CRT – SUITABILITY,TIPS AND TRICKS,
INDICATIONS, POST PROCEDURE
ASSESMENT
Dr.DURAGA PAVAN,
NIMS,
HYDERABAD.
OUTLINE
• INTRODUCTION
• HF-VENTRICULAR DYSSYNCHRONY
• ASSESMENT OF DYSSYNCHRONY
• RATIONALE/MECHANISM OF CRT
• TRAILS
• INDICATIONS
• PROCEDURE
• PROGRAMING
Introduction
• The prevalence and economic burden of CHF
has been increasing
• Consequence of ↑ survival from ACS and life-
prolonging medications.
Heart Failure Morbidity and Mortality
• Re-hospitalization rates
▫ 2% at 2 days
▫ 20% at 1 month
▫ 50% at 6 months
• 5-year mortality ranges from 15% to 50%
▫ Asymptomatic LVD  15%
▫ Mild-moderate HF  35%
▫ Advanced HF >50%
Heart failure mortality reduction from
Pharmacological treatment
THERAPY Trial(s) Mortality reduction
DIGOXIN - No
DIURETICS - No
ACEI SOLVED,
CONCENSUS,
MERIT-HF
16-31%
BETA BLOCKERS CIBIS II,
COPERNICUS
35%
SPIRONOLACTONE RALES 22%
• Normal heart electrical activation occurs with in 40ms
• With myocardial diseases electrical activation is
delayed from one part to other part of heart –
Dyssynchrony.
• Three types of cardiac dyssynchrony may occur:
intraventricular, interventricular, and atrioventricular
(AV).
DYSYSNCHRONY
• The typical pattern seen with left bundle branch block is
early activation of the IVS and late activation of the
posterior and lateral LV walls.
• Dyssynchrony results in
1. Inefficient LV systolic performance
2. Increased wall stress
3. Increased end systolic volume
4. Delayed relaxation- IMPAIRED FILLING
5. Mitral regurgitation
DYSYSNCHRONY
Intraventricular Dyssynchrony,
• Interventricular dyssynchrony
refers to the time delay between
contraction of the right and left
ventricles
• Interventricular dyssynchrony
results in
DYSYSNCHRONY
Interventricular Dyssynchrony,
Normally LV systole
occurs earlier than RV
With LBBB RV systole
will be earlier than RV
RV pressure high when LV
in late diastole – IVS
displaced in to LV
Incomplete LV filling
Early septal activation
Incomplete LV
emptying
DYSYSNCHRONY
AV Dyssynchrony,
Long AV Interval
A wave fuses with
E
A wave abuts
Limited net diastolic
stroke volume
Decreased LV filling
A delay between atrial and
ventricular contraction
AV dyssynchrony results in
1. Reduced LV filling
2. Diastolic MR
DYSYSNCHRONY
Intraventricular Dys. Interventricular Dyss. AV Dyssynchrony,
Incomplete LV
emptying
Incomplete LV filling
Rationale for CRT
• CRT may confer benefits by
▫ coordinating right ventricular and LV contraction,
▫ synchronizing the LV segments,
▫ prolonging the diastolic filling period with
improvements of both coronary and LV filling,
▫ restoring atrioventricular synchrony.
Rationale for CRT
• Improved contractile function- IMPROVEMENT IN EF
▫ This improvement is associated with greater
coordination of global contraction
• Reverse ventricular remodeling
• Decrease secondary MR
• The ability to tolerate more aggressive
medical therapy and neurohormonal
blockade, particularly with improved
tolerance of beta blockers
• Improved diastolic function
• Improvement in heart rate variability (HRV)
The Cardiac Resynchronization–Heart Failure trial
• in the CRT compared to no CRT group
• CRT can provide up to a 30% improvement in SV
and a significant reduction in MR within 3 months
of initiating therapy
• LVEF - increased by 3.7 percent at three months and
6.9 percent at 18 months .
• The increase in contractile function was associated
with a rise in systolic pressure of about 6 mmHg
• a reduction in plasma N-T-pro-BNP of 225 pg/mL at
3 months and 1122pg/mL at 18 months (median
baseline 1800 to 1900 pg/mL).
• The molecular basis for these mechanical
changes has not been established.
• Preliminary data from an experimental model
suggest that
▫ CRT reduces regional and global molecular
remodeling, generating more homogeneous
activation of stress kinases and reducing
apoptosis.
 Chakir K, Daya SK, Tunin RS, et al. Reversal of global apoptosis and regional
stress kinase activation by cardiac resynchronization. Circulation 2008;
117:1369
CRT Induces Reverse Ventricular Remodeling
• Decrease in ESV/EDV/Lvmass
• By avg of 10% decrease in vol over a 6 month
period.
▫ Yu et al
▫ CARE-HF
▫ MIRACLE trials,
Improvement in heart rate variability
(HRV)
Assesment of dyssynchrony
• ECG
• ECHO
• OTHERS
QRS DURATION
• QRS duration, a marker of electrical
dyssynchrony,
• Cannot be used alone to reflect mechanical
dyssynchrony
• QRS interval <150 ms is a major risk factor for
lack of response to CRT,
• But is easy to assess, and remains an important
element for patient selection in current practice.
LBBB
• Changed pattern of LV contraction
• Suboptimal LV FILLING
• Increased duration of MR
• Paradoxical septal motion
Limitations
• The threshold criteria of a QRS duration of120
ms was not derived from prospective evaluation
but rather from inclusion criteria of landmark
clinical trials
• Although remarkable symptomatic improvement
is seen in many patients, up to 30% of subjects
who participated in CRT trials failed to respond
to therapy or may have worsened
• 20 % with an EF <35% and QRS 150 ms do not exhibit dyssynchrony.
Electrical evidence of conduction delay with QRS duration
may not be the most reliable marker of ventricular
dyssynchrony
Cho GY,, et al. Mechanical dyssynchrony by TD imaging
is a powerful predictor of mortality in CHF with normal
QRS duration. JACC. 2005
Role OF ECHO
DYSYSNCHRONY by ECHO
Intraventricular Radial Dyssynchrony,
John Gorcsan III et al ASE recommendation of echo for CRT 2008
DYSYSNCHRONY by ECHO
Intraventricular Dyssynchrony – Septal To Posterior Wall Delay (SPWMD)
John Gorcsan III et al ASE recommendation of echo for CRT 2008
SPWMD ≥ 130MS
sensitivity of 100% and a specificity of 63% to
predict the response to CRT
Note that time to peak strain
in a normal subject occur
synchronously over a very
narrow time range.
Dyssynchrony is shown as
the difference in timing of
peak strain from earliest to
latest segment
DYSYSNCHRONY by ECHO
Intraventricular Dyssynchrony – Septal To Posterior Wall Delay (SPWD)
John Gorcsan III et al ASE recommendation of echo for CRT 2008
• In the PROSPECT study, SPWMD could not
predict clinical response to CRT (54% sensitivity
and 50% specificity), and a 72% interobserver
variability was shown for this parameter.
• SPWMD could not be assessed in 50% of
patients because of septal or posterior wall
akinesis, or poor acoustic windows.
DYSYSNCHRONY by ECHO
Intraventricular longituidinal Dyssynchrony
John Gorcsan III et al ASE recommendation of echo for CRT 2008
OPPOSING WALL DELAY ≥
65MS
DYSYSNCHRONY by ECHO
Intraventricular longituidinal Dyssynchrony
John Gorcsan III et al ASE recommendation of echo for CRT 2008
OPPOSING WALL DELAY ≥
65MS
MAXIMUM WALL DELAY IN
12 SEGMENTS ≥ 100MS
DYSYSNCHRONY by ECHO
Intraventricular longituidinal Dyssynchrony – Dyssynchrony (yu) index
John Gorcsan III et al ASE recommendation of echo for CRT 2008
YU INDEX ≥
33MS
DYSYSNCHRONY by ECHO
Intraventricular longituidinal Dyssynchrony
DELAY IN ONSET OF SYSTOLLIC VELOCITY ≥
100MS
LV pre-ejection interval (LPEI)
• PROSPECT trial (cut-off at 140 ms or more).
• This parameter had low intra- and interobserver
variability (3.7% and 6.5%, respectively), could
be performed in 95% of echos,
• predicted both clinical improvement and
reverse remodelling after CRT, although with
rather low sensitivity and specificity
John Gorcsan III et al ASE recommendation of echo for CRT 2008
DYSYSNCHRONY by ECHO
Interventricular mechanical delay (IVMD)
DELAY IN ONSET OF SYSTOLLIC VELOCITY Ao-Pu ≥
40 MS
• Not used for assessing as requirement of CRT
• Used to optimize CRT once deployed
• An AV delay programmed too short will result in absence or
interruption of the atrial component (mitral A wave) by the
premature ventricular contraction and closure of the mitral
valve..
• An AV delay programmed too long can result in suboptimal
LV preload or diastolic MR, or may even allow native LV
conduction, which defeats the purpose of CRT
DYSYSNCHRONY by ECHO
AV Dyssynchrony
DYSYSNCHRONY by ECHO
• The LV filling time to RR interval ratio
(LVFT/RR)
• index of atrioventricular (dys)synchrony.
• Using a 40% or greater LVFT/ RR cut-off, the
PROSPECT investigators found a low sensitivity but
good specificity for clinical and remodelling responses
(36% and 76% for clinical response, and 41% and 74%
for LVESV, respectively) to predict response to CRT
SPECKLE TRAKING
• Velocities measured with TDI tend to
underestimate the individual movement of each
myocardial segment because of translational
motion or tethering.
• Whether echo criteria in pts with normal QRS can
benefit pts with CRT?
• Whether echo criteria in pts with increased QRS can
identify pts who are more likely to benefit with CRT?
DYSYSNCHRONY by ECHO
ECHO Dyssynchrony – Trial Evidence
• Whether echo criteria in pts with normal QRS
can benefit pts with CRT?
• Non RCT
1. BLEEKER(JACC 2006)
2. CHEUK-MAN (JACC 2006)
3. YU(JACC 2006).
• RCT
1. RETHINQ- The Resynchronization
Therapy in Normal QRS Study.
2. ECHO-CRT
DYSYSNCHRONY by ECHO
ECHO Dyssynchrony – Trial Evidence
Inclusion Criteria
• NYHA class III HF
• LVEF ≤ 35%
• Evidence of mechanical dyssynchrony
• QRS duration < 130ms
Primary Endpoint
Improvement in Peak VO2 during CPET of at least
1.0ml/kg/min at 6 months.
Secondary Endpoints
Improvement in quality of life score at 6-months
Improvement in NYHA classification at 6-months
RETHINQ
DYSYSNCHRONY by ECHO
ECHO Dyssynchrony – Trial Evidence – NARROW QRS
Mechanical dyssynchrony considered present if either
• M-Mode
- Septal posterior wall mechanical delay (SPWMD) ≥
130 ms
OR
• Tissue Doppler Imaging (TDI) of the basal
ventricular
segments in apical 4/2/3 chamber views
- Septal to lateral delay ≥ 65ms
OR
- Antero-septal to posterior delay ≥ 65ms
RETHINQ
DYSYSNCHRONY by ECHO
ECHO Dyssynchrony – Trial Evidence – NARROW QRS
RETHINQ
DYSYSNCHRONY by ECHO
ECHO Dyssynchrony – Trial Evidence – NARROW QRS
Limitations
1. Too short follow up study
2. ECHO criteria less and coudn’t include strain
3. Small no. of subjects
DYSYSNCHRONY by ECHO
ECHO Dyssynchrony – Trial Evidence – NARROW QRS
ECHO-CRT
• Primary composite endpoint:
▫ Hospitalization or all cause mortality occurred in
116 of 404 pt of CRT vs 102 of 405 control pt
(28.7% vs 25.2)
ECHO-CRT
• Whether echo criteria in pts with increased QRS can
identify pts who are more likely to benefit with CRT?
• PROSPECT trial – Predictors of Response to CRT
DYSYSNCHRONY by ECHO
ECHO Dyssynchrony – Trial Evidence – WIDE QRS
Purpose:
▫ Prospective, multi-center study designed to evaluate the
ability of selected, pre-defined baseline
echocardiographic parameters to predict clinical or
echocardiographic response to CRT in a prospective,
multi center study
Primary Endpoints at 6 months:
▫ Clinical Composite Score
 Subjective and objective measures of clinical status
include: Survival, heart failure hospitalization, change in
NYHA Class and change in Patient Global Assessment
Score
▫ Left Ventricular End-Systolic Volume
 Definition of Improved: Reduction of ≥ 15%
DYSYSNCHRONY by ECHO
ECHO Dyssynchrony – Trial Evidence – WIDE QRS
PROSPECT
DYSYSNCHRONY by ECHO
PROSPECT
ECHO Dyssynchrony – Trial Evidence – WIDE QRS
The results of the PROSPECT study indicate that no
single echocardiographic measure of dyssynchrony,
may be recommended to further improve patient
selection among the CRT candidates.
Current clinical criteria including
electrocardiogram, remain the standard for
CRT patient selection
DYSYSNCHRONY by ECHO
PROSPECT
ECHO Dyssynchrony – Trial Evidence – WIDE QRS
• Various magnetic resonance imaging (MRI)
techniques
• The circumferential uniformity ratio estimate -
CURE index is based on tagged MRI and ranges
from 0 (dyssynchronous) to 1 (synchronous).
• In a recent series of 43 heart failure patients
treated with CRT, the CURE index showed an
accuracy of 90% to predict clinical improvement at
6-month follow-up, with a negative predictive value
of 87% and a positive predictive value of 100% .
DYSYSNCHRONY by MRI
• Vector-velocity– encoded magnetic resonance permits the
assessment of LV mechanical dyssynchrony by measuring
differences in regional time to peak myocardial velocities,
similar to echocardiography with TDI .
• The assessment of segmental radial motion or radial
thickness of the LV along the cardiac cycle with MRI has
provided novel indices of LV mechanical dyssynchrony
• The standard deviation of time to peak radial motion or
thickness of 16 or more LV segments is used as a marker of
LV mechanical dyssynchrony.
DYSYSNCHRONY by MRI
CMR
• Can assess mechanical dyssynchrony differently
from echocardiography from a technical
perspective.
• CMR can also provide the location of myocardial
scar and coronary venous anatomy, which
influence the likelihood for success of CRT.
• Nuclear imaging has also been used for assessment of LV
mechanical dyssynchrony.
• LV contraction patterns
▫ Gated blood-pool ventriculography,
▫ Gated blood-pool SPECT,
▫ Gated myocardial perfusion SPECT.
• From the short-axis images,
▫ amplitude (which reflects systolic wall thickening)
▫ phase (reflecting onset of mechanical contraction) are calculated.
• Five different quantitative LV dyssynchrony indices can be
derived (peak phase, phase standard deviation, bandwidth,
phase histogram skewness, and kurtosis).
DYSYSNCHRONY by SPECT
▫ The phase standard deviation
▫ the histogram bandwidth
• are the most commonly used parameters to assess LV
mechanical dyssynchrony .
• In 40 patients with advanced heart failure treated with
CRT, LV mechanical dyssynchrony was assessed with
gated myocardial perfusion SPECT.
• Responders had significantly larger bandwidth
histogram (94±23° versus 68±21°; P<0.01) and phase
standard deviation (26±6° versus 18±5°; P< 0.01) at
baseline than non responders.
DYSYSNCHRONY by SPECT
CLINICAL TRIALS
• In NYHA class III or IV HF
Multisite Stimulation in
Cardiomyopathy Trials (MUSTIC)
• The first study involved 58 randomized patients
with NYHA class III HF, NSR, and a QRS
duration of at least 150 msec.
• The mean distance walked in 6 minutes was 23%
greater with CRT than without CRT (P <0.001).
• Significant improvement was seen in quality
of life and NYHA functional class ranking.
MIRACLE:2002
Multi-center In Sync Randomized Clinical
Evaluation Trial
• Double blinded RCT
• First US trial
• Class 3 or 4, on OMT, QRS >130 ms, EF<35%
• Enrollment of 453 patients
MIRACLE
NYHA class III-IV
LVEDD > 60 mm
QRS > 130 ms
Stable 3 month regimen of beta-blocker/ACE inhibitor
EF < 35%
Randomization
CRT on
CRT on
1- and 3-month follow-up
6-month follow-up
CRT off
1- and 3-month follow-up
6-month follow-up
Long-term follow-up
Nonresponders: older, ischemic CM, no MR, QRS<150
Responders: had shorter duration on CHF and longer QRS>155
MIRACLE
39%
34%
27%
67%
17% 16%
0%
20%
40%
60%
Improved No Change Worsened
Proportion
Control N=225 CRT N=228
P < 0.001
MIRACLE
• There was a decrease in hospitalizations of 50% at 6
months and a trend towards a decrease in mortality.
• All other primary and secondary endpoints were met: 6
minute walk time, peak Vo2, QOL, EF , NYHA class,
LVEDD
Magnitude of improvement not influenced by degree of QRS
shortening with BiVP (average in all was –20msec)
FDA Approval
•The first CRT device was
approved by the FDA in
September 2001 .
COMPANION Trial ( The Comparison of Medical
Therapy, Pacing, and Defibrillation in Heart
Failure )
• comparing the effects of CRT alone (CRT-P) or
CRT-D with optimal medical therapy
• subjects were randomized in a 1:2:2: ratio.
• greater proportion of patients had ischemic
cardiomyopathy.
COMPANION
Michael R.Bristow et al,NEJM May 2004.
Total no of patients : 1520.
• 128 US center
• Inclusion criteria :
NYHA Class- III or IV
QRS > 120 msec.
LVED > 55 mm
EF < 35%
PR duration:150 msec.
Patient has no indication for ICD or Pace maker implantation.
Randomly assigned in 1: 2: 2 treatment protocol.
• The primary end point was a composite of time to death
and hospitalization from any cause.
• Significant reduction in the primary end point in the
CRT-P (34%) and the CRT-D group (40%).
• Significant 36% reduction in mortality was found with
CRT-D, with a smaller (24%) non significant trend
towards mortality reduction with CRT-P (p = 0.06).
CLINICAL TRIALS
• In NYHA class III or IV HF
• Role of CRT - where evidence is uncertain
1. In mild heart failure (NYHA class I , II )
2. In pts with AF
3. In pts with heart failure needing pacing
4. In pts with NO LBBB (RBBB , IVCD)
• MADIT – CRT(15% NYHA class I and 85%
NYHA class II).
• RAFT – (80% NYHA class II and 20% NYHA
class III).
• REVERSE trial
In mild heart failure (NYHA class I , II )
MADIT CRT
RAFT
• In NYHA class I or II HF
• MUSTIC
• RAFT
In AF
• RAFT
• Block HF trail
• PACE trial
In pts with heart failure needing pacing
HF WITH RBBB
HF WITH RBBB
• Sex — Indications for CRT do not vary by sex
• Age — Randomized trials have not specifically
addressed the benefit of CRT in elderly patients.
However, an individual patient meta-analysis of
five randomized CRT trials found no significant
interaction between age and CRT effect on all-
cause mortality/heart failure (HF)
hospitalization
Cumulative Enrollment in Cardiac
Resynchronization Randomized
Trials
0
1000
2000
3000
4000
1999 2000 2001 2002 2003 2004 2005
Results Presented
CumulativePatients
PATHCHF
MUSTIC SR
MUSTIC AF
MIRACLE
CONTAKCD
MIRACLEICD
PATHCHFII
COMPANION
MIRACLEICD II
CAREHF
Indications
2013 ACCF/AHA Heart Failure Guideline
CRT - GUIDELINES
CLASS 1 A recommendation
criteria ACC/AHA 2013 ESC 2012
NYHA class III , ambulatory IV II , III ,
ambulatory IV
LVEF < 35% < 30 %
Rhythm Sinus Sinus
BBB LBBB LBBB
Symptomatic even
with optimal
medical
management
Yes Yes
Dyssynchrony ≥ 150ms ≥ 130ms
2013 ACCF/AHA Heart Failure Guideline
2013 ACCF/AHA Heart Failure Guideline
2013 ACCF/AHA Heart Failure Guideline
II , III , ambulatory IV refractory to optimal Rx
II , III , ambulatory IV refractory to optimal Rx
Preimplant identification of
nonresponders
• Response score
• Data from 1761 patients enrolled in the MADIT-CRT
trial
▫ female sex (two points),
▫ nonischemic origin (two points),
▫ LBBB (two points),
▫ QRS ≥150 ms (two points),
▫ prior hospitalization for HF (two point),
▫ left ventricular end-diastolic volume ≥125 mL/m2 (two
points),
▫ left atrial volume <40 mL/m2 (three points)
• The response score correlated with reduction in
the risk of HF or death with CRT-D versus
defibrillator only therapy with a 13 percent
increase in clinical benefit per one point
increment in the response score.
PROCEDURE
Procedural Aspects of Lead Positioning
• Step 1: Venous access, right atrial, and RV lead
implantation
• Venous access:
▫ combined approach: cephalic vein cutdown (for
the RA and RV leads) and an axillary or subclavian
vein puncture for the LV lead.
▫ the axillary or subclavian veins can be used as the
only venous conduit for the leads and lead delivery
systems
• Once access is obtained, the RV lead is placed first in
order to provide backup pacing.
▫ more difficult to cannulate the CS with the lead
implanted
• If there is no need for backup pacing or additional
method is used to provide backup pacing (e.g.
temporary RV apex pacing), the LV lead should be
implanted first, because it may be easier to
cannulate the CS.
• RA lead should be implanted last, in order to avoid
dislodgements
• Step 2: CS access:
• CS ostium is 5–15 mm in diameter
and is located on the posterior
interatrial septum anterior to the
Eustachian ridge and valve and
posterior to the tricuspid annulus.
• ostium is often covered, to a
variable extent, by the Thebesian
valve.
• The valve usually covers the
superior and posterior surfaces of
the ostium, but may be covered
completely with formation of
fenestrations.
• landmarks for the location of the ostium
▫ calcified right coronary artery
▫ radiolucency from the fat pad running in the AV
groove
▫ The CS is on average 3-10 mm above (superior to)
the inferior border of the T10 vertebral body
▫ 10 - 16 mm above the dome of the left
hemidiaphragm
Angiographic views
• Right anterior oblique: (RAO) 48+/-7
projection,
▫ the fluoroscope beam is parallel to the CS plane ,
▫ the CS ostium is visualized ‘‘en face,’’ and the CS
guiding catheter is straight.
Angiographic views
• LAO/AP view
• straight
• preshaped with different degrees of the curves,
• straight catheters with the ability of cyrtosis by
external manipulation)
steerable electrophysiology diagnostic mapping
catheter
Guide catheters
Coronary sinus cannulation
• The CS catheter with a single curve easily enters the
ostium of the coronary sinus from a superior
approach.
• The left brachial vein access is thus often preferred.
• Although a right brachial or femoral venous
approach is feasible using a reverse loop technique,
• the easiest approach to the coronary sinus is still
through the right internal jugular vein.
• Technique:
• After entering the right atrium, the catheter is
rotated counterclockwise and advanced slightly until
it just enters the right ventricle (detected by
pressure waves or premature ventricular
contractions).
• After slight additional counterclockwise rotation,
the catheter is then withdrawn slowly until an atrial
pressure tracing is restored.
• Gentle readvancement of the catheter from this
position leads to cannulation of the coronary sinus.
• Should the right ventricle be re-entered, the same
maneuver is repeated with accentuation of
counterclockwise rotation.
• Successful coronary sinus entry is confirmed by
▫ In the LAO projection, the catheter is smoothly
advanced
 crossing the spine or
 across the plane of the tricuspid valve.
▫ the maintenance of a right atrial pressure
waveform
▫ absence of premature ventricular contractions,
• confirmatory contrast injection.
• Step 3: Defining the venous anatomy and
selecting a target vein
• Balloon occlusive retrograde coronary venous
angiography
▫ In AP, LAO 45 and RAO 30
▫ high-speed rotational angiography, over an arc
from RAO 55 to LAO55 for better definition of the
angle
 Acute takeoff angles of the CS tributaries (angles of
900 between the first-degree CS tributary and the
main CS) can impede cannulation.
Optimal site
• Optimal site may vary considerably for an
individual patient.
▫ In the majority of patients, preferred sites are
 Lateral
 Posterolateral,
 Non-apical position
 Non scar area
As far as possible from the RV pacing lead.
Segmental venous classification
• Thus 9 LV venous segments are derived which when added with the
conventional classification gives the best comprehensive information
to place the epicardial LV leads for CRT purposes
• Step 4: Advancing the LV lead delivery system in
the CS
▫ Once the CS is cannulated with a guide, the pacing
lead is advanced.
• Step 5: Cannulating a first-degree tributary of
the CS
Choice of LV lead
• first-degree CS tributary is large, a lead with a
larger diameter is chosen.
• target vein is very large and there is a risk of
dislodgement, then a lead with an S-shape or
sigmoid shape may allow for better lead stability
▫ LV lead dislodgement rates are still approximately
5–10%
Choice of LV lead
• Active fixation leads that have lobes at the distal
endof the lead that can be deployed and
compress gently against the vein wall, and
thereby provide enhanced fixation of the LV lead
• leaving a guidewire in place for CS lead
stabilization.
• placement of coronary stents besides the lead
body.
▫ extracting or replacing difficulties
Difficulties in step 5
• Acute takeoff angles of the CS tributaries.
• Increased tortuosity of the CS branch
▫ Placing the guide sheath close to the target vessel
▫ an internal mammary artery catheter
▫ The double-wire technique
▫ position the wire in other first-degree tributaries of the
CS, like the anterior interventricular vein or middle
cardiac vein, which have extensive collaterals with the
lateral/posterolateral vein, and then advancing the
wire through the collaterals and terminating in the
target area.
Coronary sinus cannulation
• Recently, the use of magnetic navigation for the
placement of a guide wire within the CS was
advocated for difficult cases.
• a new technique for rapid cannulation of the CS
and advancement of the LV pacing lead with
minimum fluoroscopy and procedure time in
cases where conventional techniques have been
unsuccessful.
LV lead implantation is not possible
• An epicardial approach via mini-thoracotomy
might be considered.
• Transseptal endocardial LV lead implantation.
▫ performed with endocardial screw-in leads, which
are passing by the interatrial septum and the
mitral valve and are attached to the LV wall.
▫ Endocardial pacing is physiologic in experimental
and clinical observations as compared to epicardial
pacing.
▫ this technique has the advantage of positioning the
LV lead within the LV cavity unrestricted by the
coronary sinus branches.
▫ there are very limited data on the long-term safety
and efficacy of this method.
▫ Patients require long-term anticoagulation
▫ there is limited data on any risk of worsening
mitral regurgitation (due to the transmitral lead
position).
• Bifocal right ventricular pacing .
• Bifocal right ventricular pacing consists of
implantation of two right ventricular leads
▫ one placed septally at the apex,
▫ the other in the high septal outflow tract.
Europace (2005) 7, 380e384
Complications of CRT
• The most common complication
▫ inability to implant the LV pacing lead successfully in
the coronary vein
• Additional complications include
▫ coronary sinus or coronary vein trauma,
▫ pneumothorax,
▫ diaphragmatic/phrenic nerve pacing,
▫ infection .
▫ prolonged radiation exposure due to the complexity of
the transvenous implantation procedure ,
▫ theoretical risk that pacing from an LV lead may be
proarrhythmic due to alterations in depolarization and
repolarization sequences
• In 54 studies (6123 patients) of CRT-alone devices,
▫ implantation was unsuccessful - 7 %
▫ patients died during implantation - 0.3 %
▫ During a median six-month follow-up,
 5 % of CRT devices malfunctioned
 2 % of patients were hospitalized for infections in the
implant site.
▫ During a median follow-up of 11 months, lead
problems occurred in 7 %of CRT devices
▫ did not reveal any excess risk of sudden death or
noncardiac death in CRT device recipients.
THINGS TO AVOID
• Right atrial pacing
• Pacing of the right atrial appendage in the DDD
mode leads to delayed activation of the left
atrium, which may impair left ventricular
preload due a reduction in the left atrial
contribution.
• With VDD pacing, both atria are activated via
the intrinsic conduction system
Lead Position
• LV lead location is probably one of the most
important contributing factors for CRT
response
▫ Chest X-ray images (PA and lateral projection)
▫ fluoroscopy
CRT PROGRAMMING
• Two main device-based approaches:
▫ Promoting CRT
▫ Optimizing CRT
Promoting CRT
• Unlike conventional pacing (where the goal is to
minimize unnecessary ventricular pacing), CRT
should pace both ventricles as close to 100% of
the time as possible.
• Percentage of LV pacing -- as high as 90%.
▫ optimal CRT delivery
• lower pacining %
▫ LV lead dislocation
▫ paroxysmal or permanent atrial fibrillation
▫ frequent ventricular ectopic beats
Promoting CRT- MTR
• The Maximum Tracking Rate sets the highest
rate at which the ventricles will be paced in
response to intrinsic atrial activity.
• If the patient has high intrinsic atrial rates
(>MTR) with good conduction, it is possible that
the ventricle will not be paced some of the time.
• Make sure the MTR is high enough so that even
in the presence of high intrinsic atrial rates, the
patient is paced in the ventricle as much as
possible
Promoting CRT- RRAVD
• Rate-responsive Av delay (RRAVD) is the
automatic shortening of the AV delay as the
patient’s heart rate increases.
• This keeps the AV delay short even during
periods of rapid activity.
• Programmed ON in CRT patients.
• The algorithm is automatic.
• Conventional hysteresis encourages intrinsic
activity and is incompatible with CRT.
• However, negative AV hysteresis automatically
shortens the AV delay whenever an intrinsic
ventricular event is sensed.
• This is the “opposite” of conventional hysteresis
and works to discourage intrinsic ventricular
activity.
• Program it ON.
Promoting CRT: Negative AV Hysteresis
Promoting CRT: Negative AV Hysteresis
Optimisation
• Why do we optimize CRT?
• How do we optimize CRT?
• When should we optimizeCRT?
• does optimizing CRT benefit patients?
Why do we optimize CRT?
• The theory behind timing optimization is that
proper CRT depends on precise timing of the
ventricular contractions.
• Timing must allow for :
▫ Adequate time for the filling of the ventricles
(i.e.diastolic optimization).
▫ Proper contraction of the right and left ventricles
with respect to each other (i.e. systolic
optimization).
Atrioventricular delay
• Atrial contraction contributes 20 –30% to stroke
volume at rest.
COMPANION Method
Aortic VTI Method
• Objective:
▫ Identify the AV Delay that yields the maximum cardiac
output as determined by an aortic VTI measurement
• Procedure:
▫ Obtain continuous wave Doppler echo of aortic valve
outflow to obtain VTI measurement
▫ Record VTI values over a range of programmed AV Delays
▫ Program the AV Delay value that yields the maximum
aortic VTI
Iterative Method
• Objective:
▫ Identify the AV Delay that maximizes LV filling using mitral
velocity echocardiographic measurements1
• Procedure
▫ Obtain transmitral Doppler echo at a “long” programmed AV Delay
during ventricular pacing
▫ Shorten the programmed AV Delay by 10-20 ms until the echo
Doppler A-wave becomes truncated (A wave is atrial contraction)
▫ Lengthen the programmed AV Delay back to the value where there
is no A-wave cutoff. This timing should enable ventricular
contraction to occur just at the end of atrial systole
• to maximize DFT
(i.e. separation of
the E- and A-
waves).
• to allow complete
end-diastolic
filling(marked by
the end of the A-
wave)before the
onset of LV
contraction.
Optimal AV delay is
1. E and A wave separated.
2. Termination of the A wave at
approximately 40 to 60 milliseconds before
the onset of the QRS.
3. Stage I diastolic filling pattern i.e A > E
pattern.
Ritter’s method
Mitral inflow velocity time integral
• VTI is calculated representing the stroke
distance of mitral inflow as a surrogate of LV
filling volume.
• The AV delay with the largest VTI is considered
the optimal setting.
• good correlation with optimization by
LV dP/dtmax (r=0.96) in a small study of 30
patients
Diastolic mitral regurgitation (Ishikawa)
method
• Aims to minimize diastolic MR.
• optimal AV delay = long AV delay - duration of
diastolic MR
Non-echocardiographic
optimization methods
• Pulse pressure
• Invasive left ventricular dP/dtmax
• Impedance cardiography
• Finger photoplethysmography
• Expert Ease for Heart Failure algorithm(EEHF)
• Intracardiac electrogram (IEGM)(QuickOpt)
• Peak endocardial acceleration(PEA)
Impedance cardiography
▫ Transthoracic impedance measurements
calculate changes in stroke volume
▫ IC testing is fast (~ 15 minutes) but requires
special equipment
Finger photoplethysmography
• non-invasively measures change in blood
pressure
Expert Ease for Heart Failure algorithm
• Calculates both sensed and paced AV delays by
measuring the intrinsic sensed and paced AV
intervals (from the device) and QRS duration
(from surface ECG)
• When compared with Ritter’s method and AV
VTI, the EEHF algorithm was superior in
predicting optimal AV delay as determined by
invasive LV dP/dtmax
Peak endocardial acceleration
V-V Timing: synchronize the RV and the LV
• The best V-V setting by measuring the RVOT and LVOT
via PW Doppler
• V-V above > 40 ms is considered abnormal
• In normals, the RV will contract before the LV in the
heart by -20 ms.
How to optimize VV delay?
• Invasive left ventricular dP/dtmax
• L VOT TVI/SV
• Tissue Doppler synchrony
• Expert Ease for Heart Failure algorithm
▫ optimal VV delay=-0.333*(RV2LV electrical
delay)220 ms
 Unpublished acute haemodynamic data in the
PATH-CHF II studies
Timing of optimization
• best evidence-based practice is to follow the
CARE-HF protocol and optimize AV delay using
the iterative method at
▫ Baseline( predischarge)
▫ 3 months,
▫ every 6 months thereafter.
• Routine optimization of VV delay cannot be
recommended.
Non responders - 30%
• A standardized definition of benefit and
quantification of benefit after CRT still lacks
uniformity.
CONCLUSION
CRT address systolic heart failure
Rectify mechanical dyssynchrony
 improving symptoms and reducing mortality.
There are now several recognized approaches to
optimize CRT.
Imaging modalities can assist with identifying the
myocardium with latest mechanical activation for
targeted LV lead implantation.
 Device programming can be tailored to maximize
biventricular pacing and thereby its benefit.
THANK YOU

Crt

  • 1.
    CRT – SUITABILITY,TIPSAND TRICKS, INDICATIONS, POST PROCEDURE ASSESMENT Dr.DURAGA PAVAN, NIMS, HYDERABAD.
  • 2.
    OUTLINE • INTRODUCTION • HF-VENTRICULARDYSSYNCHRONY • ASSESMENT OF DYSSYNCHRONY • RATIONALE/MECHANISM OF CRT • TRAILS • INDICATIONS • PROCEDURE • PROGRAMING
  • 3.
    Introduction • The prevalenceand economic burden of CHF has been increasing • Consequence of ↑ survival from ACS and life- prolonging medications.
  • 4.
    Heart Failure Morbidityand Mortality • Re-hospitalization rates ▫ 2% at 2 days ▫ 20% at 1 month ▫ 50% at 6 months • 5-year mortality ranges from 15% to 50% ▫ Asymptomatic LVD  15% ▫ Mild-moderate HF  35% ▫ Advanced HF >50%
  • 5.
    Heart failure mortalityreduction from Pharmacological treatment THERAPY Trial(s) Mortality reduction DIGOXIN - No DIURETICS - No ACEI SOLVED, CONCENSUS, MERIT-HF 16-31% BETA BLOCKERS CIBIS II, COPERNICUS 35% SPIRONOLACTONE RALES 22%
  • 6.
    • Normal heartelectrical activation occurs with in 40ms • With myocardial diseases electrical activation is delayed from one part to other part of heart – Dyssynchrony. • Three types of cardiac dyssynchrony may occur: intraventricular, interventricular, and atrioventricular (AV). DYSYSNCHRONY
  • 7.
    • The typicalpattern seen with left bundle branch block is early activation of the IVS and late activation of the posterior and lateral LV walls. • Dyssynchrony results in 1. Inefficient LV systolic performance 2. Increased wall stress 3. Increased end systolic volume 4. Delayed relaxation- IMPAIRED FILLING 5. Mitral regurgitation DYSYSNCHRONY Intraventricular Dyssynchrony,
  • 8.
    • Interventricular dyssynchrony refersto the time delay between contraction of the right and left ventricles • Interventricular dyssynchrony results in DYSYSNCHRONY Interventricular Dyssynchrony, Normally LV systole occurs earlier than RV With LBBB RV systole will be earlier than RV RV pressure high when LV in late diastole – IVS displaced in to LV Incomplete LV filling Early septal activation Incomplete LV emptying
  • 9.
    DYSYSNCHRONY AV Dyssynchrony, Long AVInterval A wave fuses with E A wave abuts Limited net diastolic stroke volume Decreased LV filling A delay between atrial and ventricular contraction AV dyssynchrony results in 1. Reduced LV filling 2. Diastolic MR
  • 10.
    DYSYSNCHRONY Intraventricular Dys. InterventricularDyss. AV Dyssynchrony, Incomplete LV emptying Incomplete LV filling
  • 11.
    Rationale for CRT •CRT may confer benefits by ▫ coordinating right ventricular and LV contraction, ▫ synchronizing the LV segments, ▫ prolonging the diastolic filling period with improvements of both coronary and LV filling, ▫ restoring atrioventricular synchrony.
  • 12.
    Rationale for CRT •Improved contractile function- IMPROVEMENT IN EF ▫ This improvement is associated with greater coordination of global contraction • Reverse ventricular remodeling • Decrease secondary MR • The ability to tolerate more aggressive medical therapy and neurohormonal blockade, particularly with improved tolerance of beta blockers • Improved diastolic function • Improvement in heart rate variability (HRV)
  • 15.
    The Cardiac Resynchronization–HeartFailure trial • in the CRT compared to no CRT group • CRT can provide up to a 30% improvement in SV and a significant reduction in MR within 3 months of initiating therapy • LVEF - increased by 3.7 percent at three months and 6.9 percent at 18 months . • The increase in contractile function was associated with a rise in systolic pressure of about 6 mmHg • a reduction in plasma N-T-pro-BNP of 225 pg/mL at 3 months and 1122pg/mL at 18 months (median baseline 1800 to 1900 pg/mL).
  • 16.
    • The molecularbasis for these mechanical changes has not been established. • Preliminary data from an experimental model suggest that ▫ CRT reduces regional and global molecular remodeling, generating more homogeneous activation of stress kinases and reducing apoptosis.  Chakir K, Daya SK, Tunin RS, et al. Reversal of global apoptosis and regional stress kinase activation by cardiac resynchronization. Circulation 2008; 117:1369
  • 17.
    CRT Induces ReverseVentricular Remodeling • Decrease in ESV/EDV/Lvmass • By avg of 10% decrease in vol over a 6 month period. ▫ Yu et al ▫ CARE-HF ▫ MIRACLE trials,
  • 18.
    Improvement in heartrate variability (HRV)
  • 19.
    Assesment of dyssynchrony •ECG • ECHO • OTHERS
  • 20.
    QRS DURATION • QRSduration, a marker of electrical dyssynchrony, • Cannot be used alone to reflect mechanical dyssynchrony • QRS interval <150 ms is a major risk factor for lack of response to CRT, • But is easy to assess, and remains an important element for patient selection in current practice.
  • 21.
    LBBB • Changed patternof LV contraction • Suboptimal LV FILLING • Increased duration of MR • Paradoxical septal motion
  • 22.
    Limitations • The thresholdcriteria of a QRS duration of120 ms was not derived from prospective evaluation but rather from inclusion criteria of landmark clinical trials • Although remarkable symptomatic improvement is seen in many patients, up to 30% of subjects who participated in CRT trials failed to respond to therapy or may have worsened
  • 23.
    • 20 %with an EF <35% and QRS 150 ms do not exhibit dyssynchrony. Electrical evidence of conduction delay with QRS duration may not be the most reliable marker of ventricular dyssynchrony Cho GY,, et al. Mechanical dyssynchrony by TD imaging is a powerful predictor of mortality in CHF with normal QRS duration. JACC. 2005
  • 24.
  • 25.
    DYSYSNCHRONY by ECHO IntraventricularRadial Dyssynchrony, John Gorcsan III et al ASE recommendation of echo for CRT 2008
  • 26.
    DYSYSNCHRONY by ECHO IntraventricularDyssynchrony – Septal To Posterior Wall Delay (SPWMD) John Gorcsan III et al ASE recommendation of echo for CRT 2008 SPWMD ≥ 130MS sensitivity of 100% and a specificity of 63% to predict the response to CRT
  • 27.
    Note that timeto peak strain in a normal subject occur synchronously over a very narrow time range. Dyssynchrony is shown as the difference in timing of peak strain from earliest to latest segment DYSYSNCHRONY by ECHO Intraventricular Dyssynchrony – Septal To Posterior Wall Delay (SPWD) John Gorcsan III et al ASE recommendation of echo for CRT 2008
  • 28.
    • In thePROSPECT study, SPWMD could not predict clinical response to CRT (54% sensitivity and 50% specificity), and a 72% interobserver variability was shown for this parameter. • SPWMD could not be assessed in 50% of patients because of septal or posterior wall akinesis, or poor acoustic windows.
  • 29.
    DYSYSNCHRONY by ECHO Intraventricularlongituidinal Dyssynchrony John Gorcsan III et al ASE recommendation of echo for CRT 2008 OPPOSING WALL DELAY ≥ 65MS
  • 30.
    DYSYSNCHRONY by ECHO Intraventricularlongituidinal Dyssynchrony John Gorcsan III et al ASE recommendation of echo for CRT 2008 OPPOSING WALL DELAY ≥ 65MS MAXIMUM WALL DELAY IN 12 SEGMENTS ≥ 100MS
  • 31.
    DYSYSNCHRONY by ECHO Intraventricularlongituidinal Dyssynchrony – Dyssynchrony (yu) index John Gorcsan III et al ASE recommendation of echo for CRT 2008 YU INDEX ≥ 33MS
  • 32.
    DYSYSNCHRONY by ECHO Intraventricularlongituidinal Dyssynchrony DELAY IN ONSET OF SYSTOLLIC VELOCITY ≥ 100MS LV pre-ejection interval (LPEI)
  • 33.
    • PROSPECT trial(cut-off at 140 ms or more). • This parameter had low intra- and interobserver variability (3.7% and 6.5%, respectively), could be performed in 95% of echos, • predicted both clinical improvement and reverse remodelling after CRT, although with rather low sensitivity and specificity
  • 34.
    John Gorcsan IIIet al ASE recommendation of echo for CRT 2008 DYSYSNCHRONY by ECHO Interventricular mechanical delay (IVMD) DELAY IN ONSET OF SYSTOLLIC VELOCITY Ao-Pu ≥ 40 MS
  • 35.
    • Not usedfor assessing as requirement of CRT • Used to optimize CRT once deployed • An AV delay programmed too short will result in absence or interruption of the atrial component (mitral A wave) by the premature ventricular contraction and closure of the mitral valve.. • An AV delay programmed too long can result in suboptimal LV preload or diastolic MR, or may even allow native LV conduction, which defeats the purpose of CRT DYSYSNCHRONY by ECHO AV Dyssynchrony
  • 36.
    DYSYSNCHRONY by ECHO •The LV filling time to RR interval ratio (LVFT/RR) • index of atrioventricular (dys)synchrony. • Using a 40% or greater LVFT/ RR cut-off, the PROSPECT investigators found a low sensitivity but good specificity for clinical and remodelling responses (36% and 76% for clinical response, and 41% and 74% for LVESV, respectively) to predict response to CRT
  • 37.
    SPECKLE TRAKING • Velocitiesmeasured with TDI tend to underestimate the individual movement of each myocardial segment because of translational motion or tethering.
  • 39.
    • Whether echocriteria in pts with normal QRS can benefit pts with CRT? • Whether echo criteria in pts with increased QRS can identify pts who are more likely to benefit with CRT? DYSYSNCHRONY by ECHO ECHO Dyssynchrony – Trial Evidence
  • 40.
    • Whether echocriteria in pts with normal QRS can benefit pts with CRT? • Non RCT 1. BLEEKER(JACC 2006) 2. CHEUK-MAN (JACC 2006) 3. YU(JACC 2006). • RCT 1. RETHINQ- The Resynchronization Therapy in Normal QRS Study. 2. ECHO-CRT DYSYSNCHRONY by ECHO ECHO Dyssynchrony – Trial Evidence
  • 41.
    Inclusion Criteria • NYHAclass III HF • LVEF ≤ 35% • Evidence of mechanical dyssynchrony • QRS duration < 130ms Primary Endpoint Improvement in Peak VO2 during CPET of at least 1.0ml/kg/min at 6 months. Secondary Endpoints Improvement in quality of life score at 6-months Improvement in NYHA classification at 6-months RETHINQ DYSYSNCHRONY by ECHO ECHO Dyssynchrony – Trial Evidence – NARROW QRS
  • 42.
    Mechanical dyssynchrony consideredpresent if either • M-Mode - Septal posterior wall mechanical delay (SPWMD) ≥ 130 ms OR • Tissue Doppler Imaging (TDI) of the basal ventricular segments in apical 4/2/3 chamber views - Septal to lateral delay ≥ 65ms OR - Antero-septal to posterior delay ≥ 65ms RETHINQ DYSYSNCHRONY by ECHO ECHO Dyssynchrony – Trial Evidence – NARROW QRS
  • 43.
    RETHINQ DYSYSNCHRONY by ECHO ECHODyssynchrony – Trial Evidence – NARROW QRS Limitations 1. Too short follow up study 2. ECHO criteria less and coudn’t include strain 3. Small no. of subjects
  • 44.
    DYSYSNCHRONY by ECHO ECHODyssynchrony – Trial Evidence – NARROW QRS ECHO-CRT
  • 45.
    • Primary compositeendpoint: ▫ Hospitalization or all cause mortality occurred in 116 of 404 pt of CRT vs 102 of 405 control pt (28.7% vs 25.2) ECHO-CRT
  • 46.
    • Whether echocriteria in pts with increased QRS can identify pts who are more likely to benefit with CRT? • PROSPECT trial – Predictors of Response to CRT DYSYSNCHRONY by ECHO ECHO Dyssynchrony – Trial Evidence – WIDE QRS
  • 47.
    Purpose: ▫ Prospective, multi-centerstudy designed to evaluate the ability of selected, pre-defined baseline echocardiographic parameters to predict clinical or echocardiographic response to CRT in a prospective, multi center study Primary Endpoints at 6 months: ▫ Clinical Composite Score  Subjective and objective measures of clinical status include: Survival, heart failure hospitalization, change in NYHA Class and change in Patient Global Assessment Score ▫ Left Ventricular End-Systolic Volume  Definition of Improved: Reduction of ≥ 15% DYSYSNCHRONY by ECHO ECHO Dyssynchrony – Trial Evidence – WIDE QRS PROSPECT
  • 48.
    DYSYSNCHRONY by ECHO PROSPECT ECHODyssynchrony – Trial Evidence – WIDE QRS
  • 49.
    The results ofthe PROSPECT study indicate that no single echocardiographic measure of dyssynchrony, may be recommended to further improve patient selection among the CRT candidates. Current clinical criteria including electrocardiogram, remain the standard for CRT patient selection DYSYSNCHRONY by ECHO PROSPECT ECHO Dyssynchrony – Trial Evidence – WIDE QRS
  • 50.
    • Various magneticresonance imaging (MRI) techniques • The circumferential uniformity ratio estimate - CURE index is based on tagged MRI and ranges from 0 (dyssynchronous) to 1 (synchronous). • In a recent series of 43 heart failure patients treated with CRT, the CURE index showed an accuracy of 90% to predict clinical improvement at 6-month follow-up, with a negative predictive value of 87% and a positive predictive value of 100% . DYSYSNCHRONY by MRI
  • 51.
    • Vector-velocity– encodedmagnetic resonance permits the assessment of LV mechanical dyssynchrony by measuring differences in regional time to peak myocardial velocities, similar to echocardiography with TDI . • The assessment of segmental radial motion or radial thickness of the LV along the cardiac cycle with MRI has provided novel indices of LV mechanical dyssynchrony • The standard deviation of time to peak radial motion or thickness of 16 or more LV segments is used as a marker of LV mechanical dyssynchrony. DYSYSNCHRONY by MRI
  • 52.
    CMR • Can assessmechanical dyssynchrony differently from echocardiography from a technical perspective. • CMR can also provide the location of myocardial scar and coronary venous anatomy, which influence the likelihood for success of CRT.
  • 53.
    • Nuclear imaginghas also been used for assessment of LV mechanical dyssynchrony. • LV contraction patterns ▫ Gated blood-pool ventriculography, ▫ Gated blood-pool SPECT, ▫ Gated myocardial perfusion SPECT. • From the short-axis images, ▫ amplitude (which reflects systolic wall thickening) ▫ phase (reflecting onset of mechanical contraction) are calculated. • Five different quantitative LV dyssynchrony indices can be derived (peak phase, phase standard deviation, bandwidth, phase histogram skewness, and kurtosis). DYSYSNCHRONY by SPECT
  • 54.
    ▫ The phasestandard deviation ▫ the histogram bandwidth • are the most commonly used parameters to assess LV mechanical dyssynchrony . • In 40 patients with advanced heart failure treated with CRT, LV mechanical dyssynchrony was assessed with gated myocardial perfusion SPECT. • Responders had significantly larger bandwidth histogram (94±23° versus 68±21°; P<0.01) and phase standard deviation (26±6° versus 18±5°; P< 0.01) at baseline than non responders. DYSYSNCHRONY by SPECT
  • 55.
    CLINICAL TRIALS • InNYHA class III or IV HF
  • 56.
    Multisite Stimulation in CardiomyopathyTrials (MUSTIC) • The first study involved 58 randomized patients with NYHA class III HF, NSR, and a QRS duration of at least 150 msec. • The mean distance walked in 6 minutes was 23% greater with CRT than without CRT (P <0.001). • Significant improvement was seen in quality of life and NYHA functional class ranking.
  • 57.
    MIRACLE:2002 Multi-center In SyncRandomized Clinical Evaluation Trial • Double blinded RCT • First US trial • Class 3 or 4, on OMT, QRS >130 ms, EF<35% • Enrollment of 453 patients
  • 58.
    MIRACLE NYHA class III-IV LVEDD> 60 mm QRS > 130 ms Stable 3 month regimen of beta-blocker/ACE inhibitor EF < 35% Randomization CRT on CRT on 1- and 3-month follow-up 6-month follow-up CRT off 1- and 3-month follow-up 6-month follow-up Long-term follow-up
  • 59.
    Nonresponders: older, ischemicCM, no MR, QRS<150 Responders: had shorter duration on CHF and longer QRS>155 MIRACLE 39% 34% 27% 67% 17% 16% 0% 20% 40% 60% Improved No Change Worsened Proportion Control N=225 CRT N=228 P < 0.001
  • 60.
    MIRACLE • There wasa decrease in hospitalizations of 50% at 6 months and a trend towards a decrease in mortality. • All other primary and secondary endpoints were met: 6 minute walk time, peak Vo2, QOL, EF , NYHA class, LVEDD Magnitude of improvement not influenced by degree of QRS shortening with BiVP (average in all was –20msec)
  • 61.
    FDA Approval •The firstCRT device was approved by the FDA in September 2001 .
  • 62.
    COMPANION Trial (The Comparison of Medical Therapy, Pacing, and Defibrillation in Heart Failure ) • comparing the effects of CRT alone (CRT-P) or CRT-D with optimal medical therapy • subjects were randomized in a 1:2:2: ratio. • greater proportion of patients had ischemic cardiomyopathy.
  • 63.
    COMPANION Michael R.Bristow etal,NEJM May 2004. Total no of patients : 1520. • 128 US center • Inclusion criteria : NYHA Class- III or IV QRS > 120 msec. LVED > 55 mm EF < 35% PR duration:150 msec. Patient has no indication for ICD or Pace maker implantation. Randomly assigned in 1: 2: 2 treatment protocol.
  • 64.
    • The primaryend point was a composite of time to death and hospitalization from any cause. • Significant reduction in the primary end point in the CRT-P (34%) and the CRT-D group (40%). • Significant 36% reduction in mortality was found with CRT-D, with a smaller (24%) non significant trend towards mortality reduction with CRT-P (p = 0.06).
  • 66.
    CLINICAL TRIALS • InNYHA class III or IV HF
  • 67.
    • Role ofCRT - where evidence is uncertain 1. In mild heart failure (NYHA class I , II ) 2. In pts with AF 3. In pts with heart failure needing pacing 4. In pts with NO LBBB (RBBB , IVCD)
  • 68.
    • MADIT –CRT(15% NYHA class I and 85% NYHA class II). • RAFT – (80% NYHA class II and 20% NYHA class III). • REVERSE trial In mild heart failure (NYHA class I , II )
  • 69.
  • 70.
  • 71.
    • In NYHAclass I or II HF
  • 72.
  • 73.
    • RAFT • BlockHF trail • PACE trial In pts with heart failure needing pacing
  • 74.
  • 75.
  • 76.
    • Sex —Indications for CRT do not vary by sex • Age — Randomized trials have not specifically addressed the benefit of CRT in elderly patients. However, an individual patient meta-analysis of five randomized CRT trials found no significant interaction between age and CRT effect on all- cause mortality/heart failure (HF) hospitalization
  • 77.
    Cumulative Enrollment inCardiac Resynchronization Randomized Trials 0 1000 2000 3000 4000 1999 2000 2001 2002 2003 2004 2005 Results Presented CumulativePatients PATHCHF MUSTIC SR MUSTIC AF MIRACLE CONTAKCD MIRACLEICD PATHCHFII COMPANION MIRACLEICD II CAREHF
  • 78.
  • 79.
    CRT - GUIDELINES CLASS1 A recommendation criteria ACC/AHA 2013 ESC 2012 NYHA class III , ambulatory IV II , III , ambulatory IV LVEF < 35% < 30 % Rhythm Sinus Sinus BBB LBBB LBBB Symptomatic even with optimal medical management Yes Yes Dyssynchrony ≥ 150ms ≥ 130ms
  • 80.
    2013 ACCF/AHA HeartFailure Guideline
  • 81.
    2013 ACCF/AHA HeartFailure Guideline
  • 82.
    2013 ACCF/AHA HeartFailure Guideline
  • 83.
    II , III, ambulatory IV refractory to optimal Rx II , III , ambulatory IV refractory to optimal Rx
  • 84.
    Preimplant identification of nonresponders •Response score • Data from 1761 patients enrolled in the MADIT-CRT trial ▫ female sex (two points), ▫ nonischemic origin (two points), ▫ LBBB (two points), ▫ QRS ≥150 ms (two points), ▫ prior hospitalization for HF (two point), ▫ left ventricular end-diastolic volume ≥125 mL/m2 (two points), ▫ left atrial volume <40 mL/m2 (three points)
  • 86.
    • The responsescore correlated with reduction in the risk of HF or death with CRT-D versus defibrillator only therapy with a 13 percent increase in clinical benefit per one point increment in the response score.
  • 88.
  • 89.
    Procedural Aspects ofLead Positioning • Step 1: Venous access, right atrial, and RV lead implantation • Venous access: ▫ combined approach: cephalic vein cutdown (for the RA and RV leads) and an axillary or subclavian vein puncture for the LV lead. ▫ the axillary or subclavian veins can be used as the only venous conduit for the leads and lead delivery systems
  • 90.
    • Once accessis obtained, the RV lead is placed first in order to provide backup pacing. ▫ more difficult to cannulate the CS with the lead implanted • If there is no need for backup pacing or additional method is used to provide backup pacing (e.g. temporary RV apex pacing), the LV lead should be implanted first, because it may be easier to cannulate the CS. • RA lead should be implanted last, in order to avoid dislodgements
  • 91.
    • Step 2:CS access:
  • 92.
    • CS ostiumis 5–15 mm in diameter and is located on the posterior interatrial septum anterior to the Eustachian ridge and valve and posterior to the tricuspid annulus. • ostium is often covered, to a variable extent, by the Thebesian valve. • The valve usually covers the superior and posterior surfaces of the ostium, but may be covered completely with formation of fenestrations.
  • 93.
    • landmarks forthe location of the ostium ▫ calcified right coronary artery ▫ radiolucency from the fat pad running in the AV groove ▫ The CS is on average 3-10 mm above (superior to) the inferior border of the T10 vertebral body ▫ 10 - 16 mm above the dome of the left hemidiaphragm
  • 94.
    Angiographic views • Rightanterior oblique: (RAO) 48+/-7 projection, ▫ the fluoroscope beam is parallel to the CS plane , ▫ the CS ostium is visualized ‘‘en face,’’ and the CS guiding catheter is straight.
  • 96.
  • 97.
    • straight • preshapedwith different degrees of the curves, • straight catheters with the ability of cyrtosis by external manipulation) steerable electrophysiology diagnostic mapping catheter Guide catheters
  • 98.
    Coronary sinus cannulation •The CS catheter with a single curve easily enters the ostium of the coronary sinus from a superior approach. • The left brachial vein access is thus often preferred. • Although a right brachial or femoral venous approach is feasible using a reverse loop technique, • the easiest approach to the coronary sinus is still through the right internal jugular vein.
  • 99.
    • Technique: • Afterentering the right atrium, the catheter is rotated counterclockwise and advanced slightly until it just enters the right ventricle (detected by pressure waves or premature ventricular contractions). • After slight additional counterclockwise rotation, the catheter is then withdrawn slowly until an atrial pressure tracing is restored. • Gentle readvancement of the catheter from this position leads to cannulation of the coronary sinus. • Should the right ventricle be re-entered, the same maneuver is repeated with accentuation of counterclockwise rotation.
  • 101.
    • Successful coronarysinus entry is confirmed by ▫ In the LAO projection, the catheter is smoothly advanced  crossing the spine or  across the plane of the tricuspid valve. ▫ the maintenance of a right atrial pressure waveform ▫ absence of premature ventricular contractions, • confirmatory contrast injection.
  • 102.
    • Step 3:Defining the venous anatomy and selecting a target vein • Balloon occlusive retrograde coronary venous angiography ▫ In AP, LAO 45 and RAO 30 ▫ high-speed rotational angiography, over an arc from RAO 55 to LAO55 for better definition of the angle  Acute takeoff angles of the CS tributaries (angles of 900 between the first-degree CS tributary and the main CS) can impede cannulation.
  • 104.
    Optimal site • Optimalsite may vary considerably for an individual patient. ▫ In the majority of patients, preferred sites are  Lateral  Posterolateral,  Non-apical position  Non scar area As far as possible from the RV pacing lead.
  • 105.
    Segmental venous classification •Thus 9 LV venous segments are derived which when added with the conventional classification gives the best comprehensive information to place the epicardial LV leads for CRT purposes
  • 107.
    • Step 4:Advancing the LV lead delivery system in the CS ▫ Once the CS is cannulated with a guide, the pacing lead is advanced. • Step 5: Cannulating a first-degree tributary of the CS
  • 108.
    Choice of LVlead • first-degree CS tributary is large, a lead with a larger diameter is chosen. • target vein is very large and there is a risk of dislodgement, then a lead with an S-shape or sigmoid shape may allow for better lead stability ▫ LV lead dislodgement rates are still approximately 5–10%
  • 109.
    Choice of LVlead • Active fixation leads that have lobes at the distal endof the lead that can be deployed and compress gently against the vein wall, and thereby provide enhanced fixation of the LV lead • leaving a guidewire in place for CS lead stabilization. • placement of coronary stents besides the lead body. ▫ extracting or replacing difficulties
  • 110.
    Difficulties in step5 • Acute takeoff angles of the CS tributaries. • Increased tortuosity of the CS branch ▫ Placing the guide sheath close to the target vessel ▫ an internal mammary artery catheter ▫ The double-wire technique ▫ position the wire in other first-degree tributaries of the CS, like the anterior interventricular vein or middle cardiac vein, which have extensive collaterals with the lateral/posterolateral vein, and then advancing the wire through the collaterals and terminating in the target area.
  • 111.
    Coronary sinus cannulation •Recently, the use of magnetic navigation for the placement of a guide wire within the CS was advocated for difficult cases. • a new technique for rapid cannulation of the CS and advancement of the LV pacing lead with minimum fluoroscopy and procedure time in cases where conventional techniques have been unsuccessful.
  • 112.
    LV lead implantationis not possible • An epicardial approach via mini-thoracotomy might be considered.
  • 113.
    • Transseptal endocardialLV lead implantation. ▫ performed with endocardial screw-in leads, which are passing by the interatrial septum and the mitral valve and are attached to the LV wall. ▫ Endocardial pacing is physiologic in experimental and clinical observations as compared to epicardial pacing. ▫ this technique has the advantage of positioning the LV lead within the LV cavity unrestricted by the coronary sinus branches. ▫ there are very limited data on the long-term safety and efficacy of this method. ▫ Patients require long-term anticoagulation ▫ there is limited data on any risk of worsening mitral regurgitation (due to the transmitral lead position).
  • 114.
    • Bifocal rightventricular pacing . • Bifocal right ventricular pacing consists of implantation of two right ventricular leads ▫ one placed septally at the apex, ▫ the other in the high septal outflow tract.
  • 115.
  • 116.
    Complications of CRT •The most common complication ▫ inability to implant the LV pacing lead successfully in the coronary vein • Additional complications include ▫ coronary sinus or coronary vein trauma, ▫ pneumothorax, ▫ diaphragmatic/phrenic nerve pacing, ▫ infection . ▫ prolonged radiation exposure due to the complexity of the transvenous implantation procedure , ▫ theoretical risk that pacing from an LV lead may be proarrhythmic due to alterations in depolarization and repolarization sequences
  • 117.
    • In 54studies (6123 patients) of CRT-alone devices, ▫ implantation was unsuccessful - 7 % ▫ patients died during implantation - 0.3 % ▫ During a median six-month follow-up,  5 % of CRT devices malfunctioned  2 % of patients were hospitalized for infections in the implant site. ▫ During a median follow-up of 11 months, lead problems occurred in 7 %of CRT devices ▫ did not reveal any excess risk of sudden death or noncardiac death in CRT device recipients.
  • 118.
    THINGS TO AVOID •Right atrial pacing • Pacing of the right atrial appendage in the DDD mode leads to delayed activation of the left atrium, which may impair left ventricular preload due a reduction in the left atrial contribution. • With VDD pacing, both atria are activated via the intrinsic conduction system
  • 120.
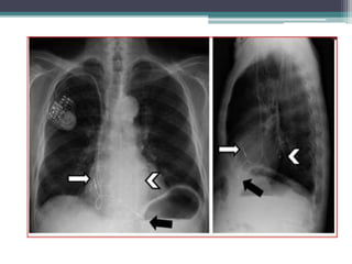
    Lead Position • LVlead location is probably one of the most important contributing factors for CRT response ▫ Chest X-ray images (PA and lateral projection) ▫ fluoroscopy
  • 124.
    CRT PROGRAMMING • Twomain device-based approaches: ▫ Promoting CRT ▫ Optimizing CRT
  • 125.
    Promoting CRT • Unlikeconventional pacing (where the goal is to minimize unnecessary ventricular pacing), CRT should pace both ventricles as close to 100% of the time as possible. • Percentage of LV pacing -- as high as 90%. ▫ optimal CRT delivery • lower pacining % ▫ LV lead dislocation ▫ paroxysmal or permanent atrial fibrillation ▫ frequent ventricular ectopic beats
  • 126.
    Promoting CRT- MTR •The Maximum Tracking Rate sets the highest rate at which the ventricles will be paced in response to intrinsic atrial activity. • If the patient has high intrinsic atrial rates (>MTR) with good conduction, it is possible that the ventricle will not be paced some of the time. • Make sure the MTR is high enough so that even in the presence of high intrinsic atrial rates, the patient is paced in the ventricle as much as possible
  • 127.
    Promoting CRT- RRAVD •Rate-responsive Av delay (RRAVD) is the automatic shortening of the AV delay as the patient’s heart rate increases. • This keeps the AV delay short even during periods of rapid activity. • Programmed ON in CRT patients. • The algorithm is automatic.
  • 128.
    • Conventional hysteresisencourages intrinsic activity and is incompatible with CRT. • However, negative AV hysteresis automatically shortens the AV delay whenever an intrinsic ventricular event is sensed. • This is the “opposite” of conventional hysteresis and works to discourage intrinsic ventricular activity. • Program it ON. Promoting CRT: Negative AV Hysteresis
  • 129.
  • 130.
    Optimisation • Why dowe optimize CRT? • How do we optimize CRT? • When should we optimizeCRT? • does optimizing CRT benefit patients?
  • 131.
    Why do weoptimize CRT? • The theory behind timing optimization is that proper CRT depends on precise timing of the ventricular contractions. • Timing must allow for : ▫ Adequate time for the filling of the ventricles (i.e.diastolic optimization). ▫ Proper contraction of the right and left ventricles with respect to each other (i.e. systolic optimization).
  • 133.
    Atrioventricular delay • Atrialcontraction contributes 20 –30% to stroke volume at rest.
  • 134.
  • 135.
    Aortic VTI Method •Objective: ▫ Identify the AV Delay that yields the maximum cardiac output as determined by an aortic VTI measurement • Procedure: ▫ Obtain continuous wave Doppler echo of aortic valve outflow to obtain VTI measurement ▫ Record VTI values over a range of programmed AV Delays ▫ Program the AV Delay value that yields the maximum aortic VTI
  • 137.
    Iterative Method • Objective: ▫Identify the AV Delay that maximizes LV filling using mitral velocity echocardiographic measurements1 • Procedure ▫ Obtain transmitral Doppler echo at a “long” programmed AV Delay during ventricular pacing ▫ Shorten the programmed AV Delay by 10-20 ms until the echo Doppler A-wave becomes truncated (A wave is atrial contraction) ▫ Lengthen the programmed AV Delay back to the value where there is no A-wave cutoff. This timing should enable ventricular contraction to occur just at the end of atrial systole
  • 138.
    • to maximizeDFT (i.e. separation of the E- and A- waves). • to allow complete end-diastolic filling(marked by the end of the A- wave)before the onset of LV contraction.
  • 139.
    Optimal AV delayis 1. E and A wave separated. 2. Termination of the A wave at approximately 40 to 60 milliseconds before the onset of the QRS. 3. Stage I diastolic filling pattern i.e A > E pattern.
  • 140.
  • 143.
    Mitral inflow velocitytime integral • VTI is calculated representing the stroke distance of mitral inflow as a surrogate of LV filling volume. • The AV delay with the largest VTI is considered the optimal setting. • good correlation with optimization by LV dP/dtmax (r=0.96) in a small study of 30 patients
  • 144.
    Diastolic mitral regurgitation(Ishikawa) method • Aims to minimize diastolic MR. • optimal AV delay = long AV delay - duration of diastolic MR
  • 145.
    Non-echocardiographic optimization methods • Pulsepressure • Invasive left ventricular dP/dtmax • Impedance cardiography • Finger photoplethysmography • Expert Ease for Heart Failure algorithm(EEHF) • Intracardiac electrogram (IEGM)(QuickOpt) • Peak endocardial acceleration(PEA)
  • 146.
    Impedance cardiography ▫ Transthoracicimpedance measurements calculate changes in stroke volume ▫ IC testing is fast (~ 15 minutes) but requires special equipment
  • 147.
    Finger photoplethysmography • non-invasivelymeasures change in blood pressure
  • 148.
    Expert Ease forHeart Failure algorithm • Calculates both sensed and paced AV delays by measuring the intrinsic sensed and paced AV intervals (from the device) and QRS duration (from surface ECG) • When compared with Ritter’s method and AV VTI, the EEHF algorithm was superior in predicting optimal AV delay as determined by invasive LV dP/dtmax
  • 150.
  • 153.
    V-V Timing: synchronizethe RV and the LV • The best V-V setting by measuring the RVOT and LVOT via PW Doppler • V-V above > 40 ms is considered abnormal • In normals, the RV will contract before the LV in the heart by -20 ms.
  • 154.
    How to optimizeVV delay? • Invasive left ventricular dP/dtmax • L VOT TVI/SV • Tissue Doppler synchrony • Expert Ease for Heart Failure algorithm ▫ optimal VV delay=-0.333*(RV2LV electrical delay)220 ms  Unpublished acute haemodynamic data in the PATH-CHF II studies
  • 157.
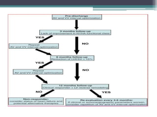
    Timing of optimization •best evidence-based practice is to follow the CARE-HF protocol and optimize AV delay using the iterative method at ▫ Baseline( predischarge) ▫ 3 months, ▫ every 6 months thereafter. • Routine optimization of VV delay cannot be recommended.
  • 159.
    Non responders -30% • A standardized definition of benefit and quantification of benefit after CRT still lacks uniformity.
  • 162.
    CONCLUSION CRT address systolicheart failure Rectify mechanical dyssynchrony  improving symptoms and reducing mortality. There are now several recognized approaches to optimize CRT. Imaging modalities can assist with identifying the myocardium with latest mechanical activation for targeted LV lead implantation.  Device programming can be tailored to maximize biventricular pacing and thereby its benefit.
  • 163.