CT protocol for IVU
Presenter :- Yashawant kumar Yadav
Roll no. :- 06
Bsc.MIT 3RD YEAR
NAMS( Bir Hospital)
Outline
• Anatomy
• Indications
• Preparation for procedure IVU
• Technique and modification
• Radiation dose on procedure
• Findings in IVU
• Advantage and disadvantage
• References
Introduction
• A computerized tomography (CT) urogram is an imaging exam used to evaluate
your urinary tract, including kidneys, bladder and the tubes (ureters) that carry
urine from your kidneys to your bladder.
• MDCT urography is today recognized as state-of-the-art imaging modality in the
evaluation of hematuria and choice for renal evaluation
• Unenhanced CT is generally reserved to demonstrate calcifications and calculi that
may be obscured by contrast agent or it is used as a baseline for attenuation
measurements when enhancement is calculated as a feature of renal mass
characterization. (KUB)
Anatomy of Urinary System
Organs:
• Kidneys – clean and filter blood
• Ureters – tubes that take urine to bladder ‘
• Bladder – stores urine until eliminated
• Urethra – removes urine from body
Kidney
• The kidneys are situated against the posterior abdominal wall and are
retro peritoneal organ .
 however, that the two kidneys differ slightly in position—
1.the left kidney extends from about T12 to L3, whereas
2.the right kidney sits slightly lower on the abdominal wall because
of the position of the liver.
• The superior portion of both kidneys are partially protected by the 11th and
12th pairs of ribs.
External Anatomy of the
Kidneys
• The kidneys are held in place on the posterior body wall and protected by
three external layers of connective tissue.
1.Renal fascia.
2.Adipose capsule. The middle and thickest layer, called the adipose
capsule, consists of adipose tissue that wedges each kidney in place
and shields it from physical shock.
3. Renal capsule. The renal capsule is an extremely thin layer of dense
irregular connective tissue that covers the exterior of each kidney like
plastic wrap. It protects the kidney from infection and physical trauma.
Internal Anatomy of the Kidneys
• A frontal section
of the kidney
reveals the
three distinct
regions of this
organ: the
outermost renal
cortex, the
middle renal
medulla, and
the inner renal
pelvis
Contd….
• Nephrons are the functional units of the kidney
• The renal cortex and renal medulla of each
kidney contain over one million microscopic
filtering structures called nephrons.
• which consists of two main components: the
globe-shaped renal corpuscle, and a long,
snaking tube of epithelium called the renal tubule.
• The renal corpuscle and the majority of the renal
tubule reside in the renal cortex, whereas varying
amounts of the renal tubule dip into the renal
medulla.
Contd …
• These two types of nephrons labeled
as cortical and juxtamedullary
• About 80% of nephrons are cortical
nephrons, so named because they are
located primarily in the renal cortex and
have very short nephron loops
• less numerous, type of nephron in the
kidney is the juxtamedullary nephron.
• It has a long nephron loop that
burrows deeply into the renal medulla.
• The loop is surrounded by a ladder-like
network of capillaries called the vasa
Contd..
• The tip of each renal pyramid tapers into a
slender papilla , which borders on the first
urine draining structure, a cup-shaped tube
called a minor calyx
• Urine from three to four minor calyces
drains into a larger major calyx
• Two to three major calyces, in turn, drain
urine into the large collecting chamber that
is the renal pelvis, which leads into the
ureter Smooth muscle tissue in the walls of
the calyces and renal pelvis contracts to
help propel urine toward the ureter.
Blood supply
• The kidneys receive approximately one-fourth of the total cardiac
output—about 1200 ml per minute—from the right and left renal arteries,
which branch from the abdominal aorta.
•
Contd..
•1 Renal artery → 2 Segmental artery → 3 Interlobar
artery → 4 Arcuate artery → 5 Interlobular (cortical
radiate) artery → 6 Afferent arteriole → 7 Glomerulus →
8 Efferent arteriole → 9 Peritubular capillaries. → 10
Interlobular vein → 11 Arcuate vein → 12 Interlobar vein
→ 13 Renal vein.
Ureters• The ureters transport urine from the kidneys to the urinary bladder. The
ureters are generally about 25–30 cm long and 3–4 mm in diameter in an
adult.
• They begin at roughly the level of the second lumbar vertebra, travel
behind the peritoneum, and empty into the urinary bladder.
• The ureters drain posteriorly into the inferior urinary bladder. In this region
a mechanism prevents urine from flowing backward through the ureter.
• As each ureter passes along the posterior urinary bladder, it travels
obliquely through a “tunnel” in the bladder wall. As urine collects in the
bladder, the pressure rises and compresses this tunnel, pinching the
ureter closed and preventing backflow of urine.
Urinary Bladder
• The urinary bladder is a hollow, distensible organ that sits on
the floor of the pelvic cavity, suspended by a fold of parietal
peritoneum.
Indications of IVU
• Hematuria
a) Micro
b) Macro
• Urinary bladder tumors/stone
• Detection, staging and surveillance of
urothelial tumors
• Obstruction,
• trauma, congenital abnormalities,
• percutaneous nephrolithotomy &
complex infections
• Kidney stones/ tumor or cysts
 Relative or absolute
contraindications
• renal insufficiency,
• contrast allergy,
• pregnancy,
• young age and frequent
examinations
Pt. preparation
• Have any allergies, particularly to iodine or had a previous severe reaction to CM
• Are pregnant or think you might be pregnant ( risk vs benefit )
• Are taking any medications, such as metformin (Fortamet, Glucophage, Glumetza), nonsteroidal
anti-inflammatory drugs (NSAIDS), anti-rejection drugs or antibiotics
• Have had a recent illness
• Have a medical condition, including heart disease, asthma, diabetes, kidney disease or a prior
organ transplantation
• Written and verbal consents are followed
• In order to expand (distend) your bladder, you may be asked to drink water before a CT urogram
and not to urinate until after the procedure.
• However, depending on condition, guidelines about eating and drinking before your CT
urogram may vary .
• Urea & creatinine should be in normal range (15-50mg/dl---0.45-1.4mg/dl)
Contrast media
• The volume of the contrast material bolus ranges from 100 to 150 ml,
administered at a rate of 2–4 ml/sec
• Nonionic contrast agent of 300 mg I/mL is preferred .
Technique
 For CT Urography there are different phase are followed
1. Unenhanced or non- contrast phase
2. Enhance corticomedullary phase
3. Nephrographic phase
4. Execratory phase &
5. Delayed phase
-tailored according to the specific clinical problem involved
Unenhanced or non- contrast phase
• A digital scout radiograph is obtained to ensure coverage from the diaphragm to
the iliac crests.
• A non-contrast CT scan is obtained scanning from the top of the kidneys through
to the pubic symphysis.
• Malignant urologic tumors, such as renal cell carcinoma and transitional cell
carcinoma, are potentially detectable during unenhanced imaging examinations.
• Renal cell carcinoma and transitional cell carcinoma typically appear solid on
unenhanced images and have higher attenuation (5–30 HU) than urine
Contd…
• A renal lesion and also ensure that renal parenchymal calcifications,
renal calculi,
• renal and perinephric hemorrhage and fat, and calcification in a renal
mass
Non enhanced scans also help differentiate hyperdense cyst from renal
solid tumor
Corticomedullary
• This phase is acquired 25-70 sec after contrast
injection
• contrast material enters the cortical capillaries
and peritubular spaces and filters into the
proximal cortical tubules.
Renal cortex can be differentiated from renal
medulla at this stage because
• the vascularity of the cortex is greater than that
of the medulla, &
• contrast material has not yet reached the distal
aspect of the renal tubules
• Renal vasculature or Detected renal mass --represent an aneurysm or an AV malformation
or fistula.
Maximal opacification of the renal vein and arteries, allowing confident diagnosis of tumor
extension to the vein.
left renal artery (black arrow) and
vein (white arrow).
Nephrographic phase
• Nephrographic phase images are
acquired 90–100 seconds after
administration of a nonionic contrast
agent .
• Imaging (2.5- to 5-mm slice thickness) is
typically confined to the kidneys during
this phase.
• Nephrographic phase imaging has the
highest sensitivity in the detection of
renal masses, and correlation with
unenhanced images is required to show
unequivocal enhancement.
• Nephrographic phase axial CT at level of renal hilum.
Excretory phase
• Begins approx 5-8 min after the start of contrast injection.
• The contrast excretes into the collecting system decreasing the attenuation of the
nephrogram
• helpful to better delineate the relationship of a centrally located mass with the
collecting system.
• also useful for evaluating urothelial masses.
• McNicholas et al (28) showed that excretory phase CT scans obtained with
patients in a prone position also improved opacification of the distal ureters
compared to CT scans obtained in supine patients without abdominal compression.
Contd…
• Alternative techniques for achieving optimal visualization of the collecting
systems include supplemental use of normal saline infusion and diuretic injection.
• McTavish et al . reported that supplemental infusion of 250 mL of physiologic
saline immediately after injecting intravenous contrast material significantly
improved opacification of the distal ureters.
• Nolte-Ernsting et al . reported that intravenous injection of low-dose diuretics (10
mg of furosemide) before intravenous contrast material injection also permitted
less dense, homogeneous opacification of the collecting systems compared to
supplemental infusion of 300 mL of normal saline.
• Excretory phase axial CT at level of renal hilum.
• CT urogram: Excretory phase obtained 7 minutes following
contrast administration. This phase is used to look for filling
defects in the urinary collecting system.
Contd…
• Classic renal vascular anatomy in a
36-year-old potential renal donor.
Coronal volume-rendering images in
the (a) arterial phase
Contd…
• Venous phase
Protocol of BIR
Phase Timing Range Slice thickness What to detect
Nonenhanced Pre contrast Lung bases to pubic
symphysis
5 mm Calculi,
hemorrhage/hemorrha
gic cysts
Nephrogram 90–100 seconds Lung bases to pubic
symphysis
3mm Renal tumors, renal
vein thrombosis
Excretory 5-8 min Lung bases to pubic
symphysis
2-3mm Papillary necrosis,
urothelial carcinoma
Sacn :- craniocaudal
Kvp:- 100-120
mA :-80-500
Pitch :- 1-1.375
Unenhanced
Delay
Split-bolus technique
• generally done in DECT
• Radiation doses can be reduced with use of a split-bolus (two-phase) technique
• In which an unenhanced acquisition is followed by IV administration of 30–50
mL of contrast material, and a second bolus of 80–100 mL of IV contrast material
is given after an 8- to 10-minute delay, during which the acquisition is performed.
• Thus in a single nephropyelographic phase acquisition, the renal parenchyma
(nephrographic phase) and the collecting system, ureters, and bladder
(pyelographic phase) are assessed in a reduced the number of phases at a reduced
radiation dose.
Contd…
• excretory-parenchymal
• arterial –portal venous
• vascular –parenchymal
• Provides vascular and parenchymal information or arterial and venous information
in a single acquisition
• A possible disadvantage of the split-bolus technique is that the presence of
contrast material within the ureter at imaging can obscure the subtle isoattenuating
tumors that are not seen in the low-dose unenhanced phase
• CT urogram utilizing a split dose technique: Axial image through
the kidneys and collecting systems demonstrates both
nephrographic and excretory phases of enhancement in the
• CT urogram utilizing a split dose technique: Axial images
displayed with wider window settings are suitable for display of
the opacified collecting systems and urinary tract calculi.
Radiation dose
• Many variations of the standard CT urographic protocol have been investigated
with the goal of reducing radiation exposure and optimizing imaging of the
urothelium.
• Caoili et al. [12] reported radiation doses of 25– 35 mSv for four-phase CT
urography compared with a mean effective dose of 3.6 mSv for excretory
urography
• Radiation doses in CT urography can be reduced by limiting the number of
imaging phases through the use of dual-energy CT or split-bolus
technique .
• Dual-energy CT obviates an unenhanced phase of imaging because
virtual unenhanced CT scans can be postprocessed from a contrast-
enhanced study acquired with two tube potentials operating
simultaneously .
Contd…
• In the early days of CTU, a three-phase CTU protocol could be associated with
effective dose levels of 25–35 mSv .
• A phantom analysis of single-bolus three-phase and split-bolus two-phase CTU
protocols showed mean effective doses of 20–40 mSv, with individual effective
doses as high as 66 mSv .
• Proper stepwise protocol optimization toward use of a three-phase CTU protocol
with unenhanced, corticomedullary, and excretory phases resulted in a reduction in
CTU effective doses from 29.9 to 11.7 mSv for women and from 22.5 to 8.8 mSv
for men.
• A recent CT dose survey performed in The Netherlands showed that, for (split-
bolus two-phase) CTU, comparable median effective doses would be 3.6 mSv for
the unenhanced phase and 6.6 mSv for the concurrent nephrographic and
excretory phases
Advantages
• Multidetector CT technology allows faster data acquisition times.
• Multidetector CT improved z-axis spatial resolution.
• Thinner collimation improves the quality of three-dimensional (3D) data sets and allows
generation of exquisite 3D images of the renal arteries , veins, ureter and kidney
• Motion Artifacts reduction due to the faster acquisition
• Radiation dose minimized
• Example of 3D postprocessing work performed by the
radiologist after the acquisition of the imaging data.
• The image has been obliqued to
optimally visualize the left distal ureter
and left ureterovesicular junction.
• The image has been obliqued in order
to optimally visualize the right distal
ureter and right ureterovesicular
DECT
• DECT is currently not widely available in our clinical practice.
• Compared with single-energy CT, it can enhance tissue and calculi
characterization .
• Two synchronous CT acquisitions at various tube voltage levels allow tissue
discrimination (e.g., bone) from iodine because of their diverse x-ray
absorptions at low and high peak kV levels .
• Omitting iodine from contrast-enhanced DECT images ------virtual unenhanced
images -----for detecting calculi within an iodine-filled urinary collecting
system.
• This process can obviate the requirement for unenhanced CT images and
thereby reduce radiation exposure.
Advantages of DECT urography
• Easy and reliable subtraction of bony structures, 3D visualization of the
collecting systems without concealment by bony structures
• Visualization of renal parenchyma, vascular structures, urinary tracts, calculi,
and tumour's
• Radiation dose reduction by split bolus combined in DECT eliminating the
requirement for an unenhanced scan.
Cons. (consensus) PCNL, (percutaneous nephro-lithotomy)
Findings
Contd..
Contd…
Contd…
• Evidence of right renal infarct at prior
examination. Coronal volume-rendered
image nicely demonstrates an 80% stenosis
in the proximal right renal artery caused by a
partially calcified plaque (white arrow).
• There is a large infarct involving the upper
pole of the right kidney (black arrows).
References
• https://www.ajronline.org/doi/pdf/10.2214/AJR.10.4198
• https://radiologykey.com/ct-urography/
• https://pubs.rsna.org/doi/10.1148/rg.24si045513#TABLE1
• https://emedicine.medscape.com/article/1890669-overview#a3
• https://pubs.rsna.org/doi/full/10.1148/rg.e20
• https://www.ajronline.org/doi/10.2214/AJR.14.13862
Ct protocol for ivu

Ct protocol for ivu

  • 1.
    CT protocol forIVU Presenter :- Yashawant kumar Yadav Roll no. :- 06 Bsc.MIT 3RD YEAR NAMS( Bir Hospital)
  • 2.
    Outline • Anatomy • Indications •Preparation for procedure IVU • Technique and modification • Radiation dose on procedure • Findings in IVU • Advantage and disadvantage • References
  • 3.
    Introduction • A computerizedtomography (CT) urogram is an imaging exam used to evaluate your urinary tract, including kidneys, bladder and the tubes (ureters) that carry urine from your kidneys to your bladder. • MDCT urography is today recognized as state-of-the-art imaging modality in the evaluation of hematuria and choice for renal evaluation • Unenhanced CT is generally reserved to demonstrate calcifications and calculi that may be obscured by contrast agent or it is used as a baseline for attenuation measurements when enhancement is calculated as a feature of renal mass characterization. (KUB)
  • 4.
    Anatomy of UrinarySystem Organs: • Kidneys – clean and filter blood • Ureters – tubes that take urine to bladder ‘ • Bladder – stores urine until eliminated • Urethra – removes urine from body
  • 5.
    Kidney • The kidneysare situated against the posterior abdominal wall and are retro peritoneal organ .  however, that the two kidneys differ slightly in position— 1.the left kidney extends from about T12 to L3, whereas 2.the right kidney sits slightly lower on the abdominal wall because of the position of the liver. • The superior portion of both kidneys are partially protected by the 11th and 12th pairs of ribs.
  • 7.
    External Anatomy ofthe Kidneys • The kidneys are held in place on the posterior body wall and protected by three external layers of connective tissue. 1.Renal fascia. 2.Adipose capsule. The middle and thickest layer, called the adipose capsule, consists of adipose tissue that wedges each kidney in place and shields it from physical shock. 3. Renal capsule. The renal capsule is an extremely thin layer of dense irregular connective tissue that covers the exterior of each kidney like plastic wrap. It protects the kidney from infection and physical trauma.
  • 9.
    Internal Anatomy ofthe Kidneys • A frontal section of the kidney reveals the three distinct regions of this organ: the outermost renal cortex, the middle renal medulla, and the inner renal pelvis
  • 10.
    Contd…. • Nephrons arethe functional units of the kidney • The renal cortex and renal medulla of each kidney contain over one million microscopic filtering structures called nephrons. • which consists of two main components: the globe-shaped renal corpuscle, and a long, snaking tube of epithelium called the renal tubule. • The renal corpuscle and the majority of the renal tubule reside in the renal cortex, whereas varying amounts of the renal tubule dip into the renal medulla.
  • 11.
    Contd … • Thesetwo types of nephrons labeled as cortical and juxtamedullary • About 80% of nephrons are cortical nephrons, so named because they are located primarily in the renal cortex and have very short nephron loops • less numerous, type of nephron in the kidney is the juxtamedullary nephron. • It has a long nephron loop that burrows deeply into the renal medulla. • The loop is surrounded by a ladder-like network of capillaries called the vasa
  • 12.
    Contd.. • The tipof each renal pyramid tapers into a slender papilla , which borders on the first urine draining structure, a cup-shaped tube called a minor calyx • Urine from three to four minor calyces drains into a larger major calyx • Two to three major calyces, in turn, drain urine into the large collecting chamber that is the renal pelvis, which leads into the ureter Smooth muscle tissue in the walls of the calyces and renal pelvis contracts to help propel urine toward the ureter.
  • 13.
    Blood supply • Thekidneys receive approximately one-fourth of the total cardiac output—about 1200 ml per minute—from the right and left renal arteries, which branch from the abdominal aorta. •
  • 14.
    Contd.. •1 Renal artery→ 2 Segmental artery → 3 Interlobar artery → 4 Arcuate artery → 5 Interlobular (cortical radiate) artery → 6 Afferent arteriole → 7 Glomerulus → 8 Efferent arteriole → 9 Peritubular capillaries. → 10 Interlobular vein → 11 Arcuate vein → 12 Interlobar vein → 13 Renal vein.
  • 15.
    Ureters• The ureterstransport urine from the kidneys to the urinary bladder. The ureters are generally about 25–30 cm long and 3–4 mm in diameter in an adult. • They begin at roughly the level of the second lumbar vertebra, travel behind the peritoneum, and empty into the urinary bladder. • The ureters drain posteriorly into the inferior urinary bladder. In this region a mechanism prevents urine from flowing backward through the ureter. • As each ureter passes along the posterior urinary bladder, it travels obliquely through a “tunnel” in the bladder wall. As urine collects in the bladder, the pressure rises and compresses this tunnel, pinching the ureter closed and preventing backflow of urine.
  • 17.
    Urinary Bladder • Theurinary bladder is a hollow, distensible organ that sits on the floor of the pelvic cavity, suspended by a fold of parietal peritoneum.
  • 18.
    Indications of IVU •Hematuria a) Micro b) Macro • Urinary bladder tumors/stone • Detection, staging and surveillance of urothelial tumors • Obstruction, • trauma, congenital abnormalities, • percutaneous nephrolithotomy & complex infections • Kidney stones/ tumor or cysts  Relative or absolute contraindications • renal insufficiency, • contrast allergy, • pregnancy, • young age and frequent examinations
  • 19.
    Pt. preparation • Haveany allergies, particularly to iodine or had a previous severe reaction to CM • Are pregnant or think you might be pregnant ( risk vs benefit ) • Are taking any medications, such as metformin (Fortamet, Glucophage, Glumetza), nonsteroidal anti-inflammatory drugs (NSAIDS), anti-rejection drugs or antibiotics • Have had a recent illness • Have a medical condition, including heart disease, asthma, diabetes, kidney disease or a prior organ transplantation • Written and verbal consents are followed • In order to expand (distend) your bladder, you may be asked to drink water before a CT urogram and not to urinate until after the procedure. • However, depending on condition, guidelines about eating and drinking before your CT urogram may vary . • Urea & creatinine should be in normal range (15-50mg/dl---0.45-1.4mg/dl)
  • 20.
    Contrast media • Thevolume of the contrast material bolus ranges from 100 to 150 ml, administered at a rate of 2–4 ml/sec • Nonionic contrast agent of 300 mg I/mL is preferred .
  • 21.
    Technique  For CTUrography there are different phase are followed 1. Unenhanced or non- contrast phase 2. Enhance corticomedullary phase 3. Nephrographic phase 4. Execratory phase & 5. Delayed phase -tailored according to the specific clinical problem involved
  • 22.
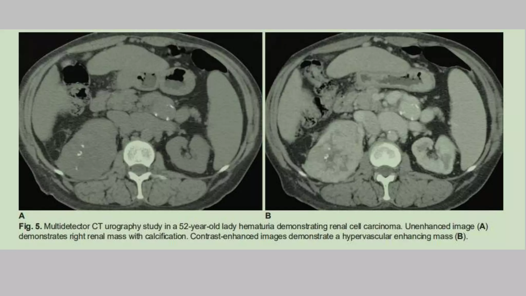
    Unenhanced or non-contrast phase • A digital scout radiograph is obtained to ensure coverage from the diaphragm to the iliac crests. • A non-contrast CT scan is obtained scanning from the top of the kidneys through to the pubic symphysis. • Malignant urologic tumors, such as renal cell carcinoma and transitional cell carcinoma, are potentially detectable during unenhanced imaging examinations. • Renal cell carcinoma and transitional cell carcinoma typically appear solid on unenhanced images and have higher attenuation (5–30 HU) than urine
  • 23.
    Contd… • A renallesion and also ensure that renal parenchymal calcifications, renal calculi, • renal and perinephric hemorrhage and fat, and calcification in a renal mass Non enhanced scans also help differentiate hyperdense cyst from renal solid tumor
  • 25.
    Corticomedullary • This phaseis acquired 25-70 sec after contrast injection • contrast material enters the cortical capillaries and peritubular spaces and filters into the proximal cortical tubules. Renal cortex can be differentiated from renal medulla at this stage because • the vascularity of the cortex is greater than that of the medulla, & • contrast material has not yet reached the distal aspect of the renal tubules
  • 26.
    • Renal vasculatureor Detected renal mass --represent an aneurysm or an AV malformation or fistula. Maximal opacification of the renal vein and arteries, allowing confident diagnosis of tumor extension to the vein. left renal artery (black arrow) and vein (white arrow).
  • 27.
    Nephrographic phase • Nephrographicphase images are acquired 90–100 seconds after administration of a nonionic contrast agent . • Imaging (2.5- to 5-mm slice thickness) is typically confined to the kidneys during this phase. • Nephrographic phase imaging has the highest sensitivity in the detection of renal masses, and correlation with unenhanced images is required to show unequivocal enhancement.
  • 28.
    • Nephrographic phaseaxial CT at level of renal hilum.
  • 29.
    Excretory phase • Beginsapprox 5-8 min after the start of contrast injection. • The contrast excretes into the collecting system decreasing the attenuation of the nephrogram • helpful to better delineate the relationship of a centrally located mass with the collecting system. • also useful for evaluating urothelial masses. • McNicholas et al (28) showed that excretory phase CT scans obtained with patients in a prone position also improved opacification of the distal ureters compared to CT scans obtained in supine patients without abdominal compression.
  • 30.
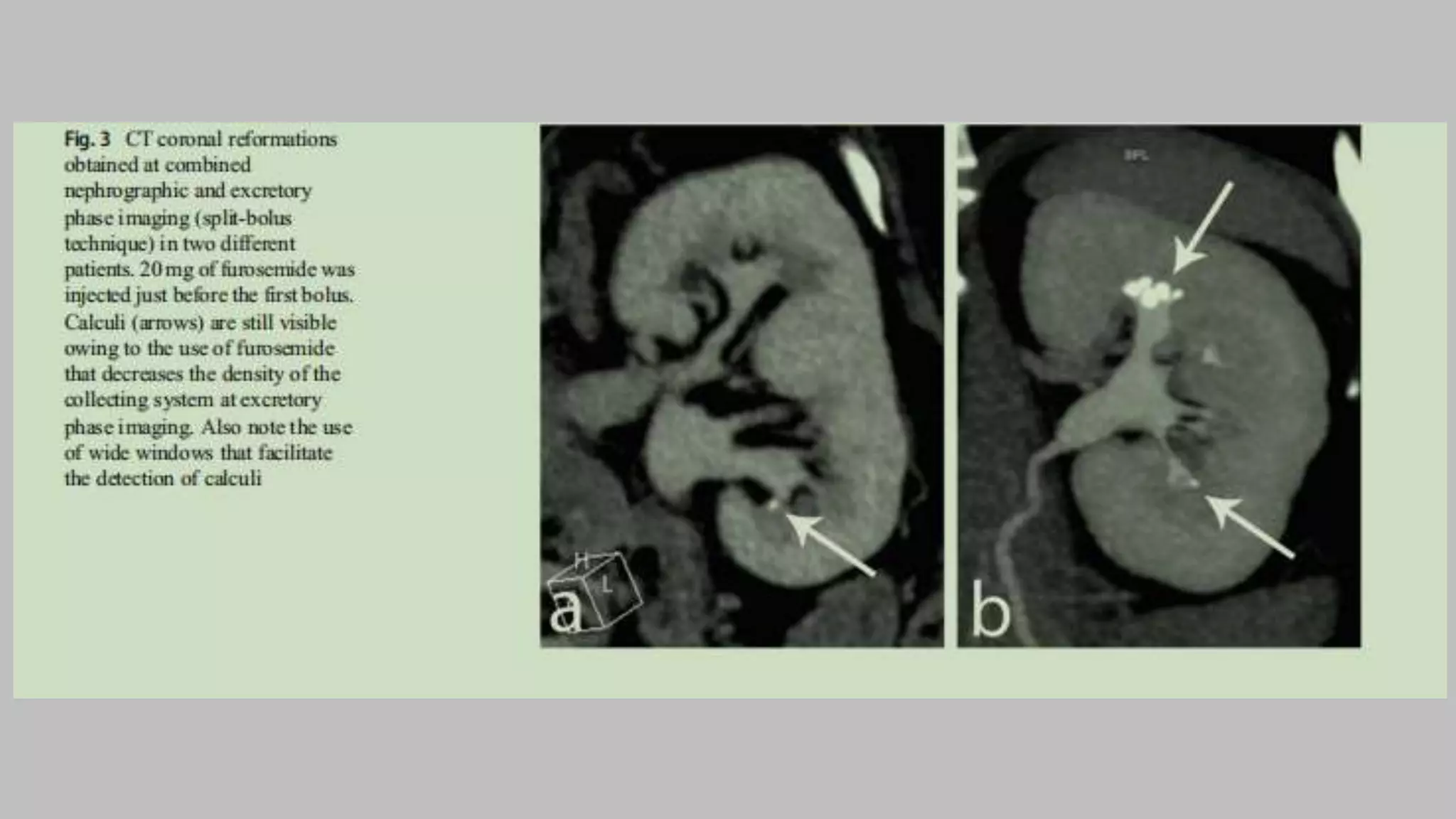
    Contd… • Alternative techniquesfor achieving optimal visualization of the collecting systems include supplemental use of normal saline infusion and diuretic injection. • McTavish et al . reported that supplemental infusion of 250 mL of physiologic saline immediately after injecting intravenous contrast material significantly improved opacification of the distal ureters. • Nolte-Ernsting et al . reported that intravenous injection of low-dose diuretics (10 mg of furosemide) before intravenous contrast material injection also permitted less dense, homogeneous opacification of the collecting systems compared to supplemental infusion of 300 mL of normal saline.
  • 31.
    • Excretory phaseaxial CT at level of renal hilum.
  • 32.
    • CT urogram:Excretory phase obtained 7 minutes following contrast administration. This phase is used to look for filling defects in the urinary collecting system.
  • 33.
    Contd… • Classic renalvascular anatomy in a 36-year-old potential renal donor. Coronal volume-rendering images in the (a) arterial phase
  • 34.
  • 35.
    Protocol of BIR PhaseTiming Range Slice thickness What to detect Nonenhanced Pre contrast Lung bases to pubic symphysis 5 mm Calculi, hemorrhage/hemorrha gic cysts Nephrogram 90–100 seconds Lung bases to pubic symphysis 3mm Renal tumors, renal vein thrombosis Excretory 5-8 min Lung bases to pubic symphysis 2-3mm Papillary necrosis, urothelial carcinoma Sacn :- craniocaudal Kvp:- 100-120 mA :-80-500 Pitch :- 1-1.375
  • 36.
  • 38.
  • 39.
    Split-bolus technique • generallydone in DECT • Radiation doses can be reduced with use of a split-bolus (two-phase) technique • In which an unenhanced acquisition is followed by IV administration of 30–50 mL of contrast material, and a second bolus of 80–100 mL of IV contrast material is given after an 8- to 10-minute delay, during which the acquisition is performed. • Thus in a single nephropyelographic phase acquisition, the renal parenchyma (nephrographic phase) and the collecting system, ureters, and bladder (pyelographic phase) are assessed in a reduced the number of phases at a reduced radiation dose.
  • 40.
    Contd… • excretory-parenchymal • arterial–portal venous • vascular –parenchymal • Provides vascular and parenchymal information or arterial and venous information in a single acquisition • A possible disadvantage of the split-bolus technique is that the presence of contrast material within the ureter at imaging can obscure the subtle isoattenuating tumors that are not seen in the low-dose unenhanced phase
  • 41.
    • CT urogramutilizing a split dose technique: Axial image through the kidneys and collecting systems demonstrates both nephrographic and excretory phases of enhancement in the
  • 42.
    • CT urogramutilizing a split dose technique: Axial images displayed with wider window settings are suitable for display of the opacified collecting systems and urinary tract calculi.
  • 44.
    Radiation dose • Manyvariations of the standard CT urographic protocol have been investigated with the goal of reducing radiation exposure and optimizing imaging of the urothelium. • Caoili et al. [12] reported radiation doses of 25– 35 mSv for four-phase CT urography compared with a mean effective dose of 3.6 mSv for excretory urography • Radiation doses in CT urography can be reduced by limiting the number of imaging phases through the use of dual-energy CT or split-bolus technique . • Dual-energy CT obviates an unenhanced phase of imaging because virtual unenhanced CT scans can be postprocessed from a contrast- enhanced study acquired with two tube potentials operating simultaneously .
  • 45.
    Contd… • In theearly days of CTU, a three-phase CTU protocol could be associated with effective dose levels of 25–35 mSv . • A phantom analysis of single-bolus three-phase and split-bolus two-phase CTU protocols showed mean effective doses of 20–40 mSv, with individual effective doses as high as 66 mSv . • Proper stepwise protocol optimization toward use of a three-phase CTU protocol with unenhanced, corticomedullary, and excretory phases resulted in a reduction in CTU effective doses from 29.9 to 11.7 mSv for women and from 22.5 to 8.8 mSv for men. • A recent CT dose survey performed in The Netherlands showed that, for (split- bolus two-phase) CTU, comparable median effective doses would be 3.6 mSv for the unenhanced phase and 6.6 mSv for the concurrent nephrographic and excretory phases
  • 46.
    Advantages • Multidetector CTtechnology allows faster data acquisition times. • Multidetector CT improved z-axis spatial resolution. • Thinner collimation improves the quality of three-dimensional (3D) data sets and allows generation of exquisite 3D images of the renal arteries , veins, ureter and kidney • Motion Artifacts reduction due to the faster acquisition • Radiation dose minimized
  • 47.
    • Example of3D postprocessing work performed by the radiologist after the acquisition of the imaging data.
  • 48.
    • The imagehas been obliqued to optimally visualize the left distal ureter and left ureterovesicular junction. • The image has been obliqued in order to optimally visualize the right distal ureter and right ureterovesicular
  • 49.
    DECT • DECT iscurrently not widely available in our clinical practice. • Compared with single-energy CT, it can enhance tissue and calculi characterization . • Two synchronous CT acquisitions at various tube voltage levels allow tissue discrimination (e.g., bone) from iodine because of their diverse x-ray absorptions at low and high peak kV levels . • Omitting iodine from contrast-enhanced DECT images ------virtual unenhanced images -----for detecting calculi within an iodine-filled urinary collecting system. • This process can obviate the requirement for unenhanced CT images and thereby reduce radiation exposure.
  • 50.
    Advantages of DECTurography • Easy and reliable subtraction of bony structures, 3D visualization of the collecting systems without concealment by bony structures • Visualization of renal parenchyma, vascular structures, urinary tracts, calculi, and tumour's • Radiation dose reduction by split bolus combined in DECT eliminating the requirement for an unenhanced scan.
  • 51.
    Cons. (consensus) PCNL,(percutaneous nephro-lithotomy)
  • 52.
  • 53.
  • 54.
  • 57.
    Contd… • Evidence ofright renal infarct at prior examination. Coronal volume-rendered image nicely demonstrates an 80% stenosis in the proximal right renal artery caused by a partially calcified plaque (white arrow). • There is a large infarct involving the upper pole of the right kidney (black arrows).
  • 58.
    References • https://www.ajronline.org/doi/pdf/10.2214/AJR.10.4198 • https://radiologykey.com/ct-urography/ •https://pubs.rsna.org/doi/10.1148/rg.24si045513#TABLE1 • https://emedicine.medscape.com/article/1890669-overview#a3 • https://pubs.rsna.org/doi/full/10.1148/rg.e20 • https://www.ajronline.org/doi/10.2214/AJR.14.13862

Editor's Notes

  • #6 organs, meaning they are located posterior to the peritoneal membranes
  • #8 During prolonged starvation, the body uses the fatty acids in the adipose capsule of the kidney for fuel. This causes the kidney to droop, a condition called nephroptosis.
  • #9 a typical adult kidney is about the size of a large bar of soap (11 cm long, 6 cm wide, 3cm thick ) & 150gm wt
  • #10 Notice in Figure 24.3a that the renal cortex is reddish-brown. This is due to its rich blood supply—it houses 90–95% of the kidney’s blood vessels.
  • #14 The renal arteries fan out into ever-smaller vessels
  • #15 Note :- that no segmental veins are present in the kidneys; the interlobar veins merge in the renal sinus to form the large renal vein.
  • #18 It collapses when empty, but when distended, it becomes pear shaped, and can hold up to about 700–800 ml of urine in males (slightly less in females because of the position of the uterus).
  • #20 Area of scan should be clean of anything that May cause artefact
  • #28 Nephrographic phase. The renal parenchyma enhances uniformly, and corticomedullary differentiation is lost.
  • #47 exquisite = very beautiful
  • #55 Xanthogranulomatous pyelonephritis (XGP), first described by Schlagenhaufer in 1916, is a rare, serious, chronic inflammatory disorder of the kidney characterized by a destructive mass that invades the renal parenchyma