By: DR. RAMAN SHINGADE
2ND YR. RESIDENT
GUIDE: DR. KANCHANA PACHCHIGAR
TUTOR
• Greenspan
• Yochum and Rowe
• Radiopedia.org
• Learninradiology.com
References:
Xray Imaging in Non
Inflammatory Arthritis
The constituent structures of a synovial/diarthrodial joint.
Definition of Arthritis
•Disease that affects bones on both sides
of the joint space and
•Narrows the space between them
Narrowing of the joint space
Radiographic features of arthritides
Arthritis or not
Normal DJD
Arthritis or not
Normal DJD
Arthritis or not
Normal DJD
Classification of Arthritides
•Inflammatory Arthritis
•Non-inflammatory Arthritis
Non Inflammatory Arthritis
Degenerative Arthritis
(Osteoarthritis)
Primary
Secondary
Connective Tissue Arthropathy Scleroderma
MCTD
Metabolic & Endocrine Arthritis Acromegaly
Hemochromatosis
Haemophilia
Gout
Hyperparathyroidism
2 forms of Osteoarthritis
Primary form • Idiopathic
Secondary form • Posttraumatic
• Congenital disorders
• Neuropathic Arthritis
• Avascular Necrosis
Primary Degenerative Arthritis
• Intrinsic degeneration of articular cartilage
• Excessive wear and tear
• Most commonly weight bearing joints like knees and
hips
• Less commonly non-weight bearing joints like knees
and hips
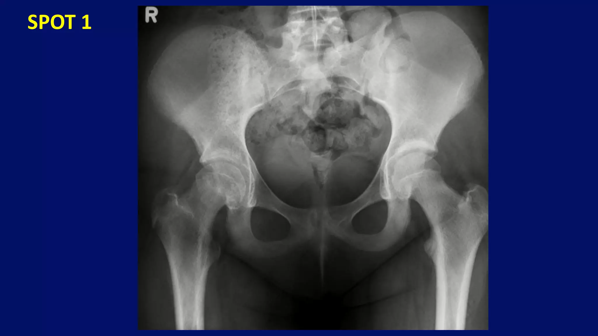
•Hip
•Knee
•Spine
• Interphalangeal joints of the hand
Common Sites
Hallmark radiographic features
• localized joint space narrowing
• subchondral sclerosis
• osteophytes
• cyst or pseudocyst
Osteoarthritis of Large joints
narrow joint space
subchondral sclerosis
osteophytes
Right hip osteoarthritis
Superolateral migration of femoral head with typical Eggers cyst in acetabulum.
Egger’s CystSuperolateral
migration
Medial migration of the femoral head
Postel coxarthropathy
(aka rapidly destructive arthrosis)
• occurs predominantly in women
• characterized by rapid chondrolysis
• no/very little reparative changes
• mimics Charcot joint or infectious arthritis
Right hip Postel Coxarthropathy
Osteoarthritis of left knee
L L
AP and lateral
both knee
radiographs
bilateral knee
osteoarthritis.
Advanced osteoarthritis with loose bodies
Narrowing of the femoropatellar joint compartment
Patellar Tooth sign
Patellar Tooth sign on AP projection
•Not due to mechanical stress
• F:M = 10:1
• Most Often involves DIP joints
• Sclerosis
• Osteophyte formation
• 1st MCP joint of thumb
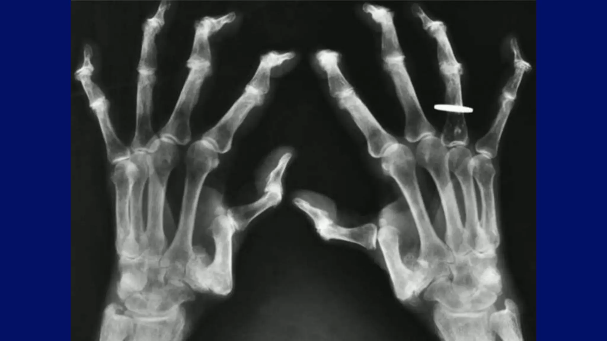
Osteoarthritis of Hand
Hallmark radiographic features
• Heberden nodes
• Bouchard nodes
• joint space narrowing
• subchondral sclerosis
Osteoarthritis of Hand
Heberden Nodes
Bouchard Nodes
Degenerative changes in
the 1st carpometacarpal
joint
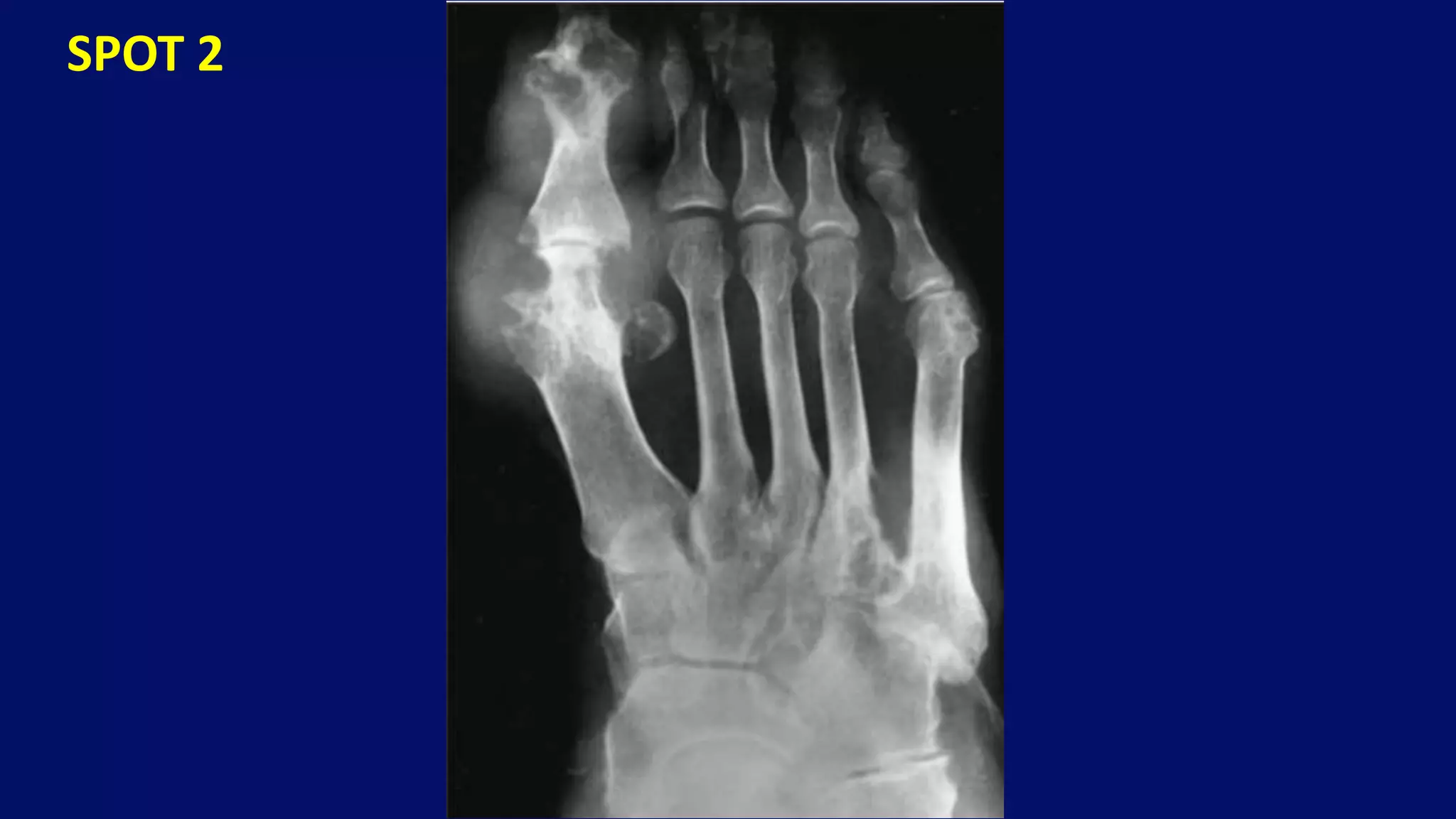
Osteoarthritis of bilateral first metatarsophalangeal joints
hallmark radiographic features
• Facet narrowing and eburnation
• Foraminal stenosis
• Stenosis of spinal canal
• Narrowing of IVDS
Degenerative Disease of the Spine
Osteoarthritis of the facet joints
Subchondral sclerosis
Narrowing of facet joints
Bridging osteophytes
Bridging
osteophyte
Encroachment of the neural foramina by posterior osteophytes
Posterior osteophytes with
Neural foraminal stenosis
Vacuum disc phenomenon
Prominent osteophytes
Vacuum disc
phenomenon
Secondary Osteoarthritis
• Another process destroys articular cartilage
• Degenerative changes supervene
• How to recognize
• Atypical age (e.g. DJD in 20 yrs age)
• Atypical appearance (e.g. DJD in 1 hip only)
• Atypical locations (e.g. DJD in shoulder)
Secondary Osteoarthritis
causes
• Trauma (most common)
• Avascular Necrosis
• Neuropathic arthritis
• Congenital Disorders
• Haemophilia
• RA
Bottom Line: Any arthritis can lead to 2° OA
• most common cause of secondary/atypical
osteoarthritis
• changes similar to those in primary osteoarthritis
• history of previous trauma
• younger age group
Posttraumatic Osteoarthritis
Severe osteoarthritic changes due to previous dislocation
Severe post-traumatic osteoarthritis following distal fibula fracture.
Left knee Posttraumatic osteoarthritis.
L
• destructive articular disease that occurs secondary
to a loss or impairment in joint proprioception
• disturbance in sensations leads to multiple
microfractures
• fragmentation of the bone and cartilage
Neuropathic Arthritis
Causes
Shoulders • Syrinx
• Spinal Tumor
Hips • Tertiary syphilis
• Diabetes
Feet • Diabetes
6 D’s of Neuropathic Arthritis
• Dense bones (subcondral
sclerosis)
• Distension of joint
• Destruction of bone and cartilage
• Disorganization
• Debris (loose bodies)
• Dislocation
Typical Neuropathic (Charcot) joint
Typical charcot joint in man with syphilis
Licked candy stick configuration
• defined as death of the osseous cellular components and
marrow due to inadequate blood supply
• definite anatomic predisposition for osteonecrosis at the
epiphyseal centers
• usually escapes clinical detection and is diagnosed only with
bony imaging
Avascular Necrosis
(Ischemic or Osteonecrosis)
• Spontaneous (idiopathic)
• Trauma (fracture, dislocation)
• Alcoholism
• Corticosteroid therapy
• Surgery
• Hemoglobinopathy
Common causes -
• Collapse of articular cortex
• Fragmentation
• Mottled trabecular pattern
• Sclerosis (Snowcap sign)
• Subchondral cysts
• Crescent sign (Subchondral fracture)
Radiographic features
Classical sites of Osteonecrosis
• head of femur
• neck of talus
• waist of scaphoid
Snowcap and Crescent signs
Collapsed Articular Cortex
Epiphyseal Fragmentation
Osteonecrosis of humeral head after sustaining fracture of the left humeral neck
Crescent sign
Increased bone
density
Healed Fracture
Pregnancy related Avascular necrosis.
Osteonecrosis of right humeral head following chemotherapy
• Developmental dysplasia of the hip
• Slipped capital femoral epiphysis
Secondary to Congenital Diseases
Includes
•Putti's triad for developmental dysplasia of the
hip include :
Superolateral displacement of proximal femur .
Increase in acetabular angle.
Small capital femoral epiphysis.
Developmental dysplasia of the hip
Radiograph demonstrates Developmental Dysplasia of Hip in a 6 months old female baby.
Developmental Dysplasia of Hip in a 12 years old female.
• Loss of Capener triangle sign
• Decreased height of femoral epiphysis
• Absence of intersection of epiphysis by line tangent to
lateral cortex of femoral neck
• Herndon hump
Slipped capital femoral epiphysis
Radiographic features:
Radiograph demonstrates absence of Carpener triangle in left hip.
Carpener Triangle
Absence of
Carpener Triangle
Absence of intersection of epiphysis by lateral femoral cortical line.
Radiograph demonstrates Herndon hump and secondary osteoarthritis.
Non Inflammatory Arthritis
Connective Tissue Arthropathy Scleroderma
MCTD
Metabolic & Endocrine Arthritis Acromegaly
Hemochromatosis
Gout
Haemophilia
Hyperparathyroidism
Scleroderma
• generalized systemic inflammatory connective tissue
disease of unknown cause
• strong female predilection (F:M 3:1)
• frequent involvement of the musculoskeletal system
• predominantly affects the fingers, wrists and ankles
CREST syndrome
Calcinosis
Raynaud phenomenon
Esophageal dysmotility
Sclerodactyly
Telangiectasia
• atrophy of the soft tissues at the tips of the fingers
• resorption of the distal phalanges
• subcutaneous and periarticular calcifications
• destructive changes of the small articulations
• flexion contractures
Radiographic features
Atrophy of the
soft tissues at
the distal
phalanges of
the index,
middle, and
ring fingers
R
Soft-tissue
calcifications in the
distal phalanges of
the left hand, a typical
feature of
Scleroderma
L
Acroosteolysis
(arrow), soft tissue
calcifications, and
destructive changes
of the distal
interphalangeal joint
of the middle finger.
R
Subcutaneous calcifications alongwith destructive changes in distal IP joints
L
Destructive changes in the distal interphalangeal joints, as well as soft-tissue calcifications
L
Flexion contracture in scleroderma patient
Mixed Connective Tissue Disease
• an example of Overlap syndrome
• combine the features of SLE, scleroderma, dermatomyositis,
and rheumatoid arthritis
• antibody to the ribonucleoprotein (RNP)
• approx. 80% patients are female
Radiographic features are combination of different conditions
• Tuft resorption and DIP erosions
(Scleroderma)
• Erosive arthritis (Rheumatoid arthritis)
• Deforming, nonerosive arthritis (SLE)
Abnormal tapering of the distal soft tissues
and early surface erosion of the phalangeal
condyle.
Subtle surface erosions and Progressive erosions
Terminal tuft resorption
Subluxation of IP joint of the thumb and advanced ulnar deviation
Juxta-articular demineralization and erosive articular disease
Metabolic & Endocrine Arthritis
Acromegaly
Hemochromatosis
Gout
Haemophilia
Hyperparathyroidism
Acromegaly
• result of excessive growth hormone (GH) production
• growth of intramembranous bone tissue and subcutaneous
hypertrophy
• degenerative changes are the result of hypertrophy of
articular cartilage
• it is not adequately nourished by synovial fluid because of
its abnormal thickness
Indices for Acromegaly
o Sesamoid Index • Product of height and width (in mm.) of sesamoid
bone at MCP of thumb.
• Normal - <30 in females
<40 in males
o Heel Pad Thickness • Distance from posteroinferior surface of calcaneum to
nearest skin surface
• Normal <22 for 150 lb. individual
• initially, widening of joint spaces in hand, particularly
MCP joints
• later, thinning of the joint cartilages with osteophyte
formation
• beak-like osteophytes
• Spade phalanx sign
Radiographic features
Sesamoid Index and Heel Pad Thickness
Spade phalanx sign
NORMAL ACROMEGALY
Characteristic abnormalities in acromegalic hand
Acromegalic osteoarthritis
Hyperparathyroidism
• aka generalized osteitis fibrosa cystica or
Recklinghausen disease of bone
• result of overactivity of the parathyroid glands
• leads to hypercalcemia
• 3 subtypes – primary, secondary and tertiary
Radiographic features
• Osteopaenia
• Subperiosteal bone resorption
• Intracoritcal bone resorption
• Brown tumours (aka Osteitis Fibrosa Cystica)
• Soft tissue and cartilage calcifications
• Osteosclerosis
• Salt and pepper sign in skull
• Rugger-jersey spine
Subperiosteal resorption is on the radial sides of proximal and middle phalanges
Subchondral resorption resulted in widening of the sacroiliac joints.
Brown tumor in distal radius
Brown tumor in distal clavicle
Chondrocalcinosis at the knee and the symphysis pubis
Metastatic calcifications
Typical
hyperparathyroidism
arthropathy at the
distal interphalangeal
joints of the index and
middle fingers.
Rugger-Jersey Spine
Hemochromatosis
• characterized by iron deposition in various organs
• may be primary (endogenous or idiopathic) or secondary
• affects men 20-times more frequently than women
• 50% of patients with hemochromatosis will have a slowly
progressing arthritis
• features typical of osteoarthritis
• different pattern of joint involvement in hand
• second and third metacarpophalangeal joints
• hook-like osteophytes
• chondrocalcinosis
Radiographic features
Osteoarthritic features in woman with hemochromatosis
Magnified radiograph demonstrates involvement of the metacarpal heads
Classical hook osteophytes
Advanced Hemochromatosis arthropathy
Hemophilia
• group of disorders characterised by a tendency to bleed as a result
of deficient clotting factors
• deficiency of factor VIII (haemophilia A) or factor IX
• arthropathy is a consequence of recurrent bleeds into joints
• knees, elbows, hips and ankles are most commonly affected
Radiographic features
• widened intercondylar femoral notch
• squared inferior margin of the patella
• haemophilic pseudotumours
• periarticular erosions
• features of osteoarthritis
Widened intercondylar notch with joint effusion
L
Haemophilic arthropathy with subtle haemarthrosis
Advanced degenerative changes, with near-complete loss of joint
L
Haemophilic Pseudotumors
Gout
• metabolic disorder characterized by recurrent episodes of
arthritis
• monosodium urate monohydrate crystals in the synovial
fluid leukocytes
• great toe is the most common site of involvement in
gouty arthritis
• most patients are men (20:1)
Radiographic features
• Articular erosion with preservation of part of joint
• Overhanging edge of erosion
• Lack of osteoporosis
• Periarticular swelling
• Tophi
Periarticular erosions and soft tissue masses, representing tophi
Multiple articular and periarticular erosions associated with large tophi.
Typical involvement of the first MTP joint with “overhanging edge”.
Overhanging Edge
Intraosseous tophi
Tophus with dense calcifications adjacent to the olecranon process.
Summary
Primary Osteoarthritis • Joint space narrowing
• Osteophytes
• No underlying cause
Posttraumatic
Osteoarthritis
• Similar to 1° OA
• Previous Trauma
• Younger Age
OA 2° to DDH • Superolateral displacement of proximal femur .
• Increase in acetabular angle
OA 2° to SCFE • Loss of Capener triangle sign
• Absence of intersection of epiphysis
Neuropathic Arthritis • 6 D’s
Osteonecrosis • Radiolucent crescent
• Preserved joint space
Summary
Scleroderma • Resorption of the distal phalanges
• Subcutaneous and periarticular calcifications
MCTD • Combination of different conditions
Acromegaly • beak-like osteophytes
• Spade phalanx sign
Hyperparathyroidism • Subperiosteal bone resorption
• Brown tumours
• Soft tissue and cartilage calcifications
Hemochromatosis • 2nd & 3rd MCP joints are characteristically
affected
• Typical features of OA
Haemophilia • Features of osteoarthritis
• Widened intercondylar notch
Gout • Tophi
• Overhanging edge of erosions
SPOTS
SPOT 1
SPOT 2
SPOT 3
SPOT 4
SPOT 5
Thank You

Xray imaging in non inflammatory arthritis

Editor's Notes

  • #3 diarthrodial joint – synonymous with synovial joint It is important to note that the radiographic joint space is a reflection of joint cartilage, which occupies up to 99% of the space between opposing bones on an x-ray. Which consists of articular surfaces of two bones covered with articular cartilage and perichondrium with anatomic joint space within, which is lined by synovial membrane and filled with synovial fluid
  • #5 The cardinal sign of an arthritic process is narrowing of the radiographic joint space. Thinning of the articular cartilage reduces the space mechanically
  • #15 Marginal osteophytes occur at the periphery of the femoral head or the margins of the fovea (Figure 8-11). Central osteophytes extend from the subarticular surface and appear on radiographs as flat or button-like bony projections producing contour deformities of the femoral head. Periosteal or synovial osteophytes form as bony outgrowths from periosteum or synovial membranes. This is most apparent in the medial femoral neck, producing cortical thickening or a line of new bone formation termed buttressing. Buttressing bone is thought to be due to altered stress loads on the femoral neck and is most commonly seen with OA and less often with osteonecrosis.
  • #19  Osteoarthritic pseudocysts in the acetabulum are termed Egger cysts
  • #20 RDO has been defined by cartilage space narrowing of at least 2 mm per year whereas, in the usually seen form of OA, cartilage space narrowing of 0 to 0.8 mm is noted yearly. Rapid, marked bone loss from the femoral head and acetabulum occurs
  • #21 Anteroposterior radiograph of the right hip of a 72-year-old man who had pain in the hip for 4 months shows the typical appearance of Postel coxarthropathy, which often mimics Charcot joint or infectious arthritis. Note the destruction of the articular portion of the femoral head, which is laterally subluxed. The same destructive process has led to widening of the acetabulum
  • #22 Anteroposterior radiograph of the right hip of a 44-year-old man shows destructive changes of the femoral head and acetabulum.
  • #23 Anteroposterior (A) and lateral (B) projections of the knee of a 57-year-old woman demonstrate narrowing of the medial femorotibial and femoropatellar compartments, subchondral sclerosis, and osteophytosis, which are the typical features of osteoarthritis. Note that osteophytes that were not obvious on the frontal projection are much better-demonstrated on the lateral radiograph.
  • #26 Anteroposterior (A) and lateral (B) radiographs of the knee of a 66-year-old man with advanced osteoarthritis demonstrate predominant involvement of the medial femorotibial and femoropatellar joint compartments, with formation of two large osteochondral bodies.
  • #27 Lateral radiograph of the knee (A) and axial radiograph of the patella (B) of a 72-year-old woman demonstrate narrowing of the medial femoropatellar joint compartment and osteophyte formation on the medial aspect of the joint.
  • #28 (A) Axial view of the patella demonstrates dentate structures (the “tooth” sign), which represent degenerative ossifications (enthesopathy) at the insertion of the quadriceps tendon into the base of patella, as seen on the lateral view(B) in this 55-year-old man.
  • #29 Occasionally, the tooth sign can also be demonstrated on the anteroposterior projection of the knee, seen here in a 54-year-old woman.
  • #33 Interphalangeal osteoarthritis. Dorsovolar radiograph of right hand of a 74-year-old woman shows degenerative changes in the distal interphalangeal joints, manifested by Heberden nodes, and in the proximal interphalangeal joints, manifested by Bouchard nodes. Note also degenerative changes in the first carpometacarpal joint.
  • #34 Interphalangeal and carpometacarpal osteoarthritis. Dorsovolar radiograph of both hands of a 52-year-old woman with osteoarthritis in addition to the typical Heberden and Bouchard nodes shows deformative changes at the first carpometacarpal articulations, resulting in an odd configuration of both thumbs.
  • #35 Dorsoplantar radiograph of the great and second toes of the feet of a 33-year-old man shows osteoarthritis of the first metatarsophalangeal joints, which are known as hallux rigidus (hallux limitus). Note the narrowing of the joint space, subchondral sclerosis, and marginal osteophytes. Degenerative arthritis and stiffness due to bone spurs that affects the MTP joint at the base of the hallux (big toe) is called hallux rigidus or stiff big toe.
  • #37 Osteoarthritis of the facet joints. Oblique radiograph of the lumbar spine in a 68-year-old man demonstrates advanced osteoarthritis of the facet joints. Narrowing of the joint spaces, eburnation of the articular margins, and small osteophytes are similar to the changes seen in osteoarthritis of the large synovial joints.
  • #39 Conventional lateral tomogram of the cervical spine in a 56-year-old man demonstrates encroachment of the neural foramina by posterior osteophytes.
  • #40 In degenerative disk disease, the vacuum phenomenon in the disk space is common. These radiolucent collections of gas, principally nitrogen, are related to the negative pressure created by abnormally altered joint or disk spaces. Vacuum phenomena involving the intervertebral disc relate to the accumulation of gas, principally nitrogen, in crevices within the intervertebral disk or vertebra. While they can commonly occur with intervertebral disc degerative disease, their appearance does not uniformly indicate "degenerative" disc disease, as gaseous collections may accompany other processes (vertebral osteomyelitis, Schmorl node formation, spondylosis deformans, vertebral collapse with osteonecrosis) affecting the disc and adjacent vertebral bodies.
  • #44 Decreasd range of movement. Not much pain. Recent onset. Past history of right hip dislocation….65y/M Severe osteoarthritic changes right hip: Loss of joint space, marginal sclerosis, osteophytes, sub-articular cyst formation, bone fragments. In this instance previous dislocation. The head has not collapsed and there is no evidence of avascular necrosis at this time.
  • #47 also known as Charcot joint Neuropathic arthropathy comprises a spectrum of destructive processes in the joint associated with neurosensory deficit. Pathognomonic for neuropathic joints are fragmentation of the bone and cartilage, which are discharged as debris into the joint; chronic synovitis with accumulation of varying amounts of fluid in the joint; and joint instability manifested by subluxation and dislocation
  • #48 also known as Charcot joint Neuropathic arthropathy comprises a spectrum of destructive processes in the joint associated with neurosensory deficit. Pathognomonic for neuropathic joints are fragmentation of the bone and cartilage, which are discharged as debris into the joint; chronic synovitis with accumulation of varying amounts of fluid in the joint; and joint instability manifested by subluxation and dislocation
  • #49 also known as Charcot joint Neuropathic arthropathy comprises a spectrum of destructive processes in the joint associated with neurosensory deficit. Pathognomonic for neuropathic joints are fragmentation of the bone and cartilage, which are discharged as debris into the joint; chronic synovitis with accumulation of varying amounts of fluid in the joint; and joint instability manifested by subluxation and dislocation
  • #50 Neuropathic joint. Anteroposterior radiograph of the right hip of a 57-year-old woman with neurosyphilis (tabes dorsalis) shows the typical features of neuropathic (Charcot) joint. There is complete disorganization of the joint, fragmentation, and subluxation. The absence of osteoporosis is a characteristic feature of the neuropathic joint. This condition represents the most severe manifestation of degenerative joint disease.
  • #52 Diabetes, Foot. Note that the distal metatarsals are tapered, producing a licked candy stick configuration.
  • #53 there is a definite anatomic predisposition for osteonecrosis at the epiphyseal centers, especially in the femoral head, humeral head, and distal femur
  • #55 frog-lateral view of the hip
  • #56 While it can affect any bone, and half of cases show multiple sites of damage, avascular necrosis primarily affects the joints at the shoulder, knee, and hip. The classical sites are: head of femur, neck of talus and waist of scaphoid.
  • #57 BITE AND CRESCENT SIGNS. AP Hip. Note the homogeneous increase in density (snow cap sign) involving the upper aspect of the head with a curvilinear inferior border (bite sign) (arrows). Beneath the articular cortex a subchondral fracture (crescent sign) can be seen (arrowhead).
  • #58 Collapsed Articular Cortex. Observe the sharp, angular deformity (arrow) in the weight-bearing cortex (step defect). Sclerosis of the femoral head is also evident.
  • #59 Epiphyseal Fragmentation. Note that multiple cystic and linear lucencies produce a mottled, fragmented appearance to the femoral head. This is owing to a combination of fractures, subchondral cysts, and localized repair response.
  • #63 Osteoarthritis is believed to be caused by trauma, either overt or as an accumulation of microtrauma over years, although there is also a hereditary form called primary osteoarthritis that occurs primarily in middle-aged women.
  • #64 Incidence = 1.5/1k births F:M=8:1 Left:right=2:1
  • #65 The center-edge (C-E) angle of Wiberg is helpful in evaluating the development of the acetabulum and its relation to the femoral head. A baseline is projected, connecting the centers of the femoral heads. The C-E angle is formed by two lines originating in the center of the femoral head, one drawn perpendicular to the baseline into the acetabulum, and the other connecting the center of the femoral head with the superior acetabular lip. Values below the lowest normal value given for each age group indicate hip dysplasia.
  • #68 36 degree acetabular angle.
  • #69 The Andrén-von Rosen line. (A) With at least 45 degrees of hip abduction and internal rotation, the line is drawn along the longitudinal axis of the femoral shaft. In normal hips, it intersects the pelvis at the upper edge of the acetabulum. (B) In subluxation or dislocation of the hip, the line bisects or falls above the anterosuperior iliac spine.
  • #70 Osteoarthritis is believed to be caused by trauma, either overt or as an accumulation of microtrauma over years, although there is also a hereditary form called primary osteoarthritis that occurs primarily in middle-aged women.
  • #72 Also slight decrease in epiphyseal height is noted.
  • #73 Chronic stages of this disorder exhibit reactive bone formation along the superolateral aspect of the femoral neck, along with remodeling; this creates a protuberance and broadening of the femoral neck, which gives it a “pistol-grip” appearance known as a Herndon hump
  • #75 Acrosclerosis = Peripheral predilection for changes in the skin Thibierge-Weissenbach syndrome = Combination of soft tissue calcification, scleroderma, Raynaud’s phenomenon, and generalized telangiectasia
  • #76 CREST syndrome is a common variation of scleroderma seen as the association of calcinosis, Raynaud’s disease, oesophageal dysmotility, sclerodactyly and telangiectasia Others synonyms include progressive systemic sclerosis (PSS), and acrosclerosis (Yochum and Rowe)
  • #78 A 24-year-old woman with scleroderma presented with atrophy of the soft tissues at the distal phalanges of the index, middle, and ring fingers (arrows).
  • #79 A 32-year-old woman with progressive systemic sclerosis exhibits soft-tissue calcifications in the distal phalanges of the right hand, a typical feature of this disorder.
  • #80 A dorsovolar radiograph of the fingers of a 44-year-old woman reveals acroosteolysis (arrow), soft tissue calcifications, and destructive changes of the distal interphalangeal joint of the middle finger.
  • #81 this xray left hand shows Subcutaneous calcifications alongwith destructive changes in distal IP joints of middle, ring and little fingers.
  • #83 Flexion contracture in PIP joints with acroosteolysis of distal phalanx of thumb
  • #84 An overlap syndrome is an autoimmune disease of connective tissue in which a patient presents with symptoms of two or more diseases. Examples of overlap syndromes include mixed connective tissue disease and scleromyositis. Diagnosis depends from which diseases the patient shows symptoms and has positive antibodies for in their lab serology.
  • #86 Moderate juxta-articular demineralization associated with periarticular soft-tissue swelling and abnormal tapering of the distal soft tissues (A). Close-up view of proximal interphalangeal joint of this patient (8) demonstrates capsular distension and early surface erosion of the phalangeal condyle (arrows).
  • #87 Subtle surface erosions (closed arrows) of the metacarpal head and base of proximal phalanx simulating early rheumatoid arthritis (A). In (8) and (C) progressive erosions (open arrows) of the proximal interphalangeal joint can be seen occurring over a 21-month period.
  • #88 Subtle surface erosions (closed arrows) of the metacarpal head and base of proximal phalanx simulating early rheumatoid arthritis (A). In (8) and (C) progressive erosions (open arrows) of the proximal interphalangeal joint can be seen occurring over a 21-month period.
  • #89 subluxation of interphalangeal joint of the thumb and advanced ulnar deviation with subluxation of the second through fifth metacarpophalangeal joints
  • #90 Juxta-articular demineralization and erosive articular disease (A). Close-up view of the wrist (B) shows near-total loss of cartilage in the carpal and radiocarpal joints associated with erosive articular disease. Ulnar drift of the carpus is also demonstrated. Close-up of the MCP joints (C) demonstrates joint narrowing, erosive articular disease and mild reactive sclerosis of the second MCP joint.
  • #92 Acromegaly is the result of excessive growth hormone (GH) production, most commonly from an adenoma of the pituitary. Degenerative joint changes in acromegaly are the result of hypertrophy of articular cartilage, which is not adequately nourished by synovial fluid because of its abnormal thickness.
  • #93 For additional 25 lb. 1 mm can be added to basic value.
  • #94 Spade phalanx sign refers to distal phalanges shape in acromegaly which terminal phalangeal tufts become hypertrophied and have a "spade appearance".
  • #96 Dorsovolar radiograph of both hands of a 42-year-old man with acromegaly shows widening of some and narrowing of other joint spaces, enlargement of the distal tufts and the bases of terminal phalanges, and beak-like osteophytes affecting particularly the heads of the metacarpals. Note the soft tissue prominence and the large sesamoid bones at the first metacarpophalangeal joints. The sesamoid index (derived by multiplying the vertical and horizontal diameters of the sesamoid bone) is 48 in this patient; normally, it should not exceed 20 to 25.
  • #97 Acromegalic arthropathy. Characteristic abnormalities in acromegalic hand include prominence of the soft tissue, enlargement of the tufts and bases of the distal phalanges, widening of the metacarpophalangeal joints, and beak-like osteophytes at the radial aspect of the metacarpal heads (metacarpal hooks). Note also markedly enlarged sesamoid bone at the first metacarpophalangeal joint.
  • #98 Dorsovolar radiograph of both hands of a 42-year-old man with acromegaly shows widening of some and narrowing of other joint spaces, enlargement of the distal tufts and the bases of terminal phalanges, and beak-like osteophytes affecting particularly the heads of the metacarpals. Note the soft tissue prominence and the large sesamoid bones at the first metacarpophalangeal joints. The sesamoid index (derived by multiplying the vertical and horizontal diameters of the sesamoid bone) is 48 in this patient; normally, it should not exceed 20 to 25.
  • #99 primary hyperparathyroidism - a parathyroid adenoma is the commonest cause ( ≈ 80%) followed by parathyroid hyperplasia ( ≈ 15%) 2 secondary hyperparathyroidism - a diffuse, adenomatous hyperplasia, renal osteodystrophy tertiary hyperparathyroidism - an autonomous parathyroid adenoma caused by the chronic overstimulation of hyperplastic glands in renal insufficiency Normal sr. ca. 8.8 to 10.6 mg/dl
  • #100 subperiosteal bone resorption - classically affects the radial aspects of the proximal and middle phalanges of the 2nd and 3rd fingers
  • #101 subperiosteal resorption Thirty year-old patient with chronic renal failure and elevated parathyroid hormone. Subperiosteal resorption is most evident on the radial sides of proximal and middle phalanges. Note the shaggy outer cortical surface in the mid-to-distal shaft of the middle finger proximal phalanx.
  • #102 Subchondral resorption resulted in widening of the sacroiliac joints in this patient with hyperparathyroidism arthropathy.
  • #103 Brown tumours (osteitis fibrosa cystica) can occur in any site, seen here in the distal radius (arrows). Additionally, resorptive changes are evident at the growth plates (small arrows).
  • #104 A brown tumour (also known as osteitis fibrosa cystica or rarely osteoclastoma) is one of the manifestations of hyperparathyroidism. It represents a reparative cellular process, rather than a neoplastic process. Plain film Well-defined, purely lytic lesions that provoke little reactive bone. The cortex may be thinned and expanded, but will not be penetrated. A well-defined, mildly expansile lesion is observed in the distal clavicle approximately 1cm proximal to the distal articular surface. The lesion is soap-bubbly in appearance with mild cortical thinning. There is no evidence of cortical violation or overlying periosteal reaction.  Overall bone density appears moderately diminished. The acromioclavicular joint appears widened, with an indistinct distal clavicular articular surface. The cortex along the medial aspect of the humeral neck appears thinned and feathery on the external rotation view.
  • #105 Primary hyperparathyroidism. With chondrocalcinosis (calcification of cartilage) at the knee (A) and the symphysis pubis (B). Other sites where this may be present are the triangular fibrocartilage
  • #106 Phosphate retention leads to increase in the phosphate × calcium product and precipitation of amorphous calcium phosphate in the arteries and soft tissues. AP radiograph of the left hand shows metastatic calcificationsaround the second and fifth metacarpophalangeal joints (large arrows) and along the second proximal phalanx (small arrow). More typically these calcifications are seen around the large joints.
  • #107 Typical hyperparathyroidism arthropathy at the distal interphalangeal joints of the index and middle fingers. Note also beginning of the resorption of the distal tufts (acroosteolysis).
  • #108 Typical hyperparathyroidism arthropathy at the distal interphalangeal joints of the index and middle fingers. Note also beginning of the resorption of the distal tufts (acroosteolysis).
  • #109 Primary haemochromatosis results from a genetic error of metabolism, with increased absorption of iron from the gastrointestinal tract. Secondary haemochromatosis results from increased intake and tissue accumulation of iron from a known cause such as excessive dietary intake, cirrhosis, multiple transfusions and refractory anaemia.
  • #110 thers is relative sparing of IP joint with invovlment of MCP joints Another typical feature of the disease is the presence of hook-like osteophytes generally seen on the radial aspect of the metacarpal heads. Chondrocalcinosis is seen in association with the metacarpal changes, usually best appreciated in the wrist.
  • #111 JSN with subchondral sclerosis with osteophyte formation.
  • #112 A coned-down magnified radiograph of the second and third metacarpophalangeal joints of the right hand demonstrates characteristic involvement of the metacarpal heads.
  • #113 Patient with haemochromatosis demonstrating classical hook osteophytes arising on the radial aspects of the index and middle finger metacarpal heads (arrows).
  • #114 Oblique radiographs of both hands of a 53-year-old woman with hemochromatosis show beak-like osteophytes arising from the heads of the second and third metacarpals on the radial aspect. The interphalangeal, metacarpophalangeal, and carpal articulations are also affected
  • #115 Haemophilia A is more common affecting 1 in 10 000, XLR Blood products in the joint lead to an inflammatory response by the synovium and the release of destructive enzymes.
  • #116 Haemorrhage and synovial inflammation in the joint lead to periarticular hyperaemia Chronic hyperemia causes overgrowth of the epiphysis and widening of the intercondylar notch in the growing child. Squaring of the inferior pole of the patella (seen in 20-30% of patients with hemophilia) is another form of overgrowth massive subperiosteal and intraosseous bleeding can lead to the formation of large expansile lesions, termed haemophilic pseudotumours synovial inflammation may also lead to periarticular erosions
  • #117 subperiosteal bone resorption - classically affects the radial aspects of the proximal and middle phalanges of the 2nd and 3rd fingers
  • #118 a soft tissue shadow surrounding the knee joint, s/o joint effusion Periarticular osteoporosis and epiphyseal enlargement are seen at left knee radiograph with widened intercondylar notch. There is also evidence of joint effusion in favour of hemarthrosis. 
  • #119 Radiographs showing some of the features of haemophilic arthropathy in this patient with haemophilia. There is epiphyseal enlargement of the radial head, loss of joint space and a subtle haemarthrosis indicated by displacement of the posterior fat pad.
  • #121 27-year-old man with hemophilia and two osseous pseudotumors in right lower extremity, new lesion at distal femur (arrowheads). In tibial lesion, septa have thinned or disappeared, although new irregular calcifications (arrow) have developed within distal region. Most develop in the muscles of the pelvis and lower extremity, where the large muscles have a rich blood supply, or in bone following intraosseous bleeding. Pseudotumours appear as well defined,unilobular or multiloculated, lytic, expensile lesions of variable size. It can involve metadiaphysis and epiphysis of long bones.
  • #122 Occurs in approximately1% of the population; male : female ratio of 20 : 1.
  • #123 subperiosteal bone resorption - classically affects the radial aspects of the proximal and middle phalanges of the 2nd and 3rd fingers
  • #124 Dorsovolar radiograph of the left hand of a 43-year-old man with tophaceous gout shows multiple sharply marginated periarticular erosions and soft tissue masses at the proximal interphalangeal joints of the index and middle fingers, representing tophi.
  • #125 Dorsovolar radiograph of the left hand of a 43-year-old man with tophaceous gout shows multiple sharply marginated periarticular erosions and soft tissue masses at the proximal interphalangeal joints of the index and middle fingers, representing tophi (arrows)
  • #126 Oblique radiograph of the right foot of a 58-year-old man with a 3-month history of gout shows the typical involvement of the first metatarsophalangeal joint. Note the characteristic “overhanging edge” of the erosive changes and preservation of the lateral portion of the joint.
  • #127 Dorsovolar radiograph of both hands of a 60-year-old man with gout shows articular and periarticular erosions. In addition, note the presence of intraosseous defects in the phalanges consistent with intraosseous tophi.
  • #128 Gouty tophus. Lateral radiograph of the elbow of a 73-year-old man with a 30-year history of gout shows a tophus with dense calcifications adjacent to the olecranon process, which exhibits a small erosion.
  • #132 loss of capener triangle decreased epiphyseal height
  • #133 Figure 15.16 Gouty arthritis. Dorsoplantar radiograph of the left foot of a 62-year-old man with a long history of tophaceous gout shows multiple erosions involving the big and small toes and the base of the fourth and fifth metatarsals. The first metatarsophalangeal joint is partially preserved, a characteristic feature of gouty arthritis. A large soft-tissue swelling of the great toe represents a tophus.
  • #134  Radiographs of the hands showing spadelike tufts and metacarpophalangeal joint space widening.
  • #135 Brown tumours of the hands in a patient with hyperparathyroidism. Brown tumours consist of fibrous tissue, woven bone and supporting vasculature, but no matrix. The osteoclasts consume the trabecular bone that osteoblasts lay down and this front of reparative bone deposition followed by additional resorption can expand beyond the usual shape of the bone, involving the periosteum thus causing bone pain. The characteristic brown coloration results from hemosiderin deposition into the osteolytic cysts. Hemosiderin deposition is not a distinctive feature of brown tumors; it may also be seen giant cell tumors of the bone.
  • #136 20 years old male with hand pains and swellings. Note acrosteolysis and globular soft tissue calcifications characteristic of progressive systemic sclerosis.