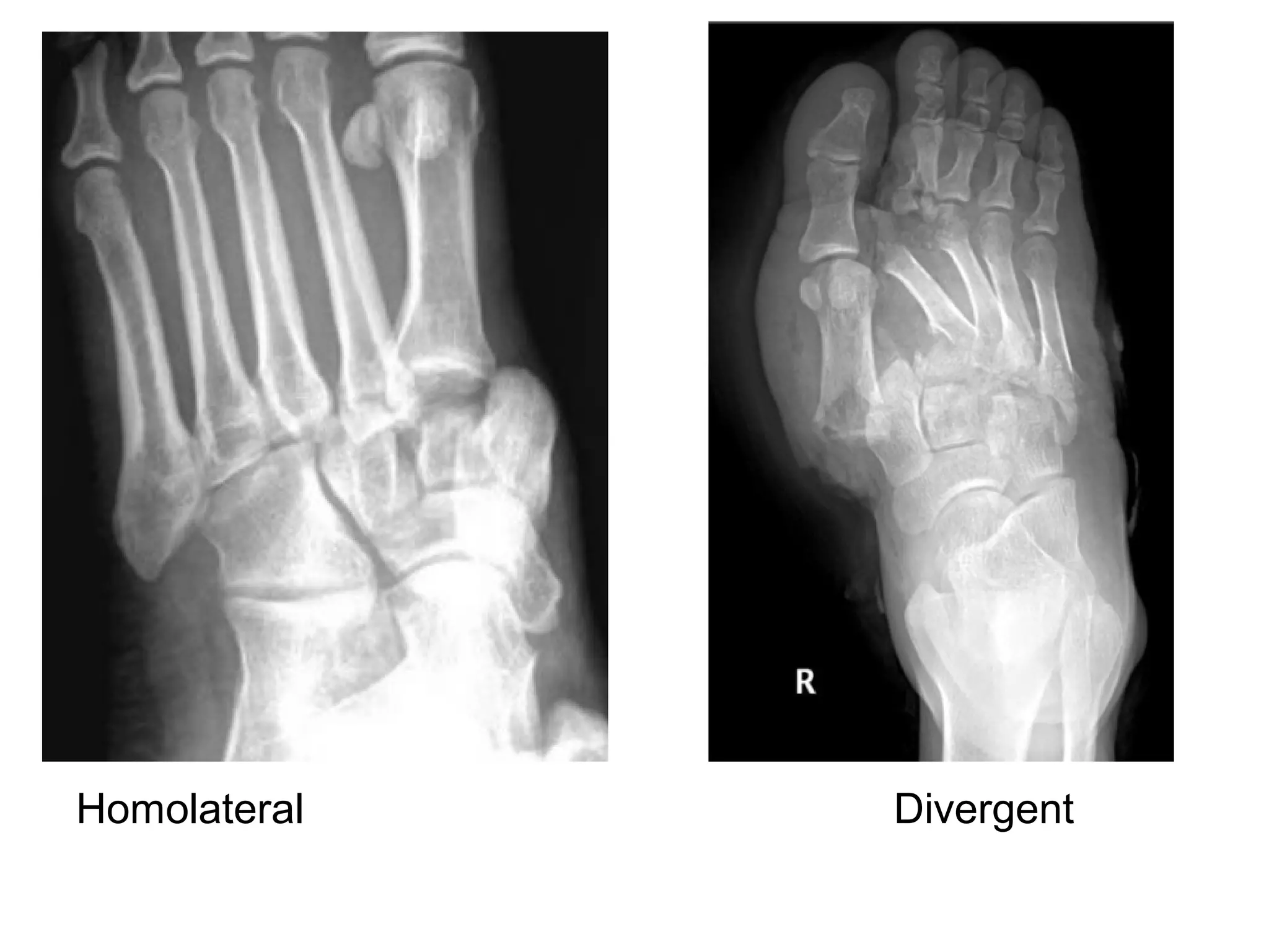
**N.B. : Lisfranc dislocation
-The Lisfranc joint is the articulation of the tarsus with the
metatarsal bases, whereby the first three metatarsals
articulate respectively with the three cuneiforms and the
4thand 5th metatarsals with the cuboid
-Two types :
1-Homolateral :
-A homolateral injury is the lateral displacement of the
1st to 5th metatarsals , or of 2nd
to 5th metatarsals where
the 1st MTP joint remains congruent
2-Divergent :
-A divergent injury is the lateral dislocation of the 2nd to
5th metatarsals with medial dislocation of the
1st metatarsal
Homolateral Divergent
Fragmentation , collapse and sclerosis of the intertarsal joints
Destruction of the articular surface of the intertarsal joints
with subchondral sclerosis
Lateral disruption of the base of the metatarsal in relation to the tarsals
representing a Lisfranc fracture/dislocation , note the soft-tissue gas
and osteomyelitis of the second and third metatarsal heads
Lisfranc fracture/dislocation in a patient with diabetes and neuropathic
arthropathy , note the soft-tissue swelling , fragmentation , sclerosis
and periostitis
Osteolysis of the distal metatarsals and phalanges with tapering results in a
pencil-like appearance in the late stage of diabetic neuropathy
5-Differential Diagnosis :
-Advanced osteomyelitis :
Can co exist (especially in the foot)
-Tuberculous spondylitis / Pott's disease (in
the spine)
-Chondrosarcoma (shoulder) , chondroid
matrix instead of bony debris
-Inflammatory osteoarthritis / arthritis , early
stages can resemble Charcot joint
Diagnostic Imaging of Arthritis

Diagnostic Imaging of Arthritis

  • 1.
  • 2.
    Mohamed Zaitoun Assistant Lecturer-DiagnosticRadiology Department , Zagazig University Hospitals Egypt FINR (Fellowship of Interventional Neuroradiology)-Switzerland zaitoun82@gmail.com
  • 5.
    Knowing as muchas possible about your enemy precedes successful battle and learning about the disease process precedes successful management
  • 6.
    Mohamed Zaitoun Radiology AssistantLecturer Zagazig University-Egypt zaitoun82@gmail.com
  • 7.
  • 10.
    1-General : a) Alignment: -Sublaxation -Dislocation b) Bone : -Osteoporosis -Erosions -Bone production
  • 11.
    c) Cartilage : -Narrowingof joint space -calcifications d) Distribution : -Monoarticular or polyarticular -Proximal / distal -Symmetry e) Soft Tissue : -Swelling , diffuse or focal -Calcification
  • 12.
    2-Degenerative Arthritis :(Osteoarthritis) a) Incidence b) Types c) Radiographic Features d) Erosive Osteoarthritis e) Degenerative Disk Disease f) Spondylosis Deformans g) Diffuse Idiopathic Skeletal Hyperostosis
  • 13.
    a) Incidence : -Themost common of the arthritides -80 % of population > 50 years have radiologic evidence of OA -Typically occurs in weight-bearing joints and the hands in a specific distribution
  • 14.
    b) Types : 1-PrimaryOA : -No underlying local etiologic factors -Abnormally high mechanical forces on normal joint -Age related 2-Secondary OA : -Underlying etiologic factors : CPPD < trauma , inflammatory arthritis , hemochromatosis , acromegaly , congenital hip dysplasia , osteonecrosis , loose bodies -Normal forces on abnormal joint
  • 15.
    c) Radiographic Features: 5 hallmarks 1-Narrowing of joint space , usually asymmetrical 2-Subchondral sclerosis 3-Subchondral cysts (Geode) , well-defined lytic lesion (one of the common differential diagnoses of a lytic epiphyseal lesions) 4-Osteophytes (bone spur) 5-Lack of osteoporosis
  • 16.
    **N.B. : -Although jointspace narrowing is present in all arthritides , OA can be diagnosed with confidence when subchondral sclerosis , osteophytosis and subchondral cystic changes are present and inflammatory erosions are absent , when extensive subchondral cystic changes are present , calcium pyrophosphate dihydrate crystal deposition disease (CPPD) should be considered as well -In shoulder OA , the Grashey view (obtained posteriorly in 40 degree obliqued external rotation) shows the glenohumeral joint in profile and best demonstrates cartilage space narrowing
  • 18.
    *N.B. : -Differential Diagnosisof epiphyseal lesions: 1-Chondroblastoma : rare epiphyseal tumor found in young adults 2-Giant Cell Tumor (GCT) : occurs in older childhood and adolescents in whom the epiphyseal growth plates are close 3-Geode / intraosseous ganglion 4-Osteomyelitis 5-Chondrosarcoma
  • 21.
    In the knees, primary OA predominately involves the medial tibiofemoral and patellofemoral compartments , the asymmetric medial joint space loss (white arrow) causes a varus deformity on standing radiographs , a large osteophyte classically forms on the medial tibial articular margin (red arrow) , subchondral sclerosis and cyst formation may also be found
  • 22.
    Significant OA ofthe patellofemoral compartment , there are prominent osteophytes (white arrows) and joint space narrowing (red arrow) , large ossified intra-articular loose bodies are also incidentally present (blue arrow)
  • 27.
  • 28.
    In the hips, primary OA predominately involves narrowing of the superior aspect of the joint , subchondral sclerosis (white arrow) , the femoral head may become flattened (blue arrow) , Osteoarthritic pseudocysts in the acetabulum are termed Egger cysts (red arrow)
  • 29.
  • 30.
  • 31.
    Osteoarthritis of theglenohumeral joint , joint space narrowing , sclerosis and formation of intra-articular bodies (arrow) are seen
  • 32.
    Severe tricompartmental osteoarthritis, joint space obliteration in the medial femoral tibial , lateral femoral tibial and patellofemoral compartments ; varus angulation and lateral subluxation of the tibia and osteophyte formation
  • 33.
    OA of thefingers involves the DIP and PIP joints , the classic findings are joint space narrowing (white arrow) , osteophyte formation (yellow arrow) , subchondral sclerosis (red arrow) and subchondral cyst formation (blue arrow)
  • 34.
    OA of thewrist with involvement of the first carpometacarpal joint shows joint space narrowing (white arrow) and subchondral sclerosis (red arrow)
  • 35.
    OA of theankle (A) , lateral view demonstrates anterior osteophyte formation (arrow) and tibiotalar joint space narrowing , (B) , an anteroposterior radiograph of the ankle delineates joint space narrowing , sclerosis , fragmentation and osteophytosisv
  • 36.
    Osteoarthritis of thefirst metatarsophalangeal joint , hallux rigidus , (A) , frontal and (B) ,oblique radiographs reveal considerable joint space narrowing , sclerosis and osteophytosis about the first metatarsophalangeal articulation
  • 39.
    Valgus angulation ofboth the right and left knees with severe bilateral lateral compartment osteoarthritis
  • 42.
    -N.B. : OAof the hands : -Similar to OA of other joints , the radiographic hallmarks of OA in the hand include cartilage space narrowing , subchondral sclerosis & osteophytosis , erosions are absent -In order of decreasing involvement , typical sites of OA in the hand include the DIP , the base of the thumb at the first CMC and the PIP -The most common site of OA in the hands is the 2nd DIP -Large osteophytes cause characteristic soft tissue swelling surrounding the finger joints : 1-Heberden's nodes in DIP 2-Bouchard's nodes in PIP
  • 46.
    OA , handCartilage loss with narrowing of interphalangeal joints B: Bouchard nodes (osteophytes proximal interphalangeal joints) H: Heberden nodes (osteophytes distal interphalangeal joints)
  • 47.
    d) Erosive Osteoarthritis: 1-Incidence 2-Radiographic Features
  • 48.
    1-Incidence : -Form ofosteoarthritis where there is an additional erosive / inflammatory component -More in elderly females typically presenting in the postmenopausal patient , patients are rheumatoid factor negative -Erosive osteoarthritis has a predilection for the hands
  • 49.
    2-Radiographic Features : -Typicallybilateral , poly-articular and relatively symmetrical involvement -Erosive changes of : a) Distal interphalangeal (DIP) joints b) Proximal interphalangeal (PIP) joints c) First carpometacarpal (CMC) joint (typical involvement of first CMC may help distinguish erosive OA from rheumatoid arthritis (RA) , psoriatic arthritis and adult Still's disease) -Diffuse cartilage space loss -Sea-Gull wing appearance (the combination of cartilage space loss , subchondral central erosions & osteophyte formation)
  • 50.
  • 51.
    Gull wing appearanceof the DIP (arrows)
  • 52.
    Gull wing deformitiesin erosive arthritis , cartilage loss and bone remodeling at the middle and ring finger proximal interphalangeal joints produce a gull wing appearance
  • 54.
    Arthritis which affectsmainly the DIP and PIP joints (white arrows) and carpal-metacarpal joint of thumb (yellow arrow) , there are small osteophytes and erosions (white circle)
  • 55.
    Central erosion ofthe proximal part of joint (yellow arrow) and bone overgrowth peripherally (white arrows) resembling a seagull's wings
  • 57.
  • 58.
    Interphalangeal joints (IPJs)of (A) osteoarthritis : focal narrowing , marginal osteophyte , sclerosis , osteochondral bodies , (B) erosive OA : subchondral erosion , (C) psoriasis : proliferative marginal erosion , retained or increased bone density and (D) rheumatoid arthritis : non-proliferative marginal erosion , osteopoenia
  • 59.
    e) Degenerative DiskDisease : 1-Plain Radiography 2-MRI
  • 60.
    1-Plain Radiography : -Diskspace narrowing -Vacuum phenomenon in disk space (gas in the intervertebral disc) , pathognomonic for degenerative disease -Endplate osteophytes and sclerosis **N.B. : -It is important not to confuse vacuum phenomenon (gas in intervertebral disc) with Kummel disease which is gas in a vertebral body compression fracture representing osteonecrosis
  • 61.
  • 63.
    Narrowed disc spacewith vacuum phenomenon
  • 64.
  • 65.
    Severely decreased heightof several disc spaces (white arrow) and anterior osteophytes (bone spur , open arrow) ,sclerosis (3 arrowheads) of posterior facet joints
  • 66.
    2-MRI : -Disk signalabnormalities (loss of T2 bright signal) indicate degeneration -Decreased disk height -Endplate changes : a) Modic I : dark T1 / bright T2 (vascular tissue ingrowth) b) Modic II : bright T1 / bright T2 (fatty change) c) Modic III : dark T1 / dark T2 (sclerosis) -Disk contour abnormalities : See Spine a) Bulges b) Protrusions or extrusions
  • 67.
    Loss of brightT2 signal
  • 68.
  • 69.
  • 70.
  • 71.
  • 72.
    f) Spondylosis Deformans: -Degenerative changes of the annulus fibrosis result in anterior and anterolateral disk herniations -Traction osteophytes may form secondarily and project several millimeters from the endplate -Disk spaces are usually well preserved
  • 73.
    Spondylosis deformans ,lateral radiograph of the lumbar spine reveals osteophyte formation (arrows) , these initially extend in a horizontal direction and then in a vertical one , severe apophyseal joint osteoarthritis is also present
  • 74.
    g) Diffuse IdiopathicSkeletal Hyperostosis : (DISH) a) Incidence b) Radiographic Features
  • 75.
    a) Incidence : -Knownas Forestier disease -DISH most commonly affects the elderly (especially 6th to 7th decades) -Most common site is thoracic spine (T7-11) -Severe productive bone formation in the soft tissues around the spine resulting in bulky flowing osteophytes
  • 76.
    b) Radiographic Features: -Flowing osteophytes of at least four contiguous vertebral bodies (anteriorly, anterolaterally, predominantly right sided) -Preserved disk height -Calcification of ligaments and tendons -No sacroilitis or facet joint ankylosis -If seen in a child, consider JRA -Myelopathy can occur due to associated ossification of the posterior longitudinal ligament or vertebral complications (fracture or sublaxation)
  • 77.
    Anteroposterior (A) andlateral (B) radiographs of thoracic spine show characteristic flowing ossifications at anterolateral aspect of multiple contiguous levels on right side
  • 78.
    51-year-old man withdiffuse idiopathic skeletal hyperostosis , Anteroposterior (A) and lateral (B) radiographs of thoracic spine show interdigitating areas of protruding disk material in flowing ossifications at multiple levels (arrows)
  • 79.
    There is flowingossification (black arrows) that spans more than four contiguous vertebral bodies while the disc height is maintained and the flowing ossification is separated from the anterior aspect of the vertebral body (blue arrows)
  • 82.
    Presence of ossificationbridging of the anterolateral aspect of contiguous vertebral bodies (blue arrows) and preservation of the disc height in affected areas , absence of apophyseal joint ankylosis and sacroiliac joint fusion , ossification within in the anterior side of the disk (orange arrows) , in the interspinous ligament (green arrows) and at the proximal aspect of the ribs (yellow arrows)
  • 84.
    80-year-old man withdiffuse idiopathic skeletal hyperostosis (DISH) , Coronal (A) and sagittal (B) reformatted CT images of thoracic spine show transverse fracture through inferior aspect of T8 vertebral body (arrows) extending (B) into mid portion of subjacent T8-T9 disk space (arrowhead, B)
  • 85.
    52-year-old man withdiffuse idiopathic skeletal hyperostosis , Sagittal reformatted CT image (A) and sagittal T1 (B) and T2 fat-suppressed (C) of thoracic spine show transverse fracture of T7 vertebra that involves central aspect of vertebral body and posterior elements (arrow) , Fracture line is hypointense on T1 (B) and hyperintense on T2 fat-suppressed (C)
  • 86.
    59-year-old man withankylosing spondylitis , Sagittal CT reformatted image (A) and sagittal T1 (B) and T2 fat-suppressed (C) of thoracic spine show transdiskal fracture at T8-T9 level that extends into subjacent superior endplate (arrow) , On MR images , note bone marrow edema about inferior endplate of T8 and superior endplate of T9
  • 87.
    80-year-old man withdiffuse idiopathic skeletal hyperostosis (DISH) , Axial CT image shows apophyseal joints were not fused , which distinguishes DISH from ankylosing spondylitis (arrows)
  • 88.
    Absence of apophysealjoint ankylosis and costovertebral joint fusion with diffuse idiopathic skeletal hyperostosis which is present with ankylosing spondylitis , axial CT image of thoracic spine in 66-year-old man with diffuse idiopathic skeletal hyperostosis shows normal apophyseal joints with no evidence of fusion (long arrow) and mild osteoarthritic changes of costovertebral joints that are not fused (short arrow)
  • 89.
    3-Inflammatory Arthritis : -ThreeTypes of Inflammatory Arthritis : (i) Autoimmune Arthritis (ii) Seronegative Spondyloarthropathies (iii) Erosive OA
  • 90.
    (i) Autoimmune Arthritis: 1-RA 2-Scleroderma 3-Systemic lupus erythematosus (SLE) 4-Dermatomyositis
  • 91.
    1-Rheumatoid Arthritis (RA): a) Incidence b) Diagnosis c) Radiographic Features d) Juvenile Rheumatoid Arthritis
  • 92.
    a) Incidence : -Morein females -Onset is generally in adulthood, peaking in the 4th and 5th decades -RA first affects the small joints in the hands and wrists -The pediatric condition, juvenile rheumatoid arthritis (see later)
  • 93.
    b) Diagnosis : -Fourout of seven of the following are present : 1-Morning stiffness lasting at least 1 hour before maximal improvement 2-Soft tissue swelling of 3 or more joints observed by a physician 3-Swelling of the proximal interphalangeal , metacarpophalangeal or wrist joints 4-Symmetric swelling 5-Rheumatoid nodules 6-Presence of rheumatoid factor 7-Radiographic erosions and / or periarticular osteopenia in hand and/or wrist joints
  • 94.
    c) Radiographic Features: (i) Skeletal Manifestations : *Early : 1-Periarticular soft tissue swelling (edema , synovial congestion) 2-Periarticular osteopenia in symmetrical distribution (hallmark), reflecting synovitis & hyperemia 3-Preferred sites of early involvement : Hands : 2nd and 3rd MCP joints Feet : 4th and 5th MTP joints -N.B. As a rule, the DIP joints are spared
  • 96.
    Early changes aresoft tissue swelling (white arrow) , joint space narrowing (blue arrow) and erosions of the proximal interphalangeal (PIP) joints (red arrows)
  • 97.
    Joint space narrowing, bone erosion (arrow heads) and periarticular soft tissue swelling (arrow)
  • 98.
    *Late : 1-Marginal erosions(pannus formation & granulation tissue) 2-Erosions of the ulnar styloid and triquetrum are characteristic 3-Subchondral cyst formation results from synovial fluid
  • 100.
  • 102.
    Advanced changes ofrheumatoid arthritis with soft tissue swelling (yellow arrows) , narrowing of the radiocarpal joint space (blue arrow) , erosions (red arrows) and destruction of the ulnar styloid (green arrow) , the intercarpal joints are destroyed as re all of the carpal-metacarpal joints of both hands , note the symmetric appearance of the disease
  • 103.
    4-Subluxation causing : a)Ulnar deviation of the MCP joints b) Boutonierre deformity : -Hyperextension of DIP and flexion of PIP c) Swan neck deformity : -Hyperextension of PIP and flexion of DIP d) Hitchhiker’s thumb deformity : -Flexion of the MCP and extension of distal interphalangeal joint of the thumb 5-Telescope fingers : shortening of phalanges due to dislocations
  • 105.
    Ulnar deviation ofthe fingers at the metacarpophalangeal joints (white arrows)
  • 106.
    Boutonierre deformity (yellowarrows) with Hitchhiker’s thumb deformity (red arrow)
  • 107.
  • 108.
  • 109.
  • 110.
  • 111.
  • 112.
    -N.B. : RAin specific locations 1-RA in shoulder : -Erosion of the distal clavicle -Marginal erosions of the humeral head , tends to occur in the lateral aspect of the humeral heads -Rotator cuff tear >> classic high riding humerus 2-RA in hip : -Concentric loss of joint space (cf osteoarthritis where there is tendency for superior loss of joint space) -Acetabular protrusio , which is defined as > 3 mm medial deviation of the femoral head beyond the ilioischial line in males and > 6 mm in females
  • 113.
  • 114.
  • 116.
    3-RA in spine: See Spine 1-Erosion of the Dens , the cervical spine is involved in up to 70 % of patients 2-Atlantoaxial Subluxation 3-Basilar Invagination (Vertical Subluxation) 4-Erosion and fusion of apophyseal joints 5-Erosion of spinous processes 6-Destruction of intervertebral disks 7-Osteoporosis and osteoporotic fractures **N.B. : A characteristic finding of RA is atlantoaxial (C1-C2) sublaxation
  • 117.
    4-RA in knee: -Joint effusion -Typically involves the lateral or non-weight bearing portion of the joint -Loss of joint space involving all three compartments (medial & lateral tibiofemoral and patellofemoral) , in contrast , OA tends to first affect the medial tibiofemoral articulation -Lack of subchondral sclerosis and osteophytes (cf OA) , if osteophytes & symmetrical cartilage space narrowing are present then secondary OA should be considered
  • 118.
    Uniform joint spaceloss (yellow arrows) , unlike the medial compartment preference of osteoarthritis (OA) , erosions may occur but they are not as prominent as in the hands , there are no osteophytes , Baker's cysts (arrowhead) are frequently found behind the knees of patients with RA
  • 119.
    (a) RA ,(b) Right OA
  • 120.
    RA with 2ryOA , frontal PA weight-bearing view of the knees shows cartilage space narrowing of medial & lateral tibiofemoral articulations bilaterally , the lateral tibiofemoral cartilage spaces are more markedly narrowed (yellow arrows) , prominent osteophytes laterally (red arrows) signify 2ry OA
  • 121.
    5-RA in theFeet : -The feet are commonly involved in RA -Typically the MTP joints in the forefoot and the talocalcaneonavicular joint in the midfoot are involved -Up to 20 % of patients have the MTP joint as the first site of involvement 6-RA in the Elbow : -RA involves the elbow in approximately 1/3 of patients
  • 122.
    (ii) Extraskeletal Manifestations: 1-Pulmonary : -Pleural effusion -Interstitial fibrosis -Pulmonary nodules -Caplan's syndrome : pneumoconiosis , rheumatoid lung nodules , RA 2-Cardiac : -Pericarditis and pericardial effusion , 30% -Myocarditis
  • 123.
    3-Abdominal : -Secondary renaldisease : Glomerulonephritis , amyloid , drug toxicity -Arteritis : infarction , claudication 4-Felty's syndrome : -RA -Splenomegaly -Neutropenia -Thrombocytopenia
  • 124.
    d) Juvenile RheumatoidArthritis : 1-Incidence 2-Radiographic Features
  • 125.
    1-Incidence : -RA withonset at < 16 years -70% of JRA is seronegative -Still's disease = JRA + lymphadenopathy + splenomegaly
  • 126.
    2-Radiographic Features : -Softtissue swelling -Osteopenia -Loss of joint space -Erosions -Growth retardation secondary to premature closure of growth plates , short metacarpals -Overgrowth of epiphyses (increased perfusion) -Joint subluxation -Spinal involvement is very common (70%) and typically precedes peripheral arthritis : *Diffuse ankylosis of posterior articular joints (diagnostic) *C2 subluxation (due to destruction of posterior ligament) *Odontoid fracture
  • 127.
    Extensive bilateral erosivechanges in the carpal and metacarpal bones (arrows) and erosions with associated periosteal reaction and soft-tissue swelling at the proximal phalanges of the left third finger, right fourth finger and right little finger (arrowheads) , there is marked joint space loss in both wrists and at several metacarpophalangeal and interphalangeal joints
  • 128.
    Periarticular osteopenia (arrows)and soft-tissue swelling which is most marked at the proximal interphalangeal and metacarpophalangeal joints of the index finger (arrowheads)
  • 129.
    PA radiographs ofthe left (a) and right (b) wrists show asymmetric advanced maturation and overgrowth of the carpal bones and distal radial epiphysis on the right side ; the left side is unaffected , note that the trapezoid ossification center is present on the right side (arrow) but has not yet appeared on the left side
  • 130.
    Diffuse osteopenia witha well-defined erosion at the base of the hamate bone (arrow)
  • 131.
    Widespread osteopenia ,carpal crowding (due to cartilage loss) and several erosions affecting the carpal bones and metacarpal heads in particular in a child with advanced juvenile idiopathic arthritis (JIA)
  • 132.
    Uniform joint spacenarrowing with small erosions of the femoral head
  • 133.
    Erosions of theradial head and capitellum (arrowheads) , uniform radiocapitellar joint space narrowing and displacement of the anterior and posterior fat pads (arrows) owing to proliferative synovitis
  • 134.
    Plain radiograph ofthe knee shows osteopenia with enlargement of the distal femoral epiphysis , epiphyseal overgrowth is thought to result from chronic hyperemia
  • 135.
    Ankylosis of theposterior elements of the cervical spine (*) , the small narrow vertebral bodies and disk space narrowing seen at the levels affected by ankylosis are characteristic findings in JRA , as is antegonial notching of the mandible (upward curving of the inferior surface of the mandible anterior to the angular process) (arrowhead)
  • 136.
    Ankylosis in thecervical spine at several levels due to long-standing juvenile idiopathic arthritis (JIA)
  • 137.
    2-Scleroderma : a) Incidence b)Radiographic Features
  • 138.
    a) Incidence : -Alsoknown as systemic sclerosis -A multi-system autoimmune connective tissue disorder As such , it affects many separate organ systems : MSK , Pulmonary , Cardiac , GIT , Hepatobiliary and renal
  • 139.
    b) Radiographic Features: -Imaging findings demonstrate bone and soft tissue changes -The hands (finger tips) are the most common site of involvement 1-Bone changes : -Acro-osteolysis (resorption of the distal portion of the distal phalanges) is characteristic , especially if there is accompanying calcification -Periarticular osteoporosis -Joint space narrowing -Erosions 2-Soft tissue Changes : -Subcutaneous and periarticular calcification -Atrophy especially at tips of fingers -Flexion contractures
  • 141.
    Multiple punctate calcifications(circles) in the soft tissues of both hands
  • 142.
    Acroosteolysis , skinatrophy over fingertips and calcinosis cutis
  • 145.
    PA radiograph showsflexion of the fingers , loss of the tufts of the index finger and middle finger distal phalanges and calcification including finger tip calcification
  • 146.
  • 147.
    3-Systemic lupus erythematosus: (SLE) a) Incidence b) Radiographic Features
  • 148.
    a) Incidence : -Nonerosivearthritis (in 90% of SLE) resulting from ligamentous laxity and joint deformity -Distribution is similar to that seen in RA
  • 149.
    b) Radiographic Features: -Prominent subluxations of MCP -Usually bilateral and symmetrical -No erosions -Radiographically similar to Jaccoud's arthropathy -Soft tissue swelling may be the only indicator
  • 151.
    Jaccoud’s arthropathy ofhands , A 55 years old patient diagnosed with SLE for 17 years ago shows findings of arthropathy such as metacarpal ulnar deviation , swan neck deformity (fine white arrow) , boutonniere deformity (black arrow) and Z deformity of thumb (thick white arrow)
  • 152.
    A , PAview of the hands and wrists shows hyperextension of the thumb interphalangeal joints , there are small calcifications at the radial aspect of the right wrist , B , PA view of the hands and wrists shows multiple finger deformities , no erosions are present
  • 153.
    Periarticular osteoporosis withmarked alignment abnormalities at the 2nd-5th MCP joints , there is significant ulnar deviation with hyperextension of the 2nd-5th PIP joints bilaterally , degenerative changes are seen at the DIP joints with marked flexion deformities as well , the carpal joints are well-maintained and there is no significant erosive change noted
  • 154.
    4-Dermatomyositis : -Widespread softtissue calcification is the hallmark
  • 157.
    Dermatomyositis , extensivesoft tissue calcification is present
  • 160.
    (ii) Seronegative Spondyloarthropathies: 1-Ankylosing Spondylitis 2-Reiter's Syndrome (Reactive Arthritis) 3-Psoriasis 4-Enteropathic Arthropathies **N.B. : Sacroiliitis is a hallmark of the spondyloarthritis , symmetric sacroilitis is caused by IBD & AS , while asymmetric sacroilitis is caused by psoriatic arthritis and reactive arthropathy , an important cause of unilateral sacroilitis is septic arthritis , especially in an immunocompromised patient or with IV drug abuse , septic arthritis usually presents with erosive changes in a patient with fever & SI joint pain
  • 161.
    1-Ankylosing Spondylitis : a)Incidence b) Radiographic Features
  • 162.
    a) Incidence : -Seronegativespondyloarthropathy results in fusion (ankylosis) of the spine and sacroiliac (SI) joints -More in adult males -Can be associated with pulmonary fibrosis (upper lobe predominant) , aortitis and cardiac conduction defects
  • 163.
    b) Radiographic Features: 1-Plain Radiography 2-MRI
  • 164.
    1-Plain Radiography : a)Sacroiliac Joints b) Spine
  • 165.
    a) Sacroiliac Joints: -Sacroiliitis is usually the first manifestation and is symmetrical and bilateral -Erosions with widening : early -Sclerosis : intermediate -Ankylosis : late
  • 166.
  • 167.
    Bilateral sacroiliac jointerosions and iliac side subchondral sclerosis
  • 168.
    Bilateral sacroiliitis ,axial CT scan shows erosions and iliac side subchondral sclerosis of both sacroiliac joints
  • 169.
    Bilateral chronic sacroiliitis, shows complete fusion of both sacroiliac joints
  • 170.
    Fusion of bothSI joints
  • 171.
    Joint space narrowingand bony sclerosis around the sacroiliac joints (arrows)
  • 174.
    -Grading of Sacroilitis: *Grade 0 : Normal *Grade I : some blurring of the joint margins suspicious *Grade II : minimal sclerosis with some erosion *Grade III : definite sclerosis on both sides of joint with severe erosions with widening of joint space with or without ankylosis *Grade IV : complete ankylosis
  • 175.
    (a) Grade I: reduced demarcation of joint space , (b) Grade II : small localized areas with erosions and subchondral sclerosis without alteration of joint width , (c) Grade III : Sclerosis & erosions with partial ankylosis of the joint space , (d) Grade IV : total ankylosis of joint space
  • 176.
    Grade 0 :Normal
  • 177.
  • 178.
    Grade II :small erosions (black arrow) and slightly condensed bone (sclerosis) (white arrow)
  • 179.
  • 180.
  • 181.
    b) Spine : 1-Shinycorner sign 2-Vertebral body squaring 3-Marginal syndesmophyte formation 4-Bamboo sign 5-Dagger Sign 6-Trolley-track sign 7-Anderson lesion 8-Enthesopathy
  • 182.
    1-Shiny corner sign: -Represents small erosions at the superior and inferior endplates (corners on lateral radiograph) of the vertebral bodies with surrounding reactive sclerosis , Romanus lesions are erosions wjile shiny corners are sclerosis of prior Romanus lesions at the corner of the body 2-Vertebral body squaring : -Refers to loss of normal concavity of the anterior border 3-Marginal syndesmophyte formation : -Thin vertical dense spicules bridging the vertebral bodies
  • 183.
    Romanus lesion (yellowarrow) , Shiny corner sign (red arrow)
  • 184.
  • 185.
    Anterior corner erosionsat the T12 and L1 vertebral bodies , the typical shiny corner sign (or Romanus lesion) is present (arrows)
  • 186.
  • 187.
    Vertebral body squaring, lateral radiograph shows squaring of L3 and L4 vertebral bodies , L3-L4 anterior syndesmophyte and lumbar facet joint fusion
  • 188.
    A-C , MarginalSyndesmophyte , observe the vertical orientation and thin nature of the ossification (arrows) typical of ankylosing spondylitis D-F , Osteophytes , note that claw (arrows) and traction (arrowheads) spurs are more horizontally oriented thicker and more distinctive in degenerative joint disease
  • 189.
    Disk calcification ,lateral radiograph shows L2-L3 and L3-L4 disk calcifications as well as L2-L4 anterior syndesmophytes
  • 190.
    4-Bamboo sign : -Seenon AP -Late fusion and ligamentous ossification 5-Dagger Sign : -Single central radiodense line on frontal radiographs related to ossification of supraspinous and interspinous ligaments 6-Trolley-track sign : -Seen on AP view -Central line of ossification (supraspinous and interspinous ligaments) with two lateral lines of ossification (apophyseal joints)
  • 191.
    7-Anderson lesion : -Insufficiencyfracture of the ankylosed spine 8-Enthesopathy : -Common
  • 192.
  • 193.
    Bamboo Spine ,note that complete interbody ankylosis by marginal syndesmophytes produces this distinctive undulating spinal contour
  • 194.
  • 195.
  • 196.
  • 197.
    Bamboo spine ,frontal radiograph shows complete fusion of the vertebral bodies , extensive facet joint ankylosis and posterior ligamentous ossification produce the trolley track appearance
  • 198.
  • 199.
  • 200.
    Vertebral fusion ,lateral radiograph shows solid ankylosis of all cervical facet joints from C2 downwards , extensive anterior and posterior syndesmophytes are noted
  • 202.
    2-MRI : a) SacroiliacJoints b) Spine
  • 203.
    a) Sacroiliac Joints: -Because the sacroiliac joints are predominantly made of fibrous connective tissues (fibrocartilage) and contain very little synovial fluid, these articulations may be considered entheses -These features may explain why sacroiliac joints are spared during rheumatoid arthritis and also explain their characteristic involvement during spondyloarthropathies
  • 204.
    1-The earliest signsof sacroiliitis : -Subchondral bone edema is associated with increased signal in fat-saturatedT2 or STIR and with T1+C fat-saturated -Inflammatory enhancement of the fibrous connective tissue of the joint may also be present 2-Later in the course of the disease : Inflammation usually decreases and subchondral edema is progressively replaced by fatty postinflammatory bone marrow which appears hyperintense on T1
  • 205.
    Coronal STIR (A)and T1+C fat-saturated (B) images of sacroiliac joints show hyperintensity of subchondral bone marrow (arrows)
  • 206.
    Coronal T1+C fat-saturatedof sacroiliac joints shows enhancement of connective fibrous tissues (arrows) , Hyperintensity of right iliac subchondral bone marrow (arrowhead) is also seen
  • 207.
    3-The final stageof sacroiliac involvement shows : Subchondral sclerosis followed by fusion of the joint with ankylosis , MRI may show sclerotic changes , hypointense on T1 and T2 and fusion of the articulation
  • 208.
    Axial (A) T1+Cfat-saturated (B) T1 of sacroiliac joints show subchondral hypointensity indicative of sclerotic changes (arrows)
  • 209.
    Coronal CT scanof sacroiliac joints shows multiple subchondral erosions (arrows) and sclerosis (arrowheads)
  • 210.
    Axial CT scanshows condensations of subchondral bone marrow of joints (arrows) predominant on left side
  • 211.
    Axial CT scan(A) and volume reformation , frontal view (B) of sacroiliac joints show complete ankylosis with homogeneous osseous bridge passing through articulations (arrowheads)
  • 212.
    b) Spine : 1-Theearliest inflammatory changes : -Inflammatory appearance of the ligaments and of their insertions (enthesitis) -The enthesis is defined as the site of insertion of a tendon , ligament , joint capsule or fascia to bone -Four different entities can be distinguished : 1-Spondylitis (Romanus spondylitis) 2-Spondylodiskitis (Andersson aseptic spondylodiskitis) 3-Arthritis of the zygapophyseal joints 4-True ligamentous inflammatory involvement
  • 213.
    1- Romanus Spondylitis: -Consists of inflammatory changes involving the edges of the vertebral endplates -Involvement of the anterior edges is secondary to enthesitis of the anterior longitudinal ligament whereas involvement of the posterior edges is secondary to enthesitis of the posterior longitudinal ligament -Hyperintense edematous corners on T2 and T1+C fat-suppressed , low signal in T1
  • 214.
    Romanus anterior andposterior spondylitis of thoracic spine , T1+C fat- suppressed shows hyperintense changes at anterior and posterior edges of vertebral endplates (arrows)
  • 215.
    Sagittal STIR showsflorid hyperintense Romanus lesions (arrows)
  • 216.
    Sagittal T1 (a)and STIR (b) of the thoracic spine show florid Romanus lesions (anterior spondylitis) at T6-7 , T8-9 and T10-11 (arrowheads) , the lesions are seen at the anterior vertebral edges as a circumscribed increase in signal intensity on the STIR and a decrease in signal intensity on the T1
  • 217.
    2- Andersson AsepticSpondylodiskitis : -Consists of inflammatory changes involving the disk and adjacent vertebral endplates which appear hyperintense on T2 and T1+C fat-suppressed , hypointense on T1
  • 218.
    (A) T1 ,(B) T2 , (C) STIR , (D) T1+C show abnormal signal intensity along the end plates of L3 and L4 vertebra with desiccation of intervening disc , signal intensity is hypointense on T1 and hyperintense on T2 and fat saturation , after administration of intravenous Gadolinium , these showed enhancement
  • 219.
    (A) Sagittal T1reveals erosive defects of the inferior endplate (arrow) of L4 and superior endplate of L5 , as well as signal loss in the surrounding bone marrow , (B) STIR shows increased signal intensity (arrowheads) adjacent to the intervertebral disk (florid Andersson lesion)
  • 220.
    3-Arthritis of theZygapophyseal Joints : -May occur with bone marrow edema , effusion and erosions and may undergo ankylosis at the end stage -The costovertebral and costotransverse joints may also be involved
  • 221.
    Sagittal STIR showshyperintensity of vertebral endplates adjacent to intervertebral disk , corresponding to Andersson aseptic spondylodiskitis (arrows) , hyperintensity of bone marrow around zygapophyseal joints corresponds to arthritis (arrowheads)
  • 222.
    T1+C fat-suppressed showspronounced enhancement of the vertebral arch , articular processes and adjacent soft tissue (arrows) , findings suggestive of arthritis of apophyseal joints , marginal spondylitis is seen (arrowheads)
  • 223.
    T1+C fat-suppressed showsenhancement near the costovertebral joint (arrow) , a finding indicative of synovitis with concomitant osteitis of the adjacent rib and vertebral portions (arrowheads)
  • 224.
    T2 fat-suppressed showsarthritis of the costovertebral joint with concomitant osteitis of the adjacent rib and vertebral portions (arrows)
  • 225.
    T2 fat-suppressed showsinflammation lesions in both costotransversal joints with concomitant osteitis of the adjacent rib and transversal processes (arrows)
  • 226.
    4-True Ligamentous InflammatoryInvolvement: -Although ligamentous lesions are most commonly confined to the bone insertions , they can also involve other parts of the ligament , corresponding to true ligamentous inflammation -T1+C fat-saturated is more sensitive than T2 or STIR in the detection of this type of involvement -All the vertebral ligaments may be affected , most often the interspinal and the supraspinal ligaments
  • 228.
    (A) Interspinous ligament(D arrow) , (B) Supraspinous ligament (A arrow)
  • 229.
    T1+C fat-suppressed showsvertebral inflammatory changes (arrows) and shows discrete enhancement of interspinal and supraspinal ligaments (arrowheads)
  • 230.
    T1+C fat-suppressed showsstrong enhancement of interspinal and supraspinal ligaments (arrows)
  • 231.
    (a) Sagittal T1shows thickening of the supraspinal ligament from C7 through T3 (arrows) , (b) Sagittal cT1+C fat-suppressed shows pronounced enhancement in the area of the interspinal and supraspinal ligaments (arrows)
  • 232.
    2-Later in thecourse of the disease : -Inflammation may decrease and inflammatory zones may be replaced by fatty postinflammatory bone marrow -MRI may show fatty infiltration at either edge of the vertebral endplates representing postinflammatory changes after Romanus spondylitis or Andersson spondylodiskitis
  • 233.
    Postinflammatory fatty vertebralchanges after Romanus spondylitis , Sagittal T1 shows circumscribed hyperintensity of anterior edges of vertebral endplates corresponding to fatty infiltration of bone marrow long after florid inflammatory Romanus spondylitis (arrows)
  • 234.
    3-The last stageof spinal involvement consists of : -Sclerotic changes , bone formations and ankylosis -Syndesmophytes , consisting of bone outgrowth forming an osseous bridge between two adjacent vertebrae (these bone formations are different from osteophytes because their initial directions are not horizontal but vertical) -Syndesmophytes (end stage of Romanus spondylitis) are responsible for the development of peripheral spinal ankylosis -Ankylosis may also be central , secondary to bone formations passing through the disk (end stage of Andersson spondylodiskitis) , ankylosis of the zygapophyseal joints may also be observed -Insufficiency vertebral fractures may occur in spondyloarthropathies and are known as Andersson fractures
  • 235.
    Syndesmophytes , Sagittal(A) and coronal (B) CT scans of thoracic and lumbar spine show syndesmophytes corresponding to osseous bridge between two adjacent vertebrae (arrows)
  • 236.
    2-Reiter's Syndrome (Reactive Arthropathy): a) Incidence b) Radiographic Features
  • 237.
    a) Incidence : -Seronegativespondyloarthropathy with lower extremity “Feet” erosive joint disease (known as reactive arthritis) -More in males (age , 15-35 years) -Follows an infection at a different site commonly enteric or urogenital -Classic triad occurs in minority of patients : 1-Urethritis or cervicitis 2-Conjunctivitis 3-Arthritis
  • 238.
    b) Radiographic Features: Distal lower extremity involvement (MTP >> calcaneus > ankle > knee) is more common than upper extremity involvement -It can have a very similar appearance to psoriatic arthritis with the classic features of ill- defined erosions , enthesopathy and bone proliferation -The posterior superior aspect of the calcaneus is a frequent site of erosion
  • 239.
    -However , thedistribution is slightly different , where hand involvement is the most common site in patient's with psoriatic arthritis , hand involvement with Reactive Arthritis is very uncommon -Both Psoriasis and Reactive Arthritis can cause a sacroiliitis (which is usually asymmetrical) -Bulky asymmetrical thoracolumbar osteophytes with skip segments , spine involvement is similar to psoriatic arthritis (in AS , no skip lesions)
  • 240.
    Erosion of the3rd and 5th metatarsal heads
  • 241.
    Erosions in allthe left metatarsophalangeal (MTP) joints with subluxation and valgus deformity of most of the toes , smaller erosions in the four and fifth MTP joints of the right foot are also shown
  • 242.
    Calcaneal spur andenthesopathy
  • 243.
    Lateral view ofthe hindfoot shows ill-defined plantar calcaneal enthesophytes (arrowhead) , periosteal new bone formation along the posterior aspect of the distal tibia (arrow) , retrocalcaneal bursitis and thickening of the Achilles tendon (star) and erosions at the subjacent calcaneus
  • 244.
    Prominent erosion ofthe posterior calcaneus is noted adjacent to the retrocalcaneal bursa
  • 245.
    Periosteal reaction atthe plantar fascia insertion (black arrow) and early erosion at the Achilles tendon insertion (white arrow) on the calcaneus
  • 246.
  • 247.
  • 248.
    3-Psoriasis : a) Incidence b)Radiographic Features
  • 249.
    a) Incidence : -Seronegativespondyloarthropathy (inflammatory upper extremity polyarthritis) associated with psoriasis (10%-20% of patients with psoriasis will develop arthritis) -In 90%, the skin changes precede the arthritis
  • 250.
    b) Radiographic Features: -Combination of productive and erosive changes (distinguishable feature from RA) in a predominantly distal distribution (i.e. interphalangeal more than MCP joints) -The disease most commonly involves the hands , followed by feet, it can also affect sacroiliac joints and spine -Bone production : *Mouse ears : bone production adjacent to erosions *Ivory phalanx : sclerosis of distal phalanx
  • 251.
    -Erosions are aggressive: *Pencil in cup deformity, most commonly affecting the DIPs *Resorption of terminal tufts -Ankylosis (10%) : most common in hands and feet -sausage digit : soft tissue swelling of entire digit -Joint space loss is usually severe -Sacroiliitis is usually bilateral and asymmetrical
  • 253.
    -A and B: Mouse Ears , note the combination of erosions and fluffy periostitis produces the mouse ears appearance in psoriasis -C and D : Gull Wings , observe that the biconcave articular contour produces the gull wings appearance of erosive osteoarthritis
  • 254.
  • 255.
  • 256.
    Erosive changes arepresent at the three joints of the second digit (arrows) , this pattern of arthritis is virtually diagnostic of psoriasis
  • 257.
    Psoriatic arthritis ,classic radiographic findings around the distal interphalangeal joints include soft tissue swelling , erosions with accompanying bone proliferation and lack of osteoporosis
  • 258.
    Pencil in cupappearance
  • 259.
    Cup and pencildeformities of both thumbs and erosion of DIP joint of left middle finger
  • 260.
    Pencil in cupdeformity (arrows) , resorption of the tuft of the distal phalanx (acroosteolysis) can be observed (arrowhead) , ankylosis of the distal joint is a strong sign of psoriatic arthritis (crossed arrow)
  • 261.
    Subchondral erosions ofthe fourth left distal interphalangeal joint and right third and fourth proximal interphalangeal joints with periosteal reaction
  • 262.
  • 263.
  • 264.
  • 265.
  • 266.
  • 267.
    4-Enteropathic Arthropathies : -Patientswith IBD or infection may develop arthritis indistinguishable from Reiter's disease -IBD-associated sacroilitis is typically symmetrical -Underlying disease : a) Ulcerative colitis (10% have arthritis) b) Crohn's disease c) Whipple's disease d) Salmonella , Shigella & Yersinia enteritis infection
  • 268.
    Crohn’s sacroilitis ,(a) CT bone window shows symmetric sclerosis (yellow arrows) & erosions of the iliac aspect of the sacroiliac joints bilaterally , (b) CT soft tissue shows bowel wall thickening , mural stratification and hyperenhancement (red arrow) consistent with Crohn enteritis
  • 269.
    (iii) Erosive OA: -See before
  • 270.
    4-Metabolic Arthritis : -Metabolicdeposition diseases result in accumulation of crystals or other substances in cartilage and soft tissues -Types : a) Crystal deposition diseases : 1-Sodium urate : gout 2-CPPD 3-Basic Calcium Phosphate (BCP) deposition Disease
  • 271.
    b) Other DepositionDiseases : 1-Hemochromatosis 2-Wilson's Disease 3-Alkaptonuria 4-Amyloidosis 5-Multicentric Reticulohistiocytosis 6-Hemophilia c) Endocrine : -Acromegaly
  • 272.
    a) Crystal DepositionDiseases : 1-Sodium Urate : Gout 2-CPPD 3-Basic Calcium Phosphate (e.g. calcium hydroxyapatite)
  • 273.
    1-Sodium Urate :Gout a) Incidence b) Radiographic Features
  • 274.
    a) Incidence : -Crystalarthropathy due to deposition of urate crystals in and around the joints -Typically occurs in those above 40 years -There is a strong male predilection of 20:1
  • 276.
    b) Radiographic Features: -Lower extremity > upper extremity , small joints > large joints -First toe (MTP) is most common site (podagra) -Joints : *Joint effusion (earliest sign) *Preservation of joint space until late stages of disease *The typical appearance is the presence of well- defined punched-out erosions with sclerotic margins in a marginal and juxta-articular distribution with overhanging edges *Chondrocalcinosis , 5 %
  • 278.
    Classic location atfirst MTP and small erosion with "overhanging" edge , notice that the joint space and bone density are preserved
  • 279.
    -Surrounding soft tissue: *Tophi : pathognomonic , calcify in 50 % *Olecranon and prepatellar bursitis *Periarticular soft tissue swelling due to crystal deposition in tophi around the joints is common
  • 281.
    Tibiotalar gout withankle effusion , lateral ankle radiograph shows ankle joint effusion (arrow)
  • 282.
    Classic marginal erosions(red arrow) , overhanging cortex (blue arrow) , preservation of bone density and maintenance of the joint space are apparent , in addition to hallux valgus which is commonly associated
  • 283.
    Multiple erosion locationsincluding first MTP, base of third and fourth metacarpals, and possibly the head of the fifth metacarpal and second proximal phalanx
  • 284.
    Juxta-articular erosive changesaround the first MTP joint with overhanging edges and associated with a moderate soft tissue swelling
  • 285.
    AP view ofthe 1st MTP joint and interphalangeal joint demonstrating juxta-articular erosion with overhanging edge (long arrows) , note the relative preservation of joint space (arrowhead) and subchondral bone density (white square) involving the 1st MTP and interphalangeal joint , *Soft tissue tophus
  • 286.
    A gouty erosion(arrow) is noted along the medial margin of the first metatarsal head
  • 287.
    Extensive bone destructionis seen at the great toe MTP joint with overhanging edges (arrowhead) and soft tissue swelling , smaller erosions are present involving the first tarsometatarsal and second metatarsophalangeal joints (arrows)
  • 288.
    Dense soft tissuemass medial to head of first metatarsal and associated osseous erosions
  • 290.
    The great toedemonstrates extensive juxta-articular erosions with soft tissue swelling
  • 291.
    Sclerosis and joint-spacenarrowing are seen in the first metatarsophalangeal joint as well as in the fourth interphalangeal joint
  • 296.
    Moderate degenerative changesaffect the ankle joints on both sides , degenerative change is also noted at the talonavicular joints of both feet , nodular calcification is evident closely applied to the bases of the fourth and fifth metatarsals on the right with associated erosions
  • 297.
  • 298.
    Gout-Olecranon Bursitis ,there is soft tissue swelling in the olecranon bursa (white arrow) , a finding suggestive of gout , there are also erosions (blue arrows) around the elbow joint
  • 299.
  • 300.
  • 301.
    Prepatellar bursal gout, lateral knee radiograph shows dense focal prepatellar soft tissue swelling with peripheral soft tissue calcifications
  • 302.
    Tophaceous gouty arthritis, extensive bony erosions are noted throughout the carpal bones , urate depositions may be present in the periarticular areas
  • 303.
    Large tophaceous deposits(white arrows) surrounding several of the joints of the right hand , there are juxta-articular , punched-out lytic erosions (white and yellow circles) and a lack of osteoporosis characteristic of gout , the erosions are shown in close-up view (blue arrows)
  • 304.
    2-Calcium Pyrophosphate Dihydrate Deposition: (CPPD) a) Incidence b) Radiographic Features
  • 305.
    a) Incidence : -Common,especially in the elderly -Characterised by the deposition of calcium pyrophosphate in soft tissues and cartilage
  • 306.
    b) Radiographic Features: -Two main features : 1-Chondrocalcinosis 2-Arthropathy resembling OA -Chondrocalcinosis can occur in many locations , notable sites include : 1-knee : medial meniscus and patellofemoral joint 2-Triangular fibrocartilage complex of wrist (TFCC) , advanced disease may lead to scapholunate advanced collapse (SLAC) which is proximal migration of the capitate between the dissociated scaphoid & lunate , and may be also seen in RA or trauma 3-Peri-odontoid tissue around the dens : crowned dens syndrome (partially calcified mass seen behind the odontoid process compressing the cervical cord) 4-Intervertebral discs
  • 307.
    *N.B. : Differential Diagnosisof Chondrocalcinosis : HOGWASH 1-CPPD , the most common cause 2-Hypercalcemia (HPT) 3-Hypomagnesemia 4-Hypothyroidism 5-Ochronosis 6-Oxalosis 7-Gout 8-Wilson disease 9-Acromegaly 10-Osteoarthritis 11-HADD (Hydroxyapatite deposition disease) 12-Hemochromatosis 13-Trauma (focal chondroclacinosis in a traumatized joint)
  • 308.
    -Features of degenerativejoint disease in joints that are not normally affected by it (i.e. non- weight bearing joints) : 1-Shoulder joint 2-Elbow joint 3-Radiocarpal joint 4-Patellofemoral joint 5-2nd & 3rd MCP -Large subchondral cysts may be present
  • 309.
    Radiodense lines parallelingthe articular surface and calcification in the menisci of the knee identify the presence of chondrocalcinosis
  • 310.
    Chondrocalcinosis within themeniscal cartilage of the knee
  • 311.
    Linear calcification ispresent within the lateral meniscus
  • 312.
  • 318.
    Chondrocalcinosis of theTFCC (arrow) , a common site of chondrocalcinosis
  • 319.
    Calcification within thesubstance of the triangular fibrocartilage (TFCC) and evidence of laxity or disruption of the scapholunate ligament with widening of the scapholunate interval
  • 320.
    Scapholunate advanced collapse(SLAC) wrist secondary to CPPD , PA view of the wrist shows widening of the scapholunate distance (arrowhead) with proximal migration of the capitate and calcification of hyaline cartilage , triangular fibrocartilage (arrow) and interosseous lunotriquetral ligament , Subchondral cysts also are seen in the carpal bones and at the base of the fifth metacarpal
  • 321.
    (SLAC) , thereis chondrocalcinosis in the triangular fibrocartilage of the ulna (white arrow) , there is narrowing of the radio-carpal joint and proximal migration of the capitate into the widened space between the scaphoid and the lunate (yellow arrow)
  • 322.
    CPPD of handand wrist , on the left , shows hook-like projections arising from radial aspect of metacarpal heads , on the right , shows SLAC-scapholunate advanced collapse with characteristic indentation in distal radius by scaphoid bone , there is also chondrocalcinosis of the triangular fibrocartilage of the distal ulna
  • 324.
    Cervical spine Narrowingof all disc spaces especially at the C2-C3 level with a marginal erosion anteriorly and irregular lining of the end-plates , calcifications of the anterior longitudinal ligament and spondylophyte formation anteriorly
  • 325.
    CT cervical spinelateral view Partially calcified pseudomass behind the dens , extensive narrowing and erosive changes of the end-plates at the C2-C3 level , large erosion anteriorly in the C3 body , intervertebral disc calcifications at the C6-C7 and C7-Th1 levels , calcifications in the posterior and anterior longitudinal ligaments and annulus fibrosus , calcifications at the interspinous ligament C7 , spondylophyte formation anteriorly
  • 326.
    Crown-shaped calcium depositssurrounding the odontoid process
  • 328.
    Lateral radiograph oflumbar spine with calcification of vertebral disks
  • 329.
    Amorphous calcifications (arrowhead)at the site of insertion of the supraspinatus tendon on the greater tuberosity
  • 331.
    Cartilaginous and capsularcalcifications (arrows) are seen within the second through fourth metatarsophalangeal joints , a nondisplaced fracture of the fourth metatarsal neck is noted
  • 332.
    3-Basic Calcium Phosphate(BCP) deposition Disease : a) Incidence b) Radiographic Features
  • 333.
    a) Incidence : -Knownas Calcium Hydroxyapatite (HA) crystal deposition disease (HADD) -BCP deposition is predominantly periarticular as opposed to intraarticular CPPD -The crystal deposition causes periarticular inflammation without structural joint abnormalities -A Milwaukee shoulder refers to a destructive shoulder arthropathy due to deposition of hydroxyapatite crystals
  • 334.
    b) Radiographic Features: -Appears as homogeneous and round to ovoid calcification in the soft tissue with well defined or ill defined margins -Most characteristic lesions are seen in the shoulder with the supraspinatus and biceps tendon involvement adjacent to the greater tuberosity and above the glenoid rim respectively where these tendon attach -Less frequently seen in flexor carpi ulnaris tendon near pisiform bone & in hand : MCP , interphalangeal joints
  • 335.
    Well circumscribed amorphouscalcifications not containing trabeculae adjacent to and paralleling the greater tubercle of the humerus (white arrow)
  • 338.
    b) Other DepositionDiseases : 1-Hemochromatosis 2-Wilson's Disease 3-Alkaptonuria 4-Amyloidosis 5-Multicentric Reticulohistiocytosis 6-Hemophilia
  • 339.
  • 340.
    a) Incidence : -Developsin 50% of patients with hemochromatosis -Secondary to iron deposition and / or concomitant CPPD deposition -Arthropathy changes are similar to those seen in CPPD
  • 341.
    b) Radiographic Features: -Same distribution and productive changes as in CPPD -Distinctive features : 1-Beaklike osteophytes on MCP heads 2-Generalized osteoporosis
  • 342.
    Degenerative changes atthe 2nd and 3rd MCPs bilaterally (red arrows) with beak shaped osteophytes (yellow arrows) noted on the radial aspects of the metacarpal heads
  • 343.
    There is metacarpophalangealjoint space narrowing and there are overhanging osteophytes of the metacarpal heads of the right index and long fingers , no fracture or dislocation
  • 344.
    Overhanging (hooked) osteophytesof the metacarpal heads of the right index
  • 345.
    Hook-like osteophyte (arrowhead)at the third metacarpal head with cartilage loss at metacarpophalangeal joints (stars) and chondrocalcinosis of triangular fibrocartilage (arrow)
  • 346.
    2-Wilson's Disease : a)Incidence b) Radiographic Features
  • 347.
    a) Incidence : -Defectin the biliary excretion of copper results in accumulation of copper in basal ganglia , liver , joints and other tissues -Autosomal recessive
  • 348.
    b) Radiographic Features: -Same distribution as CPPD -Distinctive features : 1-Subchondral fragmentation 2-Generalized osteoporosis
  • 349.
    3-Alkaptonuria : (Ochronosis) a)Incidence b) Radiographic Features
  • 350.
    a) Incidence : -Absenceof homogentisic acid oxidase (HGA) results in tissue accumulation of homogentisic acid -Homogentisic acid deposits in hyaline cartilage and fibrocartilage cause a brown- black pigmentation -Autosomal recessive
  • 351.
    b) Radiographic Features: 1-Vertebral : -Multi level intervertebral disc calcification : tends to be widespread -Syndesmophytic formation -Multi level disc space narrowing 2-Joints : -Symmetrical or asymmetrical joint space loss : early osteoarthrosis -Subchondral sclerosis -Chondrocalcinosis
  • 352.
    Diffuse intervertebral disccalcification at multiple levels with vaccum phenomenon
  • 353.
    Intervertebral disc calcificationsat multiple levels with degenerative changes
  • 356.
    Degenerative changes atarticular surfaces with joint space narrowing and calcifications in soft tissues anterolateral to knee joint
  • 357.
    Shoulder joints showingdegenerative changes
  • 358.
    Irregularity at superolateralacetabulum on both sides indicating early degenerative changes
  • 359.
    4-Amyloidosis : a) Incidence b)Radiographic Features
  • 360.
    a) Incidence : -Isthe extracellular deposition of the fibrous protein amyloid within the skeletal system -10% of patients with amyloid have bone or joint involvement -Amyloid may cause a nodular synovitis with erosions , similar to that seen in RA
  • 361.
    b) Radiographic Features: -Features of amyloid arthropathy are those of an erosive and destructive osteoarthropathy , involving most commonly the hips , shoulders and carpal bones , distribution is frequently bilateral -Bulky soft tissue nodules (i.e. shoulder-pad sign) -Subchondral cystic lesions , usually with well- defined sclerotic margins -Well-marginated erosions -Preserved joint space
  • 362.
  • 363.
    Well-defined cystic lesion(arrow) with sclerotic rim in area of left femoral neck
  • 364.
    52 year oldwoman on hemodialysis for 26 years for lupus nephritis with biopsy-proven dialysis-related amyloidosis , conventional radiograph shows discrete erosion in lateral aspect of acetabulum (arrowhead)
  • 365.
    Well-defined cystic lesion(arrowhead) with sclerotic rim (arrows) in superior-posterior left humeral head
  • 366.
    Radiolucent lesions ofvarious sizes involving carpal bones (arrows) , most have sclerotic margins and some have a lobulated outline , in carpi , lunate and scaphoid are most often affected
  • 367.
    Multiple erosions insuperior and inferior articular process of facet joints (arrows) caused by amyloid deposits
  • 368.
    Narrowing of intervertebralspaces from C2 through C7 (arrowheads)
  • 370.
    5-Multicentric Reticulohistiocytosis : a)Incidence b) Radiographic Features
  • 371.
    a) Incidence : -Systemicdisease of unknown origin -Similar radiographic features as gout and RA -There is a recognized associated with various malignancies (upto 25% of cases) such as :ovarian cancer & breast cancer
  • 372.
    b) Radiographic Features: -Nodular soft tissue swelling -Sharply demarcated marginal erosions -Mostly distal phalangeal joints -Bilateral and symmetrical -Absence of periarticular osteopenia (unlike RA)
  • 373.
    Lack of osteoporosis, the marked destruction of not only the carpals but of all the interphalangeal joints, the non-calcified soft tissue masses (white arrows) and the symmetrical distribution in both hands
  • 374.
    Symmetrical well definedmarginal erosions of the wrist , intercarpal , carpometacarpal , metacarpophalangeal and interphalangeal joints more marked at the DIP joints in both hands , minimal osteoporosis noted
  • 375.
    6-Hemophilia : a) Incidence b)Classification c) Radiographic Features
  • 376.
    a) Incidence : -Hemophiliais exclusively in males -X linked inherited disorder of either factor VIII (hemophilia A) or IX (hemophilia B , Christmas disease) deficiency causing recurrent bleeding -Arthropathy is secondary to repeated spontaneous hemarthroses which occur in 90% of hemophiliacs -70% are monoarticular (knee > elbow > ankle > hip > shoulder)
  • 377.
    b) Classification : -Arnold-Hilgartnerclassification is a plain radiograph grading system for hemophilic arthropathy of the knee : *Stage 0 : normal joint *Stage I : no skeletal abnormalities , soft-tissue swelling is present *Stage II : osteoporosis and overgrowth of the epiphysis , no cysts , no narrowing of the cartilage space *Stage III : early subchondral bone cysts , squaring of the patella , widened notch of the distal femur or humerus & partial narrowing of the cartilage space *Stage IV : fibrous joint contractures , loss of the joint cartilage space , extensive enlargement of the epiphyses with substantial disorganization of the joint
  • 378.
    (A) Grade I, soft-tissue swelling , (B) Grade II , normal cartilage interval, early joint surface erosions, widened epiphyses, and juxta articular osteopenia , (C) Grade III , the medial compartment has surface irregularity , subchondral cysts , reactive sclerosis and partially narrowed cartilage interval , (D) Grade IV , complete loss of cartilage interval , extensive surface erosions, a large synovial cyst , tibiofemoral subluxation and lateral subluxation of the patella
  • 379.
    Grade II ,osteopenia , epiphyseal enlargement and increased density of soft parts
  • 380.
    Grade II ,slight osteopenia and some early overgrowth of the condyles but the joint space is well maintained
  • 381.
    Stage II ,enlargement of the epiphyses of the right femur (especially medial condyle) (red arrowhead) and tibia due to chronic hyperemia , secondary trabeculae are resorbed leaving linear striations in the bone (orange arrowhead) , soft tissues on the right side appear enlarged and dense due to hemosiderin deposition (green arrowhead)
  • 382.
    Grade III ,subchondral cysts , however not reducing joint space at the femorotibial interline
  • 383.
    Grade III ,early narrowing of the joint space from loss of cartilage and spur formation on the margins of the condyles , the patella demonstrates early squaring from hyperemia and overgrowth
  • 384.
  • 385.
    Grade IV ,loss of the joint space, cyst formation within the condyles and the articular surface of the patella
  • 386.
    c) Radiographic Features: 1-Acute episode 2-Secondary degenerative disease 3-Knee 4-Elbow 5-Ankle
  • 387.
    1-Acute episode : -Jointeffusion seen in setting of hemarthroses -Periarticular osteoporosis : from hyperaemia 2-Secondary degenerative disease : -Epiphyseal enlargement , from hyperaemia , similar to juvenile RA and paralysis -Secondary OA with subchondral cysts
  • 388.
    Periarticular osteoporosis andepiphyseal enlargement are seen at left knee radiograph with widened intercondylar notch , there is also evidence of joint effusion in favour of hemarthrosis , grade II
  • 389.
  • 390.
  • 391.
    Severe cartilage spaceloss and secondary osteoarthritis with marginal osteophytes , there is widening of the intercondylar notch of the femur
  • 392.
    A , Earlyarthritis of the knee, showing soft tissue swelling , widening of the femoral condyles and tibial plateau , irregularity of the distal femoral epiphysis and a few subchondral bone cysts , B , More advanced arthritis involving the elbow showing almost complete loss of joint space and extensive subchondral cyst formation , the widening of the proximal radius is characteristic of hemophilic arthropathy
  • 393.
    Irregularity of thearticular surfaces , subchondral sclerosis , widening and erosion of intercondylar notch , enlargement of distal femoral epiphysis , flattening of distal femoral condyles, Hemophiliac pseudotumor (huge soft tissue mass resultant from hemorrhage)
  • 394.
    Irregularity of thearticular surfaces and subchondral sclerosis , hemophiliac pseudotumor (hemorrhage had such an extent that a huge soft tissue mass resulted)
  • 395.
    3-Knee : -Widened intercondylarnotch -Squared patella -Similar radiographic appearance as JRA 4-Elbow : -Enlarged radial head -Widened trochlear notch 5-Ankle : -Talar tilt : relative undergrowth of the lateral side of the tibial epiphysis leads to a pronated foot
  • 396.
    Widening of theinterconylar notch , accentuation of the trabeculae and enlargement of the medial epicondyle
  • 397.
  • 398.
    Early squaring ofthe patella from hyperemia and overgrowth
  • 399.
    c) Endocrine : -Acromegaly: (See endocrine bone diseases) -In contrast to all other arthropathies , joint spaces are widened in early disease due to cartilage hypertrophy , later in the disease , secondary OA occurs with cartilage space narrowing -In the hand , beak like osteophytes of the metacarpal heads and spade like enlargement of the terminal tufts are characteristic
  • 400.
    5-Infectious Arthritis :(Septic) a) Incidence b) Etiology c) Radiographic Features d) Neuropathic Arthritis
  • 401.
    a) Incidence : -Morecommon in adults -usually from local trauma , surgery or accident -Destruction of articular cartilage and cortex
  • 404.
    b) Etiology : -Usuallystaph aureus -Strept in infants -Hemophilus in preschoolers -Gonococcal arthritis in sexually active young patients (80% women) -Gram negative in D.M. & Alcoholics -T.B. spread via blood stream from the lung
  • 405.
    c) Radiographic Features: -Joint effusion -Juxta-articular osteoporosis -Destruction of subchondral bone on both sides of the joint with subsequent joint space narrowing
  • 406.
    (A) During theprogression of infectious arthritis of the hip , this image was obtained early in the disease and shows only concentric joint-space loss (B) During the progression of infectious arthritis of the hip , subchondral erosions and sclerosis of the femoral head are present (C) During the progression of infectious arthritis of the hip , 8 months after the initial examination , osteonecrosis and complete collapse of the femoral head are present
  • 408.
    d) Neuropathic Joints: (Charcot Joint) 1-Incidence 2-Etiology 3-Types 4-Radiographic Features 5-Differential Diagnosis
  • 409.
    1-Incidence : -Refers toa progressive degenerative / destructive joint disorder in patients with abnormal pain sensation 2-Etiology : a) Diabetes neuropathy : usually foot b) Tertiary syphilis (tabes dorsalis) : usually knee and spine c) Syringomyelia : usually shoulder
  • 410.
    3-Types : a) Hypertrophictype , 20% : -Marked fragmentation of articular bone -Much reactive bone b) Atrophic type , 40% : -Bone resorption of articular portion c) Combined type , 40%
  • 411.
    4-Radiographic Features :6D 1-Dense bones (subchondral sclerosis) 2-Degeneration 3-Destruction of articular cartilage 4-Deformity (pencil-point deformity of metatarsal heads) 5-Debris (loose bodies) 6-Dislocation (Lisfranc Fracture / Dislocation) **N.B. : Atrophic variant is more commonly in shoulder , appears as humeral head resorption with a sharp , surgical-like margin
  • 412.
    Anteroposterior (a) andlateral (b) plain radiographs of the foot in a 57- year-old diabetic patient with longstanding neuropathic arthropathy show disorganization and fragments (white arrows) along Lisfranc and Chopart joints
  • 416.
    **N.B. : Lisfrancdislocation -The Lisfranc joint is the articulation of the tarsus with the metatarsal bases, whereby the first three metatarsals articulate respectively with the three cuneiforms and the 4thand 5th metatarsals with the cuboid -Two types : 1-Homolateral : -A homolateral injury is the lateral displacement of the 1st to 5th metatarsals , or of 2nd to 5th metatarsals where the 1st MTP joint remains congruent 2-Divergent : -A divergent injury is the lateral dislocation of the 2nd to 5th metatarsals with medial dislocation of the 1st metatarsal
  • 417.
  • 418.
    Fragmentation , collapseand sclerosis of the intertarsal joints
  • 419.
    Destruction of thearticular surface of the intertarsal joints with subchondral sclerosis
  • 420.
    Lateral disruption ofthe base of the metatarsal in relation to the tarsals representing a Lisfranc fracture/dislocation , note the soft-tissue gas and osteomyelitis of the second and third metatarsal heads
  • 421.
    Lisfranc fracture/dislocation ina patient with diabetes and neuropathic arthropathy , note the soft-tissue swelling , fragmentation , sclerosis and periostitis
  • 422.
    Osteolysis of thedistal metatarsals and phalanges with tapering results in a pencil-like appearance in the late stage of diabetic neuropathy
  • 425.
    5-Differential Diagnosis : -Advancedosteomyelitis : Can co exist (especially in the foot) -Tuberculous spondylitis / Pott's disease (in the spine) -Chondrosarcoma (shoulder) , chondroid matrix instead of bony debris -Inflammatory osteoarthritis / arthritis , early stages can resemble Charcot joint