CSRCSR
Dr.Shah-Noor Hassan FCPS,FRCSDr.Shah-Noor Hassan FCPS,FRCS
Vitreo-Retina ConsultantVitreo-Retina Consultant
Bangladesh Eye Hospital & instituteBangladesh Eye Hospital & institute
History
 1866: von Graeffe: Relapsing Central Leutic
Retinitis
 1955: Bennet : Central Serous
Retinopathy (CSR)
 1965: Maumenee : Leak from RPE
 1967: Gass : Idiopathic Central Serous
Choroidopathy (ICSC)
 Current name : Central Serous
Chorioretionopathy (CSC)
Definition
 Idiopathic, sporadic, self-
limiting
 Collection of fluid at posterior
pole
 Acute, localised
neurosensory detachment
 Young male
 Mild to moderate visual loss
 Single or few leaks on FA
 Asymmetrical bilateral chronic disease with
 Acute exacerbation during periods of:
 Stress
 Steroid intake
 High BP spikes
 Unknown factors
Recent Concept
Demography
 Sex: ♂ > ♀ (9:1)
 Age: 25-45 yrs
 Increased incidence in females & elders
 Rarely familial
 Bilaterality:
 10-25% symptomatic
 45% on FA
 More in elders
Classification
 Klein (1953):
 Central retinopathy
 Central chorioretinopathy
 Central choriopathy (juvenile disciform macular
degeneration)
 Maumenee (1960) & Wessing (1977):
 Type I : Subsensory fld. : 94%
 Type II : Sub-RPE fluid : 3%
 Intermediate: Both areas : 3%
Classification
 Nadel (1979):
 Unilateral CSR
 Uniocular RPE changes
 Binocular RPE changes
 Bilateral CSR
 Lodato & Brancato (1988):
 Simple (55%)
 Multifocal (30%)
 Chronic (15%)
Classification
 Patnaik (1983):
 Type I : Unilateral, single leak, benign, idiopathic
 Type II: Bilateral, Multifocal PEDs, recurrent,
granulomatous choroiditis (TB/Toxo)
 Castro-Correia (1992) & Bujarborua (2001):
 Single episode ⇒ Resolves
 Recurrent episodes ⇒ Resolve
 Recurrent episodes ⇒ Chronicity
 Single episode ⇒ Chronicity
Classification
 Commonly accepted:
 Typical CSR
 Classic CSR
 Chronic CSR
 Atypical CSR
 Decompensated RPE
 Diffuse retinal pigment epitheliopathy
 Zweng & Little (1977)
Chronic CSR
 Atypical CSR, Decompensated RPE,
Diffuse retinal pigment epitheliopathy (≅ 10%)
 Widespread pigment alteration of RPE
 Long-standing SRF (>6mths)
 Chronic steroid intake after organ transplantation
 Asian descent
6mths
Apr Oct
Pathogenesis – Theories
 Gass’ hypothesis (1967)
 Piccolino’s hypothesis (1981)
 Spitznas’ hypothesis (1986)
 Yannuzzi’s hypothesis (1986)
 Marmor’s hypothesis (1988)
 Guyer’s hypothesis (1994)
 Ciardella’s hypothesis (2001)
Gass’ Hypothesis (1967)
 Hyperpermeability of choriocapillaris ⇒
serous exudation (sub-RPE or sub-sensory)
 Stress ⇒ Physiologic decompensation at
sites of congenital structural defects
Piccolino’s Hypothesis (1981)
 RPEpithelitis or choroidal perfusion defect ⇒
RPE cell junction damage
 Strong adhesion force ⇒ No detachment
 Strong choriocapillaris
hydrostatic pressure ⇒
Serous detachment
Spitznas’ Hypothesis (1986)
 RPE cells secrete ions around rods & cones
 Choroidal fluid gets dragged subretinally
 Adjacent RPE cells overwork to remove fluid
 Seen as scarring
after resolution
Behaviour
Yannuzzi’s Hypothesis (1986)
 Multifactorial concept ⇒ Host specificity
 Related to balance of:
 Genetic endowment
 Environment
 Behavioural pattern
 Adrenergic alteration ⇒
 Choriocapillaris damage
 RPE cell degeneration
 BRB breakdown
EnvironmentGenetics
Pathogenesis – Theories
 Chronic choriocapillaris disturbance
 Failure of RPE cell pump
 Pooling in sub-RPE space
 Sub-retinal fluid accumulation
Pathogenesis – Theories
 Raised choroidal hydrostatic pressure
 ICGA:
 Choroidal vascular hyperpermeability
 Delayed filling
 Also in non-leaky areas & in fellow eyes
 Infectious Theory:
 Tuberculosis
 Toxoplasmosis
 Viral theory
Pathogenesis
 Increased stress
 Type-A personality
 Hypochondriacs & hysterics
 Increased cortisol levels
 Cushing’s disease
 Pregnancy
 Steroid intake
 Increased catecholamine levels
 Hypertension
Pathogenesis – Theories
 Role of catecholamines
 Vasoconstriction
 Altered choroidal blow flow
 Role of corticosteroids
 ↓se nitric oxide (vasodilator)
 ↑se capillary fragility
 Delayed RPE healing
 Reversed RPE polarity
 ↑se catecholamine response
Stages
 I = RPE inflammation
 II = Increase in inter-RPE cell spaces
 III = Crenation of RPE
 IV = Degeneration & atrophy
 V = Recurrance
 VI = Neovascularisation
Symptoms
 Minor blurring of vision (6/6 to 6/60)
 Metamorphopsia, Micropsia
 Dyschromatopsia (67%)
 Blue-yellow defect, red-shift
 Poor contrast sensitivity
 Hypermetropisation
 Central scotoma
 Photopsia
Signs – Sensory Retina
 Well-defined transparent blister
 Halo of light reflex
 Yellowish foveal
discolouration
 Increased
xanthophyll visibility
Signs – Sensory Retina
 Yellowish-white sub-retinal deposits (≅10%)
 Proteinaceous deposits
 s/o inactive disease
 “Bath-tub” effect
 SR & sub-RPE fibrin
 Intra or SR lipid
(leopard-spot pattern)
 Cloudy & grayish SRF
 Punctate hemorrhage
Signs – RPE
 Serous PED:
 Single or multiple (<1/4DD)
 Bilateral
 Pigment migration
 RPE atrophy
Signs – RD
 Peripheral dependent bullous RD with
connecting atrophic RPE tracts
 Flask, teardrop, dumbbell, hourglass pattern
 Telangiectasia & CNP
 Pigment migration & deposits
 Gass: “Pseudo-RP-like CSR”
Signs – CNVM
 Incidence: 4% in chronic RPEpitheliopathy
 CNVM in CSR are Type II membranes
 Types of CNVM:
 Diffuse & irregular leaks
 Typical membrane
 Post laser therapy
 Cause:
 Damage to RPE-Bruch’s membrane complex
 Ischemia of choriocapillaris
1 mth
Signs – Other Complications
 Cystoid macular edema
 Intracytoplasmic edema of Müller cells ⇒ Cell
death & degeneration ⇒ Cystoid spaces
 Detachment, SRF & fibrin ⇒ Toxic to retina ⇒
Ischemia ⇒ Retinal vascular leakage
 Ring-like “bull’s eye” RPE window defect
 Long-standing CSR
 Choriocapillaris atrophy
CSR in Women
 More common than previously thought
 Age: 40-60 yrs
 Unilateral in 90%
 Pregnancy (3rd
trimester), SLE
 Role of catecholamines, corticosteroids,
estrogen, prostacyclin
Systemic Associations
 Pregnancy
 End-stage renal disease
 Organ transplantation
 Systemic steroid intake
 Choroidal ischemia
 SLE, PAN, Wegener’s granulomatosis
 DIC, TTP, Toxemia of pregnancy
Natural Course
 Spontaneous resolution (80%)
within 3 mths with VA > 6/9
 Recurrences:
 30-50% cases
 50% within 1 year
 10% have > 2 episodes
 Severe & permanent visual loss (10%):
 Persistent detachment
 CNVM, CME, RPE atrophy
Day 0
1 mth
3 mths
Imaging Techniques
 Fundus Fluorescein Angiography (FFA)
 Indocyanin green Angiography (ICGA)
 Optical Coherence Tomography (OCT)
FFA
 ≥ 1 hyperfluorescent leaks
from RPE
 Pattern:
 Ink-blot
 Smoke-stack
 Point (< 1/5 DD)
 Combinations
 No definite leak
FFA – Pattern
 Ink-blot (85%):
 Even spread in all directions
 Smoke-stack (10%):
 Shimizu & Tobari (1971)
 Rises superiorly ⇒ Expands laterally
 Mushroom-like
 Umbrella-like
 No definite leak (5%):
 Hyperfluorescent patches
FFA – Ink-blot
FFA – Smoke-stackSmoke-stack
FFA – Smoke-stack
 Larger CSR
 Theories
 Jet-like projection of fluid from RPE defect
 Diffusion & convection rather than net fluid influx
 Increased concentration of proteins in SRF
 Low density fluorescein rises by convection
 Not all smoke-stacks form umbrellas
 Direction changes with head position
 Even downward spread has been seen
FFA – No Definite Leak
 Leaking point has healed
 Lies outside macular area
 In presence of choroidal
tumour
 Associated with ONH pit
07:19
FFA
 Location of leak:
 1mm-wide ring-like zone adjacent to fovea
 No rods in fovea ⇒ Weaker adhesions
 10% lie in the foveal area
 30% lie within papillomacular bundle
 SNQ > INQ > STQ > ITQ
 Window defects in uninvolved areas
 Choroidal hyper-permeability
 Mottled hyperfluorescence of RPE tracts
Parafoveal CSRParafoveal CSR
Atrophic Tract
FFA
 PED:
 Detected on FFA if missed clinically
 Early or delayed filling
 Puncture or blow-out at margin of PED
PED
ICGA
 ICGA & FFA leaks correspond
in 80% cases
 Choroidal vascular hyper-
permeability
 Unifying feature of all CSR types
 Best seen in mid-phase
 Localised in inner choroid
ICGA
ICGA
 Late phase:
 Centrifugally enlarging hyperfluor. patches
 Silhouetting of the larger choroidal vessels
 RPE atrophic areas:
 Hypofluor. areas with surrounding hyperfluor.
 PEDs:
 Early diffuse hyperfluor.
 Late hypofluor. with hyperfluor. ring
 PEDs in ARMD do not stain with ICG
FA + ICGA
OCT
 Role:
 Confirms diagnosis
 Quantifies detachment
 Observes progress or resolution
 Reduces need for FFA
 Other Findings:
 Intra-retinal edema
 Cystic changes
 No co-relation with colour vision abnormalities
Role of OCT
1 month later
6/18
6/9
New OCTs
 3-D view
 Deeper view
OCT
 B-Scan
 C-Scan
mf-ERG & f-ERG
 Standard ERG is normal
 mf-ERG & f-ERG:
 Deterioration of oscillatory potential & b-waves
more than a-waves
 Functional disturbance seen in all retinal layers
 Depressed signals from entire posterior pole in
both eyes
Contrast Sensitivity
 Acute stage:
 Deficient at mid & high spatial frequencies
 No co-relation with:
 Visual acuity
 Duration of disease
 Final picture of macula
 Similar findings in normal fellow eye also
 ? Role in early diagnosis
Photostress Recovery (PSRT)
 Types:
 Conventional PSRT (acuity chart) ⇒ Macular
 Pattern PSRT (pattern-VEP) ⇒ Macular
 Pupil PSRT (pupillometer) ⇒ Central 300
 Increased recovery time even upto 1 hour
 Microperimeter used with SLO:
 Reduced initial sensitivity change
 Unaffected areas show normal recovery
Others
 Rod dysfunction test:
 Dark adaptation
 Static perimetry
 Choroidal pulsation measurement:
 Laser interferometry
 With fundus camera
Differental Diagnosis
 Infectious & inflammatory diseases
 Tumours
 Vascular disorders
 Optic nerve pit
 ARMD
 IPCV
 CME
 Inferior RRD
Infectious & Inflammatory D.
 POHS:
 Peripheral “histo-spots”
 Peripapillary atrophy
 Arcuate striae in mid-periphery
 Idiopathic CNV in young:
 CNVM on FA
 Sub-retinal hemorrhage
 Unilateral
 No spontaneous resolution
Infectious & Inflammatory D.
 Harada’s disease:
 Vitritis
 Optic disc hyperemia
 Systemic associations
 Response to anti-
inflammatory Rx
 Toxoplasmosis:
 Focal retinitis involving
outer half
 Serology & skin test
Infectious & Inflammatory D.
 Sympathetic Ophthalmia:
 Intraocular inflammation
 Dalen-Fuchs nodules
(cellular RPE detachments)
 h/o trauma to fellow eye
 Posterior Scleritis:
 Scleral thickening
 Vitreous cells
 Pain on ocular movements
 “T-sign” on USG
Choroidal Tumours
 Melanoma, Hemangioma, Metastasis,
Osteoma, Leukemic infiltrates
 May rarely be confused clinically with large PEDs
 USG & FFA will diagnose
Vascular disorders
 Collagen vascular disorders (SLE, PAN)
 Fibrinoid necrosis of choroidal vessels
 Chronic intake of systemic steroids
 Malignant HT, Toxemia of pregnancy, DIC
 Acute multifocal occlusion of choroidal vessels
 Necrosis of overlying RPE (Elschnig’s spots)
Optic nerve pit
 Schisis-like separation
of macular layers
 Outer-layer detachment:
 No obvious connection with optic nerve pit
 Relatively opaque
 Inner-layer detachment:
 Communicates with optic nerve pit
 Transparent
Optic nerve pit
 FFA: no leak, no filling
 OCT: identifies schisis
ARMD
 CSR may be seen > 50 yrs
 CSR may show secondary CNV
 FFA: diffuse hyperfluorescence
 Ill-defined CNV or
 Diffuse ‘ooze’ of CSR
 ICGA:
 CSR: multifocal early hyperfluorescence that
fades in late phase
 ARMD: shows late hyperfluorescence
IPCV
 Isolated macular variant
 Polypoidal lesions resemble
PEDs
 ICG Angiography:
 Small-caliber vascular network
 Multiple polypoidal lesions
Others
 Inferior Rhegmatogenous RD
 Presence of break
 Dome shaped configuration
 Non-shifting fluid
 Photo-toxicity
 CME
 Role of steroids
Treatment
 Aim:
 To speed up recovery
 Improve vision quality
 Prevent recurrences
 Methods:
 Conservative approach
 Medical management
 Laser treatment
Conservative approach
 Reduce stress
 Avoid caffeine
 Less alcohol
 Avoid steroids
Medical management
 St John's Wort
 Acycloguanosine
 Procaine HCl (AntiCort)
 Picogenol
 Beta blockers
 Diazepam based tranquillizers
 Imipramine
 Indomethacin
 Alpha helical CRF
 Acetyl-L-carnitine
 RU-486
 Bilberry
 Eyebright
 Bayberry bark
 Capsicum leaves
 Anti-VEGFs
 Long list of
medications tried
 Finally, response is
to: “TIME”!
Medical management
 Ketoconazole & mifepristone
 Role of AKT
 IV Anti-VEGFs
1 month: 6/9 (P)
Pre-Injection: 6/18
?PEDs!
Laser Treatment
 Advantages:
 Shortens the course of disease
 Reduces morbidity
 May reduce the recurrence rate
 Disadvantages:
 No effect on final visual acuity
 Possible complications
Gass Recomendations
 Wait 4 mths : Primary episode
 Wait 6 mths : Leak <1/4th
DD from fovea
 Wait 1 mth : Recurrence, with good prior
recovery
 Prompt Rx:
 Primary episode > 4 mths old
 Recurrence, with poor prior visual recovery
 Occupational demands
 Gass JDM. Stereoscopic Atlas of Macular Diseases: Diagnosis and Treatment. 3rd ed.
St. Louis: CV Mosby; 1987. p 46-59.
Early Treatment
 Affects people in prime of life
 Anxiety & Depression
 Reduced BCVA if resolution takes > 4 mths
 Impending foveal involvement
 Monocular patients
 Severe & Complicated CSR
Laser Treatment – Types
 Direct: Over the RPE leak
 Locally debrides RPE cells
 Replaced by healthy cells
 Indirect: Rim of detachment
 RPE breakdown allows fluid to pass into choroid
 Inflammatory material blocks leakage point
 Was advised in past for leaks within the FAZ or
on papillomacular bundle
 May be still used when no leak is seen
 “Sham” or “Photofomentation”
Laser Treatment – Method
 Generally avoided within FAZ
 Diode laser may be used within FAZ
 Spot size = 100-200μ
 Duration = 0.1-0.2 sec
 Power = 100-400 mW (diode > argon)
 Light grey burn achieved
 Re-treatment >1mth if leak persists
Laser Treatment – Prognosis
 Anatomic resolution:
 2 wks in typical CSR
 6 wks if turbid SRF
 Visual Recovery:
 4-12 weeks
 Recurrence:
 Generally adjacent to the original site of leakage
 Reactivation (inadequate laser)
 New leak
Laser Treatment
 Complications
 Secondary CNV (2-5%)
 Inadvertent damage to fovea
 Scotoma
 Slow enlargement of area of RPE atrophy
 Long-term outcome:
 > 85% show extremely good prognosis
 <12% show marked visual impairment
ICGA-guided PDT
 Has shown anatomic & functional
improvement
 Mechanism:
 Damage to choriocapillaris endothelium
 Causes reduction in hyper-permeability of
choriocapillaris
 Reperfusion within 2-3 weeks
 Indication:
 Diffuse decompensation of RPE
Central Serous Retinopathy

Central Serous Retinopathy

  • 1.
    CSRCSR Dr.Shah-Noor Hassan FCPS,FRCSDr.Shah-NoorHassan FCPS,FRCS Vitreo-Retina ConsultantVitreo-Retina Consultant Bangladesh Eye Hospital & instituteBangladesh Eye Hospital & institute
  • 2.
    History  1866: vonGraeffe: Relapsing Central Leutic Retinitis  1955: Bennet : Central Serous Retinopathy (CSR)  1965: Maumenee : Leak from RPE  1967: Gass : Idiopathic Central Serous Choroidopathy (ICSC)  Current name : Central Serous Chorioretionopathy (CSC)
  • 3.
    Definition  Idiopathic, sporadic,self- limiting  Collection of fluid at posterior pole  Acute, localised neurosensory detachment  Young male  Mild to moderate visual loss  Single or few leaks on FA
  • 4.
     Asymmetrical bilateralchronic disease with  Acute exacerbation during periods of:  Stress  Steroid intake  High BP spikes  Unknown factors Recent Concept
  • 5.
    Demography  Sex: ♂> ♀ (9:1)  Age: 25-45 yrs  Increased incidence in females & elders  Rarely familial  Bilaterality:  10-25% symptomatic  45% on FA  More in elders
  • 7.
    Classification  Klein (1953): Central retinopathy  Central chorioretinopathy  Central choriopathy (juvenile disciform macular degeneration)  Maumenee (1960) & Wessing (1977):  Type I : Subsensory fld. : 94%  Type II : Sub-RPE fluid : 3%  Intermediate: Both areas : 3%
  • 8.
    Classification  Nadel (1979): Unilateral CSR  Uniocular RPE changes  Binocular RPE changes  Bilateral CSR  Lodato & Brancato (1988):  Simple (55%)  Multifocal (30%)  Chronic (15%)
  • 9.
    Classification  Patnaik (1983): Type I : Unilateral, single leak, benign, idiopathic  Type II: Bilateral, Multifocal PEDs, recurrent, granulomatous choroiditis (TB/Toxo)  Castro-Correia (1992) & Bujarborua (2001):  Single episode ⇒ Resolves  Recurrent episodes ⇒ Resolve  Recurrent episodes ⇒ Chronicity  Single episode ⇒ Chronicity
  • 10.
    Classification  Commonly accepted: Typical CSR  Classic CSR  Chronic CSR  Atypical CSR  Decompensated RPE  Diffuse retinal pigment epitheliopathy  Zweng & Little (1977)
  • 11.
    Chronic CSR  AtypicalCSR, Decompensated RPE, Diffuse retinal pigment epitheliopathy (≅ 10%)  Widespread pigment alteration of RPE  Long-standing SRF (>6mths)  Chronic steroid intake after organ transplantation  Asian descent 6mths Apr Oct
  • 12.
    Pathogenesis – Theories Gass’ hypothesis (1967)  Piccolino’s hypothesis (1981)  Spitznas’ hypothesis (1986)  Yannuzzi’s hypothesis (1986)  Marmor’s hypothesis (1988)  Guyer’s hypothesis (1994)  Ciardella’s hypothesis (2001)
  • 13.
    Gass’ Hypothesis (1967) Hyperpermeability of choriocapillaris ⇒ serous exudation (sub-RPE or sub-sensory)  Stress ⇒ Physiologic decompensation at sites of congenital structural defects
  • 14.
    Piccolino’s Hypothesis (1981) RPEpithelitis or choroidal perfusion defect ⇒ RPE cell junction damage  Strong adhesion force ⇒ No detachment  Strong choriocapillaris hydrostatic pressure ⇒ Serous detachment
  • 15.
    Spitznas’ Hypothesis (1986) RPE cells secrete ions around rods & cones  Choroidal fluid gets dragged subretinally  Adjacent RPE cells overwork to remove fluid  Seen as scarring after resolution
  • 16.
    Behaviour Yannuzzi’s Hypothesis (1986) Multifactorial concept ⇒ Host specificity  Related to balance of:  Genetic endowment  Environment  Behavioural pattern  Adrenergic alteration ⇒  Choriocapillaris damage  RPE cell degeneration  BRB breakdown EnvironmentGenetics
  • 17.
    Pathogenesis – Theories Chronic choriocapillaris disturbance  Failure of RPE cell pump  Pooling in sub-RPE space  Sub-retinal fluid accumulation
  • 18.
    Pathogenesis – Theories Raised choroidal hydrostatic pressure  ICGA:  Choroidal vascular hyperpermeability  Delayed filling  Also in non-leaky areas & in fellow eyes  Infectious Theory:  Tuberculosis  Toxoplasmosis  Viral theory
  • 19.
    Pathogenesis  Increased stress Type-A personality  Hypochondriacs & hysterics  Increased cortisol levels  Cushing’s disease  Pregnancy  Steroid intake  Increased catecholamine levels  Hypertension
  • 20.
    Pathogenesis – Theories Role of catecholamines  Vasoconstriction  Altered choroidal blow flow  Role of corticosteroids  ↓se nitric oxide (vasodilator)  ↑se capillary fragility  Delayed RPE healing  Reversed RPE polarity  ↑se catecholamine response
  • 21.
    Stages  I =RPE inflammation  II = Increase in inter-RPE cell spaces  III = Crenation of RPE  IV = Degeneration & atrophy  V = Recurrance  VI = Neovascularisation
  • 22.
    Symptoms  Minor blurringof vision (6/6 to 6/60)  Metamorphopsia, Micropsia  Dyschromatopsia (67%)  Blue-yellow defect, red-shift  Poor contrast sensitivity  Hypermetropisation  Central scotoma  Photopsia
  • 23.
    Signs – SensoryRetina  Well-defined transparent blister  Halo of light reflex  Yellowish foveal discolouration  Increased xanthophyll visibility
  • 24.
    Signs – SensoryRetina  Yellowish-white sub-retinal deposits (≅10%)  Proteinaceous deposits  s/o inactive disease  “Bath-tub” effect  SR & sub-RPE fibrin  Intra or SR lipid (leopard-spot pattern)  Cloudy & grayish SRF  Punctate hemorrhage
  • 25.
    Signs – RPE Serous PED:  Single or multiple (<1/4DD)  Bilateral  Pigment migration  RPE atrophy
  • 26.
    Signs – RD Peripheral dependent bullous RD with connecting atrophic RPE tracts  Flask, teardrop, dumbbell, hourglass pattern  Telangiectasia & CNP  Pigment migration & deposits  Gass: “Pseudo-RP-like CSR”
  • 29.
    Signs – CNVM Incidence: 4% in chronic RPEpitheliopathy  CNVM in CSR are Type II membranes  Types of CNVM:  Diffuse & irregular leaks  Typical membrane  Post laser therapy  Cause:  Damage to RPE-Bruch’s membrane complex  Ischemia of choriocapillaris 1 mth
  • 30.
    Signs – OtherComplications  Cystoid macular edema  Intracytoplasmic edema of Müller cells ⇒ Cell death & degeneration ⇒ Cystoid spaces  Detachment, SRF & fibrin ⇒ Toxic to retina ⇒ Ischemia ⇒ Retinal vascular leakage  Ring-like “bull’s eye” RPE window defect  Long-standing CSR  Choriocapillaris atrophy
  • 31.
    CSR in Women More common than previously thought  Age: 40-60 yrs  Unilateral in 90%  Pregnancy (3rd trimester), SLE  Role of catecholamines, corticosteroids, estrogen, prostacyclin
  • 32.
    Systemic Associations  Pregnancy End-stage renal disease  Organ transplantation  Systemic steroid intake  Choroidal ischemia  SLE, PAN, Wegener’s granulomatosis  DIC, TTP, Toxemia of pregnancy
  • 33.
    Natural Course  Spontaneousresolution (80%) within 3 mths with VA > 6/9  Recurrences:  30-50% cases  50% within 1 year  10% have > 2 episodes  Severe & permanent visual loss (10%):  Persistent detachment  CNVM, CME, RPE atrophy Day 0 1 mth 3 mths
  • 34.
    Imaging Techniques  FundusFluorescein Angiography (FFA)  Indocyanin green Angiography (ICGA)  Optical Coherence Tomography (OCT)
  • 35.
    FFA  ≥ 1hyperfluorescent leaks from RPE  Pattern:  Ink-blot  Smoke-stack  Point (< 1/5 DD)  Combinations  No definite leak
  • 36.
    FFA – Pattern Ink-blot (85%):  Even spread in all directions  Smoke-stack (10%):  Shimizu & Tobari (1971)  Rises superiorly ⇒ Expands laterally  Mushroom-like  Umbrella-like  No definite leak (5%):  Hyperfluorescent patches
  • 37.
  • 38.
  • 39.
    FFA – Smoke-stack Larger CSR  Theories  Jet-like projection of fluid from RPE defect  Diffusion & convection rather than net fluid influx  Increased concentration of proteins in SRF  Low density fluorescein rises by convection  Not all smoke-stacks form umbrellas  Direction changes with head position  Even downward spread has been seen
  • 40.
    FFA – NoDefinite Leak  Leaking point has healed  Lies outside macular area  In presence of choroidal tumour  Associated with ONH pit 07:19
  • 41.
    FFA  Location ofleak:  1mm-wide ring-like zone adjacent to fovea  No rods in fovea ⇒ Weaker adhesions  10% lie in the foveal area  30% lie within papillomacular bundle  SNQ > INQ > STQ > ITQ  Window defects in uninvolved areas  Choroidal hyper-permeability  Mottled hyperfluorescence of RPE tracts
  • 42.
  • 43.
  • 44.
    FFA  PED:  Detectedon FFA if missed clinically  Early or delayed filling  Puncture or blow-out at margin of PED
  • 45.
  • 46.
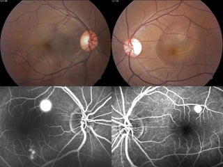
    ICGA  ICGA &FFA leaks correspond in 80% cases  Choroidal vascular hyper- permeability  Unifying feature of all CSR types  Best seen in mid-phase  Localised in inner choroid
  • 47.
  • 48.
    ICGA  Late phase: Centrifugally enlarging hyperfluor. patches  Silhouetting of the larger choroidal vessels  RPE atrophic areas:  Hypofluor. areas with surrounding hyperfluor.  PEDs:  Early diffuse hyperfluor.  Late hypofluor. with hyperfluor. ring  PEDs in ARMD do not stain with ICG
  • 49.
  • 50.
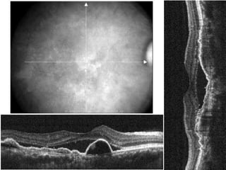
    OCT  Role:  Confirmsdiagnosis  Quantifies detachment  Observes progress or resolution  Reduces need for FFA  Other Findings:  Intra-retinal edema  Cystic changes  No co-relation with colour vision abnormalities
  • 51.
    Role of OCT 1month later 6/18 6/9
  • 52.
    New OCTs  3-Dview  Deeper view
  • 54.
  • 55.
    mf-ERG & f-ERG Standard ERG is normal  mf-ERG & f-ERG:  Deterioration of oscillatory potential & b-waves more than a-waves  Functional disturbance seen in all retinal layers  Depressed signals from entire posterior pole in both eyes
  • 56.
    Contrast Sensitivity  Acutestage:  Deficient at mid & high spatial frequencies  No co-relation with:  Visual acuity  Duration of disease  Final picture of macula  Similar findings in normal fellow eye also  ? Role in early diagnosis
  • 57.
    Photostress Recovery (PSRT) Types:  Conventional PSRT (acuity chart) ⇒ Macular  Pattern PSRT (pattern-VEP) ⇒ Macular  Pupil PSRT (pupillometer) ⇒ Central 300  Increased recovery time even upto 1 hour  Microperimeter used with SLO:  Reduced initial sensitivity change  Unaffected areas show normal recovery
  • 58.
    Others  Rod dysfunctiontest:  Dark adaptation  Static perimetry  Choroidal pulsation measurement:  Laser interferometry  With fundus camera
  • 59.
    Differental Diagnosis  Infectious& inflammatory diseases  Tumours  Vascular disorders  Optic nerve pit  ARMD  IPCV  CME  Inferior RRD
  • 60.
    Infectious & InflammatoryD.  POHS:  Peripheral “histo-spots”  Peripapillary atrophy  Arcuate striae in mid-periphery  Idiopathic CNV in young:  CNVM on FA  Sub-retinal hemorrhage  Unilateral  No spontaneous resolution
  • 61.
    Infectious & InflammatoryD.  Harada’s disease:  Vitritis  Optic disc hyperemia  Systemic associations  Response to anti- inflammatory Rx  Toxoplasmosis:  Focal retinitis involving outer half  Serology & skin test
  • 62.
    Infectious & InflammatoryD.  Sympathetic Ophthalmia:  Intraocular inflammation  Dalen-Fuchs nodules (cellular RPE detachments)  h/o trauma to fellow eye  Posterior Scleritis:  Scleral thickening  Vitreous cells  Pain on ocular movements  “T-sign” on USG
  • 63.
    Choroidal Tumours  Melanoma,Hemangioma, Metastasis, Osteoma, Leukemic infiltrates  May rarely be confused clinically with large PEDs  USG & FFA will diagnose
  • 64.
    Vascular disorders  Collagenvascular disorders (SLE, PAN)  Fibrinoid necrosis of choroidal vessels  Chronic intake of systemic steroids  Malignant HT, Toxemia of pregnancy, DIC  Acute multifocal occlusion of choroidal vessels  Necrosis of overlying RPE (Elschnig’s spots)
  • 65.
    Optic nerve pit Schisis-like separation of macular layers  Outer-layer detachment:  No obvious connection with optic nerve pit  Relatively opaque  Inner-layer detachment:  Communicates with optic nerve pit  Transparent
  • 66.
    Optic nerve pit FFA: no leak, no filling  OCT: identifies schisis
  • 67.
    ARMD  CSR maybe seen > 50 yrs  CSR may show secondary CNV  FFA: diffuse hyperfluorescence  Ill-defined CNV or  Diffuse ‘ooze’ of CSR  ICGA:  CSR: multifocal early hyperfluorescence that fades in late phase  ARMD: shows late hyperfluorescence
  • 68.
    IPCV  Isolated macularvariant  Polypoidal lesions resemble PEDs  ICG Angiography:  Small-caliber vascular network  Multiple polypoidal lesions
  • 69.
    Others  Inferior RhegmatogenousRD  Presence of break  Dome shaped configuration  Non-shifting fluid  Photo-toxicity  CME  Role of steroids
  • 70.
    Treatment  Aim:  Tospeed up recovery  Improve vision quality  Prevent recurrences  Methods:  Conservative approach  Medical management  Laser treatment
  • 71.
    Conservative approach  Reducestress  Avoid caffeine  Less alcohol  Avoid steroids
  • 72.
    Medical management  StJohn's Wort  Acycloguanosine  Procaine HCl (AntiCort)  Picogenol  Beta blockers  Diazepam based tranquillizers  Imipramine  Indomethacin  Alpha helical CRF  Acetyl-L-carnitine  RU-486  Bilberry  Eyebright  Bayberry bark  Capsicum leaves  Anti-VEGFs  Long list of medications tried  Finally, response is to: “TIME”!
  • 73.
    Medical management  Ketoconazole& mifepristone  Role of AKT  IV Anti-VEGFs
  • 74.
    1 month: 6/9(P) Pre-Injection: 6/18 ?PEDs!
  • 75.
    Laser Treatment  Advantages: Shortens the course of disease  Reduces morbidity  May reduce the recurrence rate  Disadvantages:  No effect on final visual acuity  Possible complications
  • 76.
    Gass Recomendations  Wait4 mths : Primary episode  Wait 6 mths : Leak <1/4th DD from fovea  Wait 1 mth : Recurrence, with good prior recovery  Prompt Rx:  Primary episode > 4 mths old  Recurrence, with poor prior visual recovery  Occupational demands  Gass JDM. Stereoscopic Atlas of Macular Diseases: Diagnosis and Treatment. 3rd ed. St. Louis: CV Mosby; 1987. p 46-59.
  • 77.
    Early Treatment  Affectspeople in prime of life  Anxiety & Depression  Reduced BCVA if resolution takes > 4 mths  Impending foveal involvement  Monocular patients  Severe & Complicated CSR
  • 78.
    Laser Treatment –Types  Direct: Over the RPE leak  Locally debrides RPE cells  Replaced by healthy cells  Indirect: Rim of detachment  RPE breakdown allows fluid to pass into choroid  Inflammatory material blocks leakage point  Was advised in past for leaks within the FAZ or on papillomacular bundle  May be still used when no leak is seen  “Sham” or “Photofomentation”
  • 79.
    Laser Treatment –Method  Generally avoided within FAZ  Diode laser may be used within FAZ  Spot size = 100-200μ  Duration = 0.1-0.2 sec  Power = 100-400 mW (diode > argon)  Light grey burn achieved  Re-treatment >1mth if leak persists
  • 80.
    Laser Treatment –Prognosis  Anatomic resolution:  2 wks in typical CSR  6 wks if turbid SRF  Visual Recovery:  4-12 weeks  Recurrence:  Generally adjacent to the original site of leakage  Reactivation (inadequate laser)  New leak
  • 81.
    Laser Treatment  Complications Secondary CNV (2-5%)  Inadvertent damage to fovea  Scotoma  Slow enlargement of area of RPE atrophy  Long-term outcome:  > 85% show extremely good prognosis  <12% show marked visual impairment
  • 82.
    ICGA-guided PDT  Hasshown anatomic & functional improvement  Mechanism:  Damage to choriocapillaris endothelium  Causes reduction in hyper-permeability of choriocapillaris  Reperfusion within 2-3 weeks  Indication:  Diffuse decompensation of RPE