CSF circulation
and
Low pressure headaches
-Dr. Sachin Adukia
Cerebral ventricles: Anatomy
 Ventricular System
 two lateral ventricles
 interventricular foramina (of Monro)
 third ventricle.
 cerebral aqueduct (aqueduct of Sylvius
 Fourth ventricle
 central canal of the spinal cord
 through the three foramina in its roof, with the
subarachnoid space.
 terminal ventricle
 Choroid plexus of second and third ventricles
Aqueduct Forth ventricle
2 foramens
Medial : Magendie Lateral : Luschka
Subarachnoid Space
 Brain
 Mucoperiosteum of nose.
 Along cerebral blood vessels as they enter and leave
 Stops at arteriole or venule.
 Subarachnoid space expands to form subarachnoid
cisterns
 Cerebellomedullary cistern,
 Pontine cistern
 Interpeduncular cistern
 Inferiorly, extends spinal cord ---------cauda equina
 Surrounds CN and spinal nerves to where they leave
skull and vertebral canal-------preineurium
Formation of CSF: Microscopy
Lateral View of CSF Circulation
CSF hypotension
And
Low CSF Pressure headaches
Other terms
 Spontaneous (or idiopathic) low CSF pressure
headache
 Low CSF volume headache
 Hypoliquorrhoeic headache
 Aliquorrhea
 CSF leak headache
 CSF hypovolemia
 CSF volume depletion
Epidemiology
 Annual incidence is 5 per 100,000
 Peak incidence - age 40, but children and older
adults are also affected
 F:M = 2:1
Cause of CSF hypovolemia or CSF leaks
1. True hypovolemic state (reduced total body water)
2. CSF shunt overdrainage
3. Traumatic CSF leaks
a. Overt injuries (MVAs, sports injuries, brachial plexus avulsions)
b. Iatrogenic (postdural puncture, postepidural catheterization)
c. Postsurgical (cranial or spinal surgeries, ENT surgeries)
4. Spontaneous CSF leaks
a. Unknown cause
b. Preexisting dural sac weakness
c. Meningeal diverticula
d. Evidences disorders of connective tissue matrix
 Marfan syndrome or marfanoid features
 Joint hypermobility
 Retinal detachment at young age
 Abnormalities of elastin and fibrillin in dermal fibroblast cultures
 Familial occurrence of spontaneous CSF leaks
5. Trivial trauma (perhaps in the setting of preexisting dural weakness)
6. Herniated disks, spondylotic spurs
Varieties of headaches
 Orthostatic
 Neck or interscapular pain or a lingering nonorthostatic
headache preceding the orthostatic headache (by days or weeks)
 Orthostatic evolving into lingering non-orthostatic chronic daily
headaches (transformed orthostatic headaches)
 Nonorthostatic chronic daily headaches from start
 Exertional headaches
 Acute thunderclaplike onset of orthostatic headaches
 Second-half-of-the-day headaches
 Paradoxic orthostatic headaches
 Intermittent headaches of intermittent leaks
 Acephalgic form
•Stupor, diencephalic compression Coma
• Parkinsonism bulbar weakness
• Frontotemporal dementia Encephalopathy
• Gait unsteadiness Trouble with sphincter control
• Bibrachial amyotrophy Chorea
•Rarely. PRES
“Frontotemporal brain sagging syndrome"
(FBSS)
 progressive behavioral symptoms and cognitive
dysfunction suggestive of behavioral variant
frontotemporal dementia
 Atypical C/F: headache, daytime somnolence.
 MRI : typical of SIH
 Treatement: Rx of cause, and CSF leak
CSF in Low CSF Pressure
Pressure often low, occasionally atmospheric, or rarely even negative
Colour Clear , Xanthocromia , Blood tinged
Protein Normal or high (upto 1000mg/dL)
Sugar Normal but NEVER LOW
Cells Normal upto 50 (highest = 222)
RBC May be high
Cytology Negative
Radioisotope Cisternography
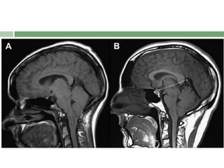
MRI in Low CSF Pressure
Acronym : SEEPS for MRI Features
 SEEPS
 S- Subdural fluid collections
 E- Enhancement of the pachymeninges
 E- Engorgement of the venous structures
 P- Pituitary enlargement
 S- Sagging of the posterior structures
Diagnostic criteria - ICHD-3
A) Any headache fulfilling criteria B through D
B) Low CSF pressure (<60 mmH20) and/or evidence of
CSF leakage on imaging
C) Headache has developed in temporal relation to the low
CSF pressure or CSF leakage, or has led to its discovery
D) Not better accounted for by another ICHD-3 diagnosis
Treatment with potential drawbacks
Conservative Rest, Coffee, Hydration, time
Medications Analgesics, caffiene, theophylline
?Corticosteroids (efficacy, durablility, longterm adv effects)
Binders Binders
Corsets
Patch EBP
Fibrin glue (fibrin sealant) single level, Bi or Multilevel
Fibrin glue and blood
Surgery Disadvantage is……………
Surgical closure (not always possible)
Reinforcement with muscle and/or fibrin sealant
Others Epidural saline or dextan
Intrathecal fluids
IV Saline solitions
Complications of CSF leaks
 Subdural Hematomas
 Rebound IC HTN
 Superficial Siderosis
 Papilloedema
 Bibrachial amyotrophy
 CVT
ORTHOSTATIC HEADACHES WITHOUT CSF LEAK
 Postural orthostatic tachycardia syndrome
 After surgery for Chiari malformation
 syndrome of the trephined
 Increased compliance of dural sac
 Colloid cyst of the third ventricle
References
 Snell RS. The Ventricular System, the Cerebrospinal Fluid, and the Blood-Brain and Blood–
Cerebrospinal Fluid Barriers; In: Clinical Neuroanatomy. Philadelphia: Lippincott Williams &
Wilkins ; 2010; page 446-481.
 Mokri B. Spontaneous CSF Leaks. Neurologic Clinics. 2014 May 1;32(2):397-422.
 Schievink WI. Spontaneous spinal cerebrospinal fluid leaks and intracranial hypotension. JAMA
2006; 295:2286.
 Hammad T, DeDent A, Algahtani R, et al. Posterior Reversible Encephalopathy Syndrome
Secondary to CSF Leak and Intracranial Hypotension: A Case Report and Literature Review. Case
Rep Neurol Med 2015; 2015:538523.
 Wicklund MR, Mokri B, Drubach DA, et al. Frontotemporal brain sagging syndrome: an SIH like
Presentation mimicking FTD. Neurology 2011; 76:1377.
 Headache Classification Committee of the International Headache Society (IHS). The
International Classification of Headache Disorders, 3rd edition (beta version). Cephalalgia 2013;
33:629.
Thank You

Csf circulation and low csf pressure headaches

  • 1.
    CSF circulation and Low pressureheadaches -Dr. Sachin Adukia
  • 2.
    Cerebral ventricles: Anatomy Ventricular System  two lateral ventricles  interventricular foramina (of Monro)  third ventricle.  cerebral aqueduct (aqueduct of Sylvius  Fourth ventricle  central canal of the spinal cord  through the three foramina in its roof, with the subarachnoid space.  terminal ventricle
  • 5.
     Choroid plexusof second and third ventricles
  • 6.
    Aqueduct Forth ventricle 2foramens Medial : Magendie Lateral : Luschka
  • 7.
    Subarachnoid Space  Brain Mucoperiosteum of nose.  Along cerebral blood vessels as they enter and leave  Stops at arteriole or venule.  Subarachnoid space expands to form subarachnoid cisterns  Cerebellomedullary cistern,  Pontine cistern  Interpeduncular cistern  Inferiorly, extends spinal cord ---------cauda equina  Surrounds CN and spinal nerves to where they leave skull and vertebral canal-------preineurium
  • 9.
  • 11.
    Lateral View ofCSF Circulation
  • 13.
    CSF hypotension And Low CSFPressure headaches
  • 14.
    Other terms  Spontaneous(or idiopathic) low CSF pressure headache  Low CSF volume headache  Hypoliquorrhoeic headache  Aliquorrhea  CSF leak headache  CSF hypovolemia  CSF volume depletion
  • 15.
    Epidemiology  Annual incidenceis 5 per 100,000  Peak incidence - age 40, but children and older adults are also affected  F:M = 2:1
  • 16.
    Cause of CSFhypovolemia or CSF leaks 1. True hypovolemic state (reduced total body water) 2. CSF shunt overdrainage 3. Traumatic CSF leaks a. Overt injuries (MVAs, sports injuries, brachial plexus avulsions) b. Iatrogenic (postdural puncture, postepidural catheterization) c. Postsurgical (cranial or spinal surgeries, ENT surgeries) 4. Spontaneous CSF leaks a. Unknown cause b. Preexisting dural sac weakness c. Meningeal diverticula d. Evidences disorders of connective tissue matrix  Marfan syndrome or marfanoid features  Joint hypermobility  Retinal detachment at young age  Abnormalities of elastin and fibrillin in dermal fibroblast cultures  Familial occurrence of spontaneous CSF leaks 5. Trivial trauma (perhaps in the setting of preexisting dural weakness) 6. Herniated disks, spondylotic spurs
  • 17.
    Varieties of headaches Orthostatic  Neck or interscapular pain or a lingering nonorthostatic headache preceding the orthostatic headache (by days or weeks)  Orthostatic evolving into lingering non-orthostatic chronic daily headaches (transformed orthostatic headaches)  Nonorthostatic chronic daily headaches from start  Exertional headaches  Acute thunderclaplike onset of orthostatic headaches  Second-half-of-the-day headaches  Paradoxic orthostatic headaches  Intermittent headaches of intermittent leaks  Acephalgic form
  • 18.
    •Stupor, diencephalic compressionComa • Parkinsonism bulbar weakness • Frontotemporal dementia Encephalopathy • Gait unsteadiness Trouble with sphincter control • Bibrachial amyotrophy Chorea •Rarely. PRES
  • 19.
    “Frontotemporal brain saggingsyndrome" (FBSS)  progressive behavioral symptoms and cognitive dysfunction suggestive of behavioral variant frontotemporal dementia  Atypical C/F: headache, daytime somnolence.  MRI : typical of SIH  Treatement: Rx of cause, and CSF leak
  • 20.
    CSF in LowCSF Pressure Pressure often low, occasionally atmospheric, or rarely even negative Colour Clear , Xanthocromia , Blood tinged Protein Normal or high (upto 1000mg/dL) Sugar Normal but NEVER LOW Cells Normal upto 50 (highest = 222) RBC May be high Cytology Negative
  • 21.
  • 22.
    MRI in LowCSF Pressure
  • 27.
    Acronym : SEEPSfor MRI Features  SEEPS  S- Subdural fluid collections  E- Enhancement of the pachymeninges  E- Engorgement of the venous structures  P- Pituitary enlargement  S- Sagging of the posterior structures
  • 28.
    Diagnostic criteria -ICHD-3 A) Any headache fulfilling criteria B through D B) Low CSF pressure (<60 mmH20) and/or evidence of CSF leakage on imaging C) Headache has developed in temporal relation to the low CSF pressure or CSF leakage, or has led to its discovery D) Not better accounted for by another ICHD-3 diagnosis
  • 30.
    Treatment with potentialdrawbacks Conservative Rest, Coffee, Hydration, time Medications Analgesics, caffiene, theophylline ?Corticosteroids (efficacy, durablility, longterm adv effects) Binders Binders Corsets Patch EBP Fibrin glue (fibrin sealant) single level, Bi or Multilevel Fibrin glue and blood Surgery Disadvantage is…………… Surgical closure (not always possible) Reinforcement with muscle and/or fibrin sealant Others Epidural saline or dextan Intrathecal fluids IV Saline solitions
  • 31.
    Complications of CSFleaks  Subdural Hematomas  Rebound IC HTN  Superficial Siderosis  Papilloedema  Bibrachial amyotrophy  CVT
  • 34.
    ORTHOSTATIC HEADACHES WITHOUTCSF LEAK  Postural orthostatic tachycardia syndrome  After surgery for Chiari malformation  syndrome of the trephined  Increased compliance of dural sac  Colloid cyst of the third ventricle
  • 35.
    References  Snell RS.The Ventricular System, the Cerebrospinal Fluid, and the Blood-Brain and Blood– Cerebrospinal Fluid Barriers; In: Clinical Neuroanatomy. Philadelphia: Lippincott Williams & Wilkins ; 2010; page 446-481.  Mokri B. Spontaneous CSF Leaks. Neurologic Clinics. 2014 May 1;32(2):397-422.  Schievink WI. Spontaneous spinal cerebrospinal fluid leaks and intracranial hypotension. JAMA 2006; 295:2286.  Hammad T, DeDent A, Algahtani R, et al. Posterior Reversible Encephalopathy Syndrome Secondary to CSF Leak and Intracranial Hypotension: A Case Report and Literature Review. Case Rep Neurol Med 2015; 2015:538523.  Wicklund MR, Mokri B, Drubach DA, et al. Frontotemporal brain sagging syndrome: an SIH like Presentation mimicking FTD. Neurology 2011; 76:1377.  Headache Classification Committee of the International Headache Society (IHS). The International Classification of Headache Disorders, 3rd edition (beta version). Cephalalgia 2013; 33:629.
  • 36.